КТ, МРТ при воспалении околоушной железы
Добавил пользователь Дмитрий К. Обновлено: 22.11.2025
Слюна - один из важнейших компонентов процесса пищеварения - вырабатывается специальными железами. Какие заболевания характерны для слюнных желёз? Как в их диагностике может помочь УЗИ? Как проводят эту процедуру?
На эти и другие вопросы отвечает врач ультразвуковой диагностики «Клиника Эксперт» Смоленск Юлия Васильевна Сафронова.
— Среди желёз внешней секреции особое место занимают железы, вырабатывающие слюну - одну из важных биологических жидкостей организма. Юлия Васильевна, расскажите, сколько слюнных желёз в организме человека и где они расположены?
— В нашем организме три пары крупных слюнных желёз: околоушные, подчелюстные и подъязычные. Околоушные расположены за нижней челюстью, на уровне мочки уха. Подчелюстные слюнные железы лежат среди мышц дна полости рта, а подъязычные - в толще мышечной ткани под языком. Кроме того, в тканях губ, щёк, нёба есть множество мелких слюнных желёз. Все они выделяют слюну, необходимую человеку для нормального процесса пищеварения.
— Какими заболеваниями могут поражаться слюнные железы?
— Например, воспалительными - это острые и хронические сиалодениты, абсцессы, флегмоны. Слюнные железы могут поражаться опухолевыми (доброкачественными и злокачественными) и аутоиммунными процессами. Так как у этих желёз есть выводные протоки, может развиться сиалолитиаз (камни в слюнных железах). Кроме того, у детей иногда наблюдаются врождённые аномалии развития желёз, их протоков, либо полное отсутствие железы (или желёз).
— С помощью каких диагностических методов можно исследовать слюнные железы?
— Околоушные и подчелюстные слюнные железы оцениваются с помощью ультразвукового исследования, магнитно-резонансной и компьютерной томографии. Подъязычные железы не визуализируются при УЗИ, поэтому их исследуют с помощью КТ, МРТ или рентгена с контрастированием. Существуют также методы радиоизотопной диагностики слюнных желёз, но они не получили широкого распространения из-за своей токсичности.
Очаговые поражения мелких слюнных желёз чаще выявляются при стоматологическом осмотре.
— Давайте подробнее поговорим об ультразвуковом исследовании. Что показывает УЗИ слюнных желёз?
— При ультразвуковом исследовании мы оцениваем структуру слюнных желёз, их размеры. Также мы видим кровоснабжение железы, состояние её протоков. УЗИ помогает обнаружить воспаление, камни, новообразования в слюнных железах.
— Кому и в каких случаях назначают это исследование?
— Ультразвуковая диагностика - это, как правило, первый этап исследования слюнных желёз. На УЗИ слюнных желёз направляют стоматологи, терапевты или ЛОР-врачи при жалобах пациентов на боли в подчелюстной или околоушной области, на затруднение глотания, при усиленном или ослабленном слюноотделении, наличии уплотнений в местах проекции слюнных желёз. Иногда пациенты обращаются самостоятельно.
Хочу подчеркнуть, что УЗИ - это своеобразный скрининговый метод исследования слюнных желёз. Для более точной диагностики иногда приходится направлять пациентов на компьютерную или магнитно-резонансную томографию.
— Юлия Васильевна, расскажите, пожалуйста, как делают УЗИ слюнных желёз
— В классическом варианте пациент ложится спиной на кушетку, под шею подкладывается валик. Пациент поднимает высоко подбородок. Доктор наносит на исследуемую область специальный гель и с помощью линейного датчика осматривает подчелюстную, околоушную область, где расположены слюнные железы и прилежащие к ним лимфатические узлы. Процедура проводится с двух сторон. В ходе исследования фиксируются размеры желёз, состояние их структуры, проходимость протоков. Все эти данные фиксируются в заключении, которое пациент получает по окончании исследования. Вся процедура в среднем занимает до 15 минут.
— Существуют ли возрастные ограничения для этого метода исследования?
— Нет, так как УЗИ - это безопасный метод. Поэтому УЗИ слюнных желёз можно делать как грудничку, так и человеку преклонного возраста.
— А есть ли противопоказания к проведению УЗИ слюнных желёз?
— Абсолютных противопоказаний нет. Мы не проводим процедуру в том случае, если в зоне исследования есть гнойничковые поражения кожи или открытые раны.
Беседовала Севиля Ибраимова
Записаться на УЗИ слюнных желёз можно здесь
ВНИМАНИЕ: услуга доступна не во всех городах
Редакция рекомендует:
Для справки:
Сафронова Юлия Васильевна
В 2006 г. закончила Смоленскую государственную медицинскую академию
2006-2007 гг. - клиническая интернатура по терапии
В 2009 г. получила сертификат по ультразвуковой диагностике и малоинвазивным технологиям под ультразвуковым контролем
В 2013 г. защитила кандидатскую диссертацию по терапии
В настоящее время - врач ультразвуковой диагностики в «Клиника Эксперт» Смоленск
Другие статьи по теме
В каких случаях показано УЗИ лимфоузлов? Как проводят это исследование? Существуют ли. УЗИ лимфоузлов: для чего выполняется это исследование?
Печень — один из важнейших органов, что отмечали ещё древние греки. Шекспир. УЗИ печени и желчного пузыря: когда бывает нужно его сделать?
Диагностика и лечение сосудистых патологий, в частности, атеросклероза - вопросы, актуальные во. Дуплексное сканирование брахиоцефальных артерий: зачем оно нужно?
КТ, МРТ при воспалении околоушной железы
Для выявления болезней слюнных желез (сиалоаденит, синдром Шегрена, закупорка протоков камнями) применяются лучевые методы - КТ, МРТ, УЗИ. Специфичность компьютерной томографии при нозологических формах около 100%, достоверность - 98%. Показатели высокие для достоверной верификации патологии околоушных, подчелюстных желез. Ограничивает повсеместное применение метода радиационное облучение. Разовая обследование не приносит вреда, но не рекомендуется делать сканирование часто (за исключением верификации новообразований).
МР-томография хорошо дифференцирует изменения железистых структур. Стоимость оборудования и техническое обслуживание высокое. Установлены аппараты в крупных мегалополисах, что снижает доступность исследования для населения.

КТ-сиалография применяется при остром и хроническом течении слюннокаменной болезни, сиалоаденита, паротита, паротите Шегрена. Способ позволяет правильно поставить диагноз, выявить локализацию, распространенность, стадию патологического процесса.
Синдром Шегрена проявляется поражением тканей организма компонентами собственной иммунной системы (антитела). Вначале воспалительный процесс по клинике подобен паротиту. Заподозрить запущенный процесс позволяет появление псевдолимфом, лимфоаденопатия, являющиеся маркерами для назначения гормонального лечения. Терапия снижает скорость прогрессирования.
Показания к КТ сиалографии
Назначается КТ ротовой полости, пазух, слюнных желез только при невозможности получения диагностической информации другими нерадиационными методами.
Показания к КТ-сиалографии:
- Увеличение подчелюстной, околоушной области;
- Онемение лица при жевании;
- Частые гнойные ангины;
- Подозрение на рак слюнной железы;
- Аномалии лицевого скелета.
Ранняя диагностика опухоли повышает выживаемость пациентов. Своевременная верификация новообразования позволяет хирургам провести радикальное иссечение образования с высокими шансами на полное излечение.
КТ-признаки слюннокаменной болезни
Отечность, увеличение околоушной и поднижнечелюстной областей, не проходящие после приема фармацевтических препаратов - показание к лучевой диагностике. Симптомы обуславливает не только сиалоаденит. Слюннокаменная закупорка (сиалолитиаз) определяется после КТ-сиалографии по следующим признакам:
- Увеличение размеров поврежденного органа;
- Сохранение однородности структуры;
- Расширение протока.
Дополнительно врач лучевой диагностики укажет плотность ткани. Признак является дифференциальным маркером определения эффективности проводимой терапии с целью отслеживания динамики на повторных томограммах.
Повышается информативность применением дигитальной субтракционной сиалографии - контрастирование (введение йодсодержащего препарата) протоков с последующей рентгенографией в двух проекциях. Обследование в российской медицине не распространено. Применяется научными институтами, но европейские специалисты активно используют возможности анализа в клинических целях.
Тонкосрезовая СКТ головы и слюнных желез с трехмерным моделированием (3D) создает пространственную структуру, с помощью которой врачи устанавливают внутрипротоковое расположение камня.
Применение обследования помогает обнаружить аденокарциному слюнной железы - злокачественную опухоль, склонную к быстрому прогрессированию, прорастанию близлежащих тканей. Онкология чаще обнаруживается случайно, так как не имеет специфических внешних признаков.
КТ-проявления болезни Шегрена
Аутоиммунное поражение железистой ткани сопровождается симметричным изменением органов (с обеих сторон). Использование КТ-сиалографии позволяет выявить специфические проявления нозологии:

- Зернистость поднижнечелюстной и околоушной железистой ткани;
- Снижение плотности;
- Шейная лимфаденопатия;
- Псевдолимфомы;
- Уменьшение размеров слюнных желез.
К аутоиммунному поражению может присоединяться бактериальная или грибковая инфекция околоушно-жевательной области. Томограммы показывают аналогичные нарушения жевательной мышцы, крыловидного пространства, поднижнечелюстной полости.
Сиалография при раке
Отечность, онемение жевательной мышцы при открывании рта, боль челюсти во время жевания пищи могут появляться при раке. Процент встречаемости доброкачественных железистых образований выше, чем злокачественных аналогов.
Компьютерная сиалография с 3D-реконструкцией позволяет изучить образование в пространственном представлении. Диагностическая информация важна специалистам для определения, сколько живут люди с опухолями слюнной железы. Чем крупнее злокачественное образование, тем выше вероятность летального исхода в ближайшие 5-10 лет. Только ранняя верификация и грамотное хирургическое иссечение опухолевого узла навсегда избавляет от смертельной опасности.
Как проходит компьютерная томография слюнных желез
Длительность сканирования не превышает 30 минут. На высокопольных аппаратах (с высоким магнитным полем) процедура занимает 5-10 минут. Если планируется введение контраста, за 4 часа до исследования исключается употребление пищи и прием жидкости.
Во время КТ пазух носа, головного мозга пациент лежит на столе неподвижно. Все остальные манипуляции выполняет оборудование - продвигается в диагностический тоннель, делает томограммы через нужное количество миллиметров.
Описание врач лучевой диагностики формирует примерно через 1 час после анализа серии снимков. При желании записать томограммы можно на оптический диск для предоставления лечащему врачу или анализа другим независимым специалистом.
Звоните нам по телефону 8 (812) 241-10-46 с 7:00 до 00:00 или оставьте заявку на сайте в любое удобное время
МРТ слюнных желез что показывает
МРТ слюнных желез — неинвазивный метод визуализации мягких тканей ротовой полости, в частности органов, вырабатывающих слюну. Позволяет оценить характер работы желез, степень сохранности секреторной активности, присутствие инородных тел и опухолей. В деле раннего выявления патологий указанного участка МРТ слюнных желез находится вне конкуренции: это единственная безопасная методика, обладающая достаточной информативностью.

В каких ситуациях прибегают к МРТ слюнных желез?
- Воспалительные процессы в ротовой полости и области секретирующих органов. В том числе гнойного характера.
- Врожденные и приобретенные дефекты развития желез.
- Боли в процессе пережевывания пищи вне связи с зубами и деснами.
- Ксеростомия. Недостаточный объем вырабатываемой слюны.
- Гиперсаливация. Обратный процесс: избыток выработки слюнной жидкости.
- Боли во время открывании рта.
- Специфические фиброзные изменения. Требуют проведения МРТ околоушной слюнной железы и иных структур.
Какие патологии можно выявить посредством МРТ слюнных желез?
- Ксеростомия.
- Ангина. В некоторых случаях как инцидентальная находка в процессе проведения МРТ околоушной слюнной железы.
- Опухоли и иные неопластические процессы в области секретирующих органов. Как злокачественные, так и доброкачественные.
- Конкременты в протоках слюнной железы (саливолиты).
- Воспаление.
- Фиброз секретирующих органов.
МРТ слюнных желез с контрастом
МРТ с контрастом дает возможность на ранних стадиях выявить опухолевые образования в структуре слюнных желез, определить их размеры, локализацию, форму, строение, степень васкуляризации (кровоснабжения). Это требуется, в том числе, перед проведением хирургического лечения для определения объемов вмешательства и стратегии терапии, биопсией. На основании данных МРТ с контрастом можно сделать предварительный вывод о злокачественности или доброкачественности новообразования.

Перечень противопоказаний к проведению МРТ слюнных желез
- Боязнь замкнутого пространства. При использовании высокопольных томографов с широким тоннелем такая проблема не возникает.
- Присутствие металлических протезов и имплантатов в организме обследуемого: коронок и т.д.
- Наличие кардиостимулятора, инсулиновой помпы.
- Беременность в начальной стадии (1 триместр).
- Избыточная масса тела, свыше 120 кг. Вопрос о целесообразности и возможности исследования решается в индивидуальном порядке.
В каких случаях нельзя провести МРТ слюнных желез с контрастом?
- Наличие аллергической реакции на препараты гадолиния.
- Бронхиальная астма в тяжелой декомпенсированной форме.
- Почечная недостаточность в анамнезе. Возможна интоксикация организма из-за медленного выведения контрастирующего вещества.
Как подготовиться к процедуре?
Специальной подготовки не требуется. До начала исследования нужно снять с себя металлические предметы: часы, украшения. Отложить банковские карты и мелкие деньги.

Результаты
Описание и расшифровка результатов занимает от 20 до 30 минут. По окончании врач-диагност отдает пациенту протокол исследования и снимки в печатном или цифровом виде.
МРТ слюнных желез: когда необходима?
Слюнные железы важны для процесса пищеварения. Но пока они работают нормально, люди редко задумываются об их здоровье. Когда нужна МРТ слюнных желез, рассказала врач-рентгенолог «Клиники Эксперт» Новосибирск Екатерина Валерьевна Романец.
- Екатерина Валерьевна, что показывает МРТ слюнных желез? Какие болезни выявляют с помощью этого исследования?
- Слюнные железы - важный орган, играющий значительную роль в функционировании пищеварительной системы. Магнитно-резонансная томография показывает их строение, нарушения в структуре железистой ткани, а также состояние окружающих тканей, позволяет обнаружить патологические процессы (например, воспаление, конкременты в протоках железы, опухолевые образования). Чаще всего прицельное исследование слюнных желез требуется в двух направлениях - стоматология и онкология (в том числе для исключения онкопатологии). Стоматологи могут назначить дополнительную диагностику при наличии признаков воспаления в ротовой полости, не связанных с состоянием зубов и дёсен.
Чаще всего прицельное исследование
слюнных желез требуется в двух направлениях -
стоматология и онкология
(в том числе для исключения онкопатологии)
- При каких си мптома х назначают МРТ слюнных желез?
- Исследование может потребоваться при следующих симптомах:
- сухость во рту или обильное слюноотделение;
- боли при глотании и пережёвывании пищи вне связи с зубами и дёснами;
- припухлость в подчелюстной и околоушной области;
- объёмные образования в области расположения железы.
- Что такое аденома слюнной железы?
- Так называется доброкачественное образование в структуре железы. Аденома может возникать в больших и малых железах. Наиболее часто поражаются околоушные слюнные железы. Точные причины возникновения образований, в частности аденомы, на сегодня полностью не изучены. Основными теориями развития заболевания являются вирусное поражение, воспалительные изменения, травмы железы, вредные привычки (алкоголь и курение), несбалансированное питание. Аденома характеризуется медленным ростом и на начальных этапах может никак не проявлять себя.
Основными жалобами, при которых врач может заподозрить у пациента наличие аденомы слюнной железы, являются дискомфорт и неприятные ощущения в области железы, нарушение слюноотделения, болезненность в местах расположения крупных желез. Аденома слюнной железы хорошо видна на МРТ.
- Как правило, за одно обследование проверяют все слюнные железы или только группу?
- Слюнные железы делятся на две группы: большие и малые. Малые расположены в слизистой оболочке полости рта и плохо визуализируются. Большие включают три парных железы. Обычно за один сеанс МРТ проводят осмотр всей группы: околоушных, подъязычных и подчелюстных слюнных желез. Они хорошо видны. Более того, при других МРТ-исследованиях в области головы (например, МРТ головного мозга) эти железы тоже попадают в поле зрения врача, хотя их не осматривают детально. Однако врач может заметить признаки патологии, в этих случаях нередко требуется дообследование.
- Что информативнее: УЗИ, КТ или МРТ слюнных желез?
- Сейчас по информативности на первом месте стоит МРТ, за ним следует КТ. Магнитно-резонансная томография является безопасной, неинвазивной и наиболее информативной методикой обследования. Позволяет оценить размеры и форму, структуру железы, детализировать информацию о протоках, рассмотреть соседние анатомические структуры.
КТ, МРТ, УЗИ - что, где и когда? Читайте нашу статью
- В каких случаях магнитно-резонансная томография слюнных желез проводится с контрастированием?
- Томографию железистой ткани всегда предпочтительно выполнять с контрастированием. МРТ слюнных желез без контраста возможна, но тогда мы лишаемся важной диагностической информации, позволяющей отличать друг от друга схожие патологии. Поэтому МРТ слюнных желез с контрастом - общепринятая практика, а без контраста - исключение для тех, кому противопоказано введение контрастного вещества.
Подробнее об МРТ с контрастом можно узнать здесь
- Как долго длится МРТ слюнных желез?
- В зависимости от сложности ситуации и индивидуальных особенностей пациента оно может проходить от 15 до 30 минут.
- Есть ли какие-либо особенности подготовки именно к МРТ слюнных желез?
- Нет, какой-либо специфической подготовки от желающего сделать МРТ слюнных желез не требуется.
Беседовала Дарья Ушкова
Редакция рекомендует:
Для справки:
Романец Екатерина Валерьевна
В 2011 году окончила Новосибирский государственный медицинский университет, факультет «Лечебное дело».
В 2011-2013 годах прошла ординатуру по специальности «Фтизиатрия», в 2014 году - первичную переподготовку по специальности «Рентгенология».
С октября 2014 года работает врачом-рентгенологом в «Клиника Эксперт» Новосибирск.
Что может послужить поводом для МРТ простаты и как подготовиться к этой. О чём расскажет МРТ простаты?
За что в организме человека отвечает поджелудочная железа? Как в диагностике её. МРТ поджелудочной железы: когда она необходима?
Надпочечники — это «фабрика» по производству гормонов. Нарушения в работе надпочечников могут. МРТ надпочечников: кому может понадобиться такая диагностика?
Аденома слюнной железы - симптомы и лечение
Что такое аденома слюнной железы? Причины возникновения, диагностику и методы лечения разберем в статье доктора Куфтарева Виталия Александровича, стоматолога со стажем в 10 лет.
Над статьей доктора Куфтарева Виталия Александровича работали литературный редактор Елизавета Цыганок , научный редактор Пётр Козлов и шеф-редактор Маргарита Тихонова

Определение болезни. Причины заболевания
Аденома слюнной железы (Salivary gland tumor) — это доброкачественная опухоль, которая развивается из эпителия выводных протоков больших и малых слюнных желёз.

Аденома постепенно увеличивается, и появляется безболезненная припухлость, из-за чего лицо становится асимметричным.
Исследователи склоняются к трём главным факторам риска появления аденомы слюнной железы:
- воздействие вредных веществ — радиация, работа на вредном производстве, например связанном с изготовлением резины и добычей асбеста, облучение при лечении рака головы и шеи [9][11] );
- влияние вирусов — вируса герпеса, Эпштейна — Барра;
- генетический фактор.
К факторам риска также косвенно относится воспаление слюнной железы, но явные причины аденомы медицине пока неизвестны.
Плеоморфная аденома слюнной железы
Опухоли слюнных желёз встречаются редко и в большинстве случаев они доброкачественные [9] . Чаще других доброкачественных опухолей развивается плеоморфная аденома (смешанная опухоль): в 70 - 80 % случаев, т. е. 2-3,5 случаях болезней слюнных желёз на 100 тыс. населения в год [6] [10] . Она может возникнуть в любом возрасте, но обычно развивается у людей от 20 до 49 лет. Мужчины и женщины болеют плеоморфной аденомой в соотношении 1,0:1,6 [1] [11] . Как правило, она развивается в околоушных, поднижнечелюстных и подъязычных железах. Часто поражает твёрдое и мягкое нёбо.
![Плеоморфная аденома [12]](https://probolezny.ru/media/bolezny/adenoma-slyunnoj-zhelezy/pleomorfnaya-adenoma-12_s.jpg)
При обнаружении схожих симптомов проконсультируйтесь у врача. Не занимайтесь самолечением - это опасно для вашего здоровья!
Симптомы аденомы слюнной железы
Часто протекает бессимптомно и медленно. Возникает в любых слюнных железах, но чаще поражает околоушные, чуть реже поднижнечелюстные и малые железы [2] .

В период быстрого роста опухоль за несколько месяцев увеличивается в 2-3 раза, из-за чего появляется припухлость, которая изменяет конфигурацию лица или шеи — это первый признак, на который обращают внимание. На ощупь она плотная и безболезненная, легко смещается.
Если опухоль достигает значительных размеров, слюнная железа не может работать как прежде, окружающие ткани отекают и воспаляются, из-за чего появляется боль. Когда проток слюнной железы полностью перекрывается, слюноотделение снижается, в связи с чем возникает сухость во рту.
Крупная аденома может сдавить кровеносные сосуды и нервы. В таком случае кожа начинает неметь и покалывать, иногда появляется чувство жжения или ползающих мурашек. Также возможен паралич некоторых мимических мышц. Если опухоль деформировала глотку, пациенту становится сложно глотать еду [2] [3] .
Патогенез аденомы слюнной железы
Под воздействием внешних и внутренних факторов риска клетки протоков слюнных желёз начинают быстрее расти и делиться. Как правило, они окружены от окружающих тканей капсулой, поэтому не поражают соседние здоровые клетки, как это происходит при развитии злокачественной опухоли. В результате скопления клеток образуется аденома.
Медленный рост может сменяться бурным развитием. Выросшая опухоль сдавливает окружающие ткани, нарушая тем самым их обмен веществ. Обычно имеет дольчатое строение [1] .
Классификация и стадии развития аденомы слюнной железы
Аденома слюнных желез делится на 12 видов:
- Плеоморфная аденома (или смешанная опухоль) — опухолевый узел круглой или овальной формы, который находится в капсуле и чётко отграничен от ткани слюнной железы. Толщина капсулы может меняться. На разрезе ткань белесоватая и блестящая, иногда с хрящевыми образованиями. Если рассмотреть опухоль под микроскопом, можно увидеть многообразие клеточных элементов, поэтому её назвали смешанной. Некоторые клетки могут оттесняться к капсуле, а на их месте образуются щели, заполненные жидкостью или коллагеновыми волокнами. Когда опухоль достигает больших размеров, обменный процесс в ткани может нарушиться, что приводит к кровоизлиянию и появлению очагов некроза. Изначально это доброкачественная разновидность аденомы, но она может стать злокачественной. Обычно это происходит через 15-20 лет от появления аденомы. После удаления возможен рецидив [1][2][7][8] .
- Аденолимфома (Уортина опухоль) — состоит из железистых структур и лимфатических клеток, оформленных клетками эпителия. Внешне опухоль бывает круглой и овальной формы с кистозными образованиями внутри (или просто пустотами). Такая аденома может содержать как много маленьких образований, похожих на ячейки, так и 3-4 крупные кисты, заполненные прозрачной или слизистой жидкостью. Кисты чередуются с плотными участками разного цвета (от белесовато-серого до бурого). Опухоль окружена очень тонкой эластичной оболочкой, шероховатой на ощупь. При прощупывании можно почувствовать, как содержимое опухоли движется под оболочкой. Иногда несколько опухолевых узлов объединяются под общей капсулой. Аденолимфома может быть инфарктной или инфицированной. Это случается, когда часть ткани внутри опухоли отмирает. Существует теория, что такая аденома зарождается в лимфатической ткани, которая постепенно врастает в ткань слюнной железы. Аденолимфома крайне редко рецидивирует и озлокачествляется, поэтому хирургическое лечение показывает хорошие результаты [1][2][4][7] .
- Онкоцитома — состоит из крупных эпителиальных клеток с большим количеством цитоплазмы. Встречается в основном у пожилых людей [1] . Имеет сферическую или овальную форму с гладкой поверхностью, но иногда бывает дольчатой или узловой. Размер варьируется от 1 до 5 см. Онкоцитома развивается под тонкой капсулой или без неё. Внутри есть мелкие кистозные включения с мутной жидкостью, но нет кровеносных сосудов. Опухоль проникает в окружающие ткани и органы, что сближает её со злокачественными образованиями. При этом её клетки устойчивы к рентгеновскому излучению, поэтому лучевая терапия в этом случае бесполезна. Однако грамотно проведённая операция с полным удалением опухолевой ткани поставит точку в лечении, так как онкоцитома редко рецидивирует [1][4][7] .
- Базальноклеточная аденома — делится на три типа: тубулярный, трабекулярный и мембранозный. Очень редкая опухоль, которая встречается в 1-3 % случаев аденом слюнных желёз. Чаще болеют люди старше 60 лет, при этом у женщин встречается в 2 раза чаще, чем у мужчин [1] . Опухоль поражает в основном крупные железы, особенно околоушную слюнную железу. На ощупь это твёрдый смещаемый узел. При разрезе имеет чёткую однородную структуру серого или коричневого цвета. Состоит из клеток, похожих на базальные клетки, из которых появляется весь эпителий кожи (его повреждение ведёт к появлению рубцов и шрамов). В отличие от здоровой ткани в этом случае из-за своего нетипичного расположения клетки образуют тяжи, трубки или тонкие мембраны. В одной опухоли могут сочетаться сразу несколько типов строения. В редких случаях аденома может стать злокачественной, при этом рецидивирует только мембранозный тип опухоли, но довольно часто (в 25 % случаев) [1] .
- Каналикулярная аденома — состоит из призматических эпителиальных клеток, которые соединяются между собой, образуя пучки, похожие на бусины. Встречается у пациентов старше 50 лет, женщины болеют в 2 раза чаще, чем мужчины. Как правило, поражает верхнюю губу или щёку [1] . Часто развивается в виде узла, чётко отграниченного от окружающих тканей (у мелких аденом она отсутствует). Рядом с крупной опухолью иногда можно увидеть мелкие узелки [1] .
- Сальная аденома — чрезвычайно редкая опухоль, составляет 0,1 % от случаев аденом слюнных желёз [1] . Состоит из гнёзд здоровых сальных клеток разных размеров. Представляет собой чётко отграниченную безболезненную опухоль до 3 см в диаметре. Эта аденома редко рецидивирует и становится злокачественной [1] .
- Лимфаденома — подразделяется на сальную и несальную опухоль, которая состоит из лимфоцитов и железистых клеток, ограниченных капсулой. Сальная лимфаденома похожа на сальную аденому, описанную выше, только к сальным клеткам добавляются лимфоидные фолликулы. В несальной лимфаденоме нет сальных клеток. Это плотная опухоль со множеством мелких полостей или одной большой полостью. Всего описано 10 случаев лимфоаденомы. Опухоль практически не озлокачествляется и не рецидивирует [1] .
- Протоковая папиллома — делится на инвертированную (преобразованную) протоковую и внутрипротоковую папиллому. Инвертированная папиллома — это плотное безболезненное образование, которое возникает в малых слюнных железах. Растёт не агрессивно. Состоит из большого количества эпителиальных клеток с протоком в центре, который может открываться на поверхность слизистой оболочки. Капсулы у такой опухоли нет. Внутрипротоковая папиллома обычно находится в крупных слюнных железах и представляет собой одну большую кисту, окружённую капсулой. В обоих случаях опухоль достаточно безобидна и после адекватного хирургического лечения обычно не рецидивирует [1] .
- Папиллярная сиалоаденома — экзотическая опухоль сосочкового или бородавчатого вида. Крепится на ножке или широком основании в виде полусферы. Состоит из множества железистых и эпителиальных клеток, расположенных в виде протоков. У сиалоаденомы нет капсулы, она может агрессивно расти, также часто рецидивирует (в 10-15 % случаев) [1] .
- Цистаденома — редкая доброкачественная опухоль. Представляет собой безболезненное и бесформенное образование. Состоит из одной крупной кисты или множества мелких кист, окружённых дольками слюнной железы и соединительной ткани. Характеризуется доброкачественным течением, медленным ростом и отсутствием рецидивов после удаления, однако описаны редкие случаи озлокачествления опухоли [1] .
- Миоэпителиома — состоит из миоэпителиальных клеток, т. е. клеток, похожих на мышечную ткань. Может состоять из разных клеточных структур, но в одной опухоли обычно находят один вид клеток, комбинации встречаются редко. Если долго не лечить опухоль, она может стать злокачественной. При удалении прогноз для миоэпителиомы благоприятный, рецидивы случаются редко [1] .
- Ацинозно-клеточная опухоль — это промежуточная опухоль между доброкачественной и злокачественной. Она активно прорастает в окружающие ткани, но не даёт метастазов. Её клинические проявления похожи на симптомы остальных аденом. Как правило, диагностировать ацинозно-клеточную опухоль получается только с помощью гистологического обследования. Врач оценивает её злокачественность и решает вопрос о необходимости лучевой терапии [2] .
Осложнения аденомы слюнной железы
Осложнения делятся на две группы:
- нарушения в органах, возникшие из-за опухоли;
- изменения внутри самой опухоли.
Нарушения в органах
Если аденома увеличивается, прорастает в железистую ткань слюнной железы и замещает её, снижается выделение слюны. Это приводит к появлению сухости во рту и нарушению процессов пищеварения, так как слюна — это важный компонент пищеварительной системы: она участвует в первичной обработке углеводов поступающей пищи.
При сдавливании кровеносного сосуда или нерва появляется сбой в передаче нервных импульсов и поступлении полезных веществ к мышцам лица, что приводит к нарушению их работы и болям. Также длительное сдавливание иногда становится причиной воспаления в сосудисто-нервном пучке, из-за чего могут развиться невралгии и невриты, которые сопровождаются сильной болью.
Изменения внутри опухоли
Доброкачественные опухоли в основном состоят из здоровых, но неправильно расположенных клеток организма. При длительном существовании опухоли может появиться нетипичная группа клеток с повреждённой ДНК. Чем больше таких клеток, тем выше риск, что опухоль станет злокачественной. Такой процесс перерождения аденомы называется малигнизацией.
При удалении крупной аденомы есть риск, что в организме останется небольшая часть клеток, из которых может вырасти новая опухоль, т. е. произойдёт рецидив.
Иногда в крупных опухолях появляются очаги погибших клеток — зоны некроза. Это происходит из-за нарушения обмена веществ внутри опухоли. Такой очаг может привести к серьёзному воспалению и осложнить лечение [1] .
Чем раньше опухоль найдут и прооперируют, тем ниже вероятность развития осложнений.
Диагностика аденомы слюнной железы
Первый признак аденомы — припухлость, но обычно она безболезненная, поэтому пациент попадает к врачу гораздо позже, чем нужно. На более поздней стадии к симптомам прибавляются сухость во рту и боли по ходу ветвей нерва.
![Припухлость при аденоме слюнной железы [13]](https://probolezny.ru/media/bolezny/adenoma-slyunnoj-zhelezy/pripuhlost-pri-adenome-slyunnoy-zhelezy-13_s.jpg)
При этом окончательный диагноз ставят только после удаления опухоли с помощью гистологического исследования, которое определяет тип аденомы по строению клеток.
Опрос и физикальный осмотр
Чтобы сформировать целостную картину, врач уточняет у пациента, когда появилась припухлость, как быстро она увеличивалась, какие изменения появились одновременно с ней, что предпринял пациент по поводу аденомы, есть ли хронические болезни и т. д.
После опроса проводится осмотр. Врач оценивает форму и размер образования, состояние слизистой оболочки над ним, анализирует целостность протоков крупных слюнных желёз и размер лимфатических узлов, проверяет, свободно ли открывается рот, есть ли признаки поражения нерва и сухость во рту.
При ощупывании врач определяет консистенцию образования, наличие болезненности, прилегание к окружающим тканям и подвижность опухоли.
Инструментальная диагностика
Далее используют дополнительные методы обследования:
- Цитологический метод — с помощью специальной иглы у пациента берут биологический материал и исследуют под микроскопом. У этого метода много недостатков: результаты зависят от условий взятия пункции и квалификации врача, проводящего исследование. Так как пункцию берут до операции, под обследование может попасть абсолютно любой участок опухоли, поэтому метод может дать неполную картину болезни. Часто проводят под контролем УЗИ.
- УЗИ — определяет точные размеры и положение опухоли, но иногда участки слюнных желёз перекрываются массивными костными образованиями, например ветвью нижней челюсти, и сигнал до них не доходит.
- Сиалография — очень информативный метод, при котором в проток слюнной железы вводят контрастное вещество, после чего делают рентгеновский снимок. Анализируя распространение контрастного вещества по слюнной железе, можно отличить опухоль от неопухолевой патологии, например слюннокаменной болезни, при которой тоже есть припухлость. Если контрастное вещество вытекает за пределы железы, это указывает на опухоль, так как нарушается структура оболочки железы или протока. Также по ряду признаков можно предположить, злокачественная опухоль или доброкачественная (если целостность железы не нарушена).
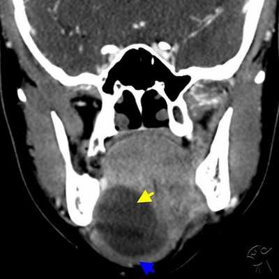
- КТ и МРТ — передают трёхмерное изображение слюнной железы и опухоли, что помогает точно определить её положение и размеры. Также с помощью МРТ можно узнать о строении опухоли, что сделает постановку диагноза более точной [1][2][3][4][5] .
![КТ аденомы слюнной железы [14]](https://probolezny.ru/media/bolezny/adenoma-slyunnoj-zhelezy/kt-adenomy-slyunnoy-zhelezy-14_s.jpg)
Лечение аденомы слюнной железы
Основным и единственным вариантом лечения аденомы слюнных желёз является операция. В большинстве случаев удаление опухоли сопровождается повреждением железы и нарушением её работы, поэтому железу тоже вырезают.
Если опухоль образовалась в малой слюнной железе, то её иссекают в пределах здоровых тканей. Иногда небольшую доброкачественную аденому удаляют в пределах её оболочки, но только если у опухоли есть капсула. Этот вариант операции является более щадящим, однако такой метод не используют при лечении плеоморфной аденомы. Это связано с тем, что такая опухоль может стать злокачественной. Также её капсула имеет неравномерную толщину и местами истончается, что затрудняет работу хирурга.
Послеоперационный период длится примерно неделю, дополнительные методы лечения аденомы (например, химио- или лучевая терапия) не требуются.
Хирургическое лечение слюнных желёз может оказаться довольно сложным, поскольку внутри и вокруг желёз находится несколько важных нервов, например лицевой нерв, который проходит через околоушную железу [9] . С этим связаны возможные послеоперационные осложнения, например парез лицевого нерва.
Прогноз. Профилактика
Прогноз благоприятный. При полном удалении железы вместе с опухолью рецидивы случаются крайне редко. В случае щадящего способа лечения есть вероятность повторного появления опухоли. В таком случае операцию проводят повторно и более радикально.
Профилактика аденомы слюнной железы
Как таковых мер профилактики не существует, однако стоит следовать общим рекомендациям:
Читайте также:
