Лучевая болезнь кровеносных сосудов кости. Микроциркуляция в кости после облучения
Добавил пользователь Владимир З. Обновлено: 01.01.2026
Кафедра ортопедической стоматологии и ортодонтии стоматологического факультета ГБОУ ВПО «Южно-Уральский государственный медицинский университет» Минздрава России, Челябинск, Россия
Стоматологические осложнения, возникающие после проведения комплексного лечения злокачественных образований полости рта и глотки
Журнал: Стоматология. 2012;91(1): 35‑39
Нуриева Н.С. Стоматологические осложнения, возникающие после проведения комплексного лечения злокачественных образований полости рта и глотки. Стоматология. 2012;91(1):35‑39.
Nurieva NS. The stomatologic complications arising after carrying out of complex treatment of malignant formations of an oral cavity and drinks. Stomatologiya. 2012;91(1):35‑39. (In Russ.).
Комплексное лечение злокачественных опухолей полости рта и глотки включает в себя в основном комбинацию хирургических, лучевых и химиотерапевтических методов лечения. Все перечисленные компоненты лечения, применяемые в области головы и шеи, приводят к развитию стоматологических осложнений. Возникающие осложнения, наслаиваясь друг на друга, вызывают симптомы взаимного отягощения. Коррекция данных состояний целиком ложится на врача-стоматолога. Статья посвящена анализу возникающих осложнений и их влиянию друг на друга.
Лечение злокачественных опухолей орофарингеальной области на современном этапе основывается на принципах мультидисциплинарного подхода, что позволяет уменьшить объем хирургических вмешательств, а в некоторых случаях даже избежать их [3]. Результаты применения комплексного подхода в лечении опухолей данной локализации, полученные большинством авторов, более эффективны, нежели результаты изолированного лучевого, химиотерапевтического или хирургического методов лечения [7].
Ведущие онкологические клиники имеют достаточный опыт комбинированного лечения опухолей орофарингеальной области, что позволяет оценивать отдаленные результаты и сравнивать их [4]. Однако для оценки эффективности лечения важным является изучение не только положительных, но и отрицательных эффектов, то есть осложнений и реакций. Одним из важнейших критериев эффективности любого метода лечения является снижение уровня отрицательных реакций и осложнений[1].
Материал и методы

Материалом настоящего исследования послужили данные проспективного, лонгитудинального изучения результатов лечения 586 больных со злокачественными новообразованиями орофарингеальной области. Все пациенты были разделены на 2 группы. В основную группу были включены 195 пациентов, группа сравнения была сформирована из 391 пациента. Отбор больных для исследования производился в соответствии со стандартными критериями включения и исключения. Критериями включения считали установленный диагноз злокачественного новообразования, планируемое комплексное противоопухолевое лечение, возраст от 18 до 84 лет, информированное добровольное согласие на участие в исследовании. Критериями исключения считались отказ больных от участия в исследовании, наличие тяжелой сопутствующей соматической патологии и психических заболеваний. При формировании групп для сравнительного анализа принимали во внимание индивидуальность подходов к лечению злокачественных новообразований в зависимости от локализации, стадии, гистологического варианта и особенностей лечебной программы (рис. 1). Рисунок 1. Распределение больных по группам.
Результаты исследования
Анализ осложнений химиолучевого компонента комплексного лечения. В зависимости от продолжительности времени после облучения и химиотерапии местные повреждения делятся на ранние и поздние. Ранние повреждения развиваются в процессе лучевой терапии или в ближайшие 3 мес после нее (крайний срок восстановления сублетального повреждения клеток). Поздними считают химиолучевые повреждения, развившиеся после указанного срока, чаще — через несколько лет [6].
В основе поздних химиолучевых повреждений лежат нарушения более радиорезистентных структур, являющиеся следствием постепенного накапливания изменений в мелких кровеносных и лимфатических сосудах, обусловливающих нарушение микроциркуляции и развитие гипоксии облученных тканей, что может впоследствии стать причиной фиброза и склероза [2, 4].
Из химиолучевых повреждений при проведении комплексного лечения рака орофарингеальной области мы в нашем исследовании наблюдали ксеростомию, лучевой кариес и лучевой остеорадионекроз.
Ксеростомию называют отсроченным осложнением, однако на самом деле она начинает развиваться с первого дня лучевой терапии. Кроме того, это серьезное пожизненное осложнение, постоянно преследующее пациента и вызывающее ощущение сухой, жесткой слизистой оболочки. В первую неделю лучевой терапии наблюдается резкое снижение слюноотделения, которое за 2 нед лечения сокращается на 90%. При накоплении кумулятивной дозы облучения 40 Гр слюноотделение уменьшается на 95% по сравнению с первоначальным, и происходит необратимое поражение слюнных желез. Такое типичное уменьшение слюноотделения тесно связано с дозой облучения. При химиотерапии клиническая гипосаливация наблюдается только во время лечения и является обратимой.
Под нашим наблюдением находились 52 пациента из группы сравнения и 44 пациента из основной группы с ксеростомией, возникшей после химиолучевого лечения. Всем проводилась сиалометрия на момент госпитализации и после окончания курса химиолучевого лечения по «Методике сбора смешанной нестимулированной слюны в состоянии покоя». Средний показатель сиалометрии (общей нестимулированной слюны) на момент госпитализации составлял M=3,98±0,04. Все пациенты получили дозу облучения не менее 40 Гр. Повторные осмотры проведены нами по окончанию лучевого лечения и затем с 6-месячными перерывами.
Как правило, выделяются три степени ксеростомии, поэтому все пациенты были нами объединены и сгруппированы по степени выраженности симптомов (табл. 1).

Безусловно, наиболее тяжелой для пациента (и для коррекции) является ксеростомия III степени. При нарушении функции слюнных желез III степени (функция слюнных желез полностью угнетена) больных беспокоят резкая сухость во рту, болезненные ощущения в слюнных железах, боль при еде, нарушение сна, речи. Отмечаются явления катарального глоссита, стоматита, слизистая оболочка ротовой полости сухая, гиперемирована, нередко с трещинами, эрозиями. Гипосаливация (сиалометрия — до 2 мл), повышенная вязкость, кислотность, пенистость слюны. Губы сухие, шелушатся, покрыты корками. Ксеростомия часто сопровождается множественным кариесом зубов (рис. 2, а). Рисунок 2. Осложнения химиолучевой терапии. а — ксеростомия III степени, б — лучевой кариес.
Степень выраженности симптомов ксеростомии уменьшается с течением времени даже при отсутствии стоматологической помощи. Так, нами были обследованы пациенты группы сравнения (52 человека) непосредственно после завершения лучевой терапии и затем с 6-месячными перерывами. Динамика зависимости симптомов ксеростомии от времени, прошедшего с момента окончания химиолучевой терапии, представлена в табл. 2.
Так, симптомы, соответствующие III степени, наблюдались на протяжении 1,42±0,02 года и затем имели тенденцию к снижению, достигая своего минимума в среднем через 2,21±0,03 года.
При этом имеется прямая корреляционная зависимость степени выраженности ксеростомии от общей лучевой дозы (табл. 3).
Так, симптомы, соответствующие III степени ксеростомии, проявлялись при СОД=59 Гр. Предоперационный вариант лучевой терапии СОД=50 Гр приводил к возникновению ксеростомии I степени. Как видно из представленных выше данных, симптомы химиолучевой ксеростомии обратимы, что свидетельствует об отсутствии структурных поражений слюнных желез в процессе химиолучевого лечения. Однако восстановление количества отделяемой слюны — процесс достаточно длительный и тяжелый для пациента.
Лучевой кариес (рис. 2, б) возникает после воздействия ионизирующего излучения на ткани зуба при лечении злокачественных образований головы и шеи. Клинические признаки постлучевого поражения зубов достаточно характерны. Обычно спустя 3—6 мес после лучевого воздействия эмаль зубов утрачивает характерный блеск, становится тусклой, серовато-блеклого цвета. Отмечается ломкость, стертость жевательной и вестибулярной поверхности зубов. На этом фоне появляются участки некроза, вначале локальные, а затем по типу циркулярного поражения зубов. Указанные поражения обычно темного цвета, заполненные рыхлой некротической массой, безболезненные. Отсутствие болевого симптома — характерная особенность радиационного поражения зубов, свидетельствующая о подавлении функции одонтобластов. Постепенно участки некроза расширяются и захватывают значительную часть зуба. Удаление некротических масс из очага поражения, как правило, безболезненное, поэтому требует особой осторожности. Если не применять радикальные вмешательства, то через 1—2 года окажутся пораженными более 96% зубов. Нами были обследованы пациенты через 2 года после завершения комплексного лечения опухолей орофарингеальной области. Все осмотренные пациенты получали лучевое лечение не менее 40 Гр. Лучевой кариес при осмотре диагностирован в 88% случаев (табл. 4, 5). В табл. 6 представлена корреляционная зависимость развития лучевого кариеса в зависимости от полученной суммарной дозы (СОД).
Лучевой остеонекроз, радионекроз, некроз лучевой (radionecrosis) — некроз ткани (чаще всего костной ткани или кожи), за счет угнетения ее регенераторной способности после проведенного курса противоопухолевой радиотерапии. Травма или хирургическое вмешательство (например, удаление зуба) после облучения могут усилить процесс радионекроза.

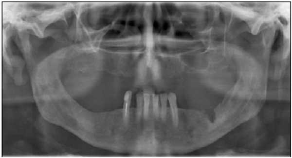
Лучевой остеонекроз представляет собой гибель костной ткани и является наиболее тяжелым последствием лучевой терапии онкологических заболеваний головы и шеи. В нашем случае 7 (9,3%) пациентов группы контроля обратились с жалобами на боли и длительное незаживление лунок после удаления зубов. Удаления были произведены в стоматологических учреждениях города в сроки от 7 до 12 мес после окончания лучевой терапии. Во всех случаях был выставлен диагноз «остеорадионекроз» (рис. 3). Рисунок 3. Остеорадионекроз. Во всех случаях остеорадионекроз характеризовался длительным течением, с периодами обострения и отсутствием четко определяемых границ демаркации секвестра. Хирургическое вмешательство в основном было направлено на предупреждение развития абсцессов и флегмон ЧЛО. В одном случае течение радионекроза сочеталось с одновременным рецидивом опухоли.
Нами были обследованы 73 пациента с дефектами челюстных костей: 54 (73,9%) случая — верхняя челюсть, 19 (26,1%) случаев — нижняя.
Дефекты верхней челюсти определялись по классификации D. Okay и соавт. (2001), разделяющей изъяны на 3 основных класса и 2 подкласса.
На нижней челюсти для систематизации возможных вариантов дефектов и деформаций и составления плана лечебной тактики мы использовали классификацию Л.В. Горбаневой, Б.К. Костур и В.А. Миняевой (1995), так как данная классификация не только рассматривает указанную патологию в зависимости от тяжести и степени выраженности дефекта или деформации, но и учитывает характер сращения или несращения отломков нижней челюсти, а также часто встречающиеся варианты дефектов нижней челюсти, образующихся после онкостоматологических операций в результате экзартикуляции половины или полного удаления нижней челюсти. Полученные результаты представлены в табл. 7.
К осложнениям хирургического лечения злокачественных новообразований орофарингеальной области также относятся: развитие контрактур, сужение ротовой щели (микростома), ограничение подвижности языка, губ и щек.
Контрактура — ограничение подвижности сустава вследствие патологических изменений мягких тканей, костей или мышечных групп, функционально связанных с данным суставом.
Все контрактуры, возникающие после комплексного лечения опухолей орофарингеальной области, относятся к внесуставному типу. По степени раскрывания рта, внесуставные контрактуры делятся: на тяжелые (раскрывание рта до 1 см), средней тяжести (раскрывание рта на 1—2 см) и легкие (раскрывание рта на 2—3 см). Нами был обследован 391 пациент, получивший хирургическое лечение (в схеме комплексного лечения рака орофарингеальной области). Результаты оценки степени развития контрактур представлены в табл. 8.
Главными стоматологическими осложнениями, возникающими после химиолучевой терапии, являются ксеростомия и лучевой кариес. Данные осложнения имеют высокую частоту встречаемости и, как правило, не проходят без оказания квалифицированной стоматологической помощи. Остеорадионекроз, являясь грозным осложнением лучевой терапии, к счастью имеет не столь широкое распространение. Основными осложнениями хирургического лечения, безусловно, являются дефекты челюстных костей и мягких тканей орофарингеальной области, сопровождающие каждое хирургическое вмешательство, а также возникающие послеоперационные внесуставные контрактуры. Все перечисленные осложнения имеют симптом взаимного отягощения, т.е. могут осложнять друг друга при проведении комплексной противоопухолевой терапии. Все развившиеся осложнения нуждаются в стоматологической коррекции. Стоматологическая помощь таким пациентам оказывается непосредственно после выписки из онкологического учреждения, далее в течение первого года стоматологический осмотр необходимо осуществлять каждые 3 мес, что будет сочетаться с контролем онкологическим. После первого года стоматологическое обследование выполняется каждые 3—6 мес в зависимости от индивидуальных факторов: уровня гигиены, степени развития ксеростомии, наличия восстанавливающих ортопедических конструкций.
Выводы
Проведенное нами исследование позволяет сделать следующие выводы.
1. Значительная часть нежелательных эффектов комплексного лечения злокачественных опухолей орофарингеальной области связана с химиолучевым компонентом и представлена в основном химиолучевыми реакциями. Из которых 34% приходится на клинически значимые радиомукозиты, вынуждающие делать перерывы в лечении и как следствие приводящие к снижению эффективности химиолучевого компонента.
2. Ксеростомия как осложнение химиолучевой терапии развивается с первого дня специализированной противоопухолевой терапии, причем в первую неделю наблюдается резкое снижение слюноотделения, которое при накоплении кумулятивной дозы облучения 40 Гр уменьшается до 95% по сравнению с первоначальным, однако степень выраженности симптомов ксеростомии уменьшается с течением времени даже при отсутствии стоматологической помощи.
3. Лучевой кариес, возникающий после воздействия ионизирующего излучения на ткани зуба, определяется до 88% случаев при облучении 40 Гр и до 96% случаев при облучении до 70 Гр, вызывая поражения твердых тканей зубов в сроки от 6 до 24 мес.
Радиационный (постлучевой) некроз
Радиационный некроз твердых тканей зубов возникает после воздействия ионизирующего излучения в связи с лечением злокачественных новообразований, заболеваний крови,скелета и других органов и систем, а также от действия профессиональных факторов.
Патогенез (что происходит?) во время Радиационного (постлучевого) некроза:
До настоящего времени нет единого мнения о механизме и характере изменений в тканях зуба и полости рта в результате радиационного излучения. Одни исследователи склонны относить лучевые нарушения тканей зубов к некариозным поражениям. Другие считают, что после радиационного облучения активно развивается кариес зубов наряду с некариозными поражениями.
Патогенез лучевого поражения зубов до сих пор окончательно не выяснен. Обсуждаются данные о сосудистых, морфологических и дегенеративных нарушениях в пульпе. Предполагают влияние на зубы ксеросто-мии, развивающейся после лучевого воздействия. Не исключается иммунодепрессивное действие ионизирующего излучения. Некоторые исследователи полагают, что в облученном организме происходит специфическое подавление металлосодержаших ферментных систем (в первую очередь железосодержащих), участвующих в процессе тканевого дыхания в аэробной фазе. Нарушение аэробной фазы тканевого дыхания влечет за собой накопление в тканях организма, в том числе в пульпе зуба, недоокисленных продуктов метаболизма, а также стойкое нарушение их дальнейшего окисления.
Таким образом, в результате воздействия ионизирующего излучения именно эти процессы, происходящие в пульпе зуба, приводят к нарушению трофики и физиологических процессов реминерализации эмали и дентина. Особенно это выражено при сочетании с нарушением функции слюнных желез, вызываемой облучением, с последующим дисбалансом реминерализующих механизмов в среде эмаль - слюна.
Симптомы Радиационного (постлучевого) некроза:
Проявления постлучевого поражения зубов и тканей полости рта достаточно характерны. Прежде всего практически у всех больных отмечаются радиомукозит слизистой оболочки губ, щек, языка, потеря или извращение вкусовых ощущений, выраженная ксеростомия и соответственно сухость в полости рта.
Обычно спустя 3-6 мес после лучевого воздействия эмаль зубов утрачивает характерный блеск, становится тусклой, серовато-блеклой. Отмечаются ломкость, стертость жевательной и вестибулярной поверхностей зубов. На этом фоне появляются участки некроза, вначале локальные, а затем по типу циркулярного поражения зубов. Обычно они темного цвета, заполнены рыхлой некротической массой, безболезненные. Отсутствие болевого симптома - характерная особенность радиационного поражения зубов. Постепенно участки некроза расширяются и захватывают значительную часть зуба. Удаление некротических масс из очага поражения, как правило, безболезненное, поэтому делать это надо осторожно.
Без радикальных лечебных мероприятий через 1-2 года пораженными оказываются более 96 % зубов.
Интенсивность лучевого поражения зубов в известной степени зависит от зоны и дозы облучения. Эти поражения, напоминающие кариес, безболезненны даже при зондировании, показатель электроодонтометрии понижен до 15-25 мкА.
Образовавшиеся в зубах полости имеют неровные изъеденные края, которые в пределах эмали прозрачные и хрупкие. Располагаются полости на атипичных для кариеса поверхностях зубов. Кариозная полость обычно заполнена серой массой, удаление ее малоболезненно или безболезненно. Ранее и вновь поставленные пломбы выпадают.
Анамнез позволяет дифференцировать указанные поражения, наметить меры лечения и профилактики.
Лечение Радиационного (постлучевого) некроза:
При поражении твердых тканей коронки зуба лечение прово дят в несколько этапов. Вначале осто рожно удаляют некротические массы из дефектов зубов вручную экскава тором, чтобы не внедриться в полость зуба, а затем вводят кальцифицирующую пасту, состоящую из равных час тей порошка глицерофосфата кальция, оксида цинка и глицерина. Пасту накладывают тонким слоем на дно и стенки образовавшейся полости и закрывают временным пломбировоч ным материалом.
Следующий этап отсроченного лечения зубов проводят через 1-1,5 мес. Он состоит в удале нии нежизнеспособных, некротизированных тканей зуба при помощи бора до минерализованного участка дентина или эмали, после чего вновь накладывают кальцифицирующую пасту и пломбируют зубы стеклоиономерными цементами.
При более глубоких поражениях устраняют имеющиеся некротические дефекты стеклоиономерными цементами и через 3-4 мес, если этого требует косметическая реставрация передних зубов, часть стеклоиономера удаляют, а сверху накладывают композитный пломбировочный материал.
Профилактика Радиационного (постлучевого) некроза:
Для уменьшения прямого действия радиации на зубы изготавливают индивидуальную свинцовую каппу, которую больной надевает непосредственно перед каждой процедурой лучевой терапии. Необходимо также уменьшить опосредованное действие проникающей радиации путем предварительного (перед облучением) проведения месячного курса общей и местной реминерализующей терапии в сочетании с комплексом антиоксидантов.
Если профилактические мероприятия перед облучением не проводили, то после лучевой терапии необходимо провести весь курс комплексного лечения в течение 5-6 мес, сочетая его со стоматологическими вмешательствами.
Обычно через 3-4 нед комплексной реминерализующей и антиоксидантной терапии появляется гиперестезия дентина. Это хороший признак, свидетельствующий о восстановлении жизнеспособности пульпы зуба.
К каким докторам следует обращаться если у Вас Радиационный (постлучевой) некроз:
Вас что-то беспокоит? Вы хотите узнать более детальную информацию о Радиационного (постлучевого) некроза, ее причинах, симптомах, методах лечения и профилактики, ходе течения болезни и соблюдении диеты после нее? Или же Вам необходим осмотр? Вы можете записаться на прием к доктору .
Признаки и последствия радиации и радиационного облучения
Хиросима, Нагасаки, Чернобыль - это черные страницы в истории человечества, связанные с атомными взрывами. Среди пострадавшего населения наблюдались негативные радиационные эффекты. Влияние ионизирующего излучения имеет острый характер, когда в течение короткого времени разрушается организм и наступает смерть, или хронический (облучение небольшими дозами). Третий вид влияния - долгосрочный. Он вызывает генетические последствия радиации.
Воздействие ионизирующих частиц бывает разное. В небольших дозах радиоактивное излучение применяют в медицине для борьбы с онкологией. Но почти всегда оно негативно влияет на здоровье. Малые дозы атомных частиц являются катализаторами (ускорителями) развития рака и поломки генетического материала. Большие дозы приводят к частичной или полной гибели клеток, тканей и всего организма. Сложность в контроле и отслеживании патологических изменений заключается в том, что при получении малых доз радиации симптомы отсутствуют. Последствия могут проявляться через годы и даже десятилетия.
Радиационные эффекты облучения людей имеют такие последствия:
- Мутации.
- Раковые заболевания щитовидной железы, лейкозы, молочной железы, легких, желудка, кишечника.
- Наследственные нарушения и генетического кода.
- Нарушение обмена веществ и гормонального равновесия.
- Поражение органов зрения (катаракта), нервов, кровеносных и лимфатических сосудов.
- Ускоренное старение организма.
- Стерильность яичников у женщин.
- Слабоумие.
- Нарушение психического и умственного развития.
Пути и степень облучения
Облучение человека происходит двумя путями - внешним и внутренним.
Внешняя радиация, которую получает организм, исходит от излучающих объектов:

- космос;
- радиоактивные отходы;
- испытания ядерного оружия;
- естественная радиация атмосферы и грунта;
- аварии и утечки на атомных реакторах.
Внутреннее облучение радиацией осуществляется изнутри организма. Радиационные частицы содержатся в пищевых продуктах, которые человек употребляет (до 97%), и в небольшом количестве в воде и воздухе. Для того чтобы понять, что происходит с человеком после облучения радиацией, нужно понимать механизм ее воздействия.
Мощное излучение вызывает в организме процесс ионизации. Это значит, что в клетках образуются свободные радикалы - атомы, у которых не хватает электрона. Чтобы восполнить недостающую частицу, свободные радикалы отбирают ее у соседних атомов. Так возникает цепная реакция. Этот процесс приводит к нарушению целостности молекул ДНК и клеток. Как результат - развитие атипичных клеток (раковых), массовая гибель клеток, генетические мутации.
Дозы облучения в Гр (грей) и их последствия:

- 0,0007-0,002 - норма получения организмом радиации за год;
- 0,05 - предельно допустимая доза для человека;
- 0,1 - доза, при которой риск развития генных мутаций удваивается;
- 0,25 - максимально допустимая однократная доза в чрезвычайных условиях;
- 1,0 - развитие острой лучевой болезни;
- 3-5 - ½ пострадавших от радиации погибает в течение первых двух месяцев из-за поражения костного мозга и, как следствие, нарушения процесса кроветворения;
- 10-50 - летальный исход наступает через 10-14 дней из-за поражения ЖКТ (желудочно-кишечный тракт);
- 100 - смерть наступает в первые часы, иногда через 2-3 дня из-за повреждения ЦНС (центральная нервная система).
Классификация поражений при радиационном облучении
Облучение радиаций приводит к повреждению внутриклеточного аппарата и функций клеток, что впоследствии вызывает их гибель. Наиболее чувствительны клетки, которые быстро делятся - лейкоциты, эпителий кишечника, кожа, волосы, ногти. Более устойчивы к радиации гепатоциты (печень), кардиоциты (сердце) и нефроны (почки).
Радиационные эффекты облучения
- острая и хроническая лучевая болезнь;
- поражение глаз (катаракта);
- лучевые ожоги;
- атрофия и уплотнение облученных участков кожи, сосудов, легких;
- фиброз (разрастание) и склероз (замена соединительной структурой) мягких тканей;
- уменьшения количественного состава клеток;
- дисфункция фибробластов (матрица клетки, основа при ее появлении и развитии).

- опухоли внутренних органов;
- злокачественные изменения крови;
- умственная отсталость;
- врожденные уродства и аномалии развития;
- рак у плода вследствие его облучения;
- сокращение продолжительности жизни.
- изменение наследственности;
- доминантные и рецессивные мутации генов;
- хромосомные перестройки (изменение числа и структуры хромосом).
Симптомы радиационного поражения
Симптомы облучения радиацией зависят в первую очередь от радиоактивной дозы, а также от площади поражения и продолжительности однократного воздействия. Дети более восприимчивы к радиации. Если у человека есть такие внутренние болезни, как сахарный диабет, аутоиммунные патологии (ревматоидный артрит, красная волчанка), это усугубит влияние радиоактивных частиц.
Однократная радиационная доза наносит большую травму, чем такая же доза, но полученная в течение нескольких дней, недель или месяцев.
При однократном воздействии большой дозы или при поражении обширной площади кожи развиваются патологические синдромы.
Цереброваскулярный синдром
Это признаки облучения радиацией, связанные с поражением сосудов головного мозга и нарушением мозгового кровообращения. Просвет сосудов сужается, поступление кислорода и глюкозы в мозг ограничивается.

- кровоизлияния в мозжечок - рвота, головная боль, нарушение координации, косоглазие в сторону поражения;
- кровоизлияние в мост - глаза не двигаются в стороны, расположены только посередине, зрачки не расширяются, реакция на свет слабая;
- кровоизлияние в таламус - полный паралич половины тела, зрачки не реагируют на свет, глаза опущены к носу, исход всегда летальный;
- кровоизлияние субарахноидальное - резкие интенсивные боли в голове, усиливающиеся при любых физических движениях, рвота, лихорадка, изменение ритмов сердца, скопление жидкости в мозге с последующим отеком, эпилептические припадки, повторные кровоизлияния;
- тромботический инсульт - нарушение чувствительности, отклонение глаз к очагу поражения, недержание мочи, нарушение координации и целенаправленности движений, психическая заторможенность, устойчивое повторение фраз или движений, амнезия.
Гастроинтестинальный синдром
- тошнота, снижение аппетита, рвота;
- вздутие живота, интенсивная диарея;
- нарушение водно-солевого баланса.
Впоследствии развивается некроз - омертвение слизистой кишечника, далее сепсис.
Синдром инфекционных осложнений
Это состояние развивается из-за нарушения формулы крови, как следствие, снижение естественного иммунитета. Возрастает риск экзогенной (внешней) инфекции.
Осложнения при лучевой болезни:

- ротовая полость - стоматит, гингивит;
- органы дыхания - тонзиллит, бронхит, пневмония;
- ЖКТ - энтерит;
- лучевой сепсис - усиливается гноеобразование, на коже и внутренних органах появляются гнойнички.
Орофарингеальный синдром
Это язвенное кровоточащее поражение мягких тканей ротовой и носовой полости. У пострадавшего отечная слизистая, щеки, язык. Десны становятся рыхлыми.
- сильная боль в ротовой полости, при глотании;
- продуцируется много вязкой слизи;
- нарушение дыхания;
- развитие пульмонита (поражение альвеол легких) - одышка, хрипы, вентиляционная недостаточность.
Геморрагический синдром
Определяет степень тяжести и исход лучевой болезни. Нарушается свертываемость крови, стенки сосудов становятся проницаемыми.
Симптомы - в легких случаях мелкие, точечные кровоизлияния во рту, в области заднего прохода, с внутренней стороны голеней. В тяжелых случаях радиационное облучение вызывает массивные кровотечения из десен, матки, желудка легких.
Радиационное поражение кожи
При небольших дозах развивается эритема - выраженное покраснение кожи из-за расширения кровеносных сосудов, позже наблюдаются некротические изменения. Спустя полгода после облучения появляется пигментация, разрастание соединительной ткани, появляются стойкие телеангиэктазии - расширение капилляров.
Кожа человека после радиации атрофируется, становится тонкой, легко повреждается при механическом воздействии. Лучевые ожоги кожи не поддаются лечению. Кожные покровы не заживают и очень болезненны.
Генетические мутации от воздействия радиации

Еще одни признаки радиационного облучения - это генные мутации, нарушение структуры ДНК, а именно одно его звена. Такое ничтожное, на первый взгляд, изменение приводит к серьезным последствиям. Генные мутации необратимо изменяют состояние организма и в большинстве случаев приводят к его гибели. Мутантный ген вызывает такие заболевания - дальтонизм, идиопатия, альбинизм. Проявляются в первом поколении.
Хромосомные мутации - изменение размеров, количества и организации хромосом. Происходит перестройка их участков. Они напрямую влияют на рост, развитие и функциональность внутренних органов. Носители хромосомных поломок погибают в детском возрасте.
Последствия облучения радиацией в глобальном масштабе:
- Падение рождаемости, ухудшение демографической ситуации.
- Стремительный рост онкологической патологии среди населения.
- Тенденция к ухудшению здоровья детей.
- Серьезные нарушения иммунного статуса среди детского населения, которое находится в зонах влияния радиации.
- Заметное сокращение показателей средней продолжительности жизни.
- Генетические сбои и мутации.
Значительная часть изменений, вызванная влиянием радиоактивных частиц, является необратимой.
Риск возникновения рака после облучения прямо пропорционален дозе облучения. Радиация даже в минимальных дозах негативно сказывается на самочувствии и работе внутренних органов. Люди часто списывают свое состояние на синдром хронической усталости. Поэтому после диагностических или лечебных мероприятий, связанных с облучением, необходимо принимать меры по ее выведению из организма и укреплять иммунитет.
Изменения костных структур малого таза после лучевой терапии
Гинекологический рак является распространенной неоплазией и составляет 10-15% от всех злокачественных новообразований у женщин (1). Задача визуализации до лечения является стадирование злокачественного процесса для дальнейшего планирования терапии и манипуляций. Задача визуализации после лечения (хирургических манипуляций, химиотерапии, лучевой терапии) являются оценка ответа на терапию. Компьютерная томография (КТ) является методом выбора для оценки рецидива рака яичника (2). Магнитно-резонансная томография (МРТ)—в частности, с динамической контрастированием имеет высокую чувствительность (91%) при выявлении рецидивов гинекологического рака (3).
Существуют различные онкологические варианты в гинекологии, в зависимости от локализации, гистологического типа, а также степени и стадии заболевания, поэтому важно, чтобы диагност был готов правильно оценить изображения пациентов после химиотерапии, лучевой терапии или их комбинации, интерпретируя исследование и избегая ошибок в дифференциации нормальной анатомии после лечения и рецидива заболевания.
Химиотерапия и лучевая терапия.
Химиотерапия чаще используется в качестве неоадъювантного лечения при высокодифференцируемом раке яичников, реже высокодифференцируемом раке шейки матки. Адъювантная химиотерапия используется после операции по поводу рака яичников и рака эндометрия. Первичные химиотерапия и лучевая терапия применяется для лечения распространенного рака шейки матки (2-4 стадии) (4). При эндометриальной карциноме лучевая терапия применяется после хирургического вмешательства у пациентов, у которых патологический процесс распространяется на миометрий или выходит за пределы матки. При раке яичников лучевая терапия рекомендуется только в качестве паллиативного лечения при IV стадии заболевания (4,5).
Кардиопатии, обусловленные радиотерапией
Данная работа представляет собой систематический обзор литературы Национальной медицинской библиотеки США по теме «кардиопатии, обусловленные воздействием химиотерапии и лучевой терапии». В обзор включены все источники, найденные по ключевым словам: «cardiopathy-induced radiotherapy»

Введение
Совокупность изменений сердца под воздействием лучевой терапии получила название «радиационно-индуцированной болезни сердца», которая включает в себя целый комплекс изменений, возникающий в результате лучевого повреждения миокарда, перикарда, клапанного аппарата, коронарных артерий, проводящей системы сердца [21].
Таким образом, применение химиотерапии и лучевой терапии при лечении онкологических больных приводит к развитию хронической сердечной недостаточности (ХСН).
По результатам фармако — экономических анализов, на лечение ХСН в странах Европы и США ежегодно расходуется 1-2% всего бюджета здравоохранения, что в 5 раз превышает затраты, направленные на лечение всех форм злокачественных новообразований [Фомин И. В. и др. , 2006].
Кардиопатии, обусловленные радиотерапией
В последние десятилетия проблема поражений сердца вследствие радиотерапии приобрела новое значение, прежде всего в связи с существенным увеличением в современном мире числа лиц, подвергшихся радиационному воздействию, как локальному, так и общему. Это касается прежде всего пациентов с ходжскинской лимфой, для которых сердечно-сосудистые осложнения в последующие 30-40 лет после облучения являются основной причиной смерти, больных с раком лёгкого, молочной железы (чаще левостороннего), пациентов, перенёсших трансплантацию, сочетающиеся с тотальным облучением [1, 2, 21].
В настоящее время минимальный порог эффективной лучевой дозы безопасной для сердца не известен. В большинстве случаев стандартная суммарная доза облучения для пациентов с лимфомой Ходжкина составляет 30Гр, для пациентов с раком молочной железы 45-50Гр, и между величиной суммарного облучения и сердечной заболеваемостью последующие годы существует прямая пропорциональная зависимость. С дозой облучения напрямую связана продолжительность жизни больного, которая снижается в результате ускоренного прогрессирование коронароатеросклероза, фиброзных изменений клапанов (чаще левосторонних), перикарда с возникновение фибринозного, реже экссудативного плеврита, самого миокарда с развитием диастолической дисфункции и скорейшего развития терминальной ХСН. 5
В тоже время анализ заболеваемости ССЗ у людей, выживших после взрыва атомной бомбы и многолетнее наблюдения за ликвидаторами аварии на Чернобыльской АЭС показали, что даже малые дозы облучения 1 Гр и менее способны повлиять на состояние сердечной мышцы. Множество исследований показывают, что радиационное облучение области сердца в любой дозе представляет риск для возникновения сердечных событий [ 6].
Постлучевая кардиомиопатия — это гетерогенное заболевание, характеризующиеся дозозависимым прогрессирующим снижением сократительного резерва миокарда, снижением ФВ ЛЖ, повышением жёсткости сердца как за счёт миокарда, так и за счёт перикарда и преждевременной смертью [1].
Патогенез
Механизм развития (Рисунок 3) постлучевых повреждений полностью не изучен, но известно, что ионизирующие облучение приводит к микроваскулярным нарушениям, повреждению эндотелия с повышением проницаемости сосудистой стенки, микротромбозу со снижением количества функционирующих капилляров — всё это является следствием запуска воспалительного ответа и причиной активации фиброзного замещения кардиомиоцитов. В миокарде увеличивается содержание коллагена I и III типов, которые вызывают снижение эластических свойств мышцы, повышая конечно-диастолическое давление [7].
Радиационные повреждения сердца включают в себя остро и хронически протекающие изменения. Сразу же после облучения повреждённые эндотелиоциты высвобождают факторы адгезии и пролиферации, активируются клетки воспаления с выделением провоспалительных цитокинов, таких как интерлейкины-1, 6, 8, фактор некроза опухоли-β, основной фактор роста фибробластов, инсулин-подобный фактор роста, соединительнотканный факторы роста, матриксные металлопротеазы разрушающие базальную мембраны сосудов, происходит активацию проонкогенов, c-myc и c-jun, которые поддерживают фиброз в тканях сердца [6, 21].
В позднем периоде происходят глубокие фибринозные изменения, протекающие десятилетия бессимптомно и приводящее в конечном счёте к развитию рестриктивной кардиопатией с умеренным снижением насосной функции ЛЖ или реже дилатационной с выраженными нарушениями показателей диастолической функции ЛЖ [8].
Важным моментом в развитии радио-индуцированной кардиопатии является её растянутое во времени развитие, что приближает её к антрациклинновой кардиопатии и предполагает наличие реорганизации многих белковых структур клетки, митохондриальных белков, повреждения митохондриальной ДНК и оксидативного стресса в её основе [9].
В патогенезе лучевой кардиопатии принимают участие уже известный гипоксия-индуцированный фактор1-α, интерлейкин-1, блокирование рецепторов которого как и в случае с воздействием Доксорубицина препятствует снижению ФВ, но при этом не оказывает влияние на процессы фиброза, ядерный фактор kappa B, представляющий собой белковый комплекс, регулирующий транскрипцию ДНК и участвующий в клеточном ответе на различные стрессовые воздействия, на оксидативный стресс в частности и выявленные недавно в качестве участников длительного асептического воспаления представители каликреин-кининновой системы, работающие посредством митоген-активируемых протеинкиназ [1].
Диагностика
При лучевом поражении сердца ЭКГ изменения обычно выражаются в неспецифических смещениях сегмента ST, низком вольтаже зубцов, появлении и прогрессировании нарушений ритма сердца, развитии внутрижелудочковых блокад, иногда атриовентрикулярных блокад, что, конечно, имеет лишь вспомогательное значения для диагностики кардиопатий.
Широко изучается выявление ЭХОКГ-признаков диастолической дисфункции, как наиболее ранних предвестников развития СН, однако в настоящее время отсутствуют практические руководства по раннему выявлению постлучевой кардиопатии с помощью показателей расслабления миокарда. Несмотря на это большинством экспертов поддерживает обязательное проведение ЭХОКГ спустя 10 лет после проведённой лучевой терапии в качестве мониторинга [2].
Натрий-уретические пептиды и тропонины могут быть использованы в качестве оценки степени лучевого повреждения миокарда, но опять-таки, определённых рекомендаций по их использованию в плане диагностики кардиопатий, обусловленных радиотерапией, не существует [117].
Главный приоритет в диагностике развивающегося интерстициального фиброза миокарда, основного морфологического проявления радиационного воздействия, принадлежит дорогостоящим методикам: МРТ с контрастным усилением, позволяющие выявить по эффекту задержки гадолиния признаки фиброза, происходящие после облучения средостения, перфузионная сцинтиграфия с 99mTс-МИБИ, однофотонная эмиссионная томография, способная визуализировать временные дефекты микроперфузии миокарда, попавшего под облучение, объём которых статистически коррелирует с лучевой нагрузкой 12.
В мировой литературе приводятся данные о применении радионуклиидной ангиографии, определение потребления миокардом кислорода в покое и при физической нагрузке в качестве скрининговых методов диагностики пациентов, прошедших радиотерапию, а также выявление радиационных повреждений сердца посредством обнаружения экстравазальных скоплений альбумина в миокарде [8, 13-17].
Радиопротекция и лечение
Современные методики лучевой терапии способствуют сокращению дозы облучения и уменьшению поля облучения, но неизвестно способствует ли это безопасности или просто оттягивает во времени проявление осложнений, так как, отсутствуют статистически достоверные данные, свидетельствующие об уменьшении долгосрочных событий.
К методикам, способствующим избежать повреждения сердца, относятся:
трёхмерное планирование облучения,
дыхательное стробирование с модуляцией интенсивности облучения,
использование свинцовых блоков для защиты сердца,
Техническое усовершенствование радиотерапевтической аппаратуры, развитие клинической дозиметрии, разработка предлучевой топометрии с использованием компьютерной техники служат основой повышения эффективности лучевой терапии при лечении опухолей. Наличие рентгеносимулятора, компьютерного томографа, возможность использования магнитно-резонансного и позитронного эмиссионного томографа позволяют весьма точно определить границы мишени, подлежащей облучению. Даже такая мелочь, как синхронизация лучевой терапии с дыханием, позволяет уменьшить дозу ионизирующего излучения в органах риска (сердце и лёгкие) и, тем самым, снизить вероятность развития лучевых осложнений.
Экспериментально на крысах были проведены попытки уменьшить лучевой воздействие на сердце путём синхронизации пучка облучения с сердечным циклом, тем самым оказывая воздействие в тот момент, когда миокард находится в состоянии относительной гипоксии [18].
На прогноз пациентов, подвергнутых радиотерапии, влияет возраст, так как известно, что риск поражения сердечно-сосудистой системы при радиационном облучении наиболее высок у лиц молодого возраста, перенесших радиотерапию до 40 лет облучение зоны средостения у детей и подростков, больных лимфогранулематозом, сопровождается ростом кардиальной смертности уже в течение первых пяти лет после облучения [10].
Сердечная смертность значительно увеличивается даже после облучения небольшой дозой в 5Гр в случае присоединения антракциклинов.
Несмотря на то, что радиационные поражения сердечно-сосудистой системы могут возникать в отсутствие факторов риска кардиологических заболеваний, необходимо помнить, что классические факторы риска (артериальная гипертензия, курение и гиперлипидемия) увеличивают риск прогрессирования радиационно обусловленных изменений сердца и требуют более агрессивной терапии [19].
Фармакологические методы предупреждения последствий лучевого воздействия в настоящее время не известны, но идут исследования в направлении препаратов, воздействующих на каликреин-кининовую систему. Так известно, что тучные клетки неожиданно оказывают протективную роль для сердца, посредством подавления активности эндотелина-1. Экспериментальные методы по использованию блокатора эндотелинновых рецепторов Бозентана в настоящее время не дали каких-либо положительных результатов. Также проводятся работы по изучению радиопротективных свойств Пентоксифиллина [4].
Описаны попытки экспериментального воздействия на процесс миокардиального фиброза и оксидативный стресс, индуцированные ионизирующей радиацией, с помощью статинов, гормона мелатонина, известного своими мощными кардиопротективными свойствами, витаминов С, Е, N-ацетилхолина. [20]
В эксперименте на мышах назначение Талидомида, известного седативного препарата, за которым были замечены возможности активировать созревание сосудистой стенки за счёт размножения перицитов, не приводило к защите сердца от радиационного повреждения [21].
В будущем должны быть проведены исследования по оценке эффективности профилактического приёма и-АПФ, ингибиторов минералкортикоидных рецепторов, аллопуринола.
Есть сведения о положительном лечебном эффекте пересадки мезенхимальных стволовых клеток пациенту с радиационной кардиопатией и перикардитом [22].
И наконец, пациенты с радио-индуцированной рестриктивной кардиопатией имеют наихудший прогноз после трансплантации сердца, им чаще требуется механическая поддержка в период ожидании трансплантанта с замещением функции правого желудочка и у них нередко почечная и дыхательная недостаточность вследствие лучевого повреждения соответствующих органов [23].
Однако, выживаемость таких пациентов, согласно данным клиники Мейо, после ортотопической трансплантации сердца в течение 1, 5, 10 лет составила 91, 7%, 75% и 46, 7% соответственно [24].
Таким образом, -радио-индуцированные кардиопатии, несмотря на низкую частоту развития, должны иметь должное внимание со стороны специалистов онкологии и кардиологии. В настоящее время существуют практические руководства, позволяющие уменьшить риск возникновения кардиопатии на фоне химиотерапии. В отношении профилактики радиационного повреждения миокарда ведутся дальнейшие работы.
Список литературы
Mawad R. , Gooley T. A. , Rajendran J. G. , Fisher D. R. et. al. Radiolabeled anti-CD45 antibody with reduced-intensity conditioning and allogeneic transplantation for younger patients with advanced acute myeloid leukemia or myelodysplastic syndrome. Biol Blood Marrow Transplant. 2014 Sep;20 (9): 1363-8. doi: 10. 1016/j. bbmt. 2014. 05. 014. Epub 2014 May 20.
Gyenes G. , Fornander T. , Carlens P. , Glas U. et. al. Myocardial damage in breast cancer patients treated with adjuvant radiotherapy: a prospective study. Int J Radiat Oncol Biol Phys. 1996 Nov 1;36 (4): 899-905.
Mezzaroma E. , Mikkelsen R. B. , Toldo S. , Mauro A. G. et. al. Role of interleukin-1 in radiation induced cardiomyopathy. Mol Med. 2015 Mar 26. doi: 10. 2119/molmed. 2014. 00243.
Lipshultz S. E. , et al; American Heart Association Congenital Heart Defects Committee of the Council on Cardiovascular Disease in the Young, Council on Basic Cardiovascular Sciences, Council on Cardiovascular and Stroke Nursing, Council on Cardiovascular Radiology. (2013) Long-term cardiovascular toxicity in children, adolescents, and young adultswho receive cancer therapy: pathophysiology, course, monitoring, management, prevention, and research directions: a scientific statement from the American Heart Association. Circulation. 128: 1927-95. doi: 10. 1161/CIR. 0b013e3182a88099
Jaworski C, Mariani JA, Wheeler G, Kaye DM. (2013) Cardiac complications of thoracic irradiation. J Am Coll Cardiol. 61: 2319-28. doi: 10. 1016/j. jacc. 2013. 01. 090.
Lipshultz SE, Adams MJ. (2010) Cardiotoxicity after childhood cancer: beginning with the end in mind. J Clin Oncol. 28: 1276-1281. doi: 10. 1200/JCO. 2009. 26. 5751
Taunk N. K. , Haffty B. G. , Kostis J. B. , Goyal S. Radiation-induced heart disease: pathologic abnormalities and putative mechanisms. Front Oncol. 2015 Feb 18;5: 39. doi: 10. 3389/fonc. 2015. 00039. ECollection 2015
Azimzadeh O. , Scherthan H. , Sarioglu H. , Barjaktarovic Z. et. al. Rapid proteomic remodeling of cardiac tissue caused by total body ionizing radiation. Proteomics. 2011 Aug;11 (16): 3299-311. doi: 10. 1002/pmic. 201100178.
Mezzaroma E. , Di X. , Graves P. , Toldo S. et. al. A mouse model of radiation-induced cardiomyopathy. Int J Cardiol. 2012 Apr 19;156 (2): 231-3. doi: 10. 1016/j. ijcard. 2012. 01. 038. Epub 2012 Feb 16.
Herrmann J. , Lerman A. , Sandhu N. P. , Villarraga H. R. et. al. Evaluation and management of patients with heart disease and cancer: cardio-oncology. Mayo Clin Proc. 2014 Sep;89 (9): 1287-306. doi: 10. 1016/j. mayocp. 2014. 05. 013.
Umezawa R. , Ota H. , Takanami K. , Ichinose A. et. al. MRI findings of radiation-induced myocardial damage in patients with oesophageal cancer. Clin Radiol. 2014 Dec;69 (12): 1273-9. Doi: 10. 1016/j. crad. 2014. 08. 010.
van Nimwegen F. A. , Schaapveld M. , Janus C. P. , Krol A. D. et. al. Cardiovascular Disease After Hodgkin Lymphoma Treatment: 40-Year Disease Risk. JAMA Intern Med. 2015 Apr 27. doi: 10. 1001/jamainternmed. 2015. 1180.
Dogan I. , Sezen O. , Sonmez B. , Zengin A. Y. et. al. Myocardial perfusion alterations observed months after radiotherapy are related to the cellular damage. Nuklearmedizin. 2010;49 (6): 209-15. doi: 10. 3413/nukmed-0315-10-05.
Burns R. J. , Bar-Shlomo B. Z. , Druck M. N. , Herman J. G. et. al. Detection of radiation cardiomyopathy by gated radionuclide angiography. Am J Med. 1983 Feb;74 (2): 297-302.
Lipshultz S. E, Adams M. J. Cardiotoxicity after childhood cancer: beginning with the end in mind. J Clin Oncol. 2010 Mar 10;28 (8): 1276-81. doi: 10. 1200/JCO. 2009. 26. 5751. Epub 2010 Feb 8.
Gladstone D. J. , Flanagan M. F. , Southworth J. B. , Hadley V. et. al. Radiation-induced cardiomyopathy as a function of radiation beam gating to the cardiac cycle. Phys Med Biol. 2004 Apr 21;49 (8): 1475-84.
Hong R. A. , Iimura T. , Sumida K. N. , Eager R. M. Cardio-oncology/onco-cardiology. Clin Cardiol. 2010 Dec;33 (12): 733-7. doi: 10. 1002/clc. 20823.
Wagdi P, Fluri M. , Aeschbacher B. , Fikrle A. , Meier B. Cardioprotection in patients undergoing chemo- and/or radiotherapy for neoplastic disease. A pilot study. Jpn Heart J. 1996 May;37 (3): 353-9.
Hoving S, Seemann I, Visser NL, te Poele JA, Stewart FA. Thalidomide is not able to inhibit radiation-induced heart disease. Int J Radiat Biol (2013) 89 (9): 685-91. doi: 10. 3109/09553002. 2013. 788797
Kursova L. V. , Konoplyannikov A. G. , Kal'sina S. Sh. , Baboyan S. B. Allogenic cardiomyoblasts raised from human mesenchymal stem cells in the therapy of radiation cardiomyopathy and pericarditis: case report. Bull Exp Biol Med. 2014 May;157 (1): 143-5. doi: 10. 1007/s10517-014-2510-4. Epub 2014 Jun 10.
Shah S. , Nohria A. Advanced heart failure due to cancer therapy. Curr Cardiol Rep. 2015 Apr;17 (4): 16. doi: 10. 1007/s11886-015-0570-3.
Saxena P. , Joyce L. D. , Daly R. C. et. al. Cardiac transplantation for radiation-induced cardiomyopathy: the Mayo Clinic experience. Ann Thorac Surg. 2014 Dec;98 (6): 2115-21. doi: 10. 1016/j. athoracsur. 2014. 06. 056
Читайте также:
