КТ, МРТ при остром риносинусите
Добавил пользователь Евгений Кузнецов Обновлено: 01.02.2026
Диагностика заболеваний придаточных пазух носа (гайморовых, лобной, основной пазух) — сложная процедура, так как интересующие врача структуры фактически располагаются внутри лицевой части черепа и открываются в полость носа через узкие проходы. Чтобы выявить аномалии тканей, выстилающих пазухи, используется магнитно-резонансная томография. Этот метод помогает выявить патологии с меньшим риском для здоровья, чем при использовании компьютерной томографии или рентгена. Говоря о том, что показывает МРТ пазух носа, специалисты указывают, что исследование лучше покажет патологии мягких тканей, но не костей.
Какие заболевания покажет МРТ пазух носа?
Обзорное обследование околоносовых пазух с использованием мощного магнитного поля проводят для выявления аномалий в строении мягких тканей. Такая особенность объясняется тем, что поле, создаваемое томографом, приводит к резонансу атомов водорода. Они в большом количестве содержатся в слизистых оболочках в придаточных пазухах и других органах, паренхиме и стенках внутренних органов, мягких тканях, сосудах и т. д. А вот костные структуры содержат мало водорода, и потому остаются почти невидимыми на снимках.

Исходя из этих особенностей, МРТ пазух носа чаще делают для выявления следующих групп заболеваний:
- синуситов — острых и хронических воспалений слизистых оболочек околоносовых пазух и полости носа;
- гайморитов, фронтитов, сигмоидитов — воспалительных процессов с накоплением гнойного экссудата внутри верхнечелюстных или лобных пазух;
- полипов и кист — доброкачественных образований на слизистых оболочках носа и околоносовых пазух;
- злокачественных новообразований в области носовой полости, придаточных пазух, прилегающих к ним структур;
- врожденных и приобретенных аномалий в строении носовой перегородки (искривление), раковин (увеличение или уменьшение их объема) и т. д.
Исследование с контрастом дополнительно показывает состояние кровеносных сосудов в придаточных пазухах, а также может с высокой точностью «подсветить» раковые опухоли и метастазы непосредственно в придаточных пазухах и рядом с ними, невидимые в рентгеновских лучах.
Показания к МРТ пазух носа
Поводом к проведению томографии придаточных пазух может стать наличие одного из симптомов:
- повторяющиеся без видимой причины носовые кровотечения;
- регулярные боли в области лба, скуловых костей, лицевой части;
- регулярно повторяющаяся или постоянная заложенность носа;
- ощущение инородного предмета в носу, а иногда и в пазухах;
- хронические боли в зубах верхней челюсти, не связанные с кариесом и другими стоматологическими заболеваниями;
- врожденный дефект костей лицевой части черепа, затрагивающий придаточные пазухи;
- неприятный запах изо рта и носа при отсутствии явных признаков воспалений слизистых оболочек;
- травмы лица, затрагивающие придаточные пазухи.
Также обследование может быть проведено при подозрении на онкологические процессы в области носовых пазух. На них может указывать внезапное снижение веса, сопровождаемое общим недомоганием, кровотечением, сильными головными болями.

Также лечащий врач может принять решение о направлении на процедуру в случае, если результаты исследований, проведенных с помощью других методов, не смогли установить причину недомоганий.
Даже при наличии показаний, перед проведением МРТ придаточных пазух необходимо убедиться в отсутствии противопоказаний. Ими являются:
- наличие в теле пациента металлических имплантатов, кардиостимуляторов, стентов и клипс на сосудах;
- первый триместр беременности;
- заболевания, при которых человек не способен сохранить неподвижность;
- ожирение с массой тела больше 120 кг;
- подозрение на наличие в пазухах инородных металлических предметов.
Препятствием для проведения обследования с контрастным веществом может стать непереносимость данного препарата, тяжелые поражения почек.
Полезно знать! Острая непереносимость контрастирующих веществ не является противопоказанием к проведению стандартного обследования.
Подготовка к МРТ придаточных пазух носа
Стандартные рекомендации по подготовке к диагностике придаточных пазух на аппарате содержат несколько пунктов, которые необходимо соблюдать всем без исключения пациентам:
- На сеанс следует взять направление лечащего врача, результаты предыдущих исследований в электронном или распечатанном формате, паспорт и медицинский полис. Если обследуемый постоянно принимает препараты, следует сообщить об этом радиологу, проводящему томографию.
- На обследование придаточных пазух рекомендуется прийти в свободной одежде без металлических элементов, которую можно не снимать во время сканирования.
- Женщинам фертильного возраста накануне обследования рекомендуется сделать тест на беременность, чтобы убедиться в ее отсутствии.
- Не рекомендуется плотно наедаться или много пить в течение 1-2 часов перед процедурой.
- В случае, если планируется обследование пазух с контрастом, от еды следует отказаться минимум за 8 часов до процедуры, от питья — за 2-3 часа. Это поможет предотвратить появление побочной реакции в виде тошноты, когда будет вводиться препарат.
- Меньше, чем за час до обследования следует сходить в туалет, чтобы во время сеанса не возникли позывы.
- Пациентам с повышенной возбудимостью и клаустрофобией незадолго до процедуры рекомендуется принять успокоительное средство. При тяжелых формах расстройства медперсонал может сделать седацию (инъекцию успокоительного средства) непосредственно перед сеансом.
- Перед томографией придаточных пазух необходимо снять с тела металлические украшения (серьги, кольца, пирсинг) и медицинские приспособления (съемные слуховые аппараты, зубные протезы).
Непосредственно перед диагностикой радиолог расскажет, как именно она будет проводиться, что при этом будет происходить и какие ощущения могут возникать у пациента, сколько по времени будет длиться сеанс.
Как делают МРТ пазух носа?
Сразу после того, как пациент явился на процедуру, ему разъясняются правила поведения во время работы аппарата. Для уменьшения психологического дискомфорта из-за шума томографа по просьбе могут выдать беруши или наушники, в которые помимо музыки транслируется голос врача, находящегося во время работы аппарата в смежном помещении. Для связи с медперсоналом пациенту выдают пульт для связи, нажав на который он может попросить приостановить обследование из-за неприятных ощущений. Если назначено диагностирование с контрастом, препарат вводят внутривенно перед началом исследования.
Важно! Перед введением контрастного препарата рекомендуется сделать пробу на его переносимость. Желательно сделать это на этапе подготовки к процедуре, чтобы при аллергии на компоненты средства подобрать безопасную альтернативу.
Процедура магнитно-резонансной томографии носовых пазух делается по стандартному алгоритму:
Пациента укладывают на подвижный стол томографа и фиксируют его в подходящем для обследования положении. Чтобы во время сканирования не произошло случайных движений головы, ее помещают в специальную рамку, оснащенную ограничительными валиками и ремнями. Это нужно для того, чтобы точно настроить аппарат на сканирование придаточных пазух.
Медперсонал покидает помещение с томографом. Стол автоматически задвигается внутрь кольца аппарата. Сканирование сопровождается равномерным гулом и щелчками. Все это время пациент должен сохранять полную неподвижность. Если возникает дискомфорт, можно нажать кнопку связи с медперсоналом на пульте и сообщить о недомогании.
Врач в режиме реального времени просматривает на экране компьютера получаемые картинки. Если при просмотре материалов, что показывает МРТ придаточных пазух носа, плохо видны некоторые детали, врач может принять решение о дополнительном применении контраста. Обследование приостанавливают, пациенту вводят раствор внутривенно, после чего делают повторное сканирование.
Стандартное сканирование придаточных пазух занимает не больше 20 минут. При использовании контраста томография длится от 25 до 45 минут. После окончания сканирования пациент может покинуть клинику или остаться в приемной для получения результатов диагностики. Обычно расшифровка длится не больше часа. Описание и снимки пазух передаются пациенту в электронном или распечатанном формате.

КТ или МРТ носа, что лучше?
Выбирая между МРТ или КТ придаточных пазух, необходимо ориентироваться на то, какие именно патологии предполагается выявить. Оба метода, несмотря на схожесть внешнего вида снимков и принцип получения картинки — послойное сканирование частей тела в разных плоскостях — имеют существенные отличия. Их особенности, преимущества и недостатки, изложены далее в таблице.
Магнитно-ядерный резонанс, без лучевой нагрузки.
Рентгенографическое излучение, есть лучевая нагрузка, требует подсчета полученной дозы радиации.
Какие ткани лучше визуализирует
Мягкие ткани: слизистые оболочки, хрящи, мышцы, сосуды и лимфоузлы, связки и сухожилия.
Ограничения для использования
Наличие металлических элементов в теле, 1 триместр беременности.
Не больше одной процедуры в течение года. Противопоказано беременным женщинам (на любом сроке), детям до 12 лет.
Нет ограничений по периодичности проведения.
Нет лучевой нагрузки на организм.
Наиболее эффективный в диагностике злокачественных опухолей и метастаз.
Занимает меньше времени.
Не обнаруживает небольшие по размеру дефекты костей.
Не показывает дефекты мягких тканей.
Как видно из приведенных в таблице значений, диагностику заболеваний пазух следует проводить, если предполагаемый диагноз связан с дефектами слизистых оболочек, сосудов, хрящей и прочих структур в придаточных пазухах, содержащих много атомов водорода, а также в случае, если врач подозревает наличие доброкачественных и злокачественных опухолей в области исследования. Также метод используется, когда требуется периодическое сканирование придаточных полостей, например, для мониторинга эффективности лечения.
К КТ пазух следует прибегать, если есть подозрение на дефекты костной ткани. Если же пациенту меньше 12 лет или у обследуемой женщины беременность, назначают магнитно-ядерное сканирование как более безопасную альтернативу компьютерной томографии.
Расшифровка МРТ носа
Расшифровкой результатов обследования придаточных пазух занимается радиолог. Он просматривает снимки на предмет соответствия анатомическим, возрастным и другим нормам. Если обследование выявило существенные отклонения от стандартных показателей, это значит наличие патологии:
- утолщение оболочек в пазухах указывает на воспалительный процесс;
- наличие в полостях жидкости свидетельствует об инфекционном гнойном воспалении;
- новообразования в единичном или множественном количестве без собственной системы кровоснабжения указывают на полипы;
- полые выросты на слизистых оболочках, наполненные жидкостью, указывают на кисты;
- новообразования с развитой собственной системой кровоснабжения, «прорастающие» в соседние ткани, в том числе костные, указывают на злокачественные процессы — раковые опухоли или метастазы.
В описании к снимкам врач обозначает, что показывает МРТ пазух носа с описанием локализации дефекта, его особенностей: природы возникновения, размеров, соседства и взаимодействия с другими структурами. На основании этого описания узким специалистом будет поставлен окончательный диагноз.
КТ и МРТ при остром нарушении зрения у детей
КТ и МРТ головного мозга являются главными методами выявления острого нарушения зрения в любом возрасте. Острое нарушение зрения у детей имеет свои особенности.
Острое нарушение зрения может быть обусловлено как патологией самой орбиты, чаще одностороннее, так и патологиями головного мозга: гомонимная гемианопсия - главная причина таких нарушений зрения в ишемии в бассейне задней мозговой артерии; битемпоральная гемианопсия - связана с компрессией перекреста зрительных нервов, как правило, опухолью, распространяющейся на супраселлярную цистерну.
Собственно внутри орбиты за глазным яблоком находится ретроорбитальная жировая клетчатка в которой проходит зрительный нерв, глазные артерия и вена, а также по периферии глазодвигательные мышцы, которые между собой соединены соединительной тканью. Последние образуют пространство внутри конуса. Все патологии орбиты делят на интраконусные, конусные и экстраконусные.
Интраконусные патологии:
- венозные сосудистые мальформации
- гемангиома - рассеянный склероз, болезнь Дэвика, инфекционный неврит, аутоиммунный неврит, лекарственный неврит
- опухоли зрительного нерва - глиома, менингиома
- псевдоопухоль зрительного нерва
- расширение вены - каротидно-кавернозная фистула, варикоз
- шванномы (невриномы) 3, 4 и 6 черепных нервов.
В детском возрасте в группе патологий данной локализации наблюдаются глиомы зрительного нерва, они могут быть связаны с нейрофиброматозом 1 типа, они чаще двухстронние и составляют до 10% опухолей орбит. Одностронние глиомы без связи с нейрофиброматозом относятся к ювенильным пилоцитарным астроцитомам. Этот подтип составляет около 4% опухолей орбит, выявляется чаще в возрасте 4-5 лет. У детей в глазнице также встречаются доброкачественные опухоли - гемангиомы, невриномы, дермоидные кисты. Глиома обычно располагается позади глазного яблока по ходу зрительного нерва, растет вперед в глазницу или по направлению к хиазме, вовлекая её. Дермоидные кисты преимущественно локализуются в медиальной спайке век. Киста растет медленно, неоднородной структуры, не контрастируется, округлой формы, может воспаляться.

КТ, реформация в сагиттальную плоскость.. Невринома зрительного нерва.
В конусном и экстраконусном пространствах у детей наблюдаются воспалительные процессы, переходящие с придаточных пазух носа. Крайне редко наблюдаются опухоли вовлекающие орбиту по контакту с костей черепа.
Глазное яблоко относительно редко страдает от патологических изменений. Из опухолевых процессов на первом году жизни встречается ретинобластома, наследуемая, чаще двухсторонняя опухоль В 90 % случаев подвергается кальцификации.
Глазное яблоко поражается ретинобластомой и гамартомами при факоматозах. Ретинобластома - злокачественная опухоль глаза, возникающая у детей в возрасте до 10 лет. В 40% случаев ретинобластома бывает двухсторонней. При КТ ретинобластома локализуется в заднем полюсе глазного яблока, чётко очерчена, однородна, часто содержит кальцинаты, хорошо контрастируется. При МРТ ретинобластомы лучше видны с контрастированием. Гамартомы сетчатки (узлы Лиша), наиболее часто наблюдаемые при туберозном склерозе, обычно двухсторонние, иногда контрастируются. В дифференциальной диагностике надо учитывать, что они сочетаются с другими характерными проявлениями этого заболевания, включая субэпендимальные узлы, субэпендимальную гигантоклеточную астроцитому и внемозговые патологии.
Самая частая неврологическая причина нарушения зрения является глиома зрительных путей, реже демиелинизирующий процесс в зрительном нерве, острый неврит зрительного нерва или компрессия перекреста зрительного нерва опухолью, исходящей из турецкого седла (у детей- обычно краниофарингиома). Известно также редкое заболевание неясной этиологии - синдром Толосы Ханта (Tolosa-Hunt), проявляющееся болезненным офтальмопарезом или офтальмоплегией. Основной причиной таких клинических проявлений является поражение глазодвигательного и отводящего нервов. Часто в синдром вовлекаются зрительный нерв и 1 ветвь тройничного нерва (V1). Вовлечение симпатической веточки, проходящей вдоль кавернозного синуса приводит также и к синдрому Горнера. Встречается также птоз и небольшая степень проптоза. Главными критериями постановки диагноза синдрома Толосы-Ханта служат:
КТ гайморовых пазух
КТ верхней челюсти представляет собой процедуру исследования данной кости и заключенных в ней гайморовых пазух при помощи рентгеновского излучения. Гайморовы пазухи - парные воздухоносные полости слева и справа от носа. Из-за близкого соседства с зубами верхней челюсти в них нередко оказываются корни последних. В таких ситуациях не исключено возникновение одонтогенного гайморита - воспаления верхнечелюстных синусов на фоне стоматологических заболеваний. Подобным осложнением грозит инфицирование лунки после удаления зуба.
КТ верхней челюсти и гайморовых пазух назначают при:
затрудненном носовом дыхании;
перфорации дна пазухи носа;
подозрении на нарушение целостности костей;
наличии в гайморовой пазухе инородного тела;
гранулемах и кистах у верхушек корней зубов верхней челюсти;
постоянных головных и зубных болях неясной этиологии;
тяжелых стоматологических патологиях (глубокий кариес, остеомиелит верхней челюсти и др.);
болях в носовой области;
рецидивирующем течении отита;
подозрении на новообразование синусов и верхней челюсти;
осложнениях инфекционных заболеваний ЛОР- органов;
подготовке к хирургическим операциям.
В результате обследования на компьютерном томографе врач получает снимки, позволяющие рассмотреть изучаемую область в виде тонких срезов или целостного объемного изображения.
Особенности строения верхнечелюстной пазухи на КТ
По форме гайморовы пазухи напоминают усеченную четырехгранную пирамиду. В среднем, объем каждой полости составляет 10-13 см³. Размеры не являются постоянными и меняются с развитием лицевого скелета. У здорового человека толщина слизистой оболочки верхнечелюстных синусов примерно 1,0-1,5 мм. При воспалительных процессах, аллергии, простудных заболеваниях ткани отекают и гипертрофируются, что способствует утолщению стенок и уменьшению объема полостей. Патология хорошо просматривается на изображениях КТ верхней челюсти и гайморовых пазух.
Левая и правая костные каверны , как правило, симметричны. Но у некоторых пациентов при обследовании выявляют аномалии, такие, как разделение полости перегородками на несколько камер. Такое строение синуса создает определенные трудности в лечении гайморитов.
КТ верхней челюсти ценно не только в отношении изучения строения гайморовых пазух. Диагностика на компьютерном томографе дает возможность детально исследовать структуру альвеолярного отростка (зоны верхнечелюстной кости, где расположены зубы) и анатомо-топографическое соотношение корней зубов с дном полостей пазух.
Что покажет КТ гайморовых пазух
По результатам КТ верхней челюсти и гайморовых пазух врач определяет:
расположение перегородки носа и костей, образующих верхнечелюстные полости;
пути дренирования пазух;
симметричность левой и правой сторон носа и синусов;
степень пневматизации пазух;
состояние слезных протоков.
При помощи КТ верхней челюсти выявляют:
воспалительные процессы, в том числе наличие в синусах экссудата;
опухоли слизистых оболочек;
гранулемы и кисты;
посторонние предметы в носовых пазухах (пломбировочные материалы, фрагменты корней после удаления зубов, дентальные импланты);
повреждения или деформацию костей носа;
дополнительные пустоты (соустья);
Благодаря высокой разрешающей способности аппарата компьютерной томографии удается обнаружить мельчайшие патологические образования, оценить их размеры, локализацию и взаимоотношение с окружающими тканями. На основе интерпретации данных КТ и сопоставления с результатами других видов обследования стоматолог или ЛОР ставят диагноз.
Как проводят КТ верхней челюсти
КТ верхней челюсти и гайморовых пазух выглядит следующим образом:
пациент ложится на выдвижную кушетку, шею фиксируют при помощи специальной подставки;
головной конец кушетки плавно заезжает в кольцеобразное устройство, где находятся датчики и рентгеновский излучатель;
двигаясь по спирали, сканирующий комплекс делает серию послойных снимков изучаемой зоны;
при необходимости в вену вводят контрастное средство и продолжают обследование;
по окончании диагностики аппарат отключается.
Любое движение пациента во время КТ верхней челюсти может ухудшить качество снимков, поэтому на протяжении всего времени сканирования необходимо сохранять статичное положение.
Острый верхнечелюстной синусит на КТ
Острый верхнечелюстной синусит, или гайморит, может развиться после простуды, гриппа, других инфекционных заболеваний, в результате запущенного кариеса, периодонтита, стоматита, воспаления миндалин, из-за искривленной носовой перегородки и по многим другим причинам. При данном заболевании трудно дышать с закрытым ртом, возникают боли в области переносицы и около крыльев носа, появляются слизисто-гнойные выделения, поднимается температура, веко и щека на пораженной стороне краснеют и припухают.
Врач может назначить КТ верхней челюсти, если:
симптомы простуды за неделю не исчезли;
обезболивающие препараты не помогли избавиться от головной боли;
выделения из носа стали гуще и приобрели желтоватую или зеленую окраску;
3-5 дней приема антибиотиков не принесли облегчения;
беспокоят болезненные ощущения в области верхней челюсти.
При наличии у пациента симптомов острого синусита КТ верхней челюсти и гайморовых пазух, в основном, проводят без контраста. На нативных изображениях отчетливо видны:
краевое пристеночное утолщение слизистой (за счет отека и инфильтрации);
утолщение внутренних структур носа;
наличие и уровень экссудата в полости каверны;
сужение выводных протоков.
При прогрессировании воспалительного процесса отечная слизистая оболочка или воспалительный секрет могут целиком закрыть просвет пазухи, что также покажут снимки.
КТ верхней челюсти отображает наличие жидкости в полости и позволяет оценить ее плотность. Повышенная плотность содержимого пазухи указывает на гнойные формы острого синусита.
КТ при остром гайморите у детей
КТ верхней челюсти делают не только во взрослом, но и в детском возрасте, поскольку это один из наиболее информативных методов диагностики.
Острый гайморит у детей в большинстве случаев является осложнением вирусной инфекции. Поражая слизистую оболочку носа, вирус практически всегда проникает в синусы и вызывает в них воспаление. Верхнечелюстной синусит у ребенка может развиться на фоне аллергического ринита: при контакте с аллергеном слизистая носа отекает, отток секрета из пазухи ухудшается, и развивается воспаление. К другим предрасполагающим факторам можно отнести:
врожденные аномалии (искривление носовой перегородки и др.);
болезни полости рта;
наличие в организме хронического очага инфекции;
сосудистые нарушения (при ухудшении кровоснабжения гайморовых пазух снижается местный иммунитет и повышается подверженность заболеваниям).
Чтобы избежать ненужного облучения при неосложненных синуситах КТ верхней челюсти и гайморовых пазух детям делают редко. Проведение компьютерной томографии является обязательным при подозрении на внутриглазничные или внутричерепные осложнения и при подготовке к оперативному вмешательству.
КТ верхней челюсти с контрастом
Нативное КТ-исследование верхней челюсти точно диагностирует патологии в пазухах, слезных протоках и соустьях с носовой полостью. При контрастном дополнении процедуры отчетливо визуализируются расположенные рядом мягкие ткани.
Чаще всего КТ с контрастом назначают при подозрении на злокачественные процессы. Внутривенное введение препаратов на основе йода обеспечивает улучшение видимости кровеносной системы: опухоли имеют собственную сеть сосудов, которая хорошо просматривается после контрастирования. Выявляя дополнительные очаги кровоснабжения, компьютерная томография способна обнаружить новообразования на ранней стадии.
Обследование синусов без усиления не требует особой подготовки. Достаточно принести с собой направление лечащего врача, выписку из амбулаторной карты и результаты предыдущих диагностических мероприятий. Перед КТ верхней челюсти и гайморовых пазух с контрастом необходимо сделать анализ крови на креатинин. При повышении показателей креатинина применение контраста запрещено, поскольку велик риск возникновения проблем с выведением медикамента из организма.
Индивидуальная непереносимость компонентов препарата.
У пациента могут развиться реакции на йод - дерматологические (покраснение кожи, сыпь, зуд) или системные (отек лица, затруднение дыхания, бронхоспазм, отек Квинке, анафилактический шок). Подобные явления во время КТ верхней челюсти с контрастированием не исключены у людей с любой серьезной аллергией.
Прием метформина больными сахарным диабетом.
Данный медикамент снижает скорость клубочковой фильтрации почек, из-за чего повреждающее действие контрастного вещества увеличивается. В сочетании с йодсодержащими препаратами метформин может спровоцировать накопление в организме молочной кислоты (лактоацидоз). Это состояние опасно для жизни. Для пациентов, принимающих метформин, важно, чтобы за двое суток до КТ верхней челюсти с контрастом эндокринолог либо отменил препарат, либо заменил его на другое лекарство.
Гиперфункция щитовидной железы.
Вещества на основе йода накапливаются в тканях щитовидной железы, что чревато значительным ухудшением состояния больного. В данной ситуации возможность обследования с контрастом появляется только после профилактического подготовительного лечения. В любом случае КТ верхней челюсти и гайморовых пазух с применением йодсодержащих препаратов нельзя делать без консультации с эндокринологом.
Возраст до 12 лет.
Детям младшего возраста трудно попасть в вену, к тому же малышам сложно объяснить необходимость и последовательность проводимых манипуляций.
Лактация не является противопоказаниям к КТ верхней челюсти с контрастированием. Но поскольку используемый краситель отчасти проникает в грудное молоко, женщине следует заранее позаботиться о питании для ребенка. После процедуры необходимо пропустить два кормления подряд, сцеживая и выливая молоко.
Как часто можно делать КТ гайморовых пазух
Главным недостатком КТ области верхней челюсти и гайморовых пазух является облучение. По этой причине сканирование на компьютерном томографе можно проходить не чаще одного сеанса в полгода. При крайней необходимости этот интервал сокращают минимум до двух месяцев.
Процедуру не назначают беременным женщинам. Под воздействием рентгеновского излучения происходят изменение структуры атомов и молекул, что может отрицательно повлиять на эмбрион, особенно на стадии закладки органов и систем.
КТ верхней челюсти и гайморовых пазух следует с осторожностью делать детям. Растущий организм крайне чувствителен к внешним воздействиям, и в раннем возрасте сканирование проводят только по серьезным показаниям.
Чтобы от процедуры не было вреда, специалисты должны руководствоваться несколькими принципами:
направлять на компьютерную рентгенологическую диагностику лишь в ситуациях, когда другие виды обследования малоинформативны ;
учитывать суммарную дозу облучения пациента за год при различных исследованиях;
не проводить КТ верхней челюсти и гайморовых пазух, если имеются противопоказания;
при необходимости повторного обследования лучше отдать предпочтение магнитно-резонансной томографии: ее можно проводить с необходимой при выбранной тактике лечения частотой.
Соблюдение мер предосторожности позволяет избежать осложнений, способных ухудшить состояние здоровья пациента.
Лучевая диагностика синуситов
Острый синусит - это воспаления околоносовых пазух. Обычно процесс захватывает и слизистую полости носа, поэтому, процесс правильно называть риносинуситом.
Синуситы относятся к частым заболеваниям с четкой сезонной предрасположенностью. Экономический ущерб от нетрудоспособности и затрат на лечение исчисляется миллиардами.
Риносинусит может классифицироваться по анатомической области: гайморит, фронтит, этмоидит и сфеноидит; и по типу возбудителя: бактериальный, вирусный и грибковый.
Острый синусит - это клинический диагноз. Принципиально важно дифференцировать его с аллергическим и вазомоторным ринитом, а также с банальной инфекцией верхних дыхательных путей. Повторные эпизоды острого синусита в течение года с промежутками не меньше 8 недель рассматриваются как рецидив. Длительность процесса от 4 до 12 недель позволяет говорить о подостром синусите, больше 12 недель уже о хроническом процессе.
Анатомия и функция
Околоносовые пазухи представляют собой костные полости, заполненные воздухом, простирающиеся от основания черепа до альвеолярного отростка и латерально от полости носа до нижнемедиального края орбиты и скулового отростка. Полости синусов выстланы ворсинчатым эпителием, переходящим через отверстия в эпителий полости носа. Эпителий содержит субмукозные и серомукозные железы, вырабатывающие поверхностную слизь.
Передние и задние решетчатые синусы состоят из множества воздушных клеток, отделённых друг от друга тонкими костными перегородками. Каждая клетка дренируется самостоятельным отверстием диаметром 1-2 мм, которые легко перекрываются слизью или отёчной слизистой. Основная (клиновидная) пазуха расположена сразу позади клеток решетчатой кости и граничит сзади с турецким седлом.
Артериальное кровоснабжение придаточных пазух идёт из ветвей наружной и внутренней сонных артерий. Венозный и лимфатический отток идёт в сплетение полости носа, а также через безклапанные сосуды непосредственно в артериальное русло.
Все отверстия синусов дренируются в полость носа под средней и верхней носовыми раковинами через несколько анатомических структур, объединяемых в остиомеатальный комплекс. Отверстия верхнечелюстных пазух, передние клетки и лобные пазухи дренируются в общее место в среднем носовом ходе. Это место называется полулунной расщелиной, и представляет собой узкий промежуток между крючковидным отростком и большим пузырьком решетчатой кости. Единое место дренажа для синусов приводит к относительно легкому распространению инфекции даже при локальном воспалении. Задние клетки и основной синус дренируются в сфеноэтмоидальный карман, расположенный в верхнем носовом ходе ниже верхней носовой раковины.
Процесс эффективного дренажа состоит из сложного взаимодействия движений ворсинок эпителия, определенной вязкости слизи и диаметра отверстий.
Функция придаточных пазух многообразна: уменьшение веса черепа, выравнивание давления, увлажнение и согревание вдыхаемого воздуха, поглощение тепла и предотвращение перегрева мозга, звуковой резонанс, увеличение обонятельной площади.
КТ.Передний остиомеатальный комплекс в норме. КТ. Фронтальная плоскость. Обозначения: сплошная линия - вход в решетчатый синус, точечная линия - полулунная расщелина, звездочка - отверстие верхнечелюстной пазухи, 1- средний носовой ход, 2- крючковидный отросток.
КТ.Полулунная расщелина (лобный карман) в норме. КТ. Фронтальная плоскость. Обозначения: 1 - лобный карман, 2 - клетки носа.
КТ.Сфеноэтмоидальный карман (задний остиомеатальный комплекс). КТ. Фронтальная плоскость. Обозначения: 1 - отверстие клиновидного синуса, 2 - пневмотизированный сошник.
КТ.Анатомия пазух. КТ. Сагиттальная реконструкция. Обозначения: точечные линии верхняя - воронка решетчатого синуса, нижняя - полулунная расщелина, 1- слизистая средней раковины, 2- слизистая нижней раковины, 3- лобный карман, 4- отверстие клиновидной пазухи, 5- сфеноэтмоидальный карман, 6- клиновидный синус.
Патофизиология
Благодаря однонаправленному (в сторону полости носа) току секрета слизистой придаточные пазухи остаются стерильными. Отёк слизистой носа в месте вхождения дренирующих отверстий приводит к застою слизи и легкому её инфицированию. При застое развивается вторичная гипоксия ворсинтчатого эпителия и нарушение его функции, а также повышение вязкости слизи. Нарушение функции ворсинтчатого эпителия также может быть генетически обусловленным при синдроме Картагенера (situs inversus, хронический синусит и бронхоэктазия), вызываться прямым токсическим действием бактерий и вирусов, а также аллергическими заболеваниями.
Нарушению оттока могут также способствовать анатомические предпосылки. Наиболее часто встречается удлиненный крючковидный отросток. Это приводит к перекрытию полулунной расщелины. То же наблюдается и при латеральном отклонении верхушки крючковидного отростка. Пневмотизированные раковины среднего носового хода (concha bullosa) могут сдавливать крючковидный отросток и перекрывать средний носовой ход. Инфраорбитальные воздушные клетки Галлера в норме распространяются вниз на пузырь решетчатой кости и крышу верхнечелюстной пазухи. При больших размерах они переходят в клетки решетчатой кости и сдавливают средний носовой ход. Такое же функциональное значение имеет и увеличенный этмоидальный пузырь (булла). Искривление носовой перегородки и её шипы, парадоксальная кривизна раковин, увеличенный этмоидальный пузырь способствуют нарушению оттока. Нарушение дренажа также может быть связано с механической обструкцией полипом, опухолью или инородным телом.
КТ.Удлинененный в сторону дна решетчатой кости крючковидный отросток. КТ. Фронтальная плоскость. Обозначения: 1- удлиненный крючковидный отросток, 2- concha bullosa средней раковины, 3- норманый крючковидный отросток, 4- воронка решетчатой кости.
КТ.Отклоненный латерально крючковидный отросток. КТ. Фронтальная плоскость. Обозначения: 1- крючковидный отросток отклонен в сторону орбиты, 2- нормальный крючковидный отросток.
КТ.Concha bullosa средней раковины. КТ. Фронтальная плоскость. Обозначения: 1- крючковигый отросток доходит до дна решетчатой пазухи, 2- сужена этмоидальная воронка, 3- concha bullosa, 4- отсутствует крючковидный отросток справа.
КТ.Увеличенный этмоидальный пузырь (стрелки).
КТ.Парадоксальная кривизна средних раковин с сужением носовых ходов.
Этиология
В подавляющем большинстве случаев острый риносинусит вызывается вирусной инфекцией: риновирусом, реже, коронавирусом, вирусами гриппа и парагриппа, синцитиальным вирусом верхних дыхательных путей, аденовирусом и даже энтеровирусом. В 0,5-2% случаев к вирусному синуситу присоединяется бактериальная инфекция. Бактериальный синусит может быть обусловлен одним или несколькими возбудителями, такими как стафилококки (S. aureus), стрептококки (S. pneumoniae, S. pyogenes), пневмококки (H. influenza), а также другой флорой (P. aeruginosa M. catarrhalis, E. coli, P. mirabilis, K. pneumoniae, Enterobacter). Грибковые синуситы встречаются очень редко. Непосредственными возбудителями служат Aspergillus и Alternaria, другие виды грибков могут вызывать аллергические синуситы.
Клинические проявления
Проявления заболевания неспецифические, обычно на фоне типичной инфекции верхних дыхательных путей:
- Боли в области лица, особенно, лба. Нередко боли усиливаются при наклонах. Могут отдавать в височную и затылочную области.
- Покраснение и отёчность кожи носа, щек, гиперемия глазных яблок
- Нарушение носового дыхания и выделения из носа
Продолжительность симптомов вирусной инфекции свыше 2 недель служит настораживающим признаком в плане синусита. Острый вирусный синусит обычно излечивается спонтанно, однако, примерно в 1 случае из 3 острый синусит переходит в хроническую форму. Местным осложнением синусита может быть мукоцеле. Оно представляет собой эпителиальную кисту, возникающую вследстве обструкции протока секретирующей железы или отверстия синуса. Кисты верхнечелюстных пазух часто являются случайной находкой при рентгенологическом исследовании. Они достигают больших размеров и обычно бессимптомны. Напротив, кисты лобной и основной пазух вызывают клинические симптомы и, иногда, осложняются костной эрозией.
Ухудшение клинической симптоматики подозрительно на присоединение бактериальной инфекции. В редких случаях бактериальные синуситы могут приводить к тяжелым осложнениям - токсическому шоку, менингиту и энцефалиту, остеомиелиту.
Рентгенография
Рентгенография, несмотря на её существенные недостатки, остается наиболее массовым методом исследования при синуситах. Исследование желательно в 3 проекциях: затылочно-подбородочной, затылочно-лобной и боковой.
В затылочно-подбородочной проекции наиболее отчётливо видны верхнечелюстные пазухи. Лобный синус виден в косой плоскости. Основная пазуха прослеживается через открытый рот. Хуже всего видны клетки решетчатой кости.
В затылочно-лобной проекции лучше всего видны лобные пазухи и дно верхнечелюстных пазух, а также передние клетки решетчатой кости. Хуже видна основная пазуха.
В боковой проекции наилучшим образом видны основная и лобная пазухи, в то время как структуры других пазух наслаиваются.
Наиболее типичной находкой при остром синусите является уровень жидкости. При хронических процессах наблюдается утолщение слизистой, ретенционные кисты и гипертрофия раковин.
Главная проблема состоит в наслоении структур и большом количестве ложных результатов. Кроме того невозможно оценить остиомеатальный комплекс и состояние задних клеток решетчатой кости. Полное затенение пазухи может быть обусловлено как жидкостью, так и утолщенной слизистой. В возрасте до 3 лет пазухи ещё не пневмотизированы, потому стандартная рентгенография у них неинформативна.
Уровень жидкости (стрелка) в верхнечелюстной пазухе. Рентгенография в боковой проекции.
Полипозный синусит в правой верхнечелюстной пазухе и ретенционная киста в левой. Рентгенография во фронтальной (затылочно-лобной) проекции.
Компьютерная рентгеновская томография (КТ)
КТ является методом выбора при хронических синуситах, так как даёт возможность понять анатомические предпосылки к процессу. Основной диагностической плоскостью для шаговых КТ служит корональная. Срезы должны быть 2-3 мм толщиной и с высоким разрешением. Реформированные изображение имеют меньшее разрешение и, потому, нежелательны. Однако они могут стать вынужденной мерой при наличии артефактов от металлических зубных конструкций. Спиральная КТ позволяет уменьшить толщину срезов до 1 мм, что улучшает качество реформированных изображений. При использовании спиральной КТ нет необходимости во фронтальных укладках.
В костном окне хорошо виден остиомеатальный комплекс, а в мягкотканном - жидкость, полипы, распространение процесса за пределы синусов, в том числе на орбиту, подвисочную ямку и мозг.
Наиболее типичной находкой при острых синуситах является полипозное утолщение слизистой. В пазухе может быть выявлена жидкость, причем её заполнение может быть полным или частичным. При хронических синуситах часто вовлекаются клетки решетчатой кости. Помимо утолщенной слизистой видны полипы и ретенционные кисты. Ретенционные кисты (мукоцеле) чаще всего наблюдаются в лобных и верхнечелюстных пазухах.
Главным недостатком КТ является сложность в дифференцировке опухоли, локализующейся в синусе, от застойной жидкости.
Правосторонний этмоидит (стрелка). КТ. Фронтальная плоскость.
Киста (мукоцеле) лобной пазухи. КТ. Фронтальная плоскость.
Магнитно-резонансная томография
МРТ придаточных пазух особенно важна в диагностике осложнений, особенно, распространения инфекции в полость черепа.
Стандартное исследование предполагает корональные Т1- и Т2-зависимые МРТ
изображения. Подавление сигнала от жира рекомендуется, но не является обязательным. Необходимость других проекций и импульсных последовательностей диктуется конкретной клинической ситуацией. При подозрении на опухоль рекомендуется исследование с контрастированием.
Жидкость, ретенционные кисты и отёчная слизистая гиперинтенсивны на Т2-зависимых МРТ изображениях. Т1-зависимые МРТ изображения иногда вносят ясность, так как ретенционные кисты могут быть светлее за счет повышенного содержания белка. Жидкость, напротив, обычно темнее воспаленной слизистой.
Главным недостатком МРТ является плохая визуализация костных границ синусов. Кроме того, отмечается высокий уровень ложно-положительных результатов. Небольшой гиперинтенсивных сигнал от слизистой на Т2-зависимых томограммах при отсутствии клинической симптоматики наблюдается часто у здоровых лиц. Таким образом, при неосложненных острых синуситах МРТ не является обязательной диагностической процедурой.
Этмоидит. МРТ придаточных пазух носа. Поперечная плоскость (увеличение), Т1-зависимое МРТ изображение.
Что показывает КТ пазух носа? Как делают, КТ или МРТ что лучше?

Околоносовые пазухи (синусы) представляют собой углубления в костях черепа. Слизистые оболочки полостей чувствительны к воздействию бактерий и вирусов и часто воспаляются на фоне простуды, гриппа, хронических заболеваний, инфекций во рту. КТ носа - один из самых точных методов диагностики патологий на любых стадиях развития.
Синусы - сравнительно небольшие по размеру структуры, и для их изучения необходим диагностический прибор с высокой разрешающей способностью. Этому условию соответствуют МСКТ - современные мультиспиральные томографы. Приборы оснащены большим количеством излучателей и детекторов рентгеновских волн. За одно вращение сканирующей системы регистрируются сразу несколько срезов, что обеспечивает максимальную точность информации и сокращает время процедуры.

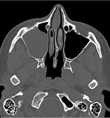
Тотальное заполнение жидкостью (кровью?) левой верхнечелюстной пазухи, повреждение носовой перегородки на компьютерной томограмме
Что показывает КТ пазух носа
Процедура КТ носа и околоносовых пазух дает возможность изучить строение анатомических структур и выявить особенности патологического процесса. Обследование рассматриваемой области на компьютерном томографе показывает:
деструктивные изменения и травматические повреждения лицевых костей;
утолщение слизистой оболочки носа и синусов;
искривление носовой перегородки;
воспаления внутри пазух (КТ покажет гайморит, фронтит, этмоидит, сфеноидит);
абсцессы носовой перегородки;
полипы, гранулемы, кисты слизистой оболочки воздухоносных полостей лицевого черепа;
опухоли в околоносовых пазухах;
скопление крови, экссудата, гноя в синусах;
инородные тела в носовых ходах и костных углублениях;
кровоизлияния в пазухи и мягкие ткани;
стоматологические патологии (врастание корня или смещение зуба в гайморову пазуху);
воспаления в горле и носоглотке;
остеомиелит лицевых костей;

Киста в носовой пазухе
Как делают КТ пазух носа
Не все пациенты знают, что представляет собой КТ пазух носа, как делают процедуру, и насколько она безвредна. Как и любое рентгеновское обследование, компьютерная томография дает человеку определенную дозу радиации. Но при соблюдении мер предосторожности ухудшения здоровья можно не опасаться.
Обследование не причинит вреда, если пациент будет руководствоваться следующими принципами:
проходить КТ по направлению врача в случае недостаточной информативности иных диагностических методов;
принимать во внимание имеющиеся противопоказания;
учитывать суммарную дозу облучения при различных исследованиях в течение года;
при необходимости сделать повторный анализ рассматривать возможность не компьютерной диагностики, а МРТ (она считается безопасной даже для маленьких детей).
Томограф, на котором проводят КТ носа и околоносовых пазух, включает в себя передвижную кушетку и рентгеновскую установку. Устройство сканирует носовые пазухи, изображения поступают на компьютерный монитор, специалист их анализирует и занимается подготовкой описания.
Перед процедурой пациента просят снять с себя все, что содержит металл: очки, зубные протезы, шпильки, серьги, слуховой аппарат и прочее, чтобы избежать искажения снимков. Врач коротко рассказывает о КТ пазух носа - что это, сколько длится сеанс, как себя вести и что делать при появлении дискомфортных ощущений. Пациент располагается на кушетке, которую помещают в кольцо томографа. Сканирование занимает около 10 минут: все время необходимо лежать без движения.
Если требуется контрастирование, процедура состоит из двух частей. Сначала делают обычные снимки, затем обследование останавливают, вводят необходимый препарат и продолжают диагностику.
Компьютерная томография пазух абсолютно безболезненна. Единственный раздражающий фактор - характерные щелчки аппарата, но эта проблема легко решается при помощи противошумных вкладышей или наушников.

Фото: Процедура компьютерной томографии придаточных пазух носа
Подготовка к исследованию околоносовых пазух
Если не планируется применение контраста, КТ носа не требует никакой подготовки. Вам не надо будет соблюдать диету или менять привычный образ жизни.
Диагностику с контрастированием предваряет определение уровня креатинина в крови. Повышение показателей свидетельствует о проблемах с почками, при которых процедура противопоказана.

КТ с контрастом: процесс внутривенного введения усилителя - фото
Дополнительная подготовка рекомендуется женщинам в период лактации. После обследования с контрастом придется отказаться от двух кормлений подряд (молоко сцеживают и выливают). Лучше заранее позаботиться о запасах питания для малыша.
Что лучше - МРТ или КТ пазух носа
Многих пациентов интересует вопрос, что лучше - КТ или МРТ придаточных пазух носа. Данные способы диагностики решают разные задачи, поэтому выбор метода обследования зависит от конкретного случая.
В основе МРТ - влияние радиочастотных импульсов на объект, помещенный в магнитное поле высокой напряженности. С помощью этой технологии лучше всего изучать сплошные мягкие ткани. КТ применяет рентгеновское облучение, которое наиболее четко визуализирует кости и полые органы. К последним и относятся носовые пазухи.
Магнитную томографию делают:
для подтверждения/исключения перфорации дна гайморовой пазухи в результате травм или стоматологических заболеваний;
при подозрении на опухоль, полипы, кисту;
для оценки состояния слизистых оболочек синусов;
при головных болях неясного происхождения.
Также МРТ показывает воспалительные явления и кровоизлияния в околоносовые полости.

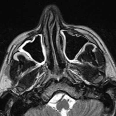
Магнитная томография околоносовых пазух: левосторонний сфеноидит
КТ-диагностику придаточных пазух делают при острых воспалениях, рецидивирующих синуситах. Исследование на компьютерном томографе покажет трещины и переломы лицевых костей, остеомиелит, осложнивший травму или стоматологическое заболевание, метастазы, распространившиеся из соседних анатомических участков.

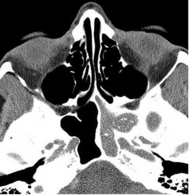
Компьютерная томограмма носовых пазух: правосторонний гайморит
Отдавая предпочтение магнитно-резонансному обследованию или КТ носа, врач учитывает ограничения. МРТ не проводят при наличии на (в) теле элементов из металла. Происходящие в томографе процессы могут вызвать повреждение данных конструкций и самого аппарата. КТ пазух носа - это не магнит, а рентген. Металлические объекты не нарушают работу устройства, но могут проявиться на фото и спровоцировать погрешности в описании.
Из-за облучения к КТ-исследованию гайморовых пазух носа не допускаются беременные женщины (любая доза радиации вредна для плода). В такой ситуации лучший вариант - МРТ, диагностика проводится строго по показаниям.
КТ носа с контрастом
Мультиспиральные аппараты способны предоставить достаточно информации о костных структурах и присутствии в синусах жидкости, поэтому чаще КТ-анализ носа и околоносовых пазух делают без контраста. При подозрении на наличие опухоли необходимы более детальные изображения. Для повышения качества картинки применяют контрастирующее средство.
В вену вводят специальный препарат с йодом. Вещество быстро распространяется по тканям организма и окрашивает мельчайшие сосуды, включая те, которые питают новообразование. После новой серии КТ-снимков полости носа врач получает достоверные сведения о расположении и размерах опухоли, имеющей собственную сосудистую сетку. Выявляя очаги дополнительного кровоснабжения, спиральная томография (МСКТ) помогает обнаружить новообразования на начальных стадиях.

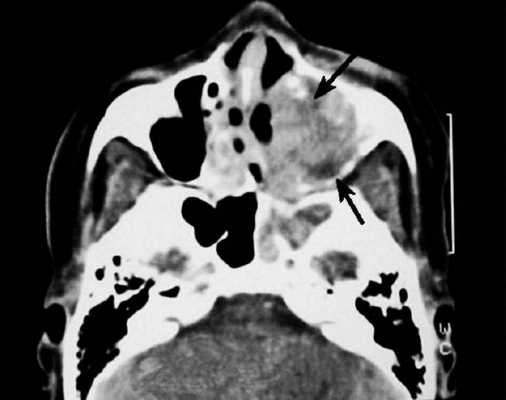
Плоскоклеточный рак на КТ носовых пазух с контрастом. Ткань опухоли отмечена длинной стрелкой, деструктивные изменения кости левого верхнечелюстного синуса - короткой.
Показания и противопоказания к томографии
Прежде всего, компьютерная томография пазух носа делается для диагностики воспалений слизистых оболочек, особенно при образовании гноя или рецидивирующем течении синусита.
Другие показания к проведению процедуры:
частые головные, лицевые, зубные боли на фоне заложенности носа и обильных выделений;
хронические простуды с регулярными обострениями;
повторяющиеся носовые кровотечения, не связанные с повышением артериального давления;
болевые ощущения, чувство распирания в области пазух;
затруднение носового дыхания;
воспаление носослезного канала;
подозрение на кисту, полип, абсцесс, опухоль;
орбитальные и внутричерепные осложнения инфекционных заболеваний ЛОР-органов;
попадание постороннего предмета в воздухоносную полость;
подозрение на кровоизлияние в пазухи;
отеки, боли в носовой области;
гранулемы, кисты около корней зубов верхней челюсти.
КТ полости носа и околоносовых пазух является важным мероприятием при планировании операций и контроле динамики после хирургического вмешательства. Обследования проводятся при неэффективности лечения синуситов с целью коррекции тактики терапии.
Противопоказания к компьютерной томографии:
ранний возраст (из-за вреда облучения КТ не рекомендуют делать детям до 5 лет);
вес пациента выше 150 кг и обхват груди (живота) больше 150 см.
Обследование с контрастом не проводится при:
аллергии, непереносимости йода;
гиперфункции щитовидной железы;
тяжелой печеночной либо почечной недостаточности;
приеме метформина больными сахарным диабетом.

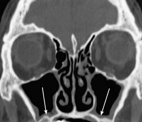
КТ носовых пазух (фронтальный срез). Стрелками отмечено утолщение слизистых оболочек
Фото томографии пазух носа
Снимки МСКТ показывают контуры, структуру, плотность всех частей пазух. По фото врач может произвести оценку:
расположения носовой перегородки;
путей дренирования синусов;
симметричности сторон носа и пазух;
степени пневматизации придаточных полостей;
состояния слезных протоков.
КТ дает изображения в поперечной (аксиальной) проекции. В специальной программе фото можно увеличить и рассмотреть мельчайшие детали. При помощи реформатирования рентгенолог реконструирует картинку в желаемой анатомической плоскости. Чаще всего это две дополнительные проекции - корональная (фронтальная) и сагиттальная (делит объект на левую и правую части). Также есть возможность создать объемную модель, отрезать «лишние» фрагменты, что упрощает изучение области интереса и облегчает трактовку данных.

Процесс оценки врачом компьютерной томограммы
КТ или МРТ пазух носа
У нас есть услуга «второе мнение». В клинику можно обратиться с уже описанными снимками или просто принести томограммы и получить консультацию по результатам КТ или МРТ придаточных пазух носа.
Читайте также:
