МРТ при поверхностном синдерозе нервной системы
Добавил пользователь Владимир З. Обновлено: 12.12.2025
Поверхностный сидероз ЦНС - это редкое состояние, при котором наблюдается накопление гемосидерина в мозжечке (особенно, черве), базальных отделах лобных долей, обонятельных луковицах, стволе мозга, черепных нервах (особенно, VIII), спинном мозге и его корешках. Клинические проявления состоят из сенсоневральной тугоухости, мозжечковой атаксии, пирамидных симптомов и, иногда, других неврологических проявлений. Двухсторонняя глухота прогрессирует в течение нескольких лет. Проявления заболевания могут быть в возрасте от 14 до 77 лет с явным преобладанием у мужчин. Исследование ликвора показывает высокий протеин и ксантохромию.
Причиной скопления гемосидерина могут быть:
- повторные субарахноидальные кровоизлияния
- кровоизлияния из опухолей (особенно, эпендимом)
- кровоизлияния из мальформаций
МРТ головного мозга выявляет скопление гемосидерина. Наиболее чувствительны градиентные Т2-взвешенные МРТ. Часто отмечается атрофия червя мозжечка, особенно, видимая хорошо на сагиттальных Т1-взвешенных МРТ.

МРТ головного мозга. Т2-взвешенная аксиальная МРТ через ствол. Тонкое темное кольцо гемосидерина вокруг ствола и в мозжечке. Сидероз головного мозга.
При выявлении гемосидероза при МРТ в СПб мы (в том числе и на открытом МРТ в частном центре) ставим своей задачей поиск причины кровоизлияния. Дифференциальный диагноз при МРТ головного мозга проводится с меланозом и менингиоангиоматозом. Меланоз относится к факоматозам и обязательно сопровождается большим кожным невусом. Меланин сокращает релаксационные времена, что делает кровь светлой на Т1-взвешенных МРТ. Менингиоангиоматоз относится к редкому варианту сосудистых мальформаций и отличается локальностью поражения, мозг под ним также изменен в связи с сосудистой пролиферацией и фиброзом.

МРТ головного мозга. Т1-взваешенная МРТ с контрастированием. Менингиоангиоматоз.
Поверхностный сидероз
Поверхностный сидероз - редкое патологическое состояние, которое приводит к отложению гемосидерина в лептоменинксе с возможным неврологическим дефицитом.
На МРТ классически выглядит как «обод» низкой интенсивности по поверхности головного или спинного мозга, что хорошо видно на последовательностях градиентного эха или SWI-последовательностях.
Терминология
В литературе существуют некоторые разногласия в употреблении данного термина - ограничивать поверхностным сидерозом случаи при отсутствии истории симптоматических субарахноидальных кровоизлияний или же обозначать им все отложения гемосидерина независимо от причины.
В данной статье будет использоваться последнее определение.
Эпидемиология
Поскольку существует множество причин реккурентных или обширных субарахноидальных кровоизлияний, частота встречаемости поверхностного сидероза у населения не определена и сводится к частоте вызывающей данное состояние патологии. В сообщенных случаях возраст ранжировался от 14 до 77 лет [5]. Существует некоторая предрасположенность у мужчин (М:Ж = 3:1) [2].
Клиническая картина
Клинические проявления напрямую зависят от локализации отложений гемосидерина. Среди типичных симптомов можно выделить 4:
- сенсоневральная тугоухость: встречается в 95% случаев, билатеральная и прогрессирующая;
- мозжечковая атаксия - 90%;
- пирамидные симптомы - 75%;
- другие симптомы: деменция, недержание мочи, нарушения со стороны черепно-мозговых нервов, сенсорные дефициты;
Важно помнить, что степень поражения при визуализации не всегда коррелирует со степенью клинических проявлений [4].
Патология
Считается, что поверхностный сидероз является результатом множественных повторяющихся субарахноидальных кровоизлияний, хотя радиологически кровоизлияния не всегда визуализируются [1]. Несмотря на то, что небольшие отложения гемосидерина можно увидеть по краю предыдущих кровоизлияний или области хирургического вмешательства, единичного эпизода кровоизлияния обычно недостаточно для развития поверхностного сидероза [2].
Повреждение 8 пары черепно-мозговых нервов, приводящее к сенсоневральной тугоухости, как считается, является следствием комбинации нескольких факторов: протяженного курса нерва в цистерне (которые, по сути, являются субарахноидальным пространством) и восприимчивости микроглиальных клеток (которые играют роль в миелинизации) к поражению железосодержащих веществ [4].
Этиология
Повторные субарахноидальные кровоизлияния являются причиной в 50% случаев [1-6, 8].
- дефекты в твердой оболочке спинного мозга:
- травматическая авульсия нервных корешков шейного отдела
- дефекты твердой оболочки со скоплением цереброспинальной жидкости [9, 10]
- постоперационное псевдоменингоцеле
- небольшая эпендимома
- олигодендроглиома
- астроцитома
Диагностика
Ангиография (ЦСА)
Обычно несущественные данные; источник кровотечения не визуализируется [1].
Для выявления поверхностного сидероза МРТ является методом выбора. Признаки весьма специфичные - мягкая мозговая оболочка и эпендимальная поверхность из-за скоплений гемосидерина имеют низкую интенсивность сигнала, особенно в области ствола мозга и мозжечка (червь и листки мозжечка - наилучшие места для выявления отложений). В давних случаях может наблюдаться атрофия мозжечка.
- Т2: снижение интенсивности;
- Т1: снижение интенсивности;
- Т2*: снижение интенсивности сигнала вплоть до его выпадения;
- SWI: снижение интенсивности сигнала вплоть до его выпадения;
В рамках протокола по поверхностному сидерозу, если не было выявлено интракраниальной патологии, необходимо провести исследование всего спинномозгового канала (поверхностный сидероз вследствие миксопапиллярной эпендимомы) [5].
Лечение и прогноз
К сожалению, нет доказанной терапевтической схемы для поверхностного сидероза; соответственно, клиническое обследование направлено на выявление причины, хотя часто это бывает невозможно. Железо-хелатирующие агенты имели ограниченную эффективность лечения [6].
Когда причина поверхностного сидероза не корригируется, наблюдается медленное прогрессирование.
Нейродегенеративные заболевания и их диагностика
![болезнь Альцгеймера в цвете]()
МРТ головного мозга. Демонстрация атрофии и нормы при цветовой обработке.
Под термином “нейродегенеративные заболевания” (НДЗ) определяется большая группа заболеваний преимущественно позднего возраста, для которых характерна медленно прогрессирующая гибель определенных групп нервных клеток и одновременно - постепенно нарастающая атрофия соответствующих отделов головного и/или спинного мозга. В основе развития этих заболеваний лежит нарушение метаболизма и изменение конформации клеточных белков с их последующим накоплением и агрегацией в определенных группах нейронов. При НДЗ страдают преимущественно нейроны и глиальные клетки базальных ганглиев и стволовых структур, вырабатывающие ацетилхолин, дофамин, серотонин.
Классификация делит НДЗ на 2 большие группы - спорадические и ирритативные.
- Спорадические НДЗ:
- Прогрессирующий надъядерный паралич (болезнь Стила —Ричардсона — Ольшевского).
- Мультисистемная атрофия.
- Деменция с тельцами Леви.
- Паркинсоническая деменция (синдром Гуам).
- Кортикобазальная дегенерация.
- Болезнь Альцгеймера.
- Ирритативные НДЗ:
- Болезнь Гентингтона.
- Болезнь Галлервордена—Шпатца.
- Болезнь Вильсона—Коновалова.
- Болезнь Фара.
- Болезнь Бессена — Корнцвейга.
Болезнь Альцгеймера - прогрессирующее нейродегенеративное заболевание, характеризующееся постепенным развитием деменции. Происхождение заболевания точно неизвестна. Биохимические изменения состоят в снижении активности холин-ацетил-трансферазы коры головного мозга и гиппокампов. Патологические проявления заключаются в образовании специфических амилоидных бляшек, нейрофибриллярных тяжей и реактивном глиозе. Развивается атрофия, захватывающая преимущественно кору вокруг Сильвиевых щелей и гиппокампы, с вторичным расширением желудочков, особенно височных роговЗаболевание впервые описано Alois Alzheimer в 1907 году. Процесс напоминает естественное старение, но резко ускоренное. Начинается с нарушений памяти, затем потерянность, невозможность повседневного самообслуживания, повторяющиеся вопросы. Позже присоединяются глубокие нарушения психики, речи, потеря веса, судороги.
Частота составляет 0,51% для лиц в возрасте 70-74 лет с возрастным прогрессирующим увеличением частоты. Клинические проявления состоят в нарушении памяти, депрессии, поведенческих нарушениях и галлюцинациях. На поздних стадиях к психическим расстройствам добавляется экстрапирамидная симптоматика. Заболевание занимает 4 место по смертности. Диагноз ставится на основании клинического и нейрофизиологического обследования, а также нейровизуализации. Типичные проявления на КТ состоят в диффузной атрофии (особенно,височных долей), вторичном расширении борозд и желудочков. Чувствительность КТ (без измерения объемов) в сравнении с нормальной возрастной группой около 80%, специфичность около 70%. Измерение объемов гиппокампов при выполнении МРТ с тонкими срезами повышает точность до 85%.
![болезнь Пика]()
МРТ головного мозга. Т2-взвешенная сагиттальная МРТ. Болезнь Пика. Цветовая обработка изображения.
МРТ головного мозга служит метода выбора оценки структурных изменений. Атрофические изменения выражены во всём медиобазальном отделе височной доли. Чувствительность и специфичность МРТ при начальной деменции около 80%. Измерение объемов гиппокампов и амигдалы повышает точность до до 85%.
![Альцгеймер]()
МРТ головного мозга. Т1-взвешенная корональная МРТ. Диффузная атрофия при болезни Альцгеймера.
Дифференциальную диагностику при МРТ головного мозга надо проводить с болезнью Паркинсона, мультиинфарктной деменцией и лобнотеменной деменцией (болезнь Пика).
В этих же зонах отмечается гипоперфузия и снижение активации при фМРТ. Кроме МРТ при исследовании болезни Альцгеймера важное значение имеет ПЭТ с [ 18 F] флюоро-2-деоксиглюказой (FDG). Гипометаболизм хорошо коррелирует с тяжестью заболевания и предсказывает его развитие.
Синдромы Паркинсона включают группу заболеваний, близких по клинике к болезни Паркинсона. К синдромам Паркинсона относится быстро прогрессирующая деменция с тельцами Леви . При МРТ головного мозга низкий сигнал наблюдается не только от компактной части черного вещества, но и от скорлупы, которая становится даже темнее бледного шара. При оливопонтоцеребеллярной атрофии на сагиттальных МРТ головного мозга видно уменьшение объема моста и мозжечка. При прогрессирующем надъядерном параличе обнаруживается атрофия пластины четверохолмия. Описаны характерные симптомы при МРТ - «пингвина», «Микки Мауса» и другие, смысл которых заключается в описании признаков атрофии.
При деменции, связанной с болезнью Паркинсона при МРТ головного мозга отмечается снижение толщины коры в проекции парагиппокампальной части левой средней затылочно-височной извилины и уменьшение объема левого нижнего продольного пучка. Уменьшение толщины коры левой парагиппокампальной зоны связано с высоким риском депрессии. Отмечено, что дневная сонливость коррелирует с уменьшением толщины коры фузиформной зоны, определяемое при МРТ.
Для прослеживания динамики и прогнозирования также прибегают к различным измерениям при МРТ головного мозга:
- коэффициент средний мозг-мост в норме 0,24, а при прогрессирующем надъядерном параличе становится меньше 0,12.
- Индекс паркинсонизма - отношение ширины верхней ножки мозжечка в корональной плоскости к площади среднего мозга в средней сагиттальной плоскости умноженной на отношение ширины средней ножки мозжечка к ширине верхней ножки мозжечка - больше 13,55 свидетельствует в пользу паркинсонических синдромов. При МРТ выявляется атрофия хвостатых ядер с вторичным расширением передних рогов; атрофия скорлупы и коры лобных долей. Отношение ширины передних рогов к расстоянию между хвостатыми ядрами (по их краям), измеряемое в поперечной плоскости уменьшается с 2,2-2,6 до значений близких к 1,0. Другой коэффициент - расстояние между хвостатыми ядрами (между их головками к ширине черепа по внутренним пластинкам) - увеличивается (в норме 0,09-0,12).При МРТ головного мозга выявляется диффузная атрофия мозга, расширение периваскулярных пространств Вирхова- Робена и лейкоараиоз. Последний является следствием стеноза и окклюзии глубоких вен мозга. На Т2-зависимых МРТ изображениях лейкоараиоз выглядит как небольшие очаги гиперинтенсивности. В целом эти признаки неспецифические и отражают старение мозга. При МРТ головного мозга на томограммах обоих типов взвешенности обнаруживается повышенный сигнал от моста и покрышки мозжечка. Типично изменение сигнала от периферии моста. В отличии от опухолей при МРТ нет отека и масс-эффекта. Самые ранние проявления обнаруживаются на диффузионное-взвешенных МРТ головного мозга, примерно через 24 часа от начала тетрапареза.
Прогрессирующий надъядерный паралич проявляется в виде нарушения взора вверх, экстрапирамидной симптоматики и умственных нарушениях. Заболевание развивается у лиц около 60 лет. Этиология неизвестна, почти все случаи спорадические. Частота 1-1,5 случаев на 100 тыс. населения. Заболевание характеризуется патологическим скопление в головном мозге тау-протеина. При МРТ головного мозга наблюдается диффузная атрофия, причем на сагиттальных Т1-взвешенных МРТ отмечается характерный симптом “пингвина”. Атрофические изменения моста и среднего мозга приводят к расширению водопровода и III желудочка, контур которых напоминает очертания пингвина.
![progressiruyushhij-nadyadernyj-paralich]()
МРТ головного мозга. Т12-взвешенная сагиттальная МРТ. Прогрессирующий надъядерный паралич. Симптом “пингвина”.
Центральный понтинный миелиноз (осмотическая деменция) представляет собой приобретенное метаболическое расстройство. Чаще встречается у алкоголиков. Гипонатрийемия приводит к демиелинизации, видимой при МРТ. Центральный понтинный миелиноз часто сопровождается экстрацентральным, когда есть поражение выше ствола. Клинические проявления сводятся к заторможенности (вплоть до летаргии), спастическому тетрапарезу и поражению нижних черепных нервов.
![центральный понтинный миелиноз]()
МРТ головного мозга. Т2-взвешенная аксиальная МРТ. Центральный понтинный миелиноз,
Болезнь Бинсвангера (субкортикальная атеросклеротическая энцефалопатия, деменция мелких сосудов). Это состояние, связанное с множественными инфарктами мелких ветвей, что при МРТ головного мозга видно как лакунарные ОНМК. Заболевание постепенно прогрессирует. Вариантом болезни Бинсвангера можно считать наследуюмую семейную артериопатическую лейкоэнцефалопатию.
![Бинсвангер]()
МРТ головного мозга. Т2-взвешенная МРТ типа FLAIR. Болезнь Бинсвангера.
Болезнь Гентингтона относится к наследуемым заболеваниям, проявляется в среднем возрасте и быстро прогрессирует. В клинической картине преобладают хореоатетоз и деменция.
![болезнь Гентингтона]()
МРТ головного мозга. Т1-взвешенная корональная МРТ. Болезнь Гентингтона.
Болезнь Фара очень редкое наследственное заболевание, проявляющееся в кальцификации базальных ганглиев и зубчатого ядра. На Т2-зависимых МРТ ядра резко гипоинтенсивны, что соответствует кальцинатам, хорошо видимым на КТ. Нередко в области зрительных бугров обнаруживаются мелкие гиперинтенсивные очажки.
![болезнь Фара]()
МРТ и КТ головного мозга в аксиальной плоскости. Болезнь Фара.
Об МРТ в СПб при нейродегенераторных заболеваниях можно также читать на странице нашего другого сайта. Исследование мы выполняем в закрытом аппарате, но можно и на открытом МРТ. МРТ СПб позволяет выбирать место МРТ, но в этом случае мы рекомендуем Вам обследоваться у нас.
МРТ центральной нервной системы что показывает
![МРТ головы в норме]()
МРТ головы в норме
Магнитно-резонансная томография незаменима для исследования мягких тканей. Послойное сканирование позволяет изучить структуру органов, визуализировать кровеносные и лимфатические сосуды. МРТ центральной нервной системы (ЦНС) — это комплексное исследование, которое включает томографию головы с ангиографией церебральных и шейных вен и артерий и осмотр всех отделов позвоночника. Процедуру назначают для выявления патологий головного и спинного мозга, васкулярных изменений, нарушений кровообращения, дефектов околопозвоночных структур. Преимуществами метода является его информативность, безболезненность и безопасность, а недостатком — высокая цена. Ориентируясь на то, что показывает МРТ центральной нервной системы, врач ставит диагноз, подбирает тактику лечения, описывает для пациента прогнозы.
Заболевания центральной нервной системы
Патологии ЦНС развиваются в результате органических изменений в тканях, которые могут быть обусловлены проникновением инфекции, дегенеративными процессами, нарушениями кровообращения, аномалиями развития, структурными дефектами при получении травм и пр. Большинство патологий сопровождаются вариативной неврологической симптоматикой, подтвердить причину которой можно только с помощью нейровизуализационных методов диагностики.
Магнитно-резонансное сканирование ЦНС (головного и спинного мозга) позволяет выявить:
- доброкачественные образования, кисты;
- злокачественные опухоли;
- аномалии развития;
- гнойные очаги (абсцессы), разлитое воспаление (энцефалит, менингит, миелит и пр.);
- избыточное скопление ликвора (гидроцефалию);
- дегенеративные изменения (болезнь Альцгеймера, Пика, боковой амиотрофический склероз и др.);
- демиелинизирующие процессы (рассеянный склероз и пр.);
- участки, подверженные ишемии;
- отек вещества мозга;
- радикулопатии;
- сохранение целостности спинного мозга, компрессию невральных структур и дурального мешка;
- последствия перенесенных травм и др.
МР-ангиография сосудов головы и шеи позволяет на ранних этапах выявить развитие состояний, способных привести к острым или хроническим нарушениям мозгового кровообращения и атрофическим изменениям. Исследование вен и артерий необходимо для выявления:
- атеросклероза;
- стеноза (патологического сужения);
- утолщение сосудистых стенок;
- воспалительных заболеваний артерий и вен (васкулита);
- аневризм (расширенных участков сосудов);
- аномалий развития артерий и вен (мальформаций);
- повреждения стенок сосудов;
- венозно-дуральных фистул и соустий;
- полной или частичной облитерации синусов;
- окклюзионных изменений;
- тромбоза вен и артерий;
- эмболии;
- вазоспазма.
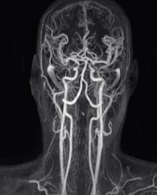
![МР-ангиография артерий головы и шеи]()
МР-ангиография артерий головы и шеи
Подробное изучение всех отделов позвоночника позволяет оценить состояние его структур, выявить участки сужения спинномозгового канала и обнаружить:
- опухоли;
- грыжевые выпячивания;
- ущемление нервных корешков;
- воспалительные процессы;
- повреждения межпозвонковых дисков;
- патологические изменения позвонков и т.п.
Показания к МРТ центральной нервной системы
Магнитно-резонансную томографию ЦНС может назначить невролог, онколог, травматолог, ортопед, нейрохирург, эндокринолог, гинеколог, андролог, терапевт. К комплексному исследованию прибегают, если имеющиеся у пациента симптомы не позволяют определить точную локализацию патологических изменений или есть подозрения на множественные поражения разных отделов. МРТ центральной нервной системы назначают при жалобах на:
- головные боли, мигрени;
- нарушения зрения, слуха (в том числе шум в ушах), обоняния, речи;
- головокружение;
- проблемы с координацией движений, шаткость походки, тремор;
- обмороки;
- бессонницу, проблемы с засыпанием, частые пробуждения ночью;
- судороги;
- гипер- и гипотонус мышц, снижение силы (слабость) и пр.;
- нарушение чувствительности, парестезии;
- приступы тревоги, паники, агрессии, раздражительности, плаксивости и т.п.;
- быструю утомляемость, снижение интеллекта;
- боли в конечностях и спине неврологического характера;
- нарушение контроля работы органов таза (недержание, запоры, эректильная дисфункция;
- бесплодие, патология эндокринной системы и др.
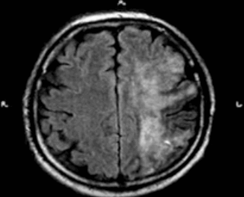
![Полушарный инфаркт с геморрагическим пропитыванием на МРТ]()
Полушарный инфаркт с геморрагическим пропитыванием на МРТ
Комплексное обследование ЦНС может потребоваться после получения тяжелых травм, интоксикации, при подозрениях на опухолевые или васкулярные патологии, воспалительные и дегенеративно-дистрофические процессы. МРТ применяют для динамического контроля развития заболеваний, после нейрохирургических операций, для оценки эффективности медикаментозной терапии. Метод задействуют при обследовании организма по поводу генетических патологий и аномалий внутриутробного развития.
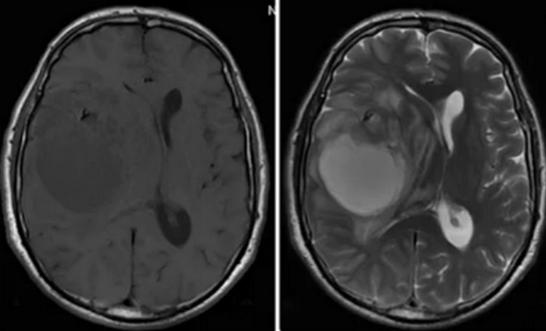
![Объемное образование головного мозга на МРТ]()
Объемное образование головного мозга на МРТ
Как подготовиться к МРТ ЦНС?
Специфических мероприятий с целью подготовки к процедуре проводить не требуется. При оформлении записи на исследование пациенту нужно сообщить сотрудникам диагностического центра о присутствии в теле электронных устройств или металлических имплантов. Если у человека установлен кардиостимулятор, дефибриллятор или инсулиновая помпа, несовместимые с магнитным полем (указано в паспорте изделия), в проведении диагностики будет отказано. Металлические импланты являются относительным противопоказанием для МРТ. Важно, чтобы конструкция была изготовлена из парамагнитного сплава (например, титана). Пациенту нужно заранее взять соответствующий документ из медучреждения, где имплант был установлен.
Если врач назначил МРТ с контрастированием, за 40-45 минут до процедуры допускается легкий перекус. Последнее поможет снизить вегетативные реакции организма на препарат.
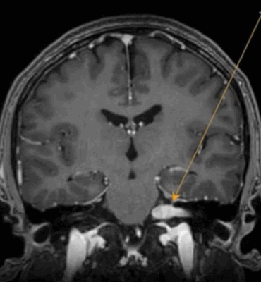
![Объемное образование мосто-мозжечкового угла]()
Объемное образование мосто-мозжечкового угла (указано стрелкой)
Как проходят МРТ нервной системы?
Обследование головного и спинного мозга с ангиографией экстра- и интракраниальных сосудов подразумевает поочередное изучение каждой зоны за одну процедуру. Диагностика проходит в несколько этапов:
- оформление документов. Пациент приходит в клинику на 5-10 минут раньше назначенного времени. Заполняет необходимые бумаги и предоставляет свои медицинские документы. Если больной хочет получить результаты на электронную почту, нужно не забыть указать адрес;
- консультация рентгенолога. Врач проводит опрос для выявления противопоказаний к процедуре и выяснения целей исследования, изучает медицинскую карту пациента или заключения других диагностических процедур.
- подготовка. Обследуемого проводят в раздевалку. Необходимо снять одежду с металлическими вставками, украшения, очки, слуховой аппарат, выложить часы, телефон, плеер или другую электронику;
- сканирование. Рентген-лаборант проводит пациента в кабинет МРТ, помогает занять необходимое положение на платформе томографа, фиксирует тело, объясняет правила поведения. Включенный аппарат работает шумно, поэтому на время процедуры больному предлагают воспользоваться наушниками или берушами. Далее врач выходит в расположенный рядом кабинет, откуда по громкой связи передает указания пациенту и через стекло контролирует процесс диагностики. Рентген-техник включает томограф. Исследование каждой зоны занимает 15-25 минут;
- получение результатов. По завершении сканирования врач помогает пациенту подняться, проводит в раздевалку. Больной забирает свои личные вещи, проходит в комнату отдыха. Подготовка заключения и запись снимков на диск занимает 15-60 минут. При получении результатов специалист дает пациенту краткие пояснения, рекомендации, к какому врачу обратиться. Если заключение будет отправлено по электронному адресу, оригиналы можно забрать в любой другой день, однако поговорить с рентгенологом возможности не будет.
![Артерио-венозная мальформация на МРТ головного мозга]()
Артерио-венозная мальформация на МРТ головного мозга (указана стрелкой)
Пациенты диагностической клиники «Магнит» могут воспользоваться услугой «Второе мнение». Оно подразумевает изучение результатов МРТ ЦНС еще одним опытным рентгенологом. Опция рекомендуется при подозрениях на серьезное заболевание, при длительном развитии патологии, в спорных случаях. Заключение еще одного специалиста поможет врачу правильно поставить диагноз и выбрать оптимальную тактику лечения.
КТ или МРТ центральной нервной системы?
Компьютерная томография активно используется в медицине для выявления патологий головного и спинного мозга. Преимуществами метода являются:
- малое время сканирования (несколько минут);
- низкая стоимость;
- информативность в отношении состояния костной ткани;
- точность сведений при нарушениях кровотока.
![Экструзия межпозвонкового диска в поясничном отделе позвоночника на МРТ]()
Экструзия межпозвонкового диска в поясничном отделе позвоночника (указана стрелкой) на МРТ
КТ применяют для диагностики травматических повреждений черепа и позвоночника, при подозрениях на геморрагический инсульт, когда важно быстро проанализировать состояние больного и оказать правильную помощь. Недостатками метода являются:
- лучевая нагрузка;
- ограниченная частота и кратность проведения исследования;
- противопоказания (нельзя беременным и детям и пр.);
- необходимость применения контрастного вещества, в том числе при исследовании сосудов.
КТ базируется на рентгеновском излучении, может проводиться не чаще, чем 1 раз в 6 месяцев. Для контрастирования используют препараты на основе йода, которые способны вызывать аллергические реакции. Однако метод незаменим при наличии в теле пациента электронных устройств и металлических имплантов, при подозрениях на острые нарушения церебрального кровообращения, переломы позвоночника.
МРТ назначают в плановом порядке, а не после травм, поскольку процедура занимает много времени и плохо определяет гематомы. Методику применяют при низкой информативности КТ, для динамического контроля за заболеванием, если рентгенологические способы были задействованы ранее, при подозрениях на церебральную ишемию и воспалительные процессы. Сканирование в ангиорежиме позволяет обойтись без контрастирования, что оптимально для людей с непереносимостью препаратов йода. МРТ является методом выбора при подозрениях на опухоли, ишемию тканей мозга, повреждения межпозвонковых дисков.
Рассеянный склероз на МРТ
![сравнение нервов]()
При рассеянном склерозе разрушается миелиновая оболочка нервных волокон
Рассеянный склероз (РС) - заболевание центральной и периферической нервной систем. У человека постепенно пропадают зрение, способность к речи, произвольным движениям, контролю над тазовыми органами и многие другие функции мозга. Признаки патологии могут появляться и исчезать задолго до стойкого ухудшения самочувствия. От первых тревожных симптомов до постановки диагноза проходит 2-3 года.
Очаги рассеянного склероза на МРТ видны на любых, в том числе начальных, стадиях. Сканирование выявляет изменения разной степени давности: от “свежих”, сопровождающихся неврологическим дефицитом, до “застарелых”, при которых уже регрессировали клинические проявления. Для успешного лечения важно как можно раньше пройти обследование.
Признаки рассеянного склероза
Одни из первых симптомов - потеря зрения, парезы, параличи, ослабление чувствительности конечностей и других частей тела, нарушение координации движений. У человека может появиться ощущение, что на лице “заморозка”, нога или рука “не его”.
При развитии рассеянного склероза наблюдают:
- резкое снижение работоспособности, умственных функций, концентрации внимания;
- внезапные головокружения без видимой причины;
- проблемы с речью;
- одностороннее снижение зрения вплоть до слепоты (нарушения то появляются, то исчезают);
- проблемы с координацией движений;
- нарушение моторики рук (больному трудно делать мелкую работу, заметно ухудшается почерк и т.п.);
- судороги и бессудорожные эпилептические приступы;
- полный или частичный парез конечностей;
- нарушение мочеиспускания, стула, функции половых органов;
- болевые ощущения без четко выраженного очага
- беспокойство, резкие перепады настроения и пр.
При одновременном появлении нескольких симптомов из вышеприведенного списка необходимо безотлагательно обратиться к врачу.
![головная боль]()
Появление беспричинных головокружений может быть одним из признаков РС
Что показывает МРТ при рассеянном склерозе?
Магнитно-резонансная томография является наиболее информативным исследованием структуры вещества головного и спинного мозга. Метод позволяет получить срезы области интереса в трех взаимно перпендикулярных плоскостях: аксиальной, сагиттальной и коронарной. Датчики передают сведения на компьютер, который обрабатывает информацию и показывает на экране детальные изображения текущих процессов. На фотографиях врач видит общее количество и расположение участков деструкции миелиновой оболочки нервных волокон, давность изменений, появление свежих локусов.
Сканирование головного и МРТ спинного мозга при рассеянном склерозе помогают специалисту увидеть старые и новые очаги, провести ориентировочную дифференциальную диагностику РС с другими заболеваниями. Для определения активности патологического процесса дополнительно применяют контрастное вещество на основе гадолиния: усилитель накапливается в местах обострения воспаления и ярко выделяет их на снимках.
![демиелинизация нервных волокон на МРТ]()
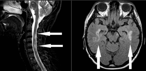
Стрелками на МР-томограммах отмечены участки демиелинизации нервных волокон. Слева - фото спинного мозга (сагиттальная проекция шейного отдела позвоночника), справа - головного (аксиальная плоскость)
Как выглядит рассеянный склероз на МРТ?
Диагностика рассеянного склероза позволяет выявить полную картину патологических изменений. Типичной считается следующая локализация очагов поражения:
- поверхностные отделы моста головного мозга;
- паравентрикулярное вещество, прилежащие к телам боковых и III и дну четвертого желудочков;
- средние ножки мозжечка;
- белое вещество под корой головного мозга;
- зрительный нерв;
- область шейного отдела спинного мозга;
- нижняя граница мозолистого тела.
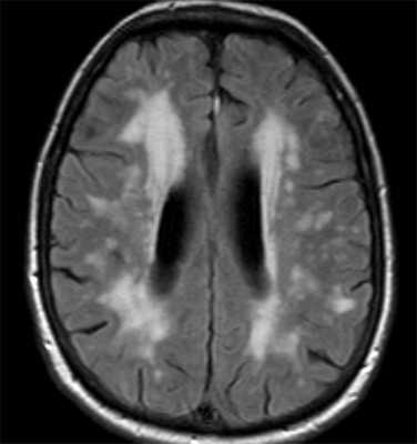
Рассеянный склероз на МРТ головного мозга выглядит как пятна округлой формы диаметром до 2 сантиметров, которые по мере развития патологии могут сливаться. Оттенок измененных участков зависит от стадии болезни и бывает светлым, темным или идентичным здоровым тканям (без контраста не выделяется).
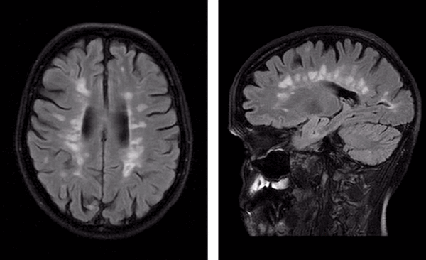
![Пальцы Доусона на МРТ]()
“Пальцы Доусона” на МР-томограммах в аксиальной (слева) и сагиттальной (справа) проекциях - выглядят на Т1 ВИ как светлые продолговатые очаги
Классическим признаком рассеянного склероза на МР-снимках головного мозга являются бляшки линейной формы, располагающиеся перпендикулярно боковым желудочкам. Их называют “пальцы Доусона”.
В спинном мозге очаги демиелинизации выглядят как удлиненные образования, распространяющиеся из центра на периферию с вовлечением в патологический процесс задних рогов.
Конечным этапом прогрессирования поражения при рассеянном склерозе являются “черные дыры”, свидетельствующие о деструкции аксонов.
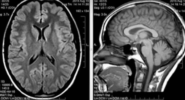
![очаги рассеянного склероза на МРТ]()
На МР-томограмме головного мозга в Т1 ВИ можно увидеть многолетние очаги РС (обозначены стрелками)
Заключение МРТ при рассеянном склерозе
После того, как данные МРТ по поводу диагностики рассеянного склероза получены, врач приступает к интерпретации изображений и составлению заключения. При обнаружении патологии в документе указывают, что на фото имеются признаки демиелинизирующего процесса, предположительно РС.
Магнитно-резонансная томография - не единственное обследование, требующееся для окончательной постановки диагноза. Кроме данных МР-сканирования (предпочтительно с контрастом) во внимание принимают:
- специфические жалобы пациента;
- соответствующий анамнез;
- клиническую картину изменений в неврологическом статусе;
- результаты анализа крови, лабораторной диагностики ликвора (спинномозговой жидкости) и других исследований.
При использовании МРТ в диагностике рассеянного склероза, большое значение имеет отслеживание динамики. Одной томографической процедуры всегда мало. Необходимо делать исследование несколько раз с интервалом 6-12 месяцев, в идеале - у одного и того же специалиста (для сравнения с данными первого и последующих сканирований).
При наличии патологии при неблагоприятном или ремиттирующем течении должна быть диссеминация во времени и количестве поврежденных участков: сканирование показывает появление новых очагов рассеянного склероза в разных местах и увеличение старых. В периоды обострения, когда человек чувствует себя плохо, на снимках МРТ выделяются зоны, накапливающие контраст. Если этих признаков диагност не увидел, выполняют дополнительное обследование. Проведение целого комплекса мероприятий позволяет с достаточной долей вероятности сделать заключение о наличии у пациента РС либо иного демиелинизирующего процесса.
![врач и пациент]()
Заключение МРТ при подозрении на рассеянный склероз не является окончательным диагнозом
Рассеянный склероз: какую МРТ делать?
Некоторые пациенты решают самостоятельно пройти обследование до обращения к врачу. Возникает вопрос, какую МРТ делать при рассеянном склерозе. В первую очередь доктора назначают сканирование головного мозга. Процедуру необходимо пройти на аппарате не менее 1,5 Тесла (оборудование с меньшей напряженностью магнитного поля не покажет мельчайших изменений). Для более четкой визуализации МРТ лучше делать с контрастом. Если заключение показывает наличие признаков РС (”пальцы Доусона” и др.), невролог направляет больного на магнитно-резонансную томографию спинного мозга, чтобы посмотреть, распространилась ли патология на данную область нервной системы. Дальнейшие действия зависят от заключения МРТ - при рассеянном склерозе либо другом заболевании демиелинизирующей природы проводят соответствующее лечение.
Читайте также:
- Артрит плечевого сустава на УЗИ. Вторичный остеоартрит плечевого сустава.
- Влияние имипрамина на эмоции. Расщепление комплекса ориентировочной реакции
- Девственный живот. Пациент с заранее известным онкологическим заболеванием.
- Тампонирование раны печени. Техника
- Наблюдение задержки внутриутробного развития плода. Причины ЗВРП





















