КТ, МРТ при переломе височной кости
Добавил пользователь Евгений Кузнецов Обновлено: 11.12.2025
Височная кость человеческого черепа представляет собой сложное костное парное образование. Эта костная структура имеет сложную форму и структуру. Височные кости являются несущими частями черепной коробки, к ним крепятся части слухового аппарата. Они защищают вестибулярный аппарат и внутреннее ухо. Кость служит опорой жевательного аппарата - она сочленена с подвижной частью челюсти. По своему строению она состоит из трех частей, каждая из которых выполняет свои функции и несколько отличается по структуре ткани от соседних. Изнутри к височной кости примыкают артерии и нервные волокна. Роль височной кости очень велика, поэтому ее повреждение неизменно ведет к поражению структур внутреннего уха, вестибулярного аппарата, нарушению слуха, равновесия, головным болям или головокружению.
Любое изменение структуры или формы височной кости влияет на кровеносную систему, питающую мозг, либо на органы слуха и зрения, либо непосредственно на мозг. Такую же опасность несут и воспаления ячеистых структур сосцевидного отростка кости (одной из составляющих частей), новообразования на внутренней части кости, изменения наружного слухового прохода.
Возможность получения большого количества срезов на высокопольном томографе экспертного класса в Медицинском центре «Гарантия» облегчает точную диагностику. Часто болевые ощущения в области височной кости вызываются совершенно разными причинами, которые при обычных методах диагностики очень трудно определить. Часто требуются повторные исследования. В таком случае КТ использовать не рекомендуется - использование рентгеновского излучения, даже столь малой интенсивности, в области мозга очень нежелательно.
МРТ височных костей: показания
МРТ височной кости имеет огромное диагностическое значение.
Исследование должно быть назначено в следующих случаях:
- Боли в области среднего уха.
- Нарушения зрения или слуха по неизвестной причине.
- Гнойные выделения из слухового прохода.
- Нарушения работы челюстного аппарата.
- Травмы в височной области.
- Необходимость подготовки к операции на черепе и последующий контроль результатов операции.
- Отиты и другие заболевания воспалительного характера в области височной кости.
- Абсцессы и инфекции головы.
- Опухоли и подозрение на опухоли.
- Дегенеративные явления органа слуха.
- Проблемы с координацией движения и сохранением равновесия.
- Нарушения работы жевательных мышц.
- Нарушения вкусовых ощущений.
МРТ височных костей - что показывает?
МРТ височных костей позволяет выявить такие заболевания, как острые и хронические отиты, воспаления внутреннего уха, опухоли доброкачественного и злокачественного характера, травмы и переломы височных костей, наличие инфекционного процесса в данной области, отосклероз и другие дегенеративные патологии.
МРТ височных костей: противопоказания
МРТ не следует проводить в следующих случаях:
- Во время беременности и лактации. Беременным МРТ может быть назначена только по строгим показаниям, если польза от диагностики значительно перевешивает возможный риск для плода. При грудном вскармливании можно сделать простое исследование МРТ, не назначается МРТ с контрастированием, или же, в случае острой необходимости, матери следует отказаться от кормления грудью как минимум на сутки после исследования.
- Наличие в организме пациента металлических конструкций или электронных имплантов, в том числе зубных протезов из металла, отличного от титана.
- Почечная недостаточность - является противопоказанием к проведению МРТ с контрастированием, поскольку в этом случае нормальное выведение контраста из организма нарушается, и может наступить интоксикация.
- Вес пациента более 130 кг.
- Аллергия или склонность к аллергическим реакциям (для введения контраста).
Подготовка к МРТ-Исследованию
Специальной подготовки к МРТ височной кости не требуется.
КАК ДЕЛАЮТ?
Пациент укладывается на кушетку, которая затем помещается в цилиндрический тоннель томографа так, чтобы голова пациента находилась внутри тоннеля. Обследование длится около 25 минут. Если проводится контрастирование, то это время увеличивается до 45 минут.
В течение всей процедуры пациент должен сохранять неподвижность, поскольку от этого зависит четкость снимков. При необходимости голову пациента также могут зафиксировать специальными мягкими валиками. В связи со сложностью исследования, результаты обследования с расшифровкой врача обычно выдаются на руки пациенту на следующий день, а по экстренным показаниям - в течение часа. В заключении врач подробно описывает обнаруженные патологии и дает рекомендации. С результатами пациент в дальнейшем может обратиться к своему лечащему врачу, который направил его на МРТ, либо к специалисту, рекомендованному врачом.
Изображения исследования МРТ записывают на компакт-диск и выдают пациенту.
На МРТ височной кости цена зависит от репутации клиники и используемого в ходе обследования оборудования.
ИСПОЛЬЗОВАНИЕ КОНТРАСТНОГО ВЕЩЕСТВА
В тех случаях, когда есть подозрение на наличие опухоли, или необходимо уточнить более четко границы патологии, может быть назначена МРТ с контрастированием. Контраст вводится внутривенно после проведения бесконтрастного сканирования строго по показаниям. Распространяясь с кровотоком и накапливаясь в пораженных тканях, контрастное вещество способствует лучшей визуализации проблемных участков, позволяет косвенно судить о злокачественности опухоли, ее структуре. Контрастное вещество представляет собой препарат на основе редкоземельного металла гадолиния, который не наносит вреда организму и полностью выводится в течение суток естественным путем.
МРТ костей черепа что показывает

Магнитно-резонансная томография базируется на способности магнитного поля изменять состояние атомов водорода в молекулах воды. Процедура информативна относительно мягких тканей, насыщенных жидкостью. Структуры организма с низким содержанием воды на снимках отражаются плохо. МР-томограф фактически «не видит» костную ткань. По этой причине рутинная диагностика переломов включает рентгенографию и КТ (в экстренных, спорных либо сложных ситуациях). При травмах головы стандартное обследование с помощью Х-лучей нередко сочетают с магнитно-резонансной томографией. В зависимости от того, что показывает МРТ костей черепа, дополняют тактику лечения, основанную на результатах КТ. Процедура дает информацию о состоянии мягких структур и влиянии на последние травм.
Показывает ли МРТ перелом черепа?
В основе метода — явление ядерно-магнитного резонанса, свойственное атомам с непарным количеством протонов. Поле, создаваемое установкой, заставляет микрочастицы вращаться по другой траектории. Затем элементы резко переходят в первоначальное положение. Аппарат улавливает возникающие при этом энергетические импульсы и преобразует последние в картинку. Так томограф делает послойные снимки изучаемой области.

Диагностическая ценность магнитно-резонансной томографии высока при травмах сложных структур организма (черепная коробка, позвоночник, сочленения). По результатам сканирования диагностируют не сам перелом, а сопутствующие повреждения (разрывы связок, мышц, компрессию тканей и пр.).
На вопрос «Показывает ли МРТ перелом черепа?», врачи дают отрицательный ответ. При травмах головы методом выбора является компьютерная томография. По снимкам оценивают состояние костей, обнаруживают малейшие повреждения последних, кровотечения. Компьютерная томография особенно информативна в первые 48 часов после получения травмы. В дальнейшем изменения в мозге контролируют посредством МР-сканирования.
Как делают МРТ черепа?

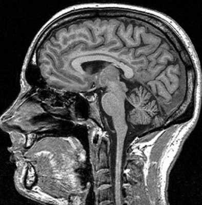
Гемосинус на МР-снимке головы
Диагностическую процедуру проводят по назначению врача, по предварительной записи. В клинике нужно заполнить бланки, пройти консультацию с рентгенологом, предоставить имеющуюся медицинскую документацию. Перед исследованием важно снять украшения, предметы гардероба и аксессуары с металлическими элементами, оставить в раздевалке электронные устройства и прочие личные вещи.
В диагностическом кабинете пациента укладывают на платформу аппарата. Тело фиксируют, для комфорта используют валики. Важно занять удобное положение, так как во время сканирования нельзя шевелиться.
По завершении приготовлений врач удаляется в соседний кабинет, откуда управляет оборудованием, контролирует процедуру, при необходимости общается с пациентом по громкой связи. Сканирование длится 20-25 минут.
При контрастной МРТ снимки выполняют дважды — перед введением препарата гадолиния и после инъекции. В общей сложности процедура занимает 30-40 минут.
По завершении томографии пациент одевается, забирает личные вещи и ожидает результаты в диагностическом центре или отправляется по своим делам. Заключение и информационный носитель со снимками выдают через 15-60 минут.
Показания и противопоказания к МРТ лицевого черепа
Магнитно-резонансную томографию применяют в травматологии, пластической хирургии, ревматологии, онкологии и пр. Кости лицевого отдела тонкие и хрупкие. При повреждении последних возможны травмы нервов и сосудов, развитие неврологической симптоматики и других осложнений.
Показаниями для проведения МРТ лицевого отдела черепа являются:
- болевой синдром в данной области различной степени выраженности;
- неприятные ощущения или щелчки во время движений челюстью, жевания, разговора;
- нарушение чувствительности в определенных зонах головы;
- изменение подвижности челюстного аппарата;
- спазмы лицевых мышц;
- все виды травм;
- нарушения глотания, дыхания и пр.
Метод применяют для диагностики новообразований, при подозрении на инфекционно-воспалительные процессы, гнойное расплавление тканей. По снимкам МРТ планируют лечебные хирургические вмешательства, пластические операции, вспомогательные процедуры при диагностике различных опухолей (менингиома, остеома, остеобластома и пр.). Основные данные о состоянии костей получают при КТ.

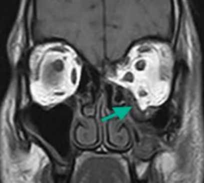
Взрывной перелом орбиты на МРТ (изменения указаны стрелкой)
Противопоказаниями к проведению магнитно-резонансной томографии выступают:
- наличие в теле больного металлических конструкций (штифты, спицы, эндопротезы, сосудистые клипсы и пр.);
- имплантированные электронные устройства (водитель ритма, инсулиновая помпа);
- тяжелое общее состояние пациента или необходимость в проведении реанимационных мероприятий;
- вес более 120 кг и обхват живота свыше 150 см (для закрытого аппарата).
Установленные ортодонтические приспособления (брекеты, ретейнеры и пр.) могут давать артефакты на снимках. Это нужно учитывать и предупреждать врача о наличии стоматологических изделий.
К относительным противопоказаниям причисляют ранние сроки беременности (до 13 недели), острый болевой синдром, боязнь замкнутого пространства, алкогольное опьянение. Контрастное усиление не проводят пациентам с тяжелыми формами почечной и печеночной недостаточности и индивидуальной непереносимостью препаратов гадолиния.
Подготовка к МРТ лицевого черепа
Накануне магнитно-резонансной томографии головы специально ничего делать не надо. Пациентам рекомендуют надеть на процедуру удобные вещи, в которых будет комфортно неподвижно лежать достаточно долгое время. Лучше отказаться от применения декоративной косметики или свести макияж к минимуму. Некоторые средства могут содержать частицы металлов, что неблагоприятно влияет на качество снимков.
При наличии у пациента эндопротеза или других имплантатов, необходимо предоставить документ о совместимости конструкции с магнитным полем. При осуществлении сканирования электроника может выйти из строя, поэтому пациентам с водителями ритма и прочими приборами нельзя делать МРТ. Металлические конструкции из сплавов ферромагнетиков дают на снимках артефакты. Изображения с нечеткими или засвеченными зонами невозможно трактовать объективно. Диагностическая ценность процедуры существенно снижается.
Подготовка к контрастной МРТ подразумевает легкий перекус за 40-45 минут до начала исследования. Пациент может съесть батончик, горсть орехов, небольшой фрукт.
Расшифровка томографии черепа

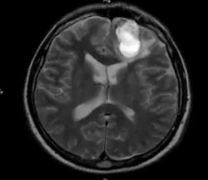
Внутримозговая гематома травматического характера на МР-снимке
В результате МРТ получают множество послойных снимков в трех взаимно-перпендикулярных плоскостях. На изображениях видят контуры тканей, сравнивают показатели с нормой, выявляют отклонения и признаки патологических изменений. Все данные отражают в заключении.
По результатам МРТ лицевого отдела черепа выявляют:
- аномалии развития;
- последствия травм (растяжения и разрывы связок, повреждения суставных элементов, сосудов, мышц, патологическое скопление жидкости и пр.);
- нарушение строения околоносовых пазух (деформации, новообразования и пр.);
- опухоли добро- и злокачественной природы, метастазы (окончательный диагноз — по результатам гистологии);
- изменения воспалительного характера (абсцесс, флегмону и пр.).
Трактовка снимков требует глубоких знаний анатомии и опыта в области МР-диагностики. Человек без специального образования не сможет самостоятельно расшифровать сканы.
Что покажет КТ височных костей, как делают, подготовка и противопоказания

Височная кость является важной анатомической структурой - она участвует в формировании черепной коробки, здесь расположен слуховой аппарат, проходят крупные нервы и артерии. Обычные методы диагностики, такие как рентгенография или УЗИ, зачастую не позволяют диагностировать патологические изменения в этой области. КТ височных костей − более точное исследование, которое дает возможность выявлять заболевания на ранней стадии.
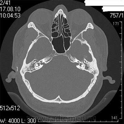
Что покажет КТ височных костей
Во время КТ получают послойные снимки височной кости и окружающих тканей в трех плоскостях. Толщина среза составляет всего несколько миллиметров, что позволяет врачу-рентгенологу рассмотреть не только все анатомические образования, но и минимальные патологические изменения.
На полученных снимках хорошо видны следующие структуры:
пирамида височной кости;
ячейки и антрум сосцевидного отростка;
улитка, преддверие, передний и задний полукружный каналы;
слуховые косточки среднего уха;
стенки наружного слухового прохода;

Снимок (томограмма) височных костей в осевой проекции
С помощью КТ височных костей можно выявить любые заболевания воспалительного, травматического, опухолевого характера. Метод применяется для диагностики следующих патологий:
объемных образований, кист костной ткани и слухового аппарата;
воспалительных процессов (мастоидиты, отиты, остеомиелиты);
травматических повреждений (трещины, переломы);
дегенеративных изменений (отосклероз, дисплазия);
Большим преимуществом КТ перед другими диагностическими методами является возможность получения трехмерной модели височной кости. 3D-изображение необходимо перед хирургическим вмешательством, часто по поводу установки имплантата внутреннего уха, поскольку дает максимально четкое представление об особенностях анатомии у конкретного пациента.
Иногда во время КТ височной кости дополнительно вводят контрастирующее вещество на основе йода. Введенный фармпрепарат хорошо поглощает рентгеновские лучи и делает изображения более отчетливыми. Контрастирование необходимо для уточнения характера изменений в мягкотканных образованиях, прилегающих к височной кости. Также методика позволяет отчетливо визуализировать церебральные артерии и вены. Вместе с тем, данная процедура обходится немного дороже стандартного исследования: пациенту нужно будет доплатить за количество использованного контраста.
Показания к КТ височных костей
В большинстве случаев КТ височных костей назначают ЛОР-врачи, неврологи, нейрохирурги, реже специалисты другого профиля. Обычно основанием для проведения томографии являются выявленные на рентгенограмме или во время УЗИ патологические изменения. Именно КТ височных костей позволяет разрешить все сомнения и поставить точный диагноз.
Показаниями для компьютерной томографии височной кости служат:
нарушения работы слухового аппарата (прогрессирующее ухудшение слуха, звон или шум в ухе и пр.);
вестибулярные расстройства (головокружение, шаткость при ходьбе);
длительный болевой синдром в области уха, в половине головы, особенно сопровождающийся неврологической симптоматикой;
выделения из слухового прохода различного характера (гной, кровь, ликвор);
клинические данные, свидетельствующие об опухолевом процессе;
нарушение работы лицевого нерва с развитием слабости мимической мускулатуры;
травмы головы с подозрением на перелом основания черепа и височной кости.
Также рекомендуют КТ височных костей перед запланированным хирургическим вмешательством, для контроля за проводимой терапией.
Кому противопоказана КТ височной кости
Компьютерная томография височных костей не проводится женщинам в период беременности, поскольку рентгеновские лучи негативно влияют на развитие плода. В случае томографии с контрастированием противопоказаниями являются:
нарушение фильтрационных характеристик почек;
непереносимость препаратов на основе йода;
повышенная функция щитовидной железы.
Как проходит компьютерная томография височных костей
Записаться в диагностический центр «Магнит» можно по телефону, указанному на сайте. Сотрудник подберет для вас наиболее удобное время, разъяснит особенности процедуры, одновременно вы сможете уточнить точную стоимость обследования.
Идя на томографию, потребуется взять с собой направление, имеющиеся на руках медицинские документы. В случае запланированной КТ височных костей с контрастированием нужно заранее сдать анализ на креатинин. Он необходим для оценки функционального состояния почек.
В центре «Магнит» обследование проводят на современном мультиспиральном томографе Siemens. Аппарат установлен в отдельной комнате, где и будет проходить сканирование.

Внешний вид компьютерного томографа и положение пациента на столе аппарата перед началом исследования
Непосредственно перед исследованием специалист центра проинструктирует больного и предложить занять положение на спине на столе томографа.
Во время сканирования стол с пациентом будет плавно перемещаться по направлению к тоннелю аппарата. Таким образом, голова будет находиться на уровне источника излучения и датчиков. Каких-либо неприятных ощущений во время исследования не возникает, тем более что сама процедура длится всего 1-2 минуты.
Все это время персонал будет находиться в соседней комнате и наблюдать за ходом исследования. В тоннеле томографа есть переговорное устройство, по которому пациент всегда может связаться с медперсоналом.
КТ височной кости с введением контраста длится немного дольше: от 15 до 25 минут, так как исследование включает несколько этапов. Первоначально выполняют нативное сканирование, после которого внутривенно вводят йодсодержащий препарат (Ультравист). Контраст относительно редко вызывает побочные реакции, иногда наблюдаются небольшое головокружение или подташнивание. Эти неприятные явления самостоятельно проходят в течение нескольких минут. Завершающий этап - повторное сканирование с получением максимально контрастных изображений.
После получения снимков и их обработки компьютерной программой врачу потребуется некоторое время для анализа данных. Обычно на это уходит не более 1,5-2 часов .
Когда назначают КТ височных костей детям
Данный вид исследования рекомендуют детям только при наличии веских оснований. Это связано с тем, что организм ребенка более чувствителен к рентгеновскому излучению, чем у взрослого пациента. КТ височных костей назначают тогда, когда другие методы исследования (рентген, УЗИ, МРТ) не дают достаточно информации для постановки диагноза. Детям компьютерная томография височных костей чаще всего проводится в случае черепно-мозговой травмы с переломами костей черепа, одностороннего нарушения слуха, при подозрении на новообразование.
В центре «Магнит» мультиспиральную КТ делают детям начиная с пяти лет. Современное оборудование и программное обеспечение позволяют подобрать оптимальный режим сканирования и, таким образом, существенно снизить лучевую нагрузку на организм. Процедуру с контрастированием в нашем центре проводят детям, достигшим двенадцатилетнего возраста.

Положение ребенка на столе компьютерного томографа перед исследованием
Компьютерная томография височной кости не причиняет маленькому пациенту дискомфорта или боли. Поскольку сканирование длится считанные минуты, дети хорошо переносят диагностику. Однако при запланированной томографии родителям все же следует психологически подготовить ребенка: рассказать о процедуре и почему так важно ее пройти.
Преимущества КТ височных костей
Компьютерная томография является оптимальным вариантом для исследования костей, в том числе черепа. Костная ткань хорошо поглощает рентгеновские лучи, в результате получают четкие ее изображения. Данный метод незаменим в диагностике скрытых переломов и трещин, он хорошо выявляет деструктивные изменения.

На КТ-снимке виден перелом пирамиды височной кости (указан стрелками)
Другими преимуществами мультиспиральной томографии являются:
высокая скорость сканирования;
относительно низкий уровень лучевой нагрузки;
неинвазивность и безболезненность;
доступность для выполнения пациентам с ферромагнитными имплантатами, электронными устройствами;
возможность получения трехмерной модели исследуемой зоны.
КТ височных костей имеет вполне доступную цену. В диагностическом центре «Магнит» ее можно пройти за 2450 рублей. Такая низкая, по сравнению с другими медучреждениями Санкт-Петербурга, цена объясняется проводимой в этом месяце специальной акцией.
МРТ показывает переломы?

Перелом в коленном суставе (указан стрелками)
Травмы, ушибы или падения могут сопровождаться серьезными повреждениями. Среди них нередко встречаются нарушения целостности костей. При признаках вывиха, растяжения связок, ушиба, осложненного или неосложненного перелома врачи предпочитают рентгенографию. Метод быстрый, простой и доступный, часто клиники располагают собственным оборудованием для проведения исследования. При подозрении на осложненные переломы, подготовке к операции обычно применяют КТ. Оба метода базируются на рентгеновском излучении и позволяют четко визуализировать костную ткань. Однако врачи-травматологи в дополнение нередко назначают магнитно-резонансную томографию. Процедура дорогостоящая, поэтому у пациентов возникает вопрос: «Видны ли на МРТ переломы, и зачем проводить исследование, если повреждение уже обнаружено?» МР-сканирование — высокоинформативная диагностическая процедура, которая поможет правильно подобрать лечение.
Видны ли на МРТ переломы?
Магнитно-резонансная томография базируется на свойствах магнитного поля. Под воздействием последнего изменяется движение атомов водорода, которые входят в молекулы воды и в разном количестве присутствуют во всех тканях организма. Аппарат улавливает импульсы от возбужденных протонов и преобразует их в изображение. В результате получают послойные снимки исследуемой области, на которых хорошо просматриваются ткани с разным содержание жидкости.

Осложненный компрессионно-оскольчатый перелом тела позвонка в грудном отделе на МРТ
На срезах можно увидеть хрящи, связки, мышцы. Применение специальных последовательностей позволяет изучить сосуды, нервные волокна, головной и спинной мозг, лимфатические структуры. Существенным недостатком метода является его низкая информативность относительно состояния костной ткани. МР-сканирование плохо отображает участки с малым содержание влаги.
Покажет ли МРТ перелом, зависит от структуры поврежденной кости. Врач может заподозрить деструкцию по характерным признакам. Например, о скрытом переломе будет говорить отек костного мозга. При этом результаты рентгена могут не показать повреждение.
С целью первичной диагностики нарушений целостности костей магнитно-резонансная томография не применяется как ведущий метод по следующим причинам:
- вся процедура занимает продолжительное время;
- требует специального оборудования, которое есть лишь в некоторых медучреждениях;
- процедура дорогостоящая;
- дает мало информации о состоянии костной ткани.
Травматолог может назначить МРТ перелома при яркой неврологической симптоматике. МР-сканирование даст подробную информацию о состоянии окружающих мягких тканей. Метод незаменим при подозрениях на травмы позвоночника. Он поможет выявить ущемление нервных корешков, сужение спинномозгового канала, опухолевые образования в костной ткани позвонков, которые могут быть истинной причиной травмы.
В некоторых случаях МР-сканирование дает наиболее точную информацию по сравнению с другими методами (при рентген-негативных, субхондральных переломах и пр.). Отдельные программы помогают судить о давности перелом (режим жироподавления и др.).

Субхондральный перелом на рентгенографии (А), КТ (В) и при МР-сканировании (С), указан стрелками
Как проходит МРТ при переломах?
Чтобы сделать МРТ перелома в диагностическом центре «Магнит», пациент должен предварительно записаться. Во время беседы с медперсоналом по телефону стоит сообщить о наличии в теле металлических имплантов или электронных устройств:
- штифтов, пластин, спиц;
- эндопротезов; ;
- инсулиновой помпы;
- кровоостанавливающих клипс;
- стентов в сосудах и т.п.
Присутствие электроники — противопоказание для проведения сканирования. Чтобы пройти обследование при наличии металлических конструкций, необходимо предоставить паспорт на имплант, с описанием материала, из которого он изготовлен. Документ можно взять в клинике, где ранее проводили операцию.
Относительными противопоказаниями для МРТ являются первый триместр беременности, клаустрофобия, вес больного более 120 кг. Женщинам в положении исследование проводят после согласования с акушером-гинекологом. Пациентам с лишним весом и боязнью замкнутого пространства диагностику осуществляют на аппаратах открытого типа.
Если у человека есть трудности с сохранением неподвижности (например, из-за неврологической симптоматики или острой боли), МР-сканирование проводят под седацией или наркозом.
Пациентам, способным передвигаться самостоятельно или с помощью близких, исследование проводят в стандартном порядке:
- подготовка. Больной приходит в клинику за 5-10 минут до назначенного времени, заполняет документы. После консультации с рентгенологом пациента проводят в раздевалку. Здесь нужно оставить украшения, одежду с металлическими элементами, электронные приборы;
- сканирование. Лаборант проводит больного в диагностический кабинет, помогает лечь на платформу томографа, подкладывает валики для удобства, предлагает наушники, фиксирует тело. Рентген-техник выходит в кабинет, расположенный за стеклянной стеной/окном, откуда контролирует весь ход процедуры. Врач напоминает больному о необходимости лежать неподвижно и включает аппарат. Исследование длится 20-25 минут;
- результаты. После МРТ пациент получает заключение рентгенолога в письменном виде и цифровой носитель со сканами исследуемой области. Врач дает краткие пояснения относительно результатов процедуры.
Заключение МРТ необходимо предоставить Вашему доктору — травматологу или ортопеду. Только лечащий врач имеет право устанавливать диагноз и назначать лечение.
МРТ или КТ при переломе?

Перелом позвоночника (указан стрелками) на рентгене (слева) и при МР-сканировании (справа)
Компьютерная томография — это усовершенствованный вид рентгенографии. Отличие заключается в том, что КТ-аппарат делает множество снимков в аксиальной плоскости послойно, тогда как обычный рентген дает лишь суммарные изображения всей области интереса. Результаты КТ более информативны в плане диагностики переломов. Метод реагирует и отражает минимальное изменение плотности костной ткани. Недостатками КТ являются:
- лучевая нагрузка;
- ограниченная кратность проведений (не более 2 раз за год);
- противопоказания (нельзя делать беременным и детям, есть ограничения по применению контраста).
Метод активно используют для экстренной диагностики переломов, когда врачам необходимо точно и срочно оценить клиническую ситуацию, чтобы оказать пациенту помощь.
МРТ не подразумевает лучевой нагрузки. Метод используют в комплексной диагностике посттравматических состояний, для изучения мягкотканных структур. МР-сканирование может пригодиться при переломе, если:
- пациент — это ребенок или беременная женщина;
- больной уже проходил лучевую диагностику или терапию и есть риск передозировки нагрузки во время очередного КТ или рентгена;
- деформация поврежденной кости влияет на целостность мягких тканей;
- есть подозрения на компрессию сосудов или нервных волокон;
- врач предполагает, что перелом является следствием не травмы, а структурных нарушений в кости.
При отсутствии противопоказаний методом выбора для диагностики переломов считается КТ.
Перелом черепа на КТ

КТ головного мозга является приоритетным методом диагностики при травме черепа. Основными доводами в пользу компьютерной томографии выступают высокая точность отображения черепных пластин, способность показать состояние головного мозга и быстрота проведения сканирования. При помощи компьютерного томографа сканирование проходит за 1-3 минуты. Несмотря на кратковременность обследования данные томографии максимально информативны и точны, чтобы судить о характере повреждения черепных пластин, последствиях перелома и его тяжести.
КТ или рентген черепа - что лучше?
КТ черепа и рентгенография - это два основных способа визуализации черепных пластин.
При черепно-мозговой травме КТ-исследование является приоритетным методом сканирования. Компьютерная томография способна точно считать повреждения черепа, которые на рентгеновских снимках могут остаться не замеченными, поскольку КТ черепа дает трехмерную, а не двухмерную картину обследуемой области как при рентгене. Кроме того, результаты томографического сканирования не только покажут состояние основания черепа, его свода, костей, но и головного мозга. Это позволит провести комплексную оценку повреждений при ЧМТ как костных, так и мягкотканных структур.
| КТ черепа | Рентген черепа |
Что покажет КТ при черепно-мозговой травме
Сканирование покажет настоящую картину повреждения костей черепа:
- Выявит перелом основания черепа;
- Отобразит на снимке перелом свода черепа;
- Зафиксирует перелом височной кости и его разновидности.
При КТ черепа и головного мозга можно пронаблюдать за текущим состоянием головного мозга, отметить возникшую патологию:
- Полученный ушиб;
- Внутримозговую гематому;
и выявить вид гематомы.
Признаки перелома черепа на КТ
На КТ снимках можно абсолютно точно рассмотреть состояние черепа, изменение костей при травме. Врач безошибочно определит такие параметры, как:
- Характер и направление перелома;
- Количество, размеры, а также расположение отломков;
- Внешний вид отломанных костных тканей;
- Глубину вдавленных отломков.
Что делать, если КТ показала травму черепа
После прохождения КТ пациентом, врач-рентгенолог пишет заключение, указывает наличие перелома, гематом. Кроме того, он прописывает их расположение, размеры, а также отсутствие или наличие смещения мозга, очаги ушибов и другие важные наблюдения.
Читайте также:
- Транспорт кислорода в растворенном виде. Вытеснение кислорода
- Фертильность после лечения внематочной беременности метотрексатом
- Диагностика травм трахеи и бронхов. Признаки повреждения трахеобронхиального дерева
- Ладонно-подошвенная форма акральной лентигинозной меланомы
- Рентгенограмма, КТ, МРТ при нижнем вывихе плеча (luxatio erecta)
