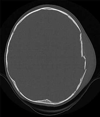
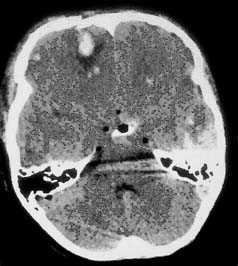
КТ, МРТ травматического разрыва твердой мозговой оболочки
Добавил пользователь Евгений Кузнецов Обновлено: 21.11.2025
Черепно-мозговая травма (ЧМТ) по медико-социальному значению в настоящее время остается одной из наиболее актуальных клинических проблем, составляя от 36 до 40% от всех видов травм. При учете сочетанной травмы этот показатель возрастает до 60-65%. На лечение и диганостику ЧМТ приходится до 10% от бюджета здравоохранения развитых стран, и, по оценкам зарубежных коллег, ежегодные затраты составляют около 30 миллиардов долларов. Черепно-мозговая травма остается одной из главных причин смерти и инвалидизации у пациентов. Число погибших от черепно-мозговой травмы (показатель на 100 умерших) составляет в Великобритании - 1.5, США - 2, Франции - 6.7, а в России - 14 человек. Смертность среди детей составляет по разным регионам Российской Федерации (РФ) от 20 до 30%. При оказании помощи в течение первых 9 минут удается спасти жизнь 90% пострадавшим с тяжелой ЧМТ, через 18 минут - только 15%. В Европе, США и Японии принимать больных с острой ЧМТ, если в госпитале нет КТ или МРТ, запрещено законом. В связи с этим больные транспортируются только в специализированные стационары, оснащенные соответствующим оборудованием для диагностики и лечения. В трети субъектов РФ дети с ЧМТ госпитализируются преимущественно в детские специализированные больницы. Только 26,9% детских специализированных стационаров в РФ имеют КТ или МРТ (78 регионов). В структуре ЧМТ у детей отмечается четкое превалирование легкой травмы, составляющей более 60-85%. Быстрые адекватные меры по диагностике, а соответственно по предлагаемому лечению ЧМТ, могут существенно изменить последствия ЧМТ, а также течение болезни, особенно в первые часы после получения травмы. Методы нейровизуализации являются важной частью диагностического алгоритма для таких больных. В остром периоде ЧМТ с помощью нейровизуализации можно определить наличие и степень травматических поражений, а также оценить риски развития вторичных изменений и осложнений. Показанием к нейровизуализации являются следующие признаки: снижение уровня сознания, потеря сознания более чем на 5 мин, очаговый неврологический дефицит, неадекватное психическое состояние, проникающая травма черепа, признаки перелома основания или вдавленного перелома черепа. Часть этих признаков включена в оценку по шкале Кома Глазго. Однако даже у пациентов с полным отсутствием клинических данных имеется высокая степень риска и вероятность того, что при нейровизуализации могут быть выявлены внутримозговые кровоизлияния. Практически у всех больных после тяжелой ЧМТ не наступает полного неврологического и психического восстановления, могут развиться тяжелые последствия, включая посттравматическую эпилепсию (11-20% случаев) и посттравматическую гидроцефалию (30-90% случаев).
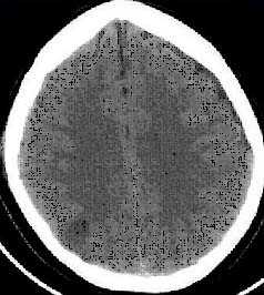
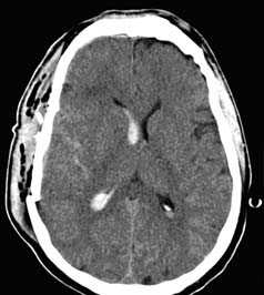
Компьютерная томография (КТ) остается основным методом для первичной оценки острой черепно-мозговой травмы (ЧМТ). Метод позволяет быстро оценить черепно-мозговые повреждения, что обеспечивает пациентам возможность получить своевременное и надлежащее лечение. В особенности это касается тех пациентов, которым требуется экстренное хирургическое вмешательство. КТ является предпочтительным методом первичной диагностики ЧМТ не только из-за своих диагностических возможностей, но и из-за высокой экономической эффективности, так как последствия недиагностированной ЧМТ, как правило, не только опасны для жизни пациента, но и весьма затратны для государства. Показанием для экстренной КТ у пациентов при ЧМТ является тяжесть состояния соответствующая 13 или менее баллам по шкале Комы Глазго (ШКГ).
ЧМТ можно разделить на первичные и вторичные повреждения. Клинически это деление чрезвычайно важно, по причине того, что вторичные повреждения можно предотвратить. Вторичные поражения возникают как осложнение первичной травмы и неадекватно проводимой терапии. Клинически значимые травматические изменения, такие как субдуральная и эпидуральная гематомы, субарахноидальное кровоизлияние (САК) и геморрагические ушибы головного мозга, обычно, четко визуализируется при КТ. Однако есть повреждения головного мозга, которые сложно обнаружить с помощью КТ. В первую очередь к таким повреждениям относятся: диффузное аксональное повреждение (ДАП), базальные и стволовые ушибы головного мозга, а также ранний цитотоксический отек, как проявление вторичных ишемических изменений вещества мозга. Все эти состояния могут быть легко выявлены с помощью МРТ. Их обнаружение важно для установления причин ранее необъяснимого неврологического дефицита, а также для оценки долгосрочного прогноза. В настоящее время МРТ обычно используется для решения вопросов, которые не могут быть решены с помощью КТ, а не как как метод скрининга. Мы также часто исходим из этого принципа. Однако в последние годы нами рассматривается и, по мере возможности, применяется другой подход - использование МРТ как первичного и единственного метода диагностики острой ЧМТ у детей и последующем мониторинге за течением и лечением травматических повреждений. Это позволяет уже на этапе поступления ребенка в стационар выявлять все первичные и вторичные компоненты ЧМТ, более дифференцированно подходить к лечению проявлений травматической болезни головного мозга и, соответственно, потенциально улучшать прогноз исхода ЧМТ.
В последние годы развитие новых технологий МРТ позволило не только кардинально изменить темп и разрешающие возможности метода, но и наметить принципиально новые направления в комплексной оценке острого периода ЧМТ.
Технологии МРТ продолжают развиваться и становятся общедоступными. Используя многообразие последовательностей и технологий, МРТ может предоставить данные, касающиеся как структурных, так и физиологических расстройств. Дальнейшее развитие таких методов как диффузионно-взвешенные изображения (DWI), изображения, взвешенные по магнитной восприимчивости (SWI), должно улучшить понимание патофизиологии повреждения мозга и предоставлять данные, которые должны улучшить управление и прогнозирование функциональными результатами. МРТ является более чувствительным методом для тщательного обследования пациентов с ЧМТ, чем КТ. Она позволяет выявить повреждения, связанные с функциональными и когнитивными (нейропсихологическими) нарушениями, которые являются прогностически важными факторами исхода травмы. Эта более высокая чувствительность лишь недавно нашла свое применение в определении долгосрочного прогноза у этих больных. Одним из объяснений этого является низкая доступность магнитно-резонансных томографов на первичном этапе, а также тот факт, что функциональные нарушения, которые могут быть связаны с легкой, умеренной и тяжелой ЧМТ, зачастую не могут быть определены при помощи стандартных последовательностей МРТ. Кроме того, это обусловлено относительной длительностью исследования, хотя, метод по сравнению с другими имеет признанные преимущества. Одним из которых является безвредность МРТ для пациентов в силу отсутствия ионизирующего излучения. С учетом этого МРТ может использоваться не только для первичной диагностики, но и для последующих контрольных исследований, позволяющих оценить динамику течения заболевания и эффективность проводимого лечения. МРТ не имеет ограничения в плоскости исследования, обеспечивает высокое пространственное разрешение, особенно в области задней черепной ямки и глубокого белого вещества, следовательно, решает вопросы топической дифференциальной диагностики с детализацией структурных компонентов, учитывая лучшую визуализацию вне зависимости от проекции исследования.
В настоящее время у врачей, которые сталкиваются с нейротравмой, есть две основные проблемы:
- первая - это отсутствие стандартного протокола проведения МРТ при ЧМТ в остром периоде, особенно у детей;
- вторая - отсутствие или недостаточные знания о том, как интерпретировать результаты МРТ для лечения и определения прогноза ЧМТ.
Показанием к проведению МРТ у детей являлся сам факт ЧМТ независимо от ее тяжести и тяжести клинического состояния пациента, особенно, в тех случаях, когда неврологический дефицит остается необъясненным по результатам КТ. Однако тяжесть соматического состояния ребенка диктует срок выполнения МРТ. Время проведения исследования - не позднее первых 24 часов от момента поступления в стационар - определяется коллегиальным решением реаниматологов, нейрохирургов, травматологов и врачей лучевой диагностики. МРТ также является предпочтительным методом визуализации для подострой и хронической ЧМТ. В связи с тем, что значительная часть пациентов с острой ЧМТ поступает на исследование в тяжелом клиническом или коматозном состоянии, непременным условием проведения МРТ являются наличие в кабинете магнитно-резонансной томографии адаптированных к работе в сильном магнитном поле наркозного аппарата и систем жизнеобеспечения и мониторинга (с возможностью оценки, как минимум, ЭКГ, пульсоксиметрии и артериального давления). Кроме того, системы мониторинга за состоянием пациента должны дублироваться в пультовой кабинета МРТ. В состав бригады для проведения экстренной МРТ помимо радиологического персонала должны быть включены: врач анестезиолог-реаниматолог и средний персонал.
Симптоматика
Клиническая классификация тяжести ЧМТ, как правило, основана на шкале Глазго (ШКГ). В зависимости от выраженности неврологических симптомов ЧМТ подразделяется на легкую (ШКГ более 12 баллов), средней степени тяжести (9-12 баллов) и тяжелую (8 и менее баллов)
В нейрорадиологии ЧМТ, как правило, выделяют первичные и вторичные повреждения. Первичные травмы являются прямым результатом травмы головы. Вторичные травмы возникают как осложнения первичного поражения.
Компьютерная томография при травматическом повреждении головного мозга
Черепно-мозговая травма (ЧМТ) - собирательное понятие, которое включает в себя различные виды и степени тяжести механического повреждения, как самого черепа, так и внутричерепных образований: мозговых оболочек, тканей мозга, церебральных сосудов, черепных нервов.
Компьютерная томография при травматическом повреждении головного мозга.
Черепно-мозговая травма (ЧМТ) - собирательное понятие, которое включает в себя различные виды и степени тяжести механического повреждения, как самого черепа, так и внутричерепных образований: мозговых оболочек, тканей мозга, церебральных сосудов, черепных нервов.
Черепно-мозговая травма (ЧМТ) относится к наиболее распространенным видам повреждений и составляет до 40% всех видов травм и согласно статистике Всемирной Организации Здравоохранения имеет тенденцию к нарастанию на 2% в год.
Летальность в целом при ЧМТ составляет 5-10%, а при тяжелой ЧМТ достигает 70%. Смертность от черепно-мозговой травмы составляет 1% от всеобщей смертности.
Средний возраст большинства пострадавших 20 - 50 лет, т.е. в период наибольшей трудоспособности, при этом мужчин в 2,5 - 3 раза больше чем женщин.
Среди причин черепно-мозговых травм первые места занимают бытовой и дорожно-транспортный травматизм, затем идут спортивная травма, производственная травма , вторичная травма вследствие падения больного в обморок, при эпилепсии, при инсульте.
У большинства пострадавших (до 60%) как исход полученных повреждений наблюдаются снижение работоспособности и инвалидизация.
Частота черепно-мозговой травмы и тяжесть ее последствий придают проблеме большое социальное значение.

По степени целостности тканей головы выделяют:
Закрытая черепно-мозговая травма - сохранение целостности мягких тканей головы или наличие раны мягких тканей, не затрагивающей апоневроз черепа. Открытая черепно-мозговая травма - наличие ранения мягких тканей головы, включающее, как минимум, повреждение апоневроза черепа, а также, возможно, вовлекающее более глубинные образования (свод и основание черепа, оболочки, ткань мозга).
Проникающая черепно-мозговая травма - при которой имеется повреждение твердой мозговой оболочки (как при наличии раны головы, так и при её отсутствии).
Непроникающая черепно-мозговая травма, при которой твердая мозговая оболочка остается неповрежденной.
По характеру и тяжести повреждения вещества мозга выделяют следующие к линические формы ЧМТ:
- сотрясение головного мозга,
- ушибы головного мозга различной степени тяжести,
- диффузное аксональное повреждение,
- сдавление головного мозга,
Диагностика черепно-мозговой травмы основывается на данных анамнеза, выяснении обстоятельств и механизма получения травмы, выявления классической анамнестической триады : потеря сознания, тошнота или рвота, амнезия. Затем производится тщательный внешний осмотр, неврологическое обследование и дополнительные методы исследования.

Современные неинвазивные диагностические технологии (КТ, МРТ, УЗИ, ПЭТ) совершили подлинный переворот в расшифровке патологоанатомического субстрата ЧМТ, опережая по информативности рутинное рентгенологическое исследование черепа и головного мозга, и имеют решающее значение для определения характера повреждений и выработки дальнейшей тактики ведения этих больных.
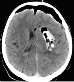
Применение компьютерной томографии в нейротравматологии существенно изменило представление о возможностях диагностики различных черепно-мозговых повреждений. КТ является в настоящий момент «золотым стандартом» - наиболее информативным методом обследования больных с черепно-мозговыми травмами и позволяет в самые короткие сроки судить о механизмах возникновения поражения мозга, его характере, распространенности, выраженности отека и дислокации мозга, а также динамике этих изменений.

КТ позволяет последовательно изучить мягкие ткани головы, кости черепа, вещество мозга, эпидуральные, субдуральные, субарахноидальные пространства, цистерны основания и желудочки мозга:
- выявить переломы свода и основания черепа (с чувствительностью, намного превышающей традиционную рентгенографию) ,
- выявить наличие внутричерепной гематомы (её характер, локализацию, размеры),
- выявить наличие очага ушиба головного мозга (его локализацию, размеры, характер, наличие геморрагического компонента),
- определить степень сдавления или дислокации головного мозга объемным процессом,
- выявить наличие диффузного или перифокального отека и его степени,
- выявить субарахноидальное кровоизлияние,
- выявить внутрижелудочковую гематому,
- выявить наличие пневмоцефалии.

Поэтому в настоящее время следует считать правилом, что при наличии соответствующей аппаратуры, в первую очередь необходимо проведение компьютерной томографии. Вопрос заключается лишь в сроках выполнения данного исследования: пострадавшим с тяжелой ЧМТ, особенно в неясных случаях, КТ должна выполняться по срочным показаниям, при легкой ЧМТ КТ может быть проведена в плановом порядке, но не позже следующего дня.
КТ с внутривенным контрастированием (КТ-ангиография) по неотложным показаниям, как правило, не выполняется. Показанием к такому исследованию является обнаружение на нативных томограммых внутримозговых гематом, локализующихся в местах возможного разрыва аневнизмы.






Визуализация минимальных количеств излившейся свежей крови, уверенная дифференциация ее от других внеклеточных жидкостей, слежение за динамикой отека и набухания головного мозга, некроза и восстановления его структур с одновременным распознаванием переломов костей черепа, особенно его основания, составляют преимущества КТ перед магнитно-резонансной томографией.
Кроме того положительными сторонами данного метода нейровизуализации являются малое время исследования, возможность фиксации пациента и использования аппаратов ИВЛ, меньшее количество противопоказаний к обследованию, что невозможно при технически более сложной МР-томографии.
Покажет ли МРТ головного мозга опухоль

Коротко отвечая на вопрос, покажет ли опухоль МРТ головного мозга, можно сказать уверенное ДА. Магнитно-резонансная томография является приоритетным методом дифференциальной диагностики различных объемных образований в головном мозге, оболочке головного мозга, гипофизе, нервных жилах, сосудах. Данная методика активно используется при онкопоиске, поскольку позволяет визуализировать не только первичный очаг образования, но и метастатические поражения вещества головного мозга.
Когда нужно сделать МРТ головного мозга при опухоли
Ранняя диагностика опухолей головного мозга - это трудная задача по двум основным причинам:
- Многие опухоли мозга на ранних этапах не дают никакой клинической симптоматики, поэтому пациенту заподозрить что-то неладное по изменению в своем самочувствии очень сложно;
- Неврологические симптомы опухоли носят разнообразный характер и сильно зависят от локализации новообразования.
Свидетельствовать о возможной патологии могут:
- головные боли непонятного происхождения;
- частые головокружения;
- резкие перепады давления и сопутствующие им тошнота, рвота;
- повторяющиеся боли в шее;
- нарушение зрения и слуха;
- обморочные состояния;
- спутанность сознания, ухудшение памяти;
- мигренеподобные приступы;
- нарушения сознания, эпилепсия и другие припадки.
При клиническом осмотре больного невролог или онколог не сможет диагностировать объемное образование. Для этого потребуется аппаратная диагностика, например, МРТ или КТ головного мозга.
Покажет ли МРТ опухоль головного мозга
В большинстве случаев приоритетным методом выявление опухолевых образований будет магнитно-резонансная томография, поскольку белое и серое вещество очень хорошо визуализируется на снимках МРТ. Физика получения изображений при магнитно-резонансной томографии основывается на эффекте ядерного магнитного резонанса. Когда тело пациента помещается внутрь сканера, на мозговые структуры оказывает влияние сильное магнитное поле и радиочастотные импульсы. Под их воздействием атомы водорода в клетках начинают совершать колебательные движения. Этот резонанс фиксирует компьютер томографа, оцифровывает и переводит в трёхмерные изображения обследуемой области. Поскольку структуры головы на 80% состоят из воды, аппарат поможет сделать снимки очень высокой контрастности и четкости. Это позволяет врачам оценить:
- местоположение опухоли;
- ее размеры и форму;
- степень инвазии в соседние структуры;
- тканевой состав.
Для того, чтобы лучше всего разглядеть очаги при подозрении на объемное образование, МРТ головного мозга проводится с контрастированием. В ходе этой процедуры пациенту через вену на локтевом сгибе вводят специальный контрастный препарат на базе солей редкоземельного металла гадолиния. Контрастный состав максимально увеличивает тканевую контрастность, а по типу накопления и сбрасывания контрастного препарата врачи могут провести виртуальную гистологию опухоли и сказать, носит ли образование доброкачественный или злокачественный характер.
Особенно хорошо МРТ головы с контрастом способно показать:
- опухоли мозжечка
- глиобластому
- эпендимому
- глиальные опухоли
- метастазы
- невриномы
- менингеальные опухоли
- новообразования ствола головного мозга.
Как выглядит опухоль головного мозга на МРТ- фото
| МРТ здорового головного мозга | Глиома | Глиобластома |
Признаки опухоли на МРТ снимках
- наличие зоны измененного МР-сигнала от тканей мозга;
- гиперинтенсивный МР сигнал, гипоинтенсивный МР сигнал, гетерогенно изменений МР сигнал, изоинтенсивный МР сигнал;
- ориентировочные размеры, форма, контуры объемного образования;
- смещение, давление или изменение величины и деформации желудочков;
- аксиальная дислокация;
- блокада ликворных путей с развитом окклюзионной гидроцефалии;
- наличие перифокального отека;
- латеральная дислокация срединных структур или сосудистого сплетения “масс-эффекта”.
Пример МРТ расшифровки опухоль головного мозга
На серии МР-томограмм, взвешенных по Т1 и Т2-ВИ, tirm, получены суб- и супратенториальные структуры, определяются округлое объёмное патологическое образование, располагающееся по конвекситальной поверхности левой лобной доли, размером до 20х17х19 мм. Образование имеет достаточно чёткие округлые контуры, прилежит широким основанием к твердой мозговой оболочке, структура его несколько неоднородная. Вокруг образования имеется небольшой ликворный ободок и умеренно выраженный перифокальный отек головного мозга. Менингеальная оболочка на этом уровне утолщена с признаками симптома «хвоста», что наиболее характерно для менингиомы.
Срединные структуры не смещены.
Субкортикально, паравентрикулярно в белом веществе головного мозга определяются единичные очаги глиоза, имеющие четкие контуры, характеризующиеся гиперинтенсивным сигналом на Т2 ВИ и Tirm ИП, гипо- изоинтенсивным на Т1 ВИ, размерами до 3-4 мм в диаметре.
Боковые желудочки обычной конфигурации, существенно не расширены, минимально асимметричны (D>S).
Вокруг боковых желудочков имеются небольшие глиозные изменения.
III-й, IV-й желудочки, базальные цистерны не деформирован.
Стволовые структуры мозга не деформированы, имеют не измененный МР-сигнал.
Субарахноидальное пространство вне зоны патологических изменений выражено неравномерно, умеренно расширено по конвекситальной поверхности лобных, теменных долей.
Супраселлярная не деформирована. Гипофиз обычного расположения и размеров. Топография перекреста зрительных нервов не изменена.
Мосто-мозжечковые цистерны не деформированы.
Миндалины мозжечка расположены обычно.
Определяется пристеночный отёк слизистой в клетках решетчатого лабиринта и левой верхнечелюстной пазухе, имеющий повышенный сигнала на Т2 ВИ.
МР-картина объемного образования левой лобной доли с небольшим перифокальным отеком головного мозга (менингиома?).
МР-картина немногочисленных очагов глиоза вещества головного мозга сосудистого характера.
Качественная МРТ диагностика опухолей головного мозга
Для качественной томографии и безошибочной диагностики при подозрении на опухоль рекомендуется:
- проводить МРТ головного мозга на аппарате мощностью не менее 1,5 Тесла;
- шаг сканирования должен быть не менее 3 мм;
- рекомендовано применение контрастного усиления.
Мощное магнитное поле томографа при обследовании головного мозга обуславливает ряд противопоказаний. Особенность поля МРТ аппарата взаимодействовать с объектами, содержащими металл, сдвигать их с места и нарушать работу электронных систем, ограничивает проведение МРТ процедуры для пациентов, в теле которых установлены любые металлические имплантаты. Поэтому к томографическому исследованию не допускаются пациенты, которые имеют:
- протезы из металла, пластины, хирургические скобки, шунты и штифты, сосудистые катетеры из ферромагнитных материалов, а также любые металлические предметы как пули, осколки, застрявшие в теле
- искусственные сердечный клапаны, стимуляторы сердечной деятельности и дефибрилляторы
- ушной кохлеарный имплант
- вшитые медицинские помпы для дозированной подачи медикаментов
- зажимы и клипсы на сосудах.
Обращаем Ваше внимание на то, что наличие зубных протезов в общем и целом не является противопоказанием для проведения МР-сканирование головного мозга. Исключением может стать лишь очень узкая группа протезов, которые вызывают искажение изображения во время диагностики.
Если у Вас есть сомнения в отношении возможности проведения томографического исследования, позвоните нам, и мы поможем найти приемлемое решение для Вашего индивидуального случая.
Вопросы



Покажет ли МРТ опухоль головного мозга без контраста
Крупные опухоли видны на нативных бесконтрастных снимках. Мелкие метастазные поражения на базовом обследовании могут плохо визуализироваться. Признаки опухоли почти всегда видны на нативном МРТ снимке, однако не достаточно четко, чтобы провести качественную дифференциальную диагностику. Поэтому врач-рентгенолог, обнаружив в ходе бесконтрастного обследования признаки объемного образования, предлагает пациенту дополнить исследование контрастной процедурой.
| Вид исследования | Минимальная Цена | Цена на 3 Тесла |
|---|---|---|
| МРТ головного мозга | от 2800 руб. | от 5200 руб. |
| МРТ сосудов головного мозга | от 2800 руб. | от 8200 руб. |
| МРТ гипофиза | от 2800 руб. | от 5200 руб. |
| МРТ пазух носа | от 2800 руб. | от 5200 руб. |
| МРТ орбит и зрительных нервов | от 3200 руб. | от 5200 руб. |
| МРТ уха и слуховых нервов | от 3200 руб. | от 5200 руб. |
| МРТ черепно-мозговых нервов | от 3200 руб. | от 5200 руб. |
| Стоимость введения контрастного вещества | от 3500 руб. | от 3500 руб. |
Как МРТ определяет злокачественную опухоль
Злокачественные опухоли составляют до 50% всех опухолей головного мозга. Эти опухоли врач определяет по:
- нечеткости и неровности контуров и формы опухоли;
- большому перифокальному отеку;
- наличию “масс-эффекта”;
- неоднородному накоплению контрастного усиления;
- типу накопления контраста.
Как часто нужно делать МРТ после удаления опухоли
Периодичность МРТ головного мозга после удаления опухоли обычно определяет лечащий врач. Чаще всего после оперативного вмешательства первое обследование проводят через один месяц. Далее контрольные сканирования осуществляют раз в полгода в течение 3 лет после хирургического вмешательства.
Чем поможет МРТ пациенту с черепно-мозговой травмой и её последствиями?
Совсем скоро наступит холодный сезон. А вместе с ним - гололед и снег. В этот период число травм, как бытовых, так и автомобильных, неуклонно растёт. Сотрясение головного мозга - одна из наиболее частых травм нервной системы.
С вопросами о том, что такое травмы головного мозга и какими они бывают, мы обратились к Подлевских Юрию Андреевичу - исполнительному директору ООО «Клиника Эксперт Оренбург».
- Юрий Андреевич, как часто вы в своей практике встречаетесь с пациентами с черепно-мозговой травмой?
ЧМТ - довольна частая клиническая ситуация, с которой сталкиваются как врачи-терапевты, педиатры, неврологи, травматологи, так и, конечно, врачи-рентгенологи. И это легко объяснимо. Механизм их возникновения обширный, начиная с бытового травматизма до дорожно-транспортных происшествий. Получить черепно-мозговую травму можно и во время спортивных состязаний или занятий активными видами спорта, в частности, единоборствами.
В нашей стране статистика по количеству черепно-мозговых травм практически не публикуется, но в мире подсчитано - травмы головного мозга различной степени тяжести происходят от 229 до 1967 раз на 100 тысяч населения в год. Таким образом, в среднем от ЧМТ и её последствий ежегодно страдает 1 из 100 человек. Наиболее часто травмы головы встречаются у мужчин в возрасте от 15 до 24 лет.
- Какие травмы головного мозга встречаются наиболее часто? Сотрясение головного мозга, ушиб головного мозга - это одно и то же или разные диагнозы?
Условно травмы головного мозга можно разделить на два типа черепно-мозговых травм - лёгкая и тяжёлая. Лёгкая - это и есть сотрясение головного мозга. Более тяжёлая - это ушиб головного мозга.
По механизму возникновения как первая, так и вторая примерно идентичны - человек сам ударился головой в результате несчастного случая или его ударили по голове. Но разница заключается в силе той кинетической энергии, которую испытал на себе головной мозг.
Отмечу, что сотрясение головного мозга может произойти и в отсутствии формальной травмы. Например, человек испытал резкое ускорение на аттракционе.
В отличие от ушиба головного мозга, при котором есть повреждение самой ткани головного мозга, сотрясение головного мозга не влечёт за собой морфологических или структурных изменений, поэтому этот диагноз ставится клинически. Основными симптомами сотрясения головного мозга являются тошнота, головокружение, рвота, реже - ретроградная амнезия, под которой понимается спутанность и неотчетливое представление о том, что было до момента травмы.
- Представим, что ребёнок или взрослый ударился головой. Как понять, что надо обратиться к врачу?
Как доктор, имеющий за плечами опыт работы в нейрохирургическом отделении, могу с сожалением констатировать - россияне обращаются за медицинской помощью поздно и часто отказываются от госпитализации.
Действительно, если речь идёт о сотрясении головного мозга, то современными исследованиями доказано - такому больному не нужно соблюдать постельный режим и покой. Но сам человек не может определить степень своей травмы. Опасность заключается и в том, что в медицине называется «светлым промежутком». Бывает, что после получения травмы головного мозга больной решил «отлежаться» дома и ему действительно стало лучше. А спустя несколько дней, на фоне наступившего благополучия произошло резкое ухудшение состояния. Поэтому нужно запомнить: травма головы - это всегда повод для обращения за медицинской помощью к врачу-нейрохирургу. Это тот случай, когда перестраховаться действительно необходимо.
- Куда обращаться, если получена травма головы?
В каждом городе есть так называемая ургентная больница, оказывающая помощь всем пострадавшим в этот день и эту ночь. В случае получения травмы нужно обратиться в приёмный покой ургентного отделения, врачи которого осмотрят пациента и сделают выводы о необходимости в специализированном лечении.
Узнать адрес такой больницы можно, позвонив по номеру «03».
Но если после получения травмы человек потерял сознание или наблюдается кровотечение - нужно вызвать бригаду скорой медицинской помощи. Не стоит доставлять такого пациента до ближайшей больницы самостоятельно - ему необходимо наблюдение врачей.
- Что входит в неотложные обследования при черепно-мозговой травме?
«Золотой стандарт» при черепно-мозговой травме - компьютерная томография. Это объясняется доступностью метода, быстрой проведения и его эффективностью при выявлении кровоизлияний. Также КТ помогает выявить, есть ли перелом черепа.
- Применяется ли МРТ при черепно-мозговых травмах и их последствиях?
Да. Если на первом, остром этапе, с целью сокращения времени на исследование показано проведение КТ, то уже через несколько дней после травмы может быть рекомендовано сделать МРТ головного мозга.
Магнитно-резонансной томография позволяет более глубоко изучить состояния тканей головного мозга. Например, ушибы головного мозга очень хорошо визуализируются на МРТ. В практике «Клиники Эксперт Оренбург» нередки случаи, когда мы находим у наших пациентов последствия черепно-мозговых травм спустя десятилетия, при этом эти же больные из года в год проходили компьютерную томографию, не выявляющую структурных изменений головного мозга.
- Зачем делать МРТ при сотрясении головного мозга, если травма не является серьёзной?
Для того, чтобы подтвердить или исключить наличие структурных повреждений головного мозга и на основе полученных, в ходе диагностики, данных, выбрать правильную тактику лечения.
- Через какое время после травмы головы необходимо повторить МРТ в динамике?
Как правило, через полгода.
- Что будет, если подойти к черепно-мозговой травме халатно, понадеявшись на то, что «всё пройдёт само»? Какими могут быть последствия?
Последствия ЧМТ обширны и разнообразны, зависят от характера повреждений и локализации поражения тканей головного мозга. Это могут быть как головные боли и замедленные когнитивные функции, так и ухудшение двигательной активности конечностей в виде парезов и тетрапарезов, нарушение речи, зрения, слуха.
Самым страшным последствием является летальный исход.
- Как проводится реабилитация пациентов, перенёсших черепно-мозговую травму?
Если травма лёгкая, то специализированная реабилитация не требуется. При сотрясении головного мозга иногда не требуется даже приём лекарственных препаратов. В крайнем случае, если головная боль интенсивная - больному показан приём обезболивающих средств, при рвоте назначаются противорвотные лекарства. Но рекомендации должны исходить только от врача.
Для реабилитации больных с тяжёлыми травмами головного мозга используются как медикаментозные методы, так и нейрореабилитация. Необходимо помнить: чем раньше начата реабилитация, тем быстрее пациент восстанавливается и возвращается к повседневной жизни и социализируется.
Нейрореабилитация включает занятия с инструкторами, роботизированные методы с биологической обратной связью, когда аппарат сам оценивает, насколько человек может выполнять те или иные упражнения и помогает ему выполнять их более эффективно. Сюда же относится иглорефлексотерапия, медицинский массаж, позволяющий улучшить трофику тканей и обеспечить стимуляцию мышц; электростимуляция и транскраниальная магнитная стимуляция.
КТ и МРТ при черепно-мозговой - что покажет
КТ головного мозга, МРТ головного мозга являются аппаратными методами диагностики черепно-мозговой травмы головного мозга. Исходя из первичных симптомов, истории болезни, противопоказаний и диагностических целей, врач невролог или вертебролог назначает необходимые способы обследования. В большинстве случаев, КТ головного мозга выбирается как первичный метод диагностики. Если результаты исследования носят тревожный или неясный характер, дополнительно назначается МРТ головного мозга. Тяжелые травмы головы требуют немедленной медицинской помощи, поскольку существует риск серьезного повреждения головного мозга.
Черепно-мозговая травма обычно возникает в результате сильного удара или толчка по голове или телу. Инородное тело, которое проходит через ткань мозга, например пуля или осколки черепа, также может вызвать черепно-мозговую травму. Легкая черепно-мозговая травма может временно повлиять на клетки головного мозга. В то время, как более серьезные черепно-мозговые травмы могут привести к кровоподтекам, разрывам тканей, кровотечению и другим физическим повреждениям тканей мозга. Эти травмы могут привести к долгосрочным осложнениям или летальному исходу.
Виды ЧМТ
Черепно-мозговая травма классифицируется по 2-м типам:
закрытая. В данном случае повреждение происходит без перелома черепа. Зачастую такие травмы возникают при занятиях спортом, в результате падений или ДТП. Одной из вариаций ЧМТ является синдром тряски младенца, который возникает вследствие неосторожного обращения с ребенком. Характерными симптомами закрытого повреждения являются обморок, головокружение, видимые кровоподтеки кожи головы и внутренние кровоизлияния в головной мозг.
открытая (проникающая). Такие травмы случаются при переломе черепа: пулевое ранение, серьезное ДТП и так далее.
Что такое диффузное аксональное повреждение (ДАП)?
Данный вид черепно-мозговой травмы происходит при резком смещении головного мозга внутри черепа. Это приводит к повреждению аксонов — отростков, проводящих нервные импульсы по телу. В результате ДАП повреждаются различные части мозга. В некоторые случаях изменения бывают микроскопическими, поэтому диагностируются только в ходе выполнения КТ или МРТ.
Что такое первичная и вторичная черепно-мозговая травма?
Первичное повреждение возникает непосредственно в момент получения травмы.
Вторичным повреждением считается осложнение, возникшее через некоторое время после получения основной ЧМТ. Как правило, оно развивается вследствие целого комплекса клеточных, химических, тканевых или кровеносных изменений, приводящих к постепенному разрушению мозговой ткани.
Симптомы тяжелой травмы головы
Симптомы тяжелой травмы головы могут включать:
- бессознательное состояние - когда человек теряет сознание и не реагирует даже на короткий период времени;
- сотрясение мозга - внезапная, но кратковременная потеря психической функции, возникающая после удара или другой травмы головы;
- человек с сотрясением мозга может казаться растерянным, но не обязательно без сознания;
- судорожные припадки;
- трудности с речью или бодрствованием;
- проблемы с органами чувств - например, потеря слуха или двоение в глазах;
- повторяющиеся эпизоды рвоты;
- кровь или прозрачная жидкость, выделяющаяся из ушей или носа;
- потеря памяти (амнезия);
- внезапный отек или синяк вокруг обоих глаз или за ухом;
- трудности с ходьбой или координацией движений.
Ударно-противоударные травмы
Ушиб головного мозга и повреждение его тканей происходят вследствие ударно-противоударного механизма. Об этом подробнее.
Травма, полученная сразу после удара, называется ударным поражением. После этого мозг по инерции отскакивает назад, ударяясь о противоположную сторону черепа. Данное повреждение называется контррецидивом. Ударно-противоударные сотрясения могут привести к разрывам внутренней оболочки органа, его тканей и кровеносных сосудов.
Когда следует обратиться к врачу
Человеку также следует обратиться в отделение неотложной помощи, если кто-то другой повредил голову и:
- черепно-мозговая травма была вызвана сильным ударом по голове на большой скорости, например, столкновение с автомобилем или падение с высоты 1 метр и более;
- пострадавший ранее перенес операцию на головном мозге;
- у пострадавшего ранее были проблемы с неконтролируемым кровотечением или нарушением свертываемости крови, или он принимает лекарства, которые могут воздействовать на кровоток, такие как варфарин;
- пострадавший употреблял алкоголь или принимал наркотики;
- травма головы не была случайной - например, умышленное причинение вреда себе или другому человеку.
Диагностика тяжелой травмы головы на МРТ и КТ
Если у другого человека или у самого пациента присутствуют какие-либо из симптомов черепно-мозговой травмы, следует немедленно обратиться в местное отделение неотложной помощи или вызвать скорую помощь. Лечащие врачи сначала убедятся, что состояние пострадавшего стабильно, а затем зададут несколько вопросов, которые помогут с диагностикой и лечением полученной травмы. Чтобы определить степень тяжести травмы и оценить риск развития осложнений, специалисты проведут в первую очередь компьютерную томографию головы. КТ головного мозга дает подробное изображение головы и показывает, есть ли переломы костей черепа, если ли в головном мозге кровоизлияния, гематомы или опухоль. Также врачи оценят состояние пациента с помощью шкалы комы Глазго.
Шкала комы Глазго
Шкала Глазго часто используется для оценки степени поражения головного мозга. Она дает следующие оценки:
- словесные ответы пациента и способности его речи, понимания ситуации;
- физические движения;
- как легко он может открыть глаза.
Баллы для каждого пункта плюсуются, чтобы получить общую сумму. В зависимости от оценки по Глазго травмы головы классифицируются как:
- легкие - 13 баллов и выше;
- умеренные - от 9 до 12;
- тяжелые - 8 баллов и ниже (человек будет без сознания).
Разница между МРТ и КТ
Компьютерная томография и магнитно-резонансная томография используются для получения изображений органов и тканей в трехмерной проекции. Разница в томографии заключается в том, что при МРТ используются радиоволны, а при КТ - рентгеновские лучи для получения изображения. Хотя оба томографических метода имеют высокую информативность, есть диагностические различия, которые могут сделать каждый из них более подходящим вариантом в зависимости от обстоятельств.
КТ-сканирование более быстрая форма диагностики, чем магнитно-резонансная томография, и обычно используется для экстренного обследования. При использовании как КТ, так и МРТ существуют определенные риски. Они зависят от типа визуализации, а также от способа ее проведения. К рискам КТ относятся: вред для внутриутробного ребенка при беременности и доза радиации. Риски МРТ включают реакции на металлические импланты в теле из-за сильного магнитного поля, громкий шум от аппарата, повышенная, клаустрофобические риски.
Если врачу нужны более детальные изображения мягких тканей, связок или органов высоким состоянием воды, обычно назначается магнитно-резонансная томография. Если необходимо получить хорошие изображение костных структур и полых органов, обычно рекомендуется компьютерная томография.
Лечение тяжелой черепно-мозговой травмы
Тяжелые травмы головы всегда требуют госпитализации. После осмотра невролога и КТ обследования пациента могут отпустить домой только в том случае, если результаты компьютерной томографии покажут, что у него нет травмы головного мозга, и низкий риск развития осложнений. При этом больному понадобится кто-то, кто отвезет его домой, потому что ему не разрешат водить машину до полного восстановления. Но чаще всего пострадавшему требуется госпитализация для наблюдения после тяжелой травмы головы. Это может быть потому, что:
- сканирование выявило проблему;
- есть стойкие симптомы возможной неврологической проблемы;
- его оценка по шкале Глазго не вернулась к 15 баллам;
- у пациента есть другие травмы, такие как переломы костей или внутреннее кровотечение;
- он находится под действием алкоголя или наркотиков;
- нет никого дома, чтобы заботиться о пострадавшем.
При оказании первой помощи врачи будут уделять первоочередное внимание любым потенциально опасным для жизни состояниям, например, они могут:
- проверить проходимость дыхательных путей;
- начать сердечно-легочную реанимацию при необходимости;
- стабилизировать шею и позвоночник (например, с помощью шейного бандажа);
- остановить любое сильное кровотечение;
- ввести обезболивающее, если пациент испытывает сильную боль; наложить шину на сломанные кости, закрепив их в правильном положении.
Когда состояние больного стабилизируется, ему проведут компьютерную томографию, чтобы определить тяжесть травмы. В дальнейшем за пациентом будет вестись тщательное наблюдение, и лечащие врачи будут регулярно проверять:
- уровень сознания;
- размер зрачков и их реакцию на свет;
- насколько хорошо больной может двигать руками и ногами;
- дыхание, частота сердечных сокращений, артериальное давление, температура и уровень кислорода в крови.
Если результаты компьютерной томографии показывают кровотечение или опухоль в головном мозге, может быть установлено небольшое устройство, называемое монитором внутричерепного давления (ВЧД) - тонкая проволока проводится в пространство между черепом и мозгом через небольшое отверстие, просверленное в черепе. Данный провод прикреплен к электронному устройству, которое будет предупреждать персонал больницы о любых изменениях внутричерепного давления.
Наружные повреждения кожных покровов
Любые внешние порезы или ссадины на голове будут очищены и обработаны, чтобы предотвратить дальнейшее кровотечение или инфекцию. Если в ране есть инородные тела, например, битое стекло, их необходимо удалить. Глубокие или большие порезы, возможно, придется закрыть швами. Можно использовать местный анестетик, чтобы обезболить область вокруг пореза и минимизировать болевые ощущения.
Нейрохирургическое лечение травм головного мозга
Нейрохирургия - это любой вид хирургии, применяемый для лечения проблем с нервной системы (проблем с головным, спинным мозгом и нервами). В случае тяжелой травмы головы нейрохирургия обычно проводится на головном мозге. Возможные причины необходимости нейрохирургического лечения включают:
- кровоизлияние - сильное кровотечение внутри головы, такое как субарахноидальное кровотечение, которое оказывает давление на мозг и может привести к травме головного мозга и даже к смерти;
- гематома - сгусток крови внутри головы, например, субдуральная гематома, которая также может оказывать давление на головной мозг;
- ушибы головного мозга; перелом костей черепа.
Эти проблемы будут выявлены во время тестов и компьютерной томографии.
Трепанация черепа - один из основных видов хирургического лечения тяжелых травм головы. Во время трепанации в одной из костей черепа делается отверстие, чтобы хирург мог получить доступ к головному мозгу. Процедура будет проводиться под общим наркозом, поэтому пациент будет без сознания и не почувствует боли или дискомфорта. Врач во время операции удалит все сгустки крови, которые могли образоваться в мозгу, и восстановит поврежденные кровеносные сосуды. Как только любое кровотечение внутри мозга остановится, удаленный участок кости черепа будет заменен и прикреплен с помощью небольших металлических винтов.
Осложнения тяжелых черепно-мозговых травм
Постконтузионный синдром
Некоторые пациенты могут испытывать долгосрочные симптомы после сотрясения мозга в результате травмы головы, и это может быть постконтузионный синдром. Симптомы постконтузионного синдрома могут включать:
- трудности с уходом за собой;
- постоянная головная боль;
- головокружение;
- чувство слабости;
- посторонние звуки, которые исходят изнутри тела, а не из внешнего источника (тиннитус);
- тошнота;
- чувство сильной усталости и проблемы со сном;
- проблемы с памятью;
- трудности с пониманием других; плохая концентрация.
Эти симптомы обычно проходят примерно через 3 месяца, но иногда может потребоваться направление для дальнейшего обследования неврологом или психиатром.
Нарушение сознания
Некоторые пациенты, получившие тяжелую травму головы, входят в состояние нарушения сознания, такое как кома, вегетативное состояние или состояние минимального сознания. Эти нарушения сознания влияют на бодрствование (способность открывать глаза и иметь основные рефлексы) и осознанность (более сложные мысли и действия, такие как следование инструкциям, запоминание и общение). Эти осложнения иногда длятся всего несколько недель, после чего человек может проснуться или перейти в другое состояние нарушения сознания. Но иногда они могут длиться годами, и некоторые люди никогда не придут в сознание.
Повреждение головного мозга
Тяжелая травма головы может повредить головной мозг несколькими способами. Например, повреждение головного мозга может произойти в результате повышенного давления на мозг, вызванного сгустком крови между черепом и поверхностью мозга (субдуральная гематома) или кровотечением в головном мозге и вокруг него (субарахноидальное кровоизлияние). Также есть повышенный риск эпилепсии. Травмы головного мозга также могут привести к ряду других последствий, которые могут быть временными или постоянными:
Физические последствия
Физические последствия черепно-мозговой травмы могут включать затруднения при движении или сохранении равновесия и потерю координации.
Некоторые травмы головы могут повредить гипофиз - небольшую железу, которая находится у основания мозга и регулирует работу щитовидной железы. Если гипофиз поврежден, это может привести к снижению выработки гормонов и таким проблемам, как недостаточная активность щитовидной железы (гипотиреоз).
В редких случаях в результате травмы головы больной может потерять чувство вкуса и запаха или заметить слепые пятна в своем зрении. Также у пациента может быть нарушена терморегуляция тела, поэтому ему может быть постоянно слишком жарко или слишком холодно.
Психические последствия
После травмы головы больному может быть трудно думать, обрабатывать информацию и решать проблемы, он может испытывать проблемы с памятью, особенно с кратковременной памятью, и трудности с речью и коммуникативными навыками.
У некоторых пациентов после серьезной травмы головы развивается психическое заболевание, например:
- депрессия;
- генерализованное тревожное расстройство;
- посттравматическое стрессовое расстройство.
Профилактика травм головы
Трудно предсказать или избежать травмы головы, но есть некоторые мероприятия, которые помогут снизить риск серьезных повреждений. Это включает:
- убедиться, что в доме (или домах пожилых родственников) нет опасностей, которые могут привести к падению;
- защита дома от детей - например, обеспечение того, чтобы маленькие дети не могли добраться до окон или балконов;
- использование подходящего оборудования для обеспечения безопасности на работе, в спорте и в домашних условиях.
Ношение защитного шлема во время определенных занятий, например, катания на лыжах или велосипеде, также может помочь предотвратить серьезную травму головы.
Читайте также:
- Псевдосиндром Литтла (Pseudo Little)
- Бактерии вибрио. Род Vibrio. Бактерии рода Vibrio. Свойства бактерий рода вибрио. Представители бактерий рода вибрио.
- Дакриолитиаз
- Классификация метаболических болезней нервной системы
- Динамическая рентгенография при мастоидите. Оценка эффективности лечения мастоидита
