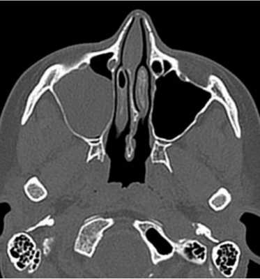
КТ, МРТ при кокаиновом некрозе носа
Добавил пользователь Евгений Кузнецов Обновлено: 21.11.2025
Диагностика заболеваний придаточных пазух носа (гайморовых, лобной, основной пазух) — сложная процедура, так как интересующие врача структуры фактически располагаются внутри лицевой части черепа и открываются в полость носа через узкие проходы. Чтобы выявить аномалии тканей, выстилающих пазухи, используется магнитно-резонансная томография. Этот метод помогает выявить патологии с меньшим риском для здоровья, чем при использовании компьютерной томографии или рентгена. Говоря о том, что показывает МРТ пазух носа, специалисты указывают, что исследование лучше покажет патологии мягких тканей, но не костей.
Какие заболевания покажет МРТ пазух носа?
Обзорное обследование околоносовых пазух с использованием мощного магнитного поля проводят для выявления аномалий в строении мягких тканей. Такая особенность объясняется тем, что поле, создаваемое томографом, приводит к резонансу атомов водорода. Они в большом количестве содержатся в слизистых оболочках в придаточных пазухах и других органах, паренхиме и стенках внутренних органов, мягких тканях, сосудах и т. д. А вот костные структуры содержат мало водорода, и потому остаются почти невидимыми на снимках.

Исходя из этих особенностей, МРТ пазух носа чаще делают для выявления следующих групп заболеваний:
- синуситов — острых и хронических воспалений слизистых оболочек околоносовых пазух и полости носа;
- гайморитов, фронтитов, сигмоидитов — воспалительных процессов с накоплением гнойного экссудата внутри верхнечелюстных или лобных пазух;
- полипов и кист — доброкачественных образований на слизистых оболочках носа и околоносовых пазух;
- злокачественных новообразований в области носовой полости, придаточных пазух, прилегающих к ним структур;
- врожденных и приобретенных аномалий в строении носовой перегородки (искривление), раковин (увеличение или уменьшение их объема) и т. д.
Исследование с контрастом дополнительно показывает состояние кровеносных сосудов в придаточных пазухах, а также может с высокой точностью «подсветить» раковые опухоли и метастазы непосредственно в придаточных пазухах и рядом с ними, невидимые в рентгеновских лучах.
Показания к МРТ пазух носа
Поводом к проведению томографии придаточных пазух может стать наличие одного из симптомов:
- повторяющиеся без видимой причины носовые кровотечения;
- регулярные боли в области лба, скуловых костей, лицевой части;
- регулярно повторяющаяся или постоянная заложенность носа;
- ощущение инородного предмета в носу, а иногда и в пазухах;
- хронические боли в зубах верхней челюсти, не связанные с кариесом и другими стоматологическими заболеваниями;
- врожденный дефект костей лицевой части черепа, затрагивающий придаточные пазухи;
- неприятный запах изо рта и носа при отсутствии явных признаков воспалений слизистых оболочек;
- травмы лица, затрагивающие придаточные пазухи.
Также обследование может быть проведено при подозрении на онкологические процессы в области носовых пазух. На них может указывать внезапное снижение веса, сопровождаемое общим недомоганием, кровотечением, сильными головными болями.

Также лечащий врач может принять решение о направлении на процедуру в случае, если результаты исследований, проведенных с помощью других методов, не смогли установить причину недомоганий.
Даже при наличии показаний, перед проведением МРТ придаточных пазух необходимо убедиться в отсутствии противопоказаний. Ими являются:
- наличие в теле пациента металлических имплантатов, кардиостимуляторов, стентов и клипс на сосудах;
- первый триместр беременности;
- заболевания, при которых человек не способен сохранить неподвижность;
- ожирение с массой тела больше 120 кг;
- подозрение на наличие в пазухах инородных металлических предметов.
Препятствием для проведения обследования с контрастным веществом может стать непереносимость данного препарата, тяжелые поражения почек.
Полезно знать! Острая непереносимость контрастирующих веществ не является противопоказанием к проведению стандартного обследования.
Подготовка к МРТ придаточных пазух носа
Стандартные рекомендации по подготовке к диагностике придаточных пазух на аппарате содержат несколько пунктов, которые необходимо соблюдать всем без исключения пациентам:
- На сеанс следует взять направление лечащего врача, результаты предыдущих исследований в электронном или распечатанном формате, паспорт и медицинский полис. Если обследуемый постоянно принимает препараты, следует сообщить об этом радиологу, проводящему томографию.
- На обследование придаточных пазух рекомендуется прийти в свободной одежде без металлических элементов, которую можно не снимать во время сканирования.
- Женщинам фертильного возраста накануне обследования рекомендуется сделать тест на беременность, чтобы убедиться в ее отсутствии.
- Не рекомендуется плотно наедаться или много пить в течение 1-2 часов перед процедурой.
- В случае, если планируется обследование пазух с контрастом, от еды следует отказаться минимум за 8 часов до процедуры, от питья — за 2-3 часа. Это поможет предотвратить появление побочной реакции в виде тошноты, когда будет вводиться препарат.
- Меньше, чем за час до обследования следует сходить в туалет, чтобы во время сеанса не возникли позывы.
- Пациентам с повышенной возбудимостью и клаустрофобией незадолго до процедуры рекомендуется принять успокоительное средство. При тяжелых формах расстройства медперсонал может сделать седацию (инъекцию успокоительного средства) непосредственно перед сеансом.
- Перед томографией придаточных пазух необходимо снять с тела металлические украшения (серьги, кольца, пирсинг) и медицинские приспособления (съемные слуховые аппараты, зубные протезы).
Непосредственно перед диагностикой радиолог расскажет, как именно она будет проводиться, что при этом будет происходить и какие ощущения могут возникать у пациента, сколько по времени будет длиться сеанс.
Как делают МРТ пазух носа?
Сразу после того, как пациент явился на процедуру, ему разъясняются правила поведения во время работы аппарата. Для уменьшения психологического дискомфорта из-за шума томографа по просьбе могут выдать беруши или наушники, в которые помимо музыки транслируется голос врача, находящегося во время работы аппарата в смежном помещении. Для связи с медперсоналом пациенту выдают пульт для связи, нажав на который он может попросить приостановить обследование из-за неприятных ощущений. Если назначено диагностирование с контрастом, препарат вводят внутривенно перед началом исследования.
Важно! Перед введением контрастного препарата рекомендуется сделать пробу на его переносимость. Желательно сделать это на этапе подготовки к процедуре, чтобы при аллергии на компоненты средства подобрать безопасную альтернативу.
Процедура магнитно-резонансной томографии носовых пазух делается по стандартному алгоритму:
Пациента укладывают на подвижный стол томографа и фиксируют его в подходящем для обследования положении. Чтобы во время сканирования не произошло случайных движений головы, ее помещают в специальную рамку, оснащенную ограничительными валиками и ремнями. Это нужно для того, чтобы точно настроить аппарат на сканирование придаточных пазух.
Медперсонал покидает помещение с томографом. Стол автоматически задвигается внутрь кольца аппарата. Сканирование сопровождается равномерным гулом и щелчками. Все это время пациент должен сохранять полную неподвижность. Если возникает дискомфорт, можно нажать кнопку связи с медперсоналом на пульте и сообщить о недомогании.
Врач в режиме реального времени просматривает на экране компьютера получаемые картинки. Если при просмотре материалов, что показывает МРТ придаточных пазух носа, плохо видны некоторые детали, врач может принять решение о дополнительном применении контраста. Обследование приостанавливают, пациенту вводят раствор внутривенно, после чего делают повторное сканирование.
Стандартное сканирование придаточных пазух занимает не больше 20 минут. При использовании контраста томография длится от 25 до 45 минут. После окончания сканирования пациент может покинуть клинику или остаться в приемной для получения результатов диагностики. Обычно расшифровка длится не больше часа. Описание и снимки пазух передаются пациенту в электронном или распечатанном формате.

КТ или МРТ носа, что лучше?
Выбирая между МРТ или КТ придаточных пазух, необходимо ориентироваться на то, какие именно патологии предполагается выявить. Оба метода, несмотря на схожесть внешнего вида снимков и принцип получения картинки — послойное сканирование частей тела в разных плоскостях — имеют существенные отличия. Их особенности, преимущества и недостатки, изложены далее в таблице.
Магнитно-ядерный резонанс, без лучевой нагрузки.
Рентгенографическое излучение, есть лучевая нагрузка, требует подсчета полученной дозы радиации.
Какие ткани лучше визуализирует
Мягкие ткани: слизистые оболочки, хрящи, мышцы, сосуды и лимфоузлы, связки и сухожилия.
Ограничения для использования
Наличие металлических элементов в теле, 1 триместр беременности.
Не больше одной процедуры в течение года. Противопоказано беременным женщинам (на любом сроке), детям до 12 лет.
Нет ограничений по периодичности проведения.
Нет лучевой нагрузки на организм.
Наиболее эффективный в диагностике злокачественных опухолей и метастаз.
Занимает меньше времени.
Не обнаруживает небольшие по размеру дефекты костей.
Не показывает дефекты мягких тканей.
Как видно из приведенных в таблице значений, диагностику заболеваний пазух следует проводить, если предполагаемый диагноз связан с дефектами слизистых оболочек, сосудов, хрящей и прочих структур в придаточных пазухах, содержащих много атомов водорода, а также в случае, если врач подозревает наличие доброкачественных и злокачественных опухолей в области исследования. Также метод используется, когда требуется периодическое сканирование придаточных полостей, например, для мониторинга эффективности лечения.
К КТ пазух следует прибегать, если есть подозрение на дефекты костной ткани. Если же пациенту меньше 12 лет или у обследуемой женщины беременность, назначают магнитно-ядерное сканирование как более безопасную альтернативу компьютерной томографии.
Расшифровка МРТ носа
Расшифровкой результатов обследования придаточных пазух занимается радиолог. Он просматривает снимки на предмет соответствия анатомическим, возрастным и другим нормам. Если обследование выявило существенные отклонения от стандартных показателей, это значит наличие патологии:
- утолщение оболочек в пазухах указывает на воспалительный процесс;
- наличие в полостях жидкости свидетельствует об инфекционном гнойном воспалении;
- новообразования в единичном или множественном количестве без собственной системы кровоснабжения указывают на полипы;
- полые выросты на слизистых оболочках, наполненные жидкостью, указывают на кисты;
- новообразования с развитой собственной системой кровоснабжения, «прорастающие» в соседние ткани, в том числе костные, указывают на злокачественные процессы — раковые опухоли или метастазы.
В описании к снимкам врач обозначает, что показывает МРТ пазух носа с описанием локализации дефекта, его особенностей: природы возникновения, размеров, соседства и взаимодействия с другими структурами. На основании этого описания узким специалистом будет поставлен окончательный диагноз.
Что показывает КТ пазух носа? Как делают, КТ или МРТ что лучше?

Околоносовые пазухи (синусы) представляют собой углубления в костях черепа. Слизистые оболочки полостей чувствительны к воздействию бактерий и вирусов и часто воспаляются на фоне простуды, гриппа, хронических заболеваний, инфекций во рту. КТ носа - один из самых точных методов диагностики патологий на любых стадиях развития.
Синусы - сравнительно небольшие по размеру структуры, и для их изучения необходим диагностический прибор с высокой разрешающей способностью. Этому условию соответствуют МСКТ - современные мультиспиральные томографы. Приборы оснащены большим количеством излучателей и детекторов рентгеновских волн. За одно вращение сканирующей системы регистрируются сразу несколько срезов, что обеспечивает максимальную точность информации и сокращает время процедуры.

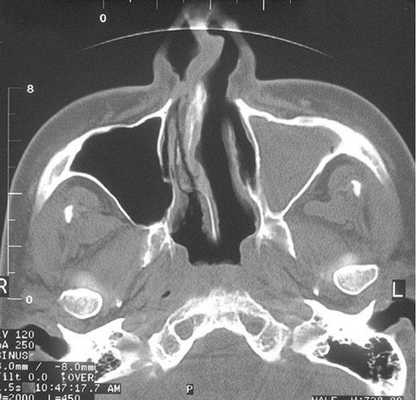
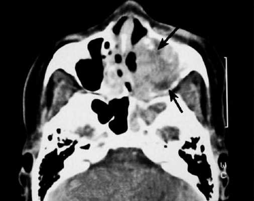
Тотальное заполнение жидкостью (кровью?) левой верхнечелюстной пазухи, повреждение носовой перегородки на компьютерной томограмме
Что показывает КТ пазух носа
Процедура КТ носа и околоносовых пазух дает возможность изучить строение анатомических структур и выявить особенности патологического процесса. Обследование рассматриваемой области на компьютерном томографе показывает:
деструктивные изменения и травматические повреждения лицевых костей;
утолщение слизистой оболочки носа и синусов;
искривление носовой перегородки;
воспаления внутри пазух (КТ покажет гайморит, фронтит, этмоидит, сфеноидит);
абсцессы носовой перегородки;
полипы, гранулемы, кисты слизистой оболочки воздухоносных полостей лицевого черепа;
опухоли в околоносовых пазухах;
скопление крови, экссудата, гноя в синусах;
дополнительные пустоты (соустья);
инородные тела в носовых ходах и костных углублениях;
кровоизлияния в пазухи и мягкие ткани;
стоматологические патологии (врастание корня или смещение зуба в гайморову пазуху);
воспаления в горле и носоглотке;
остеомиелит лицевых костей;

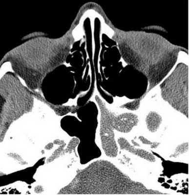
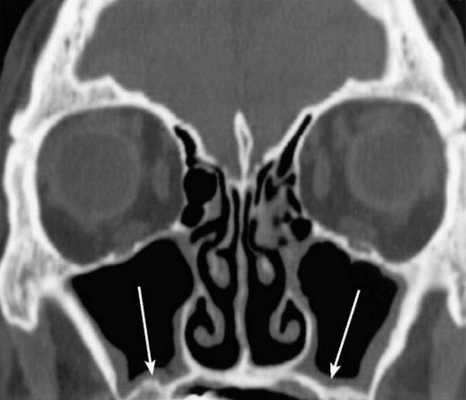
Киста в носовой пазухе
Как делают КТ пазух носа
Не все пациенты знают, что представляет собой КТ пазух носа, как делают процедуру, и насколько она безвредна. Как и любое рентгеновское обследование, компьютерная томография дает человеку определенную дозу радиации. Но при соблюдении мер предосторожности ухудшения здоровья можно не опасаться.
Обследование не причинит вреда, если пациент будет руководствоваться следующими принципами:
проходить КТ по направлению врача в случае недостаточной информативности иных диагностических методов;
принимать во внимание имеющиеся противопоказания;
учитывать суммарную дозу облучения при различных исследованиях в течение года;
при необходимости сделать повторный анализ рассматривать возможность не компьютерной диагностики, а МРТ (она считается безопасной даже для маленьких детей).
Томограф, на котором проводят КТ носа и околоносовых пазух, включает в себя передвижную кушетку и рентгеновскую установку. Устройство сканирует носовые пазухи, изображения поступают на компьютерный монитор, специалист их анализирует и занимается подготовкой описания.
Перед процедурой пациента просят снять с себя все, что содержит металл: очки, зубные протезы, шпильки, серьги, слуховой аппарат и прочее, чтобы избежать искажения снимков. Врач коротко рассказывает о КТ пазух носа - что это, сколько длится сеанс, как себя вести и что делать при появлении дискомфортных ощущений. Пациент располагается на кушетке, которую помещают в кольцо томографа. Сканирование занимает около 10 минут: все время необходимо лежать без движения.
Если требуется контрастирование, процедура состоит из двух частей. Сначала делают обычные снимки, затем обследование останавливают, вводят необходимый препарат и продолжают диагностику.
Компьютерная томография пазух абсолютно безболезненна. Единственный раздражающий фактор - характерные щелчки аппарата, но эта проблема легко решается при помощи противошумных вкладышей или наушников.

Фото: Процедура компьютерной томографии придаточных пазух носа
Подготовка к исследованию околоносовых пазух
Если не планируется применение контраста, КТ носа не требует никакой подготовки. Вам не надо будет соблюдать диету или менять привычный образ жизни.
Диагностику с контрастированием предваряет определение уровня креатинина в крови. Повышение показателей свидетельствует о проблемах с почками, при которых процедура противопоказана.

КТ с контрастом: процесс внутривенного введения усилителя - фото
Дополнительная подготовка рекомендуется женщинам в период лактации. После обследования с контрастом придется отказаться от двух кормлений подряд (молоко сцеживают и выливают). Лучше заранее позаботиться о запасах питания для малыша.
Что лучше - МРТ или КТ пазух носа
Многих пациентов интересует вопрос, что лучше - КТ или МРТ придаточных пазух носа. Данные способы диагностики решают разные задачи, поэтому выбор метода обследования зависит от конкретного случая.
В основе МРТ - влияние радиочастотных импульсов на объект, помещенный в магнитное поле высокой напряженности. С помощью этой технологии лучше всего изучать сплошные мягкие ткани. КТ применяет рентгеновское облучение, которое наиболее четко визуализирует кости и полые органы. К последним и относятся носовые пазухи.
Магнитную томографию делают:
для подтверждения/исключения перфорации дна гайморовой пазухи в результате травм или стоматологических заболеваний;
при подозрении на опухоль, полипы, кисту;
для оценки состояния слизистых оболочек синусов;
при головных болях неясного происхождения.
Также МРТ показывает воспалительные явления и кровоизлияния в околоносовые полости.

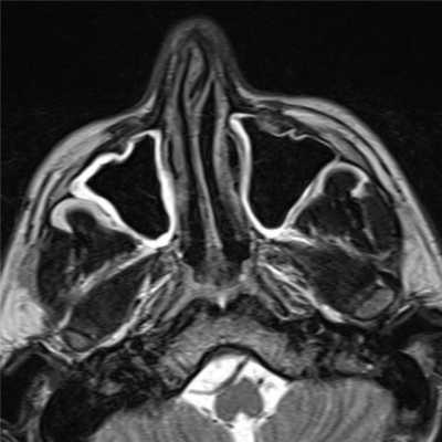
Магнитная томография околоносовых пазух: левосторонний сфеноидит
КТ-диагностику придаточных пазух делают при острых воспалениях, рецидивирующих синуситах. Исследование на компьютерном томографе покажет трещины и переломы лицевых костей, остеомиелит, осложнивший травму или стоматологическое заболевание, метастазы, распространившиеся из соседних анатомических участков.

Компьютерная томограмма носовых пазух: правосторонний гайморит
Отдавая предпочтение магнитно-резонансному обследованию или КТ носа, врач учитывает ограничения. МРТ не проводят при наличии на (в) теле элементов из металла. Происходящие в томографе процессы могут вызвать повреждение данных конструкций и самого аппарата. КТ пазух носа - это не магнит, а рентген. Металлические объекты не нарушают работу устройства, но могут проявиться на фото и спровоцировать погрешности в описании.
Из-за облучения к КТ-исследованию гайморовых пазух носа не допускаются беременные женщины (любая доза радиации вредна для плода). В такой ситуации лучший вариант - МРТ, диагностика проводится строго по показаниям.
КТ носа с контрастом
Мультиспиральные аппараты способны предоставить достаточно информации о костных структурах и присутствии в синусах жидкости, поэтому чаще КТ-анализ носа и околоносовых пазух делают без контраста. При подозрении на наличие опухоли необходимы более детальные изображения. Для повышения качества картинки применяют контрастирующее средство.
В вену вводят специальный препарат с йодом. Вещество быстро распространяется по тканям организма и окрашивает мельчайшие сосуды, включая те, которые питают новообразование. После новой серии КТ-снимков полости носа врач получает достоверные сведения о расположении и размерах опухоли, имеющей собственную сосудистую сетку. Выявляя очаги дополнительного кровоснабжения, спиральная томография (МСКТ) помогает обнаружить новообразования на начальных стадиях.

Плоскоклеточный рак на КТ носовых пазух с контрастом. Ткань опухоли отмечена длинной стрелкой, деструктивные изменения кости левого верхнечелюстного синуса - короткой.
Показания и противопоказания к томографии
Прежде всего, компьютерная томография пазух носа делается для диагностики воспалений слизистых оболочек, особенно при образовании гноя или рецидивирующем течении синусита.
Другие показания к проведению процедуры:
частые головные, лицевые, зубные боли на фоне заложенности носа и обильных выделений;
хронические простуды с регулярными обострениями;
повторяющиеся носовые кровотечения, не связанные с повышением артериального давления;
болевые ощущения, чувство распирания в области пазух;
затруднение носового дыхания;
воспаление носослезного канала;
подозрение на кисту, полип, абсцесс, опухоль;
орбитальные и внутричерепные осложнения инфекционных заболеваний ЛОР-органов;
попадание постороннего предмета в воздухоносную полость;
подозрение на кровоизлияние в пазухи;
отеки, боли в носовой области;
гранулемы, кисты около корней зубов верхней челюсти.
КТ полости носа и околоносовых пазух является важным мероприятием при планировании операций и контроле динамики после хирургического вмешательства. Обследования проводятся при неэффективности лечения синуситов с целью коррекции тактики терапии.
Противопоказания к компьютерной томографии:
ранний возраст (из-за вреда облучения КТ не рекомендуют делать детям до 5 лет);
вес пациента выше 150 кг и обхват груди (живота) больше 150 см.
Обследование с контрастом не проводится при:
аллергии, непереносимости йода;
гиперфункции щитовидной железы;
тяжелой печеночной либо почечной недостаточности;
приеме метформина больными сахарным диабетом.

КТ носовых пазух (фронтальный срез). Стрелками отмечено утолщение слизистых оболочек
Фото томографии пазух носа
Снимки МСКТ показывают контуры, структуру, плотность всех частей пазух. По фото врач может произвести оценку:
расположения носовой перегородки;
путей дренирования синусов;
симметричности сторон носа и пазух;
степени пневматизации придаточных полостей;
состояния слезных протоков.
КТ дает изображения в поперечной (аксиальной) проекции. В специальной программе фото можно увеличить и рассмотреть мельчайшие детали. При помощи реформатирования рентгенолог реконструирует картинку в желаемой анатомической плоскости. Чаще всего это две дополнительные проекции - корональная (фронтальная) и сагиттальная (делит объект на левую и правую части). Также есть возможность создать объемную модель, отрезать «лишние» фрагменты, что упрощает изучение области интереса и облегчает трактовку данных.

Процесс оценки врачом компьютерной томограммы
КТ или МРТ пазух носа
У нас есть услуга «второе мнение». В клинику можно обратиться с уже описанными снимками или просто принести томограммы и получить консультацию по результатам КТ или МРТ придаточных пазух носа.
Асептический некроз головки бедренной кости на МРТ

МРТ - наиболее точный метод диагностики при подозрении на аваскулярный некроз головки бедренной кости. Исследование демонстрирует изменения на ранних стадиях патологического процесса, когда рентгенография, остеосцинтиграфия и КТ с контрастированием малоинформативны.
Магнитно-резонансное сканирование помогает определить размер поражения, оценить состояние суставного хряща и костного мозга, обнаруживает избыточное скопление жидкости в сочленениии. Для получения диагностически ценных снимков при остеонекрозе предпочтительнее сделать МРТ на высокопольном аппарате с закрытым контуром мощностью от 1,5 Тесла. Прочие сканеры недостаточно чувствительны для выявления аваскулярного некроза головки бедренной кости (АНГБК). Отсутствие ионизирующего излучения позволяет обследовать суставы без вреда для здоровья у беременных и детей в возрасте от 4 недель.
Трехмерные детальные изображения получают с использованием магнитного резонанса и компьютерной обработки данных. Тактику ведения пациента определяют с учетом стадии заболевания, при своевременной диагностике может быть проведена консервативная терапия - на начальном этапе изменения полностью обратимы. Лечение продвинутого патологического процесса подразумевает эндопротезирование разрушенного тазобедренного сустава.
Асептический некроз головки бедренной кости - симптомы

При боли в тазобедренном суставе необходимо уточнить причину, особенно, если симптомы появились у пациента из группы риска
Патологию преимущественно диагностируют у мужчин в возрасте старше 30-40 лет. В 60% АНГБК поражает оба сустава. Факторов, провоцирующих остеонекроз, множество: травма, длительный прием кортикостероидных препаратов, хроническая алкогольная интоксикация, болезни крови, лучевая терапия, системные процессы, генетическая предрасположенность и пр. При идиопатической форме этиологию определить сложно. Гибель костной ткани и мозга вызывает полный/частичный дефицит поступления питательных веществ и кислорода с кровью при острой или хронической ишемии. Причина - поражение венозных или артериальных сосудов на фоне тромбоза, воздушной или жировой эмболизации, васкулопатии и пр.
Клиника асептического некроза головки бедренной кости вариативна, зависит от стадии заболевания. Симптомы по мере существования патологического процесса прогрессируют.
Первоначально боль может присутствовать в паху с иррадиацией в область коленного или тазобедренного сустава, усиливается при физической нагрузке, непостоянна, купируется приемом анальгетиков или нестероидных противовоспалительных средств. Для продвинутой стадии АНГБК типично ограничение движений в сочленении. На фоне гибели нервных окончаний интенсивная боль может пройти самостоятельно. Асептический некроз головки бедренной кости чаще развивается в верхненаружной области - месте наибольшей нагрузки.
Как выглядит асептический некроз головки бедренной кости на МРТ?

МР-изображение АНГБК на сканах а, в соответствует I ст. заболевания, стрелки указывают на зону отека костного мозга; c, d - II ст., область омертвевшей ткани (стрелки); e, f - III ст., субхондральный вдавленный перелом (стрелки)
На магнитно-резонансных томограммах доктор видит изменения, характерные для определенной стадии патологического процесса. Для улучшения возможностей визуализации используют контрастирование: внутривенно вводят препарат на основе гадолиния.
Что видно на МР-сканах:
Изменения на снимках
Замедление перфузии красителя в зоне некротизации.
Отек костного мозга. Проявляется участком понижения интенсивности МР-сигнала на Т1-взвешенных изображениях и повышения на Т2 ВИ и в режимах подавления жировой ткани. Зону отека обнаруживают в субхондральном отделе головки бедра или, при большем распространении, в головке, шейке кости, межвертельной области. Изменения неспецифичны и подразумевают дифференциацию с другими процессами, вызывающими аналогичные изменения: контузией, транзиторным остеопорозом и пр.
Наличие в передневерхней части субхондрального отдела головки участка некроза с различной интенсивностью МР-сигнала. По периферии характерно склеротическое видоизменение костной ткани. Симптом “двойной линии” на Т2 ВИ. Интенсивность изображения зоны некроза в различных импульсных последовательностях вариативна.
На МР-томограммах обнаруживают субхондрально расположенный фрагмент, отделенный от эпифиза кости линией высокой интенсивности на Т2 ВИ и низкой на Т1 ВИ из-за проникновения суставной жидкости в плоскость перелома — “МР-симптом полумесяца”.
Магнитно-резонансные томограммы показывают сужение суставной щели, костные разрастания, субхондральный склероз, образование кистозных полостей, деформацию головки, шейки, изменения в вертлужной впадине, анкилоз. Присутствует выпот, продукты распада тканей, дающие низкоинтенсивный сигнал.
В диагностическом центре “Магнит” в Санкт-Петербурге характеристики оборудования позволяют выявить асептический некроз головки тазобедренного сустава на МРТ на стадии доклинических проявлений. Раннее начало терапии значительно улучшает прогноз заболевания, позволяет избежать операции и сохранить радость движений.
МРТ или КТ пазух носа - что лучше выбрать?
Если перед вам стоит вопрос, что лучше сделать, МРТ или КТ носа, то нужно в деталях разобраться, в чем основная разница между этими видами томографии. Для начала нужно понимать, что как при КТ пазух носа, так и при МРТ носа врач получит трехмерное изображение, но на магнитно-резонансном томографе изображения получаются за счет воздействия магнитных волн, а при компьютерной томографии на ткани идет воздействие рентгеновских лучей - то есть, облучение, причем гораздо более сильное, чем при обычном рентгене (до 10 мЗв). Однако, одно-два КТ обследования в год особого вреда здоровью человеку не принесут. МР исследование пазух носа обычно назначают при диагностике мягких тканей самих пазух и при поиске каких-то опухолей, а вот КТ лучше показывает костные ткани, особенно носовую и лицевую кость.
Если перед вам стоит вопрос, что лучше сделать, МРТ или КТ носа, то нужно в деталях разобраться, в чем основная разница между этими видами томографии. Для начала нужно понимать, что как при КТ пазух носа, так и при МРТ носа врач получит трехмерное изображение, но на магнитно-резонансном томографе изображения получаются за счет воздействия магнитных волн, а при компьютерной томографии на ткани идет воздействие рентгеновских лучей - то есть, облучение, причем гораздо более сильное, чем при обычном рентгене (до 17мЗв). Однако, одно-два КТ обследования в год особого вреда здоровью человеку не принесут. МР исследование пазух носа обычно назначают при диагностике мягких тканей самих пазух и при поиске каких-то опухолей, а вот КТ лучше показывает костные ткани, особенно носовую и лицевую кость.
Виды диагностики носовых пазух
Для диагностики состояния носа в современной медицине активно применяется
- рентгенография
- компьютерной томографии (КТ)
- магнитно-резонансной томографии (МРТ).
Классическое рентгенологическое исследование используется преимущественно для оценки лицевого скелета и придаточных пазух носа. Компьютерная томография (КТ) носа позволяет получить четкое изображение костных тканей и мягкотканных образований. Это дает возможность судить о состоянии жевательных мышц, расположенных в области крылонебной и подвисочной ямок, мышц глаза, зрительного нерва. Магнитно-резонансная томография (МРТ) носовых пазух имеет более высокое контрастное разрешение при исследовании мягкотканных образований, может быть выполнена в любой плоскости без перемены положения пациента. Она не связана с ионизирующим излучением, а магнитные поля используемой в МРТ напряженности не оказывают вредного воздействия на организм.
Отличия КТ пазух носа
КТ носа позволяет оценить носовую кость и хрящи в трех проекциях - коронарной, аксиальной и сагиттальной. Врач можно выполнить трехмерную реконструкцию костей лицевого скелета для того, чтобы понять, если у больного переломы, травмы, врожденные аномалии носовой перегородки, костные наросты и деформации. Основным показанием для применения данного вида томографии будут любые костные повреждения носа.
Особое преимущество компьютерной томографии - это ее скорость. Процедура происходит буквально в течение 5-7 минут и не требуют специальной подготовки. К диагностическим недостатком КТ относится ее неспособность визуализировать содержимое околоносовых пазух. Для этого требуется применение МРТ носа.
Отличия МРТ околоносовых пазух
МРТ или магнитно-резонансная томография изначально называлась ядерно-магнитно-резонансная томография. Все, что связывает МР томографию со словом ядерный, это то, что волны магнита томографа воздействует на ядра атомов водорода в организме, возбуждая молекулы и выстраивая их таким образом, чтобы компьютер мог получить сигналы и транслировать их в объемные изображения того, что находится внутри человека.
Поскольку в основе физики МРТ лежит магнитное поле, а не рентген лучи, в ходе такой диагностики нет никакого рентгеновского облучения, и нет каких-то ограничений по количеству магнитно-резонансных исследований в год. Если врач назначил вам сделать МРТ головного мозга и МРТ околоносовых пазух за один раз, этого не нужно бояться. МР сканирование не причинит никакого вреда вашему здоровью.
Если КТ носовых пазух хорошо показывает кости, то МРТ лучше визуализирует лобные, клиновидные, верхнечелюстные пазухи, решетчатый лабиринт, слизистую оболочку. С помощью МР диагностики врачи могут увидеть признаки таких заболеваний, как:
- , гайморит
- полип
- склерома
- киста, опухоль.
Противопоказания КТ и МРТ носовых пазух
У КТ практически нет противопоказаний - только беременность и ранний возраст ребенка (до 5 лет). Прямым противопоказанием к МР томографии является наличие кардиостимуляторов и металлических имплантов в теле. Можно проводить исследования с ними, но только в случае, если они созданы из немагнитных материалов, например, титан или специальный медицинский пластик. Информация о совместимости импланта с МРТ всегда будет указана в паспорте данного изделия или в выписке после операции. С брекетами МРТ исследование пазух носа делать можно точно также, как и с зубными имплантами, но возможный засвет от металла будет мешать получению качественного изображения.
| МРТ пазух носа | КТ носа |
![]() |
КТ или МРТ пазух носа - что лучше?
КТ или МРТ пазух носа - что лучше выбрать, зависит от нескольких факторов:
- целей обследования
- изначального диагноза
- состояния здоровья пациента.
Если основная цель диагностики - посмотреть костные структуры носа, то следует выбирать КТ носовых пазух. Однако, при подозрениях на новообразования в околоносовых пазухах и воспалительный процесс более информативной будем МРТ пазух носа. Для уточнения местной распространенности злокачественной опухоли в полость верхнечелюстной пазухи, на орбиты и полость носа, возможно применение как КТ так и МРТ. Четко судить о поражении костных структур - твердого неба и альвеолярного отростка верхней челюсти возможно только по данным КТ. Выявление опухолевых масс на фоне мягкотканных структур -крылонёбной и подвисочной ямок, жевательных мышц и мягких тканей щеки, а также распространении опухолевых масс на лобную и основную пазухи решетчатый лабиринт и интракраниально, требует выполнения МРТ. В дифференциальной диагностике послеоперационных или постлучевых изменений с рецидивом или продолженным ростом опухоли необходимо проведение МРТ. Чувствительность МРТ пазух носа (98%) выше, нежели КТ пазух носа (76%) в дифференциальной диагностике. С точки зрения безопасности, если у пациента в теле есть металл, и он не совместим с МР томографом, лучше сделать компьютерную томографию, а вот беременным женщинам и маленьким детям следует по возможности выбирать только МР диагностику, чтобы избежать риска облучения и возникновения рака у ребенка.
Вредна ли компьютерная томография?
Компьютерная томография представляет собой метод диагностики внутренних органов, позволяющий получить послойные снимки для обнаружения серьезных заболеваний.
КТ является лучевым методом, в основе которого лежит различное поглощение тканями рентгеновского излучения. Именно схожесть с рентгенографией заставляет многих пациентов усомниться вредно ли делать компьютерную томографию и как часто можно проходить это исследование?
Кроме того, обеспокоенность у них вызывает и необходимость применения контрастного вещества при проведении КТ с болюсным усилением, что может сопровождаться развитием аллергических реакций.

Лучевая нагрузка при компьютерной томографии
Всем известен факт, что за один год допустимо воздействие на организм человека только определенного количества облучения, которое не превышает пределов нормы. Допустимая годовая доза лучевой нагрузки составляет 150 м3в. При соблюдении данной нормы облучение не наносит вреда здоровью человека.
Например, при регулярном применении в целях профилактики флюорографии, исследования молочных желез, снимка челюсти у стоматолога, в среднем, человек получает не менее 15 м3в в год. При проведении компьютерной томографии на стандартном аппарате при исследовании головного мозга лучевая нагрузка составляет от 1 до 2 м3в, при КТ органов малого таза, легких или брюшной полости - 6-11 м3в.
По данным исследований, даже при прохождении КТ несколько раз в год, доза получаемого облучения, как правило, не превышает допустимую норму.
Вредно ли делать КТ с контрастом?
Лучевая нагрузка, по мнению некоторых пациентов, является не единственной опасностью. Конкурировать с ней в какой-то мере может рентгеноконтрастное вещество, применяемое в некоторых случаях для проведения компьютерной томографии.
Как правило, это инертное вещество, которое не впитывается в окружающие ткани. Однако вред могут нанести компоненты, входящие в его состав - у некоторых пациентов они могут стать причиной развития аллергических реакций.
Данное осложнение может возникать при наличии следующих факторов:
- повышенной чувствительности к морепродуктам и йоду;
- почечной недостаточности;
- сердечно-сосудистых заболеваний;
- заболеваний желчного пузыря и печени.
Развитие незначительных побочных эффектов наблюдается только у 1-5% пациентов. У них возникает легкая тошнота, рвота, реакции со стороны кожи, нарушение вкусового восприятия и обоняния. Как правило, данные симптомы не требуют особого лечения и исчезают сами по себе.
Известны единичные случаи развития побочных явлений средней тяжести: отека Квинке, острой дыхательной недостаточности, вызванной сужением просвета бронхов и внезапным непроизвольным сокращением мускулатуры гортани, одышки. Для устранения подобных состояний требуется оказание экстренной медицинской помощи.
В крайне редких случаях происходит развитие тяжелых побочных реакций: внезапной сердечно-сосудистой недостаточности, следствием которой может быть потеря сознания и летальный исход. Чаще всего этот вред КТ наносится пациентам-аллергикам. В подобных случаях требуется немедленное оказание реанимационных мероприятий.
При наличии в анамнезе негативной реакции на лекарственные средства с содержанием йода, перед началом компьютерной томографии с контрастным усилением пациенту вводят антигистаминное средство. Некоторым пациентам требуется проведение специальных проб, которые помогают выявить аллерген.
Развитие аллергических реакций у пациентов, склонных к ним, происходит в достаточно редких случаях. Быстрое внутривенное введение контрастного вещества сопровождается возникновением побочных эффектов намного реже, чем медленное вливание с помощью капельницы.
Показания к КТ
Компьютерная томография позволяет выявить патологический процесс и уточнить диагноз у пациентов с различными состояниями:
- диагностированным раком, метастазами, подозрением на наличие онкологического заболевания;
- частыми, продолжительными головными болями без явных причин;
- нарушением мозгового кровообращения и сопутствующими этому расстройству последствиями;
- приступами припадков, судорогами, потерей сознания;
- состояниями после перенесенных травм;
- воспалительными процессами, локализованными в различных частях тела.
- травмы головы;
- патологии головного мозга;
- патологии спинного мозга;
- нарушение целостности позвоночника;
- заболевания лор-органов;
- патологии сердечно-сосудистой системы;
- заболевания репродуктивной системы;
- патологии дыхательной системы;
- нарушения опорно-двигательного аппарата;
- патологии сосудов и лимфатической системы;
- нарушение целостности костной структуры и прочие заболевания.
Компьютерная томография обладает неоспоримыми преимуществами - с помощью данного исследования можно оценить состояние практически любого органа. Помимо этого, для уточнения патологии, выявленной ранее в ходе других обследований, также применяется компьютерная томография.

Противопоказания к КТ
Вред данное исследование может нанести только пациентам со следующими противопоказаниями:
- синдромом нарушения всех почечных функций;
- наложенным гипсом или металлической конструкцией в обследуемой области;
- клаустрофобией (боязнью замкнутого пространства);
- буйным поведением, вызванным психическими отклонениями.
Несмотря на массу положительных моментов исследования, таких как неинвазивность, быстрота выполнения, хорошая переносимость процедуры, КТ также имеет противопоказания, как и любое другое инструментальное обследование:
- Беременные. Компьютерная томография является абсолютным противопоказанием для обследования женщин «в положении». При наличии документов о том, что у женщины в скором времени появится ребенок, врач старается повременить с проведением исследования и перенести его. При чрезвычайных ситуациях процедуру следует заменить на не лучевой диагностический метод исследования. Такая предельная осторожность связана с тем, что даже малые дозы рентгеновского облучения могут пагубно сказаться на состоянии растущего организма малыша;
- Дети. Относительным противопоказанием для проведения компьютерной томографии является возраст до восемнадцати лет. Организм ребенка в пять раз более восприимчивее ко всякому роду облучению, при этом достичь снижения дозировки не всегда удается. Компьютерная томография не назначается в связи с тем, что в тканях подрастающего организма находится очень много воды (по сравнению со взрослыми), что затрудняет диагностику разных патологий. Но если другие диагностические способы не могут предоставить достаточную информацию о заболевании ребенка, то тогда специалист может принять решение о необходимости компьютерной томографии. Очень часто, врачи-рентгенологи в таких ситуациях прибегают к помощи анестезиологов, которые внутривенно вводят ребенку седативные средства (успокоительные) или же вообще назначают наркоз;
- Люди с повышенной массой тела. Иногда проведение компьютерной томографии может быть затруднено у больных с лишней массой тела. Это связано с двумя факторами
- Компьютерный томограф не рассчитан на вес выше 150 кг;
- Гипс и металлические предметы. При наличии у пациента гипса или металлических вставок в области обследования, компьютерная томография не проводится, так как на снимках могут появиться блики или затемнения, которые затруднят диагностическое обследование заболеваний;
- Неадекватное поведение и психическое расстройство. Если больной находится в буйном состоянии и не может успокоиться или у него в анамнезе имеется психическое расстройство, то сканирование такого пациента затруднено — он не сможет сохранять неподвижность в течение всего исследования. Либо же врач может подождать, когда человек успокоиться. В некоторых случаях применяются снотворное средство, седативные препараты или даже общий наркоз. Такое состояние должно поддерживаться в течении двадцати- тридцати минут, пока не закончится исследование.
КТ с контрастом имеет свои противопоказания:
- Люди с почечной и печеночной недостаточностью. Именно эти органы активно выводят контрастное вещество из организма. Если в них имеют патологические изменения, то введение контрастного вещества может обернуться для пациента токсическим отравлением и длительным восстановительным процессом;
- Тяжелое общее состояние. Если пациент находится в критическом состоянии, то на первом месте стоит оказание первой медицинской помощи, а уже потом исследовать на предмет травм, переломов и прочих патологий;
- Заболевания щитовидной железы. Наличие в контрастном веществе йода может усугубить течение заболевания;
- Аллергия на компоненты контрастного вещества. Недопустимо, если у человека имеется аллергическая реакция на йодсодержащие вещества. Если пациент сомневается, то рекомендуют перед началом процедуры провести пробы, чтобы выявить аллергию на контраст. В случае проникновения такого вещества в организм может возникнуть тяжелое отравление организма вплоть до анафилактического шока.
В Юсуповской больнице ежедневно проводится компьютерная томография сотням людям с разными патологиями. Уровень врачебной квалификации позволяет дать грамотное заключение даже в самых тяжелых диагностических ситуациях. В Юсуповской больнице проводится экстренное обследование даже в ночное время, для этого имеется специальная бригада, которая включает в себя врача-рентгенолога.
Что наносит меньший вред: КТ или МРТ?
Одним из современных информативных диагностических методов, кроме КТ является магнитно-резонансная томография (МРТ). КТ и МРТ не считаются альтернативными методами. МРТ применяется для исследования органов, имеющих высокое содержание жидкости, однако надежно защищенных костным скелетом: головного и спинного мозга, межпозвоночных дисков, суставов и органов малого таза. А с помощью КТ предпочтительнее исследовать опорно-двигательный аппарат и ткани легких.
Практически равноценной информативностью обладают и КТ и МРТ при исследовании мочеполовой и пищеварительной системы. Однако компьютерная томография по сравнению с магнитно-резонансной требует гораздо меньше времени на свое проведение, поэтому ей отдают предпочтение в экстренных случаях.
Принципы защиты
Пациентам, которые сомневаются в безопасности методов лучевой диагностики, необходимо ознакомиться с некоторыми принципами снижения лучевой нагрузки:
- сокращенный временной отрезок: длительность скрининга можно сократить, отказавшись от выполнения скрининга одновременно в сагиттальной и поперечной проекциях, уменьшив силу тока рентгеновской трубки, а также число фаз томографии;
- проведение компьютерной томографии через висмутовые экраны: таким образом можно обеспечить снижение лучевой нагрузки, не ухудшив качества снимков;
- увеличение расстояния: снижение мощности лучевой нагрузки можно обеспечить, увеличив расстояние между рентгеновской трубкой и телом обследуемого. Защитить другие части тела, на которые может попасть излучение, можно с помощью свинцовой защиты.
В случаях применения КТ пациентам детского возраста, рекомендуется использование седативных средств, так как для получения снимков хорошего качества важна обездвиженность исследуемого. С этой целью можно также использовать специальные ремни, подушки, обеспечивающие неподвижность ребенка на время исследования.
Компьютерная томография зачастую является единственным возможным методом диагностики тех или иных патологий, качественной альтернативы к которому не существует, поэтому вопрос о том, вредно ли делать КТ - зачастую неуместен. Данное обследование применяется для подтверждения сложных диагнозов и немедленного начала лечения, особенно когда речь идет о сохранении качества жизни больного. При соблюдении всех рекомендаций пациенту не стоит беспокоиться о том, что КТ нанесет непоправимый вред их здоровью.
КТ любых органов по доступным ценам можно сделать в Юсуповской больнице Москвы. Клиника оснащена современным томографом последнего поколения, благодаря чему опытные, высококвалифицированные врачи Юсуповской больницы получают снимки высокого качества. На основании результатов компьютерной томографии врачи составляют максимально эффективную тактику лечения, индивидуально для каждого пациента.
Читайте также:
- Судорожный статус в неврологии. Лечение судорожного статуса
- Понимание медицинских тестов и их результатов
- Техника паралича диафрагмы. Операция Штюрца
- Ценность рентгенографии желудка. Значение объективного исследования желудка
- Ультразвуковое исследование при беременности. Оценка жизнеспособности плода

