Компьютерная томография (КТ) в диагностике ранений шеи, груди, живота
Добавил пользователь Евгений Кузнецов Обновлено: 11.12.2025
Рентгеновская компьютерная томография (КТ) является рентгенологической методикой (методом), способной оценить морфологические изменения органов и тканей, что, в свою очередь, способствует постановке клинического диагноза. Данные, получаемые с ее помощью, должны использоваться лечащим врачом только в совокупности с данными, полученными с помощью других методов исследования.
Компьютерный томограммы представляют собой карты распределения в плоскости томографирования коэффициентов ослабления рентгеновского излучения. Для их анализа требуются специальные знания и навыки. Поэтому чем теснее будет взаимодействие лечащего врача и врача-специалиста рентгенолога, тем точнее будет клинический диагноз.
Врач-рентгенолог проводит не только визуальный, но и денситометрический анализ получаемых данных. Предоставляемые вместе с рентгенологическим заключением отпечатки компьютерных томограмм не являются объектом, по которым возможны точные диагностические действия, а служат лишь иллюстративным материалом.
В настоящее время компьютерная томография подразделяется на пошаговую (традиционную) КТ, при которой одномоментно сканируется 1 томографический срез, и спиральную КТ, при которой данные снимаются со всего исследуемого объема, а затем из них реконструируются отдельные томографические срезы. Спиральная КТ, в свою очередь, подразделяется на односрезовую, при которой одновременно можно получить только один томографический слой и многослойную (мультсрезовую) КТ, при которой одновременно реконструируются от 2 до 64 томографических срезов.
Спиральное сканирование заключается в одновременном выполнении двух действий: непрерывного вращения источника — рентгеновской трубки, генерирующей излучение, вокруг тела пациента, и непрерывного поступательного движения стола с пациентом вдоль продольной оси через апертуру сканирующего устройства - гентри. В этом случае траектория движения рентгеновской трубки относительно оси движения стола с телом пациента, принимает форму спирали.
Традиционная компьютерная томография является «золотым стандартом» рентгенологического исследования пациентов многопрофильной больнцы.
КТ головного мозга с внутривенным усилением — проводится при подозрении на опухоль головного мозга, сосудистые мальформации и/или аневризмы. Внутривенное введение рентгеноконтрастного (методика усиления контрастности КТ-изображения) вещества может выполняться за 3—5 мин до начала КТ-сканирования или после нативной КТ. При повреждении гематоэнцефалического барьера и/или наличия патологической сосудистой сети за счет увеличения рентгеновской плотности патологического очага позволяет распознать наличие и локализацию патологического процесса. Не позволяет увидеть питающий сосуд. Дополнительная методика компьютеной томографии.
КТ-ангиография головного мозга — быстрое («болюсное», т. е. одной порцией) введение рентгеноконтрастного вещества с помощью ангиографического шприца для получения изображений сосудов в полости черепа. Доступна для выполнения на мультисрезовом спиральном КТ-аппарате. Контрастное вещество вводится не в артерию, а в локтевую вену или подключичный катетер. Сопровождается трехмерной (3D) реконструкцией изображений сосудов. Не исключает проведения ангиографии сосудов головного мозга.
КТ височной кости — выполняется с целью диагностики патологии данного анатомического образования при снижении слуха, головокружениях, патологии органа равновесия. Не требует (за редким исключением) введения контрастных веществ. Безальтернативный метод лучевой диагностики. Спиральная КТ предпочтительна.
КТ-цистернография внутреннего слухового прохода — исследование внутренних слуховых проходов на фоне газа (закись азота, углекислый газ), вводимого под мозговые оболочки. Уточняющий метод диагностики, позволяет получить уникальную информацию о состоянии цистерн моста, существенно превосходит традиционную цистернографию. Инвазивная методика КТ-диагностики.
КТ носа и околоносовых пазух — исследование полости носа и его пазух. В ряде случаев позволяет получить уникальную информацию. Превосходит все другие методы лучевого исследования. Основной метод лучевой диагностики. Спиральная КТ предпочтительна.
КТ-гайморография — вспомогательная методика, используемая для дифференциальной диагностики содержимого пазух - требует введения в околоносовые полости рентгеноконтрастного вещества в небольшой концентрации.
КТ орбит — выполняется для оценки состояния костных стенко и содержимого. Информация (включая трехмерную картину) о костях, составляющих орбиту, является уникальной. КТ позволяет визуализировать глазное яблоко, зриательный нерв, прямые мышцы глаза, жировую ктетчатку. Высоко информативна при псевдоопухолях орбиты. Вместе с ультразвуковой диагностикой является методом выбора при травмах глаза и орбиты. Может быть основным методом лучевой диагностики. Спиральная КТ предпочтительна.
КТ щитовидной железы — используется для оценки морфологии (строения) щитовидной железы, поиска в ней патологических узлов. Целесообразно в течение двух-трех месяцев не употреблять в пищу йодированные продукты, включая соль, и исключить прием препаратов йода, в т. ч. наружно. По информативности несколько превосходит ультразвуковую диагностику; при КТ также, как и при эхоскопии, можно выполнять прицельную биопсию узлов в железе. По информативности равен МРТ и эхоскопии. Уточняющий метод лучевой диагностики.
КТ гортани — применяется для дифференциальной диагностики травм и заболеваний гортани, в том числе и для оценки распространённости ракового её поражения. Выполняется с функциональной пробой. Возможно проведение КТ-фистулографии. Основной метод лучевой диагностики. Спиральная КТ предпочтительна.
КТ мягких тканей шеи — выполняется для диагностики и дифференциальной диагностики новообразований этой области, определения степени инвазии опухолью крупных сосудов (основной метод лучевой диагностики), для оценки состояния лимфатических улов шеи (по информативности равен эхоскопии).
КТ лёгких традиционная — используется для визуализации разнообразных патоморфологических процессов в лёгочной ткани, плевре и средостении. Выполняется при неоднократно задерживаемом дыхании. Диагностика занимает около 20 минут. Дополнительный, но высоко информативный метод лучевой диагностики. Информативный метод визуализации вилочковой железы.
КТ лёгких спиральная — аналогична традиционной КТ легких, но процедура длится 15-20 секунд при однократной задержке дыхания. В сочетании со специальным алгоритмом реконструкции позволяет получить изображения легких, насыщенное мелкими деталями. Информативный метод визуализации вилочковой железы. Позволяет оценивать состояние лимфтических узлов средостения, что требует введения контрастного вещества с помощью автоматического шприца (эта опция доступна на мультсрезовой КТ-установке). Основной и предпочтительный метод лучевой диагностики.
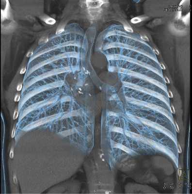
КТ грудной клетки спиральная — позволяет получить изображения ребер, грудины, позвонков и регистрировать нарушение их взаимоотношений при аномалиях развития и травмах в условиях трехмерного моделирования (3D реконструкция). Особо показана при травмах груди, сочетанных травмах груди и живота.
КТ паренхиматозных органов живота — поиск и дифференциальная диагностика патологии поджелудочной железы и печени. Может быть ведущим (травма живота), основным (патология органов и тканей забрюшинного пространства) или дополнительным (патология печени, жёлчевыводящих путей, селезенки) методом лучевой диагностики. Мало применим при патологии желудка и кишечника. Спиральная КТ живота может быть первым и предпочтительным методом лучевой диагностики состояния его органов и методом выбора у пациентов в тяжелом состоянии и при травме, в том числе сочетанной. Наболее эффективна КТ с введением контрастного вещества с помощью автоматического шприца.
Виртуальная эндоскопия — выполняется на спиральном компьютерном томографе после введения в тостую кишку газа для расправления ее стенок (спиральная КТ пневморирригоскопия). В последующем моделируется рельеф слизистой оболочки и «продвижение эндоскопа» по толстой кишке. Является частным случаем виртуальной реальности и помогает визуализировать полипы, опухоли кишки, однако диагностическая ценность при остутствии возможности биопсии неясна.
КТ-ангиография живота спиральная — уточняющий метод распознавании сосудистой патологии области живота, включая почки. Возможна лишь при наличии мультисрезовой КТ-установки и автоматического шприца для введения рентгеноконтрастного вещества.
КТ органов малого таза — применяется для поиска и дифференциальной диагностики патологических изменений в паренхиматозных органах малого таза. Уникальна с точки зрения оценки анатомических взаимоотношений. Уточняющий метод лучевой диагностики. Несколько уступает по информативности эхоскопии при патологии мочевого пузыря, предстательной железы, яичников, матки. Наиболее информативен для распознавания патологии мягких тканей малого таза, а при использовании спиральной КТ с контрастированием, для выявления увеличения лимфатических узлов. Уточняющий метод лучевой диагностики. Спиральная КТ предпочтительна.
КТ суставов — выполняется для обнаружения патологических процессов в костях, составляющих сустав, его мягких тканях и, в случае коленного сустава - его связок. В ряде случаев информация, получаемая с помощью КТ, является уникальной. Уступает МРТ в визуализации хрящей и связок, но превосходит в отношении визуализации костной ткани (при МРТ костные балки не видны вовсе). Уточняющий метод диагностики. Предпочтительная спиральная КТ тонкими срезами.
КТ бедренной, плечевой костей, предплечья, голени — исследование кортикального и губчатого слоев, костномозговой полости, мягких тканей конечности. Наиболее эффективна для диагностики переломов, их осложнений и исходов, опухолей и воспалительных процессов в костях. При гнойных заболеваниях костей со свищами может выполняться КТ-фистулография. Уточняющий метод лучевой диагностики.
КТ позвоночника — выполняется для оценки состояния позвонков и межпозвоночных дисков. Информативность КТ при остеохондрозе, спондилезе, иной патологии тел и отростков позвонков, межпозвоночных дисков, связок позвоночного столба, дурального мешка спинного мозга несколько выше, чем МРТ. Не составляет конкуренции МРТ в визуализации патологических изменений спинного мозга. Возможно проведение КТ-цистернографии с газом или рентгеноконтрастным веществом. Метод выбора при лучевой диагностике остеохондроза, переломов позвонков. Спиральная КТ предпочтительна, поскольку за одно исследование можно выполнить томографию всех отделов позвоночника.
КТ шейного отдела

КТ шейного отдела представляет собой послойное исследование тканей при помощи рентгеновского излучения. Данный метод диагностики актуален при жалобах пациента на:
регулярные шейные и головные боли неясного происхождения;
боли в плечевом поясе;
потемнение в глазах, головокружения;
повышение артериального давления;
распространение болевых ощущений от шеи к руке;
онемение пальцев рук, ощущение «ползания мурашек»;
проблемы с памятью.
На КТ шейного отдела позвоночника направляют:
при аномалиях развития, травмах и ранениях шеи;
перед операцией - томография покажет состояние позвонков, спинного мозга и сосудов;
при подозрении на доброкачественные или злокачественные образования костных структур;
для выявления метастазов;
с целью проследить за динамикой выздоровления после хирургического вмешательства;
при нестандартном протекании заболеваний структур шеи;
для контроля эффективности лечения;
при наличии болей в области сердца, неподтвержденных кардиологическим исследованием
и в других случаях.
В медицинском центре «Магнит» в СПБ можно пройти КТ шейного отдела взрослым и детям, информация о цене на эту услугу указана в прайс-листе.
Что покажет КТ шейного отдела позвоночника
КТ шейного отдела позвоночника охватывает основание черепа, семь шейных позвонков и первые грудные позвонки. Так как процедура проводится с использованием рентгеновских лучей, изображения лучше всего показывают плотные структуры: кости, хрящи, связки, патологические костные наросты (остеофиты) и посторонние предметы в тканях.
На КТ видны суставы шейного отдела позвоночника. Они нередко подвержены дистрофическим изменениям, которые хорошо визуализируются на снимках. По томограмме можно определить и объем позвоночного канала, увидеть места его сужения (стеноза). Связанный с врожденными отклонениями, старением или дегенеративными изменениями, этот процесс приводит к целому ряду осложнений, в том числе, к нарушению функционирования спинного мозга.
Кроме плотных структур обследование на компьютерном томографе показывает полые органы: носоглотку, гортань, трахею и пищевод. КТ шейного отдела позвоночника с контрастированием поможет узнать, имеются ли проблемы с сосудистой системой. Для этого в вену вводят препарат на основе йода. Распространяясь по сосудам и мягким тканям, он окрашивает пораженные участки и делает их четко различимыми на фото.
Можно ли детям делать КТ шейного отдела
КТ шейного отдела позвоночника является одним из самых информативных способов выявления заболеваний. Процедура проводится в любом возрасте, но при назначении маленькому ребенку надо учитывать некоторые нюансы.
По сравнению с взрослыми у детей более высокая восприимчивость организма к радиации. По этой причине любую КТ, в том числе шейного отдела позвоночника, малышам лучше не делать без крайней необходимости. По возможности ребенку рекомендуется пройти магнитно-резонансную диагностику, которая не задействует рентгеновское излучение. Но если это невыполнимо, не следует отказываться от компьютерной томографии, ведь нераспознанная болезнь способна нанести еще больший вред.
В медицинском центре «Магнит» в СПб КТ-сканирование шейного отдела позвоночника по направлению от врача делают с 5 лет. На процедуру с контрастированием к нам можно приходить с 12-летнего возраста.
Подготовка к КТ исследованию шейного отдела
На КТ шейного отдела позвоночника пациент, помимо направления, должен принести с собой результаты предыдущих обследований и выписку из амбулаторной карты. Это поможет специалисту лучевой диагностики правильно спланировать процедуру.
Если предусмотрено контрастирование, дополнительно делают анализ крови на креатинин. При отсутствии на руках результатов сдать кровь можно в нашем диагностическом центре. Повышенные значения креатинина являются противопоказанием к процедуре, поскольку могут свидетельствовать о нарушении работы почек и потенциальных проблемах с выведением рентгеноконтрастного препарата из организма.
КТ шейного отдела не требует специальной подготовки. Только перед сканированием с контрастом нужно в течение 30-40 минут воздержаться от еды и питья (кроме чистой воды). Прямо перед выходом из дома лучше слегка перекусить, чтобы избежать тошноты или других побочных эффектов.
Кормящим мамам рекомендуем заранее сцедить молоко, а после КТ с контрастом шейного отдела позвоночника не прикладывать ребенка к груди в течение 10-12 часов. Затем, сделав два сцеживания, кормление продолжают.
Что можно увидеть на КТ шейного отдела
КТ шейного отдела позвоночника показывает:
трещины переломы позвонков и прочие последствия травм;
очаги кровотечений, гематомы;
дископатии, протрузии, межпозвонковые грыжи;
болезни ревматического характера (анкилозирующий спондилит и др.);
патологические изменения при заболеваниях дегенеративно-дистрофического характера (остеохондроз, спондилез, остеопороз);
повреждения спинного мозга - миелопатии;
аномалии в строении шейного отдела;
дивертикулы (выпячивание стенки) гортани, пищевода;
сужение или расширение спинномозгового канала;
нестабильность шейных позвонков;
инородные тела в гортани.
КТ с контрастом шейного отдела позвоночника проводят, когда требуется детально изучить состояние сосудов и выявить опухолевые процессы - в пораженных областях контрастное вещество накапливается более интенсивно, что дает возможность врачу диагностировать онкологическое заболевание даже на ранней стадии.
Компьютерная томография с контрастированием покажет:
гнойные образования (абсцессы, флегмоны);
ущемления сосудов отростками позвонков;
доброкачественные и злокачественные опухоли;
воспаления в мягких тканях;
узлы щитовидной железы;
изменения толщины и диаметра стенок сосудов;
тромбы, атеросклеротические бляшки, аневризмы;
увеличение лимфатических узлов.
Как проводится КТ исследование шейного отдела
Отправляясь на КТ шейного отдела, проследите, чтобы на одежде не было металлических деталей - кнопок, пуговиц, бегунков от молний, декоративных вставок и т.п. Также перед обследованием надо снять цепочки, кулоны и прочие украшения, способные оставить на снимках тени.
В кабинете пациент ложится на передвижной стол, который плавно заезжает в цилиндрическую камеру аппарата с рентгеновским излучателем и датчиками. Камера вращается вокруг стола, послойно сканируя ткани и структуры в области шеи. Данные передаются на компьютер.
Поскольку любое шевеление снижает качество фото, человек должен лежать спокойно и выполнять все указания медицинского персонала. В отдельных случаях непроизвольное изменение положения тела предупреждают фиксацией ремешками.
Во время КТ шейного отдела пациент находится в комнате один. Специалист через стекло наблюдает за процессом из соседнего помещения. При необходимости можно переговариваться с врачом посредством специального устройства для связи, которым оснащен аппарат.
При КТ шейного отдела с контрастированием сначала делают обычные снимки, затем вводят йодсодержащий медикамент и продолжают сканирование. Обычно при отсутствии противопоказаний усилитель переносится хорошо. Но иногда после инъекции появляются тошнота, прилив холода или жара, легкое головокружение, вкус металла во рту. Если раньше аллергических реакций на йод или морепродукты не наблюдалось, негативные последствия будут минимальными и быстро пройдут самостоятельно. В противном случае врач назначит антигистаминные препараты.
Диагностическая процедура занимает около 10 минут. Когда применяется контрастное вещество, сеанс продлевается до 20-25 минут. КТ шейного отдела позвоночника не вызывает болевых ощущений или дискомфорта, кроме незначительного шума от движения камеры с оборудованием.
Расшифровкой результатов КТ шейного отдела позвоночника занимается специалист лучевой диагностики. Описание патологических изменений с заключением в центре «Магнит» в СПб выдается через два часа после обследования. Если не получается забрать документы в указанный врачом срок, приходите в другой удобный день.
Информация может быть предоставлена в виде:
бланка с характеристикой исследованной области;
письма на адрес электронной почты;
Заключение рентгенолога не является диагнозом. Точный диагноз ставит лечащий врач, учитывая жалобы пациента, клиническую картину заболевания, данные КТ шейного отдела позвоночника и лабораторных анализов.
Фото томографии шейного отдела
Сделанные в ходе КТ фото - это срезы шейного отдела позвоночника в нескольких проекциях. Рассматриваемая зона сканируется под разными углами, и пациенту не нужно менять свое положение. Так как съемка захватывает не только собственно шею, но и прилегающие участки, специалист получает достаточно информации, чтобы в полной мере оценить любые патологические изменения.
Главное достоинство КТ шейного отдела позвоночника - высокая точность фото и возможность преобразовать множество плоских картинок в объемную модель, которая покажет все анатомические особенности заданной области. Программное обеспечение томографа позволяет увеличивать снимки для более детального рассмотрения, качество от этого не меняется.
Вся информация о диагностике в медицинском центре «Магнит» хранится на компьютере в архиве. При утрате снимков вы всегда можете обратиться за их восстановлением.

Деформирующий спондилез (образование костных наростов) в шейном отделе позвоночника
Что показывает КТ грудной клетки, подготовка, показания и противопоказания

КТ органов грудной клетки - усовершенствованный способ рентгенографической визуализации, который использует излучение для создания детальных изображений грудины, грудино-ключичных суставов, ребер, прилежащих мягких тканей и органов (в первую очередь, легких).
Исследование проводят, если после выполненной обычной рентгенографии причина жалоб осталась неясной или есть подозрение на патологический процесс в данной области. Компьютерная томография органов грудной клетки может быть выполнена в качестве альтернативы МРТ, если у пациента есть противопоказания к проведению магнитно-резонансного сканирования. Для лучшей визуализации возможно введение контрастного вещества. Основным преимуществом КТ является его способность одновременно демонстрировать кости, мягкие ткани (при контрастировании) и кровеносные сосуды.
Что показывает КТ грудной клетки

Мультиспиральная КТ грудной клетки, 3D-реконструкция
Специалисты выделяют в средостении три области: центральное (сосудистое пространство с перикардом и его содержимым, сосудами и лимфатическими узлами), переднее (жировая клетчатка, вилочковая железа, внутренние грудные артерии и лимфоидные ткани) и заднее (трахея, пищевод, нисходящая часть грудной аорты, лимфоузлы и паравертебральные пространства грудной клетки). Соответственно, все патологические процессы, которые протекают в данных зонах, могут быть видны.
Грудина, ребра и их сочленения - основные структуры передней стенки грудной клетки - подвержены различным анатомическим аномалиям и патологическим процессам, которые в некоторых случаях требуют лечения. Врач обосновано направит на диагностическую процедуру, если у пациента имеет место необъяснимый длительный кашель, загрудинные боли, кровохарканье, увеличение регионарных лимфоузлов, ограничение в движении плеча, скованность в области грудного отдела позвоночника и др. КТ органов грудной клетки и средостения может показать следующие изменения:
Остеоартроз (остеоартрит) - распространенная патология, затрагивающая чаще грудино-ключичные суставы. На компьютерной томограмме, в отличие от рентгенограммы, можно увидеть субхондральный склероз, кисты, сужение суставной щели и изменения в волокнистой хрящевой ткани диска. Серонегативные артриты, подагра и некоторые иные заболевания также могут затрагивать соединения отделов грудины между собой и с окружающими костными структурами, что убедительно видно на КТ.
Ранняя диагностика септического артрита грудино-ключичного сустава важна для своевременного начала лечения, так как существует высокий риск осложнений - целлюлита, остеомиелита, медиастинита, септического шока. В запущенных случаях можно увидеть абсцесс и формирование свищевого хода. Изменения, которые видны при КТ органов грудной клетки, включают воспалительные процессы в твердых структурах (разрушение суставных поверхностей, расширение суставной щели), в органах и тканях (диффузная инфильтрация, скопление жидкости, газа, размытость границ, реактивное увеличение лимфоузлов). Осложнившуюся пневмонию, плеврит, абсцесс легкого и мягких тканей грудной клетки можно диагностировать с помощью КТ. Исследование также показывает изменения со стороны сердца и клапанного аппарата.
Острые и травматические состояния.
В результате сильного физического воздействия (чаще - вследствие ДТП) возникают один или несколько переломов грудины. Компьютерная томография позволяет диагностировать сочетанные травмы (повреждения ребер, грудного отдела позвоночника, легких и сердца) и осложнения (легочные ателектазы, гемо- и пневмоторакс, гемоперикард). Спонтанные переломы грудины возникают при наличии новообразования (множественная миелома, метастазирование), остеопороза и могут имитировать острые коронарные заболевания. С помощью КТ грудной клетки возможна диагностика врожденных аномалий сосудов или приобретенных патологий: тромбоэмболии легочной артерии, диссекции аорты и пр. По данным КТ ОГК выявляют причины ишемии, дисфункцию сердечных клапанов.
После выполнения стернотомии (операция обеспечивает лучший доступ к сердцу) есть вероятность осложнений: расхождения краев раны, вторичный остеомиелит грудины или ребер, медиастинит и медиастинальная гематома, плевральный выпот. После хирургических вмешательств на сердце и сосудах могут развиться неблагоприятные последствия (инфицирование электродов кардиостимулятора, инфекционно-воспалительные осложнения и пр.). Эти состояния с помощью КТ дифференцируют с нормальными послеоперационными изменениями. У таких пациентов выполняют компьютерное сканирование в динамике. Осложнения могут присутствовать и после вмешательств на легких и прочих структурах. В экстренных ситуациях преимущество КТ - быстрота получения результатов.
Новообразования и метастазирование.
Большинство неопластических процессов грудины носит метастатический характер, что объясняется прямым проникновением из соседних органов или гематогенным путем. Рак молочной и щитовидной желез, легкого, почки, толстой кишки и лимфомы - самые распространенные источники метастазов грудины. КТ грудной клетки с контрастом - золотой стандарт в диагностике рака легких, позволяет увидеть изменения на начальной стадии, при которой возможно радикальное лечение. Компьютерное сканирование показывает также новообразования средостения, которые многообразны по морфологии и генезу. Наиболее часто встречаются тимомы, кисты, нейрогенные опухоли, злокачественные лимфомы. С помощью сканирования при дисфагии можно предположить рак пищевода, но во всех случаях окнчательный диагноз подтверждает морфологическое исследование.
Нередко пациенты задают вопрос: “Что сделать - КТ или МРТ органов грудной клетки?” К каждому исследованию есть свои показания и противопоказания, но способы часто являются взаимодополняющими. Специалисты диагностического центра могут подсказать, что предпочтительнее в каждом конкретном случае, но лучше, если на руках будет направление от лечащего врача.
Как делают КТ органов грудной клетки

Положение пациента во время КТ грудной клетки
На диагностическую процедуру необходимо предварительно записаться, но возможно выполнение в день обращения, по жизненным показаниям. Современные КТ-сканеры могут исследовать большие участки тела всего за несколько секунд, что особенно подходит для пациентов, испытывающих трудности с длительной неподвижностью и маленьких детей. Рентген-техник размещает пациента на столе, для обеспечения неподвижности возможно использование фиксирующих ремней и подушек. Излишняя мобильность приводит к появлению размытости на изображениях. Наблюдение за ходом процедуры ведется из смежного кабинета, через стекло. Для экстренных случаев есть кнопка связи с персоналом. Стол с пациентом скользит вглубь томографа, вокруг тела начинает вращаться множество рентгеновских датчиков, передавая изображения поперечного сечения грудной клетки на экран монитора. Снимки с помощью специальной компьютерной программы могут быть переформатированы в другие плоскости. Полученные в результате диагностики данные легко перенести на любой носитель или распечатать. Неприятных ощущений во время КТ органов грудной клетки и средостения нет, технический шум, который производит работающее оборудование, можно нивелировать, если воспользоваться наушниками. Сканирование длится менее минуты, вся процедура с подготовкой и укладкой занимает не более получаса.
Для улучшения визуализации в некоторых случаях (преимущественно, в диагностике злокачественных новообразований и для оценки динамики после проведения химиолучевой терапии) выполняют КТ органов грудной клетки с контрастом. Препарат вводят внутривенно, перед этим обязательно оценивают уровень креатинина в крови. Усиленная радиофармпрепаратом компьютерная томография помогает уточнить диагноз при туберкулезе (количество очагов, их расположение, состояние лимфоузлов), но окончательная верификация происходит после оценки результатов комплексного обследования (пробы Манту, диаскинтеста, и, при необходимости, биопсии). Воспаление и повреждение паренхимы легких обычно хорошо видны на КТ без контрастного усиления. Если есть опасения по поводу осложнений, радиофармпрепарат может помочь дополнительно определить степень выраженности патологического процесса.
КТ органов грудной клетки детям проводят исключительно по жизненным показаниям в специальных диагностических центрах при педиатрических клиниках.
Подготовка к исследованию

Перед прохождением диагностики убедитесь в отсутствии противопоказаний
Каких-либо длительных мероприятий подготовка к КТ грудины не подразумевает, для нативного исследования достаточно выбрать удобную одежду без металла, снять украшения. Если предстоит введение контрастного вещества, за 40-50 минут до начала процедуры необходимо неплотно перекусить, что поможет предотвратить или уменьшить вегетативные реакции (легкую тошноту, слюнотечение, головокружение). Пациенты, страдающие сахарным диабетом и принимающие Метформин, по согласованию с эндокринологом должны отказаться от препарата за 48 часов до процедуры. Во время лактации рекомендуют сделать запас молока на два кормления.
Показания и противопоказания к КТ грудины
КТ грудины входит в компьютерное сканирование грудной клетки. Диагностика не является рутинным методом обследования и выполняется, если причина заболевания остается неясной или изменения на рентгенограммах требуют уточнения.
Перечислим основные показания к КТ грудины и грудной клетки:
подозрение на патологический процесс в легких, плевре, сердце, грудине, суставах, средостении;
пред- и послеоперационное обследование;
определение зоны для лучевого воздействия при злокачественных новообразованиях соответствующей области;
отслеживание динамики после проведенного лечения.
Противопоказания к КТ грудины и грудной полости
Современная аппаратура позволяет минимизировать лучевую нагрузку по сравнению с обычной рентгенографией в 1,5-2 раза: КТ ОГК безопасна для большинства людей. Исключение - беременные женщины и дети в возрасте до 14 лет. По техническим причинам диагностическая процедура невыполнима у пациентов с выраженным ожирением (выше 150 кг).
Противопоказания к выполнению контрастирования:
хроническая почечная недостаточность с повышением уровня креатинина;
Введение индикаторного препарата недопустимо, если во время или после предыдущего контрастирования развилась серьезная реакция гиперчувствительности по типу отека Квинке или анафилаксии. Небольшая тошнота, металлический привкус, головокружение, приливы жара рассматриваются как вариант нормы и не являются противопоказаниями к КТ с усилением.
Фото томографии грудной клетки
Расшифровка снимков происходит в тот же день. Полученные изображения анализирует врач-рентгенолог, который и выдает заключение. Определить верный диагноз непросто, ведь среди нескольких десятков оттенков черного, серого и белого необходимо вычленить несоответствующий норме и интерпретировать результат. Представим Вашему вниманию несколько фото томографии грудной клетки:

КТ без контраста у пациента с интерстициальным заболеванием легких в анамнезе и трансплантацией правого легкого показывает суженный участок анастомоза правого бронха (красная стрелка). Собственное левое легкое уменьшено в размерах, с признаками бронхоэктазов, бронхиолоэктазов (черная стрелка). Сужение центрального дыхательного пути на выдохе у трансплантированного легкого (синяя стрелка).

Выпот (красные стрелки) в обеих плевральных полостях.
КТ грудной и брюшной полости (комбинированная КТ)

Комбинированная КТ включает в себя: компьютерную томографию грудной клетки и средостения, брюшной полости и забрюшинного пространства, мочевыводящей системы с контрастным усилением. По окончании исследования выдается результат на мультиснимке или DVD.
- профилактическое обследование (в том числе и пациентам с отягощенной наследственностью или вредными условиями работы)
- подготовка к плановой операции
- визуализация разнообразных патологических процессов в лёгочной ткани, плевре и средостении, брюшной полости и забрюшинном пространстве, и их дифференциальная диагностика
- выявление первичной опухоли легкого или плевры у пациентов с наличием злокачественных клеток в мокроте, но с отрицательными данными рентгенологического и бронхологического исследований, подозрение на рецидив опухоли после перенесенной пульмонэктомии
- уточнения наличия очагов отсева или полостей распада при специфических поражениях легких и средостения, брюшной полости
- подозрение на объемное образование брюшной полости при трудностях в диагностике УЗ - исследования
- боли в грудной клетке, брюшной полости
- травма грудной клетки и брюшной полости
- механическая желтуха
- оценка состояния лимфатических узлов
- аномалии развития органов грудной клетки брюшной полости
- динамическое наблюдение за состоянием легких, плевральных полостей, органов брюшной полости, мочевыводящей системы в процессе лечения
Подготовка к исследованию:
До назначения томографии пациент сообщает врачу обо всех возможных аллергических реакциях, которые может вызвать введение йодосодержащего контрастного вещества.
За 2-3 дня до предстоящего исследования рекомендована легкая диета, без применения продуктов, усиливающих двигательную активность кишечника и газообразование. Не рекомендуется употреблять в пищу: фрукты, овощи, зелень, злаковые, бобовые, грибы, ягоды, зерновой хлеб. Можно употреблять: бульон, отварное мясо, рыбу, курицу, яйца, сыр, белый хлеб, печенье.
Исследование проводится строго натощак, прием пищи не позднее, чем за 4-6 часа до процедуры. Прием жидкости не позднее, чем за 4 часа до проведения процедуры. Целесообразно проведение исследования при малом или среднем наполнении мочевого пузыря. В день исследования прием регулярно принимаемых лекарственных препаратов - не отменяется.
При проведении исследования с двойным контрастированием (по назначению лечащего врача) дополнительно необходимо - выпить за 2 часа до исследования 20 мл (1 ампулу) урографина, предварительно растворив его в 0,5 литра воды. Если пациенту выполнялось рентгеновское исследование пищеварительного тракта (пищевод, желудок, ирригоскопия) с бариевой взвесью - компьютерная томография может быть выполнена не ранее, чем 7 суток. Для исследований с внутривенным контрастированием пациенту необходимо сдать анализы крови на мочевину и креатинин (результаты анализов действительны в течение месяца).
Исследование проводится лежа на спине (при необходимости может быть дополнено положением на животе или на боку), одежда должна быть без металлических предметов. Через катетер, установленный в вену, вводится контрастное вещество. Выполняется сканирование тела. Процедура сканирования продолжается около 10-15минут. При необходимости врач может попросить пациента задержать дыхание на несколько секунд.
Для исследований с внутривенным контрастированием пациенту необходимо сдать анализы крови на мочевину и креатинин (результаты анализов действительны в течение месяца).
Дозовая нагрузка - около 12 мЗв (зависит о массы тела пациента)
Использование контрастного вещества:
Исследование проводится с введением неионного контрастного вещества (например, «Омнипак», «Ультравист») из расчета 1мл контрастного вещества на 1кг массы тела пациента.
Объемные построения (реконструкции): после окончания исследования проводится построение объемных реконструкций сосудов, мочевыводящей системы и костных структур на уровне исследования (изображения в 3D и 4D, MPR (многоплоскостные реконструкции)).
Преимущества перед рентгенологическим исследованием и МРТ:
• большая зона анатомического покрытия (возможность исследования сразу нескольких анатомических областей) и быстрота выполнения исследования
• трехмерное и четырехмерное моделирование органов позволяют более наглядно представить характер и распространенность патологического процесса и осуществлять более точное планирование хирургического вмешательства
• возможность диагностировать образования малых размеров на ранних этапах развития (до появления жалоб у пациента)
• проведение исследования для пациентов с металлическими имплантатами (суставы, аппараты внутренней и наружной фиксации и пр.), в том числе и с наличием электрокардиостимулятора
Недостатки исследования для диагностики конкретной патологии и локализации патологических изменений:
КТ внутренних органов что показывает

Компьютерная томография - высокоинформативное исследование, позволяющее обнаружить патологические изменения внутри организма без инвазивного проникновения: диагностические манипуляции не нарушают целостность тканей, как при лапароскопии. Множество срезов в поперечной проекции обрабатывает специальная программа. При помощи реконструкции получают изображения в других плоскостях и объемную модель зоны интереса.

На снимках видны нормальные анатомические структуры и отклонения
Во время компьютерного сканирования происходит облучение, поэтому процедуру не выполняют беременным и маленьким детям. КТ используют как альтернативную диагностику для пациентов с противопоказаниями к МРТ: металлическими имплантатами или функционирующими приборами (кардио-, нейро-, миостимуляторами, ортопедическими конструкциями и др.).
Процедура не занимает много времени и не сопряжена с болевыми ощущениями.
Что покажет КТ внутренних органов?

Перед рентгенологом стоят задачи выявить патологические изменения и определить характер заболевания
На КТ пациент чаще приходит с направлением врача, где на основании ранее выполненных исследований (УЗИ, колоноскопии, рентгенографии и др.) указан предварительный диагноз и обозначена зона интереса. В зависимости от предполагаемой патологии рентгенолог использует различные режимы сканирования, устанавливает оптимальную толщину срезов.
воспаление и осложнения - абсцессы, свищи;
конкременты в почках, простате (для выявления желчных камней больше подходит ультразвук);
травматические повреждения и пр.
На снимках видны:
внутренние органы: паренхиматозные - печень, почки, селезенка, простата - и полые - трахея, пищевод, кишечник, мочеточники, мочевой пузырь;
Какие внутренние органы исследуют при помощи КТ?

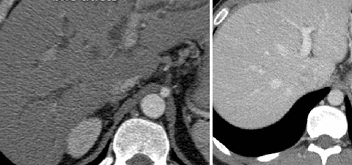
Компьютерная томография демонстрирует поликистоз почек и печени
С помощью КТ-сканирования оценивают:
Органы грудной клетки. На снимках видны острые и хронические изменения паренхимы легких. КТ показывает:
пневмонию, бронхит, плеврит;
поражение внутригрудных лимфатических узлов;
добро- и злокачественные новообразования (в том числе, локализованные в средостении), метастазы;

КТ в разных проекциях показывает опухоль в левой почке (стрелка)
Органы брюшной полости, ретроперитонеального пространства. КТ живота является точным методом для диагностики абдоминальных патологий:
опухолей (КТ показывает стадию и распространенность рака, ответ на лечение).
Процедура предпочтительна для выявления причин острой боли в животе, пояснице. К таковым относят:
нефролитиаз, закупорку мочеточника кровяным сгустком, белковой пробкой;
аневризма брюшной аорты
инфаркт, разрывы селезенки и пр.
Расширенные и нормальные желчные протоки на компьютерных сканах
КТ органов живота показывает патологии, сопровождающиеся болевым синдромом:
цирроз печени, гепатоцеллюлярную карциному, метастазы, гепатит;
опухоль поджелудочной железы, хроническое воспаление с вовлечением желчного пузыря (холецистит), протоков (холангит) и др.
Органы малого таза. Компьютерное сканирование назначают при подозрении на заболевания репродуктивной системы мужчин и женщин. КТ внутренних органов малого таза показывает:
аденому, простатит, камнеобразование, рак;
очаговое поражение мочевого пузыря (сканирование проводят для оценки инвазии опухоли в окружающие ткани), камни, цистит;
парапроктит, проктит, аппендицит, инородное тело в прямой кишке;
эндометрит, спаечные процессы, сальпингоофорит, кисты яичников, опухолевые патологии внутренней оболочки матки, шейки, врожденные пороки развития и пр.
Компьютерная томография органов с контрастом

КТ органов мочевыводящей системы с усилением
Контрастирование требуется не всегда, введение препарата необходимо при:
первичной оценке опухоли - пораженные и нормальные ткани выглядят по-разному, что важно для определения стадии онкологического процесса;
подозрении на рецидив рака после лечения - контрастирование помогает уточнить характер изменений в лимфатических узлах, дифференцирует фиброзную дегенерацию после операции и продолженный рост;
начальной стадии заболевания, когда изменения выражены незначительно;
проведении комплексного урологического исследования - КТ мочевыводящих путей показывает функцию каждой почки в отдельности, препятствие к оттоку урины на любом уровне, патологические рефлюксы, кисты и пр.
уточнении степени выраженности воспалительного процесса, диагностики осложнений;
выявлении изменений в сосудах - КТ-ангиография демонстрирует состояние артерий и вен, тромбообразование, окклюзию, атеросклеротические процессы, аневризмы, мальформации и пр.
противопоказаниях к проведению эндоскопической диагностики - КТ кишечника с двойным контрастированием предоставляет врачу исчерпывающую информацию о состоянии пищевого тракта и пр.
Пути введения усилителя:
Внутривенный, используют наиболее часто, красящее вещество на основе йода вводят в локтевой сосуд с помощью автоматического инъектора.

Визуализация внутренних органов на КТ с контрастированием - при приеме раствора внутрь
Пероральный, применяют для диагностики заболеваний тонкого кишечника. Более информативные снимки получают при двойном контрастировании. В качестве усилителей используют разведенный препарат на основе йода. Оральные контрастные вещества подходят для пациентов с небольшим количеством внутрибрюшинного жира.
Трансректальный. В зависимости от показаний, усилитель может быть введен перед исследованием в прямую кишку. Данный тип контрастирования выполняют в условиях стационара для диагностики осложнений - расхождений швов после операции, формирования свищевого хода. На снимках видны абсцессы малого таза, расположенные между петлями кишечника.
КТ без контраста проводят при оценке локализации и плотности конкрементов у пациента с мочекаменной болезнью, для диагностики патологий легких (кроме опухолей).
На внутривенное введение красящего вещества с йодосодержащей основой менее, чем в 10 % случаев развиваются побочные эффекты:
резкое падение артериального давления;
генерализованная аллергия по типу отека Квинке;
ухудшение функций почек;
лактоацидоз (при одновременном приеме метформина).

Подготовка к КТ
Нативная компьютерная томография может быть выполнена в момент обращения. Подготовка нужна при запланированном исследовании органов брюшной полости/ретроперитонеального пространства или малого таза с контрастированием. За несколько дней до диагностической процедуры необходимо перейти на особый режим питания с отказом от продуктов и напитков, вызывающих вздутие живота и усиленную перистальтику.
Из меню исключают:
свежие овощи, фрукты, зелень;
маринады, копчености, специи, соусы;
выпечку из дрожжевого теста;
молоко и производные;
жирное мясо, птицу;
квас, кисели, алкоголь, крепкий кофе, чай, лимонад, газированную воду.
В зависимости от области интереса и сопутствующей патологии лечащий врач может назначить:
очищение кишечника с помощью слабительных препаратов, клизмы;
прием спазмолитиков, сорбентов;
ферменты, ветрогонные и пр.
Перед КТ необходим 4-6 часовой голод. Легкий перекус за 20 минут до исследования может нивелировать тошноту, слюнотечение, неприятный привкус во рту.
Важные моменты
Перед диагностикой следует:
сдать анализ крови на креатинин ( результат действителен в течение 10 дней);
отказаться по согласованию с эндокринологом от приема метформина на 72 часа, возможна альтернативная схема лечения;
женщинам в период лактации сделать запас нескольких порций грудного молока, излишки утилизировать.
Что взять с собой:
полис ОМС/ДМС (если подразумевается оплата диагностики через фонд медицинского страхования);
выписки из истории болезни;
результаты выполненных ранее исследований.
МРТ или КТ внутренних органов: что лучше?

Какое исследование выбрать, зависит от медицинской ситуации, локализации патологического процесса, сопутствующих заболеваний и других нюансов
Читайте также:
