КТ при врожденных заболеваниях семенных пузырьков
Добавил пользователь Владимир З. Обновлено: 22.01.2026
Кафедра урологии Московского государственного медико-стоматологического университета им. А.И. Евдокимова, Москва, Россия
Московский государственный медико-стоматологический университет им. А.И. Евдокимова
Кафедра урологии Московского государственного медицинского стоматологического университета им. А.Е. Евдокимова, Москва, Россия
ФГБУ "Московский государственный медико-стоматологический университет им. А.И. Евдокимова", Москва, Россия
кафедра урологии Московского государственного медико-стоматологического университета
Опыт лечения пациентов с синдромом Циннера
Журнал: Проблемы репродукции. 2014;(2): 72‑77
Васильев А.О., Говоров А.В., Колонтарев К.Б., Куприянов Ю.А., Пушкарь Д.Ю. Опыт лечения пациентов с синдромом Циннера. Проблемы репродукции. 2014;(2):72‑77.
Vasiliyev AO, Govorov AV, Kolontarev KB, Kupriianov IuA, Pushkar' DIu. The experience of treating the patients with Zinner's syndrome. Russian Journal of Human Reproduction. 2014;(2):72‑77. (In Russ.).
Синдром Циннера - врожденное состояние, характеризующееся наличием кисты семенного пузырька в сочетании с ипсилатеральной агенезией почки и обструкцией семявыносящего протока. Обструкция на уровне семявыносящего протока приводит к развитию приобретенной обструктивной азооспермии, что в последующем может вызывать бесплодие. Современные методы визуализации, такие как МРТ, КТ и ТРУЗИ, способствуют ранней диагностике заболевания и, как следствие, профилактике бесплодия. Симптоматическая терапия, а также динамическое наблюдение при отсутствии клинических проявлений являются предпочтительными вариантами лечения. При отсутствии эффективности от консервативной терапии пациенту показано хирургическое лечение открытым или лапароскопическим (робот-ассистированным) доступами. Альтернативой хирургическому лечению является аспирация сперматозоидов из проксимальной части семявыносящего протока, из семенных пузырьков под контролем УЗИ и прямая аспирация семенной жидкости из кисты. В данной статье мы описываем 3 случая врожденной аномалии (кисты) семенных пузырьков у пациентов 20, 32 и 42 лет в сочетании с ипсилатеральной агенезией почки.
В процессе эмбриогенеза развитие почки проходит три стадии - предпочки, первичной и окончательной почки, развивающихся из мезодермы. Предпочка и первичная почка постепенно подвергаются обратному развитию, за исключением протока первичной почки, или вольфова протока, участвующего в формировании мочевых путей, мужских половых протоков (семявыносящего и семявыбрасывающего), придатка яичка и семенного пузырька. В месте изгиба вольфова протока перед впадением в клоаку появляется мочеточниковый вырост. Недоразвитие дистальной части мезонефроса, а также отсутствие на одной из сторон мочеточникового выроста приводят к атрезии семявыносящего протока, односторонней агенезии/дисгенезии почки и формированию половины треугольника мочевого пузыря [1].
Синдром Циннера развивается вследствие патологии вольфова протока (мезонефроса) и включает одностороннюю почечную агенезию (по некоторым данным, дисгенезию), кисту семенного пузырька на стороне отсутствия почки и обструкцию семявыносящего протока [2]. Обструкция семявыносящего протока приводит к постепенному накоплению секрета в семенных пузырьках и последующему образованию кисты. Заболевание впервые описал A. Zinner в 1914 г. [3], до настоящего времени в литературе [4] описано около 100 случаев заболевания, а частота встречаемости составляет 0,00464%. Синдром Циннера также называют мужским «аналогом» синдрома Майер-Рокитанского-Кустер-Хаузера (синдром атрезии влагалища) [5]. R. Casey и соавт. [6] было сообщено об уникальной пентаде патологии мезонефротического протока, включающей кистозную дисплазию канальцевой сети яичек, кисту семенного пузырька, ипсилатеральную агенезию почек, дилатацию придатка яичка и частичное развитие треугольника мочевого пузыря.
В настоящей статье мы представляем собственный опыт диагностирования и лечения 3 пациентов с синдромом Циннера.
Клинический пример 1

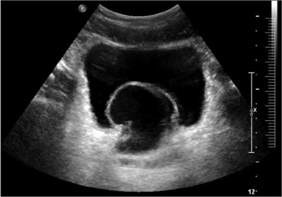
Пациент А., 32 лет, обратился в клинику урологии МГМСУ с жалобами на гипертермию до 37,0-37,3 °С в вечернее время в течение 4 мес до настоящей госпитализации, затрудненное мочеиспускание вялой струей, боли в области промежности, эпизоды острой задержки мочи, самопроизвольно разрешавшиеся. Пациент холост, детей не имеет. Из анамнеза известно, что в 16-летнем возрасте при амбулаторном ультразвуковом исследовании (УЗИ) была выявлена единственная левая почка. В последующем в другом лечебно-профилактическом учреждении при УЗИ выявлено образование мочевого пузыря (рис. 1). Рисунок 1. Трансабдоминальное УЗИ пациента А.

До обращения в клинику урологии МГМСУ пациент неоднократно консультировался в различных специализированных медицинских учреждениях Москвы, а также в урологической клинике Израиля: рекомендовано оперативное лечение в объеме открытой или лапароскопической кистэктомии. Однако в связи с возможным развитием побочных осложнений пациент от оперативного лечения отказался. Дальнейшее обследование, включавшее магнитно-резонансную терапию (МРТ) органов мочевыделительной системы, подтвердило отсутствие правой почки и умеренную гипертрофию левой почки, выявило наличие кисты диаметром 45 мм в области правого семенного пузырька (рис. 2). Рисунок 2. МРТ пациента А. В анализе спермограммы - без патологии.

С больным проведена беседа относительно имеющегося заболевания и существующих методов лечения. Пациент настаивал на консервативном лечении. Принято решение выполнить пункцию кисты правого семенного пузырька под местной анестезией под контролем трансректального ультразвукового исследования (ТРУЗИ). В ходе манипуляции получено около 30 мл жидкости «шоколадного» цвета, ткань стенки кисты взята на гистологическое исследование, жидкость отправлена на бактериологический посев и цитологическое исследование (рис. 3). Рисунок 3. Эвакуированная жидкость при пункции кисты под контролем ТРУЗИ. На следующий день после пункции кисты больной отметил улучшение общего состояния, уменьшение болевой симптоматики в области промежности.
Спустя 1 год пациент перенес повторную пункцию кисты семенного пузырька. Объем жидкости при повторной пункции составил 20 мл.
Клинический пример 2

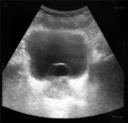
Пациент В., 42 лет, в течение длительного времени отмечал периодическую (1 раз в 4 мес) примесь крови в сперме, однократную примесь крови в моче, умеренное ухудшение качества мочеиспускания. Пациент женат, детей не имеет, в качестве контрацепции применяет барьерные методы. По поводу примеси крови в сперме не обследовался, к врачам не обращался, связывая имеющееся состояние с физической нагрузкой. Из анамнеза известно, что в детском возрасте был поставлен диагноз агенезии правой почки. При прохождении планового медицинского осмотра при УЗИ выявлено образование мочевого пузыря. Учитывая наличие имевшей место примеси крови в моче и сперме врачом-урологом районной поликлиники был поставлен предварительный диагноз опухоли мочевого пузыря. Пациент консультирован в клинике урологии МГМСУ. При трансабдоминальном УЗИ в полости мочевого пузыря определялось округлое образование с четкими контурами, имеющее жидкостный компонент (рис. 4). Рисунок 4. Трансабдоминальное УЗИ пациента В.

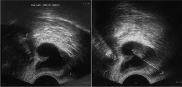
При компьютерной томографии (КТ) органов мочевыделительной системы диагноз агенезии правой почки был подтвержден, в проекции правого семенного пузырька выявлена киста диаметром 25 мм (рис. 5). Рисунок 5. КТ пациента В. Стрелкой указана киста семенного пузырька, пролабирующая в полость мочевого пузыря.

В анализе спермограммы - без патологии. Принято решение выполнить пункцию кисты правого семенного пузырька под местной анестезией под контролем ТРУЗИ (рис. 6). Рисунок 6. Пункция кисты правого семенного пузырька пациента В. под контролем ТРУЗИ. В ходе пункции эвакуировано около 25 мл жидкости «шоколадного» цвета.
Клинический пример 3

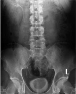
Пациент С., 20 лет, при поступлении в клинику урологии МГМСУ предъявлял жалобы на учащенное мочеиспускание, периодическую боль в мошонке и промежности, болезненное семяизвержение. Пациент холост, детей не имеет, половую жизнь не ведет. Из анамнеза известно, что вышеописанные жалобы беспокоят на протяжении 1 года. При амбулаторно выполненной мультиспиральной СКТ органов мочевыделительной системы выявлена агенезия левой почки. При обследовании в лабораторных анализах и спермограмме - без патологии, при экскреторной урографии в проекции мочевого пузыря отмечается дефект наполнения, чашечно-лоханочная система правой почки контрастирована (рис. 7). Рисунок 7. Экскреторная урография пациента С.

По данным УЗИ, в проекции левого семенного пузырька выявлена киста объемом около 20 см 3 . Под контролем ТРУЗИ выполнена пункция кисты, эвакуировано около 15 мл жидкости «шоколадного» цвета (рис. 8). Рисунок 8. Пункция кисты правого семенного пузырька пациента C. под контролем ТРУЗИ.
На сегодняшний момент пациенты продолжают наблюдаться. В ходе динамического наблюдения при ТРУЗИ отмечена тенденция к постепенному снижению объема кисты.
Синдром Циннера, как правило, диагностируется на третьей или четвертой декаде жизни и часто сопровождается бесплодием [7]. Киста семенного пузырька может быть изначально врожденной или развиваться вследствие хронического воспалительного процесса или обструкции семявыносящих протоков [8]. Часто киста семенного пузырька протекает бессимптомно или с незначительными клиническими проявлениями, такими как боль в промежности и/или дизурия. Киста семенного пузырька может быть достаточно большой по размеру и вдаваться в просвет мочевого пузыря. В таком случае кисту можно выявить при УЗИ [9].
С отсутствием почки также связывают и одностороннюю аплазию семявыносящего протока [10]. Обструкция на уровне семявыносящего протока является самой частой причиной приобретенной обструктивной азооспермии [11], что в итоге может приводить к бесплодию - основному осложнению синдрома Циннера. Врожденную обструкцию семявыносящего протока следует дифференцировать от приобретенной, нередко возникающей как следствие ятрогенной травмы при пластике паховых грыж [12].
У больных муковисцидозом причиной обструкции может явиться врожденное двустороннее отсутствие семявыносящего протока (CBAVD - Сongenital bilateral absence of the vas deferens). Односторонняя агенезия или частичный дефект семявыносящего протока часто ассоциируется с аномалиями контралатерального протока или агенезией почек в 80 и 26% случаев соответственно [13].
Данный факт подчеркивает необходимость детального обследования больных с подозрением на синдром Циннера и проведение дифференциального диагноза с «похожими» заболеваниями.
Больным обязательно проводят УЗИ мошонки, которое помогает выявить признаки обструкции (расширение сети яичка, увеличение придатка яичка с кистозными изменениями или отсутствие семявыносящего протока). Для пациентов с маленьким объемом эякулята (
Многими авторами предложены различные методы лечения пациентов с кистой семенного пузырька в сочетании с агенезией почки. По мнению B. Pereira и соавт. [15], консервативная симптоматическая терапия, а также динамическое наблюдение являются предпочтительными вариантами при отсутствии клинических проявлений заболевания. В случае неэффективности консервативных методов лечения наиболее оправданной является хирургическая тактика.
Возможность проведения робот-ассистированной кистэктомии семенного пузырька у пациента с дисплазией почки и неполным удвоением мочеточников описали E. Altobelli и соавт. [16].
G. Pace и соавт. [17] представили данные ретроспективного анализа лечения 7 пациентов с синдромом Циннера, которым была выполнена трансуретральная резекция выходных отделов семявыбрасывающих протоков в зоне семенного бугорка - операция TURED (transurethral resection of the ejaculatory ducts). Авторами был сделан вывод: после операции показатели спермограммы могут быть значительно улучшены, что может положительно сказаться на репродуктивной функции. Рядом авторов [18] также было отмечено, что в случаях функциональной обструкции дистальных отделов семявыбрасывающих протоков операция TURED также часто улучшает выброс эякулята. Интраоперационное применение ТРУЗИ с ригидным датчиком делает операцию безопаснее, а введение индигокармина в семявыносящий проток помогает оценить восстановление проходимости семявыбрасывающих протоков [19].
К осложнениям после операции TURED относят ретроградную эякуляцию, возникающую при повреждении шейки мочевого пузыря, и рефлюкс мочи в семенные пузырьки, семявыбрасывающие и семявыносящие протоки. В дальнейшем это может привести к низкой подвижности сперматозоидов, окислению среды в эякуляте и эпидидимиту.
Согласно Guidelines EAU 2013 г., альтернативой операции TURED служат микрохирургическое выделение сперматозоидов из придатка яичка - операция MESA (Microsurgical epididymal sperm aspiration), выделение сперматозоидов из ткани яичка - операция TESE (testicular sperm extraction), аспирация сперматозоидов из проксимальной части семявыносящего протока, из семенных пузырьков под контролем УЗИ и прямая аспирация семенной жидкости из кисты [20].
Заключение
Синдром Циннера - заболевание, которое необходимо подозревать у пациентов мужского пола с агенезией почки и диагностированным образованием в области проекции мочевого пузыря. В большинстве случаев симптомами заболевания являются гематурия, гемоспермия, гипоспермия, нарушение эякуляции, а также дискомфорт в промежности после эякуляции. Современные методы визуализации, такие как МРТ, КТ и ТРУЗИ, способствуют ранней диагностике синдрома Циннера. Нередко кисты семенного пузырька пролабируют в мочевой пузырь. Начинать лечение целесообразно с консервативной тактики, однако только хирургическое лечение является единственной тактикой для избавления пациента от имеющихся жалоб и профилактики бесплодия. При отсутствии каких-либо жалоб со стороны органов мочевыделительной системы пациентам предпочтительно назначать симптоматическую терапию.
В настоящее время лапароскопическая и робот-ассистированная методики постепенно заменяют открытые хирургические вмешательства.
В настоящем исследовании представлены собственные результаты диагностики и лечения пациентов с синдромом Циннера. Учитывая минимальные клинические проявления заболевания, принято решение о проведении симптоматической терапии и динамическом наблюдении за пациентами.
Врожденные аномалии мочеточника
Врожденные аномалии мочеточников - это нарушения количества, формы, структуры и расположения мочеточников, которые возникают во внутриутробном периоде. Клинические проявления зависят от типа патологии. Наиболее частые симптомы - боль в пояснице различного характера, дизурические расстройства. Диагностическая программа включает в себя общие анализы крови и мочи, УЗИ почек и мочевого пузыря, экскреторную урографию, ретроградную и антеградную уретерографию, СКТ и МРТ. Основное лечение врожденных аномалий мочеточника - хирургическая коррекция с восстановлением нормальной уродинамики. В некоторых случаях показана консервативная терапия и выжидательная тактика.
Общие сведения
Врожденные аномалии мочеточников - это гетерогенные патологические состояния, которые возникают во внутриутробном периоде и характеризуются изменением количества, формы, структуры и места расположения мочеточников. Среди всех пороков развития мочеполовых путей составляют от 30 до 40% случаев. С врожденными аномалиями данной системы рождаются 15% всего населения - у 1/3 из них поражены почки и мочеточники. Как правило, врожденные аномалии мочеточников чаще возникают у мальчиков - их соотношение к девочкам составляет 2-3:1. При своевременной хирургической коррекции порока прогноз благоприятный. В противном случае имеется высокий риск развития осложнений в виде артериальной гипертензии, гидронефроза, атрофии почки или хронической почечной недостаточности.
Причины и классификация
Врожденные аномалии мочеточников могут быть вызваны многими факторами. К числу таких факторов относят перенесенные матерью во время беременности TORCH-инфекции (токсоплазмоз, краснуха, ЦМВ, сифилис, герпес, вирусный гепатит и др.), физические воздействия (ионизирующее излучение, высокие температуры), генетические мутации, нарушающие морфогенез мочеполовой системы. Также высокий риск формирования врожденных аномалий мочеточников наблюдается у детей, чьи матери употребляют наркотические вещества, алкоголь и табачные изделия, бесконтрольно принимают медикаменты.
Врожденные аномалии мочеточника можно разделить на несколько групп:
Изменение количества: аплазия, удвоение или утроение мочеточника. При аплазии с одной стороны мочеточник полностью отсутствует. Часто данная врожденная аномалия мочеточника сопровождается аплазией или гипоплазией почки. Полное удвоение или утроение характеризуется дополнительными мочеточниковыми каналами, имеющими отдельные чашечно-лоханочные системы в почках. При частичных формах из одной лоханки выходит 2 или 3 мочеточника.
Дистопии: ретрокавальный и ретроилеальный мочеточники, эктопия отверстий. При ретрокавальном расположении мочеточник кольцом обходит нижнюю полою вену. При ретроилеальном варианте он проходит позади подвздошной вены (общей или ее внешней ветви). Врожденная аномалия мочеточника в виде эктопии устья характеризуется его впадением в прямую кишку, уретру, влагалище, матку, семенные пузырьки или промежность. Часто сочетается с удвоением мочеточника.
Аномалии формы: штопорообразный, кольцевидный мочеточник. При данных врожденных аномалиях мочеточника он закручивается в спиральном направлении или формирует кольцо на своем протяжении.
Структурные аномалии: гипоплазия или мегауретер, клапаны или дивертикул, нейромышечная дисплазия, уретероцеле. При гипоплазии наблюдается сужение просвета или его полная облитерация на фоне истончения мышечного слоя. Мегауретер характеризуется значительным расширением просвета. Клапаны мочеточника - это соединительнотканные перемычки, перекрывающие просвет на протяжении. Дивертикул - выпячивание стенки на определенном участке. Нейромышечная дисплазия проявляется нарушением моторики в результате патологической иннервации. При врожденных аномалиях мочеточника в виде уретероцеле возникает массивное кистообразное расширение в нижних отделах или в месте впадения в мочевой пузырь.
Симптомы аномалий мочеточника
Для всех врожденных аномалий мочеточника существуют общие симптомы. Наиболее распространенными из них являются боль в поясничной области или животе тянущего или ноющего характера и дизурические расстройства. Последние включают в себя поллакиурию, боль при мочеиспускании, мутность или пенистость мочи, примесь крови. В зависимости от форм врожденных аномалий мочеточника клиника может варьировать.
При удвоении мочеточников помимо тупых болей в поясничной области могут возникать боли по типу почечной колики. При эктопии отверстия мочеточника у женщин наблюдают самопроизвольное мочеиспускание из уретры или половых органов, боли в тазу. У мужчин данное нарушение проявляется дизурией и болями, усиливающимися при дефекации. Гипоплазия, клапаны, дистопии и аномалии формы мочеточника сопровождаются расстройствами мочеиспускания и характерными осложнениями. Мегауретер и нейромышечная дисплазия дают клинические проявления только при развитии пиелонефрита или почечной недостаточности. Врожденная аномалия мочеточника в виде уретероцеле может проявляться частым мочеиспусканием малыми порциями, гематурией. Дивертикул зачастую протекает латентно до момента образования камней мочеточника или дивертикулита.
К наиболее распространенным осложнениям врожденных аномалий мочеточника относят гидронефроз, острый или хронический пиелонефрит, мочекаменную болезнь, кровотечения из мочеполовой системы, артериальную гипертензию, хроническую почечную недостаточность, атрофию паренхимы почки.
Диагностика
Диагностика врожденных аномалий мочеточника включает в себя сбор анамнестических данных, проведение лабораторных и инструментальных исследований. Физикальный осмотр информативен только в случае осложнений с поражением почки - могут возникать боли в пояснице (позитивный симптом Пастернацкого), симптомы артериальной гипертензии и др. При опросе педиатр или детский уролог уточняет первые клинические проявления болезни, наличие патологий подобного характера у членов семьи. Общий анализ мочи при врожденных аномалиях мочеточника позволяет выявить наличие эритроцитов (микро- или макрогематурия), лейкоцитов, белка, глюкозы, солей или бактерий. Общий анализ крови дает возможность подтвердить воспалительные осложнения со стороны мочеполовой системы - обнаруживается лейкоцитоз, смещение лейкоцитарной формулы влево, повышение СОЭ.
Ведущую роль в диагностике врожденных аномалий мочеточника играют инструментальные методы - ультразвуковое исследование, экскреторная урография, ретроградная и антеградная пиелография, спиральная компьютерная и магнитно-резонансная томография. На УЗИ определяется точная локализация почек, структура чашечно-лоханочной системы и мочевого пузыря, наличие патологических образований. По результатам экскреторной урографии, ретроградной и антеградной пиелографии можно установить почти все типы врожденных аномалий мочеточника при условии его проходимости для мочи. МРТ и МСКТ дают возможность визуализировать не только мочеточники, но и все прилегающие ткани и органы, с которыми они сообщаются.
Лечение
Основное лечение врожденных аномалий мочеточника - хирургическое. В зависимости от ситуации могут проводиться различные операции, суть которых сводится восстановлению нормальной уродинамики. В педиатрии выполняются следующие виды оперативных вмешательств: пластика участка мочеточника или лоханочно-мочеточникового сегмента, нефростомия, стентирование мочеточника, неоуретероцистоанастомоз (формирование нового устья в стенке мочевого пузыря), резекция уретероцеле. При слабой выраженности или отсутствии клинических проявлений врожденных аномалий мочеточника предпочтение отдается выжидательной тактике и консервативному лечению. Последнее включает в себя рацион с ограничением соли, жиров и белков, витаминотерапию, при необходимости - гипотензивные и антибактериальные препараты.
Прогноз
Прогноз зависит от формы врожденной аномалии мочеточника. Как правило, при своевременной хирургической коррекции исход благоприятный. При отсутствии клинических проявлений ребенок находится под постоянным мониторингом у местного педиатра. При длительном прогрессировании на фоне отсутствия терапевтических мер развиваются патологии, которые приводят к хронической почечной недостаточности и смерти. Специфической профилактики развития врожденных аномалий мочеточника не существует. Неспецифические меры включают в себя антенатальную охрану плода, минимизацию контакта беременной с инфекционными больными, рациональное ведение беременности. При отягощенном семейном анамнезе будущим родителям рекомендовано медико-генетическое консультирование. Посещение женской консультации согласно графику и регулярное прохождение УЗИ позволяет выявить врожденные аномалии мочеточника еще во внутриутробном периоде.
Везикулит ( Сперматоцистит )
Везикулит - это воспаление семенных пузырьков. Поражает преимущественно мужчин в возрасте сексуальной активности. В изолированном состоянии болезнь протекает редко, в большинстве наблюдений сопутствует простатиту. Ведущие клинические признаки - примесь крови в сперме и болезненные эрекции. При длительном процессе регистрируют изменения в спермограмме. Для диагностики используют пальпаторный осмотр, ТРУЗИ, сок простаты и семенных пузырьков, ПЦР-анализы на ИППП, культуральные исследования. Лечение подразумевает назначение антибактериальных и противовоспалительных препаратов, физиотерапию.
МКБ-10
Везикулит (сперматоцистит) - урологическое заболевание, проявляющееся воспалением семенных пузырьков - парного железистого органа мужской репродуктивной системы. По форме орган напоминает скрученную спираль длиной 5-7 см, шириной 2-4 см и толщиной 1-2 см. Основная функция данных анатомических структур - выработка части секрета для спермы. Сок семенных пузырьков содержит белки, фруктозу и витамин С, что обеспечивает питание, защиту и подвижность сперматозоидов. При несостоявшемся семяизвержении спермиофаги в везикулах утилизируют остатки семенной жидкости. Профилактика везикулита и последующего бесплодия является одной из важных задач современной андрологии.
Причины везикулита
В качестве предрасполагающих факторов рассматривают ослабление иммунных реакций любого генеза: переохлаждение, алкоголизм, прием некоторых лекарств и пр. Выделяют два вида везикулита: инфекционный и асептический. В первом случае к воспалению приводят представители кокковой флоры, кишечная палочка, возбудители ИППП. В эндемичных зонах хронический сперматоцистит может поддерживаться шистосомозом и туберкулезом. Для асептического везикулита первостепенными являются анатомические предпосылки и конгестивный застой крови в малом тазу. Основными причинами везикулитов являются:
- Сопутствующие заболевания. Инфекционный везикулит часто осложняет другие хронические или острые патологии урогенитального тракта мужчины - простатит, уретрит и эпидидимит. Иногда воспаление провоцирует патогенная микрофлора из экстрагенитально расположенных очагов (тонзиллит, кариес) или заболевание развивается на фоне вирусной инфекции.
- Конгестия. Все факторы, приводящие к застою крови в органах малого таза, при соответствующих условиях (иммуносупрессия, переохлаждение) могут осложниться асептическим везикулитом. Конгестия тазовых вен сопровождает хронические запоры, низкую двигательную активность, половые эксцессы. Спровоцировать венозный застой может слишком активная сексуальная жизнь (включая мастурбацию), искусственное пролонгирование полового акта, отсутствие регулярного семяизвержения.
- Травматизация. Травмирование везикул возможно при трансуретральной резекции, диагностических исследованиях (цистоуретроскопии), во время катетеризации. При бужировании по поводу стриктуры уретры нередко развивается воспаление, в которое вовлекаются ткани уретры, семенных пузырьков, простаты. Везикулит может возникнуть после пенильно-анальных контактов у гомосексуальной пары.
- Анатомическая предрасположенность. Причина асептического воспалительного процесса в семенном пузырьке - контакт тканей везикулы с мочой или спермой в результате врожденного или приобретенного рефлюкса, атрезии протока. В результате данных анатомических дефектов везикулит может проявиться даже у ребенка, его особенностями являются упорное течение, резистентность к антибактериальной терапии и одностороннее поражение.
Патогенез
При развитии инфекционного везикулита патогены (бактерии, вирусы, грибы) провоцируют воспаление везикул, отек и инфильтрация тканей затрудняют отток мочи. Постоянная задержка урины приводит к уретрально-семинальному рефлюксу и усугублению инфекционного процесса. Нарушение сократительной функции пузырьков по гипорефлекторному типу проявляется уменьшением количества производимого эякулята. Везикулы обильно кровоснабжаются, при воспалении сосуды утрачивают эластичность и рвутся, чему способствует повышение давления в полости малого таза во время семяизвержения.
При асептическом везикулите конгестия мочеполового венозного сплетения ведет к артериальной констрикции, венозному полнокровию и повышению сосудистой проницаемости. В результате этих процессов развивается ишемия всех органов малого таза, включая везикулы. Доказано, что при воспалении снижается уровень тестостерона и повышается уровень пролактина, что оказывает негативное влияние на секреторную активность везикул и фертильность.
При асептическом воспалении сократительная функция семенных пузырьков нарушается по гиперрефлекторному типу, следствием чего является раннее семяизвержение, спонтанные эрекции и ночные поллюции. При любом типе воспаления страдает сперматодинамика, может формироваться бесплодие. Асептический везикулит при активации вторичной микрофлоры принимает воспалительный характер. Последние исследования показали, что недостаточная выработка семеногелина I способствует возникновению везикулита, что связано с утратой естественных механизмов защиты против бактерий.
Классификация
Поражение везикул может быть односторонним и двусторонним, острым и хроническим. Урологи и андрологи используют классификацию, которая учитывает степень выраженности воспаления. Данные для определения этого показателя получают с помощью эндоскопического исследования - везикулоскопии. Выделяют следующие формы везикулита:
- Катаральная. Поверхностное воспаление характеризуется покраснением слизистой, экссудацией. Везикулы несколько увеличены в размерах, содержат негомогенную жидкость, в которой может присутствовать белок, эритроциты и лейкоциты.
- Глубокая. Характеризуется дальнейшим распространением воспалительного процесса со слизистой оболочки везикулы на нижерасположенные слои (подслизистый и мышечный). Семенные пузырьки увеличены, отечны, гиперемированы. В их содержимом определяется большое количество гноя.
- Распространенная (паравезикулит). В процесс вовлекаются соседние ткани, граничащие с семенными пузырьками. Предшествует эмпиеме везикул - осложнению, связанному с гнойным расплавлением этих анатомических структур.
Симптомы везикулита
Основными симптомами, свидетельствующими о развитии патологии, считаются появление спермы с прожилками крови (по типу смородинового желе) и спонтанные (без сексуального возбуждения) болезненные эрекции. Выраженность проявлений коррелирует с характером процесса, при остром воспалении симптомы выражены ярче, включают дискомфорт в промежности, внизу живота. Неприятные ощущения усиливаются во время дефекации и по мере наполнения мочевого пузыря.
У 90% мужчин везикулит сопровождается диспареунией - болезненными спазмами в промежности во время и после сексуального контакта с иррадиацией в пенис и яички. Сперматоцистит может проявляться в виде нарушений сексуальной функции: вялости эрекции, преждевременной эякуляции, снижения оргастических ощущений или трудностей в достижении кульминации. Нередко пациенты обращают внимание на визуальное изменение качества эякулята: количество спермы уменьшено, могут присутствовать сгустки, нетипичный запах.
При выраженном воспалительном процессе страдает общее самочувствие: появляется слабость, температурная реакция, головная и костно-суставная боль. В 70% случаев везикулит сопровождают дизурические расстройства: частые позывы на мочеиспускание, изменение качества струи мочи, чувство неполного опорожнения. Хронический везикулит чаще протекает бессимптомно и выявляется при обследовании, проводимом по поводу бесплодия.
Осложнения
В качестве осложнения острого везикулита рассматривают хронизацию процесса, при которой происходит атрофия семенных пузырьков и утрата их функций. Редко диагностируется абсцесс везикулы (эмпиема) - следствие неадекватной терапии или ее отсутствия у пациентов с иммуносупрессией. На фоне выраженного отека нарушается отток мочи, что проявляется ее хронической задержкой с развитием персистирующих инфекций нижних и верхних мочевых путей. При двустороннем поражении везикул снижается фертильность, развивается бесплодие.
Диагностика везикулита затруднена, поскольку аналогичные жалобы могут присутствовать при ряде нозологий. Тактику обследования определяет уролог или андролог. После оценки симптомов врач переходит к физикальному осмотру гениталий и пальцевому исследованию предстательной железы, везикул. При воспалении они имеют большие размеры и плотность, болезненны при пальпации. Обследование проводят по следующему алгоритму:
- Лабораторная диагностика. В общем анализе мочи и крови присутствуют воспалительные изменения. В секрете везикул и простаты выявляют повышенное количество лейкоцитов и бактерий, эритроциты. Биохимический анализ показывает сниженное количество фруктозы и витамина С. Степень выраженности изменений в спермограмме вариативна - от астеноспермии до олигоспермии с преобладанием дегенеративных типов сперматозоидов. Для уточнения типа возбудителя выполняют ПЦР-анализ на ИППП, бакпосев эякулята.
- Инструментальные исследования. К диагностике первой линии относят ТРУЗИ. Ультразвуковое сканирование показывает типичные признаки воспаления: увеличение и отек везикул, негомогенность их содержимого, усиленную васкуляризацию. Методика дает возможность одновременно оценить состояние предстательной железы. Диагноз подтверждает везикулоскопия, позволяющая визуализировать изменения в везикулах. МРТ и КТ малого таза производят при подозрении на сопутствующий опухолевый процесс или врожденные аномалии развития.
Дифференциальную диагностику проводят с первичными опухолями, кистой и туберкулезным поражением. Схожие проявления могут наблюдаться при вторичном метастазировании в везикулы новообразований малого таза, в первую очередь - инвазии рака предстательной железы. Для исключения злокачественной опухоли простаты с распространением на семенные пузырьки назначают анализ крови на уровень ПСА.
Лечение везикулита
Терапевтические мероприятия зависят от этиологического фактора, выраженности воспаления и сопутствующей патологии. При данных, свидетельствующих о гнойном воспалении, терапию начинают эмпирически, не дожидаясь результатов культурального исследования. Схема лечения включает препараты и физиотерапевтические воздействия, влияющие на все звенья патогенеза: воспаление, нарушение кровообращения, иммуносупрессию:
- Медикаментозная терапия. Назначают антибактериальные средства широкого спектра действия (при ИППП - с учетом возбудителя), иммуномодуляторы, ферменты. НПВС усиливают действие антибиотиков, уменьшают боль и нормализуют температурную реакцию. Для улучшения кровообращения используют флеботоники. При сопутствующих обструктивных расстройствах обосновано применение альфа-адреноблокаторов.
- Физиолечение. Физиотерапия способствует концентрации препаратов в зоне воспаления, уменьшает отек и выраженность болевого синдрома, улучшает микроциркуляцию. Применяют магнитно-лазерное воздействие, УВЧ, трансректальный электрофорез с антибиотиками и обезболивающими средствами. Одним из эффективных способов является трансуретральная или трансректальная микроволновая терапия или гипертермия.
- Санаторно-курортное лечение. Через 1-2 месяца после купирования острого состояния возможна реабилитация в санатории. Грязевые тампоны в прямую кишку, аппликации, массаж предстательной железы и микроклизмы с отварами трав способствуют полному восстановлению пациента. Прием минеральной воды внутрь усиливает диурез и ускоряет выведение патогенов из урогенитального тракта. Физическая активность и специальные упражнения устраняют конгестию органов таза.
Прогноз и профилактика
Прогноз везикулита при своевременном обращении и адекватной терапии благоприятный. У мужчин с частыми рецидивами воспаления на исход влияет причина заболевания. Прием цитостатиков, сахарный диабет и ВИЧ-инфекция утяжеляют прогноз. В запущенных случаях при развитии гнойных осложнений может быть выполнена органоуносящая операция, приводящая к инфертильности.
Превентивные меры включают своевременную санацию очагов инфекции в организме, исключение переохлаждений, нормализацию работы кишечника. Использование презерватива, занятия спортом и регулярный секс без длительной отсрочки семяизвержения помогают сохранить мужское здоровье. При любых симптомах неблагополучия со стороны органов урогенитального тракта следует незамедлительно записаться к урологу.
1. Воспалительные заболевания добавочных половых желез у мужчин, обусловленные урогенитальной скрытой инфекцией и осложненные бесплодием. Автореферат диссертации/ Калинина С.Н. - 2003.
2. Патогенетические механизмы развития хронического простато-везикулита у инфертильных мужчин. Автореферат диссертации/ Светлова Л.Н. - 2009.
3. Выявление заболеваний семенных пузырьков с использованием методов визуализации: обзор современной литературы/ Гаутам Дагур, Келли Уоррен и пр.// Интернациональный журнал биомедицины - 2016 - №14.
Киста предстательной железы у мужчин
Киста простаты - это инкапсулированное, замкнутое полое образование в предстательной железе, заполненное жидкостью. После 40-45 лет киста предстательной железы диагностируется у каждого пятого мужчины. Для лечения пациентов, страдающих кистой простаты, в Юсуповской больнице созданы все условия:
- Современная диагностическая аппаратура ведущих мировых производителей;
- Внимательный и вежливый медицинский персонал;
- Европейский уровень комфорта;
- Инновационные методы лечения.
Тяжёлые случаи заболевания обсуждаются на заседании Экспертного Совета. В его работе принимают участие профессора и врачи высшей категории. Ведущие урологи коллегиально вырабатывают тактику ведения пациентов.

Виды кист простаты
Кисты предстательной железы у мужчин бывают врождёнными и приобретенными, паразитарными и непаразитарными. Врождённые кисты встречаются редко. Они являются следствием заращения выводного протока предстательных железок. Врождённые кисты простаты выявляют большей частью при обследовании пациента по поводу других заболеваний. Наиболее часто возникают следующие срединные кисты простаты:
- Кисты Мюллерового протока;
- Киста предстательной маточки (утрикулярная киста);
- Киста семявыбрасывающего протока.
Доброкачественная кистозная гиперплазия предстательной железы относится к частым кистозным поражениям простаты. Её можно обнаружить в переходной зоне в качестве случайной находки. В большинстве случаев находят множественные мелкие кисты. Увеличение переходной зоны всегда вызывает сдавление центральной и периферической зон и создаётся впечатление, что киста располагается в этих двух зонах.
Большая часть кист семявыбрасывающего протока возникает вследствие нарушения его проходимости. Обычно они располагаются в месте прохождения семявыбрасывающего протока в простате. Кистозной расширение семенного пузырька на той же стороне может быть ключом к диагностике.
Ретенционные кисты предстательной железы развиваются вследствие дилатации железистых долек при приобретенной обструкции мелких протоков. Они могут появиться в любой зоне предстательной железы, но наиболее часто - в периферической. В основе диагностики лежит локализация кист в периферической зоне простаты и отсутствие данных за наличие доброкачественной гиперплазии.
Ретенционная киста предстательной железы может располагаться в области внутреннего отверстия мочеиспускательного канала. При её наличии возникает затруднение мочеиспускания. Эхинококковые кисты в настоящее время встречаются исключительно редко, но значительных размеров. Известны единичные случаи дермоидных кист предстательной железы. Несколько чаще встречаются серозные кисты простаты, которые располагаются внутри самой железы. Их диаметр не превышает одного сантиметра. Образования наполнены серозной или серозно-кровянистой жидкостью, выстланы мостовидным эпителием.
Причины кист простаты
Развитие врождённых кист предстательной железы у мужчин обусловлено неправильным внутриутробным развитием органа. Причиной аномального, с внутренними полостями, формирования предстательной железы может стать любой из факторов, которые неблагоприятны для развития плода. Приобретенные кисты возникают вследствие заболеваний и воздействия всевозможных вредностей, которые сопутствуют жизнедеятельности взрослого мужчины. Чаще всего приобретенная киста простаты носит ретенционный характер. Она обусловлена нарушениями оттока секрета простаты. Другой широко распространённой причиной новообразования является гиперсекреция, (избыточная выработка) предстательной фракции.
Риск формирования кисты простаты в зрелом возрасте повышается под воздействием следующих факторов:
- Наличия аденомы (доброкачественного разрастания) предстательной железы;
- Нерегулярной сексуальной жизни (полное отсутствие или редкость контактов неизбежно приводит к застойным явлениям, или наоборот, слишком частые сексуальные контакты);
- Некоторых видов профессиональной деятельности, связанных с поднятием тяжестей и воздействием вибрации;
- Систематического переохлаждения;
- Алкоголя.
Для того чтобы избежать образования кисты простаты, урологи рекомендуют мужчинам уменьшить или избегать воздействия вредных факторов.
Симптомы и диагностика кисты предстательной железы
Небольшие кисты простаты, не сдавливающие предстательный отдел мочеиспускательного канала, не вызывают никаких расстройств. Клинические проявления больших кист аналогичны симптомам аденомы предстательной железы. Распознавать кисту в большинстве случаев нетрудно. При пальпации через прямую кишку даже кисты небольших размеров определяются в виде довольно плотной гладкой округлой опухоли. Слизистая оболочка прямой кишки над кистой свободно сдвигается. Диагностика больших кист затруднена.
Киста предстательной железы характеризуется следующими классическими симптомами:
- Нарушениями мочеиспускания (частыми позывами, затруднённым началом, ослаблением струи, императивной необходимостью посещения туалета ночью);
- Расстройствами эректильной или эякуляторной функций (ослаблением эрекции, преждевременным семяизвержением, дискомфортом при эякуляции, полной импотенцией);
- Соматическим дискомфортом (субфебрилитетом с соответствующим недомоганием, тянущими болям в промежности).
Все эти симптомы не являются характерными признаками именно кисты простаты. Они могут встречаться также при иных аномалиях и патологических процессах. Более выраженная, иногда опасная клиническая картина развивается в случае абсцедирования кисты при занесении инфекции, травматических разрывов и прободения, перекрытия растущей кистой мочеиспускательного канала или её выбухания в прямую кишку.
В Юсуповской больнице с целью диагностики кисты предстательной железы применяют следующие методы исследования:
- Трансуретральное ультразвуковое исследование (ТРУЗИ);
- Компьютерную томографию;
- Пальцевое исследование предстательной железы.
Вследствие одинаковых ультразвуковых признаков, при проведении трансуретрального ультразвукового исследования сложно различить кисты предстательной маточки и кисты Мюллерова протока. Помогает в дифференциальной диагностике игольная аспирация под контролем ТРУЗИ. При необходимости уточнить диагноз или провести дифференциальную диагностику урологи Юсуповской больницы назначают лабораторные анализы биологических жидкостей (крови, мочи, спермы, секрета простаты), проводят пункцию с последующим гистологическим анализом содержимого полости.
Лечение кисты предстательной железы
Бессимптомная киста простаты, которая не обнаруживает тенденции к росту, озлокачествлению или нагноению, лечения не требует. В этом случае урологи Юсуповской больницы проводят периодические контрольные исследования. Они особенно необходимы мужчинам с 40 лет, поскольку злокачественное перерождение кисты также может протекать достаточно быстро и бессимптомно.
Если у пациента прогрессируют симптомы заболевания (боль, нарушение оттока мочи, эректильная дисфункция) или происходит абсцедирование кисты, урологи выполняют хирургическое вмешательство. В наиболее благоприятных вариантах оно ограничивается пункцией кистозной полости и введением склерозирующих препаратов. Врач производит откачку содержимого и через ту же иглу вводит в полость специальное вещество, стягивающее и склеивающее внутренние поверхности кисты. После процедуры киста перестает существовать как таковая.
Методом лечения срединных кист предстательной железы как причины обструктивного бесплодия является трансуретральная резекция семявыносящих протоков. Операция имеет ряд недостатков. В связи с разрушением семенного бугорка у мужчины утрачиваются оргастические ощущения, существует риск повреждения прямой кишки, может развиться рецидив сужения устьев из-за контакта с мочой. Лучшие результаты наблюдаются при выполнении эндоскопической операции.
По показаниям выполняют полномасштабную полостную операцию. Она технически сложная и сопряжена с неизбежными в подобных случаях хирургическими рисками. Для того чтобы её избежать, необходимо максимально исключить риски развития образования и регулярно проходить обследование у уролога или андролога. Это позволит выявить кисту на стадии формирования и, при наличии показаний, удалить её в «спокойном» состоянии.
Если обнаружена киста в простате, что делать? Записывайтесь на приём к специалисту, позвонив по телефону контакт центра Юсуповской больницы. После обследования врач предложит оптимальную тактику лечения заболевания.
Везикулит
Везикулит - это урогенитальное заболевание мочеполовой системы, при котором происходит воспаление семенных пузырьков. Как правило, оно имеет инфекционную этиологию. Второе название данной патологии - сперматоцистит. Может развиваться как самостоятельное заболевание, но чаще всего сочетается с такими патологиями, как эпидидимит, простатит и с различными воспалительными заболеваниями мочеиспускательного канала.
При отсутствии соответствующего лечения возможно серьезные последствия, вплоть до бесплодия у пациента. Острая форма заболевания хорошо поддается терапии, не вызывая серьезных последствий для здоровья (в случае раннего выявления и комплексного лечения). При хроническом везикулите прогноз не такой благоприятный: примерно 60% пациентов, страдающих от бактериальной или когнитивной формы данного заболевания, имеют серьезные проблемы с репродуктивной функцией и расстройства в интимной сфере.
Особенности анатомии семенных пузырьков
Семенные пузырьки - это парные железы, являющиеся частью мужской половой системы. Локализуются над предстательной железой (сбоку от семявыносящих протоков). Их задняя часть прилегает к передней стенке прямой кишки, а передняя - прилегает ко дну мочевого пузыря.
Они выполняют крайне важные функции в мужской половой системе:
- Обеспечение семенной жидкости необходимыми веществами и энергоресурсами.
- Выполнение защитной функции.
- Утилизация остатков спермы.
Примерно 55-60% семенной жидкости составляет секрет этих пузырьков. Одним из наиболее важных веществ в этом секрете является фруктоза, которая обеспечивает необходимую двигательную активность сперматозоидам. Именно по уровню этого вещества специалисты оценивают способность пациента к репродуктивной функции.
Чтобы сперматозоид дошел до яйцеклетки, он должен обладать не только большой двигательной активностью, но и выживаемостью. Именно секрет семенных пузырьков (соединенный с секретом яичек) обеспечивает необходимую защиту, в результате чего повышаются шансы оплодотворения.
В чем причины воспаления?
Воспаление семенных пузырьков (везикулит) в большинстве случаев не возникает как отдельная нозологическая единица. Как правило, оно является следствием заболеваний инфекционной природы в мужской репродуктивной системе.
Причины везикулита принято делить на две группы - инфекционные и застойные (когнитивные). Инфекционные причины делятся на специфические и неспецифические. Специфические: туберкулезные, гонорейные, трихомонадные и смешанного типа. Неспецифические: вирусные, бактериальные, микоплазменные, хламидийные, кандидамикозные и уреаплазменные.
Под застойными (когнитивными) причинами понимают:
- Застой секрета в предстательной железе, семенных пузырьках.
- Различные застойные процессы в мошонке и органах малого таза.
- Смешанные причины.
К основным факторам, которые провоцируют развитие данной патологии, относятся:
- длительное воздержание от сексуальных контактов;
- слишком частые мастурбации;
- прерванный половой акт;
- злоупотребление вредными привычками (курение, спиртные напитки);
- нерегулярная сексуальная жизнь;
- гипертрофия предстательной железы;
- геморрой, трещины анального отверстия (особенно при хронической форме);
- различные микротравмы промежности, которые возникли из-за несоблюдения правил безопасности при верховой езде или катании на велосипеде;
- малоподвижный образ жизни (проблема особенно остро стоит перед представителями сидячих профессий);
- переохлаждение организма.
Кроме того, данная патология может быть врожденной аномалией. В данном случае, инфекция проникает в семенные пузырьки вместе с мочой.
Классификация заболевания
По длительности течения патология подразделяется на острый и хронический везикулит. Вторая форма является логическим продолжением первой, т.е. в случае отсутствия грамотной терапии, воспаление перетекает из острой стадии в хроническую.
Касаемо причин, которые вызывают данную патологию, везикулит делится на:
- Первичный. Возникает внезапно, без видимых на то причин.
- Вторичный. В данном случае, воспаление является следствием других патологий (к примеру, простатита).
Согласно изменениям, которые наблюдаются в результате воспаления, выделяются следующие типы заболевания:
- Катаральный. В этом случае в семенных пузырьках находится экссудат серозного характера. Сами железы становятся больше в размерах, есть следы отека.
- Глубокий. Воспаление затрагивает даже мышечный слой. Железы уплотнены, есть сильная отечность. В экссудате наблюдаются примеси крови и гноя.
- Паравезикулит. Воспалительный процесс затрагивает клетчатку, которая окружает парные железы. Считается наиболее опасной формой заболевания, поэтому риски эректильной дисфункции и потери репродуктивной функции велики.
- Эмпиема. Железы наполняются гноем, их стенки начинают разрушаться.
Основная симптоматика
Чтобы вовремя начать лечение, пациент должен внимательнее относится к сигналам, которые подает ему его организм. При везикулите есть характерные признаки, при наличии которых важно сразу же обратиться к врачу.
Острая форма проявляется следующими симптомами:
- Болезненные ощущения в области малого таза, которые отдают в крестец. Как правило, мужчины чувствуют боль только с одной стороны.
- Примеси крови в семенной жидкости.
- Боль в процессе эякуляции.
- Часто боль усиливается во время акта дефекации или полном мочевом пузыре.
- Характерная для воспаления симптоматика: боль в голове, общая слабость, повышение температуры тела.
Как правило, острая стадия длится в течение недели. Если в течение этого срока пациент не обращается к врачу, то болезнь перетекает в хроническую стадию. В этом случае риск эректильной дисфункции и бесплодия увеличивается.
Хроническая форма может протекать вообще без каких-либо симптомов, что приводит к ухудшению ситуации. В ряде случаев пациенты начинают подозревать о проблеме только после того, как заметят кровяные сгустки в семенной жидкости.
Помимо этого, при хронической форме возможны следующие проявления:
- Боль в процессе эякуляции, а также когда пенис находится в возбужденном состоянии.
- Боль после сексуального контакта (может продолжаться до нескольких часов).
- Непроизвольные семяизвержения в течение дня.
- Ноющая боль, которая локализована в области крестца.
- Проблемы с испытанием оргазма.
- Различные проблемы с опорожнением мочевого пузыря (частые позывы, боли при мочеиспускании, либо пациент испытывает затруднения при опорожнении мочевого пузыря).
Диагностика везикулита
Постановкой диагноза занимается профессиональный уролог или андролог. Первый этап диагностики включает в себя сбор анамнеза: выяснение жалоб пациента, подробностей его личной, включая сексуальной, жизни. Врач должен выяснить, что именно предшествовало возникновению первой симптоматики. Проводится осмотр, в ходе которого специалист пальпирует область семенных пузырьков и предстательной железы.
Далее назначаются стандартные лабораторные анализы (общий анализ мочи, крови и биохимия). Они позволяют выявить наличие воспалительного процесса. Обязательно проводится исследование состояние спермы. Оценивается не только фертильность, но и различные изменения, которые являются отклонением от нормы.
Культуральное исследование семенной жидкости позволяет определить конкретного возбудителя данного заболевания. Среди инструментальных способов диагностики используются следующие методики:
- ТРУЗИ. Ультразвуковое исследование позволяет выявить отечность везикул, увеличение в размере, а также другие патологические признаки. Данная процедура предполагает проведение предварительной подготовки, чтобы результаты исследования были максимально информативными.
- Компьютерная томография и МРТ. Исследование малого таза назначают при наличии подозрений на новообразования.
Методы лечения
Лечение данной патологии зависит от конкретной причины, которая вызвала воспаление. Если патология носит инфекционный характер, то назначается антибактериальная терапия. В случае застойных процессов, врач назначает препараты, которые устраняют эти застойные явления.
Как правило, при инфекционном факторе назначаются:
- Антибиотики, к которым чувствительна микрофлора
- Сульфаниламиды
- Нитрофураны
Если причиной является застойный фактор, то назначаются:
- Ангиопротекторы
- Физиотерапевтические процедуры
- УВЧ-терапия
- Массаж области воспаления
Везикулит сопровождается болями разной степени интенсивности, поэтому важно не только лечить первопричину заболевания, но и устранять сопутствующую симптоматику. Как правило, назначаются нестероидные противовоспалительные препараты, которые позволяют не только купировать болевой синдром, но и уменьшить воспалительный процесс.
Хирургическое лечение
В большинстве случаев везикулиты лечатся при помощи консервативной терапии. Но в ряде случаев такое лечение оказывается неэффективным, поэтому пациенту показана операция.
Как правило, оперативное вмешательство проводится в случае эмпиемы, когда семенные пузырьки наполнены гноем. Проводится пункция и дренирование. Возможно другое решение - разрез железы и удаление гноя. В случае угрозы дальнейшего распространения сепсиса, возможно удаление семенных пузырьков.
Способы профилактики
Возникновение данной патологии можно предупредить, если соблюдать основные меры профилактики. В первую очередь, речь идет о своевременном выявлении и лечении инфекций, передающихся половым путем.
Помимо этого, важно исключить из своей жизни провоцирующие факторы, а также внести определенные коррективы:
- Стараться вести регулярную интимную жизни. Важно всегда использовать средства контрацепции.
- При сидячей работе нужно чаще делать перерывы. Во время них можно делать простую зарядку, либо просто походить. Помните о том, что ваш отдых должен быть активным, а не сидя у компьютера. В этом случае будут полезны даже обычные пешие прогулки по городу.
- Исключить из рациона фаст-фуд, слишком жирную и соленую пищу. Лучше есть побольше овощей, фруктов, пить достаточное количество жидкости.
- Исключить или ограничить употребления спиртных напитков. От курения лучше вообще отказаться.
- Нужно избегать слишком частых мастурбаций, стрессов и т.д.
Выявление заболевание на раннем этапе - это важное условие успешного лечения. Если допустить переход болезни в хроническую стадию, то в таком случае велика вероятность развития бесплодия и проблем в интимной сфере.
Читайте также:
- Радиоактивность минеральных вод. Лечебное применение минеральных вод
- Сочетанные аномалии и прогноз при плодах паразитах. Гетеротопическая беременность
- Седалищный нерв ( n. ischiadicus ). Топография седалищного нерва. Ветви седалищного нерва.
- Развитие органов дыхания. Формирование дыхательной системы эмбриона
- Гемосорбция. Механизмы действия гемосорбции. Плазмоферез. Фильтрационный плазмоферез.
