Компьютерная томография (КТ) костей. Диагностические возможности
Добавил пользователь Евгений Кузнецов Обновлено: 21.11.2025

Компьютерная томография является современным видом аппаратной диагностики. Метод позволяет визуализировать внутренние структуры без инвазивных манипуляций. С помощью КТ суставов определяют патологии опорно-двигательной системы различной этиологии и генеза.

Изменения головки большеберцовой кости на томограмме
Компьютерную диагностику осуществляют с помощью рентгеновского излучения. Ионизирующие потоки проходят сквозь тело человека. Пропускная способность разных участков зависит от строения анатомических структур. Кости и хрящи обладают высокой рентгеноконтрастностью, сканирование рыхлых суставных элементов менее результативно.
Для большей информативности при обследовании мягкотканных структур применяют контрастную компьютерную томографию. В кровеносное русло вводят «окрашивающий» препарат на основе йода. Вещество обладает высокой поглощающей способностью в отношении рентгена, позволяет визуализировать сосудистую сеть и оценить строение всех морфологических элементов сочленения.
Что покажет КТ суставов и костей?
В результате томографии получают монохромные изображения тонких срезов изучаемой зоны. В отличие от линейной рентгенографии, КТ костей и суставов позволяет рассмотреть сочленение в трех взаимно перпендикулярных проекциях. На томограммах отсутствуют тени и дефекты от расположенных рядом анатомических образований.
Изображения КТ дают информацию о плотности исследуемого вещества. Светлые пятна на фото соответствуют твердым структурам, затемнения - мягкотканным участкам.

Компьютерная томография колена
КТ костей и суставов позволяет оценить:
состояние связочного аппарата;
ширину суставной щели;
толщину и однородность хрящевых элементов сочленения;
конгруэнтность (соответствие) суставных поверхностей;
особенности кровоснабжения сочленения;
состояние мышечной ткани, клетчаточных пространств;
строение костных суставных элементов.
С помощью сканирования определяют функциональность сочленения, выясняют причины нарушений.
В диагностике заболеваний суставов КТ позволяет выявить:
воспалительные явления ревматоидной природы;
инородные тела в области суставной сумки;
переломы костных суставных поверхностей;
Признаками патологии являются:
наличие в полости сустава крови, серозного или гнойного экссудата;
изменение ширины суставной щели;
нарушение целостности костных, хрящевых элементов сочленения;
смещение суставных поверхностей относительно друг друга;
синовиальные пролиферативные процессы;
наличие в костной ткани очагов с повышенной (остеосклероз) или пониженной (остеопороз) плотностью;
деформация суставных поверхностей;
снижение высоты хрящевых элементов;
нарушение кровоснабжения сочленения;
структурные изменения суставных элементов.
КТ показывает воспалительные, онкологические, дегенеративно-дистрофические явления, травматические повреждения костей и хрящей.
Контрастная томография помогает диагностировать добро- и злокачественные новообразования в области сочленения. По томограммам можно отследить динамику насыщения тканей опухоли «окрашивающим» раствором. Малигнизированные образования имеют патологически извитую сосудистую сеть с большим количеством анастомозов, что увеличивает время накопления и выведения контраста.

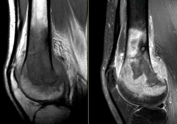
Остеосаркома бедренной кости на снимке коленного сустава
Для уточнения локализации и размеров патологического очага врач может использовать пространственное изображение области интереса . На основании фотографий, полученных в результате сканирования, реконструируют 3D-модель рассматриваемой зоны. Трехмерная визуализация позволяет оценить характер взаимодействия здоровых и пораженных тканей.
Какие суставы исследуют при помощи компьютерной томографии
КТ позволяет детально изучить строение опорно-двигательной системы. Данный вид инструментальной диагностики является наиболее информативным при исследовании скелета человека.
КТ плеча
Сканирование назначают при жалобах пациента на боль и ограничение подвижности пояса верхних конечностей. При травмах КТ плечевого сустава позволит выявить повреждение головки одноименной кости, ключицы, лопатки.
Широкая амплитуда движений приводит к вывихам, разрывам связок, мышц, интраартикулярных (расположенных в полости сочленения) элементов. Компьютерная томография позволяет диагностировать травматические поражения и предупредить развитие осложнений.
КТ лучезапястного сустава
Анатомически сложное соединение с большим количеством мелких элементов затрудняет диагностику травм и патологических процессов. КТ лучезапястного сустава назначают при недостаточной эффективности других видов аппаратного исследования (УЗИ, рентген и пр.).
С помощью томографии диагностируют специфические заболевания:
асептический некроз полулунной кости (синдром Кинбека);
При травмах наблюдаются разрывы сухожилий и мышц запястья. Часто выявляют трещины и переломы лучевой кости.
КТ тазобедренного сустава
Боли в области сочленения возникают при патологических изменениях пара- (расположенных рядом) и интраартикулярных структур. К внутренним факторам относят:
поражение вертлужной впадины и бедренной кости;
пролиферативные нарушения синовиальной оболочки;
дегенеративные поражения хряща и пр.

Трехмерная реконструкция тазобедренных сочленений
Внесуставные причины появления болей:
поражение крестцово-подвздошного и лонного сочленений;
КТ тазобедренного сустава используют для дифференциальной диагностики заболеваний, установления причины и характера патологического процесса.
КТ колена
С помощью компьютерной томографии визуализируют нарушения связочного аппарата, костных суставных поверхностей, гиалинового хряща, синовиальной оболочки и капсулы сочленения. Ограничение подвижности и боль возникают чаще при травмах, воспалительных и дегенеративных патологиях.
КТ коленного сустава позволяет диагностировать хондромаляции (разрушение хряща), повреждения менисков, разрывы крестообразных связок. В результате контрастной процедуры выявляют онкологические процессы, заболевания сосудов, липоартрит и пр.
КТ голеностопа
Сочленение представляет собой комбинацию небольших суставов, что служит причиной частой травматизации интраартикулярных анатомических образований. Компьютерная томография визуализирует состояние костных элементов малого размера, помогает выявить незначительные нарушения формы, величины, целостности анатомических структур.
КТ голеностопного сустава используют в диагностике новообразований, комбинированных патологий, когда процесс затрагивает твердые и мягкие ткани. Высокая точность снимков и возможность пространственной визуализации повышают эффективность компьютерной томографии в исследовании анатомически сложных сочленений.
КТ стопы и кисти
Суставы плюсны, ладони, пальцев рук и ног отличаются незначительными размерами и большим количеством мелких морфологических элементов.
На основании КТ стопы выявляют воспалительные, деструктивные, травматические поражения. Отмечают патологическое расположение костей плюсны и предплюсны при поперечном плоскостопии, вальгусной деформации и пр.
Исследование кисти помогает в диагностике ревматоидных поражений. Контрастная томография визуализирует сосудистые заболевания и неопластические процессы в области пясти и пальцев руки.
Как проходит КТ суставов?
Процедуру проводят с помощью сложного оборудования. Томограф представлен:
сканирующим комплексом, включающим рентгеновские излучатели и детекторы.

В процессе обследования происходят поступательное движение стола и вращение внутри кольца рентгеновских трубок и датчиков. Современные томографы за один оборот производят несколько снимков (2, 8, 16 и более). Мультиспиральная КТ суставов (МСКТ) обеспечивает высокую точность визуализации и позволяет снизить лучевую нагрузку на организм пациента.
Процедуру проводят в положении лежа. Пациент располагается на столе, врач проводит иммобилизацию конечностей для сохранения начальной позы. Непроизвольные движения негативно влияют на результаты исследования. Стол с пациентом начинает перемещаться внутри кольца томографа. Продолжительность нативного КТ-сканирования суставов 5-10 минут.
Медицинский персонал во время сеанса находится в соседнем помещении. Связь с обследуемым поддерживают через микрофон. Больному важно соблюдать рекомендации специалиста, возможно, потребуется изменение положения тела по команде врача. Динамическое сканирование проводят с целью определения функциональности суставов.
КТ кисти, стопы, лучезапястных и других небольших анатомических соединений можно проводить в положении сидя, для чего используют специальные аппараты.
Для достоверной оценки состояния одного из парных сочленений чаще рекомендуют сделать КТ обоих суставов.
При использовании контраста продолжительность исследования увеличивается на 10 минут. После серии нативных снимков больному вводят йодсодержащий раствор. Сканирование продолжают после заполнения препаратом сосудистого русла в рассматриваемой зоне.

Артрозо-артрит голеностопа, 3D-модель
Подготовка к компьютерной томографии сустава
Пациент приходит на прием за 10-15 минут до назначенного времени. Перед процедурой необходимо заполнить документы, снять украшения, аксессуары.
Контрастная КТ сустава требует более тщательной подготовки. Пациенты, страдающие сахарным диабетом и принимающие Метформин, посещают эндокринолога. Лекарственный препарат следует отменить за 72 часа до введения йодсодержащего раствора.
Для предупреждения развития осложнений со стороны органов фильтрации необходимо сдать анализ крови на креатинин. Повышенный уровень последнего свидетельствует о почечной недостаточности и является противопоказанием к использованию контрастного усиления.
Что выбрать: рентген, МРТ или КТ суставов?
Выбор способа аппаратного исследования зависит от дифференциально-диагностических задач, клинической картины, наличия противопоказаний и других факторов.
Компьютерная томография костей
![]()
По точности и информативности компьютерная томография на порядок превосходит другие известные методы исследования твердых составных частей скелета.
КТ костей может выполняться с введением контрастного раствора, если есть необходимость в максимальной детализации изображения. Продолжительность процедуры обуславливается такими факторами как:
- изучаемая область (костные структуры черепа, таза, верхних конечностей и т.д.);
- масштабность зоны исследования (одна кость или несколько);
- применение контраста;
- состояние пациента, точнее, его способность сохранять неподвижность;
- технология облучения и характеристики томографа - многослойное сканирование занимает до минуты, а спиральный скрининг может длиться до получаса;
- суть патологии - иногда рентгенологу, который отслеживает процесс в реальном времени, требуется дополнительное время, чтобы получить снимки необходимого качества (например, если делаются снимки сложных костных образований или есть подозрение на онкологию).
Важно! Исследование может проводиться даже при наличии в организме пациента металлических устройств и предметов, поэтому КТ считается альтернативой МРТ, где это является противопоказанием.
При использовании компьютерной томографии удается получить снимки не только плотных тканей, но и суставов, подкожно-жирового слоя и окружающих мышц.
Для отображения состояния костных образований и выявления отклонений, на организм пациента воздействуют рентгеновскими лучами, отслеживая скорость их поглощения. Радиационная нагрузка при этом минимальная, так что никаких явных негативных последствий для здоровья человек не ощущает.
Во время обследования больной находится внутри специального аппарата (томографа) с датчиками, которые считывают необходимые показатели и передают их на экран компьютера в соседнем помещении.
К существенным преимуществам данной методики относят:
- безболезненность, обусловленная неинвазивностью;
- минимальные сроки получения результатов;
- небольшое количество противопоказаний;
- возможность проведения в разных положениях - если по каким-либо причинам человек не может лежать на спине, процедуру без потери эффективности выполняют на боку;
- диагностика патологий мельчайших размеров - при помощи КТ можно установить рак на ранней стадии, обнаружить метастатические очаги и воспаления, скопления жидкостей и кровотечения, смещения, вывихи, переломы и дистрофию тканей.
Аппараты для прохождения компьютерной томографии есть во многих клиниках, однако количество срезов и стоимость процедуры отличаются.
Удобнее всего находить подходящий медицинский центр для диагностики через Интернет, в частности, наш сервис позволяет выбрать оптимальный вариант по цене, расположению клиники и параметрам аппаратуры.
Зачем и кому делают КТ костей?
Обследование может делаться, как при определении заболевания, так и для уточнения диагноза, проведения операции или контроля эффективности терапии.
Направление на компьютерную томографию выписывает профильный специалист: хирург, ревматолог или травматолог, но можно пройти процедуру и без него.
Крайне рекомендуется предварительно все-таки обратиться к врачу, ведь КТ предполагает облучение, и делать его без наличия соответствующих показаний неразумно.
Назначить исследование могут и взрослым, и детям с целью выявления:
- изменений костных структур, вызванных артритами и артрозами;
- остеофитов и остеомиелитов;
- инородных предметов внутри суставов;
- скопления избытков крови и суставной жидкости;
- опухолевых масс;
- зон повышенной или недостаточной плотности;
- патологий кровоснабжения;
- дегенеративных процессов и дистрофий;
- травматических повреждений и тех осложнений, которые они могли вызвать - с помощью томографии можно обнаружить гематомы, трещины, смещения и т.д.;
- областей, зараженных вирусами.
Основные разновидности исследования
Комплексный скрининг делается в очень редких случаях, как правило, радиационному воздействию подвергается одна кость или какая-то часть тела. В зависимости от зоны обследования выделяют КТ:
- височных костей;
- области таза;
- бедренной кости (наиболее часто делают томографию большеберцовой кости);
- черепа (лицевых костей и плотных образований носа).
Показания и противопоказания
Поводом для назначения процедуры может стать:
- Травмирование позвоночника или конечностей.
- Подозрение на онкологическое заболевание.
- Выраженная симптоматика остеопатологий.
- Диффузные поражения опорно-двигательной системы.
- Боли разной интенсивности неизвестного происхождения.
- Множественная миелома.
- Недостаточная информативность ранее проведенных диагностических мероприятий.
Как проводят КТ костных структур?
В отличие от исследования брюшной полости, при изучении костей особая подготовка пациентам не требуется. При использовании контрастного раствора за несколько дней берется аллергопроба во избежание анафилактического шока при введении препарата.
Нежелательно также принимать пищу за 5-6 часов до начала сканирования.
Сама процедура включает:
- снятие украшений и металлических предметов (часов, ключей);
- размещение больного на столе и перемещение внутрь кольца томографа;
- фиксация показателей сверхчувствительных детекторов в процессе облучения;
- анализ результатов и составление врачебного заключения.
Внимание! Пациентам на процедуру следует приходить в свободной одежде без металлических элементов, поскольку они будут вызывать помехи при сканировании.
Контрастный скрининг делают, если требуется изучить, в каком состоянии находятся сосуды вокруг кости, есть ли кровотечения и гематомы, где находятся новообразования и насколько поражены лимфатические узлы.
Альтернативы исследованию
Единственной реальной заменой компьютерной томографии является МРТ, которая позволяет избежать воздействия рентгеновскими лучами. Данное исследование проводят (при условии отсутствия в теле вживленных конструкций из металла) преимущественно детям и беременным женщинам. Магнитно-резонансный метод актуален, если поражение затрагивает не только костные образования, но и мягкие ткани.
Ультразвуковая диагностика менее информативна, чем КТ, так как не дает полной картины, а обычная рентгенография несет опасность для здоровья ввиду большой лучевой нагрузки. Другие методики со схожими целями использования (артроскопия, биопсия и пункция) являются не альтернативой, а скорее дополнением к томографии, позволяя безошибочно поставить диагноз.
Наиболее безопасным и эффективным считается мультисрезовое обследование (МСКТ).
Что покажет КТ височных костей, как делают, подготовка и противопоказания

Височная кость является важной анатомической структурой - она участвует в формировании черепной коробки, здесь расположен слуховой аппарат, проходят крупные нервы и артерии. Обычные методы диагностики, такие как рентгенография или УЗИ, зачастую не позволяют диагностировать патологические изменения в этой области. КТ височных костей − более точное исследование, которое дает возможность выявлять заболевания на ранней стадии.
Что покажет КТ височных костей
Во время КТ получают послойные снимки височной кости и окружающих тканей в трех плоскостях. Толщина среза составляет всего несколько миллиметров, что позволяет врачу-рентгенологу рассмотреть не только все анатомические образования, но и минимальные патологические изменения.
На полученных снимках хорошо видны следующие структуры:
пирамида височной кости;
ячейки и антрум сосцевидного отростка;
улитка, преддверие, передний и задний полукружный каналы;
слуховые косточки среднего уха;
стенки наружного слухового прохода;

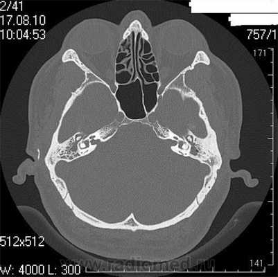
Снимок (томограмма) височных костей в осевой проекции
С помощью КТ височных костей можно выявить любые заболевания воспалительного, травматического, опухолевого характера. Метод применяется для диагностики следующих патологий:
объемных образований, кист костной ткани и слухового аппарата;
воспалительных процессов (мастоидиты, отиты, остеомиелиты);
травматических повреждений (трещины, переломы);
дегенеративных изменений (отосклероз, дисплазия);
Большим преимуществом КТ перед другими диагностическими методами является возможность получения трехмерной модели височной кости. 3D-изображение необходимо перед хирургическим вмешательством, часто по поводу установки имплантата внутреннего уха, поскольку дает максимально четкое представление об особенностях анатомии у конкретного пациента.
Иногда во время КТ височной кости дополнительно вводят контрастирующее вещество на основе йода. Введенный фармпрепарат хорошо поглощает рентгеновские лучи и делает изображения более отчетливыми. Контрастирование необходимо для уточнения характера изменений в мягкотканных образованиях, прилегающих к височной кости. Также методика позволяет отчетливо визуализировать церебральные артерии и вены. Вместе с тем, данная процедура обходится немного дороже стандартного исследования: пациенту нужно будет доплатить за количество использованного контраста.
Показания к КТ височных костей
В большинстве случаев КТ височных костей назначают ЛОР-врачи, неврологи, нейрохирурги, реже специалисты другого профиля. Обычно основанием для проведения томографии являются выявленные на рентгенограмме или во время УЗИ патологические изменения. Именно КТ височных костей позволяет разрешить все сомнения и поставить точный диагноз.
Показаниями для компьютерной томографии височной кости служат:
нарушения работы слухового аппарата (прогрессирующее ухудшение слуха, звон или шум в ухе и пр.);
вестибулярные расстройства (головокружение, шаткость при ходьбе);
длительный болевой синдром в области уха, в половине головы, особенно сопровождающийся неврологической симптоматикой;
выделения из слухового прохода различного характера (гной, кровь, ликвор);
клинические данные, свидетельствующие об опухолевом процессе;
нарушение работы лицевого нерва с развитием слабости мимической мускулатуры;
травмы головы с подозрением на перелом основания черепа и височной кости.
Также рекомендуют КТ височных костей перед запланированным хирургическим вмешательством, для контроля за проводимой терапией.
Кому противопоказана КТ височной кости
Компьютерная томография височных костей не проводится женщинам в период беременности, поскольку рентгеновские лучи негативно влияют на развитие плода. В случае томографии с контрастированием противопоказаниями являются:
нарушение фильтрационных характеристик почек;
непереносимость препаратов на основе йода;
повышенная функция щитовидной железы.
Как проходит компьютерная томография височных костей
Записаться в диагностический центр «Магнит» можно по телефону, указанному на сайте. Сотрудник подберет для вас наиболее удобное время, разъяснит особенности процедуры, одновременно вы сможете уточнить точную стоимость обследования.
Идя на томографию, потребуется взять с собой направление, имеющиеся на руках медицинские документы. В случае запланированной КТ височных костей с контрастированием нужно заранее сдать анализ на креатинин. Он необходим для оценки функционального состояния почек.
В центре «Магнит» обследование проводят на современном мультиспиральном томографе Siemens. Аппарат установлен в отдельной комнате, где и будет проходить сканирование.

Внешний вид компьютерного томографа и положение пациента на столе аппарата перед началом исследования
Непосредственно перед исследованием специалист центра проинструктирует больного и предложить занять положение на спине на столе томографа.
Во время сканирования стол с пациентом будет плавно перемещаться по направлению к тоннелю аппарата. Таким образом, голова будет находиться на уровне источника излучения и датчиков. Каких-либо неприятных ощущений во время исследования не возникает, тем более что сама процедура длится всего 1-2 минуты.
Все это время персонал будет находиться в соседней комнате и наблюдать за ходом исследования. В тоннеле томографа есть переговорное устройство, по которому пациент всегда может связаться с медперсоналом.
КТ височной кости с введением контраста длится немного дольше: от 15 до 25 минут, так как исследование включает несколько этапов. Первоначально выполняют нативное сканирование, после которого внутривенно вводят йодсодержащий препарат (Ультравист). Контраст относительно редко вызывает побочные реакции, иногда наблюдаются небольшое головокружение или подташнивание. Эти неприятные явления самостоятельно проходят в течение нескольких минут. Завершающий этап - повторное сканирование с получением максимально контрастных изображений.
После получения снимков и их обработки компьютерной программой врачу потребуется некоторое время для анализа данных. Обычно на это уходит не более 1,5-2 часов .
Когда назначают КТ височных костей детям
Данный вид исследования рекомендуют детям только при наличии веских оснований. Это связано с тем, что организм ребенка более чувствителен к рентгеновскому излучению, чем у взрослого пациента. КТ височных костей назначают тогда, когда другие методы исследования (рентген, УЗИ, МРТ) не дают достаточно информации для постановки диагноза. Детям компьютерная томография височных костей чаще всего проводится в случае черепно-мозговой травмы с переломами костей черепа, одностороннего нарушения слуха, при подозрении на новообразование.
В центре «Магнит» мультиспиральную КТ делают детям начиная с пяти лет. Современное оборудование и программное обеспечение позволяют подобрать оптимальный режим сканирования и, таким образом, существенно снизить лучевую нагрузку на организм. Процедуру с контрастированием в нашем центре проводят детям, достигшим двенадцатилетнего возраста.

Положение ребенка на столе компьютерного томографа перед исследованием
Компьютерная томография височной кости не причиняет маленькому пациенту дискомфорта или боли. Поскольку сканирование длится считанные минуты, дети хорошо переносят диагностику. Однако при запланированной томографии родителям все же следует психологически подготовить ребенка: рассказать о процедуре и почему так важно ее пройти.
Преимущества КТ височных костей
Компьютерная томография является оптимальным вариантом для исследования костей, в том числе черепа. Костная ткань хорошо поглощает рентгеновские лучи, в результате получают четкие ее изображения. Данный метод незаменим в диагностике скрытых переломов и трещин, он хорошо выявляет деструктивные изменения.

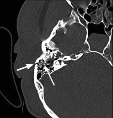
На КТ-снимке виден перелом пирамиды височной кости (указан стрелками)
Другими преимуществами мультиспиральной томографии являются:
высокая скорость сканирования;
относительно низкий уровень лучевой нагрузки;
неинвазивность и безболезненность;
доступность для выполнения пациентам с ферромагнитными имплантатами, электронными устройствами;
возможность получения трехмерной модели исследуемой зоны.
КТ височных костей имеет вполне доступную цену. В диагностическом центре «Магнит» ее можно пройти за 2450 рублей. Такая низкая, по сравнению с другими медучреждениями Санкт-Петербурга, цена объясняется проводимой в этом месяце специальной акцией.
КТ внутренних органов что показывает

Компьютерная томография - высокоинформативное исследование, позволяющее обнаружить патологические изменения внутри организма без инвазивного проникновения: диагностические манипуляции не нарушают целостность тканей, как при лапароскопии. Множество срезов в поперечной проекции обрабатывает специальная программа. При помощи реконструкции получают изображения в других плоскостях и объемную модель зоны интереса.

На снимках видны нормальные анатомические структуры и отклонения
Во время компьютерного сканирования происходит облучение, поэтому процедуру не выполняют беременным и маленьким детям. КТ используют как альтернативную диагностику для пациентов с противопоказаниями к МРТ: металлическими имплантатами или функционирующими приборами (кардио-, нейро-, миостимуляторами, ортопедическими конструкциями и др.).
Процедура не занимает много времени и не сопряжена с болевыми ощущениями.
Что покажет КТ внутренних органов?

Перед рентгенологом стоят задачи выявить патологические изменения и определить характер заболевания
На КТ пациент чаще приходит с направлением врача, где на основании ранее выполненных исследований (УЗИ, колоноскопии, рентгенографии и др.) указан предварительный диагноз и обозначена зона интереса. В зависимости от предполагаемой патологии рентгенолог использует различные режимы сканирования, устанавливает оптимальную толщину срезов.
воспаление и осложнения - абсцессы, свищи;
конкременты в почках, простате (для выявления желчных камней больше подходит ультразвук);
травматические повреждения и пр.
На снимках видны:
внутренние органы: паренхиматозные - печень, почки, селезенка, простата - и полые - трахея, пищевод, кишечник, мочеточники, мочевой пузырь;
Какие внутренние органы исследуют при помощи КТ?

Компьютерная томография демонстрирует поликистоз почек и печени
С помощью КТ-сканирования оценивают:
Органы грудной клетки. На снимках видны острые и хронические изменения паренхимы легких. КТ показывает:
пневмонию, бронхит, плеврит;
поражение внутригрудных лимфатических узлов;
добро- и злокачественные новообразования (в том числе, локализованные в средостении), метастазы;

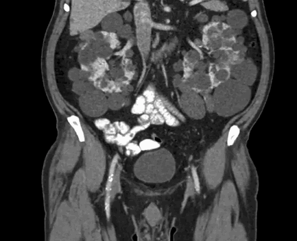
КТ в разных проекциях показывает опухоль в левой почке (стрелка)
Органы брюшной полости, ретроперитонеального пространства. КТ живота является точным методом для диагностики абдоминальных патологий:
опухолей (КТ показывает стадию и распространенность рака, ответ на лечение).
Процедура предпочтительна для выявления причин острой боли в животе, пояснице. К таковым относят:
нефролитиаз, закупорку мочеточника кровяным сгустком, белковой пробкой;
аневризма брюшной аорты
инфаркт, разрывы селезенки и пр.
Расширенные и нормальные желчные протоки на компьютерных сканах
КТ органов живота показывает патологии, сопровождающиеся болевым синдромом:
цирроз печени, гепатоцеллюлярную карциному, метастазы, гепатит;
опухоль поджелудочной железы, хроническое воспаление с вовлечением желчного пузыря (холецистит), протоков (холангит) и др.
Органы малого таза. Компьютерное сканирование назначают при подозрении на заболевания репродуктивной системы мужчин и женщин. КТ внутренних органов малого таза показывает:
аденому, простатит, камнеобразование, рак;
очаговое поражение мочевого пузыря (сканирование проводят для оценки инвазии опухоли в окружающие ткани), камни, цистит;
парапроктит, проктит, аппендицит, инородное тело в прямой кишке;
эндометрит, спаечные процессы, сальпингоофорит, кисты яичников, опухолевые патологии внутренней оболочки матки, шейки, врожденные пороки развития и пр.
Компьютерная томография органов с контрастом

КТ органов мочевыводящей системы с усилением
Контрастирование требуется не всегда, введение препарата необходимо при:
первичной оценке опухоли - пораженные и нормальные ткани выглядят по-разному, что важно для определения стадии онкологического процесса;
подозрении на рецидив рака после лечения - контрастирование помогает уточнить характер изменений в лимфатических узлах, дифференцирует фиброзную дегенерацию после операции и продолженный рост;
начальной стадии заболевания, когда изменения выражены незначительно;
проведении комплексного урологического исследования - КТ мочевыводящих путей показывает функцию каждой почки в отдельности, препятствие к оттоку урины на любом уровне, патологические рефлюксы, кисты и пр.
уточнении степени выраженности воспалительного процесса, диагностики осложнений;
выявлении изменений в сосудах - КТ-ангиография демонстрирует состояние артерий и вен, тромбообразование, окклюзию, атеросклеротические процессы, аневризмы, мальформации и пр.
противопоказаниях к проведению эндоскопической диагностики - КТ кишечника с двойным контрастированием предоставляет врачу исчерпывающую информацию о состоянии пищевого тракта и пр.
Пути введения усилителя:
Внутривенный, используют наиболее часто, красящее вещество на основе йода вводят в локтевой сосуд с помощью автоматического инъектора.

Визуализация внутренних органов на КТ с контрастированием - при приеме раствора внутрь
Пероральный, применяют для диагностики заболеваний тонкого кишечника. Более информативные снимки получают при двойном контрастировании. В качестве усилителей используют разведенный препарат на основе йода. Оральные контрастные вещества подходят для пациентов с небольшим количеством внутрибрюшинного жира.
Трансректальный. В зависимости от показаний, усилитель может быть введен перед исследованием в прямую кишку. Данный тип контрастирования выполняют в условиях стационара для диагностики осложнений - расхождений швов после операции, формирования свищевого хода. На снимках видны абсцессы малого таза, расположенные между петлями кишечника.
КТ без контраста проводят при оценке локализации и плотности конкрементов у пациента с мочекаменной болезнью, для диагностики патологий легких (кроме опухолей).
На внутривенное введение красящего вещества с йодосодержащей основой менее, чем в 10 % случаев развиваются побочные эффекты:
резкое падение артериального давления;
генерализованная аллергия по типу отека Квинке;
ухудшение функций почек;
лактоацидоз (при одновременном приеме метформина).

Подготовка к КТ
Нативная компьютерная томография может быть выполнена в момент обращения. Подготовка нужна при запланированном исследовании органов брюшной полости/ретроперитонеального пространства или малого таза с контрастированием. За несколько дней до диагностической процедуры необходимо перейти на особый режим питания с отказом от продуктов и напитков, вызывающих вздутие живота и усиленную перистальтику.
Из меню исключают:
свежие овощи, фрукты, зелень;
маринады, копчености, специи, соусы;
выпечку из дрожжевого теста;
молоко и производные;
жирное мясо, птицу;
квас, кисели, алкоголь, крепкий кофе, чай, лимонад, газированную воду.
В зависимости от области интереса и сопутствующей патологии лечащий врач может назначить:
очищение кишечника с помощью слабительных препаратов, клизмы;
прием спазмолитиков, сорбентов;
ферменты, ветрогонные и пр.
Перед КТ необходим 4-6 часовой голод. Легкий перекус за 20 минут до исследования может нивелировать тошноту, слюнотечение, неприятный привкус во рту.
Важные моменты
Перед диагностикой следует:
сдать анализ крови на креатинин ( результат действителен в течение 10 дней);
отказаться по согласованию с эндокринологом от приема метформина на 72 часа, возможна альтернативная схема лечения;
женщинам в период лактации сделать запас нескольких порций грудного молока, излишки утилизировать.
Что взять с собой:
полис ОМС/ДМС (если подразумевается оплата диагностики через фонд медицинского страхования);
выписки из истории болезни;
результаты выполненных ранее исследований.
МРТ или КТ внутренних органов: что лучше?

Какое исследование выбрать, зависит от медицинской ситуации, локализации патологического процесса, сопутствующих заболеваний и других нюансов
Компьютерная томография скелета
При КТ костей скелета с помощью компьютера получают и выводят на экран монитора изображение различных срезов костей. Срезы могут быть в сагиттальной, горизонтальной и фронтальной плоскостях. Получение коллимированных рентгенограмм увеличивает плотность облучения, рассчитываемую компьютером, и тем самым способствует повышению степени разрешения, а следовательно, и чувствительности и специфичности исследования. Для получения изображений анатомических срезов различной толщины на компьютере обрабатывается информация от облучения сотни тысяч слоев исследуемой ткани или органа.

- Выявление первичной опухоли кости и определение ее размеров, выявление метастазов злокачественных опухолей в кости, а также опухолей мягких тканей, повреждения связок и сухожилий, переломов костей.
- Диагностика с трудом выявляемых другими методами исследования поражений суставов.
Подготовка
- Следует объяснить пациенту, что исследование позволяет визуально оценить состояние костей и суставов. Если КТ костей предполагается выполнить без контрастирования, то какие-либо ограничения в диете или режиме питания не требуются, в противном случае пациент должен воздержаться от приема пищи в течение 4 ч до исследования.
- Следует сообщить пациенту, кто и где будет выполнять исследование, и заверить его, что оно не причиняет каких-либо неприятных ощущений.
- Следует предупредить пациента, что ему придется лежать неподвижно на рентгеновском столе с установленной вокруг него аркой сканера. Сканер будет вращаться вокруг пациента, делая серийные снимки.
- Если предполагается контрастная КТ, пациента предупреждают о возможности появления у него после введения контрастного вещества чувства прилива, жара, а также преходящей головной боли, соленого или металлического вкуса во рту, тошноты, рвоты. Это нормальная реакция на контрастное вещество.
- Следует предупредить пациента, чтобы он надел специальный защитный фартук и снял с себя все металлические предметы и украшения.
- Следует выяснить, нет ли у пациента непереносимости йода и морепродуктов, а также контрастного вещества, если его вводили ему в прошлом. Если у него имеется непереносимость, следует указать это в истории болезни. Врач в таком случае может отменить контрастное исследование или назначить профилактически противоаллергические препараты.
- Тревожным и беспокойным пациентам назначают седативные препараты.
- Необходимо проследить за тем, чтобы пациент или его родные дали письменное согласие на исследование.
Оборудование
КТ-сканер, контрастное вещество, система для внутривенных вливаний на случай необходимости.
Процедура и последующий уход
- Пациента укладывают на спину на рентгеновском столе и просят по возможности не двигаться.
- Стол вдвигают в цилиндрическое пространство сканера, который вращается вокруг пациента, делая снимки через заданные интервалы.
- После анализа первой серии изображений вводят контрастное вещество.
- Необходимо помнить о возможности развития аллергической реакции на контрастное вещество (зуд, сыпь, затруднение дыхания) в течение 30 мин после его введения.
- После введения контрастного вещества получают вторую серию изображений, которые записывают на магнитную ленту для длительного хранения.
- При использовании контрастного вещества возможна также отсроченная аллергическая реакция, при ее развитии средством выбора является дифенгидрамин.
- Пациенту рекомендуют обильное питье для быстрого выведения контрастного вещества.
- После исследования пациент может вновь перейти на обычные для него режим питания и уровень активности.
- Следует принять меры, направленные на уменьшение дискомфорта, связанного с длительным пребыванием на столе в неподвижном состоянии, и при необходимости назначить анальгетики.
Меры предосторожности
- КТ костей скелета противопоказана беременным и пациентам, у которых отмечается непереносимость йода, морепродуктов или контрастного вещества, а также пациентам с почечной недостаточностью, если им не проводится гемодиализ.
- Некоторые пациенты испытывают выраженную клаустрофобию или тревогу, находясь в тесном пространстве сканера, поэтому им целесообразно назначить препараты с легким седативным действием.
- Пациентам с выраженными болями в костях и суставах назначают анальгетики, чтобы они смогли выдержать до конца процедуры.
Нормальная картина
В норме патологические изменения со стороны костей и суставов на компьютерных томограммах отсутствуют. Отмечается четкая структура костей, в то время как окружающие ткани кажутся размытыми.
Отклонение от нормы
Благодаря возможности получения изображений срезов КТ применяют для исследования плечевой кости, позвоночника, бедренной кости и таза. На таких срезах удается избежать наложения теней других структур, которое наблюдается на обычных рентгенограммах. С помощью КТ удается выявить первичные опухоли костей, опухоли мягких тканей, метастазы в кости, а также поражения костей, которые трудно диагностировать другими методами исследования.
Читайте также:
