КТ, МРТ признаки гемангиомы свода черепа
Добавил пользователь Алексей Ф. Обновлено: 03.11.2025
Опухоли костей - относительно редко встречающаяся патология. Доброкачественные образования чаще встречаются у лиц молодого возраста, как правило локализуются в трубчатых костях, при этом поражение нижних конечностей обнаруживается в два раза чаще чем верхних.
Современная классификация доброкачественных опухолей костей:
1) Костеобразующие опухоли: остеома, остеоид-остеома, остеобластома
2) Хрящеобразующие опухоли: хондрома, хондробластома, остеохондрома
3) Гигантоклеточная опухоль
4) Сосудистые опухоли: гемангиома, лимфангиома
5) Другие соеденительнотканные опухоли: липома, фиброма
6) Прочие опухоли и опухолеподобные поражения: нейрофиброма, одонтома, солитарная костная киста, аневризмальная костная киста, неоссифицирующая фиброма, эозинофильная гранулема, фиброзная дисплазия.
Диагностика опухолевых образований костей затруднена из-за отсутствия явных ранних симптомов - болевой синдром не выражен или отсутствует; рост опухоли отсутствует или очень медленный, деформация кости без изменения окружающих мягких тканей.
Возможности различных лучевых методов диагностики заболеваний скелета в настоящее время значительно расширились. Однако на первом этапе всем пациентам необходимо проводить классическую рентгенографию в стандартных проекциях, в зависимости от области интереса, поскольку этот метод является базовым и самым доступным, и позволяет практически во всех случаях получить необходимую информацию, поставить правильный диагноз, не используя дорогостоящие и малодоступные методики визуализации, такие как КТ и МРТ.
Для доброкачественных опухолей костей характерны такие общие рентгенологические признаки: четкие контуры, ободок склероза, часто вздутие кости, отсутствие периостальной реакции, медленный рост, солитарный характер поражения.
Различают губчатую остеому, остеому, состоящую из коркового и губчатого вещества, и остеому из сплошного компактного вещества. Первые два вида наблюдаются на длинных трубчатых костях, компактные остеомы поражают плоские кости черепа.

Рентгенодиагностика спонгиозной и медуллярной остеомы:
- остеома всегда солитарна,
- форма шаровидная, шиповидная,
- опухоль сидит на кости на широкой правильной ножке,
- корковый слой при остеоме не нарушен.
- контуры гладкие, ровные,
- губчатая сеть кости и опухоли непрерывно переходит друг в друга.

Рентгенодиагностика компактной остеомы:
- округлая, шаровидная или яйцевидная форма,
- опухоль дает гомогенную бесструктурную тень.

Остеоид-остеома
- мужской пол поражается в 4 раза чаще,
- наблюдается преимущественно в возрасте 10-20 лет,
- локализация: кортикальный слой диафизов длинных трубчатых костей (б/берцовая и м/берцовая), в позвоночнике - в области дуг или остистых отростков,
- морфологически - отграниченное образование, «гнездо» располагающееся в компактной, или губчатой костной ткани и окруженное широкой зоной склеротически уплотненной кости,
- обызвествление остеоидной ткани более выражено в центре очага поражения - картина «яйца в гнезде»: очаг деструкции - «гнездо» -округлая, овальная форма, небольшая величина (поперечник 0,5-1 см.); зона склеротического уплотнения костной ткани - четко отграничивает «гнездо» опухоли, по периферии переходит в неизмененную структуру кости.

Остеохондрома
- кроме костной ткани содержит и хрящевую, покрывающую поверхность опухоли в виде шляпки,
- исходит из плечевой кости, из мета-эпифизов в области коленного сустава, в головке малоберцовой кости, грудной отдел позвоночника(исходит из дужек или отростков),
- опухоль сидит на широкой ножке и возвышается на кости в виде цветной капусты.
- поверхность ее бугристая, контуры резко очерчены,
- корковое вещество кости переходит на поверхность опухоли или выступает в середину нароста, рассыпаясь на отдельные костные прослойки, идущие в виде лучей к поверхности опухоли,
- рисунок ее не гомогенен, состоит из костных островков, веерообразных пучков и перегородок, лежащих среди светлого фона хряща,
- остеохондромы обладают высоким потенциалом озлокачествления.

 
- поражаются фаланги, пястные, плюсневые, реже запястные кости, отростки позвонков, передние концы верхних ребер, тазовый скелет, грудина и весьма редко - длинные трубчатые периферические кости,
- в малых цилиндрических костях хондромы гнездятся в диафизах и эпифизах, в больших трубчатых - только в метафизарных костях,
- как правило хрящевые опухоли множественны и чаще всего наблюдаются в числе одного или нескольких на фалангах рук и пястных костях,
- чаще процесс двусторонний, но не симметричный.

 
- опухоли шарообразны или овальны, расположены то центрально и вздувают кость изнутри, то эксцентрично и более поверхностно и связаны только с корковым веществом кости,
- опухоль состоит из прозрачного, хрящевого фона на котором видны островки, точечки из извести или костного вещества,
- наружные контуры гладкие и при доброкачественном течении не прерываются,
- на месте слияния опухолевых шаров костная перегородка иногда толстая, в других случаях истончена или отсутствует,
- при поражении эпифизарных хрящей приходится видеть торможение роста кости в длину или ее искривлении,
- нередко центрально расположенная хондрома осложняется патологическим переломом,
- корковый слой неравномерен и местами утолщен,
- при хондроме поверхность кости шероховата.

Гигантоклеточная опухоль 
 (остеобластокластома) 
- состоит из клеток 2 типов- многоядерных гигантских и мелких одноядерных,
- поражаются люди в возрасте от 20 до 40 лет,
- локализация бедренная кость - дистальный конец, проксимальный конец б/берцовой кости, дистальный конец лучевой кости. Из плоских костей - тазовые кости и лопатка, очень редкая локализация в позвонках,
- одиночность и изолированность поражения,
- характерно расположение опухоли в эпиметафизраном отделе, который значительно вздут и деформирован, имеет вид крупнобугристого полушария, булавы,
- опухоль доходит до суставного хряща и обрывается,
- растет во всех направлениях, но главный рост происходит вдоль длинной оси кости в сторону с/3 диафиза кости,
- поперечник опухоли может увеличивать нормальный диаметр опухоли в 3-5 раз.

- ячеистый тип - опухоль состоит из отдельных камер, отделенных друг от друга полными и неполными перегородками (мыльные пузыри или неправильные соты),
- корковое вещество раздвигается, вздувается изнутри, истончается, надкостничных наслоений нет,
- при больших опухолях корковое вещество рассасывается и опухоль окружена со всех сторон тонкой скорлупой состоящая из стенок поверхностно расположенных ячеек.

- остеолитический тип - полное отсутствие ячеистого или трабекулярного рисунка, дефект кости вполне гомогенен,
- краевой блюдцеобразный дефект,
- корковый слой на пораженном месте рассасывается, а на границе с дефектом корка заострена, не подрыта и не имеет никаких периостальных наслоений,
- контуры дефекта резкие,
- патологические переломы в 12% случаев.
Это сосудистая опухоль, исходит из костного мозга тех костей, которые содержат красный костный мозг, может наблюдаться в любом возрасте и не зависит от пола, излюбленная локализация тела позвонков и плоские кости черепа, протекают бессимптомно.

 
При локализации гемангиомы в плоских костях свода черепа происходит:
- вздутие кости и разрушение коркового слоя, надкостница приподнимается опухолью,
- характерен структурный рисунок - из центра опухоли к ее поверхности лучеобразно или веерообразно рассыпаются тонкие и более грубые костные балки.

 
Рентгенологическая картина гемангиом в позвонках:
- вместо нормальной структуры позвонка выступают вертикальноидущие, а подчас и единичные, горизонтальные, поперечные, грубые колонки и трабекулы,
- видны отдельные овальные или округлые просветления, окаймленные плотной костной границей,
- тело позвонка имеет вид вздувшегося бочонка, часто в процесс вовлекаются дужки.

Фиброма
- вначале центральный очаг разрушения кости круглой формы, имеет бесструктурный гемогенный вид, окаймлен скорлупообразно истонченной костной коркой, без периостальной реакции,
- затем в центре опухоли появляется очаг обызвествления, связанный с периферией подчас радиарно расположенными линейными костными перемычками,
- возможны патологические переломы.

Адамантинома
- одонтогенное (зубное) эктодермальное происхождение, т.е. развивается из эмалевого органа и имеет типичное гистологическое строение,
- возникает в нижней челюсти, верхней челюсти, также в большеберцовой и локтевой костях,
- возникает в любом возрасте, но чаще у молодых людей (от 15 до 35 лет),
- очаг рассасывания костного вещества, растущий из глубины центральных участков нижней челюсти, корковый слой вздувается изнутри кнаружи и часто истончается,
- вначале дефект однородный, затем появляется крупная или мелкая ячеистость (за счет кистовидного перерождения опухолевой ткани).
Доброкачественные опухоли костей - патология, которой могут страдать и младенцы, и люди преклонного возраста. Большинство таких образований имеют благоприятный прогноз в плане качества жизни и малигнизации. Исключение здесь составляют случаи гигантоклеточной опухоли, которая способна к перерождению. Своевременное выявление и адекватное лечение позволяют избежать серьезного ухудшения здоровья пациента.
Гемангиома печени
Печеночные гемангиомы являются наиболее распространенными доброкачественными опухолями печени и, как правило, не растут. Гигантские гемангиомы печени, хотя часто протекают бессимптомно, могут потребовать вмешательства, если возникнет их быстрый рост.
Диагностика
Для диагностики гемангиом печени используются такие визуализационные исследования, как компьютерная, магнитно-резонансная томографии и УЗИ. Печеночная гемангиома является низкоплотной на КТ без контраста, при контрастировании гемангиома демонстрирует характерный вид и имеется "узловое периферическое клочкообразное" контрастирование в ранней стадии с последующим тотальным "заполнением".
Ультразвуковое исследование
- четко отграниченное гиперэхогенное образование 
- в 10% случаев гипоэхогенное, на фоне стеатоза, когда "неизмененная" паренхима характеризуется повышенной эхогенностью
 
Компьютерная томография
Большинство гемангиом является хорошо отграниченными образованиями. Паттерн контрастного усиления зависит от размеров образования. К типичному паттерну относят:
Гемангиомы в костях что это такое?
![]()
Довольно часто гемангиомы становятся случайной находкой при магнитно-резонансной томографии (МРТ) или спиральной компьютерной томографии (СКТ) позвоночника, костей черепа при исследовании головного мозга, в костях суставов, да и практически в любой кости человеческого организма. Что же такое гемангиома? Как проявляется гемангиома? Как диагностировать гемангиому? Чем лечить гемангиому?
Гемангиома
Чаще всего встречается у людей среднего и пожилого возраста (30-65 лет). Статистически чаще диагностируется у женщин. Различают гемангиому, которая происходит из сосудов красного костного мозга и гемангиоматоз - нарушение развития сосудов костей, кожи, внутренних органов (чаще всего печень). Гемангиомы обнаруживаются чаще всего в позвонках и в черепе, в остальных отделах сравнительно редкая находка.
Как проявляется гемангиома
Все зависит от локализации. Если она локализуется в позвонках (их телах) позвонков, то может быть причиной компрессионного патологического перелома позвонка, что сопровождается увеличением угла кифоза позвоночника (патологический изгиб), болью различной интенсивности (в зависимости от степени перелома). Похожие симптомы могут возникать и без перелома позвонка, если гемангиома развилась в дужке позвонка.
Внутрикостная гемангиома черепа может сопровождаться головной болью, которая обуславливается постоянным раздражением мозговых оболочек. Иногда можно нащупать на черепе небольшую довольно плотную выпуклость - в этом случае безотлагательно посетите специалиста и пройдите назначенную диагностику. В АЦМД-Медокс успешно диагностируются гемангиомы любой локализации при помощи МРТ и СКТ.
Что происходит при росте гемангиомы
В кости соответственно костно-мозговых полостей развивается кавернозная гемангиома. Она состоит из полостей, которые заполнены кровью. Часть расположенных в гемангиоме костных балок рассасывается, а часть наоборот - уплотняется и составляет «каркас» гемангиомы.
Диагностика гемангиомы
При помощи рентгена: довольно слабо. Диагностированию поддаются в основном уже крупные гемангиомы или те, которые деформируют внешний контур кости.
При помощи спиральной компьютерной томографии (СКТ): диагностирует в большинстве случаев. На срезах хорошо видна опухоль, ее «сетчатая» структура, хорошо различаются утолщенные костные балки, уплотнение кости по контуру гемангиомы.
При помощи магнитно-резонансной томографии (МРТ): в наиболее часто встречаемых случаях. На МРТ-сканах гемангиома, как и многие другие сосудистые структуры, дает отличный от костного МР-сигнал. Интенсивность сигнала зависит от скорости кровотока в самой гемангиоме.
Если гемангиома привела к компрессионному перелому тела позвонка, то установить диагноз уже совсем не сложно. При помощи СКТ и МРТ после компрессионного перелома пораженного гемангиомой тела позвонка можно выявить небольшую гематому, которая деформирует соседние структуры и даже спинной мозг.
Лечение гемангиомы
Все зависит от локализации. Для лечения гемангиом применяется лучевая терапия или хирургическое вмешательство, но в большинстве случае при неосложненной гемангиоме - ее наблюдают. К активным действиям обращаются только в случае ее резкого роста, малигнизации (превращение в злокачественную опухоль) или при угрозе перелома кости.
КТ, МРТ признаки гемангиомы свода черепа
Статья написана по книге Власова Е.А. "Опухоли мозга. КТ- и МРТ-диагностика" посмотреть / заказать
Номенклатура
Мезенхимальные опухоли / Гемангиома, МКБ/О 9100/0
Определение
Очаговое изменение в диплоическом веществе свода черепа (рис.1215) и очаг в толще губчатого вещества тела позвоночника (рис.1216), состоящее из кавернозных полостей.
![heangioma_]()
Эпидемиология
10-15% от образований позвоночника и костей черепа, пик встречаемости 40-50 лет.
Морфология, локализация и биологическое поведение
Морфологически различают первичную внутрикостную гемангиому и гемангиомы мягких тканей, вторично поражающих кости черепа (гемангиоматоз). Первичные внутрикостные гемангиомы растут медленно, как правило, расположены в губчатой кости. В большинстве они доброкачественные, но редко могут быть локально агрессивными. На КТ определяется рассасывание губчатого вещества с наличием радиальных костных балок. Гемангиома медленно растет (5-6лет), иногда самопроизвольно прекращает рост, сопровождаясь жировой инволюцией.
![]()
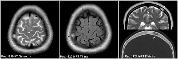
Гемангиома в плоских костях черепа - не частое образование, которое располагается преимущественно в диплоическом слое. Имеется разряженное строение губчатого вещества и толстые костные трабекулы, радиально расходящиеся в стороны. Очаг разряжения губчатого вещества в толще диплоического слоя определяется как зона↓плотности на КТ (стрелка на рис.1221) и↑МР-сигнала на Т2 и Flair (головки стрелок на рис.1219-1221).
Гемангиомы позвонков представляют собой очаговые образования, без масс-эффекта, вызывающие рассасывание большинства вертикальных балок позвонка, однако сохраняющиеся балки склерозируются и утолщаются. В целом вертикальная резистентность позвонка снижается, что может осложняться патологическими переломами. Считается, что гемангиома, содержащая большое количество жира, с меньшей вероятностью, будет расти или станет клинически значимой [87].
![]()
Крупная гемангиома в теле L5 позвонка, распространяющаяся на всё его тело, приводящая к перестройке губчатого вещества кости, с разряжением губчатого вещества и наличием вертикальных утолщенных костных балок (головки стрелок на рис.1222,1223). Гемангиома в теле позвонка, имеющая жировую интенсивность МР-сигнала - ↑сигнал по Т1, с обозначением контура на последовательности в противофазе (головка стрелки на рис.1224), и имеющая выпадение МР-сигнала в режиме Т2 с жироподавлением (стрелка на рис.1224), что соответствует жировой ткани в гемангиоме.
![]()
Гипертрофированные вертикальные балки губчатого вещества превосходно видны на КТ (рис.1227 и головки стрелок на рис.1225,1226).
![]()
Осложнение в развитии гемангиом в виде экспансивного роста, что встречается не часто, когда опухоль (звёздочки на рис.1228,1229) распространяется за пределы тела позвонка (головки стрелок на рис.1228,1229), приводит к компрессии спинного мозга (стрелки на рис.1228, 1229). Серьёзное осложнение представляет собой патологический перелом тела позвонка (головки стрелки на рис.1230), структура которого была ослаблена разряжением губчатого вещества в процессе роста гемангиомы.
![]()
В случае нахождения гемангиомы в дужке или распространения с тела в дужку позвонка (головки стрелок на рис.1231-1233), важно указывать данный факт в связи с тем, что структура позвонка в указанном месте ослаблена и может послужить причиной патологического перелома в процессе медицинских манипуляций, так же важно учитывать этот факт нейрохирургам при транспедикулярной фиксации.
Дифференциальный диагноз
Метастазы в кости
Иногда встречаются множественные гемангиомы, поражающие ряд позвонков, что может осложнить дифференциальную диагностику со вторичным, метастатическим поражением тел позвонков. Однако, гемангиомы имеют продольную исчерченность, что не встречается у метастазов. Гемангиомы возникают вблизи базивертебральной вены и, часто связаны с ней, и венами позвонка, так же гемангиомы часто имеют жировой сигнал, а метастазы расположены в телах позвонков хаотично и всегда, даже в случае склеротических очагов сопровождаются отёком костного мозга, свидетельствующем о реактивной костной реструктуризации и деструкции. Гемангиомы крайне редко распространяются за пределы тела пораженного позвонка, а метастазы весьма часто приводят к деформации тела позвонка, распространяются за его пределы. Кроме того, метастазы редко поражают исключительно позвоночник, сопровождаясь лимфоаденопатией узлов средостения, парааортальных, паракавальных групп, а так же возможна визуализация очагов в печени и лёгких, при анализе захваченных на сканировании областей.
![heangioma_7]()
Множественные гемангиомы, поражающие ряд позвонков (головки стрелок на рис.1234). Метастазы, поражающие тела позвонков (головки стрелок на рис.1235).
![heangioma_8]()
На КТ дифференциальный диагноз между метастазом и гемангиомой не представляет сложности в связи с тем, что литический метастаз выглядит в виде округлого участка без чётких контуров, вызывая рассасывание губчатой и компактной костной ткани (головки стрелок на рис.1237), а склеротический метастаз в виде очагов уплотнения костной ткани посреди губчатого вещества тела позвонка (головки стрелки на рис.1238). Гемангиома имеет уплотнённые вертикальные костные балки на фоне разряженной структуры губчатого вещества тела позвонка (звёздочка на рис.1236).
Клиническая картина, лечение и прогноз
Эти опухоли растут медленно и, в большинстве случаев, бессимптомны, если они не оказывают влияния на окружающие структуры. Иногда они могут проявиться в виде отека, ощутимой или заметной массы, особенно в черепе. Могут осложняться патологическим переломом. Изредка они могут вызвать компрессию спинного мозга или его корешков из-за распространения опухоли в кость или мягкие ткани. Наличие жира коррелирует с отсутствием прогрессирования опухолевого роста. Напротив, опухоли, содержащие мало жира или опухоли без жира, вероятнее, будут эволюционировать и расти [87]. Для лечения применяется: лучевая терапия, эмболизация для уменьшения операционной кровопотери и хирургическая резекция, особенно если болезнь осложняется компрессией спинного мозга с последующей вертебропластикой. Так же используется внутриочаговая инъекция этанола и цементирование полости во избежание внезапных травматических осложнений.
![heangioma_9]()
Итраоперационный рентгеновский контроль, посредством электронного оптического преобразователя, демонстрирует компактный участок плотного медицинского цемента, выполняющего полость крупной гемангиомы (головки стрелок на рис.1239.а), после вертебропластики, призванный стабилизировать тело пораженного позвонка и предотвратить вероятность патологического перелома. Следы вертебропластики в виде участка остеосклероза на МРТ (головки стрелок на рис.1239.б) и на КТ (головки стрелок на рис.1239.в). Визуализируется канал от прохождения иглы в левой дужке позвонка (стрелка на рис.1239.в).
Источник
Полная или частичная перепечатка данной статьи, разрешается при установке активной гиперссылки на первоисточник
- вы потеряли описание вашего МРТ или КТ,
 - врача не устроило описание вашего МРТ или КТ
 - вы сомненеваетесь в выводах по результатам вашего МРТ,
 
Возможно вас так же заинтересует
Классификация опухолей ЦНС
Классификация опухолей центральной нервной системы, Всемирной организации здравоохранения, 2016 года
Плеоморфная ксантоастроцитома
Опухоли нейроэпителиальной ткани / Плеоморфная ксантоастроцитома МКБ/О / 9424/3 (G II). Плеоморфная ксантоастроцитома чаще кистозная, реже солидная опухоль с излюбленной локализацией в височной доле, встречается в молодом возрасте.
Диффузная астроцитома
Диффузная астроцитома - инфильтративная опухоль без четких границ. При относительной четкости границы макроскопической картины, распространенность ее клеток шире. Неуклонно прогрессирует до анапластической формы, поражающая любые отделы ЦНС, реже ствол мозга и затылочные доли.
Субэпендимарная гигантоклеточная астроцитома
Субэпендимарная солидная опухоль у монроева отверстия, может содержать обызвествления, встречается у 15% больных туберозным склерозом.
Олигодендроглиома
Олигодендроглиома - диффузно растущая глиома с нечёткими контурами, характерной чертой которой является наличие обызвествлений в строме.
Эпендимома
Эпендимома чаще встречается у детей и располагается, преимущественно, в IV желудочке, а у взрослых чаще супратенториально, представляя собой кистозно-солидный или целиком солидный узел, может содержать петрификаты и быть окруженной перифокальным отеком.
Анапластическая эпендимома
Опухоль чаще супратенториальной локализации, возникает в основном у взрослых, характеризуется наличием кист, перифокального отёка и плохим прогнозом.
Миксопапиллярная эпендимома
Миксопапиллярная эпендимома встречается исключительно в области конского хвоста или терминальной нити, распространяясь экспансивно, приводит к расширению позвоночного канала, часто имеет кисты, кровоизлияния и петрификаты.
Глиобластома
Глиобластома - опухоль высокой степени злокачественности, гетерогенного строения с центральным некрозом, быстрым инфильтративным ростом, перифокальным отеком и наихудшим прогнозом среди всех глиом.
Опухоли ствола мозга
Глиома ствола мозга не является отдельной гистологической формой, а лишь отражает анатомическую локализацию неопластического поражения, в состав которого могут быть включены: диффузные и отграниченные астроцитомы, эмбриональные опухоли, эпендимома и глиобластома.
Медуллобластома
Медуллобластома чаще встречается у детей и располагается инфратенториально, представляя собой кистозно-солидную опухоль, возникает из червя мозжечка, с тенденцией роста в просвет IV желудочка.
Центральная нейроцитома
Центральная нейроцитома - кистозно-солидное объёмное образование, расположенное в боковом желудочке, связанное с прозрачной перегородкой, сопровождающееся расширением желудочковой системы.
Шваннома (невринома)
Акустическая шваннома (невринома, нейролеммома) - объемное образование мостомозжечкового угла, растущее в слуховой канал, расширяя его и в полость черепа, поражающее, в основном, взрослых; двусторонние шванномы ассоциированы с нейрофиброматозом II типа.
Менингиома
Менингиома - округлое объемное образование с четкими и ровными контурами, исходящее из клеток твердой мозговой оболочки, чаще расположенное на широком основании и наличием петрификатов в строме, редко сопровождающееся перифокальным отеком.
Опухоли костей свода черепа. Разновидности, лечение и прогноз при разных видах новообразований
Опухоли костей свода черепа можно разделить на две большие группы: первичные, т.е. начавшие свой рост в месте их локализации; и вторичные, являющиеся следствием опухолей, взявших свое начало в других органах.
Кроме того, и ту, и другую группу по характеру опухолей можно подразделить на доброкачественные и злокачественные.
К первичным доброкачественным опухолям следует отнести:
- остеомы;
 - гемангиомы;
 - холестеатомы;
 - дермоидные кисты.
 
К вторичным доброкачественным новообразованиям относятся менингиомы (арахноидэндотелиомы).
К первичным злокачественным опухолям относятся остеогенная саркома. А к вторичным - опухоли, развившиеся в других органах и системах организма - молочной железе, почках, легких, предстательной железе и т.п., метастазировавшие в мозг. Характерна таким метастазированием и меланома - кожный рак, отличающийся высокой степенью злокачественности.
2. Доброкачественные опухоли
Остеома, по мнению врачей, является следствием сбоя организма на этапе эмбрионального развития плода. Остеомы могут быть как одиночными, так и множественными. Эти опухоли очень медленно растут и практически никак себя не обнаруживают - их в большинстве случаев выявляют во время обследования рентгеном или МРТ. В удалении такая опухоль нуждается лишь в том случае, если она представляет угрозу здоровью пациента.
Гемангиома - довольно редко встречающаяся опухоль, которая также в основном определяется случайно, во время обследования, по причине отсутствия каких-либо симптомов. Обычно хирурги предлагают ее удалять оперативным путем. Прогноз такой операции - благоприятный.
Холестеатома - новообразование, локализующееся в мягких тканях, провоцируя при этом развитие обширных дефектов костных пластин черепа. Такая опухоль нуждается в удалении хирургическим способом. С помощью операции здоровье больного полностью восстанавливается.
Место излюбленной локализации дермоидной кисты - внутренние и наружные углы глаз, сегмент сосцевидного отростка, область саггитального шва и проч. Основная опасность такой кисты состоит в том, что она способна постепенно разрушать кости свода черепа. Удаляют новообразование в случае, если оно нарушает функционирование соседних органов.
Менингиома - доброкачественная опухоль, которая образована тканями паутинной оболочки мозга. Давать клинические проявления она может при условии достижения солидных размеров. Такую опухоль обычно удаляют. Для снижения риска рецидива, хирургическую операцию по удалению менингиомы проводят в комплексе с лучевой терапией, что делает прогноз абсолютно благоприятным.
3. Злокачественные опухоли
Остеогенная саркома - развивается обычно у молодых пациентов, быстро растет, достигая больших размеров, имеет тенденцию прорастать в твердую мозговую оболочку и метастазировать в кости скелета - ребра, таз, позвоночник, грудину.
Вторичная остеогенная саркома развивается в обратном направлении, когда происходит распространение метастаз из опухолей молочной железы, легких, щитовидки и т.д.
Основным симптомом остеогенной саркомы являются сильные, порой нестерпимые боли в костях. В некоторых случаях больному возможно проведение хирургической операции, но основным способом лечения этого заболевания является радиолучевая терапия. К сожалению, не во всех случаях возможно наступление излечения, но затягивать с лечением недопустимо.
Читайте также:
- Тесты на сопротивление в шейном и грудном отделах позвоночника
 - Лабораторная диагностика неотложных состояний. Стратегия лечения неотложных состояний.
 - Виды ихтиоза кожи и его классификация
 - Восстановительный этап криотерапии. Лечение больных с алкогольной абстиненцией
 - Выделительная система плода. Иммунная система плода.
 
 










