КТ, МРТ посттравматической кисты спинного мозга
Добавил пользователь Евгений Кузнецов Обновлено: 21.11.2025
Спинальные (позвоночные) кисты — это частая проблема людей старшей возрастной группы. Причина возникновения этих образований все еще не установлена, но часто приобретенные кисты возникают вследствие дегенерации и нестабильности позвоночного столба.
Чаще всего эта проблема диагностируется на уровне поясницы, так как именно на этот отдел приходится самая большая нагрузка. У людей со спинальными кистами могут быть и другие дегенеративные нарушения опорно-двигательного аппарата: артрит и заболевания межпозвоночных дисков. Подробнее о видах кист, их симптомах и вариантах лечения, а также, чем отличается киста от грыжи позвоночника — вы узнаете из этой статьи.
Лучше записаться на консультацию специалиста и врач проконсультирует и расскажет о методе лечения. Прием может быть как очный, так и в онлайн формате
Оставьте контакты, мы перезвоним вам и расскажем о методе лечения, запишем на консультацию к специалисту.
Прием может быть как очный, так и в онлайн формате
Что такое киста позвоночника?
Киста — это полостное образование, заполненное жидкостью. Она может локализоваться в любом участке позвоночного столба, а также в спинномозговом канале. Среди всех заболеваний позвоночника киста считается самым редким вариантом. Спинальные кисты одинаково встречаются как у женщин, так и у мужчин.
Виды позвоночных кист
- Синовиальные кисты — это своеобразные мешочки, заполненные жидким содержимым. Они формируются у фасеточных суставов позвонков. Синовиальная оболочка представляет собой тонкую полоску внутрисуставной ткани, которая вырабатывает жидкость для смазывания поверхности суставов. Когда начинается постепенное разрушение фасеточных суставов, суставная жидкость активно накапливается для обеспечения защиты. Ее небольшой объем может выходить за пределы капсулы, но, оставаясь в синовиальной оболочке, образуется выпячивание — киста.
- Ганглионарные (узловые) кисты — это образования, которые не связаны с суставной полостью и лишены внутренней синовиальной выстилки.
Дисковые кисты — это редко встречающийся вариант кисты. Он относительно недавно выделен как самостоятельный диагноз. Стенки такой кисты состоят из плотной соединительной ткани и содержат жидкость желто-молочного цвета. Симптомы кисты возникают обычно при одностороннем сдавлении корешка спинномозгового нерва. Заболевание чаще всего поражает верхние межпозвонковые диски поясничного отдела.
Арахноидальные кисты — это большая группа полостных образований с разными механизмами формирования. Этот вид кист может встречаться в любом возрасте и располагаться в шейном, грудном и пояснично-крестцовом отделах позвоночника.
- экстрадуральной, содержащей нервные волокна — сюда входят кисты из твердой мозговой оболочки (менингеальные) и периневральные кисты крестцового отдела позвоночника (кисты Тарлова).
- экстрадуральной, не содержащей нервные волокна.
- интрадуральной (в пределах твердой мозговой оболочки спинного мозга).
Арахноидальная киста Тарлова в крестцовом отделе позвоночника представляет собой заполненный жидкостью мешочек вокруг нервного корешка. Сакральный отдел позвоночника — самая частая локализация этого вида кист. Однако, их появление в других областях позвоночного канала не исключено. Например, киста в шейном отделе позвоночника, симптомы которой не были распознаны сразу, может в дальнейшем стать случайной находкой на рентгенограммах.
Периневральные кисты обычно возникают вокруг задних спинномозговых корешков. Основное отличие кисты Тарлова от других патологий — наличие волокон корешков спинномозговых нервов в стенке или в полости кисты.
Периневральные кисты зачастую множественные, могут содержать от нескольких миллилитров до 2-3 литров спинномозговой жидкости.
Кисты головного мозга и их диагностика
МРТ головного мозга. Т2-взвешенная аксиальная томограмма. Арахноидальная киста. Цветовая обработка изображения.
Кисты головного мозга в большинстве своем относятся к аномалиям развития. Некоторые образования, возникшие на почве нарушения развития, имеют сходные с кистами черты.
Эпидермоидные кисты (эпидермоиды) - доброкачественные врождённые образования. Они происходят из эктопических эпидермальных клеток и развиваются в период закрытия, в 3-5 нед. эмбриогенеза, как следствие неполного разделения нейрональной и покровной эктодермы. Частота составляет около 1% от внутричерепных образований. Обычно диагностируются в возрасте 25 - 45 лет. Локализация эпидермоидов может быть любой, но типичная - мосто-мозжечковый угол (третье по частоте образование этой области), предмостовая цистерна, параселлярная область, четверохолмие и желудочковая система, очень редко в полушариях, спинном мозге и интрадиплоидно. Растут они интра- или экстрадурально, экспансивно, медленно, сдавливая ствол мозга, внутричерепные нервы, но не разрушая кость. Иногда захватывают сосуды и нервы. По характеру роста их можно отнести к опухолевидным образованиям. Вокруг эпидермоидов нередко развивается асептическое воспаление, а при разрыве содержимое (жир, кератин) прорывается в ликворные пространства. Клинические проявления зависят от локализации и масс-эффекта.
При МРТ головного мозга картина неспецифическая и зависит от содержимого кисты. Если она не содержит жира, то имеет ликворную интенсивность сигнала . В таком случае эпидермоидная киста трудно отличима от арахноидальной, хотя, как правило, не столь однородная. На МРТ типа FLAIR и диффузионно-взвешенных МРТ изображениях содержимое эпидермоидов светлее ликворного. Жировое содержимое, такие эпидермоиды еще называют холестеатомой, приводит к высокому сигналу на Т1-взвешенных МРТ головного мозга. Видимо, он обусловлен липидами, но не холестеролом. На Т2-взвешенных МРТ головного мозга он менее интенсивен чем ликвор. Контуры эпидермоидов всегда четкие. Холестеатомы составляют всего 3-5% от эпидермоидов. В 15-20% случаев встречается кальцификация по переферии кисты. Редко наблюдается контрастирование стенок.
МРТ головного мозга. Т1-взвешенные корональная и сагиттальная МРТ. Эпидермоидная киста левой височной доли.
Дермоидные кисты встречаются реже эпидермоидных, составляя около 0,3 % от внутричерепных образований. Обычно выявляются в возрасте между 10 и 20 годами. Морфологически от эпидермоидов их отличает наличие эктодермальных элементов - волосяных фолликулов, потовых желёз и т.д. Типично они расположены по средней линии (в отличие от эпидермоидов, которые чаще внеосевые): в супраселлярной цистерне, субфронтально, вокруг моста и, очень редко парапиниально, периорбитально, в IV желудочке, в области конского хвоста и интрадиплоидно. От эпидермоидных кист на МРТ головного мозга их отличает только выраженная неоднородность структуры, кроме того, они всегда яркие на Т1-взвешенных МРТ головного мозга за счёт большого содержания липидов. При разрыве и прорыве в субарахноидальное пространство в нём появляется уровень, на Т1-взвешенных МРТ головного мозга светлый жир плавает на ликворе.
Липома представляет собой скопление в субарахноидальном пространстве зачаточных жировых клеток с примесью коллагена. Происходят липомы из остатков примитивной эмбриональной оболочки. Эта мальформация оболочек мозга связана с нарушением дифференцировки мезенхимы на мягкую мозговую оболочку и субарахноидальное пространство. Частота липомы составляет менее 0.5% от внутричерепных образований. Обычно липомы локализуется в мозолистом теле, в межполушарной щели, воронке гипофиза и гипоталамусе, реже вокруг червя мозжечка и пластины четверохолмия и мосто-мозжечковом углу и Липомы мозолистого тела сочетаются с его агенезией и в 60% случаев с распространением на сосудистое сплетение. При МРТ головного мозга липома четко очерчена, без отека вокруг и масс-эффекта, кость не разрушает. Структура образования чаще однородная, жировой интенсивности сигнала - то есть выраженно гиперинтенсивная на Т1-взвешенных МРТ и немного менее интенсивная по отношению к ликвору на Т2-взвешенных МРТ. Иногда встречаются неоднородные липомы с участками низкого сигнала от кальцинатов и сосудов, проходящих ее насквозь. При сомнениях в диагнозе надо выполнить МРТ головного мозга с подавлением жира или можно сделать КТ. На КТ липома всегда резко гиподенсна и может содержать включения кальция.

МРТ головного мозга. Сагиттальная Т1-взвешенная МРТ. Липома мозолистого тела.
Эпендимальные кисты встречаются очень редко. Они представляют собой врождённую отшнуровку внутри желудочков или цистернах . На МРТ головного мозга контур кисты четкий, сигнал ликворной интенсивности или чуть светлее за счет отсутствия пульсации и примеси белка, структура однородная. В отличие от кист прозрачной перегородки она не расщеплена, а смещена.
Арахноидальные кисты представляют собой скопление ликвора между листками расщепленной паутинной оболочки. Арахноидальная киста обычно не сопровождается другими мальформациями. Незначительная часть арахноидальных кист имеет приобретенное происхождение - следствие лептоменингита, операции или кровоизлияния. Частота составляет около 1% от внутричерепных образований. Соотношение полов М:Ж, как 4:1. Типичная локализация - средняя черепная ямка (в области Сильвиевой борозды 50%), межполушарная щель, мосто-мозжечковый угол (11%), за скатом или на уровне четверохолмия (10%), в области червя мозжечка (9%), реже в области межножковой и предмостовой цистерн (3%), а также супраселлярной и хиазмальной цистерн. Ретроцеребеллярная арахноидальная киста довольно часто встречаются за мозжечком и отличима от mega cisterna только по неизменённой задней черепной ямке. Содержимое кисты чисто ликворное, стенки гладкие, чётко очерченные, внутри кисты могут быть перегородки. Мелкие арахноидальные кисты очень трудно увидеть. Меняя ширину окна и его уровень на Т1-взвешенных МРТ изображениях можно заметить, что киста чуть светлее ликвора. Дифференциальная диагностика с эпидермальными кистами лучше осуществляется с помощью МРТ последовательности FLAIR. Эпидермальные кисты становятся яркими, в отличие от гипоинтенсивных арахноидальных.
Нейроглиальные (нейроэпителиальные) кисты - врождённые кисты различной этиологии, локализующиеся в паренхиме мозга или в области сосудистого сплетения желудочков. Обычно округлые, с гладкими стенками. Очень часто такие кисты сочетаются с аномалиями развития: отсутствием прозрачной перегородки и полимикрогирией. При МРТ головного мозга содержимое кист ликворное, иногда с небольшой примесью белка.
Коллоидная киста - это врождённое нейроэпителиальное образование. Коллоидная киста выстлана эпителием и имеет фиброзную капсулу. Она составляют около 1-2% объемных внутричерепных образований. Обычно диагностируются в возрасте между 30 и 50 годами. При МРТ головного мозга видно, что киста всегда расположена в переднее-верхнем отрезке III желудочка между отверстиями Монро. Контур ее четкий, форма округлая, содержимое бывает неоднородное. Размер от 3 мм до 4 см, при больших размерах она закрывает отверстия Монро и вызывает окклюзионную гидроцефалию. Сигнал зависти от примеси белка к ликвору. При наличии белкового мукоидного содержимого киста гиперинтенсивна на Т1-взвешенных МРТ и гипоинтенсивна на Т2-взвешенных МРТ, но встречаются варианты гиперинтенсивные на томограммах обоих типов кольцевидные или смешанные . Контрастирования не наблюдается.
КТ и МРТ головного мозга. Коллоидная киста III желудочка.
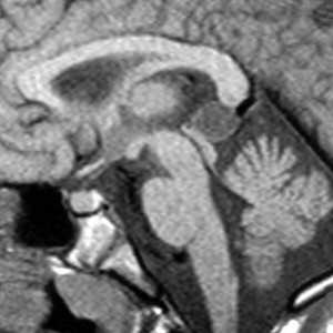
Киста кармана Ратке представляет собой редко встречающееся образование из остатков эмбриональной эктодермы (щель Ратке), расположенное между долями гипофиза. Выявляется в любом возрасте, но чаще в 50-60 лет. Клинические проявления связаны с масс-эффектом. При головного мозга выявляется небольшая (3-5 мм) киста с четким контуром, без отека вокруг, однородная по структуре. Сигнал зависит от содержимого. При серозном содержимом сигнал типично жидкостный, при мукоидном киста светлая на Т1-взвешенных МРТ. В редких случаях киста достигает больших размеров и даже выходит за пределы седла. Стенка кисты иногда усиливается при контрастировании.
МРТ головного мозга. Т2-взвешенная корональная МРТ. Киста кармана Ратке.
Пинеальная киста расположена в проекции шишковидной железы. Встречается с частотой 4-11%. Размеры обычно не превышают 1 см, но изредка встречаются больших размеров. В таких случаях она вызывает окклюзионную гидроцефалию. При головного мозга она имеет все признаки кисты с примесью белка в жидкости, то есть немного светлая на Т1-взвешенных. Изредка встречается геморрагическое содержимое. Киста может контрастироваться по периферии.

