Клеточный иммуннитет округлых образований легких. Лимфоциты при образованиях легких
Добавил пользователь Евгений Кузнецов Обновлено: 01.11.2025
Под диссеминированными процессами в легких понимается довольно обширная группа заболеваний и патологических состояний (более 100, известных современной медицине), при которых в дыхательном органе диагностируют множественные воспалительные очаги и(или) фиброзные изменения, расположенные, как правило хаотично и с обеих сторон. Патологические изменения могут затрагивать практически все легочные сегменты, а могут быть сконцентрированы только в определенных местах, например, вокруг бронхов, в периферических отделах легких и т.д.
Первично диссеминированные заболевания легких выявляются по результатам аппаратных медицинских обследований (КТ, рентген). На посрезовой компьютерной томографии легких (МСКТ) в высоком разрешении очаги диссеминации и фиброза визуализируются лучше всего. Врач-рентгенолог может оценить объем поврежденной легочной ткани, выявить фиброзные тяжи (соединительнотканные спайки и рубцы), скопление жидкости и(или) гноя в альвеолярных пузырьках, сопутствующие патологии дыхательных путей, артерий, лимфатической системы.
В этой статье мы подробнее расскажем о легочной диссеминации и заболеваниях, при которых этот симптом наблюдается.

Что такое диссеминация в легких?
Диссеминация представляет собой множественные патологические очаги (уплотнения) диаметром 1-10 мм. На КТ-сканах они выглядят как светлые пятна, в то время как в норме легочная ткань визуализируется практически однородным темным цветом. Очаги могут быть абсолютно разными по размеру, форме (эллипсообразные, с неровными краями) и морфологии. Нередко вокруг очагов обнаруживается перифокальное воспаление. Они могут сливаться и в таком случае напоминают инфильтративные процессы при пневмонии. Диссеминация также проявляется в виде очаговых микро повреждений с кровью и отеками.
При диссеминирующих процессах в легких дыхательный орган частично (в зависимости от объема поражения) перестает выполнять свою главную функцию — дыхание и транспортировка кислорода к другим органом, в частности к сердцу и головному мозгу. При тотальном диссеминированном поражении легких пациент может погибнуть.
Симптомы легочной диссеминации
Как и большинство легочных заболеваний, диссеминированное поражение легких не обладает специфическими симптомами, по которым было бы точно поставить диагноз. При диссеминации пациентов могут беспокоить стандартные респираторные симптомы:
- Одышка;
- Кашель;
- Затрудненное дыхание (учащается, становится сложно его задерживать);
- Неприятные ощущения в грудной клетке;
- Кашель;
- Потеря аппетита;
- Повышение температуры;
- Слабость (из-за нарушения дыхательной функции и нехватки кислорода);
- Снижение показателя сатурации крови кислородом;
- Изменение артериального давления.
Причины легочной диссеминации
При обнаружении диссеминации в легких, важно точно установить причину и выявить специфику патологического процесса. Причинами патологических процессов, в зависимости от формы, плотности и характера распространения очагов могут быть:
- Туберкулез;
- Пневмонии;
- Отравление токсичными газами и препаратами;
- Длительное вдыхание производственной пыли (пневмокониоз);
- Болезнь Хаммена-Рича;
- Другие виды альвеолита (в т.ч. аллергический);
- Синдром Гудпасчера;
- Идиопатический фиброз легких;
- Онкологические заболевания легких или других органов (саркоидоз, метастазы, карциноматоз, бронхоальвеолярный рак);
- Острый респираторный дистресс-синдром;
- Васкулиты (в т.ч. ревматоидные);
- Некоторые заболевания других внутренних органов (сердца, печени).
Отметим, что к одним только возбудителям инфекционно-воспалительных заболеваний легких, которые могут вызвать диссеминированное поражение легких, относится обширная группа вирусов, бактерий и грибков (mycobacterium tuberculosis, SARS-CoV-2, сoccidioides immitis) и др. Иногда выявить точную причину диффузных воспалительных очагов и фиброза не представляется возможным. Если заболевание обладает признаками, сходными с туберкулезом или пневмонией, или имеется выраженный фиброз, но даже после медицинских обследований причина остается не ясна, то такие патологические изменения называют «идиопатическими», а тактика лечения подбирается индивидуально на основании полученных данных и анамнеза пациента.
Поэтому диссеминированные заболевания легких считаются довольно сложными в диагностике. КТ легких значительно информативнее обычной рентгенографии, однако даже этот метод изолированно от лабораторных анализов, не позволяет получить достаточно сведений для назначения терапии. Если у пульмонолога или врача-рентгенолога есть подозрения на злокачественный процесс, пациенту может быть рекомендована биопсия.
Для каких заболеваний характерен симптом легочной диссеминации?
Рассмотрим наиболее распространенные заболевания, которые могут проявляться диссеминированным патологическим процессом в легких.
Туберкулез
Туберкулез легкий представляет собой довольно распространенное, опасное и тяжелое заболевание. Его возбудителем являются бактерии — палочки Коха, которые легко передаются контактным и воздушно-капельным путем, могут годами жить в уличной пыли и даже в легких человека, не вызывая никаких симптомов.
Болезнь проявляется тогда, когда иммунная система человека не может самостоятельно сдержать активную фазу и рост микобактерий mycobacterium tuberculosis. Бактериальное поражение легких при туберкулезе обычно визуализируется как множественные воспалительные очаги — гранулемы.
В центре туберкулезных гранулем расположены очаги некроза. Вокруг них формируются уплотнения — легочные альвеолы заполняются жидким субстратом, в котором содержатся сами бактерии клетки эпителия и плазмы, мертвые лимфоциты, крупные клетки Лангханса, макрофаги.
На начальных стадиях туберкулез прогрессирует практически бессимптомно, со временем пациент начинает отмечать слабость, ухудшение общего самочувствия, кашель и изменение дыхания.
При этом на аускультации редко отмечается что-то подозрительное. Анализ мокроты не показывает микобактерии. Диагностика туберкулеза возможна по результатам рентгенографического обследования и кожной туберкулиновой пробы.
Гранулематозы и диффузно расположенные «матовые стекла» на КТ не являются специфическим признаком туберкулеза. Первые обнаруживаются и при саркоидозе, а вторые — при пневмониях и других заболеваниях.
Для лечения туберкулеза пациенту назначается курс антибактериальной терапии. Важно предотвратить фиброз (рубцевание легких), поскольку такие изменения могут носить необратимый характер.

Пневмокониоз
Пневмокониозы - это диссеминированное поражение легких, причиной которого является вдыхание строительной или промышленной пыли. Чаще всего патологические процессы протекают с выраженным развитием первичного диффузного фиброза, при котором легочные альвеолы «склеиваются», поскольку в них разрастается соединительная ткань.
Пневмокониоз тоже носит гранулематозный характер. На КТ-сканах отчетливо видны множественные узелковые уплотнения разной плотности. Такие уплотнения следует проверять на предмет того, является ли процесс доброкачественным, нет ли онкологической угрозы.
Пневмокониоз относится к так называемым «профессиональным» заболеванием. Чаще всего от него страдают:
- Электросварщики;
- Строители и рабочие (болезнь вызывает вдыхание пыли двуокиси кремния, силикатов, металлов, углеродов);
- Промышленные рабочие (болезнь вызывает также вдыхание пыли хлопка, льна, зерна, некоторых химикатов).
Силикоз — распространенное и тяжелое заболевание легких, при котором диагностируют множественный диффузный фиброз и узелковые уплотнения. В результате у больного существенно сокращается функциональный объем легких. Возникает из-за продолжительного вдыхания пыли со свободным диоксидом кремния (содержится в кварцевом песке и окружающем воздухе). Поэтому в группе риска находятся пескоструйщики, работники соответствующих (абразивоструйных) предприятий, жители «песчаных» регионов.
Асбестоз — хроническое заболевание легких, при котором также манифестируется множественный легочный фиброз. Возникает из-за вдыхания асбестовой пыли или волокон асбеста. В группе риска находятся работники асбестодобывающих и асбестоперерабатывающих предприятий.
Пневмонии и осложнения пневмоний
Пневмонии - группа воспалительных заболеваний легких. На фоне этого заболевания у пациента могут возникнуть более опасные осложнения, для которых также характерна диссеминация: острый респираторный синдром (ОРДС), интерстициальное поражение легких, симптом «булыжной мостовой», «сотовое легкое», отек легких, фиброз и др.
При пневмонии со множественными диффузно расположенными локусами поражения существенно снижается жизненная емкость легких, поскольку воспалительные очаги и инфильтраты крупные, альвеолы заполнены жидким экссудатом, а не воздухом.
Пневмония с диссеминацией может быть следствием кандидоза легких, пневмокониоза и других заболеваний. Необходимо точно установить причину патологических изменений. Иногда необходимо также исключить злокачественный процесс (по результатам лабораторной диагностики).
Саркоидоз
Саркоидоз легких - это онкологическое заболевание. Его основными признаками на КТ являются диссеминация и медиастинальная лимфаденопатия. Диссеминация на сканах выражена не так ярко как при прогрессирующем туберкулезе, однако определенное сходство есть. Диагностику затрудняет легочный фиброз. Вместе с дессиминированнным поражением дыхательного органа присутствуют васкулиты, периваскулиты, перибронхит.
Множественные очаги (от 2 мм до 1 см) часто расположены вдоль бронхососудистых пучков, междольковых щелей, костальной плевры, в междольковых перегородках (перилимфатический тип диссеминации). При саркоидозе гранулематоз часто (около 35% случаев) обнаруживают не только в легких, но и в бронхах. При этом их слизистая оболочка может быть не изменена - на поражение бронхов при саркоидозе указывают отек, гиперемия, участки утолщения эпителия.
На ранних сроках саркоидоз развивается бессимптомно, на более поздних пациента начинают беспокоить непродуктивный кашель, проблемы с дыханием (без явных причин), дискомфорт и жжение в области спины, в тяжесть в груди.
Текст подготовил
Котов Максим Анатольевич, главный врач центра КТ «Ами», кандидат медицинских наук, доцент. Стаж 20 лет
- Campbell B., De Silva D., Macleod M., Coutts S., Schwamm L., Davis S., Donnan G. Ischaemic stroke, 2019.
- Bouchez L., Sztajzel R., Vargas M. CT imaging selection in acute stroke, 2016.
- Kamalian S., Lev M., Stroke Imaging, 2019.
- Котов М.А. Возможности компьютерной томографии в прогнозировании летального исхода инсульта / Дневник казанской медицинской школы. — 2017. — №. 2. — С. 76-80.
- Котов М.А. Показатели и значение интракраниального анатомического резерва, у пациентов с острым нарушением мозгового кровообращения / Журнал научных статей Здоровье и образование в XXI веке.Т. 18, № 2., 2016. — С. 229-233.
- Котов М.А. Лучевые предикторы исходов ишемического инсульта / Дневник казанской медицинской школы. — 2018. — №. 2. - С. 86-89.
- Котов М.А. Предикторы раннего летального исхода острого нарушения мозгового кровообращения, выявляемые при компьютерной томографии / Материалы VIII Научно-практической конференции Поленовские чтения, Российский нейрохирургический журнал им. проф. А.Л. Поленова, специальный выпуск. — 2018, — Т.Х, С. 129.
- Котов М.А. Возможности компьютерной томографии в оценке риска развития острого нарушения мозгового кровообращения / Вестник Северо-Западного государственного медицинского университета им. И.И. Мечникова. 2017. Т. 9. № 4. — С. 35-38.
- Kotov M.A. Brain dislocation morphometry at neurology and neurosurgery from the standpoint of evidence-based medicine / Global Science and Innovation // Materials of the V international scientific conference. - Chicago, 2015. — Р. 207-212.
Мы перезвоним, подберём удобное для записи время и ответим на вопросы.
Оператор обрабатывает входящие заявки с 8:00 до 22:00
Нажимая на кнопку, вы даете согласие на обработку персональных данных в соответствии с Федеральным законом от 27.07.2006 г. № 152-ФЗ «О персональных данных».
Если вы оставили ее с 8:00 до 22:00, мы перезвоним вам для уточнения деталей в течение 15 минут.
Иммунная система Часть 8 Анализы
Дефекты иммунной системы можно заподозрить при повторных респираторных инфекциях, при наличии хронических воспалительных и аутоиммунных заболевания, грибковых и паразитарных инфекциях. Обследования иммунитета проводят в помощь и при аллергических заболеваниях, тяжелых распространенных заболеваний, требующих неотложной помощи, в контроле иммуномодулирующей терапии, для выявления первичного или вторичного иммунодефицита, перед и после трансплантации органов, при онкологических заболеваниях.
Помимо поражения вирусом иммунодефицита человека, вторичный иммунодефицит развивается после объемных оперативных вмешательств, обширных, тяжелых инфекций, на фоне терапии иммуноподавляющими или сильными противовоспалительными препаратами.
Клинический анализ крови с лейкоцитарной формулой
Клинический анализ крови с лейкоцитарной формулой позволяет выявить множество заболеваний. Он отражает состояние гемопоэза - созревания и роста клеток крови в костном мозге. О состоянии иммунной системы говорят уровни белых клеток крови - лейкоцитов и лейкоцитарная формула. Наблюдение за лейкоцитарной формулой в динамике заболевания позволит выявить осложнения, распространение инфекции по организму, реакцию на лечение.
При бактериальных инфекциях можно увидеть повышение лейкоцитов и нейтрофилов с появлением их молодых форм в крови.
При вирусных инфекциях, наоборот, лейкоциты снижаются, а в лейкоцитарной формуле преобладают лимфоциты.
Преобладание тех или иных популяций в лейкоцитарной формуле помогает в диагностике причины воспаления. Например, при определенных инфекциях (например, инфекционный мононуклеоз) нарастают измененные моноциты, а при аллергических и паразитарных заболеваниях - эозинофилы.
Наличие совсем юных клеток (бластов) в крови признак чрезмерной активации костного мозга, а низкий уровень лейкоцитов и нейтрофилов без воспаления - его угнетения.
Лимфоциты, иммунофенотипирование
Выделяют разные популяции лимфоцитов, которые играют ключевую роль в направлении иммунного ответа - клеточный или гуморальный. Определение иммунного фенотипа лимфоцита возможно в специальном исследовании методом проточной цитофлюориметрии. Фенотип лимфоцитов зависит от особых рецепторов на их поверхности - кластеров дифференцировки CD. Наличие того или иного рецептора свидетельствует о принадлежности клетки к определенной популяции лимфоцитов.
Поражение легких при лимфоме

Лимфома (лимфоролиферативный процесс) — это группа онкологических процессов с поражением лимфоцитов (клеток иммунной системы), которые сопровождаются изменениями в лимфатических узлах и сосудах. При этом может происходить метастазирование — миграция злокачественных клеток в соседние органы и ткани с образованием вторичных очагов рака. Увеличенные узлы при лимфоме (> 1 см в поперечнике) — плотные и абсолютно безболезненные, поэтому выявляемость заболевания на ранней стадии сравнительно низкая. В этой статье мы расскажем, какие бывают лимфомы, о симптомах, которые должны насторожить, о визуализации патологических изменений на КТ.
Лимфома легких — что это?
Лимфатическая система легких напоминает ветвистое дерево — ее сосуды пронизывают грудную клетку по всей длине и отвечают за лимфоток. Здесь расположено 13 разновидностей лимфотических узлов, классифицируемых по 5 группам:
1.Надключичные лимфатические узлы;
2.Верхние медиальные лимфатические узлы (паратрахеальные, преваскулярные, превертебральные);
3.Аортальные лимфатические узлы;
4.Нижние медиастинальные лимфатические узлы;
5.Корневые, долевые, (суб)сегментарные лимфатические узлы.
В узлах фильтруется лимфа и происходит созревание лимфоцитов. Лимфомы возникают в лимфатических узлах.
Поскольку лимфатическая система представляет собой обширную сеть сосудов, капилляров и полостей, то злокачественные клетки могут распространиться по всему телу, образовав множественные диссеминированные метастазы.

Диагностика лимфомы легких
Обычно медицинские специалисты отдают предпочтение МРТ, поскольку отсутствует лучевая нагрузка однако в случае с обследованием воздушной ткани легочной паренхимы, которая в норме практически не содержит жидкость, наиболее подробные результаты обследования и детализированное изображение можно получить с помощью КТ легких. Если лимфома выявлена на МРТ, и у врача есть подозрение, что раковые клетки мигрировали в костную ткань, то пациенту будет рекомендовано дополнительное обследование костей. В ходе компьютерной томографии исследуют ткани разной морфологии, попадающие в зону интереса: кости, внутренние органы, сосуды. Для диагностики последних необходимо дополнительное контрастирование.
Симптомы лимфомы лёгких
Основным симптомом, по которому проще всего заподозрить лимфому легких, является увеличение лимфоузлов, локализованных в области ключиц, шеи, средостения, между ребрами. Некоторые узлы спрятаны в самой грудной клетки и не пальпируются. В таком случае лимфома дает о себе знать только тогда, когда увеличивается в размере и начинает давить на соседние органы, что вызывает дискомфорт.
Важно понимать, что увеличение лимфоузлов не является специфическим признаком злокачественной лимфомы. Оно наблюдается после антибактериальной терапии и при любом инфекционно-воспалительном заболевании — педикулезе, ОРВИ, инфекциях ротоглотки и гортани (включая заболевания стоматологического характера), при болезни кошачьих царапин (лимфоузлы увеличиваются в ответ на повреждение кожи или укус, но не сразу, а в течение последующих 3-20 дней).
Обычно лимфоузлы, увеличенные из-за воспалений, при пальпации болят и вызывают дискомфорт. При лимфоме узлы безболезненные.
Некоторые вирусы способны менять нормальную структуру ДНК лимфоцитов таким образом, что клетки превращаются в злокачественные. Так вирус Эпштейна-Барр (ВЭБ) или ВИЧ-инфекции в анамнезе существенно повышает риск развитие лимфом.
К ранним симптомам лимфомы легких относится:
- Усталость, общая слабость;
- Высокая температура (около 38 градусов), лихорадка;
- Гипергидроз (преимущественно в ночное время).
В течение первых четырех недель проявляются и другие симптомы лимфомы лёгких:
- Увеличение лимфоузлов;
- Потеря аппетита и веса;
- Дисфагия (затрудненное глотание);
- Боль и дискомфорт в грудной клетке.
У некоторых пациентов наблюдается кожный зуд. Если лимфома сдавливает органы дыхания или происходит их поражение агрессивными раковыми клетками, возможны затрудненное дыхание, кашель, одышка.
Диагностировать лимфому самостоятельно невозможно, необходимо медицинское исследование внутренних органов и тканей лимфатической системы методом КТ или МРТ.

Лимфома легких — это рак?
Не всегда. Однако к лимфомам относятся преимущественно злокачественные новообразования лимфатической системы, которые формируются из-за бесконтрольного накопления патологически измененных лимфоцитов. Исключением могут быть индолентные лимфомы. Они не требуют лечения, однако наблюдать их тоже важно. Если при этом у пациента проявляется вышеописанная симптоматика (температура, лихорадка, боль в грудной клетке), то обследование и лечение таких лимфом должно проводиться обязательно.
Злокачественные клетки-лимфоциты обладают формой, отличной от «правильных» клеток, и представляют собой фатальный «сбой» в работе организма. У таких клеток возникают совсем другие функции - они производят огромное количество белков и токсинов, при этом не уничтожаются клетками иммунной системы как враждебные.
Лимфомы не всегда являются первичным очагом онкологии. Патологически увеличенный узел или их группа (диссеминированная или локализованная в одном месте) часто бывает следствием метастатических процессов. Это происходит в связи с тем, что лимфатический узел выполняет функцию фильтра и накапливает в себе злокачественные клетки, отделившиеся от первично пораженного органа. В таком случае важно не только выявить лимфому, но и первичный очаг. Увеличение лимфоузлов легких может указывать на рак легких, молочной железы, средостения, желудка, то есть органов, расположенных в непосредственной близости.
Уточнить диагноз относительно доброкачественного или злокачественного новообразования можно по результатам биопсии (гистологического исследования образца ткани). Также пациент сдает клинический и биохимический анализы крови.На КТ легких врачи выявляют новообразование, могут оценить его размер, распространенность увеличенных лимфоузлов, однако сделать точный вывод о разновидности опухоли без анализов не представляется возможным.
Какие бывают лимфомы?
Первично лимфомы принято делить на две большие группы:
- Лимфомы Ходжкина / лимфогранулематоз (болезнь Ходжкина, ходжинские лимфомы),
- Неходжскинские лимфомы (лимфосаркомы, НХЛ).
По данным НМИЦ онкологии им. Н.Н. Блохина, в России заболеваемость неходжкинскими лимфомами в 1,5-3 раза превышает заболеваемость лимфогранулематозом.
Разница между этими лимфомами становится ясна после морфологического исследования образца ткани (биопсии). При болезни Ходжкина в пораженных лимфоузлах обнаруживаются крупные мутировавшие клетки Березовского — Штернберга — Рида. Ходжкинские лимфомы отличаются более агрессивным течением с ярко выраженной симптоматикой, но они легко поддаются лечению.
Пораженные Ходжкинской болезнью лимфоузлы чаще всего расположены над ключицами, в области шеи, подмышечных впадин, средостения.
Неходжкинские лимфомы помимо B-лимфоцитов, поражают еще и T-лимфоциты. Заболевание обычно протекает без выраженной симптоматики и тяжело лечится. Но сначала необходимо правильно определить разновидность неходжкинской лимфомы — актуальная классификация состоит из 30 наименований, включая:
- хронический лимфолейкоз;
- Т-клеточный лейкоз;
- фолликулярная лимфома;
- диффузная В-крупноклеточная лимфома;
- грибовидный микоз Сезари и др.
4 стадии лимфомы легких
Стадии течения заболевания определяют по распространенности лимфом и объему пораженной ткани:
- 1 стадия: в патологический процесс вовлечен 1 лимфоузел или 1 группа лимфатических узлов;
- 2 стадия: в патологический процесс вовлечены 2 и более групп узлов, расположенных по одну сторону от диафрагмы;
- 3 стадия: поражены лимфоузлы с обеих сторон, в патологический процесс вовлечено несколько групп.
- 4 стадия: помимо тканей лимфатической системы болезнь поражает внутренние органы (легкие, сердце и др.)
При этом симптомы лимфомы могут быть выраженными уже на первой стадии, а могут не ощущаться пациентом практически до четвертой.
Лимфома легких на КТ
Признаки лимфомы легких особенно выражены на четвертой стадии заболевания, когда болезнь поражает дыхательный орган. На КТ при этом будут видны увеличенные лимфоузлы, формирующие цепочки, конгломераты. При этом у пациента может также наблюдаться отек легких. Однако высокая разрешающая способность КТ позволяет выявить лимфому на ранней, первой стадии.
На КТ лимфомы, как и любые уплотнения, визуализируются сравнительно более светлым цветом. В норме воздушная легочная паренхима практически однородного темного цвета. Иногда таких уплотнений несколько и они диссеминированны. Контуры лимфомы четкие и ровные. Вокруг патологических очагов обнаруживаются участки «матового стекла».
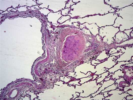
Клеточный иммуннитет округлых образований легких. Лимфоциты при образованиях легких
Златник Е.Ю. 1 Бахтин А.В. 1 Новикова И.А. 1 Селютина О.Н. 1 Шульгина О.Г. 1 Золотарёва Е.И. 1 Черникова Е.Н. 1 Бакулина С.М. 1 Исаева Р.Г. 1
Изучали уровни циркулирующих опухолевых клеток (ЦОК) с помощью системы CellSearch® и показатели клеточного иммунитета у 30 больных раком легкого при различном гистогенезе (мелкоклеточный и немелкоклеточный - аденокарцинома) и стадии (III и IV) до начала лечения. Установлена более частая встречаемость ЦОК при НМРЛ, хотя и их более высокое содержание при МРЛ по сравнению с аденокарциномой, а также при IV стадии по сравнению с III. Наличие ЦОК у больных МРЛ сопровождается более низким уровнем активированных Т-лимфоцитов в субпопуляциях CD4+ и CD8+ и активированных натуральных киллеров, т.е. депрессией Т- и NK-звеньев иммунной системы. Как при МРЛ, так и при аденокарциноме уровень ЦОК обратно коррелирует с количеством Т-лимфоцитов памяти, хотя при МРЛ она выявлена с CD4+, а при аденокарциноме - с CD8+ клетками. Заключение: при МРЛ и НМРЛ выявлен ряд корреляций уровней ЦОК с показателями иммунного статуса преимущественно минорными лимфоцитарными субпопуляциями: активированными Т-лимфоцитами, Т-клетками памяти, функционально активными NK-клетками.
1. Владимирова Л.Ю. Роль гистологического и молекулярного анализа в выборе метода лечения немелкоклеточного рака легкого поздних стадий / Л.Ю. Владимирова, О.И. Кит, Е.А. Шолохова // Фарматека. - 2012. - № 8 (241). - С. 9-22.
2. Кит О.И. Первый опыт детекции циркулирующих опухолевых клеток в периферической крови / О.И. Кит, И.А. Новикова, А.В. Бахтин и соавт. // Международный журнал экспериментального образования. - 2013. - № 11-12. - С. 37-39.
3. Hofman V. Detection of circulating tumor cells as a prognostic factor in patients undergoing radical surgery for non-small-cell lung carcinoma: comparison of the efficacy of the CellSearch Assay™ and the isolation by size of epithelial tumor cell method / V. Hofman, M.I. Ilie, E. Long et al. // Int J Cancer. - 2011. - № 129. - P. 1651-1660.
4. Maheswaran S. Detection of Mutations in EGFR in Circulating Lung-Cancer Cells / S. Maheswaran, L.V. Sequist, S. Nagrath et al. // N Engl J Med. - 2008. - July 24. - № 359 (4). - Р. 366-377.
5. Matthew G.K. Blackhall Evaluation and Prognostic Significance of Circulating Tumor Cells in Patients With Non-Small-Cell Lung Cancer / G.K. Matthew, S. Robert, P. Lynsey et al. // J ClinOncol. - 2011. - Apr 20. - № 29 (12). - P. 1556-1563.
6. Naito T. Prognostic impact of circulating tumor cells in patients with small cell lung cancer / T. Naito, F. Tanaka, A. Ono et al. // J ThoracOncol. - 2012. - № 7. - P. 512-519.
7. Normanno N. Prognostic value of circulating tumor cells’ reduction in patients with extensive small-cell lung cancer / N. Normanno, A. Rossi, A. Morabito et al. // Lung Cancer. - 2014. - Aug 1. - № 85. - P. 314-319.
8. Yuh-Pyng S. Prognosis of Non-Small Cell Lung Cancer Patients by Detecting Circulating Cancer Cells in the Peripheral Blood with Multiple Marker Genes / S. Yuh-Pyng, S. Jin-Yuan et al. // Clin. Canc. Res. - 2005. - V. 11. - № 1. - Р. 173-179.
Цель исследования: изучить взаимосвязи между характеристиками клеточного иммунитета и количеством циркулирующих опухолевых клеток у больных мелкоклеточным и немелкоклеточным раком легкого при различной распространенности опухолей.
Материалы и методы исследования: изучали содержание ЦОК и показатели иммунного статуса у больных РЛ. Результаты анализировали в зависимости от распространенности (стадии), гистогенеза, количества ЦОК в крови. Обследовано 30 больных: 26 мужчин (86,7%) и 4 женщины (13,3%); средний возраст 62±1,3 года. Гистологическим типом у 20 больных (66,7%) был мелкоклеточный РЛ, представляющий собой нейроэндокринную опухоль (МРЛ/НЭО), у 10 больных (33,3%) НМРЛ (аденокарцинома). На момент установления диагноза у 13 больных (43,3%) была III, у 17 (56,7%) - IV стадия заболевания. У 25 больных (83,3%) был диагностирован центральный РЛ, у 5 (16,7%) - периферический РЛ. Среди пациентов с МРЛ подавляющее большинство составили мужчины - 19 из 20 (95%), в группе с НМРЛ было 3 женщины и 7 мужчин (30% и 70%). Средний возраст в обеих группах был идентичен: 62,2±1,6 и 62,8±2,2 года. Распределение по стадиям: в группе МРЛ у 13 больных (65%) была III, у 7 (35%) - IV стадия заболевaния; в группе с НМРЛ у всех 10 была диагностирована IV стадия. Среди пациентов с МРЛ у большинства был центральный рак - 18 больных из 20 (90%); в группе НМРЛ у 3 (30%) был периферический, у 7 больных (70%) центральный РЛ.
В крови больных до начала лечения определяли уровень ЦОК по технологии анализа в системе CellSearch System™ (Janssen Diagnostics, LLC) с микрочастицами железа, покрытыми антителами к маркерам адгезии эпителиальных клеток EpCAM, CD45 и цитокератинам 8,18,19. Качество работы оценивали с использованием стандартного контроля СТС control kit. Материал сканировали в анализаторе CellTracks® Analyzer II®. ЦОК регистрировали с учетом морфологических характеристик и экспрессии маркеров. Результаты выражали в абсолютном количестве ЦОК на 7,5 мл крови (объем пробы). В крови определяли субпопуляционный состав лимфоцитов на проточном цитометре FACSCantoII (BD): процент Т-В-NК-клеток, T-reg; CD4+ и CD8+ клеток, экспрессирующих активационные маркеры (CD69+, СD38+, CD25+, HLA-DR+ СD95+); «наивных» Т-лимфоцитов и Т-клеток памяти (CD45RA-/CD45RO+); среди NК-клеток определяли лимфоциты с различной экспрессией СD16 и CD56, а также экспрессирующие CD335, перфорин, гранзим В.
Статистический анализ результатов проводили с помощью программы STATISTICA 7.0 (StatSoft Inc., США) и пакета программ MicrosoftExcel (Windows XP): вычисляли среднюю, медиану, ошибку средней, достоверность различий (по критерию Стьюдента). Данные таблицы при сравнении по стадиям МРЛ представлены в виде M±m, а для оценки показателей иммунного статуса у больных МРЛ с различным уровнем ЦОК, ввиду малого количества данных, был применен непараметрический U-критерий Манна-Уитни.
Корреляционный анализ результатов исследования проводили с помощью программы STATISTICA 7.0 (StatSoft Inc., США): использовали вычисление коэффициента корреляции (r), силу прямых и обратных корреляционных связей по Пирсону.
Результаты исследования: результаты представлены на рис. 1, 2 и в таблице. ЦОК были обнаружены у 27 больных (90%) в количестве от 1 до 6888, причем, как видно из рис. 1 А, Б, в группе МРЛ ЦОК выявлены у 17 больных (85%) в количестве 0-6888, среднее значение составило 655,7, медиана 38,5; в группе НМРЛ ЦОК найдены у всех 10 пациентов в количестве 1-486, среднее значение составило 57,2, медиана 5,0.
А Б
Рис. 1. Частота встречаемости (А) и уровни ЦОК (Б) у больных МРЛ и НМРЛ

Рис. 2. Некоторые показатели иммунного статуса у больных МРЛ и НМРЛ (%)
При разделении больных с опухолями МРЛ/НЭО в зависимости от стадии был обнаружен более низкий уровень ЦОК при III стадии по сравнению с IV (таблица).
Сравнительная характеристика показателей иммунного статуса у больных МРЛ с различной распространенностью и уровнем ЦОК
Иммунная система Часть 3 Иммунные клетки
Иммунная система состоит из клеточных и молекулярных компонентов. Роль особых молекул рассмотрим в следующем материале, потихоньку вводя их названия и связанные с ними иммунные клетки.
В костном мозге основные иммунные клетки рождаются из кроветворной стволовой клетки. Процесс называется гемопоэз - рождение клеток крови. Часть иммунных клеток известна всем как белые клетки крови - лейкоциты. Это большая группа клеток, разделяющаяся во время гемопоэза. Иммунные клетки врожденного иммунитета образовываются непосредственно в тканях и в костном мозге как из стволовых клеток, так и из клеток крови, других клеток кожи и слизистых оболочек.
Гранулоциты
Имеют такое название, поскольку содержат гранулы. Процесс выхода содержимого гранул называется дегрануляция. Вещества гранул обладают токсическим действием, являются регуляторами острого воспаления, приводя к развитию клинических симптомов (отек, зуд, спазм сосудов и т.п.). Составляют основу лейкоцитарной формулы крови.
Нейтрофилы
Эозинофилы
Базофилы
Лейкоцитарная формула (циркуляция в крови)
Во время острого воспалительного процесса нейтрофилы выходят в ткани. Их цель - фагоцитировать и разрушать антигены.
Атакуют крупные микроорганизмы, которые не могут быть поглощены. Источник регуляторов острого воспаления
Работают как тучные клетки тканей, обуславливая аллергическую воспалительную реакцию. Источник регуляторов острого воспаления
Повышаются в крови
При острых бактериальных и грибковых инфекциях; при системных воспалительных заболеваниях; при онкологии костного мозга
При аллергических заболеваниях; при паразитарных заболеваниях; при системных воспалительных заболеваниях.
При аллергических заболеваниях; при онкологических заболеваниях костного мозга
Снижаются в крови
При тяжелой инфекции с развитием сепсиса; при многих вирусных инфекциях; при иммунодефиците и повреждении костного мозга.
При острых бактериальных инфекциях; при болезнях надпочечников.
При острых бактериальных инфекциях.
Тучные клетки
Ранее предполагалось, что образуются из базофилов крови, но выявлены их различия. Тучные клетки постоянно живут в тканях, как и базофилы играют ведущую роль в остром аллергическом воспалении.
Естественные клетки-киллеры
Моноциты крови как часть лейкоцитарной формулы (до 8%) коротко циркулируют в крови и в основном преобразуются в тканевые макрофаги (фагоцитирующие клетки), но от 5 до 15% моноцитов лейкоцитарной формулы на самом деле - естественные клетки-киллеры (ЕК-клетки). Они созревают в костном мозге и имеют колоссальное значение в уничтожении зараженных, отработанных и опухолевых клеток, умея распознавать их и участвуя в процессе апоптоза. Это важный компонент безопасной гибели клеток, ограничивающий выход ее содержимого. Также они являются источником некоторых молекулярных компонентов (ИФН-гамма, ИЛ-1, ФНО-альфа).
Антиген-презентирующие клетки
Не являются какой-то одной группой клеток. Скорее это способность многих клеток, обладающих фагоцитозом - процессом поглощения и переваривания антигенов. К ним относят тканевые макрофаги (образующиеся из моноцитов крови), клетки Лангерганса в коже, дендритные клетки, интердигитальные клетки, являющиеся клетками врожденного иммунитета. Для реализации приобретенного иммунитета требуется специальная обработка антигенов и представление их на поверхности клетки в связке с особыми рецепторами - презентация антигена.
Клетки, способные это делать, называют антиген-презентирующие. После поглощения антигена они устремляются в лимфатические узлы для встречи с Т-лимфоцитами. Именно для них нужна презентация антигена, чтобы информацию о нем передать В-лимфоцитам для синтеза антител. Кроме того, антиген-презентирующие клетки выделяют особые молекулы, необходимые для формирования популяций Т-лимфоцитов, определяющих направление иммунного ответа - клеточный или гуморальный.
Читайте также:
- УЗИ при венозной мальформации околоушной железы
- Влияние хромосомных мутаций (кариотипа) на течение и прогноз хронического лимфолейкоза (ХЛЛ)
- Признаки импинджмент-синдрома тазобедренного сустава (ИСТБС) и развивающейся дисплазии тазобедренного сустава взрослых (РДТБС)
- Артериовенозный свищ у детей. Гемодинамика при артериовенозном свище.
- История перинатологии. Амниоцентез. Кордоцентез.
