Неинвазивная оценка гемодинамики - ЭхоКГ. Диуретики при острой сердечной недостаточности
Добавил пользователь Евгений Кузнецов Обновлено: 21.11.2025
В настоящее время сердечная недостаточность (СН) представляет собой одну из наиболее распространенных кардиологических патологий, частота которой за последние десятилетия возрастает. Существует теория, что СН представлена двумя патологическими процессами: систолической и диастолической дисфункцией. В настоящее время дифференциация между СН с сохранной фракцией выброса (HFpEF) и СН со сниженной фракцией выброса (HFrEF) основана на измерении фракции выброса (ФВ) с помощью допплеровской ЭхоКГ. Однако благодаря новым методам оценки сердечной функции, таким как измерение скорости деформации длинной оси и тканевая допплеровская визуализация, появляются новые, более корректные критерии оценки систолической функции, чем ФВ. Приведенные в данном обзоре углубленные методики — импульсно-волновая тканевая допплерография, двухмерная и трехмерная спектральная следящая ЭхоКГ, позволяют: выявлять изменения сократительных и деформационных свойств миокарда, определять ранние нарушения систолической и диастолической функции, оценивать риски как госпитализации, так и смерти по кардиальным причинам, а также рассчитывать прогноз для пациентов с HFpEF. Таким образом, HFpEF на текущем этапе можно оценивать как по различным характеристикам гемодинамического выброса и нарушению продольной сократимости левого желудочка (ЛЖ), так и по характеру ФВЛЖ отдельно от кинетики ЛЖ.
Ключевые слова: сердечная недостаточность, сохранная фракция выброса, эхокардиография, тканевая допплерография, спекл-трекинг, деформация.
E.K. Serezhina 1 , A.G. Obrezan 1,2 ,
1 IMC SOGAZ LLC, St. Petersburg
2 St. Petersburg State University
At the present day, heart failure (HF) is one of the most common cardiac pathologies, the frequency of which has been increasing over the past decades. The theory prevails that HF is not the only syndrome, but rather represented by two pathological processes — systolic and diastolic dysfunction. Nowadays, the differentiation between heart failure with preserved ejection fraction (HFpEF) and heart failure with reduced ejection fraction (HFrEF) is based on the ejection fraction (EF) measurement by Doppler echocardiography. However, in contrast with EF measurement, new and more valid criteria for the systolic function assessment appear by virtue of cardiac function assessment, such as the long-axis strain rate measurement and tissue Doppler imaging. The in-depth techniques presented in this review, such as pulse-wave tissue Doppler, 2D and 3D speckle tracking echocardiography, allow you to: identify changes in myocardial contractility and deformity, determine early systolic and diastolic dysfunction, assess the risks of both hospitalization and death due to cardiac causes, and calculate the prognosis for patients with HFpEF. Thus, HFpEF in the current stage can be viewed both as by virtue of different characteristics of hemodynamic response and the longitudinal left ventricular (LV) contractile dysfunction, and by the LVEF analysis separately from the LV kinetics.
Keywords: heart failure, preserved ejection fraction, echocardiography, tissue Doppler, speckle tracking, deformation.
For citation: Serezhina E.K., Obrezan A.G. New imaging techniques in the diagnosis of heart failure with preserved ejection fraction. RMJ. Medical Review. 2019;1(II):52-56.
Для цитирования: Новые визуализирующие методики в диагностике сердечной недостаточности с сохранной фракцией выброса. РМЖ. Медицинское обозрение. 2019;3(1(II)):52-56.
В статье описаны новые визуализирующие методики в диагностике сердечной недостаточности с сохранной фракцией выброса. Рассмотрены такие методики как импульсно-волновая тканевая допплерография, двухмерная и трехмерная спектральная следящая ЭхоКГ.
Введение
В настоящее время сердечная недостаточность (СН) — одна из наиболее распространенных кардиологических патологий, частота которой за последние десятилетия лишь возрастает [1, 2]. Существует теория, что СН представлена двумя патологическими процессами: систолической и диастолической дисфункцией. Данная гипотеза подтверждается структурными, функциональными и молекулярными изменениями, связанными с диастолической функцией сердца [3], а также клиническими фармакологическими исследованиями, которые показывают, что у пациентов с СН с сохранной фракцией выброса (HFpEF) эффект от проводимой терапии отличен от такового у пациентов с СН со сниженной фракцией выброса (HFrEF). Это указывает на существование различных патофизиологических механизмов возникновения и прогрессирования СН [4].
Дифференцирование HFpEF и HFrEF
На данный момент дифференциальная диагностика между HFpEF и HFrEF основана на измерении фракции выброса (ФВ) с помощью допплеровской эхокардиографии (ЭхоКГ). Однако благодаря новым методам оценки сердечной функции, таким как измерение скорости деформации длинной оси и тканевая допплеровская визуализация, появляются новые, более корректные критерии оценки систолической функции, чем ФВ [5]. Таким образом, HFpEF на текущем этапе можно оценивать как по различным характеристикам гемодинамического выброса и нарушению продольной сократимости левого желудочка (ЛЖ), так и по характеру ФВЛЖ отдельно от кинетики ЛЖ [5, 6].
Согласно текущим клиническим рекомендациям Европейского сообщества кардиологов необходимыми компонентами для постановки диагноза HFpEF являются:
клиническая картина;
диастолическая дисфункция ЛЖ или структурные изменения миокарда (увеличение размеров левого предсердия и/или гипертрофия ЛЖ);
повышенный уровень натрийуретического пептида;
нормальная или немного измененная систолическая функция ЛЖ [7].
В 2018 г. профессором B. Pieske была предложена четырехступенчатая модель диагностики HFpEF.
1-я ступень — анализ симптомов, факторов риска СН, клинический анализ крови, pro-BNP, выполнение ЭКГ и стандартного ЭхоКГ;
2-я ступень — выполнение расширенного протокола ЭхоКГ (оценка вероятности наличия HFpEF по 6-балльной шкале). Если набрано более 3 баллов, то переходят к 3-й ступени исследования;
3-я ступень — стресс-ЭхоКГ (проба с физической нагрузкой);
4-я ступень — МРТ, сцинтиграфия или биопсия миокарда для определения этиопатогенеза СН [8].
Приведенные в данном обзоре углубленные визуализирующие методики позволяют: выявлять изменения сократительных и деформационных свойств миокарда, определять ранние нарушения систолической и диастолической функции, оценивать риски как госпитализации, так и смерти по кардиальным причинам, а также рассчитывать прогноз для пациентов с HFpEF.
Для количественного и качественного анализа функции миокарда при помощи визуализирующих методик необходимо понимать архитектуру волокон, компоненты деформации и движение миокарда в пространстве.
Ориентация волокон миокарда, их движение в пространстве и компоненты деформации миокарда
Архитектура волокон ЛЖ состоит из нескольких слоев. Субэндокардиальные волокна проходят в продольном направлении и закручены против часовой стрелки, волокна среднего слоя проходят продольно и закручены по часовой стрелке. Вследствие перекрестного расположения волокон этих двух слоев происходит утолщение стенки в радиальном направлении и укорочение в продольном и циркулярном направлении [9]. Существует три принципиальных компонента деформации: продольное, радиальное и циркулярное укорочение [10]. Считается, что эти плоскости деформации связаны с ориентацией волокон миокарда ЛЖ, которая преимущественно проходит в продольном направлении субэндокардиально и преимущественно в косой ориентации субэпикардиально [11].
Кроме того, к этим деформациям добавляется вращение, представляющее собой угловое смещение сегмента миокарда в поперечном направлении вокруг продольной оси ЛЖ вследствие перекрестного хода мышечных волокон. Апикальное систолическое вращение происходит в направлении против часовой стрелки и выражается в градусах с положительными значениями при просмотре из вершины. И наоборот, базальное вращение происходит по часовой стрелке с отрицательными значениями. Из-за этого возникает угловое различие между апикальным и базальным вращением [12].
Продольная деформация и скручивание желудочков могут не в равной мере влиять на их дисфункцию [13], поэтому их оценка может представлять собой ценный инструмент для клинической практики даже в случаях начальных и умеренных патологических изменений, которые не обнаруживаются при анализе классических параметров гемодинамики 18.
Профили продольных скоростей просты и малоизменяемы. Они чаще используются в функциональной диагностике ввиду их большой исследованности и валидности, в то время как профили радиальной и циркулярной деформации менее постоянны и реже используются в исследованиях.
Известно, что компонент продольной деформации миокардиальной функции реагирует быстрее, чем циркулярный или радиальный вследствие большей чувствительности эндокарда и субэндокардиальных слоев к ишемии 19.
Ввиду невозможности различить пассивную и активную деформацию на основании числовых значений нельзя делать вывод о сокращении или расслаблении миокарда [9].
Рассмотрим некоторые из визуализирующих методик.
Тканевая допплерография

Тканевая допплерография (TDI) — это надежный и воспроизводимый эхокардиографический метод, позволяющий провести количественную оценку не только глобальной и регионарной функции миокарда, но и времени миокардиальных событий [22, 23]. Существует несколько модальностей TDI.
Импульсно-волновая TDI используется для измерения пиковых скоростей миокарда и особенно хорошо подходит для измерения продольной деформации желудочков ввиду параллельности ориентации эндокардиальных волокон ультразвуковому лучу в апикальных позициях [24]. Митральные кольцевые или базальные скорости ЛЖ отражают продольную деформацию миокарда, что является важным показателем систолической и диастолической функции ЛЖ [25].
Импульсно-волновая TDI позволяет получить несколько показателей, которые имеют клиническое и прогностическое значение:
Sʹ — систолическая скорость миокарда выше базовой линии, отражающая сокращение миокарда, когда кольцевое пространство смещается к вершине;
Eʹ — ранняя диастолическая скорость релаксации миокарда ниже базовой линии, когда кольцевое пространство смещается от вершины;
Aʹ — скорость миокарда, связанная с позднедиастолическим сокращением предсердий.
Пиковая систолическая скорость миокарда, усредненная по 6 участкам вокруг митрального кольца, хорошо коррелирует с ФВЛЖ [26], а также является чувствительным маркером его слабонарушенной систолической функции даже у пациентов с нормальной ФВЛЖ или c сохраненной его систолической функцией с нарушением диастолического расслабления. Кроме того, изменение пиковой систолической скорости миокарда является маркером неблагоприятного прогноза [27].
Wang et al. [28] обнаружили, что кардиальная смертность была значительно выше, когда и Sʹ, и Eʹ были менее 3 см/с (отношение рисков [HRs] 7,5 и 5,3 соответственно), хотя в многомерном анализе Eʹ сильнее влиял на смертность, чем Sʹ.
Импульсно-волновая TDI имеет высокое временное разрешение, но не позволяет проводить одновременный анализ нескольких сегментов миокарда [24].
В режиме цветовой TDI на изображение в градациях серого накладывается информация о скоростях и направлениях движения, кодированная цветом [9, 24]. Данный режим имеет преимущество увеличенного пространственного разрешения и возможность оценки нескольких структур в одной позиции [24]. В 3D-TDI цветовой код TDI применяется в трехмерном изображении, полученном в проекции из апикального окна в трехплоскостном режиме, одновременно получаются апикальные четырех-, двух- и трехкамерные позиции. Метод 3D также позволяет оценивать диссинхронию ЛЖ путем одновременного получения TDI из всех сегментов ЛЖ в течение одного и того же сердечного цикла [29].
Хотя большинство методик TDI фокусируются лишь на измерении скоростей, некоторые исследователи использовали TDI для получения систолического и диастолического интервалов времени 33. Временными интервалами TDI, измеренными с участков (боковых или медиальных) в митральном кольце, являются (рис. 1):
IVCT — время изоволюмического сокращения (от конца волны Aʹ до начала волны S’);
ET — время выброса (от начала до конца волны Sʹ);
IVRT — время изоволюмической релаксации (от конца волны Sʹ до начала волны Eʹ).
На основе систолических и диастолических интервалов времени высчитывается индекс активности миокарда (MPI), определяемый как отношение суммы времени изоволюмического сокращения (IVCT) и релаксации (IVRT) ко времени выброса (ET). Этот показатель является простым и хорошо воспроизводимым [36, 37].
В ходе ряда исследований было определено, что увеличение MPI служит надежным предиктором ранней внутрибольничной СН у пациентов, перенесших инфаркт миокарда с подъемом сегмента ST 38. Кроме того, MPI оказался независимым предиктором смертности среди населения в целом [37].
Таким образом, TDI играет фундаментальную роль в диагностике СН, поскольку клинически HFpEF неотличима от HFrEF, и требует измерения ФВ. В свою очередь, Eʹ является достоверным предиктором прогноза СН, а также используется для ее дифференциальной диагностики, поскольку отражает как систолическую, так и диастолическую функцию ЛЖ 43. Кроме того, субэндокардиальные волокна, которые ответственны за сокращение по длинной оси, могут быть более восприимчивыми к ишемии, фиброзу и гипертрофии вследствие их положения, и это объясняет, почему Eʹ является достоверным маркером СН [44].
Разработка новых методов TDI [45] обеспечила большую точность в оценке функции желудочков. M. Wang et al. [46] показали, что изменение скорости релаксации в ранней диастоле (Eʹ) является достоверным предиктором смертности по сравнению с клиническими данными и стандартной ЭхоКГ. Это измерение легко воспроизводится и делает более эффективной оценку результатов лечения пациентов с СН [46, 47].
Таким образом, TDI можно считать надежным методом количественной оценки как глобальной, так и регионарной систолической и диастолической функции ЛЖ. Полученные с помощью этого метода данные позволяют прогнозировать риски различных сердечно-сосудистых заболеваний.
Спектральная следящая эхокардиография (STE)
Заключение
Таким образом, приведенные в данном обзоре углубленные методики позволяют: выявлять изменения сократительных и деформационных свойств миокарда, определять ранние нарушения систолической и диастолической функции, оценивать риски как госпитализации, так и смерти по кардиальным причинам, а также рассчитывать прогноз для пациентов с HFpEF.
Список литературы Свернуть Развернуть
Контент доступен под лицензией Creative Commons «Attribution» («Атрибуция») 4.0 Всемирная.
Острая сердечная недостаточность
Острая сердечная недостаточность — клиническое состояние, которое либо остро дебютирует либо является ухудшением течения сердечной недостаточности, что требует срочного лечения.
ОСН может быть при:
- нарушениях ритма
- ишемии миокарда
- нарушении нейроэндокринного баланса
- поражениях клапанного аппарата
Причины
Часто ОСН вызывается ишемической болезнь сердца, включая:
- инфаркт правого желудочка
- постинфарктный дефект ЛЖ
- острый коронарный синдром
Среди распространенных причин — гипертензия и аритмии, включая кризовое повышение АД. Спровоцировать ОСН может поражение клапанов, а именно:
- эндокардит любого клапана
- значительно наросшая степень регургитации
- развитие критического стеноза
- расслоение аорты
ОСН в части случаев вызвана нарушениями периферического и центрального кровообращения, в том числе:
Причиной может быть поражение миокарда (кардиомиопатии, острый миокардит), декомпенсация хронической СН, а том числе острое нарушение мозгового кровообращения, пневмония, пневмония, низкая комплаентность, обострение хронической обструктивной болезни легких и пр. Исследователи делят все выше перечисленные причины на 3 массива:
- приводящие к резкому росту преднагрузки
- приводящие к резкому росту постнагрузки
- приводящие к росту сердечного выброса
В последнее время исследуется роль нестероидных препаратов и тиазолидиндионов в развитии острой сердечной недостаточности.
Симптоматика проявляется каким-либо из указанных состояний (или даже сразу несколькими из них):
- Отек легких (положение ортопноэ, одышка, снижение сатурации артериальной крови меньше 90%)
- Нарастание отеков (в основном бывает у больных с ХСН, одышка усиливается, в полостях появляется свободная жидкость)
- Повышение АД (тахикардия, резкое повышение периферического сосудистого сопротивления; в части случаев в клинике начинает преобладать отек легких)
- Недостаточность кровоснабжения периферических тканей и органов (у небольшой части пациентов с ОКС бывают симптомы, как при ОСН)
- Изолированная правожелудочковая недостаточность (у пациентов развивается снижение ударного объема при отсутствии отека легких и застоя в малом круге кровообращения)
Диагностика
Диагностику острой сердечной недостаточности нужно начинать со сбора анамнеза. Врач уточняет наличие артериальной гипертензии, хронической сердечной недостаточности и проводимого на данный момент лечения, в том числе принимаемых лекарств. Далее доктор пальпаторно оценивает температуру кожи и обнаруживает или необнаруживает отеки. Далее проводится оценка центрального венозного давления, если можно провести катетеризацию.
Аускультация сердца позволяет оценить первый тон, систеолический шум в 1-й точке и его проведение, диастолический шум в 1-й точке аускультации, III тон, систолический и диастолический шумы во второй и пятой точках. Аускультацией легких оценивают количество влажных хрипов в легких по отношению к углу лопатки. Врач должен после этого провести осмотр шеи на наличие вздутых вен. Далее необходима оценка наличия свободной жидкости в легких при помощи перкуссионного метода.
Важным диагностическим методом является ЭКГ, рентгеновское исследование грудной клетки. В артериальной и венозной крови следует определить р02, рС02, рН. В сыворотки крови определяют уровень глюкозы, мочевины и креатинина, АЛТ и т.д.
Далее диагностика включает определение натрийуретических пептидов. Их нормальное значение возможно при изолированной правожелудочковой недостаточности, а сохраненный повышенный уровень при выписке говорит о плохом исходе. ЭхоКГ — первоочередная процедура у больных с ОСН.
Всех людей с ОСН нужно обязательно госпитализировать в интенсивную терапию или отделение реанимации. Важно проведение инвазивного или неинвазивного мониторинга. Часто сочетают эти две формы. Последняя включает оценку числа дыхательных движений, температуры тела, артериального давления, сердечных сокращений, объема выделенной мочи, проведение электрокардиографии.
Инвазивный мониторинг включает установку катетера в периферическую артерию. Это нужно для больных с нестабильной динамикой крови, только если в палате можно провести измерение внутриартериального давления. Катетер в центральную вену позволяет контролировать центральное венозное давление, вводить препараты, проводить контроль сатурации венозной крови. Установка катетера в легочную артерию обычно для больных с острой сердечной недостаточностью не требуется. К числу ограничений использования катетера следует отнести ситуации, обусловленные митральным стенозом, аортальной регургитацией и пр.
Для диагностики может быть применена коронарография. В случаях ОКС, осложнившегося развитием ОСН, коронарография показана всем пациентам, не имеющим абсолютных противопоказаний.
Лечение
Цели лечения делят на три уровня. Первый включает минимизацию проявления декомпенсации, улучшение показателей динамики крови, улучшение кровоснабжения периферических органов и тканей, восстановление адекватной оксигенации, восстановления функционирования миокарда и почек, максимальное уменьшение термина пребывания человека в отделении реанимации.
Цели второго уровня применяются, когда человек переводится из реанимационного отделения. Начинают титрование препаратов, что снижают уровень летальных исходов среди больных с ХСН. Нужно определить необходимость проведения хирургических вспомогательных процедур, например, ресинхронизации. Начинают реабилитацию пациента и стараются минимизировать сроки нахождения его в больнице.
Цели 3-го уровня подключают, когда человек выписан из стационара. Имеет значение вовлеченность пациента в образовательные программы. Необходима физическая реабилитация, контроль доз жизнеспасающих препаратов для лечения ХСН. Проводится мониторинг состояния пациента на протяжении всей его жизни.
Использование оксигенотерапии
Неинвазивную оксигенацию проводят по пол часа каждые 60 минут, начинают с уровня положительного давления к концу выдоха 5-7,5 см вод.ст. с последующим титрованием этого показателя до 10 см вод.ст. Возможны такие побочные действия:
- аспирация
- сухость слизистых оболочек
- усиление правожелудочковой недостаточности
- гиперкапния
Морфин
Это средство назначается, если у больных с острой сердечной недостаточностью есть возбужденность, состояние беспокойства, выраженная одышка. Обычно вводится доза 2,5-5,0 мг внутривенно медленно. Нужно проводить мониторинг, потому что после инъекции может возникнуть тошнота и/или рвота.
Петлевые диуретики
Лечение диуретиками расписано в материалах о сердечной недостаточности. Внутривенное их введение — основа лечения ОСН во всех случаях перегрузки объемом и при наличии признаков застоя. Нельзя применять эти лекарства для лечения людей с артериальным давлением до 90 мм рт.ст., а также при гипонатриемии и ацидозе. Высокие дозы петлевых диуретиков приводят к гипонатриемии и повышают вероятность гипотонии в начале лечения ингибиторами АПФ и АРА.
Если вводить внутривенно вазодилататоры, это уменьшает дозу мочегонных препаратов. Мочегонную терапию рекомендуется начинать с 20-40 мг фуросемида или 10-20 мг торасемида, вводимых внутривенно. После введения мочегонного препарата обязательно контролируют объем мочи пациента. Суммарная доза фуросемида за первые 6 часов лечения должна быть менее 100 мг, а за 24 часа менее 240 мг. Мочегонная терапия во всех случаях влечет за собой развитие гипонатриемии и гипокалиемии.
При умеренной степени ОСН принимают такие петлевые диуретики как фуросемид и торасемид. Суточная доза первого составляет от 20 до 40 мг, а второго от 10 до 20 мг. При тяжелой степени ОСН дозу фуросемида повышают до 40-100 мг, а торасемида — до 20-100 мг внутрь. При развившейся рефрактерности к петлевым диуретикам добавляют гидрохлоротиазид в дозе от 50 до 100 мг или же добавляют спиронолактоны (25-50 мг). Последние предпочтительны при исходно низком уровне К + и отсутствии выраженной почечной недостаточности.
Вазодилататоры
Эти препараты рекомендованы всем больным с острой сердечной недостаточностью и систолическим артериальным давлением выше 90 мм рт.ст. Безопасным считают уровень систолического АД более 110 мм рт.ст. Осторожность при назначении вазодилататоров требуется при уровне систолического АД 90-110 мм рт.ст. Вазодилататоры снижают систолическое АД и давление наполнения левого и правого желудочков, уменьшают одышку и общее сосудистое сопротивление.
Эта группа препаратов не назначается, если систолическое АД меньше 90 мм рт.ст., потому что появляется угроза снижения кровоснабжения внутренних органов. При терапии вазодилататорами обязательно проводится контроль уровня АД. Начало инфузии нитроглицерина проводится со скоростью 10-20 мкг/мин, повышать ее нужно до 200 мкг/мин. Побочные эффекты: головная боль, понижение АД.
Эффективен изосорбида динитрат. Показанием к применению является:
- застой в МКК или отек легких
- систолическое АД выше 90 мм рт.ст
Инфузию начинают со скорость 1 мг в час, повышают до 10 мг в час. Побочное действие аналогичное таковому при вводе нитроглицерина. Показанием к применению нитропруссида натрия является ОСН на фоне артериальной гипертензии, систолическое АД >90 мм рт.ст. Также эффективен Несиритид.
Препараты с положительным инотропным механизмом действия
Препараты с положительным инотропным эффектом должны применяться у всех пациентов с низким уровнем сердечного выброса, низким артериальным давлением, признаками гипоперфузии органов. Эти лекарственные средства можно применять вместе с мочегонными препаратами и вазодилататорами. Важно раннее начало лечение данными препаратами, прекращают прием сразу после стабилизации состояния пациента. В противном случае вероятно поражение миокарда и летальный исход.
Эффективен Добутамин, скорость инфузии составляет 2-20 мкгДкгхмин; Допамин, нефродоза которого
Вазопрессоры
Данные препараты не рекомендуют в качестве препаратов первой линии в лечении ОСН. Их применение оправдано при кардиогенном шоке, когда терапия препаратами с положительным инотропным эффектом и введение жидкости не приводят к росту АД более 90 мм рт.ст., и может продолжаться, пока сохраняются признаки гипоперфузии органов.
Особенности коррекции состояния пациентов с острой сердечной недостаточностью
При декомпенсации ХСН лечение стартуют с вазодилататоров и петлевых диуретиков. Диуретики лучше вводить болюсно. При стойкой гипотензии рекомендованы лекарства с положительным инотропным эффектом. При отеке легких лечение начинают с ввода морфина. При высоком АД или нормальном АД применяют вазодилататоры, а при наличии застоя и отека актуальны диуретики.
При кардиогенном шоке и систолическом АД менее 90 мм рт.ст. внутривенно вводят растворы, улучшающие реологию крови, в дозе 250 мл за 10 мин, и препараты с положительным инотропным эффектом.
Диуретики в современной терапии хронической сердечной недостаточности
Распространенность сердечной недостаточности в европейской популяции составляет от 0,4 до 2%. Частота ее быстро увеличивается с возрастом. В отличие от других распространенных сердечно-сосудистых заболеваний, смертность от сердечной недостаточности, скорректированная по возрасту, также повышается. Если не удается установить причину сердечной недостаточности, то прогноз неблагоприятный. Около половины больных с этим диагнозом умирают в течение 4 лет, а среди пациентов с тяжелой сердечной недостаточностью летальность в течение 1 года превышает 50% [1]. К числу основных достижений в изучении сердечной недостаточности можно отнести установление патогенетической роли нейрогуморальных систем, которое позволило коренным образом пересмотреть подходы к лечению этого состояния. В настоящее время большое внимание уделяется не только купированию симптомов, но и профилактике прогрессирования сердечной недостаточности и смерти. С этой целью чаще всего используют ингибиторы ангиотензинпревращающего фермента (АПФ) и β-адреноблокаторы. Среди последних доказанной эффективностью у больных сердечной недостаточностью обладают карведилол, метопролол и бисопролол. Хотя блокаторы нейрогуморальных систем улучшают прогноз больных сердечной недостаточностью и задерживают ее прогрессирование, они обычно не оказывают непосредственного влияния на клинические проявления этого состояния. Более то-го, неосторожное применение β-адреноблокаторов при декомпенсации сердечной недостаточности может при-вести к нарастанию симптомов за счет отрицательного инотропного действия, в то время как ингибиторы АПФ нередко вызывают артериальную гипотонию. В связи с этим назначение блокаторов нейрогуморальных систем не отменяет необходимость в использовании стандартных средств, прежде всего диуретиков. Важность адекватной диуретической терапии демонстрирует следующее наблюдение.
Больной В., 48 лет, инженер, обратился в клинику в феврале 2006 года с жалобами на одышку при ходьбе по ровному месту, приступы удушья, возникающие в положении лежа, сердцебиения, выраженные отеки ног, периодически тупые ноющие боли в области сердца, не снимающиеся нитроглицерином, тяжесть в правом подреберье. Одышка появилась около 2 лет назад. Первоначально она возникала только при подъеме по лестнице, однако постепенно нарастала. Иногда беспокоили боли в области сердца, не связанные с физической нагрузкой. При обследовании по месту жительства АД 125/80 мм рт. ст. Уровень общего холестерина сыворотки 152 мг/дл. На ЭКГ блокада левой ножки пучка Гиса. При эхокардиографии выявлена умеренная дилатация левого желудочка и снижение фракции выброса до 43%. Диагностированы ИБС, стенокардия II функционального класса, атеросклероз с поражением коронарных артерий. Проводилась терапия изосорбида динитратом в дозе 20 мг два раза в день и эналаприлом в дозе 5 мг/сут без особого эффекта. Ухудшение состояния с лета прошлого года: усилилась одышка, появились приступы сердечной астмы, утомляемость, отеки ног, увеличение живота, уменьшилось количество выделяемой мочи. Кардиолог в поликлинике расценил развитие сердечной недостаточности как следствие ИБС. От госпитализации больной отказался. К терапии были добавлены дигоксин в дозе 0,25 мг/сут, фуросемид по 40 мг через день, доза эналаприла увеличена до 10 мг/сут. В результате лечения самочувствие улучшилось: уменьшились одышка и отеки, улучшился сон, увеличился диурез.
Спустя 2-3 месяца вновь отмечено ухудшение состояния. Беспокоила одышка при небольшой физической нагрузке, определялись распространенные отеки, асцит. Больной ежедневно принимал фуросемид по 80 мг, однако добиться существенного увеличения диуреза не удавалось. На фоне активной диуретической терапии наблюдалось снижение уровня калия до 3,2 ммоль/л. Доза эналаприла была увеличена до 20 мг/сут, но затем ее пришлось снизить из-за артериальной гипотонии (90/55 мм рт. ст.). После присоединения спиронолактона в дозе 100 мг/сут отеки несколько уменьшились, однако выраженная одышка, приступы сердечной астмы и склонность к гипокалиемии сохранялись.
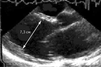
При поступлении в клинику состояние средней тяжести. Ортопноэ. Цианоз лица. Выраженные отеки ног. В легких выслушиваются незвонкие мелкопузырчатые хрипы в нижних отделах легких. Частота сердечных сокращений 92 в минуту. АД 110/70 мм рт. ст. Тоны сердца глухие, систолический шум на верхушке сердца. Живот увеличен в объеме за счет свободной жидкости. Размер печени по Курлову 10/4-10-8 см. Селезенка не увеличена. На ЭКГ блокада левой ножки пучка Гиса. При рентгенографии выявлено увеличение сердца в размерах, усиление легочного рисунка за счет застоя жидкости. При эхокардиографии обнаружены дилатация всех камер сердца (диастолический размер левого желудочка 7,3 см) и снижение фракции выброса левого желудочка до 23% (рис. 1). Уровень калия крови — 3,3 ммоль/л, общего холестерина сыворотки — 128 мг/дл, холестерина липопротеидов низкой плотности 82 мг/дл.

Рис. 1. Выраженная дилатация левых камер сердца на эхокардиограмме
Таким образом, у больного была выявлена картина дилатационного поражения сердца, которое характеризовалось значительным ухудшением насосной функции левого желудочка и тяжелой сердечной недостаточностью, рефрактерной к проводимой терапии. При отсутствии артериальной гипертонии и порока сердца в таких случаях в первую очередь следует исключать ИБС и алкогольную кардиомиопатию. Диагноз атеросклероза коронарных артерий представлялся маловероятным, учитывая отсутствие стенокардии и инфаркта миокарда в анамнезе, а также основных факторов риска, хотя исключить этот диагноз можно только с помощью коронарной ангиографии. По словам больного и его родственников, алкоголь практически не употребляет. Возможными причинами дилатационного поражения сердца являются также миокардит, эндокринные (гипотиреоз, акромегалия), системные (саркоидоз, наследственный гемохроматоз, системная склеродермия), нейромышечные заболевания, лучевая терапия, прием антрациклинов. Данных в пользу указанных заболеваний получено не было. Следует отметить, что исключить миокардит на основании клинической картины сложно, однако выполнение биопсии миокарда не представлялось возможным. Диагностирована дилатационная кардиомиопатия, хроническая сердечная недостаточность III функционального класса.
В клинике проводилось внутривенное введение дигоксина и фуросемида, увеличены дозы эналаприла до 20 мг/сут и спиронолактона до 150 мг/сут. В последующем фуросемид был заменен на торасемид (Диувер) в дозе 20 мг/сут. В результате лечения значительно уменьшились одышка и размеры печени, прекратились приступы сердечной астмы, практически полностью прошли отеки. Уровень калия повысился до 4 ммоль/л. После выписки продолжал прием дигоксина в дозе 0,25 мг/сут, торасемида в дозе 20 мг 2-3 раза в неделю, эналаприла в дозе 20 мг/сут. Спиронолактон был постепенно отменен. При этом уровень калия оставался нормальным. При применении торасемида отсутствовала проблема срочного диуреза, развивавшегося в первые 2 ч после приема фуросемида. Начата терапия карведилолом в дозе 3,125 мг два раза в сутки, которую постепенно увеличили до 25 мг два раза в сутки. При амбулаторном обследовании через 2 месяца состояние остается стабильным. Беспокоит умеренно выраженная одышка, однако отеки отсутствуют. При эхокардиографии выявлено уменьшение диастолического размера левого желудочка до 6,5 см и увеличение фракции выброса до 32%.
Дилатационная кардиомиопатия - это тяжелое заболевание сердечной мышцы, которое обычно характеризуется прогрессирующим течением. Этиология его остается неизвестной, поэтому лечение предполагает применение патогенетических средств, позволяющих уменьшить проявления сердечной недостаточности и задержать ее прогрессирование. В терминальной стадии показана трансплантация сердца. Всем больным следует назначать ингибиторы АПФ и β-адреноблокаторы, однако при нарастании застойной сердечной недостаточности ключевое значение имеет адекватная диуретическая терапия. В руководстве Европейского общества кардиологов по диагностике и лечению сердечной недостаточности содержатся следующие рекомендации по применению диуретиков [1]:
При наличии задержки жидкости, сопровождающейся застоем крови в легких или периферическими отеками, диуретики являются необходимым компонентом симптоматического лечения сердечной недостаточности. Их применение приводит к быстрому уменьшению одышки и увеличению толерантности к физической нагрузке (класс рекомендации I, уровень доказанности А),
В контролируемых рандомизированных исследованиях влияние диуретиков на симптомы и выживаемость больных не изучалось. Диуретики следует всегда назначать в комбинации с ингибиторами АПФ и β-адреноблокаторами (класс рекомендации I, уровень доказанности С).
Таким образом, эксперты рекомендуют назначать диуретики всем больным сердечной недостаточностью II-IV функционального класса. Влияние мочегонных средств на выживаемость таких пациентов не изучалось в длительных контролируемых исследованиях, однако их проведение нецелесообразно и неэтично, учитывая явный симптоматический эффект препаратов этой группы. Кроме того, протоколы всех исследований ингибиторов АПФ и β-адреноблокаторов у больных застойной сердечной недостаточностью предполагали обязательное применение стандартных средств, прежде всего диуретиков. В связи с этим монотерапия ингибитором АПФ или β-адреноблокатором обоснована только у больных с бессимптомной дисфункцией левого желудочка, например, после инфаркта миокарда.
При легкой сердечной недостаточности могут быть назначены тиазидные диуретики, однако по мере прогрессирования нарушений кровообращения обычно требуется применение петлевого диуретика. В эквивалентных дозах все петлевые диуретики вызывают сопоставимое увеличение диуреза. Снижение их эффективности может быть связано с ухудшением функции почек или нарушением всасывания фуросемида в желудочно-кишечном тракте. Возможные подходы к преодолению резистентности к петлевым диуретикам включают в себя увеличение их дозы, внутривенное введение (в том числе путем непрерывной инфузии), присоединение тиазида или спиронолактона (особенно при наличии гипокалиемии несмотря на прием ингибитора АПФ). В рекомендациях Европейского общества кардиологов (2005 г.) указано, что при снижении эффективности фуросемида его можно заменить на торасемид, так как биодоступность последнего не снижается у больных сердечной недостаточностью. Приведенное наблюдение подтверждает, что применение торасемида позволяет улучшить результаты лечения тяжелой сердечной недостаточности.
Главным преимуществом торасемида (Диувера) является высокая биодоступность, которая в разных исследованиях составляла 79-91% и превосходила таковую фуросемида (53%) [2]. Высокая и предсказуемая биодоступность определяет "надежность" диуретического действия торасемида. Торасемид обладает достаточно длительным периодом полувыведения (3-5 ч), в то время как длительность периода полувыведения фуросемида, буметанида и пиретанида составляет около 1 ч [2]. Благодаря этому торасемид действует длительнее фуросемида. Торасемид биотрансформируется в печени с образованием нескольких метаболитов. Только 25% дозы выводится с мочой в неизмененном виде (против 60-65% при приеме фуросемида и буметанида). В связи с этим фармакокинетика торасемида существенно не зависит от функции почек, в то время как период полувыведения фуросемида увеличивается у больных почечной недостаточностью. Этот факт имеет важное значение, так как при наличии выраженного застоя крови по большому кругу кровообращения функция почек обычно ухудшается. Действие торасемида, как и других петлевых диуретиков, начинается быстро. При внутривенном введении оно достигает пика в течение 15 мин. Доза торасемида 10-20 мг эквивалента 40 мг фуросемида. При увеличении дозы (до 200 мг) наблюдалось линейное повышение диуретической активности.
К настоящему времени опубликованы результаты ряда контролируемых клинических исследований торасемида, в которых его сравнивали с фуросемидом. Например, в самом крупном исследовании TORIC (Torasemide In Congestive Heart Failure) изучали эффективность и безопасность торасемида 10 мг/сут и фуросемида 40 мг/сут или других диуретиков у 1377 больных хронической сердечной недостаточностью II-III функционального класса [3]. Торасемид по эффективности имел достоверные преимущества перед фуросемидом/другими диуретиками. Так, функциональный класс по NYHA уменьшился у 45,8 и 37,2% больных двух групп соответственно (р=0,00017; рис. 2). Более того, лечение торасемидом привело к 2-кратному снижению летальности больных по сравнению с контролем (с 4,5 до 2,2%; р<0,05).
Рис. 2. Эффективность и безопасность торасемида и фуросемида в исследовании TORIC (% больных)
Как и все петлевые диуретики, торасемид действует на восходящую часть петли Генле, где он ингибирует реабсорбцию натрия и хлоридов. В отличие от фуросемида, торасемид блокирует также эффекты альдостерона и, соответственно, в меньшей степени усиливает экскрецию калия [1]. Это препятствует развитию гипокалиемии, которая является одним из главных побочных эффектов петлевых и тиазидных диуретиков, что подтверждает и наше наблюдение. В острых пробах увеличение доз торасемида сопровождалось линейным ростом диуреза и экскреции натрия и хлоридов, в то время как сходные изменения выведения калия выявлены не были [1]. В клинических исследованиях торасемид оказывал минимальное влияние на сывороточный уровень калия, который оставался стабильным даже при длительном применении препарата в дозах 5-20 мг. В исследовании TORIC частота гипокалиемии при лечении торасемидом была значительно ниже, чем при использовании других диуретиков (р=0,013).
Блокада рецепторов альдостерона под действием торасемида не только снижает риск развития гипокалиемии, но теоретически может препятствовать прогрессирующему ремоделированию левого желудочка. M.Yamato и соавт. [6] в рандомизированном открытом 6-месячном исследовании сопоставили эффективность торасемида и фуросемида у 50 больных хронической сердечной недостаточностью II-Ш функционального класса, которые не ответили на лечение фуросемидом в низкой дозе и ингибиторами АПФ. Пациентов основной группы переводили на торасемид в дозе 4-8 мг/сут, в то время как больные группы сравнения продолжали прием фуросемида в прежней дозе (20-40 мг/сут). Терапия торасемидом в течение 6 мес привела к снижению конечного диастолического размера (р<0,005) и индекса массы миокарда левого желудочка (р<0,005), улучшению параметров его наполнения в диастолу, а также снижению концентрации натрийуретического пептида (р<0,001) и увеличению активности ренина (р<0,005) и альдостерона (р<0,001) плазмы. В группе фуросемида сходные изменения отсутствовали. По мнению авторов, они могли объясняться блокадой рецепторов альдостерона под действием торасемида.
Целесообразность присоединения карведилола - неселективного β-адреноблокатора, оказывающего также блокирующее действие на a1-адренорецепторы - к терапии мочегонными средствами, сердечными гликозидами и ингибиторами АПФ была продемонстрирована в исследовании COPERNICUS, в которое были включены 2289 пациентов с фракцией выброса левого желудочка менее 25% [7]. Длительность терапии карведилолом (целевая доза 25 мг два раза в сутки) или плацебо составляла в среднем 10,4 мес. В группе карведилола риск смерти от любых причин снизился на 35% (р=0,00013), а смерти или госпитализации - на 24% (р<0,001). Результаты лечения были сопоставимыми в различных подгруппах больных, в том числе с недавно развившейся декомпенсацией сердечной недостаточности. Благоприятный эффект карведилола проявлялся уже в первые несколько недель после начала терапии.
Неинвазивная оценка гемодинамики - ЭхоКГ. Диуретики при острой сердечной недостаточности
ММА имени И.М. Сеченова
В настоящее время диуретики занимают ведущее место в лечении сердечной недостаточности и артериальной гипертензии различной этиологии.
Использование диуретических препаратов в лечении сердечно-сосудистых заболеваний началось в середине прошлого столетия, когда в 1956 году был синтезирован и впервые применен в клинической практике хлортиазид. В 1958 г. был создан более мощный тиазидный диуретик - гидрохлортиазид, в 1959 г. появился тиазидоподобный диуретик хлорталидон. 60-е годы характеризовались интенсивным применением тиазидных диуретиков в кардиологической практике, однако накопленный клинический опыт и экспериментальные исследования показали на фоне благоприятного эффекта ряд побочных реакций, которые снижали ожидаемый терапевтический успех, что побудило исследователей к поиску новых диуретических препаратов [1,2].
Диурез - мочеотделение, регулируемое почечными и внепочечными механизмами. К внепочечным механизмам относятся:1) состояние насосной функции сердца, 2) натрийдиуретический гормон предсердий, 3) антидиуретический гормон гипофиза, 4) альдостерон - гормон коры надпочечников. Внутрипочечный механизм регуляции диуреза осуществляется через увеличение или снижение фильтрации и реабсорбции солей из первичной мочи (в частности, ионов натрия) и облигатно к ним Н2О эпителием почечных канальцев.
Диуретики - лекарственные препараты, снижающие реабсорбцию натрия и воды, что ведет к увеличению диуреза, по своему механизму действия делятся на осмотические, солевые, водные (рис. 1).
Рис. 1. Схема действия диуретиков
Осмотические (маннитол, глюкоза, органические кислоты) и водные (демоклоциклин, препараты лития) диуретики применяются пpи лечении сердечной недостаточности. Солевые диуретики - при лечении артериальной гипертензии, острой и хронической сердечной недостаточности [3].
Согласно современным представлениям о строении нефрона - функциональной единицы почки и функции его различных отделов, солевые диуретики делятся на тиазидные, петлевые и калийсберегающие.
На рисунке 2 представлена схема строения и функции нефрона. Мочевыделительная функция регулируется двумя основными процессами в нефроне: фильтрацией в гломерулярном аппарате и реабсорбцией в различных отделах нефрона. Транспортная функция различных отделов нефрона представлена на рисунке 2. Реабсорбция жидкости через проксимальные отделы извитых тубул осуществляется изоосмотическим механизмом вслед за реабсорбцией приблизительно двух третей фильтрованного натрия. NаНСО3 реабсорбируется неэлектрогенным механизмом через секрецию ионов водорода. Подобный активный транспорт солей создает трансэпителиальный градиент осмотического давления, который позволяет осуществлять пассивный выход воды из нефрона в перитубулярные капилляры. Подъем концентрации Cl - в тубулярной жидкости соответствует снижению концентрации НCО3 - и становится определяющей силой движения ионов Cl - вниз по концентрационному градиенту. Прямая часть проксимального канальца осуществляет активный электрогенный транспорт Nа + . Оставшаяся одна треть гломерулярного фильтрата поступает в нисходящее колено петли Генле. Тонкая часть нисходящего колена петли Генле проницаема для Н2О и непроницаема для Nа + , удерживая NaCl в жидкости нефрона. В восходящий отдел петли Генле жидкость поступает с высокой концентрацией NaCl, который в начальной части пассивно выходит в перитубулярное пространство, создавая делюцию тубулярной жидкости. В толстом отделе восходящего колена петли Генле имеет место активная реабсорбция Cl - и пассивное выведение Nа + . В дистальном отделе извитых канальцев нефрона на активную реабсорбцию Nа + имеет место секреция в просвет нефрона К + и Н + . Собирательные канальца почки непроницаемы для воды в отсутствие антидиуретического гормона. В этом отделе альдостерон активизирует реабсорбцию Nа + и секрецию в мочу ионов водорода и калия.
Рис. 2. Схема строения нефрона и точки приложения диуретиков
Тиазидные диуретики в основном действуют на уровне проксимальных и дистальных канальцев нефрона через блокирование противотранспорта натрия и хлора, что ведет к осмотической задержке воды в нефроне и уменьшению объема циркулирующей плазмы в сосудистом русле.
Петлевые диуретики (фуросемид, этакриновая кислота и их производные) блокируют реабсорбцию хлора, что приводит к задержке натрия и облигатной задержке воды в нефроне.
Калийсберегающие диуретики (спиронолактон) являются блокаторами альдостерона в дистальном извитом канальце нефрона и собирательного канала почки, сохраняя при этом реабсорбцию калия, но способствуя выведению натрия и хлора с мочой и увеличивая диурез. Механизм действия амилорида и триамтерена несколько иной: эти диуретики осуществляют свой диуретический эффект сохранением концентрации калия в сыворотке через прямое ингибирующее воздействие на натрий в эпителии нефрона, без блокады альдостерона, поэтому эти диуретики могут «работать» без первичного и вторичного альдостеронизма [4].
Помимо диуретического эффекта, данный класс препаратов может оказывать ряд побочных отрицательных эффектов (нарушение водно-электролитно-щелочного баланса, повреждение форменных элементов крови), приводя к анемии, агранулоцитозу, тромбоцитопении, системным повреждениям в виде кожного васкулита, что в конечном итоге может вызвать сложные нарушения гемодинамики, вплоть до внезапной кардиогенной смерти или развитию печеночной комы. Возможные побочные эффекты диуретиков представлены в таблице 1.
Участие почки в регуляции насосной функции сердца и уровня артериального давления представлено на рисунке 3.
Рис. 3. Гипотетическая схема регуляции насосной деятельности сердца и артериального давления
Минутный объем сердца (МО) - интегральный показатель насосной деятельности сердца является производной величиной сократительного состояния миокарда (ударный объем) и частоты сердечных сокращений:
Одновременно МО контролируется объемом притекаемой крови к сердцу, т.е. объемом циркулирующей крови (ОЦК). ОЦК регулируется почкой через ренин-ангиотензин-альдостероновую систему. Включение ренин-ангиотензиновой системы осуществляется юкстагломерулярным аппаратом почек в результате снижения почечного кровотока в корковом слое, что ведет к выбросу ренина, который, в свою очередь, превращает ангиотензиноген в ангиотензин-1. Ангиотензин-1 под воздействием ангиотензинпревращающего фермента (АПФ) переходит в ангиотензин-2, являющийся мощным вазоконстриктором, стимулирующим рецепторы АТ сосудистой стенки. Воздействуя на кору надпочечников, ангиотензин-2 стимулирует синтез альдостерона, который снижает секрецию натрия в мочу в дистальных отделах собирательных почечных канальцев, приводя тем самым к задержке жидкости в сосудистом русле, т.е. увеличению ОЦК. В свою очередь, увеличение ОЦК ведет к увеличению МО. Одновременно увеличение концентрации натрия в крови способствует отеку сосудистой стенки, делает ее более чувствительной к прессорным агентам и способствует увеличению общего периферического сосудистого сопротивления (ОППС).
Уровень АД определяется произведением МО, как показателя насосной деятельности сердца, и ОПСС:
АД = МО x ОПСС, т.е.
АД = УО x ЧСС x ОПСС
ЧСС и сократительное состояние миокарда контролируется симпато-адреналовой системой через стимуляцию b -адренорецепторов, что приводит к учащению сердечного ритма и усилению сокращения миокарда, в конечном итоге - к увеличению УО.
Регуляция ОПСС осуществляется симпато-адреналовой системой (путем стимуляции a - и b -адренорецепторов) и ренин-ангиотензин-альдостероновой системой.
Распределение адренорецепторов в сердечно-сосудистой системе гетерогенно. В сердце преимущественно расположены b 1-адренорецепторы, в сосудистой стенке артерий и вен - a - и b 2-адренорецепторы. Стимуляция a - и b 2-адренорецепторов в венах вызывает повышение их тонуса, уменьшение емкости венозного русла, увеличение притока крови к сердцу и МО. Стимуляция b -адренорецепторов в артериях вызывает их сужение и повышение ОПСС. Стимуляция b 2-адренорецепторов в артериях вызывает вазодилатирующий эффект и снижает ОПСС.
ОППС зависит не только от тонуса артериального русла, но и от реологических свойств крови согласно упрощенной формуле Пуазейля:
ОПСС =( L x h ) / S , где
L - длина сосудов h - реологические свойства крови S - диаметр сосудов.
Реологические свойства крови определяются гематокритом (полицитемия), вязкостью крови (гиперлипидемия, гиперфибриногенемия, гипергликемия), подвижностью эритроцитов, агрегационным состоянием тромбоцитов и т.д.
Таким образом, имеют место 5 основных областей приложения терапевтических воздействий при лечении СН и АГ:
1) симпато-адреналовая система - блокада a - и b -адренорецепторов;
2) почки - диуретики;
3) ренин-ангиотензин-альдостероновая система - ингибиторы АПФ и блокаторы АТ1-рецепторов сосудов;
4) сосудистая система - периферические вазодилататоры, в частности, антикальциевые препараты;
5) реология крови - антиагреганты, гиполипидемические, сахароснижающие и т.п.
Современную кардиологию невозможно представить без b -адреноблокаторов, которых известно более 20 наименований, ингибиторов АПФ [5]. Однако в настоящее время диуретики занимают приоритетное место в лечении дилатационной кардиопатии и АГ.
При лечении АГ выделяют три основные цели: непосредственную, промежуточную и конечную [1,6,7].
Непосредственная цель антигипертензивной терапии - снижение АД до «нормального» уровня (< 130/85 мм рт.ст.), а при возможности - и «оптимального» уровня (< 120/80 мм рт.ст.).
Промежуточная цель - профилактика поражения органов-мишений (ЦНС, сердце, почки).
Конечная цель - улучшить качество и увеличить продолжительность жизни пациентов с АГ за счет профилактики или регресса сердечно-сосудистых осложнений.
Накопленный клинический опыт указывает, что тиазидные диуретики обладают достаточно высокой антигипертензивной активностью, не уступающей b -адреноблокаторам, антагонистам кальция, ингибиторам АПФ и a 1-адреноблокаторам. В многочисленных исследованиях показано, что при лечении тиазидными диуретиками систолическое АД снижается в среднем на 10-20 мм рт.ст., а диастоличесоке АД - на 5-15 мм рт.ст. 10.
Сравнительные исследования показали, что нет существенной разницы в антигипертензивной активности низких (< 25 мг гидрохлортиазида в день или эквивалентные дозы других препаратов) и высоких доз (>25 мг) тиазидных диуретиков. По сводным данным 31 исследования, высокие дозы тиазидных диуретиков снижают уровни АД в среднем на 18/11 мм рт.ст., а низкие дозы - на 13/9 мм рт.ст. В то же время низкие дозы диуретиков гораздо лучше переносятся пациентами и не сопровождаются существенными электролитными и метаболическими нарушениями [11].
В отличие от b -адреноблокаторов, диуретики одинаково эффективно предотвращают сердечно-сосудистые осложнения у больных АГ как среднего, так и пожилого возрастов. В 18 рандомизированных исследованиях, в которых диуретики и b -адреноблокаторы применялись при лечении АГ у больных старше 60 лет, было обнаружено, что диуретики эффективно предотвращают развитие первичных и повторных нарушений мозгового кровообращения [12]. Однако в отличие от b -адреноблокаторов диуретики более эффективны в профилактике риска развития ИБС и летальных исходов, что делает их препаратами первого ряда при начальной терапии АГ.
Таким образом, тиазидные диуретики назначаются в небольших дозах (не более 25 мг в сутки), обладают достаточно высокой антигипертензивной активностью и хорошей переносимостью. Это единственный класс антигипертензивных препаратов, о которых известно, что они способны улучшить отдаленный прогноз у больных АГ.
Тиазидные и тиазидоподобные диуретики можно условно разделить на два поколения. Первое поколение - производные бензотиадиазона (гидрохлортиазид и др.) и фтелимидина (хлорталидон и др.); второе поколение - производные хлорбензамида (индапамид и др.), которые по химической структуре представляют собой производное хлорбензамида, содержащее метилиндолиновую группу.
Гемодинамический эффект индапамидоподобных диуретиков обусловлен их фармакологическим действием. В частности, индапамид - умеренный салуретический диуретик, связанный с ингибированием реабсорбции Na + , Cl - , H + и в меньшей степени К + и Мg2 + в проксимальных и дистальных канальцах короткого сегмента нефрона. Одновременно индапамид устраняет избыточное содержание ионов натрия в сосудистой стенке (вследствие его высокой липофильности), повышает синтез простагландина Е2 и простациклина I2, угнетает приток ионов Са в гладкомышечные клетки сосудов, что вызывает их дилатацию и снижает их чувствительность к прессорным агентам (катехоламинам, тромбоксану). Суммарный гемодинамический эффект индапамидов проявляется в виде:
- вазодилатирующего действия
- уменьшения ОПСС
- снижения системного артериального давления
- изменения вязкостных свойств крови за счет ингибирования агрегационной активности тромбоцитов.
Воздействие индапамидов на АД без существенного влияния на диурез проявляется в суточной дозе 2,5 мг, при увеличении которой диуретический эффект становится доминирующим.
По своей гипотензивной активности индапамид превосходит в 30 раз действие спиронолактонов, в 100 раз - фуросемида и в 300 раз - хлорталидона при применении в сопоставимых дозах [13]. Одним из идентифицированных антигипертензивных эффектов индапамида является воздействие на почечную продукцию и высвобождение простагландинов, ингибирование образования сосудистого вазоконстриктора - тромбоксана. Под действием индапамида у больных эсенциальной артериальной гипертензией увеличивалось выделение простагландина Е2, обладающего вазодилатирующей активностью. In vitro был верифицирован эффект ингибирования индапамидом синтеза тромбоксана А2 в тромбоцитах человека и стимулирования выделения вазодилатирующего простациклина I2 [14].
Терапевтическая эффективность индапамидовых диуретиков продемонстрирована в ряде крупных рандомизированных исследований. Отмечена их способность профилактировать развитие ИБС за счет снижения массы миокарда при АГ. Это свойство, нетипичное для других классов диуретиков, делает индапамид уникальным препаратом с кардиопротективным действием, выраженность которого не уступает b -адреноблокаторам и ингибиторам АПФ.
Особое внимание привлекает тот факт, что индапамидоподобные диуретики не обладают синдромом «отмены», не вызывают побочных метаболических нарушений: не оказывают отрицательного влияния на обмен глюкозы и уровень липидов крови. В исследованиях последних лет показано, что индапамид способствует нормализации глюкозного обмена у диабетиков 2 типа, профилактируя диабетическую нефропатию. Аналогичная закономерность отмечена при исследовании обмена холестерина и триглицеридов у пациентов с дислипопротеинемией. Индапамид снижает уровень атерогенного холестерина низкой плотности и триглицеридов, одновремено увеличивая концентрацию липопротеидов высокой плотности [15].
Таким образом, индапамид, сочетая в себе все положительные фармакодинамические, фармакокинетические и экономические достоинства, при отсутствии побочных эффектов других диуретиков, является препаратом, перспективным в плане терапевтической тактики у больных АГ и хронической сердечной недостаточностью.
ХСН довольно часто является следствием синдрома артериальной гипертензии и остается одной из главных причин в структуре причин инвалидизации и летальности от сердечно-сосудистой патологии. В настоящее время средствами выбора в лечении ХСН с систолической дисфункцией ЛЖ являются ингибиторы АПФ, а при диастолической дисфункции - диуретики. В основе ХСН у большинства больных АГ имеет место нарушение диастолической и систолической функции ЛЖ, поэтому наиболее перспективным является комбинированное лечение ингибиторами АПФ и диуретиками. С учетом вышеизложенного для лечения ХСН предпочтение должно отдаваться тиазидоподобным диуретикам - индапамидам с умеренным по силе и длительным по продолжительности действием [16]. Индапамид, снижая уровень внутриклеточного кальция, сохраняя содержание магния, уменьшает ригидность сосудистой стенки и способствует более эффективной релаксации кардиомиоцита в диастолу. При этом увеличивается синтез простациклинов, уменьшается агрегация тромбоцитов и выброс тромбоксана А2, что суммарно оказывает положительный гемодинамический эффект за счет уменьшения постнагрузки для ЛЖ.
Индапамид, улучшая микроциркуляцию в почке, устраняет микроальбуминурию, являющуюся маркером генерализованного поражения сосудов и предиктором сердечно-сосудистых и почечных осложнений.
Таким образом, использование диуретиков, в частности, индапамидоподобных, является актуальным и перспективным в профилактике и лечении АГ и ХСН.
1. Преображенский Д.В, Сидоренко Б.А. Дифференциальная медикаментозная терапия при артериальной гипертензии. Сonsilium Medicum. 2001. Т 3, 10, стр. 83
2. Преображенский Д.В., Сидоренко Б.А., Шатунова И. М., Марьенич А.В. Место диуретиков в лечении АГ. Индап. Москва, 2000.
3. Smith T.W., Brannwald E. The management of heart failure // Heart Disease. 1984. 587.
4. Grantham J.J., Chonko A.M. The physiological basis and clinical use of diuretics. Sodium and Water Homeostasis. New York, 1978, 179.
5. Шилов А.М., Князева С.А., Ушакова М.В. Бета-блокаторы в лечении АГ. Российские медицинские вести. 2001, VI, 4, стр. 31.
6. Joint National Committee on Prevention, Detection, Evaluation and Treatment of High Blood Pressure. // Arch. Intern. Med. 1997, V 157, 213.
7. Евсиков Е.М. Индапамид - современный гипотензивный препарат с сочетанием механизмов действия. Индап. Москва. 2000. 26.
8. Stimpel M. Arterial hypertension. Berlin - New York, 1996, 8.
9. Kaplan N.M. Clinical hypertension. 7 edition. Baltimore, 1998.
10. Opie L.H. Drugs for the heart. 4-edition. Philadelphia, 1995.
11. Ames R.P. A comparison of blood lipid and blood pressure responses during the treatment of systemic hypertension with indapamide and with thriazides. // Amer. J. Cardiol. 1996, 77, 128 - 168.
12. Psaty B., Smith N.L., Siscovick D.S. and all. Health outcomes associated with antihypertensive therapies used as first-line agents. A systematic review and meta-analysis. JAMA, 1997, 277, 739.
13. Ogilvie R.I. Diuretic treatment in essential hypertension. // Current Medical Research and Opinion. 1983, N8, 53.
14. Gbeassor F.M., Grose J.H., Le Bel M. Influence of diuretics on prostaglandin and thromboxane synthesis. // Clin. and Invest. Med., 1982, N5. 26.
15. Passeron J., Panly N., Despart J. International multicentre study of indapamide in the treatment of essential arterial hypertension. Postgrad. // Med. J., 1981, V 57, 53.
16. Куимов А.Д., Ложкина Н.Е., Казина Н.П. Лечение больных ХСН с синдромом АГ индапамидом в капсулированной форме и эналаприлом. Индап. Москва. 2000. 77.
Читайте также:

