МРТ латеральных поддерживающих структур коленного сустава в норме
Добавил пользователь Евгений Кузнецов Обновлено: 02.11.2025

Магнитно-резонансная томография дает исчерпывающую информацию о состоянии мягких тканей организма. При исследовании колена (одного из самых сложных сочленений) диагностическая процедура качественно дополняет результаты рентгена или КТ. По МР-снимкам оценивают структуру хрящей, связок, мышц, суставных капсул. Сведения о мягкотканных элементах позволяют уточнить диагноз и назначить эффективную терапию. Залогом успешного лечения выступает грамотная расшифровка МРТ коленного сустава.

МР-скан коленного сустава в Т1 режиме (стрелкой указан костный отек)
В структуру сочленения входит множество мелких элементов. Правильно прочитать томограммы сможет специалист в области рентгенологии с внушительным практическим опытом. В спорных ситуациях результаты МРТ предоставляют для чтения нескольким врачам. Человек без медицинского образования и соответствующих навыков не сможет расшифровать снимки. Чтобы понять заключение рентгенолога, требуются глубокие знания. По этой причине трактовку результатов МР-томографии лучше доверить врачу (травматологу или ортопеду).
Как выглядит фото снимок МРТ коленного сустава?
В основе метода лежит явление ядерно-магнитного резонанса. Это свойство протонов водорода специфическим образом реагировать на индуцируемое аппаратом поле. Заряженные частицы меняют траекторию движения и возвращаются в первоначальное состояние. Томограф улавливает энергетические всплески, компьютерная программа преобразует данные в картинку. Метод специфичен относительно рыхлых структур и биологических жидкостей, поскольку в них есть вода (соответственно, атомы водорода).
При МРТ получают серии монохромных снимков анатомической области в аксиальной, сагиттальной и фронтальной плоскостях. При изучении изображений врач видит контуры различных элементов сочленения. Расшифровка МРТ-снимка коленного сустава подразумевает оценку сканов в сравнении с нормой. МР-томограммы называют срезами, поскольку изображения производят послойно, с шагом 1-2 мм. Врач последовательно изучает анатомическую зону на предмет соответствия всех структур норме. В процессе расшифровки фото обращают внимание на качество визуализации элементов, четкость контуров, присутствие зон измененного МР-сигнала (гипер- или гипоинтенсивного) в различных режимах сканирования (Т1 ВИ, Т2 ВИ, ДВИ, подавление жира).

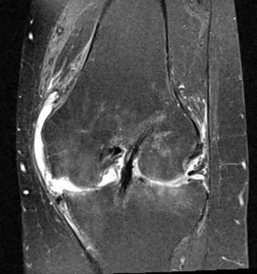
МР-снимок коленного сустава в режиме Т2, контузия кости
Для повышения качества визуализации используют контрастирование. Введение в организм препарата гадолиния обеспечивает более выраженную реакцию атомов водорода на магнитное поле. В результате увеличивается контрастность снимков, появляется возможность выявить мельчайшие очаги патологических изменений и оценить особенности кровообращения в сочленении.
Норма МРТ коленного сустава
На МР-томограммах сочленения обычно визуализируют:
- суставные поверхности костей;
- надколенник;
- мыщелки;
- мениски;
- ретинакулумы;
- сухожилия;
- связки (надколенника, крестообразные, боковые); ;
- мягкие ткани, окружающие сочленение;
- суставная сумка;
- синовиальная жидкость.
Состояние каждого элемента описывают в протоколе исследования. Соответствие анатомической структуры норме может обозначаться как «обычная конфигурация и расположение», «правильная форма», «без особенностей» и пр. Патологические изменения описывают произвольно («неоднородное повышение МР-сигнала», «скопление жидкости», «смещение» и пр.).
Чтобы расшифровать МРТ коленного сустава, нужно в совершенстве владеть знаниями анатомии сочленения и хорошо разбираться в особенностях МР-картины различных заболеваний. Снимки должен читать опытный врач-рентгенолог.

МР-изображение субхондрального перелома латерального мыщелка (зона повреждения указана стрелкой)
Как читать результаты МРТ?
Протокол магнитно-резонансной томографии подытоживают заключением. В этом разделе документа интерпретируют патологические изменения, обнаруженные на срезах. Заключение МРТ коленного сустава может выглядеть так:
«На серии томограмм картина выявлена латеропозиция надколенника, повреждения медиального удерживателя и хондромаляция хряща последнего. Умеренный посттравматический отек тела Гоффа. Экссудативный синовит. Бурсит инфрапателлярной сумки. Умеренный отек мягких тканей в подколенной области».
В заключении МРТ обозначают суть и распространенность патологических процессов. При выдаче результатов рентгенолог может кратко пояснить медицинские термины и порекомендовать пациенту, к какому врачу обратиться.
Расшифровка фото не является диагнозом. Это дополнительная информация для лечащего врача. Диагноз установят на основании результатов МРТ и других исследований, клинической картины и анамнеза.
МРТ суставов что показывает

Современные методы инструментального исследования опорно-двигательного аппарата позволяют обнаруживать различные заболевания костно-мышечной системы. Одним из наиболее часто назначаемых видов аппаратного сканирования является МРТ суставов, что показывает информативность и результативность данного способа диагностики.
Магнитно-резонансная томография основана на применении индукционного поля, под действием которого резонируют атомы водорода в молекулах воды. Сила отклика определяется количеством жидкости в клетках. Ответную реакцию тканей фиксируют высокочувствительные детекторы. Информацию посредством сложных алгоритмов преобразуют в серию послойных изображений, поступающих на монитор компьютера.

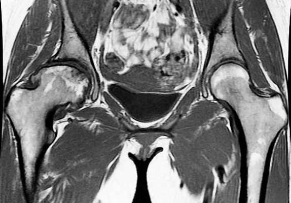
Артрит правого тазобедренного сустава на снимке МРТ
Для визуализации кровеносной системы, доброкачественных и злокачественных новообразований применяют контрастное усиление. «Окрашивающий» препарат - раствор хелатов гадолиния. Вещество нетоксично и гипоаллергенно, выходит из организма естественным путем с мочой и калом.
Патологии суставов
В опорно-двигательную систему входят мышцы, сухожилия, связки, хрящи (мениски), соединенные с помощью подвижных сочленений и амфиартрозов кости. Суставы подвергаются значительным нагрузкам, поэтому наиболее частыми патологиями являются травматические повреждения:
- вывихи, подвывихи;
- растяжения, отрывы связок, нарушение целостности волокон; ;
- ушибы мягких тканей;
- гемартрозы (кровоизлияния в полость сустава).
Нередко встречаются воспалительные процессы, затрагивающие:
- суставные поверхности (остеомиелиты, артриты);
- капсулу (бурситы, синовиты);
- связочный аппарат (тендиниты).
Нарушают функциональность суставов дегенеративно-дистрофические заболевания :
- ;
- артроз;
- остеоартрит;
- остеонекроз и пр.
Метод помогает дифференцировать врожденные аномалии развития (дисплазии, вальгусные, варусные деформации и пр.).
МРТ применяют в диагностике новообразований: кист, доброкачественных и первичных злокачественных опухолей, метастазов. В отдельной группе - сосудистые патологии, нарушения лимфотока, иннервации суставов и окружающих мягких тканей.

Остеосаркома коленного сустава на МРТ
Заболевания сочленений сопровождаются характерными клиническими признаками:
- болевым синдромом в области сустава;
- ограничением подвижности;
- видимой деформацией в зоне проекции сустава;
- наличием пальпируемых образований;
- отечностью мягких тканей в области сочленения;
- гиперемией кожных покровов.
Больные отмечают скованность пораженного сустава, особенно в утренние часы.
Патологические состояния опорно-двигательного аппарата приводят к снижению работоспособности, негативно влияют на качество жизни. При отсутствии результативного лечения возникают необратимые последствия: происходит деформация суставных поверхностей, сочленение теряет подвижность (анкилоз).
В случае специфических заболеваний (ревматоидный, псориатический артрит) наблюдаются множественные очаги поражения.
При подозрении на патологии суставов МРТ назначают при недостаточной эффективности других видов сканирования. Окончательный диагноз определяет лечащий врач на основании результатов томографии и лабораторных методов исследования.
Какие суставы исследуют при помощи МРТ?
Магнитно-резонансная томография результативна при сканировании сочленений верхних и нижних конечностей. Исследуют суставы:
- плечевые;
- локтевые;
- лучезапястные;
- тазобедренные;
- коленные;
- голеностопные.
Для оценки состояния мелких сочленений делают МРТ стопы и кисти. В случае нарушения жевательной функции назначают магнитно-резонансную томографию височно-нижнечелюстных суставов.
Для повышения эффективности обследования врач может назначить сканирование обоих парных сочленений. При одностороннем поражении комплексное сканирование позволяет сравнить изменения строения морфологических элементов со здоровым анатомическим образованием.

Магнитно-резонансное сканирование тазобедренных суставов
Подготовка к МРТ суставов
Пациенту следует предварительно записаться на сканирование. На процедуру лучше прийти за 10-15 минут до назначенного времени. Желательно предоставить направление лечащего врача, результаты ранее проведенных исследований, в том числе клинических анализов.
Необходимо сообщить врачу о наличии:
- вживленных электромагнитных устройств медицинского назначения;
- несъемных металлических протезов;
- выполненных ферромагнитными красками татуировок.
Следует предупредить о сопутствующих заболеваниях, принимаемых лекарственных средствах. Контрастную МРТ не проводят при тяжелых патологиях печени и почек, ограничением к применению усиления служит беременность вне зависимости от срока.
Период лактации не является противопоказанием к сканированию суставов. Женщине следует заранее приготовить питание для младенца, грудь после контрастной процедуры сцеживают в течение 6-12 часов, так как молоко непригодно для кормления ребенка.
При клаустрофобии, выраженном болевом синдроме, повышенной тревожности врач может назначить седативные и анальгезирующие препараты. Самостоятельно употреблять лекарственные средства запрещено.
Контрастную МРТ суставов не делают натощак, врачи рекомендуют перекусить за 40-60 минут до процедуры. В течение суток перед томографией с усилением запрещено употреблять алкоголь.
Перед сканированием пациент снимает украшения, пирсинг, аксессуары, способные повлиять на результаты исследования.

МРТ коленного сустава, разрыв передней крестообразной связки
Как проходит МРТ суставов?
Пациент ложится лицом вверх на выдвигающийся стол томографа, для обеспечения статичного положения тело фиксируют с помощью валиков и удерживающих устройств. При необходимости конечности придают нужную позу, что позволит определить степень нарушения функциональности сустава.
Защиту от шума работающего аппарата обеспечивают наушники, связь с больным поддерживают при помощи переговорного устройства, предусмотрена тревожная кнопка. Во время процедуры медицинский персонал располагается за перегородкой. Мера позволяет избежать воздействия на томограф посторонних электромагнитных импульсов.

Процедура МРТ: сканирование на закрытом томографе
Стол с обследуемым закатывают в тоннель аппарата, генерирующего индукционное поле. Сканирование проводят в аксиальной, сагиттальной и фронтальной плоскостях.
Контрастная процедура проходит в два этапа. Сначала делают серию нативных снимков, затем исследование приостанавливают и пациенту вводят раствор гадолиния. Продолжают съемку.
Внутривенную инъекцию осуществляют с помощью катетера, соединенного с автоматическим устройством. Болюсное усиление позволяет подавать контраст с постоянной скоростью. Раствор солей гадолиния проникает в кровеносное русло и интерстициальное (межклеточное) пространство, «окрашивая» ткани и визуализируя изменения структуры изучаемого образования.
Расшифровка фотоснимков МРТ суставов
При сканировании сочленения в трех взаимно перпендикулярных проекциях томограммы визуализируют строение всех элементов, включая нервы, сосуды, окружающие мягкие ткани.
Анализ полученных фотографий позволяет оценить:
- ширину суставной щели;
- состояние капсулы;
- конгруэнтность (соответствие формы) суставных поверхностей;
- толщину и плотность связок;
- наличие патологического выпота в полости сочленения;
- целостность элементов сустава и др.
При наличии новообразований контрастная МРТ суставов показывает, что ткани опухоли накапливают усиливающее вещество. На основании подробных послойных изображений врач уточняет расположение, размеры очага, определяет характер процесса, степень вовлечения рядом расположенных структур. Сосудистая система злокачественного образования представляет собой извитую сеть с большим количеством анастомозов (соединений). Окончательный диагноз ставят по результатам биопсии.

Плечевой сустав на МРТ
Врач может обнаружить признаки воспаления: наличие серозного или гнойного экссудата в капсуле, изменение структуры связок, синовиальной мембраны, эрозивные повреждения кости. Наблюдается отек окружающих тканей, при длительном течении заболевания возникают деструктивные изменения элементов анатомического образования.
Дегенеративные процессы характеризуются сужением суставной щели, снижением высоты хрящевой оболочки, поражением субхондральной костной пластинки.
В случае травмы на томограммах видны характер и степень повреждения мышц, сухожилий, связочного аппарата. По результатам МРТ определяют целостность кровеносных сосудов, наличее/отсутствие крупных костных отломков, взаимное расположение суставных поверхностей.
При необходимости врач реконструирует трехмерное изображение сочленения и окружающих тканей. 3D-модель позволяет визуализировать патологический участок, уточнить локализацию и взаимодействие с окружающими тканями.
МРТ или КТ суставов, что лучше?
Каждый вид инструментальной диагностики имеет преимущества и недостатки. Выбор метода зависит от характера заболевания, клинической картины, наличия ограничений к исследованию.
Магнитно-резонансная томография не несет лучевой нагрузки, индукционное поле безопасно для здоровья человека. Рыхлые структуры отличаются большей интенсивностью магнитного резонанса, поэтому МРТ информативнее в отношении мышц, связок, жировой клетчатки. Метод помогает выявить патологии нервов, участвующих в управлении сочленением.
В отношении строения костных и хрящевых элементов сустава большей информативностью обладает компьютерная томография. Метод основан на применении ионизирующего излучения. В результате КТ получают послойные изображения. Снимки детально отражают состояние твердых структур, которые обладают высокой поглощающей способностью. Данный вид рентгенологического исследования актуален при подозрении на переломы, трещины, патологические состояния костей и хрящей сустава.
Недостатками КТ являются лучевая нагрузка и слабая визуализация состояния мягких тканей. Для повышения информативности сканирования применяют контрастное усиление с помощью инъекции йодсодержащего раствора.
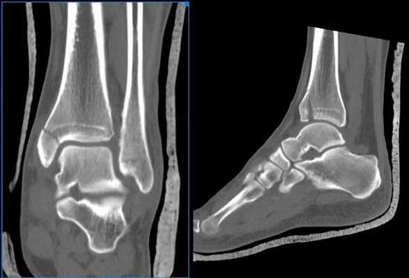
Компьютерная томография голеностопного сустава
Что показывает МРТ коленного сустава
Магнитно-резонансная томография или МРТ коленного сустава - современная, безопасная, неинвазивная диагностическая процедура, позволяющая с высочайшей точностью визуализировать мягкотканные структуры (мениск, связки, сухожилия, кровеносные сосуды, мышцы) и выявить малейшие изменения в них. С несколько меньшей информативностью она помогает обнаруживать повреждения костной ткани разного типа, но правильно расшифровать, что показывает МРТ коленного сустава, может только квалифицированный врач-рентгенолог.

МРТ коленного сустава.В норме на МР-томограмме коленного сустава хрящ (яркий) покрывающий суставную поверхность имеет равномерную толщину, суставная поверхность имеет ровную форму, возможно минимальное количество жидкости, мениск имеет гипоинтенсивный МР-сигнал. У молодых людей имеется гипернтенсивный сигнал в метаэпифизе — зона роста (яркий МР-сигнал).
МРТ коленного сустава, что показывает: показания, подготовка, как делают, расшифровка МРТ колена
МРТ коленного сустава современная, безопасная, неинвазивная диагностическая процедура, позволяющая с высочайшей точностью визуализировать мягкотканные структуры (мениск, связки, сухожилия, кровеносные сосуды, мышцы) и выявить малейшие изменения в них.
Видео — МРТ коленного сустава, что показывает
Метод помогает обнаружить различные заболевания коленного сустава и околосуставных тканей даже на самых ранних стадиях развития. Томография показывает малейшие отклонения от нормы и позволяет определить следующие нарушения:
- воспалительные болезни (артрит любого вида, остеомиелит, бурсит, тендинит, инсерциит, тендовагинит, эпикондилит, лигаментит и пр.);
- невоспалительные дегенеративно-дистрофические заболевания (артроз, болезнь Кенинга, Осгуда-Шлаттера, синовиальный остеохондроматоз, гидрартроз, хондропатию надколенника);
- системные заболевания и их следствия (подагру);
- анатомические аномалии;
- различные разновидности травматических повреждений (растяжения, разрывы связок и сухожилий, трещины и переломы костей, отрывы хрящевых фрагментов);
- опухоли доброкачественной или злокачественной природы, включая кисту Бейкера, синовиому, метастазы;
- защемление нервов.

МРТ коленного сустава в прямой проекции. Определяется избыточное наличие синовиальной жидкости (яркий сигнал) на фоне разрушения мениска и нарушения конгруэнтности костей и их деформации.
Использование контрастного вещества существенно расширяет информативность исследования, так как усиливает магнитный резонанс и повышает четкость получаемых изображений. Этот метод диагностики досконально выявляет кисты, опухоли, гематомы, абсцессы, скопления суставной жидкости. С его помощью удается определить природу обнаруженного новообразования, дифференцировать доброкачественные кисты от злокачественных опухолей.
Если изначально пациенту не было назначено выполнение МРТ с контрастом, врач во время процедуры определяет, есть ли необходимость в его использовании. Например, контраст часто вводится в ходе исследования, когда получаемые изображения вызывают обеспокоенность или сомнения.
Показания к МРТ коленного сустава
Сделать МРТ колена рекомендуется, если в ходе обследования доктором предполагается наличие вышеперечисленных заболеваний или осложнений после операции по эндопротезированию колена. Также пациент может самостоятельно пройти исследование с целью выявления причин возникновения:
- острой сильной или постоянной ноющей боли в колене, особенно после неудачного падения или травмы;
- отечности мягких тканей вокруг коленного сустава;
- нарушений подвижности ноги в коленном суставе.

МРТ коленного сустава. На МР-томограмме в аксиальной плоскости определяется яркий МР-сигнал от жидкости: отечность мягких тканей (стрелка) и жидкость в полости сустава (обведено).
Выполнение МРТ в обязательном порядке показано при проведении лечения заболеваний коленного сустава, а также при подготовке к операции на нем с целью построения правильной тактики хирургического вмешательства и оценки возможных рисков.
Подготовка к МРТ коленного сустава
Для проведения МРТ коленного сустава специальная подготовка не требуется. С собой нужно взять документы, удостоверяющие личность, направление от доктора и результаты предыдущей томографии (при наличии). Но если процедура будет проводиться с введением контрастного вещества, за 40 минут до нее рекомендуется сделать легкий перекус. Это поможет снизить вероятность возникновения тошноты, появления металлического привкуса во рту после ее завершения, а также других нежелательных последствий использования контраста.
Но перед тем как идти на томографию, стоит так подобрать одежду, чтобы на ней не было никаких металлических пуговиц, заклепок, змеек и других аналогичных предметов. Непосредственно перед исследованием пациент снимает с себя все украшения, съемные протезы, часы и пр.
Если делают МРТ с контрастом, пациенту ставят внутривенный катетер, который подключен к специальному инжектору. Раньше при первом исследовании такого рода рекомендовали провести пробу с целью определения переносимости контраста и обнаружения аллергической реакции. Аллергия на современные препараты такого рода возникает менее чем у 0,01% людей, при этом они отличаются высоким уровнем безопасности и крайне редко вызывают развитие побочных явлений.
Но обследование не может выполняться в определенных случаях. Создаваемое магнитное поле может привести к нежелательным последствиям при наличии в организме больного кардиостимулятора, металлических имплантатов или инородных тел. Также оно противопоказано в первом триместре беременности, а с введением контраста и на протяжении всего периода вынашивания плода.
Наличие клаустрофобии, заболеваний сердца и сосудов, эпилепсии и даже тяжелых посттравматических состояний не является поводом для отказа от проведения МРТ. Но в таких случаях процедура выполняется с соблюдением всех мер предосторожности под внимательным контролем медиков.
Как делают МРТ коленного сустава?
Томограф представляет собой аппарат с выдвижной кушеткой и непосредственно сканером. Больной ложится на кушетку на спину, где его фиксируют специальными ремнями и валиками. При использовании контрастирования к уже установленному катетеру подсоединяют иньектор или препарат может вводится рентгенлаборантом. Поскольку аппарат издает шум, пациенту предлагается надеть наушники или использовать беруши. В руку ему дают грушу для связи с врачом проводящим обследование.
В течение обследования оператор общается с пациентом с помощью средств голосовой связи, кроме этого камера установленного в сканера. В случае ухудшения состояния больного, возникновения сильной тревоги или любых других отклонений исследование прерывают. О плохом самочувствии пациент ставит медперсонал в известность, зажав кнопку коммутатора и рассказав о своих ощущениях.
После фиксации стол задвигается в тоннель аппарата, а медперсонал покидает помещение. Излучаемое аппаратом магнитное излучение проходит через исследуемую зону и, отражаясь от ее анатомических структур, возвращается назад и фиксируется датчиками томографа. На основании их интенсивности компьютерная программа строит изображение, на котором с высокой четкостью отражаются все структурные элементы коленного сустава.
Длительность процедуры составляет 30—45 минут. Как только все снимки будут сделаны, аппарат отключают и кушетка выдвигается из капсулы прибора. Больного освобождают от зажимов и помогают ему подняться.
Если у человека клаустрофобия или исследовать требуется ребенка, используют седативные препараты, а в особенно сложных случаях наркоз. Это необходимо, чтобы в течение всего исследования пациент сохранял абсолютную неподвижность. В противном случае полученные снимки будут неточными.
После окончания МРТ зачастую самочувствие нисколько не ухудшается. Только в редких случаях наблюдается кратковременная скованность движений, обусловленная необходимостью длительно сохранять абсолютную неподвижность, а также головные боли. Эти последствия проходят самостоятельно и не требуют медицинского вмешательства.
Наиболее достоверные данные о состоянии мягких тканей предоставляет исследование, проведенное на томографе с мощностью от 1,5 Тл и более. Более слабый аппарат не дает такого четкого изображения и делает более толстые срезы, поэтому он не покажет изменения, если они будут находиться в толще среза. Поэтому лучше делать МРТ колена на хороших томографах с мощностью магнитного поля 1,5 Тл во избежание получения ложноотрицательных результатов.

МРТ коленного сустава выполненное на аппарате с индукцией магнитного поля не менее 1,5 Тесла дает максимальное качество изображения.
Расшифровка снимков МРТ колена
Результаты процедуры представлены в виде снимков, являющихся фотографиями послойных срезов колена. Но, какие бы виды МРТ коленного сустава не проводились (с использованием контраста или без), расшифровать полученные фото может только специалист-радиолог. Врач тщательно рассматривает каждый снимок и делает заключение, в котором указывает размеры и особенности всех анатомических структур колена, а также были ли обнаружены в ходе исследования отклонения от нормы и их характер.

МРТ коленного сустава. МРТ в отличии от рентгенографии представляет детальную визуализацию мягких тканей. На МР-томограмме в боковой плоскости опредляются передняя и задняя крестообразные связки (стрелки)
Заключение выдается пациенту на руки вместе со снимками или электронным носителем через 30—90 минут после окончания процедуры. Если целью обследования является оценка результатов лечения, то заключение готовиться быстрее, поскольку рентгенологу требуется в основном лишь сравнить параметры патологических изменений. С готовым результатом пациенту необходимо обратиться к лечащему врачу для назначения соответствующего ситуации лечения.
КТ или МРТ коленного сустава, что лучше?
Благодаря КТ можно досконально исследовать состояние костей, но МРТ дает значительно лучшие изображения мягких тканей. Поэтому снимки, полученные с помощью КТ, не могут предоставить такой точной информации о состоянии хрящевой ткани и других мягкотканных структур, что дает МРТ коленного сустава. Но именно компьютерная томография применяется, если в теле больного установлены металлические протезы, так как рентгеновское излучение не может спровоцировать их смещение.
Но если МРТ не наносит никакого вреда организму (при условии отсутствия противопоказаний) и может проводиться так часто, как того требует ситуация, то КТ предполагает лучевую нагрузку на организм, что обуславливает наличие ограничений по частоте использования метода. Поэтому чаще предпочтение отдают МРТ, хотя оно стоит немного дороже.

Нормальный левый коленный сустав на МРТ (красным выделен латеральный мениск, голубым — медиальный)
Около 80% людей на планете сталкиваются с теми или иными заболеваниями опорно-двигательного аппарата. Почти половина случаев связаны с патологиями колена. Магнитно-резонансная томография ― очень информативная, безболезненная и безопасная диагностическая процедура. Результаты сканирования позволяют комплексно оценить все анатомические структуры сочленения и на ранних этапах выявить патологические изменения. От того, что показывает МРТ коленного сустава, зависит тактика лечения. Исследование проводят по назначению врача-травматолога или ортопеда.
Как проходит процедура МРТ коленного сустава?
Магнитно-резонансное сканирование в диагностической клинике «Магнит» проводят по предварительной записи. Во время оформления пациента спрашивают о наличии в теле металлических конструкций или электронных устройств, таких как:
- водители сердечного ритма (кардиостимуляторы);
- устройства для непрерывного введения инсулина;
- штифты, спицы, эндопротезы;
- стенты в сосудах;
- кровоостанавливающие клипсы;
- аппарат Илизарова.
Магнитное поле способно выводить из строя электронику. Поэтому процедура МРТ противопоказана при установленном кардиостимуляторе или дефибрилляторе. Металлы (сталь, никель, хром, железо) могут изменять свои свойства: нагреваться, притягиваться к магниту, перемещаться. Рентгенологу важно знать, где именно находится конструкция, ее размеры и точный состав. Располагая перечисленными сведениями, врач оценивает возможность выполнения процедуры, вносит дополнительные настройки, чтобы предотвратить артефакты (искажение снимков из-за металла). Парамагнитные материалы (титан, золото и пр.) не реагируют подобным образом на воздействие аппарата и не являются препятствием для проведения исследования.

Варианты просмотра коленного сустава при МР-сканировании в разных проекциях (Т2 ВИ)
Относительными противопоказаниями для МРТ коленного сустава являются:
- первый триместр беременности;
- вес человека более 120 кг; ;
- острый болевой синдром;
- возраст до 5 лет (вне больницы).
Если пациент относится к одной из перечисленных групп, об этом нужно уведомить персонал клиники. Женщинам на ранних сроках беременности потребуется предварительно проконсультироваться со своим акушером-гинекологом. Тучным людям и лицам с клаустрофобией предлагают пройти обследование на аппаратах открытого типа. Пациентам с острой болью или с неврологическими расстройствами МРТ коленного сустава проводят под седацией.
В клинику стоит прийти на 5-10 минут раньше назначенного времени, чтобы без спешки заполнить документы. Порядок исследования следующий:
- пациент проходит консультацию с рентгенологом. Врач опрашивает его на предмет противопоказаний, дает инструкции. При необходимости человек переодевается, снимает украшения, предметы одежды с металлическими элементами, электронные устройства;
- пациент проходит в кабинет томографии. Больной ложится на платформу аппарата. МРТ коленного сустава проводят со специальными катушками, накладываемыми на область исследования. Лаборант просит пациента поместить ногу в устройство, фиксирует ее, для удобства подкладывает валики;
- рентген-техник выходит в соседний кабинет, проверяет исправность громкой связи, напоминает пациенту о необходимости соблюдать неподвижность, включает аппарат.
Исследование длится 15-20 минут. По его завершении пациент забирает личные вещи и проходит в комнату ожидания. Результаты будут готовы через 15-60 минут.
Пациент получает заключение рентгенолога на бумаге и цифровой носитель со снимками. При короткой консультации врач дает пояснения. Результаты доступны для получения на электронную почту (если Вы укажете ее в документах), а оригинал забирают в другой день. В описанном случае у пациента нет возможности пообщаться с врачом и услышать его пояснения.
Что нужно для МРТ коленного сустава?
МР-сканирование назначают в следующих случаях:
- последствия травмы колена;
- хронические боли;
- щелчки, хруст;
- отек в области сустава, покраснение кожи;
- локальное повышение температуры;
- ограниченность движений в сочленении;
- подозрения на некроз тканей, опухоли;
- патологическая подвижность;
- подготовка к операции.

Контузия трабекулярной костной ткани (указана стрелками) без нарушения целостности кости на МРТ
Порядок подготовки зависит от вида МРТ коленного сустава. К нативному сканированию предварительно ничего не нужно делать. Для оценки кровообращения, особенностей воспаления или опухолевого процесса исследование проводят с контрастированием. Процедура противопоказана женщинам на любом сроке беременности. Подготовка к введению контраста подразумевает легкий перекус за 45 минут до исследования. Какое МРТ коленного сустава лучше в конкретном случае, определяет врач. На исследование стоит надевать просторную удобную одежду, без металлических вставок.
Собираясь в клинику, следует взять с собой всю медицинскую документацию по коленному суставу, если она находится на руках (рентгеновские снимки, заключение УЗИ). Пациентам, у которых есть металлические импланты, необходимо взять выписку из медучреждения, где проводили операцию. В заключении должно быть описание конструкции и материала, из которого она изготовлена.
Явление ядерно-магнитного резонанса позволяет досконально изучить мягкие ткани. Кости на снимках видны недостаточно хорошо (по сравнению с КТ или рентгеном). Что дает МРТ коленного сустава? Исследование помогает выяснить сведения об окружающих сочленение структурах, по состоянию которых определяют скрытые (субхондральные) переломы: их нельзя или крайне трудно увидеть при рентгенографии. Полипроекционность, высокая разрешающая способность и возможность использования разных режимов сканирования — преимущества МРТ перед другими методами.

Субхондральный перелом латерального мыщелка на МРТ (указан стрелками)
МР-сканирование позволяет визуализировать все составляющие коленного сустава:
- переднюю и заднюю крестообразные связки;
- сухожилие четырехглавой мышцы бедра;
- надколенник и его собственную связку;
- бедренную кость;
- жировое тело Гоффа;
- мыщелки (медиальный и латеральный);
- малоберцовую кость;
- медиальный и латеральный мениск;
- большеберцовую кость;
- боковые связки;
- ретинакулумы;
- суставную сумку;
- синовиальную жидкость.

Перелом надколенника (указан стрелками) на МРТ
Врач оценивает положение каждого элемента сочленения, размеры, четкость контуров и выявляет любые отклонения от нормы. По МРТ коленного сустава обнаруживают:
- скрытые костно-травматические изменения;
- патологии хрящевой ткани (повреждения, дегенерацию);
- травмы связочного аппарата (разрывы, растяжения);
- остехондропатии;
- некротические изменения;
- воспалительные процессы;
- опухоли;
- зоны патологического скопления или измененных характеристик выпота;
- местные расстройства кровообращения и др.
Выявленные отклонения врач-рентгенолог фиксирует в заключении. С последним пациент обращается к травматологу или врачу, который инициировал диагностику.

МРТ коленного сустава (МРТ колена) считается одним из самых надежных медицинских исследований, позволяющих оперативно выявить большинство проблем с коленными структурами. Коленный сустав часто подвергается травмам, так как на него приходится большая нагрузка при движении. Хрящевые ткани и мениски постепенно изнашиваются, тем самым увеличивается вероятность развития дегенеративных процессов в тканях, которые приводят к болевому синдрому или частичной или полной неподвижности колена. С внедрением в клиническую практику магнитно-резонансной томографии с высокой напряженностью магнитного поля появилась возможность детального изучения всех анатомических структур коленного сустава и изменений без проникновения в полость сустава. MP-томография является неинвазивным методом и поэтому лишена всяческих осложнений, связанных с проведением исследования, что дает ей значительные преимущества перед артроскопией.
Помимо своей высокой информативности, главное достоинство магнитно-резонансного исследования заключается в его безболезненности и безопасности для пациента. Последнее выгодно отличает МР-томографию от компьютерной томографии, которая проходит на базе более вредоносного рентгена. Магнитный томограф, принцип работы которого построен на колебаниях атомов водорода в магнитном поле, не оказывает никакого излучения на тело обследуемого и показан пациентам любого возраста.
Показания
Основными симптомами и патологиями, при которых целесообразным становится проведение МРТ колена, являются:
- болевые ощущения в коленном суставе, которые усиливаются при ходьбе или при ухудшении погоды;
- различные аномалии развития колена у ребенка;
- наличие воспалительного процесса или отека в области коленного сустава;
- изменение формы колена, кожного покрова;
- ограничение подвижности колена;
- появление хруста в коленях или иных инородных звуков;
- подколенная грыжа, признаки гемартроза;
- травма с повреждением мениска.
МРТ колена часто является частью предоперационной терапии, так как позволяет хирургу выявить поврежденные структуры и принять решение о целесообразности проведения оперативного вмешательства.
МРТ плечевого сплетения (МРТ шейный отдел позвоночника и плечевого сустава)
Что видно на МРТ коленного сустава?
В ходе томографии коленного сустава врач оценивает:
- Взаимоотношения бедренной и б/берцовой костей - нарушены / не нарушены / каким образом смещена большеберцовая кость.
- Конгруэнтность суставных поверхностей коленного сустава.
- Размер и равномерность суставной щели.
- Выпот полости сустава.
- Утолщение синовиальной оболочки.
- Толщину и структуру хряща медиальных мыщелков бедренной и большеберцовой костей.
- Деформацию медиального, латерального менисков.
- Степень дегенеративных изменений в области наружного края тела и заднего рога.
- Деформацию медиальной боковой связки. Структуру и качество латеральной и коллатеральной связок.
- Траекторию, утолщение и разволокнение передней и задней крестообразных связок.
- Утолщение хряща мыщелков бедренной и большеберцовой костей.
- Расположение и качество надколенников.
- Толщину и степень покрытия суставного хряща, покрывающего переднюю поверхность бедренной кости.
- Особенности тканей связки надколенника и удерживателя надколенника.
- Наличие кистообразных образований в медиальных отделах подколенной ямки.
- Качество лимфоузлов, извитые вены.

Подготовка к томографии колена
К проведению магнитно-резонансной томографии колена не нужно специально готовиться, и исследование может быть проведено в любое время по или без назначения врача. Если у вас есть сильные болевые ощущения в колене, перед обследованием имеет смысл принять обезболивающие, чтобы боль не мешала вам сохранять неподвижность.
Перед обследованием необходимо поставить в известность врача о хронических заболеваниях, беременности, об имеющихся имплантах и других предметах из металла, вшитых электронных устройствах, например, кардиостимуляторе, также о клаустрофобии и татуировках на коже. Следует снять с тела все металлические украшения.
Предлагаем Вам запись на МРТ с бесплатной консультацией невролога или ортопеда
Противопоказания
Абсолютные противопоказания к МРТ коленного сустава:
- металл в организме пациента;
- импланты в теле типа кардиостимулятора.
В относительные ограничения выделяют:
- ранние сроки беременности;
- сильную форму клаустрофобии;
- психические заболевания, при которых нахождение в закрытом пространстве томографа может спровоцировать нервный припадок;
- большой вес диагностируемого (более 150 кг).
Пройти МРТ коленного сустава в Санкт-Петербурге можно в любой клинике, которая предлагает услугу магнитно-резонансной томографии. Процедуру могут делать на открытом или закрытом томографе. Как она проводится:
- необходимо освободить обследуемую область от металла, выложить все электронные устройства (телефоны, планшеты, кредитные карты);
- пациент ложится на стол томографа;
- оператор МРТ фиксирует колено пациента специальной МРТ катушкой;
- стол заезжает внутрь аппарата, в область действия магнитного поля;
- производится диагностика, и на компьютер посылаются изображения;
- важно в ходе обследования лежать неподвижно.
Расшифровка МРТ коленного сустав
Цель обследования: исключение структурных изменений костей и мышечно-связочного аппарата сустава.
Краткий анамнез и жалобы: Боли, отек в суставе. Боли иррадируют в бедро и голень.
На серии МР томограмм взвешенных по Т1 и Т2 в трех проекциях с жироподавлением визуализируются дистальные отделы бедренной кости, проксимальные отделы большеберцовой, малоберцовой костей и надколенник.
В супрапателлярной сумке отмечается скопление умеренного количества однородного выпота. В полости сустава скопление незначительного количества выпота. Суставная капсула не изменена.
В эпифизах бедренной и большеберцовой костей (в месте прикрепления передней крестообразной связки) определяются участки невыраженного отека трабекулярной костной ткани без четких контуров; незначительный трабекулярный отек в краевых отделах медиальных мыщелков. Кортикальный слой на уровне изменений четкий, ровный.
В остальном костный мозг без существенных патологических изменений. Краевые остеофиты суставных поверхностей и узуративные дефекты достоверно не выявлены.
Суставная щель не сужена, конгруэнтность суставных поверхностей сохранена. Суставные поверхности четкие, ровные. Сигнал хрящевого компонента сустава не снижен; суставной гиалиновый хрящ относительно равномерный, толщиной 0,2-0,4 см.
Структура заднего рога и тела медиального мениска неоднородная без повреждения верхнего и нижнего контуров, высота мениска не снижена.
Передняя крестообразная связка имеет несколько непрямолинейный ход, неоднородную структуру от заднего пучка волокон, МР-сигнал от нее нерезко повышен во всех режимах.
Целостность контуров и структура латерального мениска, задней крестообразной, коллатеральных связок, удерживателей надколенника, собственной связки надколенника сохранены.
Клетчатка Гоффа - без особенностей.
Подколенная ямка не изменена.
Параартикулярные мягкие ткани не отечные.
ЗАКЛЮЧЕНИЕ: МР картина может соответствовать невыраженному интралигаментарному повреждению (или растяжению) передней крестообразной связки. Участки трабекулярного отека эпифизов бедренной и большеберцовой кости (более вероятно, постконтузионного характера). Дистрофические изменения медиального мениска. Супрапателлярный бурсит, синовит.
Читайте также:
