Морфология и прогноз злокачественных опухолей головного мозга
Добавил пользователь Евгений Кузнецов Обновлено: 11.12.2025
Злокачественные опухоли головного мозга - это большая группа новообразований, которые развиваются в результате неконтролируемого деления клеток мозговой ткани, тканей мозговых оболочек, лимфатической системы, тканей кровеносных сосудов, располагающихся в черепной коробке, тканей желез внутренней секреции - гипофиза и эпифиза. Все эти новообразования являются первичными опухолями. Иногда употребляющееся слово «рак» совсем не корректно, поскольку оно подразумевает только эпителиальные злокачественные опухоли. Наиболее частными и известными первичными злокачественными новообразованиями головного мозга являются глиомы или глиобластомы — опухоли, которые происходят из глиальной ткани.
Еще одним путём возникновения опухолей головного мозга (ОГМ) является метастазирование злокачественных новообразований другой локализации, например, рака молочной железы, легких, почки. В этом случае речь идет о вторичных, или метастатических, опухолях.
Особенностью первичного злокачественных опухолей головного мозга является то, что лишь малое их число способно к отделённому метастазированию, поэтому общепринятая в онкологии классификация TNM для них не подходит. В этой связи была принята другая классификация, основанная на морфологических особенностях опухолей и степени их злокачественности. Согласно этой классификации опухоли мозга делят на 4 группы, первые две Grade 1-2 относятся к низкозлокачественным, а Grade 3 и 4 - к высокозлокачественным.

Симптомы опухолей головного мозга
У опухолей головного мозга нет каких-либо специфических признаков. Признаки будут зависеть от локализации опухоли, то есть пораженного отдела головного мозга, а также от осложнений опухолевого процесса, например, сдавления ствола мозга, структур зрительного тракта, нарушения оттока ликвора. Размеры опухоли не всегда коррелируют с тяжестью симптомов. Бывает так, что крупная опухоль вызывает минимальные симптомы, в то время как опухоль малых размеров приводит к развитию серьезных неврологических нарушений.
Сдавление мозговой ткани опухолевым образованием приводит к первичной симптоматике. Это может быть нарушение работы органов зрения и слуха, конечностей, двигательные нарушения и др. По мере прогрессирования заболевания нарастает общемозговая симптоматика, которая обусловлена повышением внутричерепного давления и нарушением циркуляции крови.
Итак, какие симптомы должны насторожить пациентов и их близких:
- Головная боль. Один из самых часто встречаемых признаков. Может быть эпизодическая или хроническая. Может быть острой, мигренеподобной, распирающей, тупой.
- Головокружение.
- Тошнота и рвота. Тошнота и рвота, как правило, обусловлены повышением внутричерепного давления и сопровождаются менингиальными симптомами, например, ригидностью затылочных мышц. Рвота обычно не приносит облегчения.
- Судороги и эпилептические припадки. Особенно должно настораживать, если они возникают на фоне общего благополучия.
- Нарушение зрения. Иногда симптомами опухолей головного мозга может стать сужение или выпадение полей зрения, нечеткость зрения и двоение перед глазами, мелькание мушек, спеклы и другие симптомы.
- Нарушения со стороны высшей нервной деятельности - провалы памяти, нарушение речи, замедление мышления, невозможность построения логических связей. Может меняться характер и поведение. Такие пациенты бывают агрессивными, подозрительными, некоторые, наоборот, становятся вялыми и сонливыми.
- Онемение, слабость и параличи конечностей.
- Нарушение походки и чувства равновесия.
- Неконтролируемые движения по типу гиперкинезии.
- Общая слабость, сонливость.

Причины развития опухолей мозга
Как и при многих других редких опухолях, достоверных сведений о том, почему развиваются опухоли головного мозга пока нет. Но удалось выявить факторы, которые повышают вероятность развития заболевания:
- Пожилой возраст.
- Мужской пол.
- Наличие в анамнезе воздействия высоких доз ионизирующего излучения. Обычно это либо прохождение лучевой терапии, либо какие-либо производственные аварии. Не нужно путать ионизирующее излучение с излучением ЛЭП, микроволновых печей или мобильных телефонов. Эти устройства не вызывают такого увеличения риска рака головного мозга.
- Наследственная предрасположенность. Если у кровных родственников была такая проблема, то вероятность развития опухоли увеличивается.
- Продолжительный контакт с некоторыми токсинами — пестициды, продукт нефтепереработки, винилхлориды и др.
- Инфицирование некоторыми вирусами, например, вирусом Эпштейна-Барр, или цитомегаловирусом. Роль последнего пока остается под сомнением.
- Травмы головы.
Однако зачастую опухоли развиваются у людей, которые не имеют ни одного из перечисленных факторов риска.
Диагностика опухолей головного мозга
Чаще всего, пациента, имеющего признаки очаговой или общемозговой симптоматики, сперва направляют к неврологу, который проводит первичную диагностику, во время которой оцениваются следующие показатели:
- Общее состояние.
- Наличие неврологической симптоматики.
Кроме того, офтальмолог может оценить внутричерепную гипертензию путем осмотра глазного дна.

Для обнаружения опухоли используются методы нейровизуализации. Золотым стандартом её является выполнение МРТ с и без контрастирования. Если МРТ недоступна или у пациента есть противопоказания к её выполнению (клаустрофобия, наличие в теле предметов из ферромагнетиков), проводят КТ с контрастным усилением или без него. Дополнительную информацию можно получить с помощью ПЭТ, КТ-ангиографии или дополнительных режимов МРТ. Необходимо иметь ввиду, что внутривенное контрастирование существенно увеличивает эффективность КТ, а при выполнении МРТ - позволяет значительно более качественно обнаруживать злокачественные опухоли, в том числе метастазы небольших размеров без перифокального (то есть образующегося вокруг них) отёка.
Лечение опухолей мозга
В действительности ряд опухолей мозга (низкозлокачественные глиомы и менингиомы) могут не требовать никакого лечения, а лишь регулярного наблюдения. Это связано с их низким потенциалом роста - они могут не увеличиваться в размерах в течение многих лет и десятков лет.
В рамках лечения требующих его опухолей применяются все существующие методы противоопухолевого воздействия: хирургическое удаление, лекарственная терапия, лучевая терапия. Но высокозлокачественные опухоли трудно поддаются излечению ввиду своих особенностей. Их можно сравнить с грибницей, когда то, что врач видит на МРТ и при выполнении операции является лишь уже сформировавшейся макроскопической частью опухоли, а отдельные клетки располагаются в визуально здоровой ткани мозга на большом удалении от основного образования.

Хирургия
На первом этапе методом лечения новообразований головного мозга должно рассматриваться хирургическое удаление. Это позволяет верифицировать опухоль, то есть понять, из каких клеток она развилась и какова степень её злокачественности. Такие операции сложны в исполнении и проводятся на базе специализированных стационаров. Необходимо стремиться к полному удалению опухоли, но так, чтобы выполнение операции не привело к ухудшению неврологической симптоматики, особенно если опухоль располагается рядом с участками мозга, отвечающими за речь, дыхание, глотание, функции конечностей и др. Из-за этого, например, особенно сложными (и зачастую невыполнимыми) являются операции на опухолях ствола головного мозга, отвечающего за выполнение многих жизненно важных функций.
Таким образом, если опухоль локализуется в труднодоступном месте, провести операцию бывает невозможно. Тогда на помощь приходит дистанционная лучевая терапия в различных своих вариациях.
Лучевая терапия
Для лечения опухолей головного мозга применяются различные методы лучевой терапии. Например, ее используют для облучения ложа первичной опухоли со степенью злокачественности III и IV (в таком случае в объём облучения включают зону отёка и визуально здоровые ткани мозга на расстоянии 1-2 см от остаточной опухоли, ложа и отёка) или метастазов после хирургического этапа лечения. В некоторых случаях нужно облучать весь головной и спинной мозг, например, при эмбриональных и герминоклеточных новообразованиях, которые быстро распространяются по спинномозговой жидкости, а также при множественном их метастатическом поражении при отсутствии адекватных вариантов системной противоопухолевой терапии.
Роботизированная радиохирургия на системе «Кибер Нож»
Эта технология является разновидностью дистанционной лучевой терапии, но она позволяет настолько точно подвести дозу к патологическому очагу и воздействовать на него с точностью до миллиметра, что ее называют радиохирургией. Она может проводиться не только на линейном ускорителе электронов КиберНож, но и на других современных ускорителях, более универсальных, и на аппарате ГаммаНож. Технически это реализуется следующим образом — опухоль облучается со многих направлений малыми дозами, которые, по отдельности проходя сквозь здоровые ткани, практически не влияют на них. Но пучки ионизирующего излучения, сходясь в одном объёме, образуют в нём высокую дозу облучения, что приводит к уничтожению в этом объёме опухолевой ткани. Таким образом достигается лечебный эффект. Метод позволяет прицельно облучать небольшие опухоли, расположенные в труднодоступных для хирургии местах.

Химиотерапия
Химиотерапия в основном применяется при лечении глиом, особенно высокозлокачественных, лимфом, герминогенных и эмбриональных опухолей. Чаще всего используются комбинированные протоколы, которые включают темозоломид, винкристин, ломустин, прокарбазин и другие препараты. Лечение проводится в адьювантных режимах после удаления первичного очага, а также при прогрессировании опухолевого процесса.
Таргетная терапия
Таргетные препараты действуют более прицельно и вызывают меньше осложнений. При опухолях головного мозга используются препараты, которые нарушают рост сосудов в опухоли и, как следствие, нарушают ее питание.
Профилактика и реабилитация
Специальных методов профилактики развития опухолей головного мозга не существует.

Что касается реабилитации, то её объём зависит от состояния пациента и симптомов болезни и последствий проведённого лечения. Если есть судороги, обязательно подбирается противосудорожная терапия. Некоторым необходимы занятия с логопедом, обучения навыкам альтернативного общения, лечебная физкультура и др. в целом, реабилитация напоминает таковую при инсульте.
Рак мозга 4 стадии
Все типы рака принято классифицировать по стадиям, в зависимости от того, насколько сильно опухоль успела распространиться. Стадии опухоли мозга разнятся по признакам:
- чаще всего, первая стадия рака соответствует новообразованию, которое находится в пределах одного органа,
- вторая — распространению на близлежащие (регионарные) лимфоузлы,
- третья — распространению на соседние органы.
Эти стадии опухоли головного мозга существенно отличаются от четвёртой. Рак на последней стадии называют метастатическим, потому что при нем обнаруживаются отдаленные метастазы в различных частях тела. Такие опухоли практически не поддаются лечению, прогноз в большинстве случаев неблагоприятен, врач может лишь замедлить прогрессирование и продлить жизнь пациента.
При раке головного мозга картина несколько отличается. Такие опухоли в первую очередь опасны не метастазами, а тем, что они повреждают нервные центры и нарушают важные функции мозга.
В связи с вышеописанным, важно выделять не только стадии опухоли мозга , но и другие характеристики злокачественного новообразования. При опухолях головного мозга выделяют степени злокачественности. Наиболее значимый признак, по которому опухоль относят к той или иной степени злокачественности — микроскопическое строение клеток. Существуют 4 критерия:
- Атипия — «неправильное» строение клеток.
- Активное деление клеток.
- Активный рост новых сосудов.
- Области некрозов — гибели ткани из-за недостаточного притока крови.

В зависимости от наличия этих признаков, выделяют 4 степени злокачественности:
- I степень — они растут медленно, никогда не врастают в окружающие ткани.
- II степень — клетки обладают одним из четырех признаков злокачественности, как правило, атипией. Такие опухоли растут медленно, но могут прорастать в окружающую ткань.
- III степень — присутствуют два признака злокачественности, но не некроз. Такие типы рака ведут себя как полноценные злокачественные опухоли. Они достаточно быстро растут и распространяются в окружающую здоровую ткань.
- IV степень — присутствуют 3 или все 4 признака, обязательно включая некроз. Это наиболее агрессивные и смертоносные опухоли.
Типы опухоли мозга 4 стадии: классификация
Чаще всего под словосочетанием «рак мозга 4 стадии» подразумевают мультиформную глиобластому — наиболее агрессивную разновидность рака головного мозга. Она составляет примерно 15% от всех опухолей мозга, причины ее возникновения до конца не известны. Основными факторами риска считаются генетические нарушения, облучение области головы. Также в качестве факторов риска рассматриваются: курение, некоторые вирусные инфекции, контакт с пестицидами и другими токсичными веществами.
Глиобластома может развиваться самостоятельно или на месте доброкачественной опухоли.

Симптомы рака мозга 4 стадии
Глиобластома очень быстро растет и сдавливает ткань головного мозга. Этим в основном и обусловлены при раке мозга 4 стадии симптомы :
- Постоянная головная боль.
- Судорожные припадки.
- Тошнота и рвота.
- Нарушение мышления, познавательных способностей.
- Ухудшение зрения, двоение в глазах.
- Изменение личности, частые перепады настроения.
- Беспокойное поведение.
- Потери сознания.
Поначалу эти проявления выражены не сильно, но глиобластома быстро растет, и они тоже нарастают. Симптомы рака головного мозга стадии IV напоминают признаки других заболеваний, поэтому установить правильный диагноз можно только после тщательного обследования.
Диагностика опухоли мозга
При раке головного мозга 4 стадии симптомы не позволяют установить точный диагноз, так как они неспецифичны и напоминают проявления других патологий. Чтобы точно разобраться в природе заболевания, необходимо провести обследование.
Опухоли головного мозга лучше всего выявляет МРТ. Рак мозга стадии IV помогают диагностировать такие исследования, как:
- Компьютерная и позитронно-эмиссионная томография. Они помогают обнаружить метастазы в других частях тела. Также при помощи них можно обнаружить первичный очаг и отличить первичную опухоль мозга от метастатической.
- Биопсия — процедура, когда врач получает фрагмент опухолевой ткани и отправляет на исследование в лабораторию. Получить материал можно при помощи иглы под контролем КТ или МРТ, либо во время операции. Биопсия, которую проводят с помощью иглы, называется стереотаксической. Для того чтобы ее выполнить, в черепе нужно просверлить отверстие.

Лечение
Лечение опухолей головного мозга 4 стадии — сложная задача. Чаще всего оно носит паллиативный характер и направлено на продление жизни пациента.
Хирургическое лечение рака мозга 4 стадии
Удалить опухоль целиком чаще всего невозможно. Во время операции хирург стремится убрать как можно большую ее часть. Доказано, что удаление более 98% объема опухоли помогает сильно продлить жизнь пациента. К сожалению, это возможно не всегда, из-за неудобного расположения очага, сильного прорастания в окружающие ткани, близкого соседства по отношению к жизненно важным нервным центрам.
Лучевая терапия рака мозга 4 степени
Даже если хирургу удалось полностью удалить глиобластому, позже может произойти рецидив из-за оставшихся в организме раковых клеток. Для того чтобы этого не допустить, обычно после операции проводят курс лучевой терапии. После частичного удаления опухоли лучевая терапия уничтожает часть оставшихся раковых клеток, тем самым продлевая жизнь больного.
Химиотерапия при раке мозга 4 степени
Агрессивные опухоли мозга устойчивы к большинству химиопрепаратов. Но хорошие результаты показывает добавление к курсу лучевой терапии темозоломида. Считается, что он повышает чувствительность раковых клеток к облучению.

Проводится таргетная терапия препаратом бевацизумабом. Он блокирует образование в опухоли новых сосудов, тем самым лишая ее кислорода и питательных веществ. Таргетная терапия помогает бороться с симптомами, но не влияет на выживаемость.
Какие факторы влияют на выживаемость?
Прогноз при раке мозга выстраивается с учетом некоторых факторов:
- Возраст пациента.
- Размеры и расположение опухоли.
- Степень нарушения тех или иных нервных функций, насколько сильно это сказывается на качестве жизни.
- Тип опухоли.
- Степень злокачественности.
- Наличие в опухолевых клетках определенных мутаций.
- Возможность удалить всю опухоль или хотя бы ее большую часть хирургическим путем.
- Распространение опухолевых клеток в другие отделы нервной системы и другие части тела.
Прогноз выживаемости
В целом, успех лечения зависит от стадии рака головного мозга. Прогноз при мультиформной глиобластоме неблагоприятный. Обычно пациенты с таким диагнозом живут не более года. Однако, известны случаи, когда жизнь больных удавалось продлевать на более длительный срок.
Сколько живут с опухолью головного мозга
У детей, молодых людей, зрелых и пожилых, независимо от их образа жизни, онкологи выявляют рак головного мозга. Сколько живут с этим заболеванием. Прогноз зависит от гистологического типа опухоли и стадии патологического процесса.

Причины
Прогноз при анапластической астроцитоме головного мозга давать сложно. Выживаемость пациентов не превышает четырёх лет и не увеличивается даже после проведения операции. При стандартном лечении наиболее частой формой опухоли мозга - глиобластомы -выживаемость составляет 4%. Терапия с применением генетически модифицированного полиовируса позволила увеличить трёхлетнюю выживаемость больных этой формой рака до 21%.
Опухоль головного мозга является одним из самых серьезных диагнозов в современной медицине. Данная форма рака одинаково может поразить важный орган, как мужчин, так и женщин, вне зависимости от возраста, поэтому при малейших подозрениях и симптомах, которые могут указывать на это заболевание, следует обращаться к специалистам. Эксперты рекомендую обращать внимание на частые головные боли, проблемы со зрением и координацией, неоднократные потери сознания, изменения в поведении.
Нейрохирурги утверждают, что опухоль головного мозга отражается на психике, душевном состоянии и индивидуальности человека. Доброкачественные новообразования длительное время протекают бессимптомно. Злокачественная опухоль может стремительно развиваться, проявляться агрессивно и быстро привести к летальному исходу.
Причин опухоли головного мозга много:
- Стремительное деление мозговых клеток;
- Отягощённая наследственность;
- Облучение высокими дозами радиации (опухоли могут образовываться спустя 15-20 лет с момента облучения).
Учёные доказали связь черепно-мозговых травм с возможностью отдалённого формирования оболочечно-сосудистых опухолей. Частота новообразований головного мозга находится в прямой зависимости от возраста пациента. До семи лет опухоли головного мозга встречаются значительно чаще, чем в период от 7 и до 14 летнего возраста. После 14 лет частота новообразований мозга снова возрастает. Максимум случаев заболевания приходится на пятидесятилетний возраст. Затем риск образования опухолей мозга уменьшается.
Учёные установили взаимосвязь гистологического типа новообразования и возраста пациента:
- У детей и юношей чаще возникает медуллобластома и астроцитома мозжечка, краниофарингиома и эпендимома, спонгиобластома ствола мозга;
- От 20 и вплоть до 50 лет преимущественно встречаются менингиомы, глиомы больших полушарий, аденомы гипофиза;
- Начиная с 45 лет чаще встречаются глиомы больших полушарий, менингиомы, невриномы слухового нерва, метастатические поражения головного мозга;
- При достижении в структуре опухолей головного мозга преобладают глиобластомы, метастатические опухоли, невриномы.
Внутримозговые новообразования, а также их злокачественные формы в 2-2,3 раза чаще диагностируются у мужчин. Доброкачественные опухоли более характерны для женщин.
Первые симптомы
Большинство новообразований головного мозга длительное время протекает бессимптомно или имеющиеся признаки не позволяют заподозрить наличие объёмного образования в черепной коробке. Онкологи Юсуповской больницы рекомендуют обращаться за специализированной медицинской помощью при наличии следующих симптомов:
- Частых и продолжительных головных болей, нередко появляющихся в местах развития опухоли, сопровождающихся тошнотой и рвотой;
- Потери координации, слабости, неспособности удерживать равновесие;
- Проблем со зрением и повышенной светочувствительности;
- Появлением внезапных приступов, напоминающих эпилептические.
Родственникам следует организовать консультацию нейрохирурга при наличии у пациента странных изменений в привычном поведении, необоснованной агрессии. С походом к специалисту в случае проявления подобных симптомов лучше не затягивать. Если опухоль головного мозга диагностирована на ранней стадии развития, когда симптомы невыраженные, пациенты живут намного дольше. Когда выявлен рак головного мозга 4 степени, прогноз для жизни неутешительный.
Локализация новообразований зачастую обусловливается их биологической природой. В больших полушариях мозга нейрохирурги чаще находят злокачественные глиомы, а в стволе мозга и мозжечке - доброкачественные новообразования.
Классифицируют опухоли головного мозга по степени зрелости их клеток и гистологическому признаку:
- К зрелым опухолям относятся астроцитомы, эпендимомы, олигодендроглиомы;
- Недозрелые новообразования представлены астробластомы, ганглиобластомы, олигодендроглиобластомы;
- В группу совершенно незрелых новообразований входят медуллобластомы, спонгиобластомы, мультиформные опухоли.
Опухоли головного подразделяют на различные группы по гистогенезу (развитию тканей):
- Новообразования нейроэктодермального или глиального ряда (астроцитомы, невриномы, медуллобластомы, пинеобластомы);
- Оболочечно-сосудистые опухоли - развиваются из арахноидэндотелия мозговых оболочек и стенок сосудов (ангиомы, менингиомы, хордомы, фибросаркомы, остеомы);
- Опухоли хиазмально-селлярной локализации - гипофиза, произрастающие из передней доли аденогипофиза, и краниофарингиомы;
- Бидермальные новообразования, которые состоят из элементов-производных двух зародышевых листков;
- Гетеротопические опухоли (хондромы, дермоиды, эпидермоиды, липомы, пиратемы).
В 1% случаев опухолей головного мозга определяются системные новообразования - множественный менингиоматоз, множественный нейрофиброматоз и множественный ангиоретикуломатоз. Метастазы в головной мозг (прогноз неблагоприятный) находят у 5% пациентов, а новообразования, которые врастают в полость черепа (саркомы, гломусные опухоли) - в 1,8% случаев. На данный момент по гистологическим и гистохимическим признакам выделяют порядка 90 различных опухолей нервной системы. По локализации опухоли головного мозга на супратенториальные новообразования, расположенные в передней и средней черепных ямках и субтенториальные, локализованные в задней черепной ямке.
Прогноз
Продолжительность жизни больного опухолью головного мозга определяет степень доброкачественности новообразования и стадии рака головного мозга. При доброкачественных опухолях очень часто онкологи Юсуповской больницы добиваются полного излечения. Продолжительность жизни или срок от окончания терапии до возобновления продолженного роста, которое потребует оперативного лечения, превышает 5 лет. Если характер опухоли полу доброкачественный, можно говорить о продолжительность жизни или временном интервале до продолженного роста новообразования от 3 и до 5 лет.
В случае относительно злокачественного характера опухоли пациенты живут 2-3 года. При злокачественной опухоли средний период жизни от 4 месяцев и до года, хотя известны и исключения. Глиобластома является не только самой агрессивной, но и одной из самых распространённых опухолей мозга. Онкологи выявляют до 52% первичных новообразований в этом органе. Для борьбы с заболеванием применяют химиотерапию, лучевую терапию и хирургическое лечение. При этом пациенты редко живут дольше 15-20 месяцев после установки диагноза.
Особенно опасны «возвращающиеся» опухоли, которые возникают вновь по завершении лечения. В этом случае продолжительность жизни редко превышает год. Терапия с применением генетически модифицированного полиовируса позволила увеличить трехлетнюю выживаемость пациентов с глиобластомой.
Продолжительность жизни зависит и от начала лечения, возможности провести весь возможный комплекс терапевтических процедур. Если лечение начато на ранних стадиях с применением инновационных методик оперативных вмешательств, лучевой и химиотерапии, пятилетняя выживаемость составляет около 80%. В остальных случаях прогноз не превышает 20-30%.
Сколько живут после операции опухоли головного мозга? Оперативные вмешательства существенно улучшают прогноз выживаемости пациентов. Операции наиболее эффективные на начальных стадиях заболевания. При появлении первых симптомов болезни обращайтесь в Юсуповскую больницу.
Когда обращаться к врачу
Выделяются 2 группы симптомов опухоли головного мозга - общемозговые и очаговые. Из общемозговых симптомов у 90% пациентов встречается головная боль. Причиной её возникновения является раздражение опухолью рецепторов мозговых оболочек. По мере роста происходит растяжение стенок желудочков, в дальнейшем - сдавление опухолью ствола мозга и мозговых сосудов. Боль глубинная, распирающая и разрывающая голову пациента. В самом начале заболевания боль приступообразная. По мере прогрессирования новообразования она становится все более длительной, интенсивность нарастает. Боль усиливается ночью и при физической нагрузке - при дефекации, кашле, повороте или кивании головой.
Кроме распространённых головных болей, которые заметны на 3-4 стадиях заболевания и возникают как результат повышения внутричерепного давления, врачи выделяют местные головные боли. Они возникают по причине раздражения мозговой оболочки, внутримозговых и оболочечных сосудов, стенок крупных сосудов головного мозга, появление различных изменений в костях черепа. Местные боли сверлящие, пульсирующие или дёргающие. Местные головные боли при опухоли мозга неврологи выделяют из общего болевого фона механически путём пальпации черепа, лица. Пациентам предлагают напрячься, покашлять или подпрыгнуть. При таких действиях головная боль усиливается.
У 50% пациентов, страдающих опухолью головного мозга, возникает рвота. Она появляется быстро, не связана с приёмом или характером пищи, отрыжкой, тошнотой, болями в области живота. Зачастую рвота сопутствует приступу головной боли, начинаясь на его пике. Иногда рвота возникает утром при повороте головы. Её причина - раздражения рвотного центра при внутричерепной гипертензии. При опухолях продолговатого мозга, IV желудочка, червя мозжечка, полушария мозжечка, рвота является очаговым и ранним симптомом.
В триаду ведущих симптомов опухоли головного мозга входят застойные соски зрительных нервов. Их офтальмологи определяют у 75-81% заболевших опухолью головного мозга. Застойные соски двусторонние, чаще развиваются при субтенториальных опухолях, реже - при супратенториальных.
Головокружение обнаруживается у 50% пациентов с опухолью головного мозга. Оно развивается как по причине застойных явлений в лабиринте, так вследствие поражения вестибулярных стволовых центров, височной или же лобной доли больших полушарий мозга. Головокружение зачастую сопровождается тошнотой. Пациент может потерять равновесие.
У 60-90% пациентов с опухолью головного мозга врачи определяют психические расстройства. Могут иметь место нарушения сознания:
- Оглушённость;
- Кома;
- Аспонтанность;
- Эмоциональные нарушения;
- Расстройства памяти.
К общемозговым симптомам опухоли мозга относят эпилептические припадки. Они возникают при локализации патологического процесса в задней черепной ямке. Местные симптомы зависят от типа опухоли головного мозга. При опухолях лобной доли неврологи определяют следующие местные признаки заболевания:
- Местные односторонние головные боли;
- Эпилептические припадки;
- Психические расстройства (пациент плохо ориентируется в окружающей обстановке, совершает абсолютно немотивированные поступки, неадекватно весел, шутлив).
Ранним проявлением болезни может быть центральный парез лицевого нерва, хватательный рефлекс на противоположной новообразованию стороне. К более поздним симптомам относится первичная атрофия зрительного нерва на стороне опухоли, застойные явления в другом глазу, экзофтальм на стороне, где обнаружена опухоль, менингеальные признаки, лобная атаксия. Если выявлена опухоль лобной доли головного мозга, прогноз зависит от её гистологического строения и стадии заболевания.
Проявлением опухоли теменной доли головного мозга является нарушение чувствительности (сложных форм и глубокого мышечного чувства), схемы тела, астереогноз. При левосторонней локализации опухоли развивается апраксия (нарушение целенаправленных движений и действий при сохранности составляющих их элементарных движений), нарушение способности письма, чтения, счёта, явления амнестической афазии (у пациентов возникают трудности называния предметов). Двигательные расстройства бывают при подкорковой локализации опухоли.
Для опухолей височной области мозга характерны следующие признаки:
- обонятельные и вкусовые расстройства;
- зрительные и слуховые галлюцинации;
- общие эпилептические припадки;
- гемианопсия (двухсторонняя слепота в половине поля зрения) при очагах в задних отделах доли;
- расстройства со стороны тройничного и глазодвигательного нервов.
При левосторонней локализации опухоли у правшей развивается сенсорная афазия (пациент всё слышит, но не может понять содержания слов). Для этой локализации типично раннее появление общемозговых симптомов.
Опухоли мозжечка проявляются головными болями, сопровождающимися рвотой. Важнейшими очаговыми проявлениями являются расстройство координации, мышечная гипотония, нистагм (непроизвольные колебательные движения глаз высокой частоты). При росте опухоли из червя наблюдается двусторонняя симптоматика:
- Преимущественное нарушение статической координации;
- Повышение внутричерепного давления;
- Приступы сильной головной боли и рвота при изменениях положения головы;
- Нарушение дыхания и сердечно-сосудистой деятельности.
Прогноз в этом случае неблагоприятный. Выделяют четыре стадии рака головного мозга. Если опухоль ограничена, говорят о первой стадии болезни. Дальнейшие стадии устанавливаются в зависимости от площади поражения. Четвёртая стадия означает расширенный рак с метастазами. Прогноз крайне неблагоприятный.
Пациенты часто спрашивают: «Что делать, врачи сказали, что у меня опухоль мозга?» При наличии первых симптомов опухоли головного мозга звоните по телефону Юсуповской больницы. Неврологи проведут обследование с помощью современных методов нейровизуализации, установят диагноз, организуют консультацию нейрохирурга. Комплексное лечение улучшает прогноз при раке головного мозга.
Метастазы в головном мозге
Метастатический рак мозга (другое название — вторичный рак мозга) — распространение раковых клеток в головном мозге из злокачественной опухоли, расположенной в другой части тела. Некоторые факты и цифры:
- Вторичный раз могла встречается в 10 раз чаще, чем первичный, то есть тот, который изначально развивается в головном мозге; в головной мозг возникают у 20-40% онкологических больных (в среднем у каждого четвертого);
- Ежегодно метастатический раз мозга диагностируют у 50 000 — 70 000 россиян;

Пару десятилетий назад при множественных метастазах в головной мозг на пациенте можно было ставить крест - нейрохирургические учреждения, делавшие успехи в терапии первичных опухолей головного мозга, таких больных не брали, потому как оперативное лечение в этом случае уже было почти невозможным. Даже в столице не более трёх специалистов готовы были попробовать лучевую терапию, между тем как по данной теме было защищено несколько диссертаций, демонстрирующих очень неплохой результат. Но практическая деятельность сталкивалась с клиническими трудностями, делающими спасение пациента весьма трудоёмким.
Метастазы злокачественных опухолей в головном мозге постигают каждого четвёртого больного, при посмертном исследовании их находят у шести из десяти. Метастазы выявляются на порядок чаще, чем первичные опухоли центральной нервной системы, которыми охотно занимаются нейрохирурги. Российская онкологическая статистика учитывает только первичные опухоли головного мозга и вообще первичные раки, но не знает, сколько больных имеют метастазы куда бы то ни было, а не только в головной мозг.

Метастазы в головном мозге.
Любая опухоль метастазирует в мозг, но чаще всего рак лёгкого, особенно крайне агрессивный мелкоклеточный — до 80% больных, а также рак молочной железы, кишки, почки и меланома, но все они метастазируют много реже рака лёгкого. Сегодня метастазы в головном мозге находят чаще, чем в конце прошлого века, чему весьма способствуют методы нейровизуализации — КТ и МРТ и увеличение выживаемости онкологических больных в результате успехов онкологической науки. Заметно повысилась и активность онкологов, не только решающихся на лечение самых непростых больных, но и имеющих возможность выхаживать таких пациентов.

Андрей Львович Пылёв, главный врач сети "Евроонко", онколог, кандидат медицинских наук
Как правило, большинство больных к моменту выявления внутричерепных метастазов имеют другие, подчас неизлечимые и распространённые, очаги опухоли, состояние их оставляет желать лучшего, а локальная терапия внутричерепных метастазов чревата ранним рецидивом. Внедрение высокотехнологичного лечения, как хирургического, так и лучевого, помогло избавиться от профессионального пессимизма и увеличило 5-летнюю выживаемость пациентов, придав их жизни вполне приемлемое качество.
Почему возникают метастазы в головном мозге?
Метастазирование — довольно сложный процесс. Он состоит из нескольких этапов. Опухоль должна прорасти в соседние ткани, затем ее клетки отрываются и проникают в кровеносные или лимфатические сосуды. Мигрируя с током крови, раковые клетки оседают в разных органах. Какое-то время они «дремлют», затем начинается бурный рост.
Чаще всего — в 48% случаев — метастазы в мозг связаны с раком легких. Наиболее агрессивен немелкоклеточный рак легкого — он метастазирует в мозг в 80% случаев. Реже встречаются метастазы при раке молочной железы (15%), мочеполовой системы (11%), остеогенной саркоме (10%), меланоме (9%), раке головы и шеи (6%).

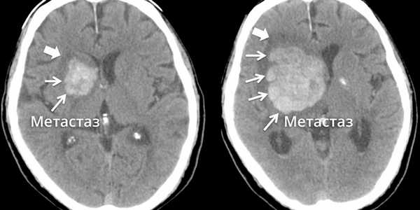
Метастаз в головном мозге в динамике
Клинические проявления метастазов
Симптоматика зависима от размеров внутричерепных опухолевых очагов, их количества и расположения. Принципиально клинические симптомы можно разделить на две группы:
- локальные, обусловленные расположением опухоли в конкретном отделе мозга, отвечающем за определённые функции определённого органа;
- общемозговые симптомы, связанные с размером дополнительной опухолевой ткани, мешающей функционированию самого мозга.
К примеру, опухоль рядом со структурами, обеспечивающими иннервацию глаза, проявится выпадением полей зрения, когда глазом не воспринимаются отдельные участки сектора обзора. Множество мелких узлов даст картину отёка головного мозга, поскольку лишние граммы опухоли в замкнутой черепной коробке мешают нормальной циркуляции жидкостей и сдавливают нормальные ткани.
У половины больных вторичные новообразования головного мозга откликаются головной болью, очень часто интенсивность боли меняется вместе с положением головы, когда при наклоне под определённым углом частичное восстановление циркуляции ликвора временно приводит к уменьшению боли. К сожалению, со временем рост метастазов сделает боль постоянной, а замкнутость пространства приведёт к невыносимой интенсивности. Нередки головокружения и двоение, если смотреть обоими глазами.

Коридор клиники Евроонко
У каждого пятого пациента развиваются двигательные нарушения вплоть до пареза половины тела. У каждого шестого страдают интеллектуальные способности, столько же мучается от изменений поведения, нарушений движений и походки, чуть реже отмечаются судороги, но и совершенно бессимптомное течение, когда метастатические образования выявляют лишь при обследовании, тоже не редкость. Тем не менее, при увеличении размеров опухоли даже в такой относительно благоприятной ситуации довольно быстро нарушаются функции организма.
Отёк ткани вокруг опухоли — перифокальный отёк вкупе с повышением внутричерепного давления (ВЧД) вызывают общемозговые симптомы с головной болью, головокружением, двоением, рвотой при малейшем движении или даже при открывании глаз, постоянной икотой, приводят к угнетению сознания вплоть до мозговой комы. Снижение частоты сердцебиений и дыханий при очень высоком «верхнем» систолическом давлении свидетельствуют о крайне высоком и чреватом гибелью внутричерепном давлении.
В практике выделяют варианты развития первичной симптоматики при метастазах рака в центральную нервную систему по превалирующему комплексу клинических признаков.
- Похожий на инсульт апоплексический вариант, развивается остро и проявляется очаговыми нарушениями — свидетельством поражения определённого участка мозга. Такой вариант, как правило, связан либо с закупоркой сосуда, либо его разрывом опухолью с последующим кровоизлиянием в головной мозг.
- Ремиттирующий вариант характеризуется волнообразным течением, когда симптомы то уменьшаются, то прогрессируют, напоминая атеросклеротическое поражение сосудов.
У некоторых больных метастазы головного мозга протекают бессимптомно. Обнаруживают их только во время обследования.
Как диагностируют метастазы в головном мозге?
«Золотой стандарт» в диагностике метастатического рака головного мозга — магнитно-резонансная томография (МРТ). Во время этого исследования получают изображения внутренних структур тела, используя сильное магнитное поле. По снимкам врач может судить о количестве, размерах, расположении метастатических очагов.

Биопсия — исследование, во время которого получают фрагмент ткани и исследуют его на предмет раковых клеток. Если у человека уже диагностирован рак в другом органе и обнаружены очаги в головном мозге, потребности в данном методе диагностики обычно нет. Биопсия нужна, если есть очаги в мозге, но не найдена первичная опухоль.
Лечение метастазов
Без лечения продолжительность жизни больного от момента выявления метастатического поражения головного мозга едва ли превышает месяц, но это в среднем. Только добавление высоких доз гормонов способно двукратно увеличить продолжительность жизни и несколько улучшить её качество, но опять только на время, тогда как химиолучевое лечение может дать до полугода жизни.
Тактика лечения зависит от некоторых факторов:
- Количество, размер и расположение метастазов;
- Возможность удалить очаги хирургическим путем;
- Чувствительность первичной опухоли к химиопрепаратам и лучевой терапии;
- Общее состояние больного;
- Наличие других метастазов, возможность бороться с ними.
Прогностически неблагоприятна локализация опухоли в недоступной для манипуляций задней черепной ямке, нарушение циркуляции ликвора и вероятность вклинения опухоли в естественные черепные отверстия.
Несомненно, что только хирургическое пособие вкупе с дополнительным лекарственным и лучевым лечением даёт большие надежды. Но нейрохирургическое вмешательство возможно при одном или единичных опухолевых узлах, и, конечно, технически доступных. Паллиативную операцию выполняют при угрожающем нарастании давления и кровотечении, когда удаление даже одного из множества узлов способно радикально улучшить клиническую картину, чтобы присовокупить в дальнейшем консервативное лечение. Возможны разные варианты удаления опухолевых узлов.

При технически не удаляемых и чувствительных к противоопухолевым лекарствам видах рака, таких как молочная железа, мелкоклеточный рак лёгкого и герминогенные опухоли яичка, на первом этапе прибегают к химиотерапии, к которой в дальнейшем присоединяют облучение всего массива головного мозга. При радиочувствительных опухолях лечение можно начать с тотального облучения мозга. При опухолях не более 3,5 см и менее четырёх узлов как единственный метод эффективна стереотаксическая радиохирургия. К опухоли подводят с разных сторон несколько пучков радиоволн, они пересекаются в одном месте - там, где находится метастаз. В итоге раковые клетки уничтожаются, а окружающие здоровые ткани получают минимальную безопасную дозу. В комплексе с облучением мозга и химиотерапией результат лучше.

Система для стереотаксической радиохирургии
Лучевая терапия всегда сопровождается нарастанием отёчности ткани мозга, поэтому облучение всегда проводится на фоне дегидратации — симптоматической терапии, разгружающей от излишней жидкости. Поэтому радиолог может отказать в лечении пациенту, устойчивому к мочегонным препаратам, а также при уже смещённом головном мозге, поскольку дальнейшее смещение может стать для больного фатальным. Не возьмут на облучение тяжёлого пациента с выраженными клиническими проявлениями, тем более с судорогами или мутным сознанием. Уже после одного-двух сеансов облучения к имеющемуся высокому внутричерепному давлению присоединится лучевой отёк ткани, и без того очень неважное состояние пациента ухудшиться.
Возможны варианты последовательностей и сочетания методов, как при впервые выявленных метастазах в головной мозг, так и при рецидиве после лечения. Во всяком случае, при невозможности активной тактики и прогрессировании процесса клинические руководства рекомендуют прибегнуть к химиотерапии на фоне наилучшей поддерживающей симптоматической терапии (стероиды, обезболивающие, противосудорожные препараты и др.). Схема определяется первичной опухолью, то есть при раке лёгкого помогают одни препараты, при раке почки — другие. Химиотерапию проводят до выявления признаков прогрессии опухоли.
Терапия метастазов злокачественных опухолей в головной мозг не дело энтузиастов-одиночек, это работа команды онкологов, нейрохирургов, радиологов, химиотерапевтов и реаниматологов, вооружённых знаниями и отличным оборудованием для диагностики и лечения, как в клиниках «Евроонко».
Каковы прогнозы при метастазах в головной мозг?
Прогноз зависит от типа первичной опухоли, количества метастазов, возраста и состояния пациента. В среднем пациенты живут 2-3 месяца. Но если метастазы единичные, пациенту меньше 65 лет, и в организме нет других метастазов, средняя продолжительность жизни может составить 13,5 месяцев.
Врачи онкологи и реаниматологи «Евроонко» знают, как помочь пациенту с метастатическим раком. Грамотное лечение избавит от тяжелых симптомов, подарит драгоценное время.
Классификация опухолей головного мозга
К опухолям головного мозга относят все новообразования, локализованные в центральном спинномозговом канале и внутри черепной коробки. Развитие опухолей головного мозга связано с неконтролируемым делением клеток, их классификация зависит от таких факторов, как первичный фактор и клеточный состав.

Новообразование головного мозга может быть доброкачественным или злокачественным. Кроме того, все опухоли головного мозга классифицированы согласно определенным признакам:
- по возникновению;
- по гистологическому типу;
- по локализации;
- по Смирнову.
Врачи-онкологи, нейрохирурги и радиологи центра онкологии Юсуповской больницы при выборе эффективной методики лечения опухолей головного мозга принимают во внимание не только локализацию и тип новообразования, его особенности, общее состояние и возраст больного, но и вероятность развития интраоперационных и послеоперационных осложнений. Для лечения онкологических заболеваний головного мозга применяются самые прогрессивные методы, обеспечивающие максимальные результаты.
Классификация опухолей головного мозга по возникновению
Существуют различные виды опухолей головного мозга у взрослых людей, которые классифицируются по тем или иным признакам.
В первую очередь все опухоли мозга подразделяются на первичные и вторичные.
Первичную опухоль (например, первичная лимфома ЦНС) образует сама ткань головного мозга и прилегающая к нему: ткань черепно-мозговых нервов, мозговой оболочки, шишковидной железы, лимфоидная ткань или ткани гипофиза. Развитие данных новообразований связано с мутациями, которые приводят к появлению аномалий в ДНК клеток мозга.
Возникновение вторичных опухолей головного мозга чаще всего связано с метастатическим процессом из других органов, пораженных онкологическим заболеванием.
Доброкачественная и злокачественная опухоль головного мозга
Доброкачественная опухоль головного мозга (например, липома головного мозга) отличается относительно нормальным видом составляющих их клеток, медленным ростом, отсутствием распространения на другие органы и внедрения в ткани самого мозга. Несмотря на это, доброкачественная опухоль мозга может быть довольно опасной и в некоторых случаях угрожает жизни больного - при локализации опухоли в жизненно важном участке головного мозга доброкачественная опухоль в голове сопровождается сдавлением чувствительных нервных тканей, а также повышением внутричерепного давления.
Злокачественная опухоль мозга является патологическим процессом, для которого характерно бесконтрольное и безудержное размножение клеток. Злокачественные новообразования проявляются быстрым ростом, способностью к метастазированию, опухоль часто прорастает в близлежащие органы и ткани.
Злокачественность и доброкачественность - понятия довольно относительные. Некоторые злокачественные опухоли, по сути, имеют доброкачественное течение, которое может длится достаточно длительный срок.
Виды рака головного мозга по локализации
Локализация новообразования в головном мозге является важным фактором, в зависимости от которого зависит способ хирургического доступа к нему.
В соответствии с расположением опухоли головного мозга могут быть:
- внутримозговыми: их рост начинается в сером или белом веществе мозга. Супратенториальные поражают лобную, теменную и височную долю головного мозга, субтенториальные - ствол мозга, мозжечок, дно 4 желудочка (развивается опухоль продолговатого мозга, опухоль ствола головного мозга, опухоль ствола мозга, опухоль 4 желудочка головного мозга, опухоль мозжечка головного мозга, опухоль подкорковых узлов и среднего мозга);
- внемозговыми: развиваются в мягкой или твердой оболочке головного мозга, сосудах, костях черепа (возникает менингиома, невринома головного мозга).
Классификация опухолей головного мозга по гистологическому типу
Большое значение для прогнозирования дальнейшего «поведения» новообразования имеет ткань, из которой развивается опухоль. Согласно гистологической квалификации опухоли подразделяются на следующие виды:
- глиальная опухоль головного мозга;
- опухоль из нервной ткани;
- сосудистая опухоль (например, кавернома ствола головного мозга);
- опухоль оболочек мозга;
- тератома.
К глиальным опухолям головного мозга относят:
- астроцитому - доброкачественную опухоль из глиальной ткани с локализацией в полушариях мозга и мозжечке;
- олигодендроглиому - опухоль из глиальной ткани, не склонную к прорастанию в другие ткани с локализацией в полушариях головного мозга;
- эпендимому - эпендимома головного мозга является доброкачественной опухолью, локализованной в боковых или 4 желудочке;
- мультиформную глиобластому - данный вид опухоли диагностируется, как правило, у пациентов пожилого возраста;
- медуллобластому - опухоль, поражающую мозжечок, чаще всего её обнаруживают у детей;
- пинеалому - новообразование, поражающее шишковидную железу.
К опухолям, образованным из нервных тканей, относятся:
- невринома головного мозга (шваннома): опухоль образуют шванновские клетки или клетки оболочек нервных окончаний. Чаще всего данный тип заболевания имеет доброкачественный характер, однако иногда может быть злокачественным;
- нейрофиброма головного мозга - является, как правило, доброкачественным новообразованием, состоящим из шванновских, тучных клеток или фибробластов;
- опухоли, развивающиеся в области турецкого седла, например, из гипофиза.
Опухолью оболочек мозга является, например, менингиома головного мозга. Данная опухоль отличается медленным ростом и доброкачественным характером.
Тератомы являются раковыми новообразованиями, развивающимися из клеток с морфологическим строением, близким к стволовым клеткам. Чаще всего диагностируется у пациентов детского и молодого возраста.
Классификация опухолей головного мозга по Смирнову
Данная классификация предполагает разделение опухолей головного мозга на несколько видов в соответствии со зрелостью клеток и морфологическим признаком.
По степени зрелости опухоли головного мозга могут быть:
- зрелыми (например, эпендимома головного мозга);
- недозрелыми (например, ганглиобластомы головного мозга);
- незрелыми (например, медуллобластома головного мозга).
Кроме степени зрелости данная классификация строится и по морфологическому признаку, сочетая в себе классификацию по локализации и гистологическую классификацию.
Лечение опухолей головного мозга в Юсуповской больнице
Лечение опухолей головного мозга в онкологическом центре Юсуповской больницы проводится с применением самых передовых безоперационных методик:
- стереотаксической радиохирургии - позволяющей удалить опухоли небольшого размера за один сеанс;
- лучевой терапии с использованием установок последнего поколения, новейших линейных ускорителей и систем, обеспечивающих максимальную безопасность и эффективность терапии и др.
В случае, если хирургическое лечение неизбежно, его производят лучшие специалисты, виртуозно владеющие всеми технологиями и методами интервенционной нейрорадиологии и современной нейрохирургии. Врачи центра онкологии Юсуповской больницы прикладывают все усилия, чтобы использовать щадящие малоинвазивные методы и операции с трансназальным доступом, для проведения которых не требуется разрез в черепе.
Благодаря инновационному оборудованию центра онкологии у врачей имеется возможность выполнения качественной диагностики и проведения эффективного лечения опухолей головного мозга с помощью нехирургических или малоинвазивных методов.
Параллельно с нейрохирургами в лечении пациентов с опухолями головного мозга принимают участие неврологи, онкологи, радиологи. Пациенту обеспечивается поддерживающая терапия и квалифицированная психологическая поддержка.
Записаться на консультацию врача-онколога клиники онкологии и узнать условия госпитализации можно по телефону Юсуповской больницы или онлайн на сайте у врача-координатора.
Читайте также:
