КТ, МРТ при мукоцеле пазух носа
Добавил пользователь Евгений Кузнецов Обновлено: 21.01.2026
МРТ пазух носа в медицинских центрах СПб проводят на базе магнитно-резонансной томографии головного мозга. МРТ носовых пазух считается высокоинформативным, совершенно безболезненным, неинвазивным способом обследования пазух в области лица. В процессе диагностики человек
МРТ пазух носа в медицинских центрах СПб проводят на базе магнитно-резонансной томографии головного мозга. МРТ носовых пазух считается высокоинформативным, совершенно безболезненным, неинвазивным способом обследования пазух в области лица. В процессе диагностики человек не подвергается радиоактивному или ионизирующему излучению. МРТ обследование околоносовых пазух назначают либо как отдельное исследование, либо в комбинации с МРТ головного мозга. Томография может быть первоначальным способом диагностики, либо проводиться в целях уточнения диагноза после рентгена или КТ носа.
Когда нужно сделать томографию пазух носа
Многие люди живут с постоянной заложенностью носа, капая при этом сосудосуживающие капли. Только спасают они всего на несколько часов. Иногда причиной непроходящего насморка является гайморит или наличие полипа в пазухе. Точно поставить диагноз в таких случаях поможет именно магнитно-резонансная томография носовых пазух. В ходе МРТ врач оценивает состояние лобных пазух, решетчатого лабиринта, клиновидной и верхнечелюстных пазух, носовой перегородки, носовых раковин и части носоглотки. Также данное исследование может быть назначено совместно с МРТ головного мозга при жалобах на постоянные головные боли, локализованные во фронтальной части головы в районе лобных пазух. МРТ носоглотки (МРТ пазух носа и МРТ мягких тканей шеи) также помогает определить причины патологий, проявляющихся одновременным дискомфортом при глотании, шумами в ушах и заложенным носом.
| Наименование исследования (что входит) | Минимальная цена по СПб | Скидки |
|---|---|---|
| МРТ головного мозга (серое и белое вещество мозга, желудочки, мозговые оболочки) | от 2770 руб. | Акции Ночью |
| МРТ головного мозга с контрастом | от 6000 руб. | Акции Ночью |
| МРТ сосудов головного мозга (артерии головного мозга) | от 2770 руб. | Акции Ночью |
| МРТ головного мозга и сосудов головного мозга | от 5500 руб. | Акции Ночью |
| МРТ гипофиза и зоны турецкого седла | от 3500 руб. | Акции Ночью |
| МРТ гипофиза с контрастом | от 6000 руб. | Акции Ночью |
| МРТ орбит глаза и зрительного нерва (глазные нервы, глазные орбиты, сетчатка глаза, слезные каналы) | от 3500 руб. | Акции Ночью |
| МРТ пазух носа (решётчатый лабиринт, лобные пазухи, гайморовые пазухи, клиновидные пазухи) | от 35000 руб. | Акции Ночью |
| МРТ уха и слуховых нервов | от 3500 руб. | Акции Ночью |
| МРТ черепных нервов | от 4500 руб. | Акции Ночью |
Что такое МРТ носовых пазух?
Чаще всего в медицинских центрах СПб МРТ околоносовых пазух назначается отоларингологом в целях выявления воспалительных или опухолевых процессов пазуховых областей. Иногда направление на томографию носа может дать пластический хирург для подготовки плана операции по ринопластике или оценки результатов операции. Этот метод позволяет увидеть патологические процессы даже в глубоких тканях и носовых пазухах, чего не может сделать рентгенография или КТ носа, которые хорошо показывают только кости и носовую перегородку.
Что видно на МРТ околоносовых пазух
В рамках магнитно-резонансной томографии носа врач стремится детально визуализировать и проанализировать следующие аспекты анатомии пазух носа и соседних структур:
- Лобные пазухи у пациента развиты правильно, свободны и хорошо пневматизированы. Они должны иметь ровные и четкие контуры.
- Стенки ячеек решетчатого лабиринта без признаков деструктивных изменений.
- Клиновидная и верхнечелюстные пазухи носа анатомически не деформированы. Их стенки без признаков деструктивных изменений. Скопления жидкости и утолщения слизистой не отмечается.
- Носовая перегородка расположена обычно и не деформирована.
- Носовые раковины не изменены, их слизистая не утолщена.
- Полость носа, носоглотка и окружающие структуры без патологических особенностей.
Как подготовиться к томографии придаточных пазух носа
Чтобы правильно подготовиться к МРТ пазух носа, необходимо выполнить несложные рекомендации специалиста:
- снять металлические украшения и одежду с подобными элементами;
- отказаться от пищи за несколько часов до обследования в случае проведения МРТ пазух носа и головного мозга с контрастом;
- предупредить оператора МРТ о наличии любых имплантов в теле, особенно о кардиостимуляторах, слуховых аппаратах, инсулиновых помпах;
- сообщить, если есть во рту зубные протезы, коронки, брекеты или татуировки (татуаж) на теле.
Также детям и нервозным пациентам следует быть готовыми к наличию звука, который будет издавать томограф. Его не следует пугаться, необходимо просто лежать и не двигаться в момент обследования.
Как делают томографию пазух носа
МРТ придаточных пазух носа проводят в специальной диагностической комнате, где установлен магнитно-резонансный томограф. Пациента просят лечь на стол, который заезжает внутрь аппарата. На голову пациенту надевают усилительную катушку в виде шлема. При наличии боязни замкнутого пространства врачи могут порекомендовать применение седативных средств до начала процедуры. Само сканирование занимает всего 15-20 минут. Человеку ничего не нужно делать, просто тихо лежать и не двигать головой.
Чтобы сделать качественную МРТ, пациенту нужно обратить внимание на несколько аспектов при записи на МРТ:
Спросить какой установлен шаг сканирования. На открытом аппарате он не должен быть более 3,5 мм. На закрытом томографе он не должен превышать 3,5 мм. Шаг исследования всегда можно проверить на МРТ снимках или в заключении врача в графе описания параметров обследования. Если он не совпадает с заявленным, требуйте повторной бесплатной диагностики.
Уточнить опыт и квалификацию врача-рентгенолога, который будет описывать Ваши снимки. От его знаний во многом зависит точность интерпретации полученных изображений. Помните, МРТ аппарат никогда не ошибается, ошибаются люди, которые работают с его данными.
Всегда требуйте запись МРТ исследования не на пленку, а на электронный носитель (диск или флешку). Порой для пациента изображения на рентгенологической пленке кажутся более наглядными, но их информационная ценность в разы ниже, чем у электронных сканов, которые врач может модифицировать любим образом при валидации и постановке диагноза.
Если обследование делают с целью выявления опухолевого образования, его нужно проводить с контрастом, поскольку на нативных изображениях не всегда видны мелкие образования, и не возможно судить в полной мере о злокачественности или доброкачественности опухоли.
Противопоказания
Сделать диагностику МРТ носовых пазух можно при отсутствии у пациента в теле следующих устройств:
Мукоцеле
Мукоцеле - доброкачественное, экспансивное кистоподобное образование, заполненное слизью и выстланное респираторным эпителием параназальных синусов.
Этиология: мукоцеле обычно является осложнением длительным обструкции придаточных пазух носа.
Патогенез:
Полагают, что мукоцеле может вызывать обструкцию отверстия, сообщающего пазуху с полостью носа, что приводит к аккумуляции жидкости. Постепенно, продуцируя слизь, мукоцеле увеличивается в размерах и деформирует окружающую кость. Наиболее частыми причинами возникновения мукоцеле являются хронические инфекции, аллергические заболевания, травма и предыдущие хирургические вмешательства, а причины же некоторых остаются неизвестными.
Эпидимиология: чаще всего поражает лобную пазуху. В верхнечелюстных пазухах и ячейках решетчатого лабиринта локализуется примерно треть всех мукоцеле. Клиновидная пазуха поражается редко.
Клиническая картина: так как мукоцеле — неиифекционное поражение, его клиническая симптоматика в основном обусловлена масс-эффектом.
Данные методов визуализации
КТ
Потеря воздушности и увеличение объема пазухи с истончением ее стенок.
Могут быть эрозии костных стенок пазухи.
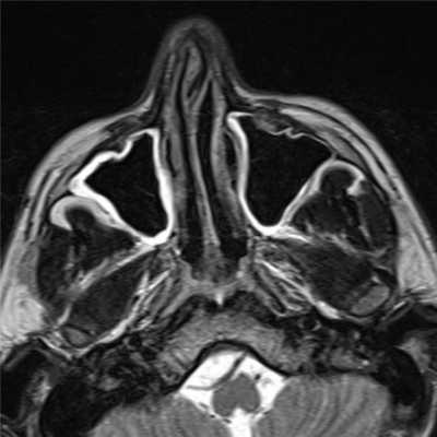
MPT
• В большинстве случаев мукоцеле дает гипоинтенсивный сигнал на Т1 и гиперинтенсивный на Т2в-изображениях.
В ряде случаев пазуха выглядит расширенной, но с сохраненной воздушностью, она гипоинтенсивна как на Т1, так и на Т2.
Лечение: хирургическое дренирование.
Прогноз: благоприятный при ранней диагностике к своевременном лечении.
Дифференциальный диагноз:
Дифференциальная диагностика представляет определенные трудности. При отсутствии эрозии кости мукоцеле отличают от ретенционных кист, синуситов и полипозов параназальных синусов. В случае, когда поражение кости обширное, следует дифференцировать его от злокачественных состояний: спиноцеллюлярная карцинома, цистоаденокарцинома, плазмацитома, меланокарцинома, шваннома и опухоли одонтогенного происхождения.
Источник:
Radiopaedia
1. Moritani T, Ekholm S, Westesson P. Diffusion-Weighted MR Imaging of the Brain. Springer Verlag. (2009) ISBN:3540787844. Read it at Google Books — Find it at Amazon
2. Mafee MF, Valvassori GE, Becker M. Imaging of the head and neck. George Thieme Verlag. (2004) ISBN:1588900096. Read it at Google Books — Find it at Amazon
3. Van tassel P, Lee YY, Jing BS et-al. Mucoceles of the paranasal sinuses: MR imaging with CT correlation. AJR Am J Roentgenol. 1989;153 (2): 407-12. AJR Am J Roentgenol (abstract) — Pubmed citation
4. Guttenplan MD, Wetmore RF. Paranasal sinus mucocele in cystic fibrosis. Clin Pediatr (Phila). 1989;28 (9): 429-30. — Pubmed citation
Fidevs Akpek, исследователь, кафедра челюстно-лицевой хирургии, стоматологический факультет, Abant Izzet Baysal University, Bolu, Турция
Ismail Akkas, ассистент-профессор, кафедра челюстно-лицевой хирургии, стоматологический факультет, Abant Izzet Baysal University, Bolu, Турция
Orcum TOPTAS, ассистент-профессор, кафедра челюстно-лицевой хирургии, стоматологический факультет, Abant Izzet Baysal University, Bolu, Турция
Fatih Ozan, адъюнкт-профессор, кафедра челюстно-лицевой хирургии, стоматологический факультет, Abant Izzet Baysal University, Bolu, Турция
Мукоцеле - полное снижение воздушности одного или более околоносовых синусов за счет скопления в них слизи, часто сочетающееся с экспансией кости в результате нарушения дренирования синуса.
Клиническая картина
Клиническая картина зависит от двух факторов
- локализации и направления экспансии
- наличия присоединенной инфекции
Мукоцеле нарушает локальную анатомию и по мере увеличения оказывает давление на прилежащие структуры, например:
- мукоцеле лобной пазухи распространяется в переднюю часть орбиты в виде образования
- мукоцеле заднего решетчатого лабиринта сдавливает вершину орбиты
- мукоцеле основной пазухи распространяется кзади в сторону гипофиза и ствола мозга
- мукоцеле верхнечелюстной пазухи может поднимать нижнюю стенку орбиты вызывая птоз
при присоединении инфекции, клиническая картина схожа с острым синуситом, с потенциальным распространением инфекции в прилежащие пространства:
- интракраниально: субдуральная эмпиема, менингит, абсцесс головного мозга
- орбита: субпериостальный абсцесс
- подкожно
Патология
Более вероятно, мукоцеле является результатом обструкции устья синуса за счет воспаления, травмы, объемного поражения и т д, с последующим скоплением слизи и, в конечном итоге, экспансии синуса. Некоторые авторы (меньшинство) считают что мукоцеле представляет собой слизистую ретенционную кисту, которая постепенно увеличивается в конечном итоге занимая весь синус [3]. Хронический неинвазивный грибковый синусит так же встречается в виде этиогенного фактора мукоцеле 4. С точки зрения радиолога, не имеет значения какая из этих теорий является верной. Содержимое мукоцеле вариабельно, а его состав влияет на картину при визуализации.
Локализация
До 2/3 мукоцеле формируется в лобных синусах, на втором месте идет решетчатый лабиринт, верхнечелюстные и основная пазухи поражаются редко [3].
Сочетанная патология
Диагностика
Рентгенография
Рентгенография черепа не играет значимой роли в диагностике мукоцеле и позволяет выявить только затемнение пораженного синуса.
Компьютерная томография
Пораженный синус безвоздушен, а стенки истончены и раздвинуты. Могут визуализироваться зоны полной резорбции костных стенок, формирую костные дефекты и позволяя “образованию” пролабировать в прилежащие ткани 3. Иногда встречаются кальцинаты по периферии [3]. После введения контрастного вещества иногда отмечается его накопление по периферии. Содержимое синуса вариабельно в зависимости от содержания воды, варьируя по плотности от жидкостного содержимого до гиперденсивного [4].
Магнитно-резонансная томография
Интенсивность МР сигнала зависит от соотношения количества воды, слизи и белков 2:
- T1
- высокое содержание воды: низкая интенсивность сигнала (чаще всего)
- высокое содержание белков: высокая интенсивность сигнала
- высокое содержание воды: высокая интенсивность сигнала (чаще всего)
- высокое содержание белков: низкая интенсивность сигнала
NB: присоединение грибковой инфекции ведет к снижению сигнала на T1 и T2 взвешенных изображениях, симулируя нормально аэрированные синусы [4].
МРТ или КТ пазух носа - что лучше выбрать?
Если перед вам стоит вопрос, что лучше сделать, МРТ или КТ носа, то нужно в деталях разобраться, в чем основная разница между этими видами томографии. Для начала нужно понимать, что как при КТ пазух носа, так и при МРТ носа врач получит трехмерное изображение, но на магнитно-резонансном томографе изображения получаются за счет воздействия магнитных волн, а при компьютерной томографии на ткани идет воздействие рентгеновских лучей - то есть, облучение, причем гораздо более сильное, чем при обычном рентгене (до 10 мЗв). Однако, одно-два КТ обследования в год особого вреда здоровью человеку не принесут. МР исследование пазух носа обычно назначают при диагностике мягких тканей самих пазух и при поиске каких-то опухолей, а вот КТ лучше показывает костные ткани, особенно носовую и лицевую кость.
Если перед вам стоит вопрос, что лучше сделать, МРТ или КТ носа, то нужно в деталях разобраться, в чем основная разница между этими видами томографии. Для начала нужно понимать, что как при КТ пазух носа, так и при МРТ носа врач получит трехмерное изображение, но на магнитно-резонансном томографе изображения получаются за счет воздействия магнитных волн, а при компьютерной томографии на ткани идет воздействие рентгеновских лучей - то есть, облучение, причем гораздо более сильное, чем при обычном рентгене (до 17мЗв). Однако, одно-два КТ обследования в год особого вреда здоровью человеку не принесут. МР исследование пазух носа обычно назначают при диагностике мягких тканей самих пазух и при поиске каких-то опухолей, а вот КТ лучше показывает костные ткани, особенно носовую и лицевую кость.
Виды диагностики носовых пазух
Для диагностики состояния носа в современной медицине активно применяется
- рентгенография
- компьютерной томографии (КТ)
- магнитно-резонансной томографии (МРТ).
Классическое рентгенологическое исследование используется преимущественно для оценки лицевого скелета и придаточных пазух носа. Компьютерная томография (КТ) носа позволяет получить четкое изображение костных тканей и мягкотканных образований. Это дает возможность судить о состоянии жевательных мышц, расположенных в области крылонебной и подвисочной ямок, мышц глаза, зрительного нерва. Магнитно-резонансная томография (МРТ) носовых пазух имеет более высокое контрастное разрешение при исследовании мягкотканных образований, может быть выполнена в любой плоскости без перемены положения пациента. Она не связана с ионизирующим излучением, а магнитные поля используемой в МРТ напряженности не оказывают вредного воздействия на организм.
Отличия КТ пазух носа
КТ носа позволяет оценить носовую кость и хрящи в трех проекциях - коронарной, аксиальной и сагиттальной. Врач можно выполнить трехмерную реконструкцию костей лицевого скелета для того, чтобы понять, если у больного переломы, травмы, врожденные аномалии носовой перегородки, костные наросты и деформации. Основным показанием для применения данного вида томографии будут любые костные повреждения носа.
Особое преимущество компьютерной томографии - это ее скорость. Процедура происходит буквально в течение 5-7 минут и не требуют специальной подготовки. К диагностическим недостатком КТ относится ее неспособность визуализировать содержимое околоносовых пазух. Для этого требуется применение МРТ носа.
Отличия МРТ околоносовых пазух
МРТ или магнитно-резонансная томография изначально называлась ядерно-магнитно-резонансная томография. Все, что связывает МР томографию со словом ядерный, это то, что волны магнита томографа воздействует на ядра атомов водорода в организме, возбуждая молекулы и выстраивая их таким образом, чтобы компьютер мог получить сигналы и транслировать их в объемные изображения того, что находится внутри человека.
Поскольку в основе физики МРТ лежит магнитное поле, а не рентген лучи, в ходе такой диагностики нет никакого рентгеновского облучения, и нет каких-то ограничений по количеству магнитно-резонансных исследований в год. Если врач назначил вам сделать МРТ головного мозга и МРТ околоносовых пазух за один раз, этого не нужно бояться. МР сканирование не причинит никакого вреда вашему здоровью.
Если КТ носовых пазух хорошо показывает кости, то МРТ лучше визуализирует лобные, клиновидные, верхнечелюстные пазухи, решетчатый лабиринт, слизистую оболочку. С помощью МР диагностики врачи могут увидеть признаки таких заболеваний, как:
- , гайморит
- полип
- склерома
- киста, опухоль.
Противопоказания КТ и МРТ носовых пазух
У КТ практически нет противопоказаний - только беременность и ранний возраст ребенка (до 5 лет). Прямым противопоказанием к МР томографии является наличие кардиостимуляторов и металлических имплантов в теле. Можно проводить исследования с ними, но только в случае, если они созданы из немагнитных материалов, например, титан или специальный медицинский пластик. Информация о совместимости импланта с МРТ всегда будет указана в паспорте данного изделия или в выписке после операции. С брекетами МРТ исследование пазух носа делать можно точно также, как и с зубными имплантами, но возможный засвет от металла будет мешать получению качественного изображения.
| МРТ пазух носа | КТ носа |
![]() |
КТ или МРТ пазух носа - что лучше?
КТ или МРТ пазух носа - что лучше выбрать, зависит от нескольких факторов:
- целей обследования
- изначального диагноза
- состояния здоровья пациента.
Если основная цель диагностики - посмотреть костные структуры носа, то следует выбирать КТ носовых пазух. Однако, при подозрениях на новообразования в околоносовых пазухах и воспалительный процесс более информативной будем МРТ пазух носа. Для уточнения местной распространенности злокачественной опухоли в полость верхнечелюстной пазухи, на орбиты и полость носа, возможно применение как КТ так и МРТ. Четко судить о поражении костных структур - твердого неба и альвеолярного отростка верхней челюсти возможно только по данным КТ. Выявление опухолевых масс на фоне мягкотканных структур -крылонёбной и подвисочной ямок, жевательных мышц и мягких тканей щеки, а также распространении опухолевых масс на лобную и основную пазухи решетчатый лабиринт и интракраниально, требует выполнения МРТ. В дифференциальной диагностике послеоперационных или постлучевых изменений с рецидивом или продолженным ростом опухоли необходимо проведение МРТ. Чувствительность МРТ пазух носа (98%) выше, нежели КТ пазух носа (76%) в дифференциальной диагностике. С точки зрения безопасности, если у пациента в теле есть металл, и он не совместим с МР томографом, лучше сделать компьютерную томографию, а вот беременным женщинам и маленьким детям следует по возможности выбирать только МР диагностику, чтобы избежать риска облучения и возникновения рака у ребенка.
Мукоцеле лобной пазухи
Мукоцеле (пиоцеле) лобной пазухи — кистообразное расширение лобной пазухи, возникшее в результате ее растяжения скопившейся серозной жидкостью (мукоцеле) или гноем (пиоцеле). Мукоцеле лобной пазухи сопровождается постепенно усиливающимися болями в области лба, над глазницей и вокруг глаза; появлением выпячивания во внутреннем углу глаза; экзофтальмом и смещением глазного яблока книзу; нарушением остроты зрения и цветовосприятия; слезотечением и диплопией. В целях диагностики мукоцеле лобной пазухи применяют риноскопию, рентгенографию, УЗИ, КТ, МРТ и диафаноскопию, диагностическую пункцию и зондирование лобной пазухи. Все пациенты с мукоцеле лобной пазухи подлежат хирургическому лечению.
Общие сведения
Лобная пазуха располагается в медиальной части лобной кости позади надбровных дуг. Ее нижняя стенка одновременно является верхней стенкой глазницы, задняя стенка отделяет лобную пазуху от головного мозга. Правая и левая лобные пазухи расположены рядом и отделены друг от друга тонкой перегородкой. Посредством лобно-носового канала лобная пазуха соединена со средним носовым ходом полости носа. Внутри лобная пазуха выстлана слизистой оболочкой, клетки которой продуцируют специальную жидкость. Отток этой жидкости осуществляется через лобно-носовой канал. Нарушение оттока приводит к скоплению жидкости в полости пазухи и образованию мукоцеле лобной пазухи. При нагноении скопившегося секрета говорят о пиоцеле.
Мукоцеле лобной пазухи чаще всего наблюдается в школьном возрасте. В связи с тем, что формирование лобных пазух начинается после рождения ребенка и заканчивается в возрасте 6-7 лет, у детей дошкольного возраста мукоцеле лобной пазухи не возникает. Медленный рост мукоцеле лобной пазухи приводит к тому, что первые клинические симптомы заболевания могут появляться спустя несколько лет от начала патологических изменений в лобной пазухе. В отоларингологии известен случай, когда мукоцеле лобной пазухи было диагностировано у взрослого пациента спустя 15 лет после спровоцировавшей его развитие травмы носа.
Причины
Развитие мукоцеле лобной пазухи связано с полной обтурацией или частичным нарушением проходимости лобно-носового канала. Привести к появлению мукоцеле лобной пазухи могут искривления носовой перегородки, инородные тела носа, экзостозы и опухоли, травмы носа, в результате которых развивается периостит. Перекрывать лобно-носовой канал могут спайки и рубцы, образующиеся в вследствие синусита лобной пазухи.
Инфицирование жидкости мукоцеле лобной пазухи с возникновением пиоцеле может произойти при распространении инфекции из полости носа, а также гематогенным или лимфогенным путем. При этом источником инфекции в первую очередь являются инфекционно-воспалительные заболевания носоглотки: ринит, гайморит, фарингит, ангина, хронический тонзиллит, ларингит.
Симптомы мукоцеле лобной пазухи
Мукоцеле лобной пазухи характеризуется длительным бессимптомным течением. До появления первых клинических признаков мукоцеле может существовать в течение 1-2 лет и дольше. Мукоцеле лобной пазухи начинает проявлять себя с постепенно усиливающейся боли в лобной области. Затем присоединяется боль над глазницей и вокруг глазного яблока, во внутреннем углу глаза появляется выпячивание округлой формы. Надавливание на это выпячивание обычно является безболезненным и приводит к возникновению характерного звука, напоминающего треск или хруст. Сильное надавливание может стать причиной образования свища, через который начинает выходить тягучая слизистая (при мукоцеле) или гнойная (при пиоцеле) жидкость.
С течением времени при мукоцеле лобной пазухи происходит опускание нижней стенки лобной пазухи, в связи с чем отмечается смещение глазного яблока вниз и наружу. Зачастую возникает двоение в глазах (диплопия), нарушение восприятия цветов, снижение остроты зрения. При сдавлении слезовыводящих путей у пациентов с мукоцеле лобной пазухи наблюдается слезотечение.
Скопление в мукоцеле лобной пазухи большого количества жидкости может вызвать ее прорыв с образованием фистулы в одной из стенок лобной пазухи. Излитие гноя через фистулу в соседствующие с лобной пазухой структуры приводит к развитию гнойных осложнений.
Осложнения мукоцеле лобной пазухи
Возникающие при мукоцеле лобной пазухи осложнения связаны с нагноением ее содержимого и распространением гнойного процесса на соседние с пазухой анатомические образования. Наиболее часто прорыв гноя происходит через нижнюю стенку лобной пазухи. Занос гнойной инфекции в полость глазницы может привести к развитию панофтальмита, эндофтальмита и флегмоны глазницы. В редких случаях мукоцеле лобной пазухи наблюдается образование фистулы в задней стенке пазухи с возникновением менингита.
Диагностика мукоцеле лобной пазухи
Мукоцеле лобной пазухи диагностируется отоларингологом. При наличие осложнений со стороны глаза необходима консультация офтальмолога, при подозрении на менингит — невролога. Диагностика мукоцеле лобной пазухи основывается на жалобах пациента, его осмотре, риноскопии и исследовании околоносовых пазух. Риноскопия у пациентов с мукоцеле лобной пазухи может не выявлять никаких патологических изменений. Иногда в ходе риноскопии в области среднего носового хода визуализируется небольшое гладкое выпячивание.
Рентгенологическое исследование при мукоцеле лобной пазухи определяет увеличение размеров пазухи, растяжение ее дна, уменьшение прозрачности. Возможно выпячивание перегородки между лобными пазухами в здоровую сторону. Прерывистость контуров лобной пазухи может указывать на наличие фистулы. Более точным и информативным исследованием является КТ лобной пазухи. Может применяться УЗИ и МРТ околоносовых пазух. В некоторых случаях для определения воздушности лобной пазухи проводится диафаноскопию. При затруднениях в диагностике мукоцеле лобной пазухи показана диагностическая пункция. Для определения проходимости лобно-носового канала производят зондирование лобной пазухи зондом Лансберга.
По показаниям проводят исследование органа зрения: проверку остроты зрения, цветовое тестирование, офтальмоскопию и биомикроскопию глаза. Дифференциальный диагноз мукоцеле лобной пазухи проводят с фронтитом, опухолью и дермоидной кистой.
Лечение мукоцеле лобной пазухи
Одновременно с хирургическим проводят медикаментозное лечение мукоцеле лобной пазухи. Пациенту назначают антибиотики, противовоспалительные и противоотечные средства.
Прогноз и профилактика мукоцеле лобной пазухи
При своевременно проведенном хирургическом лечении мукоцеле лобной пазухи имеет благоприятный прогноз. Развитие осложнений ухудшает прогноз. Профилактика мукоцеле лобной пазухи состоит в эффективном лечении инфекционно-воспалительных заболеваний носоглотки, предупреждении травмирования носа и переохлаждений, коррекции носовой перегородки при ее искривлении, удалении опухолей и инородных тел носа.
Читайте также:
- Кровоизлияние, катаракта после операции на диабетической отслойке сетчатки. Тактика
- Синдром Яффе-Лихтенштейна (Jaffe-Lichtenshtein)
- Печень при болезни Ниманна-Пика
- Диагностика и лечение склеродермии. Рекомендации
- Лучевая диагностика приобретенного центрального стеноза поясничного отдела позвоночника

