КТ при шванноме толстой кишки
Добавил пользователь Евгений Кузнецов Обновлено: 22.11.2025
МРТ и КТ кишечника в клиниках СПб активно применяется для диагностики рака кишки и метастазных поражений. Кишечник - это очень длинный орган. Его части имеют различную доступность. Поэтому при выявлении кишечной онкологии используют различные аппаратные методы. Единого всеобъемлющего способа хорошо визуализировать весь кишечник пока в медицине нет.
МРТ и КТ кишечника в клиниках СПб активно применяется для диагностики рака кишки и метастазных поражений. Кишечник - это очень длинный орган. Его части имеют различную доступность. Поэтому при выявлении кишечной онкологии используют различные аппаратные методы. Единого всеобъемлющего способа хорошо визуализировать весь кишечник пока в медицине нет. Рак тонкого кишечника требуется энтероскопии или же КТ или МРТ тонкого кишечника (МР-энтерографии), а также биопсии. Рак толстой и прямой кишки диагностирует с помощью МР-колонографии, КТ виртуальной колоноскопии и традиционной колоноскопии. Некоторые отделы кишечника могут быть видны на МРТ или КТ брюшной полости или МРТ органов малого таза.
Признаки рака кишечника
Злокачественные заболевания кишечника клинически протекает в виде :
- хронических болей в животе;
- лихорадки;
- снижения веса;
- нарушения стула;
- диарея с примесью крови или слизи.
Их ранняя диагностика сопряжена со сложностью, поскольку на начальном этапе, зачастую, развитие опухоли проходит бессимптомно. Поэтому врачи рекомендуют пациентам с предрасположенностью к онкологии ЖКТ осуществляй профилактическое МРТ обследование кишечника каждые 5 лет. Угроза развития рака прямой кишки требует проведения КТ виртуальной колоноскопии один раз в 3 года.
МРТ кишечника с контрастом при онкологии
При процедуре МРТ кишечника с подозрением на рак внутривенно вводится болюсное контрастное усиление. С помощью МРТ кишечника с контрастом врачи оценивают локализацию процесса опухоли, утолщение стенки, протяженность воспаления и уровень сужения просвета кишки. Особая ценность данных МРТ при раке кишки заключается в том, что онкологи могут оценить степень распространения опухоли и ее взаимодействие с соседними органами брюшной полости и малого таза (процесс метастазирования, прорастания в соседние ткани, создания новой паразитной сосудистой системы). Эти данные позволяют медикам принять окончательное решение о наиболее эффективном методе лечения.
МРТ или КТ кишечника, что лучше?
Здесь единого мнения по данному вопросу среди врачей нет. Считается, что толстый кишечник все же лучше визуализируется на КТ виртуальной колоноскопии с 3D реконструкцией, если нужно проводить прицельное обследование. Однако, если задачи исследования состоят в том, чтобы выяснить степень влияния новообразований на соседние ткани малого таза, магнитно-резонансное исследование станет предпочтительным. Тонкий кишечник лучше всего видно на гидро МРТ кишечника, проведенном на сверхвысокопольном томографе 3 Тесла или 1,5 Тесла, но существенным недостатком такого сканирования будет его высокая стоимость.
МРТ кишечника или колоноскопия
Делать колоноскопию раз в три года показано всем людям старше 50 лет и особенно тем, у кого есть наследственная предрасположенность или продолжительные воспалительные заболевания кишечника. Тревожным симптомом, который должен навести человека на мысль о необходимости срочной сделать колонографию, будет:
- кровь в кале;
- не снимаемая боль в желудке;
- низкий гемоглобин (анемия);
- частые запоры.
В медицинских центрах Санкт-Петербурга колоноскопию можно сделать тремя способами:
- инвазивно, эндоскопически - классическая колоноскопия;
- неинвазивно - так называемая виртуальная КТ или МР колоноскопия.
Классическая колоноскопия - это процедура, когда кишечник пациента раздувают, промывают и затем ректально вводят эндоскопическую камеру внутрь прямой кишки. В ходе эндоскопической колоноскопии врач осуществляет пошаговый осмотр стенок и может сразу удалить подозрительный полип или взять биопсию опухоли. Такую процедуру лучше всего проводить под наркозом, чтобы болезненные ощущения не мешали качеству исследования.
Виртуальную колоноскопию проводят с помощью компьютерного томографа или магнитно-резонансной установки. Её используют как способ ранней скрининговой диагностики. Она идеально подходит для пациентов, у которых нет жалоб, но они по возрасту или наследственности находятся в зоне риска развития рака толстой кишки. Также МРТ кишечника или КТ кишки станет альтернативой для людей с заболеваниями сосудистой системы, легочными проблемами, которые не позволяют им сделать эндоскопическую колонографию. Преимущество МРТ или КТ кишечника перед традиционной колоноскопией заключается в том, что врач виртуально может путешествовать в просвете кишки без проникновения внутрь, используя сканирующие способности рентген лучей или магнитного поля. Такая процедура дает минимум дискомфорта для пациента и максимум информации для доктора.
Колоноскопия при лечении рака прямой кишки
На сегодняшний день радикальной формой лечения рака прямой и толстой кишки является мезоректальная резекция с предварительным курсом радиотерапии или химиотерапии. Магнитно-резонансная томография играет важную роль в оценке эффективности проводимого лечения и проверке пациента на наличия рецидива. Как правило, МР-колоноскопия назначается в ходе терапии рака несколько раз. При диагностике и на этапе планирования операции и по результатам операции через 6 недель, когда отек спадет. Контрольные МРТ исследования также осуществляются после проведения каждого курса химии или радиотерапии.
При выборе медицинского центра для осуществления томография по ходу лечения важно помнить, что лучше всего проводить все контрольные обследования на одном и том же томографе. Тогда индивидуальные настройки МРТ аппарата не повлияют на интерпретацию при сравнении МРТ снимков до и после терапии.
| МРТ рака прямой кишки | КТ рака прямой кишки | Колоноскопия рака прямой кишки |
МРТ при раке прямой кишки
Здесь есть некая путаница в понятиях. МРТ кишечника - это общее название для обследования органов желудочно-кишечного тракта. Его визуализация разбивается на МРТ органов брюшной полости и МРТ органов малого таза. Существует также особый протокол гидро МРТ, он же МР-энтерография, который визуализирует тонкий кишечник. Толстую кишку и прямую кишку смотрят в рамках МРТ органов малого таза по особому протоколу или МР-колоноскопии. Начать исследование прямой кишки следует с МРТ органов малого таза.
Особенности процедуры рентгенографии ребенку
- до 18 лет в медицинских клиниках Санкт-Петербурга осуществляется только по назначению профильного врача
- В диагностический центр несовершеннолетнего ребенка в обязательном порядке должен сопровождать его законный представитель (родитель, лицо имеющие нотариальную доверенность)
- Во время рентгенографии в диагностическом кабинете имеет право присутствовать родители или законный представитель ребенка
- На прием в медицинский центр необходимо взять: свидетельство о рождении ребенка или его паспорт, паспорт или удостоверение личности законного представителя, направление от лечащего врача, результаты других обследований, относящиеся к целям диагностики
- Чтобы обследование ребенка прошло в комфортной обстановке, лучше заранее в игровой форме объяснить маленькому пациенту, как проходит процедура сканирования.
- Бальтер С.А., Кныш В.И., Ожиганов Е.Л. и др. Ультразвуковая и компьютерная томография в диагностике рецидива рака прямой кишки // Советская медицина. 1986. - №1. - С.83-87.
- Горшков А.Н. Возможности КТ и УЗИ в диагностике рака толстой кишки. // Вестник рентгенологии и радиологии, 2001, № 1, С. 30-36.
- Фролькис А.В. Функциональная диагностика заболеваний кишечника. М., Медицина, 1973,255с.
Дополнительная информация о томографии

Сделать МРТ в СПб качественно и дешево - возможно? Ответ - Да, если немножко разобраться в тонкостях магнитно-резонансной томографии. В медицинской среде МРТ аппараты принято разделять по следующим признакам: Томографы открытого типа. Свое название такой МРТ аппарат получил благодаря тому, что во время процедуры он закрывает пациента не полностью. Магниты у этого томографа располагаются сверху и снизу выступа, на котором лежит пациент.

Назначить сделать МРТ (или магнитно-резонансную томографию) может практически любой врач от невролога и хирурга до репродуктолога и флеболога. Современные томографические аппараты способны проводить сканирование практический любого органа или части тела. Томографическое обследование - это послойное сканирование. В рамках метода томографии исследование можно сделать на МРТ и КТ. Компьютерная томография получает снимки с помощью рентгеновских лучей. Магнитно-резонансная томография визуализирует мягкие и костные ткани с помощью регистрации эффекта колебания атомов водорода в магнитном поле при воздействии на них радиочастотными импульсами.

Тонкий кишечник долгое время являлся одним из самых сложных и малодоступных для исследования органов. Дело в том, что длина его очень большая, расположен он далеко от естественных отверстий, и добраться до него крайне трудно. С помощью эндоскопа можно исследовать толстый кишечник, а вот тонкий кишечник из-за своего петлеобразного строения не поддавался инвазивной форме диагностики.
Рак ободочной кишки
Рак ободочной кишки - злокачественная опухоль, которая чаще образуется у людей в возрасте 40-70 лет. Заболевание в течение длительного времени протекает бессимптомно или проявляется дисфункцией кишечника. По этой причине опухоль чаще выявляют на поздней стадии онкологического процесса, когда возникают сложности с выполнением радикального оперативного вмешательства.
Для диагностики и лечения опухолей ободочной кишки все условия созданы в Юсуповской больницы:
Европейский уровень комфортности палат;
Новейшая диагностическая аппаратура экспертного класса, обладающая высокой разрешающей способностью;
Высокий уровень квалификации врачей;
Применение международных протоколов и стандартов лечения злокачественных новообразований ободочной кишки;
Внимательное отношение медицинского персонала к пожеланиям пациентов и их родственников.
Пациенты, нуждающиеся в паллиативной помощи, могут находиться в хосписе. Тяжёлые случаи рака ободочной кишки обсуждаются на заседании Экспертного Совета. В его работе принимают участие доктора и кандидаты медицинских наук, врачи высшей квалификационной категории. Ведущие специалисты в области онкологии коллегиально вырабатывают тактику ведения пациента.

Причина развития заболевания
Точной причины рака ободочной кишки учёные до настоящего времени не установили. Злокачественная опухоль может развиться на фоне предраковых заболеваний: семейного и приобретенного полипоза, ворсинчатых опухолей и аденоматозных полипов. К провоцирующим образование опухоли факторам исследователи относят следующие патологические процессы:
Неспецифический язвенный колит;
Заболевание может развиться при нарушении питания и состава пищи. Новообразование чаще развивается у людей, которые употребляют в пищу большое количество мяса и мясных продуктов. Внутренняя флора может вырабатывать канцерогенные вещества из животных жиров. К образованию опухоли приводит также нарушение пассажа кишечного содержимого при недостаточном употреблении свежих овощей, фруктов, продуктов, которые содержат большое количество клетчатки.
Макроскопически различают две формы злокачественного новообразования ободочной кишки - экзофитную и эндофитную. Первая форма рака характеризуется ростом опухоли в просвет кишки. Она может иметь вид узла или полипа, чаще встречается в правой половине ободочной кишки, по форме напоминает цветную капусту. Эндофитная опухоль в большинстве случаев образуется в левой половине ободочной кишки. Она инфильтрирует кишечную стенку, постепенно захватывает её по всей окружности и вызывает циркулярное сужение. На опухоли часто образуются язвы.
Морфологи различают следующие гистологические типы злокачественных новообразований ободочной кишки:
Рак ободочной кишки поздно метастазирует. Это позволяет хирургам-онкологам производить радикальные оперативные вмешательства даже при больших размерах новообразования. Опухоль рано вовлекается в воспалительный процесс. Он часто переходит на клетчатку, которая окружает кишечник. Метастазы могут длительное время находиться в регионарных лимфатических узлах. Их во время операции удаляют вместе с брыжейкой.
Симптомы
Ободочная кишка - это сегмент толстой кишки. Основные функции ободочной кишки - секреция, абсорбция и эвакуация содержимого кишечника. Ободочная кишка имеет самую большую длину. Она состоит из восходящей, нисходящей, поперечной и сигмовидной ободочной кишки, имеет печеночный изгиб, селезеночный изгиб. Рак ободочной кишки - это одно из распространенных злокачественных заболеваний в развитых странах, население которых употребляет избыточное количество животных жиров, много мяса и очень мало свежих овощей и фруктов.
Симптомы заболевания становятся более выраженными по мере роста опухоли и интоксикации организма. Клиническая картина бывает разнообразной, зависит от локализации, формы опухоли, различных отягчающих обстоятельств. Левосторонний рак ободочной кишки характеризуется быстрым сужением просвета кишки, развитием ее непроходимости. Правосторонний рак ободочной кишки характеризуется анемией, интенсивной болью в животе. На ранних стадиях развития рака ободочной кишки симптоматика схожа с различными заболеваниями желудочно-кишечного тракта, что часто не позволяет своевременно поставить правильный диагноз. К симптомам рака ободочной кишки относятся:
- отрыжка;
- несистематическая рвота;
- тяжесть в животе после приема пищи;
- тошнота;
- метеоризм;
- боли в области живота;
- запор или диарея;
- изменение характера стула, его формы;
- ощущение дискомфорта, неполного опорожнения кишечника;
- железодефицитная анемия.
Нередко рак ободочной кишки сопровождается присоединением инфекции и развитием воспалительного процесса в опухоли. Боли в животе могут напоминать боли при остром аппендиците, часто поднимается температура, анализы крови показывают увеличение СОЭ и лейкоцитоз. Все эти симптомы нередко приводят к врачебной ошибке. Ранние проявления рака ободочной кишки - это кишечный дискомфорт, симптомы которого часто относят к заболеваниям желчного пузыря, печени, поджелудочной железы. Запоры при раке ободочной кишки не поддаются лечению, что становится важным симптомом развития онкологического заболевания. Левосторонний рак ободочной кишки гораздо чаще сопровождается кишечными расстройствами, чем правосторонний рак.
Запоры при раке ободочной кишки могут сменяться диареей, живот вздувается, беспокоит отрыжка и урчание в животе. Такое состояние может беспокоить длительное время. Назначение диеты, лечение расстройства работы кишечника не приносит результатов. Наиболее выраженные симптомы с вздутием живота и запорами, свойственные раку ректосигмоидного отдела кишечника, появляются на ранних стадиях развития рака.
Непроходимость кишечника при раке ободочной кишки - это показатель позднего проявления онкологического заболевания, чаще встречается при левосторонней форме рака. Правый отдел кишки имеет большой диаметр, тонкую стенку, в правом отделе содержится жидкость - непроходимость этого отдела наступает на поздних стадиях рака. Левый отдел кишки имеет меньший диаметр, в нем находятся мягкие каловые массы, при росте опухоли происходит сужение просвета кишки и наступает закупорка просвета каловыми массами - развивается кишечная непроходимость.
При пальпации врачи определяют в правой половине живота неподвижную, слегка болезненную опухоль. В связи с меньшим диаметром нисходящей кишки, плотной консистенцией кала, эндофитным ростом с сужением просвета кишечника при раке этой локализации часто развивается кишечная непроходимость. Рак ободочной кишки может осложняться кровотечением, кишечной непроходимостью, перфорацией (прободением стенки кишечника), прорастанием новообразования в соседние органы, воспалением опухоли.
При правосторонней форме рака больные нередко обнаруживают опухоль сами при пальпации живота.
Кровь в кале
Пациенты предъявляют жалобы на наличие в кале примесей: крови, гноя, слизи. Кровянистые выделения при раке ободочной кишки чаще отмечаются при экзофитных типах опухолей, начинаются при распаде опухоли, относятся к поздним проявлениям злокачественного образования. В ряде случаев появление крови в фекалиях является единственным признаком рака, особенно если опухоль располагается в левой половине и селезёночном углу ободочной кишки.
В зависимости от расположения опухоли кал может иметь различный вид. При поражении восходящей кишки испражнения имеют бурый цвет или наблюдается дёгтеобразный стул. Каловые массы, смешанные с кровью, - признак опухоли, расположенной в области селезеночного угла и прилежащих отделов нисходящей кишки. При поражении конечного отдела ободочной кишки неизменённая (алая или тёмно-красного цвета) кровь покрывает кал.
Кровянистые выделения при раке ободочной кишки чаще отмечаются при экзофитных типах опухолей, начинаются при распаде опухоли, относятся к поздним проявлениям злокачественного образования.
Рак восходящей ободочной кишки
Рак восходящего отдела ободочной кишки характеризуется выраженным болевым синдромом. Боль в области живота также сильно беспокоит при раке слепой кишки. Этот симптом является одним из признаков рака этих отделов ободочной кишки.
Рак селезеночного изгиба ободочной кишки
В силу своего анатомического расположения рак селезеночного изгиба ободочной кишки плохо определяется при помощи пальпации. Также плохо определяется рак печеночного изгиба ободочной кишки. Чаще всего обследование проводят в положении стоя или в положении полусидя. Такое исследование при первичном обследовании пациента позволяет получить информацию о наличии, размере опухоли и месте её локализации.
Рак поперечно-ободочной кишки
Рак поперечно-ободочной кишки развивается реже чем рак сигмовидной или слепой кишки. При растущей опухоли поперечно-ободочной кишки поражаются правые ободочные, средние, левые ободочные и нижние брыжеечные лимфатические узлы. Симптомы рака поперечно-ободочной кишки - это потеря аппетита, ощущение тяжести в верхней части живота, отрыжка, рвота. Такие симптомы чаще характеризуют рак правой стороны поперечно-ободочной кишки.

Осложнения
Рак ободочной кишки вызывает тяжёлые и опасные для жизни осложнения:
- Кровотечение;
- Кишечную непроходимость;
- Перфорацию (прободение стенки кишечника);
- Прорастание новообразования в соседние органы;
- Воспаление опухоли.
Кровотечение из ободочной кишки при наличии злокачественного новообразования редко бывает обильным. В основном кровь перемешивается с каловыми массами и определяется с помощью лабораторных исследований.
Непроходимость кишечника у большинства пациентов служит первым проявлением болезни. Она является обтурационной кишечной непроходимостью (растущая опухоль сужает просвет ободочной кишки).
Большую опасность для пациента представляет перфорация кишки. Прободение возникает либо в области опухоли при изъязвлении или распаде, либо проксимальнее (выше) её в результате чрезмерного растяжения кишечной стенки содержимым. При перфорации опухоли ободочной кишки резко ухудшается состояние пациента, развивается каловый перитонит, нередко с летальным исходом.
Большие трудности для диагностики и лечения представляют воспалительные и нагноительные процессы в клетчатке, которая окружает опухоль ободочной кишки. Инфекция чаще всего поражает позадибрюшинную клетчатку восходящего и нисходящего отделов толстой кишки, которые лишены серозной оболочки. При наличии воспаления пациенты предъявляют жалобы на боль в пояснице и задних отделах брюшной стенки. У них повышается температура тела. При пальпации врачи определяют напряжение мышц и болезненность в области передней брюшной стенки и поясницы.
Методы диагностики
Врачи клиники онкологии Юсуповской больницы устанавливают диагноз «рак ободочной кишки» на основании анализа клинической картины заболевания, данных физикального обследования, эндоскопических и рентгенологических исследований, результатов биопсии. В анализе крови могут иметь место следующие изменения:
Анемия (уменьшение количества эритроцитов и гемоглобина);
Гипопротеинемия (снижение концентрации белка);
Увеличение скорости оседания эритроцитов;
Гипопротромбинемия (уменьшение количества тромбоцитов);
С помощью лабораторного анализа определяют наличие скрытой крови в кале. Во время ирригоскопии (рентгенологического исследования толстого кишечника с контрастированием бариевой смеси) определяют расположение, размер, протяжённость и характер роста опухоли. На рентгенограммах видны характерные признаки злокачественной опухоли ободочной кишки:
Сужение (стеноз) просвета кишки;
Ригидность кишечной стенки.
Колоноскопия (эндоскопическое исследование) позволяет осмотреть все отделы ободочной кишки, произвести биопсию. Участки тканей с патологически изменённых участков кишечника отправляют в морфологическую лабораторию для верификации гистологического типа рака. С помощью колоноскопии, выполненной с применением новейших аппаратов, онкологи Юсуповской больницы выявляют начальные стадии рака ободочной кишки, недоступные для других методов исследования.
Чтобы исключить наличие метастазов в печень, проводят радиоизотопное сканирование. Результаты исследования врачи клиники онкологии учитывают при определении стадии опухолевого процесса и составлении плана оперативного вмешательства. Позитронно-электронную компьютерную томографию (ПЭТ-КТ) выполняют при подозрении на метастазы. Если с помощью этих диагностических методов установить точный диагноз не удаётся, онкологи выполняют эксплоративную лапаротомию.
Перед операцией хирурги проводят дифференциальную диагностику рака ободочной кишки со следующими заболеваниями:
Если опухоль расположена в левой половине ободочной кишки, исключают амебиаз, дивертикулит, неспецифический язвенный колит. При поражении злокачественной опухолью печёночного угла проводят дифференциальный диагноз с опухолью печени или правой почки, калькулёзным холециститом. Если онкологи подозревают рак селезёночного изгиба ободочной кишки, исключают опухоль и кисту селезёнки, хвоста поджелудочной железы или левой почки.

Лечение
Онкологи Юсуповской больницы удаляют злокачественную опухоль ободочной кишки с помощью оперативного вмешательства. Проводится резекция пораженного участка ободочной кишки вместе с брыжейкой, также удаляются лимфатические узлы. Если обнаружен рак восходящей ободочной кишки, лечение проходит путем правосторонней гемиколэктомии. Таким же методом удаляется опухоль слепой кишки. Хирург удаляет лимфатический аппарат, всю правую половину толстой кишки, в том числе треть поперечно-ободочной кишки, восходящей, слепой кишки и участок печеночного изгиба.
Подготовка к хирургическому вмешательству
Независимо от характера и объёма операции, врачи клиники онкологии проводят общую и специальную предоперационную подготовку, которая во многом обеспечивает успех оперативного вмешательства. С помощью современных инфузионных средств ликвидируют нарушения водно-электролитного баланса, нормализуют уровень белка, проводят борьбу с гипохромной анемией и интоксикацией. Пациентам проводят внутривенное вливание препаратов и компонентов крови, глюкозы с витаминами, растворов электролитов. Одновременно проводят мероприятия, направленные на улучшение функции жизненно важных органов (сердца, лёгких, надпочечников, печени, почек).
Специальная подготовка направлена на удаление механическим путём каловых масс. Пациентам дают принимать слабительные препараты, ставят клизмы, подавляют патогенную микрофлору, которая в изобилии присутствует в кишечном содержимом, лекарственными средствами.
Для предоперационной подготовки толстого кишечника используют элементную диету. За 3-5 дней до операции врачи назначают пациентам специальные препараты, которые содержат все жизненно необходимые ингредиенты пищи в рафинированном виде.
Паллиативные резекции
При отсутствии технической возможности выполнить радикальную операцию хирурги проводят паллиативные резекции ободочной кишки. Выбор паллиативного вмешательства зависит от следующих факторов:
Степени распространения опухоли;
Анатомических особенностей места расположения первичного очага;
Осложнений опухолевого процесса;
Общего состояния пациента.
Если невозможно удалить опухоль правой половины ободочной кишки, хирурги накладывают обходной илеотрансверзоанастомоз. При неоперабельных новообразованиях нисходящей кишки и селезёночного угла создают обходной трансверзосигмоанастомоз. В случае выявления опухоли конечного отдела толстой кишки, накладывают проксимальную колостому, одноствольный иди двуствольный противоестественный задний проход.
Химиотерапия
Химиотерапия в лечении рака ободочной кишки применяется с разными целями - для уменьшения опухоли перед хирургическим вмешательством, приостановки ее роста, уничтожения раковых клеток, метастазов. Колоректальный рак - это довольно резистентная к цитостатикам опухоль. Химиотерапия при раке ободочной кишки назначается врачом в зависимости от размера опухоли и наличия метастазов, проводится курсами.
При поражении регионарных лимфатических узлов, прорастании опухолью серозной оболочки кишки проводят адъювантную химиотерапию. Если существует потенциальный риск развития метастазов в другие органы, проводят максимально активную химиотерапию. После нескольких циклов лечения противоопухолевыми препаратами оценивают состояние метастазов и проводят удаление очагов. После оперативного вмешательства применяют адъювантную химиотерапию.

Метастазы
Рак ободочной кишки чаще всего метастазирует в регионарные лимфатические узлы не сразу, а через продолжительное время после развития опухоли. Опухоль чаще прорастает в соседние ткани и органы. Рак ободочной кишки генерализованный, с проникающими метастазами в легкие, печень требует консультации торакального хирурга, хирурга-гепатолога.
Нерезектабельный рак ободочной кишки характеризуется прорастанием опухоли в костные структуры, магистральные сосуды. Проводится оценка возможности удаления опухоли; если хирургическое вмешательство невозможно, используется паллиативное лечение (химиотерапия).
Исходно резектабельные метастатические очаги удаляются хирургическим путем с последующим проведением паллиативной химиотерапии. Также в качестве лечения системная химиотерапия проводится перед операцией по удалению метастазов, после операции лечение химиотерапией продолжают.
Прогноз
Прогноз при отсутствии метастазов в регионарные лимфатические узлы оптимистичный. Пятилетняя выживаемость составляет около 80%. При наличии метастазов в регионарные лимфатические узлы более пяти лет живут около 25% больных.
При появлении первых признаков нарушения функции толстой кишки записывайтесь на приём к онкологу Юсуповской больницы, позвонив по номеру телефона контакт-центра. Выявление и лечение рака ободочной кишки на ранней стадии заболевания улучшает прогноз и способствует излечению пациента.
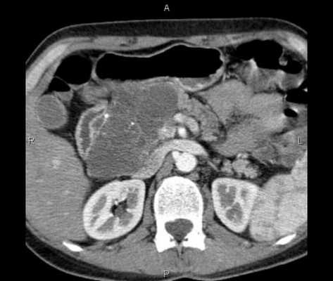
Статьи: ШВАННОМА ТОЛСТОЙ КИШКИ

Шванномы желудочно-кишечного тракта представляют собой опухоли веретенообразных клеток, которые происходят из периферических нервных оболочек шванновских клеток. За пределами центральной нервной системы шваннома — редкое образование, на которое приходится примерно 2-6% всех мезенхимальных опухолей.
Диагностика этих опухолей может быть затруднена, поскольку для дифференциальной диагностики биопсии слизистой оболочки бывает недостаточно. Основной метод постановки диагноза — иммуногистохимическое исследование.
Шванномы, как правило, — доброкачественные опухоли (с очень низким потенциалом злокачественности) и медленно растут.
Исследователями из Великобритании представлен случай 1 диагностики и лечения 75-летней пациентки, у которой шваннома обнаружена в восходящей ободочной кишке.
Пациентка находилась под наблюдением гастроэнтеролога, поскольку в ее семье был случаи рака толстой кишки, 4 года назад колоноскопия выявила у женщины полиповидные образования толстой кишки.
В ходе недавней колоноскопии обнаружено подслизистое новообразование размером около 2 см в восходящей ободочной кишке, которое посчитали липомой (рис. 1, 2). РКТ показала опухоль в восходящем отделе ободочной кишки, исходящую из ее боковой стенки, — размером 12 мм и округлой формы. При этом отмечено накопление опухолью контраста (рис. 3-5). Лимфаденопатии не зафиксировано.
На основании результатов эндоскопических и рентгенологических исследований дифференциальный диагноз включал такие заболевания, как GIST, вегетативную опухоль ЖКТ, лейомиому, лейомиосаркому, лимфому, шванному и метастатическую меланому.
Пациентке выполнена правосторонняя гемиколэктомия. По данным патоморфологического исследования и иммуногистохимии (рис. 6, 7) подтверждена шваннома.
1 Baig M.M.A.S., Patel R., Kazem M.A., Khan A. Schwannoma in the ascending colon, a rare finding on surveillance colonoscopy. J Surg Case Rep. 2019. Feb 19; 2019 (2): rjz046. DOI: 10.1093/jscr/rjz046.
Пациентам: Как проверить кишечник без колоноскопии? Альтернативы
Колоноскопия относится к инвазивным исследованиям. В процессе процедуры в толстую кишку вводится гибкий зонд с камерой и манипуляторами. Это позволяет осмотреть слизистую оболочку кишки, обнаружить полипы, другие новообразования. Это позволяет взять биопсию из подозрительных участков, выполнить удаление полипа либо локально ввести лекарственные средства. Прочитав этот текст, вы узнаете о преимуществах и недостатках альтернативных колоноскопии методах, позволяющих проверить кишечник. В том числе:
- Капсульной эндоскопии.
- Ирригоскопии.
- КТ и МРТ.
- Лабораторных анализах.
Полный текст статьи:

Капсульная эндоскопия
При использовании этой методики исследование осуществляется специальной капсулой, оснащенной камерами и другими датчиками, которую пациент должен проглотить. Она сканирует пищеварительную трубку по мере естественного продвижения и передает данные через беспроводные системы связи. Эта методика - один из вариантов обследования кишечника на заболевания без применения колоноскопии.
- Простота и безболезненность.
- Обширные данные о состоянии пищеварительного тракта.
- Высокое качество снимков и множество дополнительных данных.
Есть у капсульной эндоскопии и недостатки, главный - невозможность взять биопсию и выполнять другие манипуляции. Движением капсулы невозможно управлять, поэтому вызвавший подозрение участок рассмотреть детальнее не получится.
Ирригоскопия
Процедура состоит из введения в толстый кишечник контрастного вещества (бариевая клизма) и выполнения рентгеновских снимков в нескольких проекциях.
Это позволяет точно локализовать патологические участки кишки, обнаружить нарушения перистальтики, дивертикулез и другие заболевания. Ирригоскопия безопасна, безболезненна и не занимает много времени.
Главный недостаток ирригоскопии - невысокая информативность. Также достаточно высока вероятность получить ложные данные, когда часть кишечного содержимого принимается за опухоль либо другую патологию. В результате для уточнения диагноза все равно потребуется колоноскопия.
Магнитно-резонансная и компьютерная томография
Можно ли сделать МРТ вместо колоноскопии зависит от предполагаемого диагноза и других индивидуальных особенностей пациента. Эта процедура имеет ряд преимуществ:
- Простая и быстрая процедура.
- Нет лучевой нагрузки на организм и неприятных ощущений.
- Достаточно высокая точность.
Данный вид диагностики позволяет обнаружить патологические изменения в стенке кишки, которые имеют размер от 1 см и более. Главный недостаток метода - невозможность взять материал для биопсии и невысокая разрешающая способность. Обычно МРТ используется для уточнения данных полученных другими способами, например, для точной локализации метастазов при раковых заболеваниях.
КТ также позволяет получить достаточно детальные снимки. Чтобы повысить разрешающую способность процедуры, требуется полное опорожнение кишки и введение рентгенконтрастного вещества. Часто с этой целью используется обычный воздух.
Основной недостаток компьютерной томографии - высокая лучевая нагрузка. При неправильной подготовке пациента можно получить ложные результаты. Поэтому КТ в диагностике заболеваний толстой кишки используется относительно редко.
Анализы кала
Как сделать проверку другим способом - вопрос, актуальный для большинства людей старше 40 лет. Регулярное проведение этой эндоскопической процедуры связано с достаточно большими неудобствами для пациента, требует тщательной подготовки и соблюдения диеты. Альтернативой могут стать ДНК-анализы кала. Они направлены на выявление специфических молекул ДНК, принадлежащих клеткам опухолей.
Также кал можно проанализировать на наличие скрытой крови и сдать фекальный иммунохимический тест. Все эти лабораторные методики позволяют достаточно точно выявить раковые заболевания, даже на самых ранних стадиях развития.
Важно учитывать, что любые исследования кишечника не могут служить полной заменой колоноскопии. В большинстве случаев их используют в качестве скрининговых, то есть для обнаружения признаков патологии на ранних стадиях развития.
Вывод:
Если альтернативные методы исследования показали нарушения, для уточнения диагноза все равно потребуется колоноскопия. На данный момент это наиболее универсальная методика исследования толстой кишки. При использовании современного оборудования и выполнении всех инструкций при подготовке к обследованию - процедура пройдет с минимальным дискомфортом для пациента и позволит получить наиболее точную информацию о состоянии толстой кишки.
Что покажет КТ органов брюшной полости с контрастом
КТ брюшной полости является современным и точным рентгенологическим способом диагностики органов, расположенных в брюшной области. Во время обследования происходит томографическое, то есть, послойное сканирование исследуемой зоны. Современные мультспиральные томографы способны за один оборот сканера делать от 32 до 640 срезов
КТ брюшной полости является современным и точным рентгенологическим способом диагностики органов, расположенных в брюшной области. Во время обследования происходит томографическое, то есть, послойное сканирование исследуемой зоны. Современные мультспиральные томографы способны за один оборот сканера делать от 32 до 640 срезов, а мощный компьютер может создать трехмерные реконструкции всех анатомических структур области живота. Данные КТ снимков позволяют выявить воспалительные процессы и опухолевые изменения в костных и мягкотканных структурах.
Процедура компьютерной томографии органов брюшной полости проходит по двум базовым протоколам - нативная и контрастная. МСКТ с контрастным усилением предполагает использование контрастных препаратов на базе йода, которые улучшает тканевую контрастность на томограммах и позволяет определить новообразования на этапе развития. Кроме того, существует агиографическая форма обследования (КТ брюшной аорты и сосудов) области живота, когда врачи прицельно оценивают сосудистую систему брюшной полости.

Сведение об исследовании
- Продолжительность: 7-15 минут
- Требование к подготовке: Есть
- Назначение врача: Не требуется
- Применение контраста: По рекомендации врача
- Противопоказания и ограничения: Есть
- Рекомендуемая мощность аппарата: 12 срезов и выше
- Время выдачи результатов: 30-40 минут
- Что входит в стоимость: заключение + запись снимков
Что такое компьютерная томография брюшной полости
Компьютерная томография, в отличие от базовой УЗИ и рентгена, максимально развернуто оценивает структуру ОБП. Такая диагностическая точность достигается за счет возможности делать множественные снимки с различных ракурсов. Принцип работы компьютерного томографа основывается на способности рентгеновских лучей проходить с разной скоростью через ткани различной плотности. Во время сканирования датчик рентгеновского излучателя движется по периметру кольца Гентри вокруг тела пациента. Пучки рентгеновских лучей проходят под разными ракурсами через ткани брюшной области, их остаточная мощность фиксируется приемником на другой стороне кольца. На базе этих данных компьютер томографа строит трёхмерные реконструкции.
Данный метод визуализации не требует хирургического вмешательства и не доставляет дискомфорт пациенту. Но его нельзя считать абсолютно безопасным, поскольку мультиспиральная компьютерная томография сопряжена с лучевой нагрузкой на организм. В среднем при компьютерной томографии брюшной полости пациент получает дозу облучения в размере 5-7 мЗв. Поэтому проходить данное исследование нужно только при наличии серьезных медицинских показаний и направления от лечащего врача. Скрининговым методом диагностики патологий области брюшной полости остается безопасной и доступной ультразвуковое исследование. Если его данные носят тревожный характер, то врач назначит дообследование пациента на КТ или МРТ брюшной полости.
Что входит в КТ органов брюшной полости
КТ органов брюшной полости включает в себя сканирование:
- печени;
- желчного пузыря;
- желчных протоков;
- поджелудочной железы;
- селезенки.
Чаще всего это обследование делается как комплексная томография брюшной полости и забрюшинного пространства и дополнительно включает в себя диагностику:
- почек;
- надпочечников;
- верхней части мочеточников.
Что показывает МСКТ органов брюшной полости
КТ обследование брюшной полости и забрюшинного пространства помогает выявить ряд заболеваний:
- новообразования злокачественного и доброкачественного характера;
- врожденные аномалии;
- аденомы, фибромы и полипы;
- абсцессы и воспалительные процессы;
- лимфаденопатию;
- присутствие инородных тел;
- некроз тканей;
- гепатит острого и хронического типа;
- стенозы желчевыводящих и мочевыделительных путей;
- холанго-патологии.
Скорость проведения компьютерной томографии и выдача результатов в течение 30 минут позволяет получить информацию в экстренных ситуациях. К ним относится:
- закрытые, тупые травмы ОБП;
- аппендицит;
- защемление грыж живота.
Кроме того, данную диагностику активно используют для подготовительного этапа к операциям и для оценки процесса выздоровления в послеоперационный период.
Показания
- кровотечения в области желудочно-кишечного тракта;
- резкие боли в животе
- наличие пальпируемой опухоли;
- воспалительные процессы в области живота;
- повреждения внутренних органов при травме.
Наличие у пациента соответствующих показаний к прохождению процедуры определяет исключительно лечащий врач.
КТ брюшной полости с контрастом
КТ брюшной полости с контрастом способствует наиболее четкому отображению тканей и часто используется при онкопоиске. Контрастирование позволяет установить опухолевые очаги и степень их распространения на соседние участки. Контраст распространяется в крови и как бы “подкрашивает” ткани. Обязательного контрастного усиление потребует КТ ангиография сосудов брюшной полости. Без контрастирования сосудистая сеть на компьютерной томографии не видна.
Введение контрастного препарата происходит перед началом или в ходе процедуры, а полное вывод препарата из организма осуществляется естественным путем через мочевыделительную систему и занимает 48 часов. Продолжительность МСКТ с контрастом варьируется от 30 до 40 минут, в зависимости от способа применения контрастного вещества инъекционно уколом или болюсно, динамически.
Противопоказания
Томография брюшной полости не проводится при наличии у пациента следующих противопоказаний:
- беременность;
- детский возраст до 3 лет;
У контрастной процедуры есть дополнительные ограничения:
- аллергическая реакция на компоненты препарата;
- нарушение деятельности почек и печени;
Сложность с диагностикой могут испытывать люди, чей вес превышает 120 кг. Большинство томографов рассчитаны на грузоподъемность стола до 120 кг и объем тела до 120 см.
Подготовка
Качественная компьютерная томография брюшной полости требует подготовки желудочно-кишечного тракта пациента. Основная задача подготовительных мероприятий - снизить газообразование в кишечнике. Для этого пациента за два дня до сканирования просят перейти на диетическое питание. Из рациона следует исключить все продукты, вызывающие повышенное газообразование, например, бобровые, капуста, кисломолочные продукты, напитки первичного брожения -квас, пиво, шампанское, фрукты, за исключением цитрусовых. За сутки до обследования можно принять несколько таблеток эспумизана.
Диагностику обязательно нужно проводить натощак. Минимальный перерыв в еде должен составлять не менее 6 часов. За 30 минут до диагностики, чтобы разгладить мускулатуру кишечника, можно принять две таблетки но-шпы.
Проведение томографии
После предварительной подготовки к исследованию пациента приглашают в комнату с томографом. Затем обследуемый должен принять горизонтальное положение на выдвижной кушетке аппарата и не двигаться во время сканирования. При возникновении негативных ощущений следует сообщить о них врачу, который наблюдает за ходом диагностики из соседнего помещения.
Компьютерная томография это очень быстро форма диагностики. Продолжительность сканирования без введения контраста составляет всего 3-5 минут.
Расшифровка снимков
Результаты КТ представляют собой серию снимков, расшифровкой которых занимается врач-рентгенолог. Он проводит анализ состояния органов брюшной полости на наличие новообразований, делает сравнительный анализ и оценивает степени опухолевой инвазии. Выдача заключения происходит примерно через час лично в руки пациенту. В диагностический пакет входит письменное заключение врача рентгенолога и запись томограмм на электронном носителе. С результатами сканирования пациент должен записаться на прием к лучшему врачу. На основании история болезни и полученных данных томографии клинический специалист устанавливает диагноз и формирует список мероприятий для лечения.
КТ забрюшинного пространства (почки, надпочечники, мочевыводящие пути, лимфоузлы)
Стоимость
От чего зависит стоимость компьютерной томографии брюшной полости во многом определяется следующими факторами:
- Срезовая мощность томографа;
- Необходимость применения контраста;
- Время проведения сканирования;
- Квалификация врача рентгенолога.
На качество и цену обследование в первую очередь повлияет срезовые способности компьютерного томографа. Чем больше срезов может сделать аппарат за один оборот кольца Гентри, тем детальнее будут снимки и дороже стоимость сканирования. Ощутимо удорожает диагностику применение контрастного вещества. Стоимость КТ брюшной полости с контрастированием во многом определяется весом пациента. Чем больше масса тела человека, тем больше контрастного вещества потребуется ввести в ходе процедуры контрастирования. Сэкономить на диагностике без потери качества обследования можно, если воспользоваться услугой компьютерной томографии ночью, которую предлагают некоторые круглосуточные частные клиники. В ночное время обычно действуют хорошие скидки, и бережливый пациент может получить качественную диагностику за половину стоимости.
| Наименование услуги | Вес пациента | Минимальная цена в СПб |
|---|---|---|
| Стоимость введения контрастного вещества | от 50 до 60 кг | от 2000 руб. |
| Стоимость введения контрастного вещества | от 60 до 70 кг | от 3500 руб. |
| Стоимость введения контрастного вещества | выше от 75 кг | от 5500 руб. |
| Стоимость введения контрастного вещества болюсным динамическим способом | любой вес | от 5000 руб. |
Как сделать качественную КТ органов брюшной полости
В Санкт-Петербурге есть возможность сделать компьютерную томографию брюшной полости на спиральных компьютерных томографах со срезовой мощностью 16-340 срезов. Качественное обследование внутренних органов живот потребует применения современных аппаратов 32 среза и выше. При выборе диагностического центра следует обращать внимание не только на уровень его оборудования, но и на квалификацию персонала. Нет смысла платить за современный аппарат, если данные томографии будут некачественно расшифрованы малоопытным врачом. Поэтому при записи на КТ всегда следует уточнять, какая квалификация у диагноста, который будет вести прием. Именно его знания и опыт во многом повлияют на то, насколько точно и правильно будут интерпретированы томограмма.
Читайте также:
