КТ при срединной кисте шеи (кисте щитовидно-язычного протока)
Добавил пользователь Евгений Кузнецов Обновлено: 22.01.2026
Признаки срединной кисты шеи на снимках МРТ и КТ с контрастированием
Методы выбора
Применяют ли КТ шеи при кисте щитоязычного протока
- Округлое образование пониженной плотности, не накапливает контраст
- Слепое отверстие языка; распространяется по подъязычной кости или за ней, спереди от перстневидных и подподъязычных мышц до щитовидной железы
- Эктопическая тиреоидная ткань определяется по интенсивному усилению тканей.
Что покажут снимки МРТ шеи при срединной кисте
- Доброкачественное кистозное образование, обычно округлой формы
- Тонкая усиленная стенка
- Низкая интенсивность сигнала на Т1- взвешенном изображении, высокая - на Т2-взвешенном изображении.
Отличительные признаки
- Расположена по средней линии
- Киста мягкой консистенции, проникающая в подподъязычные мышцы
- Чем более каудально расположена киста, тем она дальше от средней линии.
Что хотел бы знать лечащий врач
Какие заболевания имеют симптомы кисты щитоязычного протока
Увеличение лимфатических узлов (воспаление, опухолевое поражение)
- Контрастное усиление в центре образования (при отсутствии некроза)
- Трудно отличить от инфицированной щитовидноязычной кисты - учитывать расположение!
Аденома перешейка или пирамидальной дачи щитовидной железы
- Обычно выглядит как солидное усиленное образование
- Гиперинтенсивнее щитовидно-язычной кисты на Т1-взвешенном изображении
Дермоид
- Например, расположенный в языке
- Может содержать волосяные фолликулы или волосы
- Высокая интенсивность сигнала на Т1-взвешенном изображении, при КТ плотность соответствует жировой ткани (содержит жировую ткань).
Абсцесс
- Воспалительная реакция окружающих тканей
- Усиление сигнала от стенки
Гематома
- Отсутствие усиления стенки
- Типичная плотность при КТ, неоднородная интенсивность сигнала при МРТ
Наружное ларингоцеле
- Обычно прослеживается связь с гортанью
- Как правило, расположено более латерально; содержит воздух или жидкость
Лечение
- Удаление или вскрытие кисты
- Риск рецидива минимален при удалении средней части подъязычной кости и свищевого хода до слепого отверстия.
Врачи каких специальностей диагностируют и лечат срединную кисту шеи
-Эндокринолог/Терапевт (осмотр щитовидной железы, направление на УЗИ)
Прогноз
- Как правило, полное выздоровление (частота рецидивов 5%)
- Вторичное инфицирование встречается редко.
Возможные осложнения и последствия

Щитовидно-язычная киста. КТ с контрастированием. Киста расположена по средней линии сразу под подъязычной костью между щитоподъязычными мышцами. Содержимое кисты имеет несколько меньшую плотность, чем мышцы, и окружено тонкой усиленной капсулой. Киста не достигает кожи и является случайной находкой.

Щитовидно-язычная киста. МРТ, Т2-взвешенное изображение: киста с четкими границами, расположенная сразу под подъязычной костью с гиперинтенсивным содержимым и гипоинтенсивной стенкой. Киста образует определяемую визуально выпуклость кожи.
Кисты средостения
Кисты средостения - многочисленная группа полостных образований медиастинального пространства врожденного и приобретенного характера. Кисты средостения могут иметь бессимптомное течение или сопровождаться признаками компрессии окружающих органов (бронхов, пищевода, предсердий, артерий), нарушая их функцию. Диагностика кист средостения подразумевает проведение полипозиционной рентгеноскопии и рентгенографии грудной клетки, пищевода, сердца; томографии; бронхоскопии, пневмомедиастинографии, медиастиноскопии, тонкоигольной аспирационной биопсии, УЗИ средостения, парастернальной медиастинотомии. Лечение кист средостения может включать их открытое или торакоскопическое удаление, трансторакальную пункцию кисты с дренированием и склерозированием и др.
МКБ-10


Общие сведения
Кисты средостения составляют от 14 до 18,5% всей медиастинальной патологии. К кистами средостения относят полостные образования различного генеза, происходящие из разнородных тканей и объединенные анатомо-топографическими особенностями расположения. Преимущественно обнаруживаются у пациентов в возрасте 20-50 лет, при этом с одинаковой частотой у женщин и мужчин.
Кроме кист, в средостении могут развиваться истинные доброкачественные и злокачественные опухоли: тимомы, тератомы, липомы, нейрогенные опухоли, лимфомы, саркомы, лимфогенные метастазы злокачественных опухолей различных органов и др. Проблема диагностики и лечения кист средостения относится к числу наиболее сложных и актуальных разделов пульмонологии и торакальной хирургии.

Анатомия средостения
Под средостением (mediastinum) понимают сложное в анатомическом отношении пространство, расположенное в грудной полости. Спереди границами средостения служат грудина, позадигрудинная фасция и реберные хрящи; сзади - предпозвоночная фасция, передняя поверхность грудного отдела позвоночника и шейки ребер; по бокам - листки медиастинальной плевры; снизу - диафрагма; сверху - условная горизонтальная плоскость, проходящая по верхнему краю рукоятки грудины. Т.о., в медиастинальном пространстве выделяют 3 отдела (переднее, среднее и заднее средостение) и 3 этажа (верхнее, среднее и нижнее средостение).
В средостении сосредоточены жизненно важные органы и анатомические образования (крупные сосуды, нервные стволы и сплетения, лимфатические протоки, бифуркация трахеи и главные бронхи, пищевод, перикард и др.). Поэтому компрессия или инвазия этих структур может сопровождаться различными по проявлениям и нередко угрожающими жизни симптомокомплексами. Кисты средостения могут выявляться в любых отделах и этажах медиастинального пространства.
Классификация кист средостения
Кисты средостения классифицируются по происхождению и локализации. Среди множества кист средостения различают истинные (врожденные, первичные), вторичные (приобретенные).
Врожденные кисты средостения развиваются из мезодермальных образований - целома или передней кишки. К ним относятся целомические, энтерогенные, бронхогенные, дермоидные кисты, кисты тимуса и др. Приобретенные кисты средостения происходят из лимфатических сосудов, различных органов средостения и пограничных областей. В число приобретенных кист средостения входят лимфатические, тимусные, паразитарные (эхинококковые), менингеальные.
Целомические кисты и дивертикулы перикарда
Являются своеобразным врожденным пороком развития и составляют 3,3-14,2% всех медиастинальных новообразований. Наиболее часто кисты перикарда (60%) развиваются в правом кардиодиафрагмальном углу, реже (30%) - в левом кардиодиафрагмальном углу и других отделах средостения (10%). Такие кисты средостения являются полыми тонкостенными образованиями, сходными по строению с тканями перикарда, имеют гладкую поверхность серо-желтого или серого цвета.
Кисты перикарда содержат прозрачную серозную или серозно-геморрагическую жидкость. Целомические кисты перикарда могут достигать диаметра от 3 до 20 и более см. Целомические кисты средостения могут быть однокамерными или многокамерными, сообщаться с полостью перикарда, быть связанными с перикардом посредством ножки или плоскостного сращения. Приобретенные кисты перикарда встречаются редко; обычно имеют воспалительное и травматическое происхождение. Также описаны паразитарные (эхинококковые) кисты перикарда.
Бронхогенные кисты средостения
Встречаются в 30-35% наблюдений. Они также являются пороками эмбрионального развития и формируются из участков дистопированного бронхиального эпителия. Макроскопически представляют тонкостенные образования, заполненные прозрачной, реже бурой жидкостью. При гистологическом исследовании в них обнаруживается хрящевая ткань, соединительнотканные и гладкомышечные волокна слизистые железы.
Полость бронхогенной кисты средостения изнутри выстлана эпителием цилиндрического или реснитчатого типа. Внутри кисты содержится прозрачная или мутноватая желатинообразная, вязкая масса, которая, при наличии связи кисты с бронхиальным деревом, может нагнаиваться. Бронхогенные кисты средостения обычно располагаются позади бифуркации трахеи и тесно соприкасаются с трахеей или главными бронхами, иногда - пищеводом. Обычно они имеют однокамерное строение и достигают размеров 7-10 см в диаметре.
Гастроэнтерогенные кисты средостения
Энтерокистомы являются эмбриональными производными из первичной кишки. С учетом микроскопического сходства их структуры с отделами ЖКТ, выделяют пищеводные, желудочные и кишечные кисты. Гастроэнтерогенные кисты средостения встречаются в 0,7-5% случаев. Они представляют собой однокамерные округлые или овоидные образования, с толстыми стенками и ножкой; локализуются преимущественно в заднем средостении. Гастроэнтерогенные кисты средостения содержат мутноватую слизевидную массу. Желудочные кисты могут продуцировать соляную кислоту, что приводит к изъязвлению стенок, кровотечению, язвам и перфорации стенок кисты средостения. В редких случаях в стенке кисты может развиваться рак.
Дермоидные кисты средостения
Кистозные тератомы содержат в своей структуре элементы эктодермы и возникают в процессе нарушения эмбриогенеза. В медицине встречаются дермоидные кисты яичников, брюшной стенки, кожи, забрюшинной клетчатки, печени, почек и др. органов и тканей. Дермоидные кисты обычно расположены в передневерхнем отделе средостения. Величина дермоидных кист средостения может достигать 15-25 см. Форма кистозных тератом обычно неправильная овальная; консистенция эластическая или мягкая. Стенки кисты могут содержать хрящевые и известковые включения. Внутри кисты заключена густая кашицеобразная жирная масса с множеством различных включений (волос, чешуек эпидермиса, кристаллов холестерина, аморфных жиров, зубов).
Кисты вилочковой железы
Могут иметь врожденное и приобретенное (воспалительное, опухолевое) происхождение. Они преимущественно выявляются у детей и людей молодого возраста.
Симптомы кист средостения
Особенности клинических проявлений кисты средостения обусловлены типом и расположением образования, его величиной и скоростью роста. В большинстве случаев симптоматика развивается на том этапе, когда увеличение кисты средостения вызывает компрессию других органов и неизбежное нарушение их функций.
Течение кист перикарда в большинстве случае бессимптомное, гладкое. Нередко они являются находкой при прохождении профилактической флюорографии. Иногда наблюдаются сердцебиение, одышка, сухой кашель, возникающие при перемене положения туловища и физической нагрузке. При осложненном течении целомических кист средостения может иметь место провыв содержимого кисты перикарда в бронх, нагноение и разрывы кисты.
Развитие бронхогенных кист средостения нередко сопровождается надсадным кашлем, одышкой, дисфагией, тупой болью в грудной клетке. При сдавлении кистой дыхательных путей развивается стридорозное дыхание. В случае прорыва бронхогенной кисты средостения в бронх может появиться кровохарканье. При одновременном прорыве кисты в плевральную полость и в бронх, развивается гидропневмоторакс и бронхоплевральный свищ.
Гастроэнтерогенные кисты средостения проявляют себя кашлем, одышкой, тахикардией, дисфагией, болью в груди. Энтерокистомы могут прорываться в трахею, бронхи, плевральную полость, средостение, вызывая развитие кровохарканья, эмпиемы плевры, частых пневмоний, лихорадки неясного генеза, бронхоэктазов, медиастинита.
Более чем в половине случаев дермоидная киста средостения сопровождается различными сердечно-сосудистыми нарушениями: приступами стенокардии, болью в области сердца, тахикардией. У 30% больных признаком дермоидной кисты средостения служит появление продуктивного кашля с выделением кашицеобразной массы, содержащей примесь волос и жира, что наблюдается при прорыве кисты в бронх. У части пациентов отмечается выпячивание грудной стенки в проекции расположения опухоли.
Симптоматика кист вилочковой железы может быть разнообразной - от бессимптомного течения до осложненного. Достигнув известных размеров, кисты могут вызывать медиастинальный «компрессионный» синдром. В некоторых случаях на первый план выходит миастенический синдром. Опасность кист вилочковой железы заключается в риске нагноения, прорыва в плевру, кровотечения.
Осложнения
Наиболее грозным осложнением кист средостения служит так называемый синдром медиастинальной компрессии, частота которого колеблется от 27 до 39%. Сюда может входить компрессия дыхательных путей, синдром верхней полой вены (СВПВ), сдавление пищевода, сердца, возвратного нерва.
При компрессии дыхательных путей развивается стридорозное дыхание, одышка, дыхательная недостаточность. Синдром ВПВ проявляется цианозом кожи лица, видимых слизистых оболочек, шеи, верхних конечностей и грудной клетки; отечностью мягких тканей этой зоны; расширением и напряжением вен шеи; повышением давления в системе ВПВ. Сдавление кистами различных структур средостения может сопровождаться дисфагией, дисфункцией надгортанника, дисфонией, компрессией и дислокацией сердца.
К прочим осложнениям кист средостения относятся их прорывы в полости плевры, бронхи и легкое, кровотечения в средостение и плевральную полость (гемоторакс). Осложненное течение кист средостения несет в себе потенциальную угрозу жизни пациента.
Диагностика
Методы выявления кист средостения включают рентгенологическую, ультразвуковую, томографическую, эндоскопическую, морфологическую диагностику.
- Рентгенологические исследования. Полипозиционная рентгеноскопия и рентгенография грудной клетки, рентгенография пищевода и сердца, пневмомедиастинография позволяют определить локализацию, форму и размеры кисты, ее связь с соседними органами, изменение положения при дыхательных движениях.
- Томографическая диагностика. Для более детальной оценки структуры, толщины стенок кисты, характера содержимого и взаимоотношения с соседними анатомическими образованиями, производится КТ и МРТ средостения.
- Эхография. При медиастинальных новообразованиях в диагностической практике широко используется УЗИ средостения. В диагностике кист перикарда существенно помогает ЭхоКГ, позволяющая дифференцировать кисту средостения от кист легкого, дермоидных кист средостения, аневризмы аорты.
- Бронхологическое обследование. При кистах средостения, демонстрирующих интимную связь с трахеей или бронхами, прибегают к выполнению бронхоскопии и бронхографии.

Если названные методы диагностики не позволяют определиться с нозологией образования, целесообразен переход к инвазивным диагностическим исследованиям:
- Биопсия. Проведение аспирационной тонкоигольной биопсии кисты средостения позволяет осуществить цитологическое исследование полученного пунктата и верифицировать морфологию образования в 80-90% случаев. Тонкоигольная биопсия может выполняться чрескожным, чрестрахеальным, чрезбронхиальным, чреспищеводным доступом.
- Диагностические операции. С целью визуализации и открытой эксцизионной биопсии опухоли средостения может быть предпринята медиастиноскопия, диагностическая торакоскопия, парастернальная медиастинотомия.
Лечение кист средостения
Лечебная тактика в отношении кист средостения сводится к их хирургическому удалению в возможно ранние сроки. Такой подход является профилактикой развития компрессионного синдрома, разрыва и малигнизации кист средостения.
- Открытое удаление кисты средостения может проводиться путем продольной стернотомии (при расположении кисты в переднем средостении), с помощью переднебоковой торакотомии на стороне поражения (при боковом расположении образования), боковой торакотомии (при локализации опухоли в среднем средостении), заднебоковой торакотомии (при расположении кисты в заднем средостении). Открытые операции обеспечивают возможность наибольшей свободы действий и полноценной интраоперационной ревизии раны. При развитии осложнений может потребоваться проведение медиастинотомии.
- Торакоскопическое удаление кист средостения также широко и успешно применяется не только для диагностики, но и для удаления медиастинальных образований. В некоторых случаях используется миниторакотомия с видеоподдержкой.
- Пункционная аспирация. У соматически отягощенных пациентов с низкими функциональными резервами методом выбора служит трансторакальная пункция с дренированием и склерозированием кисты средостения. В качестве склерозантов обычно используется раствор спирта с йодом, глюкозы.
1. Опухоли и кисты средостения (включая патологию вилочковой железы)/ Овнатанян К.Т. Кравец В.М. - 1971.
2. Новообразования средостения: принципы дифференциальной диагностики и хирургического лечения: Автореферат диссертации/ Пищак В.Г. - 2008.
3. Клинические рекомендации по диагностике и лечению больных опухолями средостения и вилочковой желез/ Борисова Т.Н., Бредер В.В., Горбунова В.А., Иванов С.М., Лактионов К.К., Михина З.П., Реутова Е.В., Полоцкий Б.Е., Тюляндин С.А. - 2014.
Киста шеи
Киста шеи - это полое патологическое образование, которое располагается в области шеи и содержит жидкость или кашицеобразную массу. Относится к числу врожденных патологий, может быть боковой или срединной. Боковые кисты выявляются сразу после рождения, срединные могут обнаруживаться по мере роста ребенка или становиться случайной находкой в ходе каких-либо медицинских исследований. Возможные осложнения - нагноение, образование свища и злокачественное перерождение. В большинстве случаев кисты шеи подлежат хирургическому удалению. Пункции кисты неэффективны, поскольку в последующем в ее полости снова скапливается содержимое. Консервативного лечения не существует.


Киста шеи - полое опухолевидное образование, располагающееся по передней или боковой поверхности шеи. Формируется при нарушениях на ранних стадиях эмбрионального развития. В некоторых случаях сочетается с врожденным свищом шеи. Иногда свищ образуется уже в детском или даже взрослом возрасте в результате нагноения кисты. Возможно перерождение кисты шеи в злокачественную опухоль. Лечение только хирургическое.
Боковые кисты шеи обычно выявляются при рождении ребенка, срединные обнаруживаются в возрасте 4-7 или 10-14 лет, иногда протекают бессимптомно. У одного из 9-10 больных боковая киста наблюдается в сочетании с врожденным свищом шеи. Примерно в 50% случаев кисты нагнаиваются, а свищ формируется в результате опорожнения гнойника через кожу.

Причины
Боковая киста шеи представляет собой полость между жаберными бороздами, которые в норме должны исчезать по мере развития плода. Она формируется при аномалии развития жаберных щелей на четвертой-шестой неделях беременности. Срединная киста образуется при перемещении зачатка щитовидной железы из места ее формирования на переднюю поверхность шеи по щитовидно-язычному протоку. Это происходит на шестой-седьмой неделях беременности.
Врожденный свищ не является самостоятельной патологией и всегда сочетается с боковой или срединной кистой шеи. Выделяют два вида свищей: полные (с двумя выходными отверстиями: на коже и слизистой полости рта) и неполные (с одним отверстием, которое может располагаться как на коже, так и на слизистой).
Виды кисты шеи
Боковые кисты шеи
Боковые кисты шеи встречаются чаще срединных (примерно в 60% случаев). Они располагаются на передне-боковой поверхности шеи, в ее верхней или средней трети, кпереди от кивательной мышцы и локализуются прямо на сосудисто-нервном пучке, рядом с внутренней яремной веной. Бывают как многокамерными, так и однокамерными. Боковые кисты шеи большого размера могут сдавливать сосуды, нервы и расположенные рядом органы.
Симптомы
При отсутствии нагноения или сдавления сосудисто-нервного пучка жалоб нет. В ходе осмотра выявляется округлое или овальное опухолевидное образование, особенно заметное при повороте головы пациента в противоположную сторону. Пальпация безболезненна. Киста имеет эластическую консистенцию, подвижна, не спаяна с кожей, кожные покровы над ней не изменены. Как правило, определяется флюктуация, свидетельствующая о наличии жидкости в полости кисты. При пункции в полости образования обнаруживается мутная жидкость грязновато-белого цвета.
Осложнения
При нагноении киста шеи увеличивается в размере, становится болезненной. Кожа над ней краснеет, выявляется локальный отек. В последующем формируется свищ. При вскрытии на кожу устье свища располагается в области переднего края кивательной мышцы. При вскрытии на слизистую полости рта устье находится в области верхнего полюса небной миндалины. Отверстие может быть как точечным, так и широким. Кожа вокруг устья нередко покрывается корками. Наблюдается мацерация кожных покровов и гиперпигментация.
Диагностика
Диагноз боковой кисты шеи выставляется на основании анамнеза и клинической картины заболевания. Для подтверждения диагноза выполняют пункцию с последующим цитологическим исследованием полученной жидкости. Могут использоваться такие дополнительные методы исследования, как УЗИ, зондирование и фистулография с рентгенконтрастным веществом.
При неинфицированной кисте шеи проводится дифференциальная диагностика с лимфогранулематозом и внеорганными опухолями шеи (липома, невринома и т. д.). Нагноившуюся кисту дифференцируют от аденофлегмоны и лимфаденита.
Срединные кисты шеи
Срединные кисты в травматологии составляют около 40% от всех кист шеи и располагаются на передней поверхности шеи, по средней линии. При осмотре выявляется плотное, безболезненное, четко отграниченное образование эластической консистенции диаметром до 2 см , не спаянное с кожей. Киста незначительно подвижна, спаяна с телом подъязычной кости, смещается при глотании. В ряде случаев опухолевидное образование располагается в корне языка. При этом язык приподнимается, возможны нарушения речи и глотания.
Срединные кисты нагнаиваются чаще боковых - примерно в 60% случаев. При инфицировании образование увеличивается в размере, становится болезненным. Окружающие ткани отекают, кожа краснеет. При вскрытии гнойника образуется свищ с устьем, расположенным на передней поверхности шеи, между щитовидным хрящом и подъязычной костью. Если свищ открывается в ротовую полость, его устье располагается на передней поверхности языка, на границе между его корнем и телом.
Диагноз срединной кисты выставляется на основании анамнеза и клинических данных. В качестве методов инструментальной диагностики используется УЗИ и пункция кисты с последующим цитологическим исследованием. При пункции получают тягучую мутную жидкость желтоватого цвета, содержащую лимфоидные элементы и клетки многослойного плоского эпителия. Для исследования свищевых ходов применяется фистулография и зондирование.
Срединную кисту шеи дифференцируют от струмы языка, дермоидной кисты, лимфаденита, специфических воспалительных процессов и аденомы аномально расположенной щитовидной железы.

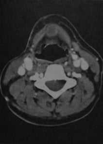
КТ шеи. Слева от средней линии в сонном пространстве кистозное образование (кистозно измененный лимфоузел).
Лечение кисты шеи
Лечение кист шеи только оперативное. Объем операции определяется состоянием больного, наличием и видом осложнений. У пожилых больных с тяжелыми сопутствующими заболеваниями выполняется аспирация содержимого кисты с последующим промыванием ее полости антисептическими препаратами. В остальных случаях этот метод не используется из-за недостаточной эффективности и высокого риска развития рецидивов.
- Неосложненные кисты. Хирургическое удаление кисты шеи показано при всех боковых кистах, срединных кистах любого размера в детском возрасте и срединных кистах диаметром более 1 см у взрослых. Для предупреждения рецидивов кисту иссекают вместе с капсулой. При хирургических вмешательствах по поводу срединной кисты также удаляют часть подъязычной кости, через которую проходит тяж от опухолевидного образования. При операциях по поводу боковой кисты возможны затруднения из-за расположенных рядом сосудов и нервов. В зависимости от размеров кисту корня языка могут удалять как через разрез на коже, так и через рот.
- Нагноившиеся кисты. При нагноении кисты ее полное удаление не показано. Выполняется вскрытие и дренирование. Показанием к экстренной операции является наличие острого воспалительного процесса, особенно - при закрытии свища и формировании абсцесса. В последующем проводятся регулярные перевязки с промыванием полости кисты антисептическими препаратами, назначается противовоспалительная терапия. Иногда полость кисты рубцуется. Если этого не происходит, ее удаление производят не раньше, чем через 2-3 месяца после ликвидации воспаления.
- Кисты со свищами. Срединные и боковые свищи шеи необходимо иссекать и удалять. Эта задача может быть сопряжена с рядом трудностей из-за тонкой стенки и извилистых ходов свища. Поэтому перед операцией в свищевой ход вводят зонд или окрашивающий препарат (бриллиантовый зеленый, метиленовый синий). В ходе операции удаляют все свищевые ходы, в том числе - тонкие и малозаметные, иначе возможен рецидив. Особой сложностью отличается операция по иссечению бокового свища шеи, поскольку в этом случае свищевой ход проходит между внутренней и наружной сонными артериями.
2. Клинико-морфологическая характеристика срединных, боковых кист и свищей шеи: автореферат диссертации/ Иванова С.В. - 2005
3. Источники развития, клинико-морфологическая характеристика и принципы лечения срединных кист шеи/ Ткаченко П.И., Белоконь С.А., Старченко И.И., Гуржий Е.В.// Журнал Гродненского государственного медицинского университета - 2014 - №2
Узлы и кисты щитовидной железы
Узлы щитовидной железы - очаговые образования щитовидной железы любых размеров, имеющие капсулу, определяемые пальпаторно или с помощью визуализирующих исследований. Кисты щитовидной железы - узловые образования щитовидной железы с полостью, заполненной жидким содержимым. Узлы и кисты щитовидной железы длительно могут протекать без каких либо симптомов, затем возникают различные дискомфортные явления в горле и узел становиться заметным при взгляде на шею. Гормональноактивные узлы щитовидной железы влекут за собой развитие гипертиреоза. Диагностический алгоритм при подозрении на узел или кисту включает УЗИ щитовидной железы, пункционную биопсию образования и гормональные исследования.

10% населения в мире имеют различные очаговые образования щитовидной железы. В щитовидной железе могут развиваться различные по морфологическим формам узловые образования, при этом большая часть из них носит доброкачественный характер (узловой коллоидный зоб, аденома щитовидной железы, киста щитовидной железы). Узлы являются самой распространенной патологией щитовидной железы, в 4-8 раз чаще встречающейся у женщин. Кисты составляют от 3 до 5% всех образований щитовидной железы.
Узлы и кисты щитовидной железы долгое время могут носить бессимптомный характер, при увеличении в размерах вызывают «синдром сдавления» расположенных рядом структур шеи: нарушения в работе щитовидной железы, удушье, осиплость голоса, нарушение акта глотания, першение в горле, болезненные ощущения. Наиболее опасные осложнения кист - воспаление и нагноение, узлов - злокачественное перерождение.
Частота и количество образующихся в щитовидной железе узлов увеличивается с возрастом. Причинами образования узлов в щитовидной железе служат:
- наследственная предрасположенность к их развитию
- йодный дефицит в пище и воде
- токсическое воздействие на железу лаков и красок, растворителей, бензина, фенолов, свинца
- радиационное излучение и лучевая терапия.
Патанатомия
Макроскопически щитовидная железа состоит из псевдодолек, образованных фолликулами (везикулами, ацинусами) и окруженных капиллярной сетью. Внутри фолликулы выстланы тиреоидными клетками и заполнены белковым веществом - коллоидом, содержащим протогормоны щитовидной железы. Нарушение оттока содержимого фолликула ведет к накоплению излишней жидкости и увеличению его размеров, т. е. формированию кисты щитовидной железы.
Кисты щитовидной железы могут образовываться в результате микрокровоизлияний, дистрофии или гиперплазии фолликулов железы. Обычно кисты щитовидной железы не влияют на ее функцию; нарушение функции происходит при развитии кисты на фоне других заболеваний щитовидной железы. Течение кисты в основном доброкачественное, крайне редко встречается злокачественная киста щитовидной железы, обычно достигающая больших размеров. Клинически кисты щитовидной железы ведут себя различно: иногда наблюдаются годами без отрицательной динамики, иногда быстро увеличиваются в размерах или спонтанно исчезают.
Классификация
Узлы в щитовидной железе могут быть единичными (солитарными) и множественными; автономными токсическими (т. е избыточно продуцирующими гормоны) или спокойными, нетоксическими. Встречаются как доброкачественные, так и злокачественные узлы щитовидной железы. Процессы развития узлов щитовидной железы отличаются последовательной стадийностью, определяемой по степени их эхогенности при ультразвуковом исследовании:
- изоэхогенный однородный узел. Плотность внутреннего содержимого узла соответствует окружающим тканям щитовидной железы. На стадии инэхогенности отмечается усиление кровообращения и расширение сети сосудов, окружающих узел.
- изоэхогенный неоднородный узел:
- с незначительными изменениями ткани
- с выраженными изменениями ткани
- с гипоэхогенными включениями (участками кистозной дегенерации)
Изоэхогенные неоднородные узлы формируются по мере истощения и гибели тиреоидных клеток и фолликулов.
- гипо- или анэхогенный узел. Характеризуется полным разрушением ткани узла, заполнением полости жидкостью и разрушенными клетками, что приводит к формированию кисты щитовидной железы.
- стадия рассасывания содержимого кисты щитовидной железы;
- стадия рубцевания кисты щитовидной железы.
Процесс стадийного преобразования узлов щитовидной железы длителен; его скорость зависит от размеров узла, работы иммунной системы, состояния компенсаторных и приспособительных механизмов щитовидной и железы и организма в целом. Для ускорения процессов рубцевания кисты щитовидной железы иногда прибегают к ее склеротизации.
Симптомы узлов щитовидной железы
Узлы и кисты щитовидной железы долгое время развиваются бессимптомно, не вызывая никаких субъективных ощущений у пациентов. Они обычно безболезненны и невелики, не вызывают давления или дискомфорта в области шеи. Небольшие узлы и кисты щитовидной железы часто выявляются в ходе планового осмотра или обследования по поводу других заболеваний. Пальпаторно они определяются как гладкие, плотноэластические узловые образования, легко прощупывающиеся под кожей. По сравнению с узлами остальная ткань щитовидной железы имеет обычную консистенцию.
Поводом для самостоятельного обращения пациента к эндокринологу обычно служит момент, когда узел становится заметным на глаз и деформирует шею. К этому времени размеры узла или кисты щитовидной железы уже превышают 3 см в диаметре и не могут лечиться консервативно. По мере увеличения размеров узлового образования и сдавливания анатомически близких структур шеи появляются характерные жалобы: чувство «комка» и першение в горле, расстройство функций глотания и дыхания, осиплость или потеря голоса, боли в шее. Кисты щитовидной железы больших размеров могут сдавливать кровеносные сосуды. При злокачественных узловых образованиях увеличиваются шейные лимфатические узлы.
Автономные токсические узлы в результате своей гиперактивности приводят к развитию гипертиреоза и его симптомов: тахикардии, ощущений сердцебиения, приливов жара в теле, возбуждения, эмоциональной лабильности, экзофтальма. Одиночный (солитарный) узел, расположенный среди нормальной тиреоидной ткани, наиболее подозрителен в отношении злокачественной опухоли, чем один из множественных узлов, чаще служащих проявлением диффузного узлового зоба. Злокачественные узлы отличаются быстрым ростом, имеют твердую консистенцию, часто сопровождаются увеличением шейных лимфоузлов. Однако на ранних стадиях распознать доброкачественность узла по внешним признакам очень сложно.
Кисты щитовидной железы могут подвергаться воспалению и нагноению. При этом появляется резкая боль в области шеи, высокая температура, симптомы интоксикации, увеличение и воспаление регионарных лимфоузлов. Узлы и кисты щитовидной железы больших размеров могут оказывать давление на близлежащие органы и сосуды шеи. Узловые образования щитовидной железы могут перерождаться в злокачественные опухоли.
При пальпаторном определении узлового образования щитовидной железы в дальнейшем проводится его дифференциальная диагностика. План обследования включает:
- Сонографию. При проведении УЗИ щитовидной железы подтверждается наличие образования, определяются его размеры и структура (зоб, аденома, киста щитовидной железы и т. д.).
- Исследование тиреоидной панели. С целью оценки нарушения функций щитовидной железы проводят определение уровня тиреоидных гормонов (ТТГ, Т4, Т3).
- Лучевую диагностику. Из рентгенологических методик при узлах и кистах щитовидной железы применяются пневмография щитовидной железы (для уточнения прорастания окружающих тканей), ангиография (для выявления нарушений сосудистой сети), рентгеноскопия пищевода с барием и рентгенография трахеи (для определения прорастания или сдавления опухолью). При значительных размерах узлов и кист щитовидной железы или при их злокачественном характере проводится компьютерная томография.
- Пункционную биопсию. Для определения цитоморфологической структуры узла (доброкачественный или злокачественный) выполняется тонкоигольная пункционная биопсия. Во время исследования клеточный состав из узла забирают с помощью иглы и шприца и отправляют на цито-гистологическое исследование. С помощью пункционного метода можно также получить содержимое кисты щитовидной железы. Обычно содержимое кисты (при доброкачественном или злокачественном течении) геморрагическое, красновато-коричневого цвета и содержит старую кровь и разрушенные клеточные элементы щитовидной железы. Врожденные кисты щитовидной железы содержат прозрачную слегка желтоватую жидкость. При возникновении абсцесса щитовидной железы при пункции получают гной.
- Радионуклидную диагностику. При сцинтиграфии - сканировании щитовидной железы с помощью радиоактивных изотопов йода I-123, I-131 или технеция Тс-99 определяют характер узла, его гормональную активность, состояние окружающей тиреоидной ткани. По способности накопления радиоактивного йода образованием и окружающими тканями узлы делятся на:
- «теплые» - узлы, поглощающие такое же количество радиойода, как и внеузловая ткань железы (функционирующие узлы);
- «горячие» - узлы, накапливающие большее количество радиойода, чем неизмененная окружающая ткань щитовидной железы (автономно функционирующие узлы);
- «холодные» - узлы, не накапливающие радиоактивный йод; диагностическое вещество распределяется в неизмененной ткани щитовидной железы. К «холодным» узлам относятся рак щитовидной железы, однако, лишь 10% «холодных» узлов являются злокачественными.
При симптомах сдавления структур шеи проводят ларингоскопию (для осмотра голосовых связок и гортани) и бронхоскопию (для осмотр трахеи).
Лечение кист и узлов щитовидной железы
Консервативная терапия
Небольшие по размерам узлы и кисты щитовидной железы, не сопровождающиеся нарушением самочувствия пациента, лечатся консервативно, с использованием тех же фармсредств, что применяются для лечения диффузного нетоксического зоба: препаратов тиреоидных гормонов и йода. Процесс лечения препаратами тиреоидных гормонов контролируется исследованием уровня ТТГ (каждые 3-4 недели) и ультразвуковым исследованием щитовидной железы (1 раз в 3 месяца).
Лечение йодсодержащими препаратами осуществляют под контролем УЗИ и наличия в крови антител к ткани щитовидной железы (через 1 мес. после начала терапии). Исследование антител необходимо для исключения аутоиммунного тиреоидита, иногда развивающегося в виде узла и обостряющегося на фоне лечения препаратами йода. При определении в крови высокого титра антител препараты йода отменяют.
При наличии в кисте щитовидной железы признаков воспалительного процесса проводят определения возбудителя и его чувствительности к антибиотикам и подключают противовоспалительное лечение антибактериальными препаратами.
Малоинвазивные методы
Узлы и кисты щитовидной железы диаметром менее 1 см подлежат динамическому наблюдению и пунктируются в случае увеличения их размеров. Лечение кист щитовидной железы начинают с их пункционного опорожнения. Около половины кист щитовидной железы после опорожнения спадаются и перестают накапливать содержимое. Доброкачественные кисты щитовидной железы без признаков воспаления в случае рецидива можно пунктировать повторно. Иногда в полость кисты после ее опорожнения вводят склерозанты (в частности, этиловый спирт) для лучшего слипания стенок. Если киста щитовидной железы быстро накапливает содержимое, за неделю достигая исходных размеров, ее лучше удалить оперативно.
Хирургическое лечение
Показаниями к оперативному удалению доброкачественной кисты щитовидной железы служат ее большие размеры, сдавление органов шеи, быстрые рецидивы накопления жидкости после пункционного опорожнения. Чаще при наличии кисты щитовидной железы выполняется гемиструмэктомия (гемитиреоидэктомия) - удаление доли щитовидной железы. Функция щитовидной железы после такой операции обычно не нарушается. При наличии доброкачественных узлов в обеих долях щитовидной железы прибегают к двусторонней субтотальной струмэктомии - резекции большей части щитовидной железы.
Абсолютным показанием к оперативному удалению узлового образования служит его малигнизация. Во время операции проводится срочное патогистологическое определение злокачественности узла и его формы. При подтверждении наличия злокачественного образования в щитовидной железе иногда прибегают к ее полному удалению (тотальной струмэктомии) вместе с окружающей жировой тканью и лимфоузлами.
После тотальной струмэктомии развивается тяжелая гипофункция щитовидной железы, что диктует необходимость назначения пациенту в послеоперационном периоде приема тиреоидных гормонов. Поскольку удаление щитовидной железы проводится вместе с паращитовидными железами, то назначаются и препараты кальция. Частым осложнением после операций на щитовидной железе является нарушение функций голосовых связок.
Прогноз и профилактика
Прогноз при узловых образованиях щитовидной железы определяется их гистологической формой. При доброкачественной структуре узлов и кист щитовидной железы вероятно полное излечение. Кисты щитовидной железы могут рецидивировать снова. Опухоли щитовидной железы умеренной злокачественности при отсутствии метастатических отсевов излечиваются у 70-80% пациентов. Наихудший прогноз при злокачественных новообразованиях, прорастающих соседние органы и дающих отдаленные метастазы.
Предупреждение образования узлов и кист щитовидной железы подразумевает ежедневное потребление йода в границах возрастной физиологической нормы, достаточного количества витаминов, недопущение инсоляции, облучения, проведения физиопроцедур на область шеи. После излечения кисты щитовидной железы необходимо проведение контрольных УЗИ 1 раз в год. Пациенты с мелкими узлами и кистами щитовидной железы должны состоять на учете и динамическом наблюдении у эндокринолога.
Срединная киста шеи у взрослых и детей
Центр челюстно-лицевой хирургии и имплантологии специализируется в проведении лечения доброкачественных образований и располагает современным стационаром, где проводятся операции по их удалению.

Что представляет собой срединная киста шеи
Срединная киста шеи у взрослых и детей является доброкачественным новобразованием. В общих чертах, она располагается на передней поверхности шеи и представляет собой округлое образование, которое заметно смещается при глотании. Растет киста медленно, имеет гладкую упругую поверхность, а её лечение требует хирургического вмешательства.
Киста относится к числу врожденных патологий, возникающих в результате нарушения нормального эмбрионального развития плода. Её возникновение объясняется генетическими, наследственными причинами. Предпосылкой к росту срединной кисты шеи может стать интенсивный рост, частые инфекционные и воспалительные заболевания. Спровоцировать её рост могут изменения гормонального фона. Например, в подростковом или климактерическом периоде киста шеи может начать расти и стать заметной.
Прежде всего, стоит отметить, что около 40% кист в области шеи приходится на долю срединных. Её полости формируются на стадии эмбрионального развития, но не всегда сразу же обнаруживаются после рождения младенца; зачастую киста обнаруживается случайно в возрасте от 4 до 14 лет, а в зрелом возрасте может проявиться в периоды гормональной перестройки организма. После постановки диагноза рекомендуется сразу же провести операцию, поскольку вылечить подобные заболевания консервативными методами не представляется возможным. Операция по удалению кисты шеи достаточно сложная, поскольку рядом расположены крупные кровеносные сосуды и нервные окончания. Помимо этого, её проведение может быть осложнено уже сформированным свищом — направление этого протока тоже закладывается на эмбриональном уровне. Врожденный свищ не является самостоятельной патологией и всегда сочетается с кистами.
Срединная киста образуется в результате перемещения зачатка щитовидной железы по протоку с места её образования на переднюю часть шеи. Происходит это на 6-7 неделях беременности. Теоретически эту патологию можно выявить при УЗИ осмотре уже на втором месяце беременности. На практике же киста может весьма неожиданно обнаружиться ближе к 14-15 годам.
Несмотря на то, что срединная киста шеи безболезненна и невелика по размерам, она представляет собой не только эстетический дефект. Если не заняться её лечением своевременно, то может развиться инфекция и начаться воспалительный процесс, в ходе которого возникает отек, покраснение, болезненность при глотании. Самые неприятные и опасные последствия кисты — нагноение и возникновение незаживающих свищей. Если воспаление произошло, то лечение будет более длительным, поэтому при обнаружении подобных образований на шее лучше сразу принимать необходимые меры. У ребенка со срединной опухолью может развиться нарушение речи, если она расположена близко к корню языка.
Кисты шеи представляют собой безболезненное, плотное, не спаянное с кожей образования, имеющие четкие границы, расположенные по средней линии на передней поверхности шеи. Они имеют свойства смещаться во время глотания, спаяны с подъязычной костью и немного подвижны. В редких случаях кисты могут располагаться в языковом корне, что приводит к тому, что язык всегда немного приподнят, часто развиваются нарушения глотания и речи.
Срединные образования нагнаиваются чаще боковых — примерно в 60% случаев. При инфицировании киста увеличивается в размере, становится болезненной. Окружающие ткани отекают, кожа краснеет. При вскрытии гнойника образуется свищ с устьем, расположенным между щитовидным хрящом и подъязычной костью. Если свищ открывается в ротовую полость, его устье располагается на передней поверхности языка, на границе между его корнем и телом.
Диагноз выставляется на основании анамнеза и клинических данных. В качестве методов инструментальной диагностики кисты используется УЗИ и пункция с последующим цитологическим исследованием. При пункции получают тягучую мутную жидкость желтоватого цвета, содержащую лимфоидные элементы и клетки многослойного плоского эпителия. Для исследования свищевых ходов применяется фистулография и зондирование.
Ход операции
В большинстве случаев кисты шеи подлежат хирургическому удалению. Операции показаны при образованиях любого размера у детей и диаметром более одного сантиметра у взрослых. Для предупреждения рецидивов кисту иссекают вместе с капсулой. Вмешательство выполняется под внутривенным наркозом. Хирург делает разрез над областью опухоли, выделяет и удаляет ее вместе с оболочками. При хирургических вмешательствах по поводу срединных образований необходимо также удалить часть подъязычной кости, через которую проходит тяж от опухолевидного образования. При операциях по поводу боковых кист возможны затруднения расположенных рядом сосудов и нервов.
В зависимости от размеров кисту корня языка могут удалять как через разрез на коже, так и через рот. При нагноении её полное удаление не показано. Как правило, в таких случаях, выполняется вскрытие и дренирование кисты. Показанием к экстренной операции является наличие острого воспалительного процесса, особенно — при закрытии свища и формировании абсцесса. В дальнейшем проводятся регулярные перевязки с промыванием полости кисты антисептическими препаратами, назначается противовоспалительная терапия. В некоторых случаях полость рубцуется. Если этого не происходит, ее удаление производят не раньше, чем через 2-3 месяца после ликвидации воспаления.
Свищи также необходимо иссекать и удалять. Эта задача может быть сопряжена с рядом трудностей тонкой стенки и извилистых ходов свища. Поэтому перед операцией в свищевой ход вводят зонд или окрашивающий препарат. В ходе операции необходимо удалить все свищевые ходы, в том числе — тонкие и малозаметные, иначе возможен рецидив. Особой сложностью отличается операция по иссечению бокового свища, поскольку в этом случае свищевой ход проходит между внутренней и наружной сонными артериями.
Удаление кисты в Центре и имплантологии
Операция над срединной кистой проходит под общим наркозом в условиях собственного стационара Центра. Лечению кисты шеи предшествует обязательное УЗИ или МРТ исследование, а также тщательный осмотр хирурга. Операция по удалению подобных образований является достаточно сложной и требует большого мастерства. Опытные хирурги Центра и имплантологии обладают большой практикой и готовы провести операцию на кисте любой степени сложности. Образования без осложнений удаляют за одно посещение. Если срединная киста воспалилась, то лечение заключается в том, что сначала ее очищают, а затем, когда процесс нагноения остановлен, удаляют отдельной операцией. После вмешательства проводится обязательное гистологическое исследование, чтобы определить, есть ли в удаленных кистах злокачественные изменения.
Пациент, как правило, пребывает в стационаре после удаления кисты не более суток. Процесс восстановления достаточно быстрый и безболезненный. На следующий день после операции удаляется дренаж (если не было воспалительного процесса), и пациент может быть отпущен домой. В течение месяца необходимо ограничить физические нагрузки, походы в баню, сауну и прием горячей ванны. Кроме того, после операции по удалению кисты пациентам назначается антибактериальная и противовоспалительная терапия, возможно появление синяков на коже, болезненность при глотании и поворотах головы, которые проходят через несколько дней. Благодаря минимальной травматизации тканей при удалении кист, использованию современной техники и наложению внутренних косметических швов пациенты в минимальные сроки возвращаются к привычному образу жизни.
В Центре хирургии и имплантологии сети «Юнидент» в Бобровом переулке в Москве вы сможете решить любые проблемы, связанные с доброкачественными образованиями в области шеи. Подобные услуги предлагают многие клиники Москвы, однако только мы гарантируем исключительную безопасность проведения операций, комфорт в процессе лечения и реабилитации, соблюдение пожеланий пациента. К вашим услугам высококвалифицированные врачи, современное оборудование, проверенные методики и новейшие разработки в области пластической медицины.
Читайте также:
