Неврологические осложнения рака. Ведение больных с метастазами в паренхиму мозга.
Добавил пользователь Евгений Кузнецов Обновлено: 11.12.2025
Злокачественные опухоли головного мозга - это большая группа новообразований, которые развиваются в результате неконтролируемого деления клеток мозговой ткани, тканей мозговых оболочек, лимфатической системы, тканей кровеносных сосудов, располагающихся в черепной коробке, тканей желез внутренней секреции - гипофиза и эпифиза. Все эти новообразования являются первичными опухолями. Иногда употребляющееся слово «рак» совсем не корректно, поскольку оно подразумевает только эпителиальные злокачественные опухоли. Наиболее частными и известными первичными злокачественными новообразованиями головного мозга являются глиомы или глиобластомы — опухоли, которые происходят из глиальной ткани.
Еще одним путём возникновения опухолей головного мозга (ОГМ) является метастазирование злокачественных новообразований другой локализации, например, рака молочной железы, легких, почки. В этом случае речь идет о вторичных, или метастатических, опухолях.
Особенностью первичного злокачественных опухолей головного мозга является то, что лишь малое их число способно к отделённому метастазированию, поэтому общепринятая в онкологии классификация TNM для них не подходит. В этой связи была принята другая классификация, основанная на морфологических особенностях опухолей и степени их злокачественности. Согласно этой классификации опухоли мозга делят на 4 группы, первые две Grade 1-2 относятся к низкозлокачественным, а Grade 3 и 4 - к высокозлокачественным.

Симптомы опухолей головного мозга
У опухолей головного мозга нет каких-либо специфических признаков. Признаки будут зависеть от локализации опухоли, то есть пораженного отдела головного мозга, а также от осложнений опухолевого процесса, например, сдавления ствола мозга, структур зрительного тракта, нарушения оттока ликвора. Размеры опухоли не всегда коррелируют с тяжестью симптомов. Бывает так, что крупная опухоль вызывает минимальные симптомы, в то время как опухоль малых размеров приводит к развитию серьезных неврологических нарушений.
Сдавление мозговой ткани опухолевым образованием приводит к первичной симптоматике. Это может быть нарушение работы органов зрения и слуха, конечностей, двигательные нарушения и др. По мере прогрессирования заболевания нарастает общемозговая симптоматика, которая обусловлена повышением внутричерепного давления и нарушением циркуляции крови.
Итак, какие симптомы должны насторожить пациентов и их близких:
- Головная боль. Один из самых часто встречаемых признаков. Может быть эпизодическая или хроническая. Может быть острой, мигренеподобной, распирающей, тупой.
- Головокружение.
- Тошнота и рвота. Тошнота и рвота, как правило, обусловлены повышением внутричерепного давления и сопровождаются менингиальными симптомами, например, ригидностью затылочных мышц. Рвота обычно не приносит облегчения.
- Судороги и эпилептические припадки. Особенно должно настораживать, если они возникают на фоне общего благополучия.
- Нарушение зрения. Иногда симптомами опухолей головного мозга может стать сужение или выпадение полей зрения, нечеткость зрения и двоение перед глазами, мелькание мушек, спеклы и другие симптомы.
- Нарушения со стороны высшей нервной деятельности - провалы памяти, нарушение речи, замедление мышления, невозможность построения логических связей. Может меняться характер и поведение. Такие пациенты бывают агрессивными, подозрительными, некоторые, наоборот, становятся вялыми и сонливыми.
- Онемение, слабость и параличи конечностей.
- Нарушение походки и чувства равновесия.
- Неконтролируемые движения по типу гиперкинезии.
- Общая слабость, сонливость.

Причины развития опухолей мозга
Как и при многих других редких опухолях, достоверных сведений о том, почему развиваются опухоли головного мозга пока нет. Но удалось выявить факторы, которые повышают вероятность развития заболевания:
- Пожилой возраст.
- Мужской пол.
- Наличие в анамнезе воздействия высоких доз ионизирующего излучения. Обычно это либо прохождение лучевой терапии, либо какие-либо производственные аварии. Не нужно путать ионизирующее излучение с излучением ЛЭП, микроволновых печей или мобильных телефонов. Эти устройства не вызывают такого увеличения риска рака головного мозга.
- Наследственная предрасположенность. Если у кровных родственников была такая проблема, то вероятность развития опухоли увеличивается.
- Продолжительный контакт с некоторыми токсинами — пестициды, продукт нефтепереработки, винилхлориды и др.
- Инфицирование некоторыми вирусами, например, вирусом Эпштейна-Барр, или цитомегаловирусом. Роль последнего пока остается под сомнением.
- Травмы головы.
Однако зачастую опухоли развиваются у людей, которые не имеют ни одного из перечисленных факторов риска.
Диагностика опухолей головного мозга
Чаще всего, пациента, имеющего признаки очаговой или общемозговой симптоматики, сперва направляют к неврологу, который проводит первичную диагностику, во время которой оцениваются следующие показатели:
- Общее состояние.
- Наличие неврологической симптоматики.
Кроме того, офтальмолог может оценить внутричерепную гипертензию путем осмотра глазного дна.

Для обнаружения опухоли используются методы нейровизуализации. Золотым стандартом её является выполнение МРТ с и без контрастирования. Если МРТ недоступна или у пациента есть противопоказания к её выполнению (клаустрофобия, наличие в теле предметов из ферромагнетиков), проводят КТ с контрастным усилением или без него. Дополнительную информацию можно получить с помощью ПЭТ, КТ-ангиографии или дополнительных режимов МРТ. Необходимо иметь ввиду, что внутривенное контрастирование существенно увеличивает эффективность КТ, а при выполнении МРТ - позволяет значительно более качественно обнаруживать злокачественные опухоли, в том числе метастазы небольших размеров без перифокального (то есть образующегося вокруг них) отёка.
Лечение опухолей мозга
В действительности ряд опухолей мозга (низкозлокачественные глиомы и менингиомы) могут не требовать никакого лечения, а лишь регулярного наблюдения. Это связано с их низким потенциалом роста - они могут не увеличиваться в размерах в течение многих лет и десятков лет.
В рамках лечения требующих его опухолей применяются все существующие методы противоопухолевого воздействия: хирургическое удаление, лекарственная терапия, лучевая терапия. Но высокозлокачественные опухоли трудно поддаются излечению ввиду своих особенностей. Их можно сравнить с грибницей, когда то, что врач видит на МРТ и при выполнении операции является лишь уже сформировавшейся макроскопической частью опухоли, а отдельные клетки располагаются в визуально здоровой ткани мозга на большом удалении от основного образования.

Хирургия
На первом этапе методом лечения новообразований головного мозга должно рассматриваться хирургическое удаление. Это позволяет верифицировать опухоль, то есть понять, из каких клеток она развилась и какова степень её злокачественности. Такие операции сложны в исполнении и проводятся на базе специализированных стационаров. Необходимо стремиться к полному удалению опухоли, но так, чтобы выполнение операции не привело к ухудшению неврологической симптоматики, особенно если опухоль располагается рядом с участками мозга, отвечающими за речь, дыхание, глотание, функции конечностей и др. Из-за этого, например, особенно сложными (и зачастую невыполнимыми) являются операции на опухолях ствола головного мозга, отвечающего за выполнение многих жизненно важных функций.
Таким образом, если опухоль локализуется в труднодоступном месте, провести операцию бывает невозможно. Тогда на помощь приходит дистанционная лучевая терапия в различных своих вариациях.
Лучевая терапия
Для лечения опухолей головного мозга применяются различные методы лучевой терапии. Например, ее используют для облучения ложа первичной опухоли со степенью злокачественности III и IV (в таком случае в объём облучения включают зону отёка и визуально здоровые ткани мозга на расстоянии 1-2 см от остаточной опухоли, ложа и отёка) или метастазов после хирургического этапа лечения. В некоторых случаях нужно облучать весь головной и спинной мозг, например, при эмбриональных и герминоклеточных новообразованиях, которые быстро распространяются по спинномозговой жидкости, а также при множественном их метастатическом поражении при отсутствии адекватных вариантов системной противоопухолевой терапии.
Роботизированная радиохирургия на системе «Кибер Нож»
Эта технология является разновидностью дистанционной лучевой терапии, но она позволяет настолько точно подвести дозу к патологическому очагу и воздействовать на него с точностью до миллиметра, что ее называют радиохирургией. Она может проводиться не только на линейном ускорителе электронов КиберНож, но и на других современных ускорителях, более универсальных, и на аппарате ГаммаНож. Технически это реализуется следующим образом — опухоль облучается со многих направлений малыми дозами, которые, по отдельности проходя сквозь здоровые ткани, практически не влияют на них. Но пучки ионизирующего излучения, сходясь в одном объёме, образуют в нём высокую дозу облучения, что приводит к уничтожению в этом объёме опухолевой ткани. Таким образом достигается лечебный эффект. Метод позволяет прицельно облучать небольшие опухоли, расположенные в труднодоступных для хирургии местах.

Химиотерапия
Химиотерапия в основном применяется при лечении глиом, особенно высокозлокачественных, лимфом, герминогенных и эмбриональных опухолей. Чаще всего используются комбинированные протоколы, которые включают темозоломид, винкристин, ломустин, прокарбазин и другие препараты. Лечение проводится в адьювантных режимах после удаления первичного очага, а также при прогрессировании опухолевого процесса.
Таргетная терапия
Таргетные препараты действуют более прицельно и вызывают меньше осложнений. При опухолях головного мозга используются препараты, которые нарушают рост сосудов в опухоли и, как следствие, нарушают ее питание.
Профилактика и реабилитация
Специальных методов профилактики развития опухолей головного мозга не существует.

Что касается реабилитации, то её объём зависит от состояния пациента и симптомов болезни и последствий проведённого лечения. Если есть судороги, обязательно подбирается противосудорожная терапия. Некоторым необходимы занятия с логопедом, обучения навыкам альтернативного общения, лечебная физкультура и др. в целом, реабилитация напоминает таковую при инсульте.
Рак мозга 4 стадии
Все типы рака принято классифицировать по стадиям, в зависимости от того, насколько сильно опухоль успела распространиться. Стадии опухоли мозга разнятся по признакам:
- чаще всего, первая стадия рака соответствует новообразованию, которое находится в пределах одного органа,
- вторая — распространению на близлежащие (регионарные) лимфоузлы,
- третья — распространению на соседние органы.
Эти стадии опухоли головного мозга существенно отличаются от четвёртой. Рак на последней стадии называют метастатическим, потому что при нем обнаруживаются отдаленные метастазы в различных частях тела. Такие опухоли практически не поддаются лечению, прогноз в большинстве случаев неблагоприятен, врач может лишь замедлить прогрессирование и продлить жизнь пациента.
При раке головного мозга картина несколько отличается. Такие опухоли в первую очередь опасны не метастазами, а тем, что они повреждают нервные центры и нарушают важные функции мозга.
В связи с вышеописанным, важно выделять не только стадии опухоли мозга , но и другие характеристики злокачественного новообразования. При опухолях головного мозга выделяют степени злокачественности. Наиболее значимый признак, по которому опухоль относят к той или иной степени злокачественности — микроскопическое строение клеток. Существуют 4 критерия:
- Атипия — «неправильное» строение клеток.
- Активное деление клеток.
- Активный рост новых сосудов.
- Области некрозов — гибели ткани из-за недостаточного притока крови.

В зависимости от наличия этих признаков, выделяют 4 степени злокачественности:
- I степень — они растут медленно, никогда не врастают в окружающие ткани.
- II степень — клетки обладают одним из четырех признаков злокачественности, как правило, атипией. Такие опухоли растут медленно, но могут прорастать в окружающую ткань.
- III степень — присутствуют два признака злокачественности, но не некроз. Такие типы рака ведут себя как полноценные злокачественные опухоли. Они достаточно быстро растут и распространяются в окружающую здоровую ткань.
- IV степень — присутствуют 3 или все 4 признака, обязательно включая некроз. Это наиболее агрессивные и смертоносные опухоли.
Типы опухоли мозга 4 стадии: классификация
Чаще всего под словосочетанием «рак мозга 4 стадии» подразумевают мультиформную глиобластому — наиболее агрессивную разновидность рака головного мозга. Она составляет примерно 15% от всех опухолей мозга, причины ее возникновения до конца не известны. Основными факторами риска считаются генетические нарушения, облучение области головы. Также в качестве факторов риска рассматриваются: курение, некоторые вирусные инфекции, контакт с пестицидами и другими токсичными веществами.
Глиобластома может развиваться самостоятельно или на месте доброкачественной опухоли.

Симптомы рака мозга 4 стадии
Глиобластома очень быстро растет и сдавливает ткань головного мозга. Этим в основном и обусловлены при раке мозга 4 стадии симптомы :
- Постоянная головная боль.
- Судорожные припадки.
- Тошнота и рвота.
- Нарушение мышления, познавательных способностей.
- Ухудшение зрения, двоение в глазах.
- Изменение личности, частые перепады настроения.
- Беспокойное поведение.
- Потери сознания.
Поначалу эти проявления выражены не сильно, но глиобластома быстро растет, и они тоже нарастают. Симптомы рака головного мозга стадии IV напоминают признаки других заболеваний, поэтому установить правильный диагноз можно только после тщательного обследования.
Диагностика опухоли мозга
При раке головного мозга 4 стадии симптомы не позволяют установить точный диагноз, так как они неспецифичны и напоминают проявления других патологий. Чтобы точно разобраться в природе заболевания, необходимо провести обследование.
Опухоли головного мозга лучше всего выявляет МРТ. Рак мозга стадии IV помогают диагностировать такие исследования, как:
- Компьютерная и позитронно-эмиссионная томография. Они помогают обнаружить метастазы в других частях тела. Также при помощи них можно обнаружить первичный очаг и отличить первичную опухоль мозга от метастатической.
- Биопсия — процедура, когда врач получает фрагмент опухолевой ткани и отправляет на исследование в лабораторию. Получить материал можно при помощи иглы под контролем КТ или МРТ, либо во время операции. Биопсия, которую проводят с помощью иглы, называется стереотаксической. Для того чтобы ее выполнить, в черепе нужно просверлить отверстие.

Лечение
Лечение опухолей головного мозга 4 стадии — сложная задача. Чаще всего оно носит паллиативный характер и направлено на продление жизни пациента.
Хирургическое лечение рака мозга 4 стадии
Удалить опухоль целиком чаще всего невозможно. Во время операции хирург стремится убрать как можно большую ее часть. Доказано, что удаление более 98% объема опухоли помогает сильно продлить жизнь пациента. К сожалению, это возможно не всегда, из-за неудобного расположения очага, сильного прорастания в окружающие ткани, близкого соседства по отношению к жизненно важным нервным центрам.
Лучевая терапия рака мозга 4 степени
Даже если хирургу удалось полностью удалить глиобластому, позже может произойти рецидив из-за оставшихся в организме раковых клеток. Для того чтобы этого не допустить, обычно после операции проводят курс лучевой терапии. После частичного удаления опухоли лучевая терапия уничтожает часть оставшихся раковых клеток, тем самым продлевая жизнь больного.
Химиотерапия при раке мозга 4 степени
Агрессивные опухоли мозга устойчивы к большинству химиопрепаратов. Но хорошие результаты показывает добавление к курсу лучевой терапии темозоломида. Считается, что он повышает чувствительность раковых клеток к облучению.

Проводится таргетная терапия препаратом бевацизумабом. Он блокирует образование в опухоли новых сосудов, тем самым лишая ее кислорода и питательных веществ. Таргетная терапия помогает бороться с симптомами, но не влияет на выживаемость.
Какие факторы влияют на выживаемость?
Прогноз при раке мозга выстраивается с учетом некоторых факторов:
- Возраст пациента.
- Размеры и расположение опухоли.
- Степень нарушения тех или иных нервных функций, насколько сильно это сказывается на качестве жизни.
- Тип опухоли.
- Степень злокачественности.
- Наличие в опухолевых клетках определенных мутаций.
- Возможность удалить всю опухоль или хотя бы ее большую часть хирургическим путем.
- Распространение опухолевых клеток в другие отделы нервной системы и другие части тела.
Прогноз выживаемости
В целом, успех лечения зависит от стадии рака головного мозга. Прогноз при мультиформной глиобластоме неблагоприятный. Обычно пациенты с таким диагнозом живут не более года. Однако, известны случаи, когда жизнь больных удавалось продлевать на более длительный срок.
Метастазы в головном мозге
Метастатический рак мозга (другое название — вторичный рак мозга) — распространение раковых клеток в головном мозге из злокачественной опухоли, расположенной в другой части тела. Некоторые факты и цифры:
- Вторичный раз могла встречается в 10 раз чаще, чем первичный, то есть тот, который изначально развивается в головном мозге; в головной мозг возникают у 20-40% онкологических больных (в среднем у каждого четвертого);
- Ежегодно метастатический раз мозга диагностируют у 50 000 — 70 000 россиян;

Пару десятилетий назад при множественных метастазах в головной мозг на пациенте можно было ставить крест - нейрохирургические учреждения, делавшие успехи в терапии первичных опухолей головного мозга, таких больных не брали, потому как оперативное лечение в этом случае уже было почти невозможным. Даже в столице не более трёх специалистов готовы были попробовать лучевую терапию, между тем как по данной теме было защищено несколько диссертаций, демонстрирующих очень неплохой результат. Но практическая деятельность сталкивалась с клиническими трудностями, делающими спасение пациента весьма трудоёмким.
Метастазы злокачественных опухолей в головном мозге постигают каждого четвёртого больного, при посмертном исследовании их находят у шести из десяти. Метастазы выявляются на порядок чаще, чем первичные опухоли центральной нервной системы, которыми охотно занимаются нейрохирурги. Российская онкологическая статистика учитывает только первичные опухоли головного мозга и вообще первичные раки, но не знает, сколько больных имеют метастазы куда бы то ни было, а не только в головной мозг.

Метастазы в головном мозге.
Любая опухоль метастазирует в мозг, но чаще всего рак лёгкого, особенно крайне агрессивный мелкоклеточный — до 80% больных, а также рак молочной железы, кишки, почки и меланома, но все они метастазируют много реже рака лёгкого. Сегодня метастазы в головном мозге находят чаще, чем в конце прошлого века, чему весьма способствуют методы нейровизуализации — КТ и МРТ и увеличение выживаемости онкологических больных в результате успехов онкологической науки. Заметно повысилась и активность онкологов, не только решающихся на лечение самых непростых больных, но и имеющих возможность выхаживать таких пациентов.

Андрей Львович Пылёв, главный врач сети "Евроонко", онколог, кандидат медицинских наук
Как правило, большинство больных к моменту выявления внутричерепных метастазов имеют другие, подчас неизлечимые и распространённые, очаги опухоли, состояние их оставляет желать лучшего, а локальная терапия внутричерепных метастазов чревата ранним рецидивом. Внедрение высокотехнологичного лечения, как хирургического, так и лучевого, помогло избавиться от профессионального пессимизма и увеличило 5-летнюю выживаемость пациентов, придав их жизни вполне приемлемое качество.
Почему возникают метастазы в головном мозге?
Метастазирование — довольно сложный процесс. Он состоит из нескольких этапов. Опухоль должна прорасти в соседние ткани, затем ее клетки отрываются и проникают в кровеносные или лимфатические сосуды. Мигрируя с током крови, раковые клетки оседают в разных органах. Какое-то время они «дремлют», затем начинается бурный рост.
Чаще всего — в 48% случаев — метастазы в мозг связаны с раком легких. Наиболее агрессивен немелкоклеточный рак легкого — он метастазирует в мозг в 80% случаев. Реже встречаются метастазы при раке молочной железы (15%), мочеполовой системы (11%), остеогенной саркоме (10%), меланоме (9%), раке головы и шеи (6%).

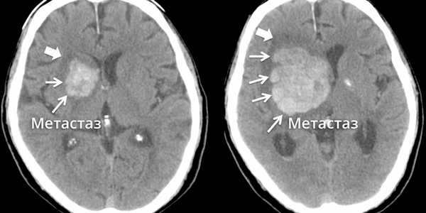
Метастаз в головном мозге в динамике
Клинические проявления метастазов
Симптоматика зависима от размеров внутричерепных опухолевых очагов, их количества и расположения. Принципиально клинические симптомы можно разделить на две группы:
- локальные, обусловленные расположением опухоли в конкретном отделе мозга, отвечающем за определённые функции определённого органа;
- общемозговые симптомы, связанные с размером дополнительной опухолевой ткани, мешающей функционированию самого мозга.
К примеру, опухоль рядом со структурами, обеспечивающими иннервацию глаза, проявится выпадением полей зрения, когда глазом не воспринимаются отдельные участки сектора обзора. Множество мелких узлов даст картину отёка головного мозга, поскольку лишние граммы опухоли в замкнутой черепной коробке мешают нормальной циркуляции жидкостей и сдавливают нормальные ткани.
У половины больных вторичные новообразования головного мозга откликаются головной болью, очень часто интенсивность боли меняется вместе с положением головы, когда при наклоне под определённым углом частичное восстановление циркуляции ликвора временно приводит к уменьшению боли. К сожалению, со временем рост метастазов сделает боль постоянной, а замкнутость пространства приведёт к невыносимой интенсивности. Нередки головокружения и двоение, если смотреть обоими глазами.

Коридор клиники Евроонко
У каждого пятого пациента развиваются двигательные нарушения вплоть до пареза половины тела. У каждого шестого страдают интеллектуальные способности, столько же мучается от изменений поведения, нарушений движений и походки, чуть реже отмечаются судороги, но и совершенно бессимптомное течение, когда метастатические образования выявляют лишь при обследовании, тоже не редкость. Тем не менее, при увеличении размеров опухоли даже в такой относительно благоприятной ситуации довольно быстро нарушаются функции организма.
Отёк ткани вокруг опухоли — перифокальный отёк вкупе с повышением внутричерепного давления (ВЧД) вызывают общемозговые симптомы с головной болью, головокружением, двоением, рвотой при малейшем движении или даже при открывании глаз, постоянной икотой, приводят к угнетению сознания вплоть до мозговой комы. Снижение частоты сердцебиений и дыханий при очень высоком «верхнем» систолическом давлении свидетельствуют о крайне высоком и чреватом гибелью внутричерепном давлении.
В практике выделяют варианты развития первичной симптоматики при метастазах рака в центральную нервную систему по превалирующему комплексу клинических признаков.
- Похожий на инсульт апоплексический вариант, развивается остро и проявляется очаговыми нарушениями — свидетельством поражения определённого участка мозга. Такой вариант, как правило, связан либо с закупоркой сосуда, либо его разрывом опухолью с последующим кровоизлиянием в головной мозг.
- Ремиттирующий вариант характеризуется волнообразным течением, когда симптомы то уменьшаются, то прогрессируют, напоминая атеросклеротическое поражение сосудов.
У некоторых больных метастазы головного мозга протекают бессимптомно. Обнаруживают их только во время обследования.
Как диагностируют метастазы в головном мозге?
«Золотой стандарт» в диагностике метастатического рака головного мозга — магнитно-резонансная томография (МРТ). Во время этого исследования получают изображения внутренних структур тела, используя сильное магнитное поле. По снимкам врач может судить о количестве, размерах, расположении метастатических очагов.

Биопсия — исследование, во время которого получают фрагмент ткани и исследуют его на предмет раковых клеток. Если у человека уже диагностирован рак в другом органе и обнаружены очаги в головном мозге, потребности в данном методе диагностики обычно нет. Биопсия нужна, если есть очаги в мозге, но не найдена первичная опухоль.
Лечение метастазов
Без лечения продолжительность жизни больного от момента выявления метастатического поражения головного мозга едва ли превышает месяц, но это в среднем. Только добавление высоких доз гормонов способно двукратно увеличить продолжительность жизни и несколько улучшить её качество, но опять только на время, тогда как химиолучевое лечение может дать до полугода жизни.
Тактика лечения зависит от некоторых факторов:
- Количество, размер и расположение метастазов;
- Возможность удалить очаги хирургическим путем;
- Чувствительность первичной опухоли к химиопрепаратам и лучевой терапии;
- Общее состояние больного;
- Наличие других метастазов, возможность бороться с ними.
Прогностически неблагоприятна локализация опухоли в недоступной для манипуляций задней черепной ямке, нарушение циркуляции ликвора и вероятность вклинения опухоли в естественные черепные отверстия.
Несомненно, что только хирургическое пособие вкупе с дополнительным лекарственным и лучевым лечением даёт большие надежды. Но нейрохирургическое вмешательство возможно при одном или единичных опухолевых узлах, и, конечно, технически доступных. Паллиативную операцию выполняют при угрожающем нарастании давления и кровотечении, когда удаление даже одного из множества узлов способно радикально улучшить клиническую картину, чтобы присовокупить в дальнейшем консервативное лечение. Возможны разные варианты удаления опухолевых узлов.

При технически не удаляемых и чувствительных к противоопухолевым лекарствам видах рака, таких как молочная железа, мелкоклеточный рак лёгкого и герминогенные опухоли яичка, на первом этапе прибегают к химиотерапии, к которой в дальнейшем присоединяют облучение всего массива головного мозга. При радиочувствительных опухолях лечение можно начать с тотального облучения мозга. При опухолях не более 3,5 см и менее четырёх узлов как единственный метод эффективна стереотаксическая радиохирургия. К опухоли подводят с разных сторон несколько пучков радиоволн, они пересекаются в одном месте - там, где находится метастаз. В итоге раковые клетки уничтожаются, а окружающие здоровые ткани получают минимальную безопасную дозу. В комплексе с облучением мозга и химиотерапией результат лучше.

Система для стереотаксической радиохирургии
Лучевая терапия всегда сопровождается нарастанием отёчности ткани мозга, поэтому облучение всегда проводится на фоне дегидратации — симптоматической терапии, разгружающей от излишней жидкости. Поэтому радиолог может отказать в лечении пациенту, устойчивому к мочегонным препаратам, а также при уже смещённом головном мозге, поскольку дальнейшее смещение может стать для больного фатальным. Не возьмут на облучение тяжёлого пациента с выраженными клиническими проявлениями, тем более с судорогами или мутным сознанием. Уже после одного-двух сеансов облучения к имеющемуся высокому внутричерепному давлению присоединится лучевой отёк ткани, и без того очень неважное состояние пациента ухудшиться.
Возможны варианты последовательностей и сочетания методов, как при впервые выявленных метастазах в головной мозг, так и при рецидиве после лечения. Во всяком случае, при невозможности активной тактики и прогрессировании процесса клинические руководства рекомендуют прибегнуть к химиотерапии на фоне наилучшей поддерживающей симптоматической терапии (стероиды, обезболивающие, противосудорожные препараты и др.). Схема определяется первичной опухолью, то есть при раке лёгкого помогают одни препараты, при раке почки — другие. Химиотерапию проводят до выявления признаков прогрессии опухоли.
Терапия метастазов злокачественных опухолей в головной мозг не дело энтузиастов-одиночек, это работа команды онкологов, нейрохирургов, радиологов, химиотерапевтов и реаниматологов, вооружённых знаниями и отличным оборудованием для диагностики и лечения, как в клиниках «Евроонко».
Каковы прогнозы при метастазах в головной мозг?
Прогноз зависит от типа первичной опухоли, количества метастазов, возраста и состояния пациента. В среднем пациенты живут 2-3 месяца. Но если метастазы единичные, пациенту меньше 65 лет, и в организме нет других метастазов, средняя продолжительность жизни может составить 13,5 месяцев.
Врачи онкологи и реаниматологи «Евроонко» знают, как помочь пациенту с метастатическим раком. Грамотное лечение избавит от тяжелых симптомов, подарит драгоценное время.
Метастазы в головной мозг
Метастазы в головной мозг являются тяжелым, часто фатальным (при отсутствии лечения) осложнением у многих онкологических больных. В настоящее время заболеваемость метастатическими опухолями ЦНС составляет около 15 на 100 000 населения в год, то есть превышает заболеваемость первичными опухолями мозга. Количество пациентов с метастатическим поражением мозга ежегодно растет. Наиболее часто метастазы в головной мозг возникают из рака легких, молочной железы, меланомы, почечно-клеточного рака, опухолей желудочно-кишечного тракта. Выявляемость метастазов в головной мозг значительно возросла благодаря возможностям ранней диагностики (МРТ с контрастным усилением). Однако только половина больных имеет единичные метастазы, у остальных обнаруживаются два и более очагов.

Рост метастазов в головном мозге быстро вызывает выраженные физические и психические нарушения. Состояние больных ухудшается с развитием выраженной общемозговой и очаговой симптоматики. Без проведения лечения пациенты могут погибнуть в течение двух месяцев с момента постановки диагноза.
Тем не менее, ранняя диагностика и интенсивное квалифицированное лечение позволяют значительно увеличить время выживаемости. При этом возможно достичь регресса неврологических симптомов и хорошего уровня качества жизни.
Лечение: хирургия
Одним из методов лечения является хирургическое удаление, которое возможно, если количество метастазов не превышает 1-2 и они располагаются в доступных для хирургии областях мозга. Если метастатический очаг локализуется в глубоких отделах мозга или функционально значимой зоне, его хирургическое удаление может привести к серьезным неврологическим нарушениям и глубокой инвалидизации больного. Средняя выживаемость среди пациентов, подвергшихся нейрохирургическому лечению, составляет около 9 месяцев. Наличие множественных и/или глубинно расположенных метастазов обычно является противопоказанием к нейрохирургическому вмешательству.
Лечение: лучевая терапия
Если состояние пациента очень тяжелое и количество метастазов превышает 10, применяется тотальное облучение головы. Тотальное облучение головы проводится в течение одного месяца и продлевает выживаемость пациентов до 6 месяцев, но часто сопровождается развитием тяжелой деменции.
Химиотерапия не нашла широкого применения в лечении метастазов в головной мозг, т.к. ее эффективность не высока.
Лечение: гамма-Нож
На сегодняшний день радиохирургия является наиболее эффективным методом лечения метастатического поражения головного мозга и используется для этих целей уже более 50 лет. Во всех ведущих радиохирургических центрах мира наибольшее количество пациентов лечится именно с метастазами в головной мозг. Проведение радиохирургического лечения на Гамма-ноже позволяет добиться быстрого уменьшения или исчезновения опухолей при полной сохранности качества жизни пациента.
Пациентка П., 36 лет. Прооперирована в Радиохирургическом Центре МИБС по поводу множественных (20) метастазов рака молочной железы в головной мозг. Доза по краю опухолей составила от 18 до 24 Гр (показана желтым). Справа: На контрольном МРТ через 1 месяц после операции отмечается положительная динамика. 6 очагов не визуализируются, у 14 очагов снижение размеров.
Пациент Б., 68 лет. Метастаз рака почки в головной мозг. Объем опухоли 4,6 см 3 (22 х 24 х 18 мм). Доза по краю опухоли 18 Гр (показана желтым). Через 3 месяца после сеанса радиохирургии (изображение справа) опухоль не выявляется.
Пациент А., 20 лет. Единичный метастаз лимфомы Ходжкина в головной мозг. Объем опухоли 20 см 3 (31 х 30 х 33 мм). Доза по краю опухоли 10 Гр (показана желтым). Спустя 20 дней после сеанса радиохирургии объем опухоли уменьшился в 5 раз (16 х 18 х 17) (изображение в центре). Через 10 месяцев (изображение справа) - опухоль не выявляется.
Пациент Б., 45 лет. Диагноз: Метастаз аденокарциномы желудка в правую теменную долю головного мозга (изображение слева). Размеры опухоли 24,3 х 18,3 х 23,0 мм, объем 5,5 см 3 . Опухоль окружена зоной перифокального отека. Доза облучения в изоцентре составила 36 Гр, по краю опухоли 18 Гр (показана синим цветом). На МРТ через 12 месяцев - опухоль полностью исчезла, отека мозга нет (изображение справа).
Основными преимуществами радиохирургических операций являются высокая эффективность воздействия на метастатические очаги, отсутствие осложнений, связанных с открытой хирургией, возможность лечения множественных, глубинно расположенных метастазов. Проведение радиохирургии возможно как первичное лечение, так и после хирургической операции и/или лучевой терапии.
| Наименование услуги | Стоимость, РУБ. |
|---|---|
| Консультации | |
| Консультация нейрохирурга первичная | 2 500 |
| Консультация нейрохирурга повторная (в течение 60 календарных дней после первичной консультации) | 2 100 |
| Консультация нейрохирурга, зав. отделением, к.м.н. Иванова П.И. первичная | 4 000 |
| Консультация нейрохирурга, зав. отделением, к.м.н. Иванова П.И. повторная (в течение 60 календарных дней после первичной консультации) | 3 000 |
| Консультация нейрохирурга, зав. отделением/к.м.н. первичная | 3 100 |
| Консультация нейрохирурга, зав. отделением/к.м.н. повторная (в течение 60 календарных дней после первичной консультации) | 2 600 |
| Консультация нейрохирурга краткая в процессе лечения | 700 |
| Консультация радиотерапевта, зав. отделением/к.м.н. первичная | 3 100 |
| Консультация радиотерапевта повторная (в течение 60 календарных дней после предыдущей консультации) | 2 100 |
| Консультация нейрохирурга по медицинской документации (включает оценку медицинской документации, предоставленной лично, либо третьим лицом, без осмотра пациента, предварительное определение возможности и методов лечения пациента) | 2 500 |
| Консультация по медицинской документации врача-нейрохирурга, зав.отделением/к.м.н.(включает оценку медицинской документации, предоставленной лично, либо третьим лицом, без осмотра пациента, предварительное определение возможности и методов лечения пациента) | 3 600 |
| Врачебный консилиум | 6 000 |
| Установка меток (до 4-х штук) | 50 000 |
| Консультация радиотерапевта, зав. отделением, к.м.н. Воробьева Н.А.. первичная | 4 000 |
| Консультация радиотерапевта, зав. отделением, к.м.н. Воробьева Н.А. повторная (в течение 60 календарных дней после первичной консультации) | 3 000 |
| Радиохирургическое лечение на системе LEKSELL Gamma Knife Perfexion | |
| Радиохирургическая операция на установке LEKSELL Gamma Knife Perfexion (с учетом стоимости подготовки к лечению) | 200 000 |
| Повторная радиохирургическая операция на установке LEKSELL Gamma Knife Perfexion (с учетом стоимости подготовки к лечению) | 100 000 |
| Радиохирургическая операция пациентам с артериовенозными мальформациями на установке LEKSELL Gamma Knife Perfection, включая ангиографию (с учетом стоимости подготовки к лечению) | 255 000 |
| Повторная радиохирургическая операция пациентам с артериовенозными мальформациями на установке LEKSELL Gamma Knife Perfection (с учетом стоимости подготовки к лечению) | 160 000 |
| Комбинированное радиохирургическое лечение внутричерепных новообразований на установках LEKSELL Gamma Knife Perfexion, Truebeam - независимо от количества фракций (с учетом стоимости подготовки к лечению) | 350 000 |
| Лечение на аппарате Гамма-нож в режиме фракционирования (с учетом стоимости подготовки к лечению) | 260 000 |
| Церебральная ангиография для пациентов с артериовенозной мальформацией | 55 000 |
| Радиохирургическая операция на установке LEKSELL Gamma Knife Perfexion в режиме гипофракционирования (с учетом стоимости подготовки к лечению) | 285 000 |

Иванов Павел Игоревич
Заведующий отделением нейрорадиологии.
Нейрохирург высшей категории, кандидат медицинских наук.
Действительный член Всемирного Общества пользователей Гамма-Ножа (LGKS).
Действительный член Европейского Общества функциональной и стереотаксической нейрохирургии (ESSFN).
Действительный член Образовательного комитета Международного Общества Стереотаксической Радиохирургии (ISRS) .
Доцент кафедры нейрохирургии Военно-Медицинской Академии им. С.М. Кирова.
Метастатические опухоли мозга
Метастатические опухоли мозга - вторичные очаги, возникающие вследствие местного агрессивного роста, гематогенного и лимфогенного метастазирования злокачественных новообразований других локализаций. У 30% больных протекают бессимптомно. В остальных случаях опухоли головного мозга проявляются головными болями, головокружениями, тошнотой, рвотой, очаговой симптоматикой, психическими и эмоциональными нарушениями. При поражении спинного мозга возникают боли, чувствительные и двигательные расстройства. Диагноз выставляется с учетом анамнеза, симптомов, КТ, МРТ и других исследований. Лечение - радиотерапия, реже оперативное удаление или химиотерапия.


Общие сведения
Метастатические опухоли мозга - группа злокачественных новообразований различного происхождения, возникших в спинном либо головном мозге в результате распространения клеток первичной опухоли. Метастазы в головной мозг выявляются у каждого пятого онкологического больного. Метастатическое поражение спинного мозга по различным данным наблюдается у 30-70% пациентов. По данным исследователей, вторичные поражения ЦНС встречаются примерно в 10 раз чаще первичных.
Пик заболеваемости приходится на 50-70 лет, мужчины и женщины страдают одинаково часто. Иногда симптомы метастатической опухоли мозга становятся первым сигналом о появлении другого новообразования. К примеру, 10% пациентов с раком легких впервые обращаются за помощью из-за возникновения неврологических расстройств. Прогноз обычно неблагоприятный, вторичное поражение мозга является одной из ведущих причин смертности при злокачественных опухолях. Лечение осуществляют специалисты в сфере онкологии и неврологии.
Причины
Метастазы в ЦНС могут возникать при злокачественных новообразованиях любой локализации. От 30 до 60% от общего количества метастатических опухолей мозга появляются при раке легких, от 20 до 30% - при новообразованиях молочной железы. Третье место по распространенности занимают метастазы при меланомах (10%), четвертое - при раке толстого кишечника (5%). Реже метастатические опухоли мозга встречаются при лимфомах, саркоме и новообразованиях щитовидной железы.
Иногда причиной вторичных процессов в головном мозге становится инфильтративный рост новообразований назофарингеальной области. Вторичное поражение спинного мозга в результате агрессивного роста первичного очага может выявляться при новообразованиях позвонков, абдоминальной форме лимфомы Беркитта и других объемных процессах, локализующихся рядом со спинномозговым каналом. В числе редких онкологических заболеваний, иногда осложняющихся метастатическими опухолями мозга - тератома яичка и хориокарцинома. По неизвестным причинам в мозг редко метастазируют злокачественные опухоли яичников, шейки матки и мочевого пузыря.
80% метастатических опухолей головного мозга располагаются в зоне больших полушарий, 15% - в мозжечке, 5% - в стволе мозга. Большинство вторичных очагов в спинном мозге локализуются на уровне нижних грудных либо верхних поясничных позвонков. Поражения твердой мозговой оболочки составляют около 10% от общего количества метастатических опухолей мозга. Более 70% метастазов множественные, что ухудшает прогноз. Гистологическое строение вторичной опухоли - как у первичного новообразования. Симптомы обусловлены как непосредственным давлением узла на нервные структуры, так и перифокальным отеком окружающих тканей.
Симптомы метастатических опухолей головного мозга
Метастатическая опухоль мозга проявляется головными болями, головокружениями, тошнотой, рвотой, припадками, нарушениями сознания, сенсорными расстройствами и очаговой неврологической симптоматикой. Возможны психические и эмоциональные нарушения: эмоциональная неустойчивость, сонливость, заторможенность, когнитивные расстройства, личностные изменения и т. д. Выраженность симптомов метастатической опухоли мозга сильно варьирует - от незначительных нарушений памяти или настроения до тяжелых эпиприпадков.
Распирающие головные боли, тошнота и расстройства сознания свидетельствуют о повышении внутричерепного давления. Особенно упорная тошнота наблюдается у детей. У 30% больных метастатическими опухолями мозга выявляются эпилептиформные судороги, от них страдают преимущественно люди старше 45 лет. Очаговая симптоматика различается. Возможны снижение либо потеря чувствительности, нарушения зрения, нарушения слуха, параличи и парезы конечностей. Расстройства возникают на стороне, противоположной расположению метастатической опухоли мозга.
Динамика неврологических расстройств также различается. У одних пациентов наблюдается постепенное усугубление нарушений, у других расстройства развиваются внезапно, по типу инсульта. Причиной внезапного появления симптомов может стать кровоизлияние в метастатическую опухоль мозга либо эмболия сосуда фрагментом новообразования. Иногда наблюдается ремитирующее течение заболевания, при котором очаговые и внемозговые нарушения волнообразно усиливаются и ослабевают.
Симптомы метастатических опухолей спинного мозга
Первым проявлением метастатической опухоли мозга обычно становятся боли. Вначале болевой синдром неинтенсивный и непостоянный, возникает только при кашле и резких движениях. В последующем боли усиливаются, появляются спонтанно, беспокоят постоянно, не исчезают даже после сна или продолжительного отдыха. Выявляются прогрессирующие нарушения чувствительности и двигательные расстройства. Развивается гиперестезия, сменяющаяся гипестезией, а затем анестезией.
Пациенты с метастатическими опухолями мозга отмечают мышечную слабость и быструю утомляемость при физических нагрузках. Со временем мышечная слабость переходит в парезы, а парезы - в параличи. Зона чувствительных и двигательных нарушений определяется уровнем и локализацией метастатической опухоли мозга. При поражении боковых отделов может выявляться синдром Броун-Секара. При опухолях в задних либо передних отделах обычно наблюдаются симметричные расстройства.
При поражениях шейного отдела возникает спастическая тетраплегия, при новообразованиях грудного отдела - спастическая нижняя параплегия, при процессах в поясничном отделе - вялая нижняя параплегия, при метастазах в зоне крестца - паралич мышц-сгибателей нижних конечностей. Для всех метастатических опухолей мозга характерны нарастающие тазовые расстройства. Возможно быстрое образование пролежней, особенно - при поражении нижних отделов спинного мозга.
Диагностика метастатических опухолей мозга
Диагноз устанавливается онкологом и нейрохирургом с учетом клинических проявлений и данных дополнительных исследований. Важную роль играют анамнестические данные: подозрение на злокачественную опухоль либо наличие уже диагностированного новообразования внемозговой локализации, а также состояние после оперативного или консервативного лечения по поводу данной патологии. Необходимо учитывать, что иногда симптомы метастатической опухоли мозга становятся первым проявлением патологического процесса в другом органе.
Настораживающими признаками в отношении новообразований головного мозга являются головные боли, тошнота, эпилептиформные припадки (обнаруживаются у 35% пациентов) и прогрессирующая очаговая симптоматика. Подозрение на вторичный процесс в спинном мозге возникает при продолжительных нарастающих болях, двигательных и чувствительных нарушениях и расстройствах деятельности тазовых органов. Основные инструментальные методы диагностики метастатических опухолей мозга - КТ и МРТ. Обычно исследования начинают с более доступной КТ головного мозга и КТ позвоночника, а полную информацию о количестве, размере и расположении очагов получают при проведении МРТ с контрастным усилением. При поражении спинного мозга также информативна люмбальная пункция с ликвородинамическими пробами.

Лечение метастатических опухолей
Пациентам назначают противосудорожные препараты, стероиды, обезболивающие и психотропные средства. Основным методом лечения метастатических новообразований головного мозга обычно становится радиотерапия, которая используется отдельно, в сочетании с химиотерапией либо хирургическим вмешательством. Показанием к оперативному лечению является наличие операбельного солитарного метастаза (вторичного очага при невыявляемом первичном процессе) либо одиночного метастаза при контролируемом первичном новообразовании.
Обычно операции выполняют при метастатических опухолях мозга, расположенных в мозжечке, височных и лобных долях, то есть, в зонах с относительно невысоким операционным риском. После операции назначают радиотерапию либо химиотерапию. Иногда целью хирургического лечения является не удаление метастатической опухоли мозга, а экстренное снижение опасного для жизни внутричерепного давления. При необходимости подобные вмешательства могут проводиться многократно.
Химиотерапия обычно неэффективна. Исключением являются ситуации, когда первичное новообразование хорошо реагирует на цитостатики, например, при раке молочной железы, мелкоклеточном раке легкого либо лимфоме. Пациентам с метастатической опухолью мозга, чувствительной к химиотерапии, назначают лекарственные средства, способные проникать через гематоэнцефалический барьер. Химиотерапию обязательно дополняют другими способами лечения (обычно - радиотерапией).
Перспективным современным методом лечения метастатических опухолей мозга является 3D-конформная лучевая терапия - облучение тонкими пучками радиации, направленными на опухоль. Эта методика позволяет обеспечить максимальное воздействие на опухоль при минимальной лучевой нагрузке на здоровые ткани. Процедура проводится под контролем МРТ либо КТ. Метод имеет ряд преимуществ перед традиционными операциями (безболезненность, неинвазивность, отсутствие наркоза и послеоперационного периода). Показан при множественных метастатических опухолях мозга и при высоком операционном риске, обусловленном особенностями расположения метастаза.
При вторичных очагах в спинном мозге применяют те же методы, что при поражении головного мозга. Назначение кортикостероидных препаратов позволяет уменьшить боли у 85% больных, радиотерапия - у 70% больных. У половины пациентов на фоне радиотерапии отмечается улучшение двигательных функций. Оперативные вмешательства осуществляют при нечувствительности метастатических опухолей мозга к радиотерапии, при прогрессировании неврологических расстройств либо сдавлении нервной ткани отломком кости. Выполняют переднюю декомпрессию либо ламинэктомию. После операции назначают локальную радиотерапию (за исключением новообразований, нечувствительных к лучевой терапии).
Прогноз
Прогноз при метастатических опухолях мозга обычно неблагоприятный. Средняя продолжительность жизни с момента выявления вторичного очага составляет 6-8 недель. При солитарных метастазах и одиночных метастазах в сочетании с первичными новообразованиями, хорошо реагирующими на терапию, своевременно начатое лечение позволяет продлить среднюю продолжительность жизни больных с метастатическими опухолями мозга до 10 месяцев с момента постановки диагноза.
Читайте также:
- Заболевания паращитовидной железы у беременных. Стрептококковая инфекция беременных.
- Доброкачественное позиционное пароксизмальное головокружение после падения
- Регуляция секреции АДГ. Факторы приводящие к секреции АДГ
- Операция Belsey Mark IV. Техника операции Belsey Mark IV.
- Сбор гинекологического анамнеза у женщин
