КТ, МРТ при абсцессе жевательного пространства
Добавил пользователь Евгений Кузнецов Обновлено: 22.11.2025
Под абсцессом понимают воспалительный процесс, ограниченный капсулой и развивающийся в результате попадания инфекции в органы или ткани. Абсцессы могут локализоваться в любой области организма, но чаще всего они располагаются в головном мозге и печени. Рассмотрим данные виды абсцессов.
Абсцесс головного мозга
Как правило, абсцесс головного мозга является осложнением основного заболевания. Так, инфекция может попасть в головной мозг при открытой черепно-мозговой травме, гнойном синусите или отите, фурункулах носогубного треугольника, менингите, сепсисе (заражении крови) или инфицировании раны после операции.
Выделяют три вида абсцессов в зависимости от их локализации:
- внутримозговые (в случае скопления гноя в веществе мозга);
- субдуральные (при скоплении гноя под твердой мозговой оболочкой);
- эпидуральные (в случае локализации гноя над твердой мозговой оболочкой).
Клиническая картина абсцесса головного мозга разнообразна: высокая температура, интенсивные головные боли, связанные с повышением внутричерепного давления. В тяжелых случаях может развиться спутанность сознания, которая выражается в неразборчивости или бессмысленности речи, а также жизнеугрожающие судороги, парезы или параличи (слабость и затруднение движения) рук и ног.
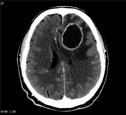
Абсцесс головного мозга и МРТ

Подтвердит или опровергнет диагноз абсцесса головного мозга МРТ-диагностика. Магнитно-резонансная томография показывает изменения в веществе головного мозга на ранней стадии развития воспалительного процесса (церебрите). Данная стадия длится всего 3-5 дней, и за этот промежуток времени капсула абсцесса не успевает сформироваться.
На поздней стадии церебрита (от 5 до 14 дней) на фоне перифокального* отека головного мозга формируется участок некроза (полость, заполненная гноем). В ходе МРТ хорошо виден центральный некроз и сопровождающая его зона отека.
После 14-го дня формируется капсула абсцесса с обширной зоной отека вокруг него. МР-томография хорошо дифференцирует сам абсцесс, его капсулу и сопровождающий перифокальный отек. Чаще всего абсцессы головного мозга приходится дифференцировать с метастазами кистозного типа: основой в дифференциальной МРТ-диагностике этих состояний являются диффузионно-взвешенные изображения.
При МРТ отсутствует ионизирующее излучение, свойственное КТ и рентгенографии, поэтому МР-томография является абсолютно безопасной для здоровья человека процедурой. На этапе контроля лечения абсцесса МРТ может использоваться так часто, как этого требует здоровье пациента.

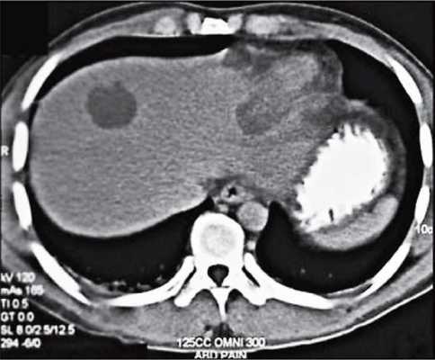
Абсцессы печени

Абсцессы печени могут быть пиогенными* или обусловленными амебиазом (инфекцией, поражающей толстую кишку с образованиями язв на ее оболочке) и микозом (грибковой инфекцией). При абсцессе печени пациент испытывает боли в правом боку, а в некоторых случаях болевые ощущения сопровождаются лихорадкой.
Абсцессы печени проходят три стадии развития, и МР-картина варьируется в зависимости от них. В первые 10 дней возникает некроз с мелкими участками разжижения. К 10-15-му дню некротический детрит рассасывается (на его месте теперь преобладает жидкость). После 15 дней еще сохраняется небольшое количество детрита, окруженного толстой фиброзной стенкой. МРТ дает возможность визуализировать заболевание на всех этапах.
Абсцесс печени и МРТ
Магнитно-резонансная томография позволяет идентифицировать абсцесс, локализовать его и определить размеры. Специальный режим диффузионно-взвешенных изображений придает абсцессу яркий МР-сигнал, а на ИКД-картах* - низкий.
Кроме того, МРТ позволяет оценивать динамику процесса в ходе лечения, ведь даже при своевременной терапии для излечения больших абсцессов могут потребоваться месяцы.
Нередко абсцессы сопровождаются тромбозом печеночных вен или воспалением желчного пузыря. По этой причине при абсцессе печени важно исключить его взаимодействие с желчными путями. Комплексное исследование органов брюшной полости и забрюшинного пространства позволит лечащему врачу оценить состояние не только печени, но и окружающих тканей.
Опытные врачи

Врач высшей категории

Пашкова Анна Александровна
Кандидат медицинских наук



Александров Тимофей Александрович

Томограф экспертного класса

- Напряженность магнитного
поля — 1,5 Тл (высокопольный) - Высокое качество изображения
- Тонкие срезы
- Все виды МРТ-исследований
Как проходит процедура МРТ-исследования
Запись исследования на ваш выбор*| на диск | на пленку | на флешку |

Частые вопросы о МРТ-исследованиях

Артефакты (от лат. artefactum) - это погрешности, допущенные человеком, в процессе исследования. Артефакты значительно ухудшают качество изображения. Существует обширная группа физиологических (другими словами, относящихся к поведению человека) артефактов: двигательные, дыхательные, артефакты от глотания, моргания, случайных неуправляемых движений (тремор, гипертонус). Все артефакты, связанные с человеческим фактором, легко преодолеваются, если человек в процессе исследования полностью расслаблен, дышит ровно и свободно, без глубоких глотательных движений и частых морганий. Однако в медицинской практике нередки случаи использования легкого наркоза.
Магнитно-резонансная томография не имеет возрастных ограничений, поэтому ее можно проводить детям с самого рождения. Но ввиду того, что во время процедуры МРТ необходимо соблюдать неподвижность, обследование маленьких детей проводится в условиях анестезиологического пособия (поверхностного наркоза). В нашем центре исследование под наркозом не осуществляется, поэтому мы обследуем детей исключительно с семилетнего возраста.
Все противопоказания к проведению МРТ можно разделить на абсолютные и относительные.
Абсолютными противопоказаниями к проведению МРТ являются следующие особенности пациента: наличие у него кардиостимулятора (водителя ритма сердца) и других вживляемых электронных устройств, присутствие ферримагнитных (железосодержащих) и электрических протезов стремечка (после реконструктивных операций на среднем ухе), гемостатических клипс после операций на сосудах головного мозга, брюшной полости или легких, металлических осколков в области глазницы, крупных осколков, дроби или пуль вблизи сосудисто-нервных пучков и жизненно важных органов, а также беременность до трех месяцев.
К относительным противопоказаниям относятся: клаустрофобия (боязнь замкнутого пространства), наличие в теле пациента массивных не ферримагнитных металлических конструкций и протезов, наличие ВМС (внутриматочной спирали). Кроме того, все пациенты с магнитосовместимыми (не ферримагнитными) металлическими конструкциями могут обследоваться только по прошествии месяца после проведенного оперативного вмешательства.
Направление врача - необязательное условие посещения центра МРТ. Нам важна Ваша забота о своем здоровье, согласие на проведение обследования, а также отсутствие противопоказаний для проведения МРТ.
Любому человеку знакома головная боль, но если она повторяется подозрительно часто, безусловно, это нельзя оставить без внимания. Мы рекомендуем пациенту с сильными головными болями пройти МРТ головного мозга и его сосудов. В отдельных случаях этого может быть недостаточно, потому как не всегда причина головных болей связана именно с патологией головного мозга. Головные боли могут быть следствием шейного остеохондроза, поэтому наши специалисты дополнительно советуют пройти МРТ шейного отдела позвоночника и сосудов шеи.
Средняя продолжительность одного исследования в нашем центре составляет от 10 до 20 минут, однако, все зависит от выявленных изменений: иногда для уточнения заболевания врач-рентгенолог может расширить протокол исследования и прибегнуть к использованию контрастного усиления. В таких случаях время исследования увеличивается.
Магнитно-резонансная томография - это полностью безвредный и безопасный метод лучевой диагностики. В основе получения изображения МРТ отсутствует ионизирующие излучение, свойственное методу компьютерной томографии (КТ). Но существуют противопоказания, с которыми необходимо ознакомиться, перед тем как записаться на обследование.
Абсолютным противопоказанием к МРТ является беременность до трех месяцев. При подозрении на ургентные (угрожающие жизни) заболевания женщины решение о проведении МРТ в ранние сроки беременности принимает врач-гинеколог.
В нашем центре можно пройти МРТ во время беременности во втором и третьем триместре - для этого необходимо предоставить направление от лечащего врача, назначившего МРТ, а также справку от акушера-гинеколога о том, что проведение магнитно-резонансной томографии разрешено.
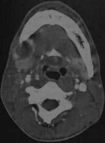
Диагностика абсцесса на КТ и МРТ снимках полости рта
Ограниченный воспалительный процесс в полости рта или жевательном пространстве с гнойным расплавлением.
- Первичное распространение обычно в область щеки (к жевательным мышцам), в подъязычную и подчелюстную области
- Распространение на нёбо, полость рта или лицо встречается реже
- Вторичное распространение в около- и заглоточное пространство («опасное» пространство) и средостение
- Часто вызван (3-гемолитическим стрептококком.
- Первичное распространение на жевательное пространство, медиальную крыловидную мышцу и мягкое нёбо
- Вторичное распространение - как при одонтогенном абсцессе.
Клинические проявления
Абсцесс обычно имеет следующие симптомы:
- Часто зубная боль или лечение зубов в анамнезе
- Признаки воспалительного процесса (повышение температуры тела, уровня С-реактивного белка и СОЭ)
- У большинства пациентов наблюдается тризм и ограничение открывания рта
- Уплотнение тканей лица
- Часто неэффективная пероральная антибактериальная терапия в анамнезе.
Признаки абсцесса полости рта на КТ и МРТ снимках
Что бы обнаружить абсцесс полости рта, диагностика должна включать в себя несколько исследований, а именно:
Методы выбора
Применяют ли КТ для диагностики абсцесса полости рта
- Асимметричное мягкотканное образование с нечеткими контурами, инфильтрирующее расположенные рядом структуры
- Часто один или несколько очагов распада
- Выраженное усиление после введения контрастного вещества, иногда в виде кольцевидной структуры
- Часто сопутствующий шейный лимфаденит.
Что покажут снимки МРТ полости рта при абсцессе
- Высокая интенсивность сигнала на Т2-взвешенном изображении
- Низкая интенсивность сигнала на Т1 -взвешенном изображении
- Интенсивное усиление после введения гадолиния, особенно в режиме подавления сигнала от жировой ткани
- Кольцо усиления с нечеткими контурами
- Для остеомиелита нижней челюсти характерен отек костного мозга и усиление сигнала от костномозговой полости.
Отличительные признаки
- Полосовидная имбибиция подкожной жировой ткани
- Очаги распада
- Типичная клиническая картина
- Сопровождается острым гнойным верхушечным периодонтитом, особенно моляров
- Деструкция нижней челюсти в связи с сопутствующим остеомиелитом.
Что хотел бы знать лечащий врач
Заболевания, имеющие симптомы абсцесса полости рта
Флегмона
- Диффузная инфильтрация тканей, усиливающаяся после введения контрастного вещества
- Отсутствие кольцевидного усиления стенки абсцесса
Опухоли (преимущественно фибросаркома и рабдомиосаркома)
- Четкие границы с незначительной перифокальной реакцией или без нее
- Объемное образование повышенной плотности, гиперинтенсивное, наблюдаются деструктивные изменения
Односторонняя гипертрофия мышц
- Увеличение мышц без типичного усиления после введения контрастного вещества
Лечение абсцесса полости рта
- Вскрытие и дренирование, пункция и аспирация
- Парентеральная антибактериальная терапия (например, пенициллин) показана при остеомиелите.
Врачи каких специальностей диагностируют и лечат абсцесс полости рта
- Челесно-лицевой хирург (осмотр и операция по вскрытию абсцесса)
Прогноз
- Прогноз благоприятный после вскрытия, дренирования и парентеральной антибактериальной терапии
- В редких случаях может потребоваться повторное хирургическое вмешательство для дополнительного дренирования
Возможные осложнения и последствия
- В отсутствие лечения могут развиваться вторичные абсцессы, флегмона, некротический фасциит или медиастинит.

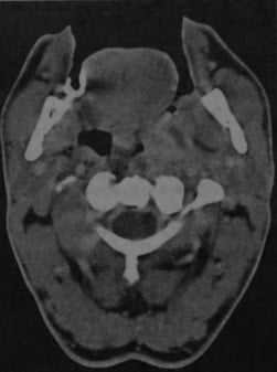
КТ с контрастированием: абсцесс дна полости рта справа с распространением под нижнюю челюсть. Абсцесс примыкает с правой стороны к телу нижней челюсти, определяется как образование со сниженной плотностью в центре, окруженное усиленной стенкой. Поднижнечелюстная железа смещена кзади (стенка абсцесса интактна, инфильтрация в данном случае отсутствует).

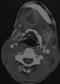
Абсцесс дна полости рта, расположенный справа около средней линии. КТ с контрастированием: объемное образование с типичным снижением плотности в центре, окруженное усиленной стенкой. Мелкий абсцесс слева, примыкающий к нервно- сосудистому пучку, с сопутствующим отеком поднижнечелюстных мягких тканей.
Как выявить перитонзиллярный абсцесс на КТ и МРТ
Признаки тонзиллярного абсцесса и флегмонозной ангины на снимках МРТ и КТ
Проводят ли КТ миндалин при абсцессе в них
- Асимметричное, неоднородное (пери)тонзиллярное образование
- Введение контраста не всегда вызывает образование типичного кольца усиления
- Часто сливается с окружающими мягкими тканями
- Нередко сочетается с шейным лимфаденитом.
Что покажут снимки МРТ глотки при тонзиллярном абсцессе
- Увеличение интенсивности сигнала на Т2-взвешенном изображении, увеличение интенсивности сигнала на Т1-взвешенном изображении после введения гадолиния.
- Объемное образование с усилением стенки и небольшими уровнями газ- жидкость.
Какие заболевания имеют симптомы, схожие с абсцессом миндалин
Гиперплазия лимфоидной ткани
- Симметричное гомогенное увеличение обеих миндалин
- Усиление перегородок внутри миндалины
Ретенционная киста нёбной миндалины
- Отсутствие усиления после введения контрастного вещества
- Ограниченное скопление жидкости в миндалине
- Отсутствие перифокального отека
Одонтогенный абсцесс
- Поражение стенки верхнечелюстной пазухи
Поражение миндалин при неходжкинской лимфоме
- Одностороннее подслизистое опухолевое образование
- Отсутствие усиления перегородок
- Выраженная лимфаденопатия без признаков некроза
Опухоли подслизистых слюнных желез
- Доброкачественная: четко очерчена, иногда имеет ножку
-Злокачественная: необходима дифференциальная диагностика со злокачественными эпителиальными опухолями; лимфаденопатия встречается редко.
Лечение паратонзиллярного абсцесса
- Вскрытие абсцесса и дренирование или пункция и аспирация
- Парентеральная антибактериальная терапия (например, пенициллин)
- Тонзиллэктомия, как правило, проводится после стихания воспалительного процесса (обычно спустя примерно 6 нед.)
- «Ургентная» тонзиллэктомия более опасна, так как может потребоваться повторная операция.
Врачи каких специальностей диагностируют и лечат паратонзиллярный абсцесс
- ЛОР (постановка диагноза, вскрытие паратонзиллярного абсцесса, его дренирование, назначение антибактериальной терапии)
- После вскрытия или пункции с аспирацией в сочетании с парентеральной антибактериальной терапией прогноз благоприятный
- Для последующего дренирования может потребоваться повторное вмешательство
- Несвоевременное лечение может привести к спонтанному дренированию в глотку или окружающие ткани.

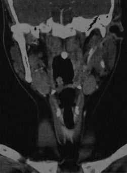
КТ с контрастированием: левосторонний паратонзиллярный абсцесс. Образование имеет гипоинтенсивный центр, окруженный усиленной стенкой. Отек левой нёбной миндалины и слизистой глотки на стороне поражения вызывает асимметричное сужение глотки. Рот остается открытым в связи с болевым синдромом.

КТ с контрастированием (реконструкция во фронтальной плоскости): левосторонний паратонзиллярный абсцесс. Выявляется перифокальный отек и повышенная плотность слизистой, а также асимметричное сужение ротоглотки, распространяющееся в дистальном направлении слева от мягкого нёба. В абсцессе наблюдается типичное периферическое усиление с гипоинтенсивной полостью в центре.
МРТ и КТ при абсцессе мозга - что покажет

МРТ головного мозга, КТ головного мозга являются аппаратными методами диагностики абсцесса головного мозга. Исходя из первичных симптомов, истории болезни, противопоказаний и диагностических целей, врач невролог назначает необходимые способы обследования.
В большинстве случаев, МРТ головного мозга выбирается как первичный метод диагностики. Если результаты исследования носят тревожный или неясный характер, дополнительно назначается:
Разница между МРТ и КТ
Компьютерная томография и магнитно-резонансная томография используются для получения изображений органов и тканей в трехмерной проекции. Разница в томографии заключается в том, что при МРТ используются радиоволны, а при КТ - рентгеновские лучи для получения изображения. Хотя оба томографических метода имеют высокую информативность, есть диагностические различия, которые могут сделать каждый из них более подходящим вариантом в зависимости от обстоятельств.
КТ-сканирование более быстрая форма диагностики, чем магнитно-резонансная томография, и обычно используется для экстренного обследования. При использовании как КТ, так и МРТ существуют определенные риски. Они зависят от типа визуализации, а также от способа ее проведения. К рискам КТ относятся: вред для внутриутробного ребенка при беременности и доза радиации. Риски МРТ включают реакции на металлические импланты в теле из-за сильного магнитного поля, громкий шум от аппарата, повышенная, клаустрофобические риски.
Если врачу нужны более детальные изображения мягких тканей, связок или органов высоким состоянием воды, обычно назначается магнитно-резонансная томография. Если необходимо получить хорошие изображение костных структур и полых органов, обычно рекомендуется компьютерная томография.
Паратонзиллярный абсцесс - симптомы и лечение
Что такое паратонзиллярный абсцесс? Причины возникновения, диагностику и методы лечения разберем в статье доктора Садыхова Рагима Агаларовича, ЛОРа со стажем в 7 лет.
Над статьей доктора Садыхова Рагима Агаларовича работали литературный редактор Вера Васина , научный редактор Евгений Буданов и шеф-редактор Маргарита Тихонова

Определение болезни. Причины заболевания
Паратонзиллярный абсцесс (Peritonsillar abscess) — это острое гнойное воспаление околоминдаликовой клетчатки (ткани, расположенной между капсулой нёбной миндалины и мышцами глотки) [1] [2] [3] .
При заболевании краснеет и сильно болит горло, чаще с одной стороны. Пациенту трудно широко открывать рот, температура поднимается выше 38 °С, возникает выраженная слабость, головная боль и ломота в теле.

Паратонзиллярному абсцессу предшествует паратонзиллит. В отличие от абсцесса, при этом заболевании возникает лишь воспаление и отёк. Но если паратонзиллит не лечить, он переходит в абсцесс.
Паратонзиллярный абсцесс — это самая распространённая инфекция среди абсцессов глубоких тканей шеи и головы. Заболевание чаще возникает у молодых людей в возрасте от 20 до 40 лет, реже — у детей и пожилых пациентов. Мужчины и женщины болеют одинаково часто [4] [5] .
Причины паратонзиллярного абсцесса
Абсцесс развивается из-за того, что в мягкую, рыхлую околоминдаликовую клетчатку с прилежащих областей проникает агрессивная бактериальная инфекция, как правило аэробные и факультативно-анаэробные микробы. Самый типичный возбудитель заболевания — Streptococсus pyogenes группы А (бета-гемолитический стрептококк). Значительно реже абсцесс вызывают другие виды бактерий, обитающие в ротоглотке: фузобактерии, бактероиды и золотистый стафилококк [6] .
Ведущую роль в развитии паратонзиллярного абсцесса играют железы Вебера, основная часть которых расположена в верхней части нёбных миндалин. Эти железы механически очищают поверхность миндалин от отмершего эпителия, частичек пищи и бактерий. При инфицировании и воспалении возникает отёк и закупорка выходного соустья желёз Вебера. В результате из прилегающей клетчатки мягкого нёба гнойно-инфекционный процесс распространяется на окружающие ткани [7] .
При обнаружении схожих симптомов проконсультируйтесь у врача. Не занимайтесь самолечением - это опасно для вашего здоровья!
Симптомы паратонзиллярного абсцесса
Чаще всего паратонзиллярный абсцесс возникает либо на фоне острого тонзиллита (бактериальной ангины), либо спустя несколько дней после стихания или даже прекращения этого заболевания.
Проникшие в кровь продукты жизнедеятельности бактерий, разрушенные участки их клеточной стенки и антигены являются пирогенами — веществами, повышающими температуру тела. Поэтому при абсцессе температура поднимается выше 38 °С, возникает озноб, обезвоживание и выраженная слабость. Воспалению сопутствует отёк, из-за которого сдавливаются расположенные рядом нервные окончания — становится больно открывать рот, жевать и глотать. Часто во рту скапливается густая слизь, которую не удаётся проглотить.
При рефлекторном спазме жевательных мышц трудно полностью открыть рот, что приводит к гнусавости. Часто увеличиваются шейные и подчелюстные лимфоузлы, при поворотах головы возникает резкая боль, которая нередко отражается в ухе или зубе на стороне поражения [8] [9] [10] .
При паратонзиллярном абсцессе крайне редко появляются сопутствующие симптомы ОРВИ: заложенность носа, насморк, чихание и кашель.
Патогенез паратонзиллярного абсцесса
У здорового человека нёбные миндалины участвуют в формировании иммунитета — в них созревают лимфоциты. Здесь эти иммунные клетки учатся взаимодействовать с чужеродными антигенами и вырабатывать антитела против опасных для организма инородных агентов, которые попадают в ротовую полость.
Нёбные миндалины совместно с лимфатическими фолликулами задней стенки глотки, язычной, трубной и глоточной миндалиной (аденоидами) действуют как единый защитный комплекс — они борются с микробами и могут воспаляться одновременно. Это скопление лимфоидной ткани называют лимфоглоточным кольцом Пирогова — Вальдейера.
К развитию паратонзиллярного абсцесса предрасполагает сложное строение нёбных миндалин: они состоят из множества углублённых карманов (лакун), которые расположены в толще ткани и визуально напоминают фьорды.
Глубина лакун может достигать двух-трёх сантиметров. Их поверхность выстлана железами Вебера, которые механически очищают миндалины во время артикуляции, жевания и сжимания миндалин мышцами глотки при глотании, что можно сравнить с выжиманием рукой поролоновой губки.
![Лакуна в ткани нёбной миндалины [11]](https://probolezny.ru/media/bolezny/abscess-paratonzillyarnyy/lakuna-v-tkani-nyobnoy-mindaliny-11_s.jpg)
Снижение иммунитета, заражение патогенными бактериями, чаще всего бета-гемолитическим стрептококком, рубцы нёбных миндалин при длительном хроническом тонзиллите приводят к закупорке выводного протока желёз Вебера. Воспалительный отёк не позволяет продуктам жизнедеятельности бактерией и погибшим лимфоцитам выйти наружу в ротовую полость. В результате в ближайшей к нёбным миндалинам рыхлой клетчатке скапливается гной, который не может адекватно выйти наружу [9] [12] .
Классификация и стадии развития паратонзиллярного абсцесса
В Международной классификации болезней (МКБ-10) паратонзиллярный абсцесс кодируется как J36.
Заболевание развивается в три стадии:
- Отёк — начальный период болезни со слабыми симптомами. Пациенты редко обращаются за помощью на этой стадии, поэтому в клинической практике врача она почти не встречается.
- Инфильтрация (паратонзиллит) — возникает в первые сутки болезни, когда ещё нет сформированного очага. В этот период лимфоциты, нейтрофилы и воспалительные молекулы окружают область, куда проникли бактерии, что приводит к её уплотнению. На стадии инфильтрации эффективно лечение антибиотиками.
- Абсцедирование — возникает, как правило, на третьи-пятые сутки болезни и проявляется наиболее яркими симптомами. Медикаментозная терапия уже действует слабо, нужно создать путь для оттока гноя. Если на этой стадии поздно обратиться к врачу, то разовьются осложнения.
Выделяют несколько локализаций паратонзиллярного абсцесса:
- Передний (передне-верхний) — абсцесс возникает спереди от нёбной миндалины. Эта локализация встречается примерно в 75 % случаев, и её легче всего диагностировать [19] .
- Задний — гнойный очаг образуется позади нёбной миндалины. Встречается у четверти пациентов.
- Боковой — самая тяжёлая и одновременно самая редкая форма болезни, при которой гной располагается между мышцами глотки и шеи. При таком абсцессе чаще всего развиваются грозные осложнения.
- Нижний — возникает у нижнего края нёбной миндалины. Развивается у небольшого количества пациентов и может быть вызван инфекцией в области задних зубов [6][13][14][15] .
Осложнения паратонзиллярного абсцесса
Осложнения прежде всего связаны с отёком ротоглотки. Паратонзиллярный абсцесс опасен близостью к дыхательным путям и распространением гнойно-инфекционного процесса в глубокие отделы шеи, где располагается трахея и жизненно важные сосудистые и нервные пучки: сонная артерия, ярёмная вена и блуждающий нерв.
В результате могут возникнуть следующие состояния:
- Перекрытие дыхательных путей — затруднено дыхание и возникает удушье, из-за чего пациент может потерять сознание.
- Распространение гнойного процесса из шеи в грудную клетку — развивается медиастинит, т. е. воспаление средостения, в котором расположены трахея, аорта и сердце.
- Воспалительное повреждение крупных кровеносных сосудов шеи ( сонных и ярёмных ) — приводит к кровотечению в ротовую полость и средостение.
- Аутоиммунные заболевания — гломерулонефрит, ревматическое поражение клапанов сердца и сосудов, ревматоидный артрит. Эти болезни развиваются из-за системного воздействия бета-гемолитического стрептококка на иммунную систему. и септический шок — прогноз в этих случаях неблагоприятный [17][18] .
Диагностика паратонзиллярного абсцесса
При диагностике абсцесса важно, чтобы врач выяснил все жалобы и внимательно осмотрел пациента.
Сбор анамнеза и осмотр
На приёме доктор уточняет, как давно возникли и как быстро развивались симптомы. Также имеет значение тяжесть общего состояния и наличие подобных случаев ранее.
К наиболее специфическим жалобам относятся:
- выраженная односторонняя боль в горле;
- тризм жевательных мышц (трудно широко открывать рот); ;
- боль при прощупывании наружной поверхности шеи;
- сопутствующее плохое самочувствие, часто с высокой температурой.
При осмотре врач прежде всего обращает внимание на асимметричное выбухание передней или задней нёбной дужки на стороне боли (передняя дужка выбухает чаще, чем задняя), налёт на миндалине, её красноту и отёчность. Нередко появляется неприятный запах изо рта, возникает боль при прощупывании шеи и поворотах головы — когда нужно повернуться, пациент делает это всем телом.
Лабораторная диагностика
Лабораторная диагностика позволяет правильно подобрать терапию. Чтобы выявить возбудителя болезни и определить его чувствительность к антибиотикам, исследуется мазок из миндалины или со стенок вскрытого абсцесса. Важно брать мазок именно со стенок абсцесса, а не исследовать непосредственно гнойное отделяемое: протеолитические ферменты гноя могут разрушить бактерии, что даст ложноотрицательный результат.
Также проводится тест на дифтерийную палочку (бациллу Леффлера): на начальной стадии симптомы дифтерии глотки и паратонзиллярного абсцесса схожи.
В последнее время часто применяют Стрептатест — экспресс-метод выявления бета-гемолитического стрептококка, основанный на полимеразной цепной реакции. Этот тест можно провести в домашних условиях всем членам семьи.
Чтобы контролировать динамику болезни и выявить выраженные общие отклонения, проводится общий анализ крови и анализ на С-реактивный белок.
Инструментальная диагностика
Изредка, в нетипичных случаях, проводится УЗИ мягких тканей шеи и даже КТ/МРТ шеи с контрастом. Эти методы помогают исключить сосудистые и опухолевые поражения глотки, подтвердить или исключить предполагаемый диагноз, выявить точную локализацию абсцесса.
Дифференциальная диагностика
Паратонзиллярный абсцесс следует отличать от других заболеваний, поражающих ротовую полость.
К этим заболеваниям относятся:
- дифтерия;
- абсцесс язычной миндалины и ангина Людвига;
- новообразования рото- и гортаноглотки; ;
- аневризма и мальформация сонной артерии и ярёмных вен [8][13] .
Тактика лечения во многом зависит от стадии заболевания и тяжести симптомов, но всегда соблюдаются три главных принципа:
- если в мягких тканях есть гной, то необходимо создать путь для его оттока;
- чтобы полностью избавиться от возбудителя, антибиотики нужно принимать не меньше 10 дней, особенно это важно при заражении бета-гемолитическим стрептококком;
- симптомы интоксикации и воспаления можно снять обезболивающими и антигистаминными препаратами.
В стадии инфильтрации достаточно принимать антибиотики из группы пенициллинов широкого спектра действия (например, Амоксициллин) или цефалоспорины II-III поколения. Чтобы уменьшить боль и отёк, назначают симптоматические препараты.
В стадии абсцедирования уже сформирован гнойный очаг и требуется экстренная госпитализация и лечение в стационаре. На этой стадии проводят комбинированную терапию: абсцесс вскрывают через ротовую полость и применяют антибиотики широкого спектра действия. После местной анестезии делают разрез и разводят края раны, чтобы можно было удалить гной. При этом обычно со стенок абсцесса берут мазок и отправляют его на бактериологическое исследование.
Вскрытие абсцесса позволяет создать путь для оттока гноя и необходимо, чтобы снизить риск осложнений.
В последующие дни после операции следует разводить края раны, чтобы предотвратить её преждевременное слипание. Как правило, после вскрытия абсцесса состояние быстро улучшается, боль стихает и удаётся свободно открывать рот.
При длительном хроническом тонзиллите есть риск рецидива абсцесса, поэтому одновременно с его вскрытием могут быть удалены миндалины (абсцесстонзиллэктомия). Наличие в прошлом хотя бы одного эпизода абсцесса уже является показанием к удалению нёбных миндалин.
Чтобы снизить риск осложнений при вскрытии абсцесса, доктор должен убедиться в отсутствии аллергии на вводимые лекарства и не задевать предполагаемые участки с крупными сосудами. Для этого предварительно делают пробную пункцию с аспирацией из области наибольшего выбухания абсцесса (чтобы получить гной и провести его микробиологическое исследование).

В первые дни болезни может применяться внутривенная терапия — вводят антибиотик, антигистаминное средство, солевой раствор и витамины. Лечение длится 10-14 дней и ускоряет выздоровление.
Редким, но основным побочным эффектом лекарственной терапии может быть диарея, а также вялость и сонливость. Как правило, при этих симптомах препарат отменять не нужно.
С особой осторожностью дозы лекарств рассчитывают при патологии печени и почек, а также у пациентов старше 60 лет с болезнями сердца. В таких случаях организму сложно преобразовывать и выводить медикаменты [14] [15] [17] [18] .
Особенностей лечения паратонзиллярного абсцесса у детей и беременных женщин нет.
Прогноз. Профилактика
При адекватной антибактериальной терапии прогноз, как правило, благоприятный. Рецидив возможен при развитии после абсцесса рубцовых изменений нёбных миндалин. Его вероятность составляет 20-30 %. С каждым эпизодом абсцесса риск рецидива и осложнений многократно увеличивается, поэтому в таких случаях рекомендуется удалить миндалины.
Особо тщательный подход к лечению с привлечением других специалистов потребуется пациентам с некомпенсированным сахарным диабетом и ВИЧ-инфекцией, а также при приёме гормональных и цитостатических препаратов, лечении рака, иммуносупрессивной терапии при пересадке органов. В таких случаях повышается риск сепсиса, медиастинита и гибели пациента.
Профилактика развития паратонзиллярного абсцесса :
Читайте также:
- Воздействие на адренергические рецепторы. Лекарства действующие на холинергические органы
- Витаминные сборы от гипертонии. Шиповник, боярышник и калина
- Витреохориодопатия у ребенка
- Инфекции золотистого стафилококка (Staphylococcus aureus): диагностика, лечение, профилактика
- Симптомы опухоли пазухи носа и ее прогноз
