Неопухолевые болезни симулирующие меланому заднего отдела сосудистой оболочки глаза
Добавил пользователь Евгений Кузнецов Обновлено: 01.01.2026
ГБОУ ДПО «Российская медицинская академия последипломного образования» Минздрава России, Москва
ФГБУ "НИИ глазных болезней" РАМН, Москва
ФГБУ «Поликлиника №1» Управления делами Президента Российской Федерации, Сивцев Вражек пер., 26/28, Москва, Российская Федерация, 119002
Невусы хориоидеи: особенности клинического течения
Журнал: Вестник офтальмологии. 2015;131(1): 5‑11
Частота невусов хориоидеи (НХ) варьирует в пределах 1—10%. Дифференцировать маленькую меланому и малигнизированный НХ трудно. Для обозначения нетипичных невусов, занимающих промежуточное место между невусом и истинной меланомой хориоидеи, используют термины «прогрессирующий невус» и «подозрительный невус». Риск трансформации НХ в меланому колеблется в пределах 0,78—7%, что требует детализации их клинической картины. Цель — изучить особенности клинической картины невусов хориоидеи с учетом характера их роста. Материал и методы. Наблюдали 80 (84 глаза) пациентов с НХ, мужчин 23, женщин 57; средний возраст 65,33±3,26 года. Срок наблюдения составил 12—48 мес. В 26 (30,95%) случаях выявлено комбинированное поражение: НХ и возрастная макулярная дегенерация. Результаты. НХ чаще встречается у женщин (71,25%). В правом глазу НХ локализован в 36 глазах, в левом — в 48. Билатеральный НХ наблюдали в 5% случаев. Длительность наблюдения 12—48 мес. Юкстапапиллярно НХ локализовался в 11,9%, 29,76% — в макулярной зоне. В 10 глазах НХ распространялся на пара- и фовеолярную зоны. Для НХ типична округлая форма (73,8%), овальную форму имели 26,2%. Вариации диаметра НХ при первичном обращении составили 1—9 мм (среднее 2,93 мм). Выделены признаки стационарных невусов, не требующих наблюдения. Увеличение размеров НХ, появление изменений в надлежащей сетчатке свидетельствуют о его прогрессии. Заключение. По клинической картине НХ следует классифицировать на стационарные и прогрессирующие. Наличие признаков прогрессирования в нем диктует необходимость тщательного наблюдения пациентов. Увеличение признаков прогрессирования деструкции в надлежащей сетчатке, появление первых признаков нарушения зрительных функций — факторы высокого риска развития меланомы.
Невус хориоидеи (НХ) — доброкачественная опухоль, начинающая свой рост в наружных ее отделах. Большая часть невусов возникает с рождения, но пигментация их проявляется значительно позже. Чаще их обнаруживают случайно на четвертом десятилетии жизни. По данным литературы 60—90-х годов XX в., частота НХ варьирует в пределах 1—10% [1, 2]. Прицельное исследование, проведенное во время общей аутопсии, выявило НХ в 6,5% глаз [3]. Последующие клинические наблюдения показали присутствие НХ у 6—6,5% взрослого населения [2, 4]. Этот показатель, вероятнее всего, значительно выше и зависит от тщательности офтальмоскопии и степени окраски невуса. К примеру, G. Brown и соавт. [5], прицельно обследовав 800 человек, по офтальмоскопическим признакам диагностировали НХ у 374 (46,75%) обследованных, причем 5,1% невусов оказались беспигментными. Клинически Н.Х. выявляют в возрасте 18—84 лет (средний возраст 56, 62—69 лет и даже 74 года) [6—9]. Около 89% невусов расположены в заднем полюсе глаза, 11% — в области экватора и в преэкваториальной зоне. Ранее Н.Х. определяли как одиночное пигментированное поражение хориоидеи синевато-серого или серого цвета с максимальным диаметром до 500 мкм [2].
В большинстве случаев опухоль плоская, может проминировать, но не более 0,33 мм [10]. В последние годы в литературе наметилась тенденция относить к НХ пигментные образования, превышающие указанные параметры в 32 и 11 раз соответственно [8, 9, 11]. В то же время длительные наблюдения свидетельствуют, что при диаметре НХ 5 мм и толщине 1,5 мм озлокачествление его в течение года наступает у 2%, через 5 лет — у 9%, а через 10 лет — у 13% пациентов [11]. Большинство меланом хориоидеи, которые в конечном счете приводят к гематогенному метастазированию, на момент выявления и начала лечения имеют размер 7×2 мм [10, 12, 13]. Связано это с тем, что дифференцировать маленькую меланому и малигнизированный НХ чрезвычайно трудно. На протяжении многих лет это служило причиной использования различной терминологии для характеристики НХ. С 30-х годов прошлого столетия такие исследователи, как H. Wagener (1930), A. Reese (1957), W. Green (1985) и E. Albers (1997) рассматривали НХ как доброкачественную меланому, но меланома по сути своей не может быть доброкачественной. С конца 90-х годов ХХ века для обозначения нетипичных невусов, занимающих по офтальмоскопической картине промежуточное место между невусом и истиной меланомой хориоидеи, в литературе начали использовать термины «прогрессирующий невус» [14] и «подозрительный невус» [15]. Поскольку в целом риск трансформации НХ в меланому колеблется в пределах 0,78—7% [9, 11, 16, 17], возникает объективная необходимость детализации клинической картины НХ, не представляющих угрозу жизни пациента, и раннее выявление малигнизированных невусов. Цель — изучить особенности клинической картины невусов хориоидеи с учетом характера их роста.
Материал и методы
Всего под наблюдением находятся 80 пациентов с НХ (84 глаза), средний возраст 65,33±3,26 года. Мужчин — 23 (23 глаза), средний возраст 63,05±5,75 лет, женщин — 57 (61 глаз), средний возраст 66,71±3,96 года. Средний срок наблюдения составил 1,74±0,2 года (12—48 мес.). В 26 случаях выявлено комбинированное поражение: НХ и возрастная макулярная дегенерация (ВМД).
Во всех случаях НХ обнаружили случайно во время диспансерного осмотра или при офтальмоскопии в связи с жалобами пациентов на снижение зрения.
Всем пациентам проведено стандартное офтальмологическое обследование и при необходимости применены специализированные методы: ультразвуковое исследование (УЗИ) с прицельным сканированием в зоне локализации НХ и цифровая фоторегистрация глазного дна. Результаты сопоставляли с данными архивных фотографий глазного дна. При наличии дополнительных включений на его поверхности выполняли аутофлюоресценцию (АФ), флюоресцентную ангиографию глазного дна (ФАГ) и оптическую когерентную томографию сетчатки (ОКТ). Оценивали следующие параметры невуса: форму, максимальный диаметр, проминенцию и его локализацию (в том числе удаленность от макулярной зоны), степень интенсивности окраски, наличие или отсутствие друз на поверхности невуса и других включений.
Статистическую обработку выполняли в программе Microsoft Excel.
Результаты и обсуждение
Возраст, когда впервые выявляют НХ, колеблется, по данным литературы, от 4 до 87 лет (в среднем 57 лет) [18]. В наблюдаемой группе больных с НХ (80 человек) средний возраст оказался несколько выше как среди мужчин, так и среди женщин, что можно объяснить меньшей возрастной вариацией (20—84 года). Этим же можно объяснить и достаточно высокий процент сочетанного поражения: ВМД и НХ (30,95%).
Мнения о гендерной предрасположенности к НХ разноречивы: новообразование выявляли у 60% женщин и 40% мужчин [18] или наоборот, значительно чаще у мужчин [19]. По нашим данным, НХ чаще встречаются у женщин (71,25%), что соответствует частоте меланом хориоидеи: у женщин она составляет 65,55%, у мужчин — 34,45% [20].
В правом глазу НХ был выявлен несколько реже (36 глаз), в левом — чаще (48 глаз). В 4 случаях (5%, все женщины) НХ имели билатеральную локализацию. Длительность наблюдения составила 12—48 мес (в среднем 1,74±0,2 года). Локализация Н.Х. представлена на рис. 1. Преимущественно невусы располагались в темпоральной половине (68,67%), в назальной половине и по средней линии — практически одинаково часто (14,28 и 15,47% соответственно). Юкстапапиллярную локализацию невусов наблюдали в 11,9%, в макулярной зоне — в 29,76% случаев. В 10 глазах НХ распространялся на пара- и фовеолярную зоны (рис. 2). Соответственно локализации невуса у всех больных отсутствовали изменения в поле зрения в виде абсолютных или относительных скотом. Именно сохранность зрения, в том числе периферического, характерна для истинных НХ [7]. Максимальный диаметр и форма НХ представлены в табл. 1. Толщина их, по данным эхобиометрии, составила от 0 до 1 мм.

Таблица 1. Форма и диаметр невусов хориоидеи

Рис. 1. Схема распределения невусов хориоидеи (84 глаза). Объяснение в тексте.

Рис. 2. Фотографии глазного дна — стационарные невусы хориоидеи с полным сохранением зрительных функций. а — парамакулярный; б — парафовеолярный.
Оказалось, что для НХ более типична округлая форма (73,8%), овальную форму наблюдали в 26,2% всех случаев.
Вариации максимального диаметра НХ при первичном обращении составили 1—9 мм (в среднем 2,93 мм). В процессе роста организма возможно увеличение и невусов. Не так давно было показано, что диаметр НХ может увеличиваться в среднем на 0,06 мм в год, более часто это наблюдали у лиц моложе 40 лет [18, 21]. Исходя из этих данных, можно полагать, что с учетом факта появления НХ с рождения истинно доброкачественные образования к моменту их выявления (шестая декада жизни) не должны превышать 4—5 мм в диаметре. Как показывают наши данные, при среднем возрасте пациентов 65,33±3,26 года выявленные НХ имели максимальный диаметр до 5 мм в 84,52% случаев, и только у 4,76% обследованных он оказался более 7 мм. Между тем в последние годы к НХ рекомендуют относить пигментные новообразования хориоидеи с большими вариациями диаметра (3—16 мм) и толщины (0,8—3,6 мм) [8, 11, 18, 22], и это при том, что 4,5—7% НХ малигнизируются [9, 11, 23]. Учитывая наблюдаемую корреляцию величины диаметра НХ с частотой их озлокачествления, предлагаемое в литературе увеличение диаметра для хориоидального невуса не допустимо.
Поверхность невуса может быть окрашена в достаточно ровный интенсивно коричневый или аспидно-серый цвет (табл. 2), границы образования четкие и неровные. Равномерно пигментированную окраску НХ наблюдали чаще при небольших невусах, размеры которых с учетом возраста пациентов на протяжении длительного времени практически не менялись. С помощью ФАГ и АФ выявляли гипофлюоресценцию, а на ОКТ над невусом — небольшую пролиферацию пигментного эпителия (ПЭ) при отсутствии изменений в надлежащей сетчатке (рис. 3).

Таблица 2. Характеристика окраски невусов хориоидеи

Рис. 3. Фотография (а), ФАГ (б) и ОК-томограмма (в) глазного дна больного Б., 56 лет. Диагноз: невус хориоидеи. б — отсутствие накопления красителя в новообразовании; в — над невусом незначительная пролиферация ПЭ.
Создается впечатление, что аспидно-серая окраска появляется по мере увеличения размеров невуса. Можно предположить, что подобный признак обусловлен возникающими в надлежащей сетчатке изменениями. Действительно, при ОКТ у таких пациентов выявляли наличие субретинальной жидкости, друзы (от единичных до множественных) (рис. 4, а) и изменения в надлежащем ПЭ (см. рис. 4, б). Появлению друз на поверхности и вокруг НХ можно найти объяснение в крайне медленном увеличении образования за счет его «биологической активности». Появление незначительной транссудации в надлежащей сетчатке при НХ обусловлено нарушением ассоциативных связей ПЭ и подлежащих хориокапилляров [24, 25]. Эти изменения в прилежащих сосудах хориоидеи возникают вследствие пропотевания флюоресцеина в момент исследования. Образующиеся друзы формируют микродефекты в пигментном эпителии, что сопровождается пятнистым окрашиванием поверхности невуса. Флюоресцировать друзы начинают в течение 1-й минуты ангиографии, свечение их сохраняется на протяжении всего периода исследования. Флюоресцирующие друзы располагаются на поверхности невуса и по его окружности. Как правило, при ангиографии визуализируется значительно большее количество друз, чем при офтальмоскопии (рис. 5). Описанные изменения, свидетельствующие о прогрессии НХ, встречаются нечасто. В наблюдаемой нами группе пациентов прогрессирующие невусы выявили в 14 (16,67%) из 84 глаз. Таким образом, НХ можно представить двумя типами: стационарным и прогрессирующим.

Рис. 4. Фотография (а) и ОКТ (б) глазного дна больной Ч., 54 года. Диагноз: невус хориоидеи. Объяснение в тексте.

Рис. 5. Фотография (а), ФАГ (б), АФ (в) глазного дна больного П., 82 года. Диагноз: прогрессирующий невус. ПОУГ. Миопия высокой степени. Объяснение в тексте.
Отсутствие в литературе четкого подразделения НХ с учетом их состояния (стационарного или прогрессирующего) привело к тому, что в качестве включений на поверхности НХ начали описывать геморрагии [26] и оранжевый пигмент [8, 26, 27]. C этим положением нельзя согласиться, так как еще в 1973 г. было показано, что быстрая аккумуляция липофусцина клетками ПЭ и макрофагами над опухолью хориоидеи есть признак ее бесспорной злокачественности [28]. Последующие клинические наблюдения, исследования с использованием ФАГ и АФ подтвердили значимость симптома «полей оранжевого пигмента» для постановки диагноза меланомы хориоидеи [17, 28, 29].
При определении прогрессирования невуса, локализующегося в макулярной зоне, во избежание ошибки следует учитывать возможность присутствия инволюционных дистрофических изменений в надлежащей сетчатке у лиц старших возрастных групп (рис. 6). В подобной ситуации помогает офтальмоскопия глазного дна парного глаза: наличие дистрофических изменений в макулярной зоне подтверждает инволюционный характер изменений в сетчатке и ПЭ [30].

Рис. 6. Фотографии правого (а) и левого (б) глазного дна больной Б., 76 лет. Диагноз: OU — ВМД, сухая форма; OD — стационарный невус хориоидеи.
Разделение НХ на стационарные и прогрессирующие имеет принципиальное значение для выработки индивидуальной тактики ведения больного [14]. Стационарные Н.Х. не требуют лечения. Прогрессирующие Н.Х. при первом визите пациента нередко представляют затруднения при дифференциации их с начальной меланомой хориоидеи (рис. 7).

Рис. 7. Фотография (а) глазного дна и ФАГ (б) больной Л., 56 лет. Диагноз: начальная меланома.
К факторам, свидетельствующим в пользу меланомы, относят толщину образования от 2 мм и более, наличие субретинальной жидкости, симптома «полей оранжевого пигмента» [11]. Возможность озлокачествления прогрессирующих НХ, сложность их дифференциации с начальной меланомой определяют тактику ведения таких больных: прогрессирующие НХ, локализующиеся вне макулярной зоны, подлежат локальному разрушению.
Заключение
Частота НХ значительно больше, чем их выявляют при офтальмоскопии. Возможность роста образования, его озлокачествления позволяет рекомендовать тщательную офтальмоскопию по всем меридианам при обращении пациентов к офтальмологу. По клинической картине НХ следует классифицировать на стационарные и прогрессирующие. Наличие признаков прогрессирования в нем диктует необходимость тщательного наблюдения за такими пациентами. Появление первых симптомов снижения зрительной функции, приобретение невусом более сероватой окраски (увеличение субретинальной жидкости) требуют проведения локального лечения.
Меланома хориоидеи
Меланома хориоидеи - это злокачественное новообразование сосудистой оболочки глаза с преимущественно гематогенным путем метастазирования. Клинически наиболее часто проявляется болевым синдромом, снижением остроты зрения, фотопсиями и метаморфопсиями. Диагностика заключается в проведении биомикроофтальмоскопии, офтальмоскопии, флуоресцентной ангиографии, ультразвукового доплеровского цветного картирования, КТ и МРТ. Распространенными методами лечения меланомы хориоидеи являются лучевая терапия и энуклеация. Также возможны проведение брахитерапии с диод-лазерной термотерапией, эндовитреальное удаление опухоли и эндорезекция меланомы хориоидеи.
Общие сведения
Меланома хориоидеи - это генетически-детерминированная опухоль, которая развивается спорадически или у лиц с отягощенным семейным анамнезом по поводу данного заболевания. Впервые меланому хориоидеи описал Г. Бартиш в 1563 году. Детальная характеристика заболевания в офтальмологии была представлена в 1819 году французским врачом Рене Лаэннеком. Согласно статистическим данным, около 70% от всех злокачественных опухолей глаз занимает увеальная меланома. Общая распространенность в популяции составляет 9:1000000. Наиболее часто патология встречается в скандинавских странах, Франции и Израиле. Неоплазия чаще развивается у людей со светлыми глазами. Меланому хориоидеи обычно диагностируют в возрасте 50-60 лет. Дети болеют очень редко, казуистическими являются случаи заболевания у младенцев. Большему риску развития онкологического новообразования подвержены лица белой расы, мужчины страдают данным заболеванием реже женщин.
Причины меланомы хориоидеи
Зачастую этиологию меланомы хориоидеи установить не удается, поскольку опухоль развивается спорадически. Прослеживается генетическая предрасположенность к развитию этой патологии. В 0,37% случаев заболевание носит семейный характер. Триггерами являются мутации гена GNAQ или GNA11. Патологические изменения в одном из генов исключают развитие изменений в другом, поскольку при обеих мутациях в процесс вовлечен кодон Q209 (5 экзон) или R183 (4 экзон). Редкая причина меланомы хориоидеи - аномалии генов BRAF, NRAS. При этом имеют место мутации 3 (моносомия), 6 или 8 (трисомия) хромосомы.
Существенные отличия молекулярно-генетического профиля меланомы хориоидеи приводят к тому, что современные методы лечения меланомы других локализаций оказываются неэффективными в отношении этой формы заболевания. Появлению патологического новообразования обычно не предшествуют изменения со стороны сосудистой оболочки, реже меланома образуется на месте невуса хориоидеи или окулодермального меланоза. Предрасполагающими факторами являются голубой цвет глаз, 1 и 2 фототипы кожных покровов по Фицпатрику. Отрицательное влияние ультрафиолетового излучения на развитие новообразований хориоидеи не доказано.
Симптомы меланомы хориоидеи
Клинические проявления меланомы хориоидеи разнообразны и зависят от размеров и типа роста новообразования. Выделяют узловой, диффузный и чашеобразный характер роста. Для опухоли более свойственна постэкваториальная локализация, реже - преэкваториальная или экваториальная. Как правило, в патологический процесс вовлечен только один глаз. Билатеральные формы встречаются только у 2% пациентов. В большинстве случаев поражаются височные отделы хориоидеи. На начальных стадиях развития меланома хориоидеи имеет вид небольшого округлого образования желто-коричневого или серого цвета с незначительным возвышением. При диаметре опухоли не более 6-7 мм ее сложно отличить от невуса. При этом для заболевания характерно латентное течение, зачастую патологию диагностируют в ходе планового осмотра.
Вместе с тем, развитие меланомы хориоидеи в центральных отделах может сопровождаться снижением остроты зрения, искаженным восприятием формы, величины или цвета предметов, появлением дефектов полей зрения в виде скотом. Эпизоды фотопсий воспринимаются пациентами как «блестящие шары света», которые склонны мигрировать с одних участков поля зрения к другим. Данные явления возникают 2-3 раза в день и появляются при сумеречном освещении. Болевой синдром при меланоме хориоидеи связан с развитием вторичной глаукомы или увеита.
Рост патологического новообразования приводит к сдавливанию собственных вен опухоли или сосудов хориоидеи, расположенных вокруг меланомы. Компрессия венозного аппарата сопровождается транссудацией жидкости с последующим присоединением экссудативного компонента на фоне некротических изменений, вызванных быстрым развитием патологического процесса. Таким образом, по мере увеличения размера новообразования развивается локальная отслойка сетчатки, которая в последующем достигает большой протяженности. В случае диффузного роста меланомы хориоидеи вторичная отслойка может сочетаться с клапанным разрывом. При этом наряду с фотопсиями и метаморфопсиями пациенты отмечают у себя появление черных точек, «мушек» или «пелены» перед глазами.
Для меланомы хориоидеи при экваториальной локализации характерно появление синдрома Ирвина-Гасса. В зоне патологического новообразования развивается клиническая картина васкулита и периваскулита. Повышенная проницаемость сосудов хориоидеи приводит к отеку макулярной области в дистальных отделах. Пациенты предъявляют жалобы на размытость, искаженность и розовый оттенок изображения перед глазами, повышенную чувствительность к свету. Кроме того, при синдроме Ирвина-Гасса может наблюдаться циклическое снижение остроты зрения в определенное время суток (чаще утром).
Наиболее распространенными симптомами меланомы хориоидеи являются «туман» или плавающие помутнения черного или красного цвета перед глазами, фотопсии и внезапное снижение остроты зрения. Возможно развитие гемофтальма. Часто данное патологическое состояние по своим клиническим проявлениям напоминает хориоретинальную макулодистрофию. В свою очередь, токсические вещества, выделяющиеся при распаде опухоли, вызывают развитие увеита. Частота возникновения воспалительных процессов напрямую зависит от клеточного состава опухоли. Изначально в большинстве случаев наблюдается хориоидит, который является почвой для возникновения заднего увеита или склерита. Как правило, воспалительные поражения структур органа зрения выявляются при диаметре меланомы хориоидеи более 15 мм и толщине более 5 мм. Некротические изменения опухоли приводят к эндофтальмиту или панофтальмиту. При этом пациенты предъявляют жалобы на сильную боль пораженного глаза с иррадиацией в одноименную половину головы, отечность и покраснение век.
Меланома хориоидеи относится к числу злокачественных новообразований со склонностью к гематогенному метастазированию. Наиболее часто метастазы определяются в печени и легких, на терминальных стадиях возможно их обнаружение во всех органах и тканях организма.
Диагностика меланомы хориоидеи
Диагностика меланомы хориоидеи основывается на анамнестических данных, результатах биомикроофтальмоскопии, офтальмоскопии, флуоресцентной ангиографии, ультразвукового доплеровского цветного картирования, компьютерной томографии (КТ) и магнитно-резонансной томографии (МРТ). Отягощенный семейный анамнез может указывать на наследственную предрасположенность к меланоме или на то, что онкологический процесс является одним из проявлений первично-множественной опухоли.
Методом офтальмоскопии определяется наличие патологического образования на поверхности хориоидеи, устанавливаются его размеры, характер роста и форма. Зачастую меланома хориоидеи покрыта друзами и «полями оранжевого пигмента», которые представлены отложением зерен липофусцина. Появление данного диагностического критерия указывает на быстрое прогрессирование заболевания. При детальном изучении поверхностной структуры меланомы хориоидеи методом биомикроофтальмоскопии удалось установить, что цвет липофусцина зависит от природы и окраски опухоли. Поэтому коричневый или розово-коричневый оттенок неоплазии не может исключить симптом «поля оранжевого пигмента».
Кроме того, офтальмоскопия позволяет выявить новообразованные сосуды при толщине опухоли 3,5 мм и более. Для их обнаружения на ранних этапах развития меланомы хориоидеи выполняется флуоресцентная ангиография. Этот метод делает доступным для визуализации первые признаки ангиогенеза при толщине новообразования в 1,3 мм. При большом размере опухоли сосуды выглядят толстыми, короткими, с выраженными деформациями структуры, отмечается склонность к образованию хаотической сети. Сосудистые аномалии предрасполагают к развитию кровоизлияний в ткань меланомы хориоидеи и прилежащие структуры глаза, что также можно установить при проведении офтальмоскопического исследования. При ультразвуковом допплеровском цветном картировании выявляются ретинотуморальные шунты. КТ и МРТ осуществляются в предоперационном периоде для точного определения размера и локализации неоплазии, а также для выявления метастазов в другие органы и ткани.
Лечение меланомы хориоидеи
Тактика лечения меланомы хориоидеи зависит от размера, локализации и распространенности патологического процесса. Применяются такие методы, как лучевая терапия (органосохраняющая методика) и оперативное вмешательство, заключающееся в энуклеации глаза. К полному удалению глазного яблока прибегают при обширном диффузном росте опухоли или большом размере узловой меланомы хориоидеи. Альтернативными вариантами являются брахитерапия глаза с диод-лазерной термотерапией, эндовитреальное удаление опухоли, эндорезекция меланомы и различные комбинированные методики. Проведение эндорезекции совместно с брахитерапией возможно даже при больших размерах новообразования. Все виды оперативного вмешательства должны выполняться в соответствии с принципами абластики.
Прогноз и профилактика меланомы хориоидеи
Специфических мер по профилактике меланомы хориоидеи не разработано. Прогноз для жизни и трудоспособности зависит от стадии онкологического процесса, размера и локализации опухоли. Смертность при диаметре новообразования до 10 мм составляет 16%, при диаметре более 15 мм - 53%. Для ранней диагностики и лечения меланомы хориоидеи необходимо проходить регулярные осмотры офтальмолога с проведением визиометрии, тонометрии, офтальмоскопии и биомикроскопии. При диффузном росте или большом диаметре узловой формы существенно снижается острота зрения вплоть до полной слепоты. При невозможности проведения органосберегающей операции, показана энуклеация глаза. Данное оперативное вмешательство влечет за собой инвалидизацию пациента.
Меланома хориоидеи — это пигментная опухоль злокачественного характера собственной сосудистой оболочки глаза (хориоидеи). Данная опухоль является одной из самых частых внутриглазных новообразований. Меланома хориоидеи является основной причиной смертности и инвалидизации онкобольных с поражением органа зрения. Заболевание может протекать практически бессимптомно, но при этом имеет высокую склонность к метастазированию, поэтому проблема ее выявления на начальных стадиях является крайне актуальной.
Этиологические факторы
Большинство случаев меланомы хориоидеи являются спорадическими, то есть обусловлены теми или иными мутациями клетки-предшественницы меланоцитарного звена, которая может дать начало патологическому опухолевому клону. Кроме того, есть предположение о наследственной причине данного заболевания. Воздействие такого типичного провоцирующего фактора для меланомы кожи, как повышенная инсоляция, для этой опухоли также не исключается.
В группе риска находятся пожилые люди (средний возраст манифестации опухоли — 60 лет). Немного чаще болеют мужчины. Склонны к появлению меланомы хориоидеи обладатели светлой кожи и волос, невусов и веснушек.
Клиническая картина
Жалобы пациентов зависят от размера и локализации меланомы хориоидеи, а также от наличия сопутствующих осложнений, к которым относятся: отслойка сетчатки вторичного характера, появление дегенеративных процессов в сетчатке, помутнение хрусталика.
На первичном приеме у офтальмолога обычно определяется снижение остроты зрения, появление перед глазом слепых участков (скотом), гемианопсий (выпадения половин поля зрения). В случае позднего обращения, больные жалуются на боль в глазу (вторичная глаукома), расширение сети сосудов. Также на склере может определяться пигментное пятно (экстраокулярный рост новообразования).
Стадии развития меланомы хориоидеи
Согласно международной классификации различают 4 стадии развития данной опухоли. Критерии распространенности опухолевого процесса:
- Т1 — размер меланомы 10 мм и менее, толщина — 2,5 мм и менее.
- Т2 — размер новообразования 10-16 мм, наибольшая толщина составляет 2,5-10 мм.
- Т3 — размером 16 мм и/или толщина более 10 мм без распространения за пределы глазного яблока.
- Т4 — наибольший размер опухоли 16 мм и/или толщина более 10 мм с распространением за пределы глазного яблока.
Также выделены 4 клинические стадии меланомы хориоидеи. Для каждой из них характерны определенные симптомы заболевания:
- Для первой, так называемой стадии «спокойного глаза», свойственно отсутствие ярких клинических проявлений и жалоб. Возможно наличие помутнения сетчатки, также могут определяться дефекты поля зрения.
- Вторая стадия характеризуется появлением боли в глазах, воспаления, покраснения глазного яблока, отека век.
- На третьей стадии меланома хориоидеи выходит за границы глазного яблока, формируется экзофтальм, склера теряет целостность.
- Четвертая стадия сопровождается генерализацией процесса. Общее состояние пациента ухудшается. Больные жалуются на сильную боль, снижается масса тела, нарастает интоксикация. Появляются метастазы меланомы внутренних органов: печени, легких, костей. Поражение того или иного органа провоцирует появление соответствующих симптомов. Может выявляться дальнейшее снижение остроты зрения, чувство пелены или тумана перед глазами. Данные проявления вызываются кровотечениями в стекловидное тело, помутнением хрусталика.
Симптомы второй и третьей стадии меланомы хориоидеи ярко выражены при расположении опухоли в центральной или парацентральной части глазного дна. Для периферической локализации новообразования характерно длительное отсутствие субъективных ощущений. В этом случае меланома выявляется либо случайно, либо на стадии распада опухоли и ее вторичных проявлений.

Виды меланомы глаза
Разработана классификация меланомы хориоидеи по морфологическому признаку. В зависимости от клеточной структуры, выделяют следующие типы данной опухоли:
- Веретеноклеточный.
- Эпителиоидный.
- Смешанный (микстмеланома).
- Фасцикулярный.
- Некротический.
Данная классификация имеет определенные недостатки, так как некротическая меланома хориоидеи определяется клинически, а вот определить ее клеточную принадлежность из-за обширного некроза невозможно. Веретенообразный и фасцикулярный тип имеют сходный прогноз. В связи с этим, в настоящее время морфологически принято выделять только 2 типа: веретеноклеточный и эпителиоидный. Смешанная форма занимает промежуточное положение. Ее прогноз зависит от преобладания тех или иных клеток. Наименее благоприятной прогностически считается эпителиоидноклеточная меланома хориоидеи.
Диагностика
Учитывая клинические особенности меланомы хориоидеи, ее диагностика, особенно на начальных этапах, представляет определенные трудности. Помимо анализа жалоб больного и клинико-анамнестических данных, учитываются результаты следующих инструментальных исследований:
- Биомикроскопии.
- Офтальмоскопии.
- Ультразвукового исследования глаза.
- Диафаноскопии и др.
Меланома хориоидеи является новообразованием с высоким риском появления метастазов. Поэтому при обследовании пациента необходимо использовать также методы диагностики метастатических очагов: УЗИ органов брюшной полости и лимфатических узлов, рентгенографию легких, КТ, МРТ.

Способы лечения меланомы хориоидеи
Выделяют органосохраняющие методы лечения данной опухоли и хирургический метод без сохранения глаза. В случаях, когда не удается сохранить глаз, производят энуклеацию — изолированное удаление глазного яблока или экзентерацию — иссечение вместе с глазным яблоком всего содержимого орбитальной полости.
Показания к энуклеации:
- Опухоль значительного размера.
- Распространение меланомы на диск зрительного нерва.
- Полное отсутствие зрительной функции.
- Экстрабульбарный рост опухоли.
- Вторичная глаукома.
После удаления глазного яблока, проводится имплантация внутреннего протеза и последующее наружное протезирование. Эти меры позволяют не только достичь хорошего косметического результата, но и препятствуют деформации лица.

К органосохраняющим методам лечения меланомы хориоидеи относятся:
Лучевая терапия. В зависимости от способа подведения излучения, лучевую терапию при данном заболевании проводят контактным или дистанционным способом. Контактное облучение, или брахитерапия, представляет собой имплантацию радиоактивных элементов вблизи очага меланомы.
Показания к проведению брахитерапии:
- Отсутствие признаков распада.
- Диаметр новообразования до 15 мм.
- Отстояние от диска зрительного нерва не менее 2 диаметров самого диска.
Брахитерапия является самым эффективным методом органосохраняющего лечения при меланоме хориоидеи. Его применение способно снизить вероятность образования метастазов опухоли.

В составе системного лечения, актуально проведение иммунной терапии. Также при оказании помощи больным с меланомой хориоидеи в поздних стадиях учитываются особенности ее метастазирования. Для данной опухоли характерно изолированное поражение печени метастазами. В таких случаях с успехом применяется химиоэмболизация данного органа.
Такой распространенный метод лечения меланомы кожи, как таргетная терапия, при меланоме хориоидеи не применяется, так как при данном виде опухоли отсутствуют специфичные BRAF-мутации.
Профилактика и диспансерное наблюдение
Рекомендовано пожизненное наблюдение за больными, которые получали лечение меланомы хориоидеи. После проведения лучевой терапии и удаления новообразования, офтальмолог должен осматривать пациентов каждые полгода в течение 2 лет, а далее — 1 раз в год. С целью раннего выявления метастазов назначают УЗИ органов брюшной полости и рентгенографию легких 1-2 раза в год.
Прогноз для жизни при меланоме хориоидеи
Продолжительность жизни при данном виде рака зависит от локализации и размера опухоли, возраста пациента, морфологии новообразования, проведенного лечения и других особенностей. Пятилетняя выживаемость на начальных стадиях меланомы хориодиеи после применения органосохраняющих радикальных методов составляет 93%, десятилетняя — 89%. На поздних стадиях, при выявлении метастазов печени медиана выживаемости составляет лишь 4-6 месяцев. Для пациентов с метастатическим поражением других органов годичная выживаемость составляет 76%.
Опухоли хориоидеи
Опухоли хориоидеи - это группа патологических образований сосудистой стенки, которая включает в себя невус, увеальную меланому и гемангиому. В течение длительного промежутка времени клинические симптомы отсутствуют. Снижение остроты зрения и страбизм возникают только при увеличении диаметра новообразования. Диагностика опухолей хориоидеи основывается на проведении офтальмоскопии, визометрии, ФАГ, биомикроскопии, ОКТ, УЗД. В зависимости от формы заболевания тактика лечения сводится к проведению лазерной коагуляции, криотерапии, брахитерапии, фотодинамической терапии, транспупиллярной термотерапии. При отсутствии эффекта или большом размере опухоли хориоидеи показана энуклеация.
Опухоли хориоидеи - это доброкачественные или злокачественные новообразования сосудистой оболочки глазного яблока. Невус - наиболее распространённое доброкачественное образование органа зрения. Частота его выявления при офтальмоскопии составляет 2%. В тоже время, при аутопсии данную патологию диагностируют у 6,5-20% пациентов. У лиц женского и мужского пола невусы определяются в равной степени. Распространенность увеальной меланомы среди всех патологий глаз составляет 5%. Риск образования этой опухоли хориоидеи существенно увеличивается с возрастом больного и после 69 лет с каждым годом возрастает на 50 случаев (из расчета на 1 млн. населения). Общая заболеваемость гемангиомой глаза среди общего числа интраорбитальных патологических новообразований составляет 0,76%. Данный вид опухоли хориоидеи встречается во всех возрастных группах, но чаще диагностируется после 10 и до 60 лет.
Причины
Зачастую опухоли хориоидеи развиваются спорадически. Однако в литературе описаны семейные случаи увеальной меланомы, что позволяет отнести ее к числу генетически детерминированных патологий. Дисфункция генов-супрессоров опухолевого роста (CDKN2A, CDK4) приводит к развитию хромосомных мутаций, локализирующихся на коротком плече 21 или длинном плече 14 хромосомы. Каскад патологических процессов включает в себя нарушение синтеза белков p16 и p14ARF. Развитию данной опухоли хориоидеи может предшествовать окулодермальный меланоз или нарушение пигментного обмена. Нередко она возникает в результате малигнизации прогрессирующего невуса, но наиболее распространенная причина появления неоплазии - мутация «de novo». С учетом морфологической картины различают веретеноклеточный, эпителиоидный и смешанный варианты увеальной меланомы. Специфическая окраска опухоли хориоидеи обусловлена отложением липофусциновых зёрен.
Гемангиома относится к числу гамартом. Причина образования - тканевая аномалия развития. Состав новообразования имеет те же компоненты, что и окружающие ткани, но степень его дифференциации и строение резко нарушены. Риск развития опухолей хориоидеи возрастает при длительном контакте с ультрафиолетовым излучением или на фоне солнечных ожогов глаз. В популяции заболевание чаще встречается среди лиц, в фенотипе которых присутствуют голубые глаза, светлая кожа и волосы, множественные невусы (более 50).
Симптомы опухолей хориоидеи
С клинической точки зрения выделяют сосудистые и пигментные опухоли хориоидеи. Также различают доброкачественные и злокачественные новообразования. К пигментным формам относят невусы (стационарные и прогрессирующие). В большинстве случаев это врожденный вид опухолей хориоидеи, но интенсивность пигментной окраски усиливается после 30-летнего возраста. Их выявляют в заднем полюсе глазного яблока, реже в экваториальной области или перед ней. Описаны случаи бинокулярного поражения органа зрения. Как правило, течение заболевания бессимптомное. Увеличение в размере прогрессирующего невуса в редких случаях приводит к снижению остроты зрения.
Клинические проявления увеальной меланомы зависят от ее диаметра и степени вовлечения в патологический процесс окружающих сосудов. Ангиогенез в области опухоли хориоидеи и изменения сосудистой стенки (утолщение и уплотнение) приводят к разрыву внутренней оболочки глазного яблока. Зачастую симптоматика отсутствует. В редких случаях пациенты предъявляют жалобы на вспышки света, снижение зрительных функций, появление «мушек» или «чёрной занавеси» перед глазами. При большой распространенности опухолевого процесса у больных прогрессивно снижается острота зрения.
Гемангиома относится к группе доброкачественных опухолей хориоидеи. Для нее характерен быстропрогрессирующий рост, который очень часто приводит к полной отслойке сетчатки. Первый симптом заболевания у взрослых - нарушение зрительных функций. В детском возрасте данная опухоль хориоидеи становится причиной страбизма. С клинической точки зрения выделяют ограниченную и диффузную формы. При ограниченном варианте формируется небольшой узел с четко очерченными краями. Клинические проявления мало выражены. При диффузном распространении опухолевого процесса, заболевание осложняется энцефалофациальным ангиоматозом (синдром Стерджа-Вебера).
Диагностика опухолей хориоидеи основывается на результатах офтальмоскопии, визометрии, флуоресцентной ангиографии, биомикроскопии, оптической когерентной томографии (ОКТ), ультразвукового исследования (УЗД) в В-режиме. При офтальмоскопии невусы имеют вид плоских, приподнятых над уровнем окружающих тканей образований размером до 0,1 см. В зависимости от выраженности пигментации их цвет варьирует от сероватого до серо-коричневого. Границы зачастую неровные, но с четкими очертаниями. Неровность контуров обусловлена прилежащими сосудами. Для невусов, лишенных пигмента, характерна овальная или округлая форма с ровными, но менее очерченными контурами. В отличие от прогрессирующих невусов, на поверхности стационарных присутствуют друзы. Для их дифференциальной диагностики проводится офтальмоскопия с цветными фильтрами. Красная окраска фильтра позволяет визуализировать данный тип опухоли хориоидеи, при зеленой патологическое образование не определяется.
Методом флуоресцентной ангиографии при стационарной форме выявляется снижение флуоресценции на протяжении всего обследования. При этом в окружающей сосудистой оболочке изменения не выявляются. Об изменениях хориоидеи свидетельствует пропотевание и яркое свечение красителя. При офтальмоскопии увеальной меланомы обнаруживается небольшой узелок с постэкваториальной локализацией. Опухоль хориоидеи - желто-коричневой или аспидной окраски с друзами на поверхности или в окружающих тканях. Методом ОКТ устанавливается точная локализация, размеры, степень распространения на окружающие ткани. У большинства пациентом при визометрии диагностируется снижение остроты зрения.
При проведении офтальмоскопии отграниченная гемангиома имеет вид небольшого узелка округлой формы с ровными контурами диаметром 0,3-1,5 см. Средняя толщина патологического образования составляет 0,3-0,4 см. Цвет данной формы опухоли хориоидеи - от светло-серого до темно-красного. Для дифференциальной диагностики гемангиомы от меланомы следует провести флуоресцентную ангиографию. При гемангиоме средний диаметр сосудов опухоли соответствует таковому сосудов хориоидеи, также на ее поверхности могут появляться небольшие очаги кровоизлияния. Из-за прогрессирующего ангиогенеза при меланоме новообразованные капилляры имеют меньший калибр и более извитой ход. На УЗД опухоли хориоидеи определяется ток крови и характерная пульсация сосудов, что позволяет подтвердить диагноз. Наружный осмотр проводится для выявления типичной симптоматики страбизма.
Лечение опухолей хориоидеи
Тактика лечения при опухолях хориоидеи зависит от формы заболевания. При появлении признаков, свидетельствующих о трансформации стационарного невуса в прогрессирующий, показана лазерная коагуляция. При обнаружении увеальной меланомы большого размера следует провести энуклеацию глазного яблока. Если диаметр патологического новообразования незначительный, а опухоль не распространяется за пределы первичного очага, рекомендована контактная лучевая терапия (брахитерапия глаза). Преимущество данного метода лечения опухолей хориоидеи - местное воздействие на меланому максимальной дозой лучевой терапии. При этом на окружающие ткани и критические органы излучение не влияет. Альтернативный вариант - транспупиллярная диод-лазерная термотерапия. Данный метод относится к числу малоинвазивных техник. При этом вся процедура проводится под визуальным контролем.
Выявление гемангиомы - это показание к проведению оперативного вмешательства, что обусловлено большим риском экссудативной отслойки сетчатки и снижения зрительных функций. В лечении отграниченной формы опухоли хориоидеи используется криотерапия, брахитерапия, фотодинамическая терапия и транспупиллярная диод-лазерная термотерапия. Высокой эффективностью обладает лазерокоагуляция в желтом спектре излучения. Тактика лечения сводится к облитерации кровеносных сосудов. Преимущество этой методики - ликвидация выпота экссудата из новообразованных сосудов за счет адгезии пигментного слоя и сенсорной сетчатки. Субретинальная жидкость при этом резорбируется.
Прогноз и профилактика
Специфических мер по профилактике опухолей хориоидеи в офтальмологии не разработано. Все пациенты с установленным диагнозом доброкачественного или злокачественного новообразования сосудистой оболочки должны находиться на диспансерном учете у офтальмолога. После проведения оперативного лечения периодически необходимо проходить профилактическое обследование у специалиста, ограничить пребывание на солнце, избегать работы при высокой температуре окружающей среды.
Прогноз для жизни и трудоспособности при стационарной форме невуса благоприятный. Прогрессирующий вариант следует рассматривать как предраковое состояние. Наиболее злокачественная среди опухолей хориоидеи - меланома, прогноз для жизни определяется стадией развития. Гемангиома сосудистой оболочки - прогностически благоприятное заболевание, однако у отдельных больных возможна полная потеря зрения.
Неопухолевые болезни симулирующие меланому заднего отдела сосудистой оболочки глаза
ГБОУ «Башкирский государственный медицинский университет» Минздрава России, Уфа
ГБУЗ "Офтальмологическая клиническая больница ДЗМ"
Увеальная шваннома, симулирующая меланому (клиническое наблюдение)
Журнал: Вестник офтальмологии. 2014;130(2): 50‑53
Гришина Е.Е., Нечеснюк С.Ю. Увеальная шваннома, симулирующая меланому (клиническое наблюдение). Вестник офтальмологии. 2014;130(2):50‑53.
Grishina ЕЕ, Nechesniuk SIu. Uveal schwannoma mimicking melanoma (case report). Vestnik Oftalmologii. 2014;130(2):50‑53. (In Russ.).
Представлено редкое клиническое наблюдение внутриглазной шванномы, локализующейся в предэкваториальной хориоидее и плоской части цилиарного тела, осложнившейся развитием вторичной глаукомы. Длительный анамнез заболевания и наличие стафиломы склеры позволили авторам предположить доброкачественный характер опухоли. Показанием для энуклеации явилось наличие вторичной болящей глаукомы. При гистологическом исследовании удаленного глаза выявили шванному сосудистой оболочки глаза. Несмотря на отсутствие патогномоничных признаков и редкую встречаемость, при обследовании больных с подозрением на увеальную меланому необходимо иметь в виду возможность внутриглазной шванномы.
Шваннома (неврилеммома, невринома) - медленно растущая доброкачественная опухоль из шванновских клеток оболочек нервов. Чаще всего встречается шваннома преддверно-улиткового нерва, на втором месте по частоте поражения находится тройничный нерв, однако эти опухоли могут возникать по ходу корешков любых черепных и спинномозговых нервов, за исключением зрительного и обонятельного, миелинизация которых обеспечивается олигодендроглией, а не шванновскими клетками.
Как правило, это изолированное поражение, не склонное к малигнизации, возникающее с одинаковой частотой у мужчин и женщин в среднем возрасте и составляющее около 5% от всех доброкачественных образований мягких тканей.
Шваннома увеального тракта встречается крайне редко 3. Источником ее развития являются цилиарные нервы сосудистого тракта. В литературе описываются единичные наблюдения увеальной шванномы. По данным J. Shieils (1973 г.), среди 955 энуклеаций, выполненных по поводу увеальной меланомы, только в 1 (0,1%) случае при гистологическом исследовании была выявлена шваннома. За последние 8 лет в Офтальмологической клинической больнице Департамента здравоохранения Москвы выполнены 333 энуклеации по поводу внутриглазной опухоли, не подлежащей органосохранному лечению. При гистологическом исследовании удаленного глаза увеальная шваннома диагностирована у одного больного, что составило 0,3%. Ввиду редкой встречаемости увеальной шванномы представляет интерес разбор каждого клинического случая. Мы посчитали возможным представить собственное наблюдение.
Б о л ь н а я Н., 56 лет, впервые обратилась в Офтальмологическую клиническую больницу в январе 2009 г. с жалобами на слепоту левого глаза и сильные боли в нем. Из анамнеза заболевания известно, что зрение левого глаза снижалось постепенно в течение 26 лет (последние 4 года отсутствовало предметное зрение). Периодически левый глаз краснел, и в области глаза появлялись сильные боли. При поступлении острота зрения левого глаза была определена как светоощущение с неправильной проекцией света. Внутриглазное давление было резко повышено (+++). В верхних отделах глаза до экватора определена обширная стафилома склеры. Выявлены застойная инъекция левого глаза и отек роговицы. Передняя камера неравномерной глубины, в верхних отделах отсутствовала за счет смещения кпереди иридохрусталиковой диафрагмы. Радужка отечна, зрачок расширен и вертикально вытянут. В верхнем отделе глазного дна в предэкваториальной зоне виден обширный узел опухоли сероватого цвета с кровоизлияниями на поверхности. Детали глазного дна не видны. При ультразвуковом исследовании выявлена неоднородная «+-ткань» с проминенцией 8,75 мм и диаметром 16,33 мм. Правый глаз здоров. Какой-либо патологии при обследовании других органов не выявлено. Установлен диагноз цилиохориоидальной опухоли, осложнившейся некомпенсированной вторичной глаукомой.
На основании длительного анамнеза заболевания и наличия стафиломы склеры, свидетельствующей о длительной офтальмогипертензии, было высказано предположение о доброкачественном характере внутриглазной опухоли. В связи с обширной внутриглазной опухолью, вторичной глаукомой с выраженным болевым синдромом было принято решение об энуклеации слепого левого глаза. Удаленный глаз подвергнут гистологическому исследованию с использованием стандартных окрасок гематоксилином и эозином, а также пикрофуксином по Ван-Гизону.
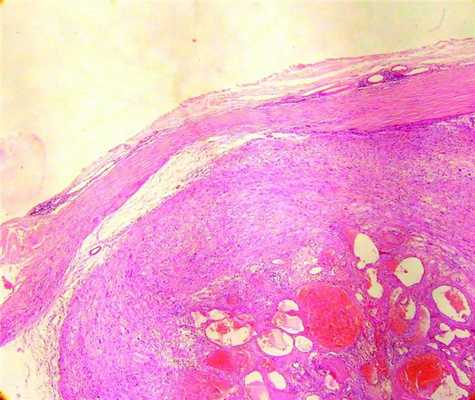
При микроскопическом исследовании в предэкваториальной зоне выявлен узел опухоли, расположенный в хориоидее и переходящий на плоскую часть цилиарного тела, отслаивая и инфильтрируя ее (рис. 1, а). Рисунок 1. Рис. 1а. Гистологическая картина увеальной шванномы. Опухоль локализуется в хориоидее и распространяется на плоскую часть цилиарного тела, отслаивая ее. Окраска гематоксилином и эозином. Ув. 40.

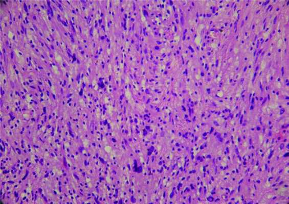
Опухоль представлена переплетающимися пучками рыхло расположенных клеток с округлым или вытянутой формы ядром, местами образующих ритмичные палисадообразные структуры, завихрения, тельца Верокаи (см. рис. 1, б). Рисунок 1. Рис. 1б. Гистологическая картина увеальной шванномы. Морфологическое строение опухоли. Окраска гематоксилином и эозином. Ув. 100. В центральном отделе опухоли имелся очаг ангиоматоза со старыми кровоизлияниями, очагами гиалиноза, небольшими внеклеточными отложениями гранул пигмента коричневого цвета (гемосидерин). Отмечена рассеянная лимфоцитарная инфильтрация. Довольно часто встречались крупные клетки с атипичными гиперхромными полиморфными ядрами. Митозы, некрозы отсутствовали. В области основания опухоли обнаружено резкое истончение склеры, участки ее разволокнения с формированием стафиломы (рис. 2). Рисунок 2. Рис. 2. Морфологическое строение стафиломы склеры. Окраска гематоксилином и эозином. Ув. 400. Выхода опухоли за пределы склеры в просмотренных срезах не было выявлено. Угол передней камеры был закрыт корнем радужки. Иридохрусталиковая диафрагма резко смещена кпереди.
Таким образом, морфологическая картина опухоли соответствовала по строению шванноме.
Дифференциальная диагностика шванномы от других опухолей клеточно-волокнистого строения (мышечных или фибробластических) при гистологическом исследовании обычно не вызывает больших сложностей, если имеются типичные ритмические структуры, образованные клеточно-волокнистыми пучками, и тельца Верокаи. Последние представляют собой образования, состоящие из параллельно ориентированных клеток, расположенных в виде частокола, между которыми находится бесклеточная гомогенная или нежно-волокнистая зона (рис. 3, а). Рисунок 3. Рис. 3а. Морфологическое строение телец Верокаи. Окраска гематоксилином и эозином. Ув. 400. Эти зоны при окрашивании пикрофуксином по Ван-Гизону имеют желтоватый цвет (см. рис. 3, б). Рисунок 3. Рис. 3б. Морфологическое строение телец Верокаи. Окраска пикрофуксином по Ван-Гизону. Ув. 400. Подобные образования могут встречаться при лейомиомах и фибромах, однако при фибромах бесклеточные участки в этих структурах окрашиваются в красный цвет.

Наличие в опухоли эктазированных тромбированных сосудов с фиброзом и гиалинозом, рассеянной лимфоцитарной инфильтрации, а также участков дистрофии и клеток с крупными полиморфными гиперхромными ядрами свидетельствует о длительном существовании опухоли и при отсутствии митозов и некрозов не означает ее злокачественности (рис. 4). Рисунок 4. Рис. 4. Морфологическое строение участка опухоли с проявлениями клеточного полиморфизма при длительном существовании. Окраска гематоксилином и эозином. Ув. 400. Диагноз увеальной шванномы был подтвержден иммуногистохимическим исследованием, которое выявило положительную реакцию на протеин S-100, виментин и глиальный фибриллярный кислый белок.
Считаем необходимым отметить, что увеальная шваннома - опухоль беспигментная. В нашем наблюдении офтальмоскопически опухоль казалась слабопигментированной. При макроскопическом описании на разрезе образования отмечен серый цвет ткани с коричневатыми вкраплениями, что при гистологическом исследовании объяснилось ангиоматозом и кровоизлияниями со скоплениями гемосидерина, возникшими из-за длительности существования опухоли. Кроме того, большая проминенция опухоли вызвала смещение иридохрусталиковой диафрагмы и закрытие угла передней камеры корнем радужки, что привело к развитию вторичной гипертензии у больной.
Клиническое исследование пораженного глаза не выявило каких-либо специфических признаков, характерных для шванномы. На данный факт указывают и другие исследователи [4, 5]. Но длительный анамнез и наличие стафиломы в зоне локализации опухоли позволили нам остановиться на диагнозе доброкачественной опухоли сосудистой оболочки, а показанием для энуклеации явилось наличие вторичной болящей глаукомы.
Несмотря на отсутствие патогномоничных признаков и редкую встречаемость, при обследовании больных с подозрением на увеальную меланому необходимо иметь в виду возможность внутриглазной шванномы. Это тем более важно, что наличие опухоли в предэкваториальной зоне до появления вторичной глаукомы позволило бы провести операцию с сохранением глаза.
Читайте также:
- Глиома зрительного нерва: причины, диагностика, лечение
- Колоноскопия при болезни Крона. Эндоскопическая картина
- Гипсовый метод лечения перелома кости. Методика и контроль
- Атрезия и гипоплазия. Объем циркулирующей крови. Объем кровотока и величина шунта.
- Аллергия, астма на лекарства и химические вещества
