МРТ и КТ при раке глотки
Добавил пользователь Владимир З. Обновлено: 22.01.2026
Благодаря возможностям современной клинической диагностики рак горла (РГ) можно обнаружить в самых труднодоступных местах, в том числе и на ранних стадиях.
Термин «рак горла» объединяет онкологические заболевания в области глотки, гортани и миндалин. Первые признаки РГ являются общими для всех трех типов и включают в себя постоянную боль, «ком» в горле или шее, боль в ухе.
Отмечается некоторая специфичность симптомов в зависимости от локализации патологического процесса. Так при поражении
- носоглотки (верхней части горла, непосредственно за носом) — наблюдается кровотечение из носа и его заложенность, затрудненное дыхание, головная боль, рецидивирующие ушные инфекции, звон в ухе/потеря слуха, затруднение открытия рта и лицевая боль или онемение;
- ротоглотки (средней части за ртом; сюда же относят мягкое небо, миндалины и заднюю часть языка) характерны затруднение при глотании, проблемы с открытием рта или движением языка, изменение голоса, необъяснимая потеря веса и кашель с кровью;
- гипофаринкса (нижней части, где глотка переходит в трахею и пищевод, + гортань) отмечаются проблемы с глотанием и изменения голоса.
Для раннего выявления проблемы при появлении не связанной с простудой стойкой осиплости голоса либо любых других подозрительных симптомов необходимо обратиться к врачу. Первичное диагностическое исследование достаточно простое и не требует дорогостоящих обследований. На данном этапе можно проверить наличие опухоли безотносительно ее природы — доброкачественная или злокачественная.
Первичная диагностика при подозрении на опухоль в горле
Обследование при раке горла начинается с наружного осмотра, во время которого доктор осторожно прощупывает область шеи, определяя наличие уплотнений и/или болезненности. Кроме того, в ходе первичной консультации специалист осматривает полость рта с помощью обычных ЛОР-инструментов.
В некоторых случаях обнаружить рак горла, получить материал для анализа под микроскопом и сделать первые выводы о стадии заболевания удается уже при проведении этих простых манипуляций. Однако чаще всего для уточнения диагноза требуется проведение дополнительного обследования.
В том числе, первичная диагностика рака горла включает детальный осмотр слизистой оболочки глотки и гортани с помощью эндоскопического оборудования. Если в процессе такого осмотра обнаруживаются подозрительные зоны, из них берутся фрагменты ткани для биопсии.
Для эндоскопического исследования рака горла могут применяться различные устройства, в том числе:
- Жесткий ларингоскоп. Использование этого прибора дает возможность осмотреть связки, подсвязочную область и трахею, а также получить материал для биопсийного анализа. Классическая ларингоскопия проводится под общим наркозом.
- Назофаринголарингоскоп. Этот гибкий и тонкий прибор, который вводится в горло пациента через нос. Такая процедура достаточно комфортна и малотравматична, поэтому ее обычно проводят в амбулаторных условиях. С помощью назофаринголарингоскопа врач получает возможность осмотреть зоны гортани, недоступные при исследовании жестким ларингоскопом.
Если в области шеи имеется уплотнение, может быть назначена пункционная биопсия. Данный способ позволяет выявить рак горла в тех случаях, когда он не растет в полость глотки или гортани, а прорастает в окружающие ткани. Кроме того, с помощью пункции можно определить, есть ли опухолевые клетки в близлежащих лимфоузлах. Данная процедура выполняется с помощью длинной и толстой полой иглы, которая через кожу и мышцы вводится в проблемную зону после предварительного обезболивания. Точность метода повышает контроль с помощью УЗИ, КТ или иных способов визуализации.
Постановка окончательного диагноза
Расширенная диагностика рака горла позволяет получить исчерпывающую информацию о размерах первичной опухоли, а также характере и распространенности процесса. Для этих целей могут быть назначены следующие виды исследований:
- Магнитно-резонансная томография. МРТ - один из самых информативных и безопасных для больного методов визуализации опухолевого очага в области шеи.
- Компьютерная томография. КТ назначается для уточнения местоположения, формы и размера первичного новообразования, а также для определения метастазов. Повысить информативность метода позволяет использование контрастных веществ.
- Позитронно-эмиссионная томография. С помощью ПЭТ можно обнаружить рак горла тогда, когда опухолевая масса не имеет четких границ. Данное исследование основано на различии обмена веществ в злокачественных клетках и нормальных тканях и проводится с использованием безопасных для человека короткоживущих радиоизотопов.
- Одновременное исследование ПЭТ/КТ. Такое обследование выполняется на специальной установке и отличается повышенной точностью. Получаемые различными методами изображения оцениваются с помощью специальной компьютерной программы, сравнивающей результаты и формирующей комплексное заключение.
- УЗИ. С помощью ультразвука специалист оценивает кровоснабжение опухолевого очага и другие особенности новообразования.
- Рентгеновское исследование с контрастным веществом (барием). Контрастная рентгеноскопия пищевода и желудка дает возможность выявить рак горла, затрагивающий глотку и низлежащие отделы желудочно-кишечного тракта.
- Сцинтиграфия костей. Опухоли глотки и гортани на поздних стадиях могу метастазировать в кости. Сцинтиграфия - высокоинформативный современный метод, с помощью которого в процессе одного исследования можно получить полную и точную информацию о состоянии костей скелета.
После того, как проведено полное обследование, врач определяет стадию по системе TNM от 0 до 4, что помогает выбрать оптимальное лечение и прогнозировать заболевание. Система, отвечает на следующие вопросы:
- Т (Tumor) — насколько велика первичная опухоль? Где он находится?
- N (Node) — распространилась ли опухоль на лимфатические узлы? Если да, то в какие?
- М (Metastasis) - метастазировала ли опухоль в другие части тела? Если да, то куда?>
Своевременная диагностика рака горла позволяет рассчитывать на высокую эффективность лечения. Вследствие этого лицам из группы риска показано периодическое профилактическое обследование у ЛОР-врача.
Если вам требуется второе мнение для уточнения диагноза или плана лечения, отправьте нам заявку и документы для консультации, или запишитесь на очную консультацию по телефону.
МРТ или КТ горла - что лучше выбрать?

МРТ или КТ горла - что лучше выбрать? - вопрос совсем не праздный. Навести на мысль о необходимости пройти обследование пациента должны следующие симптомы - кашель, избыточные выделения слизи при кашле, дисфония, чувство кома в горле, дисфагия. Термин «горло» является общеупотребительным, но не анатомическим. В структуру горла входит гортань, трахея, пищевод. Поскольку в области горла находятся разные по тканевой структура органы, выбор между МРТ и КТ как приоритетном методе обследования во многом зависит от фокуса исследования.
Что лучше выбрать - МРТ или КТ горла?
Врачи отдадут предпочтение компьютерной томографии, если нужно визуализировать пищевод и сосуды. Однако следует учесть, что КТ - это лучевая диагностика, а это значит, что организм человека подвергается воздействию определенной дозы облучения (в среднем 5-7 мЗв). Кроме того, качественная КТ горла в большинстве случаев требует введения контрастного препарата на основе йода, на который у некоторых людей есть аллергия.
На МРТ горла хорошо будет видно состояние мягких тканей - глоточные мышцы и мышцы шеи. Данные магнитно-резонансной томографии в большем объем покажут состояние щитовидной железы и трахеи. С точки зрения безопасности МРТ имеет ряд преимуществ перед КТ. Она не подвергает больного влиянию рентгеновских лучей, а контрастное вещество, используемое для процедуры, гипоаллергенно и безвредно.
Однако в случае, когда в горле пациента присутствуют предметы из металла, от МР-томографии нужно отказаться. Магнитное поле установки может нагреть или сдвинуть металл в теле, тем самым вызвав ожог или внутреннее кровотечение. В такой ситуации предпочтение лучше отдать КТ исследованию.
Особенности МРТ и КТ горла
Томография - одна из самых результативных и неинвазивных диагностических процедур. Томографическая установка МРТ представляет собой мощный магнит. Создаваемое им магнитное поле превращает атомы водорода в организме в маленькие электромагнитные маячки, что позволяет построить точную модель исследуемого органа в мельчайших деталях. Компьютерный томограф - это рентген установка, которая сканирует тело посредствам Х-лучей.
К преимуществу МРТ и КТ гортани и горла относится отсутствие особых требований к подготовке. Однако для того, чтобы результаты были максимально достоверными и полными, пациент должен выполнить ряд не очень сложных рекомендаций:
- На исследование лучше приходить с направлением от врача, где он четко укажет, какие области горла требуют внимания и по какой причине.
- Перед тем, как войти в диагностический кабинет, пациент должен снять с себя все металлические предметы и выложить все электронные устройства.
- Если в теле обследуемого есть металл или приборы жизнеобеспечения, об этом обязательно надо сказать врачу-рентгенологу.
- В ходе сканирования нужно быть максимально неподвижным, тогда снимки получатся четкими и информативными. Даже небольшие непроизвольные движения тела пациента могут исказить или смазать изображения.
Если доктор назначил томографию с применением контрастного вещества, то перед диагностикой медсестра введет внутривенно контрастный препарат. Чтобы эта процедура прошла без чувства тошноты, лучше всего воздержаться от приема пищи за 2 часа до диагностики.
| МРТ гортани и горла | КТ горла и гортани |
![]() |
Стеноз трахеи на МРТ и КТ гортани - что лучше покажет?
Стеноз трахеи - это процесс сужения трахеи, связанный с замещением нормальных структур стенки дыхательной трубки грубой рубцовой тканью, которая суживает просвет дыхательного пути. Происходит это по трем основным причинам:
- если есть опухоль, которая прорастает внутрь и суживает просвет трахеи;
- внешнее давление новообразований на трахею;
- воздействие горячим паром, которое ведет к разрушению тканей. В процессе восстановления тканей возникают рубцы, и они уменьшают просвет трахеи.
Все это мешает нормальному проникновению воздуха в легкие и нарушает процесс дыхания. Симптомами этой патологии будет шумное или дыхание, хрипы на выдохе. Качественную диагностику сужения области верхних дыхательных путей производят на МРТ или КТ горла. Обе томографии позволяют определить локализацию и протяженность суженного участка, степень сужения гортани и трахеи, измерить диаметра наиболее узкого участка дыхательной трубки, оценить инвазивность.
Основные диагностические преимущества томографии заключаются в:
- возможности точной визуализации дыхательного пути в трех плоскостях (аксиальная, фронтальная, сагиттальная);
- объективной оценке степени стеноза гортани и трахеи;
- точном определении локализации и протяженности стенозированного сегмента дыхательной трубки;
- возможности оценки состояния стенок гортани и трахеи, окружающих органов и тканей;
- неинвазивности, что позволяет проводить многократные исследования в динамике.
В случае травматических повреждений трахеи компьютерная томография будет более информативна.

- Анготоева, И.Б. Повышение эффективности ранней диагностики ларингофарингеального рефлюкса/ И.Б. Анготоева, А.А. Мулдашева// Вестник оториноларингологии.-2015.-№1.
- Паламдоржийн, Ганчимэг. Вопросы клиники, диагностики и лечения больных неспецифическими гранулемами гортани/ Паламдоржийн Ганчимэг// Медицинский научно-практический журнал. - 2004. - № 3 (23).
- Раупов, М. Г. Клиника, диагностика и лечение дискинезии гортаноглотки при шейном остеохондрозе: автореф. дис. .канд. мед.наук. - М., 2003.
- Савин A.A. Эффективность компьютерной томографии при оценке распространенности опухолей глотки. / А. А. Савин // Вест. Оториноларингологии. - 1999.
- Алиева, М.А. Диагностика и лечение стенозов трахеи и крупных бронхов / М.А. Алиева — Алма-Ата: Изд-во Целиноград, обкома КП Казахстана, 1986.
- Стеноз гортани и трахеи - это патологический процесс, связанный с замещением нормальных структур стенки дыхательной трубки грубой рубцовой тканью, которая суживает просвет дыхательного пути
Королева Н.С. Клиника, диагностика и хирургическое лечение заболеваний трахеи: дисс.докт. мед. наук. М., 1980.
МРТ и КТ при раке гортани - что покажет

МРТ мягких тканей шеи, КТ мягких тканей шеи являются аппаратными методами диагностики рака гортани. Исходя из первичных симптомов, истории болезни, противопоказаний и диагностических целей, врач отоларинголог назначает необходимые способы обследования.
В большинстве случаев, МРТ мягких тканей шеи выбирается как первичный метод диагностики. Если результаты исследования носят тревожный или неясный характер, дополнительно назначается:
Виды рака гортани
Существует множество видов рака гортани. Подавляющее большинство из них - плоскоклеточные карциномы, которые можно разделить на 2 типа на основании анализа на вирус папилломы человека (ВПЧ). Опухоли, связанные с ВПЧ, вызываются инфекцией, передающейся половым путем.
Симптомы рака гортани
Часто рак гортани протекает бессимптомно. Как правило, первым признаком является уплотнение на шее. Другие симптомы включают:
- изменение голоса, например, стойкая охриплость
- тихий голос
- затруднение или боль при глотании
- шумное дыхание
- першение в горле
- сбивчивое дыхание
- постоянный кашель
- комок или образование в задней части горла
- шишка или опухоль на шее.
МРТ и КТ в диагностике рака гортани
У многих пациентов с раком гортани сначала обнаруживается объемное образование на шее. Если опухоль на шее наблюдается более 2-х недель, следует обратиться к отоларингологу для обследования, которое включает осмотр горла и гортани с помощью эндоскопа.
Дифференциальная диагностика опухоли гортани потребует проведения биопсии. В некоторых случаях она может быть выполнена под местной анестезией с помощью прямой ларингоскопии. Прямая ларингоскопия проводится, когда новообразование находится в носу, горле или гортани. Гортань — это голосовая коробка, в которой находятся голосовые связки. Гортань расположена в верхней части трахеи. Пациенту перед процедурой дается седативное средства, далее выполняется следующая последовательность. В ходе обследования пациент располагается на спине на смотровом столе. В горло пациента через рот вводится ларингоскоп. Это позволяет врачу получить близкое представление о гортани и горле. Ларингоскоп используется для отбора образца ткани из полипа. Прямая ларингоскопия обычно занимает от 15 до 30 минут.
При других опухолях биопсия часто проводится в операционной под наркозом. Биопсия позволяет тщательно оценить размер опухоли. Тонкоигольная аспирационная биопсия - процедура, при которой маленькая игла вводится в образование на шее для извлечения клеток. Это позволяет патологу оценить клетки под микроскопом.
После выявления опухоли проводится:
- МРТ мягких тканях с контрастом
- КТ грудной клетк
- позитронно-эмиссионная томография.
Данные этих обследований позволяет выявить степень инвазии опухоли и метастазы и стадировать рак гортани.
Разница между МРТ и КТ
Компьютерная томография и магнитно-резонансная томография используются для получения изображений органов и тканей в трехмерной проекции. Разница в томографии заключается в том, что при МРТ используются радиоволны, а при КТ - рентгеновские лучи для получения изображения. Хотя оба томографических метода имеют высокую информативность, есть диагностические различия, которые могут сделать каждый из них более подходящим вариантом в зависимости от обстоятельств.
КТ-сканирование более быстрая форма диагностики, чем магнитно-резонансная томография, и обычно используется для экстренного обследования. При использовании как КТ, так и МРТ существуют определенные риски. Они зависят от типа визуализации, а также от способа ее проведения. К рискам КТ относятся: вред для внутриутробного ребенка при беременности и доза радиации. Риски МРТ включают реакции на металлические импланты в теле из-за сильного магнитного поля, громкий шум от аппарата, повышенная, клаустрофобические риски.
Если врачу нужны более детальные изображения мягких тканей, связок или органов высоким состоянием воды, обычно назначается магнитно-резонансная томография. Если необходимо получить хорошие изображение костных структур и полых органов, обычно рекомендуется компьютерная томография.
МРТ и КТ при раке языка - что покажет
МРТ мягких тканей шеи с контрастом, КТ мягких тканей шеи с контрастом являются аппаратными методами диагностики рака языка. Исходя из первичных симптомов, истории болезни, противопоказаний и диагностических целей, врач стоматолог назначает необходимые способы обследования.
В большинстве случаев, МРТ мягких тканей шеи с контрастом выбирается как первичный метод диагностики. Если результаты исследования носят тревожный или неясный характер, дополнительно назначается:
- КТ мягких тканей шеи с контрастом
- консультация онколога.
МРТ горла и гортани что показывает

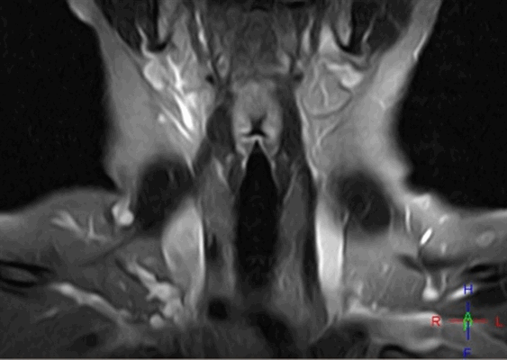
На фото МР-снимок органов лица, шеи и соответствующего отдела позвоночника
Патологии органов шеи могут проявляться незначительными симптомами или серьезно снижать качество жизни человека. Заболевания горла и гортани требуют точных методов диагностики, поскольку за периодической охриплостью голоса и другими признаками отклонений может стоять онкология. Чтобы получить достоверную информацию о происходящих в данной области процессах проводят магнитно-резонансную томографию. У пациента может возникнуть вопрос, что показывает МРТ горла и гортани. Метод отражает состояние мягких и костных тканей, нервной, сосудистой и лимфатической систем в шейном отделе позвоночника.
МР-томография - достоверный и безопасный способ диагностики заболеваний органов шеи и других областей. Пациент не подвергается лучевой нагрузке при исследовании. Магнитное поле приводит в возбуждение атомы водорода в тканях, датчики фиксируют измененный сигнал. Компьютер обрабатывает информацию и объединяет последовательные снимки в объемное изображение. Врач получает представление о том, как выглядят глотка, горло, гортань, трахея и шейный отдел позвоночника.
Заболевания горла и гортани
Анатомия области шеи является одной из самых сложных в организме человека. Особенностью строения является наличие лимфоэпителиального кольца Пирогова-Вальдейера, основную часть которого образуют миндалины:
- небные (пара);
- глоточная;
- трубные (пара);
- язычная.
В области шеи есть специфические зоны, ограниченные мышцами и фасциями. При распространении воспалительного процесса в полостях может скапливаться гной и развиваться флегмона.
Патологии области горла и гортани классифицируют следующим образом:
- аномалии и пороки развития;
- воспалительные процессы ( тонзиллит, аденоидит, ларингит и т.д.);
- травмы (перелом щитовидного хряща и др.);
- новообразования (рак и доброкачественные опухоли);
Симптомами заболеваний описанной области являются:
- боль в области носоглотки, горла и шеи;
- охриплость голоса;
- ощущение «кома» в горле;
- чувство сдавления горла;
- затруднение дыхания вплоть до удушья;
- нарушение акта глотания;
- воспаление миндалин и др.
МРТ горла и гортани: что можно увидеть?

МР-снимок глотки и гортани
Томография показывает особенности строения и патологические изменения органов и тканей, располагающихся на уровне шейного отдела позвоночника:
- глотки;
- гортани;
- трахеи;
- пищевода;
- кровеносных и лимфатических сосудов;
- мышц и сухожилий;
- позвонков;
- спинного мозга и нервов.
- дефекты органов (ларингоцеле - кисту в области гортани и др.);
- скопление гноя в области шеи (абсцессы и флегмоны);
- изменения слизистой оболочки (отек, изъязвления и др.);
- патологию голосовых связок;
- аномалии кровеносных сосудов (аневризму, артериовенозную мальформацию и пр.);
- сужение просвета трахеи и пищевода;
- наличие инородных тел;
- новообразования (доброкачественные и злокачественные).
Показания к МРТ глотки и гортани
Доктор порекомендует провести магнитно-резонансную томографию при наличии описанных выше симптомов и выявлении:
- отека и припухлости в области шеи;
- объемного образования при пальпации;
- увеличения лимфатических узлов и пр.
Показанием к выполнению МРТ служит недостаточная информативность других методов. Данных ультразвукового исследования или рентгена может не хватить при диагностике заболеваний. В таком случае томография позволяет получить исчерпывающую информацию.
При подозрении на новообразование проведение МРТ с контрастированием дает сведения о размерах опухоли, точном расположении, метастазировании в прилежащие ткани и лимфоузлы. Определить природу очага можно только с помощью биопсии и последующих исследований образца ткани.
МР-томографию назначают, чтобы проконтролировать процесс заживления и восстановления после операций, оценить динамику выявленного ранее патологического состояния.
Противопоказания к МРТ горла

МР-снимок области шеи
Магнитно-резонансное сканирование - безопасный и безболезненный метод. Но процедура имеет некоторые противопоказания. Из-за конструктивных особенностей оборудования МРТ на томографе закрытого типа не выполняют людям с массой тела больше 120 кг. Аппарат не рассчитан на большой вес.
Еще одно ограничение - наличие металлических предметов, имплантированных в тело человека (штифты, стенты и пр.). Если элемент выполнен из титана, последний не исказит сигнал и не повлияет на качество снимка. Нужно сообщить до процедуры об имплантате и предоставить документ с информацией о материале изделия. Противопоказанием к МРТ являются функционирующие устройства: кардиостимуляторы, дефибрилляторы и др.
Стоит сообщить лечащему врачу, если у Вас клаустрофобия. Доктор подберет успокоительные препараты, что позволит без препятствий пройти исследование. Нельзя выполнять сканирование при необходимости использования аппаратов, поддерживающих жизненно важные функции (дыхания, кровообращения и др.).
Запретом для томографии будет беременность в первые 12 недель. Во втором и третьем триместрах сделать МРТ можно, если, по мнению врача, польза превышает риск. При сканировании с контрастом женщинам в период кормления грудью нужно сцедить молоко дважды после обследования, затем разрешено вернуться к прежнему режиму.
Томография с усилением недопустима при беременности на любом сроке, терминальной почечной недостаточности и непереносимости вводимого препарата.
Диагностический центр «Магнит» делает МРТ детям с 5 лет, контрастирование - с 12. Обязательным является наличие направления.
Как проходит МРТ горла и гортани?

Киста шеи (щитоязычного протока) представлена на двух МР-снимках в разных режимах, имеет гиперинтенсивное содержимое на Т2 ВИ, четкий контур
Сканирование не требует подготовки. Разрешается пить и употреблять пищу. Но переедать не стоит, нахождение в замкнутом пространстве аппарата иногда провоцирует тошноту и рвоту. Стоит отдать предпочтение легкому перекусу, особенно при выполнении томографии с контрастом. Прием пищи позволит уменьшить признаки активности вегетативной нервной системы (тошноту, металлический привкус во рту и т.д.).
Перед томографией проводят инструктаж пациента. Необходимо снять все металлические предметы: ремень, заколки, серьги и т.д. Аппарат выглядит как труба. Пациента укладывают на стол устройства, пристегивают специальными ремнями. Во время томографического исследования нужна полная неподвижность, чтобы получить качественные снимки.
Стол с пациентом задвигают в тоннель МР-аппарата. О начале работы устройства свидетельствует появление шума и стука. Звуки сопровождают процесс исследования, беспокоиться не стоит. Чтобы сделать процедуру более комфортной, врач предложит использовать средства защиты (наушники, противошумные вкладыши).
Во время сканирования пациент остается под наблюдением медицинского персонала. Доктор наблюдает за процедурой из смежного помещения и поддерживает контакт с обследуемым с помощью радиопередатчика. В случае выполнения МРТ ребенку один из родителей может остаться рядом во время сканирования.
Если делают томографию с усилителем, сначала получают ряд нативных снимков, затем внутривенно вводят препарат и повторяют исследование. Процедура занимает около 15 минут, контрастирование удвоит время сеанса.
МРТ покажет рак горла?

Объемное образование в области гортани (стрелки): проекция спереди и сбоку
Дыхательные пути, глотка и пищевод подвержены постоянному воздействию повреждающих факторов, среди которых:
- никотин;
- курение электронных сигарет и использование других устройств;
- горячие жидкости и пища;
- частые воспалительные заболевания и пр.
В норме в организме человека на протяжении жизни появляются атипичные клетки (опухолевые), но иммунная система успешно с ними борется. К сожалению, при длительном действии агрессивных факторов, наследственной предрасположенности вероятность возникновения злокачественных процессов возрастает.
МРТ показывает рак гортани и других органов. Томография является предпочтительным методом визуализации новообразований. Чтобы улучшить достоверность и качество снимков, врачи рекомендуют проводить исследование с контрастированием. МРТ покажет:
- размер очага;
- расположение опухоли;
- контур и внутреннюю структуру;
- особенности кровотока;
- состояние лимфатических узлов и др.
При помощи полученных данных доктор сможет установить диагноз, предположить, есть ли у новообразования злокачественный потенциал, определить наличие метастазов и стадию заболевания. Раковая опухоль чаще выглядит как бугристый элемент, прорастает соседние ткани. Биопсия (метод диагностики, дающий информацию о клеточном строении), имеет решающее значение в подтверждении онкологии. Результаты томографии помогут определить тактику лечения, объем операции, сделать прогноз при раке горла, покажут динамику состояния.
Читайте также:

