Нормотензивная гидроцефалия на КТ, МРТ головного мозга
Добавил пользователь Валентин П. Обновлено: 11.12.2025
Нередко пациентов интересует, можно ли самостоятельно расшифровать фото МРТ, что означают темные и светлые участки на снимках, где посмотреть примеры изображений здорового головного мозга. На эти вопросы ответим в нашей статье.
Магнитно-резонансная томография - один из наиболее информативных методов диагностики. Технология является неинвазивной и абсолютно безопасной для людей любого возраста. Лечащий врач назначает процедуру при подозрении на опухоли или при наличии в анамнезе пациента патологий сосудов (особенно важна диагностика после инсультов), гормональных нарушений, эпилептических припадков. Расшифровка МРТ головного мозга помогает выявить причины:
- тошноты и рвоты по утрам;
- стойкого повышения артериального/внутричерепного давления;
- регулярных головных болей (у людей старше 50 лет данный симптом может указывать на предынсультное состояние);
- внезапного ухудшения зрения;
- судорожных приступов;
- резкого изменения поведения;
- шума в ушах, головокружений;
- частых потерь сознания и других симптомов поражения органа.
МРТ необходима в случае подозрения на новообразования (диагностика покажет степень инвазии опухоли в здоровые ткани), для отслеживания динамики патологического процесса, контроля результатов лечения, в том числе хирургического.
Детям сканирование на магнитно-резонансном томографе делают для определения причин отставания в развитии, приступов судорог, при выраженной гидроцефалии (один из признаков аномалии - увеличение размеров головы) и пр. Применение контраста расширяет возможности исследования: дополнительные средства визуализации позволяют выявить болезни церебральных сосудов, онкологические и другие процессы.
Как выглядит фото снимок МРТ головного мозга?
Магнитно-резонансная томография помогает диагностировать целый ряд заболеваний. Заключение МРТ головного мозга отражает:
- врожденные пороки развития органа;
- патологии сосудистой системы;
- острые нарушения кровообращения (ишемический и геморрагический инсульты на разных стадиях);
- наличие кист, опухолей (расшифровка МРТ головного мозга не является окончательным диагнозом, для верификации характера новообразования проводится биопсия);
- демиелинизирующие процессы (рассеянный склероз и др.);
- инфекционно-воспалительные заболевания;
- последствия черепно-мозговых травм;
- нарушение обмена веществ в головном мозге;
- нейродегенеративные расстройства и др.
МР-снимок церебральных структур в режиме Т2 (аксиальная проекция)
Анализ результатов МРТ головного мозга заключается в расшифровке снимков, выполненных в трех плоскостях (аксиальной, сагиттальной и коронарной) с шагом среза от 1 мм. Сканирование области интереса проводят в разных режимах. Основными являются Т1 и Т2 ВИ. Отличие режимов друг от друга состоит в отображении структур, содержащих жидкость. Ткань с большим количеством воды в режиме Т1 имеет на фото темную окраску, в Т2 - светлую. По-разному выглядит серое вещество головного мозга. В последовательности Т2 субстанция визуализируется в светлом оттенке.
МР-снимок головного мозга в режиме Т1 (аксиальная проекция)
Для сканирования церебральных структур применяют и другие режимы - с целью снижения интенсивности сигнала от жира, изучения распределения протонов водорода в мозговой ткани и т.д.
При описании фотографий врач сравнивает полученные показатели с образцами нормы. Для правильной интерпретации снимков МРТ специалист должен разбираться в строении головного мозга человека. Нужно знать размеры каждой структуры, понимать, что значат отклонения от нормальных параметров, хорошо ориентироваться в вопросах физиологии и патологической анатомии.
Норма МРТ головного мозга
Нормальное состояние ткани мозга на МР-снимке головы (сагиттальная проекция)
Формирование заключения при расшифровке МРТ головного мозга - сложный многоэтапный процесс. Изучение картины начинают с полушарий. Контуры должны быть четкими, округлой формы. В норме на изображениях полушарий нет грубых вдавливаний и выпячиваний. Далее исследуют структуру вещества головного мозга. При отсутствии патологий очаговые и диффузные изменения на фото не наблюдаются. Третий этап изучения снимков - оценка желудочковой системы. Любое уменьшение или увеличение размера последней или ее отдельных частей считают отклонением. При МРТ с усилением у здорового человека контрастное вещество быстро покидает сосудистое русло и концентрируется в области патологических изменений.
Как читать результаты МРТ головного мозга?
В заключении врач описывает состояние рассматриваемых структур. При обнаружении в результатах магнитно-резонансной томографии патологического очага специалист оценивает следующие параметры:
- положение - локализация помогает определить, какие отделы головного мозга поражены и прогнозировать последствия;
- форму, размер зоны поражения;
- контуры;
- оттенок - по изменению тона серого цвета на томографических снимках (участки затемнения, просветления) врач может сделать вывод о природе патологического процесса;
- специфические характеристики, свойственные тому или иному заболеванию.
Результаты МРТ мозга с контрастом показывают наличие опухоли (пораженная часть выделена красным): патологический очаг, в отличие от здоровой ткани, интенсивно накапливает усилитель, четкие границы и связь с твердой оболочкой дают возможность предположить доброкачественное образование
Томограммы должен расшифровывать специалист. Прочитать снимки самостоятельно можно лишь приблизительно. Профессионал увидит на фото:
- опухоли - для доброкачественных образований характерны ровность краев и наличие капсулы, опасные патологии, как правило, отличаются нечеткими границами, имеют собственную сосудистую сеть и внедряются в окружающие структуры; множественные очаги на картине могут указывать на метастазы;
- болезни сосудов:
- стеноз - сужение стенок артерий и вен;
- мальформации - неправильное соединение сосудов;
- аневризмы - выпячивание стенки артерий (просвет может быть расширен более, чем в два раза);
- признаки тромбоза - в описании МРТ мозга с контрастом указывают, что имеется окклюзия (прекращение кровотока) или дефект наполнения сосуда;
- атеросклеротические бляшки и т.д.
- гидроцефалию - на патологическое скопление ликвора указывает расширение полости желудочков и/или субарахноидальных пространств;
- инсульт - область, пострадавшая от гипоксии,;
- рассеянный склероз - в разных областях белого вещества появляются мелкие очаги демиелинизации;
- возрастные изменения - МРТ-картина головного мозга показывает истончение коры, сокращение гиппокампа, расширение извилин и др.

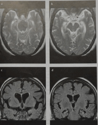
Атрофия головного мозга при болезни Альцгеймера на снимках МРТ: а, b - Т2 ВИ в аксиальной проекции, с, d - режим FLAIR в коронарной плоскости. Визуализируются истончение коры теменной и височной долей, особенно в области гиппокампа. Височные рога боковых желудочков расширены
При врожденных пороках МР-снимки патологии головного мозга детально сравнивают с нормой. Некоторые аномалии не представляют опасности для жизни и не требуют лечения.
После обследования во многих клиниках предусмотрена консультация с врачом лучевой диагностики. Доктор дает пояснения по поводу обнаруженных изменений. Для пациента расшифровывается, какие структуры головного мозга затронуло поражение, с чем связан патологический процесс, обсуждаются вероятные последствия. В некоторых ситуациях требуется многократное магнитно-резонансное сканирование для наблюдения динамики и определения скорости прогрессирования заболевания.
Точно расшифровать МРТ головного мозга без помощи специалиста нельзя. Человек без медицинского образования не сумеет различить нормальные показатели и отклонения, понять значение изменения цвета и т.д. Чтобы читать снимки, надо знать множество нюансов. Одинаковые патологии могут по-разному выглядеть в зависимости от возраста человека. Поставить правильный диагноз прио расшифровке МРТ головного мозга способен лишь опытный врач.
Нормотензивная гидроцефалия
Нормотензивная гидроцефалия или синдром Хакима-Адамса, характеризуется хроническим расстройством ликвородинамики, расширением желудочковой системы без значительного увеличения уровня внутричерепного давления, клинически проявляется классической триадой симптомов: нарушением походки, деменцией и тазовыми расстройствами.
Впервые НГ описана как синдром колумбийским нейрохирургом S. Hakim в 1957 году. В англоязычной литературе термин «нормотензивная гидроцефалия» был введен американским нейрохирургом R. Adams в статье, опубликованной в New England Journal в 1965 году, где были описаны три клинических наблюдения НГ — два посттравматического и один идиопатического генеза.
Нормотензивная гидроцефалия рассматривается, как заболевание пожилых людей в возрасте 60-80 лет, хотя описаны случаи встречаемости данного заболевания в среднем и даже детском возрасте.
В настоящее время выделяют первичную (идиопатическую) и вторичную (симптоматическую) НГ. Вторичная НГ наиболее часто развивается после перенесенного субарахноидального кровоизлияния (23 %), менингита (4,5 %), черепно-мозговой травмы (12,5 %), но могут быть и другие причины.
При постановке диагноза клиницистом будь то диагност или невролог важно соизмерять типичные клинические данные и изменения при томографии так, как часто пациенты с данной патологией лечатся, как больные с цереброваскулярной патологией или другой формой гидроцефалии.
Характерным проявлением НГ считается триада Хакима — Адамса, которая включает деменцию, нарушение ходьбы и функции тазовых органов.
Однако необходимо помнить, что классическая картина, описанная в 1965 году, наблюдается только у 32-48 % пациентов. Нередко выявляются только два симптома, обычно нарушение походки и деменция (30 %), реже встречается один из 3 симптомов, и, как правило, это только ухудшение походки (около 10 %). И все же нарушение ходьбы остается наиболее частым симптомом при НГ и, как правило, проявляется дисбалансом поэтапной активации мышечных групп, который стоит рассматривать как расстройство подкорковых систем управления движением, а не как первичное нарушение работы пирамидного тракта. По мере прогрессирования НГ вовлечение кортикоспинального пути становится более выраженным. Походка описывается как апраксическая, брадикинетическая, магнитная, паркинсоническая. Также пациенты могут испытывать трудности при повороте. При НГ не отмечается каких-либо изменений содружественности движений рук при ходьбе. Когнитивные расстройства характеризуются замедлением психомоторных функций, нарушением способности к концентрации внимания и слабо выраженными нарушениями памяти. Подобные изменения нередко связаны с дисфункцией передних отделов головного мозга и являются довольно характерными для так называемой субкортикальной деменции. Первичные нарушения высших мозговых функций (афазия, апраксия, агнозия, акалькулия), так же как и психозы, встречаются редко. Однако у некоторых больных возможно возникновение конфабуляций, галлюцинаций, мании, делирия, депрессии, а также эпилептических припадков. Важно помнить, что для пациентов с НГ такая общеизвестная классическая картина гидроцефалии, как головная боль, тошнота, рвота, нарушение зрения, не характерна. При исследовании глазного дна не отмечается отека дисков зрительных нервов. Дисфункция тазовых органов дебютирует увеличением частоты мочеиспускания, особенно ночью, с постепенным развитием недержания мочи. Тазовые расстройства при НГ относят к лобному типу нарушений мочеиспускания, для которого характерно отсутствие позывов, индифферентное отношение больного к факту непроизвольного мочеиспускания. Недержание кала встречается редко, обычно у пациентов с выраженными стадиями заболевания.
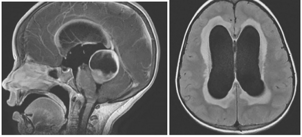
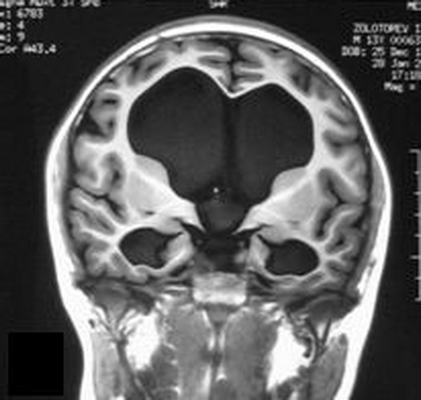
- Вентрикуломегалия
- Баллонообразное расширение передних рогов боковых желудочков до 30% и более от диаметра черепа. При данной патологии особенно значительно расширены III желудочек, височные и фронтальные рога боковых желудочков, что приводит к появлению характерной формы желудочковой системы в виде “бабочки” на аксиальных срезах.
- Перивентрикулярное гало -высокий сигнала на Т2 и PD. Данные изменения обусловлены трансэпендимальным проникновением ЦСЖ.
- Деформация (фестончатость) мозолистого тела и перикаллезных артерий.
- Обнаружение мелких ишемических очагов или лейкоареоза не противоречит диагнозу НТГ, так как возможно сочетание НТГ и цереброваскулярной недостаточности. Признаки микроангиопатического церебраваскулярного заболевания коррелируют с худшим исходом шунтирования.
- Неравномерность и деформация субарахноидальных пространств и щелей.
Считается, что скорость кровотока на уровне водопровода мозга более 24,5 мл/мин имеет 95% специфичность для пациентов с гидроцефалией, а ударный объём ликвора более 42 мкл/с в большинстве случаев позволяет прогнозировать положительный эффект шунтирующей операции. В качестве возможных предикторов позитивного исхода рассматривают снижение ударного объема ликвора и гипердинамический характер ликворотока в желудочковой системе с нормальными его параметрами на краниоспинальном уровне.
Гидроцефалия — классификация
в) IV желудочка мозга (отверстия Люшка, Мажанди - мальформация Денди-Уокера: тетравентрикулярная гидроцефалия).
2. Врожденные аномалии развития ЦНС, со- провождающиеся гидроцефалией, либо приводя- щие к гидроцефалии (в т.ч. генетические анома- лии):
a) мальформация Киари;
б) дизрафические состояния;
в) синдром Chudley-McCullough;
3. Врожденные обструкции, обусловленные объемными процессами:
a) опухоли мозга, тератомы;
б) кисты.
4. Врожденные системные заболевания, приводящие к гидроцефалии:
a) врожденные пороки сердца;
б) пороки развития основания черепа.
Приобретенная патология, вызывающая гидроцефалию:
1) инфекционная (наиболее часто встречающаяся причина сообщающейся гидроцефалии);
2) постгеморрагическая (вторая по частоте причина сообщающейся гидроцефалии):
3) после субарахноидальной геморрагии
4) после внутрижелудочковой геморрагии (у 20-50 % таких больных развивается прогрессирующая гидроцефалия);
5) вторичная при объемных внутричерепных процессах:
6) неопухолевая (артериовенозные мальформации, кисты)
7) опухолевая (в результате обструкции ликвороносных путей — опухоли мозжечка, четверохолмной цистерны. III или бокового желудочка;
8) в результате гиперпродукции ликвора — плексус-папилломы, плексус-карциномы, менингиомы плексуса
9) в сочетании с опухолями спинного мозга
10) послеоперационная (около 20 % детей после удаления опухолей задней черепной ямы требуются шунтирующие операции).
Классификация по морфологическому признаку:
1) открытая (сообщающаяся, коммуникативная) гидроцефалия
а) субарахноидальное кровоизлияние
б) менингит
в) лептоменингиальная инфильтрация опухолью.
г) нормотензивная гидроцефалия.
2) закрытая (окклюзионная, обструктивная) гидроцефалия.
а) врожденный стеноз водопровода
б) обструкция обусловленная новообразованием.
3) гидроцефалия ex vacuo или заместительная гидроцефалия — гидроцефалия вследствие атрофии, обусловленная старением или заболеваниями. Встречается при системных атрофиях головного мозга —
а) болезнь Пика,
б) болезнь Альцгеймера,
в) хорея Гентингтона,
г) болезнь Фридрейха
д) циклопии.
В зависимости от особенностей деформации ликворных полостей гидроцефалию подразделяют на:
1. Наружную - расширяются преимуществе субарахноидальные пространства
2. Внутреннюю - расширяются преимущественно желудочки мозга
3. Смешанную (внутренне-наружную) -расширены как желудочки, так и подпаутинное пространство.
Гидроцефалия головного мозга на МРТ
Магнитно-резонансную томографию широко используют в диагностике заболеваний головного мозга. МРТ позволяет с высокой точностью визуализировать патологические изменения в церебральных структурах, выявить малейшие отклонения в структуре вещества мозга и ликворопроводящей системы. Хорошо заметна на снимках гидроцефалия головного мозга на МРТ, при которой в головном мозге отмечается повышенное скопление спинномозговой жидкости. В неврологии подобное состояние называют «водянкой», способно проявляться у взрослых и детей как самостоятельное заболевание или осложнение других болезней головного мозга. При отсутствии ранней диагностики и правильной терапии, патология приведет к инвалидности и даже смерти.

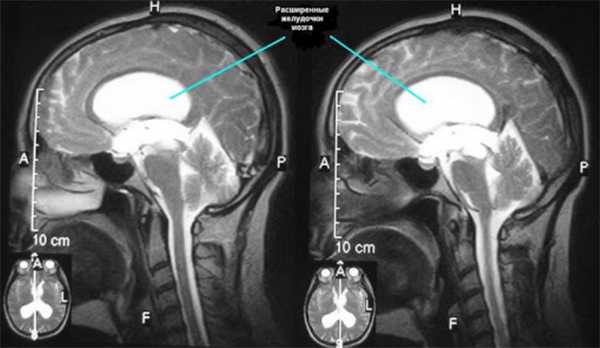
МРТ головного мозга. На МР-томограмме в сагиттальной плоскости отмечается расширение боковых желудочков мозга (линии), за счет повышенного содержания церебральной жидкости (ликвора).
Покажет ли МРТ гидроцефалию головного мозга?
МРТ при гидроцефалии головного мозга считается одной из наиболее информативных методов обследования, благодаря которому определяют не только локализацию патологических изменений, но и причину нарушения оттока ликвора. На снимках врач-рентгенолог видит аномальное увеличение количества церебральной жидкости (ликвора) в желудочках мозга, субарахноидальных щелях, определяет повышенное внутричерепное давление.
Благодаря МРТ врач имеет возможность на ранних стадиях выявить водянку, определить атрофические изменения в структурах головного мозга, сопутствующие осложнения. Жидкость при гидроцефалии скапливается под мозговой оболочкой в мягких тканях, вызывает стойкое повышение внутричерепного давления, головные боли, тошноту и др.
В отличие от УЗИ или КТ, МРТ дает возможность определить болезнь на первичном этапе развития. Для диагностики используется современная высокочувствительная аппаратура, позволяющая провести дифференциальный осмотр структур головного мозга, получить достоверные результаты. При помощи МРТ можно выявить следующие формы патологии:
1. Наружная заместительная гидроцефалия - жидкость скапливается в оболочечных пространствах головного мозга, что приводит к расширению оболочек и компрессии близлежащих структур.
2. Внутренняя - ликвор присутствует в желудочках, присутствует выраженный синдром внутричерепной гипертензии.
3. Нормотензивная или синдром Хакима-Адамса - патология малоизученная, встречается редко, сопровождается множественными супратенториальными очагами.
4. Заместительная гидроцефалия - происходит уменьшение объема головного мозга, а его место занимает спинномозговая жидкость.
Во врачебной практике часто встречается умеренная наружная гидроцефалия, реже нормотензивная форма.

Состояние после оперативного вмешательства: эндоскопической трицистерновентрикулостомии.
При проведении МРТ головного мозга не прослеживается ток ликвора на уровне водопровода мозга, отмечается ток на краниовертебральном уровне и базальных цистернах. На уровне стомы в дне третьего желудочка - ток ликвора интенсивный.
Признаки гидроцефалии у взрослых по МРТ
Гидроцефалия на МРТ проявляется высоким внутричерепным давлением, которое происходит за счет увеличения объема ликвора в желудочках мозга.
При гидроцефалии происходит скопление спинномозговой жидкости (ликвора) в желудочках головного мозга, что приводит к компрессии структур, появлению выраженной неврологической симптоматики. У детей патология чаще является врожденной, проявляется в период внутриутробного развития. Гидроцефалия у взрослых - результат сопутствующих заболеваний:
послеоперационные изменения вещества головного мозга;
нарушение мозгового кровообращения;
сосудистые патологии: гипертония, аневризма.
Гидроцефалия представляет серьезный риск для пациента, поэтому при первых неврологических симптомах (головная боль, головокружение, тошнота, тремор конечностей) важно как можно быстрее обращаться к врачу, который направит на МРТ.
МРТ позволяет провести детальную оценку всех структур головного мозга, распознать следующие патологические изменения:
степень увеличения и расширения желудочков;
количество и локализация цереброспинальной жидкости;
изменение структуры мозговой ткани;
увеличение объема субарахноидальных пространств;
поражение стволовых структур;
мозговые образования (опухоли, кисты, кровоизлияния).
Полученные снимки после МРТ позволяют врачу поставить правильный диагноз, подобрать наиболее эффективную терапию. Исходя из врачебной практике нейрохирургов, консервативные методики не приносят должного результата, единственным способом избавится от патологии, проведение операции.

Как выглядит гидроцефалия на снимках МРТ?
МР-диагностика с высокой долей достоверности определяет патологические процессы, проявившиеся на фоне нарушения оттока ликвора. Благодаря получению многоплоскостных изображений на МРТ исключаются сопутствующие изменения вещества головного мозга. Врач диагност при гидроцефалии на снимках заметит следующие изменения:
увеличение объема боковых желудочков;
снижение МР-сигнала от субарахноидального пространства, уменьшение конвекситального субарахноидального пространства;
локальное выпячивание боковых желудочков.
Сканирование в нескольких плоскостях определяет болезнь на самых ранних стадиях, что при условии правильного лечения позволяет полностью вылечить болезнь без тяжелых последствий для здоровья. Помимо патологических изменений, развившихся на фоне водянки, МРТ дает возможность выявить причину гидроцефалии.
Диагностика помимо локализации и количества жидкости распознает увеличение размера борозд и подпаутинного пространства, поражение мозга и сосудистых сплетений. С высокой точностью визуализирует признаки нейродегенеративных патологий, онкологические процессы или поражение сосудов.

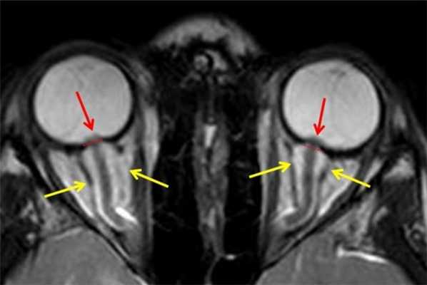
МРТ орбит. На МРТ орбит в аксиальной плоскости отмечается минимально выраженный отек ретробульбарной клетчатки с наличием жидкостного содержимого (желтые стрелки) вдоль зрительных нервов (расширение субарахноидального пространства), приводящие к масс-эффекту зрительных нервов (красные стрелки) и деформации глазного яблока.
Расшифровка МРТ головного мозга при гидроцефалии
Охарактеризовать результаты МРТ головного мозга может врач-рентгенолог, имеющий большой практический опыт. Специалист изучает полученные снимки, сопоставляет срезы в разных плоскостях и режимах сканирования. Обнаруженные патологии вносит в заключение, затем передает лечащему врачу пациента.
Современные диагностические центры оснащены высокотехнологическими сканерами, что позволяет с точностью провести исследование головного мозга, ликворопроводящих путей. Сама процедура МРТ полностью безопасна для здоровья, позволяет даже при отсутствии внешних признаков и симптомов выявить патологические изменения в голове, тем самым предотвратить прогрессирование болезни и ее возможные последствия.

Гидроцефалия на МРТ
Магнитно-резонансную томографию активно используют в неврологии и нейрохирургии. С помощью метода визуализируют головной мозг. Послойные снимки полноценно отражают церебральные структуры, позволяют выявить патологические изменения на любом участке и собрать детальные сведения об отклонениях.
МРТ имеет огромное значение для ранней диагностики заболеваний головного мозга. На снимках врач-рентгенолог видит признаки опасных для жизни состояний, например, водянки. Гидроцефалия головного мозга на МРТ проявляется характерными симптомами, даже на начальных этапах развития. Опытный диагност быстро определит патологию, установит форму, клиницист подберет правильную тактику лечения.
Что такое гидроцефалия?
Трофику нервной ткани обеспечивает непрерывная циркуляция ликвора. Спинномозговая жидкость перемещается по определенному пути внутри церебральных структур, участвуя в обмене веществ. Ликвор защищает ткань от механических воздействий, обеспечивает стабильные концентрации электролитов, кислотно-щелочное равновесие, выступает в качестве иммунобиологического барьера.
Гидроцефалия — патологическое состояние, характеризующееся нарушениями выработки, оттока и/или циркуляции спинномозговой жидкости, избыточным ее скоплением, часто с повышением уровня внутричерепного давления. Для заболевания характерна неврологическая симптоматика. Со временем гидроцефалия приводит к развитию вторичных изменений. Синоним — водянка головного мозга. Неконтролируемое течение заболевания чревато летальным исходом.
- приступы цефалгии (головной боли);
- колебания артериального давления;
- тошнота;
- рвота;
- недержание мочи;
- шаткость походки;
- психические нарушения (деменция и пр.); — прогрессирующее увеличение размеров головы, симптом заходящего солнца и пр.

Схематичное изображение желудочков мозга в норме и при внутренней гидроцефалии
На ранних этапах развития патологии происходят изменения в головном мозге, но неврологическая симптоматика отсутствует. Проявления возникают на фоне органических процессов в церебральном веществе, нарушения кровообращения, атрофии отдельных участков.
Гидроцефалия — признак заболевания, т.к. является осложнением последнего. Идиопатическая форма патологии практически не встречается. Гидроцефалию и ее причины выявляют с помощью нейровизуализационных методов. Наиболее информативной признана МРТ.
Патологию чаще диагностируют у детей в первые 3 месяца жизни. Заболевание встречается и у взрослых, особенно после 60 лет. Причины развития гидроцефалии:
- черепно-мозговые травмы;
- опухоли;
- сосудистые патологии;
- инфекционные заболевания;
- перенесенные нейрохирургические операции; и гематомы;
- аномалии развития центральной нервной системы.
Тактика лечения гидроцефалии головного мозга зависит от вида заболевания. При благоприятном течении назначают медикаментозную терапию. При неэффективности препаратов и высоком риске развития осложнений в срочном порядке проводят хирургическое вмешательство.
Виды гидроцефалии
В зависимости от причины развития, водянка мозга бывает врожденной и приобретенной. Исходя из распределения ликвора, патологию классифицируют на виды:
- наружная;
- внутренняя (моно-, би-, три- или тетравентрикулярная);
- смешанная.
Исходя и механизма развития, водянка головного мозга бывает:
- открытой (сообщающаяся);
- закрытой (окклюзионная).

Внутренняя тривентрикулярная окклюзионная гидроцефалия на МРТ во фронтальной и сагиттальной плоскостях: на левом снимке видно гигантское кистозно-солидное образование, явившееся причиной обструкции ликворопроводящих путей на уровне Сильвиева водопровода
МРТ покажет гидроцефалию?
При магнитно-резонансной томографии получают послойные снимки исследуемой анатомической области. При изучении сканов врач видит мозговое вещество и выявляет отклонения от нормы. МРТ отчетливо показывает гидроцефалию. Метод информативен на ранних этапах развития заболевания, даже при отсутствии у пациента характерных симптомов. Детализация снимков позволяет врачам выявить водянку головного мозга, определить тип, диагностировать сопутствующие заболевания.

Водянка головного мозга при МР-сканировании в коронарной проекции
Проявления патологии на снимках бывают прямыми и косвенными. Первые связаны с расширением желудочков мозга (III, IV и боковых (в начальном периоде — в области передних рогов и тела)), водопровода и/или субарахноидального пространства (конвекситально, в области базальных цистерн, Сильвиевых борозд и пр.). Косвенные признаки на МР-сканах:
- межжелудочковый индекс свыше 0,5;
- перивентрикулярный отек при напряженной водянке;
- смещение гипоталамуса вниз;
- локальное выпячивание крыши боковых желудочков и др.
Дополнительно на томограммах определяют причину водянки головного мозга — основное заболевание.
Заключение МРТ головного мозга: гидроцефалия
Рассмотреть и охарактеризовать патологические изменения способен врач-рентгенолог с большим практическим опытом. Эксперт изучает снимки, сопоставляет между собой срезы в разных проекциях и режимах сканирования.
Обнаруженные признаки патологии врач фиксирует в заключении. Специалист описывает томографические признаки заболевания и ставит предварительный диагноз. В заключении МРТ может быть указано «умеренная наружная заместительная гидроцефалия». Клиницист трактует информацию, как невыраженное скопление ликвора в субарахноидальном пространстве на фоне атрофии коры мозга. Это не истинная водянка, а проявление компенсаторного механизма, развивающегося при органических или возрастных изменениях нервной ткани.
Читайте также:
