Лечение утомляемости и чувствительности к повышению температуры при рассеянном склерозе. Лечение поведенческих расстройств при рассеянном склерозе.
Добавил пользователь Владимир З. Обновлено: 10.01.2026
Термин "реабилитация" (от позднелат. "rehabilitatio" - восстановление) в полной мере отражает цель направления в медицине, которое стало ведущим в течение последних 50 лет. Как правило, в центре внимания реабилитологии находятся состояния, при которых можно ожидать восстановления функций: монофазное течение патологического процесса "запрограммировано" на обратное развитие симптомов. При ряде хронических прогрессирующих заболеваний речь может идти лишь о поддерживающей реабилитации, которая проводится в условиях нарастания нарушений функции организма. Очевидно, что ее цели и задачи отличаются от реабилитации в случаях острых "монофазных" заболеваний.
Среди неврологических заболеваний ЦНС по распространенности рассеянный склероз занимает 4 место после церебрального инсульта, активной эпилепсии и паркинсонизма.
Различают следующие варианты течения PC:
- прогредиентное, с незначительными облегчениями в самочувствии на фоне постоянного, но медленного ухудшения функций нервной системы - 40%,
- ремиттирующее, с короткими и неполными улучшениями - 25%,
- доброкачественное, с длительными и глубокими ремиссиями - 20% случаев,
- злокачественное, с быстрым развитием инвалидизации и осложнений, приводящих к летальному исходу - 15%.
Цели реабилитации при PC
PC неизбежно приводит к снижению качества жизни пациента. Его степень определяется основными следствиями болезни, которые делят на 3 категории:
1) функциональный (неврологический) дефицит - совокупность неврологических симптомов;
2) инвалидизация - нарушение способности выполнять те или иные действия;
3) психологическая и социальная дезадаптация.
Основные цели поддерживающей реабилитации при PC:
1. "Опережающая" адаптация к нарастающему неврологическому дефициту: а) поддержание физической независимости; б) психологическая адаптация; в) коррекция социальной дезадаптации.
2. Профилактика вторичных осложнений неврологической дисфункции (пролежней, атрофий и контрактур, остеопороза, нарушений периферического крово- и лимфообращения, инфекций мочевыводящих путей).
3. Как следствие вышеперечисленных мер - улучшение связанного со здоровьем качества жизни.
Цель поддерживающей реабилитации - улучшение связанного со здоровьем качества жизни. Она может быть достигнута только путем компенсации следствий болезни.
Основные неврологические проблемы больного PC
Неврологический дефицит больного PC не меняется в ходе курса реабилитации. Он лишь усугубляется при прогрессировании болезни.
Нарушения многих функций, которые бывают сочетанными, подлежат коррекции в ходе поддерживающей реабилитации:
1) трудности/невозможность самостоятельного передвижения из-за парезов в ногах;
2) трудности/невозможность перемещения (пересаживания, поворотов в постели и т.д.) и самообслуживания из-за спастичности, болезненных спазмов и парезов в конечностях;
3) нарушения координации, часто осложненные тремором, которые приводят к нарушению повседневной активности (умывание, прием пищи, одевание и т.д.);
4) нарушения тонких движений пальцев рук;
5) нарушения зрения;.
6) нарушения функций мочевого пузыря и кишечника;
7) нарушения половой функции;
8) нарушения речи и глотания;
9) нарушения в эмоциональной сфере;
10) снижение познавательных функций (внимания, памяти, мышления);
11) хронические болевые синдромы, пароксизмальные боли;
12) хроническая усталость и быстрая утомляемость.
Наличие столь разных и сложных проблем определяет необходимость участия в процессе реабилитации разных специалистов.
Участники процесса реабилитации
Центральным звеном в реабилитационных мероприятиях, безусловно, является пациент. Он, в основном, сам определяет приоритеты в решении тех или иных проблем, а также оценивает эффективность выполнения задач проводимого курса реабилитации.
Таблица. Долгосрочные задачи реабилитации при РС в стационаре (клиника неврологии СПбГМУ им. акад. И.П. Павлова)
| Задача | Исполнитель |
| Профилактика обострений болезни и вторичных осложнений | Все члены бригады |
| Симптоматическое лечение | Невролог |
| Информирование пациента/родственников о проблемах, связанных с заболеванием, о возможностях их коррекции. Это процесс обучения, а не однократная информация. | Все члены бригады |
| Обучение приемам передвижения и безопасного перемещения | Физиотерапевт |
| Физиотерапия для уменьшения спастичности, нарушений координации, поддержания адекватного состояния мышц, нормализации тазовых функций, профилактики вторичных осложнений | Физиотерапевт |
| Переобучение бытовым/профессиональным навыкам для улучшения выполнения социальных ролевых обязанностей пациента | Трудотерапевт |
| Диагностика и коррекция дисфункции тазовых органов | Невролог, медсестра |
| Психологическая адаптация к проблемам, связанным с заболеванием | Все члены бригады |
Процесс реабилитации должен осуществляться мультидисциплинарной бригадой. В зависимости от проблем больного в ее расширенный состав могут быть включены логопед и нейропсихолог, может требоваться консультативная помощь ортопеда, диетолога и других специалистов.
Основные члены мультидисциплинарной бригады и их функциональные обязанности
Врач-невролог со специализацией в области PC - оценка неврологического дефицита, инвалидизации; проблем в эмоциональной и познавательной сферах; при необходимости - медикаментозное лечение.
Физиотерапевты (врачи и инструкторы по лечебной физкультуре) - оценка и решение проблем, связанных с передвижением, перемещением, спастичностью, нарушением координации, профилактика вторичных двигательных проблем и болевых синдромов.
Трудотерапевт - оценка и решение проблем повседневной активности, досуга и профессиональной деятельности.
Медицинская сестра со специализацией в области неврологии - уход за больным; профилактика осложнений, связанных с ограничением движений; оценка функции мочевого пузыря и кишечника.
Принципы работы мультидисциплинарной бригады
Для координации работы бригады организация ее деятельности должна базироваться на следующих принципах:
1) совместная оценка проблем пациента;
2) постановка реально выполнимых краткосрочных и долгосрочных задач для их решения;
3) совместная этапная оценка результатов и планирование дальнейшего лечения;
4) обязательное обсуждение задач и результатов лечения с пациентом и ухаживающими за ним лицами.
Эффективное использование принципов работы мультидисциплинарной бригады, а также особенности клинических проявлений PC (собственно, потребовавшие применения мультидисциплинарного подхода) в конечном счете определяют и наиболее приемлемые формы проведения курсов реабилитационного лечения.
Реабилитационная помощь при PC в стационаре
Наиболее перспективной формой представляется реабилитация в условиях стационара (специализированные палаты или отделения). Ее преимущества:
- возможность использования бригадного подхода с одновременной всесторонней оценкой проблем больного и правильной постановкой задач данного курса реабилитации;
- эффективное использование рабочего времени персонала - членов бригады;
- эффективное использование времени (расписание) и физических возможностей пациента;
- возможность занятий в группе;
- возможность для ухаживающих лиц за время пребывания пациента в стационаре решить домашние проблемы (ремонт, переезд, психологическая передышка);
- возможность гибкой смены режима "стационар - дневной стационар".
В условиях стационара не могут быть эффективно решены проблемы повседневной деятельности пациента в конкретных домашних условиях, его досуга.
Реабилитационная помощь при PC на дому
Необходимость непрерывности реабилитации при PC определяет вторую по значимости форму ее проведения - систематическую реабилитационную помощь на дому. У этой формы реабилитации при PC следующие преимущества:
- пациент находится в привычной обстановке, в условиях психологического комфорта, в результате чего меньше выражена физическая истощаемость и занятия более эффективны;
- имеются максимальные возможности для трудотерапевта решать с пациентом конкретные задачи;
- по данным опроса пациентов, этот вид помощи наиболее привлекателен (в том числе из-за неприспособленности больниц к нуждам больных PC, необходимости их присутствия дома (маленькие дети) и т.д.).
Амбулаторная форма реабилитации в сегодняшних условиях оказывается менее приемлемой для больных PC: у большинства пациентов есть резкие ограничения способности к передвижению, нарушения функции мочевого пузыря (повелительные позывы и неудержание мочи) и быстрая истощаемость. В этих условиях физические усилия, затраченные на посещение поликлиники, и эмоциональные переживания, связанные, например, с дисфункцией мочевого пузыря, могут свести до минимума потенциальную пользу занятий в амбулаторных условиях.
Практический опыт
Сегодня нет сомнения в эффективности использования принципов восстановительной реабилитации при монофазных (острых) неврологических заболеваниях. Результаты деятельности инсультного блока в клинике неврологии СП6ГМУ им. акад. И.П. Павлова, где осуществляется программа раннего восстановительного лечения больных с ОНМК, демонстрируют снижение частоты основных осложнений инсульта и значительное ускорение восстановления двигательных функций у подобных пациентов. Оценка поддерживающей реабилитации, когда болезнь продолжает прогрессировать и все больше сокращает функциональные возможности больного - сложнее. Тем не менее, зарубежный опыт свидетельствует: поддерживающая реабилитация экономически оправдана. При ее правильной организации даже тяжело инвалидизированные пациенты сохраняют способность к полному самообслуживанию и социальную ролевую активность в семье, занимаются профессиональной деятельностью.
В Санкт-Петербурге, в клинике неврологии СПбГМУ им. акад. И.П. Павлова, накоплен опыт проведения курсов реабипп^ационного лечения больных PC в условиях специализированной палаты.
Отбор больных проводится на приеме в консультативно-диагностическом центре СПбГМУ на базе поликлиники N 31. Невролог, специализирующийся в области проблем PC, направляет на реабилитационный курс лечения в стационаре больных с инвалидизацивй по шкале EDSS (Kurtzke) от 3.5 до 8.0 баллов (пациенты с минимальной инвалидизацией при наличии проблем, подлежащих коррекции - 3.5 балла, и пациенты с выраженной инвалидизацией, включая невозможность передвижения на несколько шагов даже с двусторонней поддержкой - 8.0 баллов). Курс лечения, который проводится мультидисциплинарной бригадой специалистов, составляет 3-4 недели, при этом оптимальные сроки представляются более длительными (5-6 недель). Для оценки проблем и их коррекции используются международные оценочные шкалы определения неврологического дефицита; инвалидизации; состояния когнитивных функций; депрессии; качества жизни; функции мочевого пузыря; комплекс оценочных шкал физической терапии.
Результаты проведения курса реабилитации в стационаре для больных PC демонстрируют перспективность подобного подхода. Его эффективность зависит не только от опыта специалистов, но и от активности позиции, занимаемой пациентом и его близкими. Она может быть повышена при систематическом проведении реабилитационных мероприятий. В связи с этим планируется расширение работы по следующим направлениям:
1. Обучение медсестры (специализация по уходу за больными PC).
2. Участие в работе студентов медицинского колледжа (практика в палате для больных PC).
3. Работа специалистов бригады с пациентами на дому.
4. Связь с районными социальными службами (ЦСОН).
5. Создание программ подготовки специалистов в области реабилитации больных с хроническими прогрессирующими заболеваниями нервной системы.
Рассеянный склероз - симптомы и лечение
Что такое рассеянный склероз? Причины возникновения, диагностику и методы лечения разберем в статье доктора Новикова Юрия Олеговича, мануального терапевта со стажем в 41 год.
Над статьей доктора Новикова Юрия Олеговича работали литературный редактор Маргарита Тихонова , научный редактор Сергей Федосов
Определение болезни. Причины заболевания
Рассеянный склероз (РС) является одним из частых хронических аутоиммунных заболеваний центральной нервной системы (ЦНС).

Распространенность РС высока и делится на зоны с высокой, умеренной и низкой встречаемости заболевания. Высокая распространённость отмечена в Северной Америке и Северо-Западной Европе.
В мире выявлено около 2 млн больных РС. В нашей стране в различных областях количество заболвших РС колеблется от 2 до 70 больных на 100 000 человек, причём значительно реже болезнь встречается в Средней Азии и Закавказье. В крупных промышленных районах и городах заболеваемость выше, чем в сельской местности, у лиц мужского и женского пола она одинакова.
- начало болезни в молодом возрасте, обычно между 20 и 35 годами (в отдельных случаях заболевают люди и более молодого, и более старшего возраста);
- многосимтомность;
- полиморфизм (многообразность) проявлений;
- прогрессирующее течение с весьма типичной наклонностью к ремиссиям и новым обострениям. [1][2]
Причина возникновения РС точно не установлена. Высказывалось мнение об инфекционной природе этого заболевания. Такое предположение основывается на случае острого развития заболевания с повышением температуры и свойственными инфекционным заболеваниям изменениям ликвора и крови, а также патоморфологических данных.
В настоящее время известно, что возбудителем РС может являться нейтропный фильтрующийся вирус, идентичный вирусу рассеянного энцефаломиелита. Исследователи из Гарвардской медицинской школы обнаружили, что риск рассеянного склероза увеличивается в 32 раза после заражения вирусом Эпштейна - Барр . Также учёные установили, что вероятность развития РАС не повышалась при инфицировании цитомегаловирусом и вирусом герпеса [17] .

В основе демиелинизации (избирательного поражения головного мозга) лежит аутоиммунный процесс. Пути передачи инфекции не выяснены. Заражения непосредственно от больного не происходит. Возможность контактного пути распространения болезни следует считать маловероятным. [3] [4]
При обнаружении схожих симптомов проконсультируйтесь у врача. Не занимайтесь самолечением - это опасно для вашего здоровья!
Симптомы рассеянного склероза
При всём многообразии и изменчивости расстройств, свойственных РС, можно выделить основную, наиболее частую, типичную его форму—цереброспинальную.
Обычно заболевание цереброспинальной формой РС начинается в молодом возрасте. Эта форма характеризуется:
- сочетанием пирамидных и мозжечковых расстройств;
- нередким поражением зрительных нервов;
- иногда преходящей диплопией (раздвоение видимых объектов);
- ремиттирующим течением (повторные ремиссии).
Развитие пирамидных и мозжечковых расстройств обусловлено частым образованием очагов воспаления в боковых столбах спинного мозга, мозговом стволе и ножках мозжечка.

Наиболее ранними симптомами являются:
- утрата брюшных рефлексов;
- утомляемость и слабость ног;
- лёгкое интенционное дрожание в руках;
- нистагм (неконтролируемое ритмичное движение глаз).
Офтальмологические проявления
Нередко начальным изолированным расстройством является поражение зрения, развивающееся по типу так называемого ретробульбарного неврита (острое воспаление зрительного нерва). При этом возникает слепота или скотома (слепой участок в поле зрения) того или иного глаза.

Поскольку процесс локализуется не в соске зрительного нерва, а в его стволе (ретробульбарно), то на глазном дне в течение иногда довольно длительного срока изменений не обнаруживается.
При значительном поражении поперечника зрительного нерва утрачивается прямая реакция зрачка слепого глаза на свет при сохранённой реакции сужения его в случае освещения другого глаза (содружественная реакция зрачка).
Для ретробульбарного неврита при РС характерно выпадение центральных полей зрения (центральная скотома), так как бляшки развиваются обычно внутри ствола зрительного нерва. В отличие от этого при ретробульбарном неврите сифилитической этиологии или при воспалении придаточных полостей носа чаще наблюдается концентрическое сужение полей зрения, так как воспалительный процесс развивается с наружной поверхности зрительного нерва — с его оболочек.

Через известный срок при РС обнаруживаются изменения глазного дна — побледнение соска зрительного нерва (атрофия). Типичным для РС является преимущественное побледнение височных половин сосков зрительных нервов. Утрата зрения может быть полной или частичной, одно- или двусторонней. Через некоторое время обычно наступает улучшение, но процесс может и нарастать. Двусторонняя слепота отмечается редко.
Мозжечковые и пирамидные расстройства
Наиболее ранними мозжечковыми расстройствами является:
- интенционное дрожание в руках, обнаруживаемое при пальце-носовой пробе;
- расстройство почерка;
- нистагм глазных яблок при отведении в стороны.
Резко выраженный нистагм (иногда не только горизонтальный, но и вертикальный или ротаторный), зависящий от пораженпя мозжечка, расстройства речи (скандированная речь) и дрожание головы или туловища являются уже признаком далеко зашедшего процесса.

Развиваются и другие мозжечковые симптомы — адиадохокинез (невозможность быстрой смены противоположных движений — сгибания или вращения), шаткая походка и др.
Иногда, наряду с выраженными симптомами пирамидного поражения, отмечаются и симптомы поражения периферического двигательного неврона: утрата сухожильных рефлексов конечностей, атрофии мышц.

Нарушения чувствительности не столь выражены, как двигательные расстройства. Своеобразной парестезией (ощущение жжения, мурашек, покалывания) при РС является возникающее при резком сгибании головы к груди ощущение электрического тока, как бы пробегающего по позвоночнику вниз, с иррадиацией в ноги, иногда в руки. В некоторых случаях наблюдаются нарушения суставно-мышечного и вибрационного чувства в нижних конечностях. Значительно реже расстраивается поверхностная чувствительность.
Из черепномозговых нервов, кроме зрительных, чаще поражаются отводящий и глазодвигательный нервы. Паралич глазных мышц обычно имеет преходящий характер и выражается лишь диплопией, которая может быть начальным симптомом заболевания.

Нередки поражения тройничного, лицевого и подъязычного нервов. Развитие склеротических бляшек в надъядерных отделах кортико-нуклеарного пути может стать причиной возникновения псевдобульбарного синдрома, а в мозговом стволе — развития бульбарных симптомов (симптомы поражения черепных нервов).
Нарушения функций тазовых органов являются нередкими симптомами РС. Встречаются следующие нарушения:
- императивные (внезапные и неподавляемые) позывы, учащения, задержки мочи и стула;
- недержание, неполное опорожнение мочевого пузыря, приводящее к уросепсису — характерны для боле поздних стадий.
Нередки нарушения функции половой системы. Эти проблемы могут одновременно являться функциональными нарушениями тазовых органов, а также могут быть самостоятельными симптомами.
Психические нарушения редки. Деменция и выраженные формы психического расстройства свойственны лишь поздним периодам заболевания и обусловлены множественными и распространенными очагами в коре и подкорковых образованиях больших полушарий.
Патогенез рассеянного склероза
Для того, чтобы понять механизм развития РС, необходимо ознакомиться с патологической анатомией данного заболевания.
При микроскопическом исследовании обнаруживаются заметные и достаточно характерные изменения, выявляемые с наибольшим постоянством в спинном мозгу, мозговом стволе и полушариях головного мозга. Видны множественные бляшки различной величины (от точечных до весьма массивных, которые, к примеру, занимают весь поперечник спинного мозга), рассеянные преимущественно в белом веществе. Такая множественность и разбросанность очаговых изменений и определяет название болезни.

Отдельные бляшки имеют округлую форму, они нередко сливаются и создают изменения сложных очертаний. Цвет бляшек на разрезе розовато-серый (недавно образовавшиеся очаги) или серый, желтоватый (старые очаги).

При разрезе бляшки определяется их большая плотность по сравлению с нормальной мозговой тканью. Эти уплотнения, склерозирование бляшек дало возможность охарактеризовать заболевание как склероз.
При микроскопии на первый план выступают изменения миелиновых волокон. В области очага, бляшки, в белом веществе наблюдаются в той или иной степени распад миелиновой оболочки, покрывающей нервные волокна центральных проводников, причём осевой цилиндр нередко остаётся неповреждённым.

В остром периоде, при наличии отёка и инфильтрации, в очаге поражения нарушается проводимость по нервным волокнам. В дальнейшем, при условии гибели осевых цилиндров, возникают необратимые, стойкие выпадения.
После периода острого воспаления оказывается, что осевые цилиндры частично сохраняют свою целостность и проводимость, иногда даже наблюдается ремиелинизация нервных волокон. В результате наблюдается не только ремиссия, но даже и вполне удовлетворительное восстановление отдельных утраченных ранее функций, что очень характерно для РС.

Образование новых воспалительных очагов определяет ухудшение и возникновение новых симптомов. [2] [5]
Классификация и стадии развития рассеянного склероза
Строгой и общепринятой классификации РС нет. Некоторые авторы предлагают подразделять РС по клиническому течению, другие по локализации процесса. [9]
По характеру течения выделяют:
- ремитирующую форму — характеризуется редкими обострениями, чередующимися с ремиссиями, иногда длящимися годами, причём поражённые участки мозга восстанавливаются как частично, так и полностью;
- первично прогрессирующую — незаметное начало и медленное, но необратимое нарастание симптоматики;
- вторично-прогрессирующую — сначала напоминает ремитирующую, но на поздних стадиях характерен переход в прогрессирующую форму;
- прогрессирующе-ремитирующую — редкая форма, когда заболевание, начинаясь с ремитирующего течения, переходит в первично-прогрессирующее.

По локализации поражения мозга:
- церебральная — страдает пирамидная система;
- стволовая — наиболее тяжёлая форма РС, быстро приводящая больного к инвалидности;
- мозжечковая — церебеллярные нарушения, часто сочетается с поражением ствола мозга;
- оптическая — страдает зрительная система;
- спинальная — поражается спинной мозг, возникают тазовые расстройства и спастический нижний парапарез;
- цереброспинальная форма — наиболее распространённая, характеризуется большим количеством склеротических бляшек в головном и спинном мозге, клинически выявляются мозжечковые и церебральные нарушения, патология зрительной, вестибулярной и глазодвигательной систем.
По стадиям РС делят на:
- острую стадию, которая длиться первые две недели обострения;
- подострую, длящуюся два месяца от начала обострения и является переходной стадией к хроническому прогрессированию заболевания;
- стадию стабилизации, при которой в течение трёх месяцев не наблюдается обострений.
Осложнения рассеянного склероза
Серьёзными осложнениями, особенно при спинальных формах, являются пролежни и глубокие нарушения тазовых органов.

Неблагоприятно могут протекать также острые и подострые случаи с поражением жизненно важных отделов мозгового ствола.
Неврологический статус пациента напрямую зависит от его иммунитета. Зачастую появляется повышенная утомляемость, развивается мышечная слабость, головокружение. В стадии прогрессирования отмечается атаксия (нарушение координации и произвольных движений), значительное уменьшение физических и особенно двигательных возможностей конечностей с развитием спастики (двигательные нарушения в связи с повышенным тонусом мышц).
Весьма часто резко снижается острота зрения, теряется чёткость изображения, уменьшаются поля зрения, происходит искажение цветов, диплопия, развивается амблиопия и стабизм (косоглазие).
У пациентов зачастую возникает раздражительность, неустойчивость настроения, в некоторых случаях эйфория, неадекватное отношение к своему состоянию.
При РС нередки когнитивные нарушения — снижение памяти, концентрации внимания, нарушение пространственной ориентации.
Также при РС появляются тазовые нарушения — задержка мочеиспускания и длительные запоры, впоследствии больной теряет возможность контролировать процессы опорожнения кишечника и мочевого пузыря. В результате неполного опорожнения мочевого пузыря возникают урологические заболевания, вплоть до уросепсиса.
Вышеперечисленные осложнения требуют особого внимания, так как именно они могут стать причиной смертельного исхода для больного. [15] [16]
Диагностика рассеянного склероза
При вероятном РС, наряду с полным неврологическим осмотром, необходимо проводить исследование головного и спинного мозга при помощи МРТ. Этот способ исследования является наиболее информативным дополнительным методом диагностики. С его помощью можно обнаружить участки изменённой плотности в белом веществе головного мозга (очаги демиелинизации и глиоз). [10]

Исследование зрительных вызванных потенциалов, применяемое для определения степени сохранности некоторых проводящих путей, может также являться одним ранних диагностических критериев.
При изучении ликвора информативным считается метод изоэлектрического фокусирования спинномозговой жидкости, позволяющий выделить олигоклональные группы IgG.
Для диагностики РС широко используются критерии, предложенные Международной экспертной группой. [11]
Лечение утомляемости и чувствительности к повышению температуры при рассеянном склерозе. Лечение поведенческих расстройств при рассеянном склерозе.
Московский областной научно-исследовательский клинический институт им. М.Ф. Владимирского
Психотические нарушения при рассеянном склерозе
В настоящее время нет однозначного ответа на вопросы: имеют ли место психотические нарушения у пациентов с рассеянным склерозом (РС) или речь идет о двух самостоятельных заболеваниях (РС и шизофрения), или эпизоды психических проявлений связаны с органическим поражением вещества головного мозга? В статье приводятся два клинических наблюдения больных РС с психотическими расстройствами, которые помогут решению поставленной проблемы.
Клинические проявления рассеянного склероза (РС) характеризуются многообразием и полиморфизмом, что обусловлено многоочаговым поражением главным образом белого вещества ЦНС. Считается, что острые психотические расстройства (состояния психоза) при РС редки и встречаются лишь в 5—7% случаев при обострениях заболевания. До сих пор является дискутабельным вопрос: определяются они сочетанием РС с шизофренией или они являются следствием органического поражения головного мозга. При проведении дифференциального диагноза между органически обусловленным и эндогенным характером психотических нарушений необходимо учитывать их связь с периодом обострения заболевания, наличием психических нарушений в период ремиссии и до развития РС, возможность реакции на проводимую пульс-терапию кортикостероидами и нейролептиками [1—4].
Под психотическими расстройствами подразумеваются глубокие нарушения психики, выражающиеся в нарушении отражения реальности, возможностей ее познания, неадекватном поведении и отношении к окружающим. З. Фрейд полагал, что психотическое расстройство является результатом глубинного конфликта между Я и внешним миром. При этом у пациентов могут наблюдаться так называемые «продуктивные» симптомы: бред, галлюцинации, своеобразная речь, двигательные нарушения, расстройство поведения [5—7].
В настоящее время выделяют несколько вариантов соотношений между РС и психотическими расстройствами: они могут являться дебютом заболевания или проявлением очередного обострения, экзацербация РС может выявить имеющиеся скрытые нарушения в психической деятельности или может иметь место сочетание РС с текущим эндогенным психическим заболеванием. Некоторыми авторами предложено выделять течение РС с психическими нарушениями в особую, так называемую «энцефалитическую» форму, что связано с обширной демиелинизацией и наличием многочисленных очагов с нарушением целостности гематоэнцефалического барьера (ГЭБ) у этой группы пациентов. По данным литературы, большинство очагов на картине МРТ при этом расположено в височных долях, перивентрикулярно у височных рогов боковых желудочков и в области гиппокампа. Ряд исследователей полагают, что психотические расстройства при РС больше связаны с активностью воспалительного процесса, чем с локализацией поражения [2, 8—11].
Таким образом, на сегодняшний день нет однозначного мнения о природе возникновения психических нарушений у пациентов с Р.С. Актуальность проблемы обусловлена также сложностью подбора патогенетической терапии. Если аффективные нарушения вызваны обострением РС, то необходимо проводить пульс-терапию метилпреднизолоном, однако, согласно инструкции, противопоказанием к назначению глюкокортикостероидов (ГКС) служит наличие у больного психических заболеваний. Описаны случаи возникновения острых психозов на фоне применения ГКС [2, 12]. Учитывая относительную редкость психотических расстройств при РС, изучение отдельных клинических случаев способствует разрешению означенной проблемы.
В качестве примера приводим два клинических случая острых психотических нарушений у пациентов с РС, наблюдающихся в Центре Р.С. Московской области.
Оба эпизода острых психотических нарушений были связаны с обострениями РС и наличием множественных обширных очагов с признаками нарушения целостности ГЭБ. Учитывая увеличение частоты и выраженности обострений (нарастание показателя по EDSS на 3,5 балла), наличие психотических расстройств, которые при предыдущих экзацербациях никогда не фиксировались, а также выявление множества очагов, накапливающих гадолиний, состояние пациентки было расценено не просто как возобновление активности РС на фоне прекращения терапии ФГ, а как ребаунд-феномен [13, 14]. Пульс-терапия метилпреднизолоном оказалась не только малоэффективной, но и усилила при втором эпизоде психотические проявления. Только комплексная терапия, включающая в себя использование ГКС, плазмафереза и длительного курса нейролептиков, позволила достичь частичного терапевтического эффекта.
Наблюдение 2. Пациент П., 22 года. В детстве наблюдался с диагнозом: энцефалопатия на резидуально-органическом фоне с признаками судорожной активности. Со слов матери, пароксизмальных состояний не отмечалось, лечения не получал. Рос и развивался по возрасту. Семейный анамнез не отягощен. По результатам ЭЭГ (25.10.14) были выявлены признаки эпилептической активности, состоял на учете у эпилептолога, клинических проявлений эпилепсии не отмечалось. В ноябре 2014 г. (18 лет) появилось онемение правой половины лица. На МРТ головного мозга (23.12.14): в теменной, затылочной доле субкортикально и перивентрикулярно, в мозолистом теле — овальные очаги размером до 10 мм. Контраст не вводился. Поставлен диагноз: демиелинизирующее заболевание ЦНС. Клинически изолированный синдром (КИС). По шкале EDSS — 1,5 балла.
В феврале 2016 г. появились жалобы на нарушение памяти («туплю, не могу сфокусироваться»), шаткость при ходьбе, снижение слуха справа, снижение зрения. На МРТ головного мозга с контрастным усилением от (01.02.16): множественные очаги демиелинизации, 8 активных очагов, 3 из которых с кольцевидным типом накопления, остальные копят диффузно. Получал пульс-терапию метилпреднизолоном с положительным эффектом. Поставлен диагноз: РС, ремиттирующее течение, назначена терапия ИФН.
В августе 2016 г. (через 2 мес после начала приема ИФН) появились жалобы на нарушение памяти, внимания, пошатывание при ходьбе. Проведена пульс-терапия ГКС с положительным эффектом, по EDSS — 2,0 балла. По данным МРТ головного мозга (28.08.16) после курса ГКС: активных очагов не выявлено. Терапия ИФН продолжена.
В октябре 2016 г. возникли онемение и слабость в правых конечностях, нарушение координации; перемещался с посторонней помощью, по EDSS — 6,5 балла. Был госпитализирован в неврологическое отделение МОНИКИ им. М.Ф. Владимирского 03.11.16 для проведения пульс-терапии метилпреднизолоном. Во время нахождения в стационаре 04.11.16 у больного возник генерализованный тонико-клонический приступ (со слов матери, впервые в жизни). В течение 2 сут после приступа отмечалась спутанность сознания, нарушение речи («только мычал»). Осмотрен эпилептологом, установлен диагноз: симптоматическая фокальная эпилепсия, вторично-генерализованный тонико-клонический приступ. Назначена терапия препаратом вальпроевой кислоты 2000 мг/сут. Проведен курс ГКС (метилпреднизолон в суммарной дозе 5000 мг), 4 сеанса плазмафереза. На фоне лечения отмечался частичный регресс неврологической симптоматики, показатель по EDSS увеличился до 4,5 балла. В неврологическом статусе преобладали поведенческие и когнитивные расстройства в виде агрессивности, снижения памяти, умеренной деменции (значения по ММSE — 19 баллов).

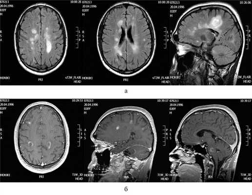
В декабре 2016 г. (через 1 мес) после перенесенной вирусной инфекции появились жалобы на слабость и онемение в правой половине тела, нарушение координации, психотические нарушения. Пациент был дезориентирован в пространстве и времени, не узнавал мать, звонил ей по телефону, просил прийти к нему, хотя мать в это время находилась рядом, пытался вырваться, встать с постели. Продуктивному контакту был мало доступен, взгляд настороженный, приступы агрессии сменялись плачем. По данным МРТ головного мозга с контрастным усилением (27.12.16): множественные очаги демиелинизации, 16 активных очагов с кольцевидным и диффузным типом накопления, появление множества новых очагов, увеличение в размерах прежних очагов (рис. 2). Рис. 2. МРТ головного мозга больного П. (обострение). а — Т2-ВИ, FLAIR; б — Т1-ВИ, контрастирование гадолинием.
Проведена пульс-терапия метилпреднизолоном в суммарной дозе 8000 мг и 4 сеанса плазмафереза с неполным регрессом неврологической симптоматики (сохранялся легкий правосторонний гемипарез, легкая атаксия, легкие когнитивные нарушения (значения по ММSE — 25 баллов). Психотические нарушения купировались. В связи с резистентностью к терапии высокими дозами ИФН и тяжестью обострений больной был переведен на терапию препаратом 2-й линии терапии — натализумабом (НЗ). Первая инфузия препарата проведена 16.01.17, осложнений во время введения НЗ не отмечалось. Титр антител к JCV — 0,30, уровень по EDSS — 4,0 балла. С конца октября 2017 г. (проведено 10 инфузий НЗ), со слов матери, вновь стали отмечаться эпизоды агрессии, неадекватного поведения («стал заговариваться»).
В ноябре 2017 г. появилась продуктивная симптоматика в виде галлюцинаций: слышал императивного характера «голоса в голове», говорил, что «его ногами кто-то управляет, они несут его под машину», стал неуправляемым, настороженным, злобным, временами тревожен, занят своими переживаниями. На МРТ головного мозга (29.11.17): очаги демиелинизации без признаков активности процесса, отмечалась положительная динамика по сравнению с предыдущим исследованием в виде отсутствия активных очагов и уменьшения размеров очагов в правой гемисфере мозжечка.

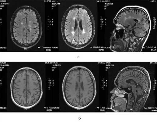
Титр антител к JCV — 0,53. Пациент ушел из дома 8.12.17 и пропал. Через 3 сут был обнаружен поисковым отрядом в Москве возле школы, где ранее учился, при встрече с матерью ее не узнал. С диагнозом «острое полиморфное психотическое расстройство» был госпитализирован в психиатрическую больницу, где ему было начато лечение нейролептиками, транквилизаторами, антидепрессантами, продолжена терапия противоэпилептическими препаратами. С целью исключения прогрессирующей фокальной лейкоэнцефалопатии (ПМЛ) 13.03.18 проведено повторное МРТ-исследование, где было установлено отсутствие очагов с признаками нарушения целостности ГЭБ, отсутствие признаков ПМЛ, выявлена положительная динамика в виде уменьшения размеров и количества очагов (рис. 3). Рис. 3. МРТ головного мозга больного П. (вне обострения). а — Т2-ВИ-FLAIR; б — Т1-ВИ, контрастирование гадолинием.
В связи с отсутствием признаков обострения по данным нейровизуализации и изменений, характерных для ПМЛ, пульс-терапия ГКС не проводилась, продолжена терапия НЗ. В настоящее время проведено 14 инфузий препарата. Пациент продолжает принимать нейролептики, транквилизаторы, препараты вальпроевой кислоты, на фоне которых продуктивная симптоматика частично регрессировала. Больной ориентирован в пространстве и личности, бредовые идеи активно не высказывает, отрицает наличие «голосов», мышление малопродуктивное, непоследовательное, память на текущие события снижена. В неврологическом статусе отмечается легкая гемигипестезия справа, умеренный атаксический синдром, тазовые расстройства, показатель по EDSS — 5,0 балла, тяжесть состояния преимущественно обусловлена снижением когнитивных функций.
Первый эпизод острых психотических нарушений у пациента П., вероятно, был спровоцирован обострением РС и наличием множественных обширных очагов с признаками нарушения целостности ГЭБ. Второй эпизод отмечался при отсутствии признаков активности процесса и частично регрессировал без применения ГКС. Наличие ПМЛ, которая может дебютировать в виде когнитивных проявлений, было исключено с помощью МРТ и невысокого титра антител к JCV в сыворотке крови. Исходя из вышеизложенного, в данном случае наиболее вероятно сочетание РС и эндогенной психической патологии.
Таким образом, патофизиологическая основа психотических нарушений при РС до сих пор не ясна. Нет четких критериев, позволяющих однозначно судить, связаны подобные состояние с локализацией, массивностью деструктивных поражений головного мозга или с активностью воспалительного процесса, и с уверенностью исключить эндогенный процесс. В каждом отдельном случае требуется индивидуальный подход с тщательным изучением анамнеза заболевания, семейного анамнеза, кинической и МРТ-картины.
Проблемы диагностики и лечения рассеянного склероза
За последнее десятилетие рассеянный склероз из неизлечимой болезни перешел в категорию частично управляемых. В этих условиях точная диагностика становится необходимым инструментом, определяющим последующее лечение. О проблемах диагностики и лечения рассеянного склероза рассказывает канд. мед. наук, доцент кафедры невропатологии и нейрохирургии СПбГМУ им. акад. И.П. Павлова Наталья Агафоновна Тотолян.
Причины столь частых диагностических ошибок (иногда ценою в 5-10 лет) во многом определяются крайне широким спектром клинических проявлений болезни. С 1983 года в исследовательскую и клиническую практику вошли и стали общепринятыми разработанные международной группой экспертов критерии диагностики PC (табл. 1). Однако за годы их применения стало очевидным, что перечень заболеваний, сходных с PC как по клиническим проявлениям, так и по данным дополнительных методов исследования, постоянно растет (табл. 2).
Таблица 1
КРИТЕРИИ ДИАГНОЗА РАССЕЯННОГО СКЛЕРОЗА (C.M. POSER ET AL., 1983)
Таблица 2
ЗАБОЛЕВАНИЯ, ТРЕБУЮЩИЕ ДИФФЕРЕНЦИАЛЬНОГО ДИАГНОЗА С РС
ГРУППА ЗАБОЛЕВАНИЙ И/ИЛИ НОЗОЛОГИЧЕСКАЯ ФОРМА
ВОЗМОЖНО СХОДСТВО С PC ПО ПАРАМЕТРАМ:
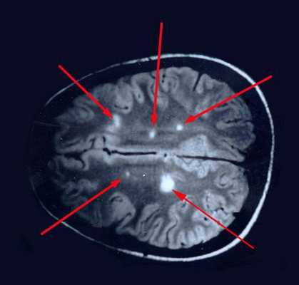
Рис. 1. Соотношение клинических и МРТ-проявлений активности РС.
Рис. 2, 3. Типичное расположение очагов РС на МР-томограммах.
Алгоритм современной диагностики PC
Для PC справедливы общие законы диагностики: первостепенное значение имеют клинические данные, а результаты дополнительных методов исследования подтверждают или исключают диагноз.
Клинические данные
Первые клинические симптомы могут включать
- развивающиеся подостро расстройства чувствительности(ее снижение или парестезии в конечностях),
- мышечную слабость в одной или нескольких конечностях,
- ухудшение зрения на один глаз (поражение зрительного нерва),
Магнитно-резонансная томография
Следующим шагом после клинического предположения о PC является магнитно-резонансная томография (МРТ) - метод выбора инструментальной диагностики PC. Это неинвазивное и безопасное исследование позволяет визуализировать патологические очаги в центральном нервной системе, демонстрируя необходимую для диагностики диссеминацию процесса в пространстве (многоочаговость) и во времени (очаги "разного возраста", а также исследование в диамике). Это наиболее информативный инструментальный метод диагностики PC. Его чувствительность при разных формах PC -85-95%. Однако общепринятые МРТ-критерии PC (табл. 3) следует использовать лишь в качестве базисных. Разработаны дополнительные МРТ-характеристики, которые повышают специфичность метода. Они включают определенные варианты локализации и ориентации очагов, особенности проявлений отека вещества мозга и накопления контраста, а также изменения, наблюдаемые в динамике.
МРТ головного мозга является необходимой, а МРТ спинного мозга - желательной в диагностике PC. Последняя очень важна в мониторинге течения болезни и абсолютно необходима при спинальных формах PC. Следует особо подчеркнуть, что МРТ может служить эффективным методом диагностики только при соблюдении определенных условий:
- должна выполняться в соответствии со схемами, принятыми для оценки PC,
- должна проводиться на аппаратах с достаточной мощностью поля (0.5-1.5 Тесла). Использование аппаратов с низкой мощностью поля (0.05 Тесла) резко снижает диагностические возможности метода и служит источником ошибок.
ДИАГНОСТИЧЕСКИЕ МРТ-КРИТЕРИИ РС
Лабораторная диагностика PC
Несколько факторов определяют особенности современной лабораторной диагностики PC:
- 1. Не существует патогномоничного лабораторного теста, позволяющего безоговорочно устанавливать диагноз PC. По современным представлениям, PC является иммунологически-опосредованным заболеванием, сопровождающимся аутоиммунными реакциями с расширяющимся спектром аутоантигенов. Уже в дебюте болезни может выявляться сенсибилизация к нескольким аутоантигенам, а по мере прогрессирования PC спектр аутоиммунных реакций расширяется: появляются признаки аутоагрессии ко многим компонентам нервной ткани. Подобные аутоиммунные реакции могут наблюдаться при других хронических заболеваниях нервной системы. Ведущие биохимические сдвиги при PC определяются демиелинизацией в ЦНС. Однако выявление продуктов распада миелина также является неспецифическим, поскольку миелин разрушается при различных патологических процессах (опухолевом, сосудистом, травматическом и др.)
2. Высокую информативность в диагностике PC имеют только показатели цереброспинальной жидкости (ЦСЖ). Это определяется тем, что PC относится к органоспецифическим заболеваниям, причем органы-мишени (головной и спинной мозг) являются "забарьерными". Для PC не характерны системные клинические проявления. oОтсутствуют и эффективные лабораторные показатели, опирающиеся на системные сдвиги, то есть на параметры крови. Попытки найти "неинвазивные" тесты, используя для анализа другие биологические жидкости (слюну, мочу, слезную жидкость), также оказались безуспешными. Современные диагностические лабораторные показатели часто учитывают соотношение параметров ЦСЖ с соответствующими параметрами сыворотки крови.
Наиболее информативные из них приведены в табл. 4.
Таблица 4
ПОКАЗАТЕЛИ ЦСЖ, ИСПОЛЬЗУЕМЫЕ ДЛЯ ДИАГНОСТИКИ РС
Они отражают очень характерные для PC сдвиги в гуморальном звене иммунного ответа, а именно: повышенную продукцию иммуноглобулинов и их компонентов в пределах нервной системы. Два показателя (индекс IgG и олигоклонапьные полосы IgG) входят в международные критерии. Первый из них отражает количественные изменения в синтезе IgG. Он рассчитывается по формуле lgGцсж/lgGсыв: альбуминцсж /альбумисыв - и учитывает дисфункцию гемато-энцефалического барьера при PC. Олигоклональные полосы отражают главным образом качественные изменения синтеза IgG, так как у здоровых людей иммуноглобулины в ЦСЖ поликлональны. Индекс IgG уступает по информативности олигоклональным полосам, и в последнее время используется реже. Показатель содержания свободных легких цепей иммуноглобулинов к-типа (СЛЦ-к) признан по оценке международных экспертов как один из наиболее информативных. Он не включен в критерии PC главным образом из-за отсутствия стандартных наборов для выполнения этого теста.
Рядом лабораторий Санкт-Петербурга этот тест на основе отечественных реактивов уже в течение десяти лет успешно используется для диагностики PC. По сравнению с определением концентрации в ЦСЖ, оценка индекса СЛЦ-к (по формуле, аналогичной индексу IgG) еще более информативна. Оценка чувствительности и специфичности метода проведена с использованием данных тестирования более 500 больных PC и более 200 больных групп сравнения, причем последние включали подгруппы заболеваний, сходных с PC по клиническим, МРТ- и ЦСЖ-критериям. Метод дает возможность эффективной диагностики PC уже при первых клинических проявлениях (с длительностью симптомов менее 1 месяца): его чувствительность на ранних этапах болезни составляет 85%. Определение содержания СЛЦ-к в ЦСЖ и индекса СЛЦ-к является доступным и недорогим тестом, который в сегодняшних условиях можно считать методом выбора лабораторной диагностики PC.
Наряду с "общими иммунологическими чертами", при PC имеют место и более вариабельные иммунологические показатели. Более того, в последние годы с помощью иммуногистохимических и иммуноцитохимических методов получены новые патоморфологические данные, указывающие на наличие патоморфологических вариантов PC. На практике эта неоднородность заболевания может проявляться еще одним сложным аспектом: разным ответом (или отсутствием ответа) на проводимое лечение. В этих условиях целесообразен поиск показателей, характеризующих различные "варианты" PC и позволяющих прогнозировать эффект лечения.
Лечение PC
Основные факторы, определяющие современные подходы к лечению
Последнее десятилетие изучения PC привнесло ряд факторов, которые сегодня невозможно игнорировать при лечении больного PC.
4. В лечении тяжелых заболеваний все больше внимания уделяется понятию "связанного со здоровьем качества жизни". Если ценой за стабилизацию болезни могут быть тяжелые осложнения, то назначение лечения требует взвешенного подхода и оценки соотношения предполагаемой пользы с одной стороны и побочных эффектов, риска осложнений - с другой. Улучшение связанного со здоровьем качества жизни должно быть основной целью лечения.
Направления лечения и проблемный подход
Лечение PC (табл. 5) включает:
- I. Лечение, направленное на замедление прогрессирования патологического процесса
II. Лечение, направленное на уменьшение тяжести и длительности обострения
III. Симптоматическое лечение
IV. Поддерживающую реабилитацию
Лишь для незначительной части препаратов и процедур, наиболее часто используемых в лечении PC, получены доказательства эффективности. Многие препараты используют при PC на основании экспериментальных и эмпирических предпосылок. Нынешнее положение дел отражает мнение одного из ведущих экспертов в области PC, профессора J.H. Noseworthy (Mayo Clinic, США): "Оптимальное лечение обострений PC неизвестно, а многие врачи и пациенты имеют выраженные личные предпочтения". На практике это означает, во-первых, что к любому лечебному воздействию, пока не доказана его эффективность на уровне современных требований, следует относиться как к пробному, а когда речь идет о новых средствах - как к экспериментальному. Во-вторых, лечение и контроль за ним должны осуществляться учреждениями здравоохранения, имеющими соответствующую специализацию. Следует особо отметить, что быстрый прогресс знаний в области PC ежегодно обусловливает проведение новых клинических испытаний с исследованием десятков перспективных препаратов.
ПРЕПАРАТЫ И МЕТОДЫ ВОЗДЕЙСТВИЯ,
ИСПОЛЬЗУЕМЫЕ В СОВРЕМЕННОМ ЛЕЧЕНИИ РС
Вопросы, которыми нельзя пренебречь при лечении больных PC
и с которыми сталкивается каждый больной PC и его лечащий врач,
а ответы на них либо противоречивы, либо вообще трудно найти в литература
Как лечить первое обострение PC?
В последние годы появились серьезные публикации, указывающие предпочтительность лечения первого обострения (в частности, неврита зрительного нерва) коротким курсом пульс-терапии кортикостероидами (1 г метилпреднизолона в/в в сутки в 2-4 приема, в течение 3 дней) с последующим коротким курсом преднизолона внутрь (1 мг/кг/день в течение 11 дней). Такое лечение существенно отдаляет срок последующего обострения (т.е. переход в клинически достоверный PC), в отличие от стандартного перорального курса кортикостероидов, который, наоборот, может ускорить рецидив.
Когда начинать активное лечение иммуномодуляторами (в частности, препаратами интерферонов-бетта)?
Не показано такое лечение после первого обострения, особенно при минимальных изменениях по данным МРТ: при доброкачественном естественном течении болезни отдаленные эффекты иммуномодуляторов неизвестны. По этой же причине не назначают такое лечение в возрасте до 18 лет. Показаниями являются частые выраженные обострения, имеющие следствием риск нарастания инвапидизации.
В каких случаях при обострении предпочтительнее назначать кортикостероиды?
Назначая кортикостероиды, прежде всего рассчитывают на мощное противоотечное, противовоспалительное и мембраностабилизирующее действие. Поэтому их использование целесообразно тогда, когда обострение проявляется тяжелыми симптомами (поражения спинного мозга, ствола мозга), и быстрое купирование отека и воспаления может способствовать более полному регрессу симптомов. Необоснованные курсы лечения гормонами могут способствовать активации некоторых вирусных нейроинфекций и последующей резистентности к лечению.
Существует ли профилактика обострений РС?
Основной фактор риска обострений - вирусные инфекции (но не бактериальные): ОРВИ, желудочно-кишечные, герпетические. Поэтому профилактика и адекватное лечение вирусных инфекций может благоприятно сказаться на течении РС. Травмы (за исключением электротравмы) и хирургические вмешательства не являются фавором риска обострений.
o После ОРВИ в 10-30% случаев развивается обострение PC.
Как беременность влияет на течение РС и лечение?
Последние исследования показали, что в целом беременность не ухудшает (а иногда улучшает) течение PC. Риск обостренй в период беременности существенно снижается, а в течение 1 года после родов - возрастает, однако в общей сложности (9 месяцев беременности и 1 год после родов) частота обострений остается прежней. Риск обострений в течение года после аборта возрастает же степени, что и после родов. Это связано с резким переходом от физиологической иммуносупрессии во время беременности к новым условиям иммунорегуляции и ее срыву. Женщины, больные PC, должны избегать внеплановых беременностей. При планировании беременности за 3 месяца отменяют иммуномодуляторы и предполагают возобновление лечения после родов (в период риска), индивидуально решая вопрос грудного вскармливания.
Прием каких препаратов противопоказан или потенциально опасен при PC?
Противопоказаны при PC препараты интерферона-гамма, которые провоцируют обострение. С осторожностью следует относиться к значению иммуномодуляторов, в том числе индукторов интерферонов, усиливающих продукцию интерферона-гамма. Требует тщательных испытаний применение при PC препаратов, обладающих иммуностимулирующими свойствами, так как за счет усиления продукции (провоспалительных цитокинов, а также активации факторов фагоцитоза они могут индуцировать возрастание активности процесса. Не следует назначать больным РС индометацин в связи с возможностью провокации обострения. Из группы нестероидных противовоспалительных препаратов безопасными считаются аспирин и парацетамол, а о безопасности других средств этой группы сведений нет. На состоянии больных РС могут неблагоприятно сказаться любые "истощающие" воздействия: строгая диета, голодание, чрезмерные физические нагрузки, плазмаферез с большими объёмами удаляемой плазмы (особенно в фазе затихающего клинического обострения). Можно ли проводить вакцинации при PC? Развитие острого диссеминированного энцефаломиелита после вакцинаций, а также возможность обострения PC при активации иммунной системы ставят вопрос о безопасности иммунизации против вирусных инфекций при PC. На него нет однозначного ответа. Проверены на безопасность при PC лишь отдельные вакцины (в частности противогриппозные). Вакцинацию против гриппа рекомендуется проводить пациентам, имеющим высокий риск заболевания или осложнений. Другие вакцины, особенно недавно разработанные, нуждаются в проверке на их безопасность при PC. Однако на сегодняшний день нет оснований говорить о высоком риске вакцинаций при PC.
Где должны лечиться больные PC?
Такое сложно контролируемое заболевание, как РС, требует обязательного участия служб, оказывающих специализированную помощь. Оптимальные формы помощи должны включать:
- систематические амбулаторные консультации специалистов в областит РС: врача-невролога, специалиста по физическим методам лечения и др.;
- лечение обостpeний, курсы реабилитации и профилактического лечения в условиях специализированного стационара;
- для пациентов с умеренной и тяжелой инвалидизацией - систематическую реабилитационную помощь на дому, оказываемую мультидисциплинарной бpигaдoй, с использoвaниeм проблемного подхода.
Читайте также:
