Методика проведения блокады нижнего зубного нерва
Добавил пользователь Евгений Кузнецов Обновлено: 01.11.2025
Блокада верхнечелюстного нерва, также известная как блокада второй ветви тройничного нерва, показана, если есть необходимость в обезболивании половины верхней челюсти. Ее преимуществом является то, что обезболивание всей половины челюсти достигается посредством одного вкола, то есть надобность в применении нескольких различных методик отпадает. Данный вид обезболивания также удобен в случае наличия воспалительных явлений в области других предполагаемых мест вкола, когда постановка местной анестезии в этой области может привести к дальнейшему распространению инфекции/не обеспечить должную глубину обезболивания (либо и то, и другое). Несмотря на данные преимущества, имеются значительные риски и сложности при постановке блокады верхнечелюстного нерва . Бывает сложно осуществить постановку данного вида обезболивания из небного доступа, тогда как постановка из туберального доступа сопряжена с развитием осложнений.
Регулярное применение блокады верхнечелюстного нерва на постоянной основе не одобряется. Рекомендуется приступить к ее изучению и отработке под наблюдением опытного врача, множество раз проводившего данную процедуру.
Существует три известных техники блокады верхнечелюстного нерва. Первая производится с вестибулярного доступа и известна как бугорная, или блокада верхнечелюстного нерва туберальным/вестибулярным/щечным доступом. По второй технике вкол производится из небного доступа, она известна как блокада верхнечелюстного нерва через большое небное отверстие/крылонебный канал, либо просто блокада верхнечелюстного нерва небным доступом. Третья техника выполняется внеротовым доступом и не будет обсуждаться в данном тексте.
Область обезболивания
Происходит обезболивание структур, иннервацию которых обеспечивает верхнечелюстной нерв: пульпы и пародонта всех зубов, а также тканей неба до середины верхней челюсти на стороне проведения анестезии. Также происходит обезболивание тканей лица: верхней губы и щеки, нижнего века, латерального отдела носа. Гемостаз тканей, требующий лечения, не развивается ни при одном из доступов. Все области обезболивания, получаемые при постановке анестезии переднего, среднего альвеолярного нерва, подглазничной анестезии, анестезии у большого небного отверстия и резцовой анестезии, входят в область обезболивания при блокаде верхнечелюстного нерва.
Анатомические факторы
Ветви верхнечелюстного нерва отходят в полости черепа, крыловидно-небной ямке, подглазничном канале и тканях лица в области верхней челюсти. Последние три выходят через различные отверстия и каналы и присоединяются к задним ветвям верхнечелюстного нерва в крыловидно-небной ямке до его входа в полость черепа через круглое отверстие. Ствол верхнечелюстного нерва формируется в крыловидно-небной ямке посредством слияния его ветвей, к которым затем присоединяются менингеальные ветви от твердой мозговой оболочки. После этого верхнечелюстной нерв входит в состав тройничного узла. Правый и левый верхнечелюстные нервы иннервируют верхнюю челюсть и прилежащие кожные покровы, полость носа, небо, верхнечелюстные пазухи, носоглотку и часть твердой мозговой оболочки.
От жевательного давления верхнечелюстную артерию защищает крыловидное венозное сплетение, которое опустошается в ответ на компрессию, обеспечивая таким образом непрерывный кровоток через артерию (Fehrenbach &
Блокада нижнего альвеолярного нерва
Блокада нижнего альвеолярного нерва, так же именуемая, мандибулярной анестезией, является наиболее часто используемой (после инфильтрации) и, возможно, самой сложной инъекционной методикой в стоматологии. К сожалению, она также оказывается и с самым высоким процентом клинических неудач даже при правильном применении.
Это особенно полезная техника для обезболивания квадранта. Дополнительная блокада (щечного нерва) необходима только тогда, когда необходимо обезболить мягкие ткани щеки. В редких случаях может потребоваться супрапериостальная инъекция (инфильтрация) в область нижнего резца для коррекции частичной анестезии, вызванной перекрытием чувствительных волокон с контралатеральной стороны. Интралигаментарная анестезия может стать необходимой, когда изолированные участки зубов нижней челюсти (обычно мезиальный корень первого моляра) остаются чувствительными после успешного выполнения мандибулярной анестезии. Внутрикостная анестезия является дополнительной техникой, обычно используемой на молярах, когда проводниковая анестезия оказалась неэффективной, в первую очередь, в зубах с необратимым пульпитом.
В последующем описании блокады нижнечелюстного альвеолярного нерва отмечается, что место инъекции немного выше, чем это обычно изображается.
Методика проведения блокады нижнего зубного нерва

Блокада нижнего альвеолярного нерва, наиболее распространенная блокада зубного нерва, обезболивает ипсилатеральную часть нижней челюсти (включая зубы и кости), а также латеральную (буккальную) часть слизистой оболочки над нижними резцами, клыками и первым премоляром, и, на коже, ипсилатерально к нижней губе и подбородку.
Язычный нерв расположен поблизости и обычно блокируется случайно, при этом происходит обезболивание ипсилатерального дна ротовой полости, медиальной (лингвальной) десны и передних двух третей языка.
При необходимости анестезии десны с латеральной (щечной) стороны и слизистой оболочки нижних моляров и второго премоляра как часть процедуры нервной блокады нижнего альвеолярного нерва часто проводится блокада щечного нерва (длинной ветви щечного нерва).
Показания к блокаде нижнего зубного нерва
Болезненное состояние нижней челюсти или ее терапия, например
Перелом (нижней челюсти, альвеолярного отростка, зубов)
Рваная рана (слизистая оболочка, нижняя губа, кожа подбородка)*
*Нервная блокада используется вместо местной анестезии, когда важна точная аппроксимация краев раны (например, при восстановлении кожи или губ), поскольку нервная блокада не деформирует ткань так, как местная анестезия.
Противопоказания к блокаде нижнего альвеолярного нерва
Абсолютные противопоказания
Аллергия на анестетик или средство доставки
Отсутствие анатомических ориентиров, необходимых для введения иглы-проводника (например, вследствие травмы)
Относительные противопоказания
Наличие инфекции на пути введения иглы: используйте процедурную седацию или другую анестезию.
Коагулопатия*: если это возможно, перед процедурой необходимо провести коррекцию.
Беременность: по возможности избегать лечения в 1-м триместре.
*Антикоагулянтная терапия (например, при легочной эмболии Тромбоэмболия Легочной Артерии (ТЭЛА) Тромбоэмболия легочной артерии - это окклюзия легочных артерий тромбами любого происхождения, чаще всего образующихся в крупных венах ног или малого таза. Факторами риска тромбоэмболии легочной. Прочитайте дополнительные сведения ). Обсудите все предполагаемые изменения с лечащим врачом, назначившим антикоагулянтную терапию, а затем с пациентом.
Осложнения при блокаде нижнего альвеолярного нерва
Аллергическая реакция на анестетик
Токсичность при передозировке анестетика (например, судороги, сердечные аритмии)
Внутрисосудистые инъекции анестетика/адреналина
Распространение инфекции при прохождении иглы через зараженную область
Анестезия ветвей лицевого нерва (VII пара черепно-мозговых нервов), возникающая вследствие слишком глубокого введения иглы
Поломка иглы и потеря иглы в мягких тканях
Большинство осложнений происходит в результате некорректного введения иглы.
Оборудование для блокады нижнего зубного нерва
Стоматологическое кресло, прямой стул с опорой для головы или носилки-каталка
Источник света для внутриротового освещения
Маска и защитные очки или защитный лицевой щиток.
Аппликаторы с ватным тампоном
Стоматологическое зеркало или шпатель
Оборудование для местной анестезии:
Местные анестетики в виде мази* (например, лидокаин 5%, бензокаин 20%)
Инъекционный местный анестетик, такой как лидокаин 2% с адреналином † в разведении 1: 100000, или для более длительной анестезии, бупивакаин 0,5% с адреналином † в разведении 1: 200000
Стоматологический аспирационный шприц (с узким цилиндром и индивидуальными инъекционными анестезирующими картриджами) или другой узкий цилиндрический шприц (например, 3 мл) с запирающей втулкой
Игла 25-го или 27-го калибра: 3 см длиной для блокады нерва
* ВНИМАНИЕ: все местные анестетики абсорбируются с поверхности слизистых оболочек и при превышении допустимых доз может проявиться токсический эффект. Действие мазей легче контролировать, чем менее концентрированных жидкостей и гелей для наружного применения. Избыточный прием бензокаина в редких случаях может вызывать метгемоглобинемию.
† Максимальная доза местных анестетиков: лидокаин без адреналина, 5 мг/кг; лидокаин с адреналином, 7 мг/кг; бупивакаин, 1,5 мг/кг. ПРИМЕЧАНИЕ: 1% раствор (любого вещества) соответствует 10 мг/мл (1 г/100 мл). Адреналин вызывает вазоконстрикцию, которая продлевает обезболивающий эффект; это целесообразно для хорошо васкуляризированных тканей, таких как слизистая оболочка полости рта. Пациенты с заболеваниями сердца должны получать только ограниченное количество адреналина (максимум 3,5 мл раствора, содержащего 1:100 000 адреналина); в качестве альтернативы можно использовать местный анестетик без адреналина.
Дополнительные соображения при анестезии нижнечелюстного альвеолярного нерва
Документирование любого ранее существовавшего неврологического дефицита перед выполнением блокады нерва.
Пациентам, которые не в состоянии содействовать врачу во время проведения процедуры, может потребоваться седация.
Нервная блокада может быть нарушена, если анестетик не был введен достаточно близко к нерву.
С каждой последующей попыткой используйте новую иглу(предыдущая игла может быть заблокирована тканью или кровью, что может скрытьошибочное попадание внутрь сосуда).
Если вы не уверены в том, что игла находится в правильном месте или пациент неконтактный, прекратите процедуру блокады нерва и используйте другой метод анестезии.
Соответствующая анатомия для выполнения блокады нижнего зубного нерва
Нижний альвеолярный нерв - это ветвь нижнечелюстного нерва, который является 3-ей ветвью тройничного нерва.
Нижний альвеолярный нерв проходит вниз и вперед по медиальной стороне нижнечелюстной ветви. Нерв, сопровождаемый нижней луночковой артерией и веной, входит в нижнечелюстное отверстие примерно в середине ветви нижней челюсти. С этой точки нерв проходит внутри и иннервирует тело нижней челюсти. Оконечная ветвь, подбородочный нерв, выходят через подбородочное отверстие в премолярной области, иннервируя нижнюю губу и подбородок, а также латеральную часть слизистой/десны, покрывающую нижние резцы, клыки и первый премоляр. После этого ветвления нижний альвеолярный нерв продолжается вперед уже как резцовый нерв, иннервируя остальные зубы и кость кпереди от подбородочного отверстия до средней линии.
Язычок является костным выступом на переднем краю нижнечелюстного отверстия.
Позадимолярная ямка представляет собой углубление переднего края ветви нижней челюсти, расположенное кзади от больших коренных зубов.
Крылонижнечелюстной теругольник представляет собой жировое пространство, ограниченное латерально венечным отростком, а медиально - крылонижнечелюстным швом.
Крылонижнечелюстной шов - это тонкая вертикальная полоса (видимая сухожильная линия, соединяющая щечную мышцу и верхний констриктор глотки), которая медиально граничит с крылонижнечелюстным треугольником.
Игла вводится заднелатерально в крыловидно-нижнечелюстной треугольник, параллельно и приблизительно на 1 см выше окклюзионной плоскости нижнечелюстной зубной дуги. При прохождении иглы через мышечную и соединительную ткани игла сталкивается с сопротивлением.
Анестетик в идеале вводится в участок сверху и сзади от язычка (т.е. чуть выше нижнечелюстного отверстия).
Язычный нерв (являющийся ветвью нижнечелюстного нерва) проходит вблизи зоны инъекции и, как правило, попутно анестезируется при анестезии нижнечелюстного альвеолярного нерва.
Положение для проведения блокады нижнего зубного нерва
Разместите пациента слегка наклонно (в полулежачем положении сидя), поддерживая затылок и попросив широко открыть рот, таким образом, чтобы было доступно место инъекции (медиальная сторона ветви нижней челюсти).
Выполняющий процедуру врач с доминантной правой рукой должен стоять справа от пациента, а с доминантной левой - слева.
Пошаговое описание методики
Подготовка
Наденьте нестерильные перчатки и маску, а также защитные очки или защитный лицевой щиток.
Используйте марлю, для того чтобы тщательно высушить птеригомандибулярный треугольник. При необходимости используйте отсасывание, чтобы сохранить сухость области.
Нанесите небольшое количество наружного анестетика с помощью ватного аппликатора и подождите 2-3 минуты, пока анестезия не начнет действовать.
Введение местного анестетика
Попросите пациента открыть рот настолько широко, насколько это комфортно.
Для визуализации высоты по вертикали, на которую войдет игла, поместите кончик большого или указательного пальца на венечную насечку и оттяните щеку, чтобы обнажить крыловидно-нижнечелюстной треугольник.
Поместите и удерживайте цилиндр шприца поверх контрлатерального нижнего 1-го и 2-го премоляров.
Держите иглу параллельно - и примерно на 1 см выше - окклюзионной плоскости нижней челюсти, в вертикальной плоскости венечного отростка.
Чтобы установить правильный угол доступа и место введения, необходимо прижать кончик иглы к латеральному краю крылонижнечелюстного шва так, чтобы кончик был направлен в крылонижнечелюстной треугольник срезом иглы, повернутым к ветви. Поддерживайте этот угол введения при продвижении иглы вперед.
Слегка продвиньте кончик иглы в слизистую оболочку. Аспирируйте, чтобы исключить попадание в сосуд, и введите несколько капель анестетика для облегчения боли от введения самой иглы. Повторите эти небольшие инъекции после постепенного продвижения чуть менее, чем на 1 см.
Если пациент испытывает внезапную, сильную парестезию, успокойте его, т. к. это означает, что игла находится в нужном месте. Незначительное движение иглы назад, а затем её перенаправление может облегчить такое ощущение, но сохранить направление к медиальной ветви и нижней челюсти.
Продвигайте иглу до тех пор, пока она не упрётся в ветвь (как правило, примерно через 2-2,5 см от места введения) и оттяните иглу от кости на 1 мм.
Если игла не попадает в нижнечелюстную кость, это может значить, что она ушла слишком далеко назад (например, в околоушную железу). Извлеките иглу и перенаправьте ее (больше вперед/латерально).
При контакте с ветвью, извлеките иглу на расстоянии 1 мм от кости.
Аспирируйте, чтобы исключить внутрисосудистое расположение
Если аспирация показала внутрисосудистое расположение, выведите иглу на расстояние 2-3 мм, затем, до инъекции, повторно проведите аспирацию.
Необходимо медленно ввести от 2 до 4 мл анестетика, но оставить около 0,5 мл в шприце для анестезии щёчного нерва.
Блокировать буккальный нерв
Извлеките шприц и введите его впереди и латерально к переднему краю ветви на уровне окклюзионной поверхности самого заднего моляра. Подайте иглу назад на 3-5 мм. Для исключения внутрисосудистого размещения необходимо провести аспирацию и ввести около 0,25 мл анестетика.
Помассируйте места инъекции, чтобы ускорить начало наркоза.
Дальнейший уход за пациентом после блокады нижнего зубного нерва
Пациент должен находится в состоянии покоя, с расслабленным ртом, в ожидании начала анестезии (5-10 минут).
Предупреждения и распространенные ошибки при блокаде нижнего альвеолярного нерва
Для минимизации риска поломки иглы, не следует сгибать иглу перед введением, не следует вводить иглу на всю ее глубину (т.е. к соединительной втулке), а также необходимо попросить пациента оставаться неподвижным, с открытым ртом и воздержаться от хватаний за руку.
Советы и рекомендации
Методы отвлечения внимания (например, разговор с пациентом или держание пациента за руку) могут помочь снизить уровень его беспокойства.
Медленно (в течение 30-60 секунд) вводят раствор местной анестезии, чтобы уменьшить боль при инъекции.
Авторское право © 2022 Merck & Co., Inc., Rahway, NJ, США и ее аффилированные лица. Все права сохранены.
Селективная анестезия в эндодонтической практике
Эндодонтисты каждый день решают сложную клиническую задачу корректной диагностики болевых симптомов, связанных с заболеваниями пульпы и периодонта, и последующего лечения таковых с соответствующим купированием боли.

Данные, полученные врачом после сбора анамнеза, рентгенологического обследования и клинического осмотра, как правило, позволяют с достаточно большой точностью идентифицировать проблемный зуб и приступить к его лечению. Пациенты в процессе сбора анамнеза зачастую сообщают о наличие болевых ощущений на термальные раздражители, во время жевания, развитие внутриротового и внеротового отека и формирование свища. В ходе клинического осмотра стоматолог проверяет чувствительность пульпы и реактивность тканей периодонта таким образом, чтобы спровоцировать развитие определенных симптомов. Диагностика состояния пульпы предполагает провокационное действие холодовых факторов и проведение электроодонтодиагностики, а диагностика состояния периодонта - проведение перкуссии, оценку реакции на накусывание и пальпацию. Зачастую пациенты с пульпитом, некрозом пульпы, периодонтитом или апикальным абсцессом характеризуются наличием типичных симптомов, которые относительно просто дифференцировать. Проблемные зубы, как правило, достаточно выражено реагируют на холод, тепло и давление. Для подтверждения клинических предположений можно дополнительно провести прицельную рентгенографию. Стандартными для эндодонтического лечения являются рентгенограммы, полученные по методике bite-wing и периапикальной техникой. Конечно же, снимки, полученные данными методиками, характеризуются определенным уровнем дисторции и взаимоперекрытием контура одних структур другими. Новые технологии по типу конусно-лучевой компьютерной томографии (КЛКТ) обеспечивает лучшую диагностическую точность и характеризуются большим диапазоном возможностей для верификации эндодонтических поражений.
Однако не все пациенты характеризуются наличием типичных симптомов, которые позволяют с легкостью поставить определенный клинической диагноз. Часто пациентам достаточно сложно локализовать источник боли, что, как правило, отмечается у больных с дегенеративными изменениями пульпы, ассоциированными с необоротным пульпитом. У таких пациентов боль может иррадиировать до такой степени, что достаточно сложно определить, локализуется ли проблемный зуб на верхней, или на нижней челюсти. Больные также могут жаловаться на распространение боли в область уха, шеи или виска, а реакция в форме обострения боли может быть отмеченной в области сразу нескольких зубов. Кроме того, пациенты с сильной иррадиирущей болью часто принимают большие дозы безрецептурных анальгетиков по типу ибупрофена, влияние которых еще больше «размывает симптомы». Многие пациенты с пульпитом характеризуются нарушением сна по причине болевых ощущений, что также связано с их обострением. Наличие обширных по размеру реставраций на потенциально проблемных зубах ограничивает возможности для корректной и точной диагностики и вызывает развитие артефактов на КЛКТ-снимках, которые также снижают диагностическую чувствительность последних.
С целью диагностики пациентов с «разлитым» типом боли, которая плохо поддается локализации, необходимо кроме традиционных подходов быть осведомленным и с другими методами идентификации проблемного зуба. С этой целью можно использовать местную анестезию, и такой метод определения проблемного участка по признаку снижения выраженности болевой симптоматики под действием анестетика называют «селективной» анестезией. В данной статье мы обсудим техники селективной анестезии и представим несколько клинических случаев, в которых она поспособствовала постановке правильного клинического диагноза.
Применение селективной анестезии
Особенностью стоматологической боли является то, что ее временно можно устранить при помощи местной анестезии. Для постановки окончательного диагноза требуется воспроизвести в клинических условиях основную жалобу пациента. Но у пациентов с плохо локализированной болью, когда спровоцировать развитие исходно-проблемных симптомов не удается, можно прибегнуть к методу селективной анестезии, которая позволит сузить диапазон возможных источников болевых ощущений. Кроме того, болевые симптомы неодонтогенного происхождения купировать посредством местной анестезии достаточно сложно, следовательно, такой подход позволяет дифференцировать боль одонтогенной и неодонтогенной этиологии. Для корректного применения селективной анестезии необходимо быть в деталях ознакомленным с иннервацией участков нижней и верхней челюстей. На верхней челюсти афферентная иннервация пульпы обеспечивается за счет второй ветви тройничного нерва. Верхнечелюстной нерв обеспечивает чувствительную иннервацию моляров через задний верхний альвеолярный нерв, участка мезиощечного корня первого моляра и премоляров - через средний верхний альвеолярный нерв, и участка фронтальных зубов - через передний верхний альвеолярный нерв. Данная иннервация обеспечивается изолировано с вестибулярной поверхности зубов. Зубы на нижней челюсти обеспечиваются афферентной иннервацией третьей ветвью тройничного нерва. Нижний альвеолярный нерв отвечает за чувствительную иннервацию нижних моляров и премоляров. По своему ходу вперед он делиться на две ветви, одна из которых выходит из структуры нижней челюсти через ментальное отверстие, а другая продолжает свой ход в виде резцового нерва, обеспечивающего чувствительную иннервацию резцов. Передние резцы нижней челюсти могут получать иннервацию также из симметричных нервных окончаний, находящихся на противоположной стороне челюсти. Селективная анестезия предполагает выполнение таковой на строго ограниченном участке. Несмотря на то, что интралигаментарная анестезия иногда рекомендуется для дифференциации болевых ощущений в проекции смежных зубов, некоторые авторы все же не поддерживают ее применение из-за низкой диагностической точности. Для дифференциации боли на верхней и нижней челюсти сначала проводят инфильтрацию верхней челюсти. Полной анестезии зубов на верхней челюсти можно добиться методом инфильтрации со щечной стороны. Введение дополнительной порции анестетика с небной стороны значительно не усиливает анестезирующий эффект. Селективную анестезию необходимо проводить наиболее мезиально от потенциально проблемного участка, при потребности передвигаясь в дистальном направлении. Выбор анестетика не является слишком важным для подобного подхода, поскольку и 2% раствор лидокаина и 4% раствор артикана позволяют добиться желанного эффекта.
Перед тем, как проводить селективную анестезию на нижней челюсти, врач должен быть уверен в достижении надлежащего анестезирующего эффекта в проекции зубов верхней челюсти. Отсутствие чувствительности на введение иглы в близнаходящиеся мягкие ткани является непрямым признаком достаточного анестезирующего эффекта в проекции каждого отдельного зуба. С другой стороны, отсутствие реакции на холодовой раздражитель при условии, что ранее таковой провоцировал развитие определенной реакции, также служит признаком достижения соответствующего анестезирующего эффекта.
После устранения возможности локализации источника боли на верхней челюсти, приступают к выполнению селективной анестезии на нижней челюсти. На данном участке используют ту же концепцию «движения» с мезиальной стороны в дистальную. Учитывая незначительную толщину кортикальной пластинки в проекции нижних резцов, для их эффективного обезболивания, как правило, достаточно инфильтрационной анестезии. В проекции нижних премоляров адекватного анестезирующего эффекта можно добиться за счет инъекции в области ментального отверстия. В проекции нижних моляров проведения инфильтрационной анестезии является нецелесообразным в разрезе селективной техники диагностики, учитывая значительную толщину кортикальной пластинки. Поэтому для обезболивания этих зубов прибегают к технике блокады нижнего альвеолярного нерва по Гоу-Гейтсу или Вазирани-Акинози. Как и на верхней челюсти, выбор анестетика при выполнении селективной анестезии на нижней челюсти не является принципиальным, поскольку все они действуют аналогично. Среди таковых наиболее распространенным в клинической практике являются 3% раствор мепивакаина, 2% раствор лидокаина, 4% раствор прилокаина и 0,5% раствор бупивакаина.
При этом показатели успешности блокады нервов в дистальных участках нижней челюсти остаются достаточно низкими. В одном исследовании с использованием 1,8 мл раствора 2% лидокаина с концентрацией эпинефрина 1:100 000 в ходе блокады нижнего альвеолярного нерва удалось добиться полноценной анестезии пульпы нижних первых моляров только в 51% случаев. Именно поэтому, в дополнение к классической технике анестезии необходимо использовать еще и вспомогательные подходы. Так, щечная инфильтрация 4% раствором артикаина с концентрацией эпинефрина 1:100 000 позволяет наиболее безопасным образом повысить эффективность классической блокады нерва и увеличить эффект анестезии пульпы до 84% по сравнению с использованием таких дополнительных подходов, как внутрикостная анестезия, интралигаментарная анестезия, и дополнительным проведением блокады нижнего альвеолярного нерва.
На фото 1 изображена последовательность выполнения селективной анестезии. Купирование болевых симптомов после выполнения селективной анестезии свидетельствует об их одонтогенной природе и способствует верификации источника. В противном случае при неэффективности селективной анестезии необходимо предположить неодонтогенную этиологию боли. При этом не следует путать общую неспешность процедуры анестезии с низким уровнем диагностической эффективности именно селективной анестезии, поскольку такой может являться вторичным из-за неправильно проведенной инъекции или развивающихся воспалительных изменений.
В описанных ниже двух клинических случаях продемонстрирована клиническая целесообразность использования метода селективной анестезии в эндодонтической практике. Следующие два случая демонстрируют полезность селективной анестезии в эндодонтической диагностике.
Фото 1. Последовательная селективная анестезия (PSA - задний верхний альвеолярный нерв, IAN - нижний альвеолярный нерв).

Клинический случай 1
75-летний пациент мужского пола обратился за стоматологической помощью с основной жалобой на сильную, плохо локализованную боль с правой стороны челюсти и лица, которая началась еще неделю назад. Он описал боль как пульсирующую и указал, что она распространяется от средней линии лица до правого уха как в проекции верхней, так и нижней челюсти. Пациент также сообщил, что воздействие тепла усугубило симптомы, и он может облегчить боль только держа во рту холодную воду. Небольшое облегчение было отмечено при пероральном приеме комбинации 600 мг ибупрофена плюс 500 мг ацетаминофена. Хотя такая основная жалоба пациента, как правило, связана с патологией дегенеративного пульпита, но в ходе клинического осмотра и рентгенологической диагностики не было обнаружено никаких примечательных изменений. Зубы с правой стороны верхней и нижней челюсти не демонстрировали признаков чрезмерной чувствительности на тепловые раздражители, перкуссию и пальпацию. Также у пациента не было идентифицировано признаков припухлости или формирования свищевого хода, подвижность зубов была в границах физиологического диапазона, а глубина пародонтального зондирования не превышала физиологической границы. На первичных рентгенограммах зубов 30 и 31 была верифицирована нормальная ширина пространства пародонтальной связки и ретенция 32 зуба. В структуре 32 зуба визуализировалась небольшая область просветления, находящаяся близко к дистальной поверхности корня 31 зуба (фото 2-3).
Фото 2. Клинический случай 1. Рентгенограмма области дистального правого квадранта верхней челюсти без выраженных признаков изменений.

Фото 3. Клинический случай 1. Рентгенограмма области дистального правого квадранта нижней челюсти без выраженных признаков изменений. Наличие ретинированного моляра.

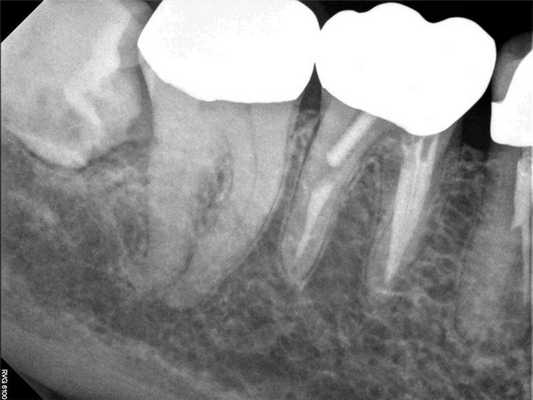
Чтобы купировать выраженные болевые ощущения пациента была проведена блокада нижнего альвеолярного нерва посредством 3,4 мл 0,5% раствора бупивакаина с концентрацией эпинефрина 1:200000. Через 5 минут после анестезии пациент сообщил о полном разрешении боли. Учитывая факт купирования болевых симптомов после выполнения анестезии, было предположено, что этиология таковых является одонтогенной. В ходе выполнения повторной рентгенографии была визуализирован участок внутрикоронковой резорбции непрорезавшегося 32 зуба. Пациент был направлен к челюстно-лицевому хирургу с целью удаления проблемного зуба. После экстракции больной сообщил, что все симптомы боли разрешились. После выполнения экстракции был подтверждён диагноз внутрикоронковой резорбции 32 зуба.
Фото 4. Клинический случай 1. После выполнения анестезиологической блокады было проведенного повторное рентгенологическое обследование, которое позволило обнаружить внутрикорональную резорбцию в структуре ретинированного моляра, которая спровоцировала развитие симптомов необратимого пульпита.

Клинический случай 2
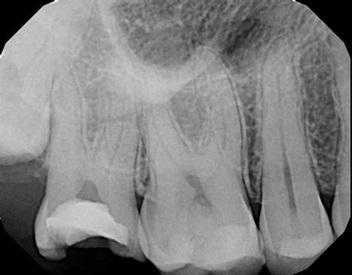
35-летний мужчина обратился за стоматологической помощью по причине сильной боли с правой стороны челюсти и лица. Он не мог самостоятельно четко определить источник боли, но ее интенсивность возрастала на протяжении последних нескольких дней. Сначала пациент чувствовал, что боль распространяется с области нижней челюсти, но за последние 24 часа боли иррадиировала и в проекцию верхней челюсти. Из-за болевых ощущений он практически не спал, а 220 мг принятого им напроксена лишь незначительно снизили интенсивность болевых ощущений. По данным анамнеза удалось установить факт реставрации зубов 2 и 30 в период последних 10 лет. В ходе клинического осмотра были верифицированы признаки микроподтекания вокруг огромной композитной реставрации на окклюзионной поверхности зуба 2. Вторичный кариес был идентифицирован на щечной стороне 30 зуба в области интерфейса соединения реставрации с твердыми тканями. Зуб 1 в ротовой полости не визуализировался. И зуб 30, и зуб 2 не реагировали на провокационные тесты, в то время как соседние зубы демонстрировали нормальную чувствительность к воздействию факторов холода и в ходе проведения электроодонтометрии. На перкуссию и пальпацию все дистальные зубы на верхней и нижней челюсти реагировали нормально, также не было обнаружено признаков отека, свищевого хода или пародонтальных дефектов. На периапикальной рентгенограмме были визуализированы признаки предварительного выполнения пульпотомии зуба 2, без наличия симптомов смежного апикального поражения (фото 5).
Фото 5. Клинический случай 2. Рентгенограмма области дистального правого квадранта верхней челюсти.

В проекции же зуба 30 на рентгенограмме были идентифицированы признаки периапикального поражения и глубоко размещенная реставрация. Таким образом, для зуба 2 был поставлен диагноз предварительно инициированного лечения без смежных периапикальных изменений, в то время как для зуба 30 был поставлен диагноз некроза пульпы и симптоматического апикального периодонтита. При этом было очевидно, что оба зуба нуждаются в проведении полного адекватного эндодонтического лечения. В ходе выполнения селективной анестезии 1,7 мл 4% раствора септокаина с концентрацией адреналина 1: 100 000 путем щечной инфильтрации в проекции зуба 2 не удалось уменьшить интенсивность болевых ощущений. Однако после этого пациент отметил, что боль начала концентрироваться в правом квадранте нижней челюсти. Дальнейшее введение 1,7 мл 2% раствора ксилокаина с концентрацией адреналина 1: 100 000 в ходе блокады нижнего альвеолярного нерва позволило полностью нивелировать болевые ощущения. Затем в зубе 30 была проведена пульпэктомия, и на следующий день пациент сообщил о разрешении всех болевых симптомов.
Фото 6. Клинический случай 2. Рентгенограмма области дистального правого квадранта нижней челюсти.

Выводы
Использование селективной анестезии не должно являться единственным подходом для постановки правильного клинического диагноза. Первичными методами диагностики должны оставаться сбор анамнеза, детальное клиническое обследование и провокационные тесты с уточняющим рентгенологическим исследованием, предусматривающим возможности как для двух-, так и для трехмерной визуализации. Однако, в случаях, когда применение вышеописанных методов не позволяет поставить точный клинический диагноз и локализовать источник боли, врач может прибегнуть к селективной анестезии, который также является диагностическим методом в стоматологической практике.
Авторы:
Brooke Blicher, DMD
Rebekah Lucier Pryles, DMD
Читайте также:
