КТ, МРТ при плоскоклеточном раке задней стенки ротоглотки
Добавил пользователь Евгений Кузнецов Обновлено: 01.01.2026
Злокачественная опухоль образуется из неороговевающих клеток эпителия на участке от мягкого неба до подъязычной кости.
Анатомическое строение
Ротоглотка - это продолжение носоглотки, средний отдел гортани. Она начинается от твердого неба и заканчивается у входа в гортань. Орган соединяется с полостью рта зевом, а отделяется небными дужками, мягким небом и спинкой языка. В этом отделе перекрещиваются пищеварительные и дыхательные пути. В состав ротоглотки входит:
- задняя треть языка (его корень);
- миндалины;
- задние и боковые стенки глотки. Задняя стенка находится на уровне третьего шейного позвонка. Боковые стенки соединяются с евстахиевыми трубами ушей.

Классификация
Опухоль в ротоглотке делится на три вида:
| Доброкачественные новообразования | Неопасные, но причиняют дискомфорт. Устраняются хирургически | Остеохондрома |
| Лейомиома | ||
| Эозинофильная гранулема | ||
| Остроконечная кондилома | ||
| Фиброма | ||
| Одонтогенные опухоли | ||
| Верруциформная ксантома | ||
| Гранулярно-клеточная опухоль | ||
| Пиогенная гранулема | ||
| Рабдомиома | ||
| Нейрофиброма | ||
| Шваннома | ||
| Кератоакантома | ||
| Папиллома | ||
| Липома | ||
| Предраковые состояния | Есть риск малигнизации, но иногда дисплазия самостоятельно регрессирует | Лейкоплакия. На слизистой возникают белесые или серые точки. Они выпячивают над поверхностью или остаются плоскими |
| Эритроплакия. Образуются красные пятна, которые кровоточат при легком прикосновении | ||
| Раковая опухоль, образующаяся из клеток неороговевающего эпителия | Врач индивидуально подбирает схему лечения | Карцинома, прорастающая только из поверхностного слоя эпителия. Диагностируется в 90% случаев, причем 60% связано с выявлением ВПЧ 16 или 18 штамма |
| Полиморфная низкосортная аденокарцинома | ||
| Аденоидная кистозная карцинома | ||
| Мукоэпидермальная карцинома | ||
| Лимфома |

Рисунок 1. Лейкоплакия

Рисунок 2.1. Эритроплакия

Рисунок 2.2. Эритроплакия
Классификация TNM



Причины возникновения
Заболеваемость раком ротоглотки достигла пика в 2015-2016 году. Диагноз ставился 13% заболевших от общего числа онкологических больных, при этом процент смертности достигал 7,5%. Смертность каждого второго больного обусловлена распространением раковых клеток в полости рта и глотки, а каждого третьего - распространением рака в гортани. На сегодняшний день заболеваемость снизилась и составляет 8,7%, но смертность остается по-прежнему высокой.
Основная причина рака ротоглотки - курение и употребление крепких спиртных напитков. Каждый третий больной является курильщиком со стажем. Токсические вещества в первую очередь проникают в глотку, систематически раздражая слизистую оболочку, разрушая костные структуры.
В группу риска входят:
- больные ВПЧ. Образование папиллом на слизистой рта и глотки может перерасти в онкологию, особенно при вирусе папилломы 16 штамма;
- пожилые люди;
- люди, которые подвергались мощному ультрафиолетовому излучению;
- ослабленный иммунитет. В эту группу относят ВИЧ-инфицированных, а также людей, которые длительное время проходили курс лечения иммуносупрессивными препаратами;
- больные врожденным дискрератозом и анемией Фанкони.
Симптомы
К сожалению, специфических признаков развития злокачественного новообразования в ротоглотке нет. Пациента должны насторожить следующие симптомы:
- длительно непроходящая боль в горле;
- ощущение инородного предмета в горле;
- дискомфорт при глотании пищи или слюны;
- сложность при пережевывании;
- белесые пятна на слизистой с красной каймой;
- онемение корня языка;
- шарик при пальпировании шеи;
- огрубевший или сиплый голос;
- неприятный запах изо рта;
- необоснованная потеря веса.
Коварство заболевания в латентном течении на первой стадии. Болезнь никак себя не проявляет, поэтому человек не обращается за медицинской помощью. Уже на 2-3 стадиях пальпируемый узелок на шее начинает болеть, ощущаться сильнее. Увеличиваются шейные лимфатические узлы. На 4 стадии рака ротоглотки нарушается дыхательный и глотательный процесс, опухоль распространяется на окружающие ткани. Болезнь обостряется кровохарканьем, стремительной потерей веса, истощением и анорексией. Иногда изо рта идет кровь. Если опухоль сдавила жевательные мышцы или нервные сплетения, движения мышц ограничивается.
Метастазы развиваются быстрее, чем сама опухоль.
Диагностика
После осмотра онколога и стоматолога назначается ряд обследований:
- анализ крови на ВПЧ. Исследование проводится методом ПЦР, секвенирования или ферментного анализа. Подтверждение вируса папилломы человека изменяет тактику лечения опухоли;
- эндоскопический осмотр гортани и ротоглотки методом ларинго- и фарингоскопии;
- цитологическое исследование. При ларингоскопии врач берет соскоб со слизистой и отправляет на анализ. Определяется клеточный состав опухоли;
- биопсия. Изъятый участок окрашивается эозином и гематоксилином, а затем наблюдается реакция на препарат;
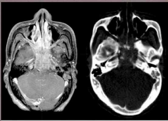
- КТ/МРТ. Томография уточняет локализацию и размер опухоли;
- ПЭТ. Показывает распространенность опухоли на окружающие органы, а также метастазирование в органы грудной клетки.
Лечение
В зависимости от стадии заболевания и состояния больного врач назначает химиотерапию, лучевую терапию, операцию, таргетную терапию, иммунотерапию в комбинации друг с другом или отдельно.
Как правило, при операции врачи стараются сохранить орган, если раковые клетки не метастазировали. Если выявлены метастазы в лимфатических узлах, сосудах или клетки проросли в нервный ствол, проводится химиотерапия совместно с облучением. Таргетная терапия используется при раке ротоглотки, вызванном ВПЧ-ассоциированным плоскоклеточным раком. Исходя из практики, в этом случае результаты благоприятные.
После окончания курса лечения пациенты наблюдаются у онколога и стоматолога. Посещение врачей обязательно каждые 3-6 месяцев в течение первых двух лет. Следующие пять лет осмотр проводится раз в полгода-года. Последующие пять лет пациент посещает врача раз в год или чаще при недомогании. Во время посещения доктор анализирует состояние больного, учитывая результаты фиброскопии, ежегодной рентгенографии органов грудной клетки, УЗИ лимфатических узлов, органов малого таза и органов брюшной полости.
Профилактика
Предотвратить онкологию можно, выполняя ряд рекомендаций специалистов. Прежде всего, важно правильно ухаживать за полостью рта и своевременно посещать стоматолога. Врач дважды в год поддерживает чистоту зубов и следит за состоянием десен и мягких тканей.
Поскольку ВПЧ - весомый фактор в развитии рака ротоглотки, важно снизить риск заражения. Для этого необходимо исключить беспорядочные половые связи и ставить вакцину.
Специалисты рекомендуют отказаться от вредных привычек и полностью бросить курить. Сразу после еды необходимо ополаскивать полость рта, а зубы чистить дважды в день. Рациональное питание - залог здоровья, поэтому ежедневно следует потреблять больше овощей и фруктов, кушать цельнозерновой хлеб, а от переработанного мяса, бобовых и курятины лучше отказаться.
Список литературы:


Авторская публикация:
Керимова С. Н.
Ординатор отделения опухолей головы и шеи
НМИЦ онкологии им Н.Н. Петрова

Под научной редакцией:
Раджабова З.А.
Заведующий отделением опухолей головы и шеи
НМИЦ онкологии им. Н.Н. Петрова,
врач-онколог, научный сотрудник, кандидат медицинских наук, доцент
Что вам необходимо сделать
Если вы хотите узнать побольше о бесплатных возможностях ФБГУ НМИЦ онкологии им. Н.Н. Петрова Минздрава России, получить очную или заочную консультацию по диагностике и лечению, записаться на приём, ознакомьтесь с информацией на официальном сайте.
Если вы хотите общаться с нами через социальные сети, обратите внимание на аккаунты в ВКонтакте и Одноклассники.
Рак носоглотки
Злокачественная опухоль представляет собой разрастание эпителиальных клеток неороговевающего слоя органа.

Строение полости
Носоглотка - это полость, соединяющая верхнюю часть гортани с носовыми проходами. Она начинается от задней поверхности твердого неба. Ее анатомическое строение следующее:
- верхний свод, состоящий из затылочной кости и клиновидной кости. Он начинается от точки соединения твердого и мягкого неба и заканчивается в точке основания черепа;
- задний свод, отделенный первыми двумя шейными позвонками. Он состоит из лимфоидной ткани, которая сливается в глоточную миндалину;
- передняя стенка. Соединена с носовыми ходами хоанами - овальными отверстиями, через которые проходит воздух. Она образована задней частью мягкого неба;
- боковые стенки. В их плоскости носоглотка соединяется со средним ухом евстахиевыми трубами, которые отделяются трубным валиком. Соединение боковых стенок образует глоточный карман.
Злокачественная опухоль носоглотки прорастает в нескольких направлениях:
- в среднюю черепную ямку и клиновидную пазуху;
- в полость носа, решетчатый лабиринт, крыловидный отросток, гайморовы пазухи, крылонебную ямку;
- в пространство между крыловидной мышцей, предпозвоночной фасцией, околоушной железой;
- в шейные позвонки, заднюю черепную ямку и спинной мозг;
- в кавернозный синус, рваное отверстие и каротидный канал.

В зависимости от морфологии и локализации патологии онкологические процессы делятся на несколько групп:

Юношеская ангиофиброма диагностируется наиболее часто среди доброкачественных опухолей носоглотки. В половине случаев опухоль начинается на верхней стенке органа в глоточно-основной фасции свода. Реже патология зарождается в клиновидной кости или надкостнице шейных позвонков. Доброкачественное новообразование бывает сфеноэтмоидальным, базальным и крыловерхнечелюстным. Оно состоит из сплетения кровеносных сосудов с плотными участками соединительной ткани, участков гиалиноза, некротических фокусов, миксоидного отека и кровоизлияний. В основном патология развивается у мальчиков-подростков. В момент полового созревания опухоль или затухает, или стремительно развивается. В последнем случае эпителиальные клетки быстро прорастают в основание черепа, глазницу, пазухи носа и саму полость носа.
В числе наиболее выявляемых злокачественных опухолей носоглотки стоит отметить поражения эпителиального слоя - недифференцированный рак, плоскоклеточный ороговевающий рак, плоскоклеточный неороговевающий рак. Эти виды опухолей диагностируются в 70% случаев. Строение злокачественных опухолей идентичное с раком слизистых на других участках тела. Микроскопия недифференцированного рака отличается преобладанием в составе новообразования округлых клеток, мелких тяжей, пучков, солидных структур. В основном недифференцированный тип выявляется у больных вирусом Эпштейна-Барр.
В медицинской практике распространение эпителиальных злокачественных клеток подразделяется на следующие группы:


Из числа всех онкологических заболеваний рак носоглотки встречается у 0,1-3% больных. Исходя из практики, больше всего болезни подвержены мужчины-азиаты в возрасте до 25 лет и после 40-летнего рубежа. В России заболеваемость составляет 0,1-0,2%, при этом у мужчин рак диагностируется чаще, чем у женщин.
Отличительная черта рака носоглотки - отсутствие влияния вредных привычек на рост злокачественных клеток. Заболевание не связано с курением или употреблением алкоголя.
В группу риска попадают больные, у которых выявлены хронические метаплазийные или гиперлазийные воспалительные процессы слизистой носоглотки. Также на формирование патологической среды влияет инфицирование вирусом Эпштейна-Барр.
Клинические особенности доброкачественной опухоли носоглотки завуалированы. Поначалу сложно определить заболевание, ведь симптомы схожи с обычными проявлениями ЛОР-болезни:
- затрудняется дыхание носом с одной стороны или полностью с двух носовых проходов;
- иссыхает слизистая горла;
- из носа выделяется слизь с примесью гноя;
- иногда возможны носовые кровотечения;
- голос гнусавит.
Опухоль быстро увеличивается в размере. На снимках она показывается в виде ярко-красного полипа, который по мере роста округляется и синеет. Через время изменяется форма мягкого неба, а форма верхней челюсти изменяется. У больного становятся выпученными глаза, кровотечения из носа усиливаются, а дыхание носом невозможно.
Признаки злокачественной опухоли носоглотки зависят от направления роста и точного расположения патологического узла. В зависимости от направления роста рак бывает экзофитным, дольчатым, эндофитно-язвенным. В первом случае очаг патологии в своде носоглотки, который быстро разрастается в орбиту и носовую полость. Врач видит четкие границы опухоли, а слизистая оболочка не изменяется. Больной жалуется на кровотечение из носа и сложное дыхание. Эндофитно-язвенная опухоль образуется на задней стенке носоглотки. Она медленно развивается, поэтому носовые выделения слабые. Пациент жалуется на головную боль и снижение остроты слуха с одной стороны. Врач при осмотре выявляет бугорок без четких границ с красной каймой слизистой оболочки. Дольчатая опухоль подразумевает поражение устья слуховой трубы, поэтому снижается слух, а из носа выделяется обильно слизь и кровь. По мере роста новообразования сжимаются черепно-мозговые нервы, в результате чего присоединяется неврологическая симптоматика.
Клиническая картина злокачественного рака носоглотки:
- болезненность на надбровной дуге, на верхней челюсти;
- понижение чувствительности век и оба из-за вовлечения в патологический процесс тройничного нерва;
- паралич мягкого нерва слева или справа из-за сдавливания блуждающего и добавочного нерва. Иногда парализуется гортань и глотка с последующим нарушением глотательной функции по той же причине;
- повышение чувствительность ушей;
- кашель;
- одышка.
Отличительная черта злокачественной опухоли носоглотки - раннее метастазирование. Очаги появляются в лимфатических узлах вдоль спинномозгового корешка добавочного нерва, глубоких яремных лимфатических узлах, заглоточных лимфатических узлах на шее. У каждого больного количество и расположение метастазов различно. Зачастую они сливаются воедино, вызывая сильнейшую боль и нарушенную иннервацию глаза. Отдаленные метастазы развиваются при разрастании регионарных более чем на 6 см. Очаги прорастают в костях скелета, в почки, печень и легкие.

Дифференциальная особенность доброкачественной опухоли заключается в рассмотрении красного новообразования с гладкими стенками посредствам риноскопии. Если опухоль выпирает в ротоглотку, при прикосновении к ней металлическим инструментом она кровоточит. Рентгенография подтверждает разрушение клиновидной кости.
В отличие от юношеской ангеофибромы, злокачественные новообразования проще диагностируются, но из-за позднего обращения к врачу сложно определить точную локализацию опухоли. Аппаратное и инструментальное обследование сводится к следующему:
- фиброскопия с прицельной биопсией с последующим гистологическим и цитологическим анализом;
- пункция увеличенных лимфатических узлов;
- рентгенография носа и его пазух, носоглотки в боковой и прямой проекциях;
- УЗИ шейных лимфатических узлов;
- анализ крови для поиска антигенов к вирусу Эпштейна-Барр;
- фиброэпифарингоскопия через ротоглотку и нос, результаты которой отправляются на цитологическое исследование;

- КТ или МРТ. Томография показывает точную локализацию опухоли и ее распространение. Снимки визуализируют поражение межмышечной клетчатки нервов, разрушение костей основания черепа. Только по результатам магнитно-резонансной томографии удается выявить двустороннюю локализацию опухоли, в то время как другие методы исследования показывают наличие только на одной стороне лимфатических узлов. На поздних стадиях МРТ показывает прорастание опухоли в костные структуры, заглоточные лимфатические узлы и вещество головного мозга.

Юношеская ангиофиброма сложно поддается лечению. Так, лучевая терапия не оказывает должного результата, поэтому операция обязательна. Хирургическое вмешательство проводится эндоназально при условии отсутствия метастазов в пазухах носа и орбите. Если опухоль проросла в скулы, орбиту, нос или его пазухи, ее удаляют через глотку и рот, используя верхнечелюстной доступ.
Лечение злокачественной опухоли носоглотки делится на несколько этапов.
Лучевая терапия
Метод подходит для лечения онкологии первой стадии. Врач подбирает высокую дозу облучения для устранения первичной опухоли и ее метастазов в лимфатических узлах. Злокачественные клетки в носоглотке чувствительны к облучению, поэтому эффективность лечения высока. Дополнительно курс лучевой терапии шейных лимфатических узлов проводится отдельными полями с профилактической целью после пройденного курса терапии.
Радиолог назначает два курса облучения с перерывом в 14 дней. Суммарная очаговая доза за все сеансы не превышает 70 гр. После достижения зоны 40-50 гр объем облучения уменьшается, пока не достигнет суммарной дозы. Наибольшая эффективность лечения достигается при увеличении суммарной очаговой дозы до 60-69 гр.
После терапии опухолевые клетки остаются у 40% больных. Вероятность рецидивов снижается практически до 6%, если источник радиоактивного облучения вводится в носоглотку автоматически или вручную. Этот способ помогает повысить очаговую дозу до 90-120 гр. Внутриполостное облучение, очаговая доза которого 6-7 гр за сеанс с перерывов в одну неделю на протяжении 21 дня, не вызывает осложнений в позднем периоде. Подобный способ помогает достичь пятилетней ремиссии.
В сферу облучения входит не только первичная опухоль, но и шейно-надключичные, заглоточные лимфатические узлы с двух сторон, парафарингеальное пространство, основание черепа. Поскольку рядом с этими участками находятся жизненно-важные органы, на которые нежелательно направлять облучающие лучи, радиолог тщательно подбирает программу облучения. Обычно лучевое воздействие начинается с участков регионарного лимфооттока и щечно-височных фигурных полей. Если злокачественные клетки обнаружили в полости носа и его пазухах, то доза облучения распределяется с помощью фигурных полей с зоны скул и заушных лимфатических узлов.
На сегодняшний день используются не только стандартные программы облучения. Трехплоскостное планирование обучения оптимально распределяет дозу между самой опухолью и окружающими тканями, поэтому нагрузка на ткани вокруг снижается.
Если после курса лучевой терапии остались метастазы на шее, то осуществляется операция. Если рак носоглотки диагностирован уже на второй стадии, проводится химиолучевая терапия. В целом облучение помогает достичь ремиссии практически 90% больным. Продолжительность жизни на 5 лет повышается на 53%, на 10 лет повышается на 45%, на 20 лет - на 39%. Однако стоит отметить, что у каждого третьего больного возникают отдаленные метастазы после пройденного курса лечения.
Химиотерапия перед операцией
Неоадъювантная химиотерапия вкупе с лучевой терапией назначается при высокой склонности к метастазированию, диагностировании недифференцированного рака.
Назначается 2-3 курса. Больному вводятся препараты цетуксимаба, блеомицина, доксорубицина, винбластина, платинов, винкристина, метотрексата, циклофосфомида, а через 14 день после начала приема приступают к облучению.
Основные схемы лечения таковы:
- 5-фторурацил с цисплатином. Препараты вводятся инфузионно на протяжении четырех суток. В некоторых случаях для усиления эффекта схема дополняется лейковорином. После химиотерапии клетки опухоли распадаются в половине случаев, а если химиотерапия использовалась вместе с облучением, раковые клетки распадаются практически у 80% больных. Подобные схемы приема препаратов на протяжении первой и шестой недели облучения эффективны для локализованной опухоли и местных форм рака носоглотки. Выживаемость больных на третьей стадии рака - 87,7%, на четвертой стадии - 51,9%. Выживаемость больных с первой стадией онкологии при лучевой терапии - 91,7%, при химиотерапии вкупе с лучевой терапией - 96,6%.
Быстро добиться ремиссии и местного излечения помогает схема приема цисплатина, фолиевой кислоты, 5-фторурацила вкупе с лучевой терапией на первой, четвертой, седьмой и десятой недели. После этого осуществляется фракционирование в динамическом режиме - суммарная доза 80 гр, а препараты принимаются сначала по 2 гр на протяжении второй и третьей недели пять дней подряд, а потом по 1,5 гр дважды в день на протяжении пятой, шестой, восьмой и девятой недели лечения. - Эпирубицин с цисплатином. Принимаются в рамках химиотерапии или химиотерапии вкупе с облучением. Цисплатин принимается в дозировке 60 мг/м2, а эпирубицин - 110 мг/м2. Такая схема помогает достичь высоких результатов лечения и выживаемость больных без последующих рецидивов.
Стоит отметить результативность этой схемы при метастазировании, когда узлы превышают 6 см. Выживаемость в этом случае составляет 73% с рецидивами и 63% без рецидивов. - Эпирубицин, цисплатин и блеомицин. Схема приема такова - сначала однократно принимается в первый день 15 мг блеомицина, затем он подается инфузионно следующие пять суток в дозировке 12 мг/м2. Эпирубицин используется в первый день дозировкой 70 мг/м2, а цисплатин в первый день дозировкой 100 мг/м2. Всего проводится три таких курса, а затем подключается облучение суммарной очаговой дозой 70 гр на протяжении семи недель. В этом случае выживаемость 63% в течение пяти лет и 59% на протяжении 10 лет.
В настоящий момент эти схемы лечения подтвердили свою эффективность, но специалисты продолжают изучать новые схемы применения таксанов. Локализованный рак носоглотки может быть вылечен посредством лучевой терапии, при этом эффективнее метод внутриполостного облучения. Если диагностировано местное распространение злокачественных клеток, а также метастазы на шее, то проводится химиолучевая терапия. При полном разрушении раковых клеток проводится адъювантная химиотерапия для предотвращения образования метастазов в легких, печени и почках. Если первичная опухоль распалась, а остались остаточные метастазы, то проводится операция Крайля через месяц-полтора после прохождения химиотерапии.
Прогноз
В целом лечение доброкачественной опухоли носоглотки благоприятное, если операция проведена на начальной стадии развития заболевания, однако стоит отметить склонность к рецидиву.

Прогноз лечения недифференцированного рака неуточненный. Как правило, новообразование метастазирует и в возрасте 40 лет диагностируется рецидив. Исходя из практики, на выживаемость влияет морфология опухоли, наличие метастазов, распространение раковых клеток. Выживаемость на протяжении пяти лет подтверждается у больных недифференцированным раком носоглотки в 52%, а у больных плоскоклеточным раком носоглотки в 18%.
Список литературы по теме:


Авторская публикация:
Мгарь Е.А.
Ординатор отделения опухолей головы и шеи
НМИЦ онкологии им Н.Н. Петрова
Рак носоглотки - симптомы и лечение
Что такое рак носоглотки? Причины возникновения, диагностику и методы лечения разберем в статье доктора Опря Анны Николаевны, онколога со стажем в 12 лет.
Над статьей доктора Опря Анны Николаевны работали литературный редактор Вера Васина , научный редактор Татьяна Остринская и шеф-редактор Маргарита Тихонова

Определение болезни. Причины заболевания
Рак носоглотки (Nasopharyngeal cancer) — это злокачественная опухоль верхней части глотки. На ранних стадиях болезнь протекает бессимптомно или маскируется под другие заболевания, например под острые респираторные инфекции. Одним из первых проявлений рака носоглотки могут стать увеличенные шейные лимфоузлы.

В 70 % случаев в носоглотке развивается плоскоклеточный рак — опухоль, исходящая из клеток эпителия слизистой оболочки [3] .
Но могут встречаться и другие злокачественные новообразования:
- исходящие из малых слюнных желёз (аденокарцинома);
- из мягких тканей (саркома);
- из лимфоидной ткани (лимфома);
- из нейроэпителия (эстезионейробластома) [1] .
Распространённость рака носоглотки
В России на рак носоглотки приходится 0,1-0,2 % от всех онкологических болезней. Самая высокая заболеваемость в двух возрастных группах: в 15-25 и 40-60 лет. Мужчины болеют раком носоглотки примерно в пять раз чаще, чем женщины [2] [3] .
Причины рака носоглотки
Причины заболевания до конца не изучены, но известно, что основным фактором развития болезни является вирус Эпштейна — Барр [6] . Этим вирусом заражено более 90 % населения планеты, зачастую заболевание протекает без симптомов и не вызывает осложнений. Лишь у немногих заражённых инфекция становится хронической, что впоследствии может привести к раку [15] .
К другим факторам развития рака носоглотки относятся:
- Хронические воспалительные процессы, вызывающие гиперплазию и метаплазию слизистой оболочки носоглотки, т. е. разрастание и преобразование тканей.
- Анатомические особенности некоторых рас. Рак носоглотки чаще встречается среди народов Юго-Восточной Азии, Африки и Индокитая.
- Профессиональные факторы. Риск развития заболевания выше при работе, связанной с воздействием тепла, пара и пыли. Чаще заболевают сварщики, печники, пекари, кочегары, кузнецы, операторы кузнечных прессов, работники деревообрабатывающей и текстильной промышленности [6] .
- Частое потребление солёной консервированной рыбы. Предположительно, если есть её ежедневно, риск развития рака повышается в несколько раз. Потребление других консервированных продуктов также может повышать риск развития болезни [6] .
В исследовании, проведённом в США, две трети случаев рака носоглотки I типа были связаны с курением, но для II и III типа такую взаимосвязь не выявили [6] . Также не доказано, что рак носоглотки чаще возникает при употреблении алкоголя.
При обнаружении схожих симптомов проконсультируйтесь у врача. Не занимайтесь самолечением - это опасно для вашего здоровья!
Симптомы рака носоглотки
На ранних стадиях рак носоглотки протекает бессимптомно или скрывается под маской острых респираторных инфекций, ринофарингита и аденоидных вегетаций. Кроме того, опухоль не видна и не прощупывается, поэтому часто её выявляют только на поздних стадиях.
Симптомы рака носоглотки зависят от расположения опухоли и направления её роста.
Можно выделить следующие проявления болезни:
- Со стороны полости носа — периодические носовые кровотечения, примесь крови в слюне и прогрессирующая заложенность носа.
- Ушные — пощёлкивание и боли, заложенность уха, ухудшение слуха, односторонний рецидивирующий средний отит.
- Офтальмологические — выпячивание и смещение глазного яблока, опущение верхнего века, косоглазие, снижение остроты зрения и двоение в глазах.
- Расстройство глотания и произношения звуков, провисание мягкого нёба, гнусавость.
- Неврологические — поражение черепно-мозговых нервов может привести к онемению лица, неподвижности половины гортани, отклонению языка в сторону и другим симптомам, связанным с параличом черепно-мозговых нервов. Чаще всего поражаются 3, 5, 6 и 12-й черепные нервы [1][16] .
Боль и затруднения при глотании, возникающие при других видах рака головы и шеи, редко встречаются на ранней стадии рака носоглотки, поскольку очаг находится выше ротоглотки.
Для рака носоглотки характерны метастазы, поражающие шейные лимфоузлы. Нередко первым и единственным симптомом становится их увеличение с одной или обеих сторон шеи, по поводу таких лимфоузлов пациент и обращается к врачу.
Неврологические, офтальмологические и другие симптомы, как правило, возникают на III-IV стадиях. К поздним проявлениям также относят спазм жевательной мускулатуры и головную боль [16] .
Патогенез рака носоглотки
Вирус Эпштейна — Барр связан с несколькими злокачественными опухолями: раком носоглотки, лимфомой и карциномой желудка. Инфекция передаётся через жидкости организма, особенно через слюну, а также половым путём.
Считается, что ядерный антиген вируса Эпштейна — Барр, т. е. его специфический белок, может поражать эпителиальную оболочку носоглотки и приводить к злокачественному перерождению тканей [16] .

Раковые опухоли носоглотки, связанные с вирусом Эпштейна — Барр, представляют собой недифференцированные карциномы с выраженной лимфоидной инфильтрацией — это означает, что опухоль содержит много лимфоцитов . Взаимодействие раковых клеток с лимфоцитами приводит к тому, что клетки опухоли распространяются через лимфоток и развиваются метастазы [1] .
Чаще всего ведущая роль в развитии рака носоглотки при вирусе Эпштейна — Барр принадлежит геномным изменениям, при которых активируется сигнальный путь NF-κB [5] . Этот путь связан с развитием воспаления, делением клеток и программируемой клеточной гибелью. Особую роль он играет в развитии B-лимфоцитов: при недостаточной активности NF-κB созревающие лимфоциты гибнут раньше времени, а при повышенной — могут развиваться злокачественные опухоли.
Вирус Эпштейна — Барр способен активировать путь NF-κB, а также механизмы уклонения от иммунитета, что приводит к неконтролируемому делению клеток и развитию рака [5] .
Связь потребления солёной рыбы с развитием рака объясняется тем, что консервирование в соли неэффективно и может приводить к частичному разложению рыбы. В результате в ней накапливаются нитрозамины. Считается, что они вызывают повреждение ДНК и хроническое воспаление в слизистой оболочке носоглотки, что способствует развитию рака [17] . Такая рыба содержит и другие вещества, которые активируют вирус Эптштейна — Барр и могут повышать риск развития рака [6] .
Классификация и стадии развития рака носоглотки
Согласно классификации Всемирной организации здравоохранения, выделяют три подтипа карциномы носоглотки:
- Ороговевающая плоскоклеточная карцинома, или кератинизирующий плоскоклеточный рак. В 85 % этот тип рака связан с вирусом Эпштейна — Барр.
- Неороговевающая плоскоклеточная карцинома. Бывает дифференцированной и недифференцированной, причём второй тип такой карциномы — самая распространённая форма рака носоглотки.
- Базалоидная плоскоклеточная карцинома — редкий тип опухоли [1][16] .
Международная классификация рака носоглотки по системе TNM (2017 г.) [7]
Наглядно это можно показать так:

Осложнения рака носоглотки
Характер осложнений зависит от распространения рака:
- При прорастании опухоли в область глазницы пациент может потерять зрение.
- При опухолях в области ротоглотки возникает спазм жевательных мышц, нарушается жевание и глотание, что способствует истощению и потере веса.
- Распространение опухоли в кости черепа и головной мозг может вызывать сильную головную боль. При сдавливании нервной ткани может нарушиться дыхание и речь.
- Массивная опухоль проявляется интенсивными носовыми кровотечениями. При распаде опухоли появляется неприятный гнилостный запах изо рта.
- При выраженном поражении шейных лимфоузлов затруднена подвижность шеи, возникает боль в ней, из-за чего нарушается сон[4] .
При распространённом онкологическом процессе, наряду с сильной болью в области головы и/или шеи, может развиться кахексия, анорексия и анемия, что проявляется, прежде всего, выраженной слабостью [18] [19] .
Диагностика рака носоглотки
Лабораторная диагностика
При первичной диагностике, а также для дальнейшей оценки эффективности лечения может проводиться анализ крови на вирус Эпштейна — Барр (количественное определение ДНК методом ПЦР) [9] . С помощью этого анализа можно быстро и недорого оценить эффективность лечения.
Инструментальная диагностика
- Эндоскопия носоглотки — для постановки диагноза проводится осмотр первичной опухоли. Наилучший обзор достигается с помощью гибкого или жёсткого носового эндоскопа. При заполнении опухолью всей полости носоглотки наиболее информативен осмотр через полость рта с помощью 30 ° или 70 ° жёсткого гортанного эндоскопа [1] . Если эндоскопа нет, может использоваться носоглоточное зеркало [11] .

- МРТ (предпочтительно) и/или КТ носоглотки с контрастом — позволяют оценить распространение опухоли и определить стадию болезни.
- УЗИ шейных лимфоузлов — можно выявить изменённые лимфатические узлы. В сочетании с биопсией позволяет подтвердить или исключить метастазы в лимфоузлах.
- УЗИ брюшной полости и забрюшинного пространства — позволяет выявить метастазы в печени и сопутствующие патологии (кисту, мочекаменную болезнь, аденому надпочечников, цирроз печени и др.). Если обнаружены узловые образования, то для уточнения их характера проводится КТ или МРТ брюшной полости с контрастом.
- КТ грудной клетки — позволяет выявить или исключить метастазы в лёгких и сопутствующие болезни (туберкулёз, пневмонию, саркоидоз и др.).
- ПЭТ-КТ — показана при подозрении на распространённый процесс. Также это обследование проводят после лучевой или химиолучевой терапии, чтобы подтвердить полное рассасывание метастазов, выявить возможный рецидив и понять, нужна ли операция по удалению лимфоузлов (лимфаденэктомия) [1][3] .
Биопсия
Для гистологического подтверждения диагноза выполняется биопсия. Образец ткани берут через нос или через рот.
Консультации других врачей
До и после лечения пациентам потребуются консультации смежных специалистов:
- Стоматолог — обучает правильной гигиене полости рта и при необходимости проводит лечение зубов и дёсен. Санация полости рта, проведённая до начала лучевой терапии, позволяет снизить частоту и тяжесть лучевых мукозитов. При выраженном мукозите приходится делать перерыв в лучевой терапии, что плохо влияет на результаты лечения.
- Эндокринолог — консультация проводится после лучевой терапии. Она необходима, потому что после лечения, в среднем через 6-12 месяцев, может развиться постлучевой гипотиреоз. Врач оценивает уровень тиреотропного гормона (ТТГ) через 6, 12,18, 24 месяца после лечения. Также может потребоваться УЗИ щитовидной железы.
- Репродуктолог — консультирует молодых пациентов перед химиотерапией по вопросам фертильности [11] .
По показаниям может потребоваться консультация офтальмолога, оториноларинголога, сурдолога и логопеда.
Оценка нутритивного статуса
Нутритивная поддержка — это лечебное питание, цель которого обеспечить организм всеми необходимыми веществами. Нутритивная поддержка позволяет скорректировать уровень макро- и микронутриентов, улучшить переносимость и ослабить побочные эффекты химио- и лучевой терапии, повысить качество жизни.
Онколог оценивает нутритивный статус как до лечения, так и на всех этапах терапии.
Необходимость нутритивной поддержки определяется по следующим показателям: индекс массы тела (ИМТ) меньше 20, похудение более чем на 5 % за полгода, невозможность есть через рот, среднее или тяжёлое поражение тонкого кишечника, уровень белка в плазме крови менее 60 г/л, уровень альбумина менее 30 г/л. При лечении эти показатели желательно оценивать раз в 7 дней.

Дифференциальная диагностика
Рак носоглотки следует отличать:
- от плоскоклеточной и инвертированной папилломы;
- доброкачественных и злокачественных заболеваний малых слюнных желёз (онкоцитомы, полиморфной аденомы, аденокарциномы, цистаденокарциномы);
- доброкачественных и злокачественных новообразований мягких тканей (юношеской ангиофибромы, нейрофибромы, шванномы, хемодектомы, фибросаркомы, рабдомиосаркомы, нейрофибросаркомы);
- опухолей лимфоидной и кроветворной ткани (лимфосаркомы, ретикулосаркомы, плазмоцитомы, болезни Ходжкина);
- опухолей смешанного происхождения (солидной тератомы, дермоидной кисты, гипофихарной аденомы, менингиомы, хордомы, краниофарингиомы); ;
- эстезионейробластомы;
- метастазов других опухолей в носоглотку, но такие случаи очень редки;
- опухолеподобных состояний (псевдоэпителиальной гиперплазии, онкоцитарной метаплазии и гиперплазии, кисты, гемангиомы, фиброматоза, амилоидоза, инфекционной гранулёмы, гранулёмы Стеварта, гранулематоза Вегенера); и полипозного риносинусита [4] .
Лечение рака носоглотки
Злокачественные опухоли носоглотки высокочувствительны к химио- и лучевой терапии, поэтому эти методы предпочтительны для первичного лечения [11] .
При I стадии рака носоглотки показана лучевая терапия [3] . На этой стадии её проводят без химиотерапии: не доказано, что химиолучевое лечение повышает выживаемость по сравнению с лучевой терапией, но побочных эффектов возникает больше.
При II-IVA стадиях рекомендуется провести химиолучевую терапию с последующей химиотерапией или химио-, а затем химиолучевую терапию [3] . Если после проведённого лечения останутся метастазы в шейных лимфоузлах, потребуется операция. Хирургически удалить опухоль носоглотки очень сложно, поэтому в качестве первичного лечения операция не рассматривается [1] .
При IVB стадии (наличии отдалённых метастазов) назначается химиотерапия с препаратами платины [8] . После химиотерапии может проводиться лучевая и химиолучевая терапия, симптоматическое лечение, операция (при единичном метастазе) [3] .
Основной побочный эффект лучевой терапии в области головы и шеи — это мукозит (эпителиит), который проявляется болью и воспалением слизистой оболочки полости рта. При заболевании затруднён приём пищи, тяжело говорить, иногда трудно открывать рот. Полностью предотвратить это осложнение нельзя, но его течение можно облегчить. Для этого до лечения нужно обратиться к стоматологу, чтобы провести санацию полости рта, а также соблюдать рекомендации врача во время терапии.
Самым грозным осложнением лучевой терапии является остеомиелит. Как правило, заболевание развивается при удалении зуба после лучевой терапии. Удалять плохие зубы нужно за 14 дней до лучевой терапии, в течение двух лет после лечения следует избегать манипуляций, затрагивающих кость челюсти.
Прогноз. Профилактика
Прогноз зависит от времени постановки диагноза, степени распространения опухоли в носоглотке и наличия метастазов [16] . Пятилетняя выживаемость при I стадии составляет 98 %, при II стадии — 92 %, при III стадии — 83 %, при IVA стадии —71 % [12] .
Высокие изначальные или сохраняющиеся к концу лучевой терапии уровни ДНК вируса Эпштейна — Барр являются признаком неблагоприятного прогноза [14] [16] .
Профилактика рака носоглотки
Первичная профилактика. В некоторых исследованиях выявлено, что риск развития рака носоглотки снижается при употреблении фруктов и овощей: моркови, китайской капусты, зелёных листовых овощей, свежих соевых продуктов, апельсинов и мандаринов. Также риск развития болезни был ниже при приёме витаминов Е, С, А по отдельности или в сочетании. Защитное действие фруктов и овощей можно объяснить тем, что они оказывают антиоксидантный эффект и предотвращают образование нитрозаминов [6] .
При наличии профессиональных факторов риска снизить вероятность развития рака носоглотки можно с помощью средств защиты.
Не существует стандартных скрининговых тестов для определения рака носоглотки. Скрининг с тестом на антитела к вирусу Эпштейна — Барр или на ДНК вируса не помог снизить смертность от рака носоглотки [13] .
Вторичная профилактика заключается в знании симптомов, своевременном обращении за медицинской помощью и онконастороженности врачей — повышенной бдительности к симптомам, которыми может проявляться рак.
Во время лечения важно предотвратить развитие побочных эффектов, чтобы не пришлось прерывать цикл терапии. При прохождении химиотерапии рекомендуется заниматься ЛФК, будет полезна психологическая поддержка и курс массажа для уменьшения слабости. Также следует лечить стоматит, гематологические осложнения, ксеростомию и спазм жевательных мышц [3] [10] [20] .
Курильщикам необходимо бросить курить, а бывшим курильщикам воздержаться от курения [11] .
После завершения лечения нужно посещать врача:
- в первый год — раз в 1-3 месяца;
- во 2-й год — раз в 2-6 месяцев;
- на 3-5-й год — каждые 4-8 месяцев, далее раз в год.
При возникновении новых симптомов необходимо сразу же обратиться к врачу.
Плоскоклеточный рак гортани

Онкопатология гортани представлена в виде таких заболеваний:
- плоскоклеточный рак гортани;
- аденокарцинома;
- саркома.
Подавляющее число злокачественных опухолевых процессов в горле обусловлено развитием плоскоклеточного рака. Однако уточнение природы атипичных клеток, из какой ткани они образуются, является важным условием выбора корректного лечения.
Классификация рака гортани
Плоскоклеточный рак гортани - наиболее распространенное онкологическое заболевание, поражающее эпителиальный слой органа. Злокачественный процесс поражает плоский эпителий на разных стадиях его развития, вызывая мутацию клеток, что и проявляется различными гистологическими формами заболевания. По степени ороговевания эпителиального слоя различают плоскоклеточный ороговевающий рак гортани и неороговевающий рак.
Такое разделение определяется только по результатам биопсии, которую проводит специалист. Выделить участок пораженного участка ткани можно при ларингоскопии или непосредственно при оперативном вмешательстве. Заключается процедура в извлечении сомнительного участка и дальнейшее исследование его под микроскопом.
Для достоверности диагностики наиболее благоприятным местом для забора материала является пограничный участок между патологически измененным и нормальным эпителием. Проведение исследования является необходимым для уточнения злокачественного образования и его гистологической формы.
Выбор лечебной тактики и прогнозы зависят от полученных результатов биопсии.
Неороговевающая форма плоскоклеточного рака характеризуется быстрым ростом, распространением на близлежащие ткани, ранним развитием метастазов, то есть, более злокачественным течением. Ороговевший эпителий, характеризующий другую разновидность плоскоклеточного рака, свидетельствует о более благополучном течении заболевания.
Стадии процесса
Большое значение для прогноза жизни имеет стадия заболевания, на которой начато его лечение. Уточнение диагноза на ранних сроках заболевания способствует более оптимистичным прогнозам. Эффективность проводимого лечения в этом случае будет значительно выше.
Рак горла в своем развитии проходит четыре стадии, характеризующиеся клиническими отличиями. Существует международная классификация заболевания по системе TNM, где T характеризует собой размеры и границы прорастания опухоли, N - распространение метастазов в региональные лимфоузлы, M - вовлечение в процесс всего организма и наличие метастатического поражения удаленных органов.

Первая стадия характеризуется наличием незначительного участка поражения, локализующегося в строго ограниченном месте.
Окружающие ткани при этом не изменены. Лимфатические региональные узлы не увеличены. Симптоматика заболевания на этой стадии является абсолютно скудной, маскируется воспалительными заболеваниями горла. Пациент может жаловаться на неприятные ощущения в горле, ощущение инородного тела при глотании, поперхивание. По системе TNM первая стадия соответствует T1N0M0.
При проведении регулярного медосмотра на этой стадии чаще всего обнаруживается рак глотки, а также надсвязочного отдела гортани. При данной локализации процесса предварительный диагноз может быть выставлен с помощью ларингоскопии и фарингоскопии, доступной в любом медицинском учреждении. В связи с этим, своевременное обращение к отоларингологу позволит начать лечение на ранних сроках, что будет способствовать улучшению прогноза. Наиболее эффективные лечебные мероприятия, применяемые на данном этапе, - хирургическое удаление опухоли и проведении лучевой терапии.
Прогноз при своевременно проведенном лечении рака горла первой стадии является благоприятным.
Вторая стадия заболевания характеризуется дальнейшим ростом опухоли, затрагивающим прилегающие области.
Может отмечаться увеличение региональных лимфоузлов. Они мягкие, легко смещаются, их пальпация безболезненна. Диагностическая биопсия позволяет определить отсутствие в них метастазов.
В связи с прорастанием нервных окончаний, на этой стадии возможно уже развитие болевого синдрома. При поражении голосовых связок нарастает изменение тембра голоса. Он становится осипшим. Отмечается быстрое утомление от разговора. Удаление опухоли хирургическим путем является необходимым условием, способствующим улучшению прогноза. Своевременное проведение лечебных мероприятий на этой стадии гарантирует продление жизни на 5 лет для 80% пациентов.
Третья стадия рака горла характеризуется усугублением симптоматики.

- недомогание;
- слабость;
- потеря в весе;
- боль в горле;
- ощущение инородного тела в горле;
- сухой кашель;
- затруднение дыхания, возможно развитие удушья;
- изменение голоса, вплоть до беззвучия.
Важным диагностическим и прогностическим фактором является увеличение лимфоузлов. Они становятся плотными, спаянными с окружающими тканями. В некоторых случаях лимфоузлы выглядят в виде плотных пакетов.
Диагностическая биопсия устанавливает наличие в них атипичных клеток, что свидетельствует о развитии метастазов. В то же время, проведенные аппаратные исследования позволяют исключить развитие метастазов и поражение других органов и систем. Чаще всего для диагностики используют УЗИ, КТ, МРТ, рентгенологическое исследование органов грудной клетки.
На данном этапе лечение должно носить только комплексный характер, включая все возможные средства, предложенные современной медициной, хирургическое удаление опухоли, лучевую терапию, применение химиотерапевтических препаратов. В этой стадии допускается лечение плоскоклеточного рака гортани народными средствами. Основные требования, предъявляемые к таким методам лечения, заключаются в том, чтобы они применялись совместно с традиционным лечением, не заменяя его. Кроме того, средство, рекомендуемое альтернативной медициной, должно быть безопасным для пациента.
Четвертая стадия рака горла характеризуется дальнейшим распространением опухолевого процесса.
При этом атипичные клетки в процессе своей жизнедеятельности оказывают токсическое действие на весь организм, приводя к развитию раковой интоксикации. Наиболее типичными симптомами в данном случае являются
- резкая слабость;
- недомогание;
- исхудание;
- повышение температуры тела;
- боль в горле;
- болезненность при попытках произношения звуков;
- афония;
- сухой кашель;
- приступы удушья;
- кровохарканье;
- неприятный запах изо рта.
На этой стадии отмечается вовлечение в процесс различных органов и систем. При раке горла метастазы могут обнаруживаться в бронхах, легких, головном мозге, позвоночнике, реже - печени и почках, что также сказывается на клинической картине.
Лечебные мероприятия направлены исключительно на продление жизни пациента. Отдаленные прогнозы неблагоприятны. В этой стадии пациенты активно обращаются к средствам нетрадиционной медицины.
Зависимость течения заболевания от локализации опухоли
Течение рака горла и прогнозы во многом зависят от локализации процесса. Несмотря на возможность ранней диагностики, рак гортани надсвязочного отдела характеризуется злокачественным течением. Обусловлено это тем, что данная область оснащена широкой сетью лимфатических сосудов, способствующих распространению опухолевого процесса.
Локализация процесса в области голосовых связок характеризуется более выраженной симптоматикой, когда у пациента отмечается прогрессирующее нарушение голоса, что и вынуждает его обращаться к специалистам. Кроме того, в области голосовых связок лимфатическая и капиллярная сеть развита недостаточно, что и предотвращает быстрое распространение опухоли. Таким образом, опухоль связочного отдела гортани характеризуется медленным ростом, что создает предпосылки для более оптимистичных прогнозов.
Рак подсвязочного отдела гортани характеризуется поздней диагностикой, что обусловлено скудностью симптоматики, которая маскируется хроническим ларингитом, ларинготрахеитом. Кроме того, сухой кашель и некоторый дискомфорт в горле являются постоянными признаки курильщиков. В течение длительного времени такие пациенты не обращаются к специалистам, считая, что наличие симптоматики обусловлено вредной привычкой. При такой локализации процесса могут возникнуть сложности и с уточнением диагноза, так как визуальное обнаружение опухоли с помощью непрямой ларингоскопии может быть затруднено.
Поскольку ранняя диагностика заболевания играет существенную роль в дальнейших прогнозах, то для всех категорий пациентов при длительном наличии симптомов поражения горла рекомендовано обращаться на консультацию к отоларингологу.
Охриплость голоса, ощущение инородного тела в горле, сухой кашель свыше трех недель является поводом посетить лечебное учреждение и пройти ларингоскопию.
Пациенты с отягощенным анамнезом, имеющие вредные привычки, а также сотрудники вредных производств должны осуществлять плановое посещение ЛОР-врача дважды в год.
Злокачественные опухоли ротоглотки
Рак ротоглотки - злокачественная опухоль поражающая средний отдел глотки, границей служит линия, проведенная по передним нёбным дужкам, валикообразным сосочкам языка, по границе мягкого и твердого нёба. Верхней границей ротоглотки является горизонтальная плоскость, проходящая на уровне твердого неба, нижней - горизонтальная плоскость, расположенная на уровне высшей точки свободного края надгортанника.

Автоматизация клиники: быстро и недорого!
- Подключено 300 клиник из 4 стран
- 800 RUB / 4500 KZT / 27 BYN - 1 рабочее место в месяц

Автоматизация клиники: быстро и недорого!
- Подключено 300 клиник из 4 стран
- 1 место - 800 RUB / 4500 KZT / 27 BYN в месяц
Мне интересно! Свяжитесь со мной
Т4а - опухоль распространяется на соседние структуры: глубокие мышцы языка (подбородочно-язычную, подъязычно-язычную, небно-язычную и шиловидно-язычную), медиальную пластинку крыловидного отростка основной кости, нижнюю челюсть, твердое нёбо, гортань.
Т4b - опухоль распространяется на: крыловидные мышцы, крыловидные отростки основной кости, латеральную стенку носоглотки, основание черепа или на стенку сонной артерии.
Любая Т любая N М1
Резюме 2 см
2 см до 4 см
4 см
черепа, сонная артерия.
Резюме 2 см
2 см до 4 см
4 см
Факторы и группы риска
I - II стадия - жалобы больного в зависимости от локализации опухоли на наличие опухолевого образования, чувство инородного тела, боли, возможно нарушение функции глотания.
При орфарингоскопии определяется опухолевое образование ротоглотки размерами при I - стадии до 2 см, при II стадии до 4 см.
IIII стадия - жалобы больного в зависимости от локализации опухоли на наличие опухолевого образования, чувство инородного тела, боли возможно с иррадиацией в ухо, возможно нарушение функции глотания, возможно дыхания, возможно наличие увеличенных узлов на шее.
IV стадия - жалобы больного в зависимости от локализации опухоли на наличие опухолевого образования, чувство инородного тела, боли возможно с иррадиацией в ухо, обильная саливация, неприятный запах изо рта, возможно нарушение функции глотания, дыхания, возможно наличие увеличенных узлов на шее.
При орфарингоскопии определяется опухолевое образование ротоглотки более 4 см, распространяющееся на соседние органы.
Основаниями для консультации онколога являются анамнез, клинико-рентгенологическая картина, морфологическая верификация.
1. Наружный осмотр и пальпация лимфатических узлов подчелюстной области и шеи с двух сторон (от сосцевидного отростка до ключицы).
11. Общий анализ крови, общий анализ мочи, биохимический анализ крови, определение группы крови и Rh-фактора, анализ крови на RW, ВИЧ, HBsAg, Анти HCV IgG.
Дифференциальный диагноз
| Нозологическая форма | Клинические проявления |
| Парафаренгиальные опухоли | Безболезненны, не свойственна местная инфильтрация |
- рецидивирующий или метастатический плоскоклеточный рак головы и шеи в случае неэффективности предшествующей химиотерапии на основе препаратов платины;
- монотерапия рецидивирующего или метастатического плоскоклеточного рака головы и шеи при неэффективности предшествующей химиотерапии.
Цетуксимаб вводят 1 раз в неделю в начальной дозе 400 мг/м 2 (первая инфузия) в виде 120-минутной инфузии и далее в дозе 250 мг/м 2 в виде 60-минутной инфузии.
При применении Цетуксимаба в сочетании с лучевой терапией, лечение цетуксимабом рекомендуется начинать за 7 дней до начала лучевого лечения и продолжать еженедельные введения препарата до окончания лучевой терапии.
У пациентов с рецидивирующим или метастатическим плоскоклеточным раком головы и шеи в комбинации с химиотерапией на основе препаратов платины (до 6 циклов) Цетуксимаб используется как поддерживающая терапия до появления признаков прогрессирования заболевания. Химиотерапия начинается не ранее чем через 1 час после окончания инфузии Цетуксимаба.
В случае развития кожных реакций на введение Цетуксимаба терапию можно возобновить с применением препарата в редуцированных дозах (200 мг/м 2 после второго возникновения реакции и 150 мг/м 2 - после третьего).
Дистанционная гамма-терапия проводится с двух противолежащих фигурных полей, в статическом режиме РОД 2 гр. 5 фракции в неделю СОД 40 гр. в п\о режиме. По радикальной программе - СОД 60-66 гр. расшепленным курсом с перерывом между этапами лучевой терапии 10-14 дней с обязательным контрольным врача онколога отделения головы и шеи с целью оценки динамики процесса, а также на предмет лучевой реакции. включающих объем тканей. Поле облучения (90%-я изодоза) от твердого неба до подъязычной кости и сзади до средины тел позвонков. Передний край поля зависит от локализации опухоли. Нижние отделы зоны регионарного метастазирования облучаются с переднезадних полей. Регионарные л\узлы облучаются РОД 2 гр. 5 фракций в неделю до СОД 40-50 гр. При прорастании опухоли миндалины в соседние анатомические части лечение следует начинать с неоадъювантной химиотерапии с последующим облучением. Если опухоль миндалины после 40 гр. не подверглась полной или значительной резорбции, возможно использование брахитерапии или электрорезекции внутриротовым доступом. При операции в данной области необходима большая осторожность ввиду близости крупных артериальных сосудов. При неполной регрессии регионарных метастазов выполняется радикальная шейная диссекция (операция Крайла), включая ткани подчелюстной области.
Лимфоэпителиома и лимфосаркома - экзофитно растущие опухоли с ранним регионарным и отдаленным метастазированием - подлежат химиолучевому лечению.
При раке корня языка и валлекул ввиду трудности осмотра этой локализации глазом обязательна зеркальная гипофарингоскопия и пальцевое исследование. Опухоли корня языка рано метастазируют.
Ранние стадии рака корня языка и валлекул можно одинаково эффективно лечить лучевой терапией, химиолучевым и комбинированным методом (70% излечения). Однако лучевая и химиолучевая терапия приводит к меньшим функциональным нарушениям. Облучение очага проводится после предлучевой подготовки с двух противолежащих полей, в статическом режиме охватывающих корень и подвижной части языка, с охватом регионарных зон метостазирования - подчелюстные и шейные лимфатические узлы РОД 2 гр. 5 фракций в неделю до в СОД 60-66 гр.; по радикальной программе 66 гр. расшепленным курсом с перерывом между этапами лучевой терапии 10-14 дней с обязательным контрольным врача онколога отделения опухолей головы и шеи с целью оценки динамики процесса, а также на предмет лучевой реакции включающих объем тканей. В случае поражения подвижной части языка необходима решить вопрос проведения сочетанной лучевой терапии: брахитерапия и дистанционная лучевая терапия. При недостаточной резорбции опухоли корня языка и валлекул после 40 гр. больным производится электрорезекция.
При более распространенных процессах (Т3-4) лечение следует начинать с неоадъювантной полихимиотерапии с последующим облучением. После предоперационного лечения производится резекция части или всего корня языка, часто с резекцией надгортанника и других тканей. Во время операции надо стараться не повредить подъязычные нервы. В послеоперационном периоде проводится дистанционная лучевая терапия в СОД 40 гр. При наличии регионарных метастазов и их неполной регрессии выполняется радикальная шейная диссекция с тканями подчелюстной области.
Рак задней стенки глотки и мягкого нёба наблюдаются редко. Опухоли задней стенки глотки часто начинаются по типу гранулезного фарингита - экзофитное, гладкое с неизмененной слизистой образование до 1 см. Позднее опухоль изъязвляется и быстро распространяется вдоль задней стенки. Экзофитные и изъязвленные опухоли в области задней стенки часто видны только при ларингоскопии.
Рак мягкого нёба чаще локализуется по его свободному краю, быстро изъязвляется, вызывая боль. Для правильной оценки распространенности опухоли обязательна задняя риноскопия, чтобы осмотреть заднюю поверхность мягкого нёба.
Рак задней стенки глотки и мягкого нёба достаточно хорошо поддается лучевому и химиолучевому лечению. Облучение очага проводится с двух противолежащих полей, включающих зону поражения, а так же корень и заднюю треть тела языка. В случае верифицированных метостазированных подчелюстных и шейных лимфатических узлов лучевую терапию указанных зон проводить отдельным полем. РОД 2 гр. 5 фракций в неделю до в СОД 60-66 гр.; по радикальной программе расшепленным курсом с перерывом между этапами лучевой терапии 10-14 дней с обязательным контрольным врача онколога отделения опухолей головы и шеи с целью оценки динамики процесса, а также на предмет лучевой реакции включающих объем тканей. После проведения первого этапа лучевой терапии необходим контрольный осмотр с целью решения о возможности проведения сеансов брахитерапии, хирургического вмешательства.
I-II стадии (T1-2 NO M0). Лучевая или химиолучевая терапия или хирургическое лечение (эксцизия опухоли + лимфодиссекция на стороне поражения). Если после 40 гр. на очаг и зоны регионарного метастазирования опухоль уменьшилась на 50% и больше, облучение (дистанционная или брахитерапия) очага продолжается до 70 гр. В случае недостаточной регресгическое вмешательство. Если выбран хирургический метод - при положительных краях резекции
III-IV стадии (T1-2 N1-3 M0). Лучевая или химиолучевая терапия, как и при I-II стадиях. В случае полной или значительной регрессии первичного очага и метастазов после 40 гр. продолжается облучение до 70 гр. При значительной регрессии опухоли, но недостаточном уменьшении регионарного метастаза проводится облучение до полной дозы, после чего выполняется радикальная шейная диссекция. Если же после 40 гр. опухоль и метастазы регрессировали незначительно, необходимы на хирургические вмешательство на очаге и регионарных метастазах.
III-IV стадии (T3-4аb N0-3). Лечение обычно комбинированное: неоадъювантная и адьювантная химиотерапия и предоперационная лучевая терапия 40-50 гр. на очаг и зоны регионарного метастазирования. Последующее оперативное лечение на первичный очаг и зоны регионарного метастазирования.
При наличии оставшейся первичной опухоли и регионарных метастазах проведение оперативного лечения в различных объемах с элементами реконструктивно-пластической хирургии и лимфодиссекция.
Ранее начало лечения, его непрерывность, комплексный характер, учет индивидуальности больного, возвращение пациента к активному труду.
Читайте также:
