МРТ мышц и сухожилий локтевого сустава во фронтальной поверхности в норме
Добавил пользователь Валентин П. Обновлено: 01.11.2025
Все виды повреждения кисти можно разделить на несколько групп.
Начнем с МР-диагностики травматических повреждений кисти и лучезапястного сустава.
При клиническом обследовании больных с ушибами лучезапястного сустава и кисти, как правило, определяются болезненность при пальпации, увеличение объема окружающих мягких тканей, а объективно и рентгенологически изменения отсутствуют. Наиболее часто встречаются ушибы метаэпифиза лучевой и локтевой костей, а также полулунной и ладьевидной костей. Ушибы (контузионные поражения) кисти определяются только при МРТ-исследовании, особенно хорошо видно на программах с подавлением сигнала от жира. Морфологически ушиб кости проявляется нарушением целостности трабекул костной ткани с кровоизлиянием и отеком костного мозга. Однако, несмотря на повреждение трабекул костной ткани, рентгенологические исследования, включая КТ, не позволяют обнаружить патологические изменения.
Клинические проявления у пациента: боль и ограничение движений после падения на вытянутую руку 4 месяца назад.
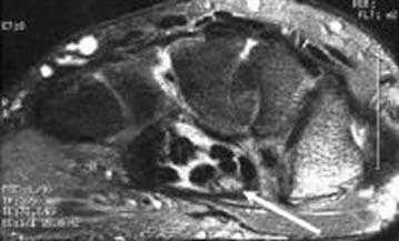
Перелом ладьевидной кости с явлениями асептического некроза проксимального полюса и, связанного с ним, остеоартрита. Ладьевидный перелом обычно происходит из-за падения на вытянутую руку, которое приводит к гиперэкстензии лучезапястного сустава.

Аваскулярный (асептический) некроз нередко сопутствует переломам проксимальной части ладьевидной и переломам полулунной кости, а также неадекватно репонированным и иммобилизированным переломам этих костей. Основная причина - нарушение трофики участка кости при повреждении питающих артерий.
Методом выбора в диагностике и стадировании остеонекроза костей кисти является МРТ.
Скрытые переломы
Этот термин применяется для обозначения переломов, которые первично не были выявлены рентгенологически, а обнаружены только методом МРТ. Только через 5-10 дней после травмы на отсроченных рентгенограммах появляется линия перелома. Через 1,5-2 мес. после травмы ретгенография и СКТ у пациентов со скрытыми переломами позволяют визуализировать незначительные облаковидные остеосклеротические изменения по ходу линии перелома, как проявление репаративного процесса.

Синдром повреждения связочного аппарата
Лучевая диагностика повреждений связочного аппарата лучезапястного сустава и кисти представляет наибольшие трудности в связи со сложностью анатомии и малыми размерами данной области. Возможности рентгенографии и КТ в диагностике повреждений связок ограничены. О них судят по наличию косвенных признаков. Вследствие относительно малых размеров связок, УЗИ затруднительно. Методом выбора при исследовании связочного аппарата является МРТ.
Клинически: Острая боль. В анамнезе нет травмы или чрезмерной нагрузки. Увеличение диаметра и повышение МР-сигнала в проекции сухожилия разгибателя.

МРТ показывает веретенообразное расширение нерва, которое вызвано утолщением нервных пучков и жировой и фиброзной пролиферацией. МРТ характеристики фибролипоматозной гамартомы являются патогномоничным, что исключает необходимость в биопсии для диагностики.

Кистозное образование в проекции тыльных межзапястной и лучезапястной связок; незначительный синовит.
Синдром повреждения сухожилий
Синдром повреждения сухожилий включают частичные и полные их разрывы, проявления теносиновита и посттравматического тендиноза. Основную долю составляют теносиновиты, возникающие изолированно или на фоне повреждения костей и связок. Морфологически теносиновиты характеризуются скоплением синовиальной жидкости под оболочками сухожилия. Рентгенодиагностика в диагностике теносиновитов неинформативна. Наиболее информативны в диагностике теносиновита УЗИ и МРТ.

Теносиновит сухожилий глубокого сгибателя пальцев кисти и длинного сгибателя большого пальца.
Липома сухожилия
Клинически: Отек левой руки, сохраняющийся длительное время, в настоящий момент пациент начал жаловаться на нарушение чувствительности боковых трех пальцев.

Капсулированная масса прикреплена к сухожилиям поверхностного и глубокого сгибателей указательного пальца. Липома из сухожилия (гистологически доказано).
Синдром повреждения суставов
Большинство травм лучезапястного сустава и кисти сопровождается симптомами сопутствующего экссудативного синовита; его выраженность зависит от тяжести травм. На МРТ выявляется суставной выпот. Кроме того, иногда определяется отек костного мозга в субхондральных отделах эпифизов костей, отек периартикулярных мягких тканей.


Ревматоидный артрит. Субхондральные эрозии, гипертрофия синовиальной оболочки.

Ревматоидный артрит. Анкилозирование костей запястья, деструкция эпифизов лучевой и локтевой костей.
Остеомиелит костей

Хронический остеомиелит ладьевидной кости.
Кистевой /карпальный/ туннельный синдром
Этиология
Кистевой туннельный синдром может быть спровоцирован целым рядом причин. Существует два механизма формирования данного синдрома. Первый - уменьшение в размерах самого карпального канала. Сюда относят такие причины, как артроз, травмы, акромегалия, и чрезмерное механическое воздействие. Второй механизм - увеличение в размерах содержимого карпального канала. Например, при ганглиевых кистах, опухолях нерва, отложение веществ (например, амилоида), или синовиальной гипертрофии при ревматоидном артрите. Также некоторые индивидуальные факторы, такие как размер и форма запястья и форма срединного нерва, могут способствовать развитию синдрома запястного канала.
Клиническая картина
Клинически проявляется болью и нарушениями чувствительности. Типичным является брахиалгия, парастезии, или ночные восходящие боли, исходящие из запястья. Кроме того, определяется слабость в руке. Слабость, чаще всего, является поздним симптомом.

На основании всего вышеизложенного, можно сделать вывод, что магнитно-резонансная томография кисти - высокоинформативное исследование, позволяющее оценить изменения самого различного характера и происхождения.
Локтевой сустав (МРТ анатомия)

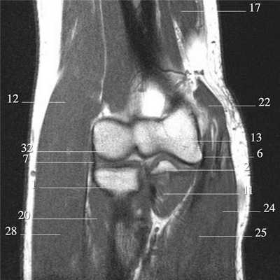
Описание исследования 1 - головка лучевой кости 2 - венечный отросток локтевой кости 3 - локтевая кость 4 - локтевой отросток 5 - сухожилие трехглавой мышцы 6 - медиальная коллатеральная связка локтевого сустава 7 - лучевая коллатеральная связка локтевого сустава 8 - латеральная коллатеральная связка 9 - латеральный надмыщелок плечевой кости 10 - сухожилие двуглавой мышцы плеча 11 - плечевая мышца 12 - длинный лучевой разгибатель запястья 13 - блок плечевой кости 14 - локтевая мышца 15 - глубокий сгибатель пальцев 16 - локтевой сгибатель запястья 17 - трехглавая мышца 18 - кольцевидная связка лучевой кости 19 - двуглавая мышца плеча 20 - супинатор 21 - плечелучевая мышца 22 - круглый пронатор 23 - разгибатель пальцев 24 - лучевой сгибатель запястья 25 - поверхностный сгибатель пальцев 26 - локтевой нерв 27 - локтевой сгибатель запястья 28 - короткий лучевой разгибатель запястья 29 - общее сухожилие разгибателей 30 - общее сухожилие сгибателей и круглого пронатора 31 - бугристость лучевой кости 32 - головка плечевой кости 33 - медиальный надмыщелок плечевой кости 34 - гребень супинатора 35 - трапециевидная связка (lacertus fibrosus) 36 - наружная головка трехглавой мышцы плеча 37 - длинная головка трехглавой мышцы плеча 38 - медиальная головка трехглавой мышцы плеча 39 - общее сухожилие сгибателей
Что показывает МРТ локтевого сустава
МРТ локтя прочно вошло в медицинскую практику, как высокоинформативный и безопасный метод диагностики большого спектра различных патологий связок, нервов, кровеносных сосудов, мышц, хрящевой и костной ткани. Он имеет множество преимуществ, одним из которых является отсутствие облучения организма, как при использовании рентгеновского излучения, что делает исследование абсолютно безвредным даже для детей. Его суть заключается в применении мощного магнитного поля и обработке компьютерной программой возвращающихся сигналов, что позволяет получать послойные изображения мягких тканей толщиной не более 3 мм. Но самостоятельно правильно разобраться в том, что показывает МРТ локтевого сустава, без должного образования и навыков невозможно. В этом на помощь пациенту всегда приходит рентгенолог и лечащий врач.
Патологии локтевого сустава
Локтевой сустав имеет достаточно сложное строение. Он образован 4-мя разными суставами, которые сосредоточены в одной капсуле, а за кровоснабжение отвечает несколько артерий, имеющих множество разветвлений. Точно рассмотреть патологические изменения в области локтевого сустава с помощью УЗИ или других методов диагностики бывает сложно или даже невозможно. Поэтому часто используется магнитно-резонансная томография локтевого сустава, позволяющая одномоментно получить предельно четкие данные о состоянии всех его анатомических структур.
Каждая из составляющих локтевого сустава (непосредственно сустав, кровеносные сосуды, мышцы, сухожилия, нервы) может претерпевать патологические изменения разного рода. Чаще всего встречаются воспалительные, инфекционные заболевания, но также возможно обнаружение аномалий развития, дегенеративных процессов, травматических изменений, опухолей и ряда других патологий, большинство из которых можно на самых ранних стадиях диагностировать с помощью МРТ.
Какие заболевания покажет МРТ локтевого сустава?
Перечень заболеваний, что показывает МРТ локтевого сустава без применения любых других диагностических методов, достаточно обширен. С помощью этого вида томографии можно обнаружить:
- врожденные аномалии развития локтевого сустава;
- травмы сустава и их последствия, неправильно сросшиеся переломы;
- дегенеративно-дистрофические изменения в суставе, артроз;
- воспалительные процессы, в частности синовит, артрит, бурсит;
- новообразования доброкачественной или злокачественной природы в мягких тканях и костных структурах, включая абсцессы, кисты;
- повреждение срединного и лучевого локтевых нервов;
- асептический некроз;
- медиальный и латеральный эпикондилит и пр.

МРТ локтевого сустава в корональной плоскости. В подкожно-жировой клетчатке локтевого сустава отмечаются множественные образования неправильной вытянутой формы, местами сливающиеся между собой — вероятно, венозная мальформация.
Показания к МРТ локтевого сустава
МРТ широко используется в медицинской практике, так как ее результаты точны, а полученные изображения позволяют рассмотреть все структуры локтевого сустава. Но в виду высокой стоимости процедуры ее назначают не каждому пациенту, а только при наличии веских показаний. Она проводится в следующих случаях:
- постоянные боли в локтевом суставе, плохо или вовсе не поддающиеся консервативному лечению;
- тяжелые воспаления, в которые вовлекаются окружающие мягкие ткани;
- подозрения на образование опухолей;
- трудности или дискомфорт при сгибании или разгибании локтя;
- установление причины развития нейропатии локтевого нерва;
- обнаружение неясных изменений на рентгеновских снимках.

МРТ локтевого сустава в сагиттальной плоскости. Отмечается повышенное скопление свободной синовиальной жидкости в полости локтевого сустава. Синовиальная оболочка умеренно гипертрофирована.

а) МРТ локтевого сустава в аксиальной плоскости
МРТ необходима, когда другие исследования не дали достаточного количества информации или при невозможности выполнения компьютерной томографии при подозрениях на наличие патологий или травм костей. Также к ее помощи прибегают при подготовке и планировании операции на локте, а затем после ее завершения или для контроля эффективности проводимой терапии обнаруженных заболеваний.

б)МРТ локтевого сустава в корональной плоскости. Общее сухожилие разгибателей в месте прикрепления к латеральному надмыщелку плечевой кости неравномерно утолщено, МР-сигнал от него неоднородно повышен на PD FS-ВИ и Т2-ВИ за счет выраженного отека и разволокнения (признаки латерального эпикондилита), общая целость его не нарушена. Окружающие мягкие ткани с признаками отека.
В особых случаях требуется проведение МРТ с введением контрастного вещества. В такой ситуации получаемое изображение более точное и детальное, на нем ярко визуализируются кровеносные сосуды и новообразования. Это позволяет правильно дифференцировать злокачественные опухоли от доброкачественных, определить их границы, а также получить массу другой ценной диагностической информации.
Но процедуру не проводят, если у пациента имеются в теле металлические имплантаты или инородные тела, а также на ранних сроках беременности. Применение контраста недопустимо на протяжении всей беременности, а также при тяжелых патологиях почек. Наличие клаустрофобии не является поводом отказываться от сканирования. Но в тяжелых случаях обследование можно сделать в аппарате открытого типа, хотя предпочтение всегда отдают закрытым томографам.
Подготовка к МРТ локтевого сустава
Магнитно-резонансная томография не подразумевает прямого вмешательства в организм и не требует специальной подготовки. Только если пациенту назначено проведение исследования с контрастом, ему рекомендуется за 2—4 часа до его начала отказаться от приема пищи.
В целом всю подготовку следует свести к правильному подбору одежды. Желательно выбрать такие предметы, которые будут полностью лишены металлических частей, включая нижнее белье. С собой следует взять паспорт, направление от врача и результаты предыдущего исследования.
Как делают МРТ локтевого сустава?
Непосредственно в клинике перед началом процедуры после заполнения всех необходимых документов пациента провожают в специальное помещение, где ему следует оставить мобильный телефон, украшения или переодеться в одноразовый халат, если все же в одежде присутствуют металлические элементы. При необходимости выполнения МРТ локтевого сустава с контрастом медперсонал устанавливает катетер, через который во время процедуры будет вводиться контрастный препарат.
Пациент ложится на специальную кушетку, где его фиксируют специальными ремнями и устанавливают специальную катушку на уровне локтевого сустава. Поскольку во время процедуры наблюдается сильный шум, способный доставлять дискомфорт обследуемому, ему могут предлагаться беруши или наушники. В руку пациенту дается специальная “груша”, с помощью которой он может связаться со специалистом, который делает МРТ и сообщить, если вдруг почувствует себя плохо. Поле этого стол томографа задвигается в аппарат, медперсонал покидает помещение и начинается исследование.
Проведение процедуры в аппаратах закрытого и открытого типа имеют несущественные отличия, за исключением того, что в первом случае пациент погружается в закрытую трубу, а во втором она больше напоминает полукруг. Но это существенно влияет на информативность исследования. Полученные изображения при проведении МРТ в закрытом аппарате предоставят более полную информацию о состоянии органов, сухожилий и других анатомических структур.
Процедура длится не более получаса. Все это время важно сохранять полную неподвижность. В противном случае нет гарантии, что она покажет незначительные отклонения от нормы. После ее завершения стол томографа выдвигается из тоннеля, медперсонал помогает пациенту освободиться и подняться. МРТ переносится хорошо и никоим образом не сказывается на самочувствии человека. Только иногда при использовании контраста могут наблюдаться маловыраженные побочные эффекты в виде головной боли или тошноты, которые самостоятельно проходят через несколько часов после процедуры.
Поскольку проведение МРТ не подразумевает лучевой нагрузки, т. е. вредоносного для человека облучения, процедуру можно делать столько раз, сколько потребуется даже в течение небольших отрезков времени.
Расшифровка МРТ снимков локтя
Результаты исследования оформляются в виде серии послойных снимков, которые предоставляются пациенту распечатанными или на цифровых носителях. К ним обязательно прилагается заключение специалиста. В нем будет указано, какая патология локтевого сустава обнаружилась на МРТ, какие особенности имеет, где находится и предположительная природа или причина возникновения. Также в заключении приводится описание всех анатомических структур локтевого сустава и возможный диагноз.
Результаты МРТ выдаются пациенту в тот же день. Для расшифровки снимков рентгенологу требуется от 30 минут до часа, в зависимости от сложности ситуации и загруженности. Заключение вместе с носителем информации отдается пациенту на руки или направляется в электронном виде непосредственно его врачу по указанным в направлении координатам.
Правильно оценить результаты МРТ и поставить точный диагноз может только лечащий врач. Для этого он сопоставляет обнаруженные патологические изменения с характером клинической картины, анамнезом больного и только после этого подбирает подходящее на его взгляд лечение. Спустя некоторое время лечащий врач может повторно назначить МРТ локтевого сустава для оценки результативности проводимой терапии, а так как процедура не предполагает облучение, бояться частого выполнения томографии не стоит.
МРТ локтевого сустава что показывает

На снимке - МРТ локтевого сустава
Магнитно-резонансная томография - современный метод визуализации мягких и костных тканей, известный достоверностью и безопасностью. На вопрос: «Что показывает МРТ локтевого сустава?», - можно ответить, что изображение отразит не только сочленение, но и кровеносные сосуды, нервы, проходящие в исследуемой области, связки, мышцы и сухожилия. Люди регулярно сталкиваются с болевыми ощущениями в руке - иногда причиной становится серьезная патология, требующая вмешательства врачей. Чтобы достоверно понять природу проблемы и приступить к правильной терапии, выполняют МРТ локтя.
Использование метода безопасно и не приносит боли человеку. В основе МР-сканирования лежит воздействие на организм магнитного поля, а не ионизирующего облучения. Проходя через тело, последнее возбуждает протоны водорода, обратный сигнал улавливается датчиками. Насколько интенсивен ответ зависит от содержания в тканях воды. Компьютерная программа обрабатывает информацию, выводит на экран картинку.
Существуют различные виды томографов. Наибольшее значение имеет мощность аппарата, выделяют: низкопольные (0,15-1 Тл), высокопольные (до 3 Тл) и сверхвысокопольные (более 3 Тл). На первом месте по частоте использования - вторая группа томографов, они безопасны и обладают высокой точностью для постановки верного диагноза. Выделят устройства закрытого и открытого типа. Замкнутый контур обладает большей мощностью, поэтому время процедуры меньше, а результат информативнее.
Шаг съемки составляет от 1 мм. Такая разрешающая способность выявляет даже минимально измененные участки органов. Возможно построение трехмерной модели обследуемой области. Введение контрастного вещества увеличивает информативность МРТ. Такой режим полезен при поиске патологии мягких тканей, опухолей.
Болезни локтевого сустава

Нормальная анатомия локтевого сочленения
МРТ локтевого сустава делают, чтобы получить сведения о состоянии костей, хрящей, окружающих мягких тканей, связочного аппарата, сосудов и нервов.
Локтевое сочленение - соединение проксимальных концов лучевой и локтевой костей с дистальным отделом плечевой кости. Образование имеет общую капсулу. Сустав является сложным и состоит из трех простых:
- проксимального лучелоктевого;
- плечелоктевого;
- плечелучевого.
Чаще болезнь проявляется болевым синдромом, скованностью, припухлостью или другим признаком. Сложная анатомия сочленения определяет необходимость применения высокоточных методов диагностики и квалифицированной интерпретации результатов, чтобы правильно поставить диагноз.
В области локтя встречаются следующие патологии:
- аномалии развития;
- травмы сустава и костей (перелом, разрывы связок и пр.);
- воспалительные процессы (артрит, бурсит, синовит и др.);
- гнойные поражения (остеомиелит, абсцесс и пр.)
- дегенеративные заболевания (артроз, остеопороз и др.);
- поражение нервов;
- новообразования костной, хрящевой, мягких тканей.
Показания и противопоказания к МРТ локтевого сустава

Фото закрытого МР-аппарата
Томография - метод, который делают после проведения рентгена или УЗИ. Доктор предложит выполнить МРТ, если предыдущие исследования не помогли определить диагноз. Процедура способна идентифицировать заболевание, правильно оценить динамику состояния после вмешательств и подобрать подходящее лечение.
Показанием к МР-сканированию будут:
- покраснение, отечность, повышение температуры в области локтя;
- боль, которая не проходит при применении препаратов;
- скованность и снижение объема движений;
- травмы в анамнезе;
- хирургические вмешательства в указанной области;
- системные заболевания соединительной ткани (остеоартроз, ревматоидный артрит, склеродермия и др.);
- скопление жидкости в полости сустава;
- неинформативность предыдущих методов визуализации и пр.
Несмотря на безопасность, отсутствие облучения, МР-томография имеет несколько ограничений. Диагностика не проводится во время беременности, особенно в первом триместре. Далее выполнить сканирование возможно, но лишь в случае, когда польза превысит возможный вред.
Еще одно ограничение для томографа закрытого типа - масса тела пациента более 120 кг. Технически конструкция аппарата не приспособлена для такого веса. Устройство открытого типа, позволяющее применять метод людям с весом до 150 кг, имеет существенный недостаток - более низкую информативность снимков. Поэтому лучше отдать предпочтение проведению МРТ на закрытом приборе, исключение - невозможность сделать исследование в подобных условиях.
Противопоказаниями к МР-сканированию являются:
- наличие кардиостимулятора и других имплантированных приборов;
- присутствие металлических частей в теле (стенты, скобы, пластины);
- терминальная стадия почечной недостаточности;
- необходимость использования аппаратов жизнеобеспечения.
Не все металлические устройства будут противопоказанием: если сплав немагнитный, делать МРТ разрешено.
Пациенту, страдающему клаустрофобией, исследование на закрытом аппарате проводят ограничено. Однако Вы можете предупредить медицинских работников заранее: будут подобраны успокаивающие препараты и пребывание в ограниченном пространстве не принесет стресс.

Боковая проекция МР-томографии локтя
Перед МРТ не нужна специальная подготовка. Пациенту разрешено проводить день без особенностей: принимать пищу и лекарства. Рекомендуют подойти к кабинету за 10-15 минут, чтобы в спокойной обстановке снять все металлические предметы (украшения, пирсинг и пр.). Данные меры нужны, чтобы не допустить искажения снимка и сохранить его качество.
Когда человек долго находится в тоннеле аппарата, может появиться страх. Если есть боязнь закрытых пространств, необходимо обсудить до исследования возможность применения седативных или успокаивающий препаратов. Врач назначит лекарство, и пациент сможет пройти сканирование без страха.
МРТ выявляет патологию локтевого сустава вне зависимости от возраста. В случае, когда исследование проводят ребенку, родителям нужно морально подготовить малыша. Необходимо объяснить, как проходит сканирование, какие звуки будут его сопровождать, как долго продлится. Главное - ребенок должен соблюдать полную неподвижность во время процедуры. Данное условие обуславливает точность и достоверность полученной информации.
В диагностическом центре «Магнит» один из родителей может остаться в комнате, чтобы поддержать ребенка. Когда исследование проводят малышу, который еще не понимает речь, потребуется применение наркоза. Провести его можно в стационаре больницы. Центр «Магнит» выполняет МРТ детям старше 5 лет, усиленное сканирование - после 12 лет.
При необходимости введения контрастного вещества, пациенту нужно приготовиться к внутривенной инъекции. Рекомендуем легко перекусить за 40-45 минут, чтобы уменьшить побочные эффекты - активацию вегетативной нервной системы (усиленное слюноотделение, чувство жара и пр.).
Следует заранее взять направление на МРТ - это уменьшит стоимость процедуры. Однако возможно выполнение сканирования и при самостоятельном обращении.
МРТ локтевого сустава, как делают?

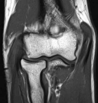
МР-снимок локтевого сочленения - вариант нормы
Процедура начинается с инструктажа, затем пациент ложится на стол. Больного фиксируют ремнями, чтобы обеспечить неподвижность во время обследования. Стол перемещают в кольцо закрытого томографа. Врачи покидают помещение. Однако контакт можно поддерживать с помощью радиосвязи.
Во время работы прибор издает громкие звуки, поэтому можно попросить надеть на Вас наушники с музыкой либо воспользоваться берушами.
Закрытый аппарат сканирует область в течение 15 минут. Методика выполнения МРТ с контрастом, предполагает расчет по весу пациента дозы специального вещества. Сначала делают серию нативных сников, затем внутривенно вводят усилитель и повторяют сканирование. Препарат быстро переходит из сосудов в межклеточное пространство. Усиленная томография займет около 30-40 минут, но даст более точную информацию о наличии опухолей и изменений мягкотканных структур.
Патологии локтевого сустава на МРТ

МРТ картина синовита, стрелками указаны участки отека костной ткани локтевого отростка
Особенность обследования заключается в четком отражении без облучения не столько костных образований, сколько мягких тканей. МРТ локтевого сустава покажет, что именно изменено в его строении. Доктор сможет определить по снимку патологические изменения:
- воспаление суставной сумки (бурсит), сухожилий (тендинит), связок (лигаментит) и пр.;
- гнойное поражение костей (остеомиелит);
- перелом;
- вывих;
- сужение суставной щели;
- повреждения хрящей;
- артрит и артроз;
- доброкачественные и злокачественные опухоли и пр.
Правильно определить диагноз и приступить к скорейшему лечению поможет МР-томография. Только врач сможет установить, требуется ли Вам исследование и его кратность.
Применение МРТ-диагностики при выявлении патологических изменений локтевого сустава
В локтевом суставе, как и в любом другом, могут протекать различные патологические процессы. Визуализировать проявления патологических изменений в данной области возможно при помощи магнитно-резонансной томографии.
Синдром поражения суставов
Большинство изменений локтевого сустава сопровождается симптомами сопутствующего экссудативного синовита; его выраженность зависит от тяжести травм. На МРТ выявляется суставной выпот. Кроме того, иногда определяется отек костного мозга в субхондральных отделах эпифизов костей, отек периартикулярных мягких тканей.

Ревматоидный артрит III стадия выпот в полости сустава (1), грубое эрозирование субхондрального слоя головки плечевой кости (2), фрагментация суставной губы гленоида.

Ревматоидный артрит, II ст. субхондральные жидкостные кисты в эпифизе плечевой кости (1), краевые узуры лучевой кости.

Ревматоидный артрит, III ст. субхондральные эрозии (1) и краевые узуры (2) дистального эпифиза плечевой кости, наличие суставного выпота (3) и массивная гипертрофия синовиальной оболочки (4).

МР признаки артроза локтевого сустава l ст. Синовит.

МР признаки более специфичны для латерального эпикондилита; деформирующего артроза ll ст. локтевого сустава. Синовит.
Хронический продуктивно-пролиферативный синовит: гипертрофия синовиальных ворсин и формирование агрессивной грануляционной ткани - паннус. Пролиферация визуализируется в виде участков низкого или среднеинтенсивного МРС по Т2 и Т1, покрывающих поверхность заворотов, жировых ямок и капсулы сустава (от мелких неровных узелков до гомогенных слоистых отложений).

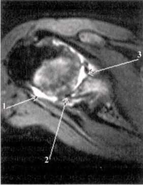
1. Плечевая кость, 2. локтевая кость, 3. лучевая кость
Травматические изменения локтевого сустава

МР-признаки незначительного синовита локтевого сустава; отечность мягких тканей (трехглавой мышцы плеча и глубокого сгибателя пальцев) нижней поверхности сустава; нельзя исключить минимальные проявления посттравматического липоартрита.

МР-картина структурных изменений в виде фокуса и очага отека трабекулярной костной ткани локтевого отростка локтевой кости и головки лучевой кости. Нерезко выраженный синовит.

МР-картина частичного разрыва сухожилия двуглавой мышцы плеча. Признаки частичного повреждения дистальных отделов сухожилия плечевой мышцы, в большей степени в месте прикрепления. Начальные проявления артроза локтевого сустава. Синовит. Отек медиальных отделов периартикулярных мягких тканей.
МР-томография позволяет определять изменения на ранних стадиях, когда рентгенологический метод является неинформативным. Возможность визуализации мягкотканных структур делает МРТ-исследование локтевого сустава методом выбора в диагностике различных патологических состояний.
Читайте также:
