Легочная артерия и аорта на рентгенограмме. Причины расширения корня аорты
Добавил пользователь Евгений Кузнецов Обновлено: 01.11.2025
Аорта - это самый крупный сосуд человеческого организма. Она берет свое начало от сердца, и от нее отходят все артерии, которые доставляют кровь ко всем органам нашего тела.
Какие изменения происходят в сосуде при его уплотнении
Аорта относится к сосудам эластического типа, то есть ее стенка содержит большое количество соединительнотканных волокон. Это необходимо ей для выполнения двух главных функций. Во-первых, она достаточно хорошо растягивается, что позволяет поддерживать диастолическое давление.
Именно из-за растяжимости аорты кровь течет не рывками, а непрерывным потоком, что позволяет кровоснабжать внутренние органы. Особенно это касается миокарда, который на 85 % обеспечивается в фазу диастолы.
Во-вторых, высокое содержание эластических волокон позволяет аорте выдерживать то колоссальное давление, которое оказывает на нее кровь, выбрасываемая левым желудочком.
При различных заболеваниях сосуд уплотняется за счет того, что баланс между эластическими и коллагеновыми волокнами смещается в сторону последних. Также при некоторых патологиях в стенке аорты начинает активно откладываться кальций, делая ее жесткой.
Результатом такой цепочки патологических реакций становится развитие так называемой изолированной систолической артериальной гипертензии, либо усугубления уже имеющейся гипертонической болезни.
Вследствие плохой эластичности аорты «гидравлический удар» крови не смягчается, происходит ее постепенное расширение (дилатация), и повышается риск появления аневризмы, которая может в любой момент разорваться и привести к смерти.
Почему может склерозироваться аорта
Склероз или уплотнение аорты может развиться по множеству причин, к которым относятся:
- Атеросклеротическое поражение. Это наиболее частая причина уплотнения аорты, особенно у людей пожилого возраста.
- Пороки сердца. При дефектах аортального клапана ревматического или дегенеративного происхождения в патологический процесс вовлекается и аорта, в частности ее корень.
- Различные инфекционные заболевания (сифилис, бруцеллез, туберкулез).
- Ревматологические патологии (ревматоидный артрит, анкилозирующий спондилоартрит, реактивный артрит).
- Воспалительные заболевания кишечника (болезнь Крона, неспецифический язвенный колит).
- Системные васкулиты (неспецифический аортоартериит Такаясу и гигантоклеточный (височный) артериит Хортон.
Атеросклероз аорты
Самая частая причина уплотнения аорты - это атеросклеротическое поражение, которое представляет собой отложение холестерина в ее стенке. Основными источниками атеросклероза аорты являются:
- высокий уровень холестерина в крови;
- гипертоническая болезнь;
- курение;
- сахарный диабет;
- ожирение.
У мужчин атеросклероз возникает чаще и начинается раньше, чем у женщин. Практически всегда атеросклероз аорты сочетается с атеросклерозом сонных и коронарных артерий (сосудов, питающих сердце). На холестериновых бляшках довольно часто образуются тромбы, которые могут закупорить сосуды головного мозга, почек, кишечника и т. д. и вызвать инфаркт этих органов.
Какие симптомы говорят о склерозе аорты
Клиника напрямую зависит от причины и локализации поражения, степени сдавления соседних внутренних органов расширенной аортой либо аневризмой. Например, при инфекционных аортитах часто наблюдаются повышение температуры тела и ухудшение общего самочувствия. Если воспаление аорты развилось на фоне ревматологических заболеваний или системных васкулитов, то, помимо лихорадки, больной начнет терять в весе и жаловаться на боли в мышцах и суставах.
Так как склероз стенки сосуда вызывает повышение артериального давления, то многие пациенты испытывают симптомы гипертонии - головная боль, тяжесть в затылке, головокружения. Но наиболее часто уплотнение аорты протекает бессимптомно вплоть до серьезных осложнений (инсульт, инфаркт, разрыв аневризмы).
Уплотнение корня
Так как от корня аорты отходят коронарные артерии, изменение его функциональных свойств влияет на кровоснабжение миокарда. Нехватка кислорода проявляется приступами стенокардии - давящими, жгучими или сжимающими болями за грудиной, отдающими в левую руку, шею, нижнюю челюсть. Уплотнение корня аорты часто сопровождается пороками аортального клапана, поэтому могут появиться такие симптомы, как головокружение, предобморочные состояния, потери сознания.
При запущенном процессе присоединяются признаки хронической сердечной недостаточности (ХСН) - отеки на ногах, одышка, тяжесть в правом боку. Иногда мне удается увидеть такие специфические симптомы аортальных пороков сердца, как видимая пульсация сонных артерий на шее или покачивание головы взад и вперед в такт пульсу.
Атеросклероз восходящей части и дуги
Атеросклеротическое поражение восходящего отдела сосуда клинически очень схоже с уплотнением корня. От дуги аорты отходят сонные артерии, кровоснабжающие головной мозг, поэтому при поражении этого отдела у пациентов наблюдаются признаки ухудшения мозгового кровообращения - головная боль, шум в ушах, нарушение сна, быстрые перепады настроения.
Атеросклероз этих зон очень опасен, так как имеется высокая вероятность инсульта. Образовавшийся в области дуги аорты тромб может оторваться и закупорить мозговые артерии. У больных появляется ощущение сильной пульсации в верхней части грудной клетки. Расширенная и уплотненная дуга аорты сдавливает соседние органы. Например, при компрессии возвратно-гортанного нерва (нерв голосовых связок) голос становится хриплым. При сдавлении трахеи возникают чувство нехватки воздуха, сухой кашель, приступы удушья.
Поражение нисходящего отдела
Нисходящий отдел имеет 2 части: грудную и брюшную. При склерозе первой появляются жгущие боли в грудной клетке, отдающие в спину и верхнюю часть живота. Из-за сдавления пищевода возникает затруднение глотания. О том, какими симптомами проявляется атеросклероз брюшного отдела аорты, можно прочесть здесь.
Как определить патологию
Чтобы заподозрить уплотнение аорты, важно внимательно выслушать жалобы пациента. Для определения возможной причины я подробно расспрашиваю, когда появились симптомы, повышается ли температура тела, болят ли суставы, все ли в порядке с пищеварением, со стулом, не похудел ли больной за последнее время и т. д. Важно, чтобы человек вспомнил, не переболел ли он в детстве ревматизмом, стоял ли на учете у дерматовенеролога по поводу сифилиса.
Далее я перехожу к общему осмотру. При заболеваниях аорты иногда мне удается почувствовать усиленную пульсацию или дрожание грудной клетки. Очень помогает метод аускультации. С помощью стетоскопа я часто слышу шумы на аортальном клапане или в области яремной ямки (небольшое углубление между двумя ключицами). Обязательно нужно измерить артериальное давление на двух руках: при некоторых патологиях (болезнь Такаясу) показатели могут сильно отличаться.
После этого я назначаю дополнительное обследование. В первую очередь берется анализ крови на холестерин и уровень глюкозы. Затем проводятся инструментальные методы диагностики:
- Рентген - часто оказывается малоинформативным способом исследования. Можно лишь увидеть выраженную деформацию или аневризму.
- Эхокардиография (УЗИ-сердца) - прекрасный диагностический тест, особенно если у больного имеются пороки аортального клапана (АК). Обнаруживаются повреждения, кальцификация створок АК, регургитация (обратный заброс крови), сужения отверстий, расширение корня и утолщение стенок.
- Компьютерная томография позволяет сделать трехмерную (3D) реконструкцию всей аорты и оценить ее состояние на любом участке.
- Аортография - визуализация самой крупной артерии с помощью введения контрастного вещества непосредственно в сосуд, что очень информативно. Помимо структуры, можно оценить проходимость аорты, выявить аневризмы и пристеночные тромбы на всем ее протяжении.
Группа инвалидности при атеросклерозе аорты не устанавливается.

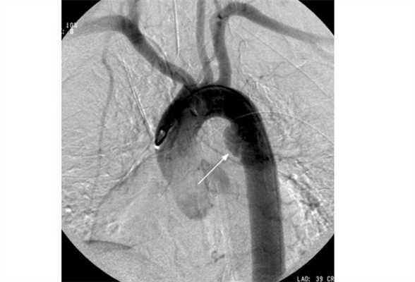
Пример аортографии. Стрелкой указано мешковидное выпячивание (аневризма)
Методы лечения
Всем больным с атеросклеротическим поражением аорты я настоятельно рекомендую бросить курить, если такая проблема существует. Важно изменить свой рацион питания, увеличив в нем количество рыбы, овощей и фруктов и уменьшив объем жирного мяса, сала, сливочного масла. Пациентам, страдающим сахарным диабетом, необходимо существенно ограничить количество потребляемых углеводов, контролировать уровень глюкозы в крови.
Медикаменты: какие и как долго
В зависимости от того, что послужило причиной склероза аорты, я применяю разные лекарственные средства:
- Лечение атеросклероза требует снижения концентрации холестерина в крови с помощью статинов (Розувастатин, Аторвастатин). С целью уменьшения риска тромбообразования я назначаю антиагреганты (Ацетилсалициловая кислота, Клопидогрел).
- Инфекционные заболевания могут быть поводом назначить антибиотики. При сифилисе - Пенициллин, при бруцеллезе - Доксициклин. Туберкулез требует применения специальных противотуберкулезных препаратов - Изониазид, Этамбутол.
- Ревматологические болезни и системные васкулиты. В случае аутоиммунных патологий для подавления выраженного воспаления в стенке аорты я применяю глюкокортикостероиды (Метилпреднизолон) либо более мощные иммуносупрессанты (Циклофосфамид, Метотрексат).
Хочу отметить, что независимо от причины склероза аорты при высоком артериальном давлении я назначаю антигипертензивные лекарственные препараты:
- при изолированной систолической артериальной гипертензии (высоком пульсовом давлении) - блокаторы кальциевых каналов (Амлодипин) или мочегонные (Индапамид, Гидрохлортиазид);
- при наличии ХСН - ингибиторы АПФ (Периндоприл, Рамиприл) или сартаны (Лозартан, Валсартан);
- при наличии ишемической болезни сердца - бета-адреноблокаторы (Метопролол, Бисопролол).
Хирургические вмешательства
Оперативные методы лечения применяются только тогда, когда произошло развитие аневризмы. Это необходимо, чтобы предотвратить ее дальнейший рост и самое страшное ее последствие - разрыв.
Операция показана, если диаметр аорты превышает 55 мм.
Существует 2 метода хирургического лечения аневризмы аорты:
- Установка стент-графта (металлического проволочного цилиндра), позволяющего нивелировать кровяное давление на ослабленные стенки аневризмы, тем самым предотвращая ее разрыв. Операция проводится под местной или общей анестезией. Устройство вводится через бедренный сосуд и под контролем рентгена достигает пораженного участка.
- Протезирование кондуитом (специальной трубкой, изготовленной из ткани перикарда или синтетического материала). При замене корня и восходящего отдела часто протезируется и аортальный клапан. Операция выполняется под общим наркозом на открытой грудной клетке.


Эффективны ли народные средства
В интернете по запросу «лечение народными средствами атеросклероза аорты сердца» можно найти массу рецептов нетрадиционной медицины, которые обещают не только улучшение состояния пациента, но и полное очищение всех сосудов организма. К сожалению, ни один из них не имеет доказательной базы. Их применение в самом лучшем случае будет просто бесполезно, а в худшем - вредно и даже опасно для жизни.
Многие компоненты трав могут вступать во взаимодействие с лекарственными препаратами, назначенными врачом (от гипертонии, для снижения уровня холестерина в крови и т. д.). Это приводит к тому, что либо ухудшится лечебный эффект лекарства, либо увеличится вероятность побочных реакций, порой очень тяжелых.
Для подготовки материала использовались следующие источники информации.
Аневризма аорты: описание, диагностика и лечение
Аневризма аорты - тяжелая органическая патология, которая предполагает дефектное расширение просвета конкретного участка данного сосуда. Подобные изменения ведут к анормальности гемодинамики и прогрессии сердечной недостаточности и других последствий. Заболевание может быть врожденным и приобретенным. Четверть всех случаев составляет аневризма грудного отдела аорты.
Что представляет собой аневризма аорты?

Аневризмой называют увеличение просвета сосуда более чем в 2 раза на ограниченном участке вследствие его истончения или растяжения. При этом образуются выпячивания или карманы, в результате чего нарушается кровоток. Обычно патология возникает из-за аномального процесса в соединительной ткани. При этом внутренняя часть стенки истончается, под высоким напором крови она растягивается и начинает выпячиваться. Со временем это явление прогрессирует и аневризма увеличивается.
Аорта является одним из основных кровеносных сосудов человека, обеспечивая оксигенированной кровью практически все органы. Также расширение корня аорты (особенно синуса Вальсавы) может привести к сдавливанию коронарных артерий, питающих сердечную мышцу, что часто заканчивается развитием ишемической болезни. Одним из опаснейших осложнений аневризмы аорты является ее разрыв, который приводит к внезапной смерти.
Выделяют три основные формы аневризмы грудной аорты:
- мешотчатая (стенка выпячивается незначительно на небольшом участке);
- расслаивающаяся (формируется в результате надрыва интимы);
- веретенообразная (аорта сердца расширена по всей окружности).
Причины возникновения
К врожденным причинам прежде всего относятся генетические заболевания соединительной ткани:
Однако чаще всего данная патология имеет приобретенный характер - вследствие нарушения обмена веществ, инфекционных, воспалительных, аутоиммунных заболеваний или травм:
- атеросклероз;
- аортит вследствие бактериальных или грибковых заболеваний (сепсис, пневмония, туберкулез, сифилис, перикардит);
- аутоиммунные заболевания соединительной ткани (гранулематозВегенера, артериит Такаясу, гигантоклеточный артериит);
- механические повреждения (например, при ДТП или вследствие хирургического вмешательства).
Существует также немало факторов риска, которые значительно повышают риск появления данного заболевания:
- возраст (чаще пожилой, от 55-60 лет);
- пол (в 5 раз чаще у мужчин);
- артериальная гипертензия;
- злоупотребление алкоголем и курение;
- ожирение;
- гиподинамия;
- гиперхолестеринемия, гиперлипидемия.
Типичные и нетипичные клинические проявления
В соответствии с характером течения выделяют следующие стадии:

- Острая - возникает мгновенно за 2-3 дня как результат инфаркта или массивного воспалительного процесса. Очень быстро заканчивается разрывом, поэтому требует немедленного лечения;
- Подострая - чаще всего бывает следствием принесенных сердечных заболеваний или операций в средостении, в результате которых образовываются рубцы. Развивается в течение нескольких месяцев;
- Хроническая - формируется на протяжении длительного периода времени и характеризуется высокой степенью компенсации, из-за чего клиника невыраженная.
Как показывает практика, на начальных этапах данное заболевание почти не проявляется, а его симптомы слишком неспецифичны, из-за чего их выявляют лишь в стадии предразрыва. Все это значительно усложняет раннее диагностирование.
Наиболее выраженными симптомами обладает расширение восходящего отдела, дуги и грудной аорты, что связано с их анатомическим расположением.
При этом выпячивания могут сдавливать органы средостения, что приводит к следующим проявлениям:
- сухой кашель и одышка (бронхи и трахея);
- утрудненное глотание (пищевод);
- брадикардия (блуждающий нерв);
- боль в грудной клетке (чувствительные нервы);
- частые пневмонии, отек (корень легких).
Нисходящий отдел грудной аорты может пережимать симпатическое сплетение, межреберные нервы, что приводит к развитию невралгий и парезов. При компрессии позвонков возникают их деформации, искривление позвоночника.
Нередко бывает так, что болезнь проявляется лишь во время расслоения и разрыва аорты. При этом могут возникать следующие симптомы и синдромы:
- двигательное беспокойство;
- слабость, одышка, потливость;
- цианоз;
- осиплость голоса;
- обморок.
При осмотре наблюдают ассиметрию пульса, давление падает (может вообще не определятся).
При расслоении также могут возникать следующие осложнения:
- геморрагический шок;
- острая сердечная недостаточность;
- гемоторакс;
- гемоперикард (тампонада сердца);
- инсульт.
Диагностика и дифференциация симптомов
Дальнейшее обследование включает в себя следующие методы:
Также очень важное значение имеет проведение дифференциальной диагностики, поскольку немало заболеваний проявляются схожей клиникой. Дифдиагноз аневризмы грудной аорты проводят с:
- опухолями средостения и легких;
- кистами и новообразования перикарда;
- врожденной извитостью аорты;
- интрамуральной гематомой.
При небольших аневризмах (особенно врожденного происхождения) могут применять выжидательную тактику. Пациенту показано периодическое наблюдение у кардиолога и поддерживающая терапия, направленная на укрепление стенок сосудов. Назначают антикоагулянты, антигипертензивные средства и статины.
Однако чаще всего, ввиду высокой вероятности развития осложнений показано хирургическое лечение.
Показаниями к операции будут:
- диаметр дефекта более 5 см;
- быстрое увеличение размеров;
- расслоение аневризмы
- травматическая этиология.
Существует два основных варианта - открытая и эндоваскулярная операция.
Первая методика - резекция аневризмы аорты, применяется с использованием аппарата искусственного кровообращения на открытом сердце. При этом иссекаются поврежденные участки стенки сосуда и затем проводится ушивание. В некоторых случаях показано протезирование имплантатом.

Предпочтительнее использовать второй вариант как менее травматичный, однако он показан лишь при небольших размерах аневризмы в удобном для доступа месте.
Операцию выполняют следующим образом. Через бедренную артерию заводят катетер, в котором размещен зонд с сосудистым протезом. Как только он подходит к аневризматическому участку, его фиксируют чуть выше расширения и ниже его. При этом вся кровь начинает проходить через искусственную трубку.
После вмешательства больного переводят в отделение интенсивной терапии и назначают препараты для предупреждения тромбозов и инфекционных осложнений.
Выводы
Аневризма аорты является статистически весомой причиной смерти в структуре кардиопатологий.
Симптомы расширения аорты сердца весьма неспецифичны, из-за чего выявление болезни происходит на поздних стадиях. Даже при использовании современных методик уровень операционной смертности составляет 15-20%. Общий прогноз для больных неблагоприятный, однако правильная реабилитация и профилактика значительно улучшает качество жизни.
Аневризма аорты
Аневризма аорты - патологическое локальное расширение участка магистральной артерии, обусловленное слабостью ее стенок. В зависимости от локализации аневризма аорты может проявляться болью в грудной клетке или животе, наличием пульсирующего опухолевидного образования, симптомами компрессии соседних органов: одышкой, кашлем, дисфонией, дисфагией, отечностью и цианозом лица и шеи. Основу диагностики аневризмы аорты составляют рентгенологические (рентгенография грудной клетки и брюшной полости, аортография) и ультразвуковые методы (УЗДГ, УЗДС грудной/брюшной аорты). Хирургическое лечение аневризмы предполагает выполнение ее резекции с протезированием аорты либо закрытого эндолюминального протезирования аневризмы специальным эндопротезом.
МКБ-10


Общие сведения
Аневризма аорты характеризуется необратимым расширением просвета артериального ствола на ограниченном участке. Соотношение аневризм аорты различной локализации примерно следующее: аневризмы брюшной части аорты составляют 37% случаев, восходящего отдела аорты - 23%, дуги аорты - 19%, нисходящего отдела грудной аорты - 19,5%. Т. о., на долю аневризм грудной аорты в кардиологии приходится почти 2/3 всей патологии. Аневризмы грудного отдела аорты часто сочетаются с другими аортальными пороками - аортальной недостаточностью и коарктацией аорты.

Причины
По этиологии все аневризмы аорты могут быть разделены на врожденные и приобретенные. Формирование врожденных аневризм связано с наследственными заболеваниями стенки аорты:
Приобретенные аневризмы аорты могут иметь воспалительную и невоспалительную этиологию:
- Поствоспалительные аневризмы возникают вследствие специфического и неспецифического аортита при грибковых поражениях аорты, сифилисе, послеоперационных инфекциях.
- Невоспалительные дегенеративные аневризмы обусловлены атеросклерозом, дефектами шовного материала и протезов аорты .
- Гемодинамически-постстенотических и травматические аневризмы связаны с механическими повреждениями аорты
- Идиопатические аневризмы развиваются при медионекрозе аорты.
Факторами риска формирования аневризм аорты считаются пожилой возраст, мужской пол, артериальная гипертензия, табакокурение и злоупотребление алкоголем, наследственная отягощенность.
Патогенез
Кроме дефектности стенки аорты в формировании аневризмы принимают участие механические и гемодинамические факторы. Аневризмы чаще возникают в функционально напряженных зонах, испытывающих повышенную нагрузку вследствие высокой скорости кровотока, крутизны пульсовой волны и ее формы. Хроническая травматизация аорты, а также повышенная активность протеолитических ферментов вызывают деструкцию эластического каркаса и неспецифические дегенеративные изменения в стенке сосуда.
Сформировавшаяся аневризма аорты прогрессирующе увеличивается в размерах, поскольку напряжение на ее стенки возрастает пропорционально расширению диаметра. Кровоток в аневризматическом мешке замедляется и приобретает турбулентный характер. В дистальное артериальное русло поступает лишь около 45% крови от объема, находящегося в аневризме. Это связано с тем, что, попадая в аневризматическую полость, кровь устремляется вдоль стенок, а центральный поток сдерживается механизмом турбулентности и присутствием в аневризме тромботических масс. Наличие тромбов в полости аневризмы является фактором риска тромбоэмболий дистальных разветвлений аорты.
Классификация
В сосудистой хирургии предложено несколько классификаций аневризм аорты с учетом их локализации по сегментам, формы, структуры стенок, этиологии. В соответствии с сегментарной классификацией выделяют
Оценка морфологического строения аневризм аорты позволяет подразделить их на истинные и ложные (псевдоаневризмы):
- Истинная аневризма характеризуется истончением и выпячиванием наружу всех слоев аорты. По этиологии истинные аневризмы аорты обычно атеросклеротические или сифилитические.
- Псевдоаневризма. Стенка ложной аневризмы представлена соединительной тканью, образовавшейся вследствие организации пульсирующей гематомы; собственные стенки аорты в формировании ложной аневризмы не задействованы. По происхождению чаще бывают травматическими и послеоперационными.
По форме встречаются мешотчатые и веретенообразные аневризмы аорты: первые характеризуются локальным выпячиванием стенки, вторые - диффузным расширением всего диаметра аорты. В норме у взрослых диаметр восходящей аорты составляет около 3 см, нисходящей грудной аорты - 2,5 см, брюшной аорты - 2 см. Об аневризме аорты говорят при увеличении диаметра сосуда на ограниченном участке в 2 и более раза.
С учетом клинического течения различают неосложненные, осложненные, расслаивающиеся аневризмы аорты. К числу специфических осложнений аневризм аорты относятся разрывы аневризматического мешка, сопровождающиеся массивным внутренним кровотечением и образованием гематом; тромбозы аневризмы и тромбоэмболии артерий; флегмоны окружающих тканей вследствие инфицирования аневризмы.
Особый тип представляет собой расслаивающаяся аневризма аорты, когда через разрыв внутренней оболочки кровь проникает между слоями стенки артерии и распространяется под давлением по ходу сосуда, постепенно расслаивая его.
Симптомы аневризмы аорты
Клинические проявления аневризм аорты вариабельны и обусловлены локализацией, размерами аневризматического мешка, его протяженностью, этиологией заболевания. Аневризмы могут протекать бессимптомно или сопровождаться скудной симптоматикой и выявляться на профилактических осмотрах. Ведущим проявлением служит боль, обусловленная поражением стенки аорты, ее растяжением или компрессионным синдромом.
Аневризма брюшной аорты
Клиника аневризмы брюшной аорты проявляется преходящими или постоянными разлитыми болями, дискомфортом в области живота, отрыжкой, тяжестью в эпигастрии, ощущением переполнения желудка, тошнотой, рвотой, дисфункцией кишечника, похуданием. Симптоматика может быть связана с компрессией кардиального отдела желудка, 12-перстной кишки, вовлечением висцеральных артерий. Часто больные самостоятельно определяют наличие усиленной пульсации в животе. При пальпации определяется напряженное, плотное, болезненное пульсирующее образование.
Аневризма грудной аорты
Для аневризмы восходящего отдела аорты типичны боли в области сердца или за грудиной, обусловленные сдавлением или стенозированием венечных артерий. Пациентов с аортальной недостаточностью беспокоит одышка, тахикардия, головокружение. Аневризмы больших размеров вызывают развитие синдрома верхней полой вены с головными болями, отечностью лица и верхней половины туловища.
Аневризма дуги аорты приводит к компрессии пищевода с явлениями дисфагии; в случае пережатия возвратного нерва возникает осиплость голоса (дисфония), сухой кашель; заинтересованность блуждающего нерва сопровождается брадикардией и слюнотечением. При компрессии трахеи и бронхов развиваются одышка и стридорозное дыхание; при сдавлении корня легкого - застойные явления и частые пневмонии.
При раздражении аневризмой нисходящей аорты периаортального симпатического сплетения возникают боли в левой руке и лопатке. В случае вовлечения межреберных артерий может развиваться ишемия спинного мозга, парапарезы и параплегии. Компрессия позвонков сопровождается их узурацией, дегенерацией и смещением с формированием кифоза. Сдавление сосудов и нервов клинически проявляется радикулярными и межреберными невралгиями.
Осложнения
Аневризмы аорты могут осложняться разрывом с развитием массивного кровотечения, коллапса, шока и острой сердечной недостаточности. Прорыв аневризмы может происходить в систему верхней полой вены, перикардиальную и плевральную полость, пищевод, брюшную полость. При этом развиваются тяжелые, подчас фатальные состояния - синдром верхней полой вены, гемоперикард, тампонада сердца, гемоторакс, легочное, желудочно-кишечное или внутрибрюшное кровотечение.
При отрыве тромботических масс из аневризматической полости развивается картина острой окклюзии сосудов конечностей: цианоз и болезненность пальцев стоп, ливедо на коже конечностей, перемежающаяся хромота. При тромбозе почечных артерий возникает реноваскулярная артериальная гипертензия и почечная недостаточность; при поражении мозговых артерий - инсульт.
Диагностика
Диагностический поиск при аневризме аорты включает оценку субъективных и объективных данных, проведение рентгенологических, ультразвуковых и томографических исследований. Аускультативным признаком аневризмы служит присутствие систолического шума в проекции расширения аорты. Аневризмы брюшной аорты обнаруживаются при пальпации живота в виде опухолевидного пульсирующего образования. Инструментальная диагностика:
- Рентгенография. В план рентгенологического обследования пациентов с аневризмой грудной или брюшной аорты включается рентгеноскопия и рентгенография грудной клетки, обзорная рентгенография брюшной полости, рентгенография пищевода и желудка.На заключительном этапе обследования выполняют аортографию, по данным которой уточняются локализация, размеры, протяженность аневризмы аорты и ее отношение к соседним анатомическим структурам.
- УЗИ. При распознавании аневризм восходящего отдела аорты используется эхокардиография; в остальных случаях проводится УЗДГ (УЗДС) грудной/брюшной аорты.
- Компьютерная томография. КТ (МСКТ) грудной/брюшной аорты позволяет точно и наглядно представить аневризматическое расширение, выявить наличие расслоения и тромботических масс, парааортальной гематомы, очагов кальциноза.
По результатам комплексного инструментального обследования принимается решение о показаниях к оперативному лечению. Аневризму грудной аорты следует дифференцировать от опухолей легких и средостения; аневризму брюшной аорты - от объемных образований брюшной полости, поражения лимфоузлов брыжейки, забрюшинных опухолей.

КТ-ангиография аорты. Аневризма брюшной аорты над бифуркацией. Просвет аневризмы (красная стрелка), пристеночный тромб (зеленая стрелка).
Лечение аневризмы аорты
При бессимптомном непрогрессирующем течении аневризмы аорты ограничиваются динамическим наблюдением сосудистого хирурга и рентгенологическим контролем. Для снижения риска возможных осложнений проводится гипотензивная и антикоагулянтная терапия, снижение уровня холестерина.
Оперативное вмешательство показано при аневризмах брюшной аорты диаметром более 4 см; аневризмах грудной аорты диаметром 5,5-6,0 см или при увеличении аневризм меньшего размера более чем на 0,5 см за полгода. При разрыве аневризмы аорты показания к экстренному хирургическому вмешательству абсолютные.
Хирургическое лечение аневризмы аорты заключается в иссечении аневризматически измененного участка сосуда, ушивании дефекта либо его замещении сосудистым протезом. С учетом анатомической локализации выполняется резекция аневризмы брюшной аорты, грудной аорты, дуги аорты, торакоабдоминальной части аорты, подпочечного отдела аорты.
При гемодинамически значимой аортальной недостаточности резекцию восходящей грудной аорты сочетают с протезированием аортального клапана. Альтернативой открытому сосудистому вмешательству служит эндоваскулярное протезирование аневризмы аорты с установкой стента.
Прогноз и профилактика
Прогноз аневризмы аорты, главным образом, определяется ее размерами и сопутствующим атеросклеротическим поражением сердечно-сосудистой системы. В целом естественное течение аневризмы неблагоприятное и связано с высоким риском смерти от разрыва аорты или тромбоэмболических осложнений. Вероятность разрыва аневризмы аорты диаметром 6 и более см составляет 50% в год, меньшего диаметра - 20% в год. Раннее выявление и плановое хирургическое лечение аневризм аорты оправдано низкой интраоперационной (5 %) летальностью и хорошими отдаленными результатами.
Профилактические рекомендации включают контроль АД, организацию правильного образа жизни, регулярное наблюдение у кардиолога и ангиохирурга, медикаментозную терапию сопутствующей патологии. Лицам из групп риска по развитию аневризмы аорты следует проходить скрининговое ультразвуковое обследование.
Расширение аорты: почему расширена, чем грозит, лечение и прогноз

Расширение аорты — довольно тревожный симптом, который отражает серьезные структурные изменения в стенке сосуда. Наиболее часто этот признак характеризует наличие приобретенной аневризмы, однако и при врожденных пороках он тоже может возникать.

Аорта — самый крупный сосуд человеческого тела, по которому кровь движется под огромным давлением. Ее стенка довольно плотная, но, в то же время, эластичная, что позволяет подстраиваться под колебания давления и сохранять целостность при ударах кровяных потоков во время сокращения сердца. Однако аорта очень уязвима для дистрофических процессов, в частности, атеросклероза, из-за большой нагрузки кровотоком и множества отходящих крупных артериальных ветвей.

Расширение аорты опасно ее разрывом, который в считанные минуты может лишить жизни, не оставив врачам времени на оказание помощи, поэтому все пациенты с таким изменением подлежат тщательному контролю и своевременному приятию решения о необходимости операции.
Среди больных, у которых аорта расширена, преобладают люди зрелого и пожилого возраста, чаще мужчины, которые раньше «обзаводятся» атеросклеротическими бляшками. Это приобретенное в процессе жизни расширение. У детей такое изменение наблюдается реже и обычно сопутствует врожденным порокам сердца или крупных сосудов.
Опасность всех видов дилатации аортального просвета вне зависимости от причины и возраста пациента связана не только с возможным разрывом, но и с бессимптомностью течения, когда заподозрить наличие патологии крайне проблематично, а само расширение может быть обнаружено случайно. По этой причине пациенты группы риска должны регулярно посещать врача, а при появлении необъяснимых болей или пульсации — срочно обращаться за квалифицированной помощью, ведь промедление может стоить жизни.
Причины расширения аорты
Причины, которые приводят к расширению аорты, могут быть врожденными и приобретенными. Среди приобретенных наибольшее значение имеют атеросклероз и сифилис, а к врожденным относят:
- ; ; ;
- Врожденную дисплазию и нарушение формирования соединительной ткани.
Атеросклероз может поражать саму стенку артерии, а также клапан аорты. В первом случае жировые отложения приводят с деструкции волокнистых структур, изъязвлению внутренней поверхности аорты, фиксации в области разрушенных бляшек солей кальция, результат — аорта расширена и уплотнена, сократимость ее снижена, устойчивость к гемодинамической нагрузке падает.
Атеросклероз лежит в основе приобретенных аневризм сосуда, которые могут образоваться в грудном, брюшном отделе, дуге аорты. Это чрезвычайно опасное состояние, которое грозит разрывом, шоком и скоропостижной гибелью больного.

атеросклеротическое расширение аорты с формированием аневризмы (а - грудного отдела, б - брюшного)
При атеросклеротическом поражении створок аортального клапана, что нередко наблюдается у пожилых людей, возникает приобретенный клапанный порок — недостаточность. Избыточный объем крови, попадающий в просвет сосуда, вызывает со временем его расширение. Обычно такая дилатация наблюдается в начальном отделе сосуда, близ клапана.

сифилитическое поражение аорты
Сифилис — другая возможная причина расширения аорты. Развивающийся в запущенной стадии инфекционного процесса аортит — воспаление стенки аорты — провоцирует ее структурную перестройку, ослабление мышечно-эластического каркаса, сопутствующий склероз, что неминуемо ведет к расширению диаметра просвета.
Расширение как исход воспаления возможно при грибковой инфекции, постоперационных инфекционных осложнениях, а дегенеративные аневризмы помимо атеросклероза провоцируются шовным материалом, протезами, наложенными с техническими погрешностями.
Расширенная аорта сопровождает некоторые врожденные аномалии. Так, коарктация характеризуется очаговым сужением сосуда, а выше этого места стенка его будет постоянно испытывать повышенное давление избыточным объемом крови, постепенно расширяясь.

расширение (аневризма) дуги аорты при синдроме Марфана
Врожденная дисплазия соединительной ткани (синдром Марфана, генетически обусловленный дефицит эластина и др.) характеризуется распространенными изменениями, при которых нарушено нормальное строение сосудистых стенок, в результате чего появляется склонность к их избыточной растяжимости, хрупкости, выпячиванию в виде аневризм. Врожденные синдромы нередко сопровождаются расширением аорты на уровне синусов Вальсальвы и корня.
В редких случаях аорта расширена, что подтверждают данные объективных обследований, однако причины изменения найти не удается — анализы в норме, врожденных пороков нет, стенка сосуда без явных структурных повреждений. Таким пациентам устанавливают диагноз идиопатического расширения сосуда, то есть патологии с невыясненной причиной, но в ряде случаев предпосылкой идиопатической аневризмы служит некроз средней оболочки артерии (медионекроз).
Факторы риска, которые могут косвенно увеличивать вероятность аневризматического расширения аорты, - это пожилой возраст, мужской пол, вредные привычки в виде курения, алкоголизм, наличие сопутствующих заболеваний (гипертония, диабет, нарушения липидного обмена).
Разновидности расширений аорты
Ангиохирурги классифицируют расширение аорты в зависимости от места его расположения, особенностей морфологии и причин патологии. По расположению выделяют:
- Аневризму синуса Вальсальвы;
- Расширение восходящего сегмента;
- Расширение дуги аорты;
- Аневризму нисходящей части;
- Расширение брюшного отдела;
- Сочетанный тип патологии — торакоабдоминальный.
- При истинном расширении его стенка сохраняет все слои сосуда, которые есть в норме, но они выпячиваются наружу и истончаются. Истинные аневризмы поражают изначально правильно сформированные сосуды, поэтому причины их — атеросклероз, сифилис.
- Ложное расширение образовано соединительнотканными пучками, которые появляются при склерозировании гематомы, при этом стенка аорты в состав аневризматического мешка не включается. Такие изменения обычно возникают после травм или оперативных вмешательств на сосуде.
Аневризмы бывают мешотчатые, в виде локального округлого или вытянутого расширения, и веретенообразные, когда просвет сосуда увеличивается на всем его протяжении. Аневризмой аорты считается как минимум двукратное расширение ее просвета в каком-либо участке.

По особенностям клиники различают:
- Неосложненную аневризму;
- Осложненные разновидности; .
Расслаивающая аневризма — особый патологический процесс, при котором происходят разрывы интимы артерии с проникновением вглубь стенки крови, которая под большим давлением распространяется вдоль сосуда, расслаивая его все дальше и дальше. Этот вид расширения чрезвычайно опасен и характеризуется высоким уровнем смертности.

различные варианты расслоения аорты
Признаки и осложнения расширения аорты

В основе патогенеза расширения аорты лежат механический фактор и нарушения гемодинамики в месте дефекта сосуда. Расширению чаще всего подвергаются те участки, которые испытывают наибольшую функциональную нагрузку вследствие большой интенсивности тока крови и высокого давления. Постоянное травмирование внутренней оболочки сосуда ударами пульсовой волны, действие ферментов-протеаз способствуют разрушению эластических волокон и дегенерации аортальной стенки. В зоне аневризмы аорта удлинена, расширена, заполнена тромботическими массами.
Аневризматическое расширение постоянно увеличивается, при этом чем больше диаметр аневризмы, тем выше напряжение ее стенки. В самой аневризме кровь течет медленнее, возникают турбулентные токи и завихрения. В зону расширения поступает обычный объем крови, но в периферический кровоток уходит менее половины, поскольку жидкость распределяется по стенке аорты, а в центральной части ее ток ухудшается завихрениями и тромботическими наложениями. Пристеночный тромбоз несет высокий риск эмболических осложнений.
Аневризма дуги аорты составляет примерно пятую часть всех расширений сосуда, с такой же частотой она поражает нисходящую часть грудного отдела, треть случаев приходится на абдоминальную зону, имеющую большое число ответвлений сосудистых магистралей к органам живота и забрюшинного пространства.
Симптоматика аортальных расширений определяется местоположением и объемом аневризмы, ее длиной и причинами патологии. Нередко наблюдается бессимптомное течение заболевания, либо признаки малочисленны и неспецифичны. Главным симптомом аневризмы обычно становится болезненность, связанная с растяжением сосудистой стенки и давлением аневризматического мешка на соседние ткани.

Аневризма абдоминального отдела сопровождается:
- Периодическими или постоянными болезненными ощущениями в животе без четкой локализации;
- Диспепсическими нарушениями (отрыжка, тяжесть в эпигастральной области, тошнота и рвота, диарея или запоры);
- Снижением веса.
Признаки аневризмы могут возникать вследствие давления ее на желудок и кишечник, а также питающие их сосуды. В ряде случаев появляется сильная абдоминальная пульсация, которую замечает сам больной. При ощупывании в брюшной полости выявляется уплотненное, напряженное и болезненное образование, сокращающееся синхронно с пульсом.
Если аорта расширена в восходящем отделе, то среди признаков появляются загрудинная боль, неприятные ощущения в области сердца подобно тем, которые сопутствуют стенокардии. Эти признаки вызваны сдавлением коронарных сосудов и недостаточностью кровоснабжения миокарда.
При поражении аортального клапана, расширении корня аорты нарастает одышка, учащается пульс, появляются головокружения, возможны обмороки. Крупные расширения сдавливают верхнюю полую вену, что проявляется упорными цефалгиями, отеком лица и верхней части тела.
При расширении дуги аорты сдавливается пищевод с нарушением прохождения по нему пищевых масс, а пациенты предъявляют жалобы на чувство давления в горле, отрыжку, изжогу. Компрессия возвратного нерва провоцирует осиплость голоса, кашель, а вовлечение блуждающего нерва протекает с урежением частоты сердечных сокращений и склонностью к гипотонии.

1 - норма 2 - аневризма восходящей аорты 3 - дуги аорты 4 - нисходящей аорты 5 - брюшной аорты
Аневризмы корня аорты и восходящего сегмента могут сдавливать трахею и крупные бронхи, следствием чего становится одышка, сухой кашель, судорожное дыхание. При компрессии сосудов корня легкого развивается застой в легких и воспалительные изменения в легочной паренхиме.
Крупные расширения грудного отдела могут протекать с болью в левой руке, лопатке, ишемическими изменениями спинного мозга, парезами и параличами.
Пульсирующая аневризма большого диаметра давит на передние поверхности позвонков, вызывая их деструкцию, дегенеративные процессы и смещение с искривлением позвоночника. При сдавлении нервных корешков появляются боль, подобная радикулиту и межреберной невралгии.
Расширение аорты на уровне синусов Вальсальвы может сопровождаться аритмией, а опасным осложнением считается ее разрыв в одну из камер сердца, при котором нарастает одышка, появляются загрудинные боли, учащается пульс, падает артериальной давление и развивается острая сердечная недостаточность.
Расширение аорты может провоцировать серьезные последствия:
- разрыв аневризматического мешка с кровотечением и шоком;
- синдром верхней полой вены;
- истечение крови в полость перикарда, плевры;
- тромбоэмболический синдром с закупоркой сосудов ног, почек, головного мозга;
- флегмоны мягких тканей при инфицировании стенок аневризм.
Диагностика и принципы терапии расширений аорты
Лечение расширений аорты при бессимптомном их течении носит профилактический характер и включает назначение:
- при повышенном артериальном давлении (лизиноприл, атенолол, лозартан, индапамид и др.); и антиагрегантов (аспирин, клопидогрель, варфарин); при нарушениях липидного спектра и атеросклерозе.
Аневризмы небольших размеров могут не требовать срочной операции, и тогда они подлежат систематическому контролю и поддерживающей консервативной терапии в соответствии с сопутствующим фоном.

Хирургическая операция — основной и самый радикальный способ избавить больного от расширения и существенно снизить вероятность неблагоприятных последствий и гибели от разрыва аневризматического мешка. При противопоказаниях к полному иссечению пораженного участка сосуда (тяжелые изменения печени, почек, инсульт, инфаркт миокарда и др.) проводят паллиативные вмешательства (наложение синтетических укрепляющих конструкций поверх аневризм).
В плановом оперативном лечении нуждаются больные при расширении в брюшной зоне свыше 4 см, в грудной — больше 6 см, прогрессировании патологии более чем на 0,5 см ежегодно, в случае посттравматического расширения сосуда. Разрыв аневризматического мешка — абсолютное показание к экстренному вмешательству.
При расслоении стенки аневризмы поводом к экстренной операции считаются угроза разрыва, дальнейшее расслоение, недостаточность почек, скопление крови в перикарде, полости плевры, сильная болезненность.
Хирургическое лечение состоит в иссечении расширения сосуда с последующим восстановлением целостности аорты за счет собственной длины или синтетических протезов. Сочетание аневризмы восходящей аорты с клинически выраженным пороком аортального клапана требует не только резекции пораженного участка сосуда, но и протезирования сердечного клапана.
Радикальное лечение расширений аорты — длительная и сложная операция, которая проводится в условиях искусственного кровообращения или временного шунтирования, позволяющих «выключить» из кровотока аорту на период вмешательства, но сохранить доставку крови ко всем внутренним органам и тканям. Наркоз — интубационный.

Основное лечение расширений в брюшном отделе — это протезирование синтетическими протезами в виде полой трубки или развилки, устанавливаемой в зону деления аорты на подвздошные сосуды. При аневризмах дуги и восходящей части могут использоваться не только синтетические материалы, но и собственные ткани пациента.
Вместо открытой операции в условиях искусственного кровообращения возможно малоинвазивное эндоваскулярное лечение с имплантацией стент-графта в просвет аорты, который вводится через бедренную артерию под местной анестезией.

Медикаментозное лечение аневризм, в том числе прооперированных, состоит в применении:
- ингибиторов АПФ;
- бета-адреноблокаторов;
- диуретиков;
- антиакоагулянтов;
- сердечных гликозидов при недостаточности сердца;
- антибиотиков — при высоком риске бактериального эндокардита и инфицирования в послеоперационном периоде.
Прогноз при расширении аорты всегда серьезный. Отсутствие лечения при крупных аневризмах более 6 см приводит к смерти половины пациентов уже в течение года с момента образования очага дилатации, при меньших объемах расширения смертность достигает 20%. Своевременная диагностика и радикальное лечение позволяют существенно снизить риск гибели и тяжелых осложнений аневризматических расширений.
Аневризма дуги аорты
Аневризма дуги аорты - диффузное или локальное расширение просвета аорты на отрезке между ее восходящей и нисходящей частью, превышающее нормальный диаметр сосуда. Аневризма дуги аорты может проявляться одышкой, кашлем, дисфагией, осиплостью голоса, отечностью и цианозом лица, набуханием шейных вен, что связано с компрессией близлежащих органов. Диагностическая тактика при подозрении на аневризму дуги аорты включает проведение рентгенографии грудной клетки, ЭхоКГ и УЗДГ грудной аорты, аортографии, КТ и МРТ. Лечение заключается в резекции аневризмы дуги аорты в условиях ИК с установкой аллотранспланта или эндолюминальном протезировании аневризмы специальным эндопротезом.

В зависимости от уровня локализации различают аневризмы корня аорты и синусов Вальсальвы, восходящей аорты, дуги аорты, нисходящей аорты, брюшной аорты. Довольно часто в кардиологии и кардиохирургии встречаются сочетанные поражения смежных сегментов аорты. Так, аневризмы дуги аорты редко встречаются изолированно; в большинстве случаев они являются продолжением аневризматического расширения корня или восходящего отдела аорты.
Дугой аорты принято называть часть аорты, расположенную между ее восходящим и нисходящим отделами. Дуга аорты проходит между легочными артериями и огибает левый главный бронх. От дуги аорты отходят три крупные сосудистые ветки - плечеголовной ствол, левая общая сонная и левая подключичная артерии.
По данным аутопсий, аневризмы грудной части аорты встречаются в 0,9-1,1 % случаев, в 3-7 раз чаще у мужчин. Из них на долю аневризмы дуги аорты приходится около 18,9% случаев. Летальность в течение 3-х лет после обнаружения аневризмы составляет 35%, а через 5 лет достигает 54-65%.
Причины и механизмы развития аневризм дуги аорты не отличаются от таковых при аневризмах прочих локализаций. К врожденным факторам риска относятся:
- наследственные заболевания соединительной ткани, способствующие слабости стенки аорты, - болезнь Марфана, фиброзная дисплазия, синдром Элерса—Данлоса
- кистозный медионекроз
- врожденная извитость дуги аорты
- коарктация и др.
Среди приобретенных состояний ведущая роль принадлежит:
- воспалительным поражениям аорты - специфическим и неспецифическим аортитам при ревматизме, сифилисе, туберкулезе, микозах, бактериальной инфекции, болезни Такаясу
- невоспалительным дегенеративным процессам (атеросклерозу грудной аорты и др.)
- травмам грудной клетки. В результате травм грудной клетки могут образовываться посттравматические аневризмы дуги аорты. От момента травмы до развития аневризмы дуги аорты может пройти длительный срок (от нескольких месяцев до 20 лет).
- ятрогенным факторам. С развитием сосудистой хирургии все чаще встречаются аневризмы дуги аорты, обусловленные дефектами трансплантатов и шовного материала, в т. ч. постстенотические аневризмы.
Ослаблению тонуса стенок аорты и формированию аневризматического мешка способствует стойкая артериальная гипертензия. Независимыми механизмами развития аневризмы дуги аорты считаются возраст старше 60 лет, мужской пол, наличие аневризмы у членов семьи.
В патогенезе аневризмы дуги аорты, кроме воспалительных и дегенеративных процессов, играют роль гемодинамические и механические факторы. Особенности гемодинамики в грудном отделе аорты заключаются в высокой скорости кровотока, крутизне пульсовой волны и ее форме. Кроме этого, в грудной аорте имеются наиболее функционально напряженные сегменты — корень, перешеек и диафрагма. Поэтому увеличение кровяного давления или механическая травма легко приводит к надрыву внутренней оболочки стенки аорты с образованием субинтимальной гематомы, а в последующем — аневризмы.
Для аневризм воспалительного происхождения характерны явления периаортита, утолщение наружной оболочки и интимального слоя аорты, продуктивное воспаление с разрушением эластического и мышечного каркаса стенки аорты.
Симптомы
Аневризма дуги аорты среднего и большого размера приводит к сдавлению соседних анатомических структур, что обусловливает особенности клинического течения патологии. Давление аневризматического мешка на окружающие ткани и растяжение нервных сплетений аорты сопровождается пульсацией в груди, болью за грудиной с иррадиацией в шею, плечо, спину. Как правило, боли имеют упорный, жгучий характер и не купируются приемом нитратов.
Сухой, мучительный кашель, одышка и стенотическое дыхание появляются при компрессии бронхов и трахеи. При сдавлении аневризмой дуги аорты возвратного нерва возникает парез гортани (дисфония и осиплость голоса); сдавливание пищевода сопровождается явлениями дисфагии. Развитие синдрома верхней полой вены характеризуется головными болями, отеком лица и верхней половины туловища, удушьем, цианозом, набуханием вен шеи, гиперемией склер. При сдавливании симпатических путей развивается синдром Горнера, выражающийся в сужении зрачков, частичном птозе век, ангидрозе и др.
В некоторых случаях аневризма дуги аорты распознается только в связи с ее разрывом. Данное осложнение может сопровождаться кровоизлиянием в средостение, гемотораксом, кровотечением в пищевод, кровохарканьем и легочным кровотечением. Массивное кровотечение сопровождается резкой болью, бледностью, потерей сознания, нитевидным пульсом и, как правило, быстро приводит к летальному исходу. Кроме разрыва, аневризма дуги аорты может осложняться тромбоэмболиями артерий большого круга кровообращения, в т. ч. мозговых, приводящих к развитию инсульта.
Диагностика аневризмы дуги аорты основана на клинических данных, результатах рентгенографии, аортографии, ультразвукового ангиосканирования, КТ и МРТ.
При внешнем осмотре может обращать внимание усиление пульсации дуги аорты в яремной вырезке, а также видимое на глаз выпячивание аневризматического мешка в области грудины. Важное значение имеет факт наличия в анамнезе заболевания сифилисом, травмы грудной клетки, неспецифического аортоартериита и др. Заподозрить аневризму дуги аорты в ряде случаев позволяет внешний вид больных с синдромом Марфана: высокий рост, худощавость, длинные руки, арахнодактилия, воронкообразная грудная клетка, кифосколиоз, повышенная слабость связочного аппарата суставов.
- Рентгенодиагностика. Полипозиционная рентгенография грудной клетки выявляет тень расширенной дуги аорты и расширение сосудистого пучка. Часто определяется кальциноз стенок аневризмы. Рентгенография пищевода и желудка позволяет обнаружить смещение пищевода и кардии желудка. Инвазивная рентгеноконтрастная аортография применяется, главным образом, для оценки кровотока в ветвях аорты.
- Сонография. Ведущая роль в распознавании аневризм дуги аорты принадлежит ультразвуковому исследованию: эхокардиографии (трансторакальной, чреспищеводной ЭхоКГ), УЗДГ и дуплексному сканированию грудной аорты. Данный метод незаменим для определения диаметра аорты, наличия расслоения, тромбов в аневризматическом мешке.
- Томография. КТ (МСКТ) грудной аорты с контрастированием позволяет наглядно выявить мешотчатое или веретенообразное расширение просвета аорты, наличие тромботических масс, расслоения, парааортальной гематомы, очагов кальциноза. Дифференциальный диагноз аневризмы дуги аорты следует проводить с опухолями легких и средостения.

Лечение аневризмы дуги аорты
Консервативная выжидательная тактика может применяться при изолированных аневризмах небольших размеров, не вызывающих клинической симптоматики. В этом случае пациентам назначаются гипотензивные средства, адреноблокаторы, статины. При этом каждые полгода больным показано динамическое наблюдение, включающее осмотр кардиолога, проведение ЭхоКГ, КТ или МРТ. Хирургическому лечению подлежат аневризмы дуги аорты свыше 5 см в диаметре, протекающие с болевым или компрессионным синдромом, а также аневризмы, осложнившиеся расслоением, разрывом и тромбозом.
- Открытая операция. Радикальное лечение заключается в резекции аневризмы дуги аорты. Суть операции состоит в иссечении аневризмы с замещением дефекта аорты аллотрансплантатом, наложении анастомозов брахицефального ствола, левой общей сонной и левой подключичной артерий с сосудистым протезом. Операцию проводят в условиях искусственного кровообращения с защитой миокарда и головного мозга от ишемии с помощью гипотермии. Хирургическая летальность при данном типе операций составляет порядка 5-15%. Отдаленные результаты после резекции аневризмы дуги аорты хорошие.
- Эндоваскулярное вмешательство. Кроме открытого хирургического вмешательства при аневризмах дуги аорты применяется закрытое эндоваскулярное протезирование аневризмы. При этом специальный эндопротез с помощью проводника вводится в просвет аневризмы и фиксируется выше и ниже аневризматического мешка. В ряде случаев, при наличии абсолютных противопоказаний к выполнению радикальной операции, проводится паллиативное вмешательство, заключающееся в окутывании аневризмы синтетической тканью при угрожающем разрыве.
Прогноз
В случае отказа от лечения прогноз при аневризме дуги аорты неблагоприятный: около 60% больных погибают в течение 3—5 лет от разрыва аневризмы, ИБС, инсульта. Прогноз отягощается при размерах аневризмы более 6 см, сопутствующей артериальной гипертензии, посттравматическом генезе аневризмы дуги аорты.
Читайте также:
- Оборудование для оценки маточно-плацентарного кровообращения. Методика оценки маточно-планцентарного кровообращения
- Острые и подострые параинфекционные мозжечковые атаксии у детей
- КТ, МРТ при абсцессе жевательного пространства
- Ультразвук в стоматологии. Ультразвуковая чистка корней зубов
- Казеомы у детей и подростков. Микобактерии туберкулеза при казеомах
