Нагноение раны после торакопластики. Искривление пациента после торакопластики
Добавил пользователь Владимир З. Обновлено: 11.12.2025
Торакопластика - это хирургическая операция, применяемая на грудной стенке с целью мобилизации и создания новых условий, влияющих на функцию легких, плевры и сердца. В ортопедии и травматологии торакопластика применяется при врожденных деформациях грудной клетки, которая заключается в резекции или коррекции ребер и грудины с целью увеличения объема грудной клетки при воронкообразной деформации и уменьшения грудной клетки при килевидной 3.
Название протокола: Торакопластика
Код(ы) МКБ-10
| МКБ-10 | |
| Код | Название |
| Q 67.6 | Врожденная впалая грудь |
| Q 67.7 | Врожденная килевидная грудь |
| Q 67.8 | Другие врожденные деформации грудной клетки |
Дата разработки протокола: 2018 год
Сокращения, используемые в протоколе
| КТ | - | компьютерная томография |
| ЛФК | - | лечебная физкультура |
| ЭКГ | - | электрокардиограмма |
| ВИЧ | - | вирус имунно-дефицита человека |
| ПТИ | - | протромбиновый индекс |
| УЗИ | - | ультрозвуковое исследование |
| РВ | - | реакция Вассермана |
Пользователи протокола: травматологи-ортопеды.
Категория пациентов: взрослые.

Автоматизация клиники: быстро и недорого!
- Подключено 300 клиник из 4 стран
- 800 RUB / 4500 KZT / 27 BYN - 1 рабочее место в месяц

Автоматизация клиники: быстро и недорого!
- Подключено 300 клиник из 4 стран
- 1 место - 800 RUB / 4500 KZT / 27 BYN в месяц
Мне интересно! Свяжитесь со мной
Классификация
Клиническая классификация:
Врожденные деформации грудной клетки:
- воронкообразная;
- килевидная;
- локальная.
Лечение
МЕТОДЫ, ПОДХОДЫ И ПРОЦЕДУРЫ ДИАГНОСТИКИ И ЛЕЧЕНИЯ
Цель проведения процедуры/вмешательства: хирургическая коррекция деформации грудной клетки.
Показания и противопоказания к процедуре/вмешательству
Показания к оперативному вмешательству:
- нарушения функции со стороны сердца, легких;
- косметический дефект.
- хроническая почечная недостаточность;
- печеночная недостаточность;
- сердечно-сосудистая недостаточность.
Перечень основных и дополнительных диагностических мероприятий:
Дополнительные диагностические мероприятия:
- общий анализ крови и мочи, биохимия крови (билирубин общий, АЛТ, АСТ, мочевина, креатинин, белок общий, азот);
- ПТИ, фибриноген;
- время и длительность кровотечения;
- кал на я/г, кровь на РВ;
- кровь ВИЧ и маркеры гепатита;
- ЭКГ;
- заключение кардиолога;
- терапевта, стоматолога;
- рентгенография грудной клетки;
- КТ грудной клетки;
- УЗИ сердца;
- спирография.
Требование к соблюдению мер безопасности, санитарно-противоэпидемическому режиму:
согласно Санитарным правилам «Санитарно-эпидемиологические требования к объектам здравоохранения», утвержденным приказом Министра здравоохранения Республики Казахстан от 31 мая 2017 года № 357.
Требования к оснащению: согласно приказу Министра здравоохранения Республики Казахстан от 06 июня 2011 года № 352 «Об утверждении Положения о деятельности медицинских организаций, оказывающих травматологическую и ортопедическую помощь».
Техническое оснащение:
- минихирургический набор для стопы: минидрель, минираспатор, минипила и винты;
- ЭОП.
- подготовка перед операцией кожных покровов;
- очистительная клизма накануне вечером и утром в день операции;
- препарат для премедикации накануне вечером и утром в день операции.
- периоперационная антибиотикопрофилактика за 10-15 минут внутривенно во время наркоза либо за 40-60 минут до операции внутримышечно, с последующими повторными инъекциями по показаниям, но не более 24-48 часов.
Методика проведения процедуры/вмешательства
Оперативное лечение деформация грудной клетки
Патология лечится оперативным путем под интубационным наркозом. При оперативном лечении производится резекция деформированных реберных хрящей, стернотомия, стабилизация грудинно-реберного комплекса металлоконструкцией, которая проводится под грубиной. В послеоперационном периоде применяется физиолечение, ингаляции с бронхолитиками, дыхательная гимнастика. После заживления раны выписывается на амбулаторное лечение. Симптоматическая терапия с учетом сопутствующих заболеваний.
Индикаторы эффективности процедуры:
- восстановление анатомически нормального каркаса грудной клетки;
- психологическая адаптация пациента.
Информация
Источники и литература
- Протоколы заседаний Объединенной комиссии по качеству медицинских услуг МЗ РК, 2018
- 1 Ерекешев А.Е., Нагиманов Б.А., Орловский В.Н. Три случая лечения синдрома Поланда у детей //Травматология жэне ортопедия. - 2008. - № 1. - С. 82-86. 2 Комиссаров И.А.,Комолкин И.А. Модификация способа хирургического лечения по Nuss при воронкообразной деформации грудной клетки у детей.-г.Санкт-Петербург, 2013г.-98с. 3 Saxena A.K. Latissimus dorsi muscle flap in reconstruction congenitally absent breast and pectoralis muscle //Ann Plast Surg. - V. 4. - P. 422-425, 2009. 4 Kravarusic D. Currarino-Silverman syndrome (pectus carinatum type 2 deformity) and mitral valve disease. //Chest 2005. - V. 102. - P. 780-782. 5 Anatomical,.histologic and genetic characteristics of congenital chest wall deformities/A.A Fokin., N.M.Steuerwald,W,a.Ahrens, K.E.Allen//Thorac.Cardiovasc.Surg.2009.Vol.21,No1.P.44-57.
Информация
ОРГАНИЗАЦИОННЫЕ АСПЕКТЫ ПРОТОКОЛА
Список разработчиков протокола:
- Тажин Кайрат Болатович - кандидат медицинских наук, заведующий отделением ортопедии №2 РГП на ПХВ «Научно-исследовательский институт травматологии и ортопедии».
- Султангереев Аслан Бахытович - кандидат медицинских наук, руководитель центра политравмы, эндопротезирования и комбустиологии ГКП на ПХВ «Городская больница №1» акимата г.Астаны
- Ахметжанова Гульмира Окимбековна - клинический фармаколог РГП на ПХВ «Научно-исследовательский институт травматологии и ортопедии».
Рецензенты:
Абильмажинов Мухтар Толегенович - доктор медицинских наук, профессор, заведующий кафедрой травматология и ортопедия АО «Медицинский университет Астана»Указание условий пересмотра протокола: пересмотр протокола через 5 года и/или при появлении новых методов диагностики/ лечения с более высоким уровнем доказательности.
Нагноение раны после торакопластики. Искривление пациента после торакопластики
Внедрение в повседневную практику крупных специализированных медицинских центров таких методов исследования, как мультиспиральная компьютерная томография (МСКТ) с возможностью трехмерного моделирования, контрастным усилением, введение МСКТ в стандарт обследования больных в стационаре, и новые подходы в хирургическом лечении позволили нам вернуться к рассмотрению этого вопроса на принципиально новом уровне.
Материал и методы
![]()
С 2005 по 2010 г. в Институте хирургии им. А.В. Вишневского лечены 120 больных с хроническим послеоперационным остеомиелитом грудины и ребер. Наиболее часто болезнь развивалась после открытых операций на сердце с применением трансстернального срединного доступа. У 5 (18,5%) больных причиной остеомиелита стало инородное тело (corpus alienum) - сердечный электрод, оставленный в толще тканей передней грудной стенки после открытого хирургического вмешательства на сердце. Сроки с момента первой операции до госпитализации в нашу клинику составили от 4 до 16 мес. Основными факторами риска перед операцией были: хроническая обструктивная болезнь легких - у 4 больных, курение более 20 лет по пачке в день, у 3 отмечено алиментарное ожирение II степени, у 3 больных - сахарный диабет типа II, потребовавший коррекции (см. таблицу).
Диагностика
Основными жалобами при поступлении были длительно незаживающие наружные свищи с интенсивно отделяемым гноем. У одного больного наружные свищи отсутствовали, причиной обращения в клинику послужила нестабильность рассеченной грудины. Чувство дискомфорта и боли за грудиной в месте оперативного вмешательства отмечены у всех пациентов.
![]()
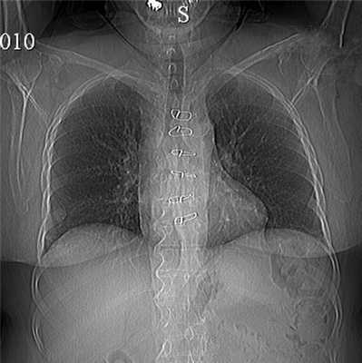
На догоспитальном этапе по месту жительства больным выполнена рентгенография грудной клетки, которая малоинформативна в диагностике остеомиелита грудины, особенно при подозрении на инородное тело, из-за наложения на рисунок тени средостения в прямой проекции, отека, инфильтрации и послеоперационных рубцовых изменений в боковой проекции (рис. 1). Рисунок 1. Рентгенограмма грудной клетки больной Г., 57 лет. Определяются витки стальной проволоки после остео синтеза, визуализировать электрод в нижней трети гру дины невозможно.
Основными методами диагностики гнойно-деструктивного процесса грудной клетки являются МСКТ и радиоизотопное исследование мечеными изотопными препаратами (остеосцинтиграфия грудной клетки). В настоящее время МСКТ органов грудной клетки дополняется контрастным усилением и трехмерной реконструкцией (3D) грудной клетки.
Исследования проводили на мультиспиральных компьютерных томографах Brillianсe-64 и Brilliance-iCT256 («Phillips»). Постпроцессорная обработка данных необходима для получения дополнительной информации или, наоборот, удаления ненужной. Чаще всего для постпроцессинговой обработки требуется объем данных с субмиллиметровыми вокселями. Это позволяет значительно улучшить диагностическую точность исследований, что очень важно при оценке компьютерных томограмм. Использование компьютерных методов по обработке и визуализации медицинских изображений направлено на объективизацию исследований и оказывает помощь врачу-клиницисту в понимании исследуемых структур.
![]()
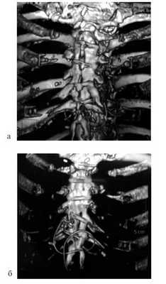
Следующий этап обработки - это сегментация 3D-серошкального изображения, которая заключается в выделении определенных областей по однородности каких-либо их характеристик и построении поверхностей этих областей. Такое сегментированное 3D-изображение по сути является анатомической моделью исследуемой области. Следовательно, абстракция изображения достигается за счет получения численных значений характеристик визуализируемых тканей - построения объемных анатомических моделей исследуемых органов и структур тела человека (рис. 2). Рисунок 2. Мультиспиральные компьютерные томограммы с 3D-реконструкцией (больная Г., 57 лет). а - вид грудной клетки спереди. В нижней трети грудины - витки тонкой проволоки (электрода), «ныряющего» загрудинно; б - вид передней грудной стенки сзади. Загрудинное расположение проволочного электрода.
Диагноз инородного тела ретростернального пространства до операции был установлен во всех наблюдениях на основании данных компьютерной диагностики. Во всех наблюдениях инородное тело было представлено тонким сердечным электродом (металлический «одножильный» стержень с полимерной изоляцией), который фиксируется по окончании операции к сердцу и выводится на переднюю грудную (брюшную) стенку через отдельные проколы. Электрод рентгеноконтрастен, однако из-за особенно тонкого сечения малозаметен или незаметен при рентгенографии, кроме того, о возможном наличии данного материала мало информированы специалисты лучевой диагностики, не сталкивающиеся с данной проблемой. Микробиологическое исследование отделяемого из раны с определением чувствительности к антибиотикам выполняли всем больным в первые сутки после поступления в стационар. Особое значение в лабораторной диагностике крови отводили маркерам воспаления («белая» кровь, лейкоцитарный сдвиг, С-реактивный белок, количественный и качественный показатели прокальцитонина).
Хирургическое лечение
Первым этапом выполняли первичную хирургическую обработку раны с резекцией пораженных деструктивным процессом мягких тканей и костных структур передней грудной стенки (грудины, рукоятки грудины, реберных хрящей, ребер, ключиц). Особенности хирургического вмешательства заключаются в том, что тонкий электрод может иметь сложный ход, нередко проходит в толще грудной кости, вблизи крупных сосудов и сердца. После резекции всем больным выполнена одномоментная торакопластика дефекта грудной стенки. В зависимости от объема раны в нее устанавливали 2-4 дренажа. В последующем в течение 10-14 дней проводили санацию раны с применением антисептических растворов (физиологический раствор, лавасепт 0,01%, раствор диоксидина 1%), антибактериальной терапии с учетом чувствительности микрофлоры к антибактериальным средствам (ванкомицин 2 г в сутки - 10 сут, амоксиклав 2 г в сутки - 10 сут, тиенам 2 г в сутки - 10 сут, метрогил 600 мг в сутки - 10 сут, микомакс 400 мг в сутки - 10 сут, флуконазол 400 мг в сутки - 10 сут).
При двукратном негативном результате микробиологического исследования отделяемого дренажи удаляли на 10-21-е сутки.
Наиболее ярко хирургическое лечение хронического послеоперационного остеомиелита грудины, вызванного оставленным сердечным электродом, демонстрирует следующее клиническое наблюдение.
Больная Г., 57 лет, поступила с жалобами на наличие наружных свищей на передней грудной стенке с гнойным отделяемым. Из анамнеза известно, что 8 мес назад она перенесла операцию прямой реваскуляризации миокарда (МКШ, АКШ). Длительность заболевания ишемической болезнью сердца 6 лет (с 2004 г.). Через 3 мес после операции на передней грудной стенке появились наружные свищи с гнойным отделяемым. Консервативное лечение не дало эффекта. Госпитализирована в Институт хирургии им. А.В. Вишневского.
При осмотре: общее состояние удовлетворительное. Кожные покровы чистые, бледные. По внутренним органам в пределах возрастной нормы. Из сопутствующих заболеваний компенсированный сахарный диабет типа II, гипертоническая болезнь II стадии, в клинических анализах С-реактивный белок 25 (норма до 5), РСТ
![]()
Местно: на передней грудной стенке по срединной линии по старому послеоперационному рубцу в области нижней трети тела грудины и мечевидного отростка, в эпигастральной области определяются 4 наружных свища диаметром от 3 до 5 мм, в центре сливающиеся друг с другом. Перифокально: кожные покровы умеренно гиперемированы, при пальпации отмечается умеренная болезненность. Отделяемое из раны гнойного характера (рис. 3). Рисунок 3. Больная Г., 57 лет. Наружные свищи по линии послеоперационного рубца с гнойным отделяемым.
Обзорная рентгенограмма грудной клетки в двух проекциях: легочные поля изменены по типу диффузной эмфиземы, структура корней легкого без изменения. В проекции грудины определяются петли стальной проволоки после остеосинтеза, визуализировать электрод в нижней трети грудины - невозможно (см. рис. 1).
При МСКТ грудной клетки с контрастным усилением и мультипланарной реконструкции отмечено поражение нижней трети тела грудины, мечевидного отростка с вовлечением в воспалительный процесс тонкой проволоки - электрода, имеющего сложный ход, уходящего за грудину.
Ультразвуковое исследование выявило инфильтрированные мягкие ткани передней грудной стенки, свищевые ходы заканчивались слепо в проекции грудины.
В предоперационном периоде произведена коррекция гликемии, показатели сахара крови стабилизированы в пределах 5,5-6,0 ммоль/л.
![]()
После прокрашивания свищей раствором метиленового синего выполнен окаймляющий разрез свищевого отверстия с иссечением старого послеоперационного рубца по средней линии грудины от яремной вырезки до мечевидного отростка. Отмечена обильная фиксация раствора красителя в нижней трети грудины - проекции мечевидного отростка. Поочередно выделены и удалены 5 стальных лигатур, которые в проекции III, V ребер поддерживали воспаление. В воспалительном инфильтрате выявлен предгрудинный фрагмент сердечного электрода, «уходящего» в толщу нижней трети тела грудины (рис. 4, а). Рисунок 4. Этапы операции. а - мобилизованы мягкие ткани передней грудной стенки. Выявлен фрагмент сердечного электрода, «уходящего» в толщу нижней трети тела грудины. Нижняя треть грудины, мечевидный отросток поражены деструктивным процессом; б - поперечно рассечена грудина на уровне четвертого межреберья, пересечены хрящи V-VI-VII ребер с обеих сторон, начата мобилизация грудины; в - большая грудная мышца мобилизована с сохранением сосудистой ножки; г - лоскут перемещен в область дефекта на грудной стенке, фиксирован отдельными узловыми швами. В остальных отделах грудина консолидирована, без признаков воспаления, что соответствует картине лучевой диагностики. Решено выполнить резекцию измененных тканей единым блоком с резекцией нижней трети грудины, мечевидного отростка, хрящей V-VI-VII ребер с обеих сторон. На уровне четвертого межреберья поперечно рассечена грудина, пересечены хрящи V-VI-VII ребер с обеих сторон, начата мобилизация фрагмента грудины единым блоком от нижнего края (рис. 4, б). В момент мобилизации нижней трети грудины из загрудинного пространства развилось массивное венозное кровотечение из правого предсердия, вовлеченного в рубцовый деструктивный процесс. Остановка кровотечения прижатием. Резекция завершена. С целью устранения предполагаемого дефекта предсердия на ретростернальную фасцию поочередно наложены 4 шва от периферии к центру дефекта, отмечено снижение интенсивности поступления крови. Из подкожной жировой клетчатки выкроен лоскут размером 2,5×3,5 см, плотно прижат к дефекту, ранее наложенные швы затянуты - кровотечение остановлено. Поверх ушитого дефекта уложена гемостатическая губка (рис. 4, в). С целью дополнительного укрепления гемостатического шва и устранения послеоперационного дефекта передней грудной стенки решено выполнить торакомиопластику с использованием большой грудной мышцы на сосудистой ножке. Отпрепарована кверху и латерально левая молочная железа, БГМ широко мобилизована с выделением сосудистой ножки. Лоскут перемещен в область дефекта на грудной стенке, фиксирован отдельными узловыми швами (рис. 4, г). Левая молочная железа фиксирована к передней грудной стенке отдельными узловыми швами. Ложе большой грудной мышцы и область перемещенного мышечного лоскута дренированы отдельными силиконовыми дренажами, выведенными через отдельные разрезы. Отдельные швы на подкожную жировую клетчатку, швы на кожу. Асептическая наклейка. Кровопотеря составила 1200 мл.
Макропрепарат: фрагмент тела грудины с мечевидным отростком, хрящами V-VI-VII ребер с обеих сторон, пораженными деструктивным процессом. В толще ткани кости тонкий электрод с полимерной изоляцией.
![]()
Послеоперационный период протекал соответственно тяжести перенесенного вмешательства. Перевязки с ревизией раны под внутривенным наркозом. В реанимационном отделении больная провела 5 койко-дней. В полном объеме проводили антибактериальную, симптоматическую, заместительную, гемотрансфузионную терапию. Дренажи удалены на 5-е и 6-е сутки. На 7-е сутки медиальный угол кожного лоскута частично некротизирован, в связи с чем рана в данном участке разведена, что потребовало в течение 32 сут местного лечения с применением антисептических мазей, растворов. Общее состояние больной сохранялось удовлетворительным. На фоне проводимого лечения достигнута вторая фаза раневого процесса, в ране появились активные грануляции. На 34-е сутки выполнен заключительный этап - пластика гранулирующей раны передней грудной стенки местными тканями. В дальнейшем послеоперационный период протекал без осложнений. Пациентка выписана в удовлетворительном состоянии на 15-е сутки после операции (рис. 5). Рисунок 5. Вид больной через 4 мес после операции. Продолжительность госпитализации составила 62 койко-дня.
Результаты
Все больные выписаны в удовлетворительном состоянии. Продолжительность госпитализации составила в среднем 34 койко-дня. Период послеоперационного наблюдения за 4 пациентами составил от 4 до 12 мес. Рецидив воспаления отмечен у одного пациента через 1 мес после выписки ввиду невозможности радикального удаления электрода во время первой операции вследствие его глубокого загрудинного распространения вблизи сердца и выраженного рубцово-воспалительного процесса.
Проблема оставленных электродов в сердечной хирургии возникает только на фоне глубокой стернальной инфекции. В этой ситуации электрод поддерживает воспалительный процесс. В процессе лечения врачи могут забыть об электродах или не придать значения его оставлению в толще тканей передней грудной стенки, поскольку у многих сотен больных наличие оставленных электродов никак себя не проявляет. В условиях хронической инфекции удаление всех инородных тел является одним из обязательных условий хирургического лечения.
Для обеспечения более наглядного представления сегментированных объектов (органов, структур, сосудов и т.д.) и особенно серошкального 3D-массива на экране рабочей станции используется широкий комплекс средств компьютерной графики. Анатомическая модель позволяет представлять форму объектов интереса, их локализацию и пространственные взаимоотношения, выделенные нормальные и аномальные области. Кроме получения наглядного представления, сегментация обеспечивает точное измерение объемов сложных по форме объектов. Данное представление уже понятно не только радиологам, но и врачам других специальностей.
Таким образом, в литературе по-прежнему неоправданно мало освещается проблема инородных тел в хирургии.
Диагностика послеоперационных инородных тел в средостении сложна. Наибольшую диагностическую ценность имеет МСКТ грудной клетки, которую следует выполнять всем больным с гнойными осложнениями после вмешательств на органах средостения.
Использование режима 3D-визуализации позволяет лучше по сравнению с 2D-визуализацией представлять сложные по форме и структуре образования, а также их пространственные взаимоотношения с расположенными рядом с ними объектами, особенно при использовании методов сегментации с раскрашиванием объектов псевдоцветами.
3D-визуализация позволяет производить более точные пространственные геометрические измерения в исследуемом объеме и вычисления объемов сегментированных объектов.
Полученные нами результаты еще раз свидетельствуют о необходимости пересмотра изделий медицинского назначения, используемых во время операции и при перевязках во всех областях хирургии. Важно прийти к единому решению вопроса о маркировке рентгеноконтрастным веществом операционного материала.
Институт хирургии им. А.В. Вишневского Минздравсоцразвития РФ, Москва
Научный центр сердечно-сосудистой хирургии им. А.Н. Бакулева
Институт хирургии им. А.В. Вишневского, Москва
ФГБУ «Институт хирургии им. А.В. Вишневского» Минздрава РФ, Москва, Россия
ФГБУ «НМИЦ хирургии им. А.В. Вишневского» Минздрава России, Москва, Россия
ФГБУ «Институт хирургии им. А.В. Вишневского» Минздрава России, Москва, Россия
Комбинированная торакопластика сетчатым титановым эндопротезом у пациентов с тотальной нестабильностью грудины в исходе хронического послеоперационного стерномедиастинита
Журнал: Хирургия. Журнал им. Н.И. Пирогова. 2019;(11): 13‑19
Ежегодно в России выполняют около 60 тысяч операций на открытом сердце [1]. Основной хирургический доступ в кардиохирургии — срединная стернотомия, был предложен Милтоном в 1897 г. [2]. Распространенность заболеваний сердца и сосудов в популяции, рост общей продолжительности жизни, совершенствование медицинских технологий сегодня приводят к появлению малоинвазивных методик, позволяющих у ряда пациентов отказаться от открытой операции. Несмотря на это абсолютное число открытых операций через срединную стернотомию в развитых странах имеет устойчивую тенденцию к росту. Частота гнойно-септических осложнений после стернотомии, по данным отдельных авторов [3, 4], достигает 4—8%, и сохраняет устойчиво высокий уровень даже в узкоспециализированных центрах, на уровне не менее 0,4—3%. Одно из наиболее значимых септических осложнений в кардиоторакальной хирургии — стерномедиастинит, развивающийся вследствие частичной или полной несостоятельности шва грудины. Летальность при остром стерномедиастините достигает 14—50% [5]. При достижении контроля над раневым процессом актуальность приобретает проблема реконструкции передней грудной стенки — замещения обширных дефектов мягких тканей и восстановления каркасной функции [6, 7].
Сегодня предложено большое количество методов замещения дефектов грудной стенки, однако не выработан единый подход к выбору реконструктивной операции у пациентов с хроническим послеоперационным остеомиелитом грудины. В настоящем исследовании представлен анализ лечения 100 пациентов с хроническим послеоперационным стерномедиастинитом и тотальной нестабильностью грудины, которым на завершающем этапе лечения выполнена комбинированная торакопластика с имплантацией сетчатого титанового эндопротеза.
Материал и методы
В период с января 2016 г. по декабрь 2018 г. в отделении торакальной хирургии НМИЦ хирургии им. А.В. Вишневского проведено лечение 100 пациентов с нестабильностью грудины в исходе хронического послеоперационного стерномедиастинита. Возраст пациентов составил от 42 до 78 лет с медианой 62 (58; 68) года. Соотношение мужчин и женщин составило 82:18. Послеоперационный остеомиелит грудины возник в результате операций на сердце через срединную стернотомию после аорто- и маммарокоронарного шунтирования у 79 (79%) пациентов, протезирования клапанов сердца у 9 (9%) пациентов, протезирования аорты у 2 (2%), различных вариантов сочетанных операций у 10 (10%).
![]()
Сопутствующие заболевания различной степени тяжести были выявлены у всех пациентов, вошедших в исследование. Два сопутствующих заболевания и более выявлены у 54 пациентов из 100. Распределение наиболее частых сопутствующих заболеваний среди пациентов по органам и системам представлено на рис. 1. Рис. 1. Частота встречаемости основных сопутствующих заболеваний в анализируемой группе пациентов. Сахарный диабет 2-го типа диагностирован у 34 пациентов, заболевания сердца и сосудов (ИБС, гипертоническая болезнь, приобретенные пороки клапанов сердца и др.) у 98, ХОБЛ — у 18 пациентов, различные заболевания верхних отделов ЖКТ (хронический гастрит, язвенная болезнь и др.) — у 20 пациентов из 10. Индекс массы тела выше 25 был у 74 пациентов из 100.
Степень анестезиологического риска по шкале ASA (American Society of Anesthesiology) оценена как I, II, III и IV у 1,13, 82 и 4 пациентов из 100 соответственно.
Все пациенты, вошедшие в исследование, имели нестабильность грудины в исходе хронического послеоперационного стерномедиастинита. Изолированная нестабильность грудины без сопутствующего активного раневого процесса была у 35 пациентов из 100. У 65 пациентов на момент выполнения завершающей торакопластики была свищевая форма остеомиелита — 13 пациентов или обширная рана, вовлекающая все слои передней грудной стенки (4-й степени по классификации Oakley—Wright [8]) — 52 пациента. Поперечные переломы грудины в сочетании с нестабильностью были у 47 пациентов из 100.
Все больные обследованы по единому протоколу, который включал: МСКТ органов грудной клетки до начала лечения, хирургическую обработку раны передней грудной стенки с резекцией грудины, местное лечение раны, этапный контроль бактериальной контаминации раны, единый протокол системной антибактериальной терапии в периоперационном периоде, компенсацию сопутствующих заболеваний, выполнение МСКТ грудной клетки с контрастированием внутренних грудных артерий и УЗИ брюшной полости перед завершающим этапом хирургического лечения. Осложнения в послеоперационном периоде оценивали по шкале Clavien—Dindo [9].
Основная задача первого и второго этапов лечения пациентов со стерномедиастинитом — удаление всех некротизированных тканей передней грудной стенки, деконтаминация раны [10]. Этапное хирургическое лечение, включавшее выполнение одной или нескольких хирургических обработок до завершающей торакопластики проведено 62 пациентам из 100. В связи со сложностью объективной оценки истинно жизнеспособных тканей на фоне острого воспаления с целью максимального сохранения каркасности и резерва мягких тканей передней грудной стенки во время первичной хирургической обработки резекцию грудины выполняли максимально экономно. Одна, две и три хирургические обработки до заключительной торакопластики были проведены 30, 17 и 15 пациентам соответственно.
Вторым этапом лечения проводили местное лечение раны. Завершающую операцию выполняли при двукратных отрицательных посевах из раны или бактериальной нагрузке не более 10 3 КОЕ (колониеобразующих единиц).
При тотальной нестабильности грудины и технической возможности выполнения реостеосинтеза третьим этапом выполняли комбинированную торакопластику с имплантацией сетчатого имплантата из титана.
Результаты
Результаты лечения прослежены в сроки от 3 нед до 35 мес после завершающей торакопластики. Все пациенты оперированы по единой технологии. Продолжительность операции составила от 65 до 280 мин с медианой 150 (120; 187) мин. Учитывая особенности этиологии заболевания, длительное течение хронического инфекционного процесса, высокий риск генерализации инфекции выбор антибактериальной терапии и/или профилактики бактериальных осложнений проводили на основании предоперационного бактериологического исследования по индивидуальной чувствительности. Положительные посевы отделяемого из раны на момент выполнения завершающей торакопластики были у 32 (32%) пациентов. Антибактериальная профилактика в течение 24—72 ч проведена 12 пациентам, антибактериальная терапия — 88. Общая продолжительность приема антибактериальных препаратов составила от 1 до 15 суток с медианой 6 (4; 7) дней.
Продолжительность стационарного лечения составила от 6 до 91 сут с медианой 17 (13; 21) дней. Рецидива основного заболевания за время наблюдения не зафиксировано. Во всех случаях достигнута стабилизация передней грудной стенки.
Инфекционные осложнения после срединной стернотомии приводят к значительному увеличению госпитальной летальности, длительности и стоимости стационарного лечения [12]. Разнообразие факторов риска, таких как сахарный диабет, ожирение, ХОБЛ, остеопороз, асимметричная стернотомия, нарушение кровоснабжения грудины после реваскуляризации миокарда, не позволяют радикально снизить частоту развития послеоперационного стерномедиастинита даже в узкоспециализированных центрах [13—15].
Лечение пациентов с нестабильностью грудины в исходе хронического остеомиелита лежит в поле интересов кардиохирургов, торакальных, общих и пластических хирургов.
В настоящем исследовании проанализированы результаты комбинированной торакопластики с применением сетчатого имплантата из титана на завершающем этапе хирургического лечения у 100 пациентов с нестабильностью грудины. Реконструкция грудины у пациентов с хроническим стерномедиастинитом остается нерешенной и обсуждаемой проблемой. Многообразие предложенных методов реконструкции передней грудной стенки позволяет получить хороший функциональный результат при сохраненной костной ткани, симметричных половинках грудины, адекватном кровоснабжении тканей и хорошей адаптации краев грудины. Для уменьшения натяжения и создания дополнительных точек консолидации в зоне шва грудины при повторной торакопластике, а также с целью профилактики флотации средостения в послеоперационном периоде нами предложено выполнение комбинированной торакопластики с применением сетчатого импланта из титана.
Сетчатые имплантаты из титана применяют для пластики костных дефектов в нейрохирургии, офтальмологии и травматологии, в герниологии для закрытия дефектов брюшной стенки [16—20]. Эндопротез «титановый шелк» предназначен для пластики мягких тканей и изготовлен из титановой нити высокой степени очистки. Эндопротез обладает высокой эластичностью, за счет формы плетения нитей. Одна из особенностей титанового импланта состоит в его способности прорастать соединительной тканью, что приводит к формированию плотного рубца в отсроченном периоде и создает дополнительную каркасность грудной стенки. Биологическая совместимость и инертность сетчатого титанового эндопротеза показана в многочисленных экспериментальных и клинических исследованиях [21, 22].
Одна из особенностей лечения пациентов с хроническим послеоперационным стерномедиастинитом — тщательная предоперационная подготовка с декантаминацией раны к отсроченной торакопластике. В нашем исследовании у 62 пациентов из 100 на момент первичного обращения были признаки активного инфекционного процесса, что потребовало проведения дополнительных этапных санационных операций. В результате комбинированной предоперационной подготовки, включавшей хирургическое и местное лечение, у 68 (95% ДИ 58,3—76,3) пациентов на момент завершающей торакопластики удалость получить двукратные отрицательные посевы отделяемого из раны. Особняком стоит проблема профилактики антибактериальных осложнений. Только у 3 пациентов из 100 антибактериальная профилактика в течение 24 ч (однократное введение антибактериального препарата за 1 ч до начала операции) оказалась достаточной. Остальные пациенты потребовали пролонгированной профилактики в течение 72 ч (n=7), либо проведение антибактериальной терапии в течение 5—7 сут после операции. Одному пациенту из 100 в дальнейшем, после проведения курса профилактики длительностью 72 ч, потребовалась антибиотикотерапия в течение 7 дней в связи с нагноением послеоперационной раны в послеоперационном периоде. Всем пациентам антибактериальная терапия проводилась по результатам посевов после консультации клинического фармаколога. Медиана продолжительности антибактериальной терапии в нашем исследовании составила 6 (4; 7) сут.
Непосредственные результаты исследования включали оценку местных и общих осложнений, общую удовлетворенность пациента и рецидив нестабильности грудины. Все пациенты, вошедшие в исследование, отмечали уменьшение выраженности болевого синдрома в сравнении с дооперационным периодом, а также исчезновение флотации (подвижность) передней грудной стенки. Общая частота послеоперационных осложнений, включая отдаленные осложнения и повторные госпитализации, составила 15% (95% ДИ 9,3—23,3). Рецидив нестабильности грудины был отмечен у 1 пациента, течение послеоперационного периода у которого осложнилось нагноением послеоперационной раны и потребовало удаления титанового эндопротеза при повторной операции.
Таким образом, комбинированная торакопластика с применением сетчатого титанового эндопротеза безопасна и эффективна при стабилизации передней грудной стенки у пациентов с хроническим стерномедиастинитом, после повторных резекций, наличии поперечных переломов и дефиците костной ткани. Необходима дальнейшая оценка эффективности стабилизации передней грудной стенки и оценка качества жизни пациентов в отсроченном периоде после предложенного варианта торакопластики.
Авторы заявляют об отсутствии конфликта интересов.
The authors declare no conflict of interest.
Сведения об авторах
После выписки
Длительность послеоперационной реабилитации в среднем составляет от 6 до 12 недель и зависит от типа хирургического вмешательства. Ориентировочные сроки восстановления Вам будут разъяснены лечащим врачом. По возвращению домой Вы можете испытывать дискомфорт и общую слабость — это нормальный процесс реабилитации.
![]()
Активность
После операции мы рекомендуем Вам быть активным по самочувствию, насколько это возможно. Старайтесь гулять каждый день. Подойдут просто прогулки по улице, ходьба на тренажерной дорожке. Если погода не очень подходит для пеших прогулок, можно провести время в торговом центре. В качестве тренировки подойдет также подъем по лестнице. Не поднимайте вес больше 3-5 кг в течение 4-6 недель после операции. Прежде чем вернуться на работу обсудите это с оперирующим хирургом во время первого послеоперационного визита. Мы не рекомендуем Вам водить машину до момента устранения боли.
Умеренные болевые ощущения в грудной клетке — обычное явление после торакальной операции. Интенсивность и длительность боли индивидуальна у каждого пациента, но как правило проходит в течение первого месяца. Помимо боли Вы можете ощущать онемение в области шва и ниже, покалывание и/или повышенную чувствительность кожи в этой зоне. Такие ощущения являются обычными и также пройдут в послеоперационном периоде. Если болевые или другие ощущения начнут усиливаться в течение нескольких дней подряд — это повод связаться с Вашим врачом.
Лекарства
В основном Вам назначат обезболивающие лекарства. Мы предпочитаем нестероидные противовоспалительные препараты: кетанов, ибупрофен (нурофен-экспресс), найз (нимисулид), ксефокам (лорнаксикам), диклофенак. Подойдут и другие обезболивающие. Следует помнить, что эти лекарства раздражают желудок, поэтому должны приниматься после еды. Еда не должна быть слишком острой или раздражающей. При приеме обезболивающих более 5-7 дней следует начать принимать лекарства, защищающие желудок (омепразол 20-40 мг на ночь).
Необходимо следить за диетой, пить больше жидкостей, есть больше фруктов и других продуктов, содержащих клетчатку. Кишечник должен опорожняться не реже чем раз в 2-3 дня. При склонности к запорам можно принимать магнезию или дюфалак.
Уход за послеоперационной раной
Область хирургического разреза должна сохраняться в сухости и чистоте. Не следует использовать кремы или мази. Следует принимать душ 1 раз в день. Можно мыться с мылом или гелем для душа и не тереть мочалкой область шва. После душа послеоперационная рана должна быть аккуратно просушена и обработана раствором бриллиантового зеленого или марганцовки. Никаких повязок накладывать не нужно. После самостоятельного отпадения всех корочек с раны и появления розового гладкого рубца обработку можно прекратить. В течение первых 3-4 недель воздержитесь от приема ванны.
Килевидная деформация грудной клетки (КДГК) - врожденный порок развития, который характеризуется выпячиванием вперед грудины и сочленяющихся с ней ребер. В отличие от воронкообразной деформации КДГК встречается значительно реже и составляет от 5 до 22% всех деформаций грудной клетки [1, 2, 5, 10].
Консервативные способы лечения КДГК подразумевают использование различных наружных компрессионных устройств. Однако применение таких устройств требует длительного их ношения (до 2 лет), а рецидив заболевания после лечения возникает более чем в 50% наблюдений. При использовании этой технологии также бывают осложнения в виде некроза кожи грудной стенки вследствие ее компрессии такими устройствами.
В настоящее время наибольшее распространение при лечении КДГК получили хирургические методы с использованием внутренних или наружных фиксаторов или без фиксирующих конструкций [1, 3, 4-10, 11-17, 19]. Если первые два способа подразумевают выполнение повторного вмешательства для удаления фиксатора, то третий способ позволяет получить хороший косметический результат после одномоментной операции.
В настоящее время среди хирургов нет единодушия в оценке эффективности той или иной техники оперативного лечения КДГК, поэтому сохраняется актуальность поиска новых методов торакопластики, позволяющих получить хорошие косметические и функциональные результаты.
![]()
В ДГКБ №13 им. Н.Ф. Филатова с 1994 по 2009 г. оперирован 91 ребенок с КДГК. Мальчиков было 76 (83,5%), девочек - 15 (16,5%). Все дети оперированы в возрасте 9-15 лет, когда деформация грудной клетки имела выраженный характер (табл. 1).
У всех пациентов КДГК имелась с раннего возраста. Наибольший темп прогрессирования деформации приходился на пубертатный период. К этому времени имел место грубый косметический дефект, что служит основным показанием к оперативному лечению. Мы отмечали грудинохрящевой (корпорокостальный) тип деформации грудной клетки, который характеризовался выступанием нижних реберных хрящей и тела грудины, а также рукояточно-хрящевой (манубриокостальный) тип деформации, характеризовавшийся дислокацией вперед грудины и II-III реберных хрящей, нижние сегменты грудины были смещены кзади.
В каждой группе по форме деформации выделены симметричные и асимметричные варианты. В наших наблюдениях грудинохрящевой тип и симметричные формы КДГК встречались чаще других.
Наследственные заболевания отмечены у 15 (16,5%) детей: синдром Марфана - у 2 (2,2%), марфаноподобный синдром - у 5 (5,5%), синдром Элерса-Данло - у 8 (8,8%). Сопутствующие заболевания выявлены у 35 (40%) детей: бронхиальная астма - у 2 (2,2%), детский церебральный паралич - у 1 (1,1%), уретероцеле - у 1 (1,1%), полителия - у 1 (1,1%), шизофреноподобный синдром - у 1 (1,1%), сколиотическая осанка - у 29 (31,9%). У 33 (36,3%) детей обнаружены изменения со стороны сердечно-сосудистой системы: нарушение сердечного ритма и внутрижелудочковой проводимости (неполная блокада правой ножки пучка Гиса, синдром ранней реполяризации желудочков), пролапс митрального или трикуспидального клапана, ложная хорда желудочка. Нарушения гемодинамики при этом не было ни в одном наблюдении. При выявлении сопутствующих заболеваний дети были консультированы соответствующими специалистами.
Методы хирургического лечения. В нашей клинике при хирургическом лечении КДГК используется торакопластика, в основе которой лежит операция Равича. За указанный период (1994-2009 гг.) торакопластика претерпела существенные изменения. В зависимости от выполненных оперативных вмешательств больных разделили на 2 группы: в 1-ю включены 32 (35,2%) ребенка, оперированных в период 1994-2001 гг., во 2-ю - 59 (64,8%) детей, оперированных в период 2002-2009 гг.
Техника операции в 1-й группе. Для стабилизации грудинореберного комплекса (ГРК) использовали титановую пластину. Для этого на грудной стенке выполняли вертикальный разрез кожи (рис. 1, а) Рисунок 1. Варианты разреза кожи при торакопластике. а - вертикальный; б - субмаммарный; в - «Мерседес»; г - поперечный, длиной не более 8 см. от рукоятки грудины до мечевидного отростка, послойно мобилизовывали кожу с подкожной клетчаткой и грудные мышцы, с двух сторон субперихондриально резецировали реберные хрящи от II до VII, VIII, в месте наибольшей деформации выполняли клиновидную стернотомию с сохранением заднего листка и дополнительно ретростернально устанавливали титановую пластину (рис. 2). Рисунок 2. Рентгенограммы больного. а - до операции; б - после торакопластики с фиксацией ГРК пластиной (техника, использованная в 1994-2001 гг.). Таким способом оперированы 8 (8,8%) детей. Всем им через 6 мес потребовалось повторное оперативное вмешательство для удаления пластины.
С 1996 г. метод торакопластики был изменен, основными ее этапами послужили: использование волнообразного субмаммарного разреза кожи (рис. 1, б) длиной до 12 см или разреза типа «Мерседес» (рис. 1, в); послойное обнажение ГРК, билатеральная субперихондриальная резекция реберных хрящей со II по VIII. При этом не пересекали реберные дуги и не проводили клиновидную стернотомию грудины, как было предложено автором, а отсекали мечевидный отросток и подшивали его на 3-5 см выше, на переднюю поверхность грудины. На оставшуюся в местах удаления хрящей надхрящницу накладывали кетгутовые швы, сморщивая ее в «гармошку». Всего по такой технологии оперированы 24 (26,7%) ребенка.
Техника операции во 2-й группе. С 2002 г. по настоящее время разработан оптимальный метод торакопластики, основными этапами которой являются:
- выполнение на грудной стенке поперечного разреза кожи длиной не более 8 см (рис. 1, г);
![]()
- мобилизация кожи, подкожной клетчатки и грудных мышц единым лоскутом (рис. 3, а); Рисунок 3. Интраоперационные фотографии при торакопластике. а - единый кожно-мышечный лоскут; б - резекция грудины; в - сшивание грудины конец в конец.
- поднахрящничная резекция деформированных реберных хрящей (II-VIII ребра) с двух сторон;
![]()
- резекция тела грудины до 2-2,5 см в месте наибольшей деформации и сшивание ее конец в конец отдельными узловыми швами (рис. 3, б, в и 4); Рисунок 4. Схема торакопластики при КДГК (2002-2009 гг.).
- послойное ушивание раны с наложением косметического кожного шва.
По данной технологии оперированы 59 (64,8%) детей. Операцию выполняли под комбинированной общей анестезией в сочетании с эпидуральной анестезией.
Сравнительная оценка методов хирургического лечения КДГК представлена в табл. 2. Отдаленные результаты хирургического лечения в сроки от 6 мес до 1 года оценивали у 11 (12%) детей, от 1,5 до 3 лет - у 30 (33%) детей, от 3 до 5 лет - у 50 (55%) детей. Для оценки полученного косметического результата торакопластики использовали метод анкетирования (табл. 3): отличный результат - полная коррекция деформации, отсутствие остаточных явлений деформации, отсутствие асимметрии грудной клетки (грудная клетка имеет форму, как у здорового ребенка), нормотрофический кожный рубец; хороший результат - полная коррекция килевидной деформации, отсутствие остаточных явлений деформации, отсутствие асимметрии грудной клетки, гипертрофический кожный рубец; удовлетворительный результат - умеренные явления остаточной деформации, умеренная асимметрия грудной клетки, умеренная девиация реберных дуг кпереди или келлоидный кожный рубец; неудовлетворительный результат - рецидив КДГК.
Результаты и обсуждение
![]()
У всех 32 детей в 1-й группе (1994-2001 гг.) после торакопластики полностью ликвидирован косметический дефект. Однако протяженность кожного разреза в послеоперационном периоде не принесла эстетического удовлетворения больным (рис. 5). Рисунок 5. Внешний вид ребенка. а - КДГК до операции; б и в - после торакопластики (1994-2001 гг.).
У 24 (75%) детей этой группы в результате перемещения мечевидного отростка сохранялся выступ в послеоперационном периоде в течение от 6 до 9 мес, что вызывало негативную реакцию, в 8 (25%) наблюдениях потребовалось повторное оперативное вмешательство - удаление фиксирующей металлической пластины.
У 3 (2,2%) детей развились ранние послеоперационные осложнения. У 2 (2,2%) больных на 2-е сутки определялась подкожная гематома мягких тканей. С помощью пункции эвакуировано около 50 мл геморрагической жидкости. Наложена давящая повязка. Рана зажила первичным натяжением. Больные выписаны на 11-е и 14-е сутки. У 1 (1,1%) ребенка на 6-е сутки отмечено расхождение швов послеоперационной раны. Потребовалось наложение вторично-отсроченных швов. Больной выписан на 16-е сутки после операции.
Возникший у 1 /3 больных гемоторакс - довольно частое явление. В наших наблюдениях при контрольном УЗИ плевральных полостей выявлялось в среднем до 100 мл жидкости. Одному ребенку на 4-е сутки в связи с дыхательными расстройствами потребовались плевральная пункция и удаление гемолизированной крови.
Длительность операции составляла от 60 до 110 мин. Продолжительность обезболивания наркотическими анальгетиками в послеоперационном периоде составила в среднем 2-3 дня, ненаркотическими - 5-6 дней. Выписка осуществлялась после полной активизации детей на 13-15-е сутки.
Во 2-й группе (2002-2009 гг.) всего по предложенной методике оперированы 59 (65%) детей. У 98,3% из них полностью устранена деформация. Анкетирование пациентов указывает на отличные и хорошие результаты в 96,6% наблюдений. У подростков исчезло чувство стеснения перед сверстниками, стали преобладать положительные эмоции.
У 2 (3,4%) детей развились осложнения. Раннее осложнение встретилось в 1 (1,7%) наблюдении. На 2-е сутки после оперативного вмешательства возникло расхождение фиксирующих швов грудины. Потребовалась повторная операция - ревизия послеоперационной раны, наложение швов на грудину.
![]()
Одному ребенку, которому была выполнена двусторонняя поднадхрящничная резекция только IV, V, VI реберных хрящей, через 6 дней в связи с сохраняющейся деформацией на месте прикрепления третьих ребер потребовалась повторная операция - резекция хрящей третьих ребер, что позволило полностью устранить косметический дефект. Данное обстоятельство не относится к осложнениям, так как не связано с выбором метода оперативного лечения, а обусловлено погрешностью в технике операции. Пациенты осмотрены через 6, 9, 12, 24 мес, отмечен отличный косметический результат (рис. 6). Рисунок 6. Внешний вид ребенка. а - КДГК до операции; б и в - после торакопластики (2002-2009 гг.).
У 59% оперированных выявлен гемоторакс как довольно частое явление после торакопластики. Как правило, к 6-7-м суткам отмечается самостоятельная его регрессия, что подтверждается при проведении контрольного УЗИ или рентгенологического исследования. Лишь в одном наблюдении потребовалась плевральная пункция с эвакуацией около 250 мл геморрагической жидкости.
Позднее осложнение выявлено в 1 (1,7%) наблюдении. Через 8 мес после первой торакопластики была обнаружена локальная костная деформация за счет реберных хрящей, потребовавшая повторного оперативного вмешательства. Резекция хрящей VI-VII ребер справа и хряща VII ребра слева позволила полностью устранить деформацию. Пациент осмотрен через год, отмечен отличный косметический результат. Возникновение рецидива деформации, по-видимому, связано с неправильным, патологическим ростом реберных хрящей этой зоны.
Продолжительность оперативного вмешательства по предложенной методике составила 50-60 мин. Обезболивание наркотическими анальгетиками проводили в течение 2 дней, ненаркотическими - до 4 дней. На 3-4-е сутки больные начинали ходить. Швы снимали на 6-7-е сутки. Пациентов выписывали из стационара на 7-9-е сутки.
Основной принцип пластической хирургии состоит в минимальном хирургическом вмешательстве и получении максимального функционального результата. По данным литературы, вопрос о выборе кожного разреза для проведения торакопластики остается дискуссионным. В наших наблюдениях после использования волнообразных, вертикальных разрезов и разрезов кожи типа «Мерседес» основной жалобой больных был грубый и протяженный послеоперационный рубец. Нелогично устранять один косметический дефект - деформацию грудной клетки и формировать другой - грубые протяженные рубцы на коже. Используемый нами поперечный, протяженностью не более 8 см кожный разрез с отслойкой подкожной жировой клетчатки, фасции и мышц единым лоскутом позволил получить минимально инвазивный доступ для проведения торакопластики и тем самым улучшить эстетический вид больных. Это подтверждается в результате опроса оперированных детей.
Разработанный нами метод торакопластики снижает травматичность хирургического вмешательства, что способствует отказу от применения обезболивания и соответственно ранней активизации больных.
В настоящее время для удержания ГРК в правильном положении предложены методы с использованием и без использования дополнительных фиксаторов. Преимущество нашего метода заключается в одномоментной коррекции КДГК. Больным не требуется повторное оперативное вмешательство - удаление пластины и соответственно исключена вероятность такого осложнения, как смещение фиксатора.
Большинство авторов предложенных методов торакопластики вследствие большой кровопотери в ходе операции применяют различные дренирующие системы. Это приводит к более длительному заживлению послеоперационной раны. В нашем варианте - отслойка подкожной жировой клетчатки, фасции и мышц единым лоскутом, билатеральная резекция только патологически измененных реберных хрящей, резекция малого участка грудины значительно снижают кровопотерю во время оперативного вмешательства и вероятность образования гематом в послеоперационном периоде, мы отказались от использования дополнительных дренирующих систем.
Торакопластика, используемая в нашей клинике с 2002 г., позволила сократить продолжительность операции. В 1-й группе эти показатели хуже, чем во 2-й. Такие же результаты получены и при сравнении средних сроков пребывания в стационаре после операции (1-я группа - 14,0±1,6 сут, 2-я группа - 8,7±1,5 сут). Полученные данные подтверждают экономическую значимость метода торакопластики, примененного во 2-й группе.
Таким образом, поперечный разрез кожи длиной до 8 см и мобилизация кожи, подкожной клетчатки и грудных мышц единым лоскутом создают достаточный операционный доступ для выполнения торакопластики и косметически выгодна для пациента.
Фиксация грудинореберного каркаса после резекции грудины и ее сшивание конец в конец обеспечивают надежное ее удержание в анатомически правильной позиции без использования эндокорректоров и позволяют получить отличный результат.
Торакопластика, применяемая в нашей клинике, менее травматична, дает возможность сократить длительность послеоперационного пребывания больного в стационаре и может быть рекомендована для использования в практике детской хирургии.
Читайте также:
- Лечение повышенной чувствительности зубов. Устранение супраконтактов
- Что поможет при укусах насекомых? Препараты при укусов насекомых
- Боли у невропсихопатов. Неврастенические формы абдоминального синдрома
- Дерматохалязис: причины, диагностика, лечение
- Инструментальные исследования пациентов в психиатрии













