КТ, МРТ при инфекции симулирующий опухоли мягких тканей
Добавил пользователь Евгений Кузнецов Обновлено: 21.01.2026
На компьютерную томографию, с подозрением на патологическое образование почек, пациент был направлен после УЗИ и это было правомерно: ультразвуковое исследование и КТ часто - взаимодополняющие методы. Правильно выполнив исследование, мы подтвердили наличие очагового образования левой почки (увы, у пациента был обнаружен рак почки). И это была плохая новость.
Но исследование включало и чуточку хорошего - в правой подвздошной области у пациента обнаружилась абсолютно нормальная «полноразмерная» почка, сосудистая ножка которой была «ориентирована» на подвздошные сосуды.
Что же показывает КТ почек? Каковы возможности этого метода при обследовании почек?
В норме при компьютерной томографии почек с контрастом мы говорим о паренхиме почки и почечном синусе. Паренхима начинает дифференцироваться на две зоны - кортикальный слой и мозговое вещество в артериальную фазу контрастного усиления. В позднюю венозную, равновесную, или паренхиматозную фазу контрастированные кортикальный слой и мозговой слой не различаются, чуть позже происходит доминирование контрастирования мозгового слоя, но не везде, а ближе к собирательной системе, и уж совсем поздно - после 5 минуты, контрастное вещество начинает заполнять чашечно-лоханочную систему.
Как видим, почки - еще более «дозовонагружаемый» орган при КТ, чем печень. Там можно обойтись тремя фазами сканирования. При исследовании почек - при корректно выполненном исследовании - фаз должно быть четыре (минимум).
Надо признать, что дифференциация слоев почек при МРТ видна и без контрастного усиления. Однако морфология и функция органа оценивается по тем же принципам контрастного усиления, что и при КТ.
Молодых врачей-рентгенологов, проводящих исследование почек, волнует вопрос: « В какую фазу что ищем?».
В нативную - рентгеноконтрастные конкременты, нарушения очертания наружного контура (подозрение на очаг), расширение чашечно-лоханочной системы - возможные начальные проявления гидронефротической трансформации. Гиподенсные зоны: нечеткие контуры - абсцессы? Четкие - кисты. Перемычки в кистах - подозрение на кистозную форму опухоли.
В артериальную - дефекты контрастирования кортикального слоя (как правило, опухоли) и оцениваем распространенность опухоли, особенно на чашечки и лоханку, а также на соседние органы. Ярко контрастированные сосуды в центре опухоли, в сочетании с жировой плотностью отдельных зон опухоли - это ангиомиолипома. В зависимости от доминирования того или иного компонента, опухоль (доброкачественная) может иметь абсолютно разную КТ-картину. При доминировании жировой ткани (липоангиомиома) может выглядеть «страшно», но остается доброкачественной. При преобладании гладкомышечного компонента может напоминать онкоцитому (тоже доброкачественную опухоль).
В венозную (паренхиматозную) фазу - лучше видны границы кист и контрастирования солидного компонента в кистозных опухолях. Также виден край опухоли и можно оценить ее распространение на чашечки и лоханку. В отсроченную (экскреторную) фазу - четко видны границы чашечек и лоханок, а также тромбы и рентгеннегативные камни и опухоли мочеточника с внутрипросветным ростом. Еще в эту фазу легко дифференцировать парапельвикальные кисты (не контрастируются) от лоханки (контрастированной), что иногда крайне сложно сделать в нативную фазу. Изображения артериальной и экскреторной фаз используют для трехмерных реконструкций - красиво и наглядно. При МРТ «стоячая жидкость» - моча, желчь и панкреатический сок на тяжеловзвешенных Т2 изображениях будет яркой - и можно получить изображение, имитирующее изображение экскреторной урограммы.
Нужно ли уж так стараться дифференцировать опухоли почек? Ведь все равно пациента ждёт нефрэктомия! Далеко не всегда. Например, у нас, в Институте хирургии им. А.В. Вишневского, выполняют не просто органосохраняющие операции (резекции почек - по показаниям), но и экстракорпоральные резекции с ортотопической реимплантацией собственной почки (проще говоря, почку на время «вынимают» из тела пациента, в специальных условиях оперируют «в лотке», и возвращают на «законное» место.
Важно: больной должен обратиться за хирургическим лечением уже полностью обследованным (включая все анализы, УЗИ, КТ или МРТ).
Предвосхищая вопрос пациентов «Как долго растут опухоли почек?», отвечаю: обычно долго. И если вовремя выполнить обследование - всегда есть шанс на Успех. И даже спасти этот важный орган возможно - современная хирургия позволяет это! Главное - не отчаиваться.
Григорий Кармазановский - доктор медицинских наук, профессор, заведующий отделом лучевых методов диагностики ФГБУ «Институт хирургии им. А.В. Вишневского» Министерства здравоохранения Российской Федерации (Москва).
МРТ мягких тканей что показывает

Клетки тела человека содержат определенное количество жидкости. Рыхлые структуры (мышцы, подкожно-жировая клетчатка, головной, спинной мозг и др.) в большей степени насыщены влагой, чем твердые образования.
Метод МР-диагностики основан на явлении резонанса атомов водорода в диполях воды под действием силового поля. Интенсивность ответной реакции напрямую зависит от насыщенности сканируемых органов жидкостью.
Магнитно-резонансная томография мягких тканей позволяет визуализировать состояние внутренних структур без инвазивных манипуляций. Преимуществами МРТ являются высокая информативность и отсутствие вредной лучевой нагрузки на организм пациента.

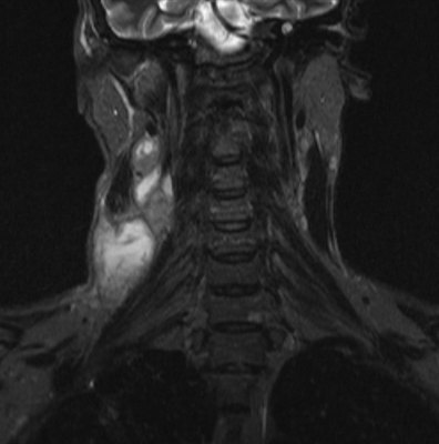
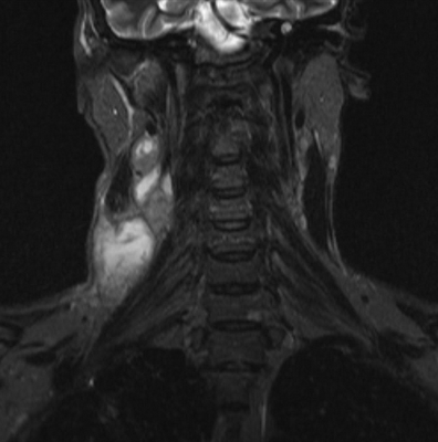
Результат МР-сканирования мягких тканей шеи
Для изучения строения кровеносной системы и диагностики онкологических патологий применяют магнитно-резонансную томографию с контрастным усилением. В качестве «окрашивающего» препарата используют раствор хелатов гадолиния. Вещество характеризуется низкой токсичностью и гипоаллергенностью. Контраст выводится из организма печенью и почками, время полного очищения составляет 24-72 часа.
Показания к МРТ мягких тканей
Магнитно-резонансную томографию проводят при недостаточной результативности других видов инструментальной диагностики. В некоторых случаях сканирование могут назначить при первичном обращении в лечебное учреждение. МРТ мягких тканей показывает малейшие структурные изменения, что облегчает диагностику патологических процессов.
Поводом для обследования служат:
болевой синдром без явных причин;
отеки, деформации мягких тканей в зоне интереса;
лимфаденопатия (увеличение узлов);
признаки онкологического процесса.
Клиническая картина поражения рыхлых структур зависит от локализации патологических явлений.

Магнитно-резонансная томография тазового пояса
МРТ мягких тканей шеи назначают при наличии следующих симптомов:
дисфункция слюнных желез;
нарушения мозгового кровообращения;
признаки заболеваний щитовидной железы;
гипертония неясной этиологии и пр.
Исследование рыхлых структур конечностей проводят в случае:
нарушений двигательной функции;
болевого синдрома неясной этиологии;
нарушения чувствительности, слабости в руках и ногах;
абсцессов, флегмон, других воспалительных процессов в области конечностей;
Мягкие ткани лица сканируют при следующих жалобах пациента:
боли в зоне интереса;
нарушение иннервации лицевых мышц;
нарушения процесса жевания, открывания рта.
Рыхлые структуры ягодичной области исследуют при возникновении:
выраженных болей в нижней части спины;
парестезии в зоне поясницы, крестца, ног;
застойных явлений, нарушений кровообращения в области малого таза и ягодиц.
МРТ мягких тканей используют в диагностике:
добро- и злокачественных новообразований;
дистрофических и дегенеративных заболеваний;
травматических повреждений мышц, связок;
ишемических, некротических явлений;
врожденных аномалий развития.
Метод позволяет уточнить расположение и размеры патологического очага, определить характер операции в случае хирургического лечения заболевания. В период реабилитации томографию назначают для контроля процессов восстановления.
Как делают МРТ мягких тканей?
Обследование проводят с помощью специального оборудования. Различают томографы двух типов:
открытые - состоят из кушетки и магнитной рамы;
тоннельные - представляют собой конструкцию из передвижного стола и трубы.
Сканирование на открытом устройстве повышает комфортность процедуры и подходит пациентам с выраженной клаустрофобией, избыточным весом, нестабильным психо-эмоциональным фоном. Минусом подобных аппаратов является малая мощность и недостаточно высокое разрешение изображений.

Процедура МРТ на тоннельном томографе Siemens
Закрытые устройства генерируют электромагнитный импульс напряженностью от 1,5 Тл, что позволяет получить четкие фотографии. Сканирование на высокопольных томографах дает возможность детального изучения анатомических структур.
Пациент ложится на стол лицом вверх, тело фиксируют валиками и специальными креплениями. Во время сеанса больному необходимо избегать случайных движений. Изменение положения тела спровоцирует появление артефактов на снимках. Для защиты от шума используют наушники.
Связь с обследуемым поддерживают с помощью переговорного устройства. Медицинский персонал во время МРТ находится в соседнем помещении, наблюдая за процедурой через прозрачную перегородку. Данная мера предупреждает случайное воздействие посторонних электромагнитных импульсов на силовое поле томографа.
Стол с пациентом перемещается в тоннель. Сканирование проводят в боковой, прямой и поперечной проекциях. При необходимости реконструируют 3D-модель изучаемой зоны.
Нативное сканирование занимает около 20 минут. Продолжительность МРТ с контрастом увеличивается до получаса. Процедуру с усилением проводят в два этапа: сначала делают несколько простых снимков, затем вводят раствор гадолиния. Для инъекции используют внутривенный катетер, соединенный с автоматическим устройством.
Сканирование продолжают после заполнения контрастным препаратом кровеносного русла и межклеточного пространства мягких тканей.
Нужна ли подготовка?
Перед МРТ мягких тканей необходимо предупредить врача о возможных противопоказаниях и сопутствующих заболеваниях. Следует сообщить о наличии кардиостимулятора, инсулиновой помпы, сосудистых клипс и других изделий медицинского назначения.

Саркома мягких тканей бедра на МРТ
Женщинам, предполагающим беременность, проводят дополнительное обследование с целью уточнения состояния. Нативная процедура противопоказана в первом триместре, контрастную МРТ в период гестации не назначают.
Кормящие мамы перед томографией с усилением сцеживают молоко для ребенка. После введения контраста в течение 6-12 часов запрещено прикладывать малыша к груди.
МРТ мягких тканей не требует соблюдения специальной диеты. Пациенту рекомендуют придерживаться обычного рациона. Ограничения распространяются на употребление алкогольных напитков: за 2-3 дня до процедуры спиртное исключают.
За час до контрастной МРТ нужно легко перекусить. Перед сканированием пациент снимает украшения, аксессуары, пирсинг из металла.
Что лучше: МРТ, КТ или УЗИ мягких тканей?
Аппаратная диагностика отличается высокой информативностью при изучении состояния внутренних структур
Особенности МРТ, КТ и УЗИ мягких тканей:
высокая информативность при отображении рыхлых образований;
возможность трехмерной реконструкции изучаемого участка;
визуализация состояния нервной ткани;
отсутствие вредного воздействия на здоровье пациента
наличие противопоказаний, связанных с физическими свойствами магнитного поля;
искажение картины исследования при случайных движениях больного
информативность в диагностике воспалительных процессов, новообразований, сосудистых заболеваний;
доступна для обследования пациентов с металлическими эндопротезами и вживленными электромагнитными устройствами;
возможность трехмерной реконструкции изучаемой области
наличие ионизирующей лучевой нагрузки;
информативность в отношении мягких тканей;
риск появления дефектов при сканировании глубоко расположенных структур;
ограничение области исследования ввиду неспособности костной тканипропускать ультразвуковые волны
Выбор диагностического метода зависит от зоны изучения, клинической картины, особенностей здоровья пациента. Лечащий врач учитывает результаты предыдущих обследований, анализов, наличие противопоказаний. В сложных случаях используют комплексный подход, что позволяет своевременно определить характер заболевания.

Туберкулезный лимфаденит на снимке МРТ
Что показывает КТ мягких тканей? КТ или МРТ сделать?

КТ мягких тканей в Санкт-Петербурге можно сделать в государственной клинике или частном диагностическом центре. Компьютерная томография является современным методом диагностики и позволяет увидеть состояние органов и тканей, оценить их структуру, выявить патологические процессы и аномалии.
Исследование основано на применении рентгеновского излучения, которое проходит через изучаемую область и считывается специальными датчиками (регистраторами), расположенными в кольцевой части томографа. Устройство транслирует информацию на экран компьютера, преобразуя ее в серию послойных фото. При необходимости, на основании этих снимков, специальная компьютерная программа реконструирует на мониторе 3D-модель рассматриваемой области.
Что показывает КТ мягких тканей
Компьютерная томография отличается высокой эффективностью в диагностике воспалительных явлений, новообразований, локализующихся в мягких тканях, помогает оценить состояние сосудистой системы и интенсивность кровоснабжения рассматриваемой зоны. Применение во время процедуры рентген-контрастного вещества повышает информативность метода, особенно в отношении выявления опухолей (доброкачественных и злокачественных) и патологических состояний вен и артерий.
В случае травматических поражений рыхлых элементов КТ визуализирует возможные гематомы, разрывы мышц, связок, повреждения стенок кровеносных сосудов. Достоинством метода является возможность оценить состояние подлежащих костных и хрящевых структур, обнаружить нарушение их целостности и локализацию травматического поражения.
КТ мягких тканей шеи
КТ сканирование шеи проводят в тех случаях, когда другие
методы исследования оказались малоэффективны и требуется подтверждение
диагноза.
Показания к проведению компьютерной томографии шеи:
травмы этой области;
подозрения на наличие новообразований;
необходимость оценить кровоснабжение и выявить патологию сосудов шеи и головы;
нарушения функции лимфатических узлов;
подозрения на наличие инородного тела в пищеводе, трахее;
заболевания щитовидной железы;
воспалительные процессы исследуемой области.
Томография покажет состояние кровеносной системы, отвечающей за кровоснабжение шеи и головы, визуализирует очаги воспаления, дает возможность определить характер процесса (абсцесс, флегмона, инфильтрат).
Процедура контрастной КТ выявит новообразования и их взаимодействие с
окружающими тканями, поможет дифференцировать злокачественные опухоли шеи,
уточнить местонахождение метастазов.
КТ или МРТ мягких тканей и гортани
Обследование рыхлых элементов шеи с помощью компьютерной томографии не всегда дает возможность установить причину заболевания. КТ информативна в случае изучения строения и структуры плотных (костных и хрящевых) образований, диагностики гематом и кровоизлияний. При исследовании мягких тканей томография с использованием рентгеновского
сканирования может оказаться малосодержательна, так как рыхлые элементы отличаются низкой интенсивностью поглощения ионизирующего излучения.
В этом случае врач назначает в качестве метода диагностического исследования магнитно-резонансную томографию. Применение магнитного поля безопасно для организма и дает возможность детально рассмотреть на послойных снимках структуру мышечной и жировой ткани, особенности строения слизистой, визуализирует состояние щитовидной железы, лимфатических узлов.
При исследовании шеи особое значение имеет сканирование гортани. Это сложный орган, в состав которого входят костные и хрящевые элементы, мышечная ткань, связочный аппарат. Частая локализация опухолей в области гортани является одной из причин тщательного обследования данной зоны.
При КТ гортани оценивают размер, границы, структуру подъязычной кости, надгортанника, щитовидного и черпаловидного хрящей, состояние трахеи.
МРТ информативнее при изучении состояния связок и мышц органа, выявляет
патологические процессы (воспалительные, неопластические), определяет локализацию поражения.
Какой метод целесообразнее, КТ или МРТ мягких тканей и гортани, решает лечащий
врач на основании опроса, осмотра, клинической картины и имеющихся противопоказаний.
КТ мягких тканей бедра
Компьютерную томографию бедра проводят при травмах этой области, для оценки состояния сосудистой системы и с целью выявления воспалительных и неопластических процессов. В изучении структуры рыхлых элементов чаще применяют МРТ, которая отличается высокой информативностью и безопасностью. Но в некоторых случаях, например при наличии противопоказаний, назначают мультиспиральную КТ.
КТ с применением контраста визуализирует сеть сосудов, их проходимость, наличие образований в просвете вен и артерий. Благодаря послойным снимкам можно определить характер кровоснабжения области бедра, увидеть локализацию травматических изменений и новообразований.
КТ мягких тканей лица
Нативное исследование с использованием рентгеновского излучения не дает представления о мягкотканных образованиях лица и головы, поэтому аналогом МРТ может выступать лишь контрастная КТ. После введения йодсодержащего раствора на послойных снимках можно определить:
участки скрытого воспаления;
новообразования (опухоли, кисты);
нарушения кровоснабжения обследуемой зоны и патологии сосудов лица;
аномалии развития мягких тканей.
КТ лица отражает состояние подлежащих костных и хрящевых структур, глазниц, придаточных пазух носа, височно-нижнечелюстных суставов, зубов и десен.
КТ мягких тканей грудной клетки
Оценка состояния мягкотканных элементов, органов грудной клетки и пространства между ними происходит с использованием контрастной МСКТ. При попадании раствора в кровь на снимках и 3D-модели, если она создавалась, четко прослеживается сеть сосудов, питающая каждый орган. КТ визуализирует структурные изменения органов средостения, выявляет патологические процессы в легких, отражает состояние вен и артерий данной области.
КТ обследование имеет ряд противопоказаний, поэтому его проводят по назначению лечащего врача.
Что показывает КТ грудной клетки, подготовка, показания и противопоказания

КТ органов грудной клетки - усовершенствованный способ рентгенографической визуализации, который использует излучение для создания детальных изображений грудины, грудино-ключичных суставов, ребер, прилежащих мягких тканей и органов (в первую очередь, легких).
Исследование проводят, если после выполненной обычной рентгенографии причина жалоб осталась неясной или есть подозрение на патологический процесс в данной области. Компьютерная томография органов грудной клетки может быть выполнена в качестве альтернативы МРТ, если у пациента есть противопоказания к проведению магнитно-резонансного сканирования. Для лучшей визуализации возможно введение контрастного вещества. Основным преимуществом КТ является его способность одновременно демонстрировать кости, мягкие ткани (при контрастировании) и кровеносные сосуды.
Что показывает КТ грудной клетки

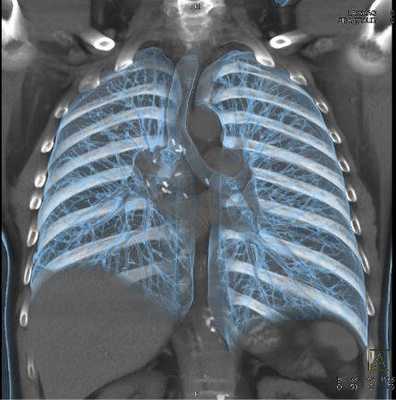
Мультиспиральная КТ грудной клетки, 3D-реконструкция
Специалисты выделяют в средостении три области: центральное (сосудистое пространство с перикардом и его содержимым, сосудами и лимфатическими узлами), переднее (жировая клетчатка, вилочковая железа, внутренние грудные артерии и лимфоидные ткани) и заднее (трахея, пищевод, нисходящая часть грудной аорты, лимфоузлы и паравертебральные пространства грудной клетки). Соответственно, все патологические процессы, которые протекают в данных зонах, могут быть видны.
Грудина, ребра и их сочленения - основные структуры передней стенки грудной клетки - подвержены различным анатомическим аномалиям и патологическим процессам, которые в некоторых случаях требуют лечения. Врач обосновано направит на диагностическую процедуру, если у пациента имеет место необъяснимый длительный кашель, загрудинные боли, кровохарканье, увеличение регионарных лимфоузлов, ограничение в движении плеча, скованность в области грудного отдела позвоночника и др. КТ органов грудной клетки и средостения может показать следующие изменения:
Остеоартроз (остеоартрит) - распространенная патология, затрагивающая чаще грудино-ключичные суставы. На компьютерной томограмме, в отличие от рентгенограммы, можно увидеть субхондральный склероз, кисты, сужение суставной щели и изменения в волокнистой хрящевой ткани диска. Серонегативные артриты, подагра и некоторые иные заболевания также могут затрагивать соединения отделов грудины между собой и с окружающими костными структурами, что убедительно видно на КТ.
Ранняя диагностика септического артрита грудино-ключичного сустава важна для своевременного начала лечения, так как существует высокий риск осложнений - целлюлита, остеомиелита, медиастинита, септического шока. В запущенных случаях можно увидеть абсцесс и формирование свищевого хода. Изменения, которые видны при КТ органов грудной клетки, включают воспалительные процессы в твердых структурах (разрушение суставных поверхностей, расширение суставной щели), в органах и тканях (диффузная инфильтрация, скопление жидкости, газа, размытость границ, реактивное увеличение лимфоузлов). Осложнившуюся пневмонию, плеврит, абсцесс легкого и мягких тканей грудной клетки можно диагностировать с помощью КТ. Исследование также показывает изменения со стороны сердца и клапанного аппарата.
Острые и травматические состояния.
В результате сильного физического воздействия (чаще - вследствие ДТП) возникают один или несколько переломов грудины. Компьютерная томография позволяет диагностировать сочетанные травмы (повреждения ребер, грудного отдела позвоночника, легких и сердца) и осложнения (легочные ателектазы, гемо- и пневмоторакс, гемоперикард). Спонтанные переломы грудины возникают при наличии новообразования (множественная миелома, метастазирование), остеопороза и могут имитировать острые коронарные заболевания. С помощью КТ грудной клетки возможна диагностика врожденных аномалий сосудов или приобретенных патологий: тромбоэмболии легочной артерии, диссекции аорты и пр. По данным КТ ОГК выявляют причины ишемии, дисфункцию сердечных клапанов.
После выполнения стернотомии (операция обеспечивает лучший доступ к сердцу) есть вероятность осложнений: расхождения краев раны, вторичный остеомиелит грудины или ребер, медиастинит и медиастинальная гематома, плевральный выпот. После хирургических вмешательств на сердце и сосудах могут развиться неблагоприятные последствия (инфицирование электродов кардиостимулятора, инфекционно-воспалительные осложнения и пр.). Эти состояния с помощью КТ дифференцируют с нормальными послеоперационными изменениями. У таких пациентов выполняют компьютерное сканирование в динамике. Осложнения могут присутствовать и после вмешательств на легких и прочих структурах. В экстренных ситуациях преимущество КТ - быстрота получения результатов.
Новообразования и метастазирование.
Большинство неопластических процессов грудины носит метастатический характер, что объясняется прямым проникновением из соседних органов или гематогенным путем. Рак молочной и щитовидной желез, легкого, почки, толстой кишки и лимфомы - самые распространенные источники метастазов грудины. КТ грудной клетки с контрастом - золотой стандарт в диагностике рака легких, позволяет увидеть изменения на начальной стадии, при которой возможно радикальное лечение. Компьютерное сканирование показывает также новообразования средостения, которые многообразны по морфологии и генезу. Наиболее часто встречаются тимомы, кисты, нейрогенные опухоли, злокачественные лимфомы. С помощью сканирования при дисфагии можно предположить рак пищевода, но во всех случаях окнчательный диагноз подтверждает морфологическое исследование.
Нередко пациенты задают вопрос: “Что сделать - КТ или МРТ органов грудной клетки?” К каждому исследованию есть свои показания и противопоказания, но способы часто являются взаимодополняющими. Специалисты диагностического центра могут подсказать, что предпочтительнее в каждом конкретном случае, но лучше, если на руках будет направление от лечащего врача.
Как делают КТ органов грудной клетки

Положение пациента во время КТ грудной клетки
На диагностическую процедуру необходимо предварительно записаться, но возможно выполнение в день обращения, по жизненным показаниям. Современные КТ-сканеры могут исследовать большие участки тела всего за несколько секунд, что особенно подходит для пациентов, испытывающих трудности с длительной неподвижностью и маленьких детей. Рентген-техник размещает пациента на столе, для обеспечения неподвижности возможно использование фиксирующих ремней и подушек. Излишняя мобильность приводит к появлению размытости на изображениях. Наблюдение за ходом процедуры ведется из смежного кабинета, через стекло. Для экстренных случаев есть кнопка связи с персоналом. Стол с пациентом скользит вглубь томографа, вокруг тела начинает вращаться множество рентгеновских датчиков, передавая изображения поперечного сечения грудной клетки на экран монитора. Снимки с помощью специальной компьютерной программы могут быть переформатированы в другие плоскости. Полученные в результате диагностики данные легко перенести на любой носитель или распечатать. Неприятных ощущений во время КТ органов грудной клетки и средостения нет, технический шум, который производит работающее оборудование, можно нивелировать, если воспользоваться наушниками. Сканирование длится менее минуты, вся процедура с подготовкой и укладкой занимает не более получаса.
Для улучшения визуализации в некоторых случаях (преимущественно, в диагностике злокачественных новообразований и для оценки динамики после проведения химиолучевой терапии) выполняют КТ органов грудной клетки с контрастом. Препарат вводят внутривенно, перед этим обязательно оценивают уровень креатинина в крови. Усиленная радиофармпрепаратом компьютерная томография помогает уточнить диагноз при туберкулезе (количество очагов, их расположение, состояние лимфоузлов), но окончательная верификация происходит после оценки результатов комплексного обследования (пробы Манту, диаскинтеста, и, при необходимости, биопсии). Воспаление и повреждение паренхимы легких обычно хорошо видны на КТ без контрастного усиления. Если есть опасения по поводу осложнений, радиофармпрепарат может помочь дополнительно определить степень выраженности патологического процесса.
КТ органов грудной клетки детям проводят исключительно по жизненным показаниям в специальных диагностических центрах при педиатрических клиниках.
Подготовка к исследованию

Перед прохождением диагностики убедитесь в отсутствии противопоказаний
Каких-либо длительных мероприятий подготовка к КТ грудины не подразумевает, для нативного исследования достаточно выбрать удобную одежду без металла, снять украшения. Если предстоит введение контрастного вещества, за 40-50 минут до начала процедуры необходимо неплотно перекусить, что поможет предотвратить или уменьшить вегетативные реакции (легкую тошноту, слюнотечение, головокружение). Пациенты, страдающие сахарным диабетом и принимающие Метформин, по согласованию с эндокринологом должны отказаться от препарата за 48 часов до процедуры. Во время лактации рекомендуют сделать запас молока на два кормления.
Показания и противопоказания к КТ грудины
КТ грудины входит в компьютерное сканирование грудной клетки. Диагностика не является рутинным методом обследования и выполняется, если причина заболевания остается неясной или изменения на рентгенограммах требуют уточнения.
Перечислим основные показания к КТ грудины и грудной клетки:
подозрение на патологический процесс в легких, плевре, сердце, грудине, суставах, средостении;
пред- и послеоперационное обследование;
определение зоны для лучевого воздействия при злокачественных новообразованиях соответствующей области;
отслеживание динамики после проведенного лечения.
Противопоказания к КТ грудины и грудной полости
Современная аппаратура позволяет минимизировать лучевую нагрузку по сравнению с обычной рентгенографией в 1,5-2 раза: КТ ОГК безопасна для большинства людей. Исключение - беременные женщины и дети в возрасте до 14 лет. По техническим причинам диагностическая процедура невыполнима у пациентов с выраженным ожирением (выше 150 кг).
Противопоказания к выполнению контрастирования:
хроническая почечная недостаточность с повышением уровня креатинина;
Введение индикаторного препарата недопустимо, если во время или после предыдущего контрастирования развилась серьезная реакция гиперчувствительности по типу отека Квинке или анафилаксии. Небольшая тошнота, металлический привкус, головокружение, приливы жара рассматриваются как вариант нормы и не являются противопоказаниями к КТ с усилением.
Фото томографии грудной клетки
Расшифровка снимков происходит в тот же день. Полученные изображения анализирует врач-рентгенолог, который и выдает заключение. Определить верный диагноз непросто, ведь среди нескольких десятков оттенков черного, серого и белого необходимо вычленить несоответствующий норме и интерпретировать результат. Представим Вашему вниманию несколько фото томографии грудной клетки:

КТ без контраста у пациента с интерстициальным заболеванием легких в анамнезе и трансплантацией правого легкого показывает суженный участок анастомоза правого бронха (красная стрелка). Собственное левое легкое уменьшено в размерах, с признаками бронхоэктазов, бронхиолоэктазов (черная стрелка). Сужение центрального дыхательного пути на выдохе у трансплантированного легкого (синяя стрелка).

Выпот (красные стрелки) в обеих плевральных полостях.
Показывает ли МРТ онкологию
Все клиники сети ЦМРТ оснащены современным высокоточным оборудованием. МРТ и другие виды диагностики проводят опытные и квалифицированные специалисты.
Консультация специалиста после диагностики со скидкой 50%.

Магнитно-резонансная томография играет важную роль в обнаружении опухолевых процессов различной локализации. Высокая детализация внутренних структур позволяет выявить рак на ранней стадии, что важно для прогноза. Лечением опухолевой патологии занимается онколог.
Можно ли на МРТ увидеть рак? Магнитно-резонансное сканирование особенно эффективно при обнаружении некоторых типов опухолей головного и спинного мозга, первичных новообразований костей, сарком мягких тканей. При раке шейки матки, мочевого пузыря МР-исследование лучше, чем КТ показывает, насколько глубоко новообразование проникло в соседние структуры, является ли ткань опухолевой или рубцовой.
Рассказывает специалист ЦМРТ
Дата публикации: 10 Ноября 2021 года
Дата проверки: 30 Ноября 2021 года
Содержание статьи
Показывает ли МРТ рак?
Пациенту с подозрением на онкологический процесс МРТ назначают в качестве первичной диагностики, для определения стадии рака, измерения кровотока. Результаты сканирования помогают онкологам планировать лечение — например, хирургическое вмешательство или лучевую терапию, своевременно выявить рецидив: продолженный рост опухоли, метастазирование.
"МРТ — высокочувствительный метод, основанный на анатомической и функциональной информации, поэтому он часто выявляет злокачественные изменения, которые не проявляются в клинических тестах или плохо определяются другими методами визуализации. Таким образом, МРТ является лучшим инструментом для обнаружения и оценки опухоли на начальной стадии заболевания."
Marcos Fernando de Lima Docema, Paulo Aguirre Costa, Felipe Eduardo Martins de Andrade etc. Magnetic resonance imaging-guided occult breast lesion localization and simultaneous sentinel lymph node mapping. World Journal of Surgical Oncology, №12, 2014
Как выглядит злокачественная опухоль на МРТ
По снимкам можно предположить зло- или доброкачественный потенциал новообразования, окончательная верификация диагноза подразумевает биопсию. Косвенные признаки, свидетельствующие об озлокачествлении:
- размытость контура, отсутствие визуализации четкой границы между опухолью и соседними тканями
- неоднородность структуры: очаги некроза, множественные кисты, отложение кальция и пр
- избыточное развитие сосудистой сети, множественные анастомозы, явная задержка контрастного вещества
- перифокальный отек в виде размытого ореола вокруг очагового образования, зоны некроза (омертвения)
- пораженные лимфатические узлы — опухолевая лимфаденопатия
Как выглядят метастазы на МРТ
Видны ли метастазы на МРТ, зависит от их размеров: МР-изображения показывают очаги более 1,5-2 мм, меньшие отсевы опухоли обнаруживает ПЭТ-КТ.
На снимках метастазы выглядят, как очаговые неоднородные образования, единичные или множественные, с тенденцией к слиянию, может присутствовать зона некротизации. Пораженный лимфатический узел чаще округлой формы, увеличен в размерах. Для лучшей визуализации используют контрастное вещество на основе солей гадолиния.
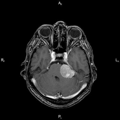
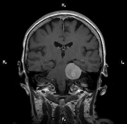
Пациент Р. 62 лет
Проблема: жалобы на частые головные боли, снижение слуха (левое ухо), а также шум в ушах (больше слева). Пациент был направлен на МРТ головного мозга в ЦМРТ с целью уточнения диагноза.
Диагноз: Онкология. Менингиома мосто-мозжечкового угла
Врач ЦМРТ
При МРТ головного мозга в левом мосто-мозжечковом углу определялось больших размеров округлой формы внемозговое патологическое образование, с четкими ровными контурами, широким основанием, прилежащее к твердой мозговой оболочке. После внутривенного контрастирования отмечалось равномерное, выраженное усиление интенсивности МР-сигнала от вышеописанного образования, а также твердой мозговой оболочки. Пациенту был поставлен диагноз (менингиома левого мосто-мозжечкового угла).


Какая МРТ покажет онкологию?
Для получения диагностически ценных результатов необходимо пройти обследование на оборудовании экспертного класса с напряженностью магнитного поля 1,5-3,0 Тесла. Наиболее информативна — мультипараметрическая МРТ. Если нет противопоказаний — аллергии на гадолиний, продвинутой стадии почечной недостаточности — магнитно-резонансную томографию в онкологической практике выполняют с контрастированием.
Особенности проведения МРТ при онкологии
Диагностическая процедура безболезненна и обычно длится 30-60 минут, в зависимости от области интереса. Особенной подготовки не требуется. Важно информировать врача о перенесенных операциях, установленном оборудовании: кардио-, мио-, нейростимуляторах, постоянных протезах, помпах для подачи лекарств, металлических имплантатах и пр.
Не забудьте взять с собой результаты ранее выполненных исследований, выписки из стационара, заключение онкоконсилиума.
Описание МРТ- снимка в ЦМРТ
В сети клиник ЦМРТ при неоднозначных результатах магнитно-резонансной томографии можно получить услугу “Второе мнение”: сделанные ранее снимки опишет опытный рентгенолог без учета имеющегося заключения. Мера позволяет уточнить диагноз. В сложных случаях данные анализируют коллегиально.
Читайте также:
- Фокусировка ультразвукового аппарата. Глубина ультразвукового исследования
- Наследственные сидеробластные анемии
- Профилактика сосудистых звездочек. Основные методы
- Клиника кислородного отравления легких. Рентгенография при кислородном отравлении легких
- Геморрагический диатез на почве недостатка протромбина. Геморрагический диатез на почве недостаточной функции печени.
