Оценка реконструкции латеральных связок голеностопного сустава
Добавил пользователь Владимир З. Обновлено: 01.11.2025
Разрыв связок на уровне голеностопного сустава в большинстве случаев не требует хирургического лечения. После 2 недельного периода иммобилизации в ортезной повязке и 4 недель лечебной физкультуры, направленной на укрепление мышц голени и развитие мышечного баланса в 90 % случаев пациента ничего не беспокоит.
Но нас интересует судьба тех 10 %, у которых после разрыва связок голеностопного сустава развивается его нестабильность. Почти всегда эти пациенты получают такое же консервативное лечение, как и остальные, симптомы становятся менее выраженными, но не проходят полностью. В таких случаях следует обращаться за хирургической помощью, так как последствия нестабильности в голеностопном суставе могут быть очень серьёзными.
Клинический случай разрыва связок голеностопного сустава.
Пациент Ч. 23 года, травма во время игры в футбол, подвернул правую стопу кнаружи при резком толчке, услышал хруст, почувствовал резкую боль. Обратился в травмпункт, где выполнены рентгенограммы без нагрузки, рекомендована иммобилизация в ортезной повязке 2 недели и консервативное лечение. Учитывая отсутствие положительной динамики, принял решение обратиться на консультацию в клинику К+31.
В анамнезе неоднократные травмы голеностопного сустава. Длительное время (более 3 лет) отмечал ощущение «нестабильности, разболтанности» правого голеностопного сустава.
3-4 раза в год происходили эпизоды «подворачивания» голеностопного сустава кнутри после которых отмечал отёк в области наружной лодыжки и боль при ходьбе на протяжении 1-2 недель. Лечился консервативно, фиксация при помощи эластичного бинта, холод, мазь диклофенак местно, на фоне данного лечения отмечал постепенный регресс отёка и восстановление безболезненной амплитуды движений.
Последняя травма на футболе спрвоцировала усиление ощущения нестабильности, отёк был более выраженный. Отсутствие положительной динамики заставило пациента обратиться к врачу.
В нашей клинике пациент Ч. Был осмотрен врачом, заподозрено повреждение дистального межберцового синдесмоза, на фоне хронической нестабильнсоти голеностопного сустава. Были выполнены МРТ голеностопного сустава и рентгенография голеностопных суставов стоя с нагрузкой весом тела, а также стресс-рентгенограммы, в вынужденном положении, которые подтвердили диагноз.
Ниже представлены срезы МРТ в которых наглядно показано расположение повреждённых связочных структур.




Данные повреждения практически в 100 % случаев пропускаются при первичном обращении в травмпункт. При несвоевременном или неадекватном лечении нестабильность голеностопного сустава приводит к разрушению суставного хряща, выраженной боли, деформации, и в конечном счёте к полной утрате функции опоры и ходьбы. В зависимости от того какие связки разорваны и от того насколько выражена нестабильность, артроз развивается в разные сроки, от 1 года при разрыве синдесмоза, до 20 и более лет при изолированном разрыве передней таранно-малоберцовой связки.
Очень важно чтобы при первичном обращении в травмпункт, пациентам с повреждением связочного аппарата голеностопного сустава производились полноценные рентгенограммы, стоя с нагрузкой весом тела, косая проекция с внутренней ротацией голени 15 градусов, а при необходимости, и стресс-рентгенограммы.

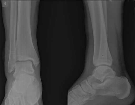
При детальном изучении снимков определяется увеличение межберцовой щели до 7,5 мм, уменьшения зоны перекрытия большеберцовой и малоберцовой костей до 5 мм, отсутствие на стороне поражения перекрытия тени таранной кости и малоберцовой кости.

На рентгенограмме костей правого и левого голеностопных суставов в прямой проекциии, снимки стоя - справа определяются признаки повреждения дистального межберцового синдесмоза - степень взаимного перекрытия берцовых костей 5мм (в норме больше 6мм) увеличенное большеберцовое - малоберцовое пространство - 7.5мм (в норме до 6мм).
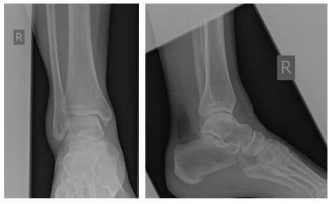
При выполнении стресс рентгенограмм определяется выраженная латеральная нестабильность голеностопного сустава.

У данного пациента также определялась избыточная подвижность малоберцовой кости на уровне дистального межберцового синдесмоза при компрессии голени на уровне средней трети, которая клинически проявляется болью по переднему краю наружной лодыжки.

Учитывая молодой возраст, желание активно заниматься спортом, анамнестические данные свидетельствующие о хронической нестабильности правого голеностопного сустава принято решение о хирургическом лечении.
Ниже представлены этапы оперативного лечения.








После восстановления латерального связочного комплекса по Брострому в модификации Голда и фиксации межберцового синдесмоза винтом производится оценка стабильности голеностопного сустава при помощи вальгус—стресс теста под контролем ЭОП.

Гипермобильность голеностопного сустава устранена, положение таранной кости остаётся неизменным несмотря на приложение вальгусной нагрузки.
Далее следует послойное ушивание раны, и наложение гипсовой лонгетной повязки.

Реабилитация после операции по восстановлению связок голеностопного сустава и фиксации дистального межберцового синдесмоза винтом.
В раннем послеоперационном периоде рекомендуется возвышенное положение конечности, аппликации холода по 30 минут каждые 3-4 часа 5 дней. Ходьба без осевой нагрузки при помощи костылей потребуется на протяжении 6 недель с момента операции. Лонгетная повязка позволяет выполнить перевязку на первые сутки после операции, при отсутсвии значительного геморрагического отделяемого можно наложить циркулярную полимерную повязку на 2 недели. Через 2 недели повязка рассекается по передней поверхности голени и стопы, удаляются послеоперационные швы, после чего иммобилизация возобновляется.
После снятия послеоперационных швов пациенту разрешается занимается ЛФК в голеностопном суставе. Для этого в полимерной повязке по передней поверхности делается продольный пропил шириной 2-4 см чтобы её можно было легко снимать. После снятия полимернойповязки пациент выполняет сгибательные и разгибательные движения в голеностопном суставе, исключаю пронацию, супинацию и ротацию. Дозированная осевая нагрузка (вес конечности) возможна с 3 недели после операции.
Через 6 недель производится удаление позиционного винта. С этого момента разрешается полная осевая нагрузка.

На рентгенограммах видно что после удаления позиционного винта взаимоотношения большеберцовой и малоберцовой костей остаётся прежним, что свидетельствует в пользу того что лечение прошло успешно.
После удаления позиционного винта основной упор делается на восстановление силы, выносливости мышц голени, а главное - улучшение мышечного баланса и проприорецепции. Разрешаются любые движения в голеностопном суставе, в том числе супинация и пронация. Использование резиновых лент с различной степенью сопротивления позволяет изолированно тренировать различные мышечные группы голени. Для тренировки мышечного баланса выполняются упражнения по удержанию равновесия на одной ноге сначала на твёрдом полу с дополнительной опорой на руки, потом на мягкой пенке, потом на толстой 10 см пенке, на полуфитболе. В конечном счёте необходимо добиться способности стоять на мыске одной ноги без дополнительной опоры на протяжении 20 секунд.

Никифоров Дмитрий Александрович
Хирургия стопы и голеностопного сустава, коррекция деформаций конечностей, эндопротезирование суставов, артроскопическая хирургия, спортивная травма.
Нестабильность голеностопного сустава. Реконструкция связок лодыжки

Внешние связки соединяют малоберцовую кость (Fibula) с пяточной и таранной костями. Межберцовый синдесмоз проходит между большеберцовой и малоберцовой костями. © Gelenk-Klinik
Реконструкция связок голеностопного сустава является операцией по лечению хронической нестабильности. Эта нестабильность приводит при малейших нагрузках к вывихам лодыжки. При этом наблюдается повышенная подвижность самого голеностопа, что является большей нагрузкой на суставный хрящ, что обычно, и приводит к его разрушению.
Как возникают травмы голеностопного сустава?
Причинами разрыва связок лодыжки зачастую являются падения либо травмы во время занятий спортом. Связки теряют свою стабилизирующую функцию, и пациенты больше не могут двигаться как раньше. Чаще всего повреждениям подвержены внешние связки. Передняя таранно-малоберцовая связка травмируется почти при всех повреждениях латеральных связок.
Такие факторы риска как лишний вес, неправильная обувь, а также плохая физическая подготовка могут спровоцировать разрыв либо растяжение.
Симптомы разрыва связок

Травмы внешних латеральных связок проявляются сильными болями и образованием гематом. © Leo, Fotolia
Если человек подворачивает ногу, то впоследствии возникшая боль в голеностопном суставе и отёчность являются типичными симптомами, которые принимают за простое растяжение и не обращаются к врачу. Также могут появиться гематомы по причине разрыва подкожных вен. Другими симптомами является боль в лодыжке и неспособность опираться на ногу. Как правило, травма приводит к снижению способности выдержать нагрузку, которое может сохраняться в течение нескольких дней, а иногда и недель.
Если пострадавший и вовсе не может стать на ногу то скорее всего произошел полный разрыв.
Как проводится диагностика?
Помимо специально подготовленных вопросов и обследования, рентген помогает специалисту Геленк Клиники исключить наличие костных повреждений. В данном случае необходимо учитывать не только переломы, но и разрывы с костными фрагментами либо травмы межберцового синдесмоза (костное сращение из соединительной ткани). Так как рентгенологическое исследование показывает состояние костных структур, но не отображает связки, мы рекомендуем сделать так называемый удерживаемый снимок, где врач обследует расслоение суставной щели по сравнению с противоположной стороной. Таким образом можно отличить простое растяжение от разрыва. Подобные записи изготавливаются при помощи специального опорного аппарата и стандартного осуществления давления. В отдельных случаях проводится дополнительное обследование. Пациента направляют на МРТ либо УЗИ. Эти методики могут также выявить и травмы мягких тканей.
Осложнения после травмы
Своевременная диагностика "свежих" травм и последовательное лечение обычно имеют хорошие прогнозы. Для заживления таких повреждений требуется как правило от четырёх до шести недель.
Однако проблемы вызывают, прежде всего, нестабильность связок в голеностопе, от которой конечность слабеет. Это означает, что человек может быстро подвернуть ногу. Примерно у 10% всех пациентов, страдающих травмами внешних связок, наблюдается хроническая нестабильность.
Повторяющиеся травмы способствуют деформациям суставного хряща. Так как суставный хрящ недолго способен выдерживать срезывающие нагрузки Вам стоит обратиться к врачам Геленк Клиники в Германии пока не образовался артроз.
Лечение голеностопного сустава после разрыва связок
Лечение зависит от степени повреждения. Если планируется эндопротезирование, то предварительно проводится осмотр лодыжки артроскопическим путем. Во время этой операции проверяется состояние хряща и удаляются остатки разорванной связки.
При разрыве связок применяются различные оперативные методы. Целью всех операций по восстановлению лодыжки является достижение его стабильности.
Как правило положительный результат достигается спустя примерно 6 недель. В течение этого времени пациенту нужно носить специальные ортезы для иммобилизации конечностей.
В Геленк Клинике применяются различные пластические методики. При пластике внешней связки её пытаются восстановить с помощью импланта из собственной ткани. Для этого используются остаточные элементы, части надкостницы латеральной лодыжки и ткани суставной капсулы. Если этих тканей недостаточно, то используются имплантаты сухожилий. Для этого изымаются части, проходящие в непосредственной близости от внешней связки, и затем пересаживаются в сустав.
Хирурги Геленк Клиники проводят восстановление голеностопного сустава при хронической нестабильности по методу Brostöm. При этом оставшиеся элементы служат для анатомического восстановления. Во время операции они собираются, а затем растягиваются, чтобы достичь первоначальной длины связок. Для обеспечения стабильности, части разгибательных сухожилий перемещаются в сторону латеральной лодыжки и сшиваются.
Возможные осложнения после реконструкции связок (анатомический метод):
- Снижение чувствительности внешней стороны стопы (макс. 2%), часто временно
- Инфекция (лечение с помощью антибиотиков, иногда хирургическое вмешательство) составляет менее 1%
- Снижение подвижности (около 2%)
- Возобновление нестабильности (часто после недавней травмы)
Как долго длится лечение в Геленк Клинике?
После операции для пациента изготавливается специальный ботинок. До заживления ран в течение 12 дней Вы должны ходить, опираясь на костыли. В течение последующих 3 недель Вы уже сможете передвигаться без костылей, но в специальном ботинке. Через 4 недели ботинок расслабляют так, что Вы сможете сгибать и разгибать ногу. После шести недель лечения возможно передвижение без ботинка. В это время необходимо пройти интенсивное лечение для восстановления мышц и подвижности ноги.
Сотрудники Геленк Клиники с удовольствием проконсультируют Вас по всем необходимым вопросам касательно стоимости операции и послеоперационного лечения.
Латеральная нестабильность голеностопного сустава, пластика аутосухожилием нежной мышцы
Латеральная нестабильность голеностопного сустава как следствие "растяжения голеностопа", "подворачивания голеностопа", по прежнему остаётся крайне недооценённой и актуальной проблемой травматологии. Ниже рассмотрим пример обращения пациента с данной проблемой, которая при первичном обращении не была диагностирована (что встречается практически в 100% случаев).
Клинический пример лечения застарелого разрыва передней таранно-малоберцовой связки, пяточно-малоберцовой связки правого голеностопного сустава у пациентки П.38 лет.
История неоднократных травм голеностопного сустава на протяжении более 10 лет, в среднем 2-3 раза в год подворачивает ногу, после чего наблюдается в травмпункте в связи с болями в голеностопном суставе. Обратилась к нам в клинику из-за того что после последнего эпизода подворачивания стопы боль держалась дольше обычного, и была более интенсивной. На стандартных рентгенограммах - без патологии.

На этом этапе пациентка лечилась по стандартному сценарию «растяжение голеностопа». Носила ортез, мазала голеностоп вольтареном и лиотоном, разгружала его при помощи трости. Но в связи с длительно сохраняющимся болевым синдромом было выполнено МРТ, при котором диагностирован застарелый разрыв передней таранно-малоберцовой связки, пяточно-малоберцовой связки правого голеностопного сустава, контузионное повреждение латеральных отделов таранной кости.


Для подтверждения механической нестабильности выполнены стресс-рентгенограммы голеностопного сустава с «варус-стресс тестом» и «тестом переднего выдвижного ящика». Критериями для постановки диагноза нестабильности является ангуляция таранной кости в коронарной плоскости более 4 градусов и смещение таранной кости кпереди в сагиттальной плоскости на 4 мм, или разница с контрлатеральной стороной в 2 градуса и 2 мм соответственно.

Если с варус-стресс тестом всё очень наглядно, оценивать передний выдвижной ящик рентгенологически чуть сложнее. Для этого можно либо обозначить центр купола таранной кости и встречной суставной поверхности большеберцовой кости точками и сравнивать расстояние между ними с или без нагрузки в задне-переднем направлении, либо использовать в качестве вспомогательного ориентира тень медиальной лодыжки и расстояние от неё до начала шейки таранной кости.

Учитывая историю неоднократных травм, клиническую и рентгенологическую картину антеролатеральной нестабильности голеностопного сустава принято решение о проведении пластики латерального связочного комплекса аутосухожилием нежной мышцы.
В данном случае выбор хирургического вмешательства шёл между стандартной процедурой Бростром в модификации Голда или пластикой аутосухожилием. Так как ранее пациентке оперативные вмешательства не выполнялись, можно было попробовать стандартную операцию по методике Бростром, а пластику оставить в качестве «запасного метода». Но для получения более стабильной конструкции учитывая выраженность нестабильности, длительную историю заболевания, наличие контузионного повреждения купола таранной кости было принято решение о проведении пластики с использованием аутотрансплантата нежной мышцы.
В настоящее время существует 2 основных методики проведения трансплантата через малоберцовую кость. Либо делается 2 канала диаметром соответствующие трансплантату и образующие острый угол, либо делается один канал большего диаметра в который вставляется сложенный вдвое трансплантат. При этом фиксация в малоберцовой кости в первом случае осуществляется при помощи биотенодезных винтов, во втором случае фиксация происходит за счёт титановой пуговицы. Фиксация на таранной и пяточной кости в обоих случаях идентичная при помощи биотенодезных винтов.

Данная методика может быть реализована как открыто, так и артроскопически. Плюсом открытого метода является возможность аугментации за счёт остатков собственной ПМБС и ПТМБС а также дополнительно может быть использован ретинакулум, хотя необходимости при такой жёсткой фиксации в этом обычно нет. Плюсом артроскопической техники является как обычно малоинвазивность, хотя в этом случае она очень условная - по сути всё равно делается 4 доступа, просто один из них меньшего размера, чем при открытом методе (1 см вместо 3см) при этом технически это намного сложнее, но ради искусства можно сделать и так.
Операция начинается с диагностической и санационной артроскопии голеностопного сустава, при которой дополнительно оценивается степень нестабильности, а главное выявляются и устраняются сопутсвующие повреждения суставного хряща таранной кости, синовиальная гипертрофия и прочие внутрисуставные проблемы.

После подтверждения нестабильности и устранения разрастаний синовиальной и рубцовой ткани переходим к этапу забора аутотрансплантата и его подготовки к последующей трансплантации. У транспланатата 2 плеча, сложенная вдвое часть погружается в канал малоберцовой кости, а «рукава» фиксируются в каналах таранной и пяточной кости соответсвенно в месте прикрепления передней таранно-малоберцовой и пяточно-малоберцовой связок.

После подготовки транспланата выполняется продольный доступ в проекции апекса латеральной лодыжки, из которого выделяется передняя таранно-малоберцовая связка, чаще всего она бывает частично замещена рубцом в зоне прикрепления к малоберцовой кости, её желательно сохранить, прошить, и потом произвести аугментацию пластики её остатками, что будет способствовать скорейшему восстановлению проприорецепции, и вообще сделает такое восстановление возможным. Первый этап - проводим пуговичный фиксатор (в нашем случае Tight rope Arthrex) через канал в малоберцовой кости. Канал делается при помощи 2 канюлированных свёрел, 4 мм сверлом делается сквозной канал, для того чтобы через него могла пройти пуговица. Второе сверло соответсвует по диаметру сложенному вдвое транспланатау, обычно это 5 или 6 мм и этот канал заканчивается слепо на глубине 2 см, для жёсткой фиксации трансплантата после затягивания нитей на пуговчатом фиксаторе.

Проведены нити, мы видим пуговчатый фиксатор с дистальной стороны канала.

Пуговица проведена на заднюю поверхность малоберцовой кости, трансплантат частично (на 1 см) погружен в канал. Запас в 1 см оставляем для того, чтобы после фиксации остальных частей трансплантата можно было бы ещё его натянуть если это потребуется.

ПМС проходит под сухожилиями малоберцовых мышц, которые нежелательно избыточно травмировать, поэтому мы предпочитаем проводить эту часть трансплантата полузакрыто. После визуализации проксимальной части сухожилия и малоберцовых сухожилий, под последними проводится сосудистый зажим в направлении места прикрепления пяточно-малоберцовой связки, над кончиком зажима делается небольшой продольный доступ около 1 см, из которого тупо обнажается место прикрепления ПМС к пяточной кости, где и производится рефиксация.
Только на этом этапе определяется окончательная длина рукавов трансплантата. Она вычисляется путём прикладывания трансплантата к нативному месту прикрепдения, или к месту где выполнен канал для его фиксации, + 2 см на погружение в этот канал. Концы сухожилия обрезаются на нужной длине и прошиваются.
Для окончательной фиксации могут быть использованы биотенодезные винты из полимолочной кислоты или высокопрочного медицинского пластика. Мы использовали винты из пластика Swive Lock 5.5 мм. При этом канал в плотной таранной кости мы делаем сверлом такого же диаметра, а в более рыхлой пяточной кости, сверлом 5 мм.

Такие винты обеспечивают надёжную первичную фиксацию трансплантата и позволяют начать более раннюю реабилитацию, для достижения лучшего функционального результата.

Когда обе части трансплантата фиксированы осуществляется дозатягивание нитей на пуговчатом фиксаторе в нейтральном положении стопы. Оценка функциональной и механической стабильности сустава подтверждает адекватность натяжения.

На этой фотографии под остатками ПТМБС виден трансплантат. Культя собственного сухожилия подшивается поверх него к надкостнице малоберцовой кости.
Реабилитационный протокол стандартный для любой пластики связок голеностопного сустава 2 недели гипсовая иммобилизация в лонгете. Через 2 недели снятие швов и переход на Walker - пластиковый сапог. В нём разрешается осевая нагрузка, также начинаем восстановление пассивной и активной амплитуды сгибания-разгибания в голеностопном суставе.
Через 6 недель переходим к фазе закачки мышц голени, тренируем мышечный баланс и выносливость. Возобновление спортивных нагрузок не ранее 12 недель от операции.
Пластика связок голеностопного сустава
Ситуации, когда у человека разрываются связки голеностопного сустава, могут возникнуть в быту, в спорте, вследствие профессиональной травмы или несчастного случая. Эта патология составляет 15% всех случаев повреждения голеностопа. Если связки разорваны, первое, что назначается пациенту - это восстановительная физиотерапия. Однако это помогает, только если надрыв связок свежий. Суть восстановления заключается в том, чтобы заставить другие участки мускулатуры взять на себя функции поврежденной надрывом связки.
Оценить эффективность лечения можно спустя 2-3 месяца. Если нестабильность сустава не прошла, а перешла в хроническую форму, стоит задуматься об операции. Эффективным хирургическим методом в данном случае будет пластика связок голеностопного сустава, направленная на замену связки. Для этого используются собственные ткани пациента, поэтому операция отличается безопасностью и доступной стоимостью.
Причины разрыва связок голеностопа
Учитывая особенности функций голеностопа, повреждение связок может возникнуть в различных ситуациях. Как правило, к нему приводит падение, подворачивание стопы, резкий поворот. В этот момент сустав растягивается, и ткань связок надрывается. Частые причины растяжения сустава и порыва связок:
- Занятия спортом.
- Подворачивание стопы, например, на ступенях или скользкой дороге;
- Удар в голеностопную область.
Стопы подвержены нагрузкам каждый день, однако связки рвутся не ежедневно. Стоит выделить ряд провоцирующих факторов, при которых риск неприятности существенно повышается:
- Для женщин - высокие каблуки, на ступеньках, на скользкой тротуарной плитке - шансы вывихнуть ногу и поклонниц шпилек достаточно высоки.
- Ожирение - избыточный вес не причина для падения или травмы, но подвернув ногу, тучный человек с гораздо большей вероятностью заработает разрыв связок, из-за значительной нагрузки.
- Эндокринные нарушения, снижающие эластичность связок.
- Врожденные патологии строения стопы и голеностопа.
- Наличие старых травм и болезней сустава.
- Занятия спортом - прыжки в длину, в высоту, парашютный спорт.
Симптомы разрыва связок голеностопа
Поняв, что связки разорваны, нужно как можно скорее попасть в больницу, при этом снизив до минимума нагрузку на травмированную ногу. Как понять, что вы не просто неудачно упали, а порвали связки? В первую очередь нужно понимать, что порвать связки можно по-разному. В зависимости от того, насколько серьезной является проблема со связками, ортопеды выделяют следующие степени разрыва связок голеностопа:
- I степень - связки надорваны с некоторых местах, основная масса волокон в целости. Диагностика такой патологии основывается на визуальном осмотре и пальпации. Может быть незначительная отечность лодыжки. Пациент жалуется на умеренную боль, которая усиливается при движении или пальпации стопы. Двигательная активность сохраняется, но сопровождается дискомфортом.
- II степень - связка разорвана частично, но это не влияет на функциональность голеностопного сустава. Пальпация очень болезненна. Отечность распространяется с лодыжки на стопу и усиливается. Двигательная активность сопровождается болью и хромотой пациента.
- III степень - участок ноги в области голеностопного сустава сильно отекает, ощущается сильная боль, нога на сгибе покрывается сплошной гематомой. Могут быть видны кровоподтеки. Температура тела повышается. Стать на ногу и сделать шаг - невозможно. Двигательная активность - блокирована.
Диагностика разрыва связок голеностопа
Чтобы назначить правильно лечение или принять решение о необходимости пластики связок голеностопа, врач должен убедиться, что речь идет именно о разрыве тканей. В первую очередь проводится осмотр больного. Ортопед берет одной рукой голень травмированной ноги, а другой пробует сдвинуть в сторону стопу. Если разорваны латеральные связки, очевидной будет чрезмерная подвижность стопы.
Далее пациент отправляется на рентгенографическое обследование. Снимок нужно делать в двух проекциях. Диагностировать разрыв связок на рентгене можно только, если речь идет о третьей степени патологии. Если картина нечеткая, ортопед может назначить рентген под нагрузкой или артрографию для понимания состояния суставной капсулы.
Особенности пластики голеностопа
Цель операции - обеспечить суставу стабильность. Ведь растянутые связки - это не только дискомфорт, но и постоянный риск серьезной травматизации нестабильного голеностопного сустава.
Пластика голеностопных связок предполагает замену наружных связок тканями, взятыми с других участков. Операция проходит под общим наркозом. В зависимости от сложности разрыва может длиться 1-3 часа.
Связка восстанавливается хирургическим путем с использованием тканей поврежденной связки, надкостницы, тканей суставной капсулы, тканей соседних неповрежденных сухожилий. Некоторые ткани могут быть репозиционированы, для обеспечения суставу максимальной стабильности.
Реабилитационный период

На реабилитацию после операции потребуется определенное время. Первые три недели двигательная активность возможна только с костылями, нагрузка на оперированную ногу - исключена. Далее еще три недели пациент ходит самостоятельно, но его голеностоп зафиксирован в специальном жестком ботинке. Проверяя состояние прооперированных связок, врач определяет время, когда жесткую фиксацию можно убрать, оставить эластичный брейс и позволить пациенту сгибать и разгибать ногу в стопе.
Другой вариант реабилитации - более скор и технологичен. Он не предполагает использование костылей. В этом случае операционная техника предполагает установку специальных микрофиксаторов брейсов подкожно.
В реабилитационный период крайне важна правильная восстановительная терапия, лечебная физкультура, физиотерапевтические процедуры.
Где сделать пластику связок голеностопа в Москве?
Главная больница Москвы - ЦКБ РАН - приглашает пациентов, которые травмировали голеностоп и нуждаются в немедленной помощи и точной диагностике состояния. Также мы работаем с застарелыми травмами, когда физиотерапевтическое лечение не помогло, и наблюдается нестабильность сустава - приходите на консультацию ортопеда, чтобы узнать больше о хирургических методах решения проблемы. Пластика связок защитит сустав, обеспечит ему стабильность, вернет полную нормальную двигательную активность - без боли и ограничений!
Повреждения связочного аппарата голеностопного сустава (нестабильность голеностопного сустава)
Повреждения связок голеностопного сустава возникают в результате травмы - подворота стопы, часто - при занятиях спортом или в зимнее время, при гололеде. Болевых ощущений сразу может не возникнуть. Через короткое время или сразу после травмы появляется отек голеностопного сустава, его контуры сглаживаются, появляются подкожные гематомы (синяки). Иногда пациенты отмечают «щелчок» в момент травмы. Движение в голеностопном суставе вызывает острую боль, опереться на ногу практически невозможно.
Необходимо приложить холод и зафиксировать поврежденный сустав, затем обратится в лечебное учреждения, где вам выполнят рентгенографию голеностопного сустава. Часто этого бывает недостаточно и может потребоваться ряд дополнительных обследований, таких как ультразвуковое исследование сустава, магнитно-резонансная томография (МРТ) для оценки состояния мягкотканых структур (связок, сухожилий) голеностопного сустава.
Консервативное лечение повреждений связочного аппарата голеностопного сустава
Если связки пострадали частично, то речь, как правило, идет о консервативном лечении - ношении гипсовой либо полимерной повязки, специальных бандажей, ортезов. Назначаются курсы физиотерапевтического лечения и лечебной физкультуры.
Неэффективное и некорректное лечение данной патологии может привести к серьезным осложнениям, таким как артроз, хроническая нестабильность голеностопного сустава, хромота и другим
Оперативное лечение повреждений связочного аппарата голеностопного сустава
При неэффективности всех этих мер - сохранении боли, отека, чувства нестабильности в суставе, повторяющихся травмах, а также при полном повреждении наружного или внутреннего комплекса связочного аппарата голеностопного сустава показано оперативное лечение - восстановление связок (пластика связок) для профилактики вышеизложенных осложнений.
В зависимости от степени повреждения используют один из методов оперативного вмешательства:
- сшивание связок (если они на месте, но деформированы)
- периостальный клапан (если связки разорваны или не визуализируются)
- пересадка сухожилий и связок, использование подошвенного материала, или сухожилий для замены от 2-3 связок, при выполнении этих вмешательств, для фиксации используются абсорбирующиеся (рассасывающиеся) материалы
Операция выполняется под артроскопическим контролем (при помощи введенной в сустав видеокамеры осматривается его полость). Благодаря этому можно диагностировать и устранить проблемы не только с поврежденными связками, но и внутри сустава в ходе одного оперативного вмешательства.
Сразу после операции сустав фиксируют гипсовой повязкой, чтобы не подвергать его лишней нагрузке. Это приведет к скорейшему выздоровлению. Швы снимают на 12-14 сутки. После снятия швов возможно начало восстановительного лечения. Через 4 недели гипсовая повязка может быть заменена на полужесткий U-образный ортез для голеностопного сустава. Ходьба без костылей с полной нагрузкой на сустав возможна через несколько недель.
Восстановительное лечение после травм связочного аппарата голеностопного сустава
Продумать курс восстановительного лечения при подобных травмах очень важно для того, чтобы функция голеностопного сустава восстановилась в максимальном объеме. При выписке из стационара пациент получает подробный план восстановительных мероприятий.
Восстановительное лечение включает в себя курс физиотерапевтического лечения, ударно-волновую терапию, комплекс активных и пассивных упражнений, направленных на укрепление и растягивание мышц с частичной нагрузкой на сустав, и упражнений для разработки движений в суставе.
Кроме того, в ЦКБ РАН на базе отделения восстановительного лечения создана лаборатория биомеханики, в которой проходят реабилитацию пациенты после различных травм опорно-двигательного аппарата, в т.ч. профессиональные спортсмены. На ее базе исследуются различные параметры ходьбы, вырабатывается оптимальный план реабилитации в соответствии с полученными данными.
Читайте также:
