КТ при терминальной кости
Добавил пользователь Евгений Кузнецов Обновлено: 09.01.2026
Компьютерная томография - это один из лучших и информативных методов диагностики органов и костных структур. Однако за счет того, что изображение получается при прохождении рентгеновских лучей через тело человека, она не может считаться абсолютно безопасной, так как пациент получает дозу облучения. В среднем она составляет от 3-15 мЗв в зависимости от зоны сканирования. В связи с этим КТ следует проводить по назначению
Компьютерная томография - это один из лучших и информативных методов диагностики органов и костных структур. Однако за счет того, что изображение получается при прохождении рентгеновских лучей через тело человека, она не может считаться абсолютно безопасной, так как пациент получает дозу облучения. В среднем она составляет от 3-15 мЗв в зависимости от зоны сканирования. В связи с этим КТ следует проводить по назначению врача, когда есть четкие медицинские показания. В качестве скринингового метода сканирования лучше всего использовать безопасное УЗИ или МРТ.
Абсолютные противопоказания к КТ
Из-за лучевой нагрузки КТ имеет ряд противопоказаний. Абсолютное противопоказание к компьютерной томографии - это беременность на любых сроках вынашивания, так как рентгеновские лучи оказывают негативное воздействие на плод. Радиоактивное облучение может стать причиной необратимых мутаций, выкидыша или замершей беременности. В связи с этим КТ беременным женщинам проводят только в экстренных случаях, когда речь идет о спасении жизни матери. Если все же есть необходимость в исследовании, то томографию женщине в положении стараются провести с применением программ низкодозной спиральной компьютерной томографии. Также необходимо как можно лучше укрыть живот свинцовым одеялом, который отражает рентгеновские лучи и тем самым снижает негативное влияние Rg лучей на плод. К сожалению, эти меры предосторожности все же не могут исключить вероятность развитии аномалии у плода. Самое опасное для плода, это применение компьютерной томографии на ранних сроках беременности, так как облучение может привести к замиранию беременности.
Не рекомендуется проводить компьютерную томографию детям до 5 лет. Влияние рентгеновских лучей негативно сказывается на формировании центральной нервной системы малыша и повышает риски возникновения ранней онкологии, поэтому это исследование проводят только по назначению врача, когда польза от обследования превышает риски для здоровья ребенка. Детям специалисты стараются по возможности заменить компьютерную томографию более безопасными исследованиями такими как МРТ или УЗИ.
Опасно для здоровья превышение лучевой нагрузки (до 25 мЗв в год), поэтому если нужно провести несколько обследований сразу, то важно следить, чтобы суммарная доза облучения не превышала 15-20 мЗв. Кроме того, во избежания накопительного эффекта желательно делать перерыв в полгода между исследованиями КТ.
Относительные противопоказания к КТ
Вес и габариты пациента могут стать относительным противопоказанием к компьютерной томографии. Дело в том, что большинство КТ аппаратов имеют технические ограничения:
- максимальная грузоподъемность томографического стола - 140-150 кг;
- максимальный диаметр апертуры - 60-70 см.
Поэтому полным пациентам с большим весом не всегда легко найти КТ центр, где их смогут принять и провести качественное обследование. Если вес пациента превышает 150 кг, в качестве альтернативы ему могут предложить сделать четырех-стороннюю рентгенографию или УЗИ на экспертном аппарате.
Противопоказания к КТ с контрастом
Контрастирование добавляет дополнительные ограничения к списку противопоказаний к проведению КТ:
- аллергия на йод;
- тяжелая форма почечной недостаточности;
- диабет;
- заболевания щитовидной железы;
- астма;
- миелома.
КТ с контрастированием стараются не проводить, если у пациента ранее наблюдалась аллергическая реакция на йод. Она проявляется в виде покраснения в зоне ввода препарата, тошноты, рвоты. Часто в группе риска на возможную аллергию на йод входят пациенты с аллергией на морепродукты, поскольку именно высокое содержание йода в этих продуктах является причиной не толерантности организма. Чтобы избежать нежелательных побочных эффектов от введения контраста пациентам в большинстве медицинских центров непосредственно перед обследованием проводят экспресс аллерготест на коже руки.
Почечная недостаточность иногда затрудняет проведение МСКТ с контрастированием. Контрастное вещество - это состав быстрого распада, который выводится из организма в течение 48 часов естественным образом через мочевыделительную систему человека. Хроническая почечная недостаточность снижает фильтрационную функцию почек, и повышает риск развития нефропатии после введения контраста. Поэтому больных с проблемными почками всегда направляют на анализ крови на креатинин перед процедурой контрастирования. Некоторые центры в качестве перестраховки требуют результатов анализов крови на креатинин от всех пациентов. Перед записью на КТ всегда рекомендуется уточнить, какие дополнительные требования к подготовки предъявляет выбранное вами медицинское учреждение при применении протокола КТ с контрастированием.
| Наименование услуги | Цена | Скидки |
|---|---|---|
| МСКТ / КТ головного мозга | от 2500 руб. | Ночью |
| МСКТ / КТ сосудов головного мозга | от 4500 руб. | Ночью |
| МСКТ / КТ глазных орбит, глазницы, сетчатки глаза и слезных каналов | от 2500 руб. | Ночью |
| МСКТ / КТ придаточных пазух носа и костей носа | от 2100 руб. | Ночью |
| МСКТ / КТ внутреннего и среднего уха и височных костей | от 2100 руб. | Ночью |
| МСКТ / КТ гортани и носоглотки | от 2500 руб. | Ночью |
| МСКТ / КТ шеи (щитовидная железа, слюнные железы, мягкие ткани, лимфоузлы, пищевод) | от 2900 руб. | Ночью |
| Наименование услуги | Цена | Скидки |
|---|---|---|
| МСКТ / КТ одного отдела позвоночника (шейного отдела, грудного отдела, пояснично-крестцового отдела, копчика, крестцово-подвздошных сочленений, КТ краниовертебрального перехода) | от 2500 руб. | Ночью |
| Компьютерная ангиография сосудов шеи | от 4500 руб. | Ночью |
| МСКТ / КТ всего позвоночника | от 6300 руб. | Ночью |
| МСКТ / КТ центральной нервной системы (спинного мозга и головной мозг) | от 8500 руб. | Ночью |
| Наименование услуги | Цена | Скидки |
|---|---|---|
| МСКТ / КТ плечевого сустава | от 2500 руб. | Ночью |
| МСКТ / КТ локтевого сустава | от 2500 руб. | Ночью |
| МСКТ / КТ лучезапястного сустава | от 2500 руб. | Ночью |
| МСКТ / КТ суставов кисти и пальцев | от 2500 руб. | Ночью |
| МСКТ / КТ тазобедренных суставов | от 2500 руб. | Ночью |
| МСКТ / КТ коленного сустава | от 2500 руб. | Ночью |
| МСКТ / КТ голеностопного сустава | от 2500 руб. | Ночью |
| МСКТ / КТ суставов стопы и пальцев | от 2500 руб. | Ночью |
| МСКТ / КТ височно-челюстных суставов | от 2800 руб. | Ночью |
Компьютерная ангиография артерий и вен малого таза / ангиография подвздошной артерии и вен
| Наименование услуги | Цена | Скидки |
|---|---|---|
| МСКТ / КТ одной зоны костей (таза, берцовой кости, ребер, голени и пяточных костей, ключицы, предплечья, плечевой кости, лопатки) | от 2500 руб. | Ночью |
| МСКТ / КТ черепа (лицевых костей, челюсти, височных костей) | от 2500 руб. | Ночью |
МСКТ / КТ забрюшинного пространства (почки, надпочечники, мочевыводящие пути, лимфоузлы)
КТ при сахарном диабете
Диагностика больных с сахарным диабетом на КТ с контрастным препаратом возможно, однако эта процедура потребует дополнительной подготовки пациента Пред обследование человека предписывают придерживаться особой диеты и с осторожностью принимать диабетические лекарства. Перед диагностикой в течение нескольких дней пациенту следует питаться таким образом, чтобы уровень сахара в крови не был превышен. Также необходимо систематически проводить измерения и следить, чтобы этот показатель не превышал 10 ммоль/л. Делать КТ с контрастом диабетикам нужно в первую половину дня. Обследуемый должен не есть и не пить лекарства, за исключением чистой питьевой воды.
Является ли металл противопоказанием к КТ
Что касается металла, зубных имплантов, титановых и стальных пластин, то их наличие в теле пациента, не является противопоказанием к компьютерной томографии. Данное исследование наоборот служит альтернативой к проведению МРТ, когда наличие металлических инклюзий не позволяет провести магнитно-резонансную томографию пациенту.
Можно ли делать КТ с кардиостимулятором
Короткий ответ на это вопрос - да. Рентгеновское облучение никаким образом не влияет на работу искусственных водителей ритма, поэтому пациентам с кардиостимуляторами, инсулиновыми помпами безопасно делать компьютерную томографию.
Противопоказания к КТ при диабете
Нативную версию компьютерной томографии можно проводить пациентам с диабетом. КТ с контрастом потребует предварительной консультации лечащим врачом и возможной отмены некоторых препаратов. Если пациент принимает метрофин, его следует исключить за 2 дня до обследования, и возобновить прием через 48 часов после процедуры контрастирования.
Компьютерная томография скелета
При КТ костей скелета с помощью компьютера получают и выводят на экран монитора изображение различных срезов костей. Срезы могут быть в сагиттальной, горизонтальной и фронтальной плоскостях. Получение коллимированных рентгенограмм увеличивает плотность облучения, рассчитываемую компьютером, и тем самым способствует повышению степени разрешения, а следовательно, и чувствительности и специфичности исследования. Для получения изображений анатомических срезов различной толщины на компьютере обрабатывается информация от облучения сотни тысяч слоев исследуемой ткани или органа.

- Выявление первичной опухоли кости и определение ее размеров, выявление метастазов злокачественных опухолей в кости, а также опухолей мягких тканей, повреждения связок и сухожилий, переломов костей.
- Диагностика с трудом выявляемых другими методами исследования поражений суставов.
Подготовка
- Следует объяснить пациенту, что исследование позволяет визуально оценить состояние костей и суставов. Если КТ костей предполагается выполнить без контрастирования, то какие-либо ограничения в диете или режиме питания не требуются, в противном случае пациент должен воздержаться от приема пищи в течение 4 ч до исследования.
- Следует сообщить пациенту, кто и где будет выполнять исследование, и заверить его, что оно не причиняет каких-либо неприятных ощущений.
- Следует предупредить пациента, что ему придется лежать неподвижно на рентгеновском столе с установленной вокруг него аркой сканера. Сканер будет вращаться вокруг пациента, делая серийные снимки.
- Если предполагается контрастная КТ, пациента предупреждают о возможности появления у него после введения контрастного вещества чувства прилива, жара, а также преходящей головной боли, соленого или металлического вкуса во рту, тошноты, рвоты. Это нормальная реакция на контрастное вещество.
- Следует предупредить пациента, чтобы он надел специальный защитный фартук и снял с себя все металлические предметы и украшения.
- Следует выяснить, нет ли у пациента непереносимости йода и морепродуктов, а также контрастного вещества, если его вводили ему в прошлом. Если у него имеется непереносимость, следует указать это в истории болезни. Врач в таком случае может отменить контрастное исследование или назначить профилактически противоаллергические препараты.
- Тревожным и беспокойным пациентам назначают седативные препараты.
- Необходимо проследить за тем, чтобы пациент или его родные дали письменное согласие на исследование.
Оборудование
КТ-сканер, контрастное вещество, система для внутривенных вливаний на случай необходимости.
Процедура и последующий уход
- Пациента укладывают на спину на рентгеновском столе и просят по возможности не двигаться.
- Стол вдвигают в цилиндрическое пространство сканера, который вращается вокруг пациента, делая снимки через заданные интервалы.
- После анализа первой серии изображений вводят контрастное вещество.
- Необходимо помнить о возможности развития аллергической реакции на контрастное вещество (зуд, сыпь, затруднение дыхания) в течение 30 мин после его введения.
- После введения контрастного вещества получают вторую серию изображений, которые записывают на магнитную ленту для длительного хранения.
- При использовании контрастного вещества возможна также отсроченная аллергическая реакция, при ее развитии средством выбора является дифенгидрамин.
- Пациенту рекомендуют обильное питье для быстрого выведения контрастного вещества.
- После исследования пациент может вновь перейти на обычные для него режим питания и уровень активности.
- Следует принять меры, направленные на уменьшение дискомфорта, связанного с длительным пребыванием на столе в неподвижном состоянии, и при необходимости назначить анальгетики.
Меры предосторожности
- КТ костей скелета противопоказана беременным и пациентам, у которых отмечается непереносимость йода, морепродуктов или контрастного вещества, а также пациентам с почечной недостаточностью, если им не проводится гемодиализ.
- Некоторые пациенты испытывают выраженную клаустрофобию или тревогу, находясь в тесном пространстве сканера, поэтому им целесообразно назначить препараты с легким седативным действием.
- Пациентам с выраженными болями в костях и суставах назначают анальгетики, чтобы они смогли выдержать до конца процедуры.
Нормальная картина
В норме патологические изменения со стороны костей и суставов на компьютерных томограммах отсутствуют. Отмечается четкая структура костей, в то время как окружающие ткани кажутся размытыми.
Отклонение от нормы
Благодаря возможности получения изображений срезов КТ применяют для исследования плечевой кости, позвоночника, бедренной кости и таза. На таких срезах удается избежать наложения теней других структур, которое наблюдается на обычных рентгенограммах. С помощью КТ удается выявить первичные опухоли костей, опухоли мягких тканей, метастазы в кости, а также поражения костей, которые трудно диагностировать другими методами исследования.
Что показывает КТ плечевого сустава, КТ или МРТ - что лучше?
КТ плечевого сустава обосновано сделать, если выполненные ультразвуковое исследование и рентгенография не смогли уточнить причину появления жалоб или есть веские подозрения на патологию костно-суставного аппарата данной области. Данное исследование полезно при наличии противопоказаний к магнитно-резонансной томографии (МРТ). Во время КТ-сканирования создаются изображения поперечного сечения плеча с помощью рентгеновских камер и специальных программ. Компьютерная томография плеча может быть выполнена нативно или с контрастированием.
Что показывает КТ плечевого сустава
Фото компьютерной томографии плечевого сустава
Плечевой сустав самый подвижный в организме человека. Огромный диапазон перемещений приводит к его нестабильности, поэтому вывихи и травмы регистрируются часто. Дислокация суставной головки из своего ложа увеличивает вероятность повреждения, что часто приводит к дегенеративному процессу, при котором окружающие сустав ткани постепенно разрушаются и перестают нормально функционировать. Что можно обнаружить на томограммах? КТ плечевой кости демонстрирует сложность перелома, смещение отломков и угол, образуемый их положением. Способность визуализировать изображения в осевой, сагиттальной и корональной плоскостях, а также в трехмерном формате, помогает в интерпретации картины повреждения и предоперационном планировании.
КТ плеча позволяет диагностировать следующие патологические процессы:
инфекционное поражение суставного аппарата;
тромбообразование в сосудах плечевого сустава;
системные заболевания соединительной ткани с вовлечением плечевого сочленения;
разрывы сухожилий, мышц, связочного аппарата;
посттравматические повреждения (вывих, подвывих, перелом, растяжение, ушиб) и осложнения (остеонекроз, рубцовые деформации и пр.);
дистрофические изменения рассматриваемой области;
опухолевый процесс (включая метастатические поражения) в суставе.
Окончательно диагноз верифицируют с учетом совокупности результатов всех исследований. Эффективность терапии выше после прохождения полной диагностики, а схема лечения напрямую связана с патогенетическим фактором. КТ плечевого сустава позволяет врачу дать оценку костям, мягким тканям, костно-суставным сочленениям и обнаружить отклонения.
Как делают КТ плечевых суставов
Положение пациента во время исследования
Сделать КТ плечевой кости в Санкт-Петербурге можно в одном из диагностических центров, в отделении радиологии больницы или клиники, где есть компьютерный томограф. Предварительно нужно записаться, связавшись с оператором через форму сайта или по телефону. Возможно прохождение обследования в экстренном порядке в день обращения.
Как проходит процедура КТ плечевой кости
Техник попросит Вас принять определенную позу; для дополнительной фиксации конечности могут быть использованы подушки или ремни - это поможет сохранить правильное положение и получить качественные изображения. Вам также может потребоваться задержать на несколько секунд дыхание во время коротких отдельных сканирований, чтобы предотвратить размытость на снимках. Из соседней комнаты техник с помощью пульта дистанционного управления переместит Вас вглубь томографа, и начнется сама процедура, во время которой специальные датчики будут вращаться вокруг тела. Для экстренных ситуаций в ходе сканирования под рукой есть кнопка для связи с персоналом. После завершения необходимо подождать некоторое время, чтобы техник убедился в качестве полученных томограмм: они должны быть четкие, чтобы в дальнейшем врач мог их правильно прочитать. Типичная КТ занимает 5-10 минут, что актуально в диагностике острых травматических повреждений.
Подготовка к исследованию плеча
Нативная компьютерная томография плечевой кости - один из неинвазивных тестов визуализации, и ее прохождение не требует особой подготовки. Достаточно выбрать свободную удобную одежду без замков и металлических застежек, убрать украшения: заколки, цепочки, часы и пр. Косточки бюстгальтера также могут привести к появлению артефактов на изображениях, поэтому об этом лучше позаботиться заранее. С собой нужно взять результаты предыдущих обследований и выписки из стационара, если таковые есть. После диагностики можно заниматься привычными делами.
Контрастирование

Введение в вену контраста через катетер
Контрастирование значительно улучшает четкость томограмм и позволяет рассмотреть мельчайшие детали, которые не показывает простое (нативное) компьютерное сканирование, рентгенография и УЗИ плечевого сустава. В большинстве случаев внутривенного усиления не требуется, а его использование зарезервировано для патологических процессов, подозрительных на опухоль или абсцесс кости. Если процедура подразумевает введение контрастного вещества, есть определенные нюансы, которые необходимо знать:
Внутривенная инъекция радиофармпрепарата на голодный желудок повышает вероятность развития вегетативной симптоматики: головокружения, тошноты, слюнотечения. Поэтому перед обследованием, за 30-45 мин., нужно неплотно перекусить.
Если ранее отмечалась аллергическая реакция на контраст, сообщите об этом врачу. Ощущение горячих приливов, учащенное сердцебиение, легкие диспепсические расстройства, которые исчезли через несколько минут самостоятельно, рассматриваются как вариант нормы и не являются противопоказаниями к контрасту.
От приема Метформина при сахарном диабете необходимо отказаться за 36 часов до КТ с усилением, отмену лекарства следует обязательно обсудить с эндокринологом.
Перед обследованием с контрастированием, даже если никогда не было заболеваний почек, необходим анализ крови на креатинин. Результаты действительны в течение 10 дней.
Показания и противопоказания
Компьютерная томография имеет свои показания и противопоказания
Если альтернативные методы визуализации не дают исчерпывающей информации или есть противопоказания к МРТ, КТ является хорошей альтернативой для установления диагноза. Компьютерное сканирование плеча обычно используют для оценки состояния сустава после протезирования, переломов, вывихов. Врач может назначить это исследование, если пациента беспокоят боли в плече, характерные пощелкивания, ограничение объема движения, припухлость и покраснение кожных покровов над суставом.
Как и при любом рентгеновском исследовании, во время прохождения компьютерной томографии присутствует некоторое облучение. Его уровень абсолютно безопасен для взрослых, если диагностика проводится на современном качественном томографе. Во время беременности, лактации и в детском возрасте до 14 лет радиационное воздействие может оказать неблагоприятное влияние на организм, поэтому предпочтительнее сделать МРТ или УЗИ плечевого сустава. Компьютерное сканирование для этой категории лиц может быть выполнено по жизненным показаниям. Женщине, не исключающей желанную беременность на ранних сроках, необходимо воздержаться от любых рентгенологических обследований.
Существуют ограничения и по весу пациента: КТ невозможно по техническим причинам, если масса тела превышает 150 кг.
Противопоказания для контрастной КТ
Современные радиофармпрепараты имеют минимальный риск развития побочных эффектов, но некоторой категории пациентов КТ с усилением не назначают. Абсолютными противопоказаниями к введению контраста служат:
реакции гиперчувствительности (поливалентная аллергия, крапивница, отек Квинке, анафилактический шок) на радиофармпрепарат.
хроническая почечная недостаточность в стадии суб- и декомпенсации.
состояние после трансплантации почки, нефрэктомии.
В этих случаях вопрос о возможности выполнения компьютерной томографии с введением контраста решается в индивидуальном порядке.
В диагностическом центре “Магнит” (Санкт-Петербург) можно сделать КТ и МРТ плеча в удобное для Вас время. Действует гибкая система скидок, мы работаем в режиме 24/7. В ночные часы цены обследования ниже. Современный томограф, высокое качество снимков, опытные специалисты, индивидуальных подход к каждому пациенту - все, что необходимо для определения причины болезни.
Фото томографии плечевого сустава
КТ при нестабильности плеча
А - дисплазия гленоида;
В - повреждение Хилл-Сакса (субхондральный перелом), дефект головки плечевой кости после вывиха плеча;
С - повреждение Банкарта (отрыв ободка от костной впадины с вывихом плеча вперед, разрушение краев лопаточной впадины - места прикрепления хряща);
D - повреждение Хилл - Сакса в переднем отделе суставной губы;
Е - 3D-реконструкция переднего вывиха плеча;
F- задний перелом с вывихом плеча.
Наиболее часто КТ плечевого сустава выполняют по поводу травматических повреждений. Они различаются по механизму альтерации: падение на вытянутую руку, прямой удар и пр. Врач-рентгенолог после анализа томограмм выявляет причину, а ортопед определяет оптимальную тактику ведения. Иногда повреждение может быть настолько серьезным, что пациенту необходимо эндопротезирование плечевого сустава.
Рентгенограмма и компьютерная томограмма у пациента с тяжелым переломом и вывихом правого плечевого сустава до операции
При соблюдении всех рекомендаций (ношение ортеза, дальнейшая разработка, динамическое наблюдение с контрольной КТ плеча и пр.) качество жизни не страдает.
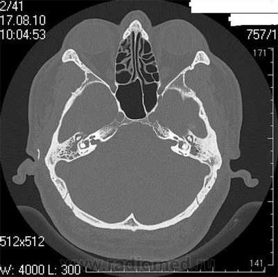
Что покажет КТ височных костей, как делают, подготовка и противопоказания

Височная кость является важной анатомической структурой - она участвует в формировании черепной коробки, здесь расположен слуховой аппарат, проходят крупные нервы и артерии. Обычные методы диагностики, такие как рентгенография или УЗИ, зачастую не позволяют диагностировать патологические изменения в этой области. КТ височных костей − более точное исследование, которое дает возможность выявлять заболевания на ранней стадии.
Что покажет КТ височных костей
Во время КТ получают послойные снимки височной кости и окружающих тканей в трех плоскостях. Толщина среза составляет всего несколько миллиметров, что позволяет врачу-рентгенологу рассмотреть не только все анатомические образования, но и минимальные патологические изменения.
На полученных снимках хорошо видны следующие структуры:
пирамида височной кости;
ячейки и антрум сосцевидного отростка;
улитка, преддверие, передний и задний полукружный каналы;
слуховые косточки среднего уха;
стенки наружного слухового прохода;

Снимок (томограмма) височных костей в осевой проекции
С помощью КТ височных костей можно выявить любые заболевания воспалительного, травматического, опухолевого характера. Метод применяется для диагностики следующих патологий:
объемных образований, кист костной ткани и слухового аппарата;
воспалительных процессов (мастоидиты, отиты, остеомиелиты);
травматических повреждений (трещины, переломы);
дегенеративных изменений (отосклероз, дисплазия);
Большим преимуществом КТ перед другими диагностическими методами является возможность получения трехмерной модели височной кости. 3D-изображение необходимо перед хирургическим вмешательством, часто по поводу установки имплантата внутреннего уха, поскольку дает максимально четкое представление об особенностях анатомии у конкретного пациента.
Иногда во время КТ височной кости дополнительно вводят контрастирующее вещество на основе йода. Введенный фармпрепарат хорошо поглощает рентгеновские лучи и делает изображения более отчетливыми. Контрастирование необходимо для уточнения характера изменений в мягкотканных образованиях, прилегающих к височной кости. Также методика позволяет отчетливо визуализировать церебральные артерии и вены. Вместе с тем, данная процедура обходится немного дороже стандартного исследования: пациенту нужно будет доплатить за количество использованного контраста.
Показания к КТ височных костей
В большинстве случаев КТ височных костей назначают ЛОР-врачи, неврологи, нейрохирурги, реже специалисты другого профиля. Обычно основанием для проведения томографии являются выявленные на рентгенограмме или во время УЗИ патологические изменения. Именно КТ височных костей позволяет разрешить все сомнения и поставить точный диагноз.
Показаниями для компьютерной томографии височной кости служат:
нарушения работы слухового аппарата (прогрессирующее ухудшение слуха, звон или шум в ухе и пр.);
вестибулярные расстройства (головокружение, шаткость при ходьбе);
длительный болевой синдром в области уха, в половине головы, особенно сопровождающийся неврологической симптоматикой;
выделения из слухового прохода различного характера (гной, кровь, ликвор);
клинические данные, свидетельствующие об опухолевом процессе;
нарушение работы лицевого нерва с развитием слабости мимической мускулатуры;
травмы головы с подозрением на перелом основания черепа и височной кости.
Также рекомендуют КТ височных костей перед запланированным хирургическим вмешательством, для контроля за проводимой терапией.
Кому противопоказана КТ височной кости
Компьютерная томография височных костей не проводится женщинам в период беременности, поскольку рентгеновские лучи негативно влияют на развитие плода. В случае томографии с контрастированием противопоказаниями являются:
нарушение фильтрационных характеристик почек;
непереносимость препаратов на основе йода;
повышенная функция щитовидной железы.
Как проходит компьютерная томография височных костей
Записаться в диагностический центр «Магнит» можно по телефону, указанному на сайте. Сотрудник подберет для вас наиболее удобное время, разъяснит особенности процедуры, одновременно вы сможете уточнить точную стоимость обследования.
Идя на томографию, потребуется взять с собой направление, имеющиеся на руках медицинские документы. В случае запланированной КТ височных костей с контрастированием нужно заранее сдать анализ на креатинин. Он необходим для оценки функционального состояния почек.
В центре «Магнит» обследование проводят на современном мультиспиральном томографе Siemens. Аппарат установлен в отдельной комнате, где и будет проходить сканирование.

Внешний вид компьютерного томографа и положение пациента на столе аппарата перед началом исследования
Непосредственно перед исследованием специалист центра проинструктирует больного и предложить занять положение на спине на столе томографа.
Во время сканирования стол с пациентом будет плавно перемещаться по направлению к тоннелю аппарата. Таким образом, голова будет находиться на уровне источника излучения и датчиков. Каких-либо неприятных ощущений во время исследования не возникает, тем более что сама процедура длится всего 1-2 минуты.
Все это время персонал будет находиться в соседней комнате и наблюдать за ходом исследования. В тоннеле томографа есть переговорное устройство, по которому пациент всегда может связаться с медперсоналом.
КТ височной кости с введением контраста длится немного дольше: от 15 до 25 минут, так как исследование включает несколько этапов. Первоначально выполняют нативное сканирование, после которого внутривенно вводят йодсодержащий препарат (Ультравист). Контраст относительно редко вызывает побочные реакции, иногда наблюдаются небольшое головокружение или подташнивание. Эти неприятные явления самостоятельно проходят в течение нескольких минут. Завершающий этап - повторное сканирование с получением максимально контрастных изображений.
После получения снимков и их обработки компьютерной программой врачу потребуется некоторое время для анализа данных. Обычно на это уходит не более 1,5-2 часов .
Когда назначают КТ височных костей детям
Данный вид исследования рекомендуют детям только при наличии веских оснований. Это связано с тем, что организм ребенка более чувствителен к рентгеновскому излучению, чем у взрослого пациента. КТ височных костей назначают тогда, когда другие методы исследования (рентген, УЗИ, МРТ) не дают достаточно информации для постановки диагноза. Детям компьютерная томография височных костей чаще всего проводится в случае черепно-мозговой травмы с переломами костей черепа, одностороннего нарушения слуха, при подозрении на новообразование.
В центре «Магнит» мультиспиральную КТ делают детям начиная с пяти лет. Современное оборудование и программное обеспечение позволяют подобрать оптимальный режим сканирования и, таким образом, существенно снизить лучевую нагрузку на организм. Процедуру с контрастированием в нашем центре проводят детям, достигшим двенадцатилетнего возраста.

Положение ребенка на столе компьютерного томографа перед исследованием
Компьютерная томография височной кости не причиняет маленькому пациенту дискомфорта или боли. Поскольку сканирование длится считанные минуты, дети хорошо переносят диагностику. Однако при запланированной томографии родителям все же следует психологически подготовить ребенка: рассказать о процедуре и почему так важно ее пройти.
Преимущества КТ височных костей
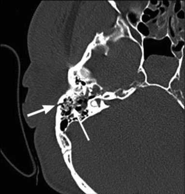
Компьютерная томография является оптимальным вариантом для исследования костей, в том числе черепа. Костная ткань хорошо поглощает рентгеновские лучи, в результате получают четкие ее изображения. Данный метод незаменим в диагностике скрытых переломов и трещин, он хорошо выявляет деструктивные изменения.

На КТ-снимке виден перелом пирамиды височной кости (указан стрелками)
Другими преимуществами мультиспиральной томографии являются:
высокая скорость сканирования;
относительно низкий уровень лучевой нагрузки;
неинвазивность и безболезненность;
доступность для выполнения пациентам с ферромагнитными имплантатами, электронными устройствами;
возможность получения трехмерной модели исследуемой зоны.
КТ височных костей имеет вполне доступную цену. В диагностическом центре «Магнит» ее можно пройти за 2450 рублей. Такая низкая, по сравнению с другими медучреждениями Санкт-Петербурга, цена объясняется проводимой в этом месяце специальной акцией.
КТ суставов что показывает

Компьютерная томография является современным видом аппаратной диагностики. Метод позволяет визуализировать внутренние структуры без инвазивных манипуляций. С помощью КТ суставов определяют патологии опорно-двигательной системы различной этиологии и генеза.

Изменения головки большеберцовой кости на томограмме
Компьютерную диагностику осуществляют с помощью рентгеновского излучения. Ионизирующие потоки проходят сквозь тело человека. Пропускная способность разных участков зависит от строения анатомических структур. Кости и хрящи обладают высокой рентгеноконтрастностью, сканирование рыхлых суставных элементов менее результативно.
Для большей информативности при обследовании мягкотканных структур применяют контрастную компьютерную томографию. В кровеносное русло вводят «окрашивающий» препарат на основе йода. Вещество обладает высокой поглощающей способностью в отношении рентгена, позволяет визуализировать сосудистую сеть и оценить строение всех морфологических элементов сочленения.
Что покажет КТ суставов и костей?
В результате томографии получают монохромные изображения тонких срезов изучаемой зоны. В отличие от линейной рентгенографии, КТ костей и суставов позволяет рассмотреть сочленение в трех взаимно перпендикулярных проекциях. На томограммах отсутствуют тени и дефекты от расположенных рядом анатомических образований.
Изображения КТ дают информацию о плотности исследуемого вещества. Светлые пятна на фото соответствуют твердым структурам, затемнения - мягкотканным участкам.

Компьютерная томография колена
КТ костей и суставов позволяет оценить:
состояние связочного аппарата;
ширину суставной щели;
толщину и однородность хрящевых элементов сочленения;
конгруэнтность (соответствие) суставных поверхностей;
особенности кровоснабжения сочленения;
состояние мышечной ткани, клетчаточных пространств;
строение костных суставных элементов.
С помощью сканирования определяют функциональность сочленения, выясняют причины нарушений.
В диагностике заболеваний суставов КТ позволяет выявить:
воспалительные явления ревматоидной природы;
инородные тела в области суставной сумки;
переломы костных суставных поверхностей;
Признаками патологии являются:
наличие в полости сустава крови, серозного или гнойного экссудата;
изменение ширины суставной щели;
нарушение целостности костных, хрящевых элементов сочленения;
смещение суставных поверхностей относительно друг друга;
синовиальные пролиферативные процессы;
наличие в костной ткани очагов с повышенной (остеосклероз) или пониженной (остеопороз) плотностью;
деформация суставных поверхностей;
снижение высоты хрящевых элементов;
нарушение кровоснабжения сочленения;
структурные изменения суставных элементов.
КТ показывает воспалительные, онкологические, дегенеративно-дистрофические явления, травматические повреждения костей и хрящей.
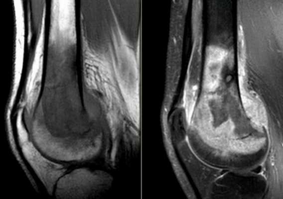
Контрастная томография помогает диагностировать добро- и злокачественные новообразования в области сочленения. По томограммам можно отследить динамику насыщения тканей опухоли «окрашивающим» раствором. Малигнизированные образования имеют патологически извитую сосудистую сеть с большим количеством анастомозов, что увеличивает время накопления и выведения контраста.

Остеосаркома бедренной кости на снимке коленного сустава
Для уточнения локализации и размеров патологического очага врач может использовать пространственное изображение области интереса . На основании фотографий, полученных в результате сканирования, реконструируют 3D-модель рассматриваемой зоны. Трехмерная визуализация позволяет оценить характер взаимодействия здоровых и пораженных тканей.
Какие суставы исследуют при помощи компьютерной томографии
КТ позволяет детально изучить строение опорно-двигательной системы. Данный вид инструментальной диагностики является наиболее информативным при исследовании скелета человека.
КТ плеча
Сканирование назначают при жалобах пациента на боль и ограничение подвижности пояса верхних конечностей. При травмах КТ плечевого сустава позволит выявить повреждение головки одноименной кости, ключицы, лопатки.
Широкая амплитуда движений приводит к вывихам, разрывам связок, мышц, интраартикулярных (расположенных в полости сочленения) элементов. Компьютерная томография позволяет диагностировать травматические поражения и предупредить развитие осложнений.
КТ лучезапястного сустава
Анатомически сложное соединение с большим количеством мелких элементов затрудняет диагностику травм и патологических процессов. КТ лучезапястного сустава назначают при недостаточной эффективности других видов аппаратного исследования (УЗИ, рентген и пр.).
С помощью томографии диагностируют специфические заболевания:
асептический некроз полулунной кости (синдром Кинбека);
При травмах наблюдаются разрывы сухожилий и мышц запястья. Часто выявляют трещины и переломы лучевой кости.
КТ тазобедренного сустава
Боли в области сочленения возникают при патологических изменениях пара- (расположенных рядом) и интраартикулярных структур. К внутренним факторам относят:
поражение вертлужной впадины и бедренной кости;
пролиферативные нарушения синовиальной оболочки;
дегенеративные поражения хряща и пр.

Трехмерная реконструкция тазобедренных сочленений
Внесуставные причины появления болей:
поражение крестцово-подвздошного и лонного сочленений;
КТ тазобедренного сустава используют для дифференциальной диагностики заболеваний, установления причины и характера патологического процесса.
КТ колена
С помощью компьютерной томографии визуализируют нарушения связочного аппарата, костных суставных поверхностей, гиалинового хряща, синовиальной оболочки и капсулы сочленения. Ограничение подвижности и боль возникают чаще при травмах, воспалительных и дегенеративных патологиях.
КТ коленного сустава позволяет диагностировать хондромаляции (разрушение хряща), повреждения менисков, разрывы крестообразных связок. В результате контрастной процедуры выявляют онкологические процессы, заболевания сосудов, липоартрит и пр.
КТ голеностопа
Сочленение представляет собой комбинацию небольших суставов, что служит причиной частой травматизации интраартикулярных анатомических образований. Компьютерная томография визуализирует состояние костных элементов малого размера, помогает выявить незначительные нарушения формы, величины, целостности анатомических структур.
КТ голеностопного сустава используют в диагностике новообразований, комбинированных патологий, когда процесс затрагивает твердые и мягкие ткани. Высокая точность снимков и возможность пространственной визуализации повышают эффективность компьютерной томографии в исследовании анатомически сложных сочленений.
КТ стопы и кисти
Суставы плюсны, ладони, пальцев рук и ног отличаются незначительными размерами и большим количеством мелких морфологических элементов.
На основании КТ стопы выявляют воспалительные, деструктивные, травматические поражения. Отмечают патологическое расположение костей плюсны и предплюсны при поперечном плоскостопии, вальгусной деформации и пр.
Исследование кисти помогает в диагностике ревматоидных поражений. Контрастная томография визуализирует сосудистые заболевания и неопластические процессы в области пясти и пальцев руки.
Как проходит КТ суставов?
Процедуру проводят с помощью сложного оборудования. Томограф представлен:
сканирующим комплексом, включающим рентгеновские излучатели и детекторы.

В процессе обследования происходят поступательное движение стола и вращение внутри кольца рентгеновских трубок и датчиков. Современные томографы за один оборот производят несколько снимков (2, 8, 16 и более). Мультиспиральная КТ суставов (МСКТ) обеспечивает высокую точность визуализации и позволяет снизить лучевую нагрузку на организм пациента.
Процедуру проводят в положении лежа. Пациент располагается на столе, врач проводит иммобилизацию конечностей для сохранения начальной позы. Непроизвольные движения негативно влияют на результаты исследования. Стол с пациентом начинает перемещаться внутри кольца томографа. Продолжительность нативного КТ-сканирования суставов 5-10 минут.
Медицинский персонал во время сеанса находится в соседнем помещении. Связь с обследуемым поддерживают через микрофон. Больному важно соблюдать рекомендации специалиста, возможно, потребуется изменение положения тела по команде врача. Динамическое сканирование проводят с целью определения функциональности суставов.
КТ кисти, стопы, лучезапястных и других небольших анатомических соединений можно проводить в положении сидя, для чего используют специальные аппараты.
Для достоверной оценки состояния одного из парных сочленений чаще рекомендуют сделать КТ обоих суставов.
При использовании контраста продолжительность исследования увеличивается на 10 минут. После серии нативных снимков больному вводят йодсодержащий раствор. Сканирование продолжают после заполнения препаратом сосудистого русла в рассматриваемой зоне.

Артрозо-артрит голеностопа, 3D-модель
Подготовка к компьютерной томографии сустава
Пациент приходит на прием за 10-15 минут до назначенного времени. Перед процедурой необходимо заполнить документы, снять украшения, аксессуары.
Контрастная КТ сустава требует более тщательной подготовки. Пациенты, страдающие сахарным диабетом и принимающие Метформин, посещают эндокринолога. Лекарственный препарат следует отменить за 72 часа до введения йодсодержащего раствора.
Для предупреждения развития осложнений со стороны органов фильтрации необходимо сдать анализ крови на креатинин. Повышенный уровень последнего свидетельствует о почечной недостаточности и является противопоказанием к использованию контрастного усиления.
Что выбрать: рентген, МРТ или КТ суставов?
Выбор способа аппаратного исследования зависит от дифференциально-диагностических задач, клинической картины, наличия противопоказаний и других факторов.
Читайте также:
