Признаки импинджмент-синдрома тазобедренного сустава (ИСТБС) и развивающейся дисплазии тазобедренного сустава взрослых (РДТБС)
Добавил пользователь Евгений Кузнецов Обновлено: 01.11.2025
Импинджмент-синдром в медицине трактуется как механический конфликт, который возникает между бедренной головкой или шейкой и краем вертлужной впадины тазобедренного сустава. Данное явление в суставе по-научному называют фемороацетабулярный (ФАИ) и бедренно-вертлужный (БВИ) импинджмент. Его источником является одно- или двусторонний дефект анатомии костей ТБС врожденной или приобретенной этиологии. По-другому данный процесс можно охарактеризовать так: патологическое соударение костных компонентов сустава во время движения из-за несоответствия их форм.

Синдром бедренно-вертлужного соударения, чего в норме не должно быть, приводит к ненормальному трению костей. Вокруг головки бедра или по периферии вертлужной впадины (ВП) формируются остеофиты. Костные выступы препятствуют скольжению взаимодействующих сегментов, и в определенной точке движения происходит их столкновение. В результате вертлужная губа, окаймляющая сверху тазовое углубление, постоянно испытывает хроническую травматизацию. Такая проблема с течением времени приводит к ее разрыву, а также стиранию и деструкции хрящевых покровов сочленяющихся костей ТБС. Как следствие, к прогрессирующим двигательно-опорным расстройствам и усиливающимся болям.
Импинджмент-синдром очень часто выступает стимулятором боли в тазобедренном суставе и провокатором раннего появления коксартроза у лиц молодого возраста.
Причины импинджмент синдрома
Предрасполагающими факторами к развитию импинджмента между бедром и тазовой костью являются врожденные и приобретенные аномалии строения тазобедренного сустава.
Распространенные врожденные пороки, которые могут стать причиной ФАИ:
- эллипсовидной формы головка бедренной кости;
- выпячивание (бугорок) тела кости в области соединения шейка-головка;
- укороченная кость бедра;
- неполноценная конфигурация вертлужной впадины.
Приобретенный патогенез чаще становится следствием травм и заболеваний, таких как:
- эпифизеолиз (перелом Салтера-Харриса);
- остеохондропатия головки бедренной кости (болезнь Пертерса);
- инфаркт костной ткани головки бедра (аваскулярный некроз);
- локальные переломы, ушибы, растяжения, разрывы сухожилий, другие виды травм;
- воспалительные патологии синовиальной сумки (бурсит и пр.);
- атрофия мышц, окружающих сустав;
- неудачные оперативные вмешательства на суставе.
Отметим, вызвать порочное соотношение суставных костей и, как следствие, импинджмент-синдром, способны тяжелые эндокринные заболевания. Высокий риск имеют люди, страдающие сахарным диабетом, поскольку плохой метаболизм, проблема с кровообращением негативно влияют на морфологию костной и хрящевой ткани. В категорию риска входят люди, регулярно испытывающие тяжелые физические нагрузки на тазовый пояс и нижние конечности. К возможным причинам появления ФАИ также относят первичные и вторичные заболевания костно-мышечной системы и соединительной ткани, например, артрит тазобедренного сустава, подагру, сколиоз, поясничные грыжи и др.
Виды бедренно-вертлужного импинджмента
Так называемый «ударный конфликт» при двигательном акте ТБ сустава по локализации классифицируют на 3 основных типа ФАИ:
- ацетабулярный, или пинсер-тип (pincer);
- бедренный, или кэм-тип (cam);
- смешанный вид, или mixed.
- Пинсер-тип. Причиной соударения выступает анатомическая несостоятельность в виде увеличения покрытия вертлужной впадины при нормальном проксимальном отделе бедра. Возникает в 3 раза чаще у женщин, чем у мужчин. Возрастной диапазон пациентов - 40-57 лет. На рентгенограммах в переднезадней и боковой проекциях прослеживаются:
- увеличение глубины впадины, ее протрузия;
- признаки cross-over;
- центрально-краевой угол G. Wiberg более 39°;
- угол наклона крыши ВП менее 0°;
- симптом заднего края тазового углубления;
- линейное вдавливание кости в области шейки.
- Кэм-тип. Первоисточник импинджмента - анормальная форма бедренной кости в проксимальной части с утратой сферичности при неизмененном вертлюжном углублении. В 14 раз чаще такая проблема встречается у пациентов мужского пола. Возрастная группа больных - 21-50 лет. Снимки рентгена в прямой и латеральной плоскости показывают:
- деформацию метаэпифиза бедра по типу «рукояти пистолета»;
- шеечно-диафизарный угол меньше 125°;
- симптом горизонтальной эпифизарной пластины;
- ∠α (альфа-угол) от 50° и более;
- сокращенный offset шейки - ниже 8 мм, offset-индекс менее 0,18;
- отклонение шейки бедра кзади (ретроторсия).
- Смешанный тип. Клиническая картина наблюдается одновременно на двух костных составляющих сочленения: ацетабулярной впадине и бедренной кости. В 90% случаев диагностируют именно этот вид.

Симптомы при тазобедренном импинджмент-синдроме
Характерные клинические признаки - болевой синдром и ограничение подвижности. Данные критерии относительны, так как бывают и исключения, когда человек вообще никакого дискомфорта не отмечает. Он спокойно себе живет, даже не догадывается о существующей проблеме. Поэтому все индивидуально, однако у преобладающего числа людей болезненное состояние все же дает о себе знать следующими симптомами:
- боль, ее частая локализация - область паха, зона ягодиц, поясница;
- внезапное возникновение болезненности в тазобедренном суставе при его крайних положениях внутренней ротации, привидения, сгибания;
- стойкая ограниченность диапазона движений в сочленении;
- поражение, как правило, локализуется в одном из ТБС;
- усиление болевого синдрома после долгого нахождения в положении «сидя»;
- нарастание дискомфорта после длительной или усиленной физической активности;
- ослабление боли в состоянии покоя.
Заостряем внимание, что схожей симптоматикой проявляются многие заболевания не только тазобедренного сустава, но и других компонентов опорно-двигательного аппарата. Поэтому при жалобах подобного характера важно достоверно определить, исходят ли симптомы из тазобедренного сустава. Кроме того, провоцируются ли они именно импинджментом, какого он вида и генеза, насколько фемороацетабулярный конфликт сильный и сочетается ли еще с какими-то болезнями сустава. Грамотный дифференцированный подход в диагностике позволит не ошибиться с выбором тактики лечения.
Клинический осмотр, диагностика
Для пациентов диагностические мероприятия начинаются с проведения функциональных проб тазобедренного отдела. Они заключаются в оценивании функций сгибания, разгибания, приведения, отведения, вращения проблемного сустава. Конечность больного врач испытывает в разных физиологичных траекториях движения.
Специалист предварительно вынести заключение о диагнозе может, к примеру, на основании теста «перекатывание полена». Для этого пациент ложится на спину, после доктор осуществляет перекат ноги снаружи внутрь и назад. Если в ходе такого эксперимента локально возникает своеобразный хруст, то это с высокой долей вероятности свидетельствует о повреждении суставной губы.

Для выявления костного конфликта применяется тактика сгибания конечности в ТБС до прямого угла, затем ногу приводят и ротируют кнутри, после кнаружи. При появлении болевого синдрома в конечной точке тест считается положительным. Чаще такая боль говорит о соударении передневерхнего ацетабулярного участка и поверхности бедренной шейки.
Интересующий отдел также может быть проверен на симптом Дреманна и С-симптом. В первом случае диагностическим критерием служит возможность согнуть ногу в сочленении исключительно из позиции наружной ротации, что указывает на торсию бедренной кости по типу ретроверсии. Во втором - болевые ощущения проявляются при обхвате и компрессии надвертельной части большим и указательным пальцами, образующими букву «С». Определенный С-симптом свидетельствует об искаженной морфологии вертлужного элемента.
Лишь на основании функциональных тестов ни один хороший специалист не поставит диагноз и не назначит лечения. Следующий этап, позволяющий подтвердить или отклонить первичные предположения о проблеме, извлечь максимум информации об анатомической дисгармонии сустава, - это инструментальная диагностика. Она базируется на выполнении:
- рентгенографии;
- магниторезонансной томографии;
- компьютерной томографии.

Сначала был импинджмент, а после развился артроз.
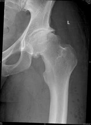
Несмотря на существование высокоперспективных способов получения посрезовых изображений сустава, стандартная рентгенография остается первым и обязательным методом диагностики в данной цепочке диагностики. Диагностическая информативность классической рентгенографии для определения БВИ довольно высокая: 90% и выше. Правильный диагноз на основании результатов рентгена реально поставить сугубо при условии выполнения снимков во всех перечисленных проекциях:
- переднезадней (стандарт);
- по Лаунштейну (укладка в позу «лягушки»);
- латеральной;
- в положении сгибания бедра при углах 90°, 45°;
- «ложного» профиля (техника снимка в косой проекции, Lequesne’s false profile).
Методы томографии (КТ, МРТ) используются при подозрении на осложненную генерализированную форму патологии, требующую более глубокой оценки структурных звеньев тазобедренного сустава. Лучшую картинку о состоянии мягких тканей даст магниторезонансное исследование на аппарате МРТ сильной мощности. Такой вид диагностики определяет патологии суставного хряща, синовиальной мембраны и губы, хорошо визуализирует кисты, тендиноз мышц, синовит сустава, отек костного мозга.
Основные принципы лечения ФАИ
В терапии пациентов с импинджментом тазобедренного сустава в зависимости от тяжести клинического случая применяется либо консервативное, либо хирургическое лечение. Сегодня ввиду неполного владения информацией о естественном течении бедренно-вертлужного конфликта, спрогнозировать успешность безоперационной терапии невозможно.

По поводу прогнозов после оперативных вмешательств отметим, что у пациентов с выраженным вторичным артритом лечебные результаты хуже. Хороший эффект дает хирургия, если суставная щель сужена не более чем на 1/2 от нормальных значений, то есть ширина щели не ниже 2 мм при норме 4 мм. Существенно повышают шансы на успех операции молодой возраст пациента и короткий промежуток времени от начала проявления ФАИ до обращения больного за мед. помощью.
Консервативная тактика лечения
Консервативный подход предполагает назначение комплексного лечения, включающего:
- ограничение физических нагрузок, вызывающих болевой синдром;
- временное обездвиживание сустава (при выраженном воспалении, отеке)
- лечебную физкультуру, направленную на увеличение объема движений и укрепление мышц, стабилизирующих суставной аппарат;
- процедуры физиотерапии (ультразвук, лазер, магнит, электрофорез);
- медикаментозное лечение - использование обезболивающих препаратов из серии НПВС, при нестерпимой боли применяют блокады с внутрисуставным введением кортикостероидов (дипроспана, гидрокортизона или др.).

Инъекции стероидов и гиалурона оправдывают себя при доказанном факте наличия поражения хрящевого образования, прикрепленного к краю вертлужного ложа по окружности. Патогенез, связанный с повреждением губы, может быть подтвержден только посредством МРТ. Сугубо на основании рентген-снимков, доказывающих просто наличие ВБИ, уколы гормонов и гиалуроновой кислоты не прописываются.
Если консервативно симптоматику патологического явления не получается купировать, целесообразно провести оперативное вмешательство для устранения причин, вызывающих патогенез. Помните, неблагополучный патогенетический механизм способен прогрессировать, вызывая тяжелую болезнь всего ТБС - деформирующий артроз. Нередко такие осложнения требуют тотальной замены сустава эндопротезом.
При безрезультативном нехирургическом лечении в течение 3-4 месяцев оперативное вмешательство важно пройти в кратчайшее время людям трудоспособного возраста, спортсменам и приверженцам активного образа жизни.
Операция при импинджмент синдрома бедра
Акцентируем, импинджмент не всегда является поводом для оперирования пациента. Первое, на что обращается внимание: насколько ФАИ мешает человеку в повседневной жизни (на работе, в спорте, в быту). Итак, оперативное лечение проводится по технологии открытого или артроскопического доступа. Сеанс хирургии нацелен на удаление экзостозов (костных разрастаний), что позволит ликвидировать патомеханический фактор ударения друг о друга составляющих компонентов сустава.

Артроскопические процедуры выполняются с помощью оптического прибора артроскопа, но при несильно выраженном на рентгенограммах импинджменте. Трубка артроскопа вводится в сустав через маленький кожный разрез, величина которого равна примерно 1 см. В процессе артроскопии под видеоконтролем хирург выполняет моделирующую резекцию: очищает от избыточных костных наростов вертлужный и бедренный компоненты. Если в ходе сеанса обнаруживаются травмы губы, дефекты исправляются якорной рефиксацией, аутопластикой или механическим (иногда плазменным) дебридментом.
Сколько стоит операция?
Стоимость на лечение тазобедренного импинджмента хирургическим способом в России начинается примерно с 15 тыс. рублей, максимум может достигать 100 тыс. рублей. Ориентировочная цена на артроскопию простого уровня сложности в Москве составляет 20-25 тыс. рублей. Многообещающие перспективы на полноценное, безопасное, малотравматичное устранение импинджмента дают ортопедические клиники Израиля и Германии. Цена на операцию при данной проблеме в медучреждениях Израиля - от 14 тыс. долларов и более, клиниках Германии - минимум 10 тыс. евро.
Фемороацетабулярный импинджмент синдром

Одной из типичных причин боли в бедре является ишиофеморальный импинджмент синдром в тазобедренном суставе. Патологическое состояние, обусловленное нарушением биомеханики тазобедренного сустава, приводит к аномальному контакту шейки бедренной кости и края вертлужной впадины. При отсутствии своевременной и качественной медицинской помощи эта дисфункция может повлечь за собой повреждение хряща, развитие деформирующего артроза и необходимость эндопротезирования.
Рассказывает специалист ЦМРТ
Дата публикации: 09 Июня 2021 года
Дата проверки: 30 Ноября 2021 года
Содержание статьи
Причины ишиофеморального импинджмент-синдрома
Основополагающим фактором развития болевого синдрома является ущемление квадратной бедренной мышцы и, как следствие, сужение ишиофеморального расстояния между седалищной костью и малым вертелом шейки бедра от 1,4 до 0,5 мм. В случае увеличения расстояния на 0,93-6,35 мм диагностируется фемороацетабулярный импинджмент. Спровоцировать патологическое нарушение могут:
- травматические повреждения вертлужной впадины
- врожденные аномалии развития
- дисплазия ТБС
- болезнь Легга-Кальве-Пертеса (остеохондропатия бедренной кости)
- эпифизеолиз (эндокринное и/ или посттравматическое ослабление или разрушение ростковой зоны эпифизарного хряща головки бедра)
- стрессовые переломы у гимнастов и танцоров, связанные с высокой нагрузкой
- асептический некроз костной ткани
С медицинской точки зрения формулировка «ишиофеморальный импинджмент-синдром в тазобедренном суставе» является не совсем корректной. На самом деле ИФИ - внесуставной седалищно-бедренный импинджмент, связанный с увеличением углов шейки бедра и седалищной кости.
Симптомы ишиофеморального импинджмент-синдрома
Патологическое состояние развивается постепенно. Вначале появляется болезненность в паховой и ягодичной области. Постепенно боль распространяется сверху вниз, от внутренней части бедра к колену. Часто наблюдаются характерные щелкающие звуки, возможны периодические блокировки в суставе. Как правило, болевые ощущения возникают при внешней ротации, разгибании или приведении бедра.
Диагностика
Чтобы дифференцировать ИФИ или фемороацетабулярный импинджмент тазобедренного сустава с другими заболеваниями опорно-двигательного аппарата, проводится
- обзорная рентгенография в двух проекциях
- компьютерная томография;
- УЗИ
- МРТ
«Золотым стандартом» диагностики болевых синдромов тазобедренной области является магнитно-резонансная томография. Ишиофеморальный и фемороацетабулярный импинджмент на МРТ - не просто определение точного расстояния между седалищной костью и малым вертелом. Информативная технология визуализации позволяет оценить состояние костного мозга, исключить или подтвердить стрессовый перелом. С её помощью обнаруживаются изменения структуры квадратной мышцы бедра и мышечно-сухожильного соединения (диагностический признак ИФИ), и характерная для ФАИ деформация тазобедренного сустава.
К какому врачу обратиться
Ведением пациентов с ишиофеморальным и феромоацетабулярным импинджмент-синдромом занимаются ортопеды-травматологи. Подходы к лечению обсуждаются с мультидисциплинарной командой, включающей неврологов, реабилитологов, эндокринологов, артрологов, специалистов спортивной медицины
Импиджмент тазобедренного сустава. Синдром соударения.

Импинджмент тазобедренного сустава — один из распространенных недугов, сопровождаемый образованием так называемых костных разрастаний в соответствующей области. Наличие данного недуга ведет к серьезному патологическому изменению формы костей и их соударению в процессе движения, что, в свою очередь, травмирует сустав, вызывая его частичную блокировку, а также болевые и дискомфортные ощущения.
Анатомические особенности сустава
Визуально тазобедренный сустав имеет шаровидную форму. Верхний конец образующей его бедренной кости (головка бедра), а также вертлужная впадина тазовой кости покрыты суставной хрящевой тканью, обеспечивающей их нормальное скольжение при совершении движений.
Кроме того, вертлужная впадина обрамлена так называемой суставной губой (фиброзно-хрящевым кольцом), обеспечивающей дополнительную стабильность и устойчивость сустава.

В норме форма вертлужной впадины абсолютно идентична форме бедренной головки.
Разновидности импиджмента
Как было сказано выше, при импиджменте наблюдается разрастание костных образований (остеофитов), локализующихся вокруг вертлужной впадины, либо бедренной головки. Существенно ограничивая движение этих суставных элементов, остеофиты могут травмировать хрящевую ткань и фиброзное кольцо.
Типология импинджмента
В настоящий момент специалистами различаются 5 типовых разновидности импинджмента:
Пинсер-импинджмент. Пинсер-импинджмент характеризуется сдавливанием суставной губы между бедренной головкой и суставными разрастаниями.
Кэм-импинджмент. Кэм-импинджмент опасен тем, что бедренная головка, ввиду серьезного изменения своей изначальной формы, перестает осуществлять нормальные вращательные движения, а стабильно увеличивающиеся остеофиты разрушают хрящевую ткань вертлужной впадины
Комбинированный импинджмент. Комбинированный импинджмент сочетает в себе симптомы и последствия обоих вышеназванных типов.

На рис. 2 показаны типы суставного импинджмента
Фемороацетабулярный (ФАИ) - возникает вследствие патологического контакта между проксимальным отделом и вертлужной впадиной и, в перспективе, ведет к развитию серьезных дегенеративных изменений в тазобедренном суставе. Основными симптомами этого типа заболевания являются суставная нестабильность или блокировка, болевые ощущения в паховой или бедренной частях, а также в области ягодиц и спины при совершении определенных движений или занятии некоторых видов положений, ограниченность и скованность двигательной амплитуды, зацепление и посторонние звуки (например, щелчки).
Ишиофеморальный - сопровождается серьезными болевыми ощущениями и нарушением биомеханики сустава, что вызвано, главным образом, ущемлением квадратной бедренной мышцы, а также иных видов мягких тканей, расположенных между малым вертелом бедра и седалищной бугристостью.

На снимке показан пример ишиофеморального импинджмента в хронической форме. Пациент - женщина в возрасте 60 лет. Жалобы - постоянные болевые ощущения в тазобедренных суставах, наиболее проявляющиеся в правом.
Гипертрофия седалищных бугристостей, ведущая к значительному сужению ишиофеморальных пространств; наблюдается деформация, отеки, несущественные скопления жидкости в квадратных бедренных мышцах (максимально заметные справа), неравномерная атрофические изменения с характерной жировой инфильтрацией.
Основные причины появления недуга
Наиболее распространенной причиной, влияющей на появление и развитие заболевания, являются некоторые виды нарушений развития формирующих сустав костей еще в детстве.
Несмотря на достаточную изученность импиджмента, назвать точное количество пациентов, имеющих этот недуг, весьма сложно. Дело в том, что многие люди живут с таким заболеванием, не испытывая вообще каких-либо проблем.
Единственное, что можно сказать точно - у спортсменов, при наличии импиджмента, появление болевых ощущений может начаться гораздо раньше, нежели у тех, кто не занимается чрезмерной физически активной деятельностью.
Симптоматика недуга
Самыми распространенными симптомами заболевания, являются:
- болевые и дискомфортные ощущения;
- хромота;
- ограничение, а также скованность двигательных функций в районе тазобедренного сустава.
Если говорить о боли, которая может быть, как острой, так и ноющей, то ее локализация, как правило, наблюдается в паховой части, либо снаружи бедра. Неприятные ощущения могут возникать при совершении приседаний, поворотах тела и пр.
В случае появления симптомов недуга впервые, лечащий специалист пытается определить основную причину, которая может быть тесно связана с тем или иным видом активной деятельности. Если таковое имеет место быть, достаточно лишь прекратить, либо ограничить такие действия, а также обеспечить конечностям максимальный покой. В дополнение ко всему, больному могут назначаться лекарственные препараты противовоспалительной группы (например, напроксен).
Если же симптоматика заболевания продолжает доставлять неудобства, необходимо как можно раньше обратиться к специалистам для точного диагностирования и назначения соответствующего профессионального лечения.
Особенности диагностирования заболевания
На первичной консультации врач обсуждает с пациентом его общее самочувствие, а также индивидуальные ощущения в районе тазобедренного сустава. После выяснения всех нюансов состояния здоровья больного, специалист выполняет тщательное визуальное и физикальное обследование.
Импинджмент-тест
Зачастую, при проведении обследования, врач использует так называемый импинджмент-тест, суть которого заключается в сгибании больной нижней конечности в колене и тазобедренном суставе. При наличии болевых ощущений результат тестирования является положительным.

Лучевая диагностика
С целью диагностирования заболевания пациенту необходимо пройти диагностические процедуры на основе следующих видов лучевых методик.
- Рентгенография. Данная методика обеспечивает весьма отчетливую визуализацию не только костных изменений, но и ряда иных недугов (например, остеоартрита).
- Компьютерная томография. КТ позволяет получить еще более четкие фотографические изображения костей и, благодаря этому, сделать максимально точную оценку их формы.
- Магнитно-резонансная томография. МРТ - лучшая методика для изучения состояния мягких тканей и, главным образом, травмированной хрящевой ткани сустава, а также суставной губы.
- Анестезирующие препараты местного действия. Для диагностики недуга специалист вводит в область тазобедренного сустава пациента анестезирующий препарат местного типа действия. Если после этого болевые ощущения уходят, можно сделать вывод о наличие импиджмента.
Особенности лечения заболевания
Консервативное лечение
Для начала, специалист рекомендует больному уменьшить интенсивность физической деятельности. В ряде случаев соблюдение таких рекомендаций приносит положительные результаты.
Если снижение физических нагрузок не помогает, пациенту назначается прием нестероидных лекарственных препаратов противовоспалительного действия.
При более серьезных формах развития заболевания, а также, если предыдущие действия не принесли нужного результата, врач назначает специальные физиотерапевтические упражнения, направленные на укрепление мышц, увеличение объемов движения и пр.
Хирургическое лечение
Хирургические методики лечения назначаются врачом при отсутствии положительной динамики от консервативного лечения, либо в особо тяжелых случаях.

На изображении слева показан расположенный на бедренной головке кэм-остеофит. На изображении справа - рентгеновский снимок после удаления остеофита хирургическим путем.
Артроскопические операции
Малоинвазивные артроскопические хирургические вмешательства актуальны при лечении большинства типов импиджмента. Операция выполняется через предварительно устроенные проколы с использованием миниатюрного инструментария и специальной камеры.
В ходе процедуры специалист удаляет разрушенные элементы хрящевой ткани и суставной губы, иссекая разрастания вертлужной впадины и бедренной головки.
При этом, в ряде особо тяжелых ситуаций, пациенту требуется открытое операционное вмешательство.

На фотоизображении слева показано, как специалист через миниатюрный канал вводит артроскопическую камеру. На рисунке справа специалист, также через небольшие разрезы, помещает в сустав операционный инструментарий.
Итоговые результаты
В большинстве случаев хирургическое вмешательство гарантирует отличные результаты, позволяя остановить развитие недуга. Однако, если операция была сделана поздно, либо та или иная суставная часть в значительной мере разрушена - операция может оказаться не столь эффективной. Как бы то ни было, хирургические методики, на сегодняшний момент, являются единственным вариантом полного устранения данной проблемы.
Особенности современных операционных методик
Применяемые при устранении импиджмента операционные методики постоянно совершенствуются и развиваются. По этой причине специалисты все чаще рекомендуют больным именно хирургическое вмешательство, как наиболее результативный способ вернуть утраченное здоровье.
Импинджмент - синдром (синдром соударения)

Импинджмент - синдром тазобедренного сустава (синдром соударения бедра с вертлужной впадиной)

Импинджмент - синдром тазобедренного сустава (FEMORAL ACETABULAR IMPINGEMENT - FAI) - это явление, при котором происходит соударение шейки бедренной кости с краем вертлужной впадине по причине чрезмерного патологического разрастания костной ткани.
Подробно о нормальной анатомии тазобедренного сустава можно посмотреть здесь.
Варианты развития импинджмент - синдрома:
(как показано на рисунке):
Cam - импинджмент (Кэм - импинджмент - на рисунке показан вверху справа, вверху слева для сравнения - нормальный тазобедренный сустав) - происходит патологическое разрастание костной ткани на шейке бедренной кости.
Pincer - импинджмент (Пинсер - импинджмент - на рисунке показан внизу справа) - патологическое разрастание костной ткани в области края вертлужной впадины.
Mixed - импинджмент (Смешанный импинджмент - на рисунке показан внизу слева) - сочетание обоих видов импинджмента.
Почему развивается импинджмент - синдром?
В крайних положениях бедренной кости происходит ограничение движения бедренной кости относительно вертлужной впадины, через место соударения, как через блок, происходит патологическое воздействие на вертлужную впадину. Это движение не физиологичное, поэтому возрастает воздействие на хрящ как головки бедренной кости, так и вертлужной впадины. Это способствует ускорению развития коксартроза. Кроме того, происходит ущемление мягких тканей тазобедренного сустава (суставная губа, синовиальная оболочка, капсула и связки тазобедренного сустава). Мягкие ткани гипертрофируются (увеличиваются в размере), что приводит к их еще большему ущемлению или возникновению соударения при меньшем движении. Развивается порочный круг. Причем, не каждое разрастание костной ткани приводит к развитию к импинджмент - синдрома. Патологическое разрастание костной ткани должно быть значительного размера и обязательно должно осуществляться движение в направлении разрастания костной ткани. Поэтому, как правило, синдром соударения (импиджмент - синдром) в тазобедренном суставе встречается в молодом и зрелом возрасте. В пожилом возрасте двигательная активность ниже, поэтому даже при наличии разрастания костной ткани на шейке бедренной кости или на краю вертлужной впадины синдром соударения может не возникнуть.
Наглядно, как происходит движение в тазобедренном суставе при импинджмент - синдроме, можно посмотреть на видео.
Жалобы при импинджмент-синдроме
В основном пациенты предъявляют жалобы при импиджмент - синдроме на острую боль при определенном крайнем положении бедра, хотя боль может быть и в паху, и по наружной поверхности бедра. Характер боли при импинджмент - синдроме очень вариабельный. Поэтому дифференциальная диагностика с другими заболеваниями является не всегда простой.
Иногда для постановки диагноза достаточно только осмотра пациента и качественно выполненных рентгенограмм тазобедренного сустава в прямой и аксиальной проекциях. Для уточнения диагноза необходимо выполнить магнитно-резонансную томографию (МРТ) тазобедренного сустава.
Лечение импинджмент-синдрома
Консервативное лечение импиджмент - синдрома - изменение двигательной активности, уменьшение объема движений в тазобедренном суставе до того уровня, при котором не происходит соударения. Кроме изменения двигательного режима необходимо физиотерапевтическое лечение и прием нестероидных противовоспалительных препаратов. Цель консервативной терапии - снять отек с ущемленных мягких тканей, уменьшить асептическое воспаление области соударения, уменьшить болевой синдром. Сама по себе консервативная терапия не уменьшает величину костного разрастания.
Если консервативная терапия не приводит к желаемому результату, если у пациента большие запросы на спортивную деятельность необходимо оперативное лечение. Целью оперативного лечения импиджмент - синдрома является удаление патологического разрастания костной ткани (экзостоза), ревизия и санация тазобедренного сустава.
Данная операция выполняется артроскопическим способом - через небольшие разрезы по 1 см, в одном проходит камера для осмотра сустава, в другом - инструменты для удаления экзостоза.
Импинджмент синдром тазобедренного сустава

Импинджмент синдром тазобедренного сустава в ортопедии встречается у пациентов разных возрастов. Он определяется как патологический механический конфликт между головкой или шейкой бедренной кости и костной структурой вертлужной впадины. Разрушение тазобедренного сустава может наблюдаться при анатомической деформации нижний конечности, изменении осанки, дегенерации хрящевой ткани и т.д. Синдром тазобедренного сустава также называется фемороацетабулярным. Существует и еще один термин, описывающий происходящие изменения - бедренно-вертлужный импинджмент.
Анатомический дефект может быть врожденным или приобретенным: в первом случае высока вероятность развития деформации на фоне дисплазии тазобедренного сустава в младенческом возрасте, во втором - имеет значение деформирующий остеоартроз и неправильная постановка стопы во взрослом периоде жизни. Несоответствие форм головки бедренной кости и вертлужной впадины может образоваться вследствие отложения солей кальция (остеофитов) на фоне различных воспалительных и дегенеративных процессов.
При соударении структурных частей тазобедренного сустава наблюдается дегенерация синовиального хрящевого слоя. Начинается его компрессионная ишемия с нарушением трофики и утратой амортизационной способности. Повышенное трение костей друг об друга провоцирует разрушение хрящевого слоя и оголение костных участков. На их поверхности начинают формироваться трещины и остеофиты, что в еще большей степени усугубляет течение патологии.
Травматизация вертлужной губы приводит к её частичному разрушению и на фоне тотальной деструкции хрящевых синовиальных оболочек возникает опасность тотальной нестабильности тазобедренного сустава. Расстройство опорно-двигательной функции и нарастающая интенсивность болевых ощущений заставляют обратиться за медицинской помощью. К сожалению, на поздних стадиях импинджмент синдрома тазобедренного сустава помочь пациенту может только хирургическая операция. Восстановить подвижность и опорную функцию консервативными методами можно на ранних стадиях.
Мы рекомендуем обращаться на прием к ортопеду в периоды, когда болевые ощущения только появляются, ощущается некоторая скованность при движениях, возникают посторонние звуки при совершении привычных движений.
В Москве можно записаться на бесплатный прием к ортопеду в нашей клинике мануальной терапии. Доктор в ходе первичной консультации проводит комплексный осмотр, устанавливает предварительный диагноз и назначает дополнительные обследования по мере необходимости. Зачастую достаточно рентгенографического снимка. В сложных случаях может потребоваться пройти МРТ обследование. Затем, после постановки точного диагноза разрабатывается индивидуальный план лечения заболевания.
Не стоит думать, что боль в области тазобедренного сустава пройдут самостоятельно и что они возникают случайно. Помимо импинджмент синдрома тазобедренного сустава существует огромное количество патологий, которые могут в ближайшее время разрушить все ткани сочленения костей и привести к инвалидности с утратой способности передвигаться на своих ногах. Поэтому не стоит рисковать своей свободой движения. Обращайтесь на прием к специалистам сразу же, как только появились первые признаки неблагополучия в суставах.
Причины туннельного болевого синдрома в тазобедренном суставе
Боль в ряде случаев вызывает корешковый синдром тазобедренного сустава, который связан с дегенеративным дистрофическим заболеванием хрящевых дисков позвоночного столба. В этом случае обязательным диагностическим мероприятием является рентгенографический снимок пояснично-крестцового отдела позвоночника. При установлении диагноза остеохондроз, лечение проводится в первую очередь в отношении восстановления нарушенного диффузного питания хрящевых тканей межпозвоночных дисков.
Существуют и другие причины, вызывающие туннельный синдром в тазобедренном суставе, они подразделяются на факторы внешнего и внутреннего негативного влияния. Если болевой синдром тазобедренного сустава появляется после длительной физической нагрузки (напрмиер, ходьбы), то высока вероятность неправильного выбора обуви или нарушения установки стопы (плоскостопие или косолапость). В других случаях импинджмент синдром тазобедренного сустава бывает связан с анатомическими дефектами, которые были приобретены в течение жизни или появились в результате нарушения внутриутробного развития опорно-двигательного аппарата плода.
У младенцев стоит обращать внимание на следующие пороки развития:
- деформация головки бедренной кости в виде эллипсоида;
- разная длина бедренных костей на левой и правой ножке;
- деформация бугорка головки бедренной кости с его выпячиванием в сторону вертлужной впадины тазовой кости;
- неправильная форма вертлужной впадины и нестабильность состояния вертлужной хрящевой губы;
- дисплазия тазобедренных суставов без последующей медицинской коррекции.
Потенциальным фактором риска у детей в возрасте до 3-х лет считает рахит или недостаточность витамина D. Разрушение и деформация костной ткани приводит к значительному искривлению трубчатых костей нижних конечностей Укорочение бедра при вальгусной или варусной деформации голени приводит к тому, что ноги принимают О-образную или Х-образную форму. Это однозначно провоцирует неправильное положение головки бедренной кости в вертлужной впадине. Что вызывает импинджмент синдром тазобедренного сустава с соударением костей и разрушением хрящевой ткани.
Во взрослом периоде жизни потенциальными причинами развития импинджмент синдрома тазобедренного сустава становятся приобретенные анатомические деформации:
- разрушение эпифиза бедренной кости или дегенерация шейки бедра;
- перелом шейки бедра с образованием обширной костной мозоли;
- остеохондропатия с тотальным разрушением костной и хрящевой ткани тазобедренного сустава;
- асептический или аваскулярный некроз тканей на фоне травматического воздействия;
- нестабильность сустава при дистрофии окружающих мышечных тканей, осуществляющих каркасную поддержку сочленения костей;
- растяжения и разрывы связочной и сухожильной ткани в области бедра, паха, пояснично-крестцовой зоны, тазобедренного сустава;
- синовит, бурсит, артрит и другие воспалительные процессы асептического или инфекционного генеза;
- атрофия мышечного волокна, в том числе и на фоне плексита крестцового и поясничного нервного сплетения при развитом остеохондрозе и его осложнениях (грыжа или протрузия межпозвоночного диска);
- последствия хирургического вмешательства.
Факторами, провоцирующими развитие импинджмент синдрома тазобедренного сустава, являются избыточная масса тела, ведение малоподвижного образа жизни, отсутствие регулярных физических нагрузок на мышцы нижних конечностей, сахарный диабет, варикозное расширение вен, застой лимфатической жидкости, травмоопасные виды спорта и тяжелый физический труд. Провокационными заболеваниями, на фоне которых нарушается метаболизм и морфология тканей ТБС, являются: атеросклероз, системная красная волчанка, ревматизм, склеродермия, подагра, искривление позвоночного столба, плоскостопие, косолапость, вальгусная и варусная деформация нижних конечностей и т.д.
Виды импинджмент синдрома тазобедренного сустава
Импиджмент синдром тазобедренного сустава может развиваться в разных местах. В зависимости от локализации импичмент синдром тазобедренного сустава подразделяется на следующие виды:
- ацетабулярный, встречающийся чаще у представительниц прекрасного пола или пинсер-тип (pincer);
- бедренный, развивающийся при утрате сферичности головкой бедренной кости или кэм-тип (cam);
- смешанный вид, при котором наблюдается оба признака патологии, или mixed.
При ацетабулярном импинджмент синдроме тазобедренного сустава бедренная головка сохраняет свою физиологическую форму. Вертлужная впадина обладает ненормальной формой, которая возникает за счет деформации костной ткани или избыточного разрастания хрящевого синовиального слоя.
Симптомы импинджмент синдрома тазобедренного сустава
Фемороацетабулярный импинджмент синдром тазобедренного сустава проявляется постепенным ограничением амплитуды подвижности. Затем развивается ощущение скованности. На стадии дегенерации хрящевой синовиальной ткани развивается нарушение опорной функции, меняется походка, уменьшается длина пораженной конечности, человек утрачивает способность к самостоятельному передвижению в пространстве.
На ранних стадиях ишиофеморальный импиджмент синдром в тазобедренном суставе практически не доставляет неприятных ощущений пациенту. Но первые признаки могут выражаться в ощущении быстрой утомляемости мышц бедренной группы, появлении судорог и тянущих ощущений в момент отхода ко сну. Часто появляется синдром беспокойных ног, при котором пациент не может найти оптимальное положение в постели и от этого страдает от бессонницы и хронического недосыпания.
Клинические симптомы, характерные для импинджмент синдрома тазобедренного сустава, включают в себя:
- локализацию болевых ощущений в области паха и пояснично-крестцового отдела позвоночника;
- усиление боли при ротации или крайнем отведении ноги, согнутой в коленном суставе;
- ограничение амплитуды подвижности бедра в направлениях вверх-вниз и вбок;
- характеризующий признак - одностороннее проявление болезни (в патологические изменения вовлекается один из суставов);
- невозможность длительнее время сидеть с выпрямленной спиной;
- судороги в мышцах нижних конечностей.
Как видите, клинические симптомы достаточно распространенные и они характерны для большого количества патологий опорно-двигательного аппарата. Поэтому поставить точный диагноз сможет только опытный специалист, основываясь на данных осмотра пациента и его обследования. Требуется рентгенографический снимок тазобедренного и коленного сустава, пояснично-крестцового отдела позвоночника. В сложных диагностических случаях может быть рекомендовано МРТ обследование.
Лечение импинджмент синдрома тазобедренного сустава
Начинать лечение импинджмент синдрома тазобедренного сустава нужно как можно раньше, до того момента, когда начнутся необратимые разрушения хрящевой и костной ткани. Обычно на первоначальной стадии терапии выбираются консервативные методики воздействия. Официальная медицина практикует внутрисуставное введение хондропротекторов и противовоспалительных препаратов (в том числе и кортикостероидов). Это дает временное облегчение клинических симптомов, но не оказывает совершенно никакого лечебного эффекта.
Мануальная терапия при импинджмент синдроме тазобедренного сустава всегда основывается на устранении патогенной причины. Только после этого начинается этап восстановления поврежденных тканей.
В нашей клинике мануальной терапии для эффективного лечения импинджмент синдрома тазобедренного сустава мы используем:
- тракционное вытяжение с целью восстановления физиологического положения головки бедренной кости в полости вертлужной впадины;
- остеопатию и массаж для восстановления эластичности сухожильной, связочной и мышечной ткани, повышения эффективности микроциркуляции крови и лимфатической жидкости;
- рефлексотерапию (иглоукалывание) с целью запуска процесса регенерации тканей;
- лечебную гимнастику и кинезиотерапию - для повышения тонуса мышечного каркаса тела, ускорения процесса реабилитации;
- лазерное лечение сустава, физиотерапию и т.д.
Если вам требуется лечение импинджмент синдрома тазобедренного сустава, вы можете обратиться в нашу клинику мануальной терапии на бесплатный первичный прием врача ортопеда. Он проведет осмотр и диагностическое обследование, поставит диагноз и даст индивидуальные рекомендации по курсу лечения.
Читайте также:
