Методы лечения рака пищевода и их эффективность
Добавил пользователь Валентин П. Обновлено: 28.01.2026
Рак желудочно-кишечного тракта (ЖКТ) может иметь самое разное происхождение. Но чаще всего причины заболевания лежат в следующих состояниях и обстоятельствах:
- генетическая предрасположенность к злокачественным новообразованиям;
- вредные привычки (злоупотребление алкогольными напитками, курение);
- особенности рациона (преобладание в пище продуктов животного происхождения, рафинированные, консервированные и иным способом обработанные продукты, дефицит растительных волокон и пр.);
- хронические панкреатит, гастрит, холецистит и другие заболевания пищеварительной системы;
- ожирение.
Все эти обстоятельства приводят к первичному раку ЖКТ. Но злокачественные процессы могут распространиться на органы пищеварительной системы из других очагов. Так, онкология легких, молочных желез и пр. может распространяться и на пищевод и желудок. В этом случае речь идет о вторичном онкологическом заболевании.
Филиалы и отделения где лечат рак органов ЖКТ
МНИОИ им. П.А. Герцена - филиал ФГБУ «НМИЦ радиологии» Минздрава России.
Отдел торакоабдоминальной онкохирургии
Заведующий отделом - д.м.н. Андрей Борисович Рябов
Абдоминальное отделение
Заведующий отделением - д.м.н. Дмитрий Владимирович Сидоров
Отделение интервенционной онкологии и эндоваскулярной хирургии
Заведующий отделением к.м.н. Андрей Георгиевич Рерберг
Центр HIFU - терапии
МРНЦ им. А.Ф. Цыба - филиал ФГБУ «НМИЦ радиологии» Минздрава России.
Отделение лучевого и хирургического лечения заболеваний абдоминальной области
Заведующий отделением - к.м.н. Леонид Олегович Петров
Отделении лучевого и хирургического лечения заболеваний торакальной области
Заведующий отделением - к.м.н. Илья Владимирович Колобаев
Отделение рентгенохирургических методов диагностики и лечения
Заведующий отделением, заслуженный врач Российской Федерации , к.м.н. Валерий Владимирович Кучеров
Симптомы и признаки рака жкт
Современные методики лечения рака желудка дают возможность достичь устойчивой ремиссии или даже полного выздоровления. Но важно вовремя обратить внимание на симптомы и признаки неблагополучия, и незамедлительно обратиться к врачу. К проявлениям возможной онкологии относятся:
- неприятные симптомы в эпигастральной области, в правом или левом подреберье;
- частые признаки диспепсии, которые не связаны с перееданием, приемом острой или жирной пищи;
- симптомы дисфагии — затрудненное глотание твердой пищи;
- необъяснимые эпизоды тошноты, рвоты, наступающие вскоре после приема пищи;
- снижение массы тела при сохранении привычного рациона и физической активности;
- следы крови в кале;
- нарушения стула (диарея, стеаторея, нитевидный или лентовидный кал);
- качественные изменения кала (обесцвеченный, черный, пенистый, зловонный и пр.);
- признаки внутреннего кровотечения (бледность кожи и слизистых, сонливость, быстрая утомляемость, снижение артериального давления, головокружения).
Симптомы и проявления рака желудка у женщин могут протекать незаметно на фоне дисменореи, пременопаузы или менопаузы. Это требует особого внимания, как самой пациентки, так и ее врача. В остальном симптомы рака ЖКТ у мужчин и у женщин не отличаются. Но мужчины более подвержены этому заболеванию в связи с тем, что они чаще попадают в группу риска в связи с курением, потреблением алкоголя.
При этом симптомы и проявления рака ЖКТ у женщин могут долгое время имитировать гинекологические проблемы, что также важно учитывать.
Методы диагностики рака желудка, кишечника, печени, поджелудочной могут варьироваться в зависимости от анамнеза, перечня признаков и жалоб, семейной истории онкологии и пр.
Диагностика рака жкт
Рак ЖКТ относительно легко выявляется, так как симптомы рака желудка у мужчин и женщин достаточно характерны, чтобы заподозрить эту болезнь. В зависимости от жалоб, с которыми пациент обратился к врачу, диагностика рака желудка или других органов может основываться на лабораторных или инструментальных исследованиях. Но на основании результата лишь одного анализа или метода визуализации диагноз не ставится. Для этого нужен комплекс обследования, который позволяет определить наличие опухоли, ее расположение, размеры, структуру, наличие/отсутствие метастазов и другие критерии.
Поэтому диагностика рака желудка и других органов ЖКТ может включать в себя несколько из следующих процедур:
- Общий анализ крови. Это исследование часто становится первым, с которого начинается диагностика рака желудка у мужчин и женщин. Результаты анализа позволяют определить признаки, указывающие на возможный злокачественный процесс.
- Биохимический анализ крови. Диагностика рака желудка, кишечника, печени и пр. включает в себя это исследование как источник информации об интоксикации, вызванной разложением опухоли, об уровне ферментов, повышающемся при наличии онкологии и др.
- Анализы на онкомаркеры РЭА, СА 19-9, СА 242 и другие. Результаты этого исследования используются в качестве вспомогательных или уточняющих.
- Инструментальные методы диагностики рака желудка и других органов ЖКТ. Для этого используется УЗИ, ФГДС, ФКС, КТ, МРТ, контрастная рентгенография и др.
Эндоскопические методы диагностики рака желудка и кишечника (ФГДС, ФКС) позволяют сделать забор образца ткани с патологически измененного участка желудка или кишечника. После этого биоптат передается в лабораторию на гистологическое и цитологическое исследование.
При симптомах и проявлениях рака желудка у женщин важно исключить наличие опухолей в молочных железах, так как они часто становятся причиной вторичного рака верхних отделов пищеварительной системы. А симптомы рака желудка у мужчин требуют консультации уролога-андролога, так как вторичный рак кишечника может исходить из опухоли простаты.
После того как лечащий врач получил всю совокупность данных, он составляет план терапии для конкретного пациента. Лечение рака желудка может проводиться разными методами и средствами.
Лечение рака жкт
Лечение рака желудка направлено на уменьшение размеров опухоли, на замедление злокачественного процесса, на поддержание общего уровня здоровья пациента, на облегчение симптомов и признаков болезни, и на улучшение качества жизни.
Такая комбинация эффектов достигается при использовании следующих методов:
- . Полное удаление желудка при раке требуется в крайних случаях. Это значит, что этот орган полностью поражен заболеванием, утратил способность выполнять свои функции и становится источником боли, интоксикации. Операция по удалению желудка при раке сопровождается также удалением прилегающих тканей, которые могут быть вовлечены в злокачественный процесс.
- Радиологический. Такое лечение рака желудка направлено на подавление активности раковых клеток и их гибель. В отличие от химиотерапии, радиологический метод использует облучение рентгеновскими лучами. Но лечение рака желудка также может начинаться с радиологического метода и лишь затем проводиться операция по удалению желудка при раке или его части.
- Вспомогательные методы. Для облегчения симптомов и признаков болезни может назначаться сопутствующее лечение рака желудка. В него входят обезболивающие препараты, противорвотные, средства для нормализации состава крови и пр.
Помимо гастрэктомии могут применяться органосохраняющие техники. К ним относится такая операция по удалению желудка при раке как резекция. При этом иссекается только часть органа, после чего восстанавливается непрерывность системы пищеварения. Независимо от характера и вида хирургического вмешательства, назначается дополнительное лечение рака желудка. . Лечение рака желудка этим методом позволяет снизить активность раковых клеток и вызвать их гибель. В зависимости от того, какой выявлен рак ЖКТ, в каком органе, насколько быстро он прогрессирует и образовались ли метастазы, может сначала назначаться химиотерапия, и лишь затем удаление желудка при раке, участка кишечника или другого органа, пораженного болезнью. Такая тактика позволяет замедлить рост и активность раковых клеток, что делает прогнозы более благоприятными.
Химиотерапевтическое лечение рака желудка и других органов ЖКТ может назначаться в виде инъекций или таблеток.
Рак ЖКТ имеет достаточно благоприятные прогнозы при условии, что лечение рака желудка, кишечника, печени и пр. начато вовремя и проводится согласно современным стандартам. Независимо от того, нужно ли полное удаление желудка при раке, или достаточно удаления злокачественного очага, современная онкология владеет огромным спектром методов и средств, чтобы продлить жизнь пациента на максимально долгий срок и сохранить ее высокое качество. Поэтому важно помнить: операция по удалению желудка при раке — не приговор так же, как перестал быть приговором и собственно диагноз рак ЖКТ.
Лечение рака пищевода
Прогноз по успешности лечения зависит от типа и стадии заболевания.
Самый частый вид в онкологии пищевода — плоскоклеточный рак, который развивается из эпителиальных клеток его внутренней оболочки. Распространение заболевания в большинстве случаев начинается в средней части органа. При раннем обнаружении прогноз положительный.
Также часто встречается аденокарцинома, которая растет из клеток, выделяющих слизь. Такие опухоли обычно появляются в нижнем отделе, ближе к желудку. Нередко здесь образуются злокачественные новообразования смешанного происхождения.
Другие онкологические формы встречаются в единичных случаях.
У мужчин заболевание наблюдается чаще, чем у женщин. К факторам риска также относятся:
- пожилой возраст и ожирение;
- курение, злоупотреблением алкоголем, горячим кофе, «красным мясом», острыми соленьями;
- генетическая предрасположенность, некоторые виды заболеваний и синдромы (синдром Барретта);
- радиация.
Стадии рака пищевода
Заболевание 1 ст. не распространяется дальше поверхностного слоя его внутренней оболочки.
На 2 ст. опухоль прорастает в глубокие слои и может мигрировать в близлежащие лимфатические узлы.
3 ст. диагностируется, когда очаг распространяется на стенку и близлежащие ткани или в лимфоузлы.
При заболевании 4 ст. метастазы обнаруживаются в других частях тела.
Методы лечения рака пищевода
Для уточнения диагноза и определения оптимальной схемы терапии вам потребуется пройти назначенное врачом обследование, а также, по мере необходимости, осмотр гастроэнтеролога, онкохирурга, химиотерапевта и лучевого терапевта.
Лечение рака пищевода включает операцию и/или химиотерапию и лучевую терапию, а также комбинацию всех этих методов лечения рака.
В зависимости от стадии и распространенности по данным ПЭТ диагностики и других исследований возможны ситуации, при которых химиотерапия и лучевая терапия предшествует хирургическому вмешательству. Операция в этом случае делается через 6-8 недель после окончания курса ПХТ и ЛТ.
Хирургия используется в качестве самостоятельного метода и, как правило, включается в схему лечения при комплексном подходе. В зависимости от особенностей болезни может быть рекомендовано:
Малоинвазивное вмешательство, выполняемое с помощью эндоскопа (без внешнего разреза). Этим способом на 1 стадии обычно иссекаются очень мелкие опухоли вместе с частью окружающей их здоровой ткани.
Удаление части органа (эзофагэктомия) с с опухолью и ближайшими лимфатическими узлами. Выполняется традиционным способом (открытым методом) или с помощью лапароскопа.
Операция по удалению сегмента пищевода и верхней части желудка (эзофагогастрэктомия), во время которой также убираются близлежащие лимфоузлы и, при необходимости, формируется новый участок из фрагмента толстой кишки.
Стентирование - установка трубки внутри пищевода. Показано, если заболевание привело к сужению органа.
Открытая операция при раке пищевода в абсолютном большинстве случаев требует выполнения нескольких разрезов, которые могут производиться:
- со стороны брюшной полости и груди (трансторакальная эзофагэктомия или операция Льюиса);
- со стороны брюшной полости и шеи (чрезбрюшинная или трансабдоминальная эзофагэктомия);
- со стороны, брюшной полости, шеи и грудной клетки - резекция по Мак-Кеону.
Операция Льюиса при раке пищевода — наиболее распространенный и простой в исполнении метод. Обычно она проводится в том случае, когда новообразование расположено в грудной части органа, при этом выполняется его субтотальное удаление и пластика.
Химиотерапия
Химиотерапия может назначаться в качестве моно-лечения (на поздних стадиях), перед хирургическим вмешательством для уменьшения размеров очага и после него для уничтожения оставшихся раковых клеток. Кроме того, этот метод лечения рака пищевода нередко объединяют с лучевым воздействием.
Лучевая терапия (ЛТ)
В схемы терапии часто входит дистанционная лучевая терапия или облучение контактным методом (брахитерапия). ЛТ может назначаться до и после операции или комбинироваться с химиотерапией. Этим способом также уменьшают образование, которое мешает прохождению пищи или сдавливает окружающие сосуды и органы.
Последствия терапии
Хирургическое удаление опухоли сопряжено с обычными послеоперационными рисками, а также возможностью инфицирования окружающих тканей из-за утечки содержимого пищеварительного тракта в области шва. Поэтому после эзофагэктомии вам может быть рекомендовано питание через зонд для предупреждения инфекции и лучшего заживления.
Побочные эффекты лучевой терапии возникают редко и обычно проявляются преходящим покраснением кожи, болезненным или затрудненным глотанием.
Последствия химиотерапии определяются особенностями действия и дозами получаемых химиопрепаратов.
Восстановление после лечения
Длительность периода восстановления зависит от используемых методов, особенностей заболевания и общего состояния здоровья пациента. Перед выпиской из больницы пациенту разъясняют особенности восстановительного периода и даны рекомендации в отношении диеты, личной гигиены и физической активности.
Если вам требуется второе мнение для уточнения диагноза или плана лечения, отправьте нам заявку и документы для консультации, или запишитесь на очную консультацию по телефону.
Ласков Михаил Савельевич
Научная степень: кандидат медицинских наук
Специализация: онколог , гематолог , химиотерапевт
Должность: главврач
Место работы: «Клиника амбулаторной онкологии и гематологии»
Работал в ведущих онкоцентрах США и Великобритании. Стажировался по медицинскому менеджменту в Канаде, Германии, Сингапуре. Автор ряда публикаций, участвует в научных программах в качестве главного исследователя. Приглашенный эксперт тематических радио- и теле-эфиров на ТВ-каналах «Дождь», «Мир», «РБК» и др., радио «Свобода», «Эхо Москвы», «Маяк» и др. Публикует статьи и дает интервью журналистам популярных изданий «АИФ», «Женское здоровье» и др.
Рак пищевода
Рак пищевода классифицируется в зависимости от типа клеток, из которых он образуется.
Злокачественные новообразования, которые растут из выделяющей слизь железистой ткани, называются аденокарциномами. За счет особенностей анатомического строения этого отдела пищеварительного тракта, они обычно развиваются в его нижней части (на границе с желудком). Из выстилающей внутреннюю поверхность тонкой эпителиальной оболочки образуется плоскоклеточный рак пищевода. В данном случае первичный очаг чаще находится в средней части органа.
Эти две формы заболевания наиболее распространены во всем мире: первый тип чаще встречается в западных странах, второй - у жителей азиатского и африканского регионов.
К редким видам опухолей относятся хориокарциномы, лимфомы, меланомы, саркомы и мелкоклеточный рак.
Злокачественные новообразования этого отдела желудочно-кишечного тракта могут существенно различаться по своей агрессивности. Так, например, низкодифференцированный базалоидный плоскоклеточный неороговевающий рак пищевода быстро прогрессирует, тогда как ороговевающие высокодифференцированные опухоли растут медленнее.
Рак пищевода: причины возникновения
Точные причины заболевания врачам пока неизвестны. Однако существует целый ряд факторов, существенно повышающих риск появления злокачественных новообразований. К ним относятся:
- Курение. Содержащиеся в табачном дыме химические соединения, которые курильщик проглатывает вместе со слюной, - сильнейшие онкогены. Оседая на слизистой верхних отделов желудочно-кишечного тракта (ЖКТ), они разрушают ее защитный слой и способствуют созданию благоприятных условий для генетических мутаций и роста раковых опухолей. По подтвержденным статистическим данным курящие люди болеют раком пищевода в 4 раза чаще, чем некурящие.
- Употребление алкоголя. Алкогольсодержащие напитки действуют аналогично компонентам табачного дыма, причем это действие обладает синергическим эффектом, т.е. риск развития болезни у курильщиков, злоупотребляющих алкоголем, почти в два раза выше.
- Другие причины, вызывающие постоянное раздражение слизистой оболочки. Слизистая оболочка может страдать как от внешнего воздействия (при употреблении горячих напитков, острой, соленой и маринованной пищи), так и вследствие физиологических нарушений (если сюда из нижних отделов ЖКТ постоянно попадают жидкости, участвующие в процессе пищеварения - желудочный сок, желчь, ферменты поджелудочной железы).
- Ожирение. Люди с избыточным весом входят в группу риска.
- Пол. По невыясненным пока причинам мужчины болеют чаще женщин.
- Пожилой возраст. Вероятность появления карциномы возрастает вместе с возрастом: в 95% случаев заболевание выявлено у людей старше 50 лет, при этом возраст 4 из 10 заболевших превышает 75 лет.
- Наследственная предрасположенность и предшествующие заболевания неонкологической природы. К росту опухоли способны привести некоторые наследственные и хронические болезни, а также синдромы, например, синдром Баррета, проявляющийся характерными изменениями слизистой оболочки и считающийся предраковым состоянием.
- Действие радиации. Возможность генетических сбоев повышается вследствие действия радиоактивного облучения.
Как видно из приведенной выше информации, большинство из причин возникновения рака пищевода напрямую связано с неправильным образом жизни.
Таким образом, отказавшись от курения и алкоголя, сбросив вес, включив в режим дня дозированные физические нагрузки и сделав выбор в пользу правильного питания, человек способен максимально защитить себя от риска появления злокачественного новообразования даже в том случае, когда к этому есть иные предпосылки.
При этом особое внимание необходимо уделить диете, соблюдение которой позволяет снизить вероятность развития заболевания и избежать рецидива.
Питание и рак пищевода
Многочисленные исследования показали, что рак пищевода часто диагностируется у людей, употребляющих в пищу «красное мясо» (говядина, свинина, баранина и др.) и пренебрегающих источниками витаминов А и С - свежими овощами и фруктами.
В связи с этим людям с синдромом Баррета, желудочно-пищеводным рефлюксом, а также курильщикам с многолетним стажем (даже в том случае, если они оказались от вредной привычки) рекомендуется изменение рациона, в котором должны преобладать салаты из свежих овощей и фрукты, морепродукты, мясо птицы и кролика.
Учитывая, что плоскоклеточный рак пищевода - одно из наиболее частых онкологических заболеваний в Китае, Индии, Японии и ряде африканских стран, кухня которых изобилует копченостями, жареными блюдами, пряностями, соленьями и маринадами, в целях профилактики следует отказаться от консервированных продуктов и острых закусок.
Питание при раке пищевода
В период подготовки к операции и после удаления опухоли питание должно быть частым, пища - теплой, малосоленой и неострой. В меню необходимо включать кисели, обогащенные «живым» соком, богатые аскорбиновой кислотой и каротином фрукты и овощи, тушеные и приготовленные на пару продукты. Исключается употребление горячего кофе, чая, бульона и др.
Характерные симптомы
Один из первых характерных признаков - затрудненное глотание - появляется тогда, когда опухоль приводит к уменьшению просвета пищевода. Этот симптом возникает раньше при расположении очага в местах физиологических сужений. Больные также могут жаловаться на боли в области груди, охриплость голоса и другие нарушения самочувствия.
Методы диагностики
Основной метод диагностики при новообразованиях желудка и пищевода - эндоскопия с проведением биопсии. Помимо этого, для постановки диагноза, уточнения стадии заболевания и контроля эффективности лечебного процесса назначаются лабораторные анализы и сканирование различными способами.
Методы лечения
Современные подходы к лечению позволяют существенно повысить его эффективность и свести к минимуму дискомфорт от последствий операции. В тех случаях, когда заболевание выявлено на ранней стадии, нередко удается добиться полного выздоровления или длительной ремиссии.


Рак пищевода относится к числу самых агрессивных опухолей и стоит на восьмом месте среди причин смертности от онкологической патологии в мире. Ежегодно в России, по данным Росстата, выявляется 7,6 новых случаев заболевания на каждые 100 тыс. населения. Наиболее подвержены раку пищевода мужчины.
Чаще всего, новообразование возникает в нижнем и среднем отделе пищевода. Самой распространенной гистологической формой является плоскоклеточный рак, реже встречается опухоль, растущая из железистого эпителия — аденокарцинома.
Врачи

Стаж в радиологии - 17 лет, общий - 18 лет.
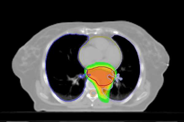
Томотерапия
Ионизирующее излучение приводит к изменениям ДНК раковых клеток, что мешает передать генетическую информацию дочерним клеткам опухоли. Это приводит к замедлению их роста и деления. Под действием радиации развивается повреждение клеток новообразования с дальнейшим некрозом и замещением здоровыми тканями. Эти процессы не происходят мгновенно, и оценить терапевтическое действие лучевой терапии можно спустя некоторое время.
Существует несколько вариантов применения лучевой терапии:
- Адъювантная, проводимая после операции, с целью «добить» уцелевшие клетки опухоли;
- Неоадъювантная, наоборот, применяющаяся перед операцией, чтобы добиться уменьшения размеров новообразования и сделать операбельным;
- Лучевая терапия, не связанная с оперативным лечением.
Самостоятельно стандартное облучение может применяться при относительно небольших размерах новообразования, отсутствии отдаленных метастазов и при относительно удовлетворительном общем состоянии пациента. Вместе с тем, облучение первичной опухоли при раке пищевода без применения других методов лечения, как правило, обладает невысокой эффективностью, что отчасти объясняется отсутствием возможности подвести значительную дозу радиации к опухоли, не навредив окружающим органам.
Принципиально иной подход предполагает применение инновационного метода лечения на аппарате Tomotherapy. Это устройство представляет собой облучатель, совмещенный с томографом, что позволяет максимально точно контурировать опухоль и не облучать окружающие ткани. Длительность лечения на аппарате составляет до полутора месяцев, а суммарно подводимая доза радиации — 40-50 Грей.
Химиотерапия при раке пищевода

Для лечения рака пищевода химиотерапия является одной из трёх основных методик. Эта методика включает в себя использование медицинских препаратов, относящихся к цитостатическим. Их действие заключается в разрушении клеток рака. Когда цитостатики попадают в организм пациента, злокачественные клетки гибнут. При этом на здоровые клетки действие не оказывается.
Но важно учитывать тот момент, что многие ткани в организме страдают от влияния химических препаратов. По этой причине после химиотерапии проявляются различные негативные побочные эффекты.
Симптомы заболевания
Онкологическое заболевание пищевода на начальной стадии может протекать бессимптомно. Но когда новообразование развивается и увеличивается в размерах, могут проявляться различные симптомы заболевания:
Возникают проблемы при глотании пищи, которая застревает в области пищевода.
При глотании возникают болевые ощущения.
Боль может возникать также в спине или груди.
В течение более двух недель человек кашляет, голос у него хриплый.
Значительное и резкое уменьшение массы тела.
Стул приобретает черный цвет.
При возникновении перечисленных симптомов нужно сразу же обратиться к специалисту, чтобы пройти тщательное обследование.
Виды химиотерапии
При постановке диагноза рак пищевода врач может назначить применение одной из нескольких методик, предусматривающие введение в организм пациента токсических веществ интенсивного воздействия. Вводятся препараты следующими способами:
Только врач определяет, какую методику нужно применить в данном конкретном случае. Решение принимается только после изучения истории болезни и наличия каких-либо сопутствующих заболеваний.
Кроме того, учитываются результаты обследования, как инструментального, так и лабораторных анализов.
Но химиотерапия чаще всего применяется в сочетании с другими методиками. В виде монотерапии она используется очень редко.
Как правило, чтобы достичь максимального результата, химиотерапия назначается в комплексе с лучевой.
Показания для проведения
Врач должен правильно подобрать препараты, чтобы они способствовали уничтожению видоизмененных клеток. Только в этом случае рост опухоли будет остановлен.
Обычно химиотерапию применяют при онкологическом заболевании пищевода мелкоклеточного или же низкодифференцированного типа.
Противопоказания
Химиотерапия является серьезной процедурой, так как может губительно влиять как на видоизмененные, так и на здоровые ткани. Поэтому такая методика лечения назначается только после детального обследования пациента.
Кроме того, к проведению химиотерапии существуют определенные противопоказания, которыми нельзя пренебрегать. Среди них можно отметить следующие:
Тяжёлые нарушения в функционировании внутренних органов;
Панцитопения, которая характеризуется уменьшением количества форменных компонентов в крови;
Патологические декомпенсированные процессы;
Истощение организма, называемое кахексией;
Какие-либо психические расстройства.
Противоопухолевые средства являются довольно токсичными. Чтобы лечение было эффективным, и при этом не возникло значительных осложнений, необходимо, чтобы состояние пациента было в достаточной степени удовлетворительным, насколько это возможно при таком заболевании.
Этапы лечения
Очень важно, чтобы перед началом терапии пациент прошел тщательную подготовку. В первую очередь, назначают иммуномодулирующие препараты и другие средства, которые будут защищать слизистые оболочки органов от отрицательного влияния химиотерапевтических средств.
Важна также моральная подготовка и уменьшение интенсивности стресса.Если у пациента диагностированы сопутствующие заболевания, необходимо по возможности их устранить.
Для лечения онкологического заболевания пищевода используется две надежные тактики:
На второй или же третьей стадии воздействие средств предусматривает уничтожение измененных клеток (это неадъювантная, а также адъювантная терапия);
В случае четвертой стадии назначается паллиативная терапия, которая продлевает и облегчает жизнь пациента, насколько это возможно.
Препараты могут вводиться внутривенно или же пероральным способом.
Если это пероральный прием, его можно проводить и дома. Врач назначает перечень препаратов в форме таблеток. Больной может принимать их, находясь дома. Но пациенту необходимо посещать врача, чтобы контролировать эффективность лечения и состояние здоровья в целом.
Если же препараты назначаются внутривенно, пациент должен находиться в стационаре. Чтобы провести процедуру, используют канюлю - специальное приспособление. Его нужно установить прямо в вену, чтобы ввести лекарственный препарат. Процедура введения длится от 3 до 4 часов. После ее завершения пациент может не оставаться в стационаре.
Иногда возникает необходимость, чтобы пациент несколько дней находился в условиях стационара. Некоторые лекарственные средства нужно вводить постепенно, очень медленно.Иногда назначается несколько лекарственных средств, которые следует вводить последовательно. Лечение при этом должно тщательно контролироваться врачом.
Могут назначаться следующие препараты: Фторурацил, Цисплатин, а также Капецитабин или Блеомицин и другие.
Химиотерапия в сочетании с радиотерапией
Иногда специалист назначает облучение вместе с приемом химиотерапевтических препаратов. Такая терапия называется химиолучевой. Определенные цитостатические препараты, например, 5-ФУ, может увеличить эффективность радиотерапии.
Чаще всего химиолучевая терапия назначается в случае плоскоклеточной разновидности рака. Иногда она используется также при аденокарциноме.
Метод используют также, если определены противопоказания к проведению хирургической операции. Кроме того, метод может применяться перед операцией в целях уменьшения размеров новообразования.
Химиолучевая терапия как новая методика лечения иногда назначается в качестве клинического испытания.
Когда облучение применяется в комплексе с цитостатическим препаратами, вероятность возникновения побочных эффектов значительно увеличивается. Но при наличии серьезных нарушений в работе организма, этот метод не подходит.
Если врач хочет назначить химиолучевую терапию, он обязательно обсудит это со своим пациентом. Обсуждаются возможные побочные действия и эффективность метода.
Побочные действия
Возникающие побочные эффекты иногда контролируются путем приема лекарственных препаратов. Многие нежелательные последствия проходят после того, как терапия завершена.
Если заболевание приводит к плохим симптомам, терапия помогает облегчить состояние.
Если при проведении терапии возникают побочные эффекты, необходимо обязательно сообщить о них врачу, так как большинство из них есть возможность устранить.
Возможность инфицирования. При химиотерапии костный мозг вырабатывает меньше белых клеток. Это вызывает нейтропения. Но к следующему этапу лечения их количество восстанавливается.
Анемия также может развиться после химиотерапии. При этом проявляется апноэ и сильная утомляемость. При чрезмерном снижении могут провести переливание крови.
Кровотечение и появление синяков. Выработка тромбоцитов также может быть снижена.
При тошноте и рвоте назначают специальные противорвотные препараты.
Иногда в процессе проведения терапии у пациентов пропадает аппетит. Это состояние чаще всего продолжается в течение нескольких дней. Чтобы не терять массу тела и возобновить аппетит в случае его длительного отсутствия, необходимо обратиться к диетологу.
Нередко увеличивается степень утомляемости. Поэтому нельзя перегружать организм, необходимо больше отдыхать. Важно соблюдать режим отдыха и обеспечивать небольшую физическую нагрузку. При возникновении сонливости следует избегать управления оборудованием или транспортным средством.
В ротовой полости может ощущаться боль, раздражение, сухость. Чтобы снизить вероятность осложнений, необходимо употреблять много жидкости, соблюдать гигиену.
Меняются вкусовые ощущения, но после завершения терапии они приходят в норму. В этом случае необходима консультация диетолога.
После приема некоторых препаратов развивается алопеция. Об этом предупреждает врач. Иногда волосы становятся тоньше, но нередко полностью выпадают.
Препараты также вызывают периферическую нейропатию. При этом страдают периферические нервы.В этом случае дозировку лекарства снижают. Чтобы состояние улучшилось, необходимо подождать несколько месяцев.
При приеме химиопрепаратов может развиваться диарея. В этом случае также принимают лекарства.
В качестве временного симптома проявляется акральная эритема. Прописывают витамины и кремы. При этом конечности следует стараться держать в холоде. Не рекомендуется носить тесную обувь, носки, перчатки.
При раке значительно повышается вероятность образования тромбов. А при химиотерапии риск возрастает дополнительно. Поэтому назначаются средства, разжижающие кровь.
Эффективность лечения
Если использовать в комплексе с химиотерапией другие методы лечения, чаще всего достигается положительный эффект. При этом жизнь пациента можно значительно продлить. Но если это последние стадии заболевания, результативность снижается в разы.
При лечении онкологии пищевода химиотерапию можно назвать эффективным способом лечения болезни, особенно при комплексном использовании других методик. Но нельзя забывать о том, что такое лечение вызывает немало побочных действий и противопоказаний.
Читайте также:
- Лечение отравления алкоголем после кодирования дисульфирамом
- Термины лучевой диагностики опухоли органов грудной клетки
- Применение тепла при среднем отите. Мази и капли при среднем отите
- Глазные причины поворота головы в сторону (вправо или влево)
- Истребление зараженных лейшманиями собак. Лейшманиоз кожный
