КТ, МРТ при кисте второй жаберной щели
Добавил пользователь Евгений Кузнецов Обновлено: 01.11.2025
МРТ головного мозга. Т2-взвешенная аксиальная томограмма. Арахноидальная киста. Цветовая обработка изображения.
Кисты головного мозга в большинстве своем относятся к аномалиям развития. Некоторые образования, возникшие на почве нарушения развития, имеют сходные с кистами черты.
Эпидермоидные кисты (эпидермоиды) - доброкачественные врождённые образования. Они происходят из эктопических эпидермальных клеток и развиваются в период закрытия, в 3-5 нед. эмбриогенеза, как следствие неполного разделения нейрональной и покровной эктодермы. Частота составляет около 1% от внутричерепных образований. Обычно диагностируются в возрасте 25 - 45 лет. Локализация эпидермоидов может быть любой, но типичная - мосто-мозжечковый угол (третье по частоте образование этой области), предмостовая цистерна, параселлярная область, четверохолмие и желудочковая система, очень редко в полушариях, спинном мозге и интрадиплоидно. Растут они интра- или экстрадурально, экспансивно, медленно, сдавливая ствол мозга, внутричерепные нервы, но не разрушая кость. Иногда захватывают сосуды и нервы. По характеру роста их можно отнести к опухолевидным образованиям. Вокруг эпидермоидов нередко развивается асептическое воспаление, а при разрыве содержимое (жир, кератин) прорывается в ликворные пространства. Клинические проявления зависят от локализации и масс-эффекта.
При МРТ головного мозга картина неспецифическая и зависит от содержимого кисты. Если она не содержит жира, то имеет ликворную интенсивность сигнала . В таком случае эпидермоидная киста трудно отличима от арахноидальной, хотя, как правило, не столь однородная. На МРТ типа FLAIR и диффузионно-взвешенных МРТ изображениях содержимое эпидермоидов светлее ликворного. Жировое содержимое, такие эпидермоиды еще называют холестеатомой, приводит к высокому сигналу на Т1-взвешенных МРТ головного мозга. Видимо, он обусловлен липидами, но не холестеролом. На Т2-взвешенных МРТ головного мозга он менее интенсивен чем ликвор. Контуры эпидермоидов всегда четкие. Холестеатомы составляют всего 3-5% от эпидермоидов. В 15-20% случаев встречается кальцификация по переферии кисты. Редко наблюдается контрастирование стенок.
МРТ головного мозга. Т1-взвешенные корональная и сагиттальная МРТ. Эпидермоидная киста левой височной доли.
Дермоидные кисты встречаются реже эпидермоидных, составляя около 0,3 % от внутричерепных образований. Обычно выявляются в возрасте между 10 и 20 годами. Морфологически от эпидермоидов их отличает наличие эктодермальных элементов - волосяных фолликулов, потовых желёз и т.д. Типично они расположены по средней линии (в отличие от эпидермоидов, которые чаще внеосевые): в супраселлярной цистерне, субфронтально, вокруг моста и, очень редко парапиниально, периорбитально, в IV желудочке, в области конского хвоста и интрадиплоидно. От эпидермоидных кист на МРТ головного мозга их отличает только выраженная неоднородность структуры, кроме того, они всегда яркие на Т1-взвешенных МРТ головного мозга за счёт большого содержания липидов. При разрыве и прорыве в субарахноидальное пространство в нём появляется уровень, на Т1-взвешенных МРТ головного мозга светлый жир плавает на ликворе.
Липома представляет собой скопление в субарахноидальном пространстве зачаточных жировых клеток с примесью коллагена. Происходят липомы из остатков примитивной эмбриональной оболочки. Эта мальформация оболочек мозга связана с нарушением дифференцировки мезенхимы на мягкую мозговую оболочку и субарахноидальное пространство. Частота липомы составляет менее 0.5% от внутричерепных образований. Обычно липомы локализуется в мозолистом теле, в межполушарной щели, воронке гипофиза и гипоталамусе, реже вокруг червя мозжечка и пластины четверохолмия и мосто-мозжечковом углу и Липомы мозолистого тела сочетаются с его агенезией и в 60% случаев с распространением на сосудистое сплетение. При МРТ головного мозга липома четко очерчена, без отека вокруг и масс-эффекта, кость не разрушает. Структура образования чаще однородная, жировой интенсивности сигнала - то есть выраженно гиперинтенсивная на Т1-взвешенных МРТ и немного менее интенсивная по отношению к ликвору на Т2-взвешенных МРТ. Иногда встречаются неоднородные липомы с участками низкого сигнала от кальцинатов и сосудов, проходящих ее насквозь. При сомнениях в диагнозе надо выполнить МРТ головного мозга с подавлением жира или можно сделать КТ. На КТ липома всегда резко гиподенсна и может содержать включения кальция.

МРТ головного мозга. Сагиттальная Т1-взвешенная МРТ. Липома мозолистого тела.
Эпендимальные кисты встречаются очень редко. Они представляют собой врождённую отшнуровку внутри желудочков или цистернах . На МРТ головного мозга контур кисты четкий, сигнал ликворной интенсивности или чуть светлее за счет отсутствия пульсации и примеси белка, структура однородная. В отличие от кист прозрачной перегородки она не расщеплена, а смещена.
Арахноидальные кисты представляют собой скопление ликвора между листками расщепленной паутинной оболочки. Арахноидальная киста обычно не сопровождается другими мальформациями. Незначительная часть арахноидальных кист имеет приобретенное происхождение - следствие лептоменингита, операции или кровоизлияния. Частота составляет около 1% от внутричерепных образований. Соотношение полов М:Ж, как 4:1. Типичная локализация - средняя черепная ямка (в области Сильвиевой борозды 50%), межполушарная щель, мосто-мозжечковый угол (11%), за скатом или на уровне четверохолмия (10%), в области червя мозжечка (9%), реже в области межножковой и предмостовой цистерн (3%), а также супраселлярной и хиазмальной цистерн. Ретроцеребеллярная арахноидальная киста довольно часто встречаются за мозжечком и отличима от mega cisterna только по неизменённой задней черепной ямке. Содержимое кисты чисто ликворное, стенки гладкие, чётко очерченные, внутри кисты могут быть перегородки. Мелкие арахноидальные кисты очень трудно увидеть. Меняя ширину окна и его уровень на Т1-взвешенных МРТ изображениях можно заметить, что киста чуть светлее ликвора. Дифференциальная диагностика с эпидермальными кистами лучше осуществляется с помощью МРТ последовательности FLAIR. Эпидермальные кисты становятся яркими, в отличие от гипоинтенсивных арахноидальных.
Нейроглиальные (нейроэпителиальные) кисты - врождённые кисты различной этиологии, локализующиеся в паренхиме мозга или в области сосудистого сплетения желудочков. Обычно округлые, с гладкими стенками. Очень часто такие кисты сочетаются с аномалиями развития: отсутствием прозрачной перегородки и полимикрогирией. При МРТ головного мозга содержимое кист ликворное, иногда с небольшой примесью белка.
Коллоидная киста - это врождённое нейроэпителиальное образование. Коллоидная киста выстлана эпителием и имеет фиброзную капсулу. Она составляют около 1-2% объемных внутричерепных образований. Обычно диагностируются в возрасте между 30 и 50 годами. При МРТ головного мозга видно, что киста всегда расположена в переднее-верхнем отрезке III желудочка между отверстиями Монро. Контур ее четкий, форма округлая, содержимое бывает неоднородное. Размер от 3 мм до 4 см, при больших размерах она закрывает отверстия Монро и вызывает окклюзионную гидроцефалию. Сигнал зависти от примеси белка к ликвору. При наличии белкового мукоидного содержимого киста гиперинтенсивна на Т1-взвешенных МРТ и гипоинтенсивна на Т2-взвешенных МРТ, но встречаются варианты гиперинтенсивные на томограммах обоих типов кольцевидные или смешанные . Контрастирования не наблюдается.
КТ и МРТ головного мозга. Коллоидная киста III желудочка.
Киста кармана Ратке представляет собой редко встречающееся образование из остатков эмбриональной эктодермы (щель Ратке), расположенное между долями гипофиза. Выявляется в любом возрасте, но чаще в 50-60 лет. Клинические проявления связаны с масс-эффектом. При головного мозга выявляется небольшая (3-5 мм) киста с четким контуром, без отека вокруг, однородная по структуре. Сигнал зависит от содержимого. При серозном содержимом сигнал типично жидкостный, при мукоидном киста светлая на Т1-взвешенных МРТ. В редких случаях киста достигает больших размеров и даже выходит за пределы седла. Стенка кисты иногда усиливается при контрастировании.

МРТ головного мозга. Т2-взвешенная корональная МРТ. Киста кармана Ратке.
Пинеальная киста расположена в проекции шишковидной железы. Встречается с частотой 4-11%. Размеры обычно не превышают 1 см, но изредка встречаются больших размеров. В таких случаях она вызывает окклюзионную гидроцефалию. При головного мозга она имеет все признаки кисты с примесью белка в жидкости, то есть немного светлая на Т1-взвешенных. Изредка встречается геморрагическое содержимое. Киста может контрастироваться по периферии.

МРТ головного мозга. Сагиттальная Т1-взвешенная МРТ. Пинеальная киста.
Кисты средней линии - киста прозрачной перегородки (cavum septi pellucidi), полость Верге (cavum Vergae) и киста промежуточного паруса (cavum veli interpositi) - являются нормальными структурами головного мозга плода. В течение 6 месяцев после рождения у большинства людей они запустевают, но могут и сохраниться, визуализируясь при этом на МРТ головного мозга. По-видимому, эти полости не имеют клинического значения и относятся к случайным находкам при томографии. Киста прозрачной перегородки (еще называют V желудочком) является медиальной стенкой боковых желудочков и ограничена спереди коленом мозолистого тела, сверху мозолистым телом и сзади столбами свода . Полость Верге представляет собой продолжение кисты прозрачной перегородки кзади и расположена между телами желудочков . Обычно обе кисты сочетаются. Киста промежуточного паруса расположена в крыше III желудочка (tela choroidea), между треугольниками боковых желудочков на уровне отверстий Монро. Она ограничена сверху мозолистым телом, cзади цистерной четверохолмия и снизу III желудочком.
При МРТ в СПб мы обращаем внимание на возможность не только врожденных, но и редких состояний, к которым относятся приобретенные кисты головного мозга, причиной которых могут быть:
- последствия ОНМК
- опухолевые кисты
- паразитарные кисты

МРТ головного мозга. Корональная Т1-взвешенная МРТ. Многокамерные эхинококковые кисты.
Кисты головного мозга одинаково хорошо видны в высоких полях и низкопольных открытых МРТ. МРТ СПб дает место выбора выполнения МРТ.
Боковая киста шеи - бранхиогенная опухоль, причины, диагностика и лечение

Боковая киста шеи или бранхиогенная опухоль (название заболевания произошло от греческого слова "kystis"- пузырь) относится к врожденным доброкачественным опухолевым образованиям, которая является следствием патологического эмбрионального развития плода. Многолетние исследования указывают на прямую связь с аномальным внутриутробным развитием плода на начальном сроке беременности.
Уже начиная с четвертой недели беременности происходит формирование у зародыша жаберного аппарата, состоящего из 5-и пар полостей или «жаберных карманов», жаберных щелей и соединяющих их дуг, участвующих в развитии и формировании структур головы и шеи ребенка. При нормальном анатомическом развитии плода жаберные карманы постепенно зарастают, но в некоторых случаях, они сохраняются и образуют различные виды кист (боковая, срединная).
Признаки и симптомы боковой кисты шеи
Боковая киста шеи представляет собой безболезненное образование округлой формы с четкими границами, имеющее плотную и эластичную консистенцию, которая располагается в области так называемого «сонного треугольника шеи». Как правило, кожа над боковой кистой достаточна подвижна и не имеет изменения цвета кожного покрова. Клиническая практика показывает, что боковые кисты могут достигать значительных размеров, что и приводит к сдавливанию в области гортани, трахеи и вызывает не только дисфагию, нарушение дыхательной функции, но и расстройство речи человека. Обычно наличие боковой кисты шеи не представляет опасности здоровью, но тем не менее, вследствие скрытой формы заболевания, шейная киста может развиться в злокачественную опухоль.
Раннюю стадию развития шейной кисты обнаружить бывает крайне сложно. Это связано с тем, что существует довольно много других болезней, имеющих сходную симптоматику. Однако существуют параметры симптомов наличия боковой кисты шеи, проявляющиеся вследствие различных инфекционных воспалительных процессов или травматизации :
- появление небольшой по размерам припухлости в области сонной артерии;
- нарушение глотательного процесса пищи;
- болевые ощущения вследствие давления на сосудисто-нервный пучок;
- ощущение эластичного, безболезненного новообразования подвижного характера при пальпации;
- увеличение лимфатических узлов на шее;
- смещение гортани;
- нарушение дыхания и дикции, наличие стридора ( свистящего звука при дыхании);
- нагноение с образование абсцесса в случае инфицирования кисты.
Диагностика боковой кисты шеи

Для подтверждения диагноза «боковая киста шеи» необходим дифференциальный подход к медицинскому обследованию с применением современного диагностического оборудования - компьютерная томография, УЗИ и при необходимости пункция.
Как правило, диагностику боковой кисты шеи выполняют при наличии у пациента осложнения, при котором уже наблюдаются заметное увеличение кисты в размерах, флегмона или характерный абсцесс. Очень важно при проведении диагноза кисты шеи исключить другие заболевания в области шеи, имеющие подобные проявления и сходные симптомы. Бранхиогенная киста может дифференцироваться со следующими заболеваниями шеи : липома шеи, лимфосаркома, лимфангиома, тератома шеи, лимфаденит, включая неспецифическую туберкулезную форму, опухоль гломуса ( блуждающий нерв), бранхиогенная карцинома, метастазы при онкологии щитовидной железы.
Диагностика боковой кисты шеи состоит из следующих этапов:
- полный сбор анамнеза болезни, включая наследственный фактор;
- внешний осмотр с пальпацией области шеи и лимфоузлов;
- компьютерная томография шеи с контрастированием для уточнения размеров опухоли, ее локализации, вида свища, содержимого полости;
- УЗИ шеи;
- пункция кисты ( по показаниям);
- фистулограмма или окрашивание свищевого хода.
Лечение боковой кисты шеи

Лечение боковой (бранхиогенной) кисты проводится только хирургическим путем. Во избежание осложнений, развития воспалительных процессов и нагноений, проводить операцию по удалении кисты нужно как можно раньше. В наше время операции по радикальному рассечению кисты не относятся к сложным оперативным вмешательствам, но требуют высокого профессионализма, внимания и опыта, так как оставшиеся частички эпителия новообразования могут в дальнейшем вызвать рецидив с последующим хирургическим лечением.
Данные операции проводятся под эндотрахеальным наркозом (интубирование трахеи), длительность операции от 30 минут до одного часа в зависимости от локализации опухоли, возраста пациента и сложности случая. По окончании операции пациенту проводят антибактериальное, противовоспалительное лечение. Физиотерапевтические процедуры и УВЧ. Через пять-семь дней после операции снимаются швы. Для исключения рецидива пациент находится на диспансерном наблюдении в течение одного года.
Особенности развития шейной кисты и лечения в детском возрасте
Боковые кисты шеи у новорожденных и детей младшего возраста протекают в латентной форме и не выражаются клинической симптоматикой до тех пор, пока не появляется провоцирующий фактор - травматизация ребенка, появление респираторной инфекции или других воспалительных процессов. Иногда таким фактором может стать и гормональная перестройка организма.
Клиническая практика показывает, что у детей формированию боковой кисты всегда предшествуют ОРЗ, грипп и другие заболевания верхних дыхательных путей. Прослеживается связь опухоли с лимфатическими путями, при которых происходит проникновение микробов патогенного характера во внутреннюю полость кистозного образования, которые вызывают нагноение.
В детском возрасте хирургическое лечение боковой кисты проводят от трех лет вне стадии обострения. Но в случае серьезных осложнений, ведущих к угрозе жизни, хирургическое вмешательство показано и в раннем возрасте ребенка.
Прогноз лечения боковой кисты шеи
Прогноз боковой кисты шеи зависит от следующих факторов:
- общее состояние здоровья пациента;
- возраст;
- размер кисты и ее локализация по отношению к важным органам, крупным сосудам;
- длительность развития кисты;
- формы кисты - воспаление, нагноение;
- содержание полости - гной или экссудат;
- вид фистулы;
- наличие или отсутствие хронических заболеваний.
В целом прогноз от лечения боковой кисты шеи можно считать благоприятным. Риск перерождения боковой кисты в злокачественную форму крайне мал.
Существует ли профилактика бранхиогенной шейной кисты?
К сожалению, не существует профилактических мер по предупреждению развития данного заболевания в связи с ее характером аномального внутриутробного зарождения. Скорее всего это вопрос для генетиков, занимающихся проблемами этиологии и патогенеза врожденных аномалий эмбрионального развития. Но, если все-таки боковая киста определена, то малышам рекомендовано динамическое наблюдение до трех лет с периодическими осмотрами раз в 3-и месяца. Дети должны проходить регулярную диспансеризацию с обязательным осмотром ЛОР-врача, который сможет контролировать развитие опухоли и исключить различные риски и осложнения.
Клинический случай в отделении гортани ФГБУ НМИЦО ФМБА России
Пациентка М., 26 лет, 20.06.2016 года обратилась за медицинской помощью к специалистам отделения заболеваний гортани ФГБУ НМИЦО ФМБА России с жалобой на наличие образования на шеи справа. Со слов пациентки образование появилось в сентябре 2015 года, был отмечен постепенный рост. После проведения МРТ исследования и УЗИ шеи выставлен диагноз «боковая киста шеи». Справа на боковой поверхности шеи визуализируется контуры кисты от сосцевидного отростка височной кости до ключицы, при пальпации плотная, поверхность гладкая.
Вид шеи пациентки до операции
Снимки МРТ пациентки М.
21.06.2016 года пациентке было выполнено удаление доброкачественного образования шеи.
Операция по удалению боковой кисты пациентке М.
Размер удаленной опухоли: 20 см на 6 см
В послеоперационном периоде пациентка М. получала антибактериальную терапию, шов удален на 7-е сутки.
Киста шеи
Киста шеи - это полое патологическое образование, которое располагается в области шеи и содержит жидкость или кашицеобразную массу. Относится к числу врожденных патологий, может быть боковой или срединной. Боковые кисты выявляются сразу после рождения, срединные могут обнаруживаться по мере роста ребенка или становиться случайной находкой в ходе каких-либо медицинских исследований. Возможные осложнения - нагноение, образование свища и злокачественное перерождение. В большинстве случаев кисты шеи подлежат хирургическому удалению. Пункции кисты неэффективны, поскольку в последующем в ее полости снова скапливается содержимое. Консервативного лечения не существует.
МКБ-10


Общие сведения
Киста шеи - полое опухолевидное образование, располагающееся по передней или боковой поверхности шеи. Формируется при нарушениях на ранних стадиях эмбрионального развития. В некоторых случаях сочетается с врожденным свищом шеи. Иногда свищ образуется уже в детском или даже взрослом возрасте в результате нагноения кисты. Возможно перерождение кисты шеи в злокачественную опухоль. Лечение только хирургическое.
Боковые кисты шеи обычно выявляются при рождении ребенка, срединные обнаруживаются в возрасте 4-7 или 10-14 лет, иногда протекают бессимптомно. У одного из 9-10 больных боковая киста наблюдается в сочетании с врожденным свищом шеи. Примерно в 50% случаев кисты нагнаиваются, а свищ формируется в результате опорожнения гнойника через кожу.
Причины
Боковая киста шеи представляет собой полость между жаберными бороздами, которые в норме должны исчезать по мере развития плода. Она формируется при аномалии развития жаберных щелей на четвертой-шестой неделях беременности. Срединная киста образуется при перемещении зачатка щитовидной железы из места ее формирования на переднюю поверхность шеи по щитовидно-язычному протоку. Это происходит на шестой-седьмой неделях беременности.
Врожденный свищ не является самостоятельной патологией и всегда сочетается с боковой или срединной кистой шеи. Выделяют два вида свищей: полные (с двумя выходными отверстиями: на коже и слизистой полости рта) и неполные (с одним отверстием, которое может располагаться как на коже, так и на слизистой).
Виды кисты шеи
Боковые кисты шеи
Боковые кисты шеи встречаются чаще срединных (примерно в 60% случаев). Они располагаются на передне-боковой поверхности шеи, в ее верхней или средней трети, кпереди от кивательной мышцы и локализуются прямо на сосудисто-нервном пучке, рядом с внутренней яремной веной. Бывают как многокамерными, так и однокамерными. Боковые кисты шеи большого размера могут сдавливать сосуды, нервы и расположенные рядом органы.
Симптомы
При отсутствии нагноения или сдавления сосудисто-нервного пучка жалоб нет. В ходе осмотра выявляется округлое или овальное опухолевидное образование, особенно заметное при повороте головы пациента в противоположную сторону. Пальпация безболезненна. Киста имеет эластическую консистенцию, подвижна, не спаяна с кожей, кожные покровы над ней не изменены. Как правило, определяется флюктуация, свидетельствующая о наличии жидкости в полости кисты. При пункции в полости образования обнаруживается мутная жидкость грязновато-белого цвета.
Осложнения
При нагноении киста шеи увеличивается в размере, становится болезненной. Кожа над ней краснеет, выявляется локальный отек. В последующем формируется свищ. При вскрытии на кожу устье свища располагается в области переднего края кивательной мышцы. При вскрытии на слизистую полости рта устье находится в области верхнего полюса небной миндалины. Отверстие может быть как точечным, так и широким. Кожа вокруг устья нередко покрывается корками. Наблюдается мацерация кожных покровов и гиперпигментация.
Диагностика
Диагноз боковой кисты шеи выставляется на основании анамнеза и клинической картины заболевания. Для подтверждения диагноза выполняют пункцию с последующим цитологическим исследованием полученной жидкости. Могут использоваться такие дополнительные методы исследования, как УЗИ, зондирование и фистулография с рентгенконтрастным веществом.
При неинфицированной кисте шеи проводится дифференциальная диагностика с лимфогранулематозом и внеорганными опухолями шеи (липома, невринома и т. д.). Нагноившуюся кисту дифференцируют от аденофлегмоны и лимфаденита.
Срединные кисты шеи
Срединные кисты в травматологии составляют около 40% от всех кист шеи и располагаются на передней поверхности шеи, по средней линии. При осмотре выявляется плотное, безболезненное, четко отграниченное образование эластической консистенции диаметром до 2 см , не спаянное с кожей. Киста незначительно подвижна, спаяна с телом подъязычной кости, смещается при глотании. В ряде случаев опухолевидное образование располагается в корне языка. При этом язык приподнимается, возможны нарушения речи и глотания.
Срединные кисты нагнаиваются чаще боковых - примерно в 60% случаев. При инфицировании образование увеличивается в размере, становится болезненным. Окружающие ткани отекают, кожа краснеет. При вскрытии гнойника образуется свищ с устьем, расположенным на передней поверхности шеи, между щитовидным хрящом и подъязычной костью. Если свищ открывается в ротовую полость, его устье располагается на передней поверхности языка, на границе между его корнем и телом.
Диагноз срединной кисты выставляется на основании анамнеза и клинических данных. В качестве методов инструментальной диагностики используется УЗИ и пункция кисты с последующим цитологическим исследованием. При пункции получают тягучую мутную жидкость желтоватого цвета, содержащую лимфоидные элементы и клетки многослойного плоского эпителия. Для исследования свищевых ходов применяется фистулография и зондирование.
Срединную кисту шеи дифференцируют от струмы языка, дермоидной кисты, лимфаденита, специфических воспалительных процессов и аденомы аномально расположенной щитовидной железы.

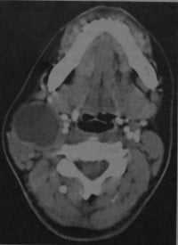
КТ шеи. Слева от средней линии в сонном пространстве кистозное образование (кистозно измененный лимфоузел).
Лечение кисты шеи
Лечение кист шеи только оперативное. Объем операции определяется состоянием больного, наличием и видом осложнений. У пожилых больных с тяжелыми сопутствующими заболеваниями выполняется аспирация содержимого кисты с последующим промыванием ее полости антисептическими препаратами. В остальных случаях этот метод не используется из-за недостаточной эффективности и высокого риска развития рецидивов.
- Неосложненные кисты. Хирургическое удаление кисты шеи показано при всех боковых кистах, срединных кистах любого размера в детском возрасте и срединных кистах диаметром более 1 см у взрослых. Для предупреждения рецидивов кисту иссекают вместе с капсулой. При хирургических вмешательствах по поводу срединной кисты также удаляют часть подъязычной кости, через которую проходит тяж от опухолевидного образования. При операциях по поводу боковой кисты возможны затруднения из-за расположенных рядом сосудов и нервов. В зависимости от размеров кисту корня языка могут удалять как через разрез на коже, так и через рот.
- Нагноившиеся кисты. При нагноении кисты ее полное удаление не показано. Выполняется вскрытие и дренирование. Показанием к экстренной операции является наличие острого воспалительного процесса, особенно - при закрытии свища и формировании абсцесса. В последующем проводятся регулярные перевязки с промыванием полости кисты антисептическими препаратами, назначается противовоспалительная терапия. Иногда полость кисты рубцуется. Если этого не происходит, ее удаление производят не раньше, чем через 2-3 месяца после ликвидации воспаления.
- Кисты со свищами. Срединные и боковые свищи шеи необходимо иссекать и удалять. Эта задача может быть сопряжена с рядом трудностей из-за тонкой стенки и извилистых ходов свища. Поэтому перед операцией в свищевой ход вводят зонд или окрашивающий препарат (бриллиантовый зеленый, метиленовый синий). В ходе операции удаляют все свищевые ходы, в том числе - тонкие и малозаметные, иначе возможен рецидив. Особой сложностью отличается операция по иссечению бокового свища шеи, поскольку в этом случае свищевой ход проходит между внутренней и наружной сонными артериями.
2. Клинико-морфологическая характеристика срединных, боковых кист и свищей шеи: автореферат диссертации/ Иванова С.В. - 2005
3. Источники развития, клинико-морфологическая характеристика и принципы лечения срединных кист шеи/ Ткаченко П.И., Белоконь С.А., Старченко И.И., Гуржий Е.В.// Журнал Гродненского государственного медицинского университета - 2014 - №2
Как выявить бранхиогенную (боковую) кисту на снимках КТ и МРТ шеи
Признаки бранхиогенной (боковой) кисты шеи на снимках КТ и МРТ
Методы выбора
Делают ли КТ шеи при бранхиогенной кисте
- Кистозное образование (10-25 HU) латеральнее нервно-сосудистого пучка (до 10 см в диаметре)
- Смещает поднижнечелюстную железу кпереди и медиально, грудино-ключично-сосцевидную мышцу - кзади и латерально
- Часто расположена рядом с углом нижней челюсти, иногда в окологлоточном пространстве или кпереди от нервно-сосудистого пучка
- Кровоизлияния в полость кисты и перегородки в ней встречаются редко
- Утолщение стенки и ее усиление после введения контраста наблюдается только в случае инфицирования кисты.
Что покажут снимки МРТ шеи при бранхиогенной кисте
- Интенсивность сигнала на Т1 -взвешенном изображении зависит от содержания белка или крови (низкое содержание - гипоинтенсивный сигнал, высокое - гиперинтенсивный)
- Высокая интенсивность сигнала на Т2- взвешенном изображении
- Объемное образование с четкими границами, не инфильтрирует окружающие ткани
- Интенсивное усиление стенки после введения гадолиния наблюдается только при инфицировании кисты.
Отличительные признаки
- Не накапливающая контраст гладкостенная киста, расположенная ме- диальнее нервно-сосудистого пучка, кпереди от грудино-ключичнососцевидной мышцы и позади поднижнечелюстной слюнной железы.
Что хотел бы знать лечащий врач
На что похожа жаберная киста
Увеличение лимфатических узлов (воспаление или опухолевое поражение)
- Усиление сигнала в центре узла после введения контраста (при отсутствии некроза)
-Как правило, увеличивается несколько лимфатических узлов, расположенных вдоль сосудов
Лимфогенная киста шеи
- Как правило, крупное образование с наличием перегородок
-Чаще всего встречается у детей младше 2 лет
Абсцесс
- Обычно вызывает воспалительную реакцию окружающих тканей
Гематома
- Отсутствие усиления стенки
-Интенсивность сигнала непостоянна
Киста тимуса
- Расположена на более низком уровне в пределах нервно-сосудистого пучка
-Кистозное образование, изображение иногда напоминает губку
Кистозная невринома
- Располагается латеральнее нервно-сосудистого пучка
Лечение
- Полное удаление кисты с иссечением всех свищевых ходов.
Врачи каких специальностей диагностируют и лечат брахиогенную кисту
- Педиатр (первичный осмотр ребенка)
- Хирург (удаление кисты)
Прогноз
- После полного удаления прогноз благоприятный
- В случае инфицирования кисты оперативное вмешательство откладывают до стихания воспалительного процесса.
Возможные осложнения и последствия
- Флегмоны шеи
- Бранхиогенный рак (редко)

Инфицированная бранхиогенная киста. КТ с контрастированием: киста на уровне правого угла нижней челюсти. Наблюдается утолщение и усиление стенки кисты, а также снижение плотности в центре образования. Грудино-ключично- сосцевидная мышца смещена кзади и лате рально, нервно-сосудистый пучок - медиально.
МРТ, Т2-взвешенное изображение без контрастирования: бранхиогенная киста в левой поднижнечелюстной области. Интенсивность сигнала в центре кисты значительно повышена, сигнал от стенки кисты имеет промежуточную интенсивность. Грудино-ключично-сосцевидная мышца смещена кзади и латерально, нервно- сосудистый пучок - медиально.
КТ, МРТ при кисте второй жаберной щели
ГБУЗ «Научно-исследовательский клинический институт оториноларингологии им. Л.И. Свержевского», Москва, Россия
Московский научно-практический центр оториноларингологии Департамента здравоохранения Москвы
Отделение болезней уха, горла и носа ГКБ №1 им. Н.И. Пирогова
ГБУЗ «Научно-исследовательский клинический институт оториноларингологии им. Л.И. Свержевского» Департамента здравоохранения Москвы, Москва, Россия, 117152
Дифференциальная диагностика и тактика лечения кистозных образований носоглотки
Журнал: Вестник оториноларингологии. 2017;82(4): 52‑55
Кистозные образования носоглотки, распространенность которых в популяции может достигать 14%, почти никогда не проявляются клинически. В редких случаях они вызывают затруднение носового дыхания, выделения из носа, снижение слуха и другие неспецифические симптомы. Установить первичный диагноз позволяет эндоскопия носоглотки; для уточнения диагноза и планирования лечения требуется проведение МРТ- и КТ-исследований. Лечение кист носоглотки хирургическое; в настоящее время оптимальным в большинстве случаев считается применение эндоскопической эндоназальной марсупиализации, дополненной коблацией, радиоволновым или лазерным воздействием.
Внедрение эндоскопических методов диагностики ЛОР-органов облегчили выявление патологии носоглотки. Одним из заболеваний носоглотки, вызывающим ряд неспецифических жалоб пациентов, являются кистозные образования [1].
Киста — доброкачественное новообразование, заполненное жидким содержимым и отделенное от окружающих тканей оболочкой или капсулой. Кисты верхних дыхательных путей могут локализоваться во всех отделах: в дне полости носа и придаточных пазухах, в глотке и гортани [1, 2]. Кистозные образования носоглотки встречаются достаточно часто (по некоторым оценкам, распространенность в популяции достигает 14%), однако в подавляющем большинстве случаев они не достигают крупных размеров и протекают бессимптомно. По своему происхождению кисты данной локализации могут быть как врожденными (нарушение эмбриогенеза), так и приобретенными (в результате воспалительных изменений или хирургических вмешательств) [3].
В большинстве случаев кисты носоглотки являются случайной диагностической находкой при лучевых методах исследования. Появление симптомов может быть обусловлено как увеличением размеров кисты, так и наличием отделяемого из полости кисты или инфицированием ее содержимого. К наиболее частым симптомам кист носоглотки относят затруднение носового дыхания, гнусавость, стекание слизи по задней стенке глотки, боль в затылочной или теменной области, напряжение задних шейных мышц, неприятный запах изо рта, ощущение инородного тела и ронхопатия. Также могут появиться выделения из носа, ощущение заложенности ушей, снижение слуха, гноетечение из ушей [1, 3].
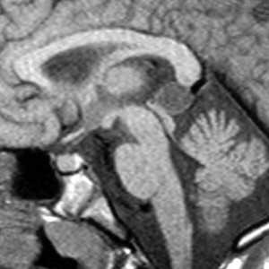
Дифференциальный диагноз кист носоглотки включает в себя псевдокисты, кисты Торнвальдта, бранхиогенные кисты, ретенционные кисты, интрааденоидные кисты и глоточные абсцессы. Крайне редко встречаются кисты кармана Ратке в носоглотке, краниофарингиомы, онкоцитарные кисты и другие кистоподобные образования [3]. Расположение кист в носоглотке в аксиальной проекции может быть различным: медианное (чаще киста Торнвальдта и интрааденоидные кисты), парасагиттальное (характерно в большей степени для ретенционных кист) и латеральное (бранхиогенные кисты). Разделение парасагиттального и латерального расположения происходит по линии возвышения в проекции длинной мышцы шеи [4].
Псевдокисты могут имитировать кисту при эндоскопии носоглотки. Они образуются из-за нарушения эмбриогенеза, когда не происходит закрытия краниофарингеального протока. Через этот незакрытый проток в носоглотку могут выходить частично мозговые оболочки и новообразования нервной ткани (менингиомы, краниофарингиомы и др.), которые и составляют содержимое псевдокист вместе с жидкостным компонентом. Образования такого рода встречаются редко. МРТ позволяет проследить, откуда исходит содержимое псевдокисты [3].
Размеры кисты Торнвальдта, как правило, небольшие и не превышают 6 мм в диаметре, однако могут достигать 30 мм [4]. Только 10% кист Торнвальдта проявляются клинически [6]. При КТ-исследовании определяются области с повышением уровня сигнала из-за того, что содержимое кисты часто имеет высокое содержание белков или примесь крови. Образование гиперинтенсивно на Т1-, Т2-взвешенных и FLAIR МРТ-снимках, при контрастировании с гадолинием накопления контраста в образовании не происходит [4, 5]. При гистологическом исследовании для кисты Торнвальдта характерна выстилка из респираторного эпителия без лимфоидной ткани [3].
Бранхиогенные кисты развиваются из остатков второй жаберной щели. Как правило, они односторонние и лишь в редких случаях появляются билатерально. В отличие от других кист носоглотки, для них характерно расположение на латеральной стенке глотки, в области ямки Розенмюллера, глубже подслизистой основы. Выделяют четыре основных локализации бранхиогенных кист: грудиноключично-сосцевидная мышца, внутренняя яремная вена, наружная яремная вена и глотка. Гистологически в стенках образований определяется лимфоцитарная инфильтрация и образование лимфоидных фолликулов, cтенки выстланы плоским эпителием [7]. На КТ-изображениях кисты имеют низкую интенсивность сигнала. МРТ демонстрирует области с сигналом пониженной и повышенной интенсивности на изображениях в Т1- и Т2-взвешенных режимах соответственно. При контрастировании с гадолинием накопления контраста не происходит [7, 8].
Интрааденоидные кисты появляются по причине механической или воспалительной окклюзии эмбриональной щели (центральной ямки) глоточной миндалины. Их распространенность составляет около 6%, они развиваются на задней стенке носоглотки. Отличительной особенностью интрааденоидных кист является наличие борозд на поверхности. При гистологическом исследовании стенки кисты содержат лимфоидную ткань, а также цилиндрический и плоский эпителий [9]. На МРТ выявляют гипоинтенсивные участки в Т1-взвешенном режиме, гиперинтенсивные участки в Т2-взвешенном режиме [8]. Дифференциальный диагноз с кистой Торнвальдта в ряде случаев затруднен, поэтому некоторые авторы предлагают объединять наличие признаков болезни Торнвальдта и интрааденоидной кисты в синдром Торнвальдта [9].
Ретенционные кисты слизистой оболочки носоглотки являются распространенными образованиями. Они могут быть как единичными, так и множественными, односторонними или двусторонними. В диаметре ретенционные кисты обычно не превышают 5 мм. Множественные кисты встречаются примерно в 6,6% случаев. В отличие от кисты Торнвальдта и бранхиогенных кист они располагаются в любой области носоглотки, чаще парасагиттально, поверхностнее глоточно-базилярной фасции. При МРТ для ретенционных кист характерно изо- или гипоинтенсивное изображение в Т1-взвешенном режиме, гиперинтенсивное изображение в Т2-взвешенном и FLAIR-режиме [4]. При гистологическом исследовании обнаруживаются грануляции и скопление слизи в эпителиальной выстилке [3].
Кисты кармана Ратке и краниофарингиомы образуются из остатков эмбрионального краниофарингеального канала, который соединяет у эмбриона носоглотку с третьим желудочком и в норме полностью облитерируется. Кисты кармана Ратке почти всегда располагаются интракраниально в области гипофиза, однако в редких случаях визуализируются в верхних отделах носоглотки. При экстенсивном росте такая киста может блокировать отверстия слуховых труб, вызывать головные боли, диплопию, птоз и другие симптомы [3]. На КТ-изображениях киста кармана Ратке выглядит гиподенсной. При МРТ-исследовании она изоинтенсивна в Т1-взвешенном режиме, гиперинтенсивна в Т2-режиме с периферическим усилением сигнала при контрастировании [8]. Краниофарингиомы — это доброкачественные опухоли, более характерные для детского возраста, которые обычно появляются в супраселлярной области. Распространение краниофарингиом в носоглотку происходит в исключительных случаях, при этом внешне они имеют вид кисты или имитируют разрастание аденоидных вегетаций [3] (см. таблицу).

Характеристика наиболее распространенных кистозных образований носоглотки [3, 4, 8, 9]
Симптомы кист довольно неспецифичны, поэтому пациенты могут длительно безрезультатно лечиться у врачей-неврологов и терапевтов. Первичный диагноз может быть установлен при эпифарингоскопии и эндоскопическом исследовании носоглотки. Как правило, на задне-верхней стенке носоглотки визуализируется округлое образование с четкими контурами, покрытое неизмененной слизистой оболочкой, плотноэластичное при надавливании [1]. При инфицировании кисты слизистая оболочка над ней может быть гиперемирована с расширенными сосудами, а при наличии выводного отверстия из него выходит слизисто-гнойное отделяемое [6]. Врач фиксирует локализацию, размер, подвижность, цвет и характер поверхности образования, особенности отделяемого при наличии последнего.
Среди лучевых методов наиболее информативным в диагностике кист носоглотки можно считать МРТ, которая позволяет точно локализовать образование, уточнить его пространственное взаимоотношение с окружающими мягкотканными структурами и сосудами. В то же время КТ отлично показывает состояние и расположение окружающих костных структур, что также важно для диагностики заболевания и планирования хирургического лечения. Кисты визуализируются как округлые структуры правильной формы с четкими контурами, не связанные с мышцами глотки [8]. Ввиду того, что кисты редко проявляются клинически, чаще всего они диагностируются как случайная находка при лучевых методах исследования. Аспирация содержимого кист ранее применялась для определения возможной примеси цереброспинальной жидкости, но с появлением МРТ аспирация утратила свою актуальность. Окончательный диагноз помогает установить гистологическое исследование стенки кисты [3].
Лечение кист носоглотки проводится хирургическим путем под местной, общей или комбинированной анестезией [1]. Существует два принципиальных подхода к оперативному лечению кист носоглотки: полная резекция и марсупиализация. Для резекции кист предложены различные доступы, включая трансоральный, транспалатинный, трансмандибулярный, трансмаксиллярный и эндоназальный. Трансоральный доступ рекомендовали для кист крупных размеров, расположенных в нижних отделах носоглотки, а транспалатинный доступ — для кист в верхних отделах, однако является очень травматичным [10, 11].
Полная резекция может быть сопряжена со значительными техническими трудностями, обусловленными анатомическими особенностями носоглотки [10]. В этой связи развитие получили эндоскопические эндоназальные техники марсупиализации, которые позволяют добиться хороших клинических результатов при меньшей травматизации здоровых тканей, и, как следствие, снизить число послеоперационных осложнений и длительность госпитализации [6]. Эндоскопический подход обеспечивает прямой доступ к области вмешательства с возможностью углового обзора, хорошим освещением и увеличением изображения. На первом этапе некоторые хирурги проводят необходимую коррекцию перегородки носа и носовых раковин при наличии затруднения носового дыхания у пациента, что также способствует хорошему обзору носоглотки [11]. Перед вскрытием кисты в некоторых случаях используется коагуляция сосудов слизистой оболочки с целью уменьшения интраоперационной кровопотери и хорошей визуализации операционного поля [3]. Удаление передней стенки кисты производят биопсийными щипцами, аденотомом или шейвером. Далее ряд авторов предлагают проводить деструкцию задней стенки (дна) кист с помощью аргонно-плазменной коагуляции, радиоволнового, электрического или лазерного воздействия. Часть удаленной передней стенки образования отправляется на патогистологическое исследование, которое позволяет окончательно установить диагноз [5, 6, 9, 11].
Кисты кармана Ратке и краниофарингиомы подвергаются стереотаксической радиохирургии, хирургическому удалению с различными подходами и введению химиотерапевтических препаратов в полость кисты; нередко используют сочетание указанных методик. С учетом риска развития в послеоперационном периоде ликвореи, менингита и гипопитуаризма, требуется особенно тщательное планирование объема вмешательства [3].
К возможным осложнениям хирургического лечения относят кровотечение и грубое рубцевание. В редких случаях, когда кровотечение не удается остановить во время операции, применяется тампонада носоглотки [5, 10]. В случае неудачной попытки лечения кист носоглотки возможен рецидив.
Уменьшение интенсивности симптомов заболевания может происходить с 3—4-х суток после операции. Продолжительность госпитализации, как правило, составляет 2—4 сут [6, 9, 11]. В послеоперационном периоде назначается антибактериальная терапия для профилактики инфекционных осложнений. Под эндоскопическим контролем производят динамическое наблюдение и туалет носоглотки. Амбулаторно пациентам некоторые авторы рекомендуют проводить орошение носа физиологическим раствором и использовать топические глюкокортикостероидные спреи [11].
Заключение
Кистозные образования носоглотки способны вызывать у пациентов ряд неспецифических жалоб (затруднение носового дыхания, стекание слизи по задней стенке глотки, выделения из носа, боль в затылочной или теменной области, храп, гнусавость, ощущение заложенности ушей, снижение слуха), поэтому их клиническая диагностика затруднена. Эндоскопическое исследование носоглотки позволяет установить первичный диагноз. Для уточнения диагноза и планирования объема хирургического лечения необходимо сочетание МРТ- и КТ-исследований: МРТ позволяет точно локализовать образование, уточнить его пространственное взаимоотношение с окружающими мягкотканными структурами и сосудами; КТ отлично показывает состояние и расположение окружающих костных структур. На сегодняшний день широкое распространение получили эндоскопические эндоназальные техники вскрытия и частичного удаления кист, которые позволяют добиться регрессии клинической симптоматики. Использование при таких операциях аргонно-плазменной коагуляции, радиоволнового, лазерного воздействия помогает избежать осложнений и сократить длительность госпитализации и период реабилитации.
Читайте также:
