Лучевая диагностика нарушения формирования шейного отдела позвоночника
Добавил пользователь Евгений Кузнецов Обновлено: 15.12.2025
Дегенеративно-дистрофические изменения в позвоночнике на медицинском языке называются дегенеративно-дистрофическими заболеваниями позвоночника (ДДЗП). Это совокупность патологических процессов в хрящевой и костной тканях, которые сопровождаются сильными болезненными ощущениями. Данные заболевания носят рецидивирующий характер и могут привести к инвалидизации [1]. Давление на спинной мозг и нервные корешки, вызванное дегенеративными процессами, может возникнуть из-за [4]:
- Смещения или грыжи межпозвоночного диска;
- Сужения позвоночного канала;
- Разрушения хрящевой ткани межпозвонковых дисков.
Распространенность дегенеративно-дистрофических заболеваний позвоночника высока у людей молодого и среднего возраста [1]. Основные проявления: боли при движении или в состоянии покоя в пораженном отделе позвоночника, которые могут распространяться в плечевой пояс или верхние конечности при поражении шейного отдела позвоночника; в межреберные промежутки, если пострадал грудной отдел позвоночника; на одну или обе нижние конечности, если дегенеративно-дистрофические изменения затронули поясничный отдел позвоночника. Кроме боли у пациентов может наблюдаться ограничение подвижности — как из-за боли, так и из-за необратимых структурных изменений тел позвонков и межпозвонковых дисков.
Межпозвоночный диск, в котором происходят дегенеративно-дистрофические изменения, теряет свою упругость и вместо того, чтобы защищать позвонки от нагрузки, сам становится слабым звеном. Яркие примеры этого — протрузии и грыжи межпозвонкового диска. [1]
Постоянные боли в пострадавшем отделе позвоночника могут спровоцировать заболевания других органов, в первую очередь тех, к которым ведут исходящие из данных отделов спинного мозга нервы.
Причины дегенеративно-дистрофических изменений позвоночника
Основными причинами являются [5]:
- Длительная однообразная нагрузка на какой-то отдел позвоночника (чаще всего профессионального характера — у грузчиков, строителей, тяжелоатлетов, военнослужащих, энтузиастов приусадебных участков и т.д.);
- Малоподвижный образ жизни, сидячая работа;
- Генетическая предрасположенность;
- Нарушение гормонального фона;
- Травмы или микротравмы позвоночника;
- Чрезмерные нагрузки на позвоночник;
- Нарушение кровообращения дисков;
- Изменения организма в результате естественного старения;
- Неправильное питание (недостаток минералов);
- Избыточный вес.
Признаки дегенеративно-дистрофических поражений позвоночника
Симптомы дегенеративно-дистрофических заболеваний позвоночника [5]:
- Хронические или острые боли в шейном, грудном, поясничном или крестцовом отделах позвоночника;
- Постоянное напряжение близлежащих мышц шеи, спины или поясницы;
- Слабость в конечностях, нарушение двигательной активности;
- При поражении верхних отделов (шейного и грудного) часто возникает онемение в руках.
Диагностика дегенеративно-дистрофических заболеваний позвоночника
Первый этап диагностики — проведение клинического неврологического исследования (КНИ) пациента [2].
К инструментальным методам диагностики ДДЗП относятся рентгенологическое исследование, а также магнитно-резонансная томография (МРТ) или компьютерная томография (КТ) [2].
Лечение дегенеративно-дистрофических поражений позвоночника представляет собой сложный многоэтапный процесс с привлечением разнообразных методов и средств [3]. Само лечение включает в себя медикаментозную терапию, лечебную физкультуру, физиотерапевтические процедуры, в тяжелых случаях, связанных с грыжей межпозвоночных дисков, применяется хирургическое лечение [4].
Целью медикаментозного лечения является устранение основных симптомов: боль, отеки, мышечные спазмы. К основным препаратам относят нестероидные противовоспалительные средства (НПВС), препараты, уменьшающие напряжение мышц (миорелаксанты). Для улучшения обмена веществ в хрящевой ткани врач может назначать хондропротекторы. Полезным пунктом в медикаментозной терапии могут быть витаминно-минеральные комплексы для поддержания нормального обмена веществ в организме в целом.
Лечебная физкультура является важным элементом в лечении ДДЗП, который требует ответственного подхода со стороны врача и пациента. В каждом конкретном случае врач учитывает характер течения болезни, наличие или отсутствие противопоказаний и определяет индивидуальный комплекс ЛФК и режим физической активности. Задача пациента — строго следовать этим рекомендациям. Любая «самодеятельность» может нанести вред.
Дегенеративно-дистрофические изменения позвоночника развиваются годами и могут привести к необратимым последствиям. Поэтому лечение ДДЗП требует времени и усилий — и от врача, и от пациента. Это и изменение режима питания для борьбы с избыточным весом, и коррекция двигательной активности, включая регулярные занятия ЛФК, и прием рекомендованных врачом лекарств, и своевременное проведение необходимых обследований.
Чем раньше вы обратитесь к врачу, тем больше шансов на успех.
Литература:
! Данная информация не заменяет консультацию специалиста. При наличии каких-либо болезненных симптомов необходимо обратиться к врачу.
КСС.Деформация шейного отдела позвоночника (линия Свищука). +
Ротационнаый подвывих одного из шейных позвонков (обычно C1-C2) зачастую вызывает трудности диагностики. Обычные рентгенограммы часто трудно трактовать. У пациента может отмечаться кривошея, вследствие спазма мышцы ( часто после вирусной инфекции). Хотя у большинства пациентов с кривошеей нет ротационного подвывиха, провести дифференциальную диагностику сложно. КТ сканирование шейного отдела позвоночника помогает более достоверно оценить вращательные соотношения элементов шейного отдела позвоночника и более эффективно диагностировать ротационный подвывих.
Следует учитывать варианты развития шейного отдела позвоночника .
Атлантоосевая рентгеновская щель может быть от 4 до 5 мм у детей в возрасте до 15 лет и до 2 мм для взрослых. Это потому, что зубовидный отросток не полностью оссифицирован. На рентгенограмме видна только окостеневшая часть. В то время как внешние слои зуба, хрящевые, не видимы на снимках.
В зависимости от расположения шеи ребенка, не редкость выпрямление шейного лордоза на боковой рентгенограмме. У взрослых отсутствие лордоза является косвенным признаком мышечного спазма, возможно, из-за скрытого перелома. У детей отсутствие лордоза не является показателем мышечного спазма.
У детей в возрасте до 10 лет сгибание и разгибание наибольшие в сегментах C2 и C3. Может показаться, что C2 смещён кпереди относительно C3 на целых 5 мм. Этот псевдосмещение увеличивается, если рентгенограмма выполнена с согнутой шеей. Этот признак может отмечаться на третьей части всех боковых рентгенограмм шейного отдела позвоночника удетей.
Крайне важно отличать истинный подвывих от псевдоподвывиха. (Псевдоподвывих С2 на С3 обнаруживают более чем у 40% пациентов младше 18 лет). Было бы неразумно предполагать наличие псевдоподвывиха, пока это не будет доказано. Это заблуждение может привести к задержке в установлении диагноза истинного подвывиха. Такие пациенты должны лечиться консервативно иммобилизацией до тех пор, пока достоверный диагноз не будет установлен.
Для дифференциальной диагностики псевдоподвывиха или перелома в сегменте C2-C3 , Swischuk предложил заднюю шейную линию. Спиноламинарная линия (линия Свищука — Swischuk ' sline) используется для того, чтобы отличить истинный подвывих от псевдоподвывиха. Она соединяет передние поверхности оснований остистых отростков первого и третьего шейного позвонков. Если на уровне С2 эта линия пересекает переднюю поверхность остистого отростка второго шейного позвонка, или он выступает за нее менее чем на 1 мм, и перелом отсутствует, у пациента имеет место псевдоподвывих. Если расстояние больше 1 мм (допустимо до 1,5 или 2
мм), это указывает на перелом дужки C2 (тело позвонков движется вперед, в то время как дужка и остистый отросток смещаются назад). Кроме того, псевподвывих чаще визуализируется с согнутой шеей. Соосность C2 / C3 должна сохраняться, если шея находится в более нейтральном или разогнутом положении. Сохранение подвывиха в положении разгибания определяется вследствие травмы (нефизиологической).
Рентген шейного отдела позвоночника: как делают, рентген в двух проекциях
Рентген шейного отдела позвоночника: правила выполнения

Рентген шейного отдела позвоночника имеет целый ряд особенностей. Выполняться процедура может в нескольких проекциях, а именно:
- прямая задняя;
- прямая задняя через открытый рот - нужна для осмотра 1-3 шейных позвонков;
- боковая;
- косая задняя.
Полную протяженность шейного отдела позвоночника можно увидеть только в положении сбоку. Если же снимок делается в прямой проекции, тень от нижней челюсти будет закрывать первый и второй позвонки. Чтобы получить качественное изображение, потребуется сделать прицельный снимок через открытый рот пациента.
Как правило, назначается процедура рентгена шейного отдела позвоночника в двух проекциях - боковой и прямой. Дополнительно может назначаться косая, если нужно детально рассмотреть межпозвонковые отверстия.
Что такое рентген шейного отдела позвоночника?
Рентгенография представляет собой достаточно доступный вариант диагностирования проблем, связанных с аномалиями развития костей, а также дегенеративными переменами в них. Такой метод исследования является незаменимым при травматических повреждениях костной ткани, поскольку позволяет выявить проблему в кратчайшие сроки. Появление КТ и МРТ сделало процедуру рентгена шейного отдела позвоночника не самой информативной.
Тем не менее, если возникает необходимость обследовать иные структуры, к примеру связки, мышцы, межпозвоночные диски и пр., придется прибегать к другим методам диагностики. Это связано с тем, что рентген будет информативным только относительно костной ткани в силу особенностей проведения.
Когда назначается обследование?
Перед процедурой важно узнать, что показывает рентген шейного отдела позвоночника. Этот метод исследования позволит определить наличие опухолевых процессов, выявить травмы позвоночника, аномалии развития и многое другое. Таким образом, показаниями являются:
- подозрение на травматическое повреждение шеи;
- наличие деформаций, искривления, ограничение подвижности шеи;
- болевой синдром в шее;
- признаки, указывающие на то, что шейный отдел позвоночника был поражен вследствие перенесенных инфекционных болезней, к примеру туберкулеза и пр.;
- головокружения, головные боли, которые усиливаются при наклонах головы или поворотах;
- боли в руках, причина которых выявлена не была (проблема может быть в развитии остеохондроза шеи).
Что может показать диагностика?

После получения снимка врач сможет оценить состояние шейных позвонков и дисков между ними. По итогам диагностики можно будет составить заключение о наличии:
- травматических повреждений (трещины тела позвонка или нескольких, трещины отростков, смещение позвонков и отломков, компрессионный перелом);
- острой кривошеи - врожденная или приобретенная патология, рентген позволяет выявить ее разновидность и степень тяжести;
- патологии развития - будут видны недоразвитие дужек и отростков, смена формы позвонков, присутствие дополнительных позвонков и шейных ребер;
- опухолей, но видны только костные новообразования, а деструктивные очаги могут свидетельствовать о метастазах;
- спондилолистеза - смещение позвонка относительно соседствующих;
- остеохондроза - уменьшение щели между позвонками, появление костных разрастаний.
Подготовка и прохождение процедуры
Если вам назначили рентгенографию шейно-грудного отдела позвоночника, вам не понадобится к ней дополнительно готовиться. Все, что нужно сделать, - записаться на рентген на определенное время, после чего посетить кабинет врача.
Как проводится процедура?
Стоит узнать, как делают рентген шейного или грудного отдела позвоночника, перед тем, как пройти такое обследование. Чтобы приступить к исследованию, нужно убрать все металлические аксессуары и украшения, а также одежду, на которой есть элементы из металла. Это позволит получить четкое изображение.
То, как будет проводиться процедура, зависит от проекции, в которой выполняется снимок. Могут быть такие проекции:
- прямая - пациент лежит или стоит прямо, руки вдоль туловища, рентгеновский луч направляется под углом в 15-20 градусов на щитовидный хрящ и проходит через шею;
- боковая - пациенту нужно встать боком и слегка приподнять подбородок, также процедура может выполняться лежа;
- рентген шейного отдела позвоночника могут делать через рот - это разновидность прямой проекции, позволяющая увидеть верхние шейные позвонки;
- косая - назначается редко, предназначена для изучения межпозвоночных отверстий.
Рентген шейного отдела позвоночника в двух проекциях
Чаще всего процедура выполняется в обычной прямой и боковой проекциях. Как правило, такого исследования достаточно, чтобы оценить состояние позвонков и определить причину жалоб пациента. По получении снимков могут быть назначены дополнительные исследования, которые позволят оценить состояние мягких тканей шеи, либо же будет прописано лечение, если информации окажется достаточно.
Рентген шейного отдела позвоночника с функциональными пробами

Рентген шейного отдела позвоночника с функциональными пробами предполагает выполнение снимков, в то время как пациент занимает определенные положения. Доктор может попросить наклонить голову влево или вправо, вперед или назад. В процессе такого исследования получится определить подвижность позвонков в шейной области и оценить их состояние. Часто такую процедуру назначают при подозрениях на остеохондроз.
Расшифровка результатов
Расшифровка процедуры рентгена шейного отдела позвоночника должна выполняться рентгенологом. Как правило, после того, как процедура окончена, пациента просят подождать вне кабинета, а врач занимается составлением заключения. С заключением, которое вы получите, можно идти к своему врачу.
Противопоказания для проведения
Проведение рентгена шейного отдела позвоночника с функциональными пробами или без них невозможно, если речь о беременной женщине. Излучение негативно влияет на плод, даже небольшая его доза может привести к пагубным последствиям. Также процедуру не проводят детям до 15 лет.
Дистрофия шейных позвонков

Из всех заболеваний опорно-двигательной системы дистрофия шейных позвонков занимает первое место среди причин развития инвалидности. Патология характеризуется поражением межпозвоночных дисков, костных соединений и других элементов шейного отдела позвоночника. Пациенты жалуются на головную боль, неприятные ощущения в плечах и нарушение подвижности в области шеи.
Рассказывает специалист ЦМРТ
Дата публикации: 14 Сентября 2021 года
Дата проверки: 30 Ноября 2021 года
Содержимое статьи
Особенности заболевания
Дегенеративно-дистрофическое заболевание позвоночника (ДДЗП) — патологическое состояние, сопровождающееся изнашиванием разных отделов этой анатомической области. Если болезнь затрагивает 7 верхних позвонков, развивается дистрофический остеохондроз позвоночника в шейном отделе. Неблагоприятные изменения затрагивают связки, межпозвоночные диски, хрящевые или костные ткани.
Симптомы деградации шейных позвонков
Дистрофические изменения в области позвоночного столба могут в течение многих лет развиваться бессимптомно. По мере усиления деградации и ухудшения кровоснабжения тканей появляются основные симптомы дегенеративно-дистрофических изменений, остеохондроза:
- Частое возникновение головной боли. Цефалгия усиливается в конце дня и после длительных физических нагрузок.
- Болезненность в области пояса верхних конечностей. Пациенты жалуются на периодическое возникновение боли в плечах и руках.
- Нарушение подвижности шеи. Сложно полностью повернуть голову направо или налево.
- Периодическое онемение в области верхних конечностей и уменьшение чувствительности кожи в этой зоне.
- Появление резкой кратковременной боли в шее, плечах или руках («прострелы»).
- Искривление шейного отдела позвоночника, усиление лордоза.
- Из-за пережатия крупных сосудов дегенеративно-дистрофические изменения шейных позвонков нередко вызывают головокружение и провоцируют обморочные состояния.
Стадии развития ДДЗП
Дистрофия постоянно усиливается по мере уменьшения притока крови к шейным позвонкам. Деградация тканей может протекать на протяжении десятилетий. Врачи выделяют следующие стадии развития ДДЗП и остеохондроза:
- Дисфункция — ранний этап формирования болезни, когда происходит изнашивание межпозвоночных дисков и других структур позвоночного столба
- Нестабильность. Шейный отдел позвоночника меняет свое положение
- Рестабилизация. Организм адаптируется к патологическим изменениям, в результате чего образуются костные наросты, и уменьшается просвет спинномозгового канала
Своевременное обнаружение болезни помогает замедлить прогрессирование дегенеративных процессов.
Причины дистрофических изменений шейных позвонков
Не существует единой причины развития этого заболевания. Разные внешние и внутренние факторы нарушают кровоток в области позвоночника и обуславливают дегенерацию его структур в течение жизни человека.
- сужение просвета сосудов, питающих межпозвоночный диск и костные ткани
- повреждение шейных позвонков иммунной системой человека
- изменение химического состава межпозвоночных дисков
- изнашивание костей и хрящей позвоночника
К факторам риска формирования болезни относят гиподинамию, длительное поддержание неправильного положения тела, сидячий образ жизни, травмы позвоночника и врожденные аномалии скелета.
Как диагностировать
Диагноз ДДЗП, остеохондроз позвоночника ставят по результатам врачебного осмотра, сбора анамнеза и проведения инструментальных исследований. Магнитно-резонансная томография шейного отдела позвоночника с функциональными пробами — основной метод диагностики, позволяющий определить стадию болезни. Такое обследование проводят в клиниках ЦМРТ. При необходимости врач назначает МРТ всего позвоночника. Визуальная диагностика помогает исключить другие патологии позвоночного столба с похожими симптомами. Врач получает объемные послойные изображения анатомической области в высоком разрешении.
К какому врачу обратиться
Диагностикой и лечением дегенеративно-дистрофических изменений шейного отдела позвоночника занимаются неврологи и ортопеды. При необходимости в лечении пациента участвует несколько специалистов — такой подход считается оптимальным, когда патология вызывает выраженное искривление позвоночника и неврологическую симптоматику одновременно.
Коновалова Галина Николаевна
Линкоров Юрий Анатольевич

Кузнецова Елена Николаевна

Ян Анжела Александровна
Карева Татьяна Николаевна
Исмаилова Эльвира Тагировна
Агумава Нино Мажараевна

Лысикова Татьяна Геннадьевна
Репрынцева Светлана Николаевна

Шишкин Александр Вячеславович
Дорофеева Мария Сергеевна

Филиппенко Антон Олегович

Сомов Евгений Вадимович
Амагова Тамила Магомедовна
Кудреватых Анастасия Владимировна

Сулейманов Курбан Аббас-Оглы
Сатиева Марина Гаруновна
Как лечить дегенеративные изменения шейного позвонка
Лечение направлено на замедление прогрессирования болезни, восстановление анатомических структур и облегчение симптомов. Врачи применяют следующие методы терапии:
Медикаментозная терапия: противовоспалительные, обезболивающие, успокоительные и дегидратационные препараты для улучшения состояния больного.
Добавки в виде витаминов группы B для восстановления нервных структур и других тканей.
Паравертебральные блокады для эффективного облегчения боли и улучшения подвижности шеи.
Ношение корсета для поддержания правильного положения шейного отдела позвоночного столба.
Фонофорез с гидрокортизоном, лазерное воздействие и другие виды физиотерапии, улучшающие кровоснабжение и нормализующие процесс регенерации тканей.
Тракционное лечение — вытягивание позвоночного столба в шейном отделе с помощью разных методов.
Лечебная физкультура и массаж для закрепления правильного положения позвонков развитой мускулатурой шеи и облегчения болевого синдрома.
Хирургическое лечение в тяжелых случаях. Помогает устранить механическое воздействие на нервные структуры и восстановить положение костей.
Врач выбирает схему лечения дистрофии шейных позвонков с учетом результатов диагностики и индивидуального анамнеза больного.
Последствия
Без своевременного лечения дегенеративные изменения шейного позвонка вызывают следующие осложнения:
- дистрофическое заболевание спинного мозга
- атрофия и парез мускулатуры
- межпозвоночная грыжа
- инфаркт спинного мозга
- расстройство мочеиспускания и дефекации
Пациент, не занимающийся лечением патологии, может со временем стать инвалидом.
Профилактика
Дистрофические изменения шейного отдела позвонка могут не проявиться у человека при наличии генетической предрасположенности к этому состоянию, если используются следующие профилактические мероприятия:
- поддержание правильного положения спины и шеи
- умеренные ежедневные физические нагрузки
- разнообразное здоровое питание
- периодическая смена положения тела при длительных статических нагрузках
- лечебная гимнастика
Для подбора индивидуальной схемы профилактики патологий опорно-двигательной системы рекомендуется обратиться к специалисту.
Нестабильность шейного отдела позвоночника - симптомы и лечение
Что такое нестабильность шейного отдела позвоночника? Причины возникновения, диагностику и методы лечения разберем в статье доктора Никитиной Светланы Сергеевны, невролога со стажем в 13 лет.
Над статьей доктора Никитиной Светланы Сергеевны работали литературный редактор Маргарита Тихонова , научный редактор Сергей Федосов
Определение болезни. Причины заболевания
В скелетно-мышечном аппарате есть суставы, которые от природы являются неподвижными, то есть стабильными. Это свойство может быть утеряно, тогда суставы и сочленения становятся "нестабильными". Например, лонное сочленение или крестцово-подвздошные суставы могут утратить свою неподвижность после родов или ввиду травм данной анатомической области. Сегменты позвоночника также относятся к образованиям, которые могут утратить свою неподвижность, что и называется в медицинской практике термином «нестабильность». [1] Стоит отметить, что у детей до 10-ти лет нестабильность считается нормой, так как структуры, отвечающие за стабильность позвоночника, в их возрасте находятся в фазе активного роста.
Позвоночник взрослого человека состоит из 33-х или 34-х позвонков (встречается вариант нормы с шестью поясничными позвонками), что составляет 25 или 26 двигательных сегментов. [1]

Сегмент позвоночника — это анатомическая и функциональная единица позвоночника. Анатомически сегмент состоит из межпозвонкового диска, нижней половины вышележащего позвонка, верхней половины нижележащего позвонка, передней и задней продольной связки, жёлтой связки, межпозвонковых суставов, а также всех мягких и нервных тканей, находящихся на этом уровне. [1]

За стабильность сегмента отвечают следующие структуры (перечислены в порядке убывания): межпозвонковый диск, связки и фасеточные суставы, тела позвонков.
Соответственно, и причины развития нестабильности воздействуют именно на перечисленные структуры.
Причинами являются:
- травмы родовые, спортивные, автодорожные и др. (связки, диски и тела позвонков);
- дегенерация дисков (протрузии и грыжи);
- оперативные вмешательства на позвоночнике (диски, связки и фасетки);
- аномалии развития позвоночника и его структур (любая структура).
При обнаружении схожих симптомов проконсультируйтесь у врача. Не занимайтесь самолечением - это опасно для вашего здоровья!
Симптомы нестабильности шейного отдела позвоночника
Смещение диска как проявление нестабильности сегмента не всегда может порождать какие-то симптомы и жалобы. Вызывающую определенную симптоматику нестабильность называют "клинически значимой".
1. Боль. Сюда же относится и головная боль. Является самым частым симптомом, возникает периодически. Часто появляется после физической нагрузки, нередко уже во время нагрузки. Также возникает после сна в неудобном положении, длительном сидении при наклонённой вперёд и вниз голове, также при сгибании и разгибании головы. При повороте головы в стороны и наличии нестабильности может появиться онемение конечностей и головокружение. Также часто появляется при выполнении неверно подобранных упражнений, не подходящих для пациента, или при неправильном их выполнении. [2]
2. Мышечная симптоматика. Постоянное ощущение напряжения мышц шеи, усталости. Повседневная нагрузка вызывает напряжение, боль и требует отдыха. [2]
3. Очаговая неврологическая симптоматика. По своим проявлениям напоминает корешковую симптоматику — простреливающие боли, онемение и слабость верхних конечностей. При пальпации паравертебральных точек определяется боль.
4. Гипертензионный синдром. Проявляется повышением внутричерепного давления, что, в свою очередь, усиливает головную боль, головокружение. Также проявляется повышением артериального давления. Многие авторы считают, что оба эти проявления чреваты развитием панических атак. [1] [3]
5. Вестибуло-кохлеарные и окуло-кохлеарные нарушения. К ним относятся шум в ушах и головокружение, нарушение зрения. Пациенты часто обращаются к врачам-офтальмологам или врачам-отоларингологам, но при обследовании органов зрения и слуха не обнаруживается сколь значимых нарушений. Симптомы вызываются сдавлением позвоночной артерии, что возможно при изменении высоты межпозвонковых дисков и спондилоартроза, или артроза межпозвонковых суставов. [5]
6. Деформация позвоночника. Боль уменьшается при фиксированной шее, часто при наклоне на бок. Длительное пребывание в таком положении изменяет форму шеи, вызывает формирование или усиление кифоза (искривление позвоночника в форме горба). Кстати, тот самый нарост, который многие именуют «скоплением жира», может быть симптомом нестабильности. [5]
7. Нарушение сна. Развивается при хронизации боли. Постоянное ощущение дискомфорта, невозможность найти удобную позу для сна, вынужденная поза при выполнении повседневной нагрузки — всё это способствует невротизации, и, как следствие, развивается нарушение сна. [2] [3] [4]
Патогенез нестабильности шейного отдела позвоночника
Вопросом изучения патогенеза нестабильности сегментов шейного отдела позвоночника занимался Krismer и его ученики. [1] Опытным путём они доказали, что волокна фиброзного кольца межпозвонкового диска ограничивают ротацию позвонков даже сильнее, чем межпозвонковые и фасеточные суставы. Они также перечислили различные определения нестабильности, описали её, как состоящую из следующих механических аномалий:
- избыточное поступательное движение в дорсолатеральном направлении, что является результатом разрушения диска и нарушения его структуры;
- патологические синкинезии (или сдвоенное движение), которые развиваются как следующий этап при невозможности выполнения диском своей стабилизирующей функции и переноса центра тяжести на соседние позвонки + диски + связки;
- увеличение нейтральной зоны, что является результатом предыдущего этапа. Любое движение патологично и затрагивает многие позвонки.
- патологический центр ротации (движения вокруг продольной оси). В ситуации постепенного разрушения диска, что наблюдается при протрузиях и грыжах дисков, межпозвонковые суставы берут на себя функцию ограничения ротации. Для этих суставов такая функция является чрезмерной, и в них развивается артроз. Именно таким путём прогрессирует дегенеративная (или дискогенная) нестабильность. Итогом становится развитие спондилоартроза (дегенеративного заболевания межпозвоночных суставов).

Вопросы развития других видов нестабильности в настоящий момент являются дискутабельными. Хотя, рассматривая патогенез послеоперационной нестабильности, многие авторы сходятся во мнении, что сама операция является фактором, усиливающим нестабильность. Ведь сложно представить ситуацию, когда потребовалось удалить здоровый диск.
Классификация и стадии развития нестабильности шейного отдела позвоночника
- Посттравматическая нестабильность. Самый часто встречающийся вид, диагностируется в любой возрастной категории. Бывает следствием родов, когда оказывается акушерское пособие (например, выдавливание ребёнка при слабости родовой деятельности или нарушении расхождения лонного сочленения и/или крестцово-подвздошных сочленений). В такой ситуации нестабильность может сформироваться у матери и у ребёнка, но в разных отделах: у ребенка — в шейном, у матери — в пояснично-крестцовом. Также посттравматическая нестабильность является следствием переломов и вывихов шейных позвонков, например после ДТП или при занятиях спортом, в основном профессиональным. [3][4][5]
- Дегенеративная (или дискогенная) нестабильность. О ней подробно мы говорили в разделе «патогенез». Следует также отметить, что первым признаком такого вида является боль. Она вызвана давлением диска на заднюю продольную связку. Давление диска, в свою очередь, является результатом разрушения и нарушения питания диска ввиду постоянной его перегрузки. [1][5]
- Послеоперационная нестабильность. При выполнении оперативного вмешательства на позвоночнике часто приходится резецировать или удалять фасетки. Это требуется технически. Впоследствии нагрузка на позвонки и межпозвонковые суставы увеличивается в разы, что может потребовать дополнительной операции. [1][3][5]
- Диспластическая нестабильность. Развивается ввиду нарушения внутриутробного развития позвоночника и его структур, например врождённая асимметрия межпозвонковых суставов, конкресценция позвонков (т.е. сращение), недоразвитие хряща и др. Клинически и рентгенологически эти аномалии будут проявляться в виде выраженной нестабильности. [5]
- Сочетанный вид нестабильности, характеризующийся сочетанием различных видов. [1][3][5]
Различают три стадии нестабильности: [1]
- Первая стадия. Развивается в возрасте 2-20 лет. На этой стадии может беспокоить острая боль, локализующаяся около позвоночника, или корешковая боль. Рентгенологически часто не выявляется.
- Вторая стадия. Развивается в возрасте 20-60 лет. На этой стадии беспокоит частая рецидивирующая боль, возникающая в межпозвонковых суставах и/или связках. Рентгенологически, наряду с признаками нестабильности, определяются спондилоартроз различной степени и уменьшение высоты дисков.
- Третья стадия. Развивается после 60-ти лет. На этой стадии подвижность межпозвонковых суставов значительно уменьшается, что способствует стабилизации позвоночника. Это вызывает уменьшение частоты и интенсивности болевого синдрома. Следует помнить, что болевой синдром может быть достаточно интенсивным при развитии реактивных системных заболеваний.
Осложнения нестабильности шейного отдела позвоночника
Самыми частыми осложнениями являются сдавление позвоночной артерии (или синдром позвоночной артерии) и интенсивный болевой синдром.
Синдром позвоночной артерии развивается в двух ситуациях:
- когда артерия сдавливается в межпозвонковых пространствах остеофитами при развитии спондилоартроза;
- на экстравертебральном уровне нижней косой мышцей.
Сдавление артерии чревато развитием общемозговой и вестибулярной симптоматики в виде головной боли, головокружения и шумовых эффектов. При остром сдавлении, как правило, развивается острый приступ в виде выраженного головокружения с тошнотой и рвотой, нарушение вестибулярной функции. При длительном сдавлении развивается хроническое нарушение мозгового и спинального кровообращения. [4]
Интенсивный болевой синдром встречается достаточно часто (либо в ситуации отсутствия лечения, либо невыполнения рекомендаций доктора по ограничению физических нагрузок). Нарастание мышечного тонуса, постоянный недостаток питательных веществе в силу нарушения кровообращения способствуют также хронизации боли. [1] [2] [5]
Расстройство двигательной функции и чувствительности развивается при сдавлении мышц и нервов, залегающих в межмышечных пространствах. Характеризуется ограничением функции мышц и онемением в зоне иннервации нервов. [1] [3] [4] [5]
К самым серьезным осложнениям нестабильности относят стеноз позвоночного канала и компрессию спинного мозга. [1] [4] [5]

Оба расстройства опасны нарушением кровообращения, признаком которого является поражение проводящих нервных волокон, что клинически проявляется парезом (параличом) верхних и нижних конечностей, нарушением функции органов малого таза и кожной чувствительности.
Справедливости ради стоит отметить, что подобные осложнения при современном уровне диагностики и лечения возникают крайне редко.
Диагностика нестабильности шейного отдела позвоночника
Сбор жалоб и анамнеза заболевания является неотъемлемым этапом обследования пациента. При этом врач обращает внимание на характеристики и описания болевого синдрома, его локализацию, сопутствующие симптомы, такие как головная боль, головокружение, шаткость при ходьбе и др.
Неврологический осмотр. При осмотре врач-невролог определяет болезненность паравертебральных точек в шейном отделе позвоночника, напряжение и болезненность мышц, зоны отражённой и иррадиирующей боли, нарушения чувствительности, объём движений мышц и суставов, объём движений в шейном отделе позвоночника.
Рентгенографическое исследование. В стандартных проекциях признаки нестабильности обнаруживаются редко. Обязательным является выполнение функциональных рентгенологических исследований. Это самая важная методика, которой в последнее время, к сожалению, пренебрегают. При выполнении определяется переднезаднее смещение тела одного позвонка относительно другого позвонка. Общепринятой толщиной этого размера является 4 мм. Одной из возможных причин, по которой методику всё чаще игнорируют, является тот факт, что не обнаруживается корреляции между выраженностью симптомов и размерами смещения.
Компьютерная томография применяется для исследования всего шейного отдела или одного позвонка. На КТ шейного отдела можно определить ширину позвоночного канала, степень спондилоартроза.
Магнитно-резонансная томография применяется для исследования всего шейного отдела, особенно тщательно позволяет рассмотреть межпозвонковые диски.
Лечение нестабильности шейного отдела позвоночника
При наличии нестабильности лечение должно быть комплексным. Огромную роль играет профилактика.
Лечение строится из нескольких этапов.
Медикаментозное лечение:
- нестероидные противовоспалительные препараты имеют своей целью купировать воспаление, уменьшить и излечить боль;
- миорелаксанты позволяют уменьшить мышечный спазм и тонус, способствуют уменьшению сдавления нервных корешков;
- витамины группы В питают нервную ткань, восстанавливая и защищая её;
- витамины группы Д и препараты кальция назначаются пациентам с остеопорозом.
Физиотерапевтическое лечение. [1] [2] [5]
Является эффективным средством лечения боли, купирования воспаления, восстановления нервной и мышечной ткани. Также физиотерапевтическое лечение позволяет доставить в очаг лекарственное вещество посредством электрического тока. При физиотерапевтическом лечении применяют:
- методики, купирующие воспаление: электрофорез, магнитотерапия, УВЧ-терапия;
- методики, способствующие регенерации тканей: лазеротерапия, грязелечение.
Новокаиновая блокада [1] [2]
Является способом купирования острой боли за счёт доставки лекарственного вещества непосредственно к её очагу. Проводится врачом-неврологом в медицинском учреждении (не на дому!) после специального курса обучения. Лекарственным веществом может выступать раствор Новокаина 0,5% или раствора Лидокаина 2%. Также можно добавить растворы витаминов или гормонов. Состав вводимого вещества подбирает доктор в соответствии с клиническими показаниями в отсутствии противопоказаний к вводимым препаратам. Следует учесть, что врач-невролог не должен вводить вещество в межпозвонковые суставы, эту процедуру могут проводить только врачи-нейрохирурги.

Иммобилизация позвоночника. [2] [3] [5]
Является одним из первых средств помощи при обострении. Осуществляется специальным воротником, ограничивающим подвижность. Назначается только врачом, подбирается строго индивидуально по размерам шеи. Рекомендовано подбор проводить в специализированных ортопедических салонах. Режим ношения воротника также рекомендуется в зависимости от причины, вызвавшей обострение.

Мануальная терапия. [3] [5]
Является средством мобилизации позвонков. Запрещено выполнять в острый период травмы. Выполняется мануальным терапевтом по рекомендации невролога после осмотра.
Лечебная гимнастика. [3]
Является одним из самых эффективных средств профилактики и лечения. Курс разрабатывается для пациента в зависимости от причины, вызвавшей нестабильность, а также состояния позвоночника. Цель гимнастики — это укрепления мышечной ткани (связок и мышц). Если гимнастика проводится после травмы или оперативного вмешательства, то проводится только под контролем врача-невролога или инструктора-методиста в кабинете ЛФК. После обучения курс проводится дома самостоятельно.
Рефлексотерапия, в частности акупунктура.
Является средством купирования боли, восстановления мышечной и нервной ткани, лечения сопутствующих симптомов: улучшение кровообращения, улучшение сна. Выполняется только врачом-рефлексотерапевтом при помощи специальных игл.
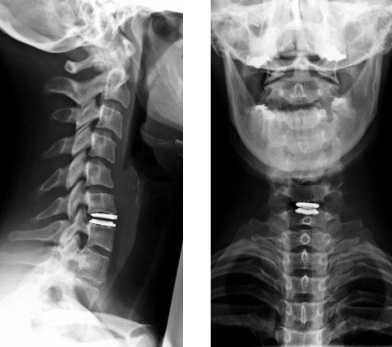
Хирургическое лечение. [1] [5]
Является редкой практикой. Выполняется в детском возрасте в случае доказанных аномалий строения. Во взрослой практике чаще выполняется операция «спондилодез». Она заключается в имплантации конструкции из металлических пластин и фиксирующих элементов. Её задача — препятствовать избыточной подвижности позвоночника. Операция применяется после травм, дискотомий и ламинэктомий. Последние две проводятся при грыжах позвоночника.
Читайте также:
