Менингиома крыла клиновидной кости прорастающая в глазницу: признаки, гистология, лечение, прогноз
Добавил пользователь Владимир З. Обновлено: 21.11.2025
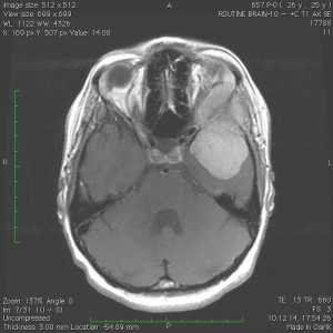
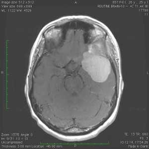
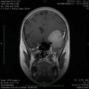
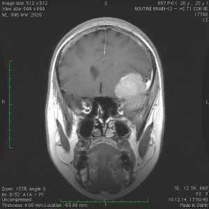
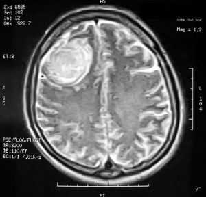
Пациентка В., 25 лет. В возрасте 9 лет перенесла острый лимфобластный лейкоз, по поводу чего проводилась лучевая терапия.
За 2 месяца до поступления в стационар появилась боль в левой височной области, левом глазном яблоке, слезотечение. Консультирована офтальмологом — выявлено высотные левого глазного яблока на 6 мм, по сравнению с правом глазным яблоком, а также признаки внутричерепной гипертензии в виде застойных дисков зрительных нервов. При МРТ выявлена больших размером внемозговая опухоль средней черепной ямки с гиперостозом и распространением в глазницу слева.






Выполнена операция — удаление менингиомы крыльев клиновидной кости с резекцией гиперостоза и использоваием интраоперационной метаболической навигации (ультрафиолетовая флюоресцентная микроскопия)
Удаление менингиомы
Менингиома головного мозга - распространенный вид опухоли доброкачественного, реже злокачественного происхождения. Отличается медленным ростом, но при своевременной терапии имеет хорошие прогнозы. Тактика лечения зависит от локализации и строения опухоли, насколько сильно задействованы соседние структуры. В основном хирургическое удаление менингиомы позволяет обеспечить полное излечение, минимизировать риск рецидива. Если опухоль перерождается в злокачественную, возможно появление метастазов, что существенно ухудшает прогноз на лечение и жизнь. Что такое менингиома головного мозга, каковы ее причины и симптомы, и какое лечение может назначить врач?
Кратко о болезни

Несмотря на то, менингиому относят к раку головного мозга, данная опухоль поражает не саму нервную ткань, а образуется на поверхности твердой оболочке. Имеет некоторые особенности, которые ее отличают от других новообразований — выпячивание на голове в виде шишки и изменение формы черепа. Опухоль чаще поражает полость черепа, но может находиться и на поверхности или же поражать глубокие структуры мозга. В зависимости от расположения неоплазии определяется клиническая картина, прогноз и выбор терапии.
Практически у 95% больных менингиомы имеют доброкачественное течение и только в 5% случаев перерождаются в злокачественный рак. Относятся к первичным опухолям, которые образуются из мозговых оболочек. Болезнь чаще диагностируется у женщин, реже у мужчин. В основном образование растет медленно, не имеет выраженной симптоматики и может диагностироваться случайно на плановом или внеплановом осмотре. Размер образования может быть от нескольких миллиметров до узлов 15 см в диаметре.
В 2% случаев диагностируются множественные менингиомы, что затрудняет лечение и ухудшает прогнозы лечения. Причиной такого состояния чаще всего является поздняя диагностика, когда раковые клетки метастазировали в соседние ткани мозга.
По своей структуре менингиому разделяют на:
- типичная - доброкачественная опухоль, которая не предоставляет особой опасности для жизни человека, имеет медленный рост, лечится при помощи хирургического лечения.
- атипичная - образование склонно к быстрому росту и рецидивам, но при своевременной диагностике и лечении имеет хороший прогноз на выздоровление.
- нетипичная - злокачественная опухоль, встречается редко, отличается быстрым ростом, способна разрушать и распространятся на здоровые клетки, имеет неблагоприятный прогноз.
Менингиома головного мозга в международной классификации болезней находится под кодом МКБ 10 - D32.0. Морфологически она имеет четкие ограничения, выглядит как шаровидный узел, сращенный с твердой оболочкой мозга. Образование может иметь несколько очагов разрастания. Чаще всего диагностируется в больших полушарий головного мозга, затылочной доле, височных участках, крыльях клинковидной кости.
Лечение менингиомы головного мозга с успехом проводят в Москве в центре онкологии Бурденко. В клинике можно пройти комплексное обследование, получить консультацию нейрохирургов. Для лечения раковых опухолей применяется только передовые технологии и эффективные методики.
Причины менингиомы головного мозга
Точные причины менингиомы не известны, но спусковым механизмом для развития опухоли могут выступать следующие факторы:
- возраст после 40 лет;
- гормональный дисбаланс;
- длительный прием контрацептивов;
- облучение;
- черепно-мозговые травмы;
- наследственность;
- нейроинфекции.
В группе риска находятся люди, работающие на вредных предприятиях. К вторичным причинам болезни относят другие онкологические процессы, протекающие в организме. Множественные клинические исследования показали, что важное значение в формировании болезни отыграют генетические факторы, а точнее дефект в 22 хромосоме, которая находится вблизи гена нейрофиброматоза 2 типа (НФ 2).
Симптомы

Опасность всех онкологических заболеваний, включая менингиому головного мозга, скрывается в отсутствие симптоматики на ранних стадиях. Некоторые начальные признаки болезни не вызывают у человека беспокойства, поскольку они могут проявляться в виде незначительной головной боли, повышенной усталости. Выраженные симптомы отмечаются при наличии большого образования или сдавливании опухолью ближайших структур головного мозга. Их разделяют на две категории:
- Общемозговые признаки - развиваются из — за нарушений кровообращения в головном мозге или давления опухоли на мягкие ткани. У больного присутствует головокружение, тошнота, рвота, ухудшается память, присутствует частая смена настроения.
- Локальные признаки - выражаются в нарушении подвижностей конечностей, снижением зрительной и слуховой функции.
Характерным и пожалуй, первым признаком болезни считается головная боль, которая может быть распирающей, тупой или ноющей. Проявляется в области затылка, лба или висков. Головная боль может беспокоить человека периодами или беспокоить человека постоянно.
Менингиома головного мозга сопровождается рядом симптомов, которые существенно ухудшают общее состояние больного:
- головная боль;
- головокружение;
- парез конечностей;
- снижение остроты зрения, двоение в глазах;
- потеря обаяния;
- галлюцинации;
- эпилептические припадки;
- нарушения координации и походки;
- тошнота, рвота.
Подобные симптомы могут присутствовать и при других видах опухоли мозга, поэтому при появлении любого признака не нужно медлить с посещением врача. Чем раньше человек обратится к врачу, тем больше шансов на успешное выздоровление.
Клиника менингиомы по месту локализации опухоли может давать свою характерную симптоматику:
- крылья клиновидной кости - эпилептические припадки;
- черепная ямка - снижение зрения, обаяния, психическая нестабильность;
- лобная доля - нарушение памяти и концентрации внимания, психические расстройства, повышенная раздражительность;
- мозжечок - шаткая походка, парез конечностей, судороги;
- височная доля - тремор верхних и нижних конечностей, нарушение речи.
Все симптомы усиливаются по мере роста опухоли и поражении окружающих тканей. Распознать патологию можно только по результатам комплексного обследования.
Все вышеперечисленные признаки могут присутствовать и при других видах рака головного мозга, поэтому для постановления диагноза, нужно обратиться к врачу, пройти аппаратную диагностику. Результаты об следования помогут подтвердить или исключить диагноз.
Диагностика
При подозрении на рак головного мозга, врач назначает комплексную диагностику, которая включает:
- Электроэнцефалограмма — проводит оценку работы головного мозга.
- Ангиография — выявляет интенсивность снабжения раковой опухоли кровью. Назначается перед операцией по удалению опухоли.
- МРТ — информативный метод обследования, позволяющий с точностью определить локализацию и размер новообразования.
- КТ — проводит визуализацию головного мозга, определяет рас положение и размер опухоли.
- Биопсия - определяет характер образования.
Для получения полной клинической картины назначаться лабораторное исследование мочи и крови. Результаты часто позволяют определить причину болезни. После прохождения комплексной диагностики, врач на основании полученных результатов имеет возможность получить полную картину болезни, поставить заключительный диагноз, назначить необходимое лечение.
Оперативное удаление менингиомы головного мозга

Выбор терапии при менингиоме головного мозга зависит от локализации опухоли, ее размеров, а также возраста больного и особенностей его организма. При медленном росте опухоли, отсутствии выраженной симптоматике и признаков компрессии окружающих тканей, врач может ограничиться наблюдением, поскольку иногда удаление менингиомы может нанести больше вреда, чем пользы. Показанием к операции выступает:
- быстрый рост образования;
- подозрение на злокачественность;
- симптоматика в виде нарушений зрения, головной боли, паралича.
Противопоказанием к проведению операции может выступать пожилой возраст, опухоль в труднодоступных местах, тяжелые хронические заболевания внутренних органов и систем.
В нейрохирургической практике врачей при диагнозе доброкачественная менингиома преобладает хирургическое лечение. В процессе операции важно удалить не только саму опухоль, но и ее ткани, которые находятся вблизи. На практике чаще всего используют микрохирургическую или эндоскопическую технику, которая позволяет с максимальной точностью удалить новообразование.
Выбор операции по удалению опухоли зависит от ее расположения. Техника хирургического лечения может отличаться, проводиться методом вскрытия черепной коробки или транссфеноидальным доступом (через нос). Если образование находится на поверхности, тогда проводят полное иссечение. Однако чаще всего образование находиться возле важных зон головного мозга, тогда удаляется только часть опухоли. Прогноз в данном случае менее благоприятный, присутствует вероятность того, что в ближайшее время образование начнет заново разрастаться. Удаление менингиомы всегда проводится со вскрытием черепной коробки, что значительно увеличивает риск осложнений и восстановительный период, который может длиться от нескольких недель до нескольких месяцев.
После проведения операции через 3 месяца, человек должен пройти контрольное обследование - МРТ. Результаты помогут оценить общее состояние работы мозга, исключить появление новых очагов болезни. Повторное обследование рекомендуется проходить и спустя год. При частичном удалении опухоли, контроль проводиться гораздо чаще, поскольку всегда присутствует вероятность роста образования или его перерождение в злокачественный рак.
Эффективным в борьбы с раковыми опухолями считается радиохирургия, которая состоит из воздействия ионизирующего излучения на клетки опухоли. Проводится в случае невозможности провести операцию или при расположении образования в труднодоступных участках мозга.
Если менингиома имеет злокачественное течение или в процессе операции не удалось полностью удалить опухоль, врачом назначается лучевая терапия. Процедура позволяет воздействовать на раковые клетки, способствовать их отмиранию. Лучевая терапия достаточно популярна в лечении рака мозга, но имеет множество противопоказаний и побочных эффектов.
В последнее время все чаще начали удалять менингиомы методом стереотаксической радиохирургии. Заключается в облучении раковых тканей под различными углами, при этом не затрагивает здоровые структуры мозга. Данная методика эффективна, если размер опухоли не превышает 3.5 см в диаметре, а самообразование находится вблизи жизненно важных структур мозга.
При опухолях доброкачественного течения химиотерапия не назначается. Однако для купирования общей симптоматики врачом могут быть назначены аптечные препараты разных фармакологических групп: анальгетики, иммуностимуляторы, спазмолитики, витаминотерапия и другие. Важным этапом считается и реабилитация больных, которая может занять до 6 месяцев. Период восстановления состоит из соблюдения диеты, здорового образа жизни. В послеоперационный период важно исключить жирную и копченую пищу, фаст-фуд, также отказаться от курения и любого алкоголя. Для полного восстановления врачом может назначаться иглоукалывание, физиотерапия, лечебная физкультура и другие процедуры, которые помогут ускорить выздоровление, снизить риск повторного роста опухоли.
Лечение менингиомы головного мозга
Центр нейрохирургии Бурденко предлагает ряд услуг по диагностике и лечению менингиомы головного мозга любой локализации и сложности. Удаление менингиомы в центре проводится при помощи микрохирургических инструментов и операционного микроскопа под общим наркозом. При необходимости врачи клиники проводят краниопластику, которая позволяет скрыть дефекты черепа после операции.
Нейрохирурги клиники Бурденко используют новейшие технологии и программы по лечению рака головного мозга, которые соответствуют мировым стандартам. Цены на лечение разрабатываются индивидуально, они установлены действующим законодательством РФ. В клинике можно оформить квоту на бесплатное лечение, но для этого нужно собрать целый пакет документов, получить решение медкомиссии.
Осложнения
Операция по удалению менингиомы относится к сложным процедурам, поэтому нельзя исключать осложнения даже при тщательном планировании и правильном проведении. К распространенным осложнениям относят кровотечения из сосудов опухоли и окружающих тканей, что может привести к некрозу, ишемии мозгу. В послеоперационном периоде иногда проявляются нарушения неврологического характера:
- парезы и параличи.
- снижение чувствительности в конечностях;
- снижение остроты зрения, слуха;
- психические расстройства.
- менингит.
После проведения операции, больной в течение нескольких недель находится в клинике под врачебным наблюдением. В группе риска к развитию осложнений находятся лица пожилого возраста, а также те, кто имеет в анамнезе патологии сердечно - сосудистой системы, болеет сахарным диабетом или страдает от ожирения.
Прогноз для жизни
Если менингиома имеет доброкачественное происхождение, при этом опухоль вовремя диагностирована и проведено соответствующее лечение, тогда прогноз на выздоровление благоприятный. Человек имеет возможность вернуться к привычному образу жизни. При злокачественном новообразовании присутствует большой риск метастазов, что увеличивает смертность в первые 2 года жизни.
В 3% случаях доброкачественная опухоль после пройденной терапии развивается заново. Вторичное появление новообразования чаще присутствует в пещеристом синусе и крыльях клиновидной кости. Важно понимать, что даже небольшое образование может негативно отображаться на самочувствии человека, особенно если находиться в важных отделах головного мозга, сдавливает сосуды или нарушает кровоток. Прогноз жизни без операции в 60% больных неблагоприятный, но в таких случаях врач подбирает альтернативные методы лечения, которые помогут улучшить качество жизни больного.
Чтобы вовремя выявить менингиомы, нужно не медлить с посещением доктора при частых головных болях. Своевременная диагностика и прав ильное лечение поможет сохранить жизнь и здоровье. При менингиоме головного мозга сложно предугадать прогноз, но если опухоль доброкачественная, практически в 100% случаев наступает полное выздоровление.
Специальных профилактических мероприятий для предотвращения менингиомы нет, но снизить риск патологии поможет здоровый образ жизни, правильное питание, отказ от курения и алкоголя. Пожалуй, главной мерой профилактики считается периодическое посещение врача и прохождение комплексного обследования не реже чем 1 раз в год.
Если человек прошел лечение менингиомы, он должен в течение длительного времени наблюдаться у врача невролога, проходить назначенные обследования и строго соблюдать все врачебные предписания.
Чем вызвана менингиома головного мозга - причины, симптомы, лечение

Менингиома - опухоль мозга, которая развивается из мозговой оболочки. Это наиболее частое доброкачественное образование мозга. Иногда у одного больного развивается несколько менингиом. В крайне редких случаях выявляют злокачественные менингиомы.
Менингиомам свойственен медленный рост, долгое время могут вообще не изменяться в размере.
Зачастую такое образование длительный период никак не проявляется, и пациент не догадывается о его существовании. Иногда менингиома обнаруживается случайно.
Злокачественная и доброкачественная формы опухоли
Обычно менингомы является образованиями доброкачественными, развиваются медленно, однако иной раз даже такие доброкачественные опухоли не поддаются удалению, а в отдельных случаях могут появляться повторно.
Кроме прочего, существует и злокачественный вид, растущий значительно быстрее и поражающий рядом находящиеся ткани, кости и мозг. Злокачественные образования могут метастазировать в иные части организма.
Менингиомы чаще появляются у женщин. В основном наблюдаются у взрослых, но они могут выявляться и у подростков, и у детей.
На долю этого вида образований приходится 15% всех опухолей мозга. Более чем в 90%случаев эти образования являются доброкачественными, и только 3% — злокачественные.
Большая часть этих образований мозга увеличиваются медленно и на момент своего выявления уже достигают значительных размеров.
Чем чаще всего вызвано повышенное внутричерепное давление у грудничков и как вовремя выявить симптомы заболевания.
Что нужно знать, чтобы вовремя диагностировать воспаление тройничного нерва — симптомы и признаки болезни.
Причины, которые вызывают менингиому головного мозга
Головной и спинной мозг находятся в окружении 3 оболочек, которые создают защитный слой. Именно с них начинают расти клетки опухоли. Пока науке точно неизвестно, что именно провоцирует рост таких опухолей.
Есть мнения, что имеет место наследственная склонность к появлению менингиом, иные же отдают главное место факторам окружающей среды.
К причинам развития образований относят:
- лучевая терапия;
- женские гормоны;
- наследственные нарушения нервной системы;
- возраст после 40 лет;
- низкие дозы радиации;
- рак груди;
- вредная промышленность;
- травма головы;
- любой вид облучения головы;
- перенесенные воспаления мозга или его оболочек;
- неблагоприятные факторы окружающей среды;
- употребление продуктов с нитратами.
Группы риска
В группу риска развития данной опухоли входят:

- люди среднего и пожилого возраста;
- женщины;
- дети до 8 лет;
- люди белой расы;
- имеющие болевших родственников;
- работники ядерных реакторов;
- люди, работающие с формальдегидом;
- работающие в нефтеперерабатывающей, резиновой, фармацевтической и химической промышленности;
- люди, которые постоянно делают у стоматолога рентгеновские снимки;
- имеющие иммунные сбои;
- прошедшие пересадку органов,
- ВИЧ-инфицированные.
Характерные признаки опухоли
Симптомы менингиомы головного мозга по стандарту развиваются не сразу и вначале могут быть очень не четкими.
Симптомы делят на:
- Общемозговые — вызваны увеличением содержания коробки черепа и повышением давления внутри него;
- Локальные (очаговые) — появляются из-за давления опухоли на различные мозговые структуры.
Среди общих признаков часто встречаются такие:
- головная боль по ночам или после лежания в кровати;
- нарушение зрения, в особенности двоение и утрата остроты;
- тошнота и рвота;
- проблемы с памятью;
- изменение психики;
- приступы эпилепсии;
- слабость в руках или ногах одной стороны.
Очаговые признаки менингиомы:
- параличи рук и ног;
- снижение остроты зрения, опущение верхнего века;
- утрата слуха;
- притупление или потеря обоняния;
- припадки, похожие на эпилепсию;
- психические отклонения;
- нарушения мышления;
- нарушение координации движений;
- рост давления внутри глаз;
- не проходящая тошнота.
Если рост опухоли мешает оттеканию ликвора, то появляется гидроцефалия, отек мозга, чему сопутствует усиленная головная боль, головокружение, психические расстройства.
Диагностические методики

На фото МРТ менингиомы головного мозга
Диагностика опухолей мозга стандартно начинается с неврологического обследования, состоящего из проверки зрения, слуха, координации движений.
Зависимо от полученных результатов доктор может назначить такие обследования:
- магнитная томография;
- компьютерная томография;
- биопсия;
- магнитно-резонансная спектроскопия;
- позитронно-эмиссионная томография;
- ангиография.
На выбор алгоритма лечения менингиомы головного мозга влияет большое количество моментов:
- размеры опухоли;
- ее тип;
- расположение;
- симптомы, провоцируемые опухолью;
- состояние больного;
- его способность выдержать процедуру.
При лечении применяется 4 подхода:
- Динамическое наблюдение за развитием опухоли — тактика ожидания. Включает постоянное наблюдение за менингиомой посредством МРТ, которая осуществляется раз полгода. Для больных с крупными опухолями, которые имеют выраженную симптоматику, такой способ не используется. Подходит он для людей пожилого возраста или лиц с серьезными отклонениями в состоянии здоровья, не дающими проводить более основательное лечение.
- Хирургическое удаление менингиомы головного мозга — операция по оперативному удалению опухоли, имеет огромное количество преимуществ. Если образование доброкачественное и может быть полностью иссечено, то вероятность излечения очень большая. Кроме того, удаление опухоли дает материал для более точной постановки диагноза.
- Стереотаксическая радиохирургия — применение нацеленных пучков излучения, уничтожающих клетки опухоли без вреда для окружающих непораженных тканей.
- Традиционная лучевая терапия — назначается при многочисленных злокачественных опухолях, которые трудно локализовать, либо же при лечении очень крупных для радиохирургии образований. Для большинства опухолей мозга стандартное лечение лучом не является настолько успешным способом лечения, как радиохирургия, и, поэтому остается не соновным способом.
Послеоперационный период - что нужно знать
Неполное удаление опухоли может вызывать рецидивы — примерно в 10% случаев.
К сожалению, не исключены инфекции и кровопотери, вызванные операцией. Хотя и осуществляются эти тяжелейшие вмешательства профессионалами высокого уровня под контролем специальных приборов. После операции необходимо постоянное наблюдение больного в медучреждении. Это существенно уменьшит риск появления и роста нового образования.
Если пациент начал неожиданно терять память или зрение, у него начались приступы головной боли, нужно безотлагательно обратиться в больницу. Лучше удостовериться, что подозрения были ложными, чем лечить запущенное заболевание.
Последствия и прогноз
Последствия и прогноз после удаления менингиомы головного мозга посредством операции могут быть различными.
В случае доброкачественного образования почти во всех случаях происходит полное излечение без повторов и отклонений в работе систем организма.
Если образование злокачественное и повредило глубокие ткани мозга, то не исключено, что при операции были нарушены важные части мозга.
Может случиться:
- потеря зрения;
- потеря слуха;
- снижение чувствительности;
- паралич конечностей;
- нарушения координации;
- не исключено появление рецидивов.
- имеется два способа, чтобы снизить вероятность их появления:
- применение лазера;
- трепанация черепа.
Более точные дальнейшие действия определяет врач после МРТ.

Зачастую пациент не догадывается о наличии менингиомы до появления последствий: головных болей, судорог или снижения функций мозга.
Но даже доброкачественные опухоли могут появляться вновь в 3% случаев, злокачественные — в 78%.
Стоит обратить внимание на пятилетний индекс повторения опухоли зависимо от ее расположения.
Реже всего повторяются опухоли свода черепа — 3%; в области турецкого седла — 19%; в области клиновидной кости — в 34% случаях. Чаще всего появляются вновь образования крыльев клиновидной кости и пещеристого синуса — от 60 до 100%.
В большинстве своем опухоль доброкачественная, и ее можно без труда иссечь, что дает шанс на полное излечение. Если же опухоль преобразуется в злокачественную, появляются метастазы, тогда прогноз более пессимистичный.
Даже скромные размеры образования могут провоцировать серьезные осложнения в виде отека головного мозга.
При обследовании на ранних этапах и при небольших размерах образования используют лучевую терапию.
Для своевременного обнаружения нарушения и последствий, имеющих отношение к развитию образований, при длительных головных болях, нарушении зрения и иных симптомах, нужно обратиться к доктору. Который подробно расскажет, что нужно делать пациенту с опухолью и какие существуют противопоказания при менингиоме головного мозга.
Правильно поставленный диагноз и лечение вовремя помогут вам сохранить и здоровье, и жизнь.
Менингиома головного мозга
Менингиома головного мозга (код по МКБ 10 - D32.0) представляет собой новообразование, которое происходит из арахноидальной (паутинной) оболочки мозга. Менингиома головного мозга морфологически имеет четкие очертания и выглядит как подковообразный или шаровидный узел, чаще всего сращенный с твердой оболочкой мозга.
В Юсуповской больнице для лечения менингиомы квалифицированные специалисты применяют самые передовые технологии и проверенные временем эффективные методы: лучевую терапию, стереотаксическую радиохирургию, качественное удаление менингиомы головного мозга. Восстановление после операции проводится в отделении реабилитации Юсуповской больницы под тщательным наблюдением компетентных врачей-реабилитологов и внимательного медицинского персонала.

Менингиома: что это такое?
Как правило, менингиома имеет доброкачественный характер, однако, как и любая другая опухоль, локализованная внутри черепной коробки, доброкачественная менингиома головного мозга считается относительно злокачественной, сопровождающейся симптомами, связанными со сдавлением мозгового вещества. Злокачественная опухоль головного мозга (менингиома) - менее распространенное заболевание, для которого характерен агрессивный рост и высокая частота рецидивов после хирургического лечения.
Наиболее часто менингиома мозга локализуется в области большого затылочного отверстия, больших полушарий, пирамиды височной кости, крыльев клиновидной кости, тенториальной вырезки, парасагиттального синуса и мостомозжечкового угла.
В большинстве случаев менингиома находится в капсуле. Опухоль не характеризуется образованием кист, может быть маленькой, всего несколько миллиметров или достигать больших размеров - свыше 15 сантиметров в диаметре. Если менингиома растет в сторону мозга, то образуется узел, который со временем начинает сдавливать мозговое вещество. Если опухоль растет в сторону костей черепа, то со временем она прорастает между клетками кости и вызывает утолщение и деформацию кости. Опухоль может расти одновременно в сторону кости и мозга, тогда образуются узлы и деформация костей черепа.
Причины развития
Прямые причины развития менингиом на сегодняшний день достоверно не изучены. Однако существует ряд факторов, которые могут провоцировать их возникновение:
- чаще всего менингиома головного мозга диагностируется у пациентов зрелого возраста, после 40 лет;
- известно, что женщины подвержены развитию менингиомы мозга больше, чем мужчины. Это обусловлено тем, что на рост опухоли оказывают большое влияние женские половые гормоны;
- возникновение различных новообразований в головном мозге нередко связано с высокими дозами ионизирующего излучения;
- влияние таких негативных факторов, как химические и токсические вещества, травма, воздействие мобильного телефона и других;
- немалая роль в развитии менингиомы принадлежит генетическим заболеваниям, одним из которых является нейрофиброматоз второго типа, вызывающий множественные злокачественные менингиомы.
Симптомы и признаки
Менингиома головного мозга (МКБ 10 - D32.0) отличается относительно медленным ростом, поэтому достаточно долго может развиваться бессимптомно.
Одним из первых симптомов является головная боль - тупая, распирающая или ноющая. Она отличается разлитым характером и локализацией в области затылка, лба или висков.
Возникновение других симптомов связано с локализацией опухоли (сдавлением тех или иных структур головного мозга). Подобная симптоматика называется очаговой.
Менингиома головного мозга может подозреваться в случае наличия следующих симптомов:
- парезов конечностей (выраженной слабости, снижения чувствительности, появления патологических рефлексов);
- выпадения полей зрения и иных зрительных расстройств (снижение остроты зрения, двоение в глазах). Характерным признаком является птоз - опущение верхнего века;
- ухудшения слуховой функции;
- снижения или полной потери обоняния, обонятельных галлюцинаций;
- эпилептиформных припадков;
- психоэмоциональных нарушений, поведенческих расстройств - такими симптомами чаще всего проявляется менингиома лобной доли головного мозга;
- нарушений мышления;
- нарушения координации и походки;
- повышения внутриглазного давления;
- тошноты и рвоты, не приносящей облегчения.
При нарушении оттока ликвора отмечается возникновение гидроцефалии, отека головного мозга, вследствие чего у пациентов появляются упорная головная боль, головокружения, психические расстройства.

Наиболее информативными и точными методами диагностики менингиомы являются компьютерная томография (КТ) и магнитно-резонансная томография (МРТ). Как правило, данные исследования проводят с контрастированием. КТ и МРТ позволяют определить размер опухоли, её локализацию, степень поражения окружающих тканей и возможные осложнения.
Для определения химического профиля и характера новообразования применяют магнитно-резонансную спектроскопию (МРС). Установить очаги рецидива менингиомы позволяет позитронно-эмиссионная томография (ПЭТ).
Вспомогательным методом, позволяющим определить характер кровоснабжения опухоли, является ангиография. Данное исследование нередко используется в процессе предоперационной подготовки.
Различают 11 видов доброкачественных менингиом:
- менинготелиальные менингиомы - 60%;
- переходные менингиомы - 25%;
- фиброзные менингиомы - 12%;
- редкие виды менингиом - 3%.
Опухоль мозга может располагаться на разных участках головного мозга:
- конвекситальная опухоль - 40%;
- парасаггитальная - 30%;
- базальное расположение опухоли - 30%.
Менингиома головного мозга лобной доли
Менингиома лобной области образуется очень часто, в большинстве случаев длительное время не беспокоит больного. Если менингиома расположена в правой лобной доли, то симптомы будут проявляться на противоположной стороне тела.
Причины развития менингиомы лобной области различные: черепно-мозговая травма, воспалительное заболевание оболочек мозга, генетическая предрасположенность, пища с высоким содержанием нитратов, нейрофиброматоз и другие причины. Доказанной причиной развития опухоли считается радиоактивное облучение, все остальные причины относятся к факторам риска.
Менингиома лобной области может вызывать ухудшение зрения, головную боль, парез мимических лицевых нервов, мускулатуры рук, вялость и другие симптомы.
Анапластическая менингиома
Анапластическая менингиома - это опухоль головного мозга 3 степени злокачественности, в течение трех лет после лечения у всех больных происходит рецидив опухоли.
Менингиома парасаггитальная
Менингиома парасаггитальная располагается в затылочной, теменной или лобной части вдоль продольной средней линии. Нередко эта опухоль сопровождается патологическим увеличением содержания костного вещества в костной ткани. Менингиомы парасаггитальные, растущие в лобной части головы, вызывают:
- повышение внутричерепного давления;
- развитие застойных дисков зрительного нерва на глазном дне;
- сильную тошноту и рвоту, головную боль;
- эпилептические припадки.
Парасаггитальная менингиома теменной области головы характеризуется нарушением чувствительности и эпилептическими припадками. Менингиома затылочной области характеризуется повышением внутричерепного давления, беспокоят галлюцинации.
Атипичная менингиома
Атипичная менингиома головного мозга - это опухоль 2 степени злокачественности, рецидив опухоли возникает у 30% больных в течение 10 лет после лечения.
Менингиома фалькс
Опухоль, растущая из большого серповидного отростка мозга, называется менингиома фалькс. Со временем опухоль прорастает в сагиттальный венозный синус, возникает нарушение венозного кровообращения, внутричерепная гипертензия. Рост опухоли вызывает следующие негативные симптомы: эпилептические припадки, нарушение чувствительности и двигательной активности ног, тазовые нарушения.

Лечение
Менингиома очень часто вызывает развитие отека окружающих тканей, что влияет на появление различных негативных симптомов. Для снятия отека назначают стероидные препараты. Лечение менингиомы зависит от типа и размера опухоли, ее локализации, состояния здоровья и возраста пациента.
Согласно данным медицинской статистики, в 90% случаев менингиомы головного мозга представляют собой доброкачественные опухоли, для которых характерно медленное развитие и отсутствие сопутствующего поражения жизненно важных органов.
Злокачественные образования отличаются быстрым ростом, наличием метастазов в любых других органах человеческого организма.
Удаление опухоли
Удаление менингиомы проводится не всегда. Чаще всего за доброкачественной опухолью устанавливается наблюдение. Хирургическое вмешательство требуется, если менингиома злокачественная и увеличивается в размерах.
Основным методом лечения растущей доброкачественной и злокачественной опухоли является операция по удалению менингиомы головного мозга. Очень важно выполнить грамотное удаление новообразования. Последствия некорректного хирургического вмешательства, при котором были поражены окружающие ткани мозга или венозные синусы могут быть весьма плачевными. Такая операция может стать причиной значительного снижения качества жизни больного, поэтому нередко нейрохирурги оставляют часть раковых тканей, постоянно контролируя их рост.
Злокачественные менингиомы имеют склонность рецидивировать, что требует проведения повторного хирургического вмешательства.
Последствия операции
В зависимости от расположения опухоли и ее размера, после операции могут развиться осложнения: ухудшение или потеря зрения, частичная или полная потеря памяти, парез конечностей, нарушение концентрации внимания, изменение характера, личности, отек мозга, кровотечение.
Лучевая терапия
Лечение менингиомы мозга без операции предполагает применение методов лучевой терапии, которые используются при отсутствии возможности эффективного удаления опухоли хирургическим путем. Патологические клетки разрушаются под воздействием высоких доз рентгеновского облучения. Применение стандартной лучевой терапии нецелесообразно для лечения пациентов с диагнозом «большая менингиома головного мозга». Однако лечение без операции в таких случаях малоэффективно.
При локализации опухоли в труднодоступном для нейрохирурга месте, либо при близком расположении к ней зон, повреждение которых может привести к нарушению жизненно важных функций, специалисты Юсуповской больницы отдают предпочтение стереотаксическим методам. Данный вид терапии может применяться для лечения опухолей большого размера. В основе стереотаксической радиохирургии лежит прицельное облучение опухолевого образования лучами, расположенными под разными углами.
Часто стереотаксический метод комбинируют с хирургическим лечением - при наличии противопоказаний для удаления опухолей обычным способом.
Для лечения доброкачественных менингиом головного мозга не применяется химиотерапия.

Рецидивы
При обнаружении у больного доброкачественной, четко ограниченной менингиомы, не проросшей в окружающие ткани, хирургическое вмешательство чаще всего обеспечивает полное выздоровление.
Однако необходимо помнить, что после удаления даже доброкачественных менингиом могут возникнуть рецидивы. Рецидивы атипичных менингиом регистрируются почти в 40% случаев, злокачественных - в 80%.
Развитие рецидивов в течение пяти лет после операции зависит и от локализации опухоли.
Реже всего возникают рецидивы при менингиоме, локализованной в своде черепа, чаще - в области турецкого седла и тела клиновидной кости. Наиболее часто рецидивируют опухоли, поражающие клиновидную кость и пещеристый синус.
Реабилитация
Реабилитационный период после операции длится, как правило, 7-8 недель. В первую, щадящую неделю пациенту необходимо строгое соблюдение постельного режима, режима сна и отдыха, исключение стрессов, лечебная гимнастика, правильное питание, отказ от физических нагрузок.
Стационарный медицинский контроль необходим пациентам, которым была удалена атипичная или злокачественная менингиома головного мозга. Операция стереотаксическим методом проводится для увеличения продолжительности ремиссии в случае выявления рецидива на ранних стадиях развития.
Полное выздоровление может быть гарантировано только в случаях, когда абсолютно удалена менингиома головного мозга. Прогноз жизни без операции менее благоприятен.
Для того, чтобы сократить реабилитационный период после операции, специалисты Юсуповской больницы проводят мероприятия, способствующие более быстрому восстановлению пациентов: медикаментозную терапию (больному назначается прием препаратов, снижающих внутричерепное давление, снимающих отек и воспаление, купирующих неврологические проявления), физиотерапию и др.
Пройти диагностику и лечение злокачественных и доброкачественных опухолей можно в Юсуповской больнице, которая оснащена инновационным оборудованием. Высококвалифицированные специалисты работают только в поле доказательной медицины с применением стандартов, протоколов и лечебных подходов ведущих стран мира. Записаться на консультацию можно по телефону и через форму записи на сайте.
Глиома головного мозга: симптомы и лечение
Глиома головного мозга представляет собой наиболее часто встречающийся вид опухоли, растущий из глиальной ткани, которую составляют вспомогательные клетки нервной системы. На долю глиом приходится около 60% всех опухолей, локализованных в головном мозге. Название разновидностей глиом - астроцитом, эпендимом и других происходит от названия клеток, образующих опухоль.
Услуги по диагностике и лечению глиомы головного мозга предлагает ведущий многопрофильный медицинский центр Москвы - Юсуповская больница. Положительные результаты лечения достигаются благодаря высокому профессионализму врачей центра онкологии и передовым технологиям, которые применяются для борьбы с опухолями головного мозга.

Классификация
- Астроцитомы - самый распространенный тип глиомы, локализованный в белом веществе головного мозга. В зависимости от типа астроцитарная глиома головного мозга может быть фибриллярной (протоплазматической, гемистоцитической), анапластической, глиобластомой (гигантоклеточной, глиосаркомой), пилоцитарной астроцитомой, плеоморфной ксантоастроцитомой и субэпендимарной гигантоклеточной астроцитомой.
- Эпендимомы - могут встречаться в 5-7% случаев опухолей головного мозга, характеризуются типичной локализацией в системе желудочков головного мозга.
- Олигодендроглиомы - составляют от 8 до 10% всех опухолей головного мозга, развиваются из олигодендроцитов.
- Глиома хиазмы - распространяется по зрительному нерву в полость орбиты, может прорасти в гипоталамус, поразить III желудочек головного мозга. Такая опухоль вызывает нарушение эндокринного баланса, обменные расстройства, снижение зрения, характеризуется внутричерепной гипертензией, в зависимости от локализации и размера новообразования.
- Смешанные глиомы - олигоастроцитомы, анапластические олигоастроцитомы.
- Невриномы - составляют от 8 до 10% опухолей.
- Опухоль сосудистого сплетения - редкий вид глиомы, встречающийся в 1-2% случаев.
- Нейроэпителиальная опухоль неясного генеза - в эту группу входит астробластома и полярная спонгиобластома.
- Диффузная глиома ствола головного мозга - опухоль с высокой степенью злокачественности, рак центральной нервной системы. Болеют люди любого возраста, однако опухоль редко встречается у подростков и детей. Прогноз выживаемости при таком типе опухоли плохой. Диффузная глиома развивается в области зоны головного мозга, в которой находятся все важные нервные соединения, обеспечивающие связь анализирующих нервных центров мозга и импульсов костно-мышечного аппарата конечностей. Опухоль очень быстро вызывает паралич.
- Нейрональная и смешанная нейронально-глиальная опухоль - встречается в крайне редких случаях (до 0,5%). К данной группе относят ганглиоцитому, ганглиоглиому, нейроцитому, нейробластому, нейроэпителиому).
- Глиоматоз головного мозга.
Степени
Существует классификация ВОЗ, согласно которой глиомы подразделяются на четыре степени:
- I степень - медленно растущая глиома доброкачественного характера, которая ассоциируется с долгим сроком продолжительности жизни;
- II степень - медленно растущая «пограничная» глиома мозга, которая имеет тенденцию к переходу в III и IV степень;
- III степень - глиома злокачественного характера;
- IV степень - быстрорастущая глиома головного мозга: продолжительность жизни пациентов с таким диагнозом значительно сокращается.
Симптоматика глиомы головного мозга зависит от локализации опухоли, её размеров, она состоит из общемозговых и очаговых симптомов.
Наиболее часто глиома головного мозга проявляется упорными и постоянными головными болями, при которых у больных возникает тошнота и рвота, после которой не наступает облегчение, а также судорожным синдромом.
Помимо этого, в зависимости от того, какой отдел мозга поражен глиомой, у больных нарушается речь, ослабевают мышцы, может наблюдаться появление парезов и параличей рук или ног, лица и других частей тела. Может нарушаться зрительная или осязательная функция, координация походки и движений.
Может измениться психика, часто отмечается развитие поведенческих расстройств. Кроме того, у больных с глиомами мозга нарушается память и мышление. Вследствие нарушения циркуляции ликвора развивается внутричерепная гипертензия и гидроцефалия.

Диагностика глиомы головного мозга основывается на результатах тщательного неврологического обследования и других специальных диагностических исследований.
В первую очередь врач центра онкологии Юсуповской больницы проводит оценку состояния рефлексов и кожной чувствительности, двигательной функции конечностей. При наличии жалоб больного на ухудшение зрительной функции ему назначается консультация врача-офтальмолога.
Нервно-мышечная система оценивается с помощью инструментальных методов диагностики - электромиографии и электронейрографии. Кроме того, проводится люмбальная пункция, позволяющая выявить атипичные клетки в цереброспинальной жидкости. Данное исследование применяют также для проведения вентрикулографии и пневмомиелографии.
Огромное значение в диагностике опухолей мозга имеют современные методы визуализации, обеспечивающие получение послойного изображения тканей головного мозга. К ним относят компьютерную томографию (КТ), магнитно-резонансную томографию (МРТ). Данные исследования считаются довольно безопасными и очень информативными, с их помощью определяется локализация, размер, форма и структура новообразования.
Для определения смещения срединных структур головного мозга проводится ультразвуковое исследование мозга (М-эхо).
Дополнительно может быть назначено проведение церебральной контрастной ангиографии (рентгеновского исследования сосудов мозга), электроэнцефалографии, сцинтиграфии и ПЭТ.
Как любое злокачественное опухолевое образование, глиома головного мозга лечится тремя основными методами, которые используются в современной онкологии, - с помощью хирургического вмешательства, лучевой терапии (в том числе радиохирургии) и химиотерапии.
Золотым стандартом лечения глиомы головного мозга является хирургическое лечение. При условии операбельности опухоли проводится операция по удалению новообразования.
До операции и после неё проводится лучевая терапия. При неоперабельных опухолях (если глиома локализована в труднодоступном месте) данный метод применяется как отдельный. На сегодняшний день традиционную лучевую терапию заменила стереотаксическая - радиохирургия.
Химиотерапевтическое лечение глиомы может применяться как в дооперационный, так и в послеоперационный период.
Хирургическое лечение
Операция по удалению злокачественной глиомы является открытой, предполагающей трепанацию черепа, при которой вскрывается черепная коробка. Основная цель хирургического вмешательства - удалить максимальный объем опухоли, оставив нетронутыми здоровые ткани головного мозга, тем самым предотвращая неврологические нарушения. Определенная локализация глиом позволяет достичь эффекта хирургического лечения до 98%.
Ни одна операция по удалению опухоли не гарантирует стопроцентного результата, так как всегда имеется вероятность, что в тканях головного мозга остались раковые клетки. Однако хирургическое вмешательство обеспечивает устранение сдавления окружающих тканей головного мозга и симптоматики глиомы, а также восстановление циркуляции ликвора, если имеется внутричерепная гипертензия.
Эффективность хирургического лечения глиомы мозга во многом зависит от мастерства и опыта оперирующих специалистов. Лечение опухолей головного мозга в центре онкологии Юсуповской больницы проводится с применением высокоточных томографов и нейронавигаторов, благодаря чему вероятность развития рецидива заболевания сводится к минимуму.
Проведение лучевой терапии может быть назначено перед хирургическим вмешательством для уменьшения размеров опухоли перед её иссечением, либо после операции для уничтожения всех оставшихся опухолевых клеток.
Кроме того, данный метод может использоваться как самостоятельный при локализации опухоли в труднодоступном месте, что препятствует её хирургическому удалению. В таком случае лучевая терапия не способствует полному уничтожению опухоли, однако может значительно приостановить её рост.
Традиционная лучевая терапия сопровождается рядом нежелательных эффектов: у больных возникает тошнота, снижается аппетит, повышается утомляемость. В месте лучевого воздействия высока вероятность выпадения волос и развития лучевого дерматита. Как правило, побочные действия лучевой терапии проявляются через 10-14 дней после облучения.
Кроме того, известны и поздние осложнения радиоактивного облучения - у пациентов нарушается память в разной степени, может развиться радиационный некроз (вокруг омертвевших тканей опухоли образуется рубцовая ткань).
Радиохирургия
Ввиду того, что хирургическое лечение опухолей головного мозга не является гарантом полного излечения, после операции может случится рецидив заболевания. Поэтому целесообразно применение дополнительных методов лечения - лучевой терапии и химиотерапии. Как правило, рецидивы локализуются на границах здоровой ткани с областью, где было удалено новообразование. В таких случаях рекомендуется использовать радиохирургию: кибер-нож, гамма-нож, новалис.
Радиохирургия является инновационной методикой лучевой терапии, суть которой заключается в облучении глиомы пучком радиации с различных углов, что обеспечивает попадание радиации на опухоль и минимальное облучение мягких тканей.
В ходе процедуры положение головы больного и локализация опухоли постоянно контролируется с помощью компьютерной или магнитно-резонансной томографии, благодаря чему пучок радиации направляется исключительно на злокачественное новообразование.
Данный метод отличается неинвазивностью, так как никаких разрезов для его выполнения не требуется. Благодаря этому отсутствует риск развития интраоперационных осложнений и побочных эффектов, связанных с традиционной лучевой терапией.
Помимо этого, радиохирургия является абсолютно безболезненным методом, не требующим применения анестезии и проведения подготовительных мероприятий, отсутствует и восстановительный период. Единственное ограничение к радиохирургии - размеры новообразования.
Важно понимать, что эффект от лучевой терапии наступает постепенно, в отличии от хирургического вмешательства. Однако радиохирургия зачастую является единственным альтернативным методом лечения неоперабельных глиом головного мозга.
Лечение глиомы в Юсуповской больнице
Врачи-онкологи Юсуповской больницы владеют колоссальным опытом и эффективными методиками лечения онкологических недугов. Для каждого пациента составляется индивидуальная программа лечения, основанная на результатах тщательного диагностического обследования. Центр онкологии Юсуповской больницы оснащен инновационным оборудованием для проведения качественной диагностики и лечения глиом и других опухолей головного мозга.
Запись на консультацию онколога проводится по телефону Юсуповской больницы или онлайн на сайте через форму обратной связи. Врач-координатор ответит на все ваши вопросы и расскажет о стоимости медицинских услуг и условиях госпитализации пациента.
Читайте также:
