КТ, МРТ при отеке заглоточного пространства
Добавил пользователь Владимир З. Обновлено: 21.11.2025
Актуальность проблемы. Злокачественные опухоли полости рта и ротоглотки составляют по данным разных авторов около 2-5% от всех злокачественных новообразований и число новых случаев растет. Морфологически 90% таких опухолей приходится на плоскоклеточный рак (ПКР). Соотношение мужчин и женщин - 3:1. Средний возраст больных - 60 лет [1,2].
Несмотря на визуальную локализацию, диагностика злокачественных опухолей орофарингеальной зоны представляет определенные трудности. Оценка распространенности опухолевого процесса в полости рта производится при визуальном осмотре и пальпаторном исследовании, которое не позволяет оценить распространенность опухолевого инфильтрата за пределы видимых изменений слизистой [3]. Для оценки размера первичной опухоли, ее местного распространения в мышечную ткань и на слизистую оболочку, а также в шейные лимфатические узлы, клиническое обследование бывает недостаточным, т.к. часто недооценивается объем опухоли, особенно в случае поздней стадии заболевания ввиду склонности таких опухолей к распространению по подслизистой основе. В большинстве случаев сложно оценить поражение костных структур, протяженность поражения по нижней челюсти [4,5,6]. Изучение возможностей мультиспиральной компьютерной томографии (МСКТ), МСКТ с болюсным внутривенным контрастированием и магнитно-резонансной томографии (МРТ) при диагностике новообразований орофарингеальной зоны необходимо для долечебного стадирования опухолевого процесса, создания концепции консервативного (химиолучевого) лечения, а также дальнейшего планирования тактики и объема оперативного вмешательства. Также существует потребность в доработке и усовершенствовании алгоритма обследования пациентов с данной патологией.
Цель исследования. Оценить возможности МСКТ с внутривенным контрастированием и МРТ в выявлении и долечебном стадировании рака полости рта и ротоглотки. Усовершенствовать алгоритм лучевого обследования больных с опухолевым поражением орофарингеальной зоны.
Материалы и методы. МСКТ-исследования полости рта и ротоглотки проводились на аппарате Bright Speed 16 (General Electric). Сканирование выполнялось в спиральном режиме с толщиной томографического среза 2,5 мм, с шагом томографирования 2,5 мм до и поcле внутривенного болюсного введения контрастного вещества. Контрастное усиление достигалось путем введения 100 мл неионного контрастного вещества при скорости введения 3 мм/сек, время задержки сканирования 40 секунд. Зона сканирования включала в себя область от основания черепа до яремной вырезки. Сырые данные повторно реконструировали с шагом реконструкции 1.25 мм. В последующем выполнялось построение многоплоскостных реформаций изображений (МРR) на рабочей станции. МРТ проводилась на аппарате «Excelart Vantage» 1,5 Т (Toshiba). Исследования дна полости рта методом МРТ проводилось в режимах Т1-ВИ, Т2-ВИ, STIR в сагиттальной, коронарной и трансверзальной проекциях с толщиной среза 5 мм с использованием шейной катушки. В исследовании участвовали 50 пациентов (45 мужчин, 5 женщин) в возрасте от 41 до 73 лет. Результаты во всех случаях сопоставлялись с данными, полученными при патогистологических и интраоперационных исследованиях.
Результаты. Из 50 пациентов у 12 человек (24%) опухоль располагалась в области языка, у 15 пациентов (30%) в области дна полости рта, на миндалинах у 16 человек (32%), мягком небе - 5 человек (10%), слизистая щеки - 1 пациент (2%), альвеолярный отросток - 1человек (2%). По распространенности опухолевого процесса 29 пациентов были с Т3 стадией (58%), 7 пациентов с Т4 (14%), 12 пациентов с Т2 (24%), 2-с Т1(4%). По степени поражения лимфатических узлов 14 человек с N1(28%) стадией, 10 - с N2(20%), у 2 человек - N3 стадия (5%). В 2 случаях (4%) было выявлено поражение нижней челюсти.
Анализ результатов МСКТ и МРТ у больных с установленным диагнозом рака орофарингеальной зоны включал оценку размеров опухоли, распространенности опухолевого процесса по мышцам и костным структурам, переход за среднюю линию, степень инфильтрации межмышечной и подкожной клетчатки, поражение лимфатических узлов. Было установлено, что МСКТ - семиотика плоскоклеточного рака полости рта и ротоглотки соответствует МРТ-семиотике и включает в себя прямые и косвенные признаки. Прямыми признаками злокачественной опухоли являлись объемное разрастание патологической ткани, истончение жирового слоя или полная облитерация жировых пространств, инфильтрация мышечной ткани и костная деструкция. Косвенными признаками были структурная неоднородность ткани (при наличии некроза), изменение показателей плотности после введения контрастного вещества при МСКТ - исследовании и изменение сигнала при МРТ.
С помощью КТ сложно было выявлять опухоли малых размеров (Т1стадия) и их границы в результате низкой контрастности, а также новообразования с поверхностным распространением (рис. 1). Вместе с тем, 72,0% обследованных больных имели Т3, Т4 стадии опухолевого процесса и после болюсного введения контрастного вещества контрастность опухоли повышалась. С увеличением размера опухоли отмечалась неоднородность усиления из-за наличия некроза (рис. 2). Жировые пространства подъязычной области в нормальном состоянии представляют собой симметричную зону низкой плотности между челюстно-подъязычной и подбородочно-подъязычной мышцами. Облитерация жировых пространств подъязычной области служила основным показателем опухолевого поражения при выявлении небольших образований дна полости рта (рис. 3,4).

Рис.1. Пациент Ж., 58 лет. МСКТ ротоглотки в аксиальной проекции: А - нативное исследование, В - с внутривенным болюсным контрастированием. Небольшая инфильтративная опухоль ротоглотки (левой небной миндалины Т1 стадии). Границы опухоли не дифференцируются, накопление контраста слабое (показатели плотности в нативной фазе исследования 45 ед.Н, после внутривенного болюсного усиления - 56 ед.Н). Определяется смещение левой стенки ротоглотки, сглаженность контура (стрелки)
Рис. 2. Пациент К., 65 лет. МСКТ полости рта с внутривенным болюсным контрастированием в аксиальной проекции. Опухоль передних отделов дна полости рта Т4 стадии. Выявляется опухолевое образование размерами 4,5х3,5 см (стрелки) неоднородной структуры. Отмечается инвазия опухоли в нижнюю челюсть
Рис.3. Пациент Ч.,54 года. МСКТ в аксиальной проекции с внутривенным болюсным контрастированием. Небольшая опухоль дна полости рта с переходом за среднюю линию (стрелки). Инфильтрация жировых пространств дна полости рта
Рис.4. Пациент П., 48 лет. МСКТ полости рта с внутривенным болюсным контрастированием. В передних отделах дна полости рта центрально и слева дифференцируется участок низкой плотности размерами 0,8х0,4 см (стрелки). Накопление контраста слабое, показатели плотности 65-67 ед.Н. Границы опухоли четко не определяются, при этом распространения за среднюю линию не обнаружено. Отмечается облитерация жировой клетчатки подъязычной области слева. Справа жировые прослойки дифференцированы, мышцы не изменены. Лимфатические узлы шеи не увеличены
Сложно было выявлять опухоли малых размеров (Т1,Т2 стадии), расположенные в передних отделах дна полости рта из-за расположенных рядом костных тканей, зубов, наличия пломбировочного материала вследствие выраженных артефактов от плотных структур. В ряде случаев визуализацию облегчало наличие язвенного дефекта в структуре опухоли (рис. 5). При всех опухолях Т3, Т4 стадии определялось повышение плотности после введения контрастного вещества, их края четко визуализировались относительно окружающих тканей. Во всех случаях Т3, Т4 стадии удавалось определить размер опухоли и оценить инфильтрацию и распространение в соседние зоны, а также за среднюю линию (рис. 6).
Особенностью МРТ являлась высокая контрастность мягких тканей. Плотные костные ткани или зубоврачебный материал не создавали артефактов, что давало возможность получать четкое изображение опухоли полости рта, определять распространение в мягкие ткани, глубокие отделы орофарингеальной зоны, в область неба. На Т1-ВИ все опухоли имели ту же интенсивность сигнала, как у окружающих мышц или слабее (рис.7).
Рис. 5. Пациент З.,61 год. МСКТ ротоглотки в аксиальной проекции с внутривенным болюсным контрастированием. Опухоль Т2 стадии левой боковой поверхности языка в средней трети. Щелевидная язва, окруженная ободком повышенной плотности (стрелки)
Рис.6. Пациент З., 73года. МСКТ полости рта, ротоглотки в аксиальной проекции с внутривенным болюсным контрастированием. В области корня языка и средней трети визуализируется опухолевый узел размерами 6,4х4,5 см без признаков некроза, с инфильтрацией жировых пространств справа (стрелки). Опухоль накапливает контраст, повышая плотность до 80 ед.Н
Рис.7. Пациент С., 55 лет. МРТ ротоглотки в сагиттальной проекции в режиме Т1-ВИ. Опухоль дна полости рта с переходом на нижнюю поверхность языка (стрелки)
После введения контрастного вещества все опухоли показывали усиление сигнала. При локализации опухолевого процесса в области языка (12 пациентов) границы опухоли визуализировались более четко. В режиме Т2-ВИ опухолевые узлы проявлялись более высокой интенсивностью сигнала, чем у окружающих мышц (рис. 8).
Сложно было с помощью МРТ визуализировать опухоли любых размеров с поверхностным распространением, не выходящие за пределы слизистой оболочки. Опухоли малых размеров (Т1 стадия) в 2 наблюдениях были однородны, не имели центральной зоны некроза и сливались с мышцами. С увеличением размера опухолевого узла отмечалась неоднородность структуры. В наших исследованиях удалось выявить небольшие опухоли Т1 и Т2 стадий, локализованные в области языка и дна полости рта. В 9 наблюдениях опухоли Т2 стадии, не накапливающие контраст при МСКТ исследовании, хорошо визуализировались при МРТ в режимах Т2-ВИ, STIR, проявляясь сигналом высокой интенсивности. Можно было четко видеть границы опухоли и оценить ее размеры (рис. 9,10).
Рис. 8. Пациент П., 76 лет. МРТ полости рта в сагиттальной проекции в режиме Т2-ВИ. Опухоль языка, высокая интенсивность сигнала на фоне окружающих мышц (стрелки)
Рис. 9. Пациент А., 66 лет. МРТ дна полости рта в сагиттальной проекции в режиме Т2-ВИ. Опухоль дна полости рта размерами 2,0х1,8 см с распространением на основание языка Т1N0M0 (стрелки). Границы опухоли четко визуализируются, структура однородная
Не возникало сложностей в выявлении опухолевых узлов Т3, Т4 стадий, имевших все отмеченные выше признаки в различных сочетаниях в 36 исследованиях (рис. 11). Из 50 обследованных с помощью МСКТ и МРТ пациентов у 26 (52,0%) были выявлены метастазы в лимфатических узлах шеи. Поражались преимущественно лимфатические узлы I-II уровня. Признаками метастаза плоскоклеточного рака в лимфатических узлах были: увеличение размера лимфатического узла более 1,0 см, изменение формы лимфатического узла с бобовидной на округлую, структурные нарушения в узле, нечеткость наружных контуров узла, уплотнение окружающей жировой ткани на КТ или изменение сигнала на МРТ.

Рис. 10. А. Пациент Е., 52 года. МРТ полости рта, ротоглотки в аксиальной проекции, Т1-ВИ. Опухоль языка небольших размеров, границы визуализируются с трудом за счет перифокального отека (стрелки); В. Тот же пациент. МРТ в аксиальной проекции, Т2 с подавлением сигнала от жировой ткани. Визуализируются границы опухолевого узла, размеры опухоли языка четко определяются (стрелки)
Рис. 11: А. МРТ полости рта, ротоглотки в аксиальной проекции. Рецидив опухоли языка размерами 6,0х6,5 см с распространением на дно полости рта, правую боковую стенку ротоглотки (стрелки). Выявляется переход за среднюю линию; В. Тот же больной. МРТ полости рта, ротоглотки в коронарной проекции. Опухолевый узел показан стрелками. Просвет ротоглотки сужен, деформирован. Опухоль имеет низкий сигнал на Т1-ВИ, аналогичный сигналу от окружающих мышц, при этом размеры опухолевого узла, его объемные характеристики позволяют четко отграничить от интактных тканей. Также отмечается структурная неоднородность патологического образования за счет некроза
Большинство пораженных метастазами лимфатических узлов имели размеры более 1,0 см, округлую форму (рис. 12). Внутривенное контрастирование при оценке изменений в лимфатическом узле являлось обязательным условием для уточнения внутренней структуры и выявления зон некроза. В результате гипоксии и распада ткани формируется центральная зона некроза, не накапливающая контрастный препарат при внутривенном болюсном усилении. При этом отмечается повышение плотности в периферических отделах лимфатического узла (рис. 13).
Рис. 12. Пациент П., 68 лет. МРТ полости рта, ротоглотки в коронарной проекции. Выявляется увеличенный подчелюстной лимфатический узел округлой формы, неоднородной структуры (стрелки)
Рис. 13. Пациентка К.,64 года. МСКТ ротоглотки, шеи в аксиальной проекции с внутривенным болюсным контрастированием. Рак языка с метастазами в лимфатические узлы средней яремной группы. Отмечается контрастирование пораженных лимфатических узлов по периферии, низкой плотности центральная зона некроза (стрелки). Билатеральное поражение
Рис. 14. Пациент К., 56 лет. МСКТ полости рта в аксиальной проекции в костном режиме. Выявленная в мягкотканном режиме опухоль дна полости рта слева прилежит к слизистой оболочке альвеолярного края нижней челюсти. В костном режиме выявляется очаг деструкции кортикального слоя нижней челюсти слева
Клиническая оценка инвазии опухоли в нижнюю челюсть проводилась на основании клинических симптомов и признаков, а также выполняли пальпацию двумя руками для оценки степени подвижности опухоли относительно нижней челюсти. При этом результаты клинического осмотра всегда требовали корреляции с данными визуализирующих исследований. От степени распространения опухоли зависит объем резекции в соответствии с онкологическими требованиями.
В наших исследованиях у 4 пациентов (3,0%) с первично установленным диагнозом опухолевого поражения полости рта выявлена деструкция нижней челюсти. Очаги лизиса были представлены на КТ-изображениях в виде участков нарушения целости или эрозий кортикального слоя. Признаком поражения костного мозга при КТ была замена низкой плотности нормальной жировой ткани на плотность мягких тканей (рис. 14).
При МРТ-исследованиях оценка инфильтрации костной ткани проводилась по следующим показателям: отсутствие типичного гипоинтенсивного сигнала от кортикального слоя на Т1-ВИ и Т2-ВИ, появление сигнала высокой или средней интенсивности на Т1-ВИ и Т2-ВИ, соответствующего опухолевой ткани, появление гипоинтенсивного сигнала на Т1, гиперинтенсивного сигнала на Т2 или Т2 с подавлением сигнала от жировой ткани, что демонстрировало поражение костного мозга (рис. 15).

Рис. 15. Пациент С.,52 г. МРТ полости рта в аксиальной проекции в режиме Т2-ВИ (А) и Т1-ВИ (В). Рак дна полости рта с распространением на нижнюю челюсть, инфильтрацией мягких тканей щечной, подбородочной области слева. Выявляется деструкция кортикального слоя нижней челюсти слева, поражение костного мозга (стрелки)
Выводы. МСКТ и МРТ являются высокоэффективными методами в обнаружении опухолей полости рта и ротоглотки, а также в оценке степени распространения опухолевого процесса. Алгоритм лучевого обследования пациентов с опухолевым процессом данной локализации должен включать обязательное МСКТ-исследование с внутривенным болюсным контрастированием. МРТ следует рассматривать как метод выбора у пациентов с опухолями малых размеров, в случаях низкой контрастности опухоли на МСКТ-изображениях, а также при наличии выраженных артефактов от зубоврачебного материала, костей. Использование предложенного алгоритма обследования позволяет получать всю необходимую информацию за короткое время одного исследования, не удлиняя период обследования онкологического больного.
Список использованных источников:
1. Аксель Е.М. Злокачественные новообразования в странах СНГ// Матер. III съезда онкологов и радиологов СНГ. - Минск, 2004. - Ч. 1. - С. 210-211.
2. Чиссов В.И., Старинский В.В., Петрова Г.В. Злокачественные новообразования в России в 2007 году. - М. - 2009. - 244 с.
3. Lenz M., Greess H., Baum U., Dobritz M., Kersting-Sommerhoff B. Oropharynx, oral cavity, floor of the mouth: CT and MRI// Eur J Radiol. 2000 Mar;33(3):203-15.
4. Mukherji S.K., Isaacs D.L., Creager A., Shockley W., Weissler M., Armao D. CT detection of mandibular invasion by squamous cell carcinoma of the oral cavity// Am J Roentgenol. 2001 Jul;177(1):237-43.
5. Lenz M., Hermans R. Imaging of the oropharynx and oral cavity. Part II: pathology// Eur. Radiol. 1996;6:536-49.
6. Yuasa K., Kawazu T., Nagata T et al. Computed tomography and ultrasonography of metastatic cervical lymph nodes in oral squamous cell carcinoma// Ultrasound Q. 2010; 26(1):45-51.
Подписано в печать: 07.05.2013
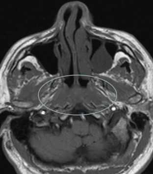
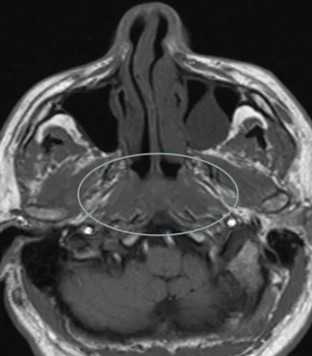
Заглоточный абсцесс
Заглоточный абсцесс — это гнойное воспаление расположенной в заглоточном пространстве клетчатки. Возникает в результате травмирования глотки или распространения гноеродных микроорганизмов из находящегося в носоглотке или ухе инфекционного очага. Заглоточный абсцесс проявляется интенсивной болью в горле, приводящей к нарушению глотания и отказу от пищи; гнусавостью или охриплостью голоса, затруднением дыхания, повышением температуры тела, увеличением шейных и затылочных лимфоузлов. Диагностика заболевания осуществляется с применением фарингоскопии, бакпосева мазка из зева, ПЦР-диагностики, RPR-теста. Лечение большинства заглоточных абсцессов - это хирургическое вскрытие и дренирование. Оно проводится на фоне системной комплексной терапии антибактериальными, противовоспалительными и гипосенсибилизирующими препаратами.
Общие сведения
Наибольшую склонность к образованию заглоточного абсцесса имеют дети в возрасте до 4 лет. Это обусловлено имеющимися у них особенностями строения заглоточного пространства: большой рыхлостью клетчатки и наличием в ней лимфатических узлов, которые после 6-ти лет полностью атрофируются. Самая высокая заболеваемость заглоточным абсцессом отмечается среди детей от 2 месяцев до 1 года. Во взрослом возрасте заглоточный абсцесс встречается достаточно редко и обычно является следствием травматического повреждения глотки. Однако современная отоларингология отмечает увеличение числа случаев заглоточного абсцесса у взрослых пациентов.
Причины
Причиной возникновения заглоточного абсцесса в детском возрасте чаще всего является инфекция. Первичным очагом инфекции может быть гнойный отит, мастоидит, осложнившийся паротит, фарингит, ринит, синусит, тонзиллит. Распространение инфекционного процесса в заглоточное пространство происходит по лимфатическим путям с поражением заглоточных лимфатических узлов. Благоприятствующим этому фактором является ослабленное состояние организма ребенка, сниженный иммунитет, наличие диатеза или рахита. У детей заглоточный абсцесс может развиваться на фоне острых инфекционных заболеваний: ОРВИ, кори, скарлатины, дифтерии, гриппа. В редких случаях он является осложнением аденотомии или тонзиллэктомии.
Во взрослом возрасте на первое место среди причин формирования заглоточного абсцесса выходит травматический фактор. Повреждение глотки может произойти рыбной костью, грубой пищей, инородным предметом. Травматизация глотки возможна при проведении гастроскопии, бронхоскопии, установке назогастральной трубки и эндотрахеальном наркозе.
Заглоточный абсцесс у взрослых может возникать как осложнение тяжелой ангины. В некоторых случаях он оказывается вызван специфической микрофлорой и является следствием туберкулеза или сифилиса, протекающих с поражением шейного отдела позвоночника. В таких случаях говорят о «холодном» заглоточном абсцессе. Риск развития заглоточного абсцесса повышен у пациентов с хроническими заболеваниями и сниженным иммунитетом, при наличие сахарного диабета, злокачественной опухоли, ВИЧ-инфекции.
Классификация
Заглоточный абсцесс классифицируется в зависимости от расположения. Выделяют следующие виды заглоточных абсцессов:
- эпифарингеальный — расположенный выше небной занавески;
- мезофарингеальный — локализующийся между корнем языка и краем небной занавески;
- гипофарингеальный — находящийся ниже корня языка;
- смешанный — занимающий несколько анатомических зон.
Симптомы заглоточного абсцесса
Заглоточный абсцесс характеризуется острым началом с повышением температуры тела до 39-40 °С и нарушением общего состояния. Развитие заглоточного абсцесса на фоне уже имеющегося инфекционного заболевания проявляется резким ухудшением состояния пациента и появлением новых симптомов. Дети становятся плаксивыми и беспокойными, происходит нарушение сна, характерен отказ от еды, а у детей грудного возраста — нарушение сосания.
Одним из первых признаков формирования заглоточного абсцесса является боль в горле. Больные отмечают усиление боли во время глотания, затруднение при проглатывании пищи. Боль в горле часто настолько сильно выражена, что пациенты отказываются от еды. При расположении заглоточного абсцесса в верхнем отделе глотки наблюдается нарушение носового дыхания, у взрослых и детей старшего возраста появляется гнусавость голоса. Если заглоточный абсцесс локализуется в среднем или нижнем отделе глотки, то появляется охриплость голоса и затрудненное дыхание, могут возникать приступы удушья. Наблюдается одышка с затрудненным вдохом (инспираторная). В вертикальном положении пациента отмечается усугубление нарушений дыхания из-за стекания гноя вниз и перекрытия им просвета трахеи. Может появляться клокотание в горле, что чаще всего происходит в период сна.
Заглоточный абсцесс сопровождается лимфаденитом регионарных лимфатических узлов. Боковые верхнешейные и затылочные лимфоузлы становятся припухлыми и болезненными. Типично вынужденное положение пациента: его голова запрокинута назад и повернута в ту сторону, где располагается заглоточный абсцесс. Во многих случаях на стороне заглоточного абсцесса отмечается отек участка шеи, расположенного позади угла нижней челюсти.
Осложнения
Распространение инфекции из заглоточного абсцесса по верхним дыхательным путям может привести к появлению бронхопневмонии. Нарушение дыхательной функции способствует развитию застойной пневмонии. Реже наблюдается гематогенное распространение инфекции в полость черепа с возникновением абсцесса головного мозга или гнойного менингита. В отдельных случаях при заглоточном абсцессе рефлекторно может произойти остановка сердечной деятельности.
Грозным осложнением заглоточного абсцесса является асфиксия — удушье в результате перекрытия просвета дыхательных путей. Асфиксия может возникнуть из-за выраженного отека гортани или при самопроизвольном вскрытии заглоточного абсцесса с излитием в просвет гортани большого количества гнойных масс. При вскрытии абсцесса в заглоточное пространство гной по рыхлой клетчатке распространяется на крупные сосуды шеи или просачивается в средостение. Поражение сосудов может стать причиной аррозивного кровотечения, тромбоза яремной вены или флебита. Проникновение инфекции в средостение вызывает развитие гнойного медиастинита, который быстро приводит к возникновению сепсиса.
Диагностика
Заглоточный абсцесс диагностируется отоларингологом на основании данных, полученных в ходе осмотра пациента и проведения фарингоскопии. При осмотре обращает на себя внимание вынужденное положение головы пациента, локальный отек в области шеи, увеличение лимфатических узлов и их болезненность при пальпации. Фарингоскопия выявляет локальную инфильтрацию на задней стенке глотки и опухолевидную припухлость шаровидной формы. Пальцевое исследование глотки определяет болезненность в месте припухлости и наличие симптома флюктуации, свидетельствующего о том, что образование представляет собой скопление жидкого гноя.
Клинический анализ крови говорит о наличии воспалительного процесса: отмечается лейкоцитоз и повышение СОЭ до 40 мм/ч. Микроскопия и бактериологическое исследование мазка из зева позволяют определить вид возбудителя, ставшего причиной заглоточного абсцесса. Чаще всего это гемолитические стрептококки, золотистые стафилококки, клебсиела, анаэробный и эпидермальный стафилококки, кишечная палочка. Возможна туберкулезная или сифилитическая этиология абсцесса. В связи с этим проводят ПЦР-диагностику сифилиса и туберкулеза, RPR-тест, анализ мокроты на микобактерии туберкулеза.
Для выявления сопутствующих заболеваний уха и носоглотки, которые возможно стали причиной формирования заглоточного абсцесса, может потребоваться отоскопия, риноскопия, УЗИ и рентгенография околоносовых пазух, рентгенография позвоночника в шейном отделе.
Лечение заглоточного абсцесса
Выявленный заглоточный абсцесс подлежит хирургическому вскрытию и дренированию. В месте наибольшего выбухания делают разрез абсцесса скальпелем или остроконечными ножницами. В разрез вводят наконечник электрического отсоса и отсасывают гной. Важно сразу же после вскрытия заглоточного абсцесса быстро произвести отсасывание гноя, чтобы избежать его попадания в дыхательные пути. Для предупреждения затекания гноя в дыхательные пути в момент вскрытия абсцесса некоторые авторы рекомендуют предварительно производить его пункцию и отсасывать гной. В некоторых случаях после вскрытия заглоточного абсцесса края произведенного разреза слипаются, тогда прибегают к их повторному раздвиганию с использованием желобоватого зонда или щипцов Гартмана.
Низко расположенные абсцессы, сопровождающиеся затеком гноя в область шеи, вскрывают через наружный хирургический доступ. Разрез производят по передне-боковой поверхности шеи параллельно краю грудино-ключично-сосцевидной мышцы.
При наличие симптомов сдавления дыхательных путей с нарушением дыхания введение дыхательной трубки (интубация) противопоказано. В таких случаях неотложная помощь с целью восстановления дыхательной функции заключается в проведении крикотомии — разреза на передней поверхности шеи с формированием отверстия в гортанном хряще, через которое осуществляется дыхание. Для ликвидации гипоксии, возникшей из-за нарушений дыхания, дополнительно показана оксигенотерапия.
Вскрытие заглоточных абсцессов сифилитической или туберкулезной природы не проводится из-за опасности вторичного инфицирования. Лечение таких абсцессов заключается в их повторных пункциях с введением противотуберкулезных и противосифилитических препаратов непосредственно в абсцесс. Одновременно с этим назначается общая противотуберкулезная и противосифилитическая терапия.
Хирургическое лечение заглоточного абсцесса осуществляется в сочетании с системной антибактериальной терапией и санацией всех имеющихся в носоглотке или ухе инфекционных очагов. Назначаются также жаропонижающие и противовоспалительные средства (парацетамол, ибупрофен, нимесулид) и гипосенсибилизирующие препараты (дезлоратадин, лоратадин, фенспирид), поливитамины. До и после вскрытия абсцесса пациенту необходимо тщательно выполаскивать горло растворами антисептиков.
Прогноз и профилактика
Своевременное выявление и вскрытие заглоточного абсцесса в большинстве случаев является залогом благоприятного исхода заболевания. При развитии осложнений прогноз заболевания серьезный. Пациент может погибнуть от асфиксии, остановки сердца, сепсиса, аррозивного кровотечения. Однако в современной развитой медицине такие случаи встречаются крайне редко.
Наилучшей профилактикой развития заглоточного абсцесса является ранняя диагностика и корректное лечение лор-заболеваний, своевременное проведение хирургической санации гнойных очагов. Важное значение в профилактике заглоточного абсцесса травматического генеза имеет правильное проведение диагностических и лечебных процедур, связанных с введением в глотку эндоскопа или дыхательной трубки; аккуратное удаление инородных тел глотки; тщательное соблюдение техники оперативных вмешательств на структурах носоглотки (удаление опухолей глотки и аденоидов, тонзиллэктомия).
МРТ носоглотки что показывает

Носоглотка представляет собой верхнюю часть мышечной трубки размером 12-13 см. Участвует в согревании и проведении воздуха в гортань, препятствует попаданию в организм микробов.
Осипший голос, избыточное продуцирование слизи (насморк), головная боль не всегда являются признаками безобидной “простуды” или аллергии, поэтому требуют уточнения природы.

Томограмма области интереса
Магнитно-резонансную томографию данной анатомической области используют преимущественно в онкологической практике для определения стадии опухолевого процесса и получения характеристик новообразования после фиброскопии.
В оториноларингологии МРТ носоглотки выполняют для диагностики гипертрофии лимфоидной ткани, поиска осложнений воспаления - заглоточного абсцесса, свищей и пр.
Анатомические структуры, важные для оценки:
- пазухи;
- основания крыловидных отростков;
- окружающие мягкие ткани - жир, мышцы, связки;
- крылонебная ямка;
- хоаны (носовые отверстия, открывающиеся в глотку);
- выходы евстахиевых труб;
- парафарингеальное/жевательное пространство;
- мягкое небо;
- дно глазницы;
- поверхность С1-2 шейных позвонков, кости черепа, орбиты и др.
Исследование базируется на принципе магнитного резонанса и не подразумевает:
- болевых ощущений;
- проникновения в организм;
- использования рентгеновского излучения;
- инициации канцеро-, мутагенеза и других побочных эффектов - биохимических реакций в клетках не происходит.
Полученные с помощью МРТ изображения анатомических структур носоглотки, отличает высокая информативность. Врач может устанавливать толщину среза от 0,5 мм, рассматривать патологический очаг в объемном виде, в нескольких плоскостях.
Что показывает МРТ носоглотки

Рак с поражением костей основания черепа, интракраниальной и периневральной инфильтрацией (стрелки)
Магнитно-резонансная томография демонстрирует:
Чаще больные поздно обращаются к врачу с уже с распространенными поражениями на стадии Т3-4. Метастазы в лимфатические узлы шеи определяют у 80% пациентов. Типичные “ушные” и “носовые” симптомы присутствуют длительное время без реакции на лечение. Могут обнаруживаться неврологические признаки.
При своевременном выполнении МРТ носоглотки прогноз для жизни более благоприятен.
При планирования терапии врач обращает внимание на признаки:
- деструкции передней/нижней стенки основной пазухи или основания крыловидного отростка;
- инфильтрации опухолевого процесса в граничащую ямку (крылонебную).

Пролиферация (избыточное разрастание) ткани, отек, не связанные с опухолевым процессом
МРТ носоглотки показывает гипертрофию лимфоидной ткани. Бесконтрастное исследование малоинформативно для дифференциации с опухолевой патологией.
При соответствующей симптоматике (упорных головных болях, затрудненности дыхания, выделении слизи, стекании секрета по задней стенки глотки) ЛОР-врач может дополнительно назначить МРТ пазух носа, так как подобные проявления свойственны синуситам.
На фоне хронического воспалительного процесса с частыми обострениями на снимках МРТ обнаруживают:
- полипы, гранулемы, кисты;
- перфорацию дна гайморовой пазухи;
- неопухолевое утолщение (гипертрофию) слизистых оболочек;
- абсцессы, свищи;
- инородные предметы;
- искривление носовой перегородки;
- стоматологические причины, способствующие воспалению - вросший в пазуху корень зуба, сформировавшаяся полость и пр.
Как проводится МРТ носоглотки

Для диагностики необходимо выбрать удобную одежду без металлических деталей
Сделать МРТ носоглотки можно на коммерческой основе или с оплатой через фонд обязательного/добровольного медицинского страхования. Во втором случае информацию получают у лечащего врача.
При самостоятельном выборе медцентра уточните характеристики аппаратуры: у томографов с напряженностью магнитного поля менее 1,5 Тесла страдает качество снимков.
- предварительная запись;
- прибытие в клинику, оформление карты пациента, подписание договора на обслуживание;
- проверка одежды, карманов на отсутствие металлических составляющих;
- инструктаж о правилах поведения в диагностической комнате;
- укладка пациента на стол томографа;
- катетеризация локтевой вены, подсоединение аппарата для болюсного усиления (если требуется сделать МРТ носоглотки с контрастным веществом);
- нативное сканирование;
- инъекция препарата, пауза для распространения хелатированного гадолиния по сосудам;
- продолжение исследования;
- по завершении обследования извлечение катетера, санация раны.
Для связи с медперсоналом под рукой больного предусмотрена специальная кнопка. Наблюдение за ходом процедуры ведется непрерывно через окно соседней комнаты, где расположена рабочая станция.
Противопоказания

С симптомами неблагополучия со стороны уха, горла, носа необходимо обратиться к ЛОР-врачу, в сомнительных случаях доктор направит на расширенную диагностику
В проведении МРТ носоглотки и пазух носа откажут в пользу другого исследования, если:
в организме пациента функционируют электронные устройства - кардиостимулятор, порт-инъектор для подачи лекарств, кохлеарный имплантат и пр. (приборы под влиянием магнитного поля перестанут работать корректно);
установлен металлический стент, эндопротез (за исключением титанового), аппарат Илизарова, в теле больного есть осколки, стружка и т.п.;
срок беременности пациентки менее 12 недель;
ребенок не достиг месячного возраста;
состояние обследуемого осложнено выраженным болевым синдромом любой локализации, инфарктом, инсультом в остром периоде и пр.;
масса тела превышает 120 кг;
в анамнезе заболевания, проявляющиеся слабоумием, эпилептическими припадками, навязчивыми движениями, боязнью замкнутых пространств (диагностика возможна в госпитальных условиях после погружения в наркозный сон).
МРТ околоносовых пазух, носоглотки с контрастом не назначают при аллергической реакции генерализованного типа на гадолиний, терминальной стадии почечной недостаточности. Усилитель редко инициирует клинически значимые побочные эффекты, поэтому перед введением препарата не требуется оценки уровня креатинина крови.
Плюсы и минусы МРТ носоглотки
К преимуществам диагностической процедуры относят:
- дифференцированное изображение мягкотканных структур;
- меньшее количество противопоказаний к исследованию с контрастированием по сравнению с КТ;
- безопасность для пациентов без металлических имплантатов в теле;
- возможность проведения исследования у беременных женщин и детей;
- отсутствие ограничений по количеству процедур (важно для больных с опухолевой патологией, которым необходим постоянный контроль);
- одновременную демонстрацию твердых и мягких тканей, отсутствие на снимках экранирующего эффекта от костей черепа, как при рентгеновских способах диагностики;
- возможность получения изображений в разных плоскостях, что недоступно при фиброэндоскопии носоглотки.
- длительность сканирования околоносовых пазух и носоглотки составляет 35-50 минут, в ургентных ситуациях потеря времени недопустима;
- относительно высокая стоимость по сравнению с КТ;
- меньшая информативность при оценке патологий костной ткани;
- недоступность процедуры на закрытом томографе для пациентов с ожирением свыше 120 кг;
- высокая чувствительность к движениям.
КТ и МРТ носоглотки: что лучше?

Магнитно-резонансный и компьютерный снимки в оценке опухоли
В онкологической практике врачи рассматривают КТ и МРТ носоглотки, как взаимодополняющие методы визуализации. При оценке патологии на продвинутых стадиях необходимы оба вида диагностики:
- МРТ носоглотки с контрастом покажет точные границы опухоли, проникновение последней в соседние ткани;
- КТ продемонстрирует изменения в твердых структурах, когда новообразование инвазирует в кость, вызывая деструкцию (разрушение) или узурацию - формирование щели с выделением продуктов распада.
При выборе зоны для лучевого воздействия помимо компьютерной томографии обязательно требуются результаты магнитно-резонансного сканирования. Оба исследования в онкологической практике преимущественно выполняют с контрастированием.
Для первичного обследования пациента с подозрением на злокачественное новообразование носоглотки предпочтительнее сделать МРТ, так как дифференциация мягких тканей на снимках (даже без внутривенного усиления гадолинием) значительно выше, чем при компьютерной томографии.
КТ чаще используют в диагностике врожденных аномалий развития придаточных пазух носа:
- искривления перегородки;
- пневматизации одной или нескольких раковин;
- отклонений в строении решетчатых ячеек;
- переломов костей в средней зоны лица и пр.
Опухоли носоглотки часто маскируются под аллергию с хроническим насморком без идентификации патогена, синуситы с частыми обострениями и пр. МРТ помогает определить точный диагноз даже в самых сложных случаях. Жалобы, причина которых требует уточнения:
- постоянные выделения слизи, гноя, крови из носа;
- регулярные головные боли;
- изменение носового дыхания, аносмия (невозможность различать запахи);
- ощущение дискомфорта в горле и пр.
Медицинский центр “Магнит” в СПб приглашает сделать МРТ околоносовых пазух и носоглотки пациентов на высокопольном (1,5 Тесла) томографе экспертного класса Siemens. Записаться можно по телефону и через форму на сайте.
Вредна ли компьютерная томография?
Компьютерная томография представляет собой метод диагностики внутренних органов, позволяющий получить послойные снимки для обнаружения серьезных заболеваний.
КТ является лучевым методом, в основе которого лежит различное поглощение тканями рентгеновского излучения. Именно схожесть с рентгенографией заставляет многих пациентов усомниться вредно ли делать компьютерную томографию и как часто можно проходить это исследование?
Кроме того, обеспокоенность у них вызывает и необходимость применения контрастного вещества при проведении КТ с болюсным усилением, что может сопровождаться развитием аллергических реакций.

Лучевая нагрузка при компьютерной томографии
Всем известен факт, что за один год допустимо воздействие на организм человека только определенного количества облучения, которое не превышает пределов нормы. Допустимая годовая доза лучевой нагрузки составляет 150 м3в. При соблюдении данной нормы облучение не наносит вреда здоровью человека.
Например, при регулярном применении в целях профилактики флюорографии, исследования молочных желез, снимка челюсти у стоматолога, в среднем, человек получает не менее 15 м3в в год. При проведении компьютерной томографии на стандартном аппарате при исследовании головного мозга лучевая нагрузка составляет от 1 до 2 м3в, при КТ органов малого таза, легких или брюшной полости - 6-11 м3в.
По данным исследований, даже при прохождении КТ несколько раз в год, доза получаемого облучения, как правило, не превышает допустимую норму.
Вредно ли делать КТ с контрастом?
Лучевая нагрузка, по мнению некоторых пациентов, является не единственной опасностью. Конкурировать с ней в какой-то мере может рентгеноконтрастное вещество, применяемое в некоторых случаях для проведения компьютерной томографии.
Как правило, это инертное вещество, которое не впитывается в окружающие ткани. Однако вред могут нанести компоненты, входящие в его состав - у некоторых пациентов они могут стать причиной развития аллергических реакций.
Данное осложнение может возникать при наличии следующих факторов:
- повышенной чувствительности к морепродуктам и йоду;
- почечной недостаточности;
- сердечно-сосудистых заболеваний;
- заболеваний желчного пузыря и печени.
Развитие незначительных побочных эффектов наблюдается только у 1-5% пациентов. У них возникает легкая тошнота, рвота, реакции со стороны кожи, нарушение вкусового восприятия и обоняния. Как правило, данные симптомы не требуют особого лечения и исчезают сами по себе.
Известны единичные случаи развития побочных явлений средней тяжести: отека Квинке, острой дыхательной недостаточности, вызванной сужением просвета бронхов и внезапным непроизвольным сокращением мускулатуры гортани, одышки. Для устранения подобных состояний требуется оказание экстренной медицинской помощи.
В крайне редких случаях происходит развитие тяжелых побочных реакций: внезапной сердечно-сосудистой недостаточности, следствием которой может быть потеря сознания и летальный исход. Чаще всего этот вред КТ наносится пациентам-аллергикам. В подобных случаях требуется немедленное оказание реанимационных мероприятий.
При наличии в анамнезе негативной реакции на лекарственные средства с содержанием йода, перед началом компьютерной томографии с контрастным усилением пациенту вводят антигистаминное средство. Некоторым пациентам требуется проведение специальных проб, которые помогают выявить аллерген.
Развитие аллергических реакций у пациентов, склонных к ним, происходит в достаточно редких случаях. Быстрое внутривенное введение контрастного вещества сопровождается возникновением побочных эффектов намного реже, чем медленное вливание с помощью капельницы.
Показания к КТ
Компьютерная томография позволяет выявить патологический процесс и уточнить диагноз у пациентов с различными состояниями:
- диагностированным раком, метастазами, подозрением на наличие онкологического заболевания;
- частыми, продолжительными головными болями без явных причин;
- нарушением мозгового кровообращения и сопутствующими этому расстройству последствиями;
- приступами припадков, судорогами, потерей сознания;
- состояниями после перенесенных травм;
- воспалительными процессами, локализованными в различных частях тела.
- травмы головы;
- патологии головного мозга;
- патологии спинного мозга;
- нарушение целостности позвоночника;
- заболевания лор-органов;
- патологии сердечно-сосудистой системы;
- заболевания репродуктивной системы;
- патологии дыхательной системы;
- нарушения опорно-двигательного аппарата;
- патологии сосудов и лимфатической системы;
- нарушение целостности костной структуры и прочие заболевания.
Компьютерная томография обладает неоспоримыми преимуществами - с помощью данного исследования можно оценить состояние практически любого органа. Помимо этого, для уточнения патологии, выявленной ранее в ходе других обследований, также применяется компьютерная томография.

Противопоказания к КТ
Вред данное исследование может нанести только пациентам со следующими противопоказаниями:
- синдромом нарушения всех почечных функций;
- наложенным гипсом или металлической конструкцией в обследуемой области;
- клаустрофобией (боязнью замкнутого пространства);
- буйным поведением, вызванным психическими отклонениями.
Несмотря на массу положительных моментов исследования, таких как неинвазивность, быстрота выполнения, хорошая переносимость процедуры, КТ также имеет противопоказания, как и любое другое инструментальное обследование:
- Беременные. Компьютерная томография является абсолютным противопоказанием для обследования женщин «в положении». При наличии документов о том, что у женщины в скором времени появится ребенок, врач старается повременить с проведением исследования и перенести его. При чрезвычайных ситуациях процедуру следует заменить на не лучевой диагностический метод исследования. Такая предельная осторожность связана с тем, что даже малые дозы рентгеновского облучения могут пагубно сказаться на состоянии растущего организма малыша;
- Дети. Относительным противопоказанием для проведения компьютерной томографии является возраст до восемнадцати лет. Организм ребенка в пять раз более восприимчивее ко всякому роду облучению, при этом достичь снижения дозировки не всегда удается. Компьютерная томография не назначается в связи с тем, что в тканях подрастающего организма находится очень много воды (по сравнению со взрослыми), что затрудняет диагностику разных патологий. Но если другие диагностические способы не могут предоставить достаточную информацию о заболевании ребенка, то тогда специалист может принять решение о необходимости компьютерной томографии. Очень часто, врачи-рентгенологи в таких ситуациях прибегают к помощи анестезиологов, которые внутривенно вводят ребенку седативные средства (успокоительные) или же вообще назначают наркоз;
- Люди с повышенной массой тела. Иногда проведение компьютерной томографии может быть затруднено у больных с лишней массой тела. Это связано с двумя факторами
- Компьютерный томограф не рассчитан на вес выше 150 кг;
- Гипс и металлические предметы. При наличии у пациента гипса или металлических вставок в области обследования, компьютерная томография не проводится, так как на снимках могут появиться блики или затемнения, которые затруднят диагностическое обследование заболеваний;
- Неадекватное поведение и психическое расстройство. Если больной находится в буйном состоянии и не может успокоиться или у него в анамнезе имеется психическое расстройство, то сканирование такого пациента затруднено — он не сможет сохранять неподвижность в течение всего исследования. Либо же врач может подождать, когда человек успокоиться. В некоторых случаях применяются снотворное средство, седативные препараты или даже общий наркоз. Такое состояние должно поддерживаться в течении двадцати- тридцати минут, пока не закончится исследование.
КТ с контрастом имеет свои противопоказания:
- Люди с почечной и печеночной недостаточностью. Именно эти органы активно выводят контрастное вещество из организма. Если в них имеют патологические изменения, то введение контрастного вещества может обернуться для пациента токсическим отравлением и длительным восстановительным процессом;
- Тяжелое общее состояние. Если пациент находится в критическом состоянии, то на первом месте стоит оказание первой медицинской помощи, а уже потом исследовать на предмет травм, переломов и прочих патологий;
- Заболевания щитовидной железы. Наличие в контрастном веществе йода может усугубить течение заболевания;
- Аллергия на компоненты контрастного вещества. Недопустимо, если у человека имеется аллергическая реакция на йодсодержащие вещества. Если пациент сомневается, то рекомендуют перед началом процедуры провести пробы, чтобы выявить аллергию на контраст. В случае проникновения такого вещества в организм может возникнуть тяжелое отравление организма вплоть до анафилактического шока.
В Юсуповской больнице ежедневно проводится компьютерная томография сотням людям с разными патологиями. Уровень врачебной квалификации позволяет дать грамотное заключение даже в самых тяжелых диагностических ситуациях. В Юсуповской больнице проводится экстренное обследование даже в ночное время, для этого имеется специальная бригада, которая включает в себя врача-рентгенолога.
Что наносит меньший вред: КТ или МРТ?
Одним из современных информативных диагностических методов, кроме КТ является магнитно-резонансная томография (МРТ). КТ и МРТ не считаются альтернативными методами. МРТ применяется для исследования органов, имеющих высокое содержание жидкости, однако надежно защищенных костным скелетом: головного и спинного мозга, межпозвоночных дисков, суставов и органов малого таза. А с помощью КТ предпочтительнее исследовать опорно-двигательный аппарат и ткани легких.
Практически равноценной информативностью обладают и КТ и МРТ при исследовании мочеполовой и пищеварительной системы. Однако компьютерная томография по сравнению с магнитно-резонансной требует гораздо меньше времени на свое проведение, поэтому ей отдают предпочтение в экстренных случаях.
Принципы защиты
Пациентам, которые сомневаются в безопасности методов лучевой диагностики, необходимо ознакомиться с некоторыми принципами снижения лучевой нагрузки:
- сокращенный временной отрезок: длительность скрининга можно сократить, отказавшись от выполнения скрининга одновременно в сагиттальной и поперечной проекциях, уменьшив силу тока рентгеновской трубки, а также число фаз томографии;
- проведение компьютерной томографии через висмутовые экраны: таким образом можно обеспечить снижение лучевой нагрузки, не ухудшив качества снимков;
- увеличение расстояния: снижение мощности лучевой нагрузки можно обеспечить, увеличив расстояние между рентгеновской трубкой и телом обследуемого. Защитить другие части тела, на которые может попасть излучение, можно с помощью свинцовой защиты.
В случаях применения КТ пациентам детского возраста, рекомендуется использование седативных средств, так как для получения снимков хорошего качества важна обездвиженность исследуемого. С этой целью можно также использовать специальные ремни, подушки, обеспечивающие неподвижность ребенка на время исследования.
Компьютерная томография зачастую является единственным возможным методом диагностики тех или иных патологий, качественной альтернативы к которому не существует, поэтому вопрос о том, вредно ли делать КТ - зачастую неуместен. Данное обследование применяется для подтверждения сложных диагнозов и немедленного начала лечения, особенно когда речь идет о сохранении качества жизни больного. При соблюдении всех рекомендаций пациенту не стоит беспокоиться о том, что КТ нанесет непоправимый вред их здоровью.
КТ любых органов по доступным ценам можно сделать в Юсуповской больнице Москвы. Клиника оснащена современным томографом последнего поколения, благодаря чему опытные, высококвалифицированные врачи Юсуповской больницы получают снимки высокого качества. На основании результатов компьютерной томографии врачи составляют максимально эффективную тактику лечения, индивидуально для каждого пациента.
Доброкачественные опухоли глотки

Среди доброкачественных новообразований глотки выделяют аденому, липому, нейрофиброму, папиллому, тератому, ангиому, плазмоцитому и кисты. Доброкачественные опухоли могут размещаться в любом из отделов глотки, а также в заглоточном пространстве. Проявлением данной патологии может быть нарушение носового дыхания, затруднение глотания, першение в горле, изменение голоса. В большинстве случаев их визуализация не является затруднительной в процессе осмотра глотки. Диагноз устанавливается оториноларингологом или онкологом на основании фарингоскопии, риноскопии и морфологического анализа образца пораженной ткани. Терапевтическая тактика заключается в удалении опухоли, выбор метода удаления зависит от размера, особенностей строения и локализации новообразования, чаще всего применяется хирургическое иссечение, склерозирование, пересечение ножки, диатермокоагуляция и др.
Доброкачественные опухоли встречаются достаточно часто, согласно статистическим данным, у мужчин они развиваются в 7 раз чаще, чем у женщин. Данная патология может возникнуть в любом возрасте, но в основном они диагностируются у пациентов в возрасте от 25 до 40 лет. Как и все новообразования, опухоли глотки не имеют конкретной этиологии, известен лишь ряд факторов, повышающий риск их развития. К предрасполагающим факторам относится наследственная предрасположенность, вредные привычки (алкоголизм, курение), неблагоприятный экологический фон, регулярное вдыхание пыли, наличие хронических заболеваний носоглотки (фарингит, хронический тонзиллит, аденоидные вегетации, назофарингит), недостаточная гигиена полости рта, вредные условия труда.
Симптомы доброкачественных опухолей глотки
Клинические проявления всех видов доброкачественных опухолей глотки имеют ряд общих характеристик. Одним из свойств доброкачественных опухолей является длительное бессимптомное течение на протяжении нескольких лет. Около ¼ всех новообразований такого плана обнаруживаются случайно.
Очень часто пациенты с доброкачественными опухолями глотки жалуются на ощущение инородного тела в горле, в некоторых случаях отмечается небольшая болезненность при глотании слюны по утрам, першение в горле. Иногда доброкачественные новообразования глотки сопровождаются катаральными явлениями (гиперемией задней стенки глотки и небных дужек, небольшой отечностью в этих областях). Помимо этих клинических проявлений, имеют место специфические симптомы, развитие которых зависит от вида опухоли.
Папилломы
Одними из самых распространенных опухолей глотки, имеющие доброкачественный характер, являются папилломы. Патогенез папиллом подразумевает наличие в организме человека вируса папилломы, который также может быть причиной развития остроконечных кондилом, бородавок и папиллом других участков человеческого организма. Папилломы представлены узелками с сосочкообразными выростами. Папилломы располагаются на широкой или узкой ножке, их может быть множественное число, в некоторых случаях они сочетаются с папилломами гортани. По консистенции эти новообразования бывают твердыми и мягкими. Мягкие папилломы обычно рыхлые, им свойственно прорастание в близлежащие ткани, также они склонны к рецидивам и геморрагиям. Мягкие папилломы могут исчезать самостоятельно. Особенностью твердых папиллом является отсутствие геморрагий и рецидивов. Поражение папилломами обширных участков глотки свидетельствует о развитии папилломатоза.
Тератомы
При нарушениях внутриутробного развития могут появиться тератомы. Тератомы представляют собой округлые выросты на ножке, самым ярким примером тератом является волосатый полип глотки (поверхность полипа покрыта волосинками).
Кисты
Кистам глотки свойственно длительное отсутствие клинических проявлений, симптомы возникают при достижении ими больших размеров, иногда они могут вызвать асфиксию. При визуализации отмечается шаровидное новообразование с податливыми стенками. Некоторые из них могут иметь врожденный характер (дермоидные кисты).
Фибромы
Для фибром характерно наличие круглой формы новообразования и широкого основания. Цвет опухоли может быть розовым или красным. Фибромы имеют бугристую или гладкую поверхность, которая легко кровоточит при прикосновении. Эти новообразования состоят из соединительной ткани, имеют большое количество кровеносных сосудов и эластических волокон. Плотность таких опухолей может быть близка к плотности хряща, особенно у основания.
Не смотря на то, что фибромы являются доброкачественными опухолями, очень часто их течение имеет злокачественный характер. Эти опухоли могут интенсивно расти и прорастать в соседние ткани. При больших размерах опухоли у пациента отмечается затруднение глотания и затруднение носового дыхания. Прорастание новообразования в окружающие ткани может спровоцировать кровотечение. При инвазии опухоли в глазницу развивается экзофтальм и смещение глазного яблока, в носовую полость — нарушение обоняния, в слуховую трубу — тугоухость. У больных с разросшейся фибромой глотки может развиться деформация лица. Самым серьезным осложнением данной патологии является прорастание новообразования в головной мозг, оно чревато менингитом, поражением черепно-мозговых нервов, дисфункцией мозгового кровообращения и др.
Нейриномы и нейрофибромы
Нейриномы и нейрофибромы относятся к числу нейрогенных новообразований и встречаются достаточно редко. Как правило, они поражают боковую или заднюю стенку глотки. Такие опухоли имеют веретенообразную или овальную форму и представлены инкапсулированными узлами. Для нейрогенных опухолей свойственно наличие гладкой поверхности, они покрыты неизмененной слизистой оболочкой.
Аденомы глотки
Аденомы глотки также как и нейрогенные опухоли, встречаются редко. Они развиваются в виде узлов с широким основанием и сверху покрыты капсулой. Размер таких новообразований колеблется от 0,5 до 2 см, они могут быть серого, розового или коричневого цвета. При морфологическом исследовании опухоли отмечается наличие атипичных желез слизистой оболочки, а также гной, слизь и сгущенные клетки.
Ангиомы глотки
Ангиомы глотки бывают двух видов: гемангиомы (из кровеносных сосудов) и лимфангиомы (из лимфатических сосудов). Такие опухоли локализируются на мягком небе, миндалинах, задней и боковой поверхности глотки. Ангиомы склонны к стремительному росту и инвазиям в соседние ткани и органы. Гемангиомы имеют красный или синюшный цвет, могут кровоточить. Лимфангиомы бывают, как правило, желтого цвета, могут иметь несколько камер и заполнены лимфой.
Цилиндромы
Также существуют доброкачественные опухоли глотки, развивающиеся из эпителия слюнных желез, такой вид новообразований называется цилиндромой. Цилиндромы представлены узлами, иногда неправильной формы, имеют ограниченные края. В большинстве случаев такие опухоли имеют размер не более 3-хсм. Микроскопическое исследование показывает наличие в составе цилиндром пластинчатых долек и прослоек фиброзной ткани.
Экстрамедуллярная плазмоцитома
Стоит уделить особое внимание пограничным опухолям. К таким новообразованиям глотки относится экстрамедуллярная плазмоцитома. Обычно ей свойственно доброкачественное течение, но встречались случаи ее малигнезации и метастазирования в региональные лимфоузлы. Экстрамедуллярная плазмоцитома формируется в виде единичных или множественных узлов на широком основании. Диаметр таких опухолей может превышать 3 см. При микроскопическом исследовании определяется полиморфно-клеточный инфильтрат, в котором преобладают плазмоциты.
Диагностика доброкачественных опухолей глотки
Диагностика доброкачественных опухолей глотки состоит из нескольких этапов и осуществляется оториноларингологом или онкологом. На первом этапе диагностики проводится сбор анамнеза пациента, особое внимание уделяется наличию предрасполагающих факторов (наследственность, вредные привычки, условия труда), а также специфическим жалобам. Затем выполняется осмотр пациента с применением фарингоскопии, риноскопии и ларингоскопии. Для уточнения диагноза и локализации новообразования рекомендовано выполнение рентгенологических исследований данной области, КТ или МРТ. При обнаружении новообразования приступают к следующему этапу диагностики — морфологическому анализу образца ткани опухоли, забор которого осуществляется с помощью биопсии. При разрастании опухоли в слуховую трубу больному показана тональная аудиометрия.
Немаловажным этапом постановки диагноза является дифференциальная диагностика. Ее выполняют с целью исключения других патологий глотки с похожей симптоматикой (полипы глотки, злокачественные новообразования, аденоидные вегетации).
Также может потребоваться консультация других специалистов (невролога, нейрохирурга).
Лечение доброкачественных опухолей глотки
Основным методом лечения доброкачественных новообразований глотки является хирургическое удаление. В процессе своего роста опухоли могут спровоцировать ряд осложнений (нарушение дыхания, глотания прорастание в слуховую трубу и полость носа и пр.), поэтому новообразования стоит удалять в плановом порядке, после их выявления. Операции осуществляются посредством доступа внутрь глотки, в большинстве случаев применяется местная анестезия. В случае кист, фибром и нейрогенных опухолей, производится разрез у их основания, через который вылущивается новообразование вместе с капсулой. При тератомах глотки изначально перевязывается основание опухоли, а затем она иссекается. Кандиломы удаляются конхотомом, раневая поверхность прижигается гальваноакустикой. При папилломатозе показано применение криодеструкции. В случае наличия сосудистых новообразований выполняется склерозирование или диатермокоагуляция. Обширное разрастание опухоли является показанием к выполнению оперативного вмешательства через боковую фаринготомию, данная операция требует применения общего наркоза. Учитывая доброкачественный характер новообразований, большинство случаев имеют благоприятный прогноз. Успешность лечения во многом зависит от своевременной диагностики новообразований, поэтому с целью их профилактики необходимо регулярно проходить профосмотры.
Данная статья размещена исключительно с целью ознакомления в познавательных целях и не является научным материалом или профессиональным медицинским советом. За диагностикой и лечением обратитесь к врачу.
Введите ваши данные, и наши специалисты свяжутся с Вами, и бесплатно проконсультируют по волнующим вас вопросам.
Читайте также:
- Инфекция вызванная вирусом краснухи: диагностика, лечение, профилактика
- Формирование слезного аппарата глаза. Развитие уха эмбриона
- Невус Беккера (волосяной эпидермальный невус) у ребенка
- Случай использования гиалуроната натрия в консервативном лечении синдрома сдавления (импиджмент-синдром)
- УЗИ, МРТ супратенториальных структур головного мозга плода
