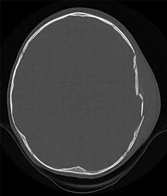
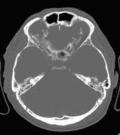
КТ при переломе назоэтмоидального комплекса
Добавил пользователь Евгений Кузнецов Обновлено: 02.11.2025
Черепно-мозговая травма (ЧМТ) - собирательное понятие, которое включает в себя различные виды и степени тяжести механического повреждения, как самого черепа, так и внутричерепных образований: мозговых оболочек, тканей мозга, церебральных сосудов, черепных нервов.
Компьютерная томография при травматическом повреждении головного мозга.
Черепно-мозговая травма (ЧМТ) - собирательное понятие, которое включает в себя различные виды и степени тяжести механического повреждения, как самого черепа, так и внутричерепных образований: мозговых оболочек, тканей мозга, церебральных сосудов, черепных нервов.
Черепно-мозговая травма (ЧМТ) относится к наиболее распространенным видам повреждений и составляет до 40% всех видов травм и согласно статистике Всемирной Организации Здравоохранения имеет тенденцию к нарастанию на 2% в год.
Летальность в целом при ЧМТ составляет 5-10%, а при тяжелой ЧМТ достигает 70%. Смертность от черепно-мозговой травмы составляет 1% от всеобщей смертности.
Средний возраст большинства пострадавших 20 - 50 лет, т.е. в период наибольшей трудоспособности, при этом мужчин в 2,5 - 3 раза больше чем женщин.
Среди причин черепно-мозговых травм первые места занимают бытовой и дорожно-транспортный травматизм, затем идут спортивная травма, производственная травма , вторичная травма вследствие падения больного в обморок, при эпилепсии, при инсульте.
У большинства пострадавших (до 60%) как исход полученных повреждений наблюдаются снижение работоспособности и инвалидизация.
Частота черепно-мозговой травмы и тяжесть ее последствий придают проблеме большое социальное значение.

По степени целостности тканей головы выделяют:
Закрытая черепно-мозговая травма - сохранение целостности мягких тканей головы или наличие раны мягких тканей, не затрагивающей апоневроз черепа. Открытая черепно-мозговая травма - наличие ранения мягких тканей головы, включающее, как минимум, повреждение апоневроза черепа, а также, возможно, вовлекающее более глубинные образования (свод и основание черепа, оболочки, ткань мозга).
Проникающая черепно-мозговая травма - при которой имеется повреждение твердой мозговой оболочки (как при наличии раны головы, так и при её отсутствии).
Непроникающая черепно-мозговая травма, при которой твердая мозговая оболочка остается неповрежденной.
По характеру и тяжести повреждения вещества мозга выделяют следующие к линические формы ЧМТ:
- сотрясение головного мозга,
- ушибы головного мозга различной степени тяжести,
- диффузное аксональное повреждение,
- сдавление головного мозга,
Диагностика черепно-мозговой травмы основывается на данных анамнеза, выяснении обстоятельств и механизма получения травмы, выявления классической анамнестической триады : потеря сознания, тошнота или рвота, амнезия. Затем производится тщательный внешний осмотр, неврологическое обследование и дополнительные методы исследования.

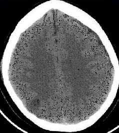
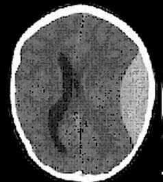
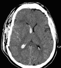
Современные неинвазивные диагностические технологии (КТ, МРТ, УЗИ, ПЭТ) совершили подлинный переворот в расшифровке патологоанатомического субстрата ЧМТ, опережая по информативности рутинное рентгенологическое исследование черепа и головного мозга, и имеют решающее значение для определения характера повреждений и выработки дальнейшей тактики ведения этих больных.
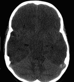
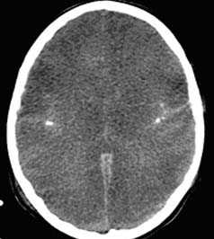
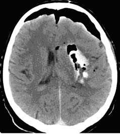
Применение компьютерной томографии в нейротравматологии существенно изменило представление о возможностях диагностики различных черепно-мозговых повреждений. КТ является в настоящий момент «золотым стандартом» - наиболее информативным методом обследования больных с черепно-мозговыми травмами и позволяет в самые короткие сроки судить о механизмах возникновения поражения мозга, его характере, распространенности, выраженности отека и дислокации мозга, а также динамике этих изменений.

КТ позволяет последовательно изучить мягкие ткани головы, кости черепа, вещество мозга, эпидуральные, субдуральные, субарахноидальные пространства, цистерны основания и желудочки мозга:
- выявить переломы свода и основания черепа (с чувствительностью, намного превышающей традиционную рентгенографию) ,
- выявить наличие внутричерепной гематомы (её характер, локализацию, размеры),
- выявить наличие очага ушиба головного мозга (его локализацию, размеры, характер, наличие геморрагического компонента),
- определить степень сдавления или дислокации головного мозга объемным процессом,
- выявить наличие диффузного или перифокального отека и его степени,
- выявить субарахноидальное кровоизлияние,
- выявить внутрижелудочковую гематому,
- выявить наличие пневмоцефалии.

Поэтому в настоящее время следует считать правилом, что при наличии соответствующей аппаратуры, в первую очередь необходимо проведение компьютерной томографии. Вопрос заключается лишь в сроках выполнения данного исследования: пострадавшим с тяжелой ЧМТ, особенно в неясных случаях, КТ должна выполняться по срочным показаниям, при легкой ЧМТ КТ может быть проведена в плановом порядке, но не позже следующего дня.
КТ с внутривенным контрастированием (КТ-ангиография) по неотложным показаниям, как правило, не выполняется. Показанием к такому исследованию является обнаружение на нативных томограммых внутримозговых гематом, локализующихся в местах возможного разрыва аневнизмы.






Визуализация минимальных количеств излившейся свежей крови, уверенная дифференциация ее от других внеклеточных жидкостей, слежение за динамикой отека и набухания головного мозга, некроза и восстановления его структур с одновременным распознаванием переломов костей черепа, особенно его основания, составляют преимущества КТ перед магнитно-резонансной томографией.
Кроме того положительными сторонами данного метода нейровизуализации являются малое время исследования, возможность фиксации пациента и использования аппаратов ИВЛ, меньшее количество противопоказаний к обследованию, что невозможно при технически более сложной МР-томографии.
Что показывает КТ головы?
Компьютерная томография относится к передовым и высокоинформативным методам обследования при заболеваниях и неочевидных патологических процессах самого широкого спектра. За открытие этого метода и развитие технологии сканирования изобретатели Аллан Кормак и Годфри Хаунсфилд в 1979 году получили Нобелевскую премию в области физиологии и медицины, а их разработка помогла существенно повысить процент выявляемости опасных заболеваний (онкология, инсульты, патологии сосудов).
В чем особенность КТ? Что показывает обследование? Разберем в этой статье.
КТ головы - что это за обследование?
В отличие от рентгена и УЗИ, технология визуализации при КТ головы предполагает серию срезовых изображений (сканов) в высоком разрешении. Кольцо томографа (гентри), сквозь которое движется процедурный стол, оснащено рядами чувствительных датчиков, которые всего за несколько секунд перемещаются по спиральной траектории и регистрируют ответ от органов и тканей в различных плоскостях. На выходе получается объемное, а не плоскостное изображение с возможностью построения 3D-модели сканируемого участка тела (реконструкции).
Томография основана на принципе, что разные по плотности органы и ткани по-разному поглощают x-ray лучи. Врач может исследовать ткани любой морфологии: костно-хрящевые структуры, мягкие ткани, сосуды. На КТ с контрастом выявляют даже очень небольшие новообразования — на томограммах они отличаются от здоровых тканей, поскольку иначе впитывают контрастный препарат, а толщина одного посрезового скана всего 1 мм, так что пропустить уплотнение практически невозможно.
При КТ головы, в зависимости от целей и задач исследования, оценивают структуры головного мозга, лицевые кости черепа, височные кости, сосуды головы и шеи, шейный отдел позвоночника, основание черепа, челюсти.
Когда рекомендуется сделать КТ головы?
В каких ситуациях рекомендуется сделать КТ головы?
- Черепно-мозговые травмы. КТ покажет переломы, гематомы, вывихи суставов, кровоизлияния.
- После инсульта или при подозрении на острое нарушение мозгового кровообращения. При геморрагическом инсульте важно исключить кровоизлияние в головной мозг, диагностику проходят сразу. Последствия ишемического инсульта лучше оценивать через 4-5 часов, поскольку признаки данного вида ОНМК визуализируются позже.
- При подозрении на опухоли и метастазы головного мозга. Новообразования могут сдавливать нервные окончания и сосуды, их компрессия может быть причиной хронической боли и нарушений со стороны ЦНС, зрения.
- Перед операциями и хирургическими вмешательствами. КТ головы назначается перед удалением опухолей и кист, реконструктивными операциями при травмах и переломах костей черепа, удалением грыж и кист шейного отдела позвоночника, некоторыми видами операций на лицевых костях черепа (перед септопластикой, ринопластикой, остеотомией).
- После хирургических вмешательств и химиотерапии. Контрольная КТ необходима для мониторинга результатов лечения.
- При подозрении на сосудистые заболевания, мальформации, тромбоз сосудов головного мозга. Закупорка артерий может быть причиной ишемии, атрофических изменений, плохого самочувствия.
- Инородные предметы. КТ головы покажет инородные тела в сканируемой области и травматические изменения. Обследование можно проходить пациентам с внутренними металлическими конструкциями, имплантами.
- При частых отитах. ЛОР-врач может назначить исследование височной кости, околоносовых пазух.
- Перед эстетическими операциями (ринопластика, септопластика, операция Оливари).
- При нарушении работы слюнных желез. КТ шеи назначается в рамках обследования при слюннокаменной болезни (сиалолитиазе).
КТ головы без контраста
Компьютерная томография головы без контраста после травм, ударов по голове и ДТП покажет посттравматические изменения и деформации, кровотечения, гематомы.
Обследование назначается при выраженных признаках острого нарушения мозгового кровообращения, причем внутренние кровоизлияния на КТ видны лучше, чем на МРТ.
КТ лицевой части черепа и носа рекомендуют ЛОР-врачи, если пациента беспокоят фронтиты, гаймориты, этмоидиты, мастоидиты, а также после переломов носа. Компьютерная томография позволяет в высоком разрешении исследовать придаточные пазухи носа, барабанную полость, слуховые косточки. Перед проведением таких операций как септопластика (исправление искривленной носовой перегородки при затрудненном дыхании), а также ринопластика или риносептопластика, КТ - «золотой стандарт» оценки костно-хрящевых структур и анатомии носа.
КТ верхнего (шейного) отдела позвоночника назначается, чтобы исключить патологическое разрастание костной ткани - остеофиты, поскольку от их наличия или отсутствия зависит тактика нейрохирургической операции и ее исход.
Одним словом, КТ без контраста лучше всего подходит для исследования костей черепа, а также назначается после инсультов.
КТ головы с контрастом
Также назначается при инсультах (в зависимости от показаний). Преимущество контрастирования заключается в более точной оценке мягких тканей и сосудистого русла.
Опухоли головного мозга значительно лучше визуализируются с контрастом, чем без него. В зонах локализации злокачественных новообразований кровообращение более или, напротив, менее интенсивное, что влияет на распределение и накопление контрастного препарата, то есть на «окрашивание» опухолей на КТ-сканах.
Доброкачественные опухоли на КТ с контрастом однородны. Для онкологии характерно чередование очагов более и менее высокой плотности, признаки некроза. Опухоли описаны в медицинских классификациях и обладают своими признаками. Например, доброкачественная гемангиома обладает округлой формой и высокой плотностью (около 50).
К злокачественным опухолям головного мозга и костей черепа, выявляемым на КТ, относятся: астроцитомы, глиомы, остеомы. К наиболее распространенным доброкачественным новообразованиям, выявляемым на КТ с контрастом, относятся гемангиомы и кисты.
Иными словами, при исследовании мягких тканей, сосудов, а также при онкологической настороженности, предпочтение отдается КТ с контрастом.
КТ сосудов головы и шеи (ангиография)
Обследование сосудов (артерий и вен) с контрастом называется «ангиография». КТ-ангиография показывает аневризмы, мальформации, каверномы (опухоли сосудов).
Сужение просвета или закупорка сосудов головного мозга атеросклеротической бляшкой, опухолью, тромбом или в связи со стенозом — угрожающие жизни и здоровью состояния. Из-за этих патологий нарушается питание головного мозга, развивается гипоксия. Пациента при этом могут беспокоить головокружения, обморочные состояния, головные боли. Однако некоторые заболевания проходят бессимптомно. Поэтому очень важно проверять сосуды на предмет повреждений, патологического сужения или расширения. И лучше всего с этой задачей справляется КТ-ангиография.
Таким образом, нарушение проходимости сосудов и анатомии сосудистого русла наиболее достоверно визуализируются при контрастировании. Однако КТ не поможет оценить скорость кровотока — для этого, как правило, назначается допплерография или другие методы исследования. Если у пациента есть противопоказания к КТ с контрастом, в качестве альтернативы лечащий врач рекомендует сделать МРТ, или наоборот — в большинстве случаев, эти методы взаимозаменяемы.
КТ ангиография брахиоцефальных артерий — один из наиболее подробных методов исследования сосудов головы и шеи, который позволяет получить сведения о форме, строении и диаметре артерий, непосредственно питающих головной мозг. Рекомендуется регулярно проходить пациентам с атеросклерозом.
Что лучше: КТ или МРТ головы?
Чтобы выбрать наиболее целесообразный в Вашем случае метод обследования, проконсультируйтесь с лечащим врачом. При компьютерной томографии применяется ионизирующее излучение, поэтому обследование не рекомендуется проходить часто. Суммарная доза эффективного рентгенологического облучения не должна превышать 15-20 мЗв слвокупно в течение года. Компьютерная томография противопоказана беременным женщинам, поскольку имеется риск тератогенного воздействия на формирующийся эмбрион или плод.
В свою очередь МРТ нельзя проводить пациентам с металлоконструкциями, а также имплантами и несъемными медицинскими приборами, содержащими металлы, вступающие во взаимодействие с электромагнитным полем. Однако данный вид обследования безопасен, а проходить его можно неограниченное количество раз в год.
Чаще всего МРТ проходят для обследования мягких тканей и органов, а КТ для оценки костно-хрящевых структур после травм и последствий инсультов.
Текст подготовил
Котов Максим Анатольевич, главный врач центра КТ «Ами», кандидат медицинских наук, доцент. Стаж 20 лет
- Campbell B., De Silva D., Macleod M., Coutts S., Schwamm L., Davis S., Donnan G. Ischaemic stroke, 2019.
- Bouchez L., Sztajzel R., Vargas M. CT imaging selection in acute stroke, 2016.
- Kamalian S., Lev M., Stroke Imaging, 2019.
- Котов М.А. Возможности компьютерной томографии в прогнозировании летального исхода инсульта / Дневник казанской медицинской школы. — 2017. — №. 2. — С. 76-80.
- Котов М.А. Показатели и значение интракраниального анатомического резерва, у пациентов с острым нарушением мозгового кровообращения / Журнал научных статей Здоровье и образование в XXI веке.Т. 18, № 2., 2016. — С. 229-233.
- Котов М.А. Лучевые предикторы исходов ишемического инсульта / Дневник казанской медицинской школы. - 2018. - №. 2. - С. 86-89.
- Котов М.А. Предикторы раннего летального исхода острого нарушения мозгового кровообращения, выявляемые при компьютерной томографии / Материалы VIII Научно-практической конференции Поленовские чтения, Российский нейрохирургический журнал им. проф. А.Л. Поленова, специальный выпуск. — 2018, -Т.Х, С. 129.
- Котов М.А. Возможности компьютерной томографии в оценке риска развития острого нарушения мозгового кровообращения / Вестник Северо-Западного государственного медицинского университета им. И.И. Мечникова. 2017. Т. 9. № 4. — С. 35-38.
- Kotov M.A. Brain dislocation morphometry at neurology and neurosurgery from the standpoint of evidence-based medicine / Global Science and Innovation // Materials of the V international scientific conference. - Chicago, 2015. - Р. 207-212.
Мы перезвоним, подберём удобное для записи время и ответим на вопросы.
Оператор обрабатывает входящие заявки с 8:00 до 22:00
Нажимая на кнопку, вы даете согласие на обработку персональных данных в соответствии с Федеральным законом от 27.07.2006 г. № 152-ФЗ «О персональных данных».
Если вы оставили ее с 8:00 до 22:00, мы перезвоним вам для уточнения деталей в течение 15 минут.
КТ при переломах

Компьютерная томография (КТ, или МСКТ) является наиболее информативным методом визуальной оценки посттравматических изменений костей, суставов и окружающих тканей. В отличие от других видов лучевой диагностики, при КТ тело человека сканируется поперечно тонкими срезами, на сканах визуализируются ткани различной морфологической структуры (кости, внутренние органы, системы кровообращения и лимфотока), а на основании полученных изображений создается трехмерная модель-реконструкция исследуемой части тела и сканы в трех плоскостях.
Таким образом, будучи пространственным, а не плоскостным (как рентген) методом визуализации любых костных анатомических структур, КТ позволяет достоверно определить тип травмы, увидеть возможные осложнения и повреждения соседних тканей. Поэтому среди врачей это исследование считается предпочтительным для диагностики переломов, особенно осложненных, в том числе внутрисуставных, не рутинных. Плюсом КТ также является оперативность и простота обследования для пациента.
В этой статье мы ответим на вопрос, когда при переломах костей и суставов достаточно обычного рентгена, а когда следует делать КТ, и расскажем об особенностях посттравматических изменений.
Признаки перелома
По ощущениям легкие переломы мало чем отличаются от ушибов — пострадавший так же испытывает довольно сильную боль, ограничение подвижности, а в месте травмы наблюдается припухлость, отек, гематома. При наличии этих признаков диагностика проводится с целью исключения перелома.
В свою очередь переломы различаются по степени тяжести, к общим симптомам относятся:
- Боль (ноющая, усиливается при нагрузке, острая и резкая при разрыве кости);
- Отек и припухлость в месте травмы;
- Гематома;
- Неестественная подвижность травмированной конечности, аномальный сгиб, деформация;
- Похрустывание, нетипичные звуки костей и суставов при аускультации;
- Нарушение подвижности конечности / сустава.
Виды переломов
Для описания перелома и важных особенностей клинической картины врачи, не только травматологи, но и рентгенологи, обращаются к общепринятым классификациям научно-доказательной медицины. В этой связи, на приеме специалиста или читая заключение, пациент может столкнуться с новыми терминами.

Открытые и закрытые переломы
Открытые переломы достаточно легко определяются при визуальном осмотре травмы — в месте повреждения имеется нарушение целостности кожи, формируется открытая кровоточащая рана, в которой виден обломок кости. Закрытые переломы неочевидны, внешним признаком является гематома и сильная боль. Кость может быть сломана, однако о переломе говорят и в том случае, если имеет место только трещина, идущая, как правило, поперек кости.
По линии перелома:
- Поперечные — линия перелома перпендикулярна трубчатой кости.
- Косые — кость сломана не перпендикулярно, а под углом, который не равен 90 градусам.
- Винтообразные (спиральные) — линия перелома не прямая, а изогнутая, неровная, поскольку произошло осевое скручивание костных отломков.
- Оскольчатые — нет единой линии перелома, произошло дробление кости.
По механике перелома, движению костных отломков:
- Компрессионные переломы — диагностируют, если произошло сжатие: отломки костей в месте разрыва сближаются и надавливают друг на друга. Такое часто наблюдается при травме позвоночника и бедренной кости.
- Отрывные переломы — диагностируют, если, напротив, костные отломки отдалились друг от друга в результате перелома.
- Винтообразные (спиральные, торзионные) переломы — диагностируют, если костные отломки смещаются по отношению друг к другу по кругу, спирали.
По степени тяжести:
- Осложненные переломы — о них говорят, если происходит повреждение соседних органов и тканей, расположенных в месте травматического перелома кости или сустава.
- Простые переломы — сопутствующие значимые повреждения не наблюдаются. Следует отметить, что при переломах поражение соседних тканей имеет место всегда, однако не всегда требуется предпринимать какие-либо дополнительные меры, со временем ткани восстанавливаются самостоятельно.
По локализации
- Диафизарные переломы — рутинные переломы трубчатых костей. Самые распространенные в клинической практике.
- Внутрисуставные (эпифизарные) переломы — абсолютные переломы суставов, при которых происходит разрыв суставной капсулы с повреждением прилегающих хрящевых структур и суставной поверхности кости. Считаются наиболее тяжелыми, поскольку такие травмы лечатся долго, а последствия могут быть необратимыми — в таком случае форма и подвижность сустава меняются навсегда. Симптоматика сходна с разрывом суставной капсулы, однако в этом случае сроки восстановления быстрее и ход реабилитации более благоприятный для пациента.
- Околосуставные (метафизарные, вколоченные) переломы — перелом трубчатой кости рядом с суставом, надкостница при этом чаще всего не повреждается, однако костный отломок может сместиться относительно своего нормального положения.
Другие виды переломов
Интерпозиционные переломы — в пространство между костными отломками вклиниваются мягкие ткани, мышцы, нервные окончания, что усугубляет тяжесть травмы и усложняет лечение.

Зачем делать КТ при переломе?
Компьютерная томография позволяет детально визуализировать кости, суставы и окружающие ткани в режиме 3D, что делает этот метод идеальным для диагностики переломов разной степени сложности. Врач-рентгенолог увидит даже небольшое смещение костей, сколы и трещины, а также сможет точно рассчитать любые отклонения с помощью программного обеспечения. На трехмерной реконструкции отсутствуют артефакты (искажения), так что врач сможет точно и достоверно описать результат в заключении.
На КТ в высоком разрешении будут видны деструктивные и воспалительные процессы в костях, суставах и, что не менее важно, в прилегающих тканях. Квалифицированный врач-травматолог, хирург или другой специалист сможет не только ознакомиться с письменным заключением, но и изучить КТ-сканы.
Неправильное сращение костей / восстановление суставов может привести к нарушению биомеханики травмированной конечности, поэтому в особенных случаях лечащий врач может рекомендовать повторное КТ-сканирование после реабилитационного курса. Это особенно важно для профессиональных спортсменов (спортивные переломы требуют особого внимания) и людей, занятых физическим трудом.
Когда делать КТ, а когда рентген при переломе?
Алгоритм диагностики переломов обычно таков, что сначала пациента осматривает врач-травматолог, после отправляет пострадавшего на рентген. Исключением являются заведомо диагностически сложные случаи, когда предпочтение сразу отдается КТ — переломы черепа (смотрим головной мозг), позвонков (смотрим спинной мозг), тазобедренного (самый подвижный) и коленного сустава (самый сложный), особенно при подозрении на внутрисуставной перелом.
Если по результатам рентгена становится ясно, что травма легкая, например, заурядный диафизарный перелом без осколков, компрессии и разрыва, то необходимости в КТ, как правило, нет. Решение в пользу того или иного метода, сроках и способе контрольного обследования принимается квалифицированным врачом.Рентген является наиболее доступным методом диагностики переломов, но если травма непростая и у пострадавшего есть возможность сделать КТ, то он может пройти обследование самостоятельно, после чего с результатами обратиться к доктору. Целесообразность компьютерной томографии можно уточнить на консультации специалиста.
Как долго срастается перелом: реабилитация и осложнения
Сроки реабилитации, сращения костей и суставов, зависят от многих факторов: вид перелома, кровообращение в области травмы, питание пациента, анамнез, индивидуальные особенности организма пациента. Даже врач на первом приеме может не обозначить сроки. Сращение лучевой кости при легком переломе длится около одного месяца, в то время как перелом основания черепа лечат около года. Реабилитация после компрессионного перелома позвоночника занимает, как минимум, три месяца.
Врачу необходимо сопоставить костные отломки, оценить их ротацию, а также состояние окружающих кость или сустав тканей. Чем больше масса тела пациента (особенно мышечная), тем тяжелее восстановление. Особую группу составляют пациенты с остеопорозом и артритом, то есть отягчающими заболеваниями в анамнезе.
- Котов М.А. Опыт применения компьютерной томографии в диагностике заболеваний органов дыхания у детей / Материалы X Невского радиологического Форума (НРФ-2018). - СПб., 2018, Лучевая диагностика и терапия. 2018. № 1 (9). — С. 149.
- Панов А.А. Пневмония: классификация, этиология, клиника, диагностика, лечение, 2020.
- Бова А.А. Пневмонии: этиология, патогенез, клиника, диагностика, 2016.
- Chl Hong, M.M Aung , K. Kanagasabai , C.A. Lim , S. Liang , K.S Tan. The association between oral health status and respiratory pathogen colonization with pneumonia risk in institutionalized adults, 2018.
- Yang-Pei Chang, Chih-Jen Yang, Kai-Fang Hu, A-Ching Chao, Yu-Han Chang, Kun-Pin Hsieh, Jui-Hsiu Tsai, Pei-Shan Ho, Shen-Yang Lim. Risk factors for pneumonia among patients with Parkinson's disease: a Taiwan nationwide population-based study, 2016.
- Клинические рекомендации по диагностике, лечению и профилактике тяжелой внебольничной пневмонии у взрослых. Министерство здравоохранения РФ, 2019.
Что показывает КТ позвоночника?

Компьютерная томография позвоночника — это современный метод послойного сканирования сегментов позвоночного столба с последующей реконструкцией изображения в трех проекциях. Техника проведения процедуры основана на рентгеновском излучении, а именно, на принципе, что различные по плотности и морфологии ткани на сканах визуализируются по-разному.
На томограммах в трех проекциях можно рассмотреть позвонки, увидеть, не повреждены ли отростки, нет ли компрессии (сдавления позвоночного канала).
Рентгеновские лучи обладают высокой разрешающей способностью, а данные КТ записываются и обрабатываются на компьютере в высоком качестве. Это делает компьютерную томографию прецизионным и наиболее предпочтительным методом оценки костей и суставов после травм или перед операциями позвоночнике. Стандартная рентгенография — это плоскостное двухмерное изображение, уступающее данным сканирования на современном мультиспиральном томографе. КТ будет наиболее информативна в случае с диагностикой инфекционно-воспалительных процессов (остеомиелита), опухолей и костно-деструктивных процессов.
Компьютерная томография шейного, грудного, пояснично-крестцового отдела позвоночника позволяет в высоком качестве визуализировать не только кости и суставы. Методика отлично зарекомендовала себя в диагностике неврологических нарушений, связанных с посттравматическими изменениями. Обычно это происходит после травмы позвоночника, а иногда даже после неловкого движения. Если боль становится хронической и снижает качество жизни пациента, лечащий невролог может рекомендовать сделать КТ позвоночника для уточнения причины. По локализации болевых ощущений лечащий врач определит, томография какого отдела позвоночника необходима в данном случае.
При онемении рук и головных болях рекомендуют делать КТ шейного отдела позвоночника. При проблемах с ногами и дисфункции органов малого таза — КТ пояснично-крестцового отдела позвоночника. КТ грудного отдела позвоночника позволяет оценить не только состояние позвонков в этом сегменте. На томограммах грудного отдела позвоночника врач-рентгенолог также увидит переломы ребер, инородные предметы в легких, новообразования плевры, средостения, дыхательных органов.
КТ позвоночника показывает:
- Текстуру, строение, плотность костной ткани. Любые повреждения, опухоли и патологические изменения (в том числе остеохондроз позвоночника, метастазы);
- Позвоночный канал и межпозвонковые отверстия;
- Отростки позвонков;
- Спинной мозг.
Какие заболевания покажет КТ позвоночника, а в каких случаях лучше сделать МРТ? Разберем в этой статье.
Переломы позвоночника на КТ
В вопросах диагностики и оценки костной травмы позвонков «золотая ветвь» первенства принадлежит именно компьютерной томографии. По данным PubMed, выявляемость переломов позвоночника с помощью КТ (или МСКТ) достигает 97-100%. На сегодняшний день это лучший показатель.
Переломы позвоночника бывают:
- открытые;
- закрытые;
- компрессионные;
- компрессионно-оскольчатые;
- изолированные (сломан только 1 позвонок);
- множественные и др.
Компрессионный перелом позвоночника — это последствие травмы, которая произошла при одновременном сжатии и сгибании, при этом место перелома имеет клиновидную форму с вершиной, направленной вперед. Такие переломы вызывают острую боль.
Компрессионные переломы возникают из-за воздействия на позвоночник большой силы — в результате ДТП, падения с большой высоты и других чрезвычайных ситуаций. Важно проверить, не поврежден ли спинной мозг, и действительно ли позвоночник сломан только в одном месте.
Согласно статистике ВОЗ, большинство переломов позвоночника обусловлены остеопорозом. Около 50% всех переломов приходится на пояснично-крестцовый отдел позвоночника, 40% — на грудной, 10% — на шейный. При падении с большой высоты на пяточную кость с ее травмированием, в 10% случаев из-за осевой нагрузки возникает перелом грудного отдела позвоночника.
При оценке посттравматических изменений позвоночника на КТ врач-рентгенолог смотрит, нет ли вывихов, кифоза, костных отломков в позвоночном канале.
Дегенеративные заболевания позвоночника
К распространенным причинам хронической боли в спине относится обширная группа дегенеративно-дистрофических заболеваний опорно-двигательного аппарата. К выявляемым на КТ относятся:
- Остеохондроз;
- Остеофиты;
- Остеомилеит;
- Спондилоартроз;
- Остеопороз;
- Дегенеративный спондилолистез.
Остеохондроз
Остеохондроз — собирательное название дегенеративно-дистрофических заболеваний, которые приводят к разрушению межпозвонковых дисков и хронической боли в спине. Предположительно, остеохондроз возникает из-за инфекций, воспалений, наследственности, гормональных нарушений, сидячего образа жизни, неправильных физических нагрузок. Остеохондроз может привести к грыже межпозвонкового диска, секвестру и даже к инвалидизации пациента. На сканах КТ позвоночника врач увидит, какие межпозвонковые диски повреждены. Они могут быть расположены на любом уровне: от C1 до L5, где:
C — это шейный отдел позвоночника;
Th — грудной отдел позвоночника;
L — пояснично-крестцовый отдел позвоночника.
Важно точно понять, какой сегмент поврежден или вызывает боль. Для восстановления поврежденных позвонков применяются инъекционные методики, например, лечебные блокады и плазмолифтинг. Лечащему врачу необходимо определить точное место введения препарата.
Остеопороз
Остеопороз — заболевание, связанное с декальцификацией костей. В результате позвонки становятся очень хрупкими, а по сканам КТ можно определить, что их структура стала пористой. За диагнозом «остеопороз» следует неблагоприятный прогноз — повышенный риск переломов и травм. Остеопороз чаще всего диагностируют у пожилых людей и женщин после наступления менопаузы в связи с гормональными изменениями.
Остеофиты и спондилез
Остеофиты — это патологическое разрастание костной ткани, которое вызывает болезненную компрессию нервных волокон, сосудов, мягких тканей. Остеофиты причиняют дискомфорт и сковывают движение, а возникают они из-за нарушения кальциевого обмена на краевом участке кости, тем самым деформируя скелет.
Остеофиты могут не причинять сильный дискомфорт, однако медицинская практика показывает, что процент выявляемости этой патологии у мужчин и женщин в возрасте старше 50 лет с сопутствующими заболеваниями позвоночника (межпозвонковая грыжа, остеомиелит, спондилез) составляет примерно 80% и 60% соответственно. Перед операцией на позвоночнике нейрохирурги часто направляют пациентов на КТ, чтобы проверить тела позвонков на предмет остеофитов и их локализацию, поскольку от этого будет зависеть хирургическая тактика.
Фасеточный синдром
Спондилоартроз (фасеточный синдром) — это воспаление межпозвонковых суставов позвоночника, которому предшествует дегенерация диска. Выявляемость патологии у пациентов с болью в пояснице, шее и грудном отделе позвоночника — до 40%. Болевой синдром распространяется и на другие части тела: лицо, ребра, бедра — в зависимости от локализации воспаления.
Спондилолистез (нестабильность позвоночного сегмента)
Дегенеративный спондилолистез — это патологическое смещение или соскальзывание верхнего позвонка на нижележащий. На компьютерной томографии определяют угол смещения и оценивают степень травматизации (развернуто описывается в заключении). Фасеточный синдром возникает из-за травм, дефектов костной ткани, неудачных операций, врожденных особенностей строения скелета. Смещение позвонков на КТ визуализируется лучше всего, однако лечащий врач может рекомендовать пациенту сделать МРТ позвоночника.
Остеомиелит позвоночника
Остеомиелит — сравнительно редкое и сложное в диагностическом плане воспалительное заболевание костной ткани позвонков. Начинается с поражения костного мозга, а затем распространяется и на другие компоненты костной ткани. Приводит к разрушению позвонка с последующей деформацией всего позвоночного столба.
Остеомиелиты развиваются на фоне других заболеваний. В связи с этим выделяют следующие разновидности:
- Туберкулезный остеомиелит;
- Люэтический спондилит (осложнение сифилиса);
- Брюшнотифозный остеомиелит;
- Ревматический остеомиелит и др.
Для этого заболевания характерна локальная боль в спине — по такому симптому заподозрить воспалительный процесс и отличить его от других дегенеративно-дистрофических заболеваний позвоночника невозможно. На томограммах врачи видят комплекс симптомов, указывающих на специфическую клиническую картину остеомиелитов: очаги и абсцессы инфекции, которая распространяется именно через межпозвонковый диск, эрозия (истончение) межпозвонкового диска, разрушение костного тела позвонка с изменением его высоты.
С помощью КТ диагностируют и другие воспалительные заболевания позвоночника, такие как спондилит и дисцит.
Искривление позвоночника (кифоз) на КТ
Внешне кифоз проявляется в нарушении осанки и изменении изгиба позвоночного столба. Но это не только эстетический дефект. Сутулость (усиление изгиба к задней части) свидетельствует о неправильном положении позвонков по отношению друг к другу.
Чаще всего кифоз затрагивает грудной отдел позвоночника. Со временем это приводит к смещению других органов (например, диафрагмы), возникают клиновидные деформации позвонков, истончаются межпозвонковые диски.
Выделяют 3 стадии кифоза. И если на первой стадии искривление позвоночника проявляется в сутулости, повышенной утомляемости позвоночника со слабостью мышц, то на третьей стадии наблюдаются сбои в работе внутренних органов (атрофия межреберных мышц, нарушения в работе легких).
Искривление позвоночника выявляют при визуальном осмотре, однако аппаратная лучевая диагностика необходима для определения степени смещения и сопутствующих деформаций. Если пациенту с кифозом показано хирургическое лечение, то перед операцией рекомендуется сделать КТ позвоночника, поскольку это самый прецизионный метод обследования. На томограммах нейрохирург увидит не только костно-хрящевые компоненты, но и сосуды, поскольку, чтобы не повредить их во время хирургического вмешательства, важно знать их расположение.

Когда лучше сделать МРТ позвоночника, а не КТ
По результатам компьютерной томографии трудно оценить межпозвонковые грыжи. Поэтому при подозрении на грыжи, а также для их динамического мониторинга более всего подойдет МРТ позвоночника. Также компьютерная томография не решает проблему диагностики рассеянного склероза.
- Al-Riyami K., Gnanasegaran G., WyngaertT.V., Bomanji J. Bone SPECT/CT in the postoperative spine: a focus on spinal fusion / Eur J Nucl Med Mol Imaging, 2017.
- Bernstein M.P., Young M.G., Baxter A.B. Imaging of Spine Trauma / Radiol Clin North Am, 2019.
- Boyd D.P, Computed tomography: physics and instrumentation / Acad Radiol - 1995.
- Bushong S. Computed Tomography / McGraw Hill Professional - 2000. - 162 p.
- Crim J.R., Tripp D. Multidetector CT of the spine / Semin Ultrasound CT MR, 2004.
- Wood K.B., Li W., Lebl D.R., Ploumis A. Management of thoracolumbar spine fractures / Spine J, 2014.
- Матиас Х. Компьютерная томография — М.: «Медицинская литература» — 232 с.
- Прокоп М., Галански М. Спиральная и многослойная компьютерная томография / Т.1,2 под ред. А.В.Зубарева, Ш.Ш.Шотемора — М., 2011 — 712 с.
МРТ и КТ при миеломе что покажут - что покажет

МР-миелография и КТ костей являются аппаратными методами диагностики миастении. Исходя из первичных симптомов, истории болезни, противопоказаний и диагностических целей, врач гематолог или онколог назначает необходимые способы обследования. В большинстве случаев анализ крови и мочи выбирается как первичный метод диагностики. Если результаты исследования носят тревожный или неясный характер, дополнительно назначается:
Что такое множественная миелома
Множественная миелома — это рак, который образуется в типе белых кровяных клеток, называемых плазматической клеткой. Здоровые клетки плазмы помогают организму бороться с инфекциями, создавая антитела, которые распознают и атакуют микробы. При множественной миеломе раковые плазматические клетки накапливаются в костном мозге и вытесняют здоровые клетки крови. Вместо того чтобы вырабатывать полезные антитела, раковые клетки производят аномальные белки, которые могут вызвать осложнения. Лечение множественной миеломы не всегда требует немедленного лечения. Если множественная миелома медленно растет и не вызывает симптомов, то врач может порекомендовать тщательный мониторинг вместо немедленного лечения. Для пациентов с множественной миеломой, которые нуждаются в лечении, доступен ряд методик, помогающих контролировать заболевание.
Симптомы миеломы
Множественная миелома может не вызывать никаких симптомов на ранних стадиях, но в конечном итоге заболевание приводит к широкому кругу проблем. Это форма рака часто диагностируется после обычного анализа крови и мочи. Когда появляются симптомы, то чаще всего обнаруживаются следующие проявления:
- боль в кости, особенно в позвоночнике или груди
- тошнота
- запор
- потеря аппетита
- дезориентация, заторможенность
- усталость
- частые инфекции
- потеря веса
- слабость или онемение в ногах
- чрезмерная жажда.
Миелома может вызывать боль в пораженных костях - обычно в спине, ребрах или бедрах. Она представляет собой постоянную тупую боль, которая может усиливаться от движения.
Миелома может ослабить кости и повысить вероятность перелома. Чаще всего поражаются позвоночник и длинные кости руки и ноги. Переломы позвоночника могут вызвать коллапс отдельных участков позвоночника, что приводит к боли и, иногда, к сдавливанию спинного мозга. Компрессия спинного мозга может вызвать:
- онемение и слабость в ногах и ступнях
- проблемы с контролем мочевого пузыря и кишечника.
Это чрезвычайная ситуация, требующая немедленного лечения.
Множественная миелома может повлиять на выработку клеток крови в костном мозге, что приводит к анемии. Это состояние также может быть побочным эффектом лечения миеломы. Если у пациента анемии, он может почувствовать сильную усталость, слабость и одышку.
Больные с миеломой особенно уязвимы для инфекции, потому что это состояние влияет на иммунную систему. Высокий уровень кальция в крови (гиперкальциемия) может развиться, потому что слишком много кальция выделяется из пораженных костей в кровоток. Симптомы гиперкальциемии могут включать:
- сильную жажду
- плохое самочувствие
- боль в животе
- частое мочеиспускание
- запоры, растерянность и сонливость.
Пациенту следует немедленно обратиться за медицинской помощью, если у него есть симптомы гиперкальциемии, поскольку они требуют срочного лечения.
У некоторых больных с множественной миеломой наблюдаются синяки и необычное кровотечение, например, частые носовые кровотечения, кровоточивость десен и обильные месячные. Это связано с тем, что раковые клетки в костном мозге могут препятствовать образованию тромбоцитов. У некоторых пациентов из-за миеломы кровь становится гуще, чем обычно. Это связано с избытком белков, которые часто производят миеломные клетки. Повышенная вязкость крови может вызывать такие проблемы, как:
- помутнение зрения
- головные боли
- головокружение
- кровотечение из десен или носа
- сбивчивое дыхание.
Почечная недостаточность может возникнуть у онкобольных. Признаки почечной недостаточности могут включать:
- потерю веса и плохой аппетит
- опухание лодыжки, ступни или руки
- усталость и недостаток энергии
- сбивчивое дыхание
- зудящую кожу
- плохое самочувствие
- икоту.
Почечной недостаточности - это экстренная ситуация, требующая экстренного лечения.
Причины
Неясно, что вызывает миелому. Врачи точно определили, что миелома начинается с одной аномальной плазменной клетки в костном мозге - мягкой, кровопродуцирующей ткани, которая заполняет центр большинства костей. Аномальная клетка быстро размножается. Раковые клетки накапливаются, в конечном итоге подавляя производство здоровых клеток. В костном мозге клетки миеломы вытесняют здоровые клетки крови, что приводит к невозможности бороться с инфекциями. Клетки миеломы продолжают вырабатывать антитела, как и здоровые плазматические клетки, но клетки миеломы производят аномальные антитела, которые организм не может использовать. Вместо этого аномальные антитела (моноклональные белки или M-белки) накапливаются в организме и вызывают такие проблемы, как повреждение почек. Раковые клетки также могут привести к повреждению костей, что увеличивает риск их перелома.
Связь с моноклональной гаммапатией
Множественная миелома почти всегда начинается как относительно доброкачественное состояние, называемое моноклональной гаммапатией неопределенного значения.
Данное заболевание, как и множественная миелома, характеризуется присутствием в крови M-белков, вырабатываемых аномальными плазматическими клетками. Однако при моноклональной гаммапатии уровни M-белков ниже, — повреждения организма не развиваются.
Факторы риска
Факторы, которые могут увеличить риск множественной миеломы:
старение. Риск множественной миеломы увеличивается с возрастом, и большинство пациентов диагностированы в возрасте 60 лет
пол. Мужчины чаще страдают миеломой
семейный анамнез. Если у брата, сестры или родителя пациента множественная миелома, то возникает повышенный риск заболевания
личная история моноклональной гаммапатии неопределенного значения. Множественная миелома почти всегда начинается как моноклональная гаммапатия, поэтому это состояние увеличивает риск.
МРТ и КТ в диагностике множественной миеломы - что покажет
Миелому бывает трудно диагностировать, потому что это необычный тип рака, который имеет несколько неспецифичных симптомов или вообще не имеет признаков на ранних стадиях патологии. Диагностикой и лечением данного заболевания занимается гематолог. Во время первичного осмотра он будет искать признаки кровотечения, инфекции и определенные участки болезненности костей. Врачу для окончательной диагностики могут потребоваться анализы мочи и крови для проверки на определенные типы антител и белков(иммуноглобулины).
- анализы крови. Лабораторный анализ крови может выявить M-белки, вырабатываемые клетками миеломы. Другой аномальный белок, вырабатываемый клетками миеломы, называемый бета-2-микроглобулином, может быть также обнаружен в крови. Это даст врачу подсказки об агрессивности миеломы. Кроме того, анализы крови для изучения функции почек, количества клеток крови, уровня кальция и мочевой кислоты позволяют окончательно поставить диагноз
- анализы мочи. Анализ мочи может показать M-белки, которые называются белками Бенса Джонса
результаты МР-миелографии позвоночника, и КТ костей, чтобы выявить любые костные повреждения.
Для финального подтверждения множественной миеломы обычно проводят биопсию костного мозга. Врач может отобрать образец костного мозга для лабораторного исследования. Образец отбирается с помощью длинной иглы, введенной в кость (аспирация костного мозга и биопсия). В лаборатории образец исследуется на наличие клеток миеломы и клеточных мутаций.
Разница между МРТ и КТ
Компьютерная томография и магнитно-резонансная томография используются для получения изображений органов и тканей в трехмерной проекции. Разница в томографии заключается в том, что при МРТ используются радиоволны, а при КТ - рентгеновские лучи для получения изображения. Хотя оба томографических метода имеют высокую информативность, есть диагностические различия, которые могут сделать каждый из них более подходящим вариантом в зависимости от обстоятельств.
КТ-сканирование более быстрая форма диагностики, чем магнитно-резонансная томография, и обычно используется для экстренного обследования. При использовании как КТ, так и МРТ существуют определенные риски. Они зависят от типа визуализации, а также от способа ее проведения. К рискам КТ относятся: вред для внутриутробного ребенка при беременности и доза радиации. Риски МРТ включают реакции на металлические импланты в теле из-за сильного магнитного поля, громкий шум от аппарата, повышенная, клаустрофобические риски.
Если врачу нужны более детальные изображения мягких тканей, связок или органов высоким состоянием воды, обычно назначается магнитно-резонансная томография. Если необходимо получить хорошие изображение костных структур и полых органов, обычно рекомендуется компьютерная томография.
Лечение миеломы
Лечение миеломы часто помогает контролировать симптомы и улучшать качество жизни. Однако этот рак обычно невозможно вылечить. Следует сказать, что не всем пациентам с диагнозом миелома требуется немедленное лечение - например, больным “бессимптомной или тлеющей” миеломой. Для лечения множественной миеломы часто сочетаются несколько методов лечения:
- химиотерапия и стероиды
- пересадка стволовых клеток.
Кортикостероиды помогают разрушать раковые клетки и делают химиотерапию более эффективной. Чаще всего для терапии используются дексаметазон и преднизолон. Эти стероиды принимают внутрь после еды. Возможные побочные эффекты терапии включают:
- изжогу
- несварение желудка
- повышенный аппетит
- изменения настроения
- проблемы со сном (бессонница).
Талидомид может быть включен в онко-протокол. Распространенные побочные эффекты терапии включают:
- запоры
- головокружение
- высыпания
- онемение или покалывание в руках и ногах (периферическая невропатия).
Талидомид может вызывать врожденные дефекты, поэтому его не следует принимать беременным женщинам, а во время химиотерапии необходимо использовать надежные средства контрацепции.
Бортезомиб (велкейд) может помочь разрушить раковые клетки, заставляя белок накапливаться внутри них. Существуют некоторые ограничения в отношении применения бортезомиба. Возможные побочные эффекты включают:
- усталость
- понос
- онемение или покалывание в руках и ногах (периферическая невропатия).
Людям, получающим интенсивное лечение в стационаре, назначают гораздо более высокие дозы химиотерапевтических препаратов, чтобы помочь уничтожить большее количество миеломных клеток. Это нацелено на достижение более длительного периода ремиссии, но не приводит к излечению. Однако эти высокие дозы также влияют на здоровый костный мозг, поэтому онко-пациенту потребуется пересадка стволовых клеток, чтобы костный мозг восстановился после химиотерапии. В большинстве случаев стволовые клетки будут взяты у самого больного до того, как он начнет лечение в высоких дозах. В очень редких случаях они берутся у донора.
Лечение рецидивов
Если миелома возвращается, пациенту необходимо дальнейшее лечение. Терапия рецидивов аналогично начальному лечению, хотя часто предпочтительнее неинтенсивное лечение.Такжегематолог может назначить дополнительные лекарства, такие как леналидомид, помалидомид, карфилзомиб и даратумумаб, а также другие химиотерапевтические препараты. Леналидомид и помалидомид - это медицинский препарат, похожий на талидомид. Карфилзомиб - это лекарство, похожее на бортезомиб. Однако, в отличие от бортезомиба, его назначают регулярно в качестве долгосрочного лечения. Карфилзомиб - более интенсивное лечение, чем бортезомиб. Возможные побочные эффекты включают повреждение почек и, реже, нервов.
Даратумумаб - это новое лекарство с использованием антител, доступное для лечения рецидивов рака костей. Он нацелен на один из белков миеломных клеток, называемый CD38 и помогает убивать раковые клетки. Лекарство вводится внутривенно на длительной регулярной основе. Первая доза этого препарата часто вызывает аллергическую реакцию. Существует также риск того, что даратумумабможет вызвать возвращение вируса гепатита В у людей, которые уже были инфицированы этим вирусом.
Исатуксимаб - это новое лекарство с использованием антител, которое используется для лечения множественной миеломы у взрослых, когда 3 других метода лечения не помогли. Он принимается с помалидомидом и дексаметазоном и находится в той же группе лекарств, что и даратумумаб. Исатуксимаб вводится внутривенно на длительной регулярной основе. Он имеет множество возможных побочных эффектов, включая инфекции, высокую температуру, диарею и плохое самочувствие, но реакция каждого человека на этот препарат очень индивидуальна.
Панобиностат - это лекарственное средство для лечения множественной миеломы. Его принимают в виде таблеток в течение нескольких месяцев вместе с бортезомибом и стероидными таблетками. Его основные побочные эффекты включают диарею, утомляемость, низкие показатели крови, сердечную недостаточность.
Лечение симптомов и осложнений миеломы
Помимо основных методов терапии множественной миеломы, пациенту может потребоваться лечение, которое поможет облегчить некоторые из проблем, вызванных этим заболеванием. Например:
Читайте также:
