Лингвальная дуга Мершона. Характеристика дуговых аппаратов.
Добавил пользователь Евгений Кузнецов Обновлено: 22.01.2026

Ортодонтическое лечение при неправильном положении зубов или аномальном прикусе предусматривает применение специальных аппаратов. Они помогают полностью восстановить правильную окклюзию без хирургического вмешательства.
Одним из таких устройств является аппарат Мершона.
Содержание статьи:
Что собой представляет?
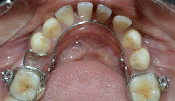
Аппарат Мершона представляет собой ортодонтическое устройство несъемного типа, предназначенное для расширения зубной дуги, как в сменном, так и в постоянном прикусе.
Конструкция
Эффективность корректирующего воздействия аппарата на любой тип прикуса объясняется его характеристиками и конструкцией. Изделие состоит из основной дуги, повторяющей контур зубного ряда, и колец, выполняющих функцию опор.
Как правило, дугу изготавливают из нержавеющей стали, но при наличии аллергии, для этого используют драгоценные металлы. Применяют дуги диаметром 0,5 мм для взрослых и 0,4 мм для детей.
Их длина и форма будут зависеть от особенностей строения зубного ряда и локализации аномального участка.

С каждой стороны, к дуге припаивается по гибкому стержню, диаметр которых составляет около 0,8 мм. Данные стержни выполняют роль активатора давления.
Для того, чтобы зафиксировать изделие в полости рта, на последние или первые моляры устанавливают металлические опорные кольца. В некоторых случаях они могут быть заменены коронками.
На каждом кольце или коронке со стороны языка, припаивают небольшие втулки - трубочки, длиной до 2,5 мм. Концы гибких стержней вводятся во втулки и зажимаются замками таким образом, чтобы не травмировать слизистую оболочку или эмаль зубов.
От чего зависит цена пластин для выравнивания детских зубов, читайте в отдельной публикации.
Принцип действия
Данный аппарат относится к биологическим корректирующим устройствам, так как оказывает незначительное давление на зубы.
Это приводит к их постепенному возвращению к правильному положению, без перерастяжения связочного аппарата зуба и серьезных сдвигов в пародонтальных тканях.

Мягкого действия удалось добиться за счет гибких стержней, обладающих пружинными свойствами и эффектом памяти. Пытаясь принять исходное положение и выпрямиться, они давят на основную пассивную дугу, которая в свою очередь передает незначительное давление на проблемные участки.
В данном случае, на каждый зуб идет давление от 1 до 5 г, что позволяет простимулировать окружающие его ткани в сторону их переформирования.
Какие задачи решает?
Устройство может быть использовано для исправления как единичных зубов, так и большой группы. Несмотря на то, что аппарат показан при исправлении и детского, и взрослого прикуса, чаще его все же применяют для коррекции в период смены зубов.
Предназначен для исправления аномалий, вызванных сужением зубного ряда или неправильным положением зубов, локализующихся в переднем отделе или области премоляров и моляров нижней челюсти, с отклонением в сторону языка.

Фото: расширения зубного ряда и выдвижение резцов вперед аппаратом Мершона
Основными показаниями для применения аппарата являются:
- мезиальный и дистальный прикус;
- глубокий прикус, с локализацией в боковом отделе;
- скученность зубов;
- разворот зуба вокруг своей оси;
- чрезмерное развитие верхней челюсти.
Противопоказания могут быть связаны лишь с общими требованиями к аппаратам подобного типа: они не должны на мешать действию мышц и затруднять акты очищения полости рта, речи, жевания.

Медиальная и дистальная коррекция. Стрелками обозначены направления перемещения зубов в процессе лечения. 1— кольца для фиксации аппарата на зубах; 2 — упругие отростки; 3 — лингвальная дуга;
Преимущества и недостатки
Данное устройство имеет определенные преимущества, выделяющие его из целого ряда аналогичных ортодонтических конструкций:
- высокая эстетичность, так как опорные кольца устанавливаются на молярах, а основная дуга располагается с лингвальной (язычной) стороны зубов. Это делает конструкцию незаметной при разговоре или улыбке;
- отсутствие неподвижной фиксации, что обеспечивает бережное корректирующее воздействие на зуб и периодонт;
- небольшой диаметр дуги не травмирует пародонт и не закрывает его. Благодаря этому, за конструкцией, на мягких тканях не скапливаются бактерии;
- отсутствие сложных элементов в изделии обеспечивает беспрепятственную чистку зубного ряда.
Кроме преимуществ, аппарат Мершона имеет и определенные недостатки, которые сделали это устройство не очень востребованным. К ним можно отнести:
- слабая сила воздействия, которая позволяет исправлять лишь небольшие отклонения окклюзии;
- длительный период коррекции из-за мягкого воздействия изделия.
Лечение

Исправление окклюзии с помощью этого устройства будет состоять из нескольких этапов: изготовление изделия, его фиксация и период коррекции.
Изготовление
Изготовлением аппарата занимаются только по слепкам челюстей пациента, которые предварительно снимает стоматолог с помощью слепочных ложек и силикона.
Полученные оттиски отправляют в стоматологическую лабораторию, где изготавливают рабочую гипсовую модель челюстей.
Далее, вся процедура изготовления проходит в следующей последовательности:
- производят замер соотношения зубов и длины челюстной дуги;
- на основании полученных данных изготавливают основные элементы конструкции: пассивную дугу, упругие стержни; кольца;
- к кольцам припаивают втулки с установленными на них замками, а к дугам - стержни;
- соединяют все элементы в единую систему;
- полируют все части конструкции.
Как происходит изготовление ортодонтическоких аппаратов, смотрите на видео:
Как фиксируется?
Фиксация аппарата, как правило, занимает не более 30 минут. За это время стоматолог проводит гигиеническую чистку зубного ряда и примерку изделия. Для установки колец, может быть проведена незначительная обточка моляров.
Затем, с помощью специального композита, кольца или коронки фиксируют на основании опорных зубов. Во втулки зафиксированных коронок, вводят дугу со стержнями, которые закрепляют с помощью специальных замков.
Фиксация замков должна проводиться только врачом, пациент не должен делать это самостоятельно, так как неправильное положение замка или дуги может привести к ее выпадению из втулки и травмированию мягких тканей полости рта.
Сколько носить?
Период коррекции будет зависеть от степени тяжести аномалии и возраста пациента. При незначительной скученности зубного ряда в сменном прикусе, срок лечения может составлять от 6 месяцев до 1 года.
Если исправляется более серьезная патология, то коррекция может продолжаться до 1,5 лет. Наиболее длительным лечение будет при постоянном прикусе. В этом случае оно может продолжаться до 2 лет.
Узнать, какие этапы изготовления аппарата Брюкля являются обязательными, вы можете по ссылке.
В следующей публикации мы расскажем, какими способами можно выровнять зубы без брекетов взрослым.
Стоимость
Аппарат Мершона является одной из самых бюджетных ортодонтических конструкций. Его стоимость изменяется в зависимости от вида опорных элементов.
Изготовление устройства с опорными кольцами обойдется в 2100 рублей.
То же самое изделие, но с коронками вместо колец, будет стоить около 1900 рублей.
Отзывы
Те пациенты, которые использовали аппарат Мершона для исправления прикуса и положения зубов в ряду, оставляют о нем хорошие отзывы, отмечая его эффективность и удобство применения.
Предлагаем и вам поделиться своим мнением о данном устройстве в комментариях к этой статье.
Если вы нашли ошибку, пожалуйста, выделите фрагмент текста и нажмите Ctrl+Enter.
Аппарат Френкеля: для каких случаев предназначен, применение

На сегодняшний день в ортодонтии для исправления прикуса и неровностей зубного ряда у детей, было разработано множество различных конструкций. Одним из распространенных устройств, является аппарат Френкеля.
Он представляет собой прекрасную альтернативу вестибулярным пластинам и травматичной дуге Энгля. Устройство отличается от них не только более удобной конструкцией, но и меньшим периодом лечения.
Конструкция
Данный аппарат представляет собой двухчелюстное съемное устройство, которое состоит из сложного металлического каркаса, щечных щитов и губных пелотов. Анатомический каркас изготавливают из тонкой медицинской проволоки повышенной прочности, формируемой в специальные дуги.

Фото аппарата Френкеля
Чаще всего применяют проволоку от 0,8 до 1 мм в диаметре. В устройстве используют 3 основные дуги: небную, язычную и вестибулярную. Кроме того, в некоторых случаях добавляют лингвальную дугу.
Все дуги изгибают, согласно их функциональному назначению и соединяют с пластинами. Концы металлических деталей закрепляют при изготовлении, в середине щитов. Для обеспечения постоянного давления и задержке роста челюсти, на дугах формируют петли, фиксирующие клыки и резцы.
Щиты и пелоты могут быть выполнены как из пластика, так и металла. Чаще их изготавливают из пластика. Данные элементы имеют овальную форму и сглаженные боковые стороны. Их ширина будет зависеть от степени аномалии, но она не может превышать 2,5 мм.
Изготовление пелотов и щитов производят непосредственно на готовом каркасе, методом формовки и литья. Все элементы конструкции тщательно отполированы, для предотвращения травмирования дентальной и пародонтальной ткани.
Принцип действия
В отличие от многих других аппаратов, исправление окклюзии здесь достигается путем воздействия элементов конструкции на отдельные мышцы, отростки альвеолярных гребней и участки зубных рядов.
За счет этого происходит нормализация апикального базиса, окклюзионного соотношения, и перемещение корпуса зубов.

Устройство позволяет устранить излишнее давление губ и щек на проблемные участки, нормализовать функцию носового дыхания, правильного смыкания губ, сформировать нужное расположения языка.
За счет широких возможностей, данный аппарат был назван регулятором функций. Основное значение в данной конструкции имеют щиты и пелоты, которые стимулируют расширение апикального базиса во всех направлениях и формируют правильную работу мышц.
Основное значение при воздействии данным аппаратом имеет регуляция тонуса мышц. Конструкция выполнена таким образом, что приводит к расслаблению определенных групп мышц на проблемных участках, вследствие чего коррекция проходит безболезненно.
По данному аппарату были разработаны эластопозиционеры, которые имеют совершенно другой внешний вид, но оказывают такое же функциональное воздействие, как и аппарат Френкеля.
Его отличие состоит в возможности комбинации элементов для подстраивания к определенной проблеме, что значительно повышает эффект лечения.

В зависимости от особенностей конструкции выделяют несколько типов аппарата Френкеля. Каждый из них имеет свое назначение и особенность воздействия.
Подробнее об этапах изготовления аппарата Энгля , читайте в отдельной публикации.
Первый тип регулятора Френкеля предназначен для формирования конструктивного прикуса суженного зубного ряда. Его используют для устранения неправильного положения резцов и клыков, дистального прикуса с протрузией верхних зубов.
В основе конструкции 1 типа лежат небная и лингвальная дуги, скрепленные пелотами для верхней и нижней губы. Обязательны боковые щиты и скоба соединяющая нижние пелоты. Конструкцию устанавливают таким образом, чтобы боковые пластины не касались альвеолярного гребня.

Данный тип устройства имеет некоторые отличительные характеристики, по которым выделяют разновидности:
- FR-Ia. Предназначен для исправления прикуса нейтрального типа с выраженным глубоким перекрытием рядов. Также, его назначают при ретрузии дуги подвижной челюсти, при протрузии переднего отдела верхней и смещении смыкания не более чем на ½ ширины моляров.
- FR-Ib. Устройство показано при выраженной протрузии дистального прикуса переднего отдела, в случае если сагиттальная щель достигает 7 мм, но не более. Основное воздействие здесь достигается за счет лингвального щита, который располагают под языком.
Щит занимает площадь между премолярами, где его фиксируют проволочными элементами к щечным щитам так, чтобы он не касался поверхности зубов.
По своей конструкции данная разновидность аппарата полностью копирует модель FR-Ib, но с дополнением специальными винтами, зафиксированными в щечных щитах.
Данный тип аппарата позволяет корректировать дистальный прикус, сочетающийся с ограниченной ретрузией резцов верхнего зубного ряда.

От первого типа он отличается наличием небной дуги и другой формой петель, охватывающих клыки. Это позволяет осуществить одномоментное проведение концов дуги между премолярами и клыками.
Кроме того, аппарат 2 типа оснащен двойными пелотами. Один фиксируют в области нижней губы, а второй — в области верхней, что стимулирует сагиттальный рост челюсти.
Устройство устанавливается так, чтобы боковые щиты плотно прилегали к альвеолярному гребню и зубному ряду.
FR-III
Основное назначение ортодонтического аппарата Френкеля 3 типа - коррекция прогении.

В отличие от других типов регуляторов, он имеет значительно отличающуюся конструкцию. Здесь губные пелоты фиксируют только в районе верхней губы. Вестибулярная дуга оказывает давление на резцы нижней челюсти, а небная на зубной ряд верхней.
Также, фиксируют накладки оклюзионного типа на дугах в боковых областях. При установке необходимо следить, чтобы пелоты производили давление на альвеолярный гребень, а пластины находились на небольшом расстоянии от него.
Показанием для применения 4 типа служит любая аномалия зубного ряда, совмещенная с открытым прикусом.

Конструкция отличается от других аппаратов тем, что пелоты устанавливают для нижней губы, а вестибулярную дугу — для верхнего зубного ряда. Небную дугу формируют таким образом, чтобы она влияла на ретрузию верхних зубов в переднем отделе.
В боковых участках устанавливают накладки, выполненные из металла и позволяющие осуществить зубо-альвеолярное укорочение. Во время установки, боковые накладки должны плотно прилегать к зубному ряду, а небная дуга оказывать максимальное давление.
При каких показаниях назначают аппарат Мершона, мы расскажем в следующем обзоре.
В этой статье рассмотрены особенности выравнивания зубов без брекетов у взрослых.
Длительность лечения
Срок лечения зубочелюстных аномалий будет напрямую зависеть от сложности патологии. Также стоит учитывать и возраст пациента.
Основная возрастная категория, для которой данный аппарат будет максимально эффективным — 4-11 лет. Чем меньше возраст ребенка, тем быстрее пройдет коррекция.
Как правило, на исправление не выраженных аномалий уходит от 4 до 8 месяцев.
Для более сложных патологий, это срок может растянуться до 1,5 лет. Кроме того, необходимо учитывать индивидуальные особенности развития каждого ребенка и степень соблюдения режима ежедневного ношения.
Особенность аппарата в том, что его необходимо носить только в ночной период, надевая на время сна. Усилить терапевтическое воздействие можно, используя устройство дополнительно несколько часов днем. Во время ношения конструкции нельзя разговаривать и жевать.
Как правило, положительный результат от лечения виден уже через 2-4 месяца в зависимости от сложности случая.
Так как коррекция занимает весьма длительный период, в течение которого рост челюсти не останавливается, то в процессе лечения требуется регулярная замена аппарата. Обычно, за 1,5 года лечения производят замену не более 3 раз.
В результате правильно подобранного типа устройства улучшается не только эстетика улыбки, но и нормализуется дыхание, речь, а так же устраняются вредные миофункциональные привычки.
Как происходит процесс установки и корректировки аппарата, смотрите на видео:
Стоимость изготовления аппарата Френкеля варьируется в пределах 7000-18000 рублей.
Его цена напрямую зависит от типа конструкции:
- На изготовление регулятора первого типа придется потратить около 7 тысяч.
- Заказ аппарата Френкеля второго и третьего типа обойдется в 13 тыс. рублей.
- Изготовление четвертого типа будет стоить около 18 тыс. рублей.
В эту стоимость не входит сумма за лечение, в том числе оплата услуг по подготовке зубного ряда и коррекции аппарата.
Полная стоимость установки вместе с изготовлением может стоить от 13 тыс. до 50 тыс. рублей. Окончательная цена будет зависеть не только от типа конструкции, но и от состояния зубных рядов и пародонтальной ткани.
Судя по отзывам родителей, аппарат Френкеля, действительно является эффективным средством исправления прикуса и аномалий зубных рядов.
Практически все, кто носил конструкцию, отмечают быстрое привыкание к устройству и непродолжительный период лечения.
Вы также можете поделиться своим отзывом о данной конструкции, оставив его в комментариях к этой статье.
Аппарат Мершона
Аппарат Мершона — проволочная дуга диаметром 0,8 мм и опорные кольца на первые постоянные моляры, к которым с язычной стороны припаяны вертикальные полукруглые трубки длиной около 2,5 мм. В этих трубках и укрепляют дугу при помощи специальных замков.
Дуга может быть изготовлена из драгоценных металлов и нержавеющей стали. К ней припаивают упругие проволочные отростки диаметром 0,4—0,5 мм, прилегающие к шейкам зубов. Они могут быть различной длины и формы.
С помощью отростков осуществляют всевозможные перемещения зубов в различных направлениях и поворот их по оси. На зубы оказывается очень слабое воздействие силой 1—5 г.
Аппарат Мершона и его, действие

Аппарат Арнольда

Применение такой небольшой силы предотвращает возникновение тяжелых, порой необратимых, патологических сдвигов в тканях пародонта, но является достаточным для стимуляции тканевой перестройки, которая лежит в основе ортодонтического лечения.
В последнее время применяют различные модификации лингвальных дуг. Среди них привлекает внимание лингвальная дуга со спиральной пружиной, предложенная Arnold для стимулирования роста челюстных костей в поперечном направлении в периоде молочного прикуса.
«Стоматология детского возраста», А.А.Колесов
Аппараты комбинированного действия содержат элементы механических и функционально-действующих аппаратов. В их конструкции обязательно должна быть наклонная плоскость или накусочная площадка в сочетании с механическими приспособлениями (винт, пружина, резиновая тяга и т. д.). К аппаратам комбинированного действия относятся: аппарат Гуляевой; аппарат Хургиной; аппарат Брюкля; активаторы Андрезена и Гойпля и др.; функциональные регуляторы Френкеля. Аппарат Гуляевой применяют…
Аппарат Хургиной Аппарат Хургиной состоит из накусочной пластинки Катца и расширяющего винта, который располагается посредине пластинки. Он применяется для лечения прогнатического соотношения зубных рядов в сочетании с глубоким прикусом и сужением верхнего зубного ряда. Аппарат Брюкля Аппарат Брюкля представляет собой съемную пластинку на нижнюю челюсть с вестибулярной проволочной дугой. В переднем отделе ее располагается наклонная…
Активатор — это съемный пластиночный аппарат, который покрывает слизистую оболочку твердого неба, оральную поверхность всех зубов верхней и нижней челюстей, а также слизистую оболочку альвеолярных отростков с внутренней стороны. Ложе для каждого зуба образует наклонную плоскость, по которой он может быть смещен вперед, назад или в сторону. Зубы соприкасаются с пластинкой не всей своей внутренней…
Функциональный регулятор Френкеля состоит из боковых и вестибулярных пелотов, расположенных в преддверии полости рта в области боковых и передних зубов. Они освобождают зубные ряды от давления щек и губ и создают условия для нормального роста челюстей в трансверзальном и сагиттальном направлениях. Кроме этих пелотов, аппарат содержит элементы механических аппаратов в виде пружины для перемещения зубов….
Ортодонтическое лечение зубочелюстных деформаций основано на изменении механической и функциональной нагрузки на различные отделы зубочелюстной системы. Оно достигается при помощи миогимнастических упражнений или применения ортодонтических аппаратов. Под влиянием изменившейся нагрузки происходит перестройка тканей, в результате которой и становится возможным исправление деформации. Последнее включает перемещение зубов и нижней челюсти в различных направлениях, а также расширение зубных…

В ортодонтии для исправления аномалий прикуса и неправильного положения зубов применяют специальные аппараты. Одним из них является устройство Мершона. Оно помогает в восстановлении правильной окклюзии, и позволяет избежать оперативного вмешательства.
Что это такое
Аппарат Мершона представляет собой ортодонтическую конструкцию несъемного типа. Его предназначение─ расширение зубной дуги. Прибор можно использовать при сменном и постоянном прикусе. Но в первом случае, он будет работать намного эффективнее.
Устройство состоит из следующих элементов:
- Основная дуга. Она выполнена из нержавеющей медицинской стали и повторяет контуры зубов. Если у пациента аллергия на данный материал, то используются драгоценные металлы. Гибкие стержни припаиваются к дуге с каждой стороны для активации давления.
- Кольца. Предназначены для фиксации изделия в ротовой полости, выполняют функцию опор. Устанавливаются на первые или последние моляры. Иногда их заменяют коронками. К ним припаивают втулки.
Механизм действия
Это корректирующее устройство, оказывающее механическое давление на зубной ряд. Гибкие стержни обладают эффектом памяти и пружинными свойствами. Таким образом, они обеспечивают мягкое давящее воздействие на дугу. А последняя, в свою очередь, действует на проблемную зону.

Постепенно аппарат возвращает зубные единицы в правильное положение, не растягивая их связочный аппарат.
Показания и противопоказания
Аппарат Мершона используется в ортодонтической практике как для отдельных зубных единиц, так и для большой группы зубов. Устройство подходит для исправления дефектов зубочелюстной системы у детей и взрослых. Но чаще всего оно применяется в период сменного прикуса.
Противопоказания к применению те же, что и у аналогичных приборов. Главное условие─ конструкция не должна мешать следующим процессам:
- жеванию;
- речи;
- выполнению гигиены полости рта;
- работе мышц.
Достоинства и недостатки
У данного устройства есть множество преимуществ, выделяющих его среди аналогов. К ним относятся:
- Простой уход.
- Высокая эстетика. Изделие незаметно для окружающих. Дуга расположена с лингвальной стороны зубного ряда, а кольца установлены на молярах.
- Не травмирует слизистую полости рта и ткани парадонта.
Но помимо плюсов, есть и существенные минусы. Среди них:
Из-за имеющихся недостатков, конструкция не сильно востребована в ортодонтии.
Как изготовляют
Предварительно врач делает слепки челюстей пациента и отправляет их в лабораторию. Там изготовляется рабочая модель челюстей из гипса.

Изделие выполняется по следующему алгоритму:
- замеряется соотношение длины челюстной дуги и зубов;
- изготовляются пассивная дуга, кольца и упругие стержни;
- втулки с замочками припаиваются к кольцам;
- стержни припаиваются к дугам;
- элементы соединяются в единую систему;
- полировка.
Установка
Фиксация конструкции не занимает много времени. На это уходит около получаса. Врач успевает провести гигиеническую чистку зубов ультразвуком и примерить изделие. При необходимости, он выполняет обточку моляров. Далее, специалист фиксирует коронки или кольца на опорных зубах при помощи специального композита. Следующий этап— введение дуги со стержнями и их закрепление специальными замками.
Ни в коем случае нельзя самостоятельно пытаться зафиксировать замки. Их неправильное положение может привести к неприятным последствиям:
- травматизации мягких тканей ротовой полости;
- выпадению дуги из втулки.
Продолжительность лечения определяется возрастом пациента и тяжестью аномалии. В период сменного прикуса незначительная скученность зубов корректируется всего за 6-12 месяцев. При более серьезных патологиях, на исправление дефекта уходит до полутора лет.

Следует учитывать, что чем больше степень сформированности прикуса, тем более длительной будет коррекция.
Аппарат Мершона считается бюджетной ортодонтической конструкцией, если сравнивать его с похожими устройствами. Его установка обойдется примерно в 2000 рублей. Расценки могут немного отличаться в клиниках разного уровня.
Аппарат Мершона помогает достичь нужных результатов и добиться красивой улыбки. Но на практике он используется нечасто, потому что помогает скорректировать лишь слабовыраженные аномалии.
Аппарат Энгля

В стоматологии существует много приспособлений, направленных на решение ортодонтических проблем. Одним из таких является аппарат Энгля, применяемый на протяжении многих десятилетий. Специалисты назначают его при различных показаниях и применяют как для детей, так и для взрослых.
Что собой представляет
Аппарат был разработан американским стоматологом Эдвардом Энглем, практикующим в ортодонтии в конце XIX - начале XX века. В своей работе он делал упор на эстетическую и функциональную часть науки. Сотрудничая с художником, Энгль создал классическую конструкцию аппарата, и она до сих пор значительно не изменилась.
Аппарат Энгля является универсальной конструкцией, которую можно использовать при разных аномалиях и нарушениях прикуса или отдельных элементов зубного ряда для полной или частичной нормализации состояния. Кроме классической существуют и другие разновидности, которые применяются в зависимости от имеющейся проблемы.
Общая конструкция
Принцип этого ортодонтического изделия заключается в наличии основы или базиса для точной фиксации в ротовой полости, и пружинящей дугу. Тип дуги подбирается исходя из проблемы, которую необходимо устранить.
База изготавливается из инертного материала, не вызывающего аллергии при контакте со слизистой у большинства пациентов. Дуга состоит из высококачественной стали или титанового сплава. На концах дуги есть резьба, куда накручивают гайки. Коренные зубы при этом играют роль опоры, поэтому на них надевают коронки, оснащённые трубками тоже из стали или титана. В эти трубки вставляют концы дуги и закрепляют их при помощи винтов. Благодаря такой фиксации дугу можно отрегулировать в интервале от плотного прилегания к зубам до небольшого отдаления.

Аппарат Энгля работает за счёт систематического давления, которое прикладывается в месте, выбранном для нормализации зубных рядов. На первых этапах лечения, как правило, предписывают умеренные силовые нагрузки с ограниченными периодами. По мере продвижения курса тягу усиливают таким образом, чтобы скорость трансформации зубных рядов была достаточной, но при этом костная ткань и периодонтические связки успевали адаптироваться к изменениям.
Силовые воздействия подбираются в зависимости от того, какие нарушения исправляет ортодонт:
- давление дуги;
- резиновая тяга;
- давление лигатур;
- усиление давления после подкручивания винтов.
Показания
Аппарат Энгля разработан для исправления большого перечня нарушений зубного ряда и искривлений коронковой части зубов:
- дистальный прикус - верхняя челюсть смещена вперёд;
- мезиальный прикус - нижняя челюсть выдвинута вперёд;
- глубокий прикус - передние зубы более, чем на 1/3, закрывают нижние;
- открытый прикус - между резцами или клыками во фронтальной зоне при полном смыкании остаётся щель;
- перекрёстный прикус - нарушение перекрытия зубов-антагонистов;
- узкая или широкая зубная дуга;
- феномен Годона - смещение резцов, клыков, премоляров или моляров в различных направлениях;
- тортоаномалия - смещение коронки и корня вокруг своей оси разной степени выраженности;
- смещение зубного ряда во фронтальном или боковом отделе.
Разновидности
Аппараты отличаются пружинящей дугой и способом её фиксации. Тип этого элемента определяется аномалией, которую следует устранить. В зависимости от этого выделяют такие виды конструкций:
- стационарная;
- расширяющаяся;
- скользящая;
- межчелюстного действия.
Стационарная
Первые или вторые моляры постоянного комплекта накрывают коронками, которые выполняют функцию крепления. Для укорачивания длины и сужение альвеолярного отростка дугу прижимают ближе к области корней. На зубы, которые подлежат воздействию, прикрепляют кольцо с упором.
Если зубоальвеолярный участок, наоборот, предстоит сделать длиннее или расширить, то аппарат крепится возле прикорневых шеек с помощью металлических крючков.

Показаниями для стационарного (простого) аппарата Энгля являются смещения зубов:
- По горизонтали. Тяговая сила обеспечивается притягиванием премоляров или резцов стальной дугой. С течением времени воздействие усиливается подкручиванием лигатур или крепёжных винтов.
- Вокруг своей оси. Для устранения тортоаномалии применяется коронка с трубкой. При помощи лигатур на зуб оказывают разнонаправленное давление с двух сторон. Иногда вместо трубок привариваются металлические крючки, чтобы две противоположные силы постепенно проворачивали коронковую часть, а за ней - и корень.
- Выдвижение или «вколачивание» в альвеолярный отросток. Изогнутая пружина стремится выпрямиться, а сила приложения располагается возле режущего края при вытягивании и возле корневой шейки при опускании.
Скользящая
Такая схема может быть задействована изначально, но в том случае, когда воздействие должно приходиться на резцы или клыки, стационарную дугу преобразуют в скользящую уже в ходе лечения. Для этого фиксация в болтах убирается, гайки снимают, и в трубках происходит свободное скольжение. Чтобы не произошло выпадения краёв, через зубы перекидывают петли.

Расширяющая
Этот тип ещё называется экспансивным. Аппарат состоит из коронок и горизонтальных трубок, которые закрепляются на первых или вторых молярах. Расширение обеспечивается благодаря упругости стали или титана. Металл стремится принять после деформации исходную форму. Зубы в боковых отделах смещаются, иногда лигатуры натягивают сильнее, чтобы активизировать процесс. Настройки и подкручивания выполняют индивидуально, беря во внимание индивидуальные характеристики пациента и скорость изменения зубной дуги в ходе лечения.

Межчелюстного действия
В этом типе обязательно присутствуют два элемента: на верхней и нижней челюсти. Благодаря такой конструкции можно выдвинуть нижнюю челюсть или сместить её назад. Крючки на нижней и верхней части соединяются лигатурами. Постепенное воздействие при необходимости немного задвигает верхний зубной ряд.

То, какую конструкцию выбрать, решает ортодонт после окончания детальной диагностики.
Плюсы и минусы
Аппарат Энгля является одним из самых ранних ортодонтических механизмов, но при этом его использование не теряет актуальности. Это возможно благодаря таким преимуществам:
- универсальность - система применима для решения многих ортодонтических проблем;
- отсутствие взаимосвязи с жевательными мышцами, поэтому используется даже у пациентов, которые имеют проблемы иннервации лицевых мышц;
- доступность - невысокая цена по сравнению с брекетами;
- простота использования, что позволяет проводить лечение даже в периферийных стоматологических клиниках без сложного оборудования и пр.
Но применение аппарата Энгля имеет и ряд минусов:
- риск разрушения дентина;
- вероятность нарушения роста челюстных костей;
- нежелательное применение в сменном прикусе;
- осложнение гигиены полости рта;
- риск повреждения пародонта и костных тканей челюсти из-за применения чрезмерной силы давления.
Изготовление
Изготовление аппарата Энгля выполняется в технической лаборатории на основе слепков, сделанных с зубных рядов пациента. Основой становится проволока диаметром 1 мм и выше. Трубки для прикрепления изготавливаются из того же материала, что и дуга. В лаборатории припаиваются крючки или трубки, им придаётся направление. После сбора система полируется, чтобы не вызывать раздражение и натирание слизистой.
Если у ортодонта есть подозрения по поводу того, что давление способно сместить моляры или премоляры, которые выбраны в качестве опоры, то возможно укрепление системы с помощью специальных капп. Таким образом опорная площадь увеличивается, и коррекционное действие происходит правильно.
Фиксация
Когда аппарат Энгля изготовлен по индивидуальным параметрам, его фиксируют в ротовой полости. Опорные коронки закрепляются с помощью стоматологического цемента. Эти конструкции немного повышают прикус, но если такой необходимости нет, то их верхушки спиливают, оставляя только кольца вокруг эмали.
Затем прикладывается дуга, и винты закручиваются до необходимого предела. Этот момент очень важен, и для его определения врачу нужен достаточный опыт в ортодонтии. Регулировка завершается при помощи резиновой тяги. Весь процесс при установке элементов на одну челюсть занимает около 40 минут. Если устанавливают систему межчелюстного действия, то фиксация может растянуться на час. Этот процесс абсолютно безболезненный.
Во время лечения пациенту необходимо периодически появляться у ортодонта, контролирующего процесс. Каждый раз специалист будет усиливать силу натяжения в соответствии с планом лечения. Время, которое потребуется до полного устранения проблемы, различается у разных людей. Как правило, восстановительные процессы проходят быстрее в подростковом возрасте. В среднем сроки коррекции составляют от полугода до полутора лет.
Читайте также:
