Лечение продольного плоскостопия и операции при нем
Добавил пользователь Евгений Кузнецов Обновлено: 01.02.2026

В ортопедии выделяют продольный и поперечный своды стопы. Первые располагаются вдоль ступни и поддерживаются мышечно-связочным аппаратом. Основную роль в укреплении этих сводов играет длинная подошвенная связка. Именно ее пластику чаще всего выполняют в случае развития продольного плоскостопия.
Поперечный свод стопы образован головками I-V плюсневых костей. В норме они образуют своеобразную арку. Поперечный свод поддерживается связками, сухожилиями и головкой мышцы, приводящей большой палец стопы. При нарушении мышечно-связочного баланса у человека возникает поперечное плоскостопие. Как правило, оно осложняется вальгусной деформацией I пальца стопы.

Рентген плоской стопы.
По статистике, Hallux Valgus разной степени выявляют у 100% пациентов с поперечным плоскостопием. Во время хирургического вмешательства врачам приходится одновременно устранять обе патологии.
Показания и цели хирургического лечения
Плоскостопие - это серьезное ортопедическое заболевание, ведущее к прогрессивному нарушению функций стопы. Оно вызывает сильные боли и трудности при ходьбе, доставляющие человеку немало страданий. Операция помогает устранить болезненные симптомы и вернуть ступням приятный внешний вид.
Основные принципы оперативного лечения плоскостопия:
- Дифференцированный подход, учет степени деформации и вариабельности анатомо-функционального строения стопы.
- Устранение всех компонентов плоскостопия и исключение их повторного появления в будущем.
- Прочное соединение костных структур с целью ранней активизации пациентов и восстановления подвижности пальцев.
- Обязательно сохранение всех точек опоры (пяточная кость, головки I и V плюсневой кости) при лечении разных видов плоскостопия.

Фото до и после операции.
Отметим, что после операций на ступнях пациент не нуждается в ношении гипса и ходьбе с костылями. Уже на следующий день он может свободно вставать с постели, предварительно надев специальную обувь. В туфлях Барука больному необходимо ходить на протяжении нескольких недель после хирургического вмешательства.

Операция при плоскостопии позволяет быстро восстановить функции стопы. В большинстве случаев пациенты возвращаются к привычному образу жизни уже спустя 3 месяца.
Операция при продольном плоскостопии
Когда возникает необходимость коррекции продольного плоскостопия, врачи делают операции на внутренней и/или задней части стопы. При слабовыраженной деформации они выполняют пластику связок и сухожилий. В более тяжелых случаях им приходится делать операции на костях предплюсны.
Таблица 1. Особенности разных видов хирургических вмешательств.
Факт! Лицам старше 30 лет артродез делать не рекомендуется из-за риска развития стойкого болевого синдрома.

Медиализирующая остеотомия пяточной кости в сочетании с таранно-ладъевидным артродезом.
Не так давно ученые провели исследование и выяснили, какие методики наиболее эффективны в лечении продольного плоскостопия. Лучшим методом коррекции оказалась медиализирующая остеотомия пяточной кости в сочетании с таранно-ладъевидным артродезом. Она дает хороший клинический результат и редко приводит к осложнениям. В отличие от подтаранного артродеза, после такого лечения больному не требуется повторное хирургическое вмешательство.
О слабости связочного аппарата говорит появление так называемого «эластичного плоскостопия». Для патологии характерно уплощение свода стопы при ходьбе. В состоянии покоя ступни приобретают нормальный вид.
Операции при поперечном плоскостопии

Лечение комбинированного типа
Поперечно-продольное плоскостопие - это наиболее тяжелая форма заболевания. У человека деформируются сразу оба свода, а стопа становится абсолютно плоской. Лечить патологию довольно тяжело.
Цели операций при комбинированном плоскостопии:
- восстановление сводов стопы;
- надежная неподвижная фиксация костей;
- исправление деформаций I пальца;
- удаление экзостозов;
- коррекция молоткообразной деформации.

Операция продольно-поперечной деформации.
При поперечно-продольном плоскостопии человеку делают сразу несколько вмешательств. Например, больному одновременно выполняют операцию Шеде, остеотомию Scarf и артродезирование некоторых суставов плюсны. Как правило, врачи стараются сделать все за одно хирургическое вмешательство.
Восстановительный период после таких операций длится дольше, чем в остальных случаях. К счастью, пациентам не требуется гипс или костыли. В худшем случае им придется походить с фиксирующими спицами, которые снимут вместе со швами уже через 2 недели.
При тяжелом продольном плоскостопии человеку требуется пластика сухожилий задних большеберцовых мышц и краевая подкожная тенотомия ахиллова сухожилия. После такого хирургического вмешательства больному накладывают гипс, а ходить разрешают только с костылями.
Сколько стоит операция
В России цены на хирургическое лечение плоскостопия начинаются с 30 000 рублей. Отметим, что в сумму не включена стоимость предоперационного обследования, анестезии, расходных материалов и имплантов. Если же в ходе операции врачи делают сразу несколько манипуляций - лечение обойдется еще дороже. К примеру, минимальная стоимость SCARF-остеотомии в комбинации с подтаранным артродезом - 35 000 рублей.
Если посчитать, в сумме лечение за границей стоит ненамного дороже, чем в России. В Чехии за операцию и реабилитацию вы заплатите евро. В Германии - от 7 тысяч евро, в Израиле от 7 тысяч долларов (без реабилитации). Так что если вы хотите оперироваться в Европе - поезжайте в Чехию.
Операция при плоскостопии 2—3 степени

Плоскостопие разных видов сегодня в большей или меньшей степени присутствует у каждого второго человека. Подобная деформация стопы приводит не только к развитию внешне неэстетичных дефектов, но и к возникновению болей, повышенной утомляемости ног и даже развитию осложнений. При этом если на 1-й стадии развития деформации стопы возможно лечение консервативными способами, то на 2-й и тем более 3-й стадии эффективным будет только хирургическое вмешательство.
Виды плоскостопия
Каждый человек рождается практически с плоской стопой. Но по мере взросления и осваивания новых двигательных навыков она приобретает естественные изгибы, называемых сводами. В норме они постепенно увеличиваются до физиологических значений. Этот процесс завершается с закрытием зон роста и окончательным формированием стопы.
У каждого человека есть 2 свода:
- Поперечный - свод стопы, образованный головками 1—5 тонких плюсневых костей, хорошо заметных с наружной части стопы. Он поддерживается связками, сухожилиями и головкой мышцы, отвечающей за приведение большого пальца стопы. Если в строении этих структур возникают изменения, в результате чего они растягиваются и ослабляются, возникает поперечное плоскостопие. Зачастую, особенно у женщин, это сочетается с вальгусной деформацией 1-го пальца стопы, т. е. Hallux valgus.
- Продольный - свод стопы, расположенный вдоль ступни и образованный плюсневыми, кубовидной, пяточной, клиновидной, таранной и ладьевидной костями. Основную роль в его поддержании играет длинная подошвенная связка. Поэтому при развитии продольного плоскостопия основные меры направлены на ее подтягивание.
Hallux valgus - деформация плюснефалангового сустава, сопровождающаяся отклонением от нормального положения плюсневой кости и фаланг большого пальца. В результате формируется болезненное выпячивание или шишка у основания 1-го пальца стопы, а он сам отклоняется к соседним пальцам. На поздних стадиях развития патологии 2, 3, а иногда и остальные пальцы стопы деформируются, их суставы увеличиваются в результате развития артроза. Это называют молоткообразной деформацией.

Поэтому при уплощении поперечного свода диагностируется поперечное плоскостопие. Если же уменьшается глубина продольного свода, говорят о продольном плоскостопии. В части случаев наблюдается одновременное уплощение обоих сводов. В подобных ситуациях диагностируют продольно-поперечное или комбинированное плоскостопие.
Хирургическое лечение плоскостопия любого вида и степени - задача ортопеда-хирурга.
Важность своевременного лечения
- дегенеративно-дистрофических процессов в коленном и тазобедренном суставе, т. е. артроза;
- остеохондроза с последующим присоединением протрузий и межпозвоночных грыж;
- искривлений позвоночника и пр.
Кроме того, прогрессирование плоскостопия вызывает усиливающиеся со временем боли в ногах, отеки, сложности с ходьбой и продолжительным стоянием. На поздних этапах развития человек сталкивается с существенными трудностями в повседневной жизни, поскольку ему становится сложно передвигаться даже на небольшие расстояния.

Поэтому при любом виде плоскостопия все меры направляются на нормализацию сводов стопы. Но характер хирургического вмешательства, если оно показано, подбирается индивидуально в соответствии с видом плоскостопия, его степенью, наличием сопутствующих заболеваний и другими особенностями. В любом случае операция будет заключаться в устранении всех компонентов плоскостопия с минимизацией рисков рецидива в будущем и восстановлении нормальных 3-х точек опоры (пятка и головки 1 и 5 плюсневых костей).
Поэтому она позволит не только устранить боли в ногах и другие симптомы, но и максимально приблизить строение стопы к норме, обеспечивая получение хорошего косметического результата. При этом проводимые сегодня операции при плоскостопии 2 и 3 степени подразумевают прочное соединение костных структур, не требуют наложения гипсовой повязки, использования костылей, что обеспечивает возможность ранней активизации пациентов.
При лечении плоскостопия оно обязательно включает комплекс мер, направленных на устранение причин его развития. Это может быть коррекция образа жизни, смена основной обуви, лечение имеющихся заболеваний и пр.
Противопоказания к проведению хирургического вмешательства
Даже при наличии веских показаний операция при плоскостопии 2 или 3 степени не всегда может быть проведена. Она противопоказана при:
- тяжелом протекании сердечно-сосудистых заболеваниях;
- дыхательной недостаточности;
- аллергической реакции на используемые для анестезии препараты;
- дерматологических заболеваниях с проявлением признаков на коже стоп и голеней;
- острых воспалительных процессах в организме, инфекционных заболеваниях.
При диагностировании плоскостопия у детей лечение обычно осуществляется консервативными методами с целью предотвращения усугубления ситуации и дальнейшего прогрессирования патологических изменений. Но при отсутствии эффекта и серьезном уплощении сводов стопы операция может быть проведена в подростковом возрасте.
Подготовка к хирургическому лечению

После выявления показаний к проведению операции, пациентам назначается комплексное предоперационное исследование. Это позволяет не только обнаружить возможные противопоказания, но и правильно спланировать проведение хирургического вмешательства, обнаружить потенциальные причины развития осложнений и принять меры для профилактики их возникновения. Таким образом, в рамках предоперационной подготовки больным потребуется предоставить результаты:
- ОАК и ОАМ;
- биохимического анализа крови;
- коагулограмму;
- теста на ВИЧ и сифилис;
- анализов на гепатит В и С;
- ЭКГ;
- флюорографии, проведенной не позднее, чем год назад;
- МРТ, КТ или рентген стоп;
- УЗДГ сосудов нижних конечностей.
На консультации ортопед-хирург обязательно выяснит, какие препараты пациент принимает на постоянной основе и порекомендует заблаговременно отменить использование антикоагулянтов и ряда других лекарственных средств. Также за 2 недели до операции следует отказаться от употребления алкогольных напитков.
При диагностировании поперечного плоскостопия 2 или 3 степени показано проведение операции на переднем отделе стопы. Выбор тактики вмешательства осуществляется на основании обнаруженных изменений в состоянии плюсневых костей, мышц, связок и сухожилий.
Чаще всего при поперечном плоскостопии проводится остеотомия 1-й плюсневой кости, т. е. ее пересечение и последующее соединение фрагментов в нужном для восстановления свода стопы положении. Ее выполнение может осуществляться по одной из следующих методик:
- Chevron - операция, при которой выполняется V-образная остеотомия. Пересечение 1-й плюсневой кости осуществляется у ее головки, а после сопоставления обломков они закрепляются в заданном положении титановыми винтами.
- Scarf - операция, заключающаяся в проведении Z-образной остеотомии 1 плюсневой кости. В ходе нее удается не только вернуть правильный угол кости, но и ликвидировать деформацию суставной капсулы и переместить сухожилия. Костные фрагменты также закрепляются титановыми винтами.
В самых сложных случаях проводят артродезирование, заключающееся в удалении деформированных суставов и неподвижном соединении образующих их костей. В результате прооперированный сегмент теряет подвижность.

При необходимости остеотомию 1-й плюсневой кости дополняют пластикой мышц, связок и сухожилий. Это реализуется за счет проведения операции McBride. Ее суть состоит в перемещении сухожилия мышцы, отвечающей за приведение большого пальца, на головку 1-й плюсневой кости. Это создаст условия для восстановления нормального мышечно-сухожильного баланса стопы.
Поскольку при поперечном плоскостопии практически у всех больных наблюдается развитие вальгусной деформации 1-го пальца стопы разной степени выраженности, операцию по ликвидации плоскостопия обычно дополняют лечением и этого нарушения с удалением костной мозоли у основания большого пальца. Для этого используется метод Шеде, подразумевающий резекцию основания проксимальной фаланги большого пальца на половину и спиливание избытка костной ткани с головки 1-й плюсневой кости и восстановление нормального размера сустава.
Если поперечное плоскостопие и Hallux valgus привели к молоткообразной деформации пальцев стопы, ее также устраняют во время проведения хирургического вмешательства. Это реализуется за счет изменения положения сухожилий, проведения остеотомии по типу Scarf, или резекции фрагментов средней или основной фаланг.
Операции при продольном плоскостопии

Для хирургического лечения продольного плоскостопия для доступа к требующим коррекции структурам хирург может выбрать внутреннюю или заднюю часть стопы. Сегодня для устранения деформации продольного свода стопы могут использоваться:
- пластика длинной подошвенной связки;
- подтаранный артродез;
- артродезирование;
- медиализирующая остеотомия пяточной кости;
- комбинации разных методов.
Поскольку продольное плоскостопие часто осложняется образованием пяточной шпоры, т. е. формированием на подошвенной части стопы или у ахиллова сухожилия костного выступа, при выполнении оперативного лечения, как правило, удаляют и его.
Каждая операция отличается не только своими особенностями проведения, но и показаниями. Поэтому выбор конкретной методики решения проблемы плоскостопия осуществляется строго индивидуально.
Пластика длинной подошвенной связки

Как уже упоминалось, поддержание продольного свода в анатомически правильном положении обеспечивает длинная подошвенная связка. Поэтому при его уплощении чаще всего именно она подвергается коррекции. Пластика подошвенной связки заключается в укорочении и укреплении этой структуры, благодаря чему устраняется связочный компонент плоскостопия.
Данный метод показан пациентам, у которых подтверждено ослабление мышечно-связочного аппарата стоп. Об этом свидетельствует уплощение свода стопы при нагрузке, т. е. ходьбе или стоянии. Но в состоянии спокойствия стопы приобретают нормальную форму и уплощения продольного свода не наблюдается. Но, к сожалению, нередко слабость длинной подошвенной связки или «эластичное плоскостопие» является не единственной причиной развития продольного плоскостопия. Поэтому пластику длинной подошвенной связки часто сочетают с подтаранным артродезом или другими методиками.
Подтаранный артродез
Подтаранный артродез направлен на нормализацию положения костей стопы, что реализуется за счет установки специальных титановых имплантатов в синус (особую пазуху) под таранной костью. Они фиксируют кости в нужном положении, что позволяет восстановить продольный свод. Импланты остаются в теле пациента на несколько лет. После полной нормализации функций стопы, их можно удалить, проведя повторную операцию. Изначально для установки имплантов хирургу потребуется сделать небольшой разрез длиной до 1,5—2 см.
Метод может быть выбран для лечения только пациентов моложе 20 лет. При проведении подтаранного артродеза больным старше 30 лет нередко возникает стойкий болевой синдром, что привело к отказу от его использования для лечения пациентов этой возрастной категории.
Артродезирование

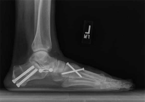
Артродезирование - метод, позволяющий устранить продольное плоскостопие любой степени тяжести. Его суть состоит в полном обездвиживании костей предплюсны с помощью специальных винтов. В ходе операции или еще на этапе подготовки к ней хирург может принять решение о необходимости соединить между собой пяточную, таранную и ладьевидную кости, что позволит полностью устранить костный компонент плоскостопия и надежно зафиксировать свод стопы. При необходимости артродезирование сочетают с пластикой длинной подошвенной связки или медиализирующей остеотомией пяточной кости.
Медиализирующая остеотомия пяточной кости
Остеотомия пяточной кости представляет собой операцию, которую чаще всего проводят людям пожилого возраста. Для лечения подростков и молодых пациентов она почти не используется.
Суть операции заключается в распиливании пяточной кости с последующим соединением образовавшихся фрагментов в положении, обеспечивающим оптимальную высоту продольного свода, с помощью титановых винтов. Благодаря этому удается нормализовать взаимное положение суставов стопы и сформировать правильный с точки зрения анатомии свод.
Комбинированные операции

Сочетание различных видов операций показано в наиболее сложных случаях, а также при наличии Hallux valgus. Это позволяет добиться наиболее выраженных и стойких результатов.
Последние проведенные исследования показали, что одним из лучших методов формирования нормального свода стопы является сочетание остеотомии пяточной кости с таранно-ладьевидным артродезом. Подобное сочетание методик обеспечивает получение хорошего результата. Кроме того, в таких случаях развитие осложнений наблюдается крайне редко. Если сравнивать результаты операций такого рода с изолированным подтаранным артродезом, то они, в отличие от последнего, позволяют избежать рецидива плоскостопия и возникновения необходимости в повторном хирургическом вмешательстве.
Операции при комбинированном плоскостопии
Продольно-поперечное плоскостопие представляет собой наиболее тяжелую форму этой патологии стопы. В результате ее развития стопа больного становится полностью плоской, что вызывает мощные боли и существенно снижает работоспособность. При этом и лечение комбинированного плоскостопия является одной из наиболее сложных задач, так как требуется одновременно:
- восстановить нормальную анатомию обоих сводов стопы;
- надежно зафиксировать кости;
- устранить образовавшиеся костные наросты у основания 1-го пальца, пятке и пр.;
- нормализовать положение большого пальца;
- устранить молоткообразную деформацию пальцев стопы.
Поэтому пациентам с продольно-поперечным плоскостопием показано проведение комбинированных операций. Их характер определяется отдельно для каждого больного. Как правило, хирурги стараются устранить все деформации стопы за одну операцию. Это позволяет сократить сроки реабилитации и нетрудоспособности пациента. Хотя в подобных случаях восстановление будет протекать несколько сложнее.
Таким образом, при комбинированном плоскостопии одновременно может проводиться не только остеотомия 1-й плюсневой кости тем или иным методом, удаление костной мозоли методом Шеде, но и артродез ряда суставов плюсны.
Реабилитация

Всем пациентам, перенесшим операцию по устранению плоскостопия 2 или 3 степени, обязательно требуется пройти реабилитацию. Но в большинстве случаев она протекает легко и безболезненно. При отсутствии осложнений и использовании современных методик пациенты могут вставать на ноги уже на следующий день после операции, предварительно надев специальную обувь - туфли Барука. Носить их требуется не менее нескольких недель, а затем можно перейти на обычную обувь, но с использованием индивидуально изготовленных ортопедических стелек.
Выписка из стационара в большинстве случаев осуществляется через 2—10 дней после операции.
В первые дни пациентам могут назначаться обезболивающие для купирования послеоперационных болей. А впоследствии в рамках реабилитационной программы рекомендуется пройти курс физиотерапевтических процедур.

Как правило, послеоперационные швы снимаются через 2 недели. Если операция предполагала фиксацию специальными спицами, что обычно практикуется при исправлении комбинированного плоскостопия, их также могут убирать одновременно со снятием швов.
С первых же дней реабилитации пациентам назначается ЛФК. Она подразумевает выполнение ряда индивидуально подобранных упражнений, которые будут способствовать более быстрому восстановлению после хирургического вмешательства. Постепенно сложность и количество повторов упражнений увеличивают.
К привычному для себя образу жизни после операции по лечению плоскостопия 2 или 3 степени пациенты могут вернуться уже через 3 месяца. Но вернуться на работу, если она не связана с выраженными физическими нагрузками, можно уже через 3 недели после хирургического лечения. Полное восстановление организма происходит через 6 месяцев. С этого момента женщины уже могут снова носить обувь на каблуке, но только недолго во избежание рецидива плоскостопия. Таким образом, при плоскостопии 2 или 3 степени операция поможет не только ликвидировать боли, но и обеспечить восстановление нормальной анатомии стопы. Благодаря этому удастся добиться правильного распределения нагрузки на суставы нижних конечностей и устранить риск развития осложнений, в том числе со стороны позвоночника.
Степанян Рубен Вачаганович
Плоскостопие, артроз и артрит сегодня не только «молодеют», но и встречаются все чаще. Хотя бы одно из этих заболеваний не понаслышке знакомо каждому человеку!
Когда болезнь подкрадывается незаметно и поражает суставы, это лишает сна и покоя, а жизнь теряет яркие краски. Когда движения становятся не в радость, обращайтесь в ORTOMED-СLINIС.
Мы докажем вам, что вести активный образ жизни и не испытывать боли можно в любом возрасте!
Продольное плоскостопие
Продольное плоскостопие - это уплощение продольного свода стопы. Стопа распластывается в продольном направлении, чуть удлиняется и соприкасается с опорой не только наружным краем, как в норме, а практически всей поверхностью. Это приводит к нарушению амортизационных функций стопы, становится причиной утомляемости и болей в ногах и провоцирует развитие патологических изменений в вышележащих отделах опорно-двигательного аппарата (в позвоночнике и нижних конечностях). Диагноз выставляется на основании подометрии, плантографии и рентгенографии. Лечение чаще консервативное.
МКБ-10

Общие сведения
Продольное плоскостопие - достаточно широко распространенная патология, выявляется примерно у 20% пациентов с уплощением стопы. В остальных случаях встречается либо поперечное, либо комбинированное плоскостопие (сочетание продольного и поперечного плоскостопия). Обычно бывает приобретенным, врожденные формы встречаются редко и, как правило, сопровождаются более выраженными анатомическими нарушениями и клиническими симптомами.
Продольное плоскостопие может выявляться в любом возрасте, но особенно часто наблюдается у детей. При этом все дети рождаются с мнимо плоскими стопами, а своды стопы формируются только к 3 годам, поэтому до наступления этого возраста диагностировать данную патологию невозможно. Среди взрослых пациентов, страдающих данным заболеванием, преобладают люди, вынужденные длительное время проводить на ногах в связи с выполнением профессиональных обязанностей. Лечение продольного плоскостопия осуществляют врачи-ортопеды.

Причины
Примерно в 3% случаев продольное плоскостопие является врожденной патологией, возникающей вследствие внутриутробного нарушения процесса формирования костей и связок стопы. Кроме того, причиной развития этого состояния могут стать травмы, в том числе - неправильно сросшиеся переломы костей предплюсны и плюсны и переломы лодыжек. Выделяют также паралитическое плоскостопие, возникающее вследствие паралича или пареза мышц стопы и голени и рахитическое плоскостопие, обусловленное деформацией костей вследствие их избыточной мягкости.
Однако чаще всего встречается статическое продольное плоскостопие, обусловленное слабостью связочного и мышечного аппарата дистальных отделов нижних конечностей. Предрасполагающими факторами, способствующими развитию статического плоскостопия, являются излишняя масса тела, беременность, чрезмерные физические нагрузки, деятельность, связанная с продолжительным стоянием (продавцы, приемщики, токари и т. д.), ношение неудобной некачественной обуви, а также ослабление связок и мышц стопы вследствие старения или отсутствия достаточных физических нагрузок.
Патанатомия
Стопа человека состоит из 26 костей, множества суставов, связок и мышц. Все перечисленные анатомические элементы связаны между собой и представляют единое образование, обеспечивающее функции опоры и ходьбы. Правильное функционирование стоп позволяет оптимальным образом распределять массу тела при перемещении в пространстве, сохранять правильную осанку и физиологичное положение голеностопных, коленных и тазобедренных суставов. При ходьбе стопа амортизирует удары о землю, благодаря чему снижается нагрузка на вышележащие отделы опорно-двигательного аппарата.
Соединенные между собой элементы формируют два свода стопы, имеющие форму дуг. Продольный свод расположен по наружному краю стопы, поперечный - в области основания пальцев. Благодаря такой сложной дугообразной форме, стопа соприкасается с опорой не всей подошвой, а определенными точками: в области пяточной кости, основания I и V пальцев. При продольном плоскостопии высота продольного свода снижается, стопа начинает соприкасаться с опорой практически всей поверхностью.
Все перечисленное приводит к неправильному распределению нагрузки, ухудшению амортизационных качеств стопы, нарушению осанки и выработке порочных двигательных стереотипов. В результате развиваются прогрессирующие патологические изменения не только в стопах, но и в других отделах опорно-двигательного аппарата. Увеличивается вероятность возникновения коксартроза, гонартроза, остеохондроза и других дегенеративно-дистрофических заболеваний.
Классификация
В ортопедии и травматологии выделяют три степени продольного плоскостопия, различающиеся между собой как выраженностью анатомических изменений, так и клиническими симптомами:
- 1 степень или слабо выраженное плоскостопие. Высота продольного свода уменьшена до 25-35 мм, угол свода стопы составляет 131-140 градусов. Видимая деформация стоп отсутствует. Пациенты отмечают чувство усталости после продолжительного бега, ходьбы или физической нагрузки. Может наблюдаться незначительное нарушение плавности походки. К вечеру иногда отмечается отечность дистальных отделов нижних конечностей. При надавливании на стопы появляется дискомфорт или нерезкая болезненность.
- 2 степень или умеренно выраженное плоскостопие. Высота продольного свода уменьшена до 24-17 мм, угол свода стопы составляет 141-155 градусов. Выявляется видимое уплощение стоп. Возможны артрозные изменения в таранно-ладьевидном суставе. Болевой синдром выражен более ярко и может возникать даже после незначительных нагрузок или в покое, боли распространяются на область лодыжек и голеней. Плавность походки нарушена. Пальпация стоп болезненна.
- 3 степень или резко выраженное плоскостопие. Высота продольного свода составляет менее 17 мм, угол свода стопы - более 155 градусов. Пациентов беспокоят постоянные боли и отечность стоп и голеней. Наряду с деформирующими артрозами суставов стопы возникают артрозы коленных суставов, появляются боли в пояснице, развивается остеохондроз. Ходьба затруднена, отмечается снижение трудоспособности. Использование обычной обуви невозможно, необходима специальная ортопедическая обувь.
Диагностика
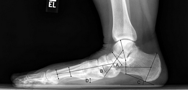
Основными методиками, используемыми для диагностики и определения степени продольного плоскостопия, являются подометрия, плантометрия и рентгенография стоп. Самый простой и доступный способ - вычисление подометрического индекса по методу Фридланда. Для этого производят измерение высоты стопы от вершины свода до пола и длины стопы от края пятки до конца I пальца. Затем высоту стопы умножают на 100 и делят на длину. Полученная цифра - подометрический индекс, который в норме должен составлять 29-31. При уменьшении индекса до 27-29 можно заподозрить начальные степени плоскостопия. Если индекс составляет около 25, речь идет о резко выраженном дефекте.
Для уточнения степени патологических изменений применяют плантографию и рентгенографию. Плантография представляет собой исследование, в ходе которого подошвенную поверхность стоп покрывают красящим веществом, а затем исследуют отпечатки на бумажном листе. Рентгеновские снимки выполняют в боковой проекции, после чего отправляют на описание к рентгенологу, который измеряет расстояние и углы между отдельными костями стопы.
Лечение продольного плоскостопия
При патологии 1 степени основное внимание уделяется профилактическим мероприятиям. Пациенту рекомендуют избегать продолжительного стояния и ходьбы. Если это невозможно в силу профессиональной или бытовой деятельности, больному советуют контролировать, чтобы носки стоп располагались параллельно друг другу. Полезно укреплять стопы в естественных условиях, в том числе - ходить босиком по камням и песку, по бревнам и по различным мелким предметам (разумеется, следя за тем, чтобы не поранить подошвы).
Большое значение имеет подбор подходящей по размеру удобной обуви с небольшим каблуком и просторным носком. При слабо выраженном продольном плоскостопии используют специальные стельки, при умеренно выраженном - оснащают пациента изготовленной на заказ ортопедической обувью. Профилактические мероприятия сочетают с массажем стоп, лечебной гимнастикой и физиотерапией. При неэффективности консервативного лечения, плоскостопии 3 степени и выраженном болевом синдроме показано оперативное лечение.
Хирургические вмешательства производятся в плановом порядке, в условиях ортопедического отделения. Используются различные методики, которые можно разделить на три группы - операции на связках и сухожилиях, операции на костях и комбинированные вмешательства. Оперативные методики выбираются с учетом причин, выраженности и характера патологии. Чаще всего применяется пересадка сухожилий мышц голени. При травматическом и рахитическом плоскостопии проводится остеотомия. По окончании операции на стопы накладывают гипсовые сапожки сроком на 1-1,5 месяца. Затем гипс снимают, назначают ЛФК, массаж и физиотерапевтические процедуры.
Продольное плоскостопие у детей
Отличительной особенностью детского плоскостопия являются более выраженные отдаленные последствия. Организм ребенка растет и формируется, в таких условиях нарушение амортизации и неправильное распределение нагрузки может стать причиной развития грубых нарушений осанки, сколиоза и ранних артрозов. Основными методами коррекции данной патологии в детском возрасте являются использование качественной обуви, ножные ванночки и специальные упражнения. Обувь должна иметь небольшой каблук высотой 0,5 см, жесткий задник и стельки с супинаторами. Кроме того, больному предлагают ходить босиком по песку и камням, перекатывать ступнями камушки или специальные деревянные валики.
1. Диагностика и лечение продольного плоскостопия: Методические рекомендации / Михнович Е.Р., Волотовский А.И., Талако Е.Л. и др. - 2004
2. Основные методы лечения продольного плоскостопия в зарубежных публикациях (обзор литературы) / Буравцов П.П., Шабалин Д.А., Неретин А.С. // Гений ортопедии - 2007 - №2
Плоскостопие у детей
Плоскостопие у детей - изменение конфигурации скелета стопы, связанное с уплощением ее сводов и приводящее к нарушению механики ходьбы. Плоскостопие у детей проявляется утомляемостью, болями в ногах при движении и статической нагрузке, отечностью и деформацией стопы, изменением походки, затруднением ходьбы. Диагноз плоскостопия у детей устанавливается на основании клинического осмотра, данных плантографии, подометрии и рентгенографии стоп. Для лечения плоскостопия у детей используются консервативные методы (массаж, лечебная гимнастика, физиотерапия, наложение гипсовых повязок и ортезов); оперативное вмешательство проводится в крайних случаях.

Плоскостопие у детей - самая распространенная ортопедическая патология в педиатрии, проявляющаяся снижением высоты сводов стопы. Плоскостопие может выявляться у ребенка с самого рождения (в 3% случаев); к 2 - 4 годам оно наблюдается у 24-32% детей, к 7 годам - у 40%, к 12 годам - у 50% подростков.
Активное формирование элементов свода стопы у детей происходит постепенно, с появлением и возрастанием нагрузки на ноги. Критическим моментом в развитии плоскостопия является возрастной период с 8 месяцев до 1,5 лет, когда ребенок начинает вставать и учиться ходить. В раннем возрасте у всех детей отмечается физиологическая плоская стопа, обусловленная возрастными анатомо-функциональными особенностями: хрящевой структурой костей, более эластичными и растяжимыми связками, слабыми мышцами. При правильном развитии с повышением силы и выносливости мышц это состояние у детей самостоятельно нормализуется к 5-6 годам. При определенных нарушениях у детей развивается плоскостопие, приводящее к резкому снижению амортизационного потенциала стопы, возрастанию нагрузки на другие элементы опорно-двигательного аппарата с повреждением коленных и бедренных суставов, деформацией позвоночника, нарушением работы внутренних органов.
Классификация плоскостопия у детей
Стопа имеет продольный и поперечный своды, поддерживающие мышцы и связки, обеспечивающие равновесие тела, распределение и смягчение ударной нагрузки во время ходьбы, бега и прыжков, а также повышающие выносливость к осевой нагрузке. По анатомическому признаку в ортопедии различают продольное, поперечное и комбинированное плоскостопие. У детей чаще встречается продольное плоскостопие с уплощением продольного свода и удлинением стопы, соприкасающейся с полом всей поверхностью подошвы. При поперечном плоскостопии у детей длина стопы уменьшается, ее передний отдел опирается на головки всех плюсневых костей.
Плоскостопие у детей может быть врожденным и приобретенным. Врожденная форма встречается достаточно редко и связана с пороками развития костных структур и мышечно-связочного аппарата стопы. Приобретенное плоскостопие у детей в зависимости от происхождения может быть статическим, травматическим, рахитическим, паралитическим. Самое распространенное статическое плоскостопие чаще встречается у детей школьного возраста при несоответствии между статической и динамической нагрузкой на стопу и тонусом мышц.
Причины плоскостопия у детей
Плоскостопие у детей может развиваться по различным причинам. Врожденное плоскостопие у детей наблюдается при внутриутробном недоразвитии костей, мышц, связок и сухожилий голени и стоп. Приобретенное плоскостопие у детей также развивается на фоне врожденной недостаточности соединительной ткани и может сочетаться с добавочной хордой в сердце, перегибом желчного пузыря, близорукостью и др. В формировании плоскостопия у детей большое значение имеет наследственный фактор - наличие этой патологии у близких родственников.
Плоскостопие у детей может быть вызвано слабостью мышечно-связочного аппарата стопы, не выдерживающего большие нагрузки; поражением костно-мышечной системы при рахите; неправильно сросшимися переломами лодыжек, плюсневых, пяточной и таранной костей; параличом или парезом мышц голени и стопы (в т.ч. после полиомиелита); неврологической патологией (энцефалопатией).
Возникновению статического плоскостопия у детей способствуют ношение неправильно подобранной обуви (тесной, разношенной, на толстой подошве), избыточный вес и ожирение, длительная непрерывная ходьба или стояние. Часто плоскостопие развивается у детей с плосковальгусной деформацией стоп.
Симптомы плоскостопия у детей
В большинстве случаев врожденного плоскостопия у детей поражается одна стопа, которая имеет вид качалки или «пресс-папье» с выпуклой подошвой и уплощенной, даже вогнутой тыльной стороной. Отмечается пяточная установка стопы, резкая пронация с отведением пальцев кнаружи. С появлением статической нагрузки врожденное плоскостопие усугубляется и закрепляется.
У детей 6-7 летнего возраста плоскостопие проявляется быстрой утомляемостью при ходьбе и стоянии, стаптыванием обуви по внутреннему краю подошвы и каблука. Клиническими симптомами приобретенного плоскостопия у детей являются ноющие боли в области стопы, усиливающиеся после длительного пребывания на ногах; отечность стоп к вечеру, утомляемость при ходьбе.
Выделяют три степени продольного плоскостопия у детей, определяющиеся по степени деформации стопы. При I степени высота свода стопы составляет 25-35 мм, видимая деформация стопы отсутствует. При II степени - высота свода от 25 до 17 мм, уплощение стопы видно невооруженным глазом; плоскостопие у детей проявляется нарастанием болей в стопе, голеностопном суставе и икроножных мышцах, затруднением ходьбы. Изменяется форма стопы - увеличивается ее длина, расширяется средняя часть, походка становиться тяжелой и неуклюжей; у детей отмечается быстрая общая утомляемость. Плоскостопие III степени характеризуется резко выраженной деформацией стопы, снижением высоты свода менее 17 мм, постоянными болями в ногах и пояснице, головными болями, невозможностью ходьбы в обычной обуви.
Плоскостопие служит причиной искривления пальцев стопы, появления мозолей, формирования у ребенка нарушений осанки (сколиоза) и болезней позвоночника (остеохондроза, грыжи межпозвонковых дисков), развития деформирующих артрозов, воспаления менисков и т. д.
Диагностика плоскостопия у детей
Установить плоскостопие у детей до 5-6 летнего возраста довольно проблематично. Диагноз выраженных случаев плоскостопия у детей может быть поставлен детским ортопедом при клиническом осмотре, позволяющем выявить изменения длины, ширины и объема движений стопы, нарушение состояния ее сводов, особенности износа обуви.
Объективными методами оценки плоскостопия у детей старшего возраста являются плантография - получение отпечатка следа ноги на бумаге и подометрия - измерение «подометрического индекса» свода стопы. Уточнить диагноз плоскостопия у детей помогаю результаты рентгенографии стоп с нагрузкой, выполненной в 2-х проекциях.
Лечение плоскостопия у детей
Плоскостопие у детей - прогрессирующее заболевание, и чем раньше начато его лечение, тем эффективнее результаты. Лечение врожденного плоскостопия начинают с первых недель жизни ребенка, что позволяет устранить все компоненты деформации стопы. При врожденном плоскостопии у детей проводится специальная лечебная гимнастика, массаж мышц стопы и голени; осуществляется удержание стопы в правильном положении с помощью бинтования, наложения этапных гипсовых повязок, ночных ортезов (с 6 месячного возраста). При усугублении проявлений плоскостопия у детей выполняют операцию подтаранного артроэреза.
Лечение статического плоскостопия у детей, направленное на укрепление мышечно-связочного аппарата стопы, включает массаж, физиотерапию и ЛФК. У детей младшего возраста исключаются мягкая обувь (валенки, резиновые сапоги, чешки); рекомендуется ношение ботинок с твердой подошвой и небольшим каблучком, хорошо фиксирующих голеностопные суставы. При плоскостопии у детей старшего возраста показано ношение ортопедической обуви со стелькой-супинатором, приподнимающим опущенный свод и возвращающим стопу в правильное положение.
Прогноз и профилактика плоскостопия у детей
Слабо и умеренно выраженная степень плоскостопия у детей при своевременной коррекции полностью излечима; запущенные случаи трудно поддаются коррекции. В отсутствии лечения плоскостопие у детей приводит к выраженной деформации стопы, суставов и позвоночника.
Профилактикой плоскостопия у детей являются ношение правильно подобранной обуви; занятия физкультурой, игровыми видами спорта (баскетбол, футбол) и плаванием; ходьба босиком по неровной земле, песку, гальке; нормализация кальциево-фосфорного обмена; контроль массы тела.
Плоскостопие
Плоскостопие - изменение формы сводов стопы, сопровождающееся потерей ее амортизирующих (рессорных) функций. В зависимости от того, какой именно свод стопы уплощен выделяют поперечное и продольное плоскостопие. Также различают врожденное и приобретенное плоскостопие. Различными формами плоскостопия страдает около 45% всех взрослых людей. Патология чаще выявляется у женщин. Плоскостопие является причиной болей в стопе, появляющихся во время ходьбы. Часто при плоскостопии на подошве образуются мозоли и натоптыши, деформация Hallux valgus. Кроме рентгенологического исследования, диагностика плоскостопия включает плантографию и подометрию. Лечение состоит в постоянном ношении супинаторов или ортопедической обуви, периодическом прохождении курсов массажа, ЛФК и физиопроцедур.


Плоскостопие - изменение формы сводов стопы, сопровождающееся потерей ее амортизирующих (рессорных) функций. Является причиной повышенной утомляемости стоп при нагрузках, провоцирует развитие артрозов мелких суставов ступни, оказывает негативное влияние на позвоночник. Различными формами плоскостопия страдает около 45% всех взрослых людей. Патология чаще выявляется у женщин.
Причины плоскостопия
Уплощение свода стопы может быть врожденным или приобретенным. Врожденное плоскостопие составляет 3% от всех случаев заболевания. Причиной наиболее распространенной приобретенной формы - статического плоскостопия (80% от общего числа случаев болезни) становится слабость костей, мышц и связочного аппарата ступни и голени. Существует наследственная предрасположенность к возникновению патологии, обуслосовленная передающейся по наследству слабостью связок.
Риск статического плоскостопия возрастает при увеличении массы тела, недостаточной физической нагрузке у людей сидячих профессий, «стоячей работе» (продавцы, парикмахеры, сборщики на конвейерах, ткачихи и т. д.), использования неудобной обуви, старении. Статическое плоскостопие может развиваться и вследствие постоянного ношения обуви на высоком каблуке (вследствие избыточной нагрузки на передние отделы стопы). Другими причинами приобретенной патологии являются:
- Травматические повреждения. Слабость связок и изменение анатомических соотношений между различными отделами стопы возникают после переломов пяточной кости, лодыжек и костей предплюсны.
- Полиомиелит. Следствием полиомиелита становится паралич мышц стопы и голени, который влечет за собой перераспределение нагрузки во время ходьбы, ослабление связок и нарушение соотношений между структурами ступни.
- Рахит. Из-за уменьшения количества кальция кости стопы ослабляются и не могут выдерживать нормальные физиологические нагрузки. В настоящее время рахитическое плоскостопие встречается редко.
Стопа удерживает вес тела, не дает человеку упасть во время ходьбы, играет роль амортизатора и подъемного механизма. В выполнении всех этих функций большое значение имеют своды стопы - жесткие и одновременно упругие образования, в которые входят кости стопы, ее связки и мышцы. Выделяют два свода стопы: поперечный (дуга от I к V пястной кости, которая становится видна, если взять стопу рукой с боков и сжать ее в поперечном направлении) и продольный (дуга в области внутреннего края стопы). Предназначение сводов стопы - удержание равновесия и предохранение тела от сотрясений во время ходьбы.
При ослаблении мышечно-связочных структур мышцы и связки стопы перестают справляться с высокой нагрузкой, стопа уплощается, «оседает». При этом ее амортизирующая функция снижается. Сотрясения во время ходьбы передаются на вышележащие отделы (позвоночник и суставы нижних конечностей), в которых из-за постоянной перегрузки развиваются дегенеративные изменения (остеоартрозы, нарушения осанки, остеохондроз).
С учетом времени возникновения различают врожденное и приобретенное плоскостопие. Врожденное плоскостопие - редкая патология, обусловленная нарушением развития стопы во внутриутробном периоде. У маленьких пациентов врожденная форма заболевания обычно диагностируется в возрасте 5-6 лет, поскольку в раннем возрасте своды ступни еще недостаточно развиты, и признаки плоской стопы выявляются в норме у всех детей. В зависимости от изменений того или иного свода стопы выделяют следующие формы плоскостопия:
- Поперечное. Диагностируется в 55-80% случаев. Обычно развивается у людей среднего возраста (35-50 лет). Женщины страдают в 20 раз чаще мужчин. Этот вид плоскостопия характеризуется уменьшением длины стопы, веерообразным расхождением костей плюсны, деформацией I пальца (Hallux valgus), которую в быту обычно называют «косточкой», и молоткообразными пальцами стопы.
- Продольное. Выявляется у 20-29% больных. Чаще формируется в молодом возрасте (16-25 лет). Сопровождается уплощением продольного свода стопы. Стопа удлиняется, распластывается и соприкасается с опорой практически всей подошвой.
- Комбинированное. Признаки продольного и поперечного плоскостопия сочетаются между собой. Патология обычно обнаруживается в среднем возрасте.
Симптомы плоскостопия
Поперечное плоскостопие

В норме поперечный свод стопы, образованный головками плюсневых костей, имеет форму арки. Основная опора при стоянии и ходьбе ложится на головки V и I плюсневых костей. При развитии плоскостопия ослабевают поддерживающие структуры свода стопы: подошвенный апоневроз, несущий основную нагрузку по удержанию свода, межкостная фасция и мышцы стопы.
Опора перераспределяется на головки всех плюсневых костей, при этом нагрузка на головку I плюсневой кости уменьшается, а нагрузка на головки II-IV плюсневых костей резко увеличивается. I палец отклоняется кнаружи, головка I плюсневой кости и I палец образуют угол. В I плюснефаланговом суставе возникает остеоартроз. Появляются боли, уменьшается объем движений в суставе.
Повышенное давление головок плюсневых костей вызывает истончение слоя подкожной жировой клетчатки на подошвенной поверхности стопы, вызывая дальнейшее снижение амортизационной функции стопы. На подошве в области головок плюсневых костей образуются натоптыши.
В зависимости от выраженности угла между I пальцем и I плюсневой костью выделяют следующие степени поперечного плоскостопия:
- I степень (слабо выраженное). Угол менее 20 градусов.
- II степень (умеренно выраженное). Угол от 20 до 35 градусов.
- III степень (резко выраженное). Угол более 35 градусов.
Как правило, больные обращаются к врачу по поводу косметического дефекта стопы, реже - по поводу болей во время ходьбы, натоптышей на подошве, грубых кожных разрастаний или воспаления в области I плюснефалангового сустава (Hallux valgus).
В ходе опроса обычно выясняется, что пациента в течение продолжительного времени беспокоят более или менее выраженные жгучие или ноющие боли в стопе во время ходьбы. При осмотре выявляется деформация стопы: уплощение ее поперечного свода, характерная деформация I плюснефалангового сустава, при выраженном плоскостопии - молоткообразные пальцы стопы.
Продольное плоскостопие

При уплощении продольного свода в процесс вовлекаются кости, мышцы и связки стопы и голени. Кости перемещаются таким образом, что пятка разворачивается кнутри, а передние отделы стопы отклоняются кнаружи. Натяжение сухожилий малоберцовых мышц увеличивается, а сухожилия передней большеберцовой мышцы - уменьшается. Средняя часть ступни расширяется. Походка больного становится неуклюжей, при ходьбе он сильно разводит носки в стороны.
Выделяют четыре стадии продольного плоскостопия:
- стадия предболезни (продромальная стадия);
- перемежающееся плоскостопие;
- плоская стопа;
- плосковальгусная стопа.
На стадии предболезни пациента беспокоит быстрая утомляемость при ходьбе, боли в верхней части свода стопы и мышцах голени после продолжительных статических нагрузок. В стадии перемежающегося плоскостопия боли появляются не только к концу рабочего дня, но и после длительного стояния или продолжительной ходьбы. Выявляется напряжение мышц голени, иногда развиваются их временные контрактуры. Продольный свод стопы имеет нормальную форму по утрам, однако к вечеру становится уплощенным.
В период развития плоской стопы боли появляются даже после небольших статических нагрузок. Стопа расширяется и уплощается, высота ее свода снижается. Постепенно начинает меняться походка.
Различают три степени плоской стопы:
- I степень. Стадия начала формирования. Высота свода стопы менее 35 мм;
- II степень. Высота свода 25-17 мм. В суставах стопы начинает развиваться остеоартроз;
- III степень. Высота свода менее 17 мм. Передние отделы стопы разворачиваются и распластываются. Выявляется отклонение I пальца кнаружи. При этом боли в стопе на временно уменьшаются.
При отсутствии лечения в дальнейшем формируется плосковальгусная стопа, при которой боли появляются при малейшей статической нагрузке. Выявляется вальгусная деформация (резкий разворот стопы подошвенной стороной кнутри) и выраженное уплощение свода стопы.
Диагностику осуществляют врачи-ортопеды. Для уточнения типа и выраженности плоскостопия применяются следующие методы:
- Опрос. Специалист выясняет наличие таких жалоб, как боли и тяжесть в ногах, отеки к концу дня, повышенная утомляемость при стоянии и ходьбе. Ортопед уточняет связь работы пациента со статическими перегрузками, увеличение веса и размера обуви за последние годы.
- Объективное обследование. Врач осматривает стопу в свободном состоянии и при нагрузке, оценивает внешний вид ступни, выраженность сводов, наличие деформаций и объем движений.
- Рентгенография стопы. Выполняется с нагрузкой (с функциональными пробами). Является основным методом диагностики. Позволяет точно определить выраженность продольного и поперечного свода, физиологические и патологические углы между костями стопы и пр.
- Другие методики. Для выявления и оценки тяжести плоскостопия назначают плантографию (неэффективна у младенцев и лиц с ожирением) и подометрию.
Лечение плоскостопия
Лечение поперечного плоскостопия
Консервативная терапия эффективна только на I стадии плоскостопия. Пациенту рекомендуют снизить вес тела, подбирать удобную обувь без каблуков, уменьшить статические нагрузки на стопу. Показано ношение специальных стелек и валиков.
При плоскостопии II и III степени проводится хирургическое лечение. Существует множество методик для коррекции деформации I пальца, однако, ни одна операция не устраняет причину поперечного плоскостопия - слабость связок и мышц стопы. Возможно изолированное хирургическое вмешательство (резекция Hallux valgus - выступающего участка кости) и оперативное лечение, включающее в себя резекцию участка кости в сочетании с пластикой капсулы суставов и пересадкой сухожилий. В послеоперационном периоде больному плоскостопием рекомендуют постоянное ношение супинаторов или обуви со специальными стельками.
Лечение продольного плоскостопия
В стадии предболезни пациенту рекомендуют выработать правильную походку (без разведения носков), ходить босиком по песку или неровной поверхности и регулярно разгружать мышцы свода стопы, во время стояния периодически перенося нагрузку на наружные поверхности стоп. Больному плоскостопием назначают ЛФК, массаж и физиолечение: магнитотерапия, СМТ, гидромассаж и др.
В стадии перемежающегося плоскостопия к перечисленным мероприятиям добавляется рекомендация изменить условия труда для уменьшения статической нагрузки на стопы. При плоской стопе к комплексу терапевтических мероприятий ортопеды рекомендуют ношение ортопедической обуви и специальных стелек. При дальнейшем прогрессировании плоскостопия показано оперативное лечение. В стадии плосковальгусной стопы консервативные методики малоэффективны. Проводятся различные пластические операции: резекция участков костей, пересадка сухожилий и т. д.
Прогноз
На ранних стадиях прогноз благоприятный. В младшем детском возрасте плоскостопие поддается коррекции. У взрослых людей полное устранение патологии невозможно, однако правильный подбор обуви, регулярные занятия специальной гимнастикой, оптимизация нагрузки на ноги и использование ортопедических изделий позволяют предотвратить прогессирование патологии, минимизировать или устранить неприятные симптомы. На поздних этапах даже после оперативных вмешательств могут сохраняться боли, ограничения движений и другие проявления, обусловленные вторичными изменениями стоп.
Профилактика
Профилактические мероприятия включают осмотры детей для выявления и раннего начала лечения врожденного плоскостопия. Врослым рекомендуется нормализовать массу тела, избегать статических перегрузок, носить удобную обувь, соблюдать режим достаточной физической активности, укреплять мышцы стоп и голеней.
4. Проблемы диагностики и лечения плоскостопия у детей в современных условиях/ Соломин В.Ю., Федотов В.К., Юшко А.В., Скрипченко М.А. // Сборник тезисов IX съезда травматологов-ортопедов - Саратов, 2010
Читайте также:
