КТ, МРТ при меланоме носа и околоносовых пазух
Добавил пользователь Евгений Кузнецов Обновлено: 24.12.2025
Енгибарян М.А. 1 Ульянова Ю.В. 1 Волкова В.Л. 1 Аединова И.В. 1 Мещеряков П.Н. 1 Чертова Н.А. 1 Баужадзе М.В. 1
Меланомы слизистых оболочек - редко встречающиеся опухоли человека. По наблюдениям различных авторов, они составляют до 1,3% от всех опухолей человека, из которых 55% локализуются в области органов головы и шеи. Меланомы слизистой оболочки полости носа и придаточных пазух носа составляют менее 1% всех меланом и менее 5% всех злокачественных новообразований слизистых оболочек данной локализации. Значительная часть таких опухолей располагается в полости носа. В этой статье приводятся краткие статистические данные и демонстрируются клинические наблюдения меланом слизистых оболочек придаточных пазух носа. Отмечены отсутствие патогномоничных симптомов при опухолях придаточных пазух носа с различной гистологической структурой, а также высокий процент рецидивирования меланом слизистых оболочек придаточных пазух носа и полости носа, низкие показатели средней продолжительности жизни и 5-летней выживаемости больных с данными злокачественными новообразованиями. Освещены трудности диагностики, сопряженные с выявлением меланом придаточных пазух носа на поздних стадиях заболевания при первичном обращении за специализированной медицинской помощью. Ведущим методом лечения меланомы околоносовых пазух является радикальная хирургическая операция с последующим назначением лучевой и лекарственной терапии.
1. Manolidis S., Donald P.J. Malignant mucosal melanoma of the head and neck: review of the literature and report of 14 patients. Cancer. 1997. V. 80. №8. P.1373-1386.
2. Anderson L.J., Berthelsen A., Hansen H.S. Malignant melanoma of the upper respiratory tract and the oral cavity. J. Otolaryngol. 1992. № 21(3). Р.180-185.
3. Medhi P., Biswas M., Das D., Amed S. Cytodiagnosis of mucosal malignantmelanoma of nasal cavity: A case report with review of literature. J. Cytol. 2012. V. 29(3). Р.208-210.
4. Patel S.G., Prasad M.L., Escrig M. Primary mucosal malignant melanoma of the head and neck. Head Neck. 2002. V. 24(3). Р.247-257.
5. Papaspyrou G., Garbe C., Schadendorf D. et al. Mucosal melanomas of the head and neck: new aspects of the clinical outcome, molecular pathology, and treatment with c-kit inhibitors. Melanoma Res. 2011. V. 21(6). Р. 475-482.
7. Uzdensky A., Demyanenko S., Bibov V., Sharifulina S., Kit O., Przhedetski Y., Pozdnyakova V. Expression of proteins involved in epigenetic regulation in human cutaneous melanoma and peritumoral skin. TumorBiology. 2014. V. 35. №8. C 8225-8233.
8. Яйцев С.В., Федорова Н.В., Аладин А.С., Васильев Ю.С., Сычев В.И. Злокачественные опухоли полости носа и околоносовых пазух (диагностика и лечение) // Креативная хирургия и онкология. 2010. № 3. С. 43-44.
9. Чиссов В.И. Алгоритмы диагностики и лечения злокачественных новообразований. М.: ФГУ " МНИОИ им. П.А. Герцена Минздравсоцразвития России". 2010. 542 с.
Злокачественные опухоли носа и околоносовых пазух составляют от 0,5 до 1,3% всех злокачественных опухолей человека. Среди них около 74% составляют опухоли эпителиального (плоскоклеточный рак, переходно-клеточный рак, аденокарцинома) и 26% - неэпителиального (меланомы, эстезионейробластомы, рабдомиосаркомы и др.) генеза. Первичные меланомы слизистых оболочек органов головы и шеи составляют около 0,7-3,8% всех меланом и локализуются (в убывающем порядке по частоте встречаемости) в околоносовых пазухах, полости рта, глотке, гортани и верхней трети пищевода. Меланомы слизистых оболочек составляют 1,3% случаев, из которых 55% локализуются в области головы и шеи [1, 2]. Меланомы слизистой оболочки полости носа и придаточных пазух составляют менее 1% всех меланом и менее 5% всех новообразований данной локализации [3]. В основном меланомы располагаются в полости носа в области носовых раковин, боковых стенок носа и носовой перегородки [1, 4]. Самой частой локализацией меланом среди придаточных пазух носа является верхнечелюстная пазуха. Опухоли, поражающие слизистую оболочку полости носа и носовой перегородки, имеют более благоприятный прогноз по сравнению с поражением околоносовых пазух, что объясняется большей доступностью опухоли осмотру и, следовательно, ранней диагностикой [5]. На момент постановки диагноза 70-80% случаев меланом представлены локализованными формами заболевания, в 10-20% случаев имеются метастазы в регионарные лимфатические узлы и менее чем в 10% - отдаленные метастазы. Однако в течение болезни у 20% пациентов развиваются метастазы в регионарные лимфатические узлы, у 40-50% - в легкие, кости, печень, головной мозг [3, 6, 7].
Мужчины и женщины заболевают практически одинаково часто. Средний возраст заболевших составляет 50-70 лет [6]. Меланома - злокачественная опухоль, развивающаяся из меланоцитов — пигментных клеток, продуцирующих меланин. Преимущественно локализуется в коже, реже - в сетчатке глаза, слизистой оболочке (полости рта, влагалища, прямой кишки). Длительность заболевания - от нескольких месяцев до 3-5 лет. Рецидивы опухоли протекают более злокачественно, чем первичная опухоль, и возникают в 80% случаев. Средняя продолжительность жизни больных составляет 1,8 года, 5-летняя выживаемость - 7-10%. На ранних стадиях развития опухоли заболевание протекает бессимптомно. Дальнейшие проявления зависят от направления роста опухоли и распространенности поражения. Прорастание опухоли в решетчатую пазуху и полость носа сопровождается гнойно-кровянистыми выделениями, слезотечением, припухлостью в области внутреннего угла глаза. Рост опухоли в направлении нёба и челюсти вызывает боль в зубах и их патологическую подвижность, деформацию нёба. Прорастание в направлении глазницы сопровождается экзофтальмом, нарушением подвижности глазного яблока. Разрушение задней и наружной стенок верхнечелюстной пазухи ведет к переходу процесса на скуловые кости и явлениям невралгии тройничного нерва. Однако подобные симптомы характерны для опухолей околоносовых пазух независимо от их гистологической структуры [8], патогномоничных признаков для меланомы этой локализации нет. В запущенных случаях диагноз определяется довольно легко.
По морфологической структуре меланомы экстрадермальной локализации практически не отличаются от меланом кожи. Часто встречается веретеноклеточный и эпителиоподобный тип, количество меланина может широко варьировать. Описаны беспигментные варианты опухоли. Основным методом лечения меланомы и других неэпителиальных опухолей придаточных пазух носа является хирургический [9]. После выполнения радикальной операции назначают лучевое лечение и (или) химиотерапию.
Цель исследования: ввиду редкости данного вида опухоли слизистых оболочек полости носа и околоносовых пазух приводим наши клинические наблюдения с целью продемонстрировать отсутствие патогномоничных признаков меланомы указанных локализаций, а также целесообразность радикальных хирургических вмешательств на первом этапе лечения.
Материалы и методы исследования
Приведены клинические наблюдения меланомы околоносовых пазух 3 больных, получавших лечение в отделении опухолей головы и шеи ФГБУ «РНИОИ»; всем больным на догоспитальном этапе выполнялись компьютерная томография головы для оценки распространенности опухолевого процесса, гистологическое исследование биоптатов опухоли, радикальное хирургическое вмешательство на первом этапе лечения.
Результаты исследования и их обсуждение
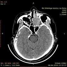
Больная З., 1948 года рождения, поступила в отделение ОГШ ФГБУ «РНИОИ» МЗ РФ 14.06.2016 г. с жалобами на затрудненное носовое дыхание слева, головные боли. При осмотре - лимфатические узлы шеи не увеличены, носовое дыхание через левую половину носа затруднено. Пальпаторно - костные структуры лицевого скелета не разрушены. При передней риноскопии - опухоль не определяется. СРКТ от 08.06.2016 г.: «Слева в области ячеек решетчатого лабиринта определяется мягкотканое образование 42х51 мм с прорастанием в верхнечелюстную и основную пазуху, полость носа (рис. 1). Легочная ткань без очагов. Патологических объемных образований в брюшной полости и полости малого таза не выявлено».

Рис. 1. СРКТ придаточных пазух носа: слева в области ячеек решетчатого лабиринта определяется мягкотканое образование 42х51 мм с прорастанием в верхнечелюстную и основную пазуху, полость носа
15.06.2016 г. выполнена радикальная операция на околоносовых пазухах с удалением опухоли, предварительной перевязкой наружной сонной артерии. Под внутривенной анестезией с ИВЛ произведен разрез кожи шеи слева по Насилову. Кожные лоскуты отсепарованы. Обнажен сосудисто-нервный пучок шеи. Выделена наружная сонная артерия и перевязана выше отхождения верхней щитовидной артерии. Гемостаз. Рана ушита послойно. Далее произведен разрез кожи лица слева по Муру. Кожные лоскуты отсепарованы. При ревизии - опухоль белесоватого цвета, исходящая из передних клеток решетчатого лабиринта, разрушает медиальную стенку верхнечелюстной пазухи, распространяется в основную пазуху, полость носа. Опухоль удалена и отправлена на срочное гистологическое исследование - г.а. № 49969-72 «незрелая опухоль солидного строения». Гемостаз. Вскрыта верхнечелюстная пазуха, удалена латеральная стенка полости носа. В послеоперационную полость введены мазевые тампоны. Швы на кожу. Повязка. Послеоперационное гистологическое заключение № 49969-72/13 «незрелая опухоль солидного строения», ИГХ-исследование № 1495/2013 «меланома, беспигментный вариант». Заключительный диагноз: меланома левой половины решетчатого лабиринта, состояние после хирургического лечения, St IV, T4N0M0, клиническая группа 2. Больной назначены послеоперационная лучевая терапия, а также иммунотерапия в течение первого года. Отмечено отсутствие рецидива заболевания в течение 1,5 лет.
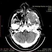
Больной В., 1947 года рождения, поступил в отделение опухолей головы и шеи ФГБУ «РНИОИ» МЗ РФ 17.10.2016 г. с жалобами на опухоль в области левой щеки. При осмотре - лимфатические узлы шеи не увеличены, носовое дыхание не затруднено, лицо асимметрично за счет распространяющейся в мягкие ткани левой щеки опухоли левой верхнечелюстной пазухи. При пальпации деструкция нижнеорбитального края не определяется. При передней риноскопии опухоль не определяется. Остальные ЛОР-органы без видимой онкопатологии. СРКТ от 13.10.2016 г.: «Слева опухоль верхнечелюстной пазухи 5,6х5 см с неоднородной структурой, прорастанием ее передней стенки с распространением мягкотканого компонента опухоли на мягкие ткани лица, участок деструкции альвеолярного края верхней челюсти слева» (рис. 2).

Рис. 2. СРКТ придаточных пазух носа: слева опухоль верхнечелюстной пазухи 5,6х5 см с неоднородной структурой, прорастанием ее передней стенки с распространением мягкотканого компонента опухоли на мягкие ткани лица, участок деструкции альвеолярного края верхней челюсти слева
19.10.2016 г. выполнена резекция левой верхней челюсти с предварительной перевязкой наружной сонной артерии. Под внутривенной анестезией с ИВЛ произведен разрез кожи шеи слева по Насилову. Кожные лоскуты отсепарованы. Обнажен сосудисто-нервный пучок шеи. Выделена наружная сонная артерия (прослежены ее ветви) и перевязана выше отхождения верхней щитовидной артерии. Гемостаз. Рана на шее ушита послойно. Далее произведен разрез кожи лица слева по Веберу. Кожные лоскуты отсепарованы. При ревизии - опухоль с распадом, черного цвета, прорастает переднюю, латеральную, верхнюю, медиальную и заднюю стенки верхнечелюстной пазухи, скуловой, нёбный, альвеолярный отростки верхней челюсти, мягкие ткани щеки. Опухоль удалена в пределах макроскопически не измененных тканей (резецированы скуловой, нёбный и альвеолярный отростки верхней челюсти, удалена часть мягких тканей и кожи щеки). Гемостаз. В послеоперационную полость введены мазевые тампоны. Швы на кожу. Повязка. Послеоперационное гистологическое заключение № 10534-5/16 «эпителиоидноклеточная меланома». Заключительный диагноз: меланома левой верхнечелюстной пазухи, состояние после хирургического лечения, St IV, T4N0M0, клиническая группа 2. Больному назначены послеоперационная лучевая терапия, а также иммунотерапия в течение первого года. Отмечено отсутствие рецидива заболевания в течение 1 года. Больной умер в январе 2018 г. в связи с ТЭЛА.
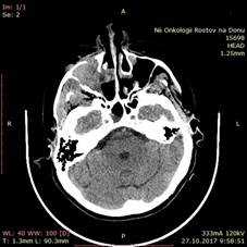
Больная Ж., 1957 года рождения, поступила в отделение ОГШ ФГБУ «РНИОИ» МЗ РФ 10.11.2017 г. с жалобами на затрудненное носовое дыхание через правую половину носа, кровотечения из правой половины носа. Из анамнеза: считает себя больной с ноября 2016 г., когда периодически отмечала кровотечения из правой половины носа. Обращалась к врачу по месту жительства, однако консервативное лечение, проводимое по месту жительства, осталось без эффекта. В марте 2017 г. по поводу зубной боли обратилась к стоматологу, где лечилась по поводу лакунарной кисты. В конце марта 2017 г. возникло кровотечение из правой половины носа. По месту жительства 10.04.2017 г. выполнялось прижигание сосудов слизистой оболочки полости носа справа. 10.05.2017 г. возобновилась кровоточивость с последующим носовым кровотечением. В ГБУ РО РОКБ 06.07.2017 г. выполнена операция: правосторонняя гайморотомия, этмоидотомия, удаление новообразования правой половины носа с использованием видеоэндоскопических технологий. Послеоперационный гистологический анализ № 57554-61 - кавернозная гемангиома. Больная была выписана в удовлетворительном состоянии с восстановленным носовым дыханием, кровотечение из правой половины носа прекратились. Через 1 неделю возобновились носовые кровотечения из правой половины носа, была направлена в ЛОР-отделение ГБУ РОКБ, где 18.08.2017 г. выполнена операция - правосторонняя гайморотомия комбинированным доступом (ревизия по Дэнкеру) с использованием видеоэндоскопических технологий, обезболивание общее. Послеоперационный гистологический анализ № 70827-30 от 25.08.2017 г. (ИГХ) меланома. Наблюдалась по месту жительства. Однако носовые кровотечения не прекратились, что побудило больную обратиться в ФГБУ «РНИОИ» МЗ РФ, где были пересмотрены гистологические препараты. Выполнены СРКТ околоносовых пазух и МРТ сосудов головного мозга. При осмотре специалиста в профильном кабинете клинико-диагностического отделения ФГБУ «РНИОИ» МЗ РФ: лимфатические узлы шеи не пальпируются. Лицо асимметричное за счет распространения опухоли в мягкие ткани правой щеки. Пальпаторно - костные края орбиты не изменены. При орофарингоскопии - открывание полости рта в полном объеме. При передней риноскопии - в общем носовом ходе справа гнойно-геморрагические корки, опухоль не определяется при осмотре. СРКТ от 27.10.2017 г. - опухоль правой верхнечелюстной пазухи 3,8х3,9х3,3 см с разрушением ее передней, задней стенок, распространением в мягкие ткани щеки и правый общий носовой ход; легочная ткань без очагов; патологических объемных образований в брюшной полости и полости малого таза не выявлено (рис. 3).

Рис. 3. СРКТ придаточных пазух носа: справа - опухоль правой верхнечелюстной пазухи 3,8х3,9х3,3 см с разрушением ее передней, задней стенок, распространением в мягкие ткани щеки и правый общий носовой ход
В отделении опухолей головы и шеи ФГБУ «РНИОИ» МЗ РФ 13.11.2017 г. (спустя 8 месяцев после первого обращения пациентки к врачу) выполнена радикальная операция на околоносовых пазухах справа с удалением опухоли, предварительной перевязкой наружной сонной артерии. Под внутривенной анестезией с ИВЛ произведен разрез кожи шеи справа по Насилову. Кожные лоскуты отсепарованы. Обнажен сосудисто-нервный пучок шеи. Выделена наружная сонная артерия и перевязана выше отхождения верхней щитовидной артерии. Гемостаз. Рана ушита послойно. Далее произведен разрез кожи лица по Веберу справа. Кожные лоскуты отсепарованы. Резецированы носовая кость, передняя стенка верхнечелюстной пазухи, медиальная стенка правой орбиты, которая частично разрушена. При ревизии - опухоль занимает верхнечелюстную пазуху, размерами 3,8х3,9х3,2 см с разрушением передней, задней стенок, распространением в мягкие ткани щеки и правый общий носовой ход. Тупым и острым путями опухоль удалена в пределах макроскопически не измененных тканей. Швы на кожу. Повязка. Послеоперационное гистологическое заключение № 102594-99/17 - фрагменты слизистой оболочки с очагами эпителиоидно-клеточной меланомы, с очень небольшим количеством пигмента, с изъязвлением, толщиной до 3 мм, № 102600-03/17 - фрагменты фиброзной и костной ткани с очагами эпителиоидно-клеточной меланомы, с очень небольшим количеством пигмента, с изъязвлением, толщиной до 5 мм.
Заключительный диагноз: меланома правой верхнечелюстной пазухи, состояние после хирургического лечения, St.IV, T4N0M0, клиническая группа 2. Больной назначены послеоперационная лучевая терапия, а также иммунотерапия в течение первого года. Отмечено отсутствие рецидива заболевания в течение 2 лет.
Таким образом, можно сделать вывод о том, что меланома околоносовых пазух не имеет клинически значимых патогномоничных диагностических критериев. Первые симптомы заболевания, а также рентгенологическая картина аналогичны таковым при опухолях этой локализации эпителиального происхождения. При удалении опухолевых образований полости носа и околоносовых пазух в стационарах хирургического профиля необходимо тщательное гистологическое исследование удаленных препаратов. Ведущим этапом лечения является радикальное удаление опухоли. Прогноз, средняя продолжительность жизни и частота возникновения рецидивов зависят от распространенности процесса на момент начала противоопухолевого лечения.
Материалы конгрессов и конференций
В структуре заболеваемости злокачественные опухоли придаточных пазух полости носа и верхней челюсти составляют 0,2-1,4% среди злокачественных опухолей человека [10, 11, 14, 15]. Они относятся к числу чрезвычайно тяжело протекающих заболеваний, характеризующихся длительным бессимптомным течением и значительными трудностями в диагностике. Вследствие того, что полость носа свободно сообщается с околоносовыми пазухами и находится с ними в сложных анатомических взаимоотношениях, злокачественные опухоли быстро распространяются на соседние структуры и к моменту распознавания, как правило, инфильтрируют несколько областей. По этой причине в поздних стадиях подчас трудно или невозможно установить исходное место, где возникла опухоль [3, 9]. С другой стороны, несмотря на обширное местное распространение, такие опухоли крайне редко метастазируют в отдаленные органы и ткани [5, 11]. В 73% случаев - это эпителиальные опухоли.
- эстезионейробластома (62%);
- рабдомиосаркома (14%);
- меланома и другие (24%).
- верхнечелюстные пазухи;
- клетки решетчатого лабиринта;
- слизистую оболочку полости носа;
- лобную и клиновидную пазухи.
Большинство пациентов поступают в специализированные онкологические учреждения с III и IV стадиями заболевания.
Нами проведен анализ результатов лучевого обследования 68 больных с морфологически подтвержденным диагнозом злокачественной опухоли полости носа, придаточных пазух и верхней челюсти, а также с доброкачественными опухолями и кистами этой же локализации, потребовавшими дифференциального диагноза со злокачественными новообразованиями.
В наших наблюдениях злокачественные опухоли чаще встречались у мужчин (соотношение мужчин и женщин составило 1,4:1) среднего и старшего возраста, что соответствует общепринятым представлениям [6, 7, 10, 13,] о приблизительно одинаковой встречаемости данного заболевания у обоих полов. Первичная локализация опухолей в верхнечелюстной пазухе была у 24 (32,3%) больных, в полости носа - у 21 (30,8%), клетках решетчатого лабиринта - у 19 (27,9%) и основной пазухи - у 2 (4,4%) больных, что также соответствует наблюдениям других исследователей [6, 7, 8, 11, 16, 18]. В 3,5% (у 2 больных) диагностирована опухоль в лобной пазухе.
Морфологическое подтверждение диагноза получено во всех наблюдениях после биопсии или послеоперационного исследования удаленной опухоли. Подавляющее большинство опухолей имели строение плоскоклеточного рака - у 26 больных (45%). Переходно-клеточный рак и эстезинейробластома определялись у 6 (11%) и 8 (14%) больных соответственно; аденокистозная карцинома - у 5 (9%) и саркома - у 5 больных (7%). Меланома и аденокарцинома встречались одинаково часто: по 3 (5%) больных в каждой группе. Доброкачественные опухоли (плоскоклеточная папиллома) встретились у 1 больного (2% от общего числа гистологических заключений), что полностью соответствует литературным данным [2, 4, 6, 9, 11, 16].
При определении стадии заболевания мы руководствовались данными физикального обследования, передней риноскопией, прямой фиброскопией верхних дыхательных путей, рентгеноскопическим исследованием лицевого скелета, рентгеновской компьютерной томографии (КТ), магнитно-резонансной томографии (МРТ), и данными ультразвуковой компьютерной томографии (УЗКТ).
По клинической классификации и классификации ТNМ (2002 г.) больные распределялись следующим образом: III стадия - 14,7%, IV стадия - 85,2%. Доброкачественные опухоли, кисты и хронические воспалительные заболевания как не поражающие лимфатические узлы и не дающие отдаленных метастазов в данной группе не учитывались.
В связи с тем, что полученные данные сравнивались с результатами пересмотра гистологических исследований биопсийного материала, были объединены группы больных. Больные были разделены на 2 группы: в I-группу (33 человека - 48%) вошли больные, которым было проведено хирургическое лечение как в самостоятельном варианте (7 больных - 10%), так в составе комплексного (15 больных - 21%) и комбинированного (11 больных - 15%) лечения. Во II группу (35 больных 52%) вошли больные, которым хирургическое лечение не проводилось. Из них химиолучевое лечение получили 23 (32%) больных, только лучевое или лекарственное в самостоятельном варианте - по 8 (11%) человек. Данные о группах больных в зависимости от проведенного лечения представлены в табл. 1.
Таблица 1.
Распределение больных в зависимости от вида лечения.
| Группа | Количество больных (%) | Вид лечения | Количество больных (%) |
|---|---|---|---|
| I (оперированные) | 33 (48%) | Хирургическое | 7 (10%) |
| Комбинированное | 11 (15%) | ||
| Комплексное | 15 (21%) | ||
| II (не оперированные) | 35 (52%) | Химиолучевое | 23 (32%) |
| Лучевая терапия | 8 (11%) | ||
| Химиотерапия | 8 (11%) | ||
| Всего | 68 (100%) | 68 (100%) |
Среди оперированных больных (33 человека) электрохирургическая резекция верхней челюсти выполнена 19 (57,5%) больным, кранио-фациальная резекция - 5 (15,5%) больным, гайморотомия - 6 (18,18%) больным, электрохирургическая резекция верхней челюсти без пластики - 1 (3,03%) больному, удаление кисты лобной пазухи - 2 больным (6,06%).
Все больные были разделены на три клинические группы: I группа - первичные больные, II группа - больные в процессе лечения, III группа - больные в процессе наблюдения в послеоперационном периоде.
Следует учитывать, что все диагностические изображения (наличие опухоли, ее размеры, распространенность и т.д.) у одного и того же больного при переходе из группы в группу изменялись в той или иной степени и учитывались в каждой группе независимо друг от друга. Следовательно, суммарное количество наблюдений в группах (104) больше общего количества обследованных больных (68). Кроме того, КТ и МРТ в период наблюдения за больным выполнялись многократно. С учетом первичных, повторных и контрольных исследований 66 больным было проведено 115 КТ и 52 МРТ.
Классическое рентгенологическое исследование предусматривало выполнение рентгенографии в стандартных и дополнительных проекциях. КТ околоносовых пазух проводилось в двух взаимно перпендикулярных проекциях - аксиальной и фронтальной. Исследование в аксиальной проекции выполняли в положении пациента на спине, голову фиксировали подголовником. Плоскость сканирования выбирали по боковой топограмме параллельно твердому небу. Фронтальную проекцию выполняли в положении пациента на животе. Плоскость сканирования должна быть по возможности перпендикулярной аксиальной (это зависит от возможного угла наклона Гентри). Особенно важно соблюдать эти условия при повторных исследованиях для оценки динамики патологических изменений в процессе лечения. КТ околоносовых пазух полости носа и верхней челюсти проведено на аппаратах IV поколения "Sonatom Plus 4" и "Ar-Star" (Simens).
Исследовать околоносовые пазухи можно как в пошаговом режиме, так и в режиме спирального сканирования. Стандартно околоносовые пазухи исследуют в режиме спирального сканирования 3/4.5 мм или 5/7 мм с реконструкцией изображений 2-4 мм. При шаговом режиме исследования используют слой и шаг 2-5 мм в зависимости от конкретной задачи с использованием "мягкотканого и костного окна". Для более четкой оценки распространенности процесса, отграничения мягкотканного образования, перифокального отека и постлучевых изменений применяли контрастное внутривенное усиление йодсодержащими препаратами (омнипак).
МРТ проводилась на аппарате "Harmony" (Simens) с напряженностью магнитного поля 1 Тл в аксиальной, фронтальной и сагиттальной плоскостях; слой сканирования - 3-5 мм. Использовалась поверхностная катушка для головы.
В результате исследования определена чувствительность, точность и специфичность МРТ, КТ и рентгенографии.
Злокачественные новообразования околоносовых пазух обладают рядом рентгенологических и магнитно-резонансных особенностей, присущих как самому опухолевому очагу, так и окружающим тканям. МР-исследование отличается сигнальными характеристиками тени опухоли, позволяющими судить о природе процесса. Каждый из симптомов необходимо рассматривать в совокупности с другими и с учетом клинических проявлений заболевания, поскольку изучаемый отдельно, он может давать неспецифичную для новообразования картину. Более важная роль в выявлении отличительных признаков злокачественных опухолей принадлежит КТ и МРТ. Только с помощью этих методов удается своевременно определить внутриполостное развитие опухоли, выявить начальные признаки разрушения любой из костных стенок пазух и особенности получения изображения мягкотканной опухоли в зависимости от характера процесса, его природы, что было невозможно ранее при использовании традиционных рентгенологических методик.
Как видно из табл. 2, МРТ обладает наиболее высокой разрешающей способностью в дифференциальной диагностике злокачественных опухолей, хронических воспалительных процессов верхней челюсти и околоносовых пазух, превосходящей рентгенологические методы диагностики. Чувствительность метода составила 92%, специфичность - 91,9%, точность - 91,2%, практическая ценность в диагностике рака - 97,6%, доброкачественных процессов - 78,5%.
Таблица 2.
Показатели диагностической информативности различных методов обследования.
| Метод лучевой диагностики | Количество исследований | Количество заключений | Показатели диагностической информативности | |||||
|---|---|---|---|---|---|---|---|---|
| Всего | Не информативны | Информативны | Точные | Ошибочные | Чувствительность | Специфичность | Точность | |
| Рентгенологический | 68 | 1 | 40 | 28 | 10 (22,3%) | 63,4 | 87,7 | 72,3 |
| КТ | 68 | 0 | 68 | 57 | 10 (15,3%) | 82 | 91,7 | 87,6 |
| МРТ | 65 | 0 | 65 | 62 | 3 (4,61%) | 92 | 91,9 | 91,2 |
Ошибки диагностики при клиническом обследовании составили 28,27%: при традиционной рентгенографии - 22,3%, КТ - 15,3%, МРТ - 4,61%. Диагностика начальных стадий развития новообразований полости носа и придаточных пазух является сложной проблемой, несмотря на использования современных методов лучевого исследования. Их ценность в диагностике рака, дифференциальной диагностике с воспалительными заболеваниями, оценке распространенности процесса, как подтверждают данные нашего исследования, очевидна.
- КТ и МРТ являются взаимно дополняющими методами диагностики опухолей полости носа и околоносовых пазух. КТ является методом выбора для оценки костных структур, наличия обызвествления, но возможности ее ограничены при дифференциальной диагностике опухоли от мягких тканей и реактивных изменений в пазухах. Внутривенное введение контрастного йодсодержащего препарата повышает диагностические возможности КТ. Опухолевые массы неравномерно накапливают контрастный препарат, и визуализация их улучшается на фоне реактивного экссудата.
- При МРТ лучше дифференцируется опухоль, реактивный выпот и отек слизистой, что позволяет более точно определить размеры опухоли и ее распространенность. Применение внутривенного усиления при КТ и МРТ улучшает оценку размеров, визуализацию структуры и границ опухоли, а также размеров внутричерепного компонента.
- МРТ - высокоинформативный дифференциально-диагностический метод в диагностике рака околоносовых пазух и полости носа, отличающийся высокой естественной тканевой контрастностью изображения, отсутствием лучевой нагрузки и получением многоплоскостных срезов, высокой чувствительностью (96,5%) и специфичностью (70,8%) в выявлении опухолевой и воспалительной патологии околоносовых пазух.
- При злокачественных новообразованиях околоносовых пазух МРТ-изображение характеризуется неоднородной структурой и чаще МР-сигналом различной интенсивности, неправильной формой, неровными и прерывистыми контурами, наличием инфильтрации окружающих тканей. При этом сопутствующий опухоли воспалительный экссудат всегда имеет более высокий сигнал интенсивности. Чувствительность МРТ при злокачественных опухолях параназальных синусов составила 91,3%, специфичность - 59,1%. Степень интенсивности МР-сигнала и однородности (или неоднородности) его структуры при воспалительных заболеваниях околоносовых пазух зависит от особенностей течения и фазы воспалительного процесса, при этом чувствительность МРТ составила 98,8%, специфичность - 92,3%.
Список литературы:
1. Араблинский А.В., Сдвижков А.М., Гетман А.Н. и др. Визуализация опухолей слизистой оболочки полости носа, придаточных пазух и верхней челюсти при помощи компьютерной томографии // Мед. визуализация. 2001. №4. С. 50-56.
2. Араблинский А.В., Сдвижков А.М., Гетман А.Н., Солдатов И.В., Панкин Н.В., Умеренков А.Г. Использование КТ и МРТ при злокачественных опухолях верхней челюсти и полости носа. V ежегодная Российская онкологическая конференция. М., 2001.С.145.
3. Габуния Р.И., Колесникова Е.К. Компьютерная томография в клинической диагностике. М.: Медицина, 1995. С. 31-38.
4. Гаркж Г.И., Загоруева Л.Л., Шевченко А.М. и др. Эстезионейробластома полости носа и околоносовых пазух // Вестник оторинол. 1992. № 4. С. 26-27.
5. Дарьялова С.Л., Чиссов В.И. Диагностика и лечение злокачественных опухолей. М.: Медицина, 1993. С. 29-36.
6. Коробкина Е.С. Комплексная лучевая диагностика новообразований придаточных пазух носа и прилежащих анатомических областей: Автореф. дис. . докт. мед. наук. М., 2000. 22с.
7. Морохоев В.И. Ошибки в ранней диагностике злокачественных опухолей решетчатой кости // Вестник оторинол. 1990. № 5. С. 60-64.
8. Ольшанский В.О, Сдвижков А.М., Трофимов Е.И. Лечение злокачественных опухолей верхней челюсти // Современные аспекты онкологии / Под ред. Чиссова В.И., Старинского В.В. М., 1999. С. 27-33.
9. Пачес А.И. Опухоли головы и шеи. М., 2000. С. 479.
10. Плужников М.С., Меркулов В.Г., Зубарева А.А., Яковенко Л.Л. Возможности магнитно-резонансной томографии в дифференциальной диагностике заболеваний околоносовых пазух. Труды юбилейной научно-практич. конференции оториноларингологов Ростовской области, г. Ростов-на-Дону, 1998. С. 156-160.
11. Сдвижков А.М. Хирургические аспекты лечения распространенных злокачественных опухолей носа, околоносовых пазух и верхней челюсти: Автореф. дис. . докт. мед. наук. М., 1997. 32 с.
12. Чиж Г.И., Соловьева М.А. Анализ злокачественных опухолей полости носа и околоносовых пазух Ростовской области за 35 лет (трудности ранней диагностики). Вести, оториноларингологии. 2002.№1. С. 31-33.
13. Штиль А.А. Злокачественные новообразования полости носа и носовых пазух.-СПб:2000.-144с.
14. Ballenger J.J., Snow J.B., Jr. Otorhinolaringology: Head and Neck Surgery. Ed. 15. Baltimore, 1996.
15. Castelijns J.A., Brekel M.V.M. Magnetic resonance imaging evaluation of extracranial head and neck tumors // Magn. Reson. 1993. V. 9. P. 113.
16. Reiner B., Siegel E., Sawyer R. et al. The impact of routine CT of the chest on the diagnosis and management of newly diagnosed squamous cell carcinoma of the head and neck//AJR. 1997. V. 169. P. 667-671.
Copyright © Российское общество клинической онкологии (RUSSCO).
Полное или частичное использование материалов возможно только с разрешения администрации портала.
Рак полости носа и околоносовых пазух
Рак полости носа и околоносовых пазух - злокачественные опухоли, поражающие носовую полость, верхнечелюстные, лобные, решетчатую или клиновидную придаточные пазухи. Проявляется ощущением давления, затруднением носового дыхания, выделениями из носа и носовыми кровотечениями. В ряде случаев отмечаются онемение и ощущение мурашек на коже лица, экзофтальм, лицевые деформации и выпадение зубов. Диагноз рака околоносовых пазух и носовой полости устанавливается с учетом анамнеза, данных внешнего осмотра, риноскопии, рентгенографии, КТ, МРТ и результатов биопсии. Лечение оперативное в сочетании с предоперационной радиотерапией и химиотерапией.
Общие сведения
Рак полости носа и околоносовых пазух - новообразования эпителиального происхождения, локализующиеся в носовой полости и придаточных синусах. Составляют 1,5% от общего количества онкологических заболеваний. Обычно поражают людей старше 40 лет. Мужчины болеют чаще женщин. Рак околоносовых пазух в 75% случаев возникает в зоне верхнечелюстного синуса, в 10-15% - в носовой полости и основной (решетчатой) пазухе, в 1-2% - в зоне клиновидного и лобного синусов. Рак полости носа и придаточных синусов распространяется на близлежащие ткани, включая костные структуры, метастазирует в регионарные лимфоузлы, но очень редко дает отдаленные метастазы. Лечение осуществляют специалисты в сфере онкологии, отоларингологии и челюстно-лицевой хирургии.
Причины
Причина рака полости носа пока не выяснена, но установлены три группы факторов, способствующих развитию данной патологии: профессиональные вредности, хронические воспалительные процессы и вредные привычки. Риск развития рака околоносовых пазух и носовой полости повышается при постоянном контакте с вредными веществами, вдыхаемыми в процессе выполнения профессиональных обязанностей. Наибольшая вероятность возникновения онкологических поражений наблюдается у пациентов, занимающихся деревообработкой, обработкой кожи и производством никеля. Особенно значим контакт с химическими соединениями, используемыми при производстве мебели. По статистике, у краснодеревщиков рак полости носа и придаточных пазух становится причиной гибели в 6,6 раз чаще, чем в среднем по популяции.
Большую роль в развитии рака околоносовых пазух и полости носа играет курение. Некоторые специалисты в числе факторов риска указывают употребление алкоголя. Вероятность развития этой группы заболеваний увеличивается при хроническом рините, риносинусите, гайморите (воспалении надчелюстных пазух), фронтите (воспалении лобных пазух), сфеноидите (воспалении клиновидной пазухи) и этмоидите (воспалении решетчатого лабиринта). Имеет значение национальность пациентов - рак околоносовых пазух и носовой полости чаще выявляется у жителей Китая и Средней Азии.
Классификация
В связи с особенностями локализации выделяют пять видов данной патологии: рак полости носа и четыре типа рака околоносовых пазух: верхнечелюстной, фронтальной, основной и решетчатой. С учетом особенностей гистологического строения различают семь разновидностей опухоли: плоскоклеточный, переходноклеточный, мукоэпидермоидный, аденокистозный и недифференцированный рак, аденокарцинома и прочие виды рака.
При определении прогноза и тактики лечения используют сложную классификацию TNM, в которой отражены особенности каждой стадии рака околоносовых пазух (прорастание тканей, уровень поражения тех или иных близлежащих органов) с учетом локализации. В клинической практике нередко пользуются упрощенной классификацией:
- 1 стадия - рак полости носа и околоносовых пазух не распространяется на костные структуры, регионарные лимфоузлы не задействованы.
- 2 стадия - новообразование распространяется на костные стенки, но не выходит за пределы пазухи, лимфоузлы интактны.
- 3 стадия - рак околоносовых пазух и носовой полости разрушает кость и прорастает в соседние полости, есть метастазы в регионарных лимфоузлах.
- 4 стадия - опухоль прорастает скуловые кости, нижнюю челюсть и кожу лица. Регионарные лимфоузлы теряют подвижность, спаиваются с окружающими тканями с образованием инфильтратов или распадом.
Из-за редкого отдаленного метастазирования в этой классификации не отражен вариант рака околоносовых пазух с гематогенными метастазами.
Симптомы рака полости носа
Симптомы этой группы болезней отличаются большим разнообразием. Картина заболевания определяется локализацией, размером и видом новообразования. На начальных стадиях обычно наблюдается бессимптомное течение или скудные проявления, напоминающие хронический ринит либо синусит. Пациенты с раком околоносовых пазух предъявляют жалобы на боль в зоне придаточных пазух, головную боль, заложенность носа и носовые выделения. Некоторые больные отмечают снижение обоняния. Иногда первым признаком болезни становится увеличение регионарных лимфоузлов.
Остальные проявления обусловлены локализацией рака полости носа и околоносовых пазух и повреждением близлежащих анатомических структур. При опухолях внутренних отделов гайморовой пазухи наблюдаются боль в верхней челюсти, отдающая в ухо либо висок, сильная головная боль, выделения и кровотечения из соответствующей половины носа. При новообразованиях в задненаружном отделе верхнечелюстного синуса возможны затруднения при приеме пищи, вызванные прорастанием рака околоносовой пазухи в жевательные мышцы.
Опухоли передненижнего отдела гайморовой пазухи могут распространяться на верхнюю челюсть и твердое небо, вызывая интенсивную зубную боль, потерю зубов и образование язв на деснах. При прорастании таких новообразований в жевательные мышцы и височно-нижнечелюстной сустав выявляются затруднения при попытке открыть рот. При поражении мягких тканей лица отмечаются лицевые деформации. Отек век, слезотечение, сужение глаза или экзофтальм характерны для рака околоносовой пазухи, локализующегося в верхней части задневнутренней зоны верхнечелюстного синуса. Рак лобных пазух проявляется резко выраженными болями в области лба, отеком век, смещением глаза и деформацией лица.
Диагностика
Диагноз рака околоносовых пазух и полости носа основывается на жалобах, данных анамнеза, результатах осмотра и дополнительных исследований. При сборе анамнеза отоларинголог выясняет наличие вредных привычек, профессиональных вредностей и хронических воспалительных заболеваний. При внешнем осмотре врач обращает внимание на деформации лица, состояние век, наличие одностороннего экзофтальма, возможность свободных движений нижней челюстью и т. д.
Рак полости носа обнаруживаются при проведении риноскопии. Фарингоскопия позволяет выявлять вторичные изменения, обусловленные прорастанием рака околоносовых пазух в ротовую полость и полость носоглотки. Наряду с фарингоскопией осуществляют фиброскопию, в процессе которой специалист изучает поверхность носоглотки и берет с измененного участка образец ткани для гистологического исследования. При расположении опухоли в придаточном синусе врач выполняет пункцию с забором материала.
Всех пациентов с подозрением на рак полости носа и придаточных пазух направляют на обзорную рентгенографию соответствующей области. При возможности проводят рентгенографию с использованием контрастного вещества, КТ и МРТ. При подозрении на прорастание рака околоносовых пазух в полость черепа назначают рентгенографию черепа. В некоторых случаях осуществляют диагностическую гайморотомию. Для выявления гематогенных метастазов выполняют рентгенографию грудной клетки и УЗИ брюшной полости.
Лечение
Лечебная тактика при раке околоносовых пазух и носовой полости определяется индивидуально с учетом локализации, размера, гистологического типа и распространенности новообразования. Как правило, используют комбинированную терапию, включающую в себя хирургическое вмешательство, химиотерапию и радиотерапию. В предоперационном периоде пациентам с раком полости носа и околоносовых синусов назначают дистанционную телегамматерапию и химиотерапию. Операцию проводят через 3 недели после окончания химио- и радиотерапии.
Объем хирургического вмешательства зависит от вовлечения различных органов и анатомических структур. В ряде случаев при раке околоносовых пазух приходится выполнять экзентерацию глазницы, удаление верхней челюсти и другие травматичные операции. При прорастании новообразования в полость черепа к участию в оперативном лечении привлекают нейрохирурга. В послеоперационном периоде назначают антибиотики и сосудосуживающие средства, проводят радио- и химиотерапию. При серьезных косметических дефектах осуществляют пластические операции в отдаленном периоде. При распространенном и рецидивирующем раке полости носа и синусов лечение консервативное.
Прогноз
Прогноз при раке околоносовых пазух и носовой полости в первую очередь зависит от стадии заболевания. На 1-2 стадии средняя пятилетняя выживаемость после хирургического удаления новообразования составляет 75%. Применение комбинированной терапии позволяет повысить этот показатель до 83-84%. На 3-4 стадиях выживаемость резко снижается. При метастазах в регионарных лимфатических узлах до 5 лет с момента постановки диагноза удается дожить всего 37% пациентов, получавших комбинированную терапию. При использовании только лучевой терапии или только оперативного вмешательства пятилетняя выживаемость на этой стадии по различным данным колеблется от 18 до 35%. Трехлетняя выживаемость на 4 стадии составляет чуть более 30%.
МРТ или КТ пазух носа - что лучше выбрать?
Если перед вам стоит вопрос, что лучше сделать, МРТ или КТ носа, то нужно в деталях разобраться, в чем основная разница между этими видами томографии. Для начала нужно понимать, что как при КТ пазух носа, так и при МРТ носа врач получит трехмерное изображение, но на магнитно-резонансном томографе изображения получаются за счет воздействия магнитных волн, а при компьютерной томографии на ткани идет воздействие рентгеновских лучей - то есть, облучение, причем гораздо более сильное, чем при обычном рентгене (до 10 мЗв). Однако, одно-два КТ обследования в год особого вреда здоровью человеку не принесут. МР исследование пазух носа обычно назначают при диагностике мягких тканей самих пазух и при поиске каких-то опухолей, а вот КТ лучше показывает костные ткани, особенно носовую и лицевую кость.
Если перед вам стоит вопрос, что лучше сделать, МРТ или КТ носа, то нужно в деталях разобраться, в чем основная разница между этими видами томографии. Для начала нужно понимать, что как при КТ пазух носа, так и при МРТ носа врач получит трехмерное изображение, но на магнитно-резонансном томографе изображения получаются за счет воздействия магнитных волн, а при компьютерной томографии на ткани идет воздействие рентгеновских лучей - то есть, облучение, причем гораздо более сильное, чем при обычном рентгене (до 17мЗв). Однако, одно-два КТ обследования в год особого вреда здоровью человеку не принесут. МР исследование пазух носа обычно назначают при диагностике мягких тканей самих пазух и при поиске каких-то опухолей, а вот КТ лучше показывает костные ткани, особенно носовую и лицевую кость.
Виды диагностики носовых пазух
Для диагностики состояния носа в современной медицине активно применяется
- рентгенография
- компьютерной томографии (КТ)
- магнитно-резонансной томографии (МРТ).
Классическое рентгенологическое исследование используется преимущественно для оценки лицевого скелета и придаточных пазух носа. Компьютерная томография (КТ) носа позволяет получить четкое изображение костных тканей и мягкотканных образований. Это дает возможность судить о состоянии жевательных мышц, расположенных в области крылонебной и подвисочной ямок, мышц глаза, зрительного нерва. Магнитно-резонансная томография (МРТ) носовых пазух имеет более высокое контрастное разрешение при исследовании мягкотканных образований, может быть выполнена в любой плоскости без перемены положения пациента. Она не связана с ионизирующим излучением, а магнитные поля используемой в МРТ напряженности не оказывают вредного воздействия на организм.
Отличия КТ пазух носа
КТ носа позволяет оценить носовую кость и хрящи в трех проекциях - коронарной, аксиальной и сагиттальной. Врач можно выполнить трехмерную реконструкцию костей лицевого скелета для того, чтобы понять, если у больного переломы, травмы, врожденные аномалии носовой перегородки, костные наросты и деформации. Основным показанием для применения данного вида томографии будут любые костные повреждения носа.
Особое преимущество компьютерной томографии - это ее скорость. Процедура происходит буквально в течение 5-7 минут и не требуют специальной подготовки. К диагностическим недостатком КТ относится ее неспособность визуализировать содержимое околоносовых пазух. Для этого требуется применение МРТ носа.
Отличия МРТ околоносовых пазух
МРТ или магнитно-резонансная томография изначально называлась ядерно-магнитно-резонансная томография. Все, что связывает МР томографию со словом ядерный, это то, что волны магнита томографа воздействует на ядра атомов водорода в организме, возбуждая молекулы и выстраивая их таким образом, чтобы компьютер мог получить сигналы и транслировать их в объемные изображения того, что находится внутри человека.
Поскольку в основе физики МРТ лежит магнитное поле, а не рентген лучи, в ходе такой диагностики нет никакого рентгеновского облучения, и нет каких-то ограничений по количеству магнитно-резонансных исследований в год. Если врач назначил вам сделать МРТ головного мозга и МРТ околоносовых пазух за один раз, этого не нужно бояться. МР сканирование не причинит никакого вреда вашему здоровью.
Если КТ носовых пазух хорошо показывает кости, то МРТ лучше визуализирует лобные, клиновидные, верхнечелюстные пазухи, решетчатый лабиринт, слизистую оболочку. С помощью МР диагностики врачи могут увидеть признаки таких заболеваний, как:
- , гайморит
- полип
- склерома
- киста, опухоль.
Противопоказания КТ и МРТ носовых пазух
У КТ практически нет противопоказаний - только беременность и ранний возраст ребенка (до 5 лет). Прямым противопоказанием к МР томографии является наличие кардиостимуляторов и металлических имплантов в теле. Можно проводить исследования с ними, но только в случае, если они созданы из немагнитных материалов, например, титан или специальный медицинский пластик. Информация о совместимости импланта с МРТ всегда будет указана в паспорте данного изделия или в выписке после операции. С брекетами МРТ исследование пазух носа делать можно точно также, как и с зубными имплантами, но возможный засвет от металла будет мешать получению качественного изображения.
| МРТ пазух носа | КТ носа |
![]() |
КТ или МРТ пазух носа - что лучше?
КТ или МРТ пазух носа - что лучше выбрать, зависит от нескольких факторов:
- целей обследования
- изначального диагноза
- состояния здоровья пациента.
Если основная цель диагностики - посмотреть костные структуры носа, то следует выбирать КТ носовых пазух. Однако, при подозрениях на новообразования в околоносовых пазухах и воспалительный процесс более информативной будем МРТ пазух носа. Для уточнения местной распространенности злокачественной опухоли в полость верхнечелюстной пазухи, на орбиты и полость носа, возможно применение как КТ так и МРТ. Четко судить о поражении костных структур - твердого неба и альвеолярного отростка верхней челюсти возможно только по данным КТ. Выявление опухолевых масс на фоне мягкотканных структур -крылонёбной и подвисочной ямок, жевательных мышц и мягких тканей щеки, а также распространении опухолевых масс на лобную и основную пазухи решетчатый лабиринт и интракраниально, требует выполнения МРТ. В дифференциальной диагностике послеоперационных или постлучевых изменений с рецидивом или продолженным ростом опухоли необходимо проведение МРТ. Чувствительность МРТ пазух носа (98%) выше, нежели КТ пазух носа (76%) в дифференциальной диагностике. С точки зрения безопасности, если у пациента в теле есть металл, и он не совместим с МР томографом, лучше сделать компьютерную томографию, а вот беременным женщинам и маленьким детям следует по возможности выбирать только МР диагностику, чтобы избежать риска облучения и возникновения рака у ребенка.
Что покажет МРТ пазух носа
МРТ пазух носа в медицинских центрах СПб проводят на базе магнитно-резонансной томографии головного мозга. МРТ носовых пазух считается высокоинформативным, совершенно безболезненным, неинвазивным способом обследования пазух в области лица. В процессе диагностики человек
МРТ пазух носа в медицинских центрах СПб проводят на базе магнитно-резонансной томографии головного мозга. МРТ носовых пазух считается высокоинформативным, совершенно безболезненным, неинвазивным способом обследования пазух в области лица. В процессе диагностики человек не подвергается радиоактивному или ионизирующему излучению. МРТ обследование околоносовых пазух назначают либо как отдельное исследование, либо в комбинации с МРТ головного мозга. Томография может быть первоначальным способом диагностики, либо проводиться в целях уточнения диагноза после рентгена или КТ носа.
Когда нужно сделать томографию пазух носа
Многие люди живут с постоянной заложенностью носа, капая при этом сосудосуживающие капли. Только спасают они всего на несколько часов. Иногда причиной непроходящего насморка является гайморит или наличие полипа в пазухе. Точно поставить диагноз в таких случаях поможет именно магнитно-резонансная томография носовых пазух. В ходе МРТ врач оценивает состояние лобных пазух, решетчатого лабиринта, клиновидной и верхнечелюстных пазух, носовой перегородки, носовых раковин и части носоглотки. Также данное исследование может быть назначено совместно с МРТ головного мозга при жалобах на постоянные головные боли, локализованные во фронтальной части головы в районе лобных пазух. МРТ носоглотки (МРТ пазух носа и МРТ мягких тканей шеи) также помогает определить причины патологий, проявляющихся одновременным дискомфортом при глотании, шумами в ушах и заложенным носом.
| Наименование исследования (что входит) | Минимальная цена по СПб | Скидки |
|---|---|---|
| МРТ головного мозга (серое и белое вещество мозга, желудочки, мозговые оболочки) | от 2770 руб. | Акции Ночью |
| МРТ головного мозга с контрастом | от 6000 руб. | Акции Ночью |
| МРТ сосудов головного мозга (артерии головного мозга) | от 2770 руб. | Акции Ночью |
| МРТ головного мозга и сосудов головного мозга | от 5500 руб. | Акции Ночью |
| МРТ гипофиза и зоны турецкого седла | от 3500 руб. | Акции Ночью |
| МРТ гипофиза с контрастом | от 6000 руб. | Акции Ночью |
| МРТ орбит глаза и зрительного нерва (глазные нервы, глазные орбиты, сетчатка глаза, слезные каналы) | от 3500 руб. | Акции Ночью |
| МРТ пазух носа (решётчатый лабиринт, лобные пазухи, гайморовые пазухи, клиновидные пазухи) | от 35000 руб. | Акции Ночью |
| МРТ уха и слуховых нервов | от 3500 руб. | Акции Ночью |
| МРТ черепных нервов | от 4500 руб. | Акции Ночью |
Что такое МРТ носовых пазух?
Чаще всего в медицинских центрах СПб МРТ околоносовых пазух назначается отоларингологом в целях выявления воспалительных или опухолевых процессов пазуховых областей. Иногда направление на томографию носа может дать пластический хирург для подготовки плана операции по ринопластике или оценки результатов операции. Этот метод позволяет увидеть патологические процессы даже в глубоких тканях и носовых пазухах, чего не может сделать рентгенография или КТ носа, которые хорошо показывают только кости и носовую перегородку.
Что видно на МРТ околоносовых пазух
В рамках магнитно-резонансной томографии носа врач стремится детально визуализировать и проанализировать следующие аспекты анатомии пазух носа и соседних структур:
- Лобные пазухи у пациента развиты правильно, свободны и хорошо пневматизированы. Они должны иметь ровные и четкие контуры.
- Стенки ячеек решетчатого лабиринта без признаков деструктивных изменений.
- Клиновидная и верхнечелюстные пазухи носа анатомически не деформированы. Их стенки без признаков деструктивных изменений. Скопления жидкости и утолщения слизистой не отмечается.
- Носовая перегородка расположена обычно и не деформирована.
- Носовые раковины не изменены, их слизистая не утолщена.
- Полость носа, носоглотка и окружающие структуры без патологических особенностей.
Как подготовиться к томографии придаточных пазух носа
Чтобы правильно подготовиться к МРТ пазух носа, необходимо выполнить несложные рекомендации специалиста:
- снять металлические украшения и одежду с подобными элементами;
- отказаться от пищи за несколько часов до обследования в случае проведения МРТ пазух носа и головного мозга с контрастом;
- предупредить оператора МРТ о наличии любых имплантов в теле, особенно о кардиостимуляторах, слуховых аппаратах, инсулиновых помпах;
- сообщить, если есть во рту зубные протезы, коронки, брекеты или татуировки (татуаж) на теле.
Также детям и нервозным пациентам следует быть готовыми к наличию звука, который будет издавать томограф. Его не следует пугаться, необходимо просто лежать и не двигаться в момент обследования.
Как делают томографию пазух носа
МРТ придаточных пазух носа проводят в специальной диагностической комнате, где установлен магнитно-резонансный томограф. Пациента просят лечь на стол, который заезжает внутрь аппарата. На голову пациенту надевают усилительную катушку в виде шлема. При наличии боязни замкнутого пространства врачи могут порекомендовать применение седативных средств до начала процедуры. Само сканирование занимает всего 15-20 минут. Человеку ничего не нужно делать, просто тихо лежать и не двигать головой.
Чтобы сделать качественную МРТ, пациенту нужно обратить внимание на несколько аспектов при записи на МРТ:
Спросить какой установлен шаг сканирования. На открытом аппарате он не должен быть более 3,5 мм. На закрытом томографе он не должен превышать 3,5 мм. Шаг исследования всегда можно проверить на МРТ снимках или в заключении врача в графе описания параметров обследования. Если он не совпадает с заявленным, требуйте повторной бесплатной диагностики.
Уточнить опыт и квалификацию врача-рентгенолога, который будет описывать Ваши снимки. От его знаний во многом зависит точность интерпретации полученных изображений. Помните, МРТ аппарат никогда не ошибается, ошибаются люди, которые работают с его данными.
Всегда требуйте запись МРТ исследования не на пленку, а на электронный носитель (диск или флешку). Порой для пациента изображения на рентгенологической пленке кажутся более наглядными, но их информационная ценность в разы ниже, чем у электронных сканов, которые врач может модифицировать любим образом при валидации и постановке диагноза.
Если обследование делают с целью выявления опухолевого образования, его нужно проводить с контрастом, поскольку на нативных изображениях не всегда видны мелкие образования, и не возможно судить в полной мере о злокачественности или доброкачественности опухоли.
Противопоказания
Сделать диагностику МРТ носовых пазух можно при отсутствии у пациента в теле следующих устройств:
Читайте также:

