Обследование для диагностики рака височной кости
Добавил пользователь Валентин П. Обновлено: 31.01.2026
Компьютерная томография костей черепа - исследование довольно распространённое. Однако при некоторых болезнях могут потребоваться прицельные снимки отдельных костей черепа.
Об особенностях одного из таких исследований - компьютерной томографии височных костей - мы беседуем с врачом-рентгенологом «Клиника Эксперт» Курск Романом Александровичем Строковым.
— Роман Александрович, где расположены височные кости и какова их функция?
— Они расположены в области основания черепа и участвуют в образовании его боковой части. В височных костях находится орган слуха и равновесия. Кроме того, в костных каналах височных костей проходят такие важные нервные структуры, как лицевой и преддверно-улитковый нервы, находится узел тройничного нерва.
— Что может стать поводом для КТ височных костей? При каких заболеваниях эффективна эта диагностика?
— Компьютерная томография височных костей - это методика, которая проводится по специальному протоколу. Это помогает хорошо детализировать все анатомические образования, которые располагаются в височной кости. Поэтому на КТ височных костей врачи направляют пациентов с поражениями органа слуха и равновесия, с черепно-мозговой травмой (ЧМТ), когда, в частности, предполагается перелом основания черепа.
Также исследование рекомендуют больным с неврологической симптоматикой, которая соответствует поражению нервов, расположенных в височных костях. КТ височных костей может быть нужна и при планировании хирургического лечения, например, по поводу такого заболевания, как отосклероз. Это делают, чтобы оценить анатомические особенности височной кости у конкретного пациента и подобрать соответствующий кохлеарный протез (протез улитки внутреннего уха).
Информативна КТ височных костей и при воспалительных процессах уха (острых и хронических отитах), травмах, опухолях этой области.
Читайте материалы по теме:
— Что показывает КТ височных костей?
— На КТ-снимке мы наблюдаем структуры наружного, среднего и внутреннего уха (слуховые косточки, конфигурацию слухового прохода). Кроме того, можно оценить костные элементы, а также воздушные полости височной кости на предмет нарушения их пневматизации (заполнения воздухом). На основании этих данных мы делаем вывод, являются ли выявленные изменения причиной недуга, который беспокоит пациента.
— Роман Александрович, расскажите, пожалуйста, как делают КТ височных костей
— Стандартное исследование височных костей проводится без контрастирования (то есть без использования контрастного препарата). Пациент заходит в кабинет, проходит инструктаж, раздевается, ложится на стол томографа и неподвижно лежит на протяжении всей процедуры. Она обычно занимает несколько минут.
Томограф оборудован средствами связи с персоналом. Если во время исследования у пациента возникают неприятные ощущения или ухудшается самочувствие, он может сообщить об этом сотрудникам.
По окончании сканирования врач-рентгенолог проверяет качество полученных изображений и их информативность. На руки пациент получает снимки на плёнке, диск с записью процедуры и заключение врача.
— Нужно ли готовиться к этой процедуре?
— Специальной подготовки к КТ височных костей не предусмотрено. Единственное условие - пациент должен снять с наружного уха все металлсодержащие украшения.
— Каковы противопоказания к этому методу исследования?
— КТ височных костей, как и компьютерную томографию любой другой зоны, не рекомендуется делать беременным и детям из-за ионизирующего излучения.
— А есть ли случаи, при которых проводить это исследование беременным или детям можно?
— Детям его выполняют по необходимым показаниям и тогда, когда другие методы диагностики и данные клинического осмотра не дают достаточной информации для постановки диагноза. Чаще всего показаниями для того, чтобы сделать КТ височных костей, являются:
- воспалительные заболевания уха, врождённые аномалии его развития;
- черепно-мозговая травма;
- планирование оперативного лечения.
Беременным это исследование проводят строго по показаниям, если имеется угрожающее жизни состояние.
— Нужно ли направление для того, чтобы пройти это исследование?
— Я считаю, что направление на компьютерную томографию желательно иметь всегда, причём не только детям, но и взрослым. Почему? Потому что в направлении лечащий врач (оториноларинголог, сурдолог, терапевт, травматолог) указывает предварительный диагноз, поставленный на основании проведённого обследования. И для подтверждения или опровержения своего мнения направляет на компьютерную томографию. Например, врач подозревает у пациента воспалительный процесс в среднем или внутреннем ухе и указывает это в направлении. То есть перед врачом-рентгенологом ставится вопрос, есть воспаление или нет. Соответственно, врач-рентгенолог должен ответить на этот вопрос, прицельно описывая изменения в интересующих лечащего врача структурах.
К нам в клинику пациенты на КТ височных костей приходят в подавляющем большинстве случаев с направлением. Если же пациент приходит самостоятельно, рентгенологу сложно дать внятный ответ. Часто такое исследование в последующем недостаточно информативно для лечащего врача.
Беседовала Севиля Ибраимова
Записаться на КТ височных костей можно здесь
ВНИМАНИЕ: услуга доступна не во всех городах
Редакция рекомендует:
Для справки:
Строков Роман Александрович
Выпускник лечебного факультета Ташкентской государственной медицинской академии 2011 года
В 2012 году завершил обучение в интернатуре по направлению «Рентгенология»
В настоящее время занимает должность врача-рентгенолога «Клиника Эксперт» Курск Принимает по адресу: ул. Карла Либкнехта, д. 7
Другие статьи по теме
Когда необходима КТ головного мозга? Как её проводят? Насколько безопасно такое исследование? Не только МРТ. Что покажет КТ головного мозга?
Доктор направил вас на МСКТ для определения количества кальция в артериях сердца. МСКТ для определения коронарного кальция: что это за исследование?
Компьютерная томография органов грудной клетки (КТ ОГК) - один из современных методов. КТ органов грудной клетки: что покажет и как поможет пациенту?
Что покажет КТ височных костей, как делают, подготовка и противопоказания

Височная кость является важной анатомической структурой - она участвует в формировании черепной коробки, здесь расположен слуховой аппарат, проходят крупные нервы и артерии. Обычные методы диагностики, такие как рентгенография или УЗИ, зачастую не позволяют диагностировать патологические изменения в этой области. КТ височных костей − более точное исследование, которое дает возможность выявлять заболевания на ранней стадии.
Что покажет КТ височных костей
Во время КТ получают послойные снимки височной кости и окружающих тканей в трех плоскостях. Толщина среза составляет всего несколько миллиметров, что позволяет врачу-рентгенологу рассмотреть не только все анатомические образования, но и минимальные патологические изменения.
На полученных снимках хорошо видны следующие структуры:
пирамида височной кости;
ячейки и антрум сосцевидного отростка;
улитка, преддверие, передний и задний полукружный каналы;
слуховые косточки среднего уха;
стенки наружного слухового прохода;

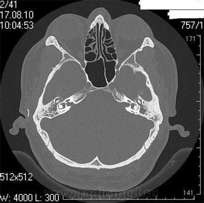
Снимок (томограмма) височных костей в осевой проекции
С помощью КТ височных костей можно выявить любые заболевания воспалительного, травматического, опухолевого характера. Метод применяется для диагностики следующих патологий:
объемных образований, кист костной ткани и слухового аппарата;
воспалительных процессов (мастоидиты, отиты, остеомиелиты);
травматических повреждений (трещины, переломы);
дегенеративных изменений (отосклероз, дисплазия);
Большим преимуществом КТ перед другими диагностическими методами является возможность получения трехмерной модели височной кости. 3D-изображение необходимо перед хирургическим вмешательством, часто по поводу установки имплантата внутреннего уха, поскольку дает максимально четкое представление об особенностях анатомии у конкретного пациента.
Иногда во время КТ височной кости дополнительно вводят контрастирующее вещество на основе йода. Введенный фармпрепарат хорошо поглощает рентгеновские лучи и делает изображения более отчетливыми. Контрастирование необходимо для уточнения характера изменений в мягкотканных образованиях, прилегающих к височной кости. Также методика позволяет отчетливо визуализировать церебральные артерии и вены. Вместе с тем, данная процедура обходится немного дороже стандартного исследования: пациенту нужно будет доплатить за количество использованного контраста.
Показания к КТ височных костей
В большинстве случаев КТ височных костей назначают ЛОР-врачи, неврологи, нейрохирурги, реже специалисты другого профиля. Обычно основанием для проведения томографии являются выявленные на рентгенограмме или во время УЗИ патологические изменения. Именно КТ височных костей позволяет разрешить все сомнения и поставить точный диагноз.
Показаниями для компьютерной томографии височной кости служат:
нарушения работы слухового аппарата (прогрессирующее ухудшение слуха, звон или шум в ухе и пр.);
вестибулярные расстройства (головокружение, шаткость при ходьбе);
длительный болевой синдром в области уха, в половине головы, особенно сопровождающийся неврологической симптоматикой;
выделения из слухового прохода различного характера (гной, кровь, ликвор);
клинические данные, свидетельствующие об опухолевом процессе;
нарушение работы лицевого нерва с развитием слабости мимической мускулатуры;
травмы головы с подозрением на перелом основания черепа и височной кости.
Также рекомендуют КТ височных костей перед запланированным хирургическим вмешательством, для контроля за проводимой терапией.
Кому противопоказана КТ височной кости
Компьютерная томография височных костей не проводится женщинам в период беременности, поскольку рентгеновские лучи негативно влияют на развитие плода. В случае томографии с контрастированием противопоказаниями являются:
нарушение фильтрационных характеристик почек;
непереносимость препаратов на основе йода;
повышенная функция щитовидной железы.
Как проходит компьютерная томография височных костей
Записаться в диагностический центр «Магнит» можно по телефону, указанному на сайте. Сотрудник подберет для вас наиболее удобное время, разъяснит особенности процедуры, одновременно вы сможете уточнить точную стоимость обследования.
Идя на томографию, потребуется взять с собой направление, имеющиеся на руках медицинские документы. В случае запланированной КТ височных костей с контрастированием нужно заранее сдать анализ на креатинин. Он необходим для оценки функционального состояния почек.
В центре «Магнит» обследование проводят на современном мультиспиральном томографе Siemens. Аппарат установлен в отдельной комнате, где и будет проходить сканирование.

Внешний вид компьютерного томографа и положение пациента на столе аппарата перед началом исследования
Непосредственно перед исследованием специалист центра проинструктирует больного и предложить занять положение на спине на столе томографа.
Во время сканирования стол с пациентом будет плавно перемещаться по направлению к тоннелю аппарата. Таким образом, голова будет находиться на уровне источника излучения и датчиков. Каких-либо неприятных ощущений во время исследования не возникает, тем более что сама процедура длится всего 1-2 минуты.
Все это время персонал будет находиться в соседней комнате и наблюдать за ходом исследования. В тоннеле томографа есть переговорное устройство, по которому пациент всегда может связаться с медперсоналом.
КТ височной кости с введением контраста длится немного дольше: от 15 до 25 минут, так как исследование включает несколько этапов. Первоначально выполняют нативное сканирование, после которого внутривенно вводят йодсодержащий препарат (Ультравист). Контраст относительно редко вызывает побочные реакции, иногда наблюдаются небольшое головокружение или подташнивание. Эти неприятные явления самостоятельно проходят в течение нескольких минут. Завершающий этап - повторное сканирование с получением максимально контрастных изображений.
После получения снимков и их обработки компьютерной программой врачу потребуется некоторое время для анализа данных. Обычно на это уходит не более 1,5-2 часов .
Когда назначают КТ височных костей детям
Данный вид исследования рекомендуют детям только при наличии веских оснований. Это связано с тем, что организм ребенка более чувствителен к рентгеновскому излучению, чем у взрослого пациента. КТ височных костей назначают тогда, когда другие методы исследования (рентген, УЗИ, МРТ) не дают достаточно информации для постановки диагноза. Детям компьютерная томография височных костей чаще всего проводится в случае черепно-мозговой травмы с переломами костей черепа, одностороннего нарушения слуха, при подозрении на новообразование.
В центре «Магнит» мультиспиральную КТ делают детям начиная с пяти лет. Современное оборудование и программное обеспечение позволяют подобрать оптимальный режим сканирования и, таким образом, существенно снизить лучевую нагрузку на организм. Процедуру с контрастированием в нашем центре проводят детям, достигшим двенадцатилетнего возраста.

Положение ребенка на столе компьютерного томографа перед исследованием
Компьютерная томография височной кости не причиняет маленькому пациенту дискомфорта или боли. Поскольку сканирование длится считанные минуты, дети хорошо переносят диагностику. Однако при запланированной томографии родителям все же следует психологически подготовить ребенка: рассказать о процедуре и почему так важно ее пройти.
Преимущества КТ височных костей
Компьютерная томография является оптимальным вариантом для исследования костей, в том числе черепа. Костная ткань хорошо поглощает рентгеновские лучи, в результате получают четкие ее изображения. Данный метод незаменим в диагностике скрытых переломов и трещин, он хорошо выявляет деструктивные изменения.

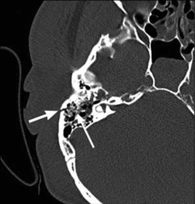
На КТ-снимке виден перелом пирамиды височной кости (указан стрелками)
Другими преимуществами мультиспиральной томографии являются:
высокая скорость сканирования;
относительно низкий уровень лучевой нагрузки;
неинвазивность и безболезненность;
доступность для выполнения пациентам с ферромагнитными имплантатами, электронными устройствами;
возможность получения трехмерной модели исследуемой зоны.
КТ височных костей имеет вполне доступную цену. В диагностическом центре «Магнит» ее можно пройти за 2450 рублей. Такая низкая, по сравнению с другими медучреждениями Санкт-Петербурга, цена объясняется проводимой в этом месяце специальной акцией.
МРТ височных костей
Височная кость человеческого черепа представляет собой сложное костное парное образование. Эта костная структура имеет сложную форму и структуру. Височные кости являются несущими частями черепной коробки, к ним крепятся части слухового аппарата. Они защищают вестибулярный аппарат и внутреннее ухо. Кость служит опорой жевательного аппарата - она сочленена с подвижной частью челюсти. По своему строению она состоит из трех частей, каждая из которых выполняет свои функции и несколько отличается по структуре ткани от соседних. Изнутри к височной кости примыкают артерии и нервные волокна. Роль височной кости очень велика, поэтому ее повреждение неизменно ведет к поражению структур внутреннего уха, вестибулярного аппарата, нарушению слуха, равновесия, головным болям или головокружению.
Любое изменение структуры или формы височной кости влияет на кровеносную систему, питающую мозг, либо на органы слуха и зрения, либо непосредственно на мозг. Такую же опасность несут и воспаления ячеистых структур сосцевидного отростка кости (одной из составляющих частей), новообразования на внутренней части кости, изменения наружного слухового прохода.
Возможность получения большого количества срезов на высокопольном томографе экспертного класса в Медицинском центре «Гарантия» облегчает точную диагностику. Часто болевые ощущения в области височной кости вызываются совершенно разными причинами, которые при обычных методах диагностики очень трудно определить. Часто требуются повторные исследования. В таком случае КТ использовать не рекомендуется - использование рентгеновского излучения, даже столь малой интенсивности, в области мозга очень нежелательно.
МРТ височных костей: показания
МРТ височной кости имеет огромное диагностическое значение.
Исследование должно быть назначено в следующих случаях:
- Боли в области среднего уха.
- Нарушения зрения или слуха по неизвестной причине.
- Гнойные выделения из слухового прохода.
- Нарушения работы челюстного аппарата.
- Травмы в височной области.
- Необходимость подготовки к операции на черепе и последующий контроль результатов операции.
- Отиты и другие заболевания воспалительного характера в области височной кости.
- Абсцессы и инфекции головы.
- Опухоли и подозрение на опухоли.
- Дегенеративные явления органа слуха.
- Проблемы с координацией движения и сохранением равновесия.
- Нарушения работы жевательных мышц.
- Нарушения вкусовых ощущений.
МРТ височных костей - что показывает?
МРТ височных костей позволяет выявить такие заболевания, как острые и хронические отиты, воспаления внутреннего уха, опухоли доброкачественного и злокачественного характера, травмы и переломы височных костей, наличие инфекционного процесса в данной области, отосклероз и другие дегенеративные патологии.
МРТ височных костей: противопоказания
МРТ не следует проводить в следующих случаях:
- Во время беременности и лактации. Беременным МРТ может быть назначена только по строгим показаниям, если польза от диагностики значительно перевешивает возможный риск для плода. При грудном вскармливании можно сделать простое исследование МРТ, не назначается МРТ с контрастированием, или же, в случае острой необходимости, матери следует отказаться от кормления грудью как минимум на сутки после исследования.
- Наличие в организме пациента металлических конструкций или электронных имплантов, в том числе зубных протезов из металла, отличного от титана.
- Почечная недостаточность - является противопоказанием к проведению МРТ с контрастированием, поскольку в этом случае нормальное выведение контраста из организма нарушается, и может наступить интоксикация.
- Вес пациента более 130 кг.
- Аллергия или склонность к аллергическим реакциям (для введения контраста).
Подготовка к МРТ-Исследованию
Специальной подготовки к МРТ височной кости не требуется.
КАК ДЕЛАЮТ?
Пациент укладывается на кушетку, которая затем помещается в цилиндрический тоннель томографа так, чтобы голова пациента находилась внутри тоннеля. Обследование длится около 25 минут. Если проводится контрастирование, то это время увеличивается до 45 минут.
В течение всей процедуры пациент должен сохранять неподвижность, поскольку от этого зависит четкость снимков. При необходимости голову пациента также могут зафиксировать специальными мягкими валиками. В связи со сложностью исследования, результаты обследования с расшифровкой врача обычно выдаются на руки пациенту на следующий день, а по экстренным показаниям - в течение часа. В заключении врач подробно описывает обнаруженные патологии и дает рекомендации. С результатами пациент в дальнейшем может обратиться к своему лечащему врачу, который направил его на МРТ, либо к специалисту, рекомендованному врачом.
Изображения исследования МРТ записывают на компакт-диск и выдают пациенту.
На МРТ височной кости цена зависит от репутации клиники и используемого в ходе обследования оборудования.
ИСПОЛЬЗОВАНИЕ КОНТРАСТНОГО ВЕЩЕСТВА
В тех случаях, когда есть подозрение на наличие опухоли, или необходимо уточнить более четко границы патологии, может быть назначена МРТ с контрастированием. Контраст вводится внутривенно после проведения бесконтрастного сканирования строго по показаниям. Распространяясь с кровотоком и накапливаясь в пораженных тканях, контрастное вещество способствует лучшей визуализации проблемных участков, позволяет косвенно судить о злокачественности опухоли, ее структуре. Контрастное вещество представляет собой препарат на основе редкоземельного металла гадолиния, который не наносит вреда организму и полностью выводится в течение суток естественным путем.
Диагностика типа рака костей
Как диагностировать типа рака костей? В качестве первых диагностических шагов пациенту рекомендуется:
- Записаться на консультацию к хирургу
- Сделать КТ костей.
Для уточнения окончательного диагноза врач может назначить дополнительно:
- Консультацию онколога
- Денситометрию.
Рак кости возникает при образовании опухоли или атипичной массы ткани. Это так называемые костные саркомы. Опухоль может быть злокачественной, что означает, что она растет агрессивно и распространяется в другие части тела. Рак кости может начаться в любой кости тела, но чаще всего появляется в тазу или длинных костях ног или рук, таких как голень, бедро или плечо. Рак, начинающийся в костях, встречается редко. Однако он может быть агрессивным, поэтому ранняя диагностика очень важна.
Виды рака костей
Первичный рак костей - самый серьезный из всех видов. Он образуются непосредственно в костях или окружающих тканях, таких как хрящ. Рак также может метастазировать из другой части тела в кости. Это называется вторичным раком кости- второй тип заболевания.
К распространенным типам первичного рака костей относятся:
Остеосаркома (остеогенная саркома)
Остеосаркома или остеогенная саркома обычно поражает детей и подростков, но может встречаться и у взрослых. Возникает на кончиках длинных костей рук и ног, бедрах, плечах или в других местах. Поражает твердую ткань, которая обеспечивает внешний слой костей. Остеосаркома - наиболее распространенный тип первичного рака костей, вызывающий 2 из 3 случаев опухоли.
Саркома Юинга
Саркома Юинга - второй по распространенности тип первичного рака кости. Зарождается или в мягких тканях, окружающих кости, или непосредственно в костях и часто поражает детей и молодых взрослых.
Хондросаркома
Хондросаркома чаще всего начинается в костях таза, бедер и плеч у пожилых. Образуется в субхондральной ткани, которая представляет собой твердую соединительную ткань между костями. Эти опухоли обычно медленно растут. Это наименее распространенный первичный рак костей.
Множественная миелома
Множественная миелома является наиболее распространенным видом рака, поражающего кости. Однако не считается первичным раком кости, поскольку начинается в плазматических клетках. Возникает, когда раковые клетки растут в костном мозге и вызывают опухоли в различных костях. Поражает пожилых пациентов.
Симптомы рака кости
Признаки рака костей включают:
- боль и отек в пораженных костях
- пальпируемая твердая масса в длинных костях конечностей, таза или грудной клетки
- чувство утомления
- боль в костях, которая будит по ночам
- боль в костях, которая может начаться после небольшой травмы
- снижение амплитуды движений.
Менее распространенные симптомы онкологии костей включают:
- легко ломающиеся кости
- потеря веса
- лихорадка.
Диагностика причины рака костей
Причина рака кости точно не известна, но есть определенные факторы, которые способствуют развитию атипичных костных новообразований или увеличивают шансы на их развитие. К ним относятся:
атипичный рост клеток. Здоровые клетки постоянно делятся и заменяют старые. Как только этот процесс завершается, они умирают. Однако атипичные клетки продолжают жить, формируя массу ткани, которая превращается в опухоль
лучевая терапия. Убивает опасные раковые клетки, может быть использована для лечения рака кости. Однако у некоторых больных, получающих лечение, может развиться остеосаркома. Использование высоких доз радиации может способствовать ее развитию
хромосомные мутации. Особенно при остеосаркоме 70 % случаев были выявлены некоторые атипичные характеристики в хромосомах. Генетические мутации, повышающие риск развития рака костей, передаются по наследству, хотя это случается редко. Мутации также могут возникать в результате облучения
Факторы риска
Следующие факторы повышают риск развития рака костей:
- наличие в семейном анамнезе заболевания
- прохождение лучевой терапии
- наличие болезни Пэджета
- наличие в настоящее время или ранее множественных опухолей в хряще
- наличие синдрома Ли-Фраумени, синдрома Блума или синдрома Ротмунда-Томсона.
Диагностика и стадирование рака кости
Онколог классифицируют первичный рак костей по стадиям, описывающие, где находится опухоль:
- рак кости 1 стадии не распространился из кости
- рак кости 2-й стадии не распространился, но может стать инвазивным, угрожая другим тканям
- рак кости 3 стадии распространился на одну или несколько областей кости и является инвазивным
- рак кости 4 стадии распространился на ткани, окружающие кость, и на другие органы, такие как легкие или мозг
Врач использует следующие методы для определения стадии рака кости:
- биопсия кости
- сканирование костей
- анализ крови
- исследования визуализации, которые включают рентген костей, ПЭТ, МРТ и КТ костей
Лечение
Лечение зависит от:
- стадии и степени рака
- возраста
- общего состояния здоровья
- размера и расположения опухоли.
Медикаментозное лечение рака кости
Лекарства для лечения рака костей включают:
- химиотерапевтические препараты
- обезболивающие средства для снятия воспаления и дискомфорта
- бисфосфонаты для предотвращения потери костной массы и защиты структуры костей
- цитостатические препараты, останавливающие рост раковых клеток
- препараты иммунотерапии для стимулирования иммунной системы организма к уничтожению раковых клеток
Хирургия рака кости
Врач может хирургическим путем удалить опухоли или пораженные ткани. Операция по удалению и замене поврежденной кости - это способ остановить быстрое распространение рака. При обширном повреждении костей рук или ног требуется ампутация.
Лучевая терапия рака кости
Онколог может порекомендовать лучевую терапию. Она применяется в дополнение к другому виду лечения, чтобы замедлить рост раковых клеток. Лучевая терапия используется, если недостаточное количество опухоли может быть удалено хирургическим путем.
Рак костей

Рак костей - это бытовое название злокачественных опухолей, развивающихся в костной и хрящевой ткани. Онкологи называют такие новообразования саркомами, так как они формируются из клеток соединительной ткани, а не эпителия. Основная доля заболеваний приходится на вторичный рак, вызванный метастазами из других органов. Первичные опухоли развиваются в костной и хрящевой ткани намного реже. Саркомы, как правило, развиваются у детей, подростков и молодых людей до 35 лет, чаще поражают мужчин, чем женщин.
По гистологическим признакам рак костей подразделяется на следующие виды.
- Метастатический. Вторичная опухоль обладает всеми свойствами и особенностями исходного очага патологии.
- Остеосаркома. Самое распространенное первичное новообразование, формирующееся в костях таза и конечностей. Основная группа риска - мальчики и молодые мужчины в возрасте от 10 до 30 лет.
- Хондросаркома. Второй по уровню распространения вид первичных опухолей формируется из клеток хрящевой ткани, причем заболеваемость растет с повышением возраста. Поражаются конечности, тазовые и черепные кости, лопатки, а также внутренние органы, в строении которых имеются хрящи - гортань, трахея.
- Саркома Юинга. Заболевание характерно для детей и молодых людей до 30 лет, формируется в костях конечностей, таза, ребрах, лопатках.
- Фиброзная гистиоцитома. В злокачественной форме новообразование обычно развивается в мягких тканях, но иногда возникает в костях, локализуясь преимущественно в области коленей, и очень редко дает метастазы, ограничиваясь локальным ростом.
Симптомы
Заболевание начинает проявлять себя довольно рано по сравнению с другими опухолями, однако первые признаки и симптомы рака костей не являются специфичными, присущими исключительно этой патологии. Вначале появляются боли в суставе или кости, пораженной опухолью. Болевые ощущения носят кратковременный характер, но затем становятся постоянными и усиливаются, их невозможно уменьшить обычными обезболивающими препаратами. Боль становится сильнее по ночам и во время нагрузки на кость. Кроме того, у пациента развиваются:

- отеки мягких тканей в области опухоли;
- снижение подвижности сустава или размягчение кости;
- хромота или другие ограничения подвижности;
- снижение чувствительности больной конечности;
- увеличение размеров регионарных лимфоузлов;
- локальное повышение температуры в месте опухоли;
- истонченная, бледная кожа с явственным рисунком сосудов;
- потеря веса без видимых причин;
- ощущение постоянной усталости.
Если один или несколько перечисленных симптомов сохраняются в течение двух-трех недель или дольше - необходимо, не откладывая, проконсультироваться с онкологом.
Причины и факторы риска
В настоящее время механизм развития рака костей черепа, конечностей, таза и других костных образований досконально не определен, однако онкологам удалось установить неблагоприятные факторы, увеличивающие риски развития опухолей в костной ткани. Наиболее важными из них являются:

- унаследованная от ближайших родственников предрасположенность;
- наличие в прошлом травм костной ткани - переломов, трещин;
- доброкачественные новообразования в костях;
- отклонения гормонального уровня, провоцирующие активное деление клеток у детей и подростков;
- повышенная доза радиоактивного облучения, полученная организмом;
- длительный контакт с канцерогенными веществами;
- курение табака.
Наиболее частой причиной развития заболевания становятся метастазы из других органов, пораженных опухолями.
В последнее время набирает популярность теория психосоматики рака костей - взаимосвязи между психологическими переживаниями и заболеваниями, поражающими тело. Безусловно, определенная взаимосвязь здесь присутствует, и любой врач подтвердит, что пациент, искренне и сильно желающий выздороветь, восстанавливает здоровье быстрее, чем апатичный, сломленный болезнью человек. Однако эта теория до сих пор не подтверждена серьезными исследованиями, поэтому официальная медицина не принимает ее во внимание.
Стадии
Онкологи выделяют четыре основные стадии рака костей, которые различаются по размерам и распространению опухоли.
- Новообразование небольшого размера ограничено участком кости, в котором изначально сформировалось, и состоит из высокодифференцированных клеток.
- Опухоль остается в пределах кости, но ее клетки трансформируются в злокачественные. Лимфоузлы не поражены, метастазов в другие органы нет.
- Злокачественные клетки выходят за пределы кости и распространяются в близлежащие лимфоузлы или мягкие ткани. Метастазы в другие органы отсутствуют.
- Опухоль проникает глубоко в мягкие ткани, дает метастазы в другие органы - легкие, печень, почки, репродуктивную систему и т.д.
Диагностика
Симптомы и проявления рака костей не позволяют точно установить наличие опухоли. Поэтому важнейшее значение приобретает лабораторная диагностика рака костей и инструментальные исследования.
Рентгенография. Снимки пораженной кости в нескольких проекциях позволяют распознать нарушение структуры и определить поврежденные участки.
КТ. Компьютерная томография - наиболее точное и информативное неинвазивное исследование костной ткани, позволяющее выявить мельчайшие изменения в ее строении.
ПЭТ/КТ. Исследование выявляет даже небольшие опухоли, что важно при вторичном характере онкологического процесса.
Биопсия. Для забора образца костной ткани используется местное или общее обезболивание.
Гистологический анализ биоптата. Препарированные клетки изучаются под микроскопом, чтобы определить гистологический тип опухоли.
Генетический анализ биоматериала. Для выявления специфического маркера саркомы Юинга этот тест обязательно проводится перед биопсией.
Вы можете бесплатно получить медицинскую помощь в АО «Медицина» (клиника академика Ройтберга) по программе по программе Государственных гарантий ОМС (Обязательного медицинского страхования) и ВМП (высокотехнологичной медицинской помощи).
Чтобы вылечить рак костей, необходима команда врачей с разными специализациями: онколог, хирург-ортопед, химиотерапевт и лучевой терапевт, а также реабилитолог и психотерапевт. В процессе лечения применяются следующие методики в разных сочетаниях.
Хирургия. В настоящее время применяются органосохраняющие схемы выполнения операций. Пораженную кость не ампутируют, а заменяют трансплантатом, металлическим или пластиковым эндопротезом. При удалении фрагмента кости сохраняют нижележащие части конечности, благодаря чему сохраняется ее функциональность, хотя и в ограниченном объеме.
Альтернативные методы. Вместо хирургического вмешательства при небольшом объеме опухоли применяются другие методы - криодеструкция (замораживание) опухолевой ткани, введение в полость кости полиметилакрилатного горячего цемента, выскабливание опухоли и т.д.
Лучевая терапия. Ионизирующее излучение используют для уничтожения остаточных клеток после операции либо при неоперабельной опухоли для уменьшения ее размеров, чтобы продлить жизнь пациента. Наиболее успешно лучевая терапия применяется для лечения саркомы Юинга.
Химиотерапия. Как правило, цитостатические препараты используют для лечения саркомы Юинга и остеосаркомы.
Таргетная терапия. Пациенту вводят специфические лекарства, блокирующие молекулы определенных белков, необходимых для роста злокачественных клеток. Препараты назначают только после генно-молекулярного анализа, подтверждающего наличие нужного белка.
Лечение метастатического рака костей. Для уничтожения метастазов используют те же химиопрепараты, что и для лечения первичной опухоли.
Прогнозы
Основа результативного лечения рака костей - своевременное обнаружение опухоли и безотлагательное начало лечебного процесса. Пятилетнияя выживаемость пациентов на первой-второй стадии болезни составляет:
- при остеосаркоме - до 80%;
- при хондросаркоме и фибросаркоме - около 70;
- при первичной лимфоме - до 60%.
У пациентов с третьей и четвертой стадией пятилетняя выживаемость составляет 30-40%.
Профилактика
В настоящее время отсутствуют действенные способы профилактики рака костей.
Реабилитация
После операции по удалению участка кости восстановление продолжается около полугода, если проведена ампутация, и около года, если использовалась органосохраняющая методика. Реабилитационное лечение включает комплекс мер для правильного сращивания кости и заживления операционных ран, восстановления подвижности и функций конечности. Без этих мер функции прооперированной конечности будут через короткое время безвозвратно утрачены. Сложное и длительное лечение носит индивидуальный характер и зависит от масштабов хирургического вмешательства.
Диагностика и лечение рака костей в Москве
Если у вас обнаружены симптомы рака костей, обратитесь в клинику «Медицина» для проведения качественной, достоверной диагностики, а в случае подтверждения диагноза - для лечения согласно высоким мировым стандартам. Клиника обеспечивает своим пациентам:
- выполнение любых анализов в собственной превосходно оснащенной лаборатории;
- обследование с применением новейшего диагностического оборудования;
- консультации и лечение у лучших онкологов, хирургов, ортопедов, реабилитологов;
- пребывание в комфортабельном стационаре, уход и обслуживание по стандартам западной медицины.
Позвоните нам, чтобы записаться на первичную консультацию к выбранному специалисту.
Вопросы и ответы
Лечится ли рак костей?
Успех лечения рака костей зависит от стадии опухоли и от степени агрессивности злокачественных клеток. Следует помнить, что шансы на выздоровление остаются всегда, даже в самых запущенных случаях.
Сколько живут с раком костей?
Каждый случай индивидуален, и срок жизни пациента с раком костей во многом определяется типом опухоли. При хондросаркоме и остеосаркоме до 80% пациентов живут дольше пяти лет после обнаружения болезни.
Как определить рак костей?
Самостоятельно определить, что у вас саркома костей, невозможно. Для точной диагностики необходимо пройти обследование, которое включает ряд сложных лабораторных анализов, рентгенологические и другие исследования. При появлении болей в костях, продолжающихся дольше двух недель, необходимо обследоваться у онколога, чтобы подтвердить диагноз или рассеять свои подозрения.
Читайте также:
- Экзогенные интоксикации. Комы при экзогенных интоксикациях.
- Синдром Гертвига-Мажанди (Hertwig-Magendie)
- Контуры, смещаемость и динамика тени на рентгеновском снимке
- Методика пункции вен новорожденного. Общие рекомендации
- Пример пункционного лечения деструктивной пневмонии. Препараты кальция при септическом состоянии