МРТ головного мозга. Сагиттальная Т1-взвешенная МРТ. Пинеальная киста.
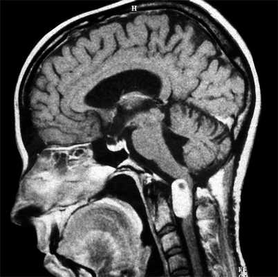
Кисты средней линии - киста прозрачной перегородки (cavum septi pellucidi), полость Верге (cavum Vergae) и киста промежуточного паруса (cavum veli interpositi) - являются нормальными структурами головного мозга плода. В течение 6 месяцев после рождения у большинства людей они запустевают, но могут и сохраниться, визуализируясь при этом на МРТ головного мозга. По-видимому, эти полости не имеют клинического значения и относятся к случайным находкам при томографии. Киста прозрачной перегородки (еще называют V желудочком) является медиальной стенкой боковых желудочков и ограничена спереди коленом мозолистого тела, сверху мозолистым телом и сзади столбами свода . Полость Верге представляет собой продолжение кисты прозрачной перегородки кзади и расположена между телами желудочков . Обычно обе кисты сочетаются. Киста промежуточного паруса расположена в крыше III желудочка (tela choroidea), между треугольниками боковых желудочков на уровне отверстий Монро. Она ограничена сверху мозолистым телом, cзади цистерной четверохолмия и снизу III желудочком.
При МРТ в СПб мы обращаем внимание на возможность не только врожденных, но и редких состояний, к которым относятся приобретенные кисты головного мозга, причиной которых могут быть:
- последствия ОНМК
- опухолевые кисты
- паразитарные кисты

МРТ головного мозга. Корональная Т1-взвешенная МРТ. Многокамерные эхинококковые кисты.
Кисты головного мозга одинаково хорошо видны в высоких полях и низкопольных открытых МРТ. МРТ СПб дает место выбора выполнения МРТ.
Хроническая травма спинного мозга

МРТ позвоночника. Т2-взвешенная сагиттальная МРТ. Компрессия спинного мозга. Цветовая обработка изображения.
Изменение клинической симтоматики в хроническом периоде травмы, такое как наростание симптомов миелопатиии, повышение уровня неврологического дефицита, боли и увеличение мышечного спазма служат признаками развития поздних осложнений. Для оценки их характера показана МРТ позвоночника. Вместе с тем, надо иметь ввиду, что у таких пациентов часто имплантированы металлические конструкции, создающие артефакты. Осторожности требует исследование пациентов с нейростимуляторами.
Типичными для хронической травмы изменениями при МРТ позвоночника являются миеломаляция, киста и атрофия спинного мозга. Посттравматический отёк спинного мозга приводит к его ишемии, с последующей демиелинизаций и глиозом. Патогенетической основой формирования кисты служит интрамедуллярная гематома. При ее резорбции остаётся локальная киста. Соединение кисты со спинномозговым каналом приводит к его расширению, а адгезия к нарушению оттока ликвора.
Миеломаляция, видимая при МРТ - это не конкретное заболевания, а изменения спинного мозга по типу локального отёка, последующего некроза, и заместительного глиоза. Миеломаляция при МРТ позвоночника может выявляться уже через 2 месяца после травмы. «Ранняя» (до 6 мес мосле травмы) миеломаляция может обратима. В большинстве случаев изменения сохраняются годами и сочетаются по данным МРТ с атрофией спинного мозга и сирингомиелитической кистой. Клинические проявления миеломаляции состоят из нижнего вялого парапареза, арефлексии и нарушений чувствительности ниже уровня поражения. Иногда встречается восходящее течение неврологического дефицита, что отражает диффузную миеломаляцию. Миеломаляция на МРТ выглядит как нечётко очерченный небольшой участок гиперинтенсивный на Т2-зависимых МРТ и гипоинтенсивный на Т1-зависимых МРТ.

МРТ шейного отдела спинного мозга. Миеломаляция. Т2-взвешенная сагиттальная МРТ.
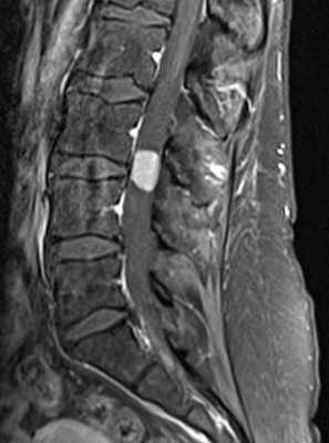
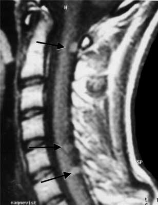
Локальная киста обычно наблюдается в месте наибольшего сдавления спинного мозга кистой или грыжей диска. Чаще они наблюдаются при травмах шейного отдела позвоночника. Киста при МРТ позвоночника имеет типичный ликворный сигнал в спинном мозге и может быть окружена зоной миеломаляции.

МРТ шейного отдела позвоночника. Локальная киста. Т2-взвешенная сагиттальная МРТ.
Атрофией считается уменьшение передне-заднего измерения спинного мозга по результатам МРТ меньше 7 мм в шейном отделе и меньше 6 мм в грудном. Участок атрофии при МРТ может быть локальным или протяжённым, если он распространяется более чем на 2 позвонковых сегмента. Граница атрофии на Т2-взвешенных МРТ нечёткая. Распространённая атрофия является типичным отдалённым последствием спинальной травмы.
МРТ шейного отдела позвоночника. Компрессия и атрофия спинного мозга. Т2-взвешенная сагиттальная МРТ.
Сирингомиелитические кисты как отдалённое последствие спинальной травмы встречаются у 3-4% пациентов с неврологическими нарушениями. В целом, они относятся к отдалённым последствиям трамы, хотя известны случаи раннего формирования сирингомиелитических кист. Чаще кисты выявляются при МРТ грудном отделе спинного мозга. Замечена связь сирингомиелитических кист с деформацией позвоночного канала и посттравматическим его стенозом. В отличие от истинной сирингомиелии они развиваются на фоне атрофии и обычно не сопровождаются вздутием спинного мозга. Кисты наблюдаются с одинаковой частотой как выше, так и ниже уровня травмы. Протяжённость кисты может быть любой. Содержимое кисты обычно ликворное, но бывает и с примесью белка, что повышает сигнал от её содержимого на Т1-зависимых МРТ. На Т2-зависимых МРТ в кисте могут быть зоны потери сигнала, что отражает повышенное давление внутри неё. Отмечено, что дренаж кист в этих случаях наиболее эффективен. Изредка при МРТ в кистах встречаются перегородки.
МРТ шейного отдела позвоночника. Кистозно-атрофические изменения. Т2-взвешенная сагиттальная МРТ.
Под разрывом спинного мозга понимают отсутствие его изображение при МРТ на протяжении участка на уровне травма или ниже его. Разрывы чаще наблюдаются в грудном отделе с частотой около 4%. Полный перерыв нередко сочетается при МРТ позвоночника с миеломаляцией и атрофией окружающего спинного мозга.
МРТ грудного отдела позвоночника. Полный разрыв спинного мозга.
Спинной мозг может прикрепляться прочно к к стенке позвоночного канала, что даже приводит к его продольным разрывам. Часто при МРТ наблюдается весь комплекс изменений спинного мозга : диффузная атрофия, кисты и расщепление.
МРТ СПб позволяет выбирать место томографии, при этом специализированное нейрохирургическое учреждение - лучший выбор. При МРТ в СПб мы чаще смотрим последствия спинальной травмы в в том числе и в открытом МРТ,
МРТ опухолей спинного мозга

МРТ позвоночника. Аксиальная Т2-взвешенная МРТ грудного отдела. Невринома по типу “песочных часов”. Цветовая обработка изображения.
При МРТ позвоночника могут быть выявлены не только дегенеративные заболевания и грыжи дисков, но и опухоли. Экстрадуральные опухоли, в основном метастазы в позвонки, рассматриваются нами в специальной статье. Интрадуральные опухоли могут быть экстрамедуллярными (внутри позвоночного канала, но вне спинного мозга) и интрамедуллярными (собственно спинного мозга). И те и другие могут проявляться миелопатическим синдромом. МРТ в СПб спинного мозга осуществляется одновременно с МРТ позвоночника по стандартным программам, с добавлением МРТ с контрастированием. Стойкое подозрение на опухоль мозга позволяет исследовать область прицельно. На открытом МРТ срезы чуть толще, однако, обычно это не сказывается на качестве диагностики. МРТ СПб позволяет выбирать место выполнения МРТ, мы рекомендуем Вам обследоваться у нас, так как имеем большой опыт МРТ позвоночника в нейрохирургии.
Экстрамедуллярные интрадуральные опухоли
Общая частота экстрамедуллярных опухолей составляет около 3 случаев на 100 тыс. населения. У взрослых соотношение экстра/интрамедуллярные опухоли составляет 70/30%, у детей - 50/50%. В интрадуральном пространстве чаще всего встречаются доброкачественные опухоли. Из них большинство представлено менингиомами и невриномами. Гораздо реже встречаются нейрофибромы, эпендимомы, параганглиомы и гранулоцитарные саркомы.
Невриномы (шванномы) и нейрофибромы составляют примерно половину опухолей этой локализации и 35% от всех спинальных опухолей. Гистологически невриномы происходят из шванновских клеток оболочек нерва (леммоцитов), прилегающих к заднему корешку. Обычно диагностируются они в возрасте 20 - 50 лет, у мужчин проявляются несколько в более молодом возрасте, чем у женщин. Они почти всегда одиночные, инкапсулированные, располагаются в любом отделе, но чуть чаще в поясничном или верхнем шейном. Множественные невриномы встречаются исключительно редко при нейрофиброматозе типа II. Нейрофибромы состоят из шванновских клеток и фибробластов, некоторые окружают задний корешок. Они почти всегда множественные и связаны с нейрофиброматозом типа I (болезнь Реклингхаузена). От 2 до 12% нейрофибром перерождаются злокачественно, превращаясь в нейрофибросаркомы. Несмотря на различие в гистологии характер роста опухолей одинаковый. Около 15% из них распространяются в экстрадуральное пространство через одно или несколько межпозвоночных отверстий, приобретая вид “песочных часов”. Такой тип роста особенно типичен для шейной локализации. На рентгенограммах рост по типу «песочных часов» может быть выявлен по расширению межпозвоночного ответстия и эрозии корня дуги. Клинические проявления неврином и нейрофибром состоят в радикулопатическом и миелопатическом синдромах.
На МРТ Т1-взвешенного типа и невриномы, и нейрофибромы изо- или слегка гипоинтенсивны по отношению к спинному мозгу. Однако, встречаются случаи и повышенного сигнала за счет сокращения Т1 мукополисахаридами, связанными с водой. Протонная плотность при МРТ повышена, а на Т2-взвешенных МРТ они чаще неоднородные, могут быть очень яркие участки, где имеется высокое содержание воды, и сравнительно низкого сигнала, особенно в центре. Обе опухоли хорошо контрастируются при МРТ. По форме невриномы округлые, границы ровные, четкие. Нейрофибромы вытянуты вдоль корешка, что лучше видно на корональных МРТ. Размеры могут быть самыми различными.
Дифференцировать невриномы и нейрофибромы надо с менингиомами. Последние во всех отделах, кроме шейного расположены чаще кзади, отличаются по форме и обычно изоинтенсивные спинному мозгу на Т2-взвешенных МРТ.

МРТ шейного отдела позвоночника. Нейрофиброматоз тип II. Множественные невриномы (стрелки). Т1-взвешенная МРТ с контрастированием.
МРТ грудного отдела позвоночника. Невринома с интра-экстрадуральным типом роста. Корональная Т1-взвешенная МРТ, поперечная Т 1-взвешенная МРТ с контрастированием. Увеличение зоны интереса.
МРТ поясничного отдела позвоночника. Нейрофиброматоз тип I. Множественные нейрофибромы (стрелки). Сагиттальная и поперечная Т1-взвешенные МРТ с контрастированием, корональная Т2-взвешенная МРТ.
Менингиомы составляют до 40% опухолей этой локализации и 25% от всех спинальных опухолей. Обычно диагностируются в возрасте около 40-50 лет. Редко спинальные менингиомы встречаются у детей (3-6% от всех случаев менингиом) как проявление нейрофиброматоза II типа. При этом заболевании менингиомы могут быть множественные, что составляет около 2% от случаев менингиом. Происходят менингиомы из паутинной оболочки. Они инкапсулированы, имеют широкое основание, хорошо васкуляризированы, часто содержат кальцинаты и редко подвергаются кистозной дегенерации. У женщин встречаются в 4 раза чаще, чем у мужчин. Растут они очень медленно. Интрадурально расположены 85% менингиом и около 6% экстра-интрадурально и около 7% - экстрадурально. Около 75 - 80% менингиом располагаются в грудном отделе позвоночного канала, 15 - 17% в шейном отделе, 3% - в поясничном и около 2% в области большого затылочного отверстия. Злокачественные спинальные менингиомы описаны в казуистических наблюдениях. Клинические проявления состоят из локальных болей в спине и миелопатическом синдроме при компрессии спинного мозга.
На Т1-взвешенных МРТ менингиомы изоинтенсивны спинному мозгу. На Т2-взвешенных МРТ фибробластные менингиомы, как правило, низкого сигнала, в то время как другие гистологические варианты обычно умеренно повышенного сигнала. Контрастирование при МРТ быстрое и равномерное, иногда охватывающее и прилегающую твердую мозговую оболочку (“дуральные хвосты”). По форме на сагиттальных и корональных МРТ позвоночника менингиомы обычно полукруглые, с широким основанием, обращенным к оболочке. Менингиомы четко очерчены при МРТ. Рост по типу “песочных часов” нетипичен.

МРТ грудного отдела позвоночника. Интрадуральная менингиома в грудном отделе. Сагиттальная Т1-взвешенная МРТ с контрастированием.

МРТ шейного отдела позвоночника. Интрадуральная менингиома на уровне C1/2. Сагиттальная и Т1-взвешенная МРТ с контрастированием.

МРТ поясничного отдела позвоночника. Интрадуральная менингиома в поясничном отделе. Сагиттальная Т1-взвешенная МРТ после контрастирования.
Интрадуральные экстрамедуллярные метастазы ( лептоменингеальный карциноматоз) происходят они из злокачественных опухолей ЦНС и распространяются вдоль мягкой мозговой оболочки с током ликвора. Чаще они наблюдаются в детском возрасте. Отдаленные лептоменингеальные метастазы из раковых узлов, меланом и лимфом, занесенные через кровоток или по лимфатическим путям, встречаются исключительно редко. Характерная локализация лептоменингеальных метастазов в поясничном отделе.
Иногда на Т1-взвешенных МРТ удается увидеть узлы изоинтенсивные корешкам конского хвоста. На Т2-взвешенных МРТ они часто сливаются с ликвором. Поэтому если у больного опухоль, известная частым метастазированием, надо обязательно выполнять МРТ с контрастированием. Вместе с тем, отсутствие метастазов по результатам МРТ должно быть дополнительно подтверждено многократным цитологическим анализом ликвора.

МРТ шейного отдела позвоночника. Лептоменингеальные метастазы (стрелки). Сагиттальная Т1-взвешенная МРТ с контрастированием.
Эпендимомы экстрамедуллярной локализации растут из конуса и конечной нити. По гистологии относятся к миксопапиллярному типу. Составляют около 13% от всех спинальных эпендимом. Диагностируются в возрасте около 40 лет и чуть чаще у мужчин. Хотя относятся к градации 1, встречается диссеминация с током ликвора.
На Т1-взвешенных МРТ поясничного отдела позвоночника эпендимомы изоинтенсивны спинному мозгу. На Т2-взвешенных МРТ они гиперинтенсивны. Обычно хорошо и равномерно контрастируются, хотя встречается и периферический тип усиления. Изредка встречается субарахноидальная диссеминация. Может наблюдаться высокое содержание белка в ликворе, что проявляется повышенным сигналом от него на Т1-взвешенных МРТ. При этом корешков не видно. Описаны при эпендимоме субарахноидальные кровоизлияния с характерными депо гемосидерина по поверхности вовлеченных структур.

МРТ поясничного отдела позвоночника. Миксопапиллярная эпендимома. Т1-взвешенная МРТ после контрастирования. Увеличение.
Ганглионеврома (параганглиома) происходит из клеток автономной нервной системы. Частота составляет 1 случай на 100 тыс. населения. Опухоль может локализоваться в любом месте. Спинальная ганглиневрома обычно имеет экстрадуральный тип роста, но изредка встречается и интрадуральный. Проявляется в возрасте 40 - 50 лет. Чуть чаще наблюдается у мужчин.
На Т1-взвешенных МРТ опухоль изоинтенсивна спинному мозгу. На Т2-взвешенных МРТ она гиперинтенсивна, причем может быть видна фиброзная капсула. Контрастное усиление при МРТ хорошее, но неравномерное. Так как интрадуральная параганглиома локализуется в области конского хвоста и конечной нити отличить ее от эпендимомы по МР признакам невозможно.

МРТ поясничного отдела позвоночника. Параганглиома конского хвоста. Сагиттальная Т1-взвешенная МРТ после контрастирования.
Интрамедуллярные опухоли
Интрамедуллярные опухоли составляют 10-20% всех интрадуральных образований. У взрослых интрамедуллярную локализацию имеют астроцитома, миксопапиллярная эпендимома, гемангиобластома и метастазы; у детей - пилоцитарная астроцитома, эпендимома, ганглиоглиома.
Астроцитома составляет 30-50% от интрамедуллярных опухолей. Чаще всего спинальная астроцитома относится к доброкачественному пилоцитарному подтипу (G I-II), низкодифференцированная астроцитома и глиобластома встречаются редко. Обычно наблюдается в детском или среднем возрасте без половой предрасположенности. Типичная локализация - верхнегрудной уровень, но может быть астроцитома шейной и шейно-краниальной локализации. Опухоль растет по длиннику спинного мозга, но встречается и экзофитный тип роста. В поперечной плоскости имеет тенденцию к заднему расположению.
При МРТ обнаруживается вздутие спинного мозга, образование изо- или гипоинтенсивное на Т1-взвешенных МРТ, опухолевый узел, отек и киста могут быть одинаково гиперинтенсивны на Т2-взвешенных МРТ. Иногда киста отличается по сигналу от узла в связи с примесью белка или крови. Узел хорошо контрастируется , часто не имеет четких границ и неоднородный (“пятнистый”) по структуре. Реактивные кисты наблюдаются в 30% случаев, они расположены выше и (или) ниже узла и не контрастируются. Некротические внутриопухолевые кисты контрастируются по периферии, причем при визуализации через 20-30 минут могут контрастироваться целиком.

МРТ шейного отдела позвоночника. Интрамедуллярная астроцитома. СагиттальнаяТ1-взвешенная МРТ с контрастированием.
Эпендимома - вторая после астроцитомы по частоте интрамедуллярная опухоль. Спинальную локализацию имеет треть эпендимом, 2/3 приходится на желудочки головного мозга. Опухоль встречается в любом возрасте, однако пик приходится на средний. Чаще развивается у мужчин. Типичная локализация у взрослых - область конского хвоста и конечной нити, эти эпендимомы относятся к миксопапиллярному подтипу. У детей эпендимомы имеют шейную и шейно-краниальную локализацию. Эпендимомы растут медленно по длиннику спинного мозга, вызывая со временем эрозию ножек и задних отрезков тел позвонков. В аксиальной плоскости расположены центрально, симметрично занимая поперечник спинного мозга. Реактивные кисты наблюдаются в 50% случаев, чаще, чем при астроцитомах.
Также как и астроцитома, эпендимома гипоинтенсивна на Т1-взвешенных МРТ и гиперинтенсивна на Т2-взвешенных МРТ. Однако чаще встречается кровоизлияния, причем обычно по полюсам узла. После контрастирования узел виден как четко очерченный (за счет капсулы) и однородный.

МРТ шейного отдела позвоночника. Эпендимома шейного отдела спинного мозга. Сагиттальная Т1-взвешенная МРТ после контрастирования.
Гемангиобластома наблюдается заметно реже (около 2-6%), чем астроцитома и эпендимома. Встречается чаще в среднем возрасте. Примерно в трети случаев является проявлением болезни Гиппеля - Линдау, тогда она наблюдается у более молодого контингента пациентов и может быть множественной. Спинальная гемангиобластома сопровождается реактивной кистой, по чертам напоминающаю сирингомиелитическую.
При МРТ позвоночника обнаруживается узел изо- или гипоинтенсивный спинному мозгу на Т1-взвешенных МРТ и обширная киста ликворной или несколько повышенной интенсивности сигнала. На Т2-взвешенных МРТ иногда видны расширенные сосуды, особенно вдоль задней поверхности спинного мозга. После МРТ с контрастированием узел становится ярким, четко очерченным.

МРТ шейного отдела позвоночника. Интрамедуллярная гемангиобластома. Сагиттальная Т1-взвешенная МРТ после контрастирования.
Метастазы в спинной мозг встречаются очень редко. Из первичного узла они попадают гематогенным путём. Метастазы могут быть одиночными и множественными, иногда сочетаются с метастазами в позвонки.
Посттравматическая миелопатия
Посттравматическая миелопатия — хроническое нейродегенеративное заболевание спинного мозга, возникающее после перенесенной спинальной травмы. Клиническая картина заболевания зависит от уровня и характера повреждения, включает сегментарные и проводниковые двигательные и сенсорные расстройства, мышечно-тонические, рефлекторные и тазовые нарушения. Диагностический поиск осуществляется при помощи рентгенологических, электрофизиологических и томографических исследований, при необходимости проводится спинальная пункция и анализ ликвора. Консервативная терапия состоит из сосудистых и нейрометаболических фармпрепаратов, физиотерапевтических методов, массажа и ЛФК. По показаниям возможно хирургическое лечение — спинальная декомпрессия, дискэктомия, стабилизация позвоночника и др.
Общие сведения
Посттравматическая миелопатия развивается в промежуточном и позднем периодах позвоночно-спинномозговой травмы. По некоторым данным она формируется у 28% пациентов с травматическими повреждениями спинного мозга и позвоночника. Учитывая, что более 50% спинальных травм приходятся на людей наиболее трудоспособного и активного возраста (до 45 лет) и в 70-80% приводят к инвалидизации пострадавшего, следует подчеркнуть социальную значимость этой проблемы. Поэтому решение вопросов лечения и реабилитации подобных пациентов является важной задачей, над которой совместно трудятся специалисты в различных областях медицинских знаний — травматологии, неврологии, нейрохирургии, вертебрологии, ортопедии, реабилитологии. В отечественной медицине посттравматическая миелопатия входит в понятие травматическая болезнь спинного мозга.
Причины возникновения
Посттравматическая миелопатия своей первопричиной имеет либо непосредственное повреждение спинного мозга во время травмы позвоночника (спинальная контузия при ушибе позвоночника; травмирование спинномозгового вещества или оболочек мозга отломками при переломе позвонка; проникающее огнестрельное, колотое или резанное ранение; гематомиелия), либо вторичное поражение спинномозговых структур вследствие компрессии спинного мозга или питающих его сосудов посттравматической гематомой, смещенными позвонками при разрыве межпозвонкового диска или подвывихе позвонка.
Как правило, посттравматическая миелопатия формируется на фоне сохраняющейся после травмы позвоночника спинальной компрессии спинного мозга, обуславливающей сдавление его структур или блок субарахноидального пространства. Компрессия может усугубляться прогрессированием спаечного процесса в оболочках спинного мозга, облитерацией субарахноидального пространства, образованием посттравматической кисты или нерассасывающейся гематомы. Если на первый план выходит сдавление питающих спинной мозг сосудов, то посттравматическая миелопатия носит дисциркуляторный (ишемический) характер, поскольку формируется на фоне хронической недостаточности спинального кровообращения.
Посттравматическая миелопатия может носить постоянный резидуальный характер. В других случаях отмечается ее прогредиентное течение с нарастанием неврологического дефицита. К факторам, способствующим прогрессированию миелопатии относят: спаечный процесс в спинномозговых оболочках, стеноз позвоночного канала врожденного характера, наличие межпозвоночной грыжи, пролабирующей в спинальный канал, гиперплазию задней продольной связки, деформацию позвоночного канала и спинного мозга. Прогрессирующая посттравматическая миелопатия наблюдается в нескольких морфологических вариантах. В ее основе может лежать диффузная или локальная атрофия спинномозгового вещества, миеломаляция (очаговый некроз или глиоз), микро- или макрокистозная дегенерация. Возможно сочетание описанных морфологических изменений.
Симптомы
Посттравматическая миелопатия характеризуется различным по выраженности и вариабельным по клинике спинальным синдромом, тяжесть которого зависит от вида травмы и течения ее острого периода. Как правило, спинальный синдром включает сегментарные нарушения соответствующие уровню поражения и проводниковые расстройства ниже этого уровня. К первым относятся сегментарные сенсорные расстройства и периферические парезы с мышечной гипотонией и гипорефлексией. Ко вторым — проводниковые нарушения чувствительности и центральные парезы с мышечным спастическим гипертонусом и гиперрефлексией.
Высокая шейная миелопатия может сопровождаться бульбарным параличем, головокружением и вестибулярной атаксией, поверхностными сенсорными нарушениями на лице. Поражение спинного мозга до уровня крестцовых сегментов сопровождается тазовыми нарушениями по центральному типу — задержкой мочи в сочетании с ее периодическим недержанием, запорами и задержкой кала. При миелопатии на уровне SI-SIV и ниже наблюдаются тазовые нарушения периферического типа — истинное недержание мочи и энкопрез. Тазовые нарушения нередко провоцируют развитие инфекционных заболеваний мочевыводящей системы — уретрита, цистита, пиелонефрита.
Зачастую посттравматическая миелопатия протекает с диссоциированным вариантом чувствительных расстройств — сохранностью глубоких видов чувствительности и выпадением ее поверхностных видов. Подобная клиническая картина напоминает течение сирингомиелии, в связи с чем выделена как сирингомиелитический вариант. Если посттравматическая миелопатия обусловлена преимущественно сосудистыми нарушениями, то она протекает с преобладанием дисфункции двигательных нейронов, наименее устойчивых к гипоксии, в сравнении с сенсорными нейронами. В таких случаях заболевание может иметь клинику сходную с боковым амиотрофическим склерозом.
Диагностика
На диагностическом этапе пациент с миелопатией, имеющий в анамнезе травму позвоночника, должен быть осмотрен не только неврологом, но и травматологом. Неврологический осмотр и проведение электрофизиологических исследований (ЭМГ, ЭНГ) помогают установить уровень спинального поражения. Определить состояние костных структур на этом уровне позволяет проведение рентгенографии позвоночника, а лучше — КТ позвоночника. Наиболее исчерпывающую информацию о состоянии спинного мозга на сегодняшний день дает МРТ позвоночника. Она позволяет определить характер спинального поражения, степень компрессии спинного мозга, выявить наличие грыжи диска, эпи- или субдуральной гематомы, гематомиелии. Данные МРТ используются для решения вопроса о целесообразности хирургического лечения. При невозможности использования КТ или МРТ прибегают к контрастной миелографии. Однако этот диагностический метод менее информативен и опасен развитием осложнений.
Посттравматическая миелопатия дифференцируется с сирингомиелией, БАС, опухолью спинного мозга, дискогенной миелопатией, инфекционной миелопатией и т. п. В некоторых случаях для уточнения диагноза целесообразно проведение люмбальной пункции и исследование цереброспинальной жидкости. При подозрении на сосудистые нарушения рекомендована спинальная МР-ангиография. Наличие тазовых нарушений является показанием к консультации уролога с проведением цистоскопии, цистометрии, ЭМГ мочевого пузыря.
Лечение
В случаях, когда посттравматическая миелопатия имеет стабильное течение, достаточным является консервативное лечение, направленное на улучшение кровообращения и нейрометаболизма на уровне пораженных спинальных сегментов. Из вазоактивных препаратов применяют копламин, кавинтон, папаверин, но-шпу, для улучшения микроциркуляции — пентоксифиллин, экстракт гинкго билоба, никотиновую кислоту. К нейрометаболитам, используемым в комплексной терапии, относятся витамин В1, витамин В6, гидрализат из сыворотки телят. Наряду с фармакотерапией проводят физиотерапевтические процедуры — УВЧ, электростимуляцию, тепловые процедуры (парафинотерапию, озокерит), СМТ, электрофорез, рефлексотерапию и др. Для восстановления утраченной двигательной активности и профилактики контрактур суставов применяют лечебную физкультуру и массаж, при глубоких парезах — механотерапию.
Прогрессирующая посттравматическая миелопатия требует вмешательства нейрохирурга для решения вопроса о наличии показаний к хирургическому лечению. С целью устранения сдавления спинного мозга проводятся декомпрессивные операции — ламинэктомия и фасетэктомия, при наличии посттравматической грыжи осуществляется дискэктомия. По показаниям проводится дренирование посттравматической кисты, устранение посттравматической деформации позвоночного столба, фиксация позвоночника при его посттравматической нестабильности.
Посттравматическая миелопатия, сопровождающаяся тазовыми нарушениями, может потребовать проведения урологических манипуляций — катетеризации мочевого пузыря, его промываний, постановки катетера Фолея. При инфицировании мочевыводящих путей назначается соответствующее антибактериальное лечение.
Прогноз и профилактика
В течение первых двух лет после полученной спинальной травмы у 70% пациентов наблюдается частичный или полный регресс неврологической симптоматики, у 9% пациентов происходит ее прогрессирование, у 21% состояние остается без существенных изменений. В последующем примерно у половины пострадавших посттравматическая миелопатия имеет стабильное течение, у 30% больных отмечается некоторое постепенное улучшение и функциональная адаптация к возникшему дефекту. В 20% случаев посттравматическая миелопатия характеризуется медленным прогредиентным течением с постепенным усугублением имеющейся симптоматики.
Профилактика миелопатии тесно связана с профилактикой травматизма вообще и спинальных травм в частности, а также с адекватностью и своевременностью лечения позвоночно-спинномозговых повреждений. Пациенты с травмой позвоночника должны находится под наблюдением травматолога и невролога, проходить длительный курс реабилитации с тщательным дозированием нагрузок.
Читайте также:
