УЗИ, КТ, МРТ при кисте холедоха
Добавил пользователь Евгений Кузнецов Обновлено: 28.01.2026
Врожденное кистозное расширение общего желчного протока после их врожденной атрезии является наиболее частой аномалией внепеченочных желчных путей. В литературе эта анатомическая ситуация фигурирует под различными названиями: врожденное кистозное расширение холедоха, псевдокиста холедоха.
Эпидемиология
Киста общего желчного протока является наиболее частым вариантом кистозного поражения желчевыводящей системы. Описано более 1000 случаев, половина из них - у детей старшего возраста.
Клиника
"Классическая триада" признаков: холестаз, желтуха, боли в животе.
Патогенез
Причинами формирования кисты желчного пузыря являются состояния, при которых нарушен отток желчи: закупорка конкрементом пузырного протока при желчнокаменной болезни, его сдавление опухолевыми образованиями, рубцовые изменения, а также врожденные аномалии (перегибы).
Классификация кист желчного протока:

Кисты желчного протока классифицируют по кри- териям местоположения, степени и формы кистозной аномалии. В настоящее время наиболее часто исполь- зуют классификацию Алонсо-Лей в модификации T. Todani и соавт., которая включает в себя как кисты вне- и внутрипеченочных желчных протоков, так и варианты болезни Кароли. В классификации выделяют следующие типы:
- I тип: наиболее распространненный, встречается в 80-90% (порой выявляется внутриутробно)
- тип Iа — кисты холедоха (общего желчного протока);
- тип Ib — сегментарное расширение общего желчного протока;
- тип Iс — диффузное или цилиндрическое расширение общего желчного протока;
- тип IVa — множественные кисты внутри- и внепеченочных желчных протоков;
- тип IVb — множественные кисты внепеченочных желчных протоков;
Указанная классификация кист желчного протока очень важна, поскольку наиболее четко указывает на направление клинико-диагностических и хирургических мероприятий
Что покажет КТ желчного пузыря с контрастированием? КТ или МРТ?
![Внешний вид и положение желчного пузыря в брюшной полости]()
Компьютерная томография желчного пузыря - неинвазивный высокоинформативный метод диагностики патологий органов билиарной системы, выполняется для выяснения причины неблагополучия или с целью исключить альтернативные диагнозы.
Исследование подразумевает использование рентгеновского излучения и специальных компьютерных программ; полученные снимки имеют высокую детализацию, минимальное количество искажений и артефактов по сравнению с применяемыми ранее способами. До усовершенствования лучевой диагностики использовали эндоскопическую ретроградную холангиопанкреатографию (РХПГ). Метод и сегодня считается «золотым стандартом» в диагностировании камней, блокирующих желчные протоки, к нему есть свои показания. Из-за высокой инвазивности, риска осложнений, выраженного дискомфорта и высокой лучевой нагрузки в настоящее время РХПГ выполняют значительно реже, преимущественно, если планируется удалить небольшие конкременты, препятствующие оттоку желчи. Достоверность метода не может быть оспорена.
Что лучше - КТ желчного пузыря, МРТ или УЗИ - определяет врач на основании предполагаемого диагноза. Ультразвуковую сонографию используют на начальном этапе диагностики, особенно, если есть подозрение на неплотные камни или мелкие конкременты, которые не визуализируются при компьютерном сканировании.
Возможности ультразвукового исследования ограничены техническими параметрами аппарата, подготовкой специалиста и ожирением пациента. На сонограмме нельзя дифференцировать структуру камня и патологию внутрипеченочных желчевыводящих путей.
КТ билиарной системы не является альтернативным методом, но может использоваться в качестве дополнения.
Что покажет КТ желчного пузыря
Врач видит структуру органов и тканей, четкость контуров, уплотнение стенок, присутствие, размеры и локализацию патологического объекта. Если исследование проводили по поводу травмы, в пользу разрыва протоков свидетельствует затек контраста за их пределы с возможным формированием гематомы (скопление однородной по плотности жидкости между тканями)
Абсцесс выглядит как локализованное образование, ограниченное капсулой.
Опухоль и метастатические поражения на КТ видны в виде участков различной плотности.
О воспалении судят по уплотнению стенок желчного пузыря (холецистит) и желчных протоков (холангит).
Аномалии развития на томограмме представлены дополнительными желчными путями, их сужением, деформацией и пр., изменениями конфигурации и анатомического расположения органа.
Видны ли камни на КТ исследовании желчного пузыря
![Конкременты в желчном пузыре при КТ]()
Конкременты в желчном пузыре при КТ
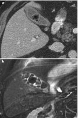
![Вид конкрементов у одного и того же пациента в желчном пузыре при КТ (а) и МРТ (b)]()
Вид конкрементов у одного и того же пациента в желчном пузыре при КТ (а) и МРТ (b)
КТ обнаруживает примерно 75% камней в желчном пузыре и протоках. Чувствительность способа зависит от состава конкрементов.
Результаты компьютерного сканирования не позволяют увидеть мягкие камни, но плотные конкременты визуализируются на томограммах хорошо.
Стандартом обследования при желчнокаменной болезни (ЖКБ) является ультразвуковая диагностика.
УЗИ и КТ - взаимодополняющие методы, компьютерная томография при ЖКБ выполняется для уточнения, нужна ли операция или нет (при холестериновых камнях достаточно консервативной терапии).
Как определяется плотность камней при КТ желчного пузыря
![Конкременты в желчном пузыре вариативны по составу, размерам, количеству и форме]()
Конкременты в желчном пузыре вариативны по составу, размерам, количеству и форме
Не каждый конкремент можно растворить, поэтому изначально важно определить его плотность. Для этого используют специальную шкалу рентгеновской радиоденсивности Хаунсфилда. Камень плотностью более 100 HU (единиц Хаунсфилда), провоцирующий воспалительный процесс, рецидивирующую желчную колику, с большой вероятностью осложнений - показание к активной хирургической тактике.
Какие заболевания показывает КТ желчного пузыря
Патологии желчного пузыря
При компьютерном сканировании врач получает четкие томограммы, что позволяет увидеть:
взвесь (конденсированная желчь при застое) или плотные камни;
обтурацию (закупорку) протока камнем или новообразованием и ее степень выраженности, что неоценимо в диагностике причин желтухи;
воспалительный процесс в органах билиарной системы: холецистит, холангит;
инородное тело при ранении и его отношение к окружающим структурам;
гемангиому (сосудистую доброкачественную опухоль) печени;
рак желчного пузыря или протоков и оценить его распространение;
образования метастатического характера;
аномалии строения: добавочную перегородку желчного пузыря, атрезию, эктопию, удвоение или гипоплазию;
осложнения: разрыв органа, кальцификацию, гематому, абсцесс и пр.;
Показания к исследованию многообразны:
характерные жалобы: боль и/или тяжесть в правом подреберье, появление кала белого цвета (ахоличный стул - один из симптомов обтурации желчного протока), диспепсические явления (горечь во рту, метеоризм, тошнота, рвота, дискомфорт после потребления жирной пищи, запор или диарея), пожелтение склер и кожных покровов, увеличение печени, желчные колики;
изменения в клинико-лабораторных показателях (повышение печеночных ферментов);
определение плотности конкрементов для выработки дальнейшей тактики ведения: открытого хирургического вмешательства, консервативной терапии или литотрипсии (дробления);
дискомфорт, отрицательная динамика после выполненного оперативного лечения.
Если у Вас появились подобные жалобы или рутинные методы обследования не принесли желаемого результата - запишитесь на КТ желчного пузыря в диагностический центр «Магнит» - чем раньше удалось выявить заболевание и начать терапию, тем больше шансов на благоприятный прогноз.
КТ желчного пузыря с контрастом
![В диагностическом центре “Магнит” диагностику проводят на]()
В диагностическом центре “Магнит” диагностику проводят на
Введение йодсодержащего контраста способствует лучшей визуализации. Нативная КТ желчного пузыря малоинформативна и выполняется при реакциях гиперчувствительности на радиофармпрепарат, при полной обтурации или при противопоказаниях к МРТ.
В момент введения контраста допустимы головокружение, легкая тошнота, которые через некоторое время купируются самостоятельно.
Обязательно предупредите врача о возможной беременности и аллергии на йод.
Специалисты не рекомендуют рентгенодиагностику во время вынашивания ребенка, так как даже минимальная лучевая нагрузка рассматривается в качестве провоцирующего фактора для развития врожденных аномалий у плода. При лактации КТ желчного пузыря возможна, но специалисты после процедуры настоятельно советуют как минимум на 12 часов отказаться от кормления грудью. Перед диагностикой можно сделать запас молока.
Сканирование с контрастированием не показано, если пациент страдает заболеваниями почек и печени в стадии декомпенсации.
КТ желчного пузыря с введением радиофармпрепарата нельзя выполнять при гиперфункции щитовидной железы и при приеме Метформина для лечения сахарного диабета. Препарат отменяют за 48 часов до диагностической процедуры, предварительно действие согласовывают с эндокринологом (обязательно!).
Общие относительные ограничения к компьютерному сканированию:
некоторые психические заболевания;
Так как для получения качественных снимков необходима полная неподвижность, данной категории лиц может быть выполнена седация (введение успокаивающих препаратов) при проведении исследования в отделении анестезии и реанимации стационара . В частных центрах диагностику при подобных условиях не выполняют.
КТ желчного пузыря детям назначают по строгим показаниям и направлению врача. Учитывая негативное воздействие лучей на организм ребенка, лучше выбрать МРТ.
Подготовка к исследованию с контрастным усилением включает следующее:
отказ от тяжелой пищи и продуктов, усиливающих метеоризм, за 2-3 дня до процедуры;
голод за 4-6 часов до исследования;
сдача анализа на креатинин для уточнения сохранности функции почек;
избавление от металлических деталей, которые могут привести к артефактам на снимках.
Каких-либо болевых ощущений во время диагностики нет, длительность КТ желчного пузыря - до 20 минут.
Через 2 часа можно будет получить заключение и CD-диск с результатами исследования. Кадры, представляющие наибольшую диагностическую ценность, могут распечатать на пленке. Данная услуга оплачивается отдельно.
КТ или МРТ брюшной полости
В нашей клинике вы можете пройти МРТ органов брюшной полости с выдачей медицинского заключения. По результатам МРТ исследования врач ставит точный диагноз и объективно оценивает состояние прошедшего обследование в клинике пациента.
Потребность в неинвазивных методах диагностики привела к развитию технологий, основанных на рентгеновских лучах и явлении ядерного резонанса. Ценную информацию о состоянии органов брюшной полости дает компьютерная томография и магнитно резонансная томография. Использование каждого из этих методов имеет свои показания и противопоказания.
Когда показана компьютерная томография
На рентгеновских томограммах, сделанных с помощью компьютера, хорошо визуализируются полые органы. В особенности, с применением контрастирующих веществ. Это отличная альтернатива эндоскопическому исследованию желудка, кишечника, и особенно желчного пузыря, недостижимого с помощью эндоскопа.
На КТ четко визуализируются кости, что предоставляет ориентиры хирургам, когда предстоит хирургическая операция. КТ дает возможность подготовиться с привязкой к индивидуальным особенностям организма, например, узнать, на каком уровне находится червеобразный отросток слепой кишки.
В каких случаях показана магнитно резонансная томография
В свою очередь, МРТ органов брюшной полости и забрюшинного пространства идеально подходит для визуализации плотных тканей, богатых водой. Водород, которого больше всего в составе воды, интенсивно откликается на поля, создаваемые аппаратом.
На экране появляются резкие контрасты между участками с разным содержанием воды. Видны границы печени, поджелудочной железы, почек, также небольших полостей внутри массивных структур. МРТ заменяет УЗИ, и технически проще осуществляется. Не нужно, чтобы специалист высокой квалификации долго исследовал пациента ультразвуком, выбирая наилучшее положение излучателя, и затем правильно интерпретировал результаты.
Противопоказания к рентгеновскому исследованию
- Необходимость делать повторные или регулярные снимки. Каждый снимок дает лучевую нагрузку в области живота, что совсем не полезно для здоровья.
- Беременность. Пока плод находится в организме матери, противопоказаны любые радиоактивные воздействия.
Противопоказания к магнитно резонансному исследованию
- Наличие металлических протезов в исследуемой части тела.
- Чрезмерное увеличение массы тела (выраженная тучность).
- Нервные и психические нарушения, в результате которых пациент не может оставаться неподвижным внутри аппарата.
Сравнение методик и выбор оптимальной для пациента
В большинстве случаев предпочтительно провести МРТ. Речь идет о мягких тканях, заполняющих брюшную полость, и очевидно, что в данной ситуации КТ менее информативна. Даже полые внутренние образования, как петли кишок и желчевыводящие пути, неплохо контрастируются на МРТ с использованием специальных контрастирующих веществ.
Достаточно взглянуть на снимки внутренних органов, выполненные разными методами, чтобы увидеть существенную разницу в уровне детализации. Некоторые структуры брюшного пространства одинаково хорошо видны при использовании соответствующего контраста, отсутствуют серьезные различия на КТ или МРТ. Но другие, в частности, расположенные за брюшиной, на КТ едва заметны.
Однако, КТ завершается намного быстрее. В срочных случаях достаточно нескольких минут, чтобы определить, к примеру, расположение инородного тела, проглоченного ребенком. Металл или пластик будет хорошо заметен на КТ даже без предварительного введения контраста.
Подготовка пациента
Когда проводится МРТ или КТ брюшной полости, необходима подготовка к обследованию. При контрастировании внутрь или в сосуды вводится контрастное вещество. Также следует подготовить пищеварительный тракт к исследованию брюшной полости, чтобы каловые массы и избыточные объемы газов не мешали диагностировать патологические изменения.
При обращении в медицинские центры пациентам подробно разъясняют, какой диеты придерживаться. Обычно за 2-3 дня следует уменьшить количество принимаемой пищи и употреблять продукты, не приводящие к метеоризму или запору. Подробный план подготовки к МРТ вам предоставит медицинский персонал, то же самое касается КТ.
Что диагностируют магнитным резонансом?
Поскольку брюшная полость обширная и состоит из нескольких отделов, на томографе выявляются заболевания многих систем: пищеварительной, мочеполовой, эндокринной. Также проведение МРТ бывает полезным при поражении крупных сосудов, хотя и КТ в данном случае информативна (с контрастированием).
Отдельную категорию исследований составляет использование магнитного поля для диагностирования опухолей. С помощью МРТ эффективно выявляют рак желудка, печени, почек, метастазы опухолей с первичным источником за пределами брюшной полости. Многие опухолевые процессы крайне сложно или практически невозможно выявить на КТ, поэтому очевидно, какой метод диагностики необходимо использовать.
Как проходит магнитно резонансное исследование?
Пациента помещают на выдвижной стол огромного устройства, внутренняя часть которого напоминает цистерну. Положение лежа на спине, чтобы брюшная стенка находилась сверху. Если лечащим врачом указана другая поза, обслуживающий персонал фиксирует пациента согласно назначению. Затем стол задвигается внутрь аппарата.
На стенке находится кнопка экстренной связи, нажимая которую, пациент может срочно вызвать помощь. Лежать следует спокойно, пока проходит МРТ, нельзя совершать какие-либо движения. Оператор передает по громкой связи указания. Иногда необходимо задержать дыхание, максимум на несколько секунд. Это позволяет получить четкие томограммы, не смазанные дыхательными движениями.
Когда завершается диагностическая процедура, стол снова выезжает, пациент встает самостоятельно или переносится на носилки (каталку). Все абсолютно безболезненно, отсутствуют какие-либо неприятные ощущения.
Что видно на томограмме?
Как и в случае КТ, производится сложная компьютерная обработка изображений, полученных на МРТ. В итоге получается очень четкая картина патологий, затронувших брюшную стенку, внутрибрюшинное пространство и структуры организма, находящиеся дальше.
Врач сразу видит, какие органы поражены, и может наглядно показать пациенту или родственникам. Изображение с МРТ гораздо понятнее неспециалистам, чем КТ, или, тем более, полученное при УЗИ.
Наглядность помогает лучше обосновать необходимость оперативного вмешательства, получить согласие на хирургическое лечение. Снимки с МРТ передаются пациенту в цифровом виде, скажем, как записанные на флешке файлы. Впоследствии могут быть распечатаны на домашнем принтере и просмотрены на экране компьютера.
В нашей клинике делают МРТ в строгом соответствии со стандартами, получая качественные результаты, которые легко интерпретировать любому специалисту. При наличии противопоказаний вы можете пройти КТ или УЗИ. Вас осмотрит опытный врач, выявит показания и направит на исследование, дающие лучшие результаты.
IX Международная студенческая научная конференция Студенческий научный форум - 2017
![]()
АНАЛИЗ ДИАГНОСТИЧЕСКОЙ ТАКТИКИ И МЕТОДОВ ХИРУРГИЧЕСКОГО ЛЕЧЕНИЯ ПРИ КИСТОЗНЫХ ТРАНСФОРМАЦИЯХ ЖЕЛЧНЫХ ПРОТОКОВ
Текст работы размещён без изображений и формул.
Полная версия работы доступна во вкладке "Файлы работы" в формате PDFАктуальность: Первое полное клиническое описание кистозных трансформаций желчных протоков представил Douglas в 1953 г. В последующие годы были описаны различные комбинации внутри- и внепеченочных кист желчных протоков, что нашло отражение в классификации T. Todani и соавторов [2], согласно которой различают 5 типов кист желчных протоков. Необходимость изучения данной патологии обусловлена тем, что кистозные трансформации желчного протока встречаются довольно часто среди всех пороков пищеварительной системы. Современные взгляды на генез данного порока, классификацию и хирургическую тактику весьма разнообразны. [2, 5].
Кисты общего желчного протока диагностируются чаще у детей старшей возрастной группы. Это объясняется тем, что формирование кисты из врожденного структурно-патологического протока происходит в возрасте 3-4 лет, а иногда только в пубертатном или подростковом возрасте. С доступностью УЗИ, КТ, МРТ появилась возможность не только ранней диагностики кистозной трансформации общего желчного протока, динамического наблюдения за больными с целью контроля размеров дилятации, но и выбора оптимального срока хирургического вмешательства. Оно позволяет получить данные не только о самом существовании кисты, её размерах и положении, но и даёт представление о стенках кисты, её содержимом, взаимоотношениях с окружающими органами, характере изменений в последних. [1, 3, 4].
Цель исследования. Анализ диагностической тактики и методов хирургического лечения при кистозных трансформациях желчных протоков.
Материалы и методы. Исследование и лечение проводилось на базе детского хирургического стационара МУЗ ГКБ № 20 им. И.С. Берзона г. Красноярска, в котором проходили лечение 25 детей в возрасте от 1 мес. до 14 лет с врожденными кистами желчных протоков. При обследовании детей использовали клинико-лабораторную диагностику и инструментальные методы исследования: УЗИ в 100%, КТ - 50%, интраоперационная холецистография - 40%, ЭРХПГ -20%, лапароскопия - 20%. Эхографически киста общего желчного протока определялось как округлое или овальное анэхогенное образование, локализующееся в области головки поджелудочной железы и не связанное с желчным пузырем. Компьютерная томография полностью подтвердила данные, полученные при сонографическом исследовании. Следует отметить, что использование эндоскопической ретроградной холангиопанкреатографии позволяет выявить наиболее точную картину поражения общего желчного хода при сохранности проходимости в дистальной его части. На основании полученных данных решался вопрос о выборе метода хирургического лечения. Таким образом, дооперационная диагностика кистозной трансформации желчевыводящих путей в настоящее время значительно улучшилась благодаря применению современных методов исследования. Однако, выбор оперативного метода лечения окончательно может быть произведен только во время операции, так как решающее значение в верификации диагноза имеют интраоперационные рентгеноконтрастные методы исследования, которые позволяют выявить кистозные расширения вне- и внутрипеченочных желчных протоков, степень и протяженность их дилятации, проходимость терминального отдела холедоха, рубцовые сужения печеночных протоков, билиопанкреатический рефлюкс. В настоящее время предложен новый метод распознавания и лечения врожденной патологии желчевыводящей системы, включающий в себя комбинированное применение лапароскопии, чрезкожной чрезпеченочной холецистохолангиографии в сочетании с рентгенологическим контролем (под контролем электронно-оптического преобразователя) в режиме реального времени. К положительным сторонам данного метода относится: а) возможность применения у новорожденных детей; б) естественное (антеградное) введение контрастного вещества не допускает развития восходящего холангита; в) минимальная травматичность, г) высокая информативность, д) возможность в некоторых случаях устранять препятствие в области желчного протока.
Результаты исследования: Проведено обследование и лечение 25 детей. Из них больных девочек-16человек (64%), мальчики - 9 человек (36%). Из анамнеза известно, что 6 детей (24%) поступили в связи с подозрением на острое хирургическое заболевание органов брюшной полости; 12 детей (48%) после планового обследования (УЗИ) наблюдались и лечились у педиатра по поводу дискинезии желчевыводящих путей (ЖВП) в течение 6 месяцев - 1 года; 7 детей (28%) были направлены для планового обследования из инфекционных отделений после исключения вирусных гепатитов.
Таким образом, анамнез свидетельствовал о большом разнообразии проявлений болезни и сложности диагностики.
Основными симптомами у детей с врожденными кистами общего желчного протока были следующие: болевой синдром (тупые приступообразные боли в правом подреберье) 33,3%, желтуха - 25%, наличие пальпируемой опухоли - 33,3%, тошнота, снижение аппетита, слабость, утомляемость - 58,3%, отсутствие жалоб - 41,6%. Однако у пациентов, как правило, присутствуют лишь один или два из этих симптомов. Иногда киста общего желчного протока проявляется только лихорадкой.
Изменение лабораторных показателей носили следующий характер: анемия - 83,3%, ускорение СОЭ - 50%, увеличение уровня щелочной фосфатазы - 75%, увеличение уровня IgG, IgM (мезенхимальный воспалительный синдром) - 58,3%, увеличение АЧТВ, снижение уровня фибриногена, ПИ, коагулаз (гепатодепрессивный синдром) - 58,3%. При умеренном возрастании АДФ агрегации тромбоцитов. Возрастание фактора Виллебранта. При угнетении XII-а фактора зависимого фибринолиза. Без нарушения конечного этапа свертываемости крови. С нормальным содержанием физиологических антикоагулянтов.
Дифференциальная диагностика проводилась с хроническими гепатитами, объемными образованиями печени, опухолями и аномалиями правой почки, врожденными и паразитарными кистами печени и поджелудочной железы, холециститом.
Ультразвуковое исследование выполнено всем больным детям в 100%, что позволило в 60% поставить диагноз киста холедоха, КТ 7 детям (38%) с целью дифференциальной диагностики и уточнения топического расположения кисты, интраоперационная холецистография в 4 случаях (22 %), ЭРХПГ 3 пациентам (20%), лапароскопия 3 пациентам (20%).
Использование последовательного обследования пациентов позволило в 82% не только диагностировать заболевание, но и выявить тип кистозной трансформации в предоперационном периоде, что позволило провести адекватную предоперационную подготовку и определить необходимый объем оперативного вмешательства.
Так, тип А кистозной трансформации выявлен в 10 случаях (40%), тип В выявлен в 12 случаях (48%), тип С - 1 случай (4%), тип V в 2 случаях (8%).
После установления диагноза необходимо устранение порока в кратчайшие сроки. С учетом этого плановая предоперационная подготовка включает ряд особенностей:
1. Длительность предоперационной подготовки не более 2-3 дней;
2. Коррекция гемостаза;
3.Резекция кисты с последующей пластикой холедоха;
4. Постоперационное ведение больного.
Самый предпочтительный метод лечения таких пациентов - полное хирургическое иссечение кисты. Выполнены следующие виды оперативных вмешательств: цистодуоденостомия, дренирование холедоха по Керу - 5,9%; цистоеюностомия с У-образной выключенной петлей тонкой кишки по Ру-Герцену - 23,5%; резекция кисты, пластика холедоха - 5,9%; иссечение кисты по Lilly J. (1978), гепатикоеюноанастомоз с двойной антирефлюксной защитой - 17,6%; резекция кисты, анастомоз между общим печеночным протоком и У-образной петлей тонкой кишки (гепатикоеюноанастомоз по Ру-Герцену) с двойной антирефлюксной защитой - 47%.
Всем больным выполнена холецистэктомия для ликвидации возможного осложнения - калькулезного холецистита.
В лечении кистозных трансформаций общего желточного протока имеет большое значение проведение консервативной терапии, которая направлена на снижение проявления клинических симптомов и подготовку пациента к проведению планового хирургического вмешательства. Для успешного лечения применяют седативные препараты. Целесообразнее применение легких (дневных) транквилизаторов: беллатаминала, беллоида, рудотеля. Необходимо назначать диетотерапию (5-й стол), что является хорошим стимулятором желчеотделения. Лекарственная терапия проводится в соответствии с характером поражения желчевыводящих путей. Используются препараты, стимулирующие желчеобразовательную функцию (холеретики): аллохол, холензим; препараты, стимулирующие желчевыделительную функцию печени и снижающие тонус желчных путей (холекинетики): холецистокенин, питуитрин и т.д. Также проводится заместительная терапия ферментами: фестал, панзинорм. При гиповитаминозах необходим заместительный курс лечения витаминами перорально или парентерально в зависимости от тяжести проявлений, наличия желтухи, ответа на лечение.
Все дети находились на диспансерном учете с плановым обследованием в стационаре через 3 и 6 мес. Далее стационарное обследование и лечение проводилось по показаниям.
Отдаленные результаты лечения больных детей с кистозными трансформациями холедоха прослежены в сроки от 3 до 5 лет. Хороший результат получен в 78% случаев, признаки гастродуоденита не обнаружены. При рентгенографии с контрастированием рефлюкс не выявлен, лабораторные показатели в пределах возрастной нормы. Удовлетворительный результат получен у 4 больных (22% случаев), т.е. отмечались минимальные признаки гастродуоденита, при рентгенологическом исследовании контрастом выявлен рефлюкс до 1,5-2,5 см.
Выводы:
1)Своевременное и по показаниям оперативное вмешательство, позволяет улучшить отдаленные результаты лечения больных с кистозными трансформациями желчевыводящих путей, после чего отмечается быстрое восстановление двигательной активности, уменьшение болевого синдрома и отсутствие грозных осложнений, таких как калькулезный холецистит, холестаз.
2)Проведение наименее агрессивных хирургических вмешательств, с учетом детского возраста позволяет облегчить течение послеоперационного периода и ожидать хорошие непосредственные и ближайшие результаты.
Список литературы:
Бадуров Б.Ш., Зуев В.К., Михалкин М.П. Редкий случай врожденной патологии желчных протоков. // Клинические перспективы гастороэнтерологии, гепатологии.- Москва, 2007. - №6. - С.31-32.
Бамбаев А.И. Клинико - патологическое значение аномалий развития желчевыводящих путей у детей с заболеваниями верхних отделов пищеварительного тракта: Автореф. Дис. … канд. Мед. Наук. М 2004; 24.
Борисов А.Е., Земляной В.П. и др. Первичные повреждения и рубцовые стриктуры желчных протоков // Руководство по хирургии печени и желчевыводящих путей: В 2т. / Под ред. А.Е. Борисова. - СПб: Скифия 2003. - Т.2: Хирургия желчевыводящих путей. - С. 183 - 281.
Иванченкова Р.А. Принципы лечения диспепсии при дискинезиях желчевыводящих путей.// Клинические перспективы гастороэнтерологии, гепатологии.- Москва, 2004. - №1.- С. 26-28.
Лабия А.И., Багмет Н.Н., Ратникова Н.П., Скипенко О.Г. Эволюция хирургического лечения доброкачественных стриктур внепеченочных желчных протоков. // Клинические перспективы гастороэнтерологии, гепатологии.- Москва, 2007. - №4. - С. 17-19.
Хасанов А.Г., Нуртдинов М.А., Бадретдинов А.Ф., Бакиев И.М., Меньшиков А.М., Бакиров С.Х. Минимально инвазивные вмешательства при кистах селезенки и печени // РЖГГК. - Уфа, 2005.- №5.- С. 149.
Лучевая диагностика патологии желчного пузыря и желчевыводящих путей
![]()
Содержит актуальную клиническую информацию по ультрасонографии и ориентирован на врачей ультразвуковой диагностики, выходит с 1996 года.
Введение
Заболевания желчного пузыря - это особый раздел в современной медицине, которому специалисты уделяют повышенное внимание 1. С одной стороны, патология желчного пузыря (например, полипы), может протекать совершенно бессимптомно, но имеет тенденцию к малигнизации 10. С другой стороны, некоторые заболевания, такие как конкременты желчного пузыря и желчевыводящих путей, сопровождаются сильными приступами болей и могут привести к тяжелым осложнениям. В результате длительного давления камнем на слизистую оболочку пузыря в ней могут возникнуть язвы и пролежни, образоваться дивертикулоподобные выпячивания, внутренние и наружные желчные свищи, перфоративные отверстия с развитием подпеченочного или поддиафрагмального абсцессов, желчного перитонита. Перемещение желчных камней может сопровождаться закупоркой пузырного протока, водянкой желчного пузыря или его эмпиемой. При обтурации камнем выходного отдела общего желчного протока наступает механическая желтуха. Длительное нахождение камня в желчных протоках и присоединение инфекции ведут к развитию холангита. Выпадение крупного желчного камня из желчного пузыря в кишку через образовавшееся соустье может привести к непроходимости кишечника [1, 3, 5-8, 10-12]. Поэтому своевременная диагностика заболеваний желчного пузыря и протоковой системы имеет очень важное значение.
Образование желчи в печени - процесс непрерывный, однако поступление ее в кишечник в норме происходит преимущественно в процессе пищеварения. Это обеспечивается резервуарной функцией желчного пузыря и его ритмическими сокращениями с последовательным расслаблением сфинктера Люткенса и далее сфинктера Одди, расположенного в месте впадения общего желчного протока в кишку (рис. 1).
![Схематическое изображение положения желчного пузыря на висцеральной поверхности печени: 1 - дно желчного пузыря; 2 - пузырный проток; 3 - собственная печеночная артерия; 4 - воротная вена; 5 - желудочно-печеночная связка; 6 - левая доля печени; 7 - хвостатая доля печени; 8 - нижняя полая вена; 9 - хвостатый отросток; 10 - шейка желчного пузыря; 11 - правая доля печени; 12 - тело желчного пузыря; 13 - квадратная доля печени]()
1 - дно желчного пузыря;
2 - пузырный проток;
3 - собственная печеночная артерия;
4 - воротная вена;
5 - желудочно-печеночная связка;
6 - левая доля печени;
7 - хвостатая доля печени;
8 - нижняя полая вена;
9 - хвостатый отросток;
10 - шейка желчного пузыря;
11 - правая доля печени;
12 - тело желчного пузыря;
13 - квадратная доля печени.Натощак желчный пузырь содержит 30-80 мл желчи, но он может концентрировать печеночной желчи в 5-10 раз больше. При застое желчи в пузыре ее количество может увеличиваться. У женщин желчный пузырь в состоянии функционального покоя имеет несколько больший объем, чем у мужчин, но сокращается быстрее. С возрастом сократительная функция желчного пузыря снижается.
Ультрасонография является одним из самых информативных и доступных инструментальных методов диагностики заболеваний желчного пузыря 9.
Акустические свойства ультразвука позволяют выявлять мельчайшие эхогенные структуры, находящиеся в желчном пузыре.
С помощью УЗИ значительно сокращается время диагностического поиска. В отличие от компьютерной томографии (КТ) и магнитно-резонансной томографии (МРТ) при УЗИ врач-исследователь сам непосредственно участвует в получении изображения, что имеет свои плюсы и минусы. Положительной является возможность более целенаправленного и детального исследования изучаемого объекта. Отрицательная сторона - качество изображения и его расшифровка в значительной степени зависят от опыта исследователя и правильности применяемых им методик.
Полипы в желчном пузыре имеются у 6% всего населения. В 80% случаев полипы в желчном пузыре отмечаются у рожавших женщин в возрасте после 30 лет. Так как полипы клинически себя никак не проявляют, диагностика их чаще всего случайна и происходит при проведении УЗИ у пациента по совершенно другим причинам 5.
Хотя причины появления полипов на стенках в желчного пузыря не установлены, а симптомы неочевидны, известны четыре типа таких образований. Наиболее часто по статистике в желчном пузыре у пациентов сегодня встречаются следующие типы [4, 5, 9].
Воспалительный полип желчного пузыря - является своего рода воспалительной реакцией самой слизистой оболочки желчного пузыря, проявляется у пациента в виде различных разрастаний грануляционной внутренней ткани пораженного органа.
Нередко врачи также ставят диагноз аденомы желчного пузыря. Так происходит потому, что это своего рода доброкачественная опухоль в виде полиповидного разрастания железистой ткани желчного пузыря больного.
Также следует отметить папиллому или полипоз желчного пузыря у некоторых пациентов. Такая папиллома представляет собой доброкачественную опухоль слизистой оболочки пузыря в виде различных по виду и структуре своеобразных папиллом или сосочковых разрастаний.
К самому распространенному типу относят так называемый холестериновый полип желчного пузыря, который представляет собой возвышение слизистой оболочки пузыря с холестриновыми отложениями на ней. Холестероз достаточно часто встречается среди пациентов, направленных на операцию с клиническим диагнозом "полипы" или "полипоз желчного пузыря", по некоторым данным от 42 до 95% случаев.
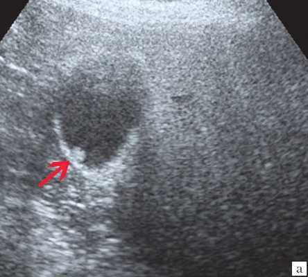
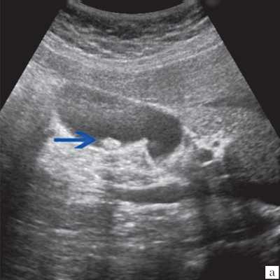
Ультрасонография является эффективным средством выявления полиповидной формы холестероза 4. Традиционной считается следующая сонографическая характеристика холестериновых полипов: неподвижные гиперэхогенные структуры, которые не дают акустической тени и прикрепляются к стенке желчного пузыря. Контуры таких образований, как правило, ровные, а размеры таких образований различны, чаще не превышают 10 мм (рис. 2).
![Эхограмма - одиночный полип в желчном пузыре (2а)]()
a) Одиночный полип в желчном пузыре (гиперэхогенное пристеночное неподвижное образование, с ровными контурами, без акустической тени).
![Эхограмма - одиночный полип в желчном пузыре (2б)]()
б) Одиночный полип в желчном пузыре.
![УЗ-картина полипов в желчном пузыре - полиповидно-сетчатая форма холестероза (2в)]()
в) Полиповидно-сетчатая форма холестероза, полипы размерами до 5 мм, повышенной эхогенности.
![Эхограмма - одиночный полип в желчном пузыре (2г)]()
г) Одиночный полип в желчном пузыре.
Однако, по некоторым данным, размеры холестериновых полипов могут быть более 20 мм. Кроме того, полипы больших размеров (в 7% от общего числа) могут иметь пониженную эхогенность и фестончатый контур.
Мелкие холестериновые включения, образующие диффузную сеточку в толще подслизистого слоя размерами 1-2 мм, выглядят как локальное утолщение или уплотнение стенки желчного пузыря и в некоторых случаях (см. рис. 2) вызывают реверберацию (эхографический симптом "хвост кометы").
При распространенном холестерозе визуализируются множественные гиперэхогенные образования, дающие картину "земляничного" желчного пузыря (рис. 3).
![Эхограмма - множественные полипы в желчном пузыре, картина земляничного желчного пузыря]()
а) Множественные полипы в желчном пузыре, картина "земляничного" желчного пузыря.
![УЗ-картина полипов в желчном пузыре - режим ЦДК, кровоток не регистрируется]()
б) В режиме цветного допплеровского картирования кровоток не регистрируется.
Характер ножки полипа традиционно учитывается в онкологической практике как признак, ассоциированный со злокачественной природой образования. Вероятность возможной малигнизации больше, если у него имеется широкое основание, а не тонкая ножка. Однако необходимо принимать во внимание возможность ложноположительной диагностики широкого основания при полипах больших размеров из-за их ограниченной смещаемости в просвете желчного пузыря. Дрожание, напоминающее пламя свечи, наблюдается у полипов небольших размеров и вытянутой формы, и указывает на их тонкую ножку 10.
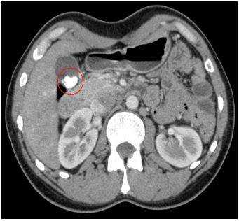
Желчнокаменная болезнь (cholelithiasis; калькулезный холецистит) - заболевание, обусловленное наличием конкрементов в желчном пузыре и желчных протоках. Частота образования желчных камней увеличивается с возрастом, достигая 45-50% у женщин старше 80 лет. У мужчин желчные камни встречаются в 3-5 раз реже, у детей - крайне редко. Только в 20% случаев желчные камни существуют бессимптомно ("немые" конкременты) [5].
Существует два основных механизма образования желчных камней: печеночнообменный и пузырно-воспалительный. Печеночно-обменный механизм заключается в формировании желчных камней вследствие таких факторов, как несбалансированное питание с преобладанием в рацио не грубодисперсных животных жиров (свиного, бараньего, говяжьего) в ущерб растительным; нейроэндокринные нарушения, например, связанные с дисфункцией эндокринной системы возрастного характера и гипофункцией щитовидной железы; поражения печеночной паренхимы токсического и инфекционного генеза; гиподинамия и застой желчи. В результате печень продуцирует литогенную желчь, т. е. способную образовывать холестериновые или смешанные камни. При пузырно-воспалительном механизме желчные камни формируются под влиянием воспалительного процесса в желчном пузыре, приводящего к физико-химическим сдвигам в составе желчи (дисхолии). Изменение рН желчи в кислую сторону, характерное для любого воспаления, приводит к уменьшению защитных свойств коллоидов, в частности белковых фракций желчи, переходу мицеллы билирубина из взвешенного состояния в кристаллическое. При этом образуется первичный кристаллизационный центр с последующим наслоением других ингредиентов желчи, слизи, эпителия и др.
Желчные камни - плотные образования, количество которых может составлять от одного до нескольких тысяч, размер - до нескольких сантиметров в диаметре, масса - до 30 г и более. В желчном пузыре чаще встречаются камни округлой формы, в общем желчном протоке - эллипсоидной или продолговатой, во внутрипеченочных протоках ветвистой. В зависимости от состава различают холестериновые, пигментно-холестериновые, холестериново-пигментно-известковые, пигментные и известковые камни; на распиле они имеют пигментное ядро и слоистое строение.
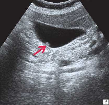
Клиническая картина желчнокаменной болезни многообразна [5-6, 10]. Условно выделяют хроническую болевую, хроническую рецидивирующую, диспептическую, стенокардитическую и ряд других клинических форм. Характерным ультразвуковым признаком конкремента в желчном пузыре является его акустическая тень. Такая тень возникает из-за высокой плотности камня по сравнению с мягкими тканями. Наличие или отсутствие тени помогает отличить камень от полипа желчного пузыря (рис. 4).
![Эхограмма - одиночный конкремент желчного пузыря]()
а) Одиночный конкремент желчного пузыря (подвижная гиперэхогенная структура, дающая четкую теневую дорожку).
Читайте также:
- Сохранение репродуктивной функции (фертильности) при онкологических болезнях женщин
- Стимуляция задних столбов. Интраспинальное программируемое введение опиоидов. Хирургическая симпатэктомия.
- Влияние перивисцерита на стресс. Пример психоневроза при перивисцерите
- Диагностика и лечение склеродермии. Рекомендации
- Общие сведения о безрецептурных препаратах
- тип Iа — кисты холедоха (общего желчного протока);















