Коррекция окклюзии перед фиксацией коронок. Рекомендации
Добавил пользователь Евгений Кузнецов Обновлено: 28.01.2026
Сегодня CEREC развенчивает миф, что увеличение высоты нижней трети лица и, соответственно, прикуса является трудоемкой задачей, выполнимой только в содружестве с лабораторией. При наличии оборудования CEREC тотальную реконструкцию зубов с увеличением высоты прикуса можно выполнить в течение одного посещения.
Это возможно благодаря последнему программному обеспечению. Такие опции, как дизайн улыбки, виртуальный артикулятор и возможность виртуальной маркировки контактов зубов, делают тотальную реконструкцию прикуса легкой и увлекательной задачей. В представленном клиническом случае описана методика увеличения высоты прикуса у пациента в одно посещение с окклюзионными фасетками истирания. Описанная ниже методика, я уверен, не является новой, и хотя не описана в литературе, но используется многими клиниками, оборудованными технологией CEREC . В частности, в авторской клинике Тамары Прилуцкой данная методика успешно применяется уже в течение нескольких лет.
Следует понимать, что проводить реконструкцию зубов нужно при условии отсутствия или стихания клинических проявлений дисфункции височно-нижнечелюстного сустава. И после переустановки нижней челюсти в новое правильное положение, если это было необходимо, относительно начального с помощью, например, ортотика, в дальнейшем — с помощью CEREC Omnicam можно смоделировать новый прикус в одно посещение.
Материалы и методы
CEREC Omnicam , керамические блоки Trilux Forte Vita , набор для адгезивной фиксации Duo Cement Kit .
Клинический случай
Дизайн улыбки, виртуальный артикулятор и возможность виртуальной маркировки контактов зубов делают тотальную реконструкцию прикуса увлекательной задачей
Пациент обратился с жалобами на истирание зубов верхней челюсти и, соответственно, снижение высоты верхних резцов до такой степени, что они перестали быть видны при улыбке. В результате клинического обследования челюстно-лицевой области не выявлено мышечно-фасциальных напряжений, движения нижней челюсти были в полном объеме, симметричные, патологических изменений со стороны ВНЧ сустава не выявлено. Прикус прямой (рис. 1) . На фронтальных зубах верхней челюсти 13—23 определяются окклюзионные фасетки истирания, клиновидные дефекты в области 24 и 25 зубов (рис. 1, 2). Высоту нижних зубов не планировалось изменять, хотя на них также имелись окклюзионные фасетки истирания, но с небольшой потерей тканей (рис. 3, 15) , поэтому прикус повышался без трансверсальных и сагиттальных перемещений нижней челюсти, а именно — в привычной окклюзии только за счет увеличения высоты верхних зубов.
План лечения
Тотальное протезирование и повышение прикуса за счет увеличения высоты зубов верхней челюсти. В первое посещение — изготовление и фиксация керамических реставраций 9 зубов верхней челюсти. В последующие приемы планировалось завершить протезирование оставшихся зубов, и по факту это заняло следующие два посещения: во второе посещение — 11 зубов, 3 зуба верхней челюсти: 15, 16, 27 — и 7 зубов нижней челюсти: 44—31 и 34—36. В третье посещение — оставшихся двух зубов нижней челюсти, 32 и 33.
Лечение
В первое посещение проведено малоинвазивное препарирование 9 зубов верхней челюсти, что заняло не более 60 минут, то есть около 7 минут на зуб, что, по нашему мнению, очень много, так как препарирование было малоинвазивным (рис. 4). Прикус фиксирован в привычной окклюзии первым слоем слепочного силиконового материала. Во фронтальной области слепочная масса удалена до ее затвердевания, что позволяет провести визуальный контроль положения нижней челюсти по отношению к верхней и в последующем провести оптическую регистрацию прикуса (рис. 4) .
Виртуальное моделирование зубов — несложная процедура, так как все происходит в автоматическом режиме и лишь в некоторых случаях требуется вмешательство врача. В данном случае время моделирования 9 зубов заняло не более часа, фрезерование 9 реставраций — чуть более двух часов, глазурный обжиг — два раза по 15 минут, фиксация, коррекция по окклюзии и полирование окклюзионной поверхности — чуть более двух часов: общее время — шесть с половиной часов, если прибавить один час на препарирование. Но время приема пациента сокращается благодаря тому, что все этапы, кроме препарирования, происходят не последовательно, а параллельно; еще сокращает время приема факт наличия у стоматолога двух ассистентов, прекрасно обученных.
Например, виртуально смоделирован 26 зуб, необходимый по размеру и цвету керамический блок вставляется во фрезерный станок, и начинается процесс фрезерования. А в это время моделируются 25 и 24 зубы (рис. 6) , после фрезерования 26 зуба проводится его примерка, проверяются аппроксимальный и дистальный контакты, параллельно фрезеруется реставрация 25 зуба.
Когда готовы 3—4 реставрации, с выверенными аппроксимальными контактами, проводится нанесение глазури, и эти реставрации отправляются на глазурный обжиг. Вместе с тем продолжаются этапы виртуальной моделировки, фрезеровки, примерки и фиксации оставшихся реставраций (рис. 7) .
После глазурного обжига реставрации фиксируются с помощью DUO CEMENT VITA . После фиксации всех реставраций проводится пришлифовка зубов по окклюзии и полировка корректируемых областей.
Таким образом, в данном клиническом случае общее время первого приема составило 4 часа 45 минут (рис. 8) . Для контроля параллельности линии окклюзии — линии зрачков использовалась опция «дизайн улыбки» (рис. 9, 10) .
Для реставрации были выбраны VITABLOCS TriLuxe forte 2 M 2. Эти блоки состоят из четырех слоев, различающихся по интенсивности окраски. В данном клиническом случае это позволило создать естественные цветовые оттенки, как в структуре естественного зуба, за счет тонко выраженного цветового перехода от эмали к пришеечному слою с более подчеркнутым цветом в нижнем участке дентина и шейки (рис. 11, 12) .
При втором посещении планировалось завершить протезирование, но, когда время приема перевалило за 5 часов, решено было реставрацию двух оставшихся зубов, 32 и 33, перенести на следующий прием. Препарирование также было малоинвазивным (рис. 13—15) . В третье посещение работа была закончена (рис. 16, 17) .
Заключение
Быстрая реабилитация пациентов не является первостепенным по важности критерием методики CEREC . На первом плане все-таки остаются прецизионное качество прилегания реставраций, малоинвазивность и информативность: стоматолог постоянно видит виртуальную модель реставрируемого зуба с большим увеличением и может своевременно предотвратить свои ошибки, ведь пациент сидит в кресле. Стоматология сегодня агрессивна, часто пациенту предлагают удалить все зубы или тотально препарировать оставшиеся. По моему мнению, стоматология чаще вредит, чем помогает, пациент теряет деньги, но не получает здоровья. Методика CEREC меняет главное: пациент по-прежнему теряет деньги, но приобретает здоровье на долгие годы.
Сила «коронованной» улыбки
Если наблюдаете в зеркале стянутую губами улыбку, если стесняетесь показать собственные зубы даже самому себе, то надо решаться на поход к стоматологу. Недостатки внешнего вида развивают комплексы, замкнутость. Общение с людьми приходится ограничивать. Почему нельзя позволить себе быть лучше? Тем более, что технология стоматологии на сегодняшний день высока, способна «сотворить чудо» при любых нарушениях прикуса. Не секрет, что причинами недовольства отражением в зеркале становятся кривые зубы или неправильный прикус. Исправление прикуса коронками — один из самых кардинальных способов коррекции, возможный в любом возрасте.

Последствия неправильного прикуса
Прикус — это состояние смыкания зубов. При правильном прикусе смыкание осуществляется плотно, что позволяет мельче измельчать пищу и лучше прожёвывать.
Красота улыбки для любого человека крайне важна. Между учеными принято то обстоятельство, что красота определяет гармонию души и тела, является основным признаком здоровья. Открытая и широкая улыбка - ключ к успехам и в деловом поприще, и в победах личной жизни.
Если зубы - не предмет стеснения, а повод для гордости и уверенности, то перед человеком раскрываются многие возможности коммутативного характера.
И, напротив, не полное смыкание зубов - это не только некрасиво. При неправильном прикусе плохо пережеванная пища может привести к нарушениям работы пищеварительной системы. Деформация прикуса не позволяет полноценно очищать ротовую полость, это даёт дополнительную среду для развития вредных бактерий, создает предпосылки для развития кариеса и неприятных запахов из ротовой полости.
Перечисленные недостатки и проблемы ведут к ограничению в общении и развитию неуверенности, к социальной самоизоляции. В такой ситуации нет смысла говорить об уровне счастья или успешности.
Дабы не отталкивать людей комплексами и не вызывать неприятные ассоциации, нужно позаботиться об открытой улыбке, украшенной ровным рядом белоснежных зубов, настроится на серьезные перемены, которые станут осуществимы при посещении стоматологического кабинета.
Определение правильности прикуса
О состоянии прикуса может судить только специалист. Правильный прикус определяется в момент полного смыкания зубов. Правильность зависит от ровности и плотности примыкания зубов друг к другу.
Стоматологи тестируют правильность прикуса по сжатию специальной пластины между зубами.
Люди, имеющие правильный прикус, с трудом могут представить какие трудности может преподнести хоть малейшее отклонение - данное обстоятельство говорит об естественной связи между процессом приема пищи и другими сторонами человеческой жизни.
Те же, кто имеет хотя бы незначительное нарушение в прикусе, знают с каким трудом проговариваются некоторые звуки и как сложно пережевывать пищу, каким испытанием может быть диалог с новым знакомым.
Тестирование прикуса может показать следующие нарушения
- При смещении челюсти вперед, имеет место дополнительная нагрузка на мышце, которая фиксирует нижнюю челюсть. Данная деформация челюстного сустава может способствовать возникновению болевых ощущений в височной области, а также спровоцировать непроизвольное полное смыкание челюстей. Постоянная возникающая нагрузка без расслаблений мышц приводит к боли и утомляемости.
- При смещении челюсти назад происходит сужение дыхательных путей, затрудняется кровообращение. Эти недостатки приводят в период сна к возможной остановке дыхания и нарушению обмена веществ.
- Неправильный прикуслюбого вида приводит к ранней утрате зубов, может стать предпосылкой развития заболеваний эндокринной системы, сердечной недостаточности и даже укорачивания срока жизни.
Профилактика и при необходимости лечение прикуса является необходимым условием для физического и социального здоровья.
Стоматологи утверждают, что прикус — это прежде всего сложные связи взаимодействий системы организма, и только потом эстетическая сторона дела.
Способы коррекции прикуса
- Путь комплекса регулярных упражнений. Во время упражнений нагрузка приходится на жевательные и мимические мышцы. Упражнения способствуют профилактике, легкой коррекции и исправлению нарушения прикуса. Так же улучшают дикцию, формируют правильное положение челюстей и развивают мышечную память правильного движения; При всех достоинствах этого способа коррекции прикуса ест и минусы - этот процесс достаточно длителен, требует от человека много времени, сил и настойчивости.
- Путь применения ортодонтических аппаратов. В этом качестве используются трейнеры, пластины, капы и брекет-системы. Они позволяют корректировать прикус в любом возрасте при помощи физического воздействия. Один из самых эффективных способов коррекции прикуса, минус - некоторое удобство при применении, а также имеются ограничения использования при серьезных деформациях прикуса.
- Путь хирургического вмешательства. Хирургическая коррекция применяется только ко взрослым пациентам. Преимущество - возможно откорректировать даже самую сложную деформацию прикуса, отрицательная сторона в том, что хирургическое вмешательство - это всегда риск само по себе.
- Комплексный метод. Метод сочетает в себе применение ортодонтического и хирургического вмешательства; Данный метод хорош для кардинальных действий в плане коррекции прикуса.
- Ортопедическая коррекция (протезирование). Сюда относятся замена протезом удалённого зуба, установка виниров и коронок. Метод позволяет откорректировать прикус в кратчайшие сроки.
Наиболее кардинальным решением по коррекции прикуса является исправление посредством установки коронок. Данная процедура рекомендуется стоматологами в случае, когда в зубном ряду имеются зубы, величина которых не соответствует физиологической гармонии, а также тогда, когда некоторые из них имеют большие сколы или разворот относительно собственной оси. Этот же способ коррекции специалисты рекомендуют в случае большого межзубного пространства.
Несколько слов о коронках
Коронка — это изделие для микро протезирования, которое охватывает в качестве защиты всю внешнюю поверхность подготовленного к протезированию зуба.

Основные функции коронок заключаются в следующем: закрытие поврежденной части зуба, защита зуба с большими пломбами, а также служит в качестве защитной оболочки для импланта. Коронка может применяться в качестве крепежа зубного моста. Популярное применение коронки для изменения цвета зуба под натуральный или для другого эстетического эффекта.
Виды коронок
- Коронка из нержавеющей стали. Материал хорош как защитная мера для временного закрытия поврежденного зуба. Коронка из стали также применяется в детском протезировании.
- Металлы и сплавы металлов используются для коронок постоянного протезирования. При их установке удаляется небольшая часть зубного покрытия (так как толщина оболочки коронки минимальна) и крепится на цемент. При эксплуатации такие коронки меньше всех повреждают сторонние зубы, сами по себе долговечны. К недостаткам можно отнести лишь неестественность цвета.
- Металлокерамические коронки часто применяются при протезировании передних зубов, так как можно подобрать цвет, близкий к естественному.
- Цельнокерамические коронки предпочтительней для людей, страдающих аллергией на металл. Недостаток — они более хрупкие чем выше описанные материалы, и несколько больше стирают противолежащие зубы.
- Пластмассовые коронки - это самые не дорогие, но зато быстро изнашиваемые, и они также больше других подвержены сломам и сколам.
Коррекция прикуса посредством установки коронок
Для установки постоянных коронок обычно требуется два или три посещения стоматолога.
Порядок коррекции прикуса коронками
- Во время первого посещения происходит диагностика состояния зубов в целом, рекомендация специалиста по исправлена прикуса. Согласование работы с пожеланиями пациента. Проводиться шлифование зубов, намеченных к микропротезированию коронками. Затем изготовление слепков для лаборатории как зубов готовых к протезированию, так и других зубов верхних и нижних рядов для подтверждения того, что коронка поправит прикус. В это же посещение проводится установка временных коронок на время, пока изготавливаются постоянные.
- При втором посещении стоматолога пациенту устанавливают постоянные коронки. Путем тестирования подтверждается исправление прикуса.
- Третье посещение стоматолога возможно в случаи если пациент начинает ощущать боль или дискомфорт. Стоматолог устраняет причину раздражения или неприятных ощущений.
Условия правильного ухода за коронками
Пациенту следует помнить, что установка коронок не отменяет гигиенический уход за полостью рта.
Обычно считают, что если зуб закрыт коронкой, то защищен полностью, является глубоким заблуждением.
Зуб под коронкой также подвержен кариесу и болезням десен.
Поэтому уход за коронками (да и за состоянием зубов в целом) должен быть постоянным и тщательным. Не меньше двух раз в сутки необходимо чистить зубы зубной пастой.
А если наблюдается повышенная чувствительность зубов, то может рекомендовать чистить зубы особой пастой для чувствительных зубов, снижающей порог чувствительности. Раз в сутки зубной нитью тщательно убирать остатки пищи.
Существует ряд привычек, которыми не стоит увлекаться в целях профилактики для сохранения пломб и зубов в хорошем состоянии: нужно отвыкать грызть ногти, открывать зубами упаковки, разгрызать карамель и т.д.
Что нужно знать перед установкой коронок?
Коронкой называют специальную «насадку», которая помещается сверху зуба, чтобы восстановить его размер, форму, прочность. Далее рассмотрим виды коронок, их особенности, показания к установке, этапы протезирования.

Когда необходима установка коронки?
Коронки устанавливают:
- для восстановления сильно стертой зубной ткани;
- для сохранения зуба от негативных разрушительных воздействий при наличии патологической стираемости эмали;
- для удержания моста, коронка в этом случае служит опорой для промежуточного звена мостовидного протеза;
- для изолирования от окружающей среды зуба, если на нем недостаточно зубной ткани;
- для устранения эстетических дефектов, когда нарушена форма зуба, цвет или целостность;
- в качестве микропротеза после имплантации, в этом случае установка коронки будет финальным этапом восстановления удаленного зуба.

Разновидности зубных коронок
Современные коронки могут изготавливать из циркония, цельной керамики, металлокерамики, золота, стеклокерамики, фарфора и некоторых иных материалов. Сплавы металлов служат каркасом для изделия, после чего их покрывают керамикой. При использовании безметалловой керамики изделия могут иметь цельную структуру или содержать в составе диоксид циркония, который служит каркасом. Некоторые материалы морально устарели и из-за большого количества негативных проявлений не используются. Рассмотрим подробнее варианты коронок из различных материалов, выделим их плюсы и минусы:
Изменение прикуса при помощи протезирования: разбор клинического случая
Трудности с пережевыванием пищи, отсутствие зубов, недовольство своим внешним видом, невозможностью улыбаться окружающим - вот неполный перечень тех жалоб, с которыми пациентка обратилась за стоматологической помощью. Из опроса выяснилось, что из-за страха перед лечением визит к стоматологу откладывался надолго, а точнее - на 31 год…

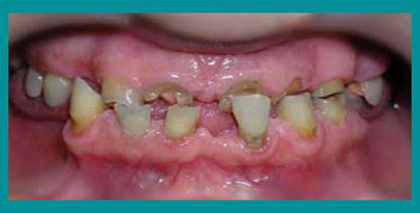
Осмотр выявил очень сильную горизонтальную стираемость верхних и нижних зубов, снижение высоты прикуса и изменение его из нормального в обратный (нижние зубы при смыкании находились впереди верхних). Одновременно на ортопантомограмме височно-нижнечелюстного сустава определялся двухсторонний подвывих нижней челюсти.

После осмотра и рентгенологического обследования зубочелюстной системы был предложен следующий план лечения:
- постепенное поднятие высоты прикуса при помощи протезирования,
- эндодонтическое лечение и подготовка оставшихся зубов к использованию в протезировании,
- изготовление культевых вкладок для создания коронковой части опорных зубов,
- переведение достигнутого центрального соотношения челюстей в центральную окклюзию, т.е. протезирование несъемными металлокерамическими коронками и частично-съемными бюгельными протезами.
Пациент был предупрежден о длительности лечения - оно должно занять не менее одного года. После расчета и моделирования ситуации на диагностических моделях и получения согласия пациента приступили к выполнению составленного плана лечения.
1 этап лечения
Сначала были изготовлены на верхнюю и нижнюю челюсти два пластинчатых протеза с небольшим повышением прикуса. Появилось равномерное смыкание задних зубов, результатом чего стала возможность пережевывания пищи.

2 этап лечения
Была проведена эндодонтическая подготовка зубов, все корневые каналы были вылечены, запломбированы и прикрыты временными пломбами.
3 этап лечения
Каждые два месяца проводился контроль при помощи телерентгенограммы височно-нижнечелюстного сустава. В итоге высота прикуса при помощи использования пластичных протезов увеличилась. В течение этого времени проводилась их регулярная перебазировка. Разобщение верхнего и нижнего зубных рядов становилось больше.
4 этап лечения
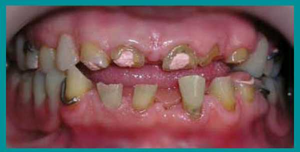
После появления необходимой высоты прикуса на передние зубы были изготовлены и установлены пластмассовые корневые вкладки и на них выполнены временные коронки.

Изготовление металлических вкладок пока было преждевременно, так как можно было ошибиться с размером и наклоном в переднезаднем направлении. С появлением временных пластмассовых коронок пациент стал улыбаться, смог не только пережевывать, но и откусывать пищу передними зубами. Так как изменение высоты прикуса происходило постепенно, пациент быстро и благополучно привыкал к создавшемуся положению и явлений дискомфорта не испытывал.
5 этап лечения
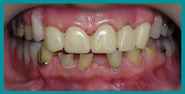
Когда необходимая высота прикуса была достигнута, были изготовлены металлические корневые вкладки. Далее были созданы бюгельные протезы на кламмерах с использованием металлокерамических коронок в виде опорных зубов.

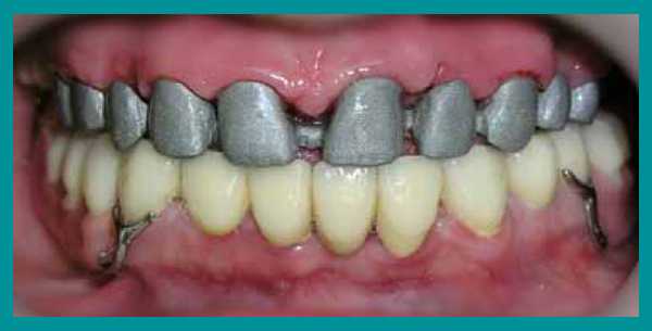
После фиксации металлокерамических коронок на постоянный цемент, коррекции и установки бюгельных протезов на кламмерах, пациент получил рекомендации по уходу за зубными протезами и проведению личной гигиены полости рта. План лечения был выполнен. Рекомендовано профилактическое посещение стоматолога каждые четыре месяца.

Итог лечения
От начала лечения и до его завершения прошло больше года. В итоге пациент получил эстетичные и очень функциональные зубы, исчез психологический дискомфорт. Одновременно была решена проблема неправильного прикуса, восстановлена работа височно-челюстного сустава.

Естественно, в подобных ситуациях есть и более удачные варианты решения подобных проблем (причем не только с точки зрения эстетики, но и функциональности зубов). В частности - удаление больных и разрушенных зубов и их одномоментная замена на импланты, с установкой протезов в срок до 3-х дней. Это методы имплантации зубов с немедленной нагрузкой протезом - all-on-4, Trefoil, Pro Arch или базальная имплантация с применением скуловых или базальных имплантов в аналогично сложных случаях, на которых специализируются челюстно-лицевые хирурги, имплантологи и ортопеды клиники Smile-at-Once.
Но подбор оптимальной программы лечения обязательно проводится с учетом финансовой возможности и желания клиента. Поэтому в данном случае, несмотря на то, что пациент мог решить проблему быстрее и эстетичнее, выбор был сделан именно на классическом протезировании - более бюджетном варианте восстановления утраченных зубов с оплатой каждого отдельного этапа.
Об авторе: Васин Юрий Александрович,
стоматолог-ортопед клиники Smile-at-Once
со стажем работы более 27 лет
Специалист в области съемного и несъемного протезирования, проведения эстетической реставрации зубов. Использует индивидуальный подход к лечению, проводит подбор наиболее подходящего способа восстановления жевательной и эстетической функции поврежденных зубов, опираясь на объективные данные состояния зубочелюстной системы пациента. Специализируется на протезировании зубов на имплантах с использованием одиночных коронок, съемных и условно-съемных конструкций. Проводит лечение заболеваний височно-челюстного сустава.
Протезирование при неправильном прикусе

Положение зубов при сомкнутых челюстях в стоматологии называют прикусом. К сожалению, далеко не каждый из нас может похвастаться идеально ровными зубами. У большинства людей наблюдаются нарушения прикуса. Чаще всего, они небольшие и их мало кто замечает, но бывают ситуации, когда неправильный прикус ярко выражен и доставляет множество неудобств. В этих случаях принято устанавливать брекеты. А что делать, если брекеты по каким-то причинам установить невозможно? В стоматологии разработали методы исправления прикуса протезированием, но врачи предупреждают, что применять их возможно в конкретных клинических случаях, строго по показаниям.
Виды прикуса
Все младенцы рождаются с неправильным прикусом. Нижняя челюсть у них сдвинута назад. Благодаря активному сосанию, она постепенно выдвигается вперед. При искусственном вскармливании нужно учитывать этот момент и не давать детям соску с большим отверстием, чтобы они тренировали мышцы, обеспечивая их нагрузку.
К этому времени становится ясно, какой вид прикуса сформировался:
Его еще называют физиологическим. У нормального прикуса есть варианты: нижние зубы слегка перекрываются верхними, зубы стыкуются, а не перекрывают друг друга, некоторые могут быть наклонены вперед. Главное определение - все зубы смыкаются, контакт между ними есть, боковые зубы смыкаются без щелей.
Верхние зубы закрывают нижние больше, чем на треть. Контакт нарушен. Такую патологию называют травмирующей, потому что она приводит к травмам слизистой, стиранию зубов, нарушению работы височно-нижнечелюстного сустава.
Между зубами остается щель, в результате пища не пережевывается полностью. Влияет дефект на процесс глотания и даже дыхания. Слизистые пересыхают, слюна не смывает налет вовремя, отсюда частый кариес, другие заболевания ротовой полости.
Щель образуется в результате того, что верхняя челюсть сильно выдвинута вперед. Сопровождается нарушениями функций дыхания, глотания, жевания. Часто возникают болевые ощущения в суставах.
При таком дефекте вперед выдвигается нижняя челюсть. При этой патологии могут наблюдаться две крайности: скученность зубов или щели между зубами (тремы и диастемы). При скученности, зубной камень накапливается очень быстро и если его вовремя не счищать, возникают болезни пародонта (гингивит, пародонтит).
Зубы перекрывают друг друга внахлест. Такой дефект сложно поддается лечению, вынуждает прибегать к хирургическим методам. Приводит к деформации лица, нарушению работы ВНЧС, постоянным травмам слизистой.
Перед тем, как приступить к лечению, врач-стоматолог определяет вид прикуса. Это не всегда возможно сделать только при осмотре. Определяют прикус при протезировании с помощью рентгенологического обследования, функциональных и биометрических проб.
Показания к ортопедическому лечению
- Аномалии черепного скелета при отказе от хирургического вмешательства;
- сочетание аномалий с большим дефицитом зубов;
- отказ от ортодонтического лечения;
- незначительный эффект ортодонтических манипуляций;
- невозможность применения ортодонтических изделий.
При значительных дефектах используют ортодонтическое и ортопедическое вмешательство в комплексе, одно протезирование к прогрессу не приведет.
Протезирование при глубоком прикусе
Задача ортопеда в этом случае заключается в том, чтобы устранить повреждение слизистых, воссоздать окклюзию (касание зубов при смыкании), равномерно распределить жевательную нагрузку и восстановить высоту нижнего отдела лица.
Для этого выравнивают окклюзионные поверхности зубов, сошлифовывая твердые ткани. Если отсутствует большое количество единиц, применяют частичные съемные протезы с окклюзионными накладками. Если зубы целы, проводят исправление прикуса коронками.
Методы коррекции открытого прикуса
Зубы, которые не дают челюсти сомкнутся, сошлифовывают. После небольшого сошлифовывания поверхность полируют и применяют препараты кальция и фтора для реминерализации. При сошлифовывании значительной толщины, зуб покрывают коронкой.
Зубы, которым недостает высоты, наращивают коронками. В случаях недостаточной высоты передних зубов, можно использовать виниры. Если все зубы целы, то главная цель - создать окклюзионный контакт. Если часть отсутствует, то задача усложняется. Нужно восстановить зубной ряд и окклюзию одновременно. Для этого применяют мостовидные и съемные протезы (бюгели).
Протезирование при перекрестном прикусе
Вмешательство возможно только при скелетной форме аномалии, если пациент отказался от других видов помощи. В сохранном зубном ряду проводят установку коронок на боковые зубы. При большом перекрытии укорачивают натуральную коронку (часть зуба, которая видна), спиливая лишнее. При недостатке зубов, используют мостовидные протезы.
При незначительном наклоне зубов ограничиваются препарированием. При больших отклонениях используют вкладки, изменяя их ось по отношению к оси корня. Такие протезы при неправильном прикусе применяют, если отклонение не превышает 15 градусов. Сверху на культю с вкладкой надевается коронка.
Незначительные дефекты

Имплантация
Стоматологи недаром настаивают на том, чтобы при утрате зуба его восстанавливали как можно скорее. Природа не терпит пустоты, соседние зубы наклоняются в сторону проема, а антагонисты удлиняются, выпирая из десны. Это усложняет имплантацию.

Операция возможна, только если соседние зубы не мешают установке импланта. Но если корни сдвинулись или коронки сильно наклонились, сначала нужно провести ортодонтическое лечение.
Существует методика ортодонтического протезирования, при которой брекеты закрепляют на микроимпланты. Неподвижная опора лучше переносит нагрузки, чем живые зубы. После завершения ортодонтического протезирования, микроимпланты удаляют.
Протезирование при неправильном прикусе требует особого мастерства и вдумчивого отношения. Если стоматолог считает, что без ортодонтического лечения не обойтись, стоит к нему прислушаться. Цена на комплексное лечение выше, но результат качественнее. Хотя часть дефектов поддается коррекции ортопедическими методами, наибольшего эффекта достигают в результате комплексного подхода (ортодонтии и протезирования).
Читайте также:
