Комбинированные переломы проксимального отдела плечевой кости. Диагностика и лечение
Добавил пользователь Владимир З. Обновлено: 28.01.2026
Составляют 2-3% всех переломов. Наиболее часто встречается чрезнадмыщелковый внутрисуставной перелом.
Механогенез повреждения
Большинство низкоэнергетических переломов дистального отдела плечевой кости возникает в результате падения на локоть с высоты роста или при падении на разогнутую руку. При этом возможно сочетанное повреждение проксимального отдела предплечья - перелом локтевого отростка, вывих лучевой кости, вывих локтевой кости и пр. Причиной высокоэнергетических повреждений, чаще всего, является ДТП.
Классификация
В зависимости от расположения линии излома, переломы дистального отдела плечевой кости принято подразделять на внесуставные и внутрисуставные переломы.
Внесуставные переломы:
- сгибательные и разгибательные. Разгибательные переломы встречаются редко, возникают при падении на переразогнутую в локтевом суставе руку. Плоскость перелома имеет направление спереди назад и снизу вверх. Между отломками образуется угол, открытый кзади и кнутри. При падении на согнутую в локтевом суставе руку возникает сгибательный перелом. Плоскость перелома имеет направление, противоположное разгибательному перелому, т.е. сверху вниз и сзади наперед. Между отломками образуется угол, открытый кпереди и кнутри. Разгибательные переломы чаще осложняются повреждениями сосудисто-нервного пучка и массивным повреждением мягких тканей.
Внутрисуставные переломы:
- чрезнадмыщелковые (Т- и Y-образные) - наиболее часто встречающиеся переломы. Механизм травмы - падение на локоть;
- переломы головчатого возвышения (головочки) и латерального надмыщелка. Возникают при падении на кисть с разогнутым локтевым суставом, в сочетании с аддукцией предплечья. Переломы эти бывают без смещения или с незначительным смещением. Может быть результатом прямого удара в область надмыщелка;
- переломы блока плечевой кости и медиального надмыщелка. Возникают при падении на кисть с разогнутым локтевым суставом, в сочетании с абдукцией предплечья. При этом нередко ломается и локтевой отросток. Может быть результатом прямого удара в область надмыщелка;
- комбинированные переломы. Плоскость излома сочетает несколько анатомических областей. Механизм травмы: высокоэнергетическое повреждение, прямой удар высокой силы воздействия.
Кроме вышеупомянутой анатомо-топографической, существуют другие классификации для определения тактики дальнейшего лечения, формирования групп для исследований: классификация AO/ASIF и классификация OTA (Orthopaedic Trauma Association). Классификация ОТА основана на принципе классификации AO/ASIF, но несколько расширена и содержит 38 отдельных переломов дистального отдела плечевой кости.
Эндопротезирование плечевого сустава при переломах проксимального отдела плечевой кости
В некоторых случаях эндопротезирование является единственной возможностью восстановить функцию руки. Если не сделать эту операцию вовремя, о работоспособности конечности не может быть и речи.
Виды протезирования
Гемипротезирование —замена одной части сустава. Вместо головки плеча либо суставной впадины лопатки устанавливают протез.
Показания к гемиартропластике:
- возраст до 65 лет;
- 3-х и более фрагментарный перелом плеча в области хирургической шейки;
- перелом головки плеча в сочетании с вывихом;
- невозможность качественной репозиции с помощью металлоконструкций;
- давность травмы не более 21 дня.
Если возраст пациента более 65 лет либо с момента перелома прошло более трех недель, то выполняется полная замена обеих суставных поверхностей — тотальное эндопротезирование.
Перед операцией мы проводит детальное обследование каждого пациента, что позволяет выбрать оптимальный для восстановления функции руки объем оперативного вмешательства.
Обязательным условием для выполнения гемипротезирования является сохранность сухожилий вращательной манжетки.


рис. 1 а. рентгенограмма плечевого сустава - оскольчатый многофрагментарный перелом головки плечевой кости, б. на рентгенограммах плечевой сустав после эндопротезирования головки плечевой кости (гемипротез).
Кому не показано эндопротезирование
Операция не выполняется, если возможно успешное лечение с помощью других методик. При возможности фиксации отломков посредством металлоконструкций и адекватном для срастания кровоснабжении кости выбирается остеосинтез.
Эндопротезирование не выполняется у пациентов с острыми инфекционными заболеваниями, а также в случаях нарушения подвижности конечности, когда патология обусловлена поражением нервной системы. Паралич дельтовидной мышцы и вращательной манжеты плеча в анамнезе также является противопоказанием для установки эндопротеза.
Диагностика перед операцией
Перед оперативным вмешательством необходимо комплексное обследование, которое позволяет специалисту удостовериться в том, что методика подходит конкретному пациенту.
Рентгенологическое исследование является обязательным при переломе плеча и позволяет установить характер травмы, форму, количество и расположение отломков. Для более точной диагностики и определения состояния костной ткани назначается компьютерная либо магнитно-резонансная томография.
Для определения состояния мышц и нервов, обеспечивающих движения в плечевом суставе, выполняется электронейромиография.
Имея на руках данные вышеперечисленных исследований, ортопед-травматолог может выбирать оптимальный метод лечения, который обеспечит восстановление функции сустава и характеризуется наименьшим реабилитационным периодом. Исходя из анатомических особенностей пациента осуществляется выбор подходящей модели протеза.
Ход операции
В качестве обезболивания используется эндотрахеальный наркоз. У некоторых пациентов применяется проводниковая анестезия плечевого сплетения.
Хирургический доступ к суставу позволяет оценить анатомические особенности больного и произвести комплекс мероприятий по замене сустава.
Поврежденная головка плечевой кости полностью удаляется. На ее место устанавливается протез, который по конфигурации напоминает эту анатомическую структуру. Ножка искусственного эпифиза вводится в канал плечевой кости и надежно фиксируется. Для этого применяют специальный цемент либо плотное вколачивание протеза в канал. При необходимости производится замена суставной впадины на лопатке. После установки компонентов сустав устанавливается в физиологическое положение.
Задача хирурга в ходе операции — максимально сберечь естественные анатомические структуры. Если вращательная манжета сохранена, то используется анатомический эндопротез, по форме идентичный настоящему суставу. Если манжета повреждена в процессе травмы либо ее невозможно сохранить вследствие дегенеративных изменений, устанавливается реверсивный протез. При этом на плечевой кости расположена суставная впадина, а головка формируется на лопатке. Такая конструкция позволяет обеспечить максимально возможный объем движений.

Рис. 2 Схематическое изображение реверсивного эндопротеза и рентгенограмма плеча после операции.
Послеоперационный период
После операции необходимо иммобилизовать конечность специальным ортопедическим приспособлением (ортезом) на 4-6 недель. По мере регресса болевого синдрома начинается пассивная разработка движений в оперированном суставе. Выполняются физиотерапевтические процедуры для уменьшения отека и боли, улучшения кровообращения.
Начало разработки активных движений через 4-6 недель при исключении активного отведения.
Силовые упражнения начинаются через 12 недель.
Длительность реабилитации индивидуально и отличается в зависимости от типа эндопротеза и сложности оперативного вмешательства.
Переломы проксимального отдела плечевой кости
Перелом проксимального участка плеча — серьезная травма, которая при отсутствии правильного лечения приводит к ограничению работы конечности. Если своевременно не обратиться к специалисту, пострадавший утратит трудоспособность и возможность себя обслуживать.
В нашей клинике мы используем современное оборудование, и высокотехнологичные методы лечения, что позволяет восстанавливать функцию плечевого сочленения даже после серьезных повреждений.


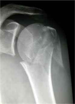
Рис. 1. На рентгенограммах: оскольчатый перелом проксимального отдела плечевой кости со смещением отломков.
Механизм возникновения травмы
Перелом образуется в случае падения на кисть либо локоть, при прямом механическом воздействии на наружную зону плечевого сустава. Такое повреждение характерно для лиц преклонного возраста и может образоваться при незначительном падении. У молодых людей травма бывает вследствие ДТП, падения на конечность с высоты, сильного удара плечом об твердую поверхность.
Виды переломов
Бывают внутрисуставные и внесуставные переломы проксимального эпифиза плеча.
В первом случае поврежденный участок кости не выходит за границы суставной капсулы, которая ограничена анатомической шейкой плеча. Такие повреждения называют надбугорковыми. Они характерны при ударе по наружной области сустава.
Внесуставные, или подбугорковые переломы расположены ниже суставной капсулы. Такие повреждения часто отмечаются в месте сужения кости — хирургической шейки, либо в области бугорков, являющихся местом крепления сухожилий. Травма встречается очень часто и особенно характерна для возрастных пациентов.

Рис. 2 Схематическое изображение разных видов переломов плечевой кости
Подбугорковые переломы по механизму повреждения делят на абдукционные и аддукционные. Для каждого из видов травмы характерно специфическое смещение отломков.
Для абдукционного перелома должно произойти падение на отведенную наружу конечность. В этой ситуации центральный отломок отклоняется вперед, а периферический — внутрь.
Аддукционные переломы возникают после приземления на согнутую в локте приведенную к туловищу руку. В такой ситуации периферический отломок смещен наружу, а центральный — вперед и наружу.
Рис. 3 Схематическое изображение абдукционных и аддукционных переломов.
Переломы плеча бывают со смещением, вколачиванием отломков либо без этих изменений. Повреждение может дополняться вывихом.
Клиника
При переломах без смещения конфигурация конечности не изменена. Пациент констатирует боль и ограничение подвижности сустава. Характерным симптомом является усиление болевых ощущений при осевой нагрузке на руку.
Переломы со смещением отличаются деформацией области плечевого сустава, отечностью. Болевые ощущения выражены, любые движения в плечелопаточном сочленении невозможны. При осевой нагрузке боль усиливается. При внутрисуставных переломах наблюдается гемартроз. Пассивное отведение плеча невозможно даже после обезболивания. Это обусловлено нарушением конфигурации сустава.
Диагностика
Предварительный диагноз можно поставить по жалобам пациента, наличию падения либо удара в анамнезе, данным осмотра. Для уточнения диагноза, выявления характера перелома, положения костных отломков проводится рентгенологическое исследование. Снимок делается в нескольких нестандартных проекциях. В сложных ситуациях необходима компьютерная томография.
Это исследование позволяет с точностью установить характер повреждения в ситуациях, когда отломки на рентгенограмме наслаиваются друг на друга, а выполнить исследование в нужной проекции технически невозможно вследствие ограничения подвижности конечности.
Лечение
Различают консервативное и хирургическое лечение.
Обойтись без операции можно в следующих ситуациях:
- при отсутствии смещения отломков;
- при смещении менее, чем на 10 мм;
- если функция конечности была нарушена до травмы.
При консервативной тактике ведения пациента рука фиксируется с помощью гипсовой лонгеты либо других приспособлений, которые широко используются в современной травматологии. Сроки иммобилизации определяются индивидуально с учетом особенностей пациента и характера травмы.

Рис4 а. на рентгенограммах перелом плечевой кости, остеосинтез штифтом и винтами, б. схематическое изображение остеосинтеза пластиной и винтами.
Если необходимо хирургическое лечение, выполняется остеосинтез или эндопротезирование. При остеосинтезе для фиксации отломков применяются металлические конструкции: пластины, винты, штифты. Специалист выполнит точную репозицию отломков и надежную фиксацию. После лечения функция руки полностью восстанавливается.
У пожилых пациентов головка плечевой кости кровоснабжается недостаточно, а изменения, вызванные остеопорозом, не позволяют фиксировать отломки методом остеосинтеза при многооскольчатых переломах. В этом случае целесообразно эндопротезирование — замена поврежденного сустава на искусственный протез. Период восстановления после такого лечения минимален, а результаты превосходят все ожидания.
Более подробную информацию вы можете найти в разделе эндопротезирование плечевого сустава.
Рис. 5. а . На рентгенограммах: оскольчатый перелом плечевой кости; б. тотальное эндопротезирование плечевого сустава реверсивным эндопротезом.
В нашей клинике накоплен колоссальный опыт в лечении переломов проксимального конца плечевой кости. Мы используем передовые методики, что позволяет добиваться положительного результата даже в сложных случаях.
Мы поможем вам за короткий срок восстановить функцию сустава и вернутся к привычному образу жизни.
Переломы проксимального отдела плечевой кости расположены проксимальнее хирургической шейки кости (см. рисунок Основные анатомические ориентиры в проксимальном отделе плечевой кости Основные анатомические ориентиры в проксимальном отделе плечевой кости ). Большинство из них сопровождаются минимальными смещением и поворотом отломков. Диагноз устанавливают по данным обзорной рентгенографии или, иногда, КТ. Большинство из этих переломов можно лечить наложением повязки, пращевидной повязки, с ранней мобилизацией.
Переломы проксимального отдела плечевой кости особенно часто встречаются у пожилых людей. В некоторых случаях происходят повреждение нерва в подмышечной ямке (с уменьшением чувствительности в средней части дельтовидной мышцы) или повреждение подмышечной артерии. Контрактуры могут развиться уже через несколько дней иммобилизации, особенно у пожилых пациентов.
Основные анатомические ориентиры в проксимальном отделе плечевой кости
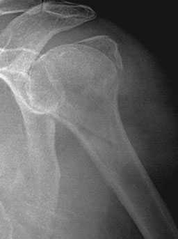
Перелом хирургической шейки плечевой кости.
Этиология переломов проксимального отдела плечевой кости
Большинство из этих переломов развиваются при падении на вытянутую руку; реже - при прямом ударе.
Классификация
Переломы классифицируют по количеству образующихся фрагментов; фрагментом называют ключевую анатомическую структуру, оказывающуюся смещенной (> 1 см) или повернутой (> 45°) по отношению к ее нормальной анатомической позиции. Четыре ключевые анатомические структуры проксимального отдела плечевой кости:
Например, если структуры не смещены и не повернуты, перелом имеет один фрагмент. Если повернута или смещена одна анатомическая структура, перелом имеет 2 фрагмента (см. рисунок Переломы проксимального отдела плечевой кости с 1 или 2 фрагментами Переломы проксимального отдела плечевой кости с 1 или 2 фрагментами ). Почти 80% проксимальных переломов плечевой кости имеют только один фрагмент; они, как правило, стабильные, и фиксированы суставной капсулой, вращающей манжеты плеча и/или надкостницей. Переломы с ≥ 3 фрагментами встречаются редко.
Переломы проксимального отдела плечевой кости с 1 или 2 фрагментами
Если структуры не смещены и не повернуты, перелом имеет один фрагмент. Если повернута или смещена одна структура, перелом имеет 2 фрагмента.
Симптомы и признаки переломов проксимального отдела плечевой кости
Плечо и предплечье болезненны и отечны; пациентам трудно поднять руку.
Диагностика переломов проксимального отдела плечевой кости
Рентгенографию следует провести по крайней мере в следующих проекциях:
С истинным передне-внутренним поворотом в суставе
Чрезлопаточной Y-образной (косой)
аксиллярной для оценки суставно-плечевого сустава
КТ проводят, если переломы сложные или плохо визуализируются при обзорной рентгенографии.
Лечение переломов проксимального отдела плечевой кости
Обычно накладывают пращевидную повязку и проводят раннюю мобилизацию с упражнениями во всем диапазоне движений
Иногда проводят открытую репозицию с внутренней фиксацией (ORIF) или протезирование сустава
Переломы с одним фрагментом редко нуждаются в репозиции; в большинстве (почти 80%) случаев проводят иммобилизацию повязкой, иногда фиксирующим ремнем (см. рисунок Иммобилизация суставов как экстренное лечение: некоторые широко используемые методики Иммобилизация суставов как экстренное лечение: некоторые широко используемые методики ), и раннюю мобилизацию с упражнениями во всем диапазоне движений, например, упражнениями Кодмана Упражнения Кодмана . Эти упражнения особенно полезны у пожилых людей. Потому существует риск развития контрактур, желательна ранняя мобилизация, даже если сопоставление фрагментов анатомически несовершенное.
Упражнения Кодмана
Пациент наклоняется в талии, позволяя пораженной руке свисать перпендикулярно полу. Рука и плечо должны быть расслаблены, и колени согнуты. Пациенты должны
Медленно поворачивать руку из стороны в сторону, сзади вперед, а также по кругу по и против часовой стрелки
Переносить вес тела с ноги на ногу, нагружая ногу на стороне, в которую движется рука
Постепенно увеличивать диапазон движений по переносимости
Эти упражнения должны вызывать только минимальную боль. Пациенты должны повторять каждое упражнение 2 раза за сеанс, и проводить по несколько сеансов в день. Пациенты должны постепенно увеличивать продолжительность упражнений.
Переломы с ≥ 2 фрагментов иммобилизируют, и направляют пациента к хирургу-ортопеду. При этих переломах может потребоваться ORIF или установка эндопротезов (эндопротезирование плечевого сустава).
Ключевые моменты
Проксимальные переломы плечевой кости классифицируют на основании ряда смещенных или повернутых ключевых анатомических структур плечевой кости (анатомическая шейка, хирургическая шейка, большая бугристость, малая бугристость).
Почти в 80% требуется только наложение повязки.
Пациенты, особенно пожилые, должны как можно скорее начать упражнения во всем диапазоне движений.
Авторское право © 2022 Merck & Co., Inc., Rahway, NJ, США и ее аффилированные лица. Все права сохранены.
Причины, диагностика, лечение.
Содержание:
- Эпидемиология
- Виды переломов
- Клиническая картина
- Диагностика
- Лечение:
- Консервативное лечение
- Оперативное лечение
- Удаление имплантов
ЭПИДЕМИОЛОГИЯ
Переломы проксимального отдела плечевой кости составляют 4-5% всех костных повреждений. Более подвержена этому типу повреждений возрастная группа пациентов старше 60 лет. У женщин переломы проксимального отдела плечевой кости встречаются примерно в 2 раза чаще, чем у мужчин.
ВИДЫ ПЕРЕЛОМОВ
Переломы проксимального отдела плеча возникают при прямом ударе по наружной поверхности плечевого сустава, либо при падении на локоть или кисть. Среди переломов проксимального конца плечевой кости наиболее часто встречаются переломы хирургической шейки. Частые переломы в данной области объясняются тем, что кортикальный слой этого участка плечевой кисти тоньше, и хирургическая шейка является местом перехода фиксированной части плеча (места прикрепления мышц, связок) в менее фиксированную.
По линии расхождения фрагментов переломы хирургической шейки делят на приводящие (аддукционные) и отводящие (абдукционные).
- Абдукционные переломы возникают при падении с упором на вытянутую отведенную руку: центральный отломок приведен и ротирован кнутри, а периферический - кнутри и кпереди со смещением вперед и кверху, между отломками образуется угол, открытый кнаружи и кзади.
- Аддукционные переломы возникают при падении с упором на вытянутую приведенную руку: центральный отломок отведен и ротирован кнаружи, а периферический - смещен кнаружи, вперед и ротирован внутрь, отломки образуют угол, открытый кнутри и кзади.


КЛИНИЧЕСКАЯ КАРТИНА
При переломах без смещения определяется местная болезненность, усиливающаяся при осевой нагрузке и ротации плеча, функция плечевого сустава возможна, но ограничена. При пассивном отведении и ротации плеча головка следует за диафизом. При переломах со смещением отломков основными признаками являются резкая боль, в области плечевого сустава имеются припухлость и кровоизлияние, нарушение функции плечевого сустава, патологическая подвижность на уровне перелома, укорочение и нарушение оси плеча. Характер перелома и степень смещения отломков уточняют при помощи рентгенограммы. Необходимо помнить о том, что перелом хирургической шейки плеча может осложниться повреждением сосудисто-нервного пучка как в момент травмы, так и при неумелой репозиции.
ДИАГНОСТИКА
Для выбора тактики лечения повреждения и прогноза этого лечения врачом проводится комплексная оценка повреждения и комплексная оценка пациента.
Комплексная оценка повреждения включает в себя:
- механизм получения травмы (низко- или высокоэнергетическая травма);
- характер травмы (исключение политравмы);
- оценка мягких тканей вокруг перелома;
- анализ повреждений сосудисто-нервных структур;
- выделение доминантного (наиболее тяжелого) перелома (повреждения);
- рентген-обследование поврежденного сегмента (-ов);
- определение уровня перелома;
- определение типа перелома
- оценка качества костной ткани (имеется ли остеопороз);
Оценка пациента включает в себя:
- наличие сопутствующей патологии;
- предшествовавшие травмы и их исходы;
- профессия до травмы и/или функциональные требования к конечности;
- согласие больного на операцию;
- готовность к сотрудничеству (выполнение рекомендаций и следование предписанному режиму);
Повреждение сосудисто-нервных структур
Переломы проксимального отдела плеча, особенно переломовывихи, могут осложняться травмой подмышечного нерва, подмышечной артерии, шейно-плечевого сплетения, что еще более усложняет лечение и предполагает возникновение осложнений в отдаленных результатах. Сосудисто-нервные структуры повреждаются в результате действия высокоэнергетического механизма травмы. Повреждение плечевого сплетения является редким осложнением перелома проксимального отдела плечевой кости. До 50-60% больных с травматическими повреждениями плечевого сплетения имеют сопутствующее поражение прилежащих сосудов, что необходимо учитывать при выявлении того или иного осложнения.
Диагностика повреждения подмышечного нерва:
- паралич дельтовидной мышцы - невозможность отвести руку;
- потеря кожной и болевой чувствительности в области наружной поверхности плеча;
Диагностика повреждений подмышечной артерии:
- снижение кожной температуры;
- побледнение кожных покровов;
- плотный отек плеча и предплечья;
- ослабление пульса на артериях предплечья;
- обширные подкожные гематомы в над- и подключичных областях.
Клиника брахиоплексопатий зависит от локализации уровня повреждения плечевого сплетения. Дифференциальную диагностику следует проводить с изолированным нарушением подкрыльцового нерва. Симптомы повреждения предплечья включают нарушения иннервации преплечья, нарушение локтевого сгибательного и разгибательного рефлексов, нарушение функций кисти.
Рентгенологическое обследование
Для правильной оценки типа перелома и, следовательно, для выбора тактики лечения в случае травмы проксимального отдела плеча, необходимо выполнить рентген-снимки минимум в 2-х взаимоперпендикулярных проекциях. В некоторых случаях, при диагностике повреждений суставной впадины лопатки или для диагностики перелома малого бугорка плечевой кости, требуется аксиальная (подмышечная) проекция. Следует отметить, что т.н. задний вывих головки плеча очень часто сочетается с импрессионным (вдавленным) переломом заднего края суставной впадины лопатки и, в данном случае, наиболее информативной будет именно аксиальная проекция.
Кроме рентген-исследования, для диагностики повреждений проксимального отдела плеча используется КТ-исследование. Данное исследование позволяет определить вдавленные (сминающие) переломы хряща плечевой кости или отрывные переломы края суставной впадины лопатки. КТ-исследование уточняет картину перелома бугристости.
Необходимо учитывать, что результаты КТ-исследования являются наиболее полными и достоверными для диагностики внутрисуставных переломов.
Для уточнения диагноза повреждения мягкотканных структур проксимального отдела плеча - повреждение ротационной манжеты, повреждение капсулы плечевого сустава, повреждение Банкарта*, повреждение Хилл-Сакса*, повреждение SLAP*, используется МРТ-исследование.
- Повреждение Банкарта (Bankart) обозначает отрыв капсулы и суставной губы от суставной впадины плеча.
- Повреждение Хилл-Сакса (Hill-Sachs) - костное повреждение задненаружной части головки плеча при ударе о край суставной впадины после вывиха.
- Повреждение СЛАП (SLAP - Superior Labrium Anterior-Posterior lesion) - места повреждения суставной впадины плеча. Относится к отрыву инсерции длинной головки бицепса, который прикрепляется в верхней части суставной губы и при отрыве тянет ее с собой, при этом отрывая спереди и сзади от инсерции.
Читайте также:
