Техника паралича диафрагмы. Операция Штюрца
Добавил пользователь Дмитрий К. Обновлено: 21.01.2026
Рассмотрены причины возникновения пареза диафрагмы в зависимости от уровня поражения, в частности, нейропатии диафрагмального нерва различной этиологии. Представлено клиническое наблюдение идиопатической двусторонней нейропатии диафрагмального нерва, приведены сведения из литературы по этой проблеме.
Ключевые слова
Полный текст
Нейрогенные парезы дыхательной мускулатуры осложняют течение ряда заболеваний центральной и периферической нервной системы. В отдельных случаях они могут быть преобладающими или единственно манифестными, вызывая диагностические трудности имитацией заболеваний дыхательной системы. Парезы диафрагмы и развившаяся на этом фоне дыхательная недостаточность могут быть следствием множества патологических процессов, включая миелит, болезни мотонейрона, полинейропатии, болезни нервно-мышечных синапсов, некоторые миопатии, герпетические полирадикулоневриты, травматические повреждения диафрагмального нерва, поражения шейного сплетения, заболевания грудной клетки и поддиафрагмальные патологические процессы [17]. Причины дисфункции диафрагмы можно классифицировать в зависимости от уровня поражения [4]. Продолговатый или спинной мозг поражается при демиелинизирующем процессе, однако парез диафрагмы довольно редко встречается при рассеянном склерозе [12, 18]. Высокое поражение спинного мозга (на уровне С1 или С2) приводит к параличу диафрагмы, в то время как при среднешейном поражении (на уровне С3-С5) функция диафрагмы частично сохраняется. Около 40% пациентов с поражением на уровне С3 нуждаются в искусственной вентиляции легких (ИВЛ), и лишь 15% пациентов с повреждением на уровне С4 или С5 [18, 33]. Заболевания верхних мотонейронов спинного мозга, как, например, боковой амиотрофический склероз или полиомиелит, часто приводят к дисфункции диафрагмы и дыхательной недостаточности. Парез диафрагмы может развиться как непосредственно сразу после инфицирования вирусом полиомиелита, так и спустя многие годы (в среднем, 35 лет) [9, 18]. К другим причинам, вызывающим парез диафрагмы и захватывающим мотонейроны спинного мозга относятся сирингомиелия, паранео-пластические моторные нейропатии и спиналь-ные мышечные атрофии. В большинстве случаев причиной осложнений и летального исхода при этих состояниях является дыхательная недостаточность [18]. Повреждение непосредственно самого диафрагмального нерва - чаще всего результат ятрогенного воздействия на него во время операции или сдавления опухолью [18, 21, 28]. В литературе описаны случаи проявления аневризмы грудного отдела аорты в форме паралича диафрагмального нерва. Симптомы также включали дисфонию, хроническую боль в груди и прогрессирующую дисфагию [5, 24]. К другим состояниям, способным вызвать непосредственное поражение диафрагмального нерва можно отнести травмы, инфекционные поражения (герпетическая инфекция, болезнь Лайма) и воспалительные процессы. Синдром Гийена-Барре часто осложняется вовлечением диафрагмального нерва [18, 31]. Так, от 20% до 30% госпитализированных пациентов с установленным диагнозом синдрома Гийена-Барре нуждаются в эндотрахеальной искусственной вентиляции легких [15]. Согласно данным исследования в Англии 25% и 23% [15] больным синдромом Гийена-Барре необходима ИВЛ [6]. Известно, что приблизительно у 5% пациентов с невралгической амиотрофией (синдромом Пэрсонейдж-Тёрнера) имеется вовлечение диафрагмального нерва [18, 29]. Болезни с нарушением синаптической передачи могут манифестировать с дисфункции диафрагмы. Острая дыхательная недостаточность часто возникает при миастеническом кризе, что приводит к необходимости искусственной вентиляции легких. Реже дисфункция диафрагмы встречается при синдроме Ламберта-Итона, ботулизме, наследственных и приобретенных миопатиях, а также при отравлении аминогликозидами, фосфорорганическими веществами [18]. Важно помнить о вероятности развития атрофии диафрагмы, которая может возникнуть даже после короткого периода искусственной вентиляции легких. Она связана с атрофией как быстро, так и медленно сокращающихся мышечных волокон. Так, недостаточное питание или такие метаболические сдвиги, как гипофосфатемия, гипомагниемия, гипокалиемия, гипокальциемия могут способствовать дисфункции диафрагмы и продлевать потребность в искусственной вентиляции [14, 18, 19]. Среди пациентов с диспноэ, ортопноэ или гиперкапнической дыхательной недостаточностью неуточненной этиологии следует учитывать возможность наличия нейропатии диафрагмального нерва (НДН) [30]. В современной литературе она часто описывается в сочетании с болью в шее и плече, часто возникающей после инфекционных заболеваний или операций, что позволило считать НДН возможной состовляющей невралгической амиотрофии плечевого пояса (синдрома Персонейджа-Тернера). Идиопатическая НДН, вероятно, является отдельной нозологической формой в спектре иммуноопосредованных фокальных нейропатий, и, напротив, не ассоциирована с такими симптомами как боли в плече, шее, парезом верхней конечности [16, 17, 20, 23, 29, 30, 32]. Различают одностороннюю и двустороннюю НДН. Односторонняя НДН зачастую не приводит к значимым дыхательным нарушениям и протекает клинически бессимптомно, что объясняет ее гиподиагностику и, как следствие, малую распространенность описаний в литературе [16, 23]. Интерес представляет клиническое наблюдение НДН, сделанное в нашей клинике. Больной К., 39 лет, поступил в приемное отделение Республиканской клинической больницы 09.04.2015 г. с жалобами на выраженную одышку экспираторного характера в покое, сухой непродуктивный кашель, повышение температуры до 37,6˚С. Заболел около 3 недель назад, когда на фоне полного здоровья появилась одышка в покое, усиливающаяся при физической нагрузке, надевании специализированной формы (больной работает пожарным). Одышка продолжалась на протяжении около 2 недель, затем присоединилось повышение температуры до 37,5˚С, кашель. Отмечает, что за неделю до начала заболевания появились ноющие боли в плече, не связанные с движением, продолжались 2 дня, затем появились ноющие боли в шее, которые купировались внутримышечным введением диклофенака в течение 3 дней. У пациента из сопутствующих заболеваний в анамнезе вирусный гепатит С, минимальной степени активности, по поводу чего один год назад получал лечение интерфероном. Пациент не злоупотребляет алкоголем, курил с 16-летнего возраста в течение 23 лет по 1-2 пачки сигарет в день, бросил курить в ноябре 2014 года. Наследственный анамнез не отягощен. При поступлении общее состояние тяжелое ввиду диспноэ. Температура тела 37,6˚С. Телосложение правильное, питание достаточное, костно-мышечная система без особенностей. Кожа и видимые слизистые физиологической окраски, теплые, нормальной влажности. Дыхание жестковатое, ослаблено в нижних отделах, хрипов нет, ЧДД 19 в минуту. Сатурация кислорода 93% без подачи кислорода. Тоны сердца приглушены, ритмичные, АД 160/100 мм рт. ст., ЧСС 89 в минуту. Живот мягкий, безболезненный, на вдохе западение передней брюшной стенки. Периферических отеков нет. В неврологичес- ком статусе: сознание ясное, поведение адекватное, команды выполняет. ЧМН: без особенностей. Объем активных и пассивных движений конечностей полный. Мышечная сила достаточная по всем группам. Сухожильные рефлексы с верхних и нижних конечностей равные, живые. Поверхностная, глубокая чувствительность не изменена. Координаторные пробы выполняет удовлетворительно, в пробе Ромберга устойчив. Менингеальных знаков нет. Функции органов таза не нарушены. Пациент был переведен в отделение реанимации и интенсивной терапии и подключен к аппарату “Dager Savina” в режиме BIPAP для проведения неинвазивной масочной ИВЛ. Проведены обследования: ИФА на гепатит С от 10.04.2015 положительный, RW, HBsAg, ВИЧ от 10.04.2015 отрицательно. ОАК от 09.04.2015: лейкоциты 10,0*109/л, эритроциты 4,77*1012/л, гемоглобин 144 г/л, гематокрит 41,5%, тромбоциты 287000. ОАМ от 10.04.2015: цвет соломенно-желтый; прозрачная; удельный вес 1015; белок - отрицательно; лейкоциты единичные в поле зрения; эритроциты 1-2 в поле зрения; бактерии +. БАК от 09.04.2015: калий 4,3 ммоль/л, натрий 136 ммоль/л, общий белок 67,5 г/л, мочевина 7,3 ммоль/л, креатинин 80 мкмоль/л, АЛТ 29 ед/л, АСТ 15 ед/л, КФК 137 ед/л, ЛДГ 118 ед/л, общий билирубин 4,4 ммоль/л, холестерин 4,32 ммоль/л. Коагулограмма от 09.04.2015: ПТИ 98%, фибриноген 4,3 г/л, АЧТВ 27 сек. ЭКГ от 09.04.2015: синусовый ритм с ЧСС 67 в мин., нормальное положение ЭОС (+41˚), RV5>V6>RV4. Рентгенограмма ОГК от 10.04.2015: легочная ткань воздушна. Легочный рисунок диффузно обогащен за счет перибронхиальных и периваскулярных уплотнений, интерстициальной сетчатости, сгущен в нижних отделах легких. Корни с не совсем четкой структурой, полнокровны. Высокое стояние диафрагмы. Костодиафрагмальные синусы свободны, тень сердца без особенностей (рис. 1). Спирометрия от 02.04.2015: ОФВ1 1,88л, ЖЕЛ 2,07 л, ФЖЕЛ 2,33 л, ОФВ1/ФЖЕЛ 81%, рестрикция средне-тяжелой степени, возможно умеренные обструктивные нарушения; после пробы с бронхолитиком без динамики (ОФВ1/ФЖЕЛ 80%). УЗИ плевральных полостей от 12.04.2015: в правой плевральной полости жидкость не визуализируется; в левой плевральной полости жидкость не визуализируется. РКТ легких от 02.04.2015: РКТ признаки компрессионных ателектазов обоих легких, релаксации обоих куполов диафрагмы (рис.2). Стимуля-ционная ЭМГ от 20.04.2015: латентность М-ответа при стимуляции диафрагмального нерва справа составила 6,2 мс, слева 6,3 мс (при норме от 6 до 9 мс); амплитуда М-ответа при стимуляции диафрагмального нерва справа составила 0,5 мкВ, слева 0,4 мкВ (при норме от 3,5 до 7,4 мкВ). Кино-МРТ от 20.04.2015: отме- чается двухстороннее отсутствие дыхательной экскурсии центральных и задних отделов диафрагмы с наличием слабой пассивной дыхательной экскурсии передних отделов диафрагмы, осуществляемой за счет движений передней брюшной стенки; МРТ-признаки двустороннего паралича диафрагмы. Таким образом, пациенту был выставлен диагноз: Двусторонний полисегментарный ателектаз-аневмония на фоне паралича куполов диафрагмы, обусловленного двусторонней идиопатической нейропатией диафрагмального нерва. Пациент получал лечение: неинвазивная масочная ИВЛ, 2,4% раствор эуфиллина 10,0 в/в капельно на 250,0 0,9% раствора натрия хлорида, клексан 0,4 мл п/к, ацетилцистеин 9,0 в/в, цефотаксим 1 г на 10,0 0,9% раствора натрия хлорида в/м №10. На фоне проведенной терапии состояние пациента нормализовалось, однако сохранялась одышка при физической нагрузке. При динамическом наблюдении до настоящего момента у пациента сохраняются жалобы на одышку при быстрой ходьбе, физической нагрузке, после еды и в положении лежа, объективно сохраняется парадоксальное дыхание. Ниже представлены основные выводы, полученные в результате анализа литературы, посвященной проблеме нейропатии ДН. S. Podnar (2015) выделил критерии диагноза НДН: 1) амплитуда М-ответа
ФРЕНИКОТОМИЯ
ФРЕНИКОТОМЙЯ [лат. (nervus) phrenicus диафрагмальный нерв + греч. tome разрез, рассечение] — хирургическая операция, заключающаяся в пересечении диафрагмального нерва. Ф. вызывает паралич диафрагмы (см.) и коллабирование легкого на стороне операции.
Ф. предложена Штюрцем (С. А. Е. Stuertz) в 1911 г. как вид коллап-сотерапии (см.) для лечения больных туберкулезом легких и в том же году выполнена в клинике Эмкером (Emker). В последующие годы Ф. широко применялась при инфильтративных процессах и кавернах, расположенных в нижних долях легких. Внедрение в практику лечения туберкулеза легких специфических антибактериальных препаратов и развитие торакальной хирургии почти полностью исключили необходимость проведения френи-котомии (см. Туберкулез, основные принципы лечения).
Пересечение диафрагмального нерва (n. phrenicus) производят на шее, где он располагается на передней поверхности передней лестничной мышцы (m. scalenus anterior). Специальной подготовки к операции не требуется. Ф. производят под местной анестезией, в положении больного на спине с небольшим валиком под лопатками. Голову больного поворачивают в сторону, противоположную стороне операции. Разрез кожи, длиной 4—5 см, производят параллельно и на 3—4 см выше ключицы или вдоль наружного края грудино-ключично-сосцевидной мышцы (m. sternocleidomastoideus). Рассекают кожу, подкожную клетчатку, подкожную мышцу шеи (platysma). Наружную яремную вену отодвигают или перевязывают и пересекают. Рассекают поверхностную пластинку собственной фасции шеи и обнажают наружную (или ключичную) часть грудино-ключично-сосцевидной мышцы. После отведения этой мышцы видна жировая клетчатка, покрывающая переднюю лестничную мышцу. Клетчатку раздвигают тупым путем и обнажают переднюю лестничную мышцу. Под собственной фасцией этой мышцы находится диафрагмальный нерв, к-рый пересекает переднюю лестничную мышцу сверху вниз и сзади наперед. Это характерное расположение диафрагмального нерва является для хирурга ориентиром. Нерв выделяют из-под собственной фасции мышцы и перерезают. Операционную рану послойно зашивают.
Операция должна выполняться с осторожностью, чтобы не повредить внутреннюю яремную вену (v. jugularis interna) и плечевое сплетение (plexus brachialis).
После Ф. подъем купола парализованной части диафрагмы зависит от эластичности легочной ткани и от наличия или отсутствия плевральных сращений. При массивной инфильтрации нижней доли легкого и плевральных спайках подъем купола может быть не выражен, и наоборот, при сохранении эластичности легкого и отсутствии плевральных сращений купол диафрагмы может подниматься до уровня IV ребра спереди. При рентгеноскопии отчетливо видны парадоксальные дыхательные движения парализованного купола диафрагмы. Паралич купола диафрагмы после Ф. сохраняется 2—3 года, а иногда и дольше.
Библиогр.: Богуш Л. К. Хирурги
ческое лечение туберкулеза легких, с. 62, М., 1979; Стойко Н. Г. Хирургическое лечение легочного туберкулеза, с. 190, М., 1949; S t u e r t z, Kiinstliche Zwerchfellahmung bei schweren chroni-schen einseitigen Lungenerkrankungen, Dtsch. med. Wschr., S. 2224, 1911.
Техника паралича диафрагмы. Операция Штюрца
Операция перерезки диафрагмального нерва была предложена Штюрцем в 1911 году. Мыслилось, что она в некоторой степени заменит пневмоторакс, однако простая перерезка довольно часто не давала эффекта. И только после введения Феликсом в 1922 г. так называемого френикоэкзереза эта операция получила большое распространение.
Путем экспериментальных работ и клинических наблюдений было выяснено, что следствие френикоэкзереза не ограничивается параличом диафрагмы. Установлено, что операция на диафрагмальном нерве оказывает не только коллабирующее, но и нейротрофическсе воздействие на туберкулезный процесс. (Это действие в настоящее время фтизиатры выдвигают на первый план).
После этого операции на диафрагмальном нерве стали производиться не только как вмешательства самостоятельные, но и как операции, сочетающиеся с пневмотораксом и другими коллапсотерапевтическими мероприятиями.
В 30-х годах операцию френикоэкзереза заменили более щадящей операцией — алкоголизацией нерва, при которой можно рассчитывать на восстановление движения диафрагмы спустя шесть-восемь месяцев. Кроме того, эта операция почти не сопровождается послеоперационными осложнениями, чего нельзя сказать о френикоэкзерезе.
Простота операции, ее доступность для широкого круга хирургов и фтизиатров, а также широта показаний привели к чрезвычайному распространению этого оперативного вмешательства. Достаточно сказать, что на Украине в 1952 г. было сделано более 1000 алкоголизации. Хотя сейчас эта цифра уменьшилась в несколько раз, но все еще остается большой.

Однако довольно скоро хирургам, а затем фтизиатрам пришлось бить отбой. Было выяснено, что эффективность операций невелика, а калечащие последствия очень значительны и зачастую делают невозможными производство более сложных радикальных операций.
Эффект алкоголизации диафрагмального нерва по сравнению с действием антибактериальных препаратов или других операций незначительный, а вредные последствия ее в отношении изменений функций легкого полностью компрометируют идею самой операции.
Так, Кей установил, что жизненная емкость и максимальная вентиляция легкого после паралича диафрагмы уменьшаются вдвое.
Исходя из низкой эффективности операции на диафрагмальном нерве и тяжелых функциональных расстройств, связанных с ней, мы считаем, что она не должна применяться в лечении туберкулеза. Нужно всегда помнить, что после френикоалкоголизации никакое хирургическое вмешательство на противоположном легком невозможно. Следовательно, безобидная операция, дающая всего 10—15% выздоровлений (Л. К. Богуш), закрывает пути для применения более радикальных вмешательств, в тех случаях, когда в них возникнет необходимость.
В связи с большим распространением операции на диафрагмальном нерве, имевшем место еще несколько лет назад, о ней написано очень много работ и предложена масса способов и оперативных доступов, которые представляют теперь чисто исторический интерес.
Диафрагмальный нерв берет начало от С-3—С-5, идет в виде одной, а иногда двух веточек, спускаясь в переднее средостение по m. scalenus ant. На шее он располагается под влагалищем этой мышцы. Часто он анастомозируется с симпатическим стволом, иногда располагается близко от плечевого сплетения. Вследствие таких анастомозов или вариантов расположения изредка наблюдаются осложнения, связанные с повреждением других нервов, чаще всего симпатического ствола.
Парез диафрагмы (синдром Кофферата)
Парез диафрагмы (синдром Кофферата) - ограничение функции диафрагмы в результате поражения корешков CIII-CV диафрагмального нерва при чрезмерной боковой тракции в родах.
Что провоцирует / Причины Пареза диафрагмы (синдрома Кофферата):
Основной причиной травмы периферической нервной системы при родах являются акушерские пособия, оказываемые при запрокидывании верхних конечностей плода, затрудненном выведении плечиков и головки. Тракция и ротация головки при фиксированных плечиках и, наоборот, тракция и ротация плечиков при фиксированной головке приводят к натяжению корешков нижнешейных и верхнегрудных сегментов спинного мозга над поперечными отростками позвонков. В абсолютном большинстве случаев акушерские парезы возникают на фоне асфиксии плода
Симптомы Пареза диафрагмы (синдрома Кофферата):
Парез диафрагмы может быть одним из симптомов врожденной миотонической дистрофии. Клинически проявляется одышкой, учащенным, нерегулярным или парадоксальным дыханием, повторными приступами цианоза, выбуханием грудной клети на стороне пареза. У 80% больных поражается правая сторона, двустороннее поражение составляет менее 10%. Парез диафрагмы не всегда выражен клинически и часто обнаруживается лишь при рентгеноскопии грудной клетки. Купол диафрагмы на стороне пареза стоит высоко и малоподвижен, что у новорожденных может способствовать развитию пневмонии. Парез диафрагмы часто сочетается с травмой плечевого сплетения.
Диагностика Пареза диафрагмы (синдрома Кофферата):
Лечение Пареза диафрагмы (синдрома Кофферата):
Лечение заключается в обеспечении адекватной вентиляции легких до восстановления самостоятельного дыхания. Ребенка помещают в так называемую качающуюся кровать. При необходимости проводят искусственную вентиляцию легких, чрескожную стимуляцию диафрагмального нерва.
Прогноз зависит от тяжести поражения. Большинство детей выздоравливает в течение 10-12 мес. Клиническое выздоровление может наступить раньше, чем исчезнут рентгенологические изменения. При двустороннем поражении летальность достигает 50%.
Профилактика Пареза диафрагмы (синдрома Кофферата):
Профилактика пареза диафрагмы предполагает правильное ведение родов в тазовом предлежании и при дискоординации родовой деятельности, предупреждении гипоксии плода, применение кесарева сечения с целью исключения переразгибания его головки, выявление хирургически корригируемых поражений.
К каким докторам следует обращаться если у Вас Парез диафрагмы (синдром Кофферата):
Вас что-то беспокоит? Вы хотите узнать более детальную информацию о Пареза диафрагмы (синдрома Кофферата), ее причинах, симптомах, методах лечения и профилактики, ходе течения болезни и соблюдении диеты после нее? Или же Вам необходим осмотр? Вы можете записаться на прием к доктору .

Диафрагма (diaphragma от греч. — перегородка), или грудобрюшная преграда — это куполообразная перегородка, которая разделяет грудную и брюшную полости. Выделяют центральную сухожильную и краевую мышечную части диафрагмы. Сокращаясь и расслабляясь диафрагма принимает участие в акте дыхания.
Релаксация диафрагмы - одностороннее стойкое высокое расположение диафрагмы, сохраняющей свою непрерывность и прикрепление в обычных местах.
В основе заболевания — повреждение диафрагмального нерва, при котором диафрагма расслабляется и не сокращается (т.е. наступает её релаксация). Так как в брюшной полости положительное давление, а в грудной клетке в большей части отрицательное, то органы брюшной полости давят на релаксированный купол диафрагмы. Таким образом, купол диафрагмы поднимается выше обычного, сдавливая собой соответствующее легкое. Часто заболевание так и называют — релаксация купола диафрагмы.
При диафрагмальной грыже органы брюшной полости перемещаются в грудную клетку через образовавшийся дефект, слабую зону диафрагмы или через расширенное естественное отверстие диафрагмы. В отличие от грыж при релаксации диафрагмы имеется резкое истончение ее и отсутствие мышц в целом купоне диафрагмы или в какой-либо части. Этот участок или весь купол выпячивается высоко в грудную клетку вместе с прилежащими органами брюшной полости. Выраженные грыжевые ворота при этом отсутствуют, поэтому ущемление при этом заболевании невозможно.
Релаксация диафрагмы — причины
Наиболее частой причиной травмы диафрагмального нерва являются операции на органах средостения:
- маммарно-коронарное шунтирование;
- тимэктомия;
- удаление опухолей средостения;
- операции по поводу рака легкого с расширенной лимфаденэктомией;
- операции на диафрагме и другие.
Соответственно, основным методом профилактики является тщательная визуализация и предупреждение повреждений диафрагмального нерва во время операций на органах средостения.
На втором месте по частоте развития релаксации диафрагмы стоит травма груди и шеи. Повреждения диафрагмального нерва могут возникать при гематоме средостения, травме шейного отдела позвоночника, разрывах диафрагмы, в которые вовлечен диафрагмальный нерв.
Классификация
Разделяют врожденную и приобретенную релаксации диафрагмы. Виды приобретенной:
- травматическая;
- вследствие воспалительных процессов;
- идиопатическая.
По расположению релаксация может быть:
- левосторонняя — релаксация левого купола диафрагмы;
- правосторонняя — релаксация правого купола диафрагмы.
Расслабление диафрагмы может быть полным (тотальным) или частичным (локальным).
Локальная релаксация диафрагмы
Частичная или локальная релаксация диафрагмы, как правило, наблюдается справа. Чаще всего ограниченная релаксация локализуется в передне-медиальном отделе диафрагмы справа, что может объясняться слабостью мышечных пучков, отходящих в этой области от задней поверхности грудины. Слева этот участок прикрыт париетальным листком перикарда и верхушкой сердца. При этом купол диафрагмы дугообразно выпячивается в сторону легкого, а печень деформируется, повторяя форму области релаксации.
Причиной ограниченной релаксации могут быть следующие заболевания:
- эхинококкоз печени и селезенки;
- поддиафрагмальный абсцесс;
- наддиафрагмальный осумкованный плеврит;
- кисты перикарда;
- базальная пневмония;
- ограниченная гипоплазия диафрагмы.
Главным признаком ограниченной релаксации является локальное дугообразное выпячивание передне-медиальной части диафрагмы и ее истончение на этом участке. Чаще заболевание протекает бессимптомно, реже больные предъявляют жалобы на боль в груди или в области сердца, кашель; могут встречаться и диспепсические явления.
Признаки релаксации диафрагмы
По клиническому течению релаксации диафрагмы выделяют 4 формы:
- бессимптомную;
- со стертыми клиническими проявлениями;
- с выраженными клиническими симптомами;
- осложненную (заворот желудка, язва желудка, кровотечение и др.).
Выраженность симптомов релаксации диафрагмы весьма различна - от полного отсутствия симптомов заболевания до значительных функциональных расстройств пищеварительной, дыхательной, сердечно-сосудистой и других систем.
Симптомы зависят от выраженности смещения диафрагмы и органов брюшной и плевральной полостей, а также от стороны поражения: наиболее выраженной, как правило, бывает левосторонняя релаксация. При этом из брюшной полости высоко вверх поднимаются желудок, толстая кишка, селезенка, реже - тонкая кишка. Смещенный вверх желудок претерпевает те же изменения положения, что и при диафрагмальной грыже - его большая кривизна поворачивается кверху и прилежит к диафрагме.
Наиболее характерные симптомы
- приступы боли и слабости;
- потеря массы тела;
- одышка;
- кашель;
- ощущение сердцебиения.
В каждом отдельном случае на первый план выступает определенная группа симптомов со стороны тех органов, функция которых наиболее нарушена. В зависимости от этого выделяют три основных синдрома:
- дыхательный,
- сердечно-сосудистый;
- пищеварительный.
У детей выделяют особую кардиореспираторную форму релаксации.
Дыхательный синдром проявляется одышкой после незначительной физической нагрузки, изменения положения тела и, что особенно характерно, после приема пищи. Частым проявлением дыхательного синдрома является раздражающий сухой кашель, также возникающий после приема пищи или изменения положения тела. Дыхательный синдром обусловлен выключением половины диафрагмы из дыхания, давлением ее на нижние отделы легкого.
Сердечно-сосудистый синдром связан со смещением сердца и характеризуется тахикардией, аритмией, ощущением сердцебиения и ангинозными болями. Он обусловлен смещением и ротацией сердца вследствие высокого стояния купола диафрагмы.
При пищеварительном синдроме отмечается:
- дисфагия (в том числе и пародоксальная);
- боли в эпигастрии и подреберье;
- чувство тяжести после еды;
- частые отрыжки;
- икота;
- изжога;
- урчание в животе;
- тошнота и рвота;
- метеоризм и запоры,
- дисфагия.
Причиной указанных жалоб является выпадение динамической функции диафрагмы, перегиб абдоминального отдела пищевода, заворот желудка с растяжением его и нарушением кровообращения, что может провоцировать развитие эрозивного гастрита, венозного стаза и язв. Осложнениями могут быть рецидивирующие желудочно-кишечные кровотечения; в литературе имеются даже описания случаев гангрены желудка.
Диагностика
ЭКГ. Инструментальные исследования дают возможность выявить нарушения функции внешнего дыхания, характерно значительное уменьшение ЖЕЛ. На электрокардиограмме у таких больных часто наблюдаются экстрасистолы, признаки замедления внутрижелудочковой проводимости и нарушения коронарного кровообращения.
Рентген. Рентгенологическое исследование является решающим в диагностике релаксации, при этом определяются следующие симптомы:
- стойкое повышение уровня расположения соответствующего купола диафрагмы до 2 - 5 ребра;
- в горизонтальном положении диафрагма и прилежащие к ней органы брюшной полости смещаются кверху;
- контур диафрагмы представляет собой ровную, непрерывную дугообразную линию.
Нередко выявляется ателектаз нижних отделов легкого и смещение средостения.

Релаксация диафрагмы рентген (левый купол)
КТ. Наиболее информативным методом исследования является компьютерная томография, дающая полную информацию о степени релаксации и характере изменений органов грудной и брюшной полостей. Во всех случаях релаксации, даже при небольшой ее выраженности, наблюдается ателектаз и воспалительные изменения базальных сегментов легкого. С внедрением компьютерной томографии практически отпала надобность в остальных традиционных методах дифференциальной диагностики.

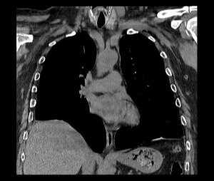
Релаксация правого купола диафрагмы на КТ
Лечение
Лечение релаксации диафрагмы только хирургическое.
Показанием к плановой операции является релаксация:
- сопровождающаяся болевым синдромом;
- сдавлением и уменьшением объема легкого с нарушениями функции дыхания;
- смещением средостения с нарушениями сердечно-сосудистой деятельности;
- высоким стоянием органов желудочно-кишечного тракта с нарушениями пищеварения.
Экстренные показания к операции возникают при завороте желудка, разрыве диафрагмы, остром желудочном кровотечении и других осложнениях.
Задачей хирургического вмешательства является восстановление исходного уровня стояния диафрагмы, в результате чего грудные и брюшные органы должны занять свое нормальное положение. Операция заключается в пластике диафрагмы собственными тканями или пластике сетчатым протезом.
Современным и перспективным направлением хирургии диафрагмы при ее релаксации являются торакоскопические и лапароскопические операции. Общеизвестные преимущества эндоскопических операций - прежде всего минимальное повреждение дыхательной мускулатуры грудной стенки.
В отделении торако абдоминальной хирургии и онкологии РНЦХ им. Петровского предпочтение отдается оперативному лечению диафрагмы из лапароскопического доступа. Опыт выполнения данных оперативных вмешательств из лапароскопического и торакоскопического доступов составляет более 10 лет.
Пластика диафрагмы проводится сетчатым протезом. Российский научный Центр хирургии является одним из основоположников хирургии диафрагмы с использованием синтетических протезов. Аллопластику (сетчатым протезом) диафрагмы применяют с 1951 г., у истоков создания метода стоял выдающийся отечественный хирург и основатель Центра хирургии, академик Б.В. Петровский.
Вас может заинтересовать: Хирургия диафрагмы, Грыжи диафрагмы.
Прогноз
Прогноз лечения благоприятный. Важно соблюдать рекомендации при выписке из стационара и исключения вредных социальных факторов. Выздоровление с восстановлением трудоспособности происходит через 1-2 месяца от операции.
Лечение в отделении торакоабдоминальной хирургии РНЦХ им. Петровского
Если Вы ищете клинику для лечения релаксации диафрагмы — обращайтесь в наш центр. Лечение в отделении торако-абдоминальной хирургии — это торакальные хирурги с огромным опытом работы, новейшее оборудование и комфортные условия стационара. Ознакомьтесь с отзывами пациентов нашего отделения.
Мы осуществляем лечение бесплатно по программе ОМС, ДМС и на коммерческой основе. Оказываем помощь в рамках высокотехнологичной медицинской помощи.
Релаксация диафрагмы МКБ 10 код: J98.6. Болезни диафрагмы.
Принимаем на лечение жителей всех регионов России. Узнайте подробности, как попасть на лечение в отделение торако-абдоминальной хирургии РНЦХ.
Для записи на консультацию позвоните по телефонам:
Отправьте заявку на консультацию, заполнив форму на нашем сайте и прикрепив необходимые документы.
Читайте также:
