КТ при абляции почки и эмболизации почечных сосудов
Добавил пользователь Евгений Кузнецов Обновлено: 21.11.2025
Введение. Рак почки остается актуальной проблемой современной онкологии. Ежегодно в мире выявляются более 200 тыс. новых случаев рака почки и умирают около 100 тыс. больных. 15-17% больных раком почки выявляются в IV стадии. В качестве паллиативного метода лечения используют артериальную эмболизацию опухоли и нефрэктомию.
Цель исследования: оценить результаты эмболизации почечной артерии при комбинированном лечении больных раком почки IV стадии. Материал и методы.Представлены результаты лечения 22 пациентов с раком почки IV стадии: 6 пациентов имели метастазы в кости скелета, 15 — метастазы в легких, одна пациентка — двухстороннее поражение почек. Всем пациентам на первом этапе произведена эмболизация почечной артерии, далее 6 пациентов получили лучевую терапию на метастазы в костях скелета и бисфосфонаты, 15 больных после эмболизации прооперированы + прием таргетной терапии (Сунитиниб, Сорафениб), а пациентка с двухсторонним поражением почек после эмболизации оперирована и 2 года получала таргетную терапию Сорафенибом.
Результаты и их обсуждение. Эмболизации почечной артерии всем больным была выполнена успешно без технических трудностей. После эмболизации у всех пациентов с гематурией (n = 14) был достигнут гемостаз. У 13 пациентов с тотальной эмболизацией почечной артерии отмечался постэмболизационный синдром. 6 пациентов с метастазами в кости скелета прожили 16,4 ± 2,1 месяца, время дожития 15 пациентов, получивших эмболизацию почечной артерии, нефрэктомию и таргетную терапию, составило 41,7 ± 15,3 месяца. Только одна пациентка с двухсторонним поражением почек находится под динамическим наблюдением до настоящего времени (продолжительность жизни составила более 10 лет).
Заключение. Эмболизация почечной артерии — эффективная и малоинвазивная техническая процедура, которая должна использоваться в комбинированном лечении пациентов с раком почки. Сочетанное применение эмболизации почечной артерии и последующей таргетной терапии при раке почки дает новые возможности комбинированного лечения IV стадии.
Ключевые слова
Для цитирования:
For citation:
Введение
Материалы и методы
Проведен ретроспективный анализ хирургического лечения 22 пациентов с распространенным раком почки T 3 N х M 1, получавших лечение в 2008 году на базе Городского онкологического центра (г. Шымкент, Казахстан). Среди пациентов 15 мужчин (68,2%), средний возраст 56,5 ± 12,3 года. Рак правой почки диагностирован у 9 пациентов, рак левой почки — у 12, билатеральное поражение отмечено у одного пациента, у 6 пациентов имелись метастазы в костях позвоночника (поясничном и крестцовом отделах) и ребрах, у 16 — в легких. У 14 (63,6%) больных на момент диагностики опухоли имелась клиника гематурии. Общий статус по Карновскому на момент начала лечения у всех больных был оценен выше 80%, по ECOG 1-2 балла.
Для демонстрации возможностей метода химиоэмболизации с двухсторонним поражением почек приводим клинический случай лечения пациентки К., 35 лет.
Из данных анамнеза: пациентка считает себя больной с сентября 2009 года. Диагноз выставлен на основании УЗИ, КТ и ангиографии: размеры опухоли правой почки 19,5×9,4×11,2 см, в левой почке — 7,1×8,3×6,2 см.
Диагноз: Рак правой почки T 3 N 1 M 1 IV St . Mts в ниж ний полюс левой почки.
Проведено лечение: 1 курс иммунохимиотерапии без особого эффекта. Следующим этапом провели эмболизацию опухоли правой почки и селективную эмболизацию опухоли нижнего полюса левой почки (рис. 1, 2) с последующей нефрэктомией правой почки (рис. 3) с целью циторедукции с последующей химиоиммунотерапией. Пациентка в период 2010-2012 гг. получила таргетную терапию препаратом Сорафениб по 400 мг 2 раза в сутки в течение двух лет, далее у нее развилась непереносимая токсичность препарата, и лечение было остановлено. В настоящее время при контрольном обследовании данных за прогрессирование не выявлено, на контрольной ангиографии левой почки опухоль в динамике без признаков реваскуляризации и роста (рис. 4).

Рисунок 1. Примеры ангиограмм правой почки пациентки К до эмболизации (А) и после тотальной эмболизации (Б)
Figure 1. Angiograms of the right kidney of patient K. before embolization (A) and after total embolization ( Б )

Рисунок 2. Примеры ангиограмм левой почки пациентки К. до эмболизации (А) и после химиоэмболизации (Б)
Figure 2. Angiograms of the left kidney of patient K. before embolization (A) and after total embolization (Б)

Рисунок 3. Операционный материал — правая почка пациентки К., 37 лет
Figure 3. Surgical material - the right kidney of patient K., 37 years old

Рисунок 4. Контрольная ангиография левой почки через шесть месяцев (А), два (Б) и десять (В) лет после комбинированного лечения пациентки К.
Figure 4. Control angiography of the left kidney at six months (A), two ( Б ) and ten (В) years after the combined treatment of patient K.
Результаты и обсуждение
Эмболизация почечной артерии (ЭПА) — эффективная и минимально инвазивная процедура. С 1970-х годов, когда была впервые разработана ЭПА, позитивный опыт применения данной процедуры расширил показания, перейдя от симптоматической гематурии и паллиативного лечения метастатического рака почек до предоперационной химиоэмболизации опухолей, лечения ангиомиолипом и сосудистых мальформаций [8]. В настоящее время в качестве эмболизирующих материалов используются различные спирали, кровоостанавливающие губки, цианоакриловые клеи и спирты [9][10][11]. Это приводит к острому некрозу тканей, в которых кровоток был остановлен, что, в свою очередь, вызывает развитие острофазовой реакции в организме. Возвращаясь к нашему клиническому опыту, можно отметить, что после эмболизации почечной артерии у всех пациентов с гематурией (64%) был достигнут гемостаз. При этом у 13 пациентов с тотальной эмболизацией почечной артерии был отмечен постэмболизационный синдром, который проявлялся болевым синдромом и повышением температуры до 37,5-38,2 °C в течение первых суток. Постэмболизационный синдром у этих пациентов был купирован в течение 3-х суток путем применения анальгетиков, антипиретиков и внутривенными инфузиями сбалансированных растворов кристаллоидов [12].
Мнения о роли предоперационной ЭПА в ведении пациентов с раком почки противоречивы: несмотря на то что в значительном количестве исследований сообщается о положительном опыте применения данной методики, единого мнения относительно преимуществ и осложнений нет [13][14]. Более того, многие крупные исследования по использованию ЭПА перед нефрэктомией и при органосохраняющих операциях при раке почки были проведены в 1980-х годах, то есть до разработки современных методов обработки изображений. Большинство сторонников предоперационной ЭПА сообщают об облегчении нефрэктомии за счет уменьшения оперативной кровопотери и времени операции [15]. Для пациентов с опухолевым тромбозом может быть положительный эффект от уменьшения размера или протяженности опухолевого тромба перед операцией [16][17]. Имеются данные, что преимущество может быть также от иммуномодуляции, при которой индуцированный ЭПА некроз опухоли стимулирует опухолеспецифический ответ иммунной системы [18][19][20]. Однако знания о влиянии ЭПА на иммунный статус и реакцию иммунокомпетентных клеток все еще недостаточны и фрагментарны [21]. Необходимы систематические исследования этого вопроса. В нашем исследовании у всех пациентов, которым произведена нефрэктомия, послеоперационных осложнений не наблюдалось [22][23], все были выписаны из стационара на 14-15-е сутки в удовлетворительном состоянии. При оценке общей выживаемости пролеченных пациентов было отмечено следующее:
- 6 пациентов с метастазами в кости прожили от 12 до 18 месяцев и погибли от прогрессирования основного процесса. Среди них контроль над заболеванием продолжительностью 12-13 месяцев был достигнут у 4 человек;
- 15 больных, получивших эмболизацию почечной артерии, нефрэктомию и таргетную терапию, находились под динамическим наблюдением в сроки от 12 месяцев до 4,5 года (54 мес.). У 7 больных через 6 месяцев была отмечена частичная регрессия, у 2 больных — значительная регрессия метастазов в легкие. Время без прогрессирования заболевания у этой группы пациентов составило 18 месяцев. Пациенты этой группы прожили от 20 до 54 месяцев. Средняя продолжительность жизни пациентов, получавших таргетную терапию в сочетании с эмболизацией почечной артерии, составила 2 года;
- 1 пациентка с двухсторонним поражением почек находится под динамическим наблюдением до настоящего времени (продолжительность жизни составляет более 10 лет).
Заключение
1. Эмболизация почечной артерии — эффективная и малоинвазивная техническая процедура, которая должна использоваться в комбинированном лечении пациентов с раком почки.
2. Сочетанное применение эмболизации почечной артерии и последующей таргетной терапии при раке почки дает новые возможности комбинированного лечения IV стадии.
Информированное согласие . Информированное согласие пациента на публикацию своих данных получено.
Информация о конфликте интересов . Конфликт интересов отсутствует.
Информация о спонсорстве . Данная работа не финансировалась.
Список литературы
3. Scelo G., Li P., Chanudet E., Muller D.C. Variability of sex disparities in cancer incidence over 30 years: the striking case of kidney cancer. Eur Urol Focus. 2018;4(4):586-90. DOI: 10.1016/j.euf.2017.01.006
4. Li P., Znaor A., Holcatova I., Fabianova E., Mates D., Wozniak M.B., et al. Regional geographic variations in kidney cancer incidence rates in European countries. Eur Urol. 2015;67(6):1134-41. DOI: 10.1016/j.eururo.2014.11.001
5. Каприн А.Д., Старинский В.В., Петрова Г.В. Злокачественные новообразования в России в 2016 году (заболеваемость и смертность). М.: ФГБУ «МНИОИ им. П.А. Герцена» Минздрава России; 2018. 250 с.
6. Кайдарова Д.Р. Показатели онкологической службы республики Казахстан за 2019 год (статистические и аналитические материалы). Алматы; 2020. 137 с.
7. Лидерман Е.М., Забелин М.В. Анализ экологических условий обусловленности здоровья населения Южного федерального округа в аспекте организации региональной системы медикосоциальной реабилитации. Здравоохранение, образование и безопасность. 2018;(1):7-20.
8. Zielinski H., Syrylo T., Szmigielski S. Renal artery embolization in treatment of renal cancer with emphasis on response of immune system. In: Jindong Chen (editor) Renal Tumor. London: IntechOpen; 2013. DOI: 10.5772/54116
9. Jonasch E. Updates to the management of kidney cancer. J Natl Compr Canc Netw. 2018;16(5S):639-41. DOI: 10.6004/jnccn.2018.0039
14. Stevens V.L., Jacobs E.J., Patel A.V., Sun J., McCullough M.L., Campbell P.T., et al. Weight cycling and cancer incidence in a large prospective US cohort. Am J Epidemiol. 2015;182(5):394-404. DOI: 10.1093/aje/kwv073
15. Kaisary A.V., Williams G., Riddle P.R. The role of preoperative embolization in renal cell carcinoma. J Urol. 1984;131(4):641-6. DOI: 10.1016/s0022-5347(17)50556-x
17. Zubairova L.D., Nabiullina R.M., Nagaswami C., Zuev Y.F., Mustafin I.G., Litvinov R.I., et al. Circulating microparticles alter formation, structure, and properties of fibrin clots. Sci Rep. 2015;5:17611. DOI: 10.1038/srep17611
18. Bakke A., Gothlin J.H., Haukaas S.A., Kalland T. Augmentation of natural killer cell activity after arterial embolization of renal carcinomas. Cancer Res. 1982;42(9):3880-3.
19. Нагаева В.В., Кокорева Е.Г., Елисеев Е.В. Тканеспецифические антитела и продолжительность заболевания: диагностическое и прогностическое значение. Здравоохранение, образование и безопасность. 2015;(2):17-9.
20. Boichuk S., Dunaev P., Galembikova A., Mustafin I., Valeeva E. Inhibition of fibroblast growth factor receptor-signaling sensitizes imatinibresistant gastrointestinal stromal tumors to low doses of topoisomerase II inhibitors. Anti-Cancer Drugs. 2018;29(6):549-59. DOI: 10.1097/CAD.0000000000000637
21. Zyuz’kov G.N., Zhdanov V.V., Udut E.V., Miroshnichenko L.A., Polyakova T.Y., Stavrova L.A., et al. Strategy of pharmacological regulation of intracellular signal transduction in regeneration-competent cells. Bull Exp Biol Med. 2019;166(4):448-55. DOI: 10.1007/s10517-019-04370-x
22. Удалов Ю.Д., Гордиенко А.В., Самойлов А.С., Бахарев С.А. Предикторы развития фатальных осложнений у пациентов онкохирургического профиля. Здравоохранение, образование и безопасность. 2018;(2):66-75.
Об авторах
д.м.н., профессор, кафедра онкологии с курсами онкологии и патологической анатомии ИДПО,
Республика Башкортостан, Уфа
кафедра онкологии с курсами онкологии и патологической анатомии ИДПО,
к.м.н., отделение химиотерапии, кафедра хирургических дисциплин № 1,
к.м.н., кафедра онкологии с курсами онкологии и патологической анатомии ИДПО,
Рецензия
Контент доступен под лицензией Creative Commons Attribution 4.0 License.
Ш. Х. Ганцев
Башкирский государственный медицинский университет
Россия
В. Юн
Башкирский государственный медицинский университет
Россия
А. К. Жумагулова
Международный казахско-турецкий университет им. Х.А. Ясави; Городской онкологический центр
Казахстан
Д. Т. Арыбжанов
Южно-Казахстанская медицинская академия; Городской онкологический центр
Россия
Д. С. Турсуметов
Башкирский государственный медицинский университет
Россия
Аннотация
Напечатать статью
Посмотреть метаданные
Как ссылаться
Поиск ссылок
Послать статью по эл. почте (Необходимо имя пользователя (логин))
Связаться с автором (Необходимо имя пользователя (логин))
Использование куки-файлов
Для оптимальной работы сайта журнала и оптимизации его дизайна мы используем куки-файлы, а также сервис для сбора и статистического анализа данных о посещении Вами страниц сайта. Продолжая использовать сайт, Вы соглашаетесь на использование куки-файлов и указанного сервиса.
Метод радиочастотной абляции почки
При лечении опухолей почек применяют частичную или радикальную нефрэктомию, то есть полостную операцию, при которой удаляется часть пораженного новообразованием органа (лапароскопическая резекция почки) или проводится его полное удаление. В последние годы ученые разработали и внедрили в хирургическую практику менее травматичный и малоинвазивный способ борьбы с раком почки - абляцию.

Абляция - это методика локально направленного разрушения зараженных тканей посредством:
термического воздействия (крио-, радиочастотная, микроволновая, лазерная, ультразвуковая абляция);
электрохимического воздействия (инъекции уксусной кислоты, этанола).
Суть метода радиочастотной абляции
В нашей стране чаще всего применяют радиочастотную абляцию при лечении рака почки. Суть процедуры состоит в том, что в центр опухоли вводят иглу-электрод, проводящую высокочастотный ток и выделяющую тепло. Высокая температура (80̊-100̊ С) воздействует на центр опухоли и на ее края, провоцируя гибель раковых клеток. Позже на месте отмершей опухоли формируется рубец. Процедура проводится под контролем аппарата УЗИ или КТ для того, чтобы максимально точно определить локализацию опухоли и не повредить здоровые ткани.
Также проводят радиочастотную абляцию почечных артерий (денервация почек) при артериальной гипертензии, устойчивой к медикаментозному лечению. Высокие температуры воздействуют на стенки почечных артерий и разрушают нервные ганглии, что приводит к нормализации артериального давления.

Преимущества методики и противопоказания
Радиочастотная абляция почки имеет ряд преимуществ перед традиционной нефрэктомией:
малая вероятность осложнений и рецидивов;
более легкий и быстрый послеоперационный период.
Нефрэктомия более традиционная и доступная для больного процедура, но некоторым пациентам она противопоказана. Так, при сопутствующих заболеваниях, которые исключают общий наркоз, и в случае, если у человека только одна почка, операцию делать нельзя. В этом случае абляция - чуть ли не единственный путь борьбы за здоровье онкобольного.
Однако имеет радиочастотная абляция и противопоказания:
размер опухоли более 6 см;
близость новообразования к крупным сосудам;
плохая свертываемость крови;
Определить наиболее подходящий и эффективный метод лечения, исходя из личных особенностей больного, может только квалифицированный специалист. После сбора анамнеза и тщательного обследования уролог-онколог определяет стратегию терапии.
Осложнения
Любое оперативное и химиотерапевтическое вмешательство подразумевает риск проявления побочных эффектов. Возможные осложнения после радиочастотной абляции:
абсцесс на места отмершего новообразования;
нарушение в полостной системе почек;
повреждение здоровых тканей почки и других органов.
Государственный центр урологии опирается на многолетний теоретический и практический опыт, при этом внедряет в работу актуальные технологии и использует инновационное оборудование. Обращайтесь в наш центр, если вы обеспокоены вопросом, где сделать радиочастотную абляцию в Москве. Наши специалисты ответят на все интересующие вопросы об этом методе лечения.
4 августа 2020
Акопян Гагик Нерсесович - врач уролог, онколог, д.м.н., врач высшей категории, профессор кафедры урологии ФГАОУ ВО Первый МГМУ им. И.М. Сеченова
Клиника урологии имени Р. М. Фронштейна Первого МГМУ имени И.М. Сеченова приглашает на прием к опытным врачам урологам. Чтобы попасть на прием к квалифицированному специалисту, достаточно заполнить короткую онлайн-заявку. Обязательно заполните все поля, включая краткое описание симптомов (графа «Сведения»), уточните - вторичный или первичный прием вас интересует.
Эмболизация сосудов почки
Эмболизация - это малоинвазивная эндоваскулярная процедура, направленная на прицельную закупорку сосудов, которые снабжают кровью пораженные ткани. Проводится эмболизация почки под тщательным рентгенологическим контролем с помощью тонкого катетера, в большинстве случаев он вводится в кровеносный сосуд, питающий больную почку, в области паха. В сосуд подается контрастное вещество, которое хорошо видно на рентгене. Таким образом определяется локация ветви сосудов, по которым кровь поступает в пораженный орган. Далее через катетер вводятся эмболы (клейкие вещества, вызывающие закупорку) до того момента, пока он не будет отрезан от кровотока.

В основном эмболизация является одной из составляющих общего лечения. Она позволяет:
замедлить развитие патологического процесса;
функционально выключить орган;
закрыть аневризму сосудов;
замедлить рост доброкачественной или злокачественной опухоли (например, рака почки).
В каких случаях показана процедура
Эмболизацию почечной артерии проводят, когда:
велика вероятность кровотечений во время или после оперативного вмешательства;
запланировано проведение радиочастотной абляции;
кисты почек дают осложнения в виде кровотечений;
пациент готовится к трансплантации почки;
у пациента хроническая почечная недостаточность;
необходима операция по удалению опухоли, радикальная или частичная нефрэктомия (резекция почки, лапароскопическая нефрэктомия);

Целесообразность проведения данной операции может определить только специалист. После тщательно обследования, выявления всех сопутствующих патологий и оценки рисков ваш лечащий врач принимает решение о необходимости проведения эмболизации сосудов почки.
Возможные осложнения
Эмболизация - процедура малотравматичная, при этом оперативное вмешательство минимизировано. Однако есть ряд вероятных осложнений:
повреждения и кровотечения в месте укола (диссекция стенок сосудов);
постэмболизационный синдром (тошнота, повышение или понижение артериального давления);
аллергия на эмболы или контрастное вещество;
воспаления, инфицирование, абсцесс области, где проводилась эмболизация.
Государственный центр урологии на протяжение многих лет проводит эффективную диагностику и лечение всех видов урологических заболеваний, в том числе онкологических. Опираясь на богатый опыт, мы внедряем инновационные технологии в нашу работу, что позволяет добиться наиболее положительных результатов в лечении пациентов.
Что лучше делать, КТ или МРТ почек при разных заболеваниях
МРТ (магнитно-резонансная томография) и КТ (компьютерная томография) - это неинвазивные методы исследования, т. е. такие, при которых кожу не подвергают воздействию хирургическими инструментами. Обычно это методы диагностики не первой линии: их назначают после УЗИ почек, внутривенной урографии и других процедур. Но как же врачи выбирают между двумя исследованиями? Специалисты Государственного центра урологии объясняют, что лучше, КТ или МРТ почек.

В чем разница между КТ и МРТ
При выборе МРТ или КТ почек учитывается информативность исследования. Она зависит от того, с помощью чего и как воздействуют на человека в процессе процедуры. Здесь МРТ и КТ есть принципиальная разница:
- Магнитно-резонансная томография. В основе процедуры лежат свойства магнитного поля и радиочастотных импульсов. Исследование показывает, есть ли патология и где она находится.
- Компьютерная томография. В исследовании комбинируют лучевую диагностику (рентгеновское излучение) и компьютерные технологии. В отличие от обычных рентгеновских снимков показывает более детальное изображение частей тела, в том числе кости, мышцы, жировую прослойку и органы. По результатам КТ можно получить снимок с поперечными срезами тела, выполненными с определенным шагом.
Таким образом, главное отличие КТ от МРТ почек заключается в принципе исследования. КТ использует рентгеновское излучение и дает четкое изображение, а МРТ основано на применении электромагнитного поля, что делает процедуру более безопасной.
Чем еще отличается КТ от МРТ почек:
- КТ выполняется за несколько минут, а для проведения МРТ пациенту необходимо некоторое время лежать неподвижно (в среднем 15-60 мин.).
- Если рассматривать, что информативнее, КТ или МРТ почек, то здесь нельзя однозначно ответить на вопрос. КТ дает детальное изображение органов и позволяет обнаружить даже самые небольшие измененные очаги размером от 1 мм. КТ лучше визуализирует плотные ткани (кости, камни в почках), а МРТ - мягкие (мышцы и органы, включая почки).
- КТ проводится с использованием рентгеновского излучения, что накладывает на процедуру ряд ограничений. Его нельзя проводить при беременности, декомпенсации сахарного диабета, заболеваниях крови (при использовании контрастного усиления). В детском возрасте только врач определяет целесообразность такого исследования.
- МРТ же безопасно, может назначаться даже при беременности со 2 триместра и детям. Но его нельзя проводить людям с вживленными металлическими или электронными конструкциями, а также при клаустрофобии.
Что лучше сделать - КТ или МРТ почек:
МРТ в основном назначают для обследования мягких тканей и кровеносных сосудов. Исследование показывает степень функционирования почек и помогает определить:
- наличие опухоли и ее стадии (позволяет определиться с тактикой лечения);
- изменения в структуре тканей;
- размеры почек и состояние их сосудов (нет ли застойных процессов);
- разграничение между мозговым и корковым слоем;
- состояние мочевыводящих путей;
- врожденные пороки развития;
- абсцесс почек;
- почечную недостаточность.
МРТ чаще назначают при подозрении на онкологическое заболевание почек. Исследование помогает четко рассмотреть размеры новообразования, его опасность, скорость прогрессирования и наличие метастаз. В диагностике опухоли на ранней стадии в основном прибегают к МРТ с контрастным усилением. Если выбирать МРТ или КТ при кисте почек, то врач предпочтет МРТ, поскольку оно более специфично и чувствительно к кистозным изменениям.

Компьютерная томография выявляет:
- (для подтверждения после МРТ);
- закупорку мочевыводящих каналов;
- опухоль внутри почечных сосудов;
- аномальное скопление жидкости; и инфекции почек.
Еще КТ лучше отслеживает расположение твердых камней. У МРТ пониженная визуализация твердых структур. По этой причине при выборе МРТ или КТ при камнях в почках выбирают именно КТ. Также к нему прибегают:
- при травмах живота или спины;
- для исследования почечного ложа;
- при воспалении забрюшинного или околопочечного пространства.
КТ хорошо показывает скелет и полые органы, которые заполненные жидкостью и воздухом. Это и делает процедуру информативной при экстренной диагностике травм с внутренним кровотечением.
Записаться на КТ или МРТ почек
Ангиомиолипома почки - характеристика, классификация. Часть 1

Врач уролог-андролог, онколог. Высшая квалификационная категория. Действительный член Профессиональной ассоциации андрологов России (ПААР). Стаж 28 лет. Принимает в Университетской клинике. Стоимость приема 2000 руб.
- Запись опубликована: 19.01.2021
- Reading time: 3 минут чтения
Ангиомиолипома - это доброкачественное новообразование почек, которое обычно состоит из гладкой мускулатуры, кровеносных сосудов и жировой ткани. Данные опухоли возникают как спорадические, изолированные образования в 80% случаев. Остальные 20% ангиомиолипом развиваются в ассоциации с комплексом туберозного склероза (ТС) или легочным лимфангиолейомиоматозом.
Во многих случаях заболевание протекает бессимптомно. При симптоматической форме беспокоят боль в боку, пальпируемое образование, отклонения в показателях крови и мочи (гематурия, анемия) и даже инфекции. Из-за обилия жировой ткани ангиомиолипомы имеют характерный вид при визуальных исследованиях (УЗИ почек, МРТ) и поэтому легко диагностируются. Однако иногда они содержат слишком мало жира, чтобы их можно было обнаружить. Это затрудняет их дифференцировку от почечно-клеточного рака.
Лечение ангиомиолипом основано на клинической картине заболевания и должно быть индивидуальным для каждого пациента. Методы лечения варьируются от активного наблюдения до более инвазивных подходов.
Характеристика ангиомиолипом почки
Ангиомиолипомы являются наиболее частой доброкачественной опухолью почек. Распространенность патологии колеблется от 0,2% до 0,6%, развивается преимущественно у женщин.

Ангиомиолипома
Ангиомиолипомы рассматриваются как гетерогенная группа новообразований. Выделяют несколько типов, которые проявляют различную патологию, рентгенологические особенности и клиническое поведение. Все образования состоят из одних и тех же трех элементов: гладких мышц, кровеносных сосудов и жировой ткани, но эти элементы в образованиях каждого типа находятся в различных пропорциях.
Визуальные методы обследования (УЗИ , МРТ) играют центральную роль в диагностике и лечении агиомиолипом почек. Основной диагностический критерий этой классической опухоли - выявление жировой ткани. Однако некоторым образованиям не хватает визуально обнаруживаемого на изображении жира.

Ангимиолипома почки на УЗИ
В некоторых случаях, визуально при исследовании жир не обнаруживается, что затрудняет отличие образования от почечно-клеточного рака. оэтому во всех случаях необходимо тщательное обследование каждого пациента. Точная предоперационная диагностика ангиомиолипом почек имеет решающее значение, поскольку позволяет предотвратить ненужные нефрэктомии и сохранить функции почек.
Эпидемиология ангиомиолипом почек
Ангиомиолипомы - наиболее распространенное доброкачественное твердое поражение почек, а также наиболее распространенные жиросодержащие поражения почек. Большинство ангиомиолипом являются спорадическими (80%) и обычно выявляются у взрослых (средний возраст обнаружения 43 года), с женским уклоном (F:M 2-4:1).
Остальные 20% наблюдаются в ассоциации с факоматозами, подавляющее большинство с туберозным склерозом (у 80% пациентов появляются ангиомиолипомы). Данный тип опухолей почек встречается также при наличии синдрома фон Гиппеля-Линдау (vHL) и нейрофиброматоза типа 1 (NF1). В этих случаях они появляются раньше (обычно в возрасте 10 лет), образования крупнее и гораздо многочисленнее. Скорее всего, они будут бедны жиром, что объясняет их более раннее появление.
Есть случаи ангиомиолипом почек, связанные с лимфангиолейомиоматозом ЛАМ (LAM).
Клиническая классификация ангиомиолипом почек
Около 80% ангиомиолипом представляют собой изолированные образования, чаще всего проявляющиеся у женщин среднего возраста. Они, как правило, единичны и малочисленны, редко прогрессируют и редко вызывают значительное поражение.
В остальных 20% случаев анагиомиолипомы почек возникают в ассоциации с туберозным склерозом (ТС) или, реже, в составе ЛАМ. По сравнению со спорадической формой, эти наследственные поражения одинаково поражают оба пола и проявляются в более молодом возрасте. Они будут множественными, крупными и двусторонними, образования с клонны к достаточно быстрому росту и являются более агрессивными.
Примерно у 75% пациентов с ТС наблюдаются ангиомиолипомы почек. ТС - это аутосомно-доминантное мультисистемное расстройство, характеризующееся развитием доброкачественных опухолей (гамартом) в нескольких органах по всему телу. Основными вовлеченными органами являются мозг, кожа, легкие и почки. Туберозный склероз вызывается мутациями в одном из двух генов, ТСК1 и ТСК2, которые кодируют белки гамартин и туберин соответственно. Эти белки взаимодействуют друг с другом, образуя опухолевый супрессорный комплекс, который ингибирует млекопитающую мишень пути рапамицина (mTOR). Этот путь важен для ангиогенеза, синтеза белка и роста клеток. Дефектная или недостаточная активность TSC1 или TSC2 приводит к неконтролируемой активации mTOR и образованию характерных гамартом.
Ангиомиолипома почки также может развиться у пациентов с ЛАМ. Это редкое расстройство может возникать спорадически, при отсутствии других заболеваний, но часто встречается у пациентов с ТС. Оно характеризуется диффузной интерстициальной пролиферацией гладкомышечных клеток (лам-клеток) и наличием тонкостенных кист, распределенных по всему легкому. Эти клетки LAM имеют мутации в одних и тех же генах TSC1 и TSC2.
Гистологическая классификация ангиомиолипом почек
Почечная ангиомиолипома гистологически может быть классифицирована как типичная (трехфазная) или атипичная (монофазная или эпителиоидная).
Большинство ангиомиолипом содержат все три компонента, а именно:
- расширенные кровеносные сосуды (ангио);
- гладкомышечные клетки (мио);
- зрелые адипоциты (липо), в различных пропорциях.
Такие образования классифицируются как трехфазные опухоли.
Однако некоторые опухоли состоят почти исключительно из одного компонента, в то время как другие элементы присутствуют в очень небольших количествах. Они называются монофазными.
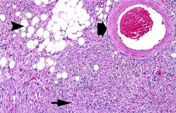
Наконец, эпителиоидный вариант ангиомиолипом содержит многочисленные эпителиоидные мышечные клетки с обильной эозинофильной и зернистой цитоплазмой и немногочисленными или вообще отсутствующими жировыми клетками. Эти опухоли имеют тенденцию к злокачественной трансформации и могут быть локально агрессивными. Гистологически они могут быть похожи и ошибочно диагностированы как плоскоклеточный рак. Однако отличить эпителиоидные ангиомиолипомы от данного типа рака можно по наличию иммуногистохимических маркеров, таких как гладкомышечные маркеры (кальдесмон и гладкомышечный актин) и меланоцитарные маркеры (антиген HMB-45 и Мелан-а).

Гистологический снимок ангиомиолипомы
Радиологическая классификация ангиомиолипом почек
Количество источников, описывающих результаты и методы, которые могут быть использованы для различения ангиомиолипом почек растет. Отсутствие общепринятой и стандартизированной терминологии или классификации данных доброкачественных образований вызывает путаницу. Ниже представлена наиболее часто используемая радиологическая классификация, представленная двумя группами авторов.
Недавно была выдвинута гипотеза, что ангиомилиопмы почек можно классифицировать в соответствии с результатами КТ и МРТ с использованием количественных значений. Авторы классифицировали эти опухоли как богатые жиром, бедные жиром или невидимые жиром, основываясь на количестве жира, обнаруженном при визуализации как:
- богатые жиром;
- бедные жировой тканью;
- безжировые с невидимыми при исследовании жировыми клетками.
Чтобы различить эти типы, интересующий участок (ROI) помещали в наиболее гиподенсированную область поражения, чтобы измерить величину ослабления. Поражение определялось как богатое жиром, когда ROI измерялся ≤ -10 единиц Хаунсфилда (HU) на КТ без усиления. Однако при использовании КТ без усиления (или без контраста) нельзя отличить бедную жиром ангиомиолипому от образования с невидимыми адипоцитами. Поэтому была введена МРТ с визуализацией химического сдвига (CSI). Эта модальность обеспечивает более высокую чувствительность для обнаружения жира, чем простое КТ. Как и в КТ, была обнаружена область с наибольшим количеством отброшенных сигналов, и в нее был помещен интересующий исследуемый участок ROI. На CSI-МРТ (КСИ-МРТ) ангиомиолипома, бедная жиром, определяется, когда отношение опухоли к селезенке (TSR) является < 0,71 или индекс интенсивности сигнала (SII) будет >16,5%. Ангиомиолипома считается практически безжировой когда TSR ≥ 0,71 и SII ≤ 16,5%.
С этой классификацией согласны и принимают большинство специалистов, а это значит, что радиологи могут применять ее на практике. Однако важно понимать, что решающее значение в правильной диагностике имеет обнаружение наиболее гиподенсированной области на КТ или наиболее ослабленной сигналом области на МРТ и размещение исследуемого участка внутри нее. Неправильное размещение или неподходящий размер области, которую нужно исследовать, могут изменить тип ангиомиолипомы, что в результате приведет к неправильной классификации и нежелательным лечебным процедурам. Еще одним недостатком является тот факт, что различные КТ и МРТ-сканеры могут выдавать различные значения затухания и интенсивности сигнала, что приводит к неправильной классификации. Например, если ангиомиолипома измеряется -9 HU на одном томографе, она будет классифицирована как бедная жиром. Однако, если другой сканер описывает повреждение как -11 HU, оно будет классифицировано как жировое. Хотя разница в 2 HU очень минимальна и, вероятно, незначительна, лечение совершенно другое.
В другой работе предложена классификация, основанная на клинических, гистологических и визуализационных признаках. Во-первых, авторы разделили почечные АМЛ на спорадические и наследственные. Гистологически они классифицировали спорадические ангиомиолипомы на доброкачественный трифазный тип и потенциально злокачественный эпителиоидный тип.
Доброкачественный трифазный тип был далее разделен на богатый жиром и бедный жиром с использованием методов визуализации КТ и МРТ. Богатые жиром АМЛ содержали достаточно жира, чтобы быть обнаруженными на простой КТ (содержали ≤ -10 HU), бедные жиром АМЛ не обнаруживались. Бедная жиром АМЛ была далее классифицирована на три подтипа, основываясь на количестве и распределении адипоцитов внутри очага поражения и других особенностях визуализации:
- Гиператтенуирующая АМЛ (> 45 HU);
- Изоаттенуирующая АМЛ (от -10 до 45 HU);
- АМЛ с эпителиальными кистами. АМЛ с эпителиальными кистами можно отличить по наличию эпителиальных кист, причем некистозные части кажутся похожими на гиператтенуирующие. Рентгенологические особенности этого редкого подтипа не полностью описаны из-за отсутствия данных.
Эпителиоидные ангиомиолипомы которые потенциально могут быть злокачественными и метастазировать, показывают гиперинтенсивность на КТ с контрастированием, гетерогенное усиление на контрастной усиленной КТ и Т2-гипоинтенсивность на МРТ. Эти находки обусловлены эпителиоидным мышечным компонентом, а также внутриопухолевым кровоизлиянием и некрозом. Так их можно отличить от других типов, это очень важно для последующего лечения.
Существуют ограничения, связанные с описанной выше классификацией. Во-первых, потребность в клинической и патологической информации затрудняет ее использование рентгенологами в повседневной практике. То есть такую информацию радиологи без консультации с урологами могут просто не знать. Во-вторых, существуют проблемы в применении критериев визуализации для классификации изоаттенуирующих АМЛ.
В заключение следует отметить, что первая описанная классификация является наиболее легко применимой на практике. Радиологи при правильно выполненной методике могут классифицировать АМЛ почек как богатые жиром, бедные жиром и невидимые для жира, в зависимости от количества жира, обнаруженного на усиленной КТ или МРТ.
Читайте также:
