Меланоз курильщиков. Меланотическое пятно полости рта. Невус полости рта. Сложный невус полости рта.
Добавил пользователь Евгений Кузнецов Обновлено: 13.12.2025
Меланома слизистой оболочки является относительно редким заболеванием и составляет менее 1% всех меланом.

Эти образования обладают гораздо более агрессивным ростом по сравнению с кожными формами, склонны к активному метастазированию в региональные и отдаленные участки, часто рецидивируют, что и обусловливает высокие показатели смертности. Прогноз при меланомах слизистых является неблагоприятным, с пятилетней выживаемостью 10-15%.
Меланомы слизистых оболочек области головы и шеи составляют половину всех меланом слизистых. Преимущественно они локализованы в проекции верхних дыхательных путей, полости рта и глотки. Остальные формы слизистых меланом относятся к урогенитальной сфере. Распределение опухолей по локализации представлено в таблице.
| Локализация меланомы | Распространённость |
|---|---|
| Слизистая головы и шеи | 50% |
| Слизистая ректальной области | 25% |
| Слизистая женской генитальной сферы | 20% |
| Слизистая пищеварительного тракта, конъюнктивы и уретры | 5% |
По мнению учёных, в отличие от других дерматологических раков, меланома слизистых не зависит от воздействия ультрафиолета. Кроме того, для этой разновидности опухолей нет очевидных факторов риска, в том числе зависимости от семейного анамнеза.
Меланома слизистых оболочек поражает следующие органы:
- полости рта и носа;
- придаточные пазухи носа;
- трахею и бронхи;
- губы;
- глотку;
- пищевод;
- желудок;
- кишечник;
- желчный пузырь;
- аноректальную область;
- вульву и влагалище;
- уретру и мочевой пузырь;
- конъюнктиву глаза.
Для удобства меланомы слизистых иногда разделяют на три подгруппы:
- меланомы слизистой оболочки ЖКТ;
- респираторные;
- мочеполовые меланомы.
С учетом тенденции к раннему лимфогенному и гематогенному метастазированию иногда сложно установить, является опухоль слизистой первичной или метастатической. В зависимости от локализации опухоль будет обладать теми или иными особенностями. Так, например, первичные меланомы полости рта, носа, глотки, а также аноректальной и генитальной сфер вначале развиваются в радиальном направлении, увеличиваются по площади, принимая вид пятна; только потом они обретают объем, возвышаясь над поверхностью слизистой, и начинают инфильтрировать подлежащую основу.
Некоторые меланомы слизистых оболочек развиваются из клеток меланоцитов, которые присутствуют в тканевой структуре органа (губы, нос, полость рта, аноректальная область и т.д.). Развитие первичных меланом на слизистой органов, где изначально отсутствуют пигментные клетки (трахея, бронхи), можно объяснить нарушениями тканевого эмбрионального развития.
Симптомы меланомы слизистых оболочек
Симптоматика меланом слизистых существенно различается. Это связано, прежде всего, с локализацией патологического процесса.
Наиболее общие признаки пигментных опухолей слизистых оболочек:
- подозрительное пятно во рту или носовых ходах;
- необъяснимые дефекты слизистых или язвенные повреждения, которые не заживают;
- кровотечение из прямой кишки или влагалища неясной этиологии;
- геморрой, который долгое время не заживает, несмотря на лечение;
- боль в животе во время перистальтики кишечника.
При появлении какого-либо из этих симптомов необходима консультация специалиста. Меланомы слизистых оболочек способны быстро распространяться на соседние и отдаленные органы.
Излюбленной локализацией для метастазов являются:
- легкие;
- печень;
- головной мозг;
- лимфатические узлы;
- кишечник.
Меланома рта
Меланома слизистой рта является редкой опухолью с частотой 0,2 на 1 млн. Оральные меланомы происходят из меланоцитов, обычно присутствующих в полости рта. Эта форма наиболее распространена среди пожилых людей. Развивается она чаще всего на новом месте и только в 30% случаев формируется в месте ранее существовавшего пигментного образования. Меланома во рту наиболее часто локализуется на мягком и твердом нёбе, слизистой десны верхней челюсти, реже - языка, миндалин и язычка. Первоначально опухоль протекает бессимптомно, представляя собой плоское пятно. В процессе развития возникают отёк, изъязвление, кровоточивость, зубная боль.
Меланома рта даёт метастазы в региональные лимфоузлы у 25% пациентов.
Меланома носа
Первичная респираторная меланома наиболее распространена в полости носа, околоносовых пазухах и очень редко в гортани и слизистой трахеобронхиального дерева. Опухоль слизистой носа, в отличие от меланомы кожи носа, является редким заболеванием, его частота составляет 0,3 на 1 млн (для придаточных пазух - 0,2 на 1 млн). Излюбленная локализация меланомы на слизистой носа - перегородка и боковые стенки, а среди околоносовых синусов наиболее часто вовлекаются в процесс пазухи верхней челюсти и решетчатой кости.
Заболевание чаще встречается у пожилых людей. Распространенные симптомы: односторонняя заложенность носа, носовые кровотечения. Большинство опухолей представлено в виде полипоидной, коричневой или черной пигментированной массы, часто изъязвленной, нередко встречаются беспигментные формы.
Меланома губы
Меланома в области губ зачастую развивается из уже существующего пигментного пятна. Опухоли, которые начинают свой рост с неизменённой слизистой, встречаются реже. Поначалу меланома на губе представляет собой пигментное пятно, которое постепенно увеличивается в объеме, становится плотным, а затем инфильтрирует подлежащую основу.
Урогенитальная меланома
Хоть и редко, но меланома может возникать практически в любой части урогенитального тракта, включая вульву, влагалище, матку, уретру и мочевой пузырь. Пигментные опухоли слизистых оболочек мочеполовой сферы чаще встречаются среди женщин. На гениталии приходится 18% всех меланом слизистых, мочевых путей - 3%. Среди женских половых путей наиболее подвержена опухоли вульва, с частотой 0,1 на 1 млн.
Меланома преимущественно развивается на больших половых губах и клиторе. Пожилые женщины болеют чаще. Наиболее распространённые симптомы: кровотечение, боль, зуд, раздражение, патологические выделения.
Диагностика меланомы слизистых оболочек
При диагностике меланомы слизистых довольно часто случаются ошибки. Из-за скрытого положения и отсутствия заметных ранних признаков выявление меланомы слизистой обычно задерживается.
При постановке диагноза первичной меланомы, особенно редкой локализации, важно исключить возможность метастатического поражения из первичной кожной или глазной меланомы.
При подозрении на меланому слизистых оболочек проводятся эндоскопические исследования:
- трахеобронхиального дерева;
- верхних дыхательных путей;
- пищевода и желудка;
- толстого кишечника;
- ректального сегмента.
Во время диагностической процедуры врач берет на анализ фрагменты изменённой слизистой. Биопсия образца подозрительной ткани и последующее патогистологическое исследование являются основным моментом в диагностике слизистых меланом.
Амеланотические формы опухолей, которые нередко встречаются среди поражений слизистой оболочки, дополнительно затрудняют диагностику. Иммуногистохимическое окрашивание материала с целью выявления опухолевого белка (S-100, HMB-45, Melan-A, Mart-1) и фермента тирозиназы помогает в диагностике беспигментных форм опухоли.
При подозрении на распространённость и метастазирование слизистых меланом проводится сканирование организма с визуализацией: КТ, ПЭТ КТ, МРТ.
Лечение меланомы слизистой
На сегодняшний день хирургическое лечение является основным вариантом лечения и может сочетаться с адъювантной лучевой терапией. Вместе с тем, прогноз при меланомах слизистых оболочек остается неудовлетворительным. Локальные рецидивы происходят в половине случаев. Лучевая терапия при меланомах слизистой головы и шеи несколько стабилизирует состояние, но не улучшает выживаемость при распространённых формах заболевания.
Одновременно с этим, из-за сложной топографии некоторых опухолей, не всегда удается выполнить биопсию сторожевого лимфатического узла.
Для урогенитальных меланом наиболее доступным является оперативный метод. Комбинация широкого иссечения опухоли после курса облучения дает неплохие результаты только на начальных стадиях меланомы.
Хорошие перспективы для лечения распространённых меланом слизистых оболочек, осложнённых метастазами в отдаленные органы, имеют иммунотерапия и target-терапия. Генотипирование опухоли, выявление BRAF-мутаций в меланоме позволяют внедрять в клиническую практику новое поколение противоопухолевых препаратов.
Такие средства, как Ipilimumab и Pembrolizumab, вводятся в онкологические протоколы, что дает возможность рассчитывать на сокращение темпов опухолевого роста и увеличение продолжительности жизни пациентов с меланомой слизистых оболочек.
Прогноз меланом слизистых оболочек
Помимо таких характеристик, как клиническая стадия и толщина опухоли до 5 мм, имеется ряд дополнительных факторов, предопределяющих прогноз заболевания:
- клеточный тип опухоли;
- изъязвление;
- митотическая скорость;
- пигментация;
- некроз;
- сосудистая инвазия.
Как предотвратить меланому слизистых оболочек?
На сегодняшний день нет указаний на наличие предрасполагающих факторов. Достоверной информации о том, как именно развиваются слизистые меланомы, тоже нет. Поскольку специальные меры по профилактике этого типа рака еще не определены, при возникновении малейших подозрений на опухолевое повреждение слизистых оболочек, следует немедленно проконсультироваться с врачом.
Меланоз Дюбрейля
Меланоз Дюбрейля — предмеланомное заболевание кожи, представляющее собой единичное пигментное пятно с неровными очертаниями, располагающееся на открытом участке кожного покрова. Цвет пятна варьирует от светло-коричневого до черного и может быть различным в разных участках пятна. С целью дифференциации меланоза Дюбрейля от других невоидных заболеваний кожи проводится дерматоскопия, цитологическое исследование мазка-отпечатка кожного новообразования. Поскольку меланоз Дюбрейля часто малигнизируется и переходит в меланому, в лечении предпочтительно его полное хирургическое иссечение до здоровых тканей; возможно проведение рентгенотерапии.
Общие сведения
Меланоз Дюбрейля - пигментное образование, являющееся пограничным предмеланомным поражением кожи. Относится к числу меланомоопасных невусов. Меланоз Дюбрейля развивается, как правило, у лиц пожилого возраста. По некоторым данным это заболевание встречается у 3-х человек из 1000 лиц старше 50 лет. Различные авторы приводят цифры, согласно которым меланомы, развившиеся из меланоза Дюбрейля, составляют от 10% до 33% от всех меланом кожи. Частота трансформации заболевания в меланому составляет 35-40%, у некоторых авторов указана цифра 75%. Причинами злокачественного перерождения меланоза Дюбрейля считаются инсоляция, механические, химические и иные травмы новообразования.
Симптомы меланоза Дюбрейля
Заболевание представляет собой плоское единичное пигментное пятно, неровные края которого напоминают географическую карту. В начале заболевания пятно обычно имеет светло-коричневую окраску и диаметр 2-3 см. Постепенно отмечается рост пятна и потемнение его окраски. В результате размеры очага поражения кожи могут достигать 20 см в диаметре. Пятно приобретает неравномерную окраску от коричневого до черного цвета с серыми или синюшными участками. На поверхности пятна могут наблюдаться участки с отсутствием окрашивания, соответствующие зонам спонтанной регрессии заболевания.
Характерна локализация меланоза Дюбрейля — это открытые участки кожи, в основном лицо (нос, щеки, лоб) и шея. В связи с этим некоторые авторы указывают на связь возникновения заболевания с имеющимся у пациента хроническим солнечным дерматитом.
При переходе меланоза Дюбрейля в меланому на участке пигментного пятна обнаруживается уплотнение с папилломатозной поверхностью, происходит изменение цвета пятна (потемнение или осветление), усиливается процесс шелушения, вокруг пятна возникает покраснение, а на его поверхности может появиться эрозирование. Точные причины малигнизации меланоза не установлены. Определенную роль в этом процессе отводят инсоляции и травматизации пораженного участка кожи.
Диагностика меланоза Дюбрейля
Современная дерматология не может применять биопсию кожного образования для диагностики трансформации меланоза Дюбрейля в меланому, поскольку такой метод исследования может стимулировать рост опухоли и ее диссеминацию. Поэтому применяется цитологическое исследование мазка-отпечатка с поверхности образования. Простое снятие отпечатка с поверхности бывает малоинформативно. По этой причине дерматолог перед взятием мазка немного скребет поверхность образования. Диагностическим критерием возникновения меланомного рака кожи является обнаружение в отпечатке атипичных меланоцитов.
В ходе диагностики меланоз Дюбрейля дифференцируют от невуса Ота, участка гиперпигментации, себорейной кератомы, пигментированой базалиомы, пигментного невуса и меланомы.
Лечение меланоза Дюбрейля
В виду большого процента малигнизации заболевания в случае диагностики меланоза Дюбрейля должно проводиться радикальное иссечение всего участка поражения кожи вплоть до здоровых тканей. При этом захватывают 1-2 см неизмененной кожи по всему периметру пятна. Учитывая локализацию процесса на лице, его удаление иногда представляет для хирурга нелегкую задачу и требует применения методов пластической хирургии. При больших размерах пятна и связанных с эти затруднений для его хирургического иссечения может применяться локальное воздействие на образование рентгеновскими лучами, которое часто дает хорошие результаты.
Доброкачественные опухоли полости рта
Доброкачественные опухоли полости рта — расположенные в полости рта новообразования, характеризующиеся отграниченным медленным ростом и не склонные к метастазированию. К доброкачественным опухолям полости рта относятся папилломы, миксомы, ретенционные кисты, железы Серра, фибромы, фиброматоз десен, миомы, гемангиомы, лимфангиомы. Диагностика опухолей полости рта осуществляется на основании данных осмотра, пальпации, рентгенологического исследования, ангиографии и гистологического исследования. Удаление опухолей полости рта возможно путем хирургического иссечения, электрокоагуляции, лазерной валоризации, криодеструкции, склерозирования сосудов или применения радиоволнового метода.
Наиболее часто стоматология сталкивается с опухолями эпителиального происхождения, берущими свое начало из железистого, плоского или зубообразовательного эпителия. Возможно развитие опухоли полости рта из жировой ткани, мышечных волокон, соединительнотканных структур, нервных стволов и сосудов. В зависимости от расположения выделяют доброкачественные опухоли языка, внутренней поверхности щек, мягкого и твердого неба, подъязычной области, десен и губ.
Причины опухолей полости рта
Этиология и механизм развития опухолей полости рта пока не достаточно изучены. К факторам риска относятся употребление алкоголя, курение, острая травма (например, удаление зуба), хроническое травмирование слизистой рта краем сломанного зуба, плохо обработанной поверхностью пломбы, коронкой или зубным протезом. Наиболее высок риск возникновения опухоли полости рта при сочетании курения с приемом алкоголя. В развитии некоторых неопластических опухолей полости рта (папилломы, папилломатоз) ведущая роль отводится вирусной инфекции (вирус папилломы человека, вирус герпеса).
Опухоли полости рта, возникающие в детском возрасте, часто связаны с нарушениями дифференцировки тканей в период внутриутробного развития. К ним относятся дермоидные и ретенционные кисты, железы Серра, врожденные невусы. Как правило, эти новообразования выявляются в течение первого года жизни.
Эпителиальные опухоли полости рта
Папилломы. Опухоли полости рта, состоящие из клеток многослойного плоского эпителия. Локализуются чаще всего на губах, языке, мягком и твердом небе. Папилломы полости рта представляют собой округлый выступ над поверхностью слизистой. Могут иметь гладкую поверхность, но чаще покрыты сосочковыми разрастаниями по типу цветной капусты. Обычно наблюдаются единичные папилломы, реже — множественные. Со временем эти опухоли полости рта покрываются ороговевающим эпителием, за счет чего приобретают белесоватую окраску и шероховатую поверхность.
Невусы. В полости рта невусы наблюдаются в редких случаях. Они чаще бывают выпуклыми и имеют различную степень пигментации от бледно-розового цвета до коричневого. Среди опухолей ротовой полости встречаются голубой невус, папилломатозный невус, невус Ота и другие. Некоторые из них могут озлокачествляться с развитием меланомы.
Железы Серра. Обычно этот вид опухолей полости рта располагается в области альвеолярного отростка или твердого неба. Железы Серра представляют собой полушаровидные образования желтоватого цвета размером до 0,1 см и плотной консистенции. Могут иметь множественный характер. Обычно к концу первого года жизни ребенка отмечается самопроизвольное исчезновение этих образований.
Соединительнотканные опухоли полости рта
Фибромы. Наиболее часто фибромы полости рта встречаются в области нижней губы, языка и на небе. Имеют вид гладкого овального или округлого образования, в отдельных случаях расположенного на ножке. Цвет этих опухолей полости рта не отличается от окраски окружающей их слизистой.
Фиброматоз десен. Не все авторы относят фиброматоз десен к опухолям полости рта, некоторые считают, что в его основе лежат изменения воспалительного характера. Фиброматозные разрастания — безболезненные плотные образования. Они могут носить локальный характер в пределах нескольких зубов и диффузный, захватывая весь альвеолярный отросток как нижней, так и верхней челюсти. Опухолевые разрастания при фиброматозе локализуются в сосочках десен и могут быть настолько выражены, что полностью закрывают коронки зубов. Этот вид опухоли полости рта требуют дифференциации от гиперпластического гингивита.
Миомы. Развиваются из мышечной ткани. Рабдомиомы образуются из волокон поперечно-полосатой мускулатуры. Чаще всего наблюдаются в виде единичных узловых образований в толще языка. Лейомиомы развиваются из гладкомышечных волокон и обычно локализуются на небе. Миобластомы (опухоль Абрикосова) являются результатом дисэмбриогенеза и диагностируются у детей до года. Они представляют собой округлую опухоль полости рта размером до 1 см, покрытую эпителием и имеющую блестящую поверхность.
Миксомы. Эти опухоли полости рта могут иметь округлую, сосочковую или бугристую поверхность. Располагаются в области твердого неба или альвеолярного отростка.
Пиогенная гранулема. Развивается из слизистой или соединительнотканных элементов ротовой полости. Часто наблюдается после травмирования слизистой оболочки щек, губ или языка. Пиогенная гранулема имеет сходство с богато кровоснабжающейся грануляционной тканью. Отличается быстрым увеличением размеров до 2 см в диаметре, темно-красной окраской и кровоточивостью при прикосновении.
Эпулисы. Доброкачественные опухоли полости рта, расположенные на десне. Могут произрастать из глубоких слоев десны, надкостницы, тканей периодонта. Наиболее часто эпулис встречается в области передних зубов. Классифицируются на фиброзные, гигантоклеточные и ангиоматозные образования.
Невриномы. Образуются в результате разрастания клеток шванновской оболочки нервных волокон. Достигают в диаметре 1 см. Имеют капсулу. Невриномы являются практически единственными опухолями полости рта, при пальпации которых может отмечаться болезненность.
Сосудистые опухоли полости рта
Гемангиомы. Самые распространенные опухоли полости рта. В 90% случаев гемангиомы диагностируются сразу или в ближайшее время после рождения ребенка. Бывают простыми (капиллярными), кавернозными, капиллярно-кавернозными и смешанными. Отличительной особенностью этих опухолей полости рта является их побледнение или уменьшение в размерах при надавливании. Травмирование гемангиом часто приводит к кровоточивости.
Лимфангиомы. Возникают в результате нарушений эмбриогенеза лимфатической системы и выявляются обычно у новорожденных. Характеризуются образованием ограниченной или диффузной припухлости в полости рта. Среди опухолей полости рта различают кавернозные, кистозные, капиллярно-кавернозные и кистозно-кавернозные лимфангиомы. Эти опухоли полости рта склонны к воспалению, которое часто бывает связано с травмой слизистой рта или обострением какого-либо хронического воспалительного заболевания носоглотки: пульпита, периодотита, хронического тонзиллита, гайморита и пр. Отдельные авторы указывают также на связь рецидивирующего воспалительного процесса в лимфангиоме с обострениями хронического гастрита, дуоденита или колита.
Диагностика опухолей полости рта
Опухоли полости рта небольшого размера могут быть диагностированы стоматологом случайно при проведении профилактического осмотра, в ходе лечения кариеса и других стоматологических манипуляций. Точное определение вида опухоли возможно только после гистологического изучения ее структуры. Подобное исследование может проводится на материале, взятом в ходе биопсии опухоли или после ее удаления.
Для определения глубины прорастания опухоли полости рта применяется УЗИ образования, для оценки состояния костных структур — рентгенологическое исследование. При фиброматозе десен проводится ортопантомограмма, на которой часто выявляются участки деструкции альвеолярного отростка. В диагностике сосудистых опухолей нередко используют ангиографию.
Лечение опухолей полости рта
Затруднение речи и пережевывания пищи при наличии опухоли полости рта, постоянная травматизация новообразований этой локализации, а также вероятность их малигнизации — все это является поводом для активной хирургической тактики. В зависимости от вида опухоли полости рта возможно применение электрокоагуляции, удаления лазером, криодеструкции, радиоволнового метода, хирургического иссечения, склеротерапии.
Удаление опухолей полости рта диффузного характера проводится в несколько этапов. Иссечение фиброматозных разрастаний производят вместе с надкостницей. Участки разрушенной костной ткани подвергаются обработке фрезой и коагуляции. Сосудистые опухоли полости рта могут быть склерозированны путем введения склерозирующих веществ непосредственно в сосуды опухоли.
Меланомоопасные невусы
Меланомоопасные невусы - пигментные доброкачественные новообразования кожи, которые имеют наибольший риск малигнизации и перерождения в злокачественную меланому. Существует несколько разновидностей таких родинок, которые отличаются между собой внешним видом, возрастом появления, гистологическим строением и другими факторами. Диагностика меланомоопасных невусов осуществляется путем осмотра новообразования и гистологического изучения тканей, полученных в результате его удаления. Лечение образований в большинстве случаев хирургическое, степень и объемы вмешательства зависят от типа, структуры и размеров родинки. В дальнейшем требуется диспансерное наблюдение у дерматолога или онколога.
Меланомоопасные невусы - несколько типов доброкачественных пигментных кожных образований, достаточно часто перерождающихся в меланому. Согласно данным медицинской статистики, подобные новообразования являются достаточно распространенным состоянием - их доля среди родинок всех типов составляет около 10%. При этом частота встречаемости меланомы намного ниже - примерно 2 случая на 100 000 населения, это свидетельствует о том, что меланомоопасные невусы далеко не всегда приводят к развитию злокачественной опухоли. Тем не менее, их наличие существенно повышает риск появления этого заболевания и значительно потенцирует влияние канцерогенных факторов различной природы. По этой причине в дерматологии наличие меланомоопасных невусов считается достаточно серьезным состоянием, требующим проведения лечебных мероприятий и наблюдения у специалиста для своевременного выявления меланомы.
Причины меланомоопасных невусов
Причины развития меланомоопасных невусов, как и других пигментных новообразований кожи, заключается в нарушении процессов деления меланоцитов - клеток кожи, содержащих в себе гранулы меланина. Обычно такие клетки более-менее равномерно распределяются в коже и защищают тело от воздействия ультрафиолетовых лучей. По ряду причин, таких, как наследственные и генетические факторы, влияние некоторых химических соединений, повреждение кожных покровов механическим путем, ультрафиолетом или радиацией, возникает нарушение клеточного деления меланоцитов. В результате этого нарушения на ограниченном участке кожи образуется скопление пигментных клеток, которое внешне выглядит как коричневое или почти черное пятно различных размеров.
Некоторые исследователи полагают, что появление меланомоопасных невусов и других подобных образований всегда имеет врожденную природу и обусловлено нарушениями процесса миграции меланоцитов в эпидермис из нейроэктодермы. Сторонники этой теории считают, что любые другие факторы, роль которых замечена в процессах развития родинок, лишь провоцируют дальнейшее усугубление данного нарушения. Таким образом, цикл развития меланомоопасных невусов с этой точки зрения выглядит как «нарушение эмбриогенеза - развитие собственно родинки под действием различных факторов - малигнизация и появление меланомы». В свете данной теории меланома рассматривается как состояние, обусловленное врожденными факторами. Родинки обнаруживаются либо сразу при рождении ребенка, либо через несколько лет или даже десятилетий - такая задержка не означает отсутствия «врожденности» меланомоопасного невуса, просто сначала дефект кожи настолько мал, что незаметен даже при самом тщательном осмотре.
Классификация и симптомы
Все родинки или невусы подразделяются на две большие разновидности - меланомоопасные и меланомонеопасные. Среди первых выделяют несколько основных типов, которые различаются между собой внешними проявлениями, возрастом появления, преимущественной локализацией на теле и другими характеристиками. Кроме того, меланомоопасные невусы отличаются между собой степенью онкогенного риска. К наиболее типичным представителям таких кожных новообразований относят следующие:
1. Диспластический меланомоопасный невус - наиболее тяжелая разновидность меланомоопасного образования. На протяжении жизни человека в 90% случаев перерождается в злокачественную меланому. Данный тип родинок зачастую имеет наследственный характер, иногда наблюдается их множественное образование на теле (50 и более неоплазий). Локализация диспластических невусов не имеет характерных особенностей, они могут возникать на различных участках тела. Цвет родинок варьирует от светло-коричневого до почти черного, размер - от 2 до 10 миллиметров. Обычно они регистрируются вскоре после рождения, в некоторых случаях наблюдается их спонтанное появление в период полового созревания. Меланомоопасные невусы такого типа плоские, обычно с нечеткими краями, до начала малигнизации их консистенция на ощупь не отличается от здоровой кожи.
2. Синий меланомоопасный невус (тип Ядассона-Тиче) - обычно возникает на протяжении жизни человека и представляет собой одиночное (реже могут встречаться по 2-5 родинок) новообразование кожи размером не более 10 миллиметров. Его поверхность выступает над кожей в виде полусферы, покровы невуса имеют характерный «напряженный» вид, цвет варьирует от светло-синего до темного или почти черного. Излюбленная локализация - волосистая часть головы, ладони, подошвы, ягодицы, но может возникать и на других участках тела. Малигнизация синего меланомоопасного невуса чаще всего происходит на фоне травматизации родинки, в том числе и при ее неполном удалении косметологическими методиками.
4. Гигантский пигментный невус - наиболее заметный тип подобных новообразований. Имеет исключительно врожденный характер. Эта разновидность меланомоопасных невусов увеличивается по мере роста человека, нередко достигает 5-7 сантиметров в диаметре. Известны случаи, когда новообразования подобного типа покрывали собой значительную часть тела больного и достигали размеров 30-40 сантиметров. При этом родинка выступает над поверхностью кожи и имеет коричневую или черную окраску, формируя собой выраженный косметический дефект. Малигнизация гигантского пигментного невуса регистрируется примерно у 10% больных.
5. Невус Ота - это меланомоопасное новообразование развивается исключительно на лице в области иннервации ветвей тройничного нерва (на коже скуловой или подглазничной области). Является врожденным состоянием, обусловленным нарушениями миграции и дифференцировки меланоцитов. Меланомоопасный невус Ота характерен для азиатских народов монголоидной расы, у остальных национальностей подобные образования не возникают. Со временем может достигать в диаметре нескольких сантиметров, перерождение в меланому наблюдается редко, в основном - под воздействием ультрафиолетового излучения.
6. Ограниченный предраковый меланоз Дюбрейля - это состояние неизвестной этиологии, которое одними дерматологами относится к меланомоопасным невусам, другими - к предраковому дерматозу. Чаще всего заболевание возникает у пожилых людей. Вначале на поверхности кожи лица и шеи, реже других участков тела образуется пигментное пятно, которое имеет неровные края, напоминающие контуры географических карт. Пятно постепенно увеличивается в размере, на его поверхности со временем возникают папулы, узелки и другие образования. Ограниченный предраковый меланоз Дюбрея является облигатным предраковым состоянием, при отсутствии лечения он практически всегда приводит к развитию злокачественной меланомы.
Диагностика меланомоопасных невусов
В большинстве случаев определение меланомоопасных невусов производится путем осмотра новообразования дерматологом. Врач обращает внимание на цвет, размеры, форму и характер контуров родинки (ровные или разорванные, нечеткие), путем пальпации определяет ее консистенцию и наличие уплотнений или других изменений относительно здоровой кожи. При расспросе специалист устанавливает возраст, в котором впервые был зафиксирован данный невус, выясняет, имелись ли в анамнезе факты его роста, насколько быстрым был рост, возникали ли какие-либо другие субъективные симптомы (зуд, жжение, боли) в месте расположения новообразования. Все это позволяет диагностировать меланомоопасный невус и предварительно определить признаки его малигнизации.
Более точные данные по поводу характера невуса может дать биопсия тканей с их последующим изучением. Однако, поскольку механическая травма может стать толчком к развитию злокачественного процесса, онкологи и дерматологи избегают использовать этот метод исследования меланомоопасных невусов. Гистологическое изучение возможно только после удаления новообразования хирургическим путем с соблюдением всех мер предосторожности. Строение тканей меланомоопасных невусов отличается большим количеством меланоцитов разной степени дифференцировки - чем она ниже, тем выше вероятность развития меланомы. В некоторых случаях для определения этого состояния используют дополнительные методы исследования - дерматоскопию, термографическое исследование пораженных участков кожи и ряд других.
Лечение меланомоопасных невусов
Единственным надежным методом лечения меланомоопасного невуса является хирургическое удаление новообразования с широким иссечением тканей кожи. Если родинка имеет очень большие размеры (гигантский пигментный невус), может потребоваться пересадка кожи от донора или с других участков тела больного. Во многих случаях кожная пластика выполняется не только с профилактическими, но и косметическими целями, особенно при значительном размере родинки и ее расположении на заметном участке тела. Удаление меланомоопасного невуса необходимо производить только при участии онколога - косметологические методики удаления (криодеструкция, электрокоагуляция и другие) могут не только не избавить больного от этого образования, но и стать причиной его перерождения в меланому.
Прогноз и профилактика меланомоопасных невусов
Прогноз при наличии меланомоопасных невусов зависит от огромного количества факторов: типа новообразования, его расположения, условий работы и образа жизни человека и даже климата, в котором он проживает (в южных районах кожа подвергается более интенсивному воздействию ультрафиолетовых лучей, что повышает риск развития меланомы). После хирургического иссечения невуса необходимо диспансерное наблюдение у онколога или дерматолога для своевременного выявления признаков малигнизации. Аналогичный подход используют и при других родинках с относительно низким онкогенным риском (например, при голубом невусе) - больные с не удаленными новообразованиями каждые 3-6 месяцев осматриваются специалистом.
Чёрная королева

При осмотре полости рта пациента на стоматологическом приёме врач может заметить меланому крайне редкой локализации (0,2‒8 % от всех меланом, и только небольшая их часть описана в литературе). Чаще всего она появляется на десне, покрывающей альвеолярный отросток верхней челюсти или нёбе. Существует несколько свидетельств появления данной опухоли в области нижней челюсти (а также на щеках, дне полости рта, языке, губах). В отличие от кожных меланом, меланома полости рта чаще определяется у мужчин. Опухоль биологически активна и очень агрессивна, чаще своих кожных «коллег» приводит к летальным исходам: пятилетняя выживаемость составляет всего 15‒38 %. Зачастую меланома данной локализации остаётся недиагностирована до тех пор, пока не начнёт проявляться клинически.
Меланома — злокачественная опухоль, возникающая из-за нелетальных генетических мутаций в пигментных клетках — меланоцитах. Вырабатывая пигмент, меланоциты защищают генетический аппарат от повреждающего воздействия экзогенных факторов (например, УФ-лучей). Природная смуглость кожи, бронзовый загар, родинки и веснушки — всё это результат активной продукции меланина пигментными клетками, располагающимися в базальном слое эпидермиса.
При прохождении курса гистологии все мы узнаём удивительный факт: меланоциты находятся не только в составе кожи, но и присутствуют в полости рта (а также в среднем слое сосудистой оболочки глаза, внутреннем ухе, эпителии влагалища, менингеальных оболочках, чёрной субстанции и голубом пятне мозга, костях и сердце). С точки зрения защиты от солнечных лучей подобную локализацию объяснить затруднительно, но если изучить функции меланоцитов более подробно, то можно попробовать разобраться в таком странном на первый взгляд местоположении. В рамках этого поста мы рассмотрим только меланоциты слизистой оболочки полости рта (СОПР).
Изначально отличительной особенностью предшественников меланоцитов является их повышенная склонность к миграции. Благодаря сложным и пока мало изученным молекулярным механизмам, эти клетки способны мигрировать не только по направлению книзу от нервного жёлоба, но и в другие стороны, благодаря чему в процессе развития и дифференцировки они могут стать представителями различных групп клеток (например, нейронами и клетками глии). После дифференцировки меланоцит занимает своё место в базальном слое эпидермиса (или в собственной пластинке СОПР), уходя отростками в шиповатый слой. В полости рта меланоциты могут не вырабатывать меланин, но как и у их кожных “коллег”, объём вырабатываемого меланина генетически детерминирован и зависит от расовой принадлежности.
Меланин может окрашивать СОПР как неравномерно, так и однородно, чаще всего проявляя себя в виде пигментаций на десне. Несмотря на различные предположения, причину возникновения меланомы в полости рта до сих пор не удалось выявить, известны лишь некоторые внутриклеточные молекулярные сигнальные пути. Ни постоянное травмирование, ни хроническое воспаление, ни вирус папилломы человека, ни курение не показали какой-либо статистической значимости в развитии данной патологии. Единственным фактором риска является наличие гиперпигментации. Известно, что около 30 % меланом полости рта возникают на месте гиперпигментаций, однако происхождение гиперпигментированных премеланом до сих пор остаётся загадкой.
Функция меланоцитов в полости рта также на сегодняшний день точно не определена. Очевидно, что они отвечают за цвет СОПР и защищают от таких стрессорных факторов, как УФ-излучение, активные формы кислорода (АФК) и свободные радикалы. Меланины также обладают способностью “отбирать” ионы металлов для связывания некоторых лекарств и органических молекул. В связи с тем, что синтез меланина — кислородзависимый процесс, в меланосомах происходит выработка и накопление АФК, что приводит к повреждению ДНК. УФ-излучение, в свою очередь, приводит к увеличению образования свободных радикалов во время синтеза меланина, в частности, феомеланина (жёлто-красный пигмент). Таким образом, меланин обладает одновременно и детоксицирующими, и АФК-зависимыми цитотоксическими свойствами.
Благодаря наличию лизосомальных ферментов (α-маннозидаза, кислая фосфатаза и др.) в меланосомах, меланин способен нейтрализовать бактериальные ферменты и токсины, а используя свою высокую связывающую способность, он может служить физическим барьером для микроорганизмов. Также меланоциты способны выполнять роль антигенпредставляющих клеток (АПК), стимулировать Т-клеточную пролиферацию, фагоцитировать микроорганизмы, а также ингибировать рост бактерий и грибковых микроорганизмов.
Таким образом, можно сделать вывод, что с эволюционной точки зрения меланин необходим не только для окрашивания кожи, её придатков и слизистых оболочек, но и для защиты организма. Меланоциты кожи (и, возможно, СОПР) экспрессируют гены, кодирующие кортикотропин-релизинг фактор, проопиомеланокортин, адренокортикотропный гормон, β-эндорфины, α-меланоцит-стимулирующий гормон и рецептор меланокортина-1. Все вышеперчисленные участники меланокортиновой системы способны нейтрализовать внешние патогены, опосредовать антимикробный и иммунный ответы и местную ноцицепцию.

Как было сказано выше, единственным доказанным фактором риска является наличие гиперпигментации. Необходимо различать физиологическую и патологическую пигментацию СОПР. Их следует дифференцировать от болезни Аддисона, нейрофиброматоза, меланотического пятна, меланомы СОПР, пигментации, вызванной приёмом лекарств, саркомы Капоши, сосудистой мальформации и гемангиомы полости рта. Физиологическая пигментация в равной степени встречается и у мужчин, и у женщин, бессимптомна, локализуется чаще всего билатерально на слизистой оболочке десны в виде одиночных или сгруппированных коричневых пятен с чёткими границами.
Злокачественный вариант пигментации — меланома — развивается в результате трансформации и клональной экспансии меланоцитов, локализующихся либо в базальном слое эпидермиса, либо в собственной пластинке СОПР. Пятилетняя выживаемость составляет всего 32 %. Согласно различным источникам, ахроматические формы меланом составляют от 2 % до 40 %.
Клинически меланома СОПР обычно безболезненна, представляет из себя пятна или папулы неправильной формы коричневого или чёрного цвета, которые могут увеличиваться в размере, перерастать в узлы или экзофитные массы и становиться более пигментированными. На поздних стадиях очаги могут становится болезненными, изъязвлёнными и склонными к кровоточивости, пигментация неравномерной, с вкраплениями серых, тёмно-синих, коричневых и чёрных цветов. Примерно у 25 % пациентов с меланомой СОПР на момент обращения к врачу уже есть метастазы в регионарные лимфатические узлы, а у 10 % наблюдается гематогенная диссеминация в лёгкие, печень, кости и мозг. Клетки меланомы СОПР экспрессируют маркёры MART-1/Melan-A, HMB-45, MITF, тирозиназу и белок S-100.
При обнаружении меланомы СОПР в первую очередь необходимо установить, является ли она первичной или же метастатической. В том случае, если меланома первичная, необходимо оценить объём инвазии и поражение регионарных лимфоузлов. Наиболее распространённая система классификации для стадирования меланом — TNM.
При диагностировании данных очагов in situ заболевание является излечимым и прогноз чаще всего положительный, но в связи с бессимптомным течением данная меланома обнаруживается уже на поздних стадиях, что делает прогноз заболевания крайне отрицательным.
Хирургическое иссечение является основным методом при лечении меланомы. Однако более 50 % хирургических операций не предотвращают рост и метастазирование опухоли и не повышают выживаемость, так же как и химиотерапия. Послеоперационный контроль можно осуществлять с помощью новых методов лучевой терапии. Также есть данные об эффективности иммуностимулирующих и цитотоксических препаратов. Ингибиторы внутриклеточных молекулярных сигнальных путей (например, cKit) используются в качестве таргетной терапии, однако ответ на лечение незначительный, что связывают со сложностью молекулярных взаимодействий, участвующих в патогенезе данного заболевания.
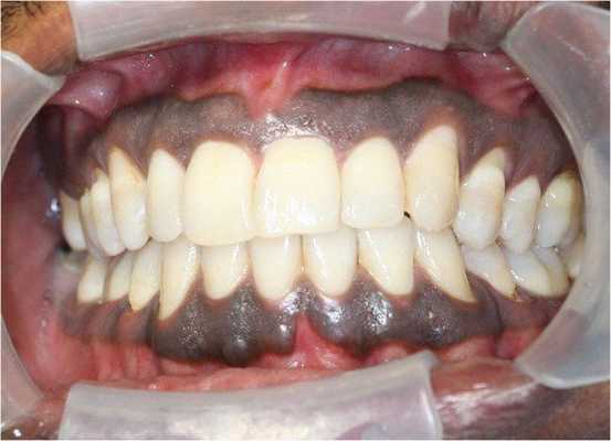
Мужчина, 42 года, обратился к врачу с жалобами на тёмные участки дёсен в области фронтальной группы зубов нижней челюсти. Пигментация наблюдалась с вестибулярной и язычной сторон в области резцов и клыка, а также в области 46 зуба (см. фото). Повышенная пигментация не была связана с какими-либо другими симптомами, пациент жаловался лишь на эстетический дефект. Два года назад заметил два небольших участка гиперпигментации, с тех пор участки увеличились в размерах. Пациент отрицал курение, употребление жевательного табака и алкоголя, семейный анамнез по данному заболеванию отсутствовал. При пальпации образование не было твёрдым, лимфоузлы не пальпировались. Анализ крови был в норме, на рентгенограмме не было никаких значительных изменений. Инцизионная биопсия помогла поставить диагноз «меланома полости рта». Пациент был направлен в ЧЛХ, терапия была начата немедленно, но в связи с высокой степенью злокачественности пациент скончался спустя 4 месяца после её начала.
Читайте также:
